Pruritus in cancer patients as a polyetiological symptom
- Authors: Michenko A.V.1,2, Lvov A.N.1,2, Kruglova L.S.1, Romanov D.V.3,4, Kuzma E.A.1
-
Affiliations:
- Central State Medical Academy of the Administrative Department of the President of the Russian Federation
- Medical Research and Educational Center of Lomonosov Moscow State University
- 3Sechenov First Moscow State Medical University (Sechenov University)
- Mental Health Research Center
- Issue: Vol 24, No 8 (2022)
- Pages: 504-510
- Section: Articles
- Published: 02.08.2022
- URL: https://consilium.orscience.ru/2075-1753/article/view/112278
- DOI: https://doi.org/10.26442/20751753.2022.8.201810
- ID: 112278
Cite item
Full Text
Abstract
Pruritus is one of the subjective sensations that significantly reduces the quality of life of patients. In patients with malignancies, itch can be caused by different universal or specific pathophysiological factors. This article discusses disorders that cause pruritus in cancer patients: the tumor growth on it’s own; pathophysiological changes associated with a number of malignancies, paraneoplastic itch, anticancer therapy, concomitant dermatoses, systemic diseases, psychosomatic disorders. Known or proposed mechanisms of the development of pruritus are presented for each of the mentioned provoking factors, and methods of treatment are described, according to the etiological factor. At the end of the article, universal methods for the correction of itching are presented, applicable in cancer patients, regardless of the pruritogenic factor. Special attention is paid to the correction of xerosis as a universal cause of itching in oncological patients.
Full Text
Среди всех субъективных ощущений, сопровождающих те или иные высыпания на коже у пациентов, в том числе онкологического профиля, наиболее часто встречающимся и значительно снижающим качество жизни является зуд – неприятное ощущение, вызывающее желание почесаться. Примечательно, что частота развития зуда у некоторых онкологических пациентов сопоставима с таковой у пациентов с часто встречающимися дерматозами (табл. 1). Однако традиционно в фокусе внимания онколога и самого пациента находится лечение основного заболевания, тогда как коррекция зуда как симптома, существенно не влияющего на выбор основного лечения, отходит на второй план и осуществляется в рамках назначения поддерживающей терапии, направлена на профилактику и коррекцию осложнений. В то же время развитие интенсивного зуда способно оказывать сильное негативное влияние на качество жизни больных, усугубляя тяжесть соматического заболевания, снижать комплаентность при выполнении назначений в рамках основной терапии, влиять на психоэмоциональное состояние пациентов и тем самым повышать риск неблагоприятного исхода.
Таблица 1. Частота развития зуда при различных заболеваниях | ||
Нозология | Частота развития зуда, % | Ссылка |
При часто встречающихся дерматозах | ||
Псориаз | 87 | [1] |
АтД | 87–100 | [2] |
Акне | 70 | [3] |
При ЗНО | ||
Базальноклеточный рак | 33 | [4] |
Плоскоклеточный рак | 43 | [4] |
Т-клеточная лимфома | 80 | [5] |
Многообразие причин зуда и его дифференциальная диагностика у онкологических пациентов заслуживают отдельного обсуждения, поскольку этот феномен может носить независимый характер и не иметь связи с опухолью либо может служить первым признаком злокачественного процесса, быть следствием непосредственно роста опухоли или проводимой терапии (табл. 2).
Таблица 2. Спектр этиологических факторов зуда у онкологических пациентов | ||
Причина зуда | Клинические особенности | Ссылка |
Рост новообразования кожи | Клинически отмечается периодический локальный зуд, как правило, умеренный, сопровождающий рост новообразования кожи | [6] |
Ассоциация с ЗНО | Среди всех ЗНО зуд наиболее характерен для пациентов с гематологическими опухолями | [7] |
Паранеопластический характер | Хронический зуд более 6 нед. Ассоциированные опухоли: лимфомы, хроническая лимфоцитарная лейкемия, множественная миелома, солидные опухоли (рак легких, рак желудка, рак гортани, рак шейки матки – зуд вульвы, рак сигмовидной и прямой кишки – перианальный зуд) | [8] |
Проведение противоопухолевой терапии | Зуд имеет, как правило, распространенный характер и часто сопровождается ксерозом кожи. В части случаев ассоциирован с сыпью | [9] |
Дерматозы у онкологических пациентов, сопровождающиеся зудом | • ксероз (вследствие кахексии, химиотерапии) • инфекционные дерматозы • паранеопластические дерматозы: – эритродермия – транзиторный акантолитический дерматоз – генерализованная кольцевидная гранулема – паранеопластический акрокератоз – дерматомиозит и др. | [10] |
Наличие системного заболевания | Первичное хроническое заболевание (почек, печени, диабет, заболевания щитовидной железы, железодефицитная анемия) или вторичное поражение внутренних органов вследствие опухолевого распространения | |
Наличие психосоматических расстройств | Психический дистресс, тревожные, депрессивные и диссоциативные расстройства характерны для пациентов онкологического профиля | |
Патофизиология зуда
Восприятие ощущения зуда обеспечивается участием двух типов С-волокон, представленных в коже и слизистых оболочках. Первый тип представлен группой нечувствительных к механическим раздражителям, но чувствительных к гистамину афферентных C-волокон, получивших название прурицепторов. Второй тип С-волокон – полимодальный, отличается нечувствительностью к гистамину [15]. Ощущение зуда передается по С-волокнам в задние рога спинного мозга и в кору головного мозга (ГМ) по спиноталамическому тракту [16]. Активация определенных областей в центральной нервной системе вызывает ощущение зуда и, как следствие, – расчесы. По механизму прямого аксонального рефлекса окончания чувствительных нервов в свою очередь высвобождают нейропептиды, усиливающие ощущение зуда за счет высвобождения медиаторов зуда (кининов, простаноидов, цитокинов) из тучных, иммунных, эпителиальных и эндотелиальных клеток [16, 17].
Зуд, ассоциированный с ЗНО
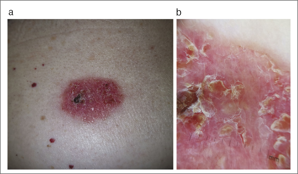
Что касается зуда, обусловленного собственно ростом опухоли, он характерен как для доброкачественных, так и для злокачественных новообразований кожи (ЗНО), поскольку растущее образование раздражает расположенные в коже упомянутые выше рецепторы (полимодальные С-волокна), воспринимающие и передающие в ГМ ощущение зуда. Это немиелинизированные С-волокна, раздражение которых при росте новообразования, доброкачественного либо злокачественного, может вызывать соответствующие ощущения. Исследование симптомов зуда и боли у 478 пациентов с немеланомным раком кожи, верифицированным при патоморфологическом исследовании, показало, что распространенность зуда при плоскоклеточном раке и базально-клеточном раке составляет 43 и 33% соответственно [6] (рис. 1). Активный рост доброкачественных новообразований также может сопровождаться зудом, что описано, например, при врожденных меланоцитарных невусах [18], линейном веррукозном воспалительном эпидермальном невусе [19], эруптивных дерматофибромах [20], себорейном кератозе, включая паранеопластический синдром Лезера–Трела [21], при котором зуд сопровождает появление множественных себорейных кератом в 52% случаев.
Рис. 1. Очаг на коже живота, существующий около 8 лет, сопровождающийся периодическим зудом, в последние месяцы – периодическим мокнутием (а). При дерматоскопии тонкие короткие четкие ветвящиеся сосуды, множественные точечные эрозии на бело-розовом фоне. При гистологическом исследовании верифицирована базальноклеточная карцинома.
Развитие зуда на фоне существующей злокачественной опухоли наиболее характерно для ряда гематологических злокачественных заболеваний (см. табл. 1). Например, при истинной полицитемии в 5–69% случаев регистрируется зуд, у этих пациентов обычно зуд провоцируется контактом с водой любой температуры [22]. При болезни Ходжкина до 30% пациентов сообщают о зуде [23]. У пациентов с кожными Т-клеточными лимфомами частота встречаемости зуда может достигать 88% [24].
Механизм развития зуда на фоне Т-клеточной лимфомы кожи изучен не до конца, однако предполагается, что ключевую роль в формировании зуда у этой группы пациентов играет воспаление кожи, сопровождающееся секрецией пруритогенных интерлейкинов (например, ИЛ-2, 6) [25]. При грибовидном микозе формирование зуда может быть обусловлено секрецией гистамина тучными клетками [26]. Определенную патогенетическую роль может выполнять также серотонин, о чем свидетельствуют описания обострения грибовидного микоза вскоре после начала приема флуоксетина, селективного ингибитора обратного захвата серотонина [27], а также стимуляции пролиферации трансформировавшихся лимфоцитов в экспериментах in vitro [28]. В ряду терапевтических опций, направленных на снижение зуда при гематологических злокачественных опухолях, упоминаются высокопотентные наружные глюкокортикостероидные препараты (ГКС), применяемые на ранних стадиях заболевания, в том числе в сочетании с влажно-высыхающими повязками [29, 30], наружные и системные антигистаминные препараты, системные ГКС в дозе 10–30 мг/сут [24].
Специфические опухоли иногда связаны с локальным зудом, например зуд мошонки при раке предстательной железы, зуд в ноздрях при опухолях ГМ, которые инфильтрируют дно IV желудочка, зуд вульвы при раке шейки матки и перианальный зуд при раке сигмовидной и прямой кишки [12].
Зуд также может быть косвенным следствием диссеминации ЗНО с поражением внутренних органов. Наиболее часто зуд появляется при инвазии опухолей в печень или почки. При холестазе формирование зуда связывают с повышением тонуса опиоидергической системы [11], некоторый вклад также приписывается накоплению солей желчных кислот, собственно желчных кислот, билирубина и других компонентов желчи [12].
В качестве методов терапии предлагается применять препараты урсодезоксихолевой кислоты, секвестранты желчи, такие как холестирамин, и оперативное лечение. Определенное уменьшение зуда отмечалось на фоне применения сертралина и рифампицина [12]. Антагонисты опиоидов для уменьшения зуда применяются редко, так как в первую очередь их применяют для обезболивания, хотя ряд исследований подтверждает, что налоксон, налтрексон и налмефен эффективно уменьшают зуд [31].
В редких случаях инвазия опухоли в почку или обструкция мочеточника могут вызвать почечную недостаточность, сопровождающуюся уремическим зудом. Среди концепций патогенеза уремического зуда обсуждаются 2 версии: накопление пруритогенных метаболитов [32] или развитие провоспалительного статуса на фоне дисбаланса цитокинов TH1 [12]. Также описан опыт использования наружной терапии, нейролептиков в низких дозах, фототерапии, такролимуса, талидомида, антагонистов μ-опиоидов и агонистов κ-опиоидов, однако успех перечисленных методов лечения оказался переменным [12].
Зуд на фоне противоопухолевой терапии
Нередко зуд у онкологических пациентов сопровождает лекарственную противоопухолевую терапию (табл. 3). Механизмы развития зуда при этом также могут быть разными. Наиболее универсальным объяснением служит тот факт, что противоопухолевая терапия направлена на подавление процессов пролиферации, дифференциации и миграции клеток. Поэтому в результате нарушения процессов пролиферации и дифференциации клеток отмечаются нежелательные явления со стороны активно пролиферирующих органов и тканей, таких как волосяные фолликулы, эпителий кожного покрова и слизистых оболочек. В эпидермисе в результате подавления процессов дифференциации нарушаются процессы синтеза гидролипидной мантии эпидермиса, что приводит к сухости кожного покрова и, как следствие, – к зуду. Ксероз кожи может усугубляться при развитии кахексии, на фоне проведения лучевой терапии.
Таблица 3. Противоопухолевые препараты, вызывающие зуд | |
Группа препаратов | Название препаратов (частота развития зуда, %, при наличии данных) |
1. Алкилирующие агенты | Тиотепа (1–10), мехлорэтамин, мелфалан (1–10), хлорамбуцил, темозоломид (8) |
2. Антиметаболиты | Метотрексат (1–5), капецитабин, гемцитабин (13), 6-меркаптопурин, кладрибин (6) |
3. Агенты, взаимодействующие с топоизомеразой | Иринотекан, доксорубицин, даунорубицин, дактиномицин |
4. Рецептор эпидермального фактора роста/киназа анапластической лимфомы/ингибиторы фактора роста эндотелия сосудов | Эрлотиниб (13), цетуксимаб (10), панитумумаб (57) |
5. Ингибиторы мультикиназы малых молекул тирозинкиназы | Иматиниб (6–10), дазатиниб (11), нилотиниб (17), сорафениб (19), пазопаниб (3) |
6. Антимикротрубочковые агенты | Паклитаксел (<1), эстрамустин (2), доцетаксел, винкристин, винорелбин |
7. Гистон деацетилаза, ингибиторы протеасом, ретиноиды и деметилирующие агенты | Вориностат (10), транс-ретиноевая кислота (10–40), бексаротен |
8. Разные агенты | L-аспарагиназа (<1), блеомицин (>5), прокарбазин (<1), леналидомид (42), вемурафениб (6), талидомид |
9. Биологическая терапия | ИФН-α-2а (13), ИФН-α-2b, ИЛ-2 (48), ритуксимаб (10), ибритумомаб (9), ипилимумаб (24), пертузумаб (6), тозитумомаб, алемтузумаб |
10. Эндокринные препараты | Анастрозол (2–5), летрозол (2), экземестан (2–5), лейпролид (<5), бикалутамид (2–5), эстрадиол, октреотид (1–4), медроксипрогестерона ацетат (1–10), флюоксиместерон |
11. Средства для лечения гематологических реакций | Дарбепоэтин (8), филграстим (1–5), сарграмостим, низкомолекулярный гепарин (<1), варфарин (<1) |
С другой стороны, противоопухолевые препараты могут индуцировать защитные иммунные реакции, что сопровождается секрецией цитокинов, вызывающих зуд. Такое представление об иммунном механизме развития зуда у онкологических пациентов объясняет эффективность, например, препаратов, направленных на снижение уровня иммуноглобулина E [33].
Кроме того, зуд у онкологических пациентов может сопровождать специфические высыпания, являющиеся результатом дерматологической токсичности таргетных противоопухолевых препаратов или иммунотропных препаратов (ингибиторов контрольных точек иммунного ответа, интерферонов – ИФН). Появление сыпи наиболее характерно для больных, получающих терапию ингибиторами рецептора эпидермального фактора роста, при которой поражение кожи наблюдается практически у каждого пациента. При этом сухость кожи способствует возникновению микротрещин в эпидермисе, медленнее эпителизирующихся на фоне лекарственного подавления процессов пролиферации и дифференциации, что способствует развитию паронихий, усугублению специфических акнеподобных высыпаний и присоединению вторичной инфекции. Однако и другие противоопухолевые препараты нередко вызывают поражение кожи и ее придатков в рамках явлений кожной токсичности (рис. 2). Терапия подбирается с учетом степени тяжести и в соответствии с имеющимися рекомендациями и базируется на наружном и системном применении ГКС, антигистаминных препаратов, антибиотиков и других средств, в соответствии с клинической картиной и вариантом дерматологической токсичности.
Рис. 2. Пятнисто-папулезная сыпь на фоне таргетной терапии braf+mek ингибиторами, сопровождающаяся интенсивным зудом.
Зудящие дерматозы у онкологических пациентов
Еще одной важной причиной зуда у онкологических пациентов может служить развитие дерматозов, первичных либо ассоциированных со злокачественной опухолью. Например, ассоциация со злокачественной опухолью характерна для герпетиформного дерматита Дюринга, сопровождающегося сильным зудом и двукратным повышением риска развития лимфомы и повышением риска развития лейкемии [34]. Дерматомиозит также может сопровождаться сильным зудом, и этот дерматоз связан с широким спектром солидных опухолей [35]. Также ассоциация со злокачественной опухолью и зудом характерна для эритродермии, транзиторного акантолитического дерматоза, генерализованной кольцевидной гранулемы, паранеопластического акрокератоза и дерматомиозита. Стоит подчеркнуть, что зуд инфекционной этиологии также характерен для пациентов с ЗНО, особенно при наличии иммуносупрессии или в период госпитализации.
Зуд вследствие хронических соматических заболеваний
Помимо перечисленных причин зуда пациент с ЗНО может иметь ранее возникшее хроническое заболевание, сопровождающееся зудом. Среди системных заболеваний, ассоциированных с зудом, следует упомянуть хроническое заболевание почек, хроническое заболевание печени (рис. 3), диабет, заболевания щитовидной железы и железодефицитную анемию. Поэтому для правильной диагностики причины зуда требуется всестороннее клиническое и, по показаниям, лабораторное и инструментальное обследования. При выявлении хронического заболевания в качестве причины зуда соответствующая терапия является залогом успешной коррекции этого неприятного субъективного симптома.
Рис. 3. Пациент с зудом и стигмами хронического заболевания печени на фоне терминальной печеночной недостаточности: определяется желтушность кожного покрова, паукообразные гемангиомы и телеангиэктазии.
Зуд, ассоциированный с психическими и психосоматическими расстройствами
Также доказано, что на зуд могут влиять такие психические расстройства, как тревога и депрессия [36], состояния, которые особенно распространены у пациентов с ЗНО. Распространенность депрессивных и тревожных расстройств у пациентов с онкологическими заболеваниями составляет 23,4 и 19,9% соответственно. При этом депрессивная симптоматика более характерна для стационарных пациентов (37,1%), чем для амбулаторных (14,5%); p<0,001. Тревожная симптоматика обнаруживает аналогичную тенденцию и чаще наблюдается у стационарных больных (p<0,001) [13]. При этом отмечается двусторонняя связь между зудом и психическим расстройством: например, не только зуд способствует развитию тревоги, но и сама тревога также потенцирует зуд, создавая замкнутый патологический цикл «зуд–тревога». По-видимому, формирование замкнутого цикла «зуд–тревога» характерно не только для гистаминэргического зуда, но и для зуда других типов (дерматологического, системного, зуда на здоровой коже) и происходит на уровне ГМ [36]. Также на примере пациентов с дерматозами показано, что зуд способен вызывать депрессивное настроение [37]. При подозрении на психогенный или психосоматический характер зуда требуется консультация смежного специалиста для проведения психотерапии либо, по показаниям, – психофармакотерапии.
Принципы терапии зуда у онкологических пациентов
Терапевтическая тактика включает применение двух групп методик: универсальные (табл. 4) и индивидуальные (с учетом выявленных у конкретного пациента этиологических пруритогенных факторов) методы профилактики и коррекции зуда. Универсальные методы профилактики и коррекции зуда могут быть рекомендованы каждому пациенту с зудом кожи на этапе первичного визита и в период обследования и установления этиологически значимых пруритогенных факторов.
Таблица 4. Универсальные методы профилактики и коррекции зуда у онкологических пациентов | |
Нелекарственные методы профилактики и коррекции зуда | |
Общие | 1. Ношение закрытой одежды 2. Избегать перегревания и повышения потливости 3. Ногти держать коротко остриженными и чистыми (подпиливать уголки, придавая округлую форму) |
Психологические | 1. Переключаться на другие занятия 2. Занимать руки другими предметами 3. Расчесывать другие предметы 4. Практиковать техники расслабления (прослушивание любимых записей, чтение, прогрессивное мышечное расслабление по Якобсону) 5. Отреагирование путем физической активности |
Дерматологические | 1. Исключение факторов, провоцирующих ксероз: • замена мыла на крем-гель или масло для душа • соблюдение режима мытья (не более 15 мин, в негорячей воде, после мытья нанесение увлажняющего/смягчающего средства) 2. Применение альтернативных реакций на зуд: вместо расчесывания кожи – потирание, пощипывание, поглаживание, давление на область зудящих участков 3. Нанесение охлажденных наружных средств (увлажняющего/смягчающего средства либо, в случае назначения дерматологом, – лекарственного наружного средства) 4. Постоянное и реактивное в ответ на зуд использование увлажняющих и смягчающих средств 5. Примочки (например, с крепким чаем) 6. Местное охлаждение (с применением хладагентов) 7. Прием антигистаминных препаратов |
При выборе наружных средств для коррекции ксероза у онкологических пациентов целесообразно применять эмоленты и средства ухода за кожей, подтвердившие в исследованиях эффективность и безопасность при применении у пациентов с дерматологическими заболеваниями. Поскольку любая противоопухолевая терапия направлена на подавление процессов пролиферации и дифференциации, реализация фармакологического эффекта противоопухолевых препаратов на уровне кожи часто приводит к нарушению формирования барьерных структур кожи. Поэтому из всех средств лечебной дерматологической косметики для онкологических пациентов наиболее оптимально подходящими являются средства, применяемые при сухой атопичной коже, поскольку при атопическом дерматите (АтД) ключевым патогенетическим звеном является генетически обусловленный дефект барьерных структур кожи. Соответственно, средства лечебной косметики для сухой и атопичной кожи содержат компоненты, восстанавливающие гидролипидную мантию, направленные на коррекцию микробиома кожи, и нередко включают дополнительные противозудные компоненты.
Одним из таких средств является LIPIKAR BAUME AP+M (La Roche-Posay), относящийся к последнему поколению эмолентов – эмоленты-плюс. Кроме увлажняющих, липидовосстанавливающих, смягчающих компонентов в состав LIPIKAR AP+М входят ингредиенты, позволяющие восстановить микробиом кожи, а также оказывающие успокаивающее и противозудное действия. Эти компоненты важны для пациентов с ЗНО, у которых нарушены барьерные функции кожи в результате основного заболевания или воздействия лекарственных препаратов. Как правило, нарушение эпидермального барьера сопровождается сухостью кожи и зудом, что является основной жалобой пациента. Поэтому профилактика появления зуда и своевременная коррекция кожных проявлений побочных эффектов, вызывающих зуд, является важной задачей для врача-онколога. LIPIKAR BAUME AP+M содержит экстракты масел натурального происхождения (масло карите 20%, масло канолы 2%), а также глицерин для моментального смягчения, увлажнения и восстановления гидролипидного барьера кожи. Также LIPIKAR BAUME AP+M уменьшает зуд благодаря входящему в состав ниацинамиду и термальной воде LA ROCHE-POSAY. Ниацинамид (витамин PP, витамин B3) является водорастворимым низкомолекулярным веществом, принимающим участие в ряде ключевых процессов гомеостаза кожи. Одной из его важных особенностей является антигистаминное действие, клинически выражающееся в снижении локальной воспалительной реакции кожи и снижении интенсивности зуда. Другая его особенность – участие в регулировании оксидативного стресса организма за счет связывания свободных радикалов. Стоит отметить еще одно свойство ниацинамида, обусловливающее его противовоспалительное и, соответственно, противозудное действие, через механизм ингибирования 3,5-цАМФ-фосфодиэстеразы. Термальная вода LA ROCHE-POSAY содержит в своем составе природно высокую концентрацию селена – мощного антиоксиданта. Также селен участвует в синтезе α-кератина – одного из основных белков кожи, волос и ногтей.
LIPIKAR BAUME AP+M подтвердил свою противозудную эффективность в клинических исследованиях. Так, в одном наблюдательном исследовании (при участии 51 пациента в возрасте от 3 лет до 61 года с АтД средней и тяжелой степени, которые наносили LIPIKAR BAUME АP+M 1 раз в день вечером и очищали кожу липидовосcтанавливающим очищающим кремом-гелем LIPIKAR SYNDET AP+ 2 раза в день) установлено, что после использования обоих средств в течение 14 дней интенсивность зуда уменьшилась на 41%, а его длительность – на 38% [38].
В другое рандомизированное открытое контролируемое многоцентровое исследование включили 71 пациентку с раком молочной железы, получающую химиотерапию (антрациклин или таксан + трастузумаб). Пациенток разделили на 2 группы, участницы 1-й группы использовали стандартную схему ухода за кожей, во 2-й группе пациентки наносили на кожу LIPIKAR BAUME АP+М дважды в день в течение 12 нед. Эффективность средств оценивали по интенсивности зуда, ксероза и раздражения. Результаты исследования показали, что уже через 6 нед пациентки 2-й группы, которые использовали LIPIKAR BAUME АP+M, отметили достоверное снижение интенсивности зуда, уменьшение ксероза и раздражения кожи, в отличие от 1-й группы, которая использовала альтернативное увлажняющее средство. Таким образом, LIPIKAR BAUME АP+М укрепляет защитные функции кожи и улучшает качество жизни пациентов, получающих химиотерапевтическое лечение [39].
Таким образом, зуд в онкологической практике может быть полиэтиологическим симптомом. В зависимости от характера опухолевого процесса и с учетом клинических особенностей пациента может потребоваться разностороннее клиническое, лабораторное и инструментальное обследование пациента, а подходы к терапии включают универсальные и специфические противозудные методы лечения.
Раскрытие интересов. Авторы декларируют отсутствие явных и потенциальных конфликтов интересов, связанных с публикацией настоящей статьи.
Disclosure of interest. The authors declare that they have no competing interests.
Вклад авторов. Авторы декларируют соответствие своего авторства международным критериям ICMJE. Все авторы в равной степени участвовали в подготовке публикации: разработка концепции статьи, получение и анализ фактических данных, написание и редактирование текста статьи, проверка и утверждение текста статьи.
Authors’ contribution. The authors declare the compliance of their authorship according to the international ICMJE criteria. All authors made a substantial contribution to the conception of the work, acquisition, analysis, interpretation of data for the work, drafting and revising the work, final approval of the version to be published and agree to be accountable for all aspects of the work.
Источник финансирования. Авторы декларируют отсутствие внешнего финансирования для проведения исследования и публикации статьи.
Funding source. The authors declare that there is no external funding for the exploration and analysis work.
Соответствие принципам этики. Клинические и дерматоскопические фотографии, представленные в статье, публикуются с письменного согласия пациентов.
Ethics approval. Clinical and dermatoscopic photographs presented in the article are published with the written consent of the patients.
About the authors
Anna V. Michenko
Central State Medical Academy of the Administrative Department of the President of the Russian Federation; Medical Research and Educational Center of Lomonosov Moscow State University
Author for correspondence.
Email: amichenko@mail.ru
ORCID iD: 0000-0002-2985-5729
Cand. Sci. (Med.)
Russian Federation, Moscow; MoscowAndrey N. Lvov
Central State Medical Academy of the Administrative Department of the President of the Russian Federation; Medical Research and Educational Center of Lomonosov Moscow State University
Email: amichenko@mail.ru
ORCID iD: 0000-0002-3875-4030
D. Sci. (Med.), Prof.
Russian Federation, Moscow; MoscowLarisa S. Kruglova
Central State Medical Academy of the Administrative Department of the President of the Russian Federation
Email: kruglovals@mail.ru
ORCID iD: 0000-0002-5044-5265
D. Sci. (Med.), Prof.
Russian Federation, MoscowDmitry V. Romanov
3Sechenov First Moscow State Medical University (Sechenov University); Mental Health Research Center
Email: newt777@mail.ru
ORCID iD: 0000-0002-1822-8973
D. Sci. (Med.)
Russian Federation, Moscow; MoscowEkaterina A. Kuzma
Central State Medical Academy of the Administrative Department of the President of the Russian Federation
Email: miss.fedulina1998@yandex.ru
ORCID iD: 0000-0002-8079-8002
Medical Resident
Russian Federation, MoscowReferences
- Dickison P, Swain G, Peek JJ, Smith SD. Itching for answers: Prevalence and severity of pruritus in psoriasis. Australas J Dermatol. 2018;59(3):206-9. doi: 10.1111/ajd.12747
- Pavlis J, Yosipovitch G. Management of Itch in Atopic Dermatitis. Am J Clin Dermatol. 2018;19(3):319-32. doi: 10.1007/s40257-017-0335-4
- Lim YL, Chan YH, Yosipovitch G, Greaves MW. Pruritus is a common and significant symptom of acne. J Eur Acad Dermatol Venereol. 2008;22(11):1332-6. doi: 10.1111/j.1468-3083.2008.02828.x
- Rowe B, Yosipovitch G. Malignancy-associated pruritus. Eur J Pain. 2016;20(1):19-23. doi: 10.1002/ejp.760
- Ahern K, Gilmore ES, Poligone B. Pruritus in cutaneous T-cell lymphoma: a review. J Am Acad Dermatol. 2012;67(4):760-8. doi: 10.1016/j.jaad.2011.12.021
- Mills KC, Kwatra SG, Feneran AN, et al. Itch and pain in nonmelanoma skin cancer: pain as an important feature of cutaneous squamous cell carcinoma. Arch Dermatol. 2012;148(12):1422-3. doi: 10.1001/archdermatol.2012.3104
- Chiang HC, Huang V, Cornelius LA. Cancer and itch. Semin Cutan Med Surg. 2011;30(2):107-12. doi: 10.1016/j.sder.2011.05.003
- Lacouture ME (ed.). Dermatologic Principles and Practice in Oncology. 2014.
- Миченко А.В., Круглова Л.С., Шатохина Е.А., и др. Дерматологическая токсичность ингибиторов EGFR: патогенетическое обоснование и алгоритм коррекции акнеподобной сыпи. Онкогематология. 2021;16(4):50-8 [Michenko AV, Kruglova LS, Shatokhina EA, et al. Dermatologicheskaia toksichnost' ingibitorov EGFR: patogeneticheskoe obosnovanie i algoritm korrektsii aknepodobnoi sypi. Onkogematologiia. 2021;16(4):50-8 (in Russian)]. doi: 10.17650/1818-8346-2021-16-4-50-58
- Yosipovitch G. Chronic pruritus: A paraneoplastic sign. Dermatol Ther. 2010;23:590-6.
- Jones EA, Bergasa NV. Why do cholestatic patients itch? Gut. 1996;38:644-5.
- Wang H, Yosipovitch G. New insights into the pathophysiology and treatment of chronic itch in patients with end-stage renal disease, chronic liver disease, and lymphoma. Int J Dermatol. 2010;49:1-11.
- Naser AY, Hameed AN, Mustafa N, et al. Depression and Anxiety in Patients With Cancer: A Cross-Sectional Study. Front Psychol. 2021;12:585534. doi: 10.3389/fpsyg.2021.585534
- Smith HR. Depression in cancer patients: Pathogenesis, implications and treatment (Review). Oncol Lett. 2015;9(4):1509-14. doi: 10.3892/ol.2015.2944
- Schmelz M, Schmidt R, Weidner C, et al. Chemical response pattern of different classes of C-nociceptors to pruritogens and algogens. J Neurophysiol. 2003;89:2441-8.
- Steinhoff M, Bienenstock J, Schmelz M, et al. Neurophysiological, neuroimmunological, and neuroendocrine basis of pruritus. J Invest Dermatol. 2006;126:1705-18.
- Parker F. Structure and function of skin. In: Goldma L, Bennett JC (ed.). Cecil Textbook of Medicine. 21st ed. Philadelphia: Saunders, 2000; p. 2266.
- Mir A, Agim NG, Kane AA, et al. Giant Congenital Melanocytic Nevus Treated With Trametinib. Pediatrics. 2019;143(3):e20182469. doi: 10.1542/peds.2018-2469
- Yuan T, Lu XH, Tang B Mr, et al. Differences in clinical characteristics and lesion proteomics between inflammatory linear verrucous epidermal nevus and local verrucous epidermal nevus. J Proteomics. 2022;260:104554. doi: 10.1016/j.jprot.2022.104554
- Veraldi S, Bocor M, Gianotti R, Gasparini G. Multiple eruptive dermatofibromas localized exclusively to the buttock. Int J Dermatol. 1991;30(7):507-8. doi: 10.1111/j.1365-4362.1991.tb04875.x
- Husain Z, Ho JK, Hantash BM. Sign and pseudo-sign of Leser-Trélat: case reports and a review of the literature. J Drugs Dermatol. 2013;12(5):e79-87. PMID: 23652964.
- Saini KS, Patnaik MM, Tefferi A. Polycythemia vera-associated pruritus and its management. Eur J Clin Invest. 2010;40(9):828-34. doi: 10.1111/j.1365-2362.2010.02334.x
- Villafranca JJ, Siles MG, Casanova M, et al. Paraneoplastic pruritus presenting with Hodgkin’s lymphoma: a case report. J Med Case Rep. 2014;8:300. doi: 10.1186/1752-1947-8-300
- Meyer N, Paul C, Misery L. Pruritus in Cutaneous T-cell Lymphomas: Frequent, Often Severe and Difficult to Treat. Acta Derm Venereol. 2010;90:12-7. doi: 10.2340/00015555-0789
- Dummer R, Heald PW, Nestle FO, et al. Sezary syndrome T-cells clones display T-helper2 cytokines and express the accessory factor-1 (interferon gamma receptor beta-chain). Blood. 1996;88:1383-9.
- Yamamoto T, Katayama I, Nishioka N. Role of mast cell and stem cell factor in hyperpigmented mycosis fungoides. Blood. 1997;90:1338-40.
- Vermeer MH, Willemze R. Is Mycosis Fungoides exacerbated by fluoxetine? J Am Acad Dermatol. 1996;35:635-6.
- Brandes LJ, La Bella FS, Warrington FC. Increased therapeutic index of antineoplastic drugs in combination with intracellular histamine antagonist. J Natl Cancer Inst. 1991;83:1329-36.
- Yosipovitch G, Szolar C, Hui XY, Maibach H. High-potency topical corticosteroid rapidly decrease histamine-induced itch but not thermal sensation and pain in human beings. J Am Acad Dermatol. 1996;35:118-20.
- Bingham LG, Noble JW, Davis MD. Wet dressing used with topical corticosteroids for pruritic dermatoses: a retrospective study. J Am Acad Dermatol. 2009;60:792-800.
- Phan NQ, Bernhard JD, Luger TA, et al. Antipruritic treatment with systemic mu-opioid receptor antagonists: A review. J Am Acad Dermatol. 2009;63:680-8.
- Lidstone V, Thorns A. Pruritus in cancer patients. Cancer Treat Rev. 2001;27:305-12.
- Barrios DM, Phillips GS, Geisler AN, et al. IgE blockade with omalizumab reduces pruritus related to immune checkpoint inhibitors and anti-HER2 therapies. Ann Oncol. 2021;32(6):736-45.
- Askling J, Linet M, Gridley G, et al. Cancer incidence in a population based cohort of individuals hospitalized with celiac disease or dermatitis herpetiformis. Gastroenterology. 2002;123:1428-35.
- Pacheco M, Ferreira H, Silva C, et al. Antinuclear Antibody (ANA) and Anti-Mi-2-Alpha Positive Dermatomyositis Hinting a Cancer Diagnosis. Cureus. 2022;14(2):e21844. doi: 10.7759/cureus.21844
- Sanders KM, Akiyama T. The vicious cycle of itch and anxiety. Neurosci Biobehav Rev. 2018;87:17-26.
- Reich A, Trybucka K, Tracinska A, et al. Acne Itch: Do Acne Patients Suffer From Itching? Acta Derm Venereol. 2008;88(1):38-42.
- Seité S, Moyal D. Using an emollient lotion to improve objective and subjective symptoms in atopic patients. 24th World Congress of dermatology. Abstract book. Milan, 2022.
- Wohlrab J, Bangemann N, Kleine-Tebbe A, et al. Barrier protective use of skin care to prevent chemotherapy-induced cutaneous symptoms and to maintain quality of life in patients with breast cancer. Breast Cancer (Dove Med Press). 2014;6:115-22. doi: 10.2147/BCTT.S61699
Supplementary files






