The possibilities of wide-range MSCT in assessing the invasion of mediastinal structures in giant neoplasms of the thoracic organs
- Authors: Koroleva I.M.1, Parshin V.D.1, Mukhamatullina E.Z.2, Mishchenko M.A.3
-
Affiliations:
- Sechenov First Moscow State Medical University (Sechenov University)
- RP Canon Medical Systems
- National Medical Research Center “Treatment and Rehabilitation Center”
- Issue: Vol 24, No 9 (2022)
- Pages: 595-601
- Section: Articles
- Published: 20.09.2022
- URL: https://consilium.orscience.ru/2075-1753/article/view/119819
- DOI: https://doi.org/10.26442/20751753.2022.9.201936
- ID: 119819
Cite item
Full Text
Abstract
Despite the constant increase in the level of equipment of medical institutions with modern high-tech equipment (CT, MRI, endoscopes, etc.), in the last decade there has been a clear trend towards an increase in the number of patients with tumors of intra-thoracic localization, including giant sizes. Oncologists consider neoplasms that occupy more than half of the hemithorax or simultaneously spread to the anterior and posterior mediastinum to be giant tumors of the chest. According to leading oncologists, giant tumors should include chest tumors whose diameter is equal to or exceeds 20 cm, have different initial localization, more than 80% of cases have different histological affiliation. There is no unity of views of leading oncologists and thoracic surgeons on the classification of giant intra-thoracic formations, diagnosis, determination of their initial localization and, accordingly, determination of the possibility of their surgical treatment and selection of optimal access. It is not uncommon when issues related to the initial localization, histological affiliation, as well as invasion of surrounding structures are resolved during surgical intervention. Unfortunately, there is little information in the Russian scientific literature about the high-tech diagnosis of this group of neoplasms, then malignant formations are twice as common as benign ones. Given the prevalence of malignant neoplasms in the category of giant tumors of intra-thoracic localization, a very relevant diagnostic issue is the identification of invasion of mediastinal structures, which largely determines both the feasibility of surgical intervention and its possible variants.
Full Text
Введение
Целью настоящей статьи является освещение возможностей широкодетекторной компьютерной томографии (КТ) с внутривенным контрастированием в оценке инвазии структур средостения, а именно крупных сосудов, плевры, перикарда, при гигантских новообразованиях органов грудной клетки.
Материалы и методы
Обследованы 17 пациентов с гигантскими образованиями грудной клетки различной локализации и тканевой принадлежности (опухоли легкого, диафрагмы, невриномы, тимомы, саркомы), поступивших в торакальное отделение Университетской клинической больницы №1 ФГАОУ ВО «Первый МГМУ им. И.М. Сеченова» (Сеченовский Университет). Обследование проводили на широкодетекторном (640 срезов) мультиспиральном компьютерном томографе Aquilion One, с толщиной среза 0,5 мм, 100кV и автоматическим распределением mA для снижения лучевой нагрузки и повышения контрастности изображения, с проведением методики внутривенного контрастирования (60–80 мл неионного контрастного препарата), со скоростью 4 мл/с. С целью использования программы субтракции легких нативное и контрастное исследование проводили по одинаковым координатам (начало и окончание сканирования), чтобы после этого сделать субтракцию одного изображения из другого и в результате получить йодные карты. В настоящее время широкодетекторная мультиспиральная КТ (МСКТ) с внутривенным контрастированием является наиболее быстрым, эффективным и наиболее достоверным методом выявления внутригрудных образований, опухолевой тромбоэмболии легочной артерии (ТЭЛА) и, в частности, оценки опухолевой инвазии структур легких и средостения, обладая массой преимуществ среди других диагностических методов (рис. 1).
Рис. 1. Мультиспиральный широкодетекторный компьютерный томограф Aquilion One. Процесс проведения внутривенного контрастирования.
Преимущества широкодетекторной МСКТ:
- Объемный сбор данных.
- Высокая скорость получения изображения.
- Применение современных неионных контрастных средств.
- Использование низкодозных протоколов.
- Уменьшение артефактов от пульсации сосудов и от движения.
- Стандартные и уникальные методы обработки изображений при МСКТ:
- использование шкалы интенсивности;
- подавление шумов;
- фильтрация изображений;
- статистические измерения;
- МPR и 3D-изображения;
- применение автоматической субтракции легких (Lung Subtraction) с последующим построением йодных карт;
- обнаружение (Visia Lung CAD) и анализ (Lung Nodule Analysis) узелковых (солидных) изменений;
- КТ анализ плотности легких (Lung Density Analysis).
В комплекс диагностики внутригрудных гигантских образований входили и другие методы, такие как магнитно- резонансная томография (МРТ), трахеобронхоскопия, а в некоторых случаях и позитронно-эмиссионная томография (ПЭТ), совмещенная с КТ (рис. 2, a–c).
Рис. 2. Комплекс методов диагностики: а – МРТ; b – эндоскопия; c – ПЭТ/КТ.
МРТ может быть альтернативным методом МСКТ в случае непереносимости контрастного препарата с содержанием йода. Метод весьма эффективен в выявлении и оценке внутригрудного новообразования, медиастинальной лимфаденопатии, оценке магистральных сосудов и перикарда. Эндоскопическое исследование может быть более информативно в выявлении прорастания стенки трахеи и бронхов, оценке трахеобронхиальной обструкции, конечно же, возможности взятия тканей для цито- и гистологической верификации. ПЭТ/КТ не является методом ранней диагностики и применяется для оценки распространенности опухолевого процесса, выявления отдаленных и местных метастазов, так как позволяет определить зоны патологического метаболизма. Наиболее рациональным и эффективным применением ПЭТ/КТ являются оценка эффективности лечения опухолевого процесса (полихимиотерапия, лучевая терапия) и диагностика рецидивов.
Результаты
По объективным критериям термин «внутригрудные гигантские опухоли» является собирательным понятием, объединяющим в группу новообразования различной гистологической принадлежности, объединенных одной анатомической областью, и диаметром, равным или превышающим 20 см [1], что приводит к сходному клиническому проявлению (рис. 3) [2]. Именно поэтому не существует в общепринятом понимании классификации гигантских новообразований грудной клетки. Практикующими хирургами-онкологами ФГБУ «НМИЦ онкологии им. Н.Н. Блохина» определены размеры и распространенность внутригрудных гигантских образований [3].
Рис. 3. МСКТ. Гигантское образование правого гемиторакса с дислокацией органов средостения в левую плевральную полость: а – аксиальная проекция; b – 3D-реконструкция.
Клинические симптомы:
- одышка;
- акроцианоз, одутловатость, проявления медиастинального компрессионного синдрома (чаще сдавление верхней полой вены);
- расширение вен грудной стенки и шеи;
- нарушения сердечного ритма (тахикардия, приступы стенокардии);
- деформация грудной клетки;
- синдром Горнера, парез гортани и диафрагмы;
- боли в грудной клетке;
- дисфагия.
Весьма важным моментом является определение резектабельности гигантского внутригрудного новообразования на дооперационном этапе, так как существуют объективные противопоказания для проведения хирургического вмешательства, такие как метастатическая диссеминация процесса в организме и прорастание первичной опухоли в трахею, пищевод, магистральные сосуды, перикард (рис. 4) [4, 5]. Исключением являются ситуации при наличии жизнеугрожающих осложнений опухоли, таких как кровотечение, распад легкого, когда пациентов оперируют в паллиативном варианте.
Рис. 4. Фото. Операция: переднебоковая торакотомия по четвертому межреберью с пересечением выше- и нижележащих ребер. Опухоль вывихнута в рану, удалена. Масса опухолевого узла 2500 г.
Противопоказания к операции:
- морфологически подтвержденные метастазы в отдаленных лимфатических узлах (шейные, аксиллярные, надключичные) или внутренних органах и тканях (головной мозг, плевра, печень, почки, надпочечники и др.);
- обширное прорастание первичной опухоли или метастазов в трахею, аорту, слизистую пищевода, дистальную треть противоположного главного бронха, верхнюю полую вену с образованием внутрипросветного опухолевого тромба, особенно в ее интраперикардиальном фрагменте;
- вовлечение в опухолевый процесс легочного ствола, правой плечеголовной, левой общей сонной и подключичной артерий;
- опухолевая инфильтрация клетчатки средостения; специфический плеврит, перикардит.
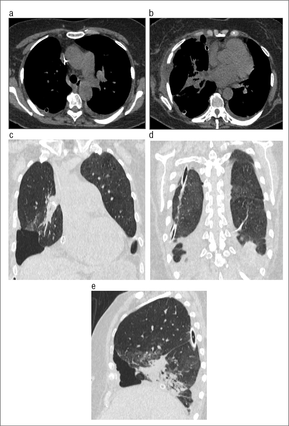
Широкодетекторная МСКТ с внутривенным контрастированием в отличие от классической рентгенографии позволяет выявить прямые признаки опухолевой инвазии при внутригрудных новообразованиях (рис. 5).
Рис. 5. МСКТ пациента после операции: а – аксиальная проекция; b, d, e – мультипланарная реконструкция; c - ограниченный пневмоторакс справа, в правой плевральной полости установлен дренаж, фиброзные изменения легочной ткани, нормальное положение органов средостения.
Признаки опухолевой инвазии:
- Рентгенологические признаки: прилегание опухолевого узла к срединной тени на большом протяжении, тупые углы между опухолью и средостением, расположение центра реконструируемого патологического образования в средостении, ограниченное смещение или полная неподвижность опухолевого узла при дыхании, смещение каких-либо анатомических структур средостения (трахеи, главных бронхов, пищевода) в контралатеральную сторону.
- Прямые КТ-симптомы: сдавление; циркулярный рост опухоли; стенозирование просвета сосуда; полный блок сосудов; нечеткий контур стенки сосуда; дефект наполнения в просвете сосуда, являющийся продолжением опухоли.
- Низкоспецифичные признаки: тесное прилегание опухоли к стенке сосуда, контакт опухоли с сосудом на протяжении, превышающем 90° ее окружности (угол Пикуса), соприкосновение опухолевого узла со стенкой сосуда на протяжении более 3 см.
- Инвазия плевры – соприкосновение опухолевого узла с медиастинальной плеврой на протяжении более 3 см; утолщение плевры в этом месте и втянутость в опухолевый узел (синдром «умбиликации»); отсутствие полоски жировой ткани, разделяющей опухоль и средостенные структуры.
Однако необходимо понимать, что достоверное определение опухолевой инвазии возможно только интраоперационно [5].
Клиническое наблюдение
Пациентка Ч., 64 года. Диагноз: гигантская невринома правого гемиторакса, осложненная компрессионным синдромом, дислокацией сердца в левую плевральную полость; правосторонний гидроторакс; синдром верхней полой вены; легочная гипертензия; хроническая сердечно- легочная недостаточность. Жалобы на одышку при средней физической нагрузке, отеки нижних конечностей, невозможность спать на спине в горизонтальном положении, снижение массы тела. Анамнез: считает себя больной с 46 лет, когда при проведении рентгенографии выявлено новообразование нижней доли правого легкого малых размеров. Наблюдалась у онколога по месту жительства. В настоящее время стала отмечать появление одышки при средней физической нагрузке, отеки нижних конечностей. По данным МСКТ выявлено гигантское образование правого гемиторакса с дислокацией органов средостения в левую плевральную полость. При контрастировании визуализировались компримированные легочные сосуды. Наиболее показательно это видно при построении 3D-изображения (см. рис. 3, а, b). В отделении торакальной хирургии УКБ №1 проведена операция: переднебоковая торакотомия по четвертому межреберью с пересечением выше- и нижележащих ребер. Опухоль вывихнута в рану, удалена. Масса опухолевого узла – 2500 г. Гистологическое исследование: невринома (см. рис. 4).
Важным этапом в ведении прооперированного пациента является динамическое наблюдение, в том числе и рентгенологическое. Данной пациентке проведено повторное КТ-исследование, при котором выявлено, что правое легкое расправлено, ограниченный пневмоторакс справа, в правой плевральной полости установлен дренаж, фиброзные изменения легочной ткани, нормальное положение органов средостения (см. рис. 5, a–e).
Клиническое наблюдение
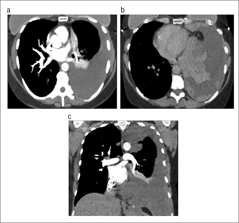
Пациент Ш., 45 лет. Диагноз: саркома левого гемиторакса 4T2bNxM1. Солитарный метастаз саркомы в правую долю печени. Жалобы на одышку при средней физической нагрузке. Анамнез: постепенно нарастающая одышка, кашель с отхождением умеренного количества мокроты. При МСКТ выявлены левосторонний гидроторакс, опухоль левого гемиторакса, единичный очаг правого легкого (рис. 6). Поступила в отделение торакальной хирургии УКБ №1 для дообследования и определения дальнейшей тактики лечения.
Рис. 6. a, b – МСКТ в аксиальной проекции; c – МПР.
После дообследования проведена операция: торакотомия слева, удаление опухоли левого гемиторакса. Отмечалось гладкое течение послеоперационного периода, пациентка выписана в удовлетворительном состоянии.
Клиническое наблюдение
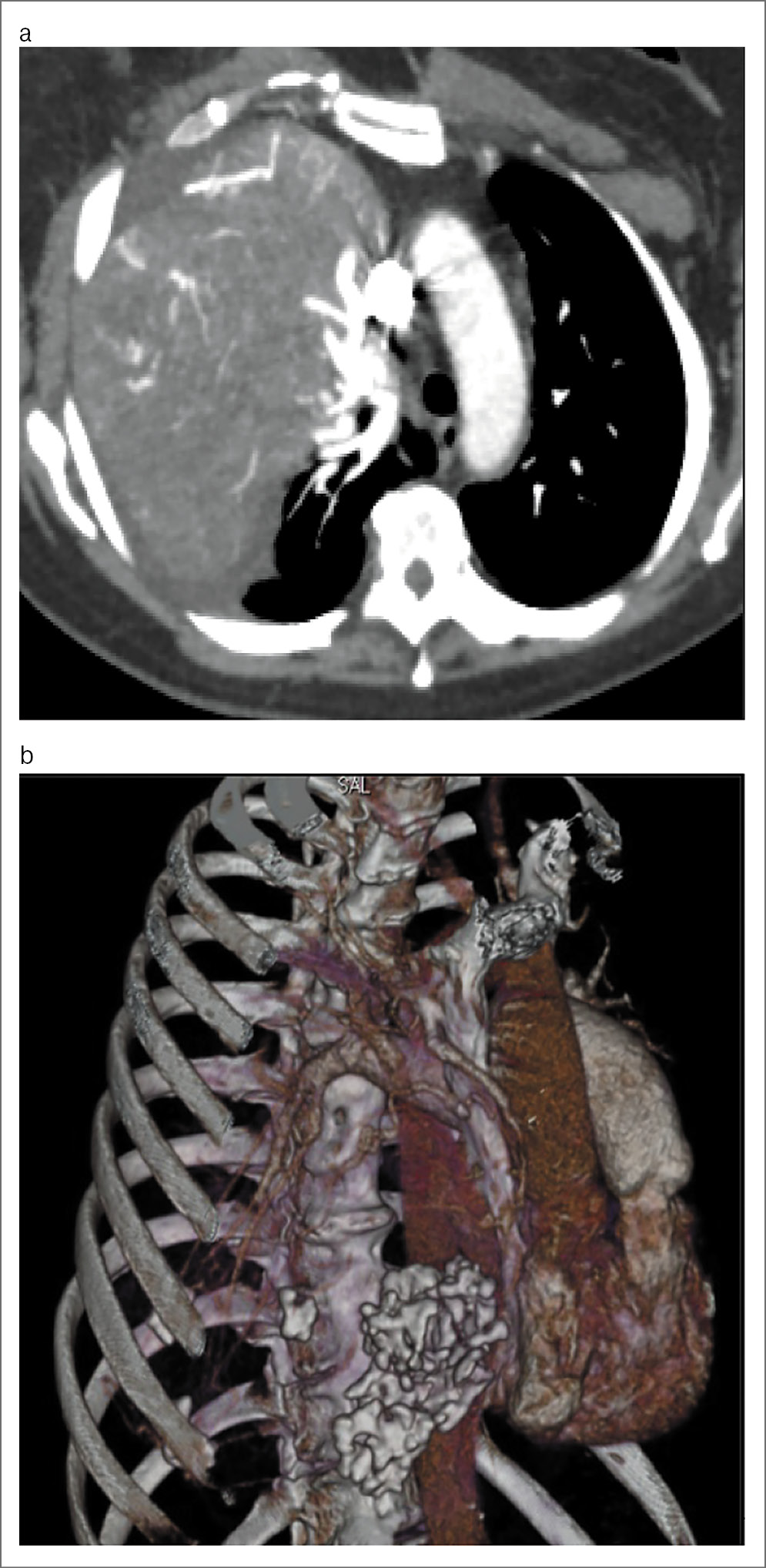
Пациент Л., 76 лет. Диагноз: рецидив новообразования (невринома) заднего средостения, осложненная компрессией правого легкого, сердца, магистральных сосудов, трахеи, пищевода. Жалобы на одышку при умеренной физической нагрузке, выраженную одышку в положении лежа, на дискомфорт и чувство тяжести в грудной клетки. Анамнез: в 2010 г. выполнена экстирпация невриномы заднего средостения. При динамическом наблюдении данных в пользу рецидива заболевания не отмечено. В середине 2017 г. у пациента появилась одышка, усиливающаяся в положении лежа. При МСКТ выявлено образование заднего средостения больших размеров, смещающее структуры средостения кпереди. При контрастировании признаков инвазии легочных сосудов, аорты и перикарда не выявлено (рис. 7, a–d).
Рис. 7. а, b – аксиальная проекция: визуализируется образование в заднем средостении, смещающее трахею, легочные сосуды, массив сердца кпереди; c, d – МПР: при контрастировании признаков инвазии структур средостения не выявлено.
С учетом данных КТ-исследования с контрастированием определен вариант оперативного вмешательства: торактомия справа, удаление опухоли заднего средостения (рис. 8, a–c).
Рис. 8. а, b – ход операции; c – опухоль (невринома).
Клиническое наблюдение
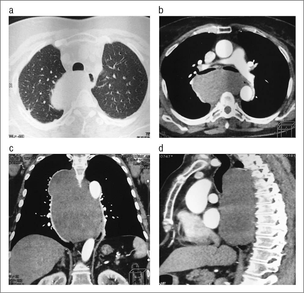
Пациент М., 77 лет. Диагноз: гигантское новообразование левого гемиторакса. Жалобы на чувство тяжести в левой половине грудной клетки, одышку при незначительной физической нагрузке, сухой кашель, потерю массы тела за последний год на 6 кг. Анамнез: со слов пациента известно, что в 1999 г. впервые при рентгенографии выявлено образование нижней доли левого легкого (данные обследования отсутствовали, характер и исходная локализация образования неизвестны). По этому поводу пациент регулярно не обследовался и у врача не наблюдался. В 2014 г. стала нарастать одышка. Поступил в отделение торакальной хирургии УКБ №1 для дообследования и оперативного лечения. При проведении МСКТ с контрастированием выявлено гигантское образование левого гемиторакса с гетерогенной структурой, неравномерно накапливающее контрастное вещество. Опухоль смещала вправо средостение, которое компримировало легочные сосуды без признаков инвазии. Перикард также интактен (рис. 9, a–c).
Рис. 9. МСКТ: а – аксиальная проекция; b, c – МПР во фронтальной и сагиттальной проекциях. Визуализируется гигантское образование левого гемиторакса неоднородной структуры, неравномерно накапливающее контрастное вещество.
Опираясь на данные обследования, преимущественно на результаты МСКТ, при котором не выявлено признаков опухолевой инвазии структур средостения, решено провести торакотомию слева. Однако установить исходную локализацию опухоли в силу ее огромных размеров не представилось возможным. Проведена операция по удалению гигантской опухоли диафрагмы (рис. 10, a–c) с краевой резекцией верхней доли левого легкого. При гистологическом исследовании: нейрофиброма.
Рис. 10. а – фото операции; b, c – опухолевый узел.
Развитие научно-технического прогресса и появление новейшего компьютерного оборудования, внедрение современных диагностических и хирургических кардиоторакальных технологий, несомненно, способствуют улучшению результатов лечения больных с гигантскими новообразованиями внутригрудной локализации. Однако проблема еще далека от радикального решения. В определенном проценте случаев истинный характер внутригрудного новообразования устанавливают только в процессе хирургического вмешательства. Применение МСКТ с внутривенным контрастированием у пациентов с гигантскими образованиями в грудной клетке позволяет определить максимально важную информацию для оценки резектабельности образований: инвазию магистральных сосудов, плевры, перикарда – а современные хирургические кардиоторакальные технологии позволяют радикально оперировать гигантские новообразования грудной клетки.
Широкодетекторная МСКТ с большим выбором диагностических опций является наилучшим стандартом диагностики новообразований органов грудной клетки, значительно расширяя объем получаемой информации. Метод позволяет выявить гигантскую опухоль, максимально точно определить ее локализацию и взаимоотношение с окружающими структурами, выявить вторичные изменения в лимфоузлах средостения и легочной паренхиме с наибольшим диагностическим эффектом на фоне введения контрастного препарата. Возможность охвата 16 см за один оборот рентгеновской трубки позволяет проводить исследование в объемном режиме сканирования без движения стола, тем самым минимизируются артефакты от движения, пульсации сосудов и достигается более гомогенное контрастирование. Субтракционная КТ – это метод, в котором используется программная коррекция движения между неконтрастной и усиленной КТ для получения распределения йода в легочной паренхиме. Данная методика внедрена в клиническую практику нашего отделения для оценки перфузии легких при КТ-ангиографии у больных с подозрением на острую (опухолевую) и хроническую ТЭЛА при приемлемой дозе облучения. Применение программы субтракции легких (Lung subtruction) позволяет получать диагностические карты кровотока для рутинных исследований КТ-ангиографии легких. Эти карты кровотока очень полезны для оценки степени дефицита перфузии при очевидной ТЭЛА, но, что еще более важно, способны показать дефекты перфузии, вызванные небольшими или скрытыми легочными эмболами, без видимых изменений пневматизации легочной ткани по типу «мозаичной перфузии» или наличия инфаркта легкого.
Заключение
Нет однозначных признаков инвазии, в части случаев истинный характер поражения устанавливают только в процессе хирургического вмешательства. При гигантских опухолях внутригрудной локализации основным методом оценки резектабельности новообразования является широкодетекторная МСКТ с внутривенным контрастированием.
Прямые КТ-симптомы: сдавление сосуда; циркулярный рост опухоли; стенозирование просвета сосуда; полный блок сосудов; нечеткий контур стенки сосуда; дефект наполнения в просвете сосуда, являющийся продолжением опухоли (опухолевый тромб). Низкоспецифичные признаки: тесное прилегание опухоли к стенке сосуда, контакт опухоли с сосудом на протяжении, превышающем 90° ее окружности (угол Пикуса), соприкосновение опухолевого узла со стенкой сосуда на протяжении более 3 см. Инвазия плевры: соприкосновение опухолевого узла с листком плевры на протяжении более 3 см, утолщение плевры в этом месте и втянутость в опухолевый узел (синдром «умбиликации»), отсутствие полоски жировой ткани, разделяющей опухоль и средостенные структуры.
Удаление гигантских внутригрудных опухолей с применением современных кардиоторакальных хирургических технологий является методом выбора при лечении. Роль МСКТ с внутривенным контрастированием в оценке инвазии структур средостения при опухолях грудной клетки является приоритетной.
Раскрытие интересов. Авторы декларируют отсутствие явных и потенциальных конфликтов интересов, связанных с публикацией настоящей статьи.
Disclosure of interest. The authors declare that they have no competing interests.
Вклад авторов. Авторы декларируют соответствие своего авторства международным критериям ICMJE. Все авторы в равной степени участвовали в подготовке публикации: разработка концепции статьи, получение и анализ фактических данных, написание и редактирование текста статьи, проверка и утверждение текста статьи.
Authors’ contribution. The authors declare the compliance of their authorship according to the international ICMJE criteria. All authors made a substantial contribution to the conception of the work, acquisition, analysis, interpretation of data for the work, drafting and revising the work, final approval of the version to be published and agree to be accountable for all aspects of the work.
Источник финансирования. Авторы декларируют отсутствие внешнего финансирования для проведения исследования и публикации статьи.
Funding source. The authors declare that there is no external funding for the exploration and analysis work.
Информированное согласие на публикацию. Пациенты подписали форму добровольного информированного согласия на публикацию медицинской информации.
Consent for publication. Written consent was obtained from the patients for publication of relevant medical information and all of accompanying images within the manuscript.
About the authors
Irina M. Koroleva
Sechenov First Moscow State Medical University (Sechenov University)
Author for correspondence.
Email: mmact01@yandex.ru
ORCID iD: 0000-0001-5244-6651
D. Sci. (Med.), Prof.
Russian Federation, MoscowVladimir D. Parshin
Sechenov First Moscow State Medical University (Sechenov University)
Email: vdparshin@yandex.ru
D. Sci. (Med.), Prof., Corr. Memb. RAS
Russian Federation, MoscowElvira Z. Mukhamatullina
RP Canon Medical Systems
Email: elvira.mukhamatullina@rp.medical.canon
ORCID iD: 0000-0002-2770-2200
Department Head
Russian Federation, MoscowMaria A. Mishchenko
National Medical Research Center “Treatment and Rehabilitation Center”
Email: medic_maria@mail.ru
ORCID iD: 0000-0003-0181-3356
Cand. Sci. (Med.)
Russian Federation, MoscowReferences
Supplementary files













