Оценка терапевтической эффективности референтного препарата урсодезоксихолевой кислоты и его аналогов в растворении билиарного сладжа: метаанализ
- Авторы: Кучерявый Ю.А.1, Черемушкин С.В.2,3
-
Учреждения:
- АО «Ильинская больница»
- ФГБОУ ВО «Московский государственный медико-стоматологический университет им. А.И. Евдокимова» Минздрава России
- ЧУЗ «Центральная клиническая больница "РЖД-Медицина"»
- Выпуск: Том 24, № 12 (2022)
- Страницы: 860-864
- Раздел: Статьи
- Статья опубликована: 04.12.2022
- URL: https://consilium.orscience.ru/2075-1753/article/view/111183
- DOI: https://doi.org/10.26442/20751753.2022.12.201429
- ID: 111183
Цитировать
Полный текст
Аннотация
Цель. Сравнить терапевтическую эффективность референтного лекарственного препарата урсодезоксихолевой кислоты (УДХК) для Российской Федерации (Урсофальк) и генерических препаратов УДХК других производителей в растворении билиарного сладжа (БС).
Материалы и методы. Поиск исследований проводился в электронных базах данных MEDLINE/PubMed, EMBASE, Cochrane, Российский индекс научного цитирования до февраля 2022 г. Критериями включения в метаанализ были контролируемые исследования, исследования с применением референтного препарата для РФ, Урсофалька, в одной из групп, диагностика и последующая оценка динамики разрешения БС по данным трансабдоминального ультразвукового исследования, отсутствие одномоментного применения другой терапии, способной повлиять на терапевтические исходы, документированная конечная точка, отражающая процент полного разрешения БС в каждой из сравниваемых групп.
Результаты. В итоговый анализ было включено 6 исследований с участием 671 пациента с БС (324 – группы с применением Урсофалька, 347 – группы с применением других препаратов УДХК). При применении любых препаратов УДХК обобщенная частота растворения БС в течение 3 мес составила 52,010% (95% доверительный интервал – ДИ 36,554–67,272; индекс гетерогенности – I2=94,07%), а через 6 мес – 78,204% (95% ДИ 67,840–87,024; I2=86,90%). При применении референтного для РФ препарата Урсофальк обобщенная частота растворения БС в течение 3 мес терапии составила 64,826% (95% ДИ 49,242–78,941; I2=87,53%), тогда как при использовании других препаратов УДХК – 39,187% (95% ДИ 17,520–63,390; I2=95,24%). Урсофальк оказался эффективнее других препаратов УДХК (отношение шансов – ОШ 3,183; 95% ДИ 1,495–6,777; I2=74,52%). Аналогичная тенденция сохранилась при оценке эффективности 6-месячного курса терапии (ОШ 4,614; 95% ДИ 2,881–7,388; I2=26,41%). Так, обобщенная частота растворения БС в группах Урсофалька составила 88,381% (95% ДИ 80,890–94,198; I2=64,98%), а других препаратов УДХК – 65,978% (95% ДИ 60,125–71,491; I2=43,22%).
Заключение. Настоящий метаанализ продемонстрировал, что референтный лекарственный препарат УДХК для РФ (Урсофальк) эффективнее генерических препаратов УДХК других производителей в растворении БС.
Ключевые слова
Полный текст
Введение
В настоящее время желчнокаменная болезнь (ЖКБ) является широко распространенным заболеванием пищеварительной системы и частой причиной госпитализаций, ассоциированных с высокими экономическими затратами на лечение [1]. Согласно некоторым данным глобальная частота выявления ЖКБ у взрослых достигает 20% и имеет тенденцию к росту [1–3]. Патогенез образования камней в желчном пузыре детерминируется сложным многофакторным процессом с участием гендерных, генетических, средовых факторов риска, определенных паттернов образа жизни и диеты, а также сопутствующих заболеваний [4–6]. Клиническое течение ЖКБ варьирует от бессимптомного носительства до неосложненного симптоматического заболевания с болевыми приступами и осложненного течения, требующего оперативного вмешательства [2, 4, 6]. В когортных исследованиях с длительным периодом наблюдения (7–20 лет) частота развития осложненных форм ЖКБ варьирует от 3 до 8% [6].
Актуальной задачей клинической медицины является лекарственная профилактика прогрессирования ЖКБ на начальной стадии, когда формируется билиарный сладж (БС) – предкаменная стадия ЖКБ [7]. Распространенность БС в структуре лиц с гастроэнтерологическими жалобами составляет 7,5%, а у лиц с клиническими проявлениями билиарной диспепсии достигает 24,4–55% [8, 9]. Частота формирования желчных камней в течение 1 года при наличии БС может достигать 20% и более [10].
В настоящее время единственным фармакологическим препаратом с убедительной доказательной базой патогенетически обоснованного, клинически эффективного и безопасного воздействия на различные звенья билиарного литогенеза является урсодезоксихолевая кислота (УДХК) [11]. УДХК – естественная гидрофильная нецитотоксичная желчная кислота, которая присутствует в норме в составе желчи и занимает 3–5% пула желчных кислот у человека. Как компонент медвежьей желчи УДХК применялась еще в древнем Китае для лечения заболеваний желудка, кишечника и печени [12]. Литолитические свойства терапевтических доз УДХК в отношении БС обусловлены снижением степени насыщения желчи холестерином (посредством уменьшения его абсорбции в кишечнике и снижения синтеза ХС в печени), а также увеличением дисперсии холестерина из БС (благодаря высокой гидрофильности) [12, 13]. В Российской Федерации представлено несколько брендовых лекарственных средств с действующим веществом УДХК, при этом референтным препаратом УДХК является немецкий препарат Урсофальк (Dr Falk Pharma GmbH) [14]. Существуют данные, что концентрация УДХК в желчи при использовании биоэквивалентных препаратов различных производителей в дозе 15 мг/кг/сут отличается гетерогенностью, что может отражаться на терапевтической эффективности лечения [15].
Цель метаанализа – сравнение терапевтической эффективности референтного лекарственного препарата УДХК для РФ (Урсофальк) и генерических препаратов УДХК других производителей в растворении БС.
Материалы и методы
Поиск исследований
Поиск исследований проводился в электронных базах данных MEDLINE/PubMed, EMBASE, Cochrane, Российский индекс научного цитирования (РИНЦ) до февраля 2022 г. В вышеназванных базах нами анализировались заголовки и абстракты. Для поиска использовались следующие комбинации ключевых слов: «урсодезоксихолевая» и «сладж», «урсодезоксихолевая» и «сравнительная», «урсотерапия» и «сладж», «билиарный сладж» и «терапия», «билиарный сладж» и «лечение», а также их аналоги на английском языке (для поиска в иностранных базах данных).
Критерии отбора исследований
Критерии включения в метаанализ: контролируемые исследования, исследования с применением референтного препарата для РФ, Урсофалька, в одной из групп, диагностика и последующая оценка динамики разрешения БС по данным трансабдоминального ультразвукового исследования, отсутствие одномоментного применения другой терапии, способной повлиять на терапевтические исходы, документированная конечная точка, отражающая процент полного разрешения БС в каждой из сравниваемых групп.
Экстракция данных
Исследователи независимо друг от друга занимались экстракцией данных, используя стандартизированные формы. Анализировались год публикации, количество пациентов в исследовании, средний возраст пациентов, средняя масса тела пациентов, индекс массы тела (ИМТ) пациентов, применяемая дозировка УДХК, общий размер выборки пациентов в группе Урсофалька, общий размер выборки пациентов в группах с применением других препаратов УДХК. Любые разногласия разрешались консенсусом.
Статистический анализ
Статистическая обработка данных осуществлялась с помощью специального программного обеспечения MedCalc 20.026 (Бельгия) в среде Microsoft Windows 11 (США). Результаты представлены в виде отношения шансов (ОШ) и 95% доверительного интервала (95% ДИ) полного разрешения БС в сравниваемых группах. Гетерогенность между различными работами оценивалась при помощи Cochrane’s Q-критерия и I2-критерия. При результатах р<0,05 и I2>50 констатировалось наличие значимой гетерогенности. Вероятность наличия публикационной ошибки оценивалась при помощи построения воронкообразной диаграммы рассеяния, а также расчета корреляционного теста Бегга–Мазумдара и теста регрессии Эггера.
Результаты
Поиск исследований
Поиск по электронным базам данных выявил 46 работ для последующего анализа. Из них было исключено 31 неоригинальное исследование (23 – обзоры; 2 – экспериментальные исследования; 4 – клинические примеры; 2 – прочие нерелевантные работы). Отобранные 15 работ детально анализировались на соответствие критериям включения и наличие дублирования в других базах данных, после чего 9 исследований было исключено (рис. 1). В итоге 6 оригинальных исследований было включено в настоящий метаанализ (табл. 1) [16–21].
Рис. 1. CONSORT-диаграмма, детализирующая стратегию отбора исследований.
Таблица 1. Характеристика отобранных исследований
Исследование, год | Применяемая дозировка препаратов УДХК | Количество пациентов (Урсофальк), n | Количество пациентов (другие УДХК), n |
Сарвилина И.В., 2015 [16] | 750–1000 мг/сут | 40 | 40 |
Вялов С.С., 2017 [17] | 750 мг/сут | 50 | 70 |
Хлынов И.Б. и соавт., 2019 [18] | 10 мг/кг в сутки | 35 | 41 |
Буторова Л.И. и соавт., 2020 [19] | 10 мг/кг в сутки | 115 | 110 |
Бакулин И.Г. и соавт., 2021 [20] | 10 мг/кг в сутки | 31 | 34 |
Исанбаева А.Р. и соавт., 2021 [21] | 500–1000 мг/сут | 53 | 52 |
Характеристика включенных исследований
В итоговый анализ было включено 6 исследований с участием 671 пациента с БС (324 из группы с применением Урсофалька, 347 – группы с применением других препаратов УДХК), выполненных в России [16–21]. Средний возраст пациентов во включенных исследованиях составил 43,750 года (95% ДИ 37,572–49,928), средняя масса тела – 75,950 кг (95% ДИ 69,149–82,751), ИМТ – 27,616 кг/м² (95% ДИ 21,126–34,107).
Эффективность растворения БС
При применении любых препаратов УДХК обобщенная частота растворения БС в течение 3 мес составила 52,010% (95% ДИ 36,554–67,272; I2=94,07%), а через 6 мес – 78,204% (95% ДИ 67,840–87,024; I2=86,90%); рис. 2.
Рис. 2. Форест-диаграмма, демонстрирующая ОШ и 95% ДИ эффективности Урсофалька в сравнении с другими препаратами УДХК в растворении БС (3 мес).
В 5 включенных исследованиях продемонстрирована большая эффективность Урсофалька в сравнении с другими препаратами УДХК [16, 18–21], в 1 исследовании получены противоположные данные [17]. При применении референтного для РФ препарата Урсофальк обобщенная частота растворения БС в течение 3 мес терапии составила 64,826% (95% ДИ 49,242–78,941; I2=87,53%), тогда как при использовании других препаратов УДХК – 39,187% (95% ДИ 17,520–63,390; I2=95,24%). Урсофальк оказался эффективнее других препаратов УДХК (ОШ 3,183; 95% ДИ 1,495–6,777; I2=74,52%). Аналогичная тенденция сохранилась при оценке эффективности 6-месячного курса терапии (ОШ 4,614; 95% ДИ 2,881–7,388; I2=26,41%). Так, обобщенная частота растворения БС в группах Урсофалька составила 88,381% (95% ДИ 80,890–94,198; I2=64,98%), а других препаратов УДХК – 65,978% (95% ДИ 60,125–71,491; I2=43,22%).
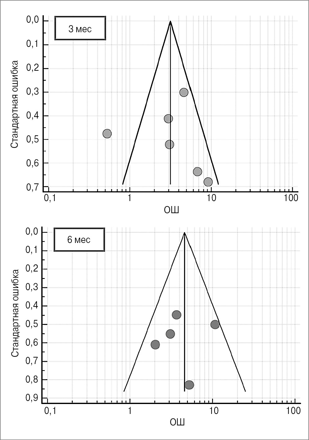
Вероятность наличия публикационного смещения оценена при помощи построения воронкообразной диаграммы рассеяния, а также расчета теста Бегга–Мазумдара и теста регрессии Эггера как для 3-месячной, так и 6-месячной терапии. При визуальном анализе воронкообразных диаграмм рассеяния (рис. 3) существенной асимметрии выявлено не было. Помимо этого, наличие значимого публикационного смещения было исключено по результатам теста Бегга–Мазумдара (3 мес, p=0,3476; 6 мес, p=0,6242) и теста регрессии Эггера (3 мес, p=0,9713; 6 мес, p=0,8143).
Рис. 3. Воронкообразный график для оценки вероятности наличия публикационной ошибки.
Обсуждение
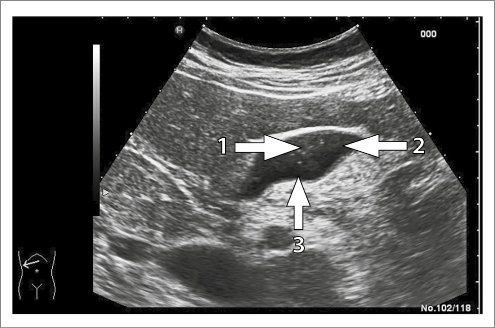
Актуальность ЖКБ в структуре заболеваний гастроэнтерологического профиля подчеркивается не только широким распространением данного заболевания, достигающим 20% в мировой взрослой популяции, но и риском осложненного течения, требующего оперативного вмешательства [2, 3]. БС, входящий в континуум ЖКБ, рассматривается как ступень, предшествующая формированию холестериновых камней, успешно поддающаяся лекарственной терапии [7, 19]. Основным методом диагностики БС является трансабдоминальное ультразвуковое исследование, позволяющее дифференцировать тип сладж- синдрома. Так, 1-й тип представляет собой взвесь маленьких, точечных и смещаемых гиперэхогенных частиц без акустической тени, выявляемых при изменении положения тела пациента (рис. 4).
Рис. 4. Билиарный сладж 1-го типа: 1 – гиперэхогенные включения в полости желчного пузыря.
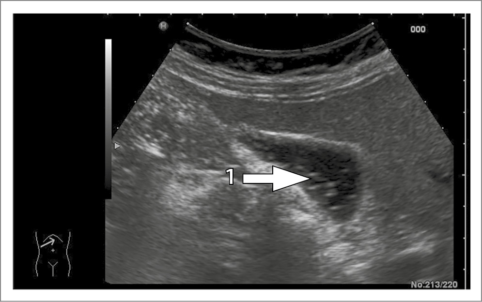
Для 2-го типа характерна эхонеоднородная желчь с наличием сгустков различной эхогенности с четкими или размытыми контурами, не дающих акустической тени. Тип 3 определяется при сочетании эхонеоднородной густой желчи со сгустками, иногда дающими акустическую тень, с микролитиазом (рис. 5) [10].
Рис. 5. Билиарный сладж 3-го типа: 1 – гиперэхогенные включения; 2 – сгустки эхонеоднородной желчи; 3 – слой менее густой, более однородной желчи.
Многочисленными исследованиями показано, что прием УДХК способствует регрессу риска камнеобразования и разрешению БС. Достаточно иллюстративными являются результаты метаанализа D. Magouliotis и соавт. (2017), в котором показано, что использование УДХК у лиц высокого риска камнеобразования (пациенты, перенесшие бариатрические операции) значимо профилактировало этот процесс (ОШ 0,25; 95% ДИ 0,17–0,38; p<0,00001) [22]. В РФ представлено несколько брендовых лекарственных средств с действующим веществом УДХК, чья терапевтическая эквивалентность может быть неоднородной.
Настоящий метаанализ, объединивший результаты 6 контролируемых исследований, продемонстрировал, что референтный препарат для РФ, Урсофальк, оказался эффективнее других препаратов УДХК в растворении БС при оценке как через 3 мес терапии (ОШ 3,183; 95% ДИ 1,495–6,777), так и при 6-месячном курсе (ОШ 4,614; 95% ДИ 2,881–7,388). Стоит отметить, что в отдельных работах отмечено преимущество Урсофалька перед другими препаратами УДХК не только в скорости растворения БС, но и купировании клинических признаков заболеваний билиарной системы (боль билиарного типа, билиарная диспепсия) [19, 21].
В нашей работе есть несколько недостатков. Во-первых, включенные в метаанализ исследования характеризуются значительной гетерогенностью используемых дозировок УДХК. Во-вторых, в каждом исследовании стоит учитывать определенную субъективность интерпретации данных динамики регресса БС по ультразвуковой картине, зависящую от врача-оператора, однако более объективных методов диагностики БС не существует. Вместе с тем, учитывая достаточно гомогенный дизайн проанализированных исследований и фактическую однородность полученных авторами результатов (только 1 исследование выбивается из общего пула), можно сделать вывод о высокой достоверности этих находок.
Заключение
Таким образом, настоящий метаанализ продемонстрировал, что референтный лекарственный препарат УДХК для РФ (Урсофальк) эффективнее генерических препаратов УДХК других производителей в растворении БС.
Раскрытие интересов. Авторы декларируют отсутствие явных и потенциальных конфликтов интересов, связанных с публикацией настоящей статьи.
Disclosure of Interest. The authors declare that they have no competing interests.
Вклад авторов. Авторы декларируют соответствие своего авторства международным критериям ICMJE. Все авторы в равной степени участвовали в подготовке публикации: разработка концепции статьи, получение и анализ фактических данных, написание и редактирование текста статьи, проверка и утверждение текста статьи.
Authors’ contribution. The authors declare the compliance of their authorship according to the international ICMJE criteria. All authors made a substantial contribution to the conception of the work, acquisition, analysis, interpretation of data for the work, drafting and revising the work, final approval of the version to be published and agree to be accountable for all aspects of the work.
Источник финансирования. Авторы декларируют отсутствие внешнего финансирования для проведения исследования и публикации статьи.
Funding source. The author declares that there is no external funding for the exploration and analysis work.
Об авторах
Юрий Александрович Кучерявый
АО «Ильинская больница»
Автор, ответственный за переписку.
Email: proped@mail.ru
ORCID iD: 0000-0001-7760-2091
канд. мед. наук, доц., зав. гастроэнтерологическим отд-нием АО «Ильинская больница»
Россия, д. Глухово, Московская областьСергей Викторович Черемушкин
ФГБОУ ВО «Московский государственный медико-стоматологический университет им. А.И. Евдокимова» Минздрава России; ЧУЗ «Центральная клиническая больница "РЖД-Медицина"»
Email: proped@mail.ru
ORCID iD: 0000-0002-0982-2006
канд. мед. наук, доц. каф. пропедевтики внутренних болезней и гастроэнтерологии ФГБОУ ВО «МГМСУ им. А.И. Евдокимова», ЧУЗ «ЦКБ "РЖД-Медицина"»
Россия, Москва; МоскваСписок литературы
- Peery AF, Crockett SD, Barritt AS, et al. Burden of Gastrointestinal, Liver, and Pancreatic Diseases in the United States. Gastroenterology. 2015;149(7):1731-41.e3. doi: 10.1053/j.gastro.2015.08.045
- Stokes CS, Lammert F. Excess Body Weight and Gallstone Disease. Visc Med. 2021;37(4):254-60. doi: 10.1159/000516418
- European Association for the Study of the Liver (EASL). EASL Clinical Practice Guidelines on the prevention, diagnosis and treatment of gallstones. J Hepatol. 2016;65(1):146-81. doi: 10.1016/j.jhep.2016.03.005
- Song ST, Shi J, Wang XH, et al. Prevalence and risk factors for gallstone disease: A population-based cross-sectional study. J Dig Dis. 2020;21(4):237-45. doi: 10.1111/1751-2980.12857
- Gutt C, Schläfer S, Lammert F. The Treatment of Gallstone Disease. Dtsch Arztebl Int. 2020;117(9):148-58. doi: 10.3238/arztebl.2020.0148
- Shabanzadeh DM. Incidence of gallstone disease and complications. Curr Opin Gastroenterol. 2018;34(2):81-9. doi: 10.1097/MOG.0000000000000418
- Маев И.В., Гуленченко Ю.С., Дичева Д.Т., и др. Клиническое значение билиарного сладжа как предкаменной стадии желчнокаменной болезни. Consilium Medicum. 2013;15(8):4 [Maev IV, Gulenchenko YuS, Dicheva DT, et al. The clinical significance of biliary sludge as a pre-stone stage of gallstone disease. Consilium Medicum. 2013;15(8):4 (in Russian)].
- Вихрова Т.В. Билиарный сладж и его клиническое значение. Автореф. дис. … канд. мед. наук. М., 2003 [Vikhrova TV. Biliarnyi sladzh i ego klinicheskoe znachenie. Avtoref. dis. … kand. med. nauk. Moscow, 2003 (in Russian)].
- Григорьева И.Н. Билиарный сладж. РЖГГК. 2009;19(3):32-7 [Grigorieva IN. Biliary sludge. RJGGK. 2009;19(3):32-7 (in Russian)].
- Ильченко А.А. Билиарный сладж: причины формирования, диагностика и лечение. Consilium Medicum. 2012;2:18-21 [Ilchenko AA. Biliary sludge: causes of formation, diagnosis and treatment. Consilium Medicum. 2012;2:18-21 (in Russian)].
- Абгаджава Э.З., Тельных Ю.В. Патогенетическая терапия и исходы сладжа желчного пузыря. Экспериментальная и клиническая гастроэнтерология. 2016;128(4):67-71 [Abgadzhava EZ, Telnykh YV. Pathogenetic therapy and of the gallbladder sludge outcomes. Experimental and Clinical Gastroenterology. 2016;128(4):67-71 (in Russian)].
- Минушкин О.Н., Елизаветина Г.А., Иванова О.И., Шапошникова О.Ф. Урсодезоксихолевая кислота в лечении больных с билиарным сладжем. Эффективная фармакотерапия. Гастроэнтерология. 2012;3:10-2 [Minushkin ON, Elizavetina GA, Ivanova OI, Shaposhnikova OF. Ursodeoxycholic acid in the treatment of patients with biliary sludge. Effective pharmacotherapy. Gastroenterology. 2012;3:10-2 (in Russian)].
- Казюлин А.Н., Гончаренко А.Ю., Калягин И.Е. Применение урсодезоксихолевой кислоты в профилактике и лечении желчнокаменной болезни в практике врачей «первого контакта». РМЖ. Медицинское обозрение. 2017;2:80-7 [Kazyulin AN, Goncharenko AYu, Kalyagin IE. Application of ursodezoxycolic acid for prevention and treatment of cholelithiasis in the practice of the «first contact physicians. RMJ Medical review. 2017;2:80-7 (in Russian)].
- Взаимозаменяемые лекарственные препараты (п. 4 ч. 4 ст. 3 Федерального закона от 27.12.2019 № 475-ФЗ, п. 8 постановления Правительства от 05.09.2020 № 1360) [Interchangeable medicines (clause 4, part 4, article 3 of the Federal Law of December 27, 2019 No. 475-FZ, clause 8 of Government Decree No. 1360 of September 5, 2020) (in Russian)].
- Лоранская И.Д. Функциональные расстройства билиарного тракта. М.: Форте-принт, 2013 [Loranskaya ID. Funktsional'nye rasstroistva biliarnogo trakta. Moscow: Forte-print, 2013 (in Russian)].
- Сарвилина И.В. Сравнительный клинико-экономический анализ применения препаратов урсодезоксихолевой кислоты у пациентов с желчнокаменной болезнью 1 стадии. Лечащий врач. 2015;2:64-8 [Sarvilina IV. Comparative clinical and economic analysis of the use of ursodeoxycholic acid preparations in patients with stage 1 cholelithiasis. Lechaschi Vrach. 2015;2:64-8 (in Russian)].
- Вялов С.С. Различия в эффективности лечения желчнокаменной болезни и билиарного сладжа разными препаратами урсодезоксихолевой кислоты. Consilium Medicum. 2017;19(8-2):64-8 [Vyalov SS. Differences in the effectiveness of the treatment of cholelithiasis and biliary sludge with different preparations of ursodeoxycholic acid. Consilium Medicum. 2017;19(8-2):64-8 (in Russian)]. doi: 10.26442/2075-1753_19.8.2.64-68
- Хлынов И.Б., Акименко Р.И., Гурикова И.А., и др. Билиарный сладж: опыт терапии в реальной клинической практике. Лечащий врач. 2019;4:80-3 [Khlynov IB, Akimenko RI, Gurikova IA, et al. Biliary sludge: experience of therapy in real clinical practice. Lechaschi Vrach. 2019;4:80-3 (in Russian)].
- Буторова Л.И., Ардатская М.Д., Осадчук М.А., и др. Сравнительная эффективность препаратов урсодезоксихолевой кислоты в лечении билиарного сладжа. Терапевтический архив. 2020;92(8):60-5 [Butorova LI, Ardatskaya MD, Osadchuk MA, et al. Comparative efficacy of ursodeoxycholic acid preparations in the treatment of biliary sludge. Terapevticheskii Arkhiv (Ter. Arkh.). 2020;92(8):60-5 (in Russian)]. doi: 10.26442/00403660.2020.08.000700
- Бакулин И.Г., Авалуева Е.Б., Серкова М.Ю., и др. Билиарный сладж: патогенез, этиология и лекарственная терапия. Терапевтический архив. 2021;93(2):179-86 [Bakulin IG, Avalueva EB, Serkova MYu. Biliary sludge: pathogenesis, etiology and drug therapy. Terapevticheskii Arkhiv (Ter. Arkh.). 2021;93(2):179-86 (in Russian)]. doi: 10.26442/00403660.2021.02.200638
- Исанбаева А.Р., Сахаутдинова Г.М. Оценка терапевтической эффективности различных препаратов урсодезоксихолевой кислоты в лечении билиарного сладжа. Терапевтический архив. 2021;93(12):1477-81 [Isanbayeva AR, Sakhautdinova GM. Evaluation of the therapeutic efficacy of various ursodeoxycholic acid preparations in the treatment of biliary sludge. Terapevticheskii Arkhiv (Ter. Arkh.). 2021;93(12):1477-81 (in Russian)]. doi: 10.26442/00403660.2021.12.201250
- Magouliotis DE, Tasiopoulou VS, Svokos AA, et al. Ursodeoxycholic Acid in the Prevention of Gallstone Formation After Bariatric Surgery: an Updated Systematic Review and Meta-analysis. Obes Surg. 2017;27(11):3021-30.
Дополнительные файлы








