Дерматологические маски гистиоцитоза из клеток Лангерганса. Клинический случай
- Авторы: Белышева Т.С.1, Валиев Т.Т.1,2, Мурашкин Н.Н.2,3,4
-
Учреждения:
- ФГБУ «Национальный медицинский исследовательский центр онкологии им. Н.Н. Блохина» Минздрава России
- ФГАОУ ВО «Первый Московский государственный медицинский университет им. И.М. Сеченова» Минздрава России (Сеченовский Университет)
- ФГАУ «Национальный медицинский исследовательский центр здоровья детей» Минздрава России
- ФГБУ ДПО «Центральная государственная медицинская академия» Управления делами Президента РФ
- Выпуск: Том 24, № 8 (2022)
- Страницы: 541-546
- Раздел: Статьи
- Статья опубликована: 02.08.2022
- URL: https://consilium.orscience.ru/2075-1753/article/view/112311
- DOI: https://doi.org/10.26442/20751753.2022.8.201817
- ID: 112311
Цитировать
Полный текст
Аннотация
Гистиоцитоз из клеток Лангерганса (ГКЛ) является редкой патологией в детском возрасте с гетерогенной клинической картиной поражения костной системы, кожи, центральной нервной системы, печени, селезенки, легких, лимфатических узлов и костного мозга. В связи с этим возрастает частота диагностических ошибок и проводится неадекватная терапия. За время диагностики, попыток терапии ГКЛ диссеминирует с поражением органов и систем организма и к этапу морфо-иммунологической верификации диагноза заболевание характеризуется мультиорганным многоочаговым поражением, что существенно снижает показатели выживаемости больных. В статье приводится описание клинического случая ГКЛ, когда ребенок наблюдался дерматологом по поводу атопического дерматита около 2 лет. Отсутствие убедительного эффекта от проводимой местной терапии наряду с не совсем типичной для атопического дерматита клинической картиной не стали показанием для биопсии кожи. Только присоединение системных симптомов с развитием анемии, лейко- и тромбоцитопении заставили обратиться за консультацией к детскому онкологу-гематологу.
Полный текст
Среди гистиоцитарных и дендритноклеточных опухолей гистиоцитоз из клеток Лангерганса (ГКЛ) является наиболее частым заболеванием у детей. По своей морфо-иммунологической природе ГКЛ развивается из миелоидных клеток-предшественников и в 60% случаев характеризуется мутациями в гене BRAF. Ежегодно ГКЛ диагностируется с частотой 4–5 случаев на 1 млн детского населения. Наиболее часто заболевают дети в возрасте до 2 лет [1].
Клиническая картина ГКЛ весьма полиморфна с частым поражением костной системы (80%), кожи (33%), центральной нервной системы, включая гипофиз (25%), печени (15%), селезенки (15%), костного мозга (15%), легких (15%). Реже происходит поражение лимфатических узлов (5–10%). Неспецифические симптомы, такие как лихорадка, вялость и потеря массы тела, могут отмечаться у пациентов с односистемной или мультисистемной формой заболевания [2, 3].
Поражение кожи при ГКЛ является одним из частых и, как правило, ассоциировано с вовлечением в патологический процесс других органов и систем организма. Для ГКЛ характерен полиморфизм кожных высыпаний, который представлен в виде точечных эритематозных или телесного цвета папул или пустул. Клиническая картина может имитировать себорейный дерматит или экзематизированную эритематозную, телесного или коричневого цвета петехиальную сыпь с чешуйками, корками или без них или пурпуру. Описаны высыпания, напоминающие ксантомы, витилиго, крапивницу [4]. У детей в возрасте до года поражения кожи волосистой части головы при ГКЛ часто ошибочно принимают за себорейный дерматит, а специфическое поражение кожи паховой области – за резистентный к терапии рецидивирующий пеленочный дерматит [5]. В литературе приводится широкий спектр кожных проявлений ГКЛ, включающий гипо- [6] или гиперпигментированные пятна [7], пятнисто-папулезные, варицеллоподобные папуло-пустулезные высыпания [8], эритематозные, лихенифицированные [9] или напоминающие пойкилодермию бляшки [10], везикулы [11], опухолеподобные поражения сосудистой природы, пятна, напоминающие пурпуру, красновато-синюшные узлы [12], эритематозные, изъязвленные, геморрагические поражения [13], папулы желтовато-оранжевого цвета [10], а также папулы и бляшки фиолетового цвета [14]. Поражения кожи часто сопровождаются зудом [15].
С учетом гетерогенной клинической картины кожных поражений при ГКЛ диагностика данного патологического процесса сложная, и пациенты могут длительное время проходить лечение по поводу иной кожной патологии.
Клинический случай
Родители пациента – без отягощенного по атопии семейного анамнеза. В возрасте 1 год и 8 мес впервые отметили появление у ребенка высыпаний с гнойным отделяемым в перианальной и межъягодичной областях, сопровождающиеся выраженной болезненностью. Обратились к дерматологу по месту жительства, рекомендован местный топический глюкокортикостероидный (тГКС) комбинированный препарат в форме мази (бетаметазона дипропионат в сочетании с клотримазолом и с гентамицином в форме сульфата, тГКС III класса), а также крем с действующим веществом декспантенол 5%. Лечение с минимальным терапевтическим эффектом в виде уменьшения объема гнойного отделяемого. Вскоре отметили появление высыпаний на коже скальпа (волосистая часть), ушных раковин в виде эритемы, выраженного шелушения, формирование трещин, не сопровождающееся зудом. Продолжали лечение комбинированным препаратом в форме мази (бетаметазона дипропионат в сочетании с клотримазолом и с гентамицином в форме сульфата, тГКС III класса) на области скальпа и ушных раковин в режиме через день длительно с незначительным терапевтическим эффектом в виде уменьшения шелушения. Через неделю после отмены терапии отмечали ухудшение со стороны кожных покровов, лечение возобновляли. Отечности, экссудации, мокнутия в области высыпаний не отмечалось. Кожа лица, кистей, бедер, наружных поверхностей голеней оставалась интактной.
До 4 лет ребенок находился под наблюдением дерматолога по месту жительства с диагнозом «атопический дерматит» (АтД). За время лечения также рекомендована терапия различными противоаллергическими препаратами – стабилизатором мембран тучных клеток (кетотифен), блокаторами гистаминовых Н1-рецепторов (цетиризина дигидрохлорид), седативными препаратами растительного происхождения (экстракт валерианы) и средствами, улучшающими метаболизм головного мозга (глицин микрокапсулированный). В связи с болезненностью при акте дефекации, вызванной высыпаниями в перианальной области, назначены слабительное средство (лактулоза), противодиарейный препарат (Saccharomyces boulardii CNCM I-745 лиофилизат), биологически активная добавка к пище, сочетающая пробиотики (живые молочнокислые бактерии Lactobacillus rhamnosus GG) и пребиотики (фруктоолигосахариды), иммуномодулирующий препарат с противовирусным действием в форме ректальных суппозиториев (интерферон a-2b человеческий рекомбинантный). Применялись различные схемы наружной терапии. На область высыпаний на коже скальпа и ушных раковин наносился топический кортикостероид в форме мази (метилпреднизолона ацепонат, тГКС III класса) 2 раза в день длительно (более 2 нед), тГКС в форме мази (флутиказона пропионат, тГКС III класса) пополам с антисептиком для наружного применения в форме крема (бензалкония хлорид в сочетании с цетримидом) 2 раза в день длительно (более 2 нед). На коже перианальной области применялась мазь (бетаметазона дипропионат в сочетании с клотримазолом и с гентамицином в форме сульфата, тГКС III класса) 1:1 с цинковой мазью (цинка оксид) 10% 2 раза в день длительно (более 2 нед), комбинированный препарат с противовоспалительным, антибактериальным, противогрибковым и регенерирующим действием в форме крема (мометазона фуроат в сочетании с гентамицина сульфатом, декспантенолом, эконазола нитратом) 1:1 с цинковой мазью (цинка оксид) 10% 2 раза в день длительно (более 2 нед) и другими средствами без выраженного терапевтического эффекта. Улучшения на фоне соблюдения гипоаллергенной диеты также не отмечалось. Сезонности обострений и влияния провоцирующих факторов (аллергенов, ирритантов, пищевых продуктов) не прослеживалось. Количество элементов сыпи (эритематозных папул красновато-коричневого цвета, корок желтовато-серого цвета) прогредиентно увеличивалось, постепенно вовлекая в процесс преимущественно кожу лица (лоб, височные области), туловища. В то же время кожа шеи (задняя поверхность), локтевых и подколенных складок, сгибательных поверхностей в проекции голеностопных и лучезапястных суставов оставалась свободной от высыпаний. Жалобы на зуд отсутствовали.
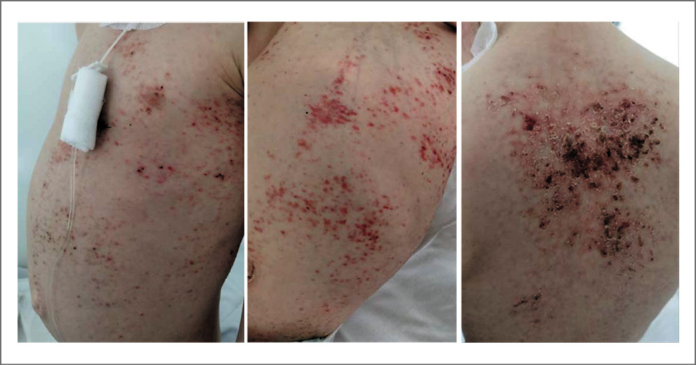
В возрасте 4 лет общее состояние ребенка ухудшилось, ребенок стал вялым, снизился аппетит. При обследовании по месту жительства в общем анализе крови: лейкоциты 1,55×109/л, эритроциты 3,45×1012/л, тромбоциты 93×109/л, нейтрофилы 0,5×109/л. Для исключения опухолевого заболевания системы крови пациент поступил в НИИ детской онкологии и гематологии. На момент обращения высыпания на коже лица, волосистой части головы, туловища представлены эритемой, папулами красновато-коричневого цвета диаметром от 0,2 до 0,4 см, желтовато-серыми корками (рис. 1, 2).
Рис. 1. Состояние кожи головы до начала лечения.
Рис. 2. Состояние кожи живота и спины до начала лечения.
На основании комплексного лабораторно-инструментального обследования, включавшего биопсию кожи с морфо-иммунологическим исследованием, установлен диагноз: мультисистемный многоочаговый ГКЛ с поражением кожи, височных костей, правой подвздошной кости, верхнечелюстных пазух, лимфатических узлов шеи, паховых, подмышечных с обеих сторон, органов риска (печень, селезенка, костный мозг). Группа высокого риска.
Пациенту начата терапия по протоколу LCH III (винбластин, преднизолон) с выраженным клиническим эффектом (рис. 3, 4).
Рис. 3. Cостояние кожи головы после 2 нед противоопухолевой терапии в НИИ детской онкологии и гематологии – разрешение элементов.
Рис. 4. Состояние кожи спины спустя 6 мес противоопухолевого лекарственного лечения.
Таким образом, установленный клинический диагноз, множественная диссеминация ГКЛ стратифицировали больного в группу высокого риска программной химиотерапии. Выбранная тактика позволила провести программную терапию с выраженным клиническим эффектом.
Обсуждение
АтД – лидирующий в детской популяции мультифакторный воспалительный дерматоз иммуноаллергической природы, характеризующийся выраженным кожным зудом, хроническим течением со стадиями обострения и ремиссий, возрастзависимой палитрой морфологических элементов в анатомических зонах интереса. Детские дерматологи ежедневно сталкиваются с первичными пациентами с атопией. Диагностический алгоритм включает сбор аллергоанамнеза, оценку площади поражения и тяжести течения болезни, аллергологическое обследование. Для АтД определены основные критерии диагностики: кожный зуд, характерные морфологические элементы сыпи в типичных анатомических областях, раннее начало заболевания, хроническое рецидивирующее течение, отягощенный семейный анамнез по атопии. К дополнительным критериям относятся: сухость кожных покровов, реакции гиперчувствительности немедленного типа (тест с аллергенами), белый дермографизм, линия Денни–Моргана (Dennie–Morgan; продольная суборбитальная складка нижнего века), гиперпигментация кожи периорбитальной области, кератоконус (коническая форма роговицы), рецидивирующий конъюнктивит, гиперлинейность и усиление рисунка ладоней, экзема сосков.
При анализе анамнестических данных необходимо учитывать антенатальные факторы риска развития АтД: токсикозы беременных, массивную сопроводительную медикаментозную терапию, контакт беременной женщины с пищевыми и профессиональными аллергенами. К постнатальным факторам относятся искусственное вскармливание, раннее введение в пищу твердых продуктов, ранний контакт с медикаментами, нерациональный уход за кожей младенца. Важно оценивать аллергические (атопические) заболевания в семье ребенка, перенесенные ранее пациентом аллергические заболевания, реакции на введение сывороток, вакцин, лекарственных препаратов. Также необходимо анализировать факторы, провоцирующие обострение: влияние климата и погоды, отрицательных эмоций, респираторных инфекций, пищевых, бытовых и физических триггеров, тропность к вторичному инфицированию вирусными и бактериальными агентами (герпес, пиодермия и др.).
Элементы сыпи и вовлеченные в патологический процесс анатомические области непосредственно ассоциированы с возрастом пациента. Высыпания у детей первых лет жизни имеют островоспалительный характер – представлены отеком, эритемой, экссудацией, мокнутием, микровезикулами и папулами. Расположены преимущественно на коже лица, кистей, бедер, наружных поверхностей голеней. У детей старшего возраста в клинической картине превалируют лихенификация и папулы в области сгибательных поверхностей верхних и нижних конечностей.
Выделяют 3 стадии заболевания. Младенческая стадия манифестирует в период новорожденности и продолжается до 2 лет. Для этого периода характерна экссудативная форма АтД – клиническая картина представлена острым воспалением в виде гиперемии, инфильтрации и отека кожи, экзематозных папул до 0,1 см в диаметре, микровезикул с серозным содержимым. Последние при вскрытии формируют «экзематозные колодцы», способствуя выраженной экссудации и мокнутию. Детей беспокоит выраженный зуд, болезненность и жжение кожи. Экскориации приводят к формированию серозно-геморрагических корок на поверхности очагов. Не редкость вторичное инфицирование. Высыпания симметричные, расположены преимущественно в области щек, лба и подбородка (характерный симптом – интактная кожа носогубного треугольника), на кистях, возможно, на бедрах, наружных поверхностях голеней. Распространенный АтД (диссеминированная форма) характеризуется расположением высыпаний на коже туловища, а также конечностей с преимущественным поражением их разгибательных поверхностей. Менее распространенной формой АтД младенческой стадии (до 30% случаев) является эритематозно-сквамозная. В клинической картине превалируют гиперемия и инфильтрация со слабым шелушением. Высыпания в виде эритематозных пятен и папул расположены на коже лба, щечной области, в зоне скальпа (волосистая часть). Субъективно беспокоит зуд. Патогномоничным симптомом является усиление эритемы в вечерние часы и почти полное ее отсутствие утром.
Детская стадия АтД начинается в возрасте 2 и длится до 12 лет. Представлена несколькими клиническими формами: эритематозно-сквамозная, лихеноидная и пруригинозная.
По распространенности процесса выделяют ограниченный АтД (преимущественно кожа лица, не более 5–10% поверхности кожных покровов); распространенный АтД (10–50%); диффузный АтД (более 50%).
По стадиям течения АтД: обострение, неполная ремиссия, ремиссия.
По степени тяжести процесса: легкое течение, средней тяжести, тяжелое течение.
Диагностика АтД включает лабораторные и инструментальные методы исследования. Клинический анализ крови (эозинофилия), кожные тесты с аллергенами (прик-тест, скарификационные кожные пробы) выявляют иммуноглобулин (Ig)E-опосредованные аллергические реакции. Элиминационная диета (сенсибилизация к злаковым, белкам коровьего молока и др.). В некоторых клинических случаях может быть рекомендовано определение аллергенспецифических IgE-антител in vitro (в сыворотке крови) [16].
Дифференциальная диагностика АтД включает целый ряд заболеваний. Себорейный дерматит – у младенцев заболевание манифестирует в первые недели жизни. Этиологический фактор – гриб Pityrosporum ovale. Заболевание представлено эритематозными очагами с фестончатыми краями, скоплением в местах выраженного салоотделения, преимущественно на коже скальпа (волосистой части), в области носогубных и паховых складок, массивных слоистых «молочных» жирных корок желтого цвета. Зуд при себорейном дерматите слабый или отсутствует. Дифференциальный диагноз с АтД проводят на основании клинических характеристик, слабовыраженного зуда, самопроизвольного разрешения в грудном возрасте, отсутствием связи обострений с сезоном, нехарактерной гипериммуноглобулинемией. Пеленочный дерматит – еще одна нозология, патогномоничная для детей раннего возраста. Заболевание обусловлено дефектами ухода за ребенком (раздражение кожи мочой, калом, синтетическими моющими средствами). Характеризуется эритемой, отечностью, уртикарной сыпью, везикулами, пустулами, корками, расположенными в области промежности, ягодиц, бедер. Зуд отсутствует. От АтД заболевание позволяет дифференцировать установленный этиологический фактор, локализация и характер элементов сыпи, быстрое излечение после устранения триггера. Чесотка – паразитарное заболевание, встречается в любом возрасте. Процесс вызывает Sarcoptes scabiei. На коже отмечаются зудящие папулы и везикулы, располагающиеся линейно, попарно, характерные чесоточные ходы, расчесы. Типичная локализация – межпальцевые складки, сгибательные поверхности конечностей, паховая область, живот, у младенцев часто поражается подмышечная область, шея, ладони, подошвы. При нерациональном лечении развивается экзематизация и импетигинизация очагов. Заболевание сопровождается сильным упорным кожным зудом, преимущественно вечером и в ночное время. Чесотка может быть заподозрена при аналогичных симптомах у других членов семьи. Диагноз устанавливается после лабораторного обнаружения чесоточного клеща в соскобе, что представляет определенную сложность у детей с тщательным гигиеническим режимом. Десквамативная эритродермия Лейнера–Муссу – крайне редкая патология, встречается у детей первого месяца жизни, этиологически связана с нарушением фагоцитоза. Клинически заболевание представлено диффузной эритемой, мокнутием, мацерацией, образованием трещин, наслоением массивных корок (преимущественно на волосистой части головы), обильным отрубевидным и пластинчатым шелушением, диареей, задержкой прибавки массы тела, синдромом мальабсорбции. Высыпания быстро прогрессируют, занимая всю поверхность туловища, конечностей, кожу лица в течение нескольких дней. Особенно тяжелое поражение отмечается в области промежности, пахово-бедренных, подмышечных складок, на ягодицах. Зуд при этом слабый или отсутствует. Общее тяжелое состояние, развитие сепсиса, отсутствие семейного атопического анамнеза позволяют дифференцировать заболевание с АтД. Синдром Вискотта–Олдрича – наследственный первичный иммунодефицит. Заболевание проявляется при рождении наличием тромбоцитопении, высыпаниями, напоминающими АтД, рецидивирующими инфекциями. Кожная симптоматика представлена упорными эритематозно-сквамозными высыпаниями, экскориациями, экссудацией в области лица, кистей, выраженным зудом. От АтД заболевание отличают характерные кровоизлияния на коже и слизистых в виде пурпуры и экхимозов за счет выраженной тромбоцитопении, рецидивирующие вирусные, бактериальные и грибковые заболевания кожи и других органов. Розовый лишай Жибера – дерматоз, наиболее часто встречающийся среди лиц старшего подросткового возраста, преимущественно в весенне-осенний период. Представляет собой дерматологическое проявление вирусной инфекции. Инициально представлен «материнским пятном» розового цвета с желтоватым оттенком и шелушением в центре, в последующем – обильными высыпаниями в виде небольших розовых пятен диаметром 0,5–1,0 см с мелкими складчатыми чешуйками по типу папиросной бумаги в центре. Поражаются преимущественно боковая поверхность туловища, спина, плечи, бедра (по линиям Лангера). Зуд слабо выражен. Для заболевания характерна весенне-осенняя сезонность, разрешаются высыпания при рациональном уходе за 6 нед. Наследственные нарушения обмена триптофана выявляются уже в раннем возрасте, обычно в связи с сопутствующей неврологической симптоматикой (мозжечковой атаксией), а также панкреатитом. Нарушения кожных покровов представлены гиперемией, отечностью, везикулами, экссудацией, корками. Высыпания локализуются преимущественно на коже лица, разгибательных поверхностей конечностей, туловище, ягодицах. Для детей старшего возраста характерны гиперемия, папулы, лихенификация, экскориации, расположенные в области шеи, суставов, сгибательных поверхностей конечностей, периорбитальной и перианальной зонах. Течение заболевания сопровождается сильным зудом. Ихтиоз обыкновенный (ксероз, вульгарный ихтиоз, обыкновенный ихтиоз аутосомно-доминантный) – генодерматоз, манифестирует в первые месяцы жизни. Характеризуется фолликулярным гиперкератозом, сухостью кожи, муковидным, отрубевидным, мелкопластинчатым шелушением, усилением складчатости и кожного рисунка ладоней и подошв, ломкостью ногтей и волос. Поражение кожи носит диффузный характер – в патологический процесс вовлекаются туловище, верхние и нижние конечности, однако кожа локтевых и подколенных складок остается интактной, также поражаются ладони и подошвы, ногти, волосы. Зуд выражен слабо, однако зимой зуд и сухость кожи усиливаются. Возможно сочетание (1/3 случаев) обыкновенного ихтиоза и АтД. Микробная экзема поражает кожу в любом возрасте. Клиническим проявлениям часто предшествуют травматические и пиогенные поражения. Развитие заболевания обусловлено сенсибилизацией к стрептококку и стафилококку. Представлено эритематозными очагами с четкими границами (1–3 см) насыщенного красного цвета, часто асимметричными в области голеней, могут иметь распространенный характер. Отмечаются умеренный зуд, иногда жжение, болезненность. На месте разрешившихся элементов остаются гипо- или гиперпигментированные пятна, повторяющие контуры предшествующих бляшек. Псориаз обыкновенный – мультифакторный дерматоз с наследственной предрасположенностью. Встречается в любом возрасте, характеризуется гиперпролиферацией эпидермальных клеток, нарушением кератинизации и воспалительной реакцией в дерме. Элементы сыпи представлены папулами, бляшками, покрытыми серебристыми чешуйками, с локализацией на волосистой части головы, разгибательной поверхности локтевых и коленных суставов, любых участках кожного покрова. Зуд слабый. Характерна диагностическая псориатическая триада: симптом «стеаринового пятна», «терминальной пленки» и «кровяной росы». Герпетиформный дерматит Дюринга – заболевание детей старшего возраста, обусловленное повышенной чувствительностью к глютену и целиакией. Клинически проявляется мелкими напряженными пузырьками на эритематозном фоне, мелкими папулами и волдырями, располагающимися сгруппированно и симметрично преимущественно на коже туловища, разгибательных поверхностях конечностей, ягодиц. Высыпания сопровождаются сильным жжением кожи. Диагностически значимы провоцирующая роль препаратов йода, глютеновой пищи (злаки), эозинофилы в содержимом пузырьков, отложения IgA в коже. Т-клеточная лимфома кожи (ранние стадии; грибовидный микоз) не описана у детей раннего возраста. В виде единичных наблюдений грибовидный микоз отмечен у подростков. На ранних стадиях грибовидный микоз представлен отечными пятнами ярко-розовой окраски с шелушением, на более поздних стадиях – бляшками и узлами преимущественно на коже туловища, конечностей. Злокачественный процесс сопровождается мучительным зудом. Дифференциальный диагноз с АтД позволяет провести более характерная манифестация заболевания в возрасте после 30 лет, быстрый переход от пятен к инфильтративно-бляшечным элементам, их беспорядочная локализация, длительное тяжелое течение, результаты биопсии кожи.
ГКЛ также требует проведения дифференциальной диагностики с АтД, себорейным дерматитом, псориазом. Для ГКЛ характерен полиморфизм кожных высыпаний: точечные эритематозные или телесного цвета папулы или пустулы; высыпания напоминают ксантомы, витилиго, крапивницу. Окончательный диагноз устанавливается при комплексном обследовании больного, включающем рентгеновскую компьютерную томографию, ультразвуковое исследование, радиоизотопное исследование с 99Тс (для исключения поражения костей), общий и биохимический анализы крови.
Лечение АтД включает элиминационные мероприятия, гипоаллергенную диету, лечение сопутствующей патологии, топическую и системную лекарственную терапию. Целью наружного лечения АтД является купирование воспаления и зуда, восстановление водно-липидного слоя для поддержания барьерной функции кожи [17]. Местные ГКС – препараты выбора в качестве инициальной терапии при среднетяжелой и тяжелой формах АтД, препараты 1-й линии при лечении обострений заболевания [18]. Непрерывный курс терапии топическими стероидами не должен превышать 2 нед. Компромиссным решением могут быть интермиттирующие курсы или терапия топическими ингибиторами кальциневрина [19]. При неэффективности местной терапии и/или появлении системных симптомов заболевания следует рассмотреть возможность проведения биопсии кожи.
Заключение
Представленный клинический случай демонстрирует нетипичный для АтД анамнез заболевания, клиническую картину, отсутствие эффекта от топических кортикостероидов и лечебной диеты. Все эти данные заставили усомниться в диагнозе. Превалирование поражения одного органа, в данном случае кожи, без развернутой клинической симптоматики заболевания привело к диагностической ошибке. Однако изначально обращают на себя внимание: нехарактерная для АтД локализация сыпи как в первом, так и втором возрастном периоде (интактные крупные складки), нетипичная окраска элементов (красно-коричневая, бордовая), отсутствие у пациента 4 лет в клинической картине инфильтрации, лихенизации, экскориаций, трещин, очагов гипо- или гиперпигментации в зоне разрешившихся высыпаний, симптома Денни–Моргана – складки нижнего века, отсутствие такого патогномоничного симптома для АтД, как зуд, в течение всего периода болезни, наконец – отсутствие эффекта от местного применения кортикостероидов. Дифференциальный диагноз при АтД традиционно проводят с себорейным, пеленочным дерматитом, чесоткой, обыкновенными ихтиозом и псориазом, микробной экземой, розовым лишаем Жибера, герпетиформным дерматитом Дюринга, синдромом Вискотта–Олдрича, десквамативной эритродермией Лейнера–Муссу, однако онкологическая настороженность требует проведения дифференциального диагноза и с таким заболеванием, как ГКЛ.
Раскрытие интересов. Авторы декларируют отсутствие явных и потенциальных конфликтов интересов, связанных с публикацией настоящей статьи.
Disclosure of interest. The authors declare that they have no competing interests.
Вклад авторов. Авторы декларируют соответствие своего авторства международным критериям ICMJE. Все авторы в равной степени участвовали в подготовке публикации: разработка концепции статьи, получение и анализ фактических данных, написание и редактирование текста статьи, проверка и утверждение текста статьи.
Authors’ contribution. The authors declare the compliance of their authorship according to the international ICMJE criteria. All authors made a substantial contribution to the conception of the work, acquisition, analysis, interpretation of data for the work, drafting and revising the work, final approval of the version to be published and agree to be accountable for all aspects of the work.
Источник финансирования. Авторы декларируют отсутствие внешнего финансирования для проведения исследования и публикации статьи.
Funding source. The authors declare that there is no external funding for the exploration and analysis work.
Информированное согласие на публикацию. Авторы получили письменное согласие законных представителей пациента на анализ и публикацию медицинских данных и фотографий.
Consent for publication. Written consent was obtained from the patient for publication of relevant medical information and all of accompanying images within the manuscript.
Об авторах
Татьяна Сергеевна Белышева
ФГБУ «Национальный медицинский исследовательский центр онкологии им. Н.Н. Блохина» Минздрава России
Email: klinderma@bk.ru
ORCID iD: 0000-0001-5911-553X
SPIN-код: 2645-4049
д-р мед. наук, вед. науч. сотр. научно-консультативного отд-ния НИИ детской онкологии и гематологии
Россия, МоскваТимур Теймуразович Валиев
ФГБУ «Национальный медицинский исследовательский центр онкологии им. Н.Н. Блохина» Минздрава России; ФГАОУ ВО «Первый Московский государственный медицинский университет им. И.М. Сеченова» Минздрава России (Сеченовский Университет)
Автор, ответственный за переписку.
Email: timurvaliev@mail.ru
ORCID iD: 0000-0002-1469-2365
д-р мед. наук, зав. отд-нием онкологии и гематологии (химиотерапии гемобластозов №1) НИИ детской онкологии и гематологии, проф. каф. онкологии
Россия, Москва; МоскваНиколай Николаевич Мурашкин
ФГАОУ ВО «Первый Московский государственный медицинский университет им. И.М. Сеченова» Минздрава России (Сеченовский Университет); ФГАУ «Национальный медицинский исследовательский центр здоровья детей» Минздрава России; ФГБУ ДПО «Центральная государственная медицинская академия» Управления делами Президента РФ
Email: m_nn2001@mail.ru
ORCID iD: 0000-0003-2252-8570
SPIN-код: 5906-9724
д-р мед. наук, проф. каф. педиатрии и детской ревматологии, рук. НИИ детской дерматологии, зав. отд-нием дерматологии с группой лазерной хирургии, проф. каф. дерматовенерологии и косметологии
Россия, Москва; Москва; МоскваСписок литературы
- Krooks J, Minkov M, Weatherall AG, Raton B. Langerhans cell histiocytosis in children. History, classification, pathobiology, clinical manifestations, and prognosis. J Am Acad Dermatol. 2018;78(6):1035-44.
- Валиев Т.Т., Махонова Л.А., Ковригина А.М., и др. Случай врожденного лангергансоклеточного гистиоцитоза у ребенка раннего возраста. Онкогематология. 2011;6(2):19-22 [Valiev TT, Makhonova LA, Kovrigina AM, et al. Case of congenital Langerhans cells histiocytosis in an infant. Oncohematology. 2011;6(2):19-22 (in Russian)].
- Haupt R, Minkov M, Astigarraga I, et al. Langerhans cell histiocytosis (LCH): guidelines for diagnosis, clinical work up, and treatment for patients till the age of 18 years. Pediatr Blood Cancer. 2013;60:175-84.
- Li Z, Yanqiu L, Yan W, et al. Two case report studies of Langerhans cell histiocytosis with an analysis of 918 patients of Langerhans cell histiocytosis in literatures published in China. Int J Dermatol. 2010;49:1169-74.
- Weitzman S, Egeler RM. Langerhans cell histiocytosis: update for the pediatrician. Curr Opin Pediatr. 2008;20:23-9.
- Feroze K, Unni M, Jayasree MG, Seethalekshmy NV. Langer- hans cell histiocytosis presenting with hypopigmented macules. Indian J Dermatol Venereol Leprol. 2008;74:670-2.
- Byragani D, Baradhi K, Schendrick I, Koya S. Langerhan cell histiocytosis: a rare disorder with a rare presentation. World J Oncol. 2015;6:335-7.
- Querings K, Starz H, Balda BR. Clinical spectrum of cutaneous Langerhans’ cell histiocytosis mimicking various diseases. Acta Derm Venereol. 2006;86:39-43.
- Hashimoto K, Schachner LA, Huneiti A, Tanaka K. Pagetoid self-healing Langerhans cell histiocytosis in an infant. Pediatr Dermatol. 1999;16:121-7.
- Mortazavi H, Ehsani A, Namazi MR, Hosseini M. Langerhans’ cell histiocytosis. Dermatol Online J. 2002;8:18.
- Stein SL, Paller AS, Haut PR, Mancini AJ. Langerhans cell histiocytosis presenting in the neonatal period: a retrospective case series. Arch Pediatr Adolesc Med. 2001;155:778-83
- Morren MA, Vanden Broecke K, Vangeebergen L, et al. Diverse cutaneous presentations of langerhans cell histiocytosis in children: a retrospective cohort study. Pediatr Blood Cancer. 2016;63:486-92.
- Esterly N, Maurer H, Gonzalez-Crussi F, Histiocytosis X. A seven-year experience at a children’s hospital. J Am Acad Dermatol. 1985;13:481.
- Sun WG, Zhong LS, Chen H. A case of adult generalized cutaneous langerhans cell histiocytosis. Ann Dermatol. 2016;28:262-4.
- Varga E, Korom I, Polyanka H, et al. BRAFV600E mutation in cutaneous lesions of patients with adult Langerhans cell histiocytosis. J Eur Acad Dermatol Venereol. 2015;29:1205-11.
- Намазова-Баранова Л.С., Баранов А.А., Кубанова А.А., и др. Атопический дерматит у детей: современные клинические рекомендации по диагностике и терапии. Вопросы современной педиатрии. 2016;15(3):279-94 [Namazova-Baranova LS, Baranov AA, Kubanova AA, et al. Atopic Dermatitis in Children: Current Clinical Guidelines for Diagnosis and Therapy. Current Pediatrics. 2016;15(3):279-94 (in Russian)]. DOI:10.15690/ vsp.v15i3.1566
- Мурашкин Н.Н., Опрятин Л.А., Епишев Р.В., и др. Зуд при атопическом дерматите: от этиологических особенностей к терапевтической тактике. Вопросы современной педиатрии. 2020;19(6):468-76 [Murashkin NN, Opryatin LA, Epishev RV, et al. Pruritus and Atopic Dermatitis: from Etiological Features to Management. Current Pediatrics. 2020;19(6):468-76 (in Russian)]. doi: 10.15690/vsp.v19i6.2151
- Мурашкин Н.Н., Материкин А.И., Амбарчян Э.Т., Епишев Р.В. Современные представления о патогенезе и принципах наружной терапии атопического дерматита у детей. Вопросы современной педиатрии. 2016;15(6):584-9 [Murashkin NN, Materikin AI, Ambarchyan ET, Epishev RV. Current Views on the Pathogenesis and Principles of External Treatment of Atopic Dermatitis in Children. Current Pediatrics. 2016;15(6):584-9 (in Russian)]. doi: 10.15690/vsp.v15i6.1655
- Мурашкин Н.Н., Епишев Р.В., Материкин А.И., и др. Механизмы формирования и возможности терапевтической коррекции стероидрезистентности у пациентов с атопическим дерматитом. Вопросы современной педиатрии. 2021;20(5):370-5 [Murashkin NN, Epishev RV, Materikin AI, et al. Mechanisms of Development and Variants of Therapeutic Management of Steroid Resistance in Patients with Atopic Dermatitis. Current Pediatrics. 2021;20(5):370-5 (in Russian)]. doi: 10.15690/vsp.v20i5.2309
Дополнительные файлы







