Efficacy of herbal medicines in the treatment of acute respiratory infections in real clinical practice
- Authors: Svistushkin V.M.1, Nikiforova G.N.1, Shevchik E.A.1, Zolotova A.V.1, Nikiforova A.N.1, Sivokhin D.A.1
-
Affiliations:
- Sechenov First Moscow State Medical University (Sechenov University)
- Issue: Vol 24, No 9 (2022)
- Pages: 579-587
- Section: Articles
- Published: 20.09.2022
- URL: https://consilium.orscience.ru/2075-1753/article/view/119543
- DOI: https://doi.org/10.26442/20751753.2022.9.201944
- ID: 119543
Cite item
Full Text
Abstract
Background. Unreasonable prescription of antibiotics to patients with acute diseases of the upper and lower respiratory tract is a significant problem of modern medicine, as it is associated with a high risk of side effects, an increase in antibiotic resistance and high economic costs. Phytopreparations can help reduce the frequency of inadequate antibiotic prescribing.
Aim. To study the effect of the use of herbal medicines on changing the frequency of prescribing antibiotic drugs to patients with infectious respiratory pathology. In addition, the presence of a relationship between the appointment of phytopreparations and the duration of the course of the infectious and inflammatory process was determined.
Materials and methods. Materials from the IMS® Disease Analyze database were analyzed. The study included patients who were diagnosed with acute respiratory infection between January 2015 and March 2019. According to the prescribed treatment, patients were divided into two groups: the main one, whose patients were prescribed phytopreparations as therapy, and the control group without the appointment of similar treatment. Patients who were prescribed antibiotics on the day of diagnosis were excluded from the study. To assess the relationship between the prescription of phytopreparations, antibiotics and the duration of the period of temporary disability, the logical regression method was used.
Results. The first group included 117 182 patients who used herbal medicines. In the control – the same number of patients without the appointment of phytopreparations. The following results were obtained: the use of phytopreparations was accompanied by a rarer additional prescription of antibiotics in the process of treatment, the duration of the period of temporary disability in the main group was shorter.
Conclusion. The use of phytopreparations in acute respiratory infections statistically significantly causes a decrease in the frequency of prescribing systemic antibiotics and a decrease in the duration of the period of temporary disability.
Full Text
Введение
Одной из значимых проблем современного здравоохранения является адекватное ведение пациентов с острыми заболеваниями верхних и нижних отделов дыхательных путей. Количество обращений к терапевтам, врачам общей практики, педиатрам, семейным врачам, оториноларингологам, пульмонологам по поводу данной патологии остается неизменно высоким. Острые респираторные заболевания (ОРЗ) приводят и к значительным экономическим потерям, так как являются одной из основных причин временной нетрудоспособности населения. В большинстве случаев ОРЗ имеют вирусную этиологию, протекают в легкой форме, практически не требуют лечения и проходят самостоятельно [1–3]. Однако при обращении за медицинской помощью во многих случаях такие пациенты ожидают от врача назначения системных антибактериальных препаратов, что является обоснованным лишь в 25% клинических случаев [4–7]. Необоснованное назначение системного этиотропного (антибактериального) лечения является не только неэффективным, но и влечет за собой нежелательные последствия – экономические затраты, различные побочные эффекты, а также рост бактериальной антибиотикорезистентности [8, 9]. Решением данного вопроса может стать разработка новых стратегий, приводящих к уменьшению использования антибиотиков в амбулаторных условиях.
Для лечения больных ОРЗ с успехом используются лекарственные средства растительного происхождения. Стандартизированные фитопрепараты официально одобрены к применению во многих странах мира. Результаты, полученные по итогам нескольких рандомизированных двойных слепых плацебо-контролируемых клинических исследований, позволяют сделать вывод об эффективности и безопасности данных лекарственных средств в лечении пациентов с различной островоспалительной ограниченной респираторной патологией [10–15]. По некоторым данным, применение фитопрепаратов может способствовать снижению неоправданного назначения антибиотиков при острых инфекционно-воспалительных заболеваниях верхних и нижних отделов дыхательных путей, что, однако, требует проведения дополнительных исследований [16].
В 2020 г. группой немецких ученых проводилось ретроспективное исследование реальной клинической практики лечения острых воспалительных заболеваний верхних и нижних дыхательных путей, цель которого – оценить связь:
1) между применением растительных лекарственных средств и дальнейшим назначением антибактериальных препаратов;
2) между применением растительных лекарственных средств и длительностью заболевания (длительность периода временной нетрудоспособности), так как именно затяжное течение часто является поводом для назначения антибиотиков [17–19].
Материалы и методы
В настоящем исследовании проведен ретроспективный анализ с использованием базы данных IMS® Disease Analyzer, материалы которой предоставлены частными врачами Германии и содержат следующую информацию о пациентах – демографические данные, диагнозы, выписанные/назначенные препараты, количество дней временной нетрудоспособности и направления на госпитализацию. База данных содержит информацию, получаемую от 3 тыс. практикующих врачей (3% всех частных практик Германии), репрезентативна и достоверна [20, 21].
Для анализа отбирались те амбулаторные пациенты, обратившиеся к врачам общей практики, педиатрам и ЛОР-врачам, у которых хотя бы единожды за период наблюдения (с 1 января 2015 по 31 марта 2019 г.) выявлено ОРЗ. Одним из критериев включения в исследование являлся факт наблюдения за пациентом в течение 12 мес до дня постановки данного диагноза (индексная дата). Критериями исключения стали развитие бактериального процесса и, соответственно, прием антибиотиков в течение 90 дней до индексной даты, а также назначение антибиотиков непосредственно в индексную дату.
Конечная точка исследования – назначение антибиотика в течение периода болезни (2–30 дней после индексной даты). Кроме того, учитывались количество дней временной нетрудоспособности и случаи развития бактериальных инфекций за период заболевания.
Официально одобренные и наиболее часто назначаемые фитопрепараты (по информации базы данных IMS® Disease Analyzer >5 тыс. назначений) отобраны и распределены по группам согласно действующим веществам.
С каждым пациентом, которому в индексную дату назначен фитопрепарат, сопоставлялся случайным образом выбранный пациент без аналогичного назначения так, чтобы произошло их полное совпадение по следующим параметрам: возраст, пол, статус страхования, индексный год, специализация лечащего врача, вид респираторного заболевания и значение индекса коморбидности Charlson [22]. Для расчета описательных статистических параметров выбран метод псевдорандомизации. Для оценки различия между 2 группами (группа с фитопрепаратом и, соответственно, без него) использовались тесты Вилкоксона и МакНемара.
Связь между назначением фитопрепарата и последующим назначением антибиотика исследована с помощью одномерных логистических регрессионных моделей. Результат представлен в виде отношения шансов (ОШ), стратифицированного отдельно для каждой медицинской специальности по действующим веществам растительного происхождения.
Для исследования длительности периода временной нетрудоспособности критерием включения стал возраст пациентов от 20 до 60 лет (пациенты пенсионного возраста исключены). Наиболее частая продолжительность периода временной нетрудоспособности составляла 3 дня. Для оценки связи между использованием фитопрепаратов и продолжительностью периода временной нетрудоспособности использовались одномерные модели логистической регрессии в качестве бинарных переменных (более 3, 7, 10, 14, 18, 21 или 28 дней). Статистически значимым считалось значение p<0,05. Все расчеты проводились на основе заранее разработанного протокола исследования с использованием программы SAS, версия 9.4.
Результаты
Отбор пациентов
За указанный период с диагнозом «простуда» или ОРЗ наблюдались всего 3 671 077 пациентов. В день постановки диагноза антибиотики назначены 417 153 людям, что составляет 25,7% от числа пациентов, наблюдавшихся до этого момента в течение минимум 12 мес (1 625 000 человек). Соответственно, только 1 169 168 пациентов соответствовали всем критериям включения. Фитопрепарат в индексную дату назначен 173 226 (14,8%) пациентам. При сопоставлении пациентов с назначенным фитопрепаратом и с другим видом лечения утрачено около 30% исходной популяции пациентов, что связано с невозможностью найти соответствующую пару по всем перечисленным выше критериям. Таким образом, после сопоставления сформировалось 2 группы пациентов с численностью 117 182 человека в каждой (рис. 1).
Рис. 1. Отбор пациентов для исследования [19].
Характеристики пациентов
Демографические показатели в обеих группах пациентов (с назначенным фитопрепаратом и без него) полностью соответствовали друг другу. Средний возраст больных составлял 43 года, 9,4% всех пациентов – детского возраста (до 18 лет), женщин среди всех пациентов – 56,1%. Для 49,5% (и для 53,9% исследуемых детей) пациентов единственный поставленный диагноз – «острая инфекция верхних дыхательных путей множественной и неуточненной локализации» (код J06 по Международной классификации болезней 10-го пересмотра – МКБ-10). Средний возраст пациентов детского возраста составлял 7,2 года, 49,3% из которых – девочки (табл. 1).
Таблица 1. Основные характеристики исследуемых пациентов по группам врачей [19]
Параметр | Врачи общей практики | Педиатры | ||
фитопрепараты | без фитопрепаратов | фитопрепараты | без фитопрепаратов | |
Число | 78 337 | 78 337 | 32 418 | 32 418 |
Возраст (средний, СО) | 43,3 (19,3) | 43,3 (19,3) | 7,2 (3,9) | 7,2 (3,9) |
Женский пол, % | 56,1 | 56,1 | 49,3 | 49,3 |
Индекс коморбидности Charlson (среднее, СО) | 0,3 (0,6) | 0,3 (0,6) | 0,0 (0,1) | 0,0 (0,1) |
Покрытие добровольным медицинским страхованием, % | 4,4 | 4,4 | 7,8 | 7,8 |
Диагнозы (коды МКБ-10) | ||||
Вирусная инфекция неуточненной локализации (B34) | 7,0 | 7,0 | 11,2 | 11,2 |
Острый назофарингит (J00), % | 4,4 | 4,4 | 6,3 | 6,3 |
Острый синусит (J01), % | 4,0 | 4,0 | 0,8 | 0,8 |
Острый фарингит (J02, кроме J02.0), % | 3,4 | 3,4 | 3,5 | 3,5 |
Острый ларингит и трахеит (J04), % | 1,2 | 1,2 | 2,3 | 2,3 |
Острые инфекции верхних дыхательных путей множественной или неуточненной локализации (J06), % | 49,5 | 49,5 | 53,9 | 53,9 |
Острый бронхит (J20, кроме J20.0, 20.1, 20.2), % | 16,1 | 16,1 | 7,7 | 7,7 |
Бронхит, не уточненный как острый или хронический (J40), % | 10,4 | 10,4 | 4,3 | 4,3 |
Кашель (R05), % | 4,0 | 4,0 | 10,4 | 10,4 |
Назначенные фитопрепараты в большинстве случаев представляли собой комбинированные лекарственные средства (табл. 2).
Таблица 2. Фитопрепараты, назначенные в день постановки диагноза [19]
Группа действующих веществ | Количество случаев назначения в базе данных | |
врачи общей практики | педиатры | |
Экстракты тимьяна | 802 | 180 |
Экстракты тимьяна и корня первоцвета1 | 4929 | 765 |
Экстракт тимьяна (1:2–2,5) и листьев плюща2 (1:1) | 6423 | 8097 |
Экстракт (3–6:1) сухой нативный корня горечавки, цветков первоцвета и бузины, травы щавеля и вербены3 (1:3:3:3:3), BNO 1016 | 11057 | 338 |
Смесь измельченного высушенного лекарственного сырья корня горечавки, цветков первоцвета и бузины, травы щавеля и вербены4 | 9986 | 6474 |
Сухой экстракт листьев плюща (5–7,5:1) | 7395 | 15150 |
Экстракт корня пеларгонии сидовидной5 (1:8–10), EPs®7630 | 2326 | 574 |
Дистиллят смеси ректифицированных эфирных масел эвкалипта, сладкого апельсина, мирта и лимона6 (66:32:1:1) | 21730 | 239 |
Цинеол7 | 13685 | 601 |
Примечание. Известные в России торговые наименования и лекарственные формы, содержащие некоторые из указанных действующих веществ: 1Бронхипрет ТП, 2Бронхипрет сироп, 3Синупрет экстракт, 4Синупрет таблетки, 5Умкалор, 6Респеро Миртол, 7в России не зарегистрирован. | ||
Первым по частоте назначений врачами общей практики стал дистиллят смеси ректифицированных масел эвкалипта, сладкого апельсина, мирта и лимона (27,7%), на 2-м месте по распространенности – сухой нативный экстракт корня горечавки, цветков первоцвета и бузины, травы щавеля и вербены (14,1%), на 3-м – смесь измельченного высушенного лекарственного сырья корня горечавки, цветков первоцвета и бузины, травы щавеля и вербены (12,7%).
В педиатрической практике самым часто назначаемым фитопрепаратом оказался сухой экстракт листьев плюща (46,7%), следующим по частоте назначения – экстракт тимьяна и листьев плюща (25,0%), 3-е место (20,0%), как и у взрослых, занимал комбинированный лекарственный растительный препарат, включающий высушенную измельченную смесь 5 лекарственных растений (корня горечавки, цветков первоцвета и бузины, травы щавеля и вербены). Следует отдельно отметить, что так часто назначаемый и взрослым, и детям комбинированный препарат из 5 лекарственных растений (горечавка, первоцвет, щавель, бузина и вербена) – это хорошо знакомый оториноларингологам растительный лекарственный препарат Синупрет, наличие которого в этой таблице на первых местах совершенно оправданно. Применение препарата для лечения у взрослых и детей всех видов острого синусита (острый вирусный и острый поствирусный риносинусит) обосновано в действующих клинических рекомендациях Минздрава России [23] в качестве средства, оказывающего комплексное действие: секретолитическое, секретомоторное, противовоспалительное, противовирусное и умеренное антибактериальное, что влияет на патогенез воспаления слизистой носа и препятствует развитию осложнений. Сухой нативный экстракт из этих же растений – это новая лекарственная форма Синупрета – Синупрет экстракт (комбинированный растительный экстракт BNO1016), содержащий в разовой дозировке для взрослых (1 таблетка, содержащая 160 мг сухого нативного экстракта, для изготовления которой используется 720 мг измельченного и высушенного лекарственного растительного сырья) в 4 раза больше действующих веществ (по сравнению с 2 таблетками Синупрет, содержащих 156 мг – 78 мг в каждой таблетке – измельченного и высушенного лекарственного сырья), единственный из фитопрепаратов, рекомендованный Европейским обществом ринологов (Рекомендации EPOS-2020) для лечения как острого риносинусита у взрослых и детей, так и для лечения острого поствирусного риносинусита у взрослых [24].
Следует обратить внимание, что цинеол, также часто назначаемый врачами, не только не зарегистрирован в России, но и по коду АТХ (R05CA13) относится больше к синтетическим препаратам, а не к растительным.
Антибиотикотерапия у пациентов 2 групп (группа с фитопрепаратом и без него)
Оценка связи между приемом фитопрепаратов и назначением антибиотиков показала суммарный отрицательный результат в группе пациентов, принимавших растительные лекарственные препараты. Особенно выражена эта связь для препаратов, используемых для лечения кашля (наиболее выражено у детей): экстракты тимьяна (ОШ 0,62 [0, 49–0, 76]), тимьяна и плюща (ОШ 0,66 [0, 60–0, 73]), тимьяна и корня первоцвета (ОШ 0,67 [0, 47–0, 96]), а также у растительного противомикробного препарата, используемого в комплексной терапии острых и хронических инфекционно-воспалительных заболеваний дыхательных путей и ЛОР-органов, экстракта корня пеларгонии сидовидной (ОШ 0,49, 95% доверительный интервал 0,43–0,57). Из препаратов, применяемых для лечения риносинуситов не в составе комплексной терапии, таких как смесь дистиллятов 4 эфирных масел и экстракт пеларгонии, связь между приемом растительного лекарственного средства и назначением антибиотика отсутствовала у сухого растительного экстракта BNO 1016 (Синупрет экстракт), назначенного врачами общей практики, и у смеси измельченного лекарственного сырья 5 растений (Синупрет), назначенного как врачами общей практики (ОШ 0,90 [0, 85–0, 96]), так и педиатрами (ОШ 0,90 [0, 82–0, 99]), что говорит о том, что применение этих препаратов для лечения острого риносинусита (или простуды с назальными проявлениями) оказалось эффективно и препятствовало затяжному течению заболевания (рис. 2).
Рис. 2. Взаимосвязь между назначением фитопрепаратов в день постановки диагноза и назначением антибиотиков при дальнейшем течении заболевания [19].
Длительность периода временной нетрудоспособности у пациентов 2 групп (группа с назначенным фитопрепаратом и группа без аналогичного назначения)
При назначении фитопрепаратов в день постановки диагноза длительность периода нетрудоспособности снижалась, т.е. назначение фитопрепаратов статистически значимо связано с меньшим количеством длительных периодов временной нетрудоспособности (>7 дней: ОШ 0,92, p<0,001; >10 дней: ОШ 0,88, p<0,001; >14 дней: ОШ 0,84, p<0,001; >18 дней: ОШ 0,82, p<0,001; >21 дня: ОШ 0,83, p<0,001). Кроме того, статистически значимым оказалось влияние некоторых фитопрепаратов на вероятность продолжительности периода временной нетрудоспособности более 7 дней (рис. 3). При этом самая выраженная взаимосвязь обнаружена для цинеола (ОШ 0,74 [0, 63–0, 86]), который, как сказано выше, не относится к фитопрепаратам по классу АТХ, и для противомикробного растительного препарата экстракт корня пеларгонии сидовидной EPs® 7630 (ОШ 0,79 [0, 54–0, 96]). Отметим, что из растительных лекарственных средств, применяемых для лечения банальной простуды (острого риносинусита), такая связь закономерно выявлена для растительного экстракта BNO 1016 (Синупрет экстракт; ОШ 0,84 [0, 70–1, 00]), эффективность которого в значительном облегчении назальных симптомов при минимальных побочных эффектах отражена в рекомендациях Европейского общества ринологов (EPOS 2020) [24], и у комбинированного растительного препарата из 5 лекарственных растений (Синупрет; ОШ 0,80 [0, 66–0, 97]), включенного в клинические рекомендации Минздрава России по лечению острого синусита у взрослых и детей [23] в качестве средства, оказывающего комплексное действие (секретолитическое, секретомоторное, противовоспалительное, противовирусное и умеренное антибактериальное) на течение воспалительного процесса слизистой носа и пазух.
Рис. 3. Взаимосвязь между назначением фитопрепаратов в день постановки диагноза и периодом временной нетрудоспособности продолжительностью больше 7 дней у пациентов врачей общей практики [19].
Документально подтвержденные диагнозы бактериальных инфекций у пациентов 2 групп (группа с фитопрепаратом и группа без него)
Бактериальные осложнения острых респираторных инфекций дыхательных путей редко регистрировались при дальнейшем течении заболеваний. Так, бактериальные инфекции диагностированы у 225 пациентов, проходивших лечение у врачей общей практики, и у 782 пациентов, проходивших лечение у врачей-педиатров.
Стоит отметить, что значимых различий в частоте развития бактериальных осложнений среди пациентов 2 групп (пациенты, принимавшие фитопрепараты, и пациенты, получавшие другое лечение) не выявлено – 0,14% для 1-й группы и 0,15% для 2-й группы (группы контроля) среди пациентов врачей общей практики, 1,16 и 1,16% для пациентов врачей-педиатров.
Обсуждение
В настоящем исследовании, включавшем выборку из более чем 230 тыс. пациентов, показана статистически значимая взаимосвязь между назначением фитопрепаратов и снижением частоты назначения антибиотиков при дальнейшем течении заболевания. Кроме того, по результатам проведенного исследования можно сделать вывод о том, что использование препаратов растительного происхождения приводит к уменьшению длительности периода временной нетрудоспособности.
Как упоминалось выше, эффективность и безопасность данной группы препаратов подтверждена результатом ранее проведенных нескольких плацебо-контролируемых клинических исследований [10–14], однако благодаря результатам данного исследования можно говорить о положительных эффектах применения фитопрепаратов в условиях реальной каждодневной клинической практики.
Существует ряд исследований, подтверждающих противоинфекционное действие различных веществ растительного происхождения in vitro [25–28]. Таким образом, возможно, снижение частоты назначаемых антибиотиков связано с уменьшением развития бактериальных инфекций как осложнений острых заболеваний верхних и нижних отделов дыхательных путей, что, однако, в данном исследовании подтвердить не удалось. Существуют и другие исследования, регистрирующие бактериальные осложнения лишь в небольшом проценте случаев [29, 30]. Соответственно, частота развития бактериальных осложнений не может являться достоверным критерием для оценки противоинфекционного действия лекарственных препаратов растительного происхождения.
Если же говорить о растительных лекарственных средствах, используемых в лечении одного из самых распространенных проявлений ОРЗ или банальной простуды – острого риносинусита, то недавно проведенный систематический обзор опыта применения растительных препаратов для лечения острого риносинусита утверждает, что наиболее сильными доказательствами эффективности обладает комбинированный растительный лекарственный препарат Синупрет. Его использование при остром риносинусите поддерживается рандомизированными плацебо- контролируемыми исследованиями, демонстрирующими клиническую эффективность и безопасность. При этом только для Синупрета имеются данные сравнения с традиционными методами лечения, такими как ингаляционные глюкокортикостероиды, которые демонстрируют сопоставимую эффективность [31].
В составе фитопрепаратов могут содержаться вещества растительного происхождения различного действия: противовирусного, антибактериального, секретолитического, иммуномодулирующего, противовоспалительного. Особенно следует отметить наличие муколитического действия, которое реализуется за счет снижения вязкости слизи, уменьшения активности и частоты кашля, расслабления гладкой мускулатуры бронхов [10–14], что с успехом может применяться и в лечении бронхита, особенно у детей.
Как уже упоминалось, одним из критериев назначения антибиотической терапии является длительность заболевания [17, 18]. Таким образом, снижение частоты назначения антибиотиков может быть связано с более быстрым купированием симптомов патологического процесса на фоне назначения лекарственных препаратов растительного происхождения. Данный факт подтверждается рядом плацебо-контролируемых исследований: так, по данным Fischer и Dethlefsen, в группе, использующей для лечения комбинированные растительные экстракты тимьяна и плюща, тимьяна и первоцвета, симптоматика острого бронхита купировалась значительно быстрее, чем в плацебо-группе [32]. В рандомизированном двойном слепом плацебо-контролируемом исследовании с применением растительного экстракта BNO 1016 (Синупрет экстракт) также продемонстрировано более быстрое купирование симптоматики, что сократило сроки выздоровления пациентов на 4 дня [12].
Также второй важный результат данного ретроспективного исследования заключался в статистически значимой взаимосвязи между назначением фитопрепаратов и уменьшением длительности периода временной нетрудоспособности. Данная тенденция прослеживается и по результатам других плацебо-контролируемых исследований, указанных выше.
К сожалению, в современной практике врачи очень часто неоправданно назначают антибактериальные препараты для предупреждения развития бактериальных осложнений, что совершенно не имеет никакого практического смысла. С другой стороны, в амбулаторных условиях большую трудность представляет собой выявление этиологии ОРЗ ввиду схожести клинической картины бактериальных и небактериальных заболеваний [33, 34]. Отметим, что в начальном базовом лечении острой воспалительной патологии верхних и нижних дыхательных путей, согласно данным Кокрановских обзоров, антибактериальным препаратам места нет [35, 36], что требует от врача крайне ответственного отношения к назначению антибиотиков и делает фитопрепараты с доказанной эффективностью препаратами рационального выбора для начального лечения простудных заболеваний у взрослых и детей, что находит все больше понимания среди научного междисциплинарного сообщества [37].
Соответственно, исходя из полученных в исследовании результатов об отсутствии статистически значимой разницы в частоте развития бактериальных осложнений у группы с назначением фитопрепаратов и у группы с другой терапией, можно сделать вывод о том, что изначально начатое использование фитопрепаратов не увеличивает риск бактериальных осложнений, несмотря на меньшее назначение антибиотиков.
Однако данное исследование являлось ретроспективным, что сопряжено с несколькими ограничениями. Во-первых, нельзя с уверенностью говорить о том, что пациенты из контрольной группы не применяли фитопрепараты, несмотря на то что они не были им назначены (так как препараты растительного происхождения находятся в широком доступе и могут быть куплены без предписания врача). Другим ограничением может быть тот факт, что причины назначения фитопрепарата одному пациенту и отказ от назначения аналогичного лечения в другом случае неизвестны. То есть такое положение вещей может быть вызвано различием симптомов, тяжестью состояния пациента или наличием других неизвестных причин, например предпочтениями самого пациента.
Однако, несмотря на перечисленные ограничения, результаты настоящего исследования подтверждаются аналогичными результатами, полученными в ряде других плацебо-контролируемых исследований [10–14, 32].
Рассмотрим клинический случай.
Клинический случай
Пациент Л., 32 года, мужского пола, обратился в клинику болезней уха, горла и носа Университетской клинической больницы №1 ФГАОУ ВО «Первый МГМУ им. И.М. Сеченова» (Сеченовский Университет) в апреле 2022 г. с жалобами на периодические вязкие, трудно высмаркиваемые, слизисто-гнойные выделения из полости носа и лицевую боль в проекции левой верхнечелюстной пазухи, а также затруднение носового дыхания, больше слева. Данные симптомы беспокоят периодически на протяжении 5 мес. В анамнезе 2 курса антибактериальной терапии, 5 мес назад пациент принимал амоксициллин + клавулановая кислота по 875+125 мг 2 раза в день в течение 10 дней с временным положительным эффектом, через 6 нед пациент обратился повторно с вновь возникшими жалобами. Оториноларингологом назначен кларитромицин по 250 мг 2 раза в день на 7 дней, топический стероид мометазона фуроат на месяц и промывание полости носа солевыми растворами на 2 нед. На 3-й день лечения у пациента возникла антибиотикоассоциированная диарея, после чего он самостоятельно прекратил прием антибактериальных препаратов, продолжив топическую и ирригационную терапию на назначенный период, отметив положительный эффект. Около недели назад указанные жалобы возобновились и стали нарастать, до обращения к врачу не лечился.
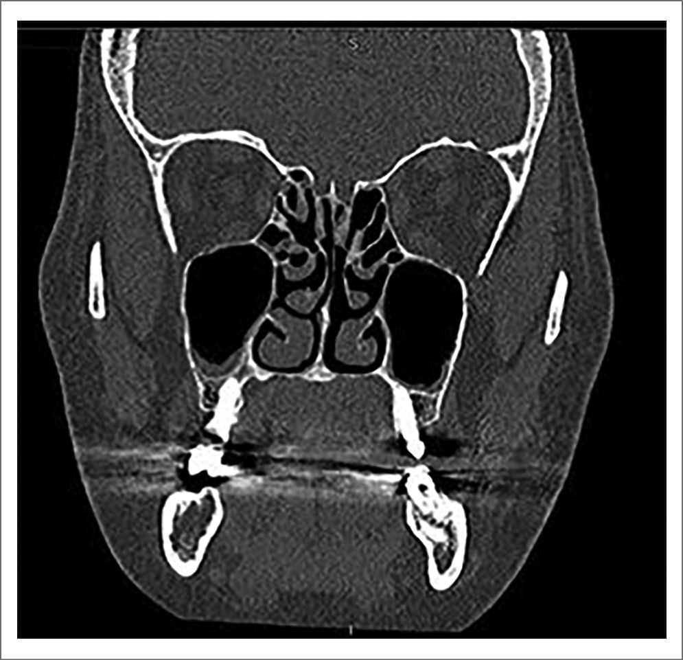
При осмотре: температура тела 36,7°С, артериальное давление 127/81 мм рт. ст., частота пульса 82 уд/мин. Аллергические реакции на лекарственные препараты отрицает. Соматически пациент не отягощен. При ЛОР-осмотре: форма наружного носа не изменена, при перкуссии в проекции левой верхнечелюстной пазухи отмечается болезненность. Слизистая оболочка полости носа умеренно отечна, гиперемирована. Перегородка носа существенно не искривлена, носовые раковины отечны, после анемизации сокращаются. При эндоскопическом исследовании в полости носа отмечается вязкое слизисто-гнойное отделяемое, скапливающееся в среднем и общем носовых ходах с обеих сторон, больше слева. При задней риноскопии – слизистый сгусток в носоглотке. По остальным ЛОР-органам без особенностей. По данным компьютерной томографии околоносовых пазух от 02.04.2022: значительное утолщение слизистой оболочки нижних отделов левой верхнечелюстной пазухи, экссудат в нижней трети правой верхнечелюстной пазухи (рис. 4). Диагноз – «острый двусторонний рецидивирующий верхнечелюстной синусит». Больной трудоспособен.
Рис. 4. Компьютерная томограмма околоносовых пазух пациента Л. до начала лечения.
Пациенту назначен Синупрет по 2 таблетки 3 раза в сутки в комплексе с мометазона фуроатом и ирригационно- элиминационной терапией в течение 10 дней. Больной отметил субъективное улучшение состояния уже на следующий день.
По данным осмотра, на 3-и сутки отмечено уменьшение вязкости слизи в полости носа. Пациент отметил уменьшение заложенности, улучшение отхождения слизистого отделяемого и отсутствие лицевой боли в проекции верхнечелюстной пазухи слева. При эндоскопическом осмотре наблюдалось умеренное количество слизистого отделяемого в среднем носовом ходе с 2 сторон. Рекомендовано продолжить начатое лечение.
При контрольном осмотре через 14 дней от начала лечения пациент жалоб не предъявлял, отделяемое в носовых ходах и лицевая боль отсутствовали. При проведении эндоскопического исследования слизистая оболочка полости носа обычной окраски, сохранялся незначительный отек слизистой оболочки полости носа, патологическое отделяемое в полости носа, в том числе в среднем носовом ходе, отсутствовало. Курс лечения окончен.
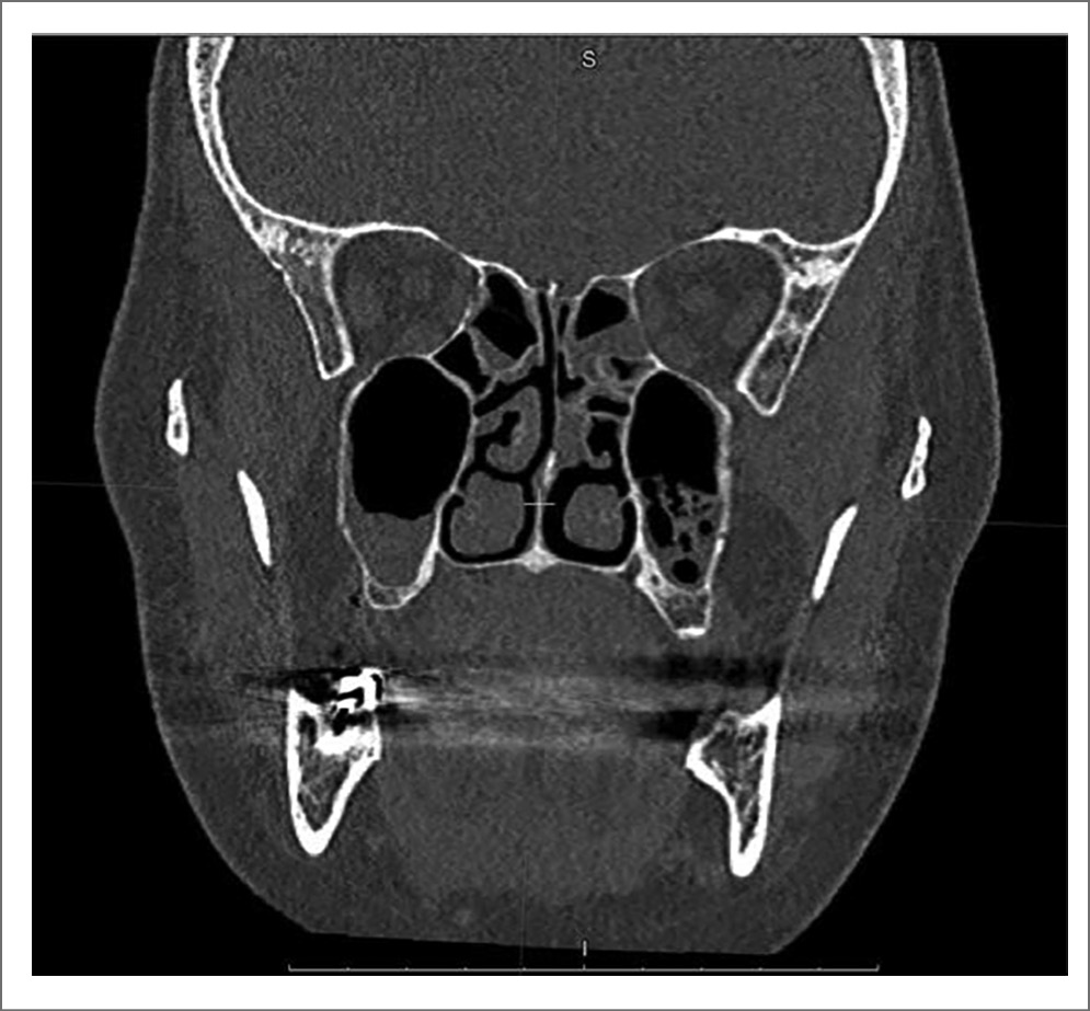
Через 1,5 мес на компьютерной томограмме околоносовых пазух (от 26.05.2022) визуализируется небольшое пристеночное утолщение слизистой оболочки в альвеолярной бухте верхнечелюстных пазух с обеих сторон (рис. 5).
Рис. 5. Компьютерная томограмма околоносовых пазух пациента Л. через 1,5 мес после лечения.
Результаты
Клинический случай является доказательством высокой эффективности и безопасности использования стандартизированного фитопрепарата Синупрет в терапии больных синуситом.
Заключение
Применение фитопрепаратов не только позволяет избежать избыточного и неоправданного назначения антибиотиков, предупреждает появление антибиотикоассоциированных нежелательных явлений, способствует сохранению нормальной микробиоты, но и снижает риск развития антибиотикорезистентности возбудителей. Таким образом, исходя из всего изложенного, можно сделать вывод о том, что применение лекарственных препаратов растительного происхождения может привести к значительному снижению частоты назначения антибиотических средств при длительном течении заболевания.
Раскрытие интересов. Авторы декларируют отсутствие явных и потенциальных конфликтов интересов, связанных с публикацией настоящей статьи.
Disclosure of interest. The authors declare that they have no competing interests.
Вклад авторов. Авторы декларируют соответствие своего авторства международным критериям ICMJE. Все авторы в равной степени участвовали в подготовке публикации: разработка концепции статьи, получение и анализ фактических данных, написание и редактирование текста статьи, проверка и утверждение текста статьи.
Authors’ contribution. The authors declare the compliance of their authorship according to the international ICMJE criteria. All authors made a substantial contribution to the conception of the work, acquisition, analysis, interpretation of data for the work, drafting and revising the work, final approval of the version to be published and agree to be accountable for all aspects of the work.
Источник финансирования. Авторы декларируют отсутствие внешнего финансирования для проведения исследования и публикации статьи.
Funding source. The authors declare that there is no external funding for the exploration and analysis work.
Информированное согласие на публикацию. Пациент подписал форму добровольного информированного согласия на публикацию медицинской информации и сопутствующих изображений.
Consent for publication. Written consent was obtained from the patient for publication of relevant medical information and all of accompanying images within the manuscript.
About the authors
Valery M. Svistushkin
Sechenov First Moscow State Medical University (Sechenov University)
Email: svvm3@yandex.ru
ORCID iD: 0000-0001-7414-1293
D. Sci. (Med.), Prof.
Russian Federation, MoscowGalina N. Nikiforova
Sechenov First Moscow State Medical University (Sechenov University)
Author for correspondence.
Email: gn_nik_63@mail.ru
ORCID iD: 0000-0002-8617-0179
D. Sci. (Med.)
Russian Federation, MoscowElena A. Shevchik
Sechenov First Moscow State Medical University (Sechenov University)
Email: shevchik_e_a@staff.sechenov.ru
ORCID iD: 0000-0002-0051-3792
Cand. Sci. (Med.)
Russian Federation, MoscowAnna V. Zolotova
Sechenov First Moscow State Medical University (Sechenov University)
Email: zolotova_a_v@staff.sechenov.ru
ORCID iD: 0000-0002-3700-7367
Cand. Sci. (Med.)
Russian Federation, MoscowAnna N. Nikiforova
Sechenov First Moscow State Medical University (Sechenov University)
Email: james.ann@mail.ru
ORCID iD: 0000-0001-8850-004X
Student
Russian Federation, MoscowDmitrii A. Sivokhin
Sechenov First Moscow State Medical University (Sechenov University)
Email: gn_nik_63@mail.ru
ORCID iD: 0000-0001-7341-1167
Graduate Student
Russian Federation, MoscowReferences
Supplementary files








