Features of various methods of surgical treatment of kidney cysts
- Authors: Simonov P.A.1, Firsov M.A.1,2, Laletin D.I.1,2, Alekseeva E.A.3,2, Sukhoverkhov A.O.2
-
Affiliations:
- Regional Clinical Hospital
- Voyno-Yasenetsky Krasnoyarsk State Medical University
- Regional Clinical Hospital, Krasnoyarsk
- Issue: Vol 24, No 7 (2022)
- Pages: 456-460
- Section: Article
- Published: 15.07.2022
- URL: https://consilium.orscience.ru/2075-1753/article/view/106657
- DOI: https://doi.org/10.26442/20751753.2022.7.201784
- ID: 106657
Cite item
Full Text
Abstract
Background. According to foreign and domestic authors, a kidney cyst is one of the most common urological diseases and accounts for up to 20–50%.
Aim. To evaluate the results of various methods of surgical treatment of patients with kidney cysts.
Materials and methods. An analysis was made of 124 case histories of patients who underwent inpatient treatment for symptomatic kidney cysts at the urology department of the Regional Clinical Hospital for the period 2016 to 2019. Also, an analysis of 50 case histories of patients who were hospitalized with the same diagnosis on the basis of the urological department of the emergency hospital for the same period.
Results. Puncture methods of treatment were used only in patients whose cysts radiologically corresponded to categories I and II according to Bosniak. On the basis of the urological department of the emergency hospital, 50 people were operated on in this way, of which 22 (44%) women and 28 (56%) men. The mean age of the patients was 58.2±5 years. Punctures of cysts with evacuation of contents without sclerotherapy – 3 (6%) cases, and puncture of cysts with sclerotherapy with 96% ethyl alcohol – 47 (94%) cases. The average age of patients who underwent surgery in the regional hospital was 56.6±12 years. According to MSCT, cysts of category I according to Bosniak were diagnosed in 96 patients (77.4%), category II in 11 (8.9%), category IIF in 11 patients (8.9%), category III in 6 (4.8%). Laparoscopic excision of the cyst wall was performed in most cases – 109 (88%), laparoscopic nephrectomy was performed in 1 case (0.8%), laparoscopic nephrectomy in 10 (8%) cases, retroperitoneoscopic excision of the cyst wall – 1 (0.8%), open intervention by lumbotomy access – 3 (2.4%), of which nephrectomy was performed in two patients, one patient underwent kidney resection.
Conclusion. Surgical treatment of symptomatic kidney cysts was justified and necessary, as evidenced by the relief of symptoms and verification of cysts suspicious in terms of the likelihood of oncological pathology. Puncture methods of drainage and sclerotherapy are less radical, but justified in patients with high surgical risk. Excision of a cyst or resection of a kidney by laparoscopic access is an effective method of treatment that meets modern safety requirements for treatment.
Full Text
Введение
Киста почки – это аномалия структуры почки, распространенная урологическая патология, характеризующаяся образованием в почке одной или нескольких замкнутых полостей, ограниченных соединительнотканной капсулой и содержащих серозную жидкость. В общей популяции кисты почек распространены до 20–50% [1, 2]. Простые кисты почек чаще всего протекают бессимптомно и зачастую выявляются случайно при ультразвуковом исследовании, проведенном по другим причинам. Считается, что частота встречаемости данной патологии увеличивается с возрастом. Так, при скрининговом ультразвуковом исследовании у пациентов в возрасте 30–49, 50–70 и старше 70 лет их выявляли с частотой 1,7, 11,5 и 22,1% соответственно [3], а при выполнении компьютерной томографии (КТ) среди пациентов 17–39, 40–59, 60–80 и старше 80 лет – с частотой 8,2, 27,5, 49 и 60,6% соответственно [4]. Клинически кисты почек зачастую проявляются болевым синдромом, дискомфортом, ощущением инородного тела в поясничной области, нефрогенной артериальной гипертензией, нарушением уродинамики верхних мочевых путей, гематурией, нарушением функции почек, инфекциями мочевыводящих путей [5, 6]. Кисты почек обладают тенденцией к росту, по данным литературы, средняя скорость роста составляет около 1,6 мм (5%) в год, в среднем простые кисты почек вырастают в 2 раза за 10 лет [7]. На сегодняшний день все большую распространенность получает эндоскопическое иссечение стенки кисты почки, которое в отличие от перкутанных пункционных методов дает возможность провести гистологическое исследование ткани.
Американский радиолог M. Bosniak в 1986 г. опубликовал статью в журнале «Radiology», в которой предложил классификацию кистозных поражений почек и тактику дальнейшего ведения пациентов с данной патологией, основанные на результатах КТ с применением внутривенного контрастного усиления [8]. Очередная версия классификации М. Bosniak вышла в 2019 г., как и прежде, она включает в себя 5 категорий. Основной ее задачей является оценка риска малигнизации кист почек с усовершенствованием критериев определения для каждой из категорий.
Развитие ультразвуковых методов исследования способствовало ранней диагностике кист почек. Пункция кисты почки под контролем ультразвукового наведения – это малоинвазивное оперативное вмешательство, выполняемое в большинстве урологических отделений. Однако отсутствие возможности получения материала для гистологического исследования, а также высокая частота рецидивирования, которая, по данным ряда авторов, варьирует от 12,5 до 33% [9] при использовании склерозирующих растворов и до 90% при простой пункции [10], привели к развитию направления эндоскопических операций при кистозных заболеваниях почек. Впервые описание лапароскопического иссечения стенки симптоматических кист почек, преимуществ и недостатков метода представлено J. Hulbert в 1992 г. В настоящее время, по данным отечественных и зарубежных клинических исследований, самым эффективным методом лечения кист почек является лапароскопическое иссечение кисты [11]. Однако, несмотря на высокую эффективность, урологическое сообщество со скепсисом воспринимает данный метод лечения, учитывая его высокую инвазивность, необходимость применения эндотрахеального наркоза, что не всегда возможно провести у пациентов с сопутствующей, например, сердечной или бронхолегочной патологией. По этой причине дальнейшее накопление опыта и изучение эффективности, а также профиля безопасности данного вмешательства представляются актуальными задачами.
Цель исследования – оценить результаты различных методов хирургического лечения пациентов с кистами почек.
Материалы и методы
Проведен анализ 124 историй болезни пациентов, которые находились на стационарном лечении по поводу симптоматических кист почек на базе урологического отделения КГБУЗ «Красноярская краевая клиническая больница», где применяют различные методы оперативного лечения почечных кист, за период с 2016 по 2019 г., а также анализ 50 историй болезни пациентов, находившихся на стационарном лечении в урологическом отделении КГБУЗ «КМКБСМП им. Н.С. Карповича» с таким же диагнозом в этот же период, которым проводили лечение исключительно перкутанными методами дренирования кист. Все анализируемые пациенты обращались с симптоматическими проявлениями в виде дискомфортных и болезненных ощущений в поясничной области. Всем пациентам проведено комплексное клинико-инструментальное обследование, включавшее мультиспиральную КТ почек с контрастированием или магнитно-резонансную томографию при сниженном индексе скорости клубочковой фильтрации. Для оценки вероятности наличия сопутствующих злокачественных новообразований в кисте использована классификация почечных кист Bosniak (2019 г.).
Пункционные методики лечения использовались лишь у пациентов, чьи кисты рентгенологически соответствовали I и II категории по Bosniak.
На базе урологического отделения КГБУЗ «КМКБСМП им. Н.С. Карповича», таким образом, прооперированы 50 человек, из них 22 (44%) женщины и 28 (56%) мужчин. Средний возраст пациентов составил 58,2±5 лет. Оперативное лечение выполнено справа у 19 (38%) человек, слева – у 31 (62%) человека. Пункции кист с эвакуацией содержимого без проведения склеротерапии – 3 (6%) случая, со склеротерапией 96% этиловым спиртом – 47 (94%) случаев.
При ретроспективном анализе пациентов урологического отделения КГБУЗ «Красноярская краевая клиническая больница», в лечении которых применялись иные методики оперативного лечения кист почек, отмечен средний возраст 56,6±12 лет. Чаще оперативное вмешательство выполнялось женщинам – 64,5%. Правостороннее поражение зафиксировано у 32 (25,8%) больных, левостороннее – у 40 (32,3%), кисты почек с обеих сторон отмечены у 52 (41,9%) пациентов. При двустороннем поражении выбор стороны оперативного вмешательства направлен на устранение превалирующей симптоматики. Оперативное лечение слева выполнено в 63 (50,8%) случаях, справа – в 61 (49,2%) случае.
Наиболее часто оперативному вмешательству подвергались пациенты с кистами верхнего полюса почки – 43,5%, кисты среднего сегмента и нижнего полюса оперированы в 29,8 и 33% соответственно. Количество пациентов с парапельвикальными кистами составляло 17,7%. Кисты категории I отмечены в 96 (77,4%) случаях, категории II – 11 (8,9%), категории IIF – 11 (8,9%), категории III – 6 (4,8%). Средний размер кист составил 62,76±12,5 мм.
Лапароскопическое иссечение стенки кисты выполнено в большинстве случаев – 109 (88%), лапароскопическая нефрэктомия – 1 (0,8%), лапароскопическая резекция почки – 10 (8%), ретроперитонеоскопическое иссечение стенки кисты – 1 (0,8%), открытое вмешательство люмботомическим доступом – в 3 (2,4%) случаях, из них нефрэктомия выполнена 2 пациентам, 1 больному проведена резекция почки. Серьезных осложнений при хирургическом вмешательстве не отмечалось. В раннем послеоперационном периоде по данным ультразвукового исследования зафиксировано 6 случаев развития гематом. В связи с нарастанием гематомы в динамике 1 пациенту потребовалось повторное оперативное вмешательство.
Результаты
Применяемые методы пункционного лечения и цитологическое заключение отражены в табл. 1. Средняя длительность госпитализации составила 4,2±0,3 койко-дня. Все пациенты выписаны в удовлетворительном состоянии с полным купированием превалирующей симптоматики. При цитологическом исследовании содержимого кист, полученного пункционным методом, атипических клеток, подозрительных в плане онкологического процесса, не выявлено. При контрольном ультразвуковом исследовании через 12 мес после пункционного лечения почечных кист без склеротерапии рецидив наступил у всех 3 (100%) больных. После дренирования с длительной экспозицией 96% этилового спирта (10–20 мин) рецидив отмечен у 1 (2,12%) пациента.
Таблица 1. Применяемые методы пункционного лечения кист почек и цитологическое заключение содержимого кист почек, n (%) | ||
Оперативное лечение Критерии | Пункции кист без проведения склеротерапии | Пункция кист со склеротерапией 96% этиловым спиртом |
Количество (n=50) | 3 (6) | 47 (94) |
Выявление атипических клеток при цитологическом исследовании содержимого кист | 0 (0) | 0 (0) |
Частота встречаемости рецидива по данным УЗИ через 12 мес | 3 (100) | 1 (2) |
Другие применяемые методы оперативного лечения и гистологическое заключение при различных категориях кист отражены в табл. 2.
Таблица 2. Применяемые методы оперативного лечения и гистологическое заключение при различных категориях кист | ||||
Категории кист Оперативное лечение | I (n=96) | II (n=11) | IIF (n=11) | III (n=6) |
Лапароскопическое иссечение стенки кисты | 96 | 10 | 4 | 1 |
Лапароскопическая резекция | 0 | 0 | 5 | 4 |
Лапароскопическая нефрэктомия | 0 | 0 | 0 | 1 |
Люмботомическая резекция | 0 | 0 | 1 | 0 |
Люмботомическая нефрэктомия | 0 | 1 | 1 | 0 |
Гистологически доброкачественное образование, n (%) | 96 (100) | 11 (100) | 7 (63,6) | 2 (33,3) |
Выявление почечно-клеточного рака, n (%) | 0 | 0 | 4 (36,4) | 4 (66,7) |
Средняя продолжительность операции – 69,3 мин (15–240 мин). Рецидив после эндоскопического иссечения стенки кисты отмечен лишь в 2 (1,6%) случаях. Страховой дренаж удален на 2-е сутки (от 1 до 4 сут). Все пациенты выписаны в удовлетворительном состоянии с полным купированием превалирующей симптоматики.
По результатам гистологического исследования почечно- клеточный рак диагностирован у 8 (6,4%) пациентов, половина из которых соответствовали критериям наличия кист III категории и столько же – кист категории IIF.
Лапароскопическая резекция почки выполнена 5 пациентам, из них 3 случая соответствовали категории III, 2 случая – категории IIF. Лапароскопическая нефрэктомия и люмботомическая (открытая) резекция выполнялись в 1 случае.
Обсуждение
Подход к ведению пациентов с кистозными образованиями почек за 35 лет с момента первой публикации классификации M. Bosniak изменялся. Оценка риска малигнизации кист почек и возможность прогнозирования течения заболевания, а также устранение симптомов являются основополагающими критериями для принятия решения о необходимости оперативного лечения для каждого пациента.
Некоторые авторы представляют результаты, согласно которым частота малигнизации для кист категории I по классификации Bosniak составляет меньше 1%, категории II – меньше 3% и категории IIF – 5% [12]. Другие авторы отмечают малигнизацию в 25% кист категории IIF и в 54,2% кист категории III [13]. Другие литературные данные отмечают более высокую частоту малигнизации кист категории IIF – до 15,1% [14]. На основании полученных нами данных риск малигнизации кист категории IIF может достигать 36,4% и категории III – 66,7%.
Метод оперативного лечения почечных кист путем пункции и аспирации содержимого практически лишен осложнений, рецидивирование кист отмечено в 10,26% случаев. Атипических клеток не выявлено ни в одном наблюдении. Описан 1 клинический случай, в котором после дренирования кисты размером более 11 см возникло нагноение, что потребовало ревизии почки, резекции купола кисты [15].
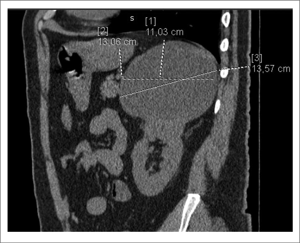
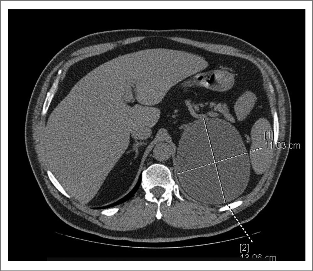
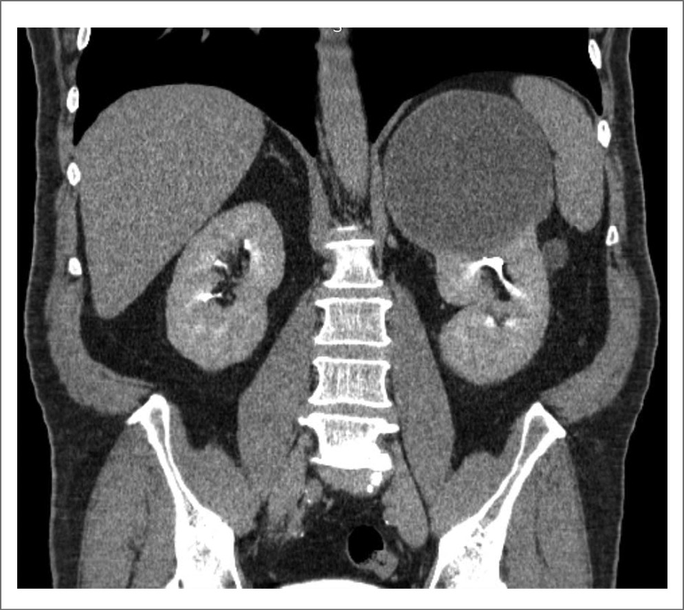
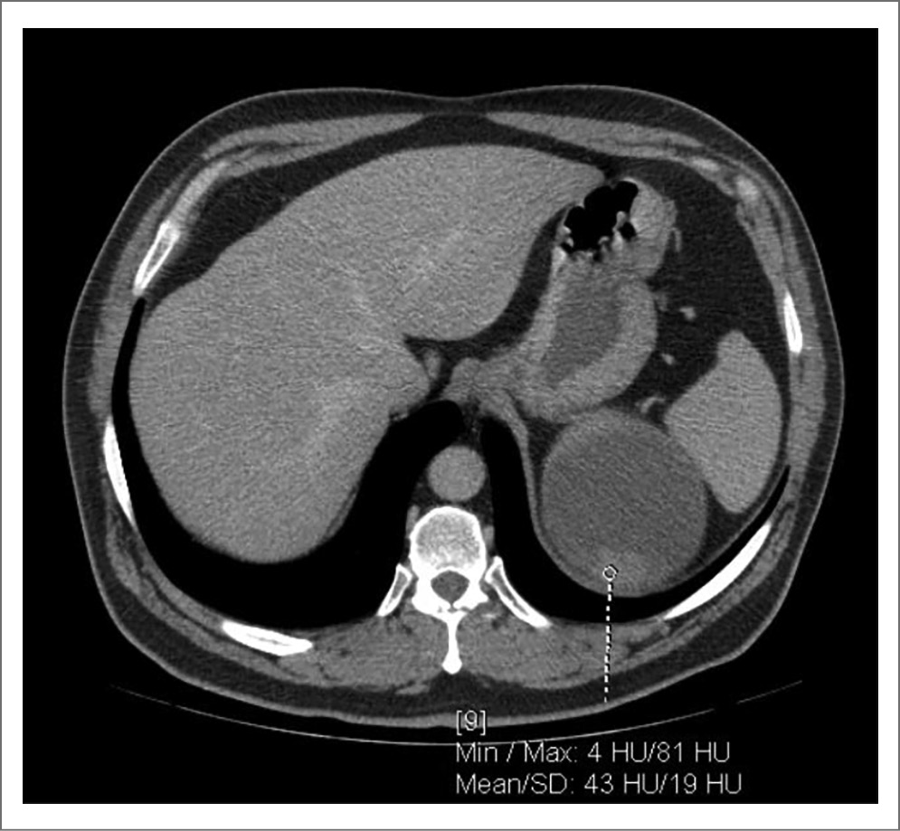
Стоит отметить клинический случай пациента из нашего исследования с кистой почки категории IIF диаметром до 131 мм в верхнем сегменте с тонкой капсулой и наличием пристеночного мягкотканного компонента, не накапливающего контраст. На рис. 1–4 представлены снимки мультиспиральной КТ пациента до операции с внутривенным контрастированием в различных срезах с демонстрационными измерениями. Выполнено оперативное вмешательство – лапароскопическое иссечение стенки кисты. В ходе операции после вскрытия стенки образования эвакуировано до 650 мл коричневой жидкости с желто-коричневыми хлопьями. При получении гистологического заключения верифицирован почечно-клеточный рак, проведена радикальная нефрэктомия в отсроченном порядке. Морфологическое исследование удаленной почки после повторного оперативного вмешательства подтвердило диагноз папиллярной карциномы, тип 2, G2 по Fuhrman. Т3N0M-R0.
Рис. 1. Киста левой почки. Аксиальный срез. Нанесены измерения в максимальном размере образования.
Рис. 2. Киста левой почки. Сагиттальный срез. Нанесены измерения в максимальном размере образования.
Рис. 3. Киста левой почки. Плотность образования и накопление контрастного вещества в ангиофазу.
Рис. 4. Киста левой почки. Коронарный срез. Экскреторная фаза.
Заключение
Хирургическое лечение симптоматических кист почек является обоснованным и необходимым, что подтверждается купированием симптоматики и верификацией кист, подозрительных в плане вероятности онкологической патологии.
Пункционные методы дренирования и склеротерапии менее радикальны по сравнению с иными методами оперативного лечения, а также при пункции парапельвикальных кист представляют риск повреждения чашечно- лоханочной системы почки и требуют от оператора опыта использования ультразвукового исследования. В то же время этот вид лечения оправдан у пациентов пожилого и старческого возраста с высоким операционным риском. Иссечение кисты или резекция почки лапароскопическим доступом является наиболее эффективным методом лечения с сопоставимым уровнем вероятности рецидива, отвечающим современным требованиям безопасности лечения. Неоспоримым преимуществом метода является возможность проведения гистологического исследования тканей стенок кист с обеспечением высокого уровня удовлетворенности пациента, избавляя пациента от клинических симптомов, а потому его можно считать предпочтительным.
Раскрытие интересов. Авторы декларируют отсутствие явных и потенциальных конфликтов интересов, связанных с публикацией настоящей статьи.
Disclosure of interest. The authors declare that they have no competing interests.
Вклад авторов. Авторы декларируют соответствие своего авторства международным критериям ICMJE. Все авторы в равной степени участвовали в подготовке публикации: разработка концепции статьи, получение и анализ фактических данных, написание и редактирование текста статьи, проверка и утверждение текста статьи.
Authors’ contribution. The authors declare the compliance of their authorship according to the international ICMJE criteria. All authors made a substantial contribution to the conception of the work, acquisition, analysis, interpretation of data for the work, drafting and revising the work, final approval of the version to be published and agree to be accountable for all aspects of the work.
Источник финансирования. Авторы декларируют отсутствие внешнего финансирования для проведения исследования и публикации статьи.
Funding source. The author declares that there is no external funding for the exploration and analysis work.
Информированное согласие на публикацию. Пациент подписал форму добровольного информированного согласия на публикацию медицинской информации.
Consent for publication. Written consent was obtained from the patient for publication of relevant medical information and all of accompanying images within the manuscript.
About the authors
Pavel A. Simonov
Regional Clinical Hospital
Author for correspondence.
Email: wildsnejok@mail.ru
ORCID iD: 0000-0002-9114-3052
urologist, Regional Clinical Hospital
Russian Federation, KrasnoyarskMikhail A. Firsov
Regional Clinical Hospital; Voyno-Yasenetsky Krasnoyarsk State Medical University
Email: firsma@mail.ru
ORCID iD: 0000-0002-0887-0081
Cand. Sci. (Med.)
Russian Federation, Krasnoyarsk; KrasnoyarskDmitrii I. Laletin
Regional Clinical Hospital; Voyno-Yasenetsky Krasnoyarsk State Medical University
Email: Sloth-doc@yandex.ru
ORCID iD: 0000-0002-1720-075X
Assistant
Russian Federation, Krasnoyarsk; KrasnoyarskEkaterina A. Alekseeva
Regional Clinical Hospital, Krasnoyarsk; Voyno-Yasenetsky Krasnoyarsk State Medical University
Email: vohminak@mail.ru
Cand. Sci. (Med.)
Russian Federation, Krasnoyarsk; KrasnoyarskAndrei O. Sukhoverkhov
Voyno-Yasenetsky Krasnoyarsk State Medical University
Email: sukhoverkhov1964@mail.ru
Cand. Sci. (Med.)
Russian Federation, KrasnoyarskReferences
- Bas O, Nalbant I, Can Sener N, et al. Management of Renal Cysts. JSLS. 2015;19(1):e2014.00097. doi: 10.4293/JSLS.2014.00097
- Skolarikos A, Laguna MP, de la Rosette JJ. Conservative and radiological management of simple renal cysts: a comprehensive review. BJU Int. 2012;110(2):170-8. doi: 10.1111/j.1464-410X.2011.10847.x
- Ravine D, Gibson RN, Donlan J, Sheffield LJ. An ultrasound renal cyst prevalence survey: specificity data for inherited renal cystic diseases. Am J Kidney Dis. 1993;22(6):803-7. DOI:10.1016/ s0272-6386(12)70338-4
- Carrim ZI, Murchison JT. The prevalence of simple renal and hepatic cysts detected by spiral computed tomography. Clin Radiol. 2003;58(8):626-9. doi: 10.1016/s0009-9260(03)00165-x
- Agarwal MM, Hemal AK. Surgical Management of Renal Cystic Disease. Curr Urol Rep. 2011;12(1):3-10. doi: 10.1007/s11934-010-0152-2
- Mohsen T, Gomha MA. Treatment of symptomatic simple renal cysts by percutaneous aspiration and ethanol sclerotherapy. BJU Int. 2005;96(9):1369-72. doi: 10.1111/j.1464-410X.2005.05851.x
- Dalton D, Neiman H, Grayhack JT. The Natural History of Simple Renal Cysts: A Preliminary Study. J Urol. 1986;135(5):905-8. doi: 10.1016/S0022-5347(17)45919-2
- Bosniak MA. The current radiological approach to renal cysts. Radiology. 1986;158(1):1-10. doi: 10.1148/radiology.158.1.3510019
- Зенков С.С., Захматов Ю.М., Трофимов К.С. Чрескожное пункционное лечение простых кист почек. Российский медицинский журнал. 2003;1:37-40 [Zenkov SS, Zakhmatov YuM, Trofimov KS. Percutaneous puncture treatment of simple kidney cysts. Russian Medical Journal. 2003;1:37-40 (in Russian)].
- Игнашин Н.С. Ультрасонография в диагностике и лечении урологических заболеваний. М.: Видар, 1997 [Ignashin NS. Ul'trasonografiia v diagnostike i lechenii urologicheskikh zabolevanii. Moscow: Vidar, 1997 (in Russian)].
- Лопаткин Н.А., Фидоров Ф.Б., Мартов А.Г. Лапароскопическая резекция простых кист почек. Урология и нефрология. 1999;2:23-5 [Lopatkin NA, Fidorov FB, Martov AG. Laparoscopic resection of simple cysts of the kidney. Urology and Nephrology. 1999;2:23-5 (in Russian)].
- Whelan TF. Guidelines on the management of renal cyst disease. Can Urol Assoc J. 2010;4(2):98-9. doi: 10.5489/cuaj.10023
- Smith AD, Remer EM, Cox KL, et al. Bosniak Category IIF and III Cystic Renal Lesions: Outcomes and Associations. Radiology. 2012;262(1):152-60. doi: 10.1148/radiol.11110888
- Даренков С.П., Проскоков И.А., Агабекян А.А., Трофимов И.А. Частота малигнизации кист почек категорий 1, 2, 2F по классификации BOSNIAK в мультилокулярный кистозный почечно-клеточный рак. Урология. 2018;3:111-5 [Darenkov SP, Proskokov IA, Agabekian AA, Trofimov IA. The incidence of malignant transformation of renal cysts of category 1, 2, and 2F by the BOSNIAK classification into multilocular cystic renal cell carcinoma. Urologiia. 2018;3:111-5 (in Russian)]. doi: 10.18565/urology.2018.3.111-115
- Маркосян Т.Г. Диагностика и лечение жидкостных образований почек. Автореф. дис. … канд. мед. наук. М., 2006 [Markosyan TG. Diagnosis and treatment of liquid kidney formations. Avtoref. dis. … kand. med. nauk. Moscow, 2008 (in Russian)].
Supplementary files







