The First Experience of Exoskeleton Rehabilitation in a Patient with Extensive Ballistic Upper Arm Injury During the Use of Temporary Cement Humerus Spacer
- Авторлар: Vorobyev A.A.1,2,3, Barinov A.S.1, Barinova E.A.1, Andryushchenko F.A.3, Tkachenko S.I.1
-
Мекемелер:
- Volgograd State Medical University
- Federal Center for Support of the Development and Production of Exoprostheses
- Volgograd Medical Research Center
- Шығарылым: Том 21, № 4 (2024)
- Беттер: 5-11
- Бөлім: Articles
- ##submission.datePublished##: 15.12.2024
- URL: https://consilium.orscience.ru/2658-4514/article/view/646369
- DOI: https://doi.org/10.19163/2658-4514-2024-21-4-5-11
- ID: 646369
Дәйексөз келтіру
Толық мәтін
Аннотация
This study aimed to evaluate the initial experience of utilizing the passive upper extremity exoskeleton "Ekzar34" in the rehabilitation process of a patient with upper extremity ballistic injuries, in conjunction with the use of a temporary cement spacer in the shoulder bone. Methods: The research methods included a clinical examination of the patient, analysis of medical records, X-rays, and goniometry of upper extremity joints before and after the rehabilitation course in the "Ekzar34" exoskeleton. Results: The results demonstrated a significant increase in the amplitude of active and passive movements, as well as muscle strength in the affected limb. Moreover, there was a decrease in pain during movement with the rehabilitation using the exoskeleton. Conclusions: The initial experience of utilizing the upper extremity exoskeleton "Ekzar34" in extensive upper arm ballistic injuries during the recovery stage with the application of a temporary humerus spacer appears promising in post-ballistic injury rehabilitation. Following the removal of the temporary spacer and shoulder bone reconstruction, continued use of the exoskeleton is deemed essential for enhanced functional rehabilitation of the patient. This study emphasizes the significance of a comprehensive approach to the rehabilitation of patients with extensive upper extremity ballistic injuries and confirms the effectiveness of using the "Ekzar34" exoskeleton at all stages of treatment.
Негізгі сөздер
Толық мәтін
Проблема огнестрельных переломов плечевой кости, полученных во время боевых действий, является актуальной и требует постоянного совершенствования методов диагностики, лечения и реабилитации [1, 2]. Своевременное лечение и реабилитация после боевых повреждений конечностей могут снизить риск осложнений и последующих проблем с кровообращением, двигательной и чувствительной функциями конечности [3]. При сохранении жизнеспособности конечности открытая репозиция фрагментов кости и фиксация внешними аппаратами компрессионно-дистракционными является современным стандартом лечения огнестрельных поражений длинных трубчатых костей. Л. К. Брижань и соавт. считают, что быстрее и эффективнее выполнить наружную фиксацию костей конечностей позволяют конструктивные особенности комплекта стержневого военно-полевого (КСВП), а в сочетании с вакуумными аспирационными повязками в условиях двухэтапного остеосинтеза – существенно сократить продолжительность первого этапа оперативного лечения [4].
После стабилизации состояния пациента и купирования инфекционных осложнений проводится реконструкция поврежденных участков костей. Процесс этот сложный, многоэтапный и может быть выполнен множеством способов. Хорошо зарекомендовал себя для восполнения костных дефектов дистракционно-компрессионный остеосинтез по Илизарову [5].
Возможно выполнение пластики дефектов плечевой кости аутотрансплантантантом, например из малоберцовой кости [4].
В настоящее время все большее распространение получают технологии с использованием временного импланта, в качестве которого устанавливается цементный спейсер с антибиотиком. После купирования инфекционного процесса вместо утраченного участка кости устанавливается 3D-имплантат, созданный полностью по размерам и форме кости. Он заполняется фрагментами костных тканей пациента, которые берутся из других костей или выращиваются на основе стволовых клеток (техника Masquelet) [6]. Одним из получающих в последнее время направлений стала так называемая Скафолд-технология – культивирование клеток на трехмерных подложках, для последующего использования их для замещения дефектов [7].
Современное лечение боевых повреждений костей конечностей включает в себя последовательность мероприятий, включающих в себя борьбу с шоком, раннюю и надежную иммобилизацию отломков поврежденных сегментов аппаратами наружной фиксации, профилактику инфекционных осложнений и последовательное ортопедическое лечение, а также реабилитационные мероприятия для восстановления опорно-двигательного аппарата пострадавшего [4].
Очень важную составляющую в лечении таких пациентов играет реабилитация. В настоящее время для восстановления функции верхних конечностей все чаще используется экзоскелет «ЭКЗАР34», который изначально был ориентирован на людей с симптомокомплексом верхнего вялого пара-, монопареза конечностей, представляющий собой подвижную систему поддерживающих соединений, которая устанавливается на верхнюю конечность. Движения конечности осуществляются с небольшим усилием, увеличивающим утраченную силу мышц и объема движений за счет системы рычагов и простейших упругих элементов. Конструкция позволяет осуществлять движения с ограниченной амплитудой в трех измерениях [8, 9].
Нам не встретилось ни одного сообщения о применении экзоскелетов в реабилитации пациентов после огнестрельных ранений на фоне комплексного лечения с использованием временных спейсеров плечевой кости. Тем не менее функциональные возможности экзоскелета позволяют осуществлять такую реабилитацию в том числе и при боевых повреждениях [10, 11]. В связи с этим нам представляется весьма актуальным расширение функционала, используемого нами экзоскелета «Экзар34» для реабилитации пациентов с подобными повреждениями.
ЦЕЛЬ РАБОТЫ
Дать оценку первого опыта использования пассивного экзоскелета верхних конечностей «Экзар34» в процессе реабилитации пациентов с огнестрельными повреждениями верхней конечности на фоне применения временного цементного спейсера плечевой кости.
МЕТОДИКА ИССЛЕДОВАНИЯ
Исследование включало клинический осмотр пациента, анализ медицинской документации, рентгенограмм, гониометрию суставов верхней конечности: измерение углов активного и пассивного сгибания и отведения плеча до и после курса реабилитации в экзоскелете «Экзар34».
РЕЗУЛЬТАТЫ ИССЛЕДОВАНИЯ И ИХ ОБСУЖДЕНИЕ
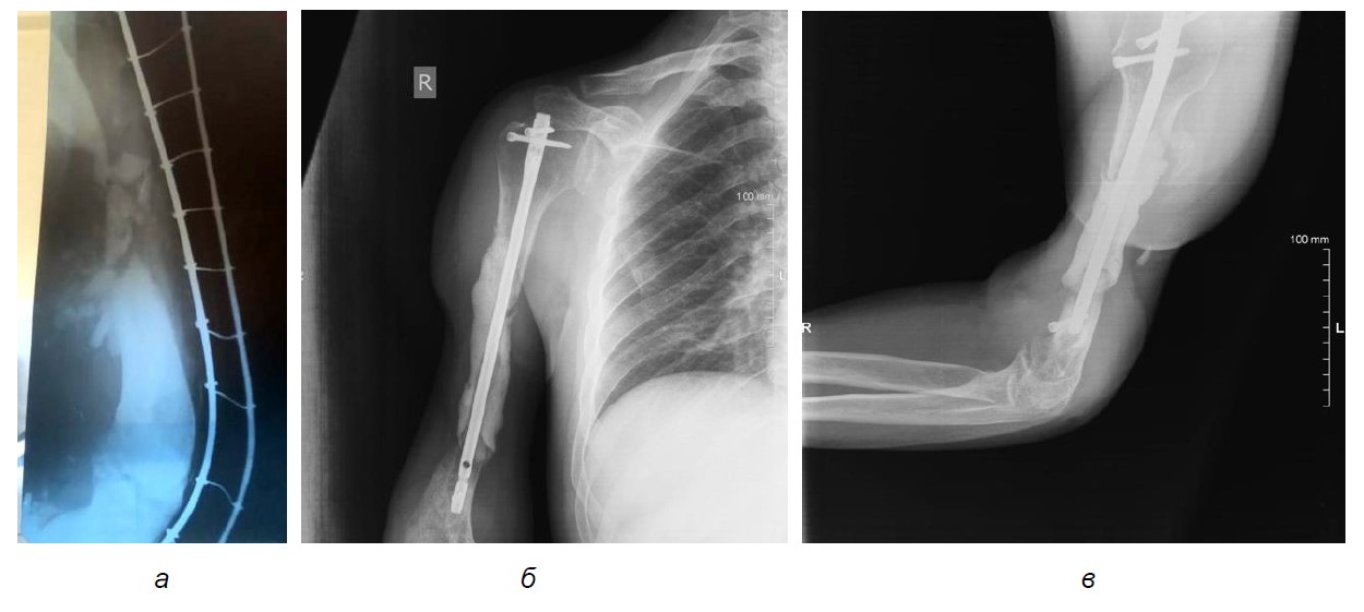
Пациент в результате минно-взрывной травмы получил многооскольчатый открытый перелом средней трети правой плечевой кости с дефектом костной ткани, наличием сквозной раны с размозжением мягких тканей (рис. 1а). Осложнением основного заболевания явилась посттравматическая невропатия правых срединного, лучевого, локтевого нервов с умеренным парезом правой кисти, до глубокого пареза за счет мышц разгибателей кисти с вегетативными нарушениями. Сведения о проведенном лечении представлены на основании выписок, имевшихся у пациента на момент обращения. В день ранения после оказания первичной помощи был доставлен в стационар, где выполнена первичная хирургическая обработка ран, фиксация правого плеча в стержневом аппарате наружной фиксации. Выполнялась вторичная хирургическая обработка ран с иссечением некротизированных тканей.
Рис. 1. Рентгенография правого плеча: а – после ранения, б – после установки спейсера (прямая проекция), в – после установки спейсера (боковая проекция)
После стабилизации состояния в ЦКБ Св. Алексия, митрополита Московского, на двадцатый день после ранения выполнен демонтаж аппарата внешней фиксации, вторичная хирургическая обработка открытого перелома, ревизия лучевого нерва; комбинированный и последовательный остеосинтез правой плечевой кости штифтом с блокированием с рассверливанием; установка цементного антибактериального спейсера (рис. 1б, в). В послеоперационном периоде проводилось лечение с использованием системы вакуумного дренирования. Проводилось несколько этапов вторичной хирургической обработки ран, наложения вторичных швов. Раны зажили с выраженными дефектами мышечной ткани (рис. 2).
Рис. 2. Внешний вид правого плеча после заживления ран
Пациент обратился для проведения реабилитации с помощью экзоскелета «Экзар34». На момент обращения мышечная сила снижена в правой верхней конечности, причем в проксимальных отделах значительнее чем в дистальных. Активное сгибание в плечевом суставе до 55° (рис. 3а). Активное отведение правого плеча в пределах 40 градуса (рис. 3б). Объем движений в правом локтевом суставе – 105–160° (рис. 3б, в). Мышечная сила значительно снижена. Отсутствие активного разгибания кисти и пальцев. Правая кисть «обезьянья». Пассивное отведение и сгибание правой верхней конечности в плечевом суставе, превышающие активные движения, затруднены за счет контрактуры.
Рис. 3. Объем движений в суставах правой верхней конечности до начала реабилитации
Для пациента был изготовлен индивидуальный пассивный экзоскелет «Экзар34».
Использование экзоскелета позволило нивелировать вес верхней конечности пациента, что было использовано для активной разработки движений в суставе и укрепления мышц.
Был проведен курс реабилитации в течение 60 дней. Пациент выполнял комплекс упражнений, рассчитанный на использование экзоскелета, направленных на увеличение объема движений в правом плечевом суставе, а также для укрепления мышц правой верхней конечности. Кроме этого, экзоскелет также использовался пациентом в повседневной жизни.
Уже при первом использовании экзоскелета удалось достигнуть сгибания в правом плечевом суставе до 90° (рис. 4а). Получено отведение правой верхней конечности – около 95° (с учетом движения лопатки) (рис. 4б). Сгибание правого предплечья – до 90° (рис. 4в). Значительно уменьшились боли при движении. Пациент, помимо занятий лечебной физкультурой в экзоскелете, получил возможность абилитационного эффекта, в частности пользоваться поврежденной рукой для выполнения бытовых функций – одевание, гигиеническтие процедуры и приема пищи.
Рис. 4. Объем движений в суставах правой верхней конечности при использовании экзоскелета «Экзар34»
В настоящее время пациент готовится к реконструктивному этапу органосохраняющей операции, после проведения которой экзоскелет будет использован для окончательной реабилитации.
Использование экзоскелета «Экзар34» оказало положительное влияние на функциональное восстановление пациента. Использование экзоскелета позволило в необходимой степени компенсировать вес верхней конечности и тем самым ослабленным вследствие травмы мышцам осуществлять движения с большей амплитудой, постепенно приближаясь к нормальным анатомическим значениям. При этом происходит тренировка сохраненных мышц и их компенсаторная гипертрофия для замещения функции разрушенных мышечных волокон.
Использование экзоскелета на ранних этапах реабилитации позволяет устранить физические препятствия для сохранения и восстановления стереотипа нормальных движений в физиологических пределах.
В свою очередь, длительное ограничение подвижности пораженной конечности приводит как к контрактурам суставов, физически препятствующих увеличению объема движений, так и разрушению стереотипов точных движений ввиду длительной детренированности. Это важно не только для восстановления функции, но и для психологического восстановления пациента, поскольку возможность выполнять нормальные движения влияет на его самооценку и качество жизни.
Данное клиническое наблюдение подчеркивает значимость комплексного подхода к реабилитации пациентов с обширными повреждениями верхних конечностей.
Комбинированный и последовательный остеосинтез, проведение нескольких этапов вторичной хирургической обработки ран, применение системы вакуумного дренирования – все эти меры были применены в лечении пациента.
Использование экзоскелета «Экзар34» стало дополнительным инструментом в реабилитационном процессе, способствующим более эффективному восстановлению функции верхней конечности и подготовке к следующим этапам реконструкции поврежденной конечности.
Использование пассивного экзоскелета верхних конечностей «Экзар34» – это новаторский и многообещающий подход в реабилитации пациентов с огнестрельными повреждениями верхней конечности.
Экзоскелет обладает уникальными возможностями компенсации ограниченной мышечной функции, что способствует ускоренному восстановлению двигательных навыков и повышению функциональности пораженной конечности. Он упрощает выполнение повседневных действий, которые без него были бы труднодостижимыми для пациентов.
Результаты оценки клинического наблюдения показали эффективность применения экзо-скелета «Экзар34» в реабилитации пациента с огнестрельным ранениям плеча, в том числе как важного реабилитационного компонента многоэтапного восстановительного лечения.
ЗАКЛЮЧЕНИЕ
Считаем, что первый опыт использования экзоскелета верхних конечностей «Экзар34» при обширных огнестрельных повреждениях плеча на этапе восстановления с применением временного спейсера плечевой кости является перспективным направлением в реабилитации после огнестрельных ранений. После удаления временного спейсера и проведения реконструкции плечевой кости считаем необходимым дальнейшее использование экзоскелета для лучшей функциональной реабилитации пациента.
С учетом перспективности экзоскелетной реабилитации, предлагаем продолжить исследования и разработки в этой области.
Авторлар туралы
Alexander Vorobyev
Volgograd State Medical University; Federal Center for Support of the Development and Production of Exoprostheses; Volgograd Medical Research Center
Email: cos@volgmed.ru
ORCID iD: 0000-0001-8378-0505
Doctor of Medical Sciences, Professor
Ресей, Volgograd; Volgograd; VolgogradAlexander Barinov
Volgograd State Medical University
Email: acosm@mail.ru
ORCID iD: 0000-0001-6391-7236
Candidate of Medical Sciences
Ресей, VolgogradEkaterina Barinova
Volgograd State Medical University
Хат алмасуға жауапты Автор.
Email: barinovoy@gmail.com
ORCID iD: 0000-0003-3073-0672
Candidate of Medical Sciences
Ресей, VolgogradFedor Andryushchenko
Volgograd Medical Research Center
Email: cos@volgmed.ru
ORCID iD: 0000-0002-6497-1848
Candidate of Medical Sciences
Ресей, VolgogradStanislav Tkachenko
Volgograd State Medical University
Email: cos@volgmed.ru
ORCID iD: 0000-0003-3853-561X
Ресей, Volgograd
Әдебиет тізімі
- Military-field surgery: a textbook. 2nd ed. mod. and exp.; in order. Well. K. Gumanenko. Moscow: GЕOTAR-media, 2008. 768 р. (In Russ.).
- Shapovalov V. M., Khominets V. V. Possibilities of sequential osteosynthesis in the treatment of wounded with gunshot fractures of long limb bones. Genij ortopedii = The genius of orthopedics. 2010; 3:5–12. (In Russ.).
- Nechaev E. A., Gritsanov A. I., Minnullin I. P. et al. Explosive lesions : a guide for doctors and students ; ed. by chl.-corr. RAMS Prof. E. A. Nechaeva. St. Petersburg icf "Folio". 2002. 656 р. (In Russ.).
- Vorobyov A. A., Andryushchenko F. A., Zasypkina O. A., Krivonozhkina P. S. On the methodology for determining anatomically dependent parameters of the exoskeleton of the upper limb EXAR. Volgogradskij nauchno-medicinskij zhurnal = Volgograd Scientific and Medical Journal. 2015;1(45):58–61. (In Russ.).
- Artemyev A. A., Kerimov A. A., Peredonov S. N. et al. Sequential external osteosynthesis of gunshot fractures of limb bones at the stages of medical evacuation. Medicinskij vestnik GVKG im. N. N. Burdenko = Medical Bulletin of the N. N. Burdenko State Medical University. 2023;1:22–30. (In Russ.).
- Korolev S. B., Mitrofanov V. N., Zhivtsov O. P. et al. Clinical, morphological and immunohistochemical characteristics of the induced membrane in chronic focal osteomyelitis of the metaepiphyseal region in an experiment. Sovremennye problemy nauki i obrazovaniya = Modern problems of science and education. 2022;2:91. (In Russ.).
- Davydov D. V., Chirva Yu. V., Brizhan L. K. et al. A promising method of bone tissue restoration in patients with severe osteoregeneration disorders (Experience in the clinical application of scaffold technologies). Politravma = Polytrauma. 2021;1:41–50. (In Russ.).
- Vorobyov A. A., Andryushchenko F. A., Zasyp-kina O. A., Krivonozhkina P. S. On the methodology for determining anatomically dependent parameters of the exoskeleton of the upper limb EXAR. Volgogradskij nauchno-medicinskij zhurnal = Volgograd Scientific and Medical Journal. 2015;1(45):58–61. (In Russ.).
- Vorobyov A. A., Kurushina O. V., Vorobyova Yu. S. et al. Exoskeleton as the basis of a new method of rehabilitation of patients with neuromuscular diseases of the upper extremities. Sbornik proektov konkursa «Vserossijskaya nauchnaya "shkola Medicina molodaya"» = Collection of projects of the «All-Russian Scientific School "Young Medicine"» competition : V. P. Filatov International Foundation for the Development of Biomedical Technologies. Moscow. 2023:152–155. (In Russ.).
- Vorobyov A. A., Donika A.D., Gorelik I. M., Andryushchenko F. A. Rehabilitation of combatants: ethical and medical approaches. Bioetika = Bioethics. 2023; 16(1):39–43. (In Russ.).
- Vorobyov A. A., Barinov A. S., Barinova E. A., Andryushchenko F. A. On the issue of exoskeletal rehabilitation of shoulder-scapular periarthritis after a mine explosion injury to the scapular region. Voprosy rekonstruktivnoĭ i plasticheskoĭ hirurgii = Issues of reconstructive and plastic surgery. 2023;26(3):47–53. (In Russ.).
Қосымша файлдар







