Tongue cancer in a patient with pulmonary tuberculosis. Case report
- Authors: Kulchavenya E.V.1,2, Myshkova E.P.1, Dementieva E.I.1, Baranchukova A.A.2
-
Affiliations:
- Novosibirsk Tuberculosis Research Institute
- Novosibirsk State Medical University
- Issue: Vol 23, No 12 (2021)
- Pages: 982-985
- Section: Articles
- Published: 15.12.2021
- URL: https://consilium.orscience.ru/2075-1753/article/view/100039
- DOI: https://doi.org/10.26442/20751753.2021.12.201288
- ID: 100039
Cite item
Full Text
Abstract
Tuberculosis and malignant neoplasms are a global threat, these diseases claim millions of lives and cause tremendous suffering to people worldwide. Tuberculosis can mask cancer and create preconditions for carcinogenesis. The article presents a clinical case of tongue cancer in a patient with pulmonary tuberculosis. Patient B.N., 45 years old, was admitted to the FSBI “Novosibirsk Tuberculosis Research Institute” with complaints of a "sore place" on the tongue, pain in the right half of the tongue, enlargement of the submandibular lymph nodes on the right The tongue hurts for about 1,5 years, but over the last 2 months, condition has worsened. The patient noticed an increase in the size of lesion on the tongue and increased pain, especially during meals (he can eat only after pain relief, for which he takes Nimesulide 4 pills a day). In recent days, he felt also epigastric pain for which he didn’t visit a doctor. Tongue biopsy was performed, and histological analysis revealed cancer. The patient was diagnosed with fibrous-cavernous tuberculosis of the upper lobe of the right lung, infiltration and seeding phase; mycobacterium tuberculosis (+); broad drug resistance (HRSECmKmPasCsOfl); gastric ulcer (0,5 cm), exacerbation stage; chronic erosive gastritis, exacerbation stage; malignant neoplasm of the floor of the mouth on the right T3(4)N1M1. With this diagnosis, the patient was discharged for further treatment by oncologists. Physicians need to have a high alertness for cancer in patients with tuberculosis, especially those in the high-risk group. A minimum of standard diagnostic procedures will allow you to verify the diagnosis timely.
Full Text
Введение
Туберкулез и злокачественные новообразования – глобальная угроза, эти заболевания уносят миллионы жизней и причиняют огромные страдания людям во всем мире. Развитие микобактериальных инфекций у пациентов с иммунодефицитными состояниями хорошо известно. Клиницистам необходимо знать о разнообразных проявлениях туберкулеза и рака и настороженно относиться к одновременным и/или случаям с сомнительной клинической картиной. Предполагается, но окончательно не доказано, что туберкулезная инфекция, подобно другим хроническим инфекциям и воспалительным состояниям, способствует канцерогенезу [1].
Туберкулез – системное заболевание, поражающее все органы и ткани [2, 3]. Логично предположить единую болезнь, когда у пациента с туберкулезом органов дыхания появляются, скажем, нарушение мочеиспускания и дизурия, которые интерпретируют как урогенитальный туберкулез. Такому предположению способствует отсутствие у туберкулеза внелегочных локализаций патогномоничных симптомов. Туберкулез органов, покрытых слизистой оболочкой, как правило, проявляется изъязвлением; типичные примеры приведены в литературе [4, 5]; рис. 1, 2.
Рис. 1. Туберкулезная язва кончика языка [5].
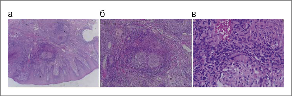
Рис. 2. Гистологическая картина туберкулезной язвы языка: a – слизистая оболочка рта с интенсивным гранулематозным воспалением, ×40; б – эпителиоидные клетки и гигантские клетки Лангханса, ×100; в – наличие совокупности маленьких красных палочек микобактериальных организмов, ×400 [5].
Диагноз легко верифицировать биопсией патологического очага с патоморфологическим и микробиологическим исследованием полученного материала. Однако высокая настороженность в отношении не только туберкулеза, но и злокачественных опухолей заставляет вдумчивого врача при нетипичной картине заподозрить рак, особенно при экзофитном росте образования.
Клинический случай
Приводим клиническое наблюдение развития рака языка у больного туберкулезом легких.
Пациент Б.Н., 45 лет, поступил в ФГБУ «Новосибирский научно-исследовательский институт туберкулеза» Минздрава России 04.10.2021 с жалобами на «болячку» на языке, боль в правой половине языка, увеличение подчелюстных лимфоузлов справа. Боль в языке беспокоит около 1,5 года, но в течение последних 2 мес отметил ухудшение: рост образования на языке и усиление боли, особенно при приеме пищи (может есть только после обезболивания, для чего принимает нимесулид по 4 таблетки в день). В последние дни присоединилась боль в надчревной области. К врачам по этому поводу не обращался.
Anamnesis vitae: курит с восьми лет по пачке сигарет в день. Алкоголь употребляет умеренно, почти не пьет. Употребление наркотиков отрицает. Образование среднее, окончил сельскую школу. В 1994–1996 гг. служил в армии. Находился в местах лишения свободы в 2013–2019 гг. Материально-бытовые условия удовлетворительные. Проживает с матерью в благоустроенной трехкомнатной квартире. Питание регулярное, домашнее. Тесты на ВИЧ отрицательные. В 2005 г. диагностировали сифилис, от лечения отказался.
Anamnesis morbi: туберкулез легких выявлен в 2013 г. в местах лишения свободы. После освобождения встал на диспансерный учет в противотуберкулезный диспансер по месту жительства, прошел курс лечения с хорошим эффектом, в 2014 г. снят с учета. В 2017 г. заболевание рецидивировало. Лечился нерегулярно, поэтому неэффективно, постоянно выделял Mycobacterium tuberculosis (МБТ) с широкой лекарственной устойчивостью (ШЛУ) – практически ко всем противотуберкулезным препаратам. Госпитализирован в ННИИТ с диагнозом: фиброзно-кавернозный туберкулез верхней доли правого легкого, фаза инфильтрации и обсеменения; МБТ (+); ШЛУ (HRSECmKmPasCsOfl) для клапанной бронхоблокации. Внешний вид пациента представлен на рис. 3.
Рис. 3. Полость рта требует санации: а – на переднем отделе языка справа заметна экзофитная опухоль белесого цвета; б – то же в приближении.
Под местной анестезией 06.10.2021 выполнена биопсия нижней поверхности языка справа, взят фрагмент диаметром около 1 см, без осложнений. Патоморфологическое исследование выявило высокодифференцированный плоскоклеточный рак языка (рис. 4).
Рис. 4. Патологическое исследование от 08.10.2021 (образование нижней трети языка). Окраска: гематоксилин–эозин, Циль–Нильсен. В материале фрагменты, представленные солидным ростом атипичных полиморфных эпителиоцитов с гиперхромными разнокалиберными полигональными ядрами, местами содержащих нуклеолы; митозы регулярные, часть из них – патологические. Отмечаются как кератинизация и дискератоз отдельных клеток, так и формирование образований, состоящих из концентрически расположенных слоев опухолевых клеток с ороговением в центре («раковые жемчужины»). В опухолевой массе и по периферии диффузно-рассеянная смешанноклеточная инфильтрация, частые апоптотические тельца. МБТ не найдены.
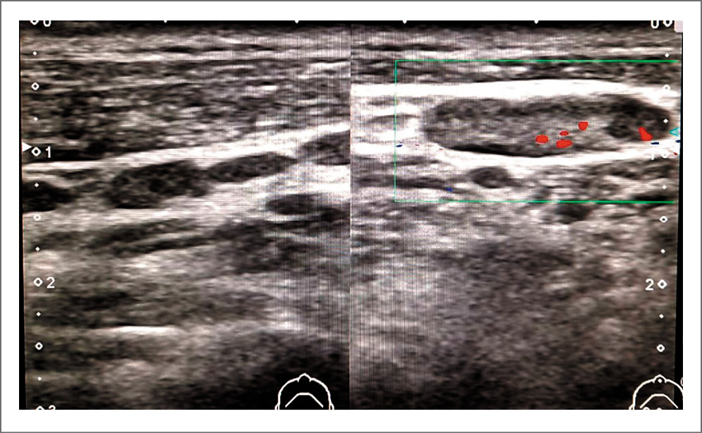
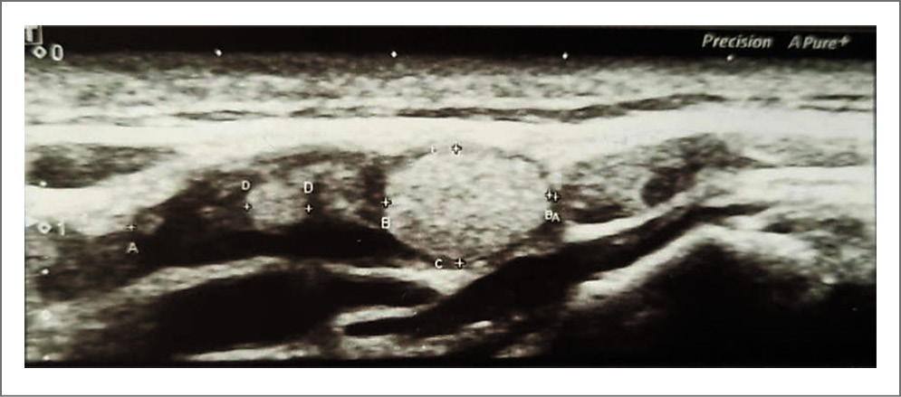
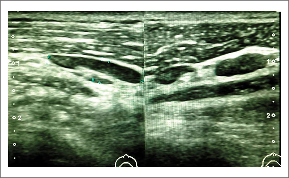
Выполнено ультразвуковое исследование периферических лимфоузлов 08.10.2021; картина представлена на рис. 5–8.
Рис. 5. Лимфоузлы справа: определяются множественные мелкие лимфоузлы с неизмененной структурой. Максимальный продольный размер в поднижнечелюстной области 22 мм. В режиме центрального дуплексного картирования кровоток определяется в виде отдельных цветовых локусов в области ворот лимфоузла.
Рис. 6. Лимфоузлы слева: определяются множественные лимфоузлы с неизмененной структурой по ходу ключично- сосцевидной мышцы и в поднижнечелюстной области с максимальным размером 17,7×4,2 мм.
Рис. 7. Патологический очаг: в правой поднижнечелюстной области медиальнее правой поднижнечелюстной слюнной железы лоцируется гипоэхогенное образование размером 23,8×22,3×20 мм неправильной формы с неровным четким контуром, с неоднородной структурой за счет чередования участков средней и низкой эхогенности. В режиме центрального дуплексного картирования кровоток в патологическом очаге не определяется. За задней стенкой отмечается усиление эхосигнала, определяются боковые акустические тени. На границе поднижнечелюстной железы и патологического очага в паренхиме железы лоцируется расширенный до 5 мм выводной проток.
Рис. 8. Метастаз в лимфоузел. Рядом с патологическим образованием в проекции поднижнечелюстной железы справа лоцируется лимфоузел размером 24,6×8×14 мм с наличием в структуре нескольких гиперэхогенных аваскулярных очагов овоидной формы с четким ровным контуром размером 9,6×6,7 мм. Средостение лимфоузла не дифференцируется.
На фиброгастродуоденоскопии 13.10.2021 обнаружены эрозия слизистой желудка, язва угла желудка, что не удивительно, учитывая длительный прием нестероидных противовоспалительных препаратов в больших дозах. При мультиспиральной компьютерной томографии органов дыхания выявлен фиброзно-кавернозный туберкулез S1–S2 правого легкого с двусторонним тотальным обсеменением, наличием полостей распада в верхней доле левого легкого и наличием кальцинатов в обоих легких. Учитывая прогрессирующее течение туберкулеза легких, 26.10.2021 пациенту выполнена клапанная бронхоблокация, после чего с диагнозом: фиброзно-кавернозный туберкулез верхней доли правого легкого, фаза инфильтрации и обсеменения; МБТ (+); ШЛУ (HRSECmKmPasCsOfl); язвенная болезнь желудка (0,5 см), стадия обострения; хронический эрозивный гастрит, обострение; злокачественное новообразование дна полости рта справа Т3(4)N1M1 больной выписан для продолжения лечения у онкологов.
Дискуссия
В 2020 г. во всем мире зарегистрировано 19,3 млн новых случаев рака и почти 10,0 млн смертей от рака всех локализаций [6]. Ежегодно в мире в целом диагностируют 635 тыс. новых случаев рака полости рта, при этом 145 тыс. больных умирают [7]. Рак полости рта вместе с раком ротоглотки занимает 10-е место среди злокачественных новообразований среди мужчин во всем мире, составляя в Индии 6,5 на 100 тыс. населения, во Франции – 8,0 на 100 тыс. населения [8]. Абсолютное число впервые в жизни установленных диагнозов «опухоль головы и шеи (рак полости рта)» в России в период 2006–2016 гг. среди мужчин возросло на 25% (до 6427 в 2016 г.), среди женщин – на 41% (до 2826 в 2016 г.). Среднегодовой темп прироста составил 3,04% [9]. Высокий уровень смертности при плоскоклеточном раке полости рта связывают с отсутствием специфических биологических маркеров, способных оказать помощь в определении опухолевой прогрессии и прогноза [7].
Плоскоклеточная карцинома ротового (подвижного) языка рассматривается как биологически отличное образование по сравнению с раком, поражающим другие участки ротовой полости. Обычно он связан с более высокой скоростью метастазирования [10], характеризуется чрезвычайно агрессивным биологическим поведением. Пятилетняя выживаемость больных раком языка не превышает 50%; у каждого четвертого заболевание диагностируют в стадии метастазирования [11]. В последние годы увеличивается число молодых больных раком языка [12]; появились сообщения о росте заболеваемости раком ротовой полости у молодых женщин при отсутствии традиционных факторов риска [13].
Рак любой локализации – фактор риска развития активного туберкулеза [14]. Туберкулез и рак – два заболевания, при борьбе с которыми иммунная система хозяина дает сбой. Туберкулез и рак имеют скоординированную стратегию уклонения от иммунитета. Как при туберкулезе, так и при раке первоначальное обнаружение патологических клеток или патогена макрофагами служит решающим шагом, стимулирующим иммунный ответ [15]. Туберкулез является маркером скрытого рака легких и нескольких внелегочных форм рака. Туберкулез прогнозирует повышенный долгосрочный риск рака, возможно, связанный с хроническим воспалением и общими факторами риска, включая иммуносупрессию и курение [16].
В то же время наблюдается возрождение иммунотерапевтических методов лечения рака, наиболее распространенный – БЦЖ-терапия при поверхностном раке слизистой мочевого пузыря [15]. Бацилла Кальметта–Герена, аттенуированный штамм M. bovis, является основой вакцины, названной по имени создателей (Bacillus Calmette–Guirine – BCG, в русской транскрипции БЦЖ), обеспечивающей защиту от туберкулеза и рака [17].
Противоопухолевый эффект инстилляций БЦЖ обусловлен мощной стимуляцией врожденной иммунной системы. Активация нейтрофилов и образование внеклеточных ловушек нейтрофилов способствуют уничтожению опухолевых клеток. Прямая стимуляция макрофагов БЦЖ повышает уровень TNF-α, что может привести к прямому уничтожению опухолевых клеток [15].
Хотя эти два заболевания иммунологически схожи, исследования, проводимые в области туберкулеза и рака, имеют разные направления. Исследования туберкулеза сосредоточены на профилактике, тогда как исследования рака в основном сосредоточены на иммуноопосредованном избавлении от уже установленного заболевания.
В приведенном клиническом наблюдении, с одной стороны, диагностика запоздалая, в стадии метастазирования, с другой стороны, своевременная, в течение недели после обращения к врачу. Коморбидный пациент ранее пренебрег лечением сифилиса; возможно, образование на языке счел также проблемой венерической природы, а терапию таких болезней больной отвергал по принципиальным соображениям. Пациент со сложной судьбой, социально неустроенный, малообразованный; прерывал лечение по поводу туберкулеза, что привело к развитию ШЛУ возбудителя. Больной давно махнул на себя рукой и пришел к врачу, только когда боль в языке стала нестерпимой, препятствующей приему пищи. Врачи сориентировались быстро, выполнили все необходимые манипуляции, установили диагноз. Тем не менее прогноз в данном случае неутешительный.
Заключение
Необходима высокая настороженность в отношении онкологических заболеваний у больных туберкулезом, особенно относящихся к группе повышенного риска. Минимум стандартных диагностических процедур позволит своевременно верифицировать диагноз.
Раскрытие информации. Авторы декларируют отсутствие явных и потенциальных конфликтов интересов, связанных с публикацией настоящей статьи.
Disclosure. The authors declare that they have no competing interests.
Вклад авторов. Авторы декларируют соответствие своего авторства международным критериям ICMJE. Все авторы в равной степени участвовали в подготовке публикации: разработка концепции статьи, получение и анализ фактических данных, написание и редактирование текста статьи, проверка и утверждение текста статьи.
Authors’ contribution. The authors declare the compliance of their authorship according to the international ICMJE criteria. All authors made a substantial contribution to the conception of the work, acquisition, analysis, interpretation of data for the work, drafting and revising the work, final approval of the version to be published and agree to be accountable for all aspects of the work.
Источник финансирования. Авторы декларируют отсутствие внешнего финансирования для проведения исследования и публикации статьи.
Funding source. The authors declare that there is no external funding for the exploration and analysis work.
Информированное согласие на публикацию. Авторы получили письменное согласие законных представителей пациента на анализ и публикацию медицинских данных и фотографий.
Consent for publication. Written consent was obtained from the patient for publication of relevant medical information and all of accompanying images within the manuscript.
About the authors
Ekaterina V. Kulchavenya
Novosibirsk Tuberculosis Research Institute; Novosibirsk State Medical University
Author for correspondence.
Email: urotub@yandex.ru
ORCID iD: 0000-0001-8062-7775
D. Sci. (Med.), Prof.
Russian Federation, Novosibirsk; NovosibirskElena P. Myshkova
Novosibirsk Tuberculosis Research Institute
Email: urotub@yandex.ru
ORCID iD: 0000-0002-3884-938X
Department Head
Russian Federation, NovosibirskEkaterina I. Dementieva
Novosibirsk Tuberculosis Research Institute
Email: urotub@yandex.ru
ORCID iD: 0000-0003-0372-8876
phthisiologist
Russian Federation, NovosibirskAnzhelika A. Baranchukova
Novosibirsk State Medical University
Email: koshka.70@mail.ru
ORCID iD: 0000-0003-4560-1611
Cand. Sci. (Med.)
Russian Federation, NovosibirskReferences
- Falagas ME, Kouranos VD, Athanassa Z, Kopterides P. Tuberculosis and malignancy. QJM. 2010;103(7):461-87. doi: 10.1093/qjmed/hcq068
- Kulchavenya E, Naber K, Bjerklund Johansen TE. Urogenital tuberculosis: classification, diagnosis, and treatment. European Urology Supplement. 2016;15(4):112-21. doi: 10.1016/j.eursup.2016.04.001
- Кульчавеня Е.В., Жукова И.И. Внелегочный туберкулез – вопросов больше, чем ответов. Туберкулез и болезни легких. 2017;95(2):59-63 [Kulchavenya EV, Zhukova II. Extrapulmonary tuberculosis – more questions than answers. Tuberculosis and Lung Disease. 2017;95(2):59-63 (in Russian)]. doi: 10.21292/2075-1230-2017-95-2-59-63
- Fragoso J, Oliveira MM, Gonçalves C, et al. Oral ulcer as presentation of cavitating pulmonary tuberculosis. IDCases. 2020;22:e00976. doi: 10.1016/j.idcr.2020.e00976
- Kim SY, Byun JS, Choi JK, Jung JK. A case report of a tongue ulcer presented as the first sign of occult tuberculosis. BMC Oral Health. 2019;19(1):67. doi: 10.1186/s12903-019-0764-y
- Sung H, Ferlay J, Siegel RL, et al. Global Cancer Statistics 2020: GLOBOCAN Estimates of Incidence and Mortality Worldwide for 36 Cancers in 185 Countries. CA Cancer J Clin. 2021;71(3):209-49. doi: 10.3322/caac.21660
- Spector ME, Bellile E, Amlani L, et al.; University of Michigan Head and Neck SPORE Program. Prognostic Value of Tumor-Infiltrating Lymphocytes in Head and Neck Squamous Cell Carcinoma. JAMA Otolaryngol Head Neck Surg. 2019;145(11):1012-9. doi: 10.1001/jamaoto.2019.2427
- Moore SR, Johnson NW, Pierce AM, Wilson DF. The epidemiology of tongue cancer: a review of global incidence. Oral Dis. 2000;6(2):75-84. doi: 10.1111/j.1601-0825.2000.tb00105.x
- Злокачественные новообразования в России в 2016 году (заболеваемость и смертность). Под ред. А.Д. Каприна, В.В. Старинского, Г.В. Петровой. М.: МНИОИ им. П.А. Герцена – филиал ФГБУ «НМИЦ радиологии» Минздрава России, 2018 [Zlokachestvennye novoobrazovaniia v Rossii v 2016 godu (zabolevaemost' i smertnost'). Pod red. AD Kaprina, VV Starinskogo, GV Petrovoi. Moscow: MNIOI im. P.A. Gertsena – filial FGBU “NMITs radiologii” Minzdrava Rossii, 2018 (in Russian)].
- Bello IO, Soini Y, Salo T. Prognostic evaluation of oral tongue cancer: means, markers and perspectives (II). Oral Oncol. 2010;46(9):636-43. doi: 10.1016/j.oraloncology.2010.06.008
- Mäkinen LK, Hagström J, Mäkitie A, Atula T. Cancer of the tongue – early detection improves the prognosis. Duodecim. 2016;132(22):2063-70.
- Vered M, Dayan D. Tongue cancer: an ongoing problem which needs new therapeutic approaches. Harefuah. 2013;152(6):352-5, 368, 367 (In Hebrew).
- Papageorge MB. Etiology of oral cancer in the young patient: is tongue cancer becoming the other cancer in women? Oral Maxillofac Surg Clin North Am. 2007;19(2):163-71, v. doi: 10.1016/j.coms.2007.01.004
- Nanthanangkul S, Promthet S, Suwanrungruang K, et al. Incidence of and Risk Factors for Tuberculosis among Cancer Patients in Endemic Area: A Regional Cohort Study. Asian Pac J Cancer Prev. 2020;21(9):2715-21. doi: 10.31557/APJCP.2020.21.9.2715
- Bickett TE, Karam SD. Tuberculosis-Cancer Parallels in Immune Response Regulation. Int J Mol Sci. 2020;21(17):6136. doi: 10.3390/ijms21176136
- Simonsen DF, Farkas DK, Søgaard M, et al. Tuberculosis and risk of cancer: a Danish nationwide cohort study. Int J Tuberc Lung Dis. 2014;18(10):1211-9. doi: 10.5588/ijtld.14.0161
- Cocito C, Maes H. Immunological relatedness of the protective mechanisms against tuberculosis and cancer. Eur J Clin Invest. 1998;28(1):1-12. doi: 10.1046/j.1365-2362.1998.00248.x
Supplementary files











