Interview with Dmitry B. Giller
- Issue: Vol 24, No 3 (2022)
- Pages: 147-149
- Section: Articles
- Published: 19.03.2022
- URL: https://consilium.orscience.ru/2075-1753/article/view/108051
- DOI: https://doi.org/10.26442/20751753.2022.3.201530
- ID: 108051
Cite item
Full Text
Abstract
-
Full Text
– Дмитрий Борисович, здравствуйте! Спасибо, что согласились на встречу! 24 марта отмечается Всемирный день борьбы с туберкулезом. Поэтому мы хотели бы поздравить Вас с профессиональным праздником.
– Большое спасибо за поздравление! В свою очередь я также хочу поздравить своих коллег – фтизиопульмонологов и торакальных хирургов – с этим праздником. Борьба с туберкулезом – дело нелегкое, но я уверен, что совместными усилиями мы сможем улучшить эпидемиологическую ситуацию в России.
– Дмитрий Борисович, какова сейчас эпидемиологическая ситуация по туберкулезу в мире?
– Несмотря на все старания врачей, ситуация остается достаточно тревожной. Так, согласно Глобальному докладу по борьбе с туберкулезом от 2020 г. (в конце 2019 г. – прим. ред.), во всем мире определялось 7,1 млн новых случаев инфицирования туберкулезом. Это больше чем в 2018 г. Причем количество новых случаев растет каждый год. Я слежу за данными ВОЗ с 2015 г., и если представить данные на графике, то в течение 5 лет мы видим только рост новых случаев инфицирования во всем мире (рис. 1).
Рис. 1. Количество новых случаев туберкулеза в мире, по данным ВОЗ [1].
– Но в 2020 г. мы видим спад, не говорит ли это об улучшении эпидемиологической обстановки?
– Действительно, в 2020 г. число зарегистрированных в мире новых случаев инфицирования туберкулезом составило в среднем 6,2 млн [2]. Но я бы не стал говорить о том, что это означает колоссальное улучшение эпидобстановки. В конце 2019 г. зафиксирована вспышка SARS-CoV-2. Пандемия COVID-19 внесла свои корректировки в нашу жизнь. Пандемия отрицательно повлияла на работу фтизиатрических служб по всему миру. В частности, снизился потенциал системы здравоохранения по предоставлению своих услуг в борьбе с туберкулезом. Также сильно повлияли самоизоляция и запрет на посещение медицинских учреждений без необходимости.
– Скажите, по Вашему мнению, в России ситуация, схожая с мировой?
– Увы, но да. Конечно, в последние годы ситуация несколько стабилизировалась. Однако COVID-19 тоже повлиял на работу фтизиатрической службы в Российской Федерации. Поэтому я бы советовал с осторожностью относиться к статистическим «успехам». Думаю, что мы должны адекватно подходить к оценке полученных данных. Конечно, мне бы тоже очень хотелось, чтобы заболеваемость туберкулезом в нашей стране была минимальной. Однако призываю коллег подходить «с холодной головой» к интерпретации полученных данных.
– Но так хочется верить в то, что мы переломили ситуацию с туберкулезом в нашей стране. Ведь мы долгое время пытаемся побороть эту инфекцию.
– Я абсолютно согласен с Вами. Позвольте немного окунуться в историю медицины. Как известно, 24 марта 1882 г. – день, когда Роберт Кох объявил об открытии Mycobacterium tuberculosis. По этой причине 24 марта мы отмечаем день борьбы с туберкулезом. Так вот, именно открытие Коха поделило борьбу врачей с туберкулезом на до и после. К слову, термин «фтизиатрия» пошел от древнегреческого phthisis – угасание, увядание (рис. 2). А «туберкулез» вошел в лексикон врачей только во 2-й половине XIX в.
Рис. 2. Угасание. Композиционная фотография Генри Пича Робинсона (1858 г.). Девушка, прикованная к постели, умирает от чахотки.
– В Российской империи до «туберкулеза» использовали термин «чахотка», верно?
– Да, это так, но и в Российской империи с начала XX в. активно используется термин «туберкулез». Я хотел бы рассказать, как диагностировали и лечили туберкулез в России до XVIII в. Во-первых, диагноз «туберкулез» ставили пациентам только с открытой формой. Во-вторых, высокоточных методов диагностики, конечно, в то время не существовало: компьютерная томография (КТ) и рентген появились сильно позже. При диагностике заболевания опирались только на аускультативные данные – амфорическое дыхание. Также частой жалобой пациентов с туберкулезом являлось кровохарканье. Как писали врачи тех времен, «пациент чахнет». После открытия Роберта Коха арсенал врачей пополнился лабораторным методом – с помощью светового микроскопа стало возможным увидеть палочку Коха в мокроте больного. До появления антибиотиков лечение было неспецифичным: в основном общеукрепляющим. Пациенту назначали отдых и покой, смену климата, питательную высококалорийную пищу – на этом по большому счету лечение заканчивалось. Если попытаться составить статистику того времени, то около 50% пациентов умирали, 25% страдали хронической формой, а остальные 25% выздоравливали. Как видите, туберкулез всегда являлся тяжелой, высококонтагиозной болезнью.
– Но в современном мире у врачей есть целый арсенал антибактериальных средств. Однако ВОЗ говорит нам, что туберкулез – это вторая по значимости инфекционная причина смерти после COVID-19 [3]. То есть туберкулез так же опасен, как и раньше. С чем это может быть связано?
– На мой взгляд, основная причина – МЛУ-ТБ и ШЛУ-ТБ (туберкулез с множественной лекарственной устойчивостью и туберкулез с широкой лекарственной устойчивостью – прим. ред.). К сожалению, антибиотикотерапия не всегда эффективна, и тогда очень важно своевременно применить хирургические методы лечения.
– Дмитрий Борисович, но ведь хирургическое лечение рассматривается как серьезное вмешательство в организм человека. Врачебным сообществом переход к этому методу лечения традиционно рассматривается как нежелательный.
– Это правда. Вообще могу сказать, что нередко нет должного взаимопонимания между врачами-фтизиатрами и торакальными хирургами. Я часто слышу от коллег такую позицию: к хирургии прибегать не стоит, и если пациент в итоге оказался у торакального хирурга, то это результат плохо проведенной химиотерапии. Но это ведь не так! Есть случаи, когда даже верно проведенная химиотерапия не приводит к улучшению состояния пациента. Состояние больного продолжает ухудшаться, и в итоге развивается, например, тяжелый фиброзно-кавернозный туберкулез (ФКТ).
Хочу пояснить свою позицию: я не против применения антибиотиков в лечении туберкулеза. Я за то, чтобы вовремя понять, что они не работают, и задуматься о смене тактики лечения!
– Это очень мудрая мысль! Но все же складывается ощущение, что Вы рассуждаете больше как хирург.
– Я понимаю, о чем Вы говорите. Но я могу доказать свою точку зрения. Приведу небольшую статистику лечения лекарственно-устойчивого туберкулеза легких на нашей базе НИИФП ФГАОУ ВО «Первый МГМУ им. И.М. Сеченова» (Сеченовский Университет) с 2011 по 2017 г. В основном это пациенты с разным типом лекарственной устойчивости (табл. 1). Почти у 70% всех больных – ФКТ (рис. 3), у 25% – туберкулема (рис. 4). Особую опасность представляет казеозная пневмония, так как без оперативного вмешательства смертность может достигать 99% (рис. 5).
Таблица 1. Характеристика лекарственной устойчивости оперированных больных туберкулезом легких на базе НИИФП ФГАОУ ВО «Первый МГМУ им. И.М. Сеченова» (Сеченовский Университет) с 2011 по 2017 г. | |
Число пациентов | |
ШЛУ | 311 |
МЛУ | 489 |
ПолиЛУ | 107 |
МоноЛУ | 97 |
ЛУ нет | 255 |
ЛУ неизвестна | 659 |
Всего | 1918 |
Примечание. ЛУ – лекарственная устойчивость. | |
Рис. 3. ФКТ: а – на КТ органов грудной клетки; b – на макропрепарате.
Рис. 4. Туберкулема с распадом легкого: а – на КТ органов грудной клетки; b – на макропрепарате.
Рис. 5. Казеозная пневмония: а – на КТ органов грудной клетки; b – на макропрепарате.
По данным ВОЗ, риск смерти больных МЛУ-ТБ в период проведения нашей работы превышал 40%, а эффективность лечения составляла в мире 52%. Еще ниже (28%) была эффективность лечения ШЛУ-ТБ
– Дмитрий Борисович, но насколько эффективно оперативное вмешательство в этих случаях? Ведь если у пациента тяжелые поражения легких, то имеет ли смысл подвергать пациента дополнительному риску? Я уточню вопрос: можно ли считать, что тяжелые формы туберкулеза – это ограничивающий фактор для хирургического вмешательства, как считают многие врачи?
– Нет, нельзя. Я бы даже сказал так: если у пациента тяжелые формы туберкулеза, то нужно как можно скорее переходить к формированию хирургической тактики лечения. В пользу этого говорят цифры. На основании статистических данных тех же пациентов, которых мы наблюдали с 2011 по 2017 г., мы сравнили эффективность лечения с применением хирургии МЛУ-ТБ и ШЛУ-ТБ в нашей клинике и среднемировые и среднероссийские показатели (рис. 6). Широкое и своевременное использование хирургических методов позволило увеличить эффективность лечения МЛУ-ТБ вдвое, а ШЛУ-ТБ втрое по сравнению со среднероссийскими и мировыми данными.
Рис. 6. Эффективность хирургического лечения МЛУ- и ШЛУ-ТБ в Университетской клинической больнице фтизиопульмонологии ФГАОУ ВО «Первый МГМУ им. И.М. Сеченова» (Сеченовский Университет) в 2011–2017 гг. в сравнении с результатами лечения в мире и РФ когорты 2013 г.
– Дмитрий Борисович, не могли бы Вы поделиться с нашими читателями наиболее интересным клиническим опытом из Вашей практики?
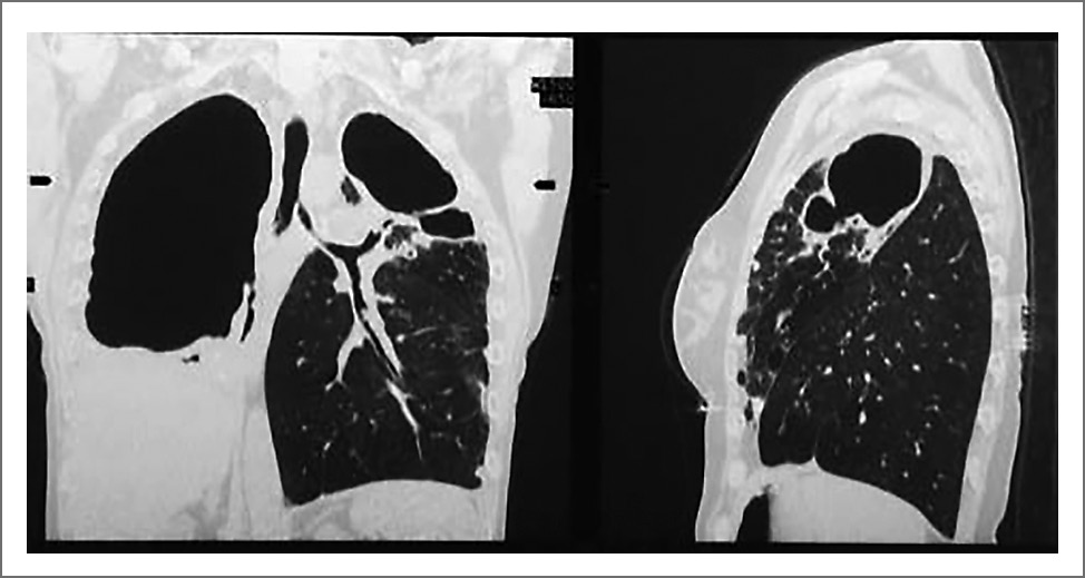
– Наиболее тяжелую клиническую ситуацию я описал в 2017 г. в журнале «Interactive Cardiovascular» [4]. Ко мне попала пациентка 46 лет, которая страдала туберкулезом легких в течение 13 лет. Несмотря на многочисленные курсы химиотерапии, сформировался ФКТ с тотальной деструкцией правого легкого и верхней доли левого легкого (рис. 7). Состояние осложнялось развившейся тотальной эмпиемой плевры с бронхоплевральным свищом. На основании посева мокроты у женщины определили ШЛУ-ТБ, а посев жидкости плевральной полости показал наличие Pseudomonas aeruginosa. Также у пациентки заболевание осложнилось амилоидозом почек, кахексией и дыхательной недостаточностью. Жизненная емкость легких при поступлении – 41% от долж., объем форсированного выдоха за 1-ю секунду – 25% от долж. Тест с 6-минутной ходьбой составил 270 м.
Рис. 7. КТ органов грудной клетки пациентки перед операцией. Определяется ФКТ с тотальной деструкцией правого легкого и верхней доли левого легкого.
Мы разработали и применили трехэтапное хирургическое лечение. Сначала – трансстернальная окклюзия правого главного бронха и трансторакальное дренирование полости эмпиемы. Выключение очага инфекции и ликвидация легочного шунта значительно улучшили состояние больной и повысили толерантность к физической нагрузке.
Затем провели лобэктомию верхнего единственного функционирующего легкого с частичной резекцией шестого сегмента слева. Во время этой операции потребовался тотальный пневмолиз плотных кровоточащих спаек. Плевропневмонэктомия справа выполнена уже III этапом. Все три этапа проведены в течение года.
Надо заметить, что послеоперационный период после каждого этапа протекал гладко. Полный эффект от хирургического лечения получен через 2,5 мес после последней операции. Несмотря на то что показатели ФВД снизились, показатели нагрузочного теста выросли в 2 раза, а также сатурация улучшилась: pCO2 составил 75 mmHg против 63 mmHg до I этапа.
У пациентки через 2 года после последнего этапа отмечалось удовлетворительное состояние, кислотоустойчивых бактерий в мокроте не определялось, больная работала администратором. Одышка возникала только при физической нагрузке.
Этот пример показывает, что расширенные резекции по поводу деструктивного туберкулеза легких возможны даже у больных с крайне низкими функциональными резервами.
– Дмитрий Борисович, действительно, это очень интересный клинический случай. Большое спасибо за уделенное время и интересный опыт, которым Вы поделились с нашими читателями!
References
- Глобальный отчет по туберкулезу 2020 г.: резюме. Женева: Всемирная организация здравоохранения, 2020 [Global tuberculosis report 2020: executive summary. Geneva: World Health Organization, 2020 (in Russian)].
- Global tuberculosis report 2021. Geneva: World Health Organization, 2021.
- В результате пандемии COVID-19 впервые за более чем 10 лет выросла смертность от туберкулеза. Режим доступа: https://www.who.int/ru/news/item/14-10-2021-tuberculosis-deaths-rise-for-the-first-time-in-more-than-a-decade-due-to-the-covid-19-pandemic. Ссылка активна на 03.03.2022 [As a result of the COVID-19 pandemic, for the first time in more than 10 years, deaths from tuberculosis have increased. Available at: https://www.who.int/ru/news/item/14-10-2021-tuberculosis-deaths-rise-for-the-first-time-in-more-than-a-decade-due-to-the-covid-19-pandemic. Accessed: 03.03.2022 (in Russian)].
- Giller D, Namazova V, Giller B, et al. P-234 extended bilateral resections over three-quarters of lung tissue in complicated destructive pulmonary extensively drug resistant tuberculosis treatment. Interact Cardiovasc Thorac Surg. 2017;25(1):ivx280.234. doi: 10.1093/icvts/ivx280.234
Supplementary files











