Cerebral venous thrombosis in otorhinolaryngology. Case report
- Authors: Krivopalov A.A.1, Shcherbuk A.Y.2, Shcherbuk Y.A.2, Sarkisyan I.I.3, Shamkina P.A.1, Glyshchenko A.I.1
- 
							Affiliations: 
							- Saint-Petersburg Research Institute of Ear, Throat, Nose and Speech
- Saint Petersburg State University
- Saint Petersburg State Pediatric Medical University
 
- Issue: Vol 24, No 9 (2022)
- Pages: 632-636
- Section: Articles
- Published: 20.09.2022
- URL: https://consilium.orscience.ru/2075-1753/article/view/119825
- DOI: https://doi.org/10.26442/20751753.2022.9.201910
- ID: 119825
Cite item
Full Text
Abstract
A violation of cerebral circulation, in which a blood clot forms in the venous system of the brain with the formation of an obstruction of the dural sinus, one or more veins of the brain is called cerebral venous thrombosis. Cerebral venous sinus thrombosis (CVT) is a rare venous thromboembolic event, which accounts for 5 cases per 1 million among adults and about 7 cases per 1 million among children, according to the International Study on Cerebral Vein and Dural Sinus Thrombosis. Women of childbearing age are more susceptible to the disease, which is probably due to hormonal changes during pregnancy, labor, as well as the concomitant effect of oral contraceptives (leading to hypercoagulation). In addition to the low prevalence of CVT, the variety of etiology, the diagnosis is complicated by the highly variable clinical picture of cerebral venous thrombosis. The clinical manifestations of CVT are very diverse and depend on the prevalence of thrombosis, the rate of formation of vein occlusion, the age of patients, and the etiological factor. The main symptom of CVT is an intense headache (92%) as a sign of developing intracranial hypertension. During more than 2 years of follow-up, the mortality rate from CVT was calculated – 8.3%, however, in more than 90% of cases the prognosis of the disease is favorable. Despite the favorable prognosis, without timely treatment of CVT, this is a potentially lethal disease, so the relevance of this topic is beyond doubt.
Full Text
Введение
В настоящее время ввиду волнообразной персистенции вируса SARS-CoV-2 в популяции сохраняется повышенный риск церебральных венозных тромбозов (ЦВТ), поэтому потребность изучения литературных данных, посвященных теме ЦВТ, остается крайне актуальной. Помимо небольшой распространенности ЦВТ, разнообразия этиологии диагностику затрудняет и весьма вариабельная клиническая картина заболевания.
Эпидемиология
В результате более чем двухлетнего труда коллектива авторов во главе с J. Ferro в 2004 г. произведено крупное мультицентровое исследование International Study on Cerebral Vein and Dural Sinus Thrombosis (ISCVT), в результате которого установлена частота ЦВТ 5 случаев на 1 млн взрослого населения и 7 случаев на 1 млн детского населения. Более чем в 90% случаев прогноз заболевания благоприятный, летальность от ЦВТ достигает 8,3% [1, 2].
Многие причины способствуют развитию ЦВТ, однако эти факторы риска обычно всегда связаны с тромбогенной триадой Вирхова, которая включает повреждение стенки сосуда, стаз крови в венозном русле и гиперкоагуляцию [1, 3].
По времени появления клинических симптомов ЦВТ различают острый – ≤48 ч, подострый – >48 ч – ≤30 дней, хронический – ≥1 мес. В зависимости от наличия инфекционной причины церебрального тромбоза его делят на септический (сЦВТ) и асептический. Венозный тромбоз, возникший на фоне первичного инфекционно-воспалительного заболевания, называют септическим. Среди патологии органов головы и шеи основными этиологическими факторами ЦВТ могут выступать гнойно-воспалительные заболевания зубочелюстной системы, среднего уха, околоносовых пазух, наружного носа и мягких тканей лица.
Клиника
Клинические признаки ЦВТ очень разнообразны, основным симптомом является стойкая головная боль (92%) как признак нарастающей внутричерепной гипертензии. Интенсивность жалоб зависит от протяженности тромбоза, стремительности формирования окклюзии вен, соматического состояния пациента. Далее по частоте встречаемости следуют слабость, невозможность или ограничение при выполнении определенных движений, изменение тонуса мышц, мышечный дисбаланс – 42%, внезапные приступы непроизвольных мышечных сокращений – 37% (в том числе эпилептический статус – 13%), двигательное возбуждение и аффективное расстройство – 25%, афазия – 18%, нейроофтальмопатия – 13%, угнетение сознания – 13%, центральное нарушение иннервации внутричерепных нервов, шум в ушах – 12%, нарушения чувствительности – 11%, ригидность мышц затылка – 5%, вестибуло-мозжечковые нарушения, изменение в эмоционально-волевой сфере – 1% [2, 4, 5].
В отдаленном периоде чаще всего рецидивирующий характер носила головная боль (14%) и судорожный синдром (11%).
В зависимости от топики пораженного венозного синуса выделяют следующую характерную совокупность жалоб [1, 3]. ISCVT определило частоту возникновения ЦВТ в различных местах венозного русла: поперечный синус – 86%, верхний сагиттальный синус – 62%, прямой синус – 18%, кортикальные вены – 17%, яремные вены – 12%, вена Галена и внутренняя мозговая вена – 11% [1, 3]. При развитии тромбоза в верхнем сагиттальном синусе на первый план выступают головная боль, повышение внутричерепного давления, отек диска зрительного нерва, двигательные нарушения, судороги, в верхнесагиттальном синусе – головная боль, повышение внутричерепного давления, отек диска зрительного нерва, двигательные нарушения, судороги, отек кожи головы, набухание поверхностных вен головы. Поперечный синус: симптомы, связанные с предрасполагающим заболеванием (например, средний отит, мастоидит), конституциональные симптомы (слабость, лихорадка, тошнота), гемиопия, афазия, контрлатеральная слабость. Пещеристый синус: птоз, хемоз глазного яблока, боль в области орбиты, нарушение функций III, IV, VI, V (I ветвь) пар черепных нервов. Если поражение сформировалось в глубокой венозной сети (внутренняя мозговая вена, вена Галена, прямой синус), то присутствуют признаки инфаркта таламуса или базального ганглия, быстрая неврологическая декомпенсация.
Диагностика
Пациентам с ЦВТ следует провести ряд клинических исследований, включая общий анализ крови, комплексную биохимическую панель и коагуляционный профиль. Эти тесты помогают выявить сопутствующие этиологические факторы риска ЦВТ. Люмбальная пункция может быть выполнена для исключения других причин, таких как внутричерепные инфекции. В стандарты обследования внесены компьютерная томография (КТ) и магнитно-резонансная томография в стандартных режимах, по которым можно определить отек мозга, очаги некротических изменений в ткани мозга, дефект наполнения в области слияния синусов («полая дельта») – контрастирование по периферии тромба в синусе, исчезновение нормального сигнала пустоты, усиленный сигнал от тромбированных кортикальных вен («симптом шнура»), спонтанное затенение в проекции верхнего сагиттального синуса из-за наличия свежей свернувшейся крови («симптом плотного треугольника») внутри кортикальных вен [1, 6, 7].
Компьютерная томографическая ангиография и дуплексное сканирование артерий обнаруживают отсутствие контрастирования тромбированного дурального синуса. Тромбированный синус не заполняется контрастным веществом и окружен расширенными венозными коллатералями [6, 8].
В настоящее время к стандартам лечения ЦВТ относят устранение этиологических причин и факторов риска, назначение антикоагулянтной терапии (АКТ). Кроме того, в последние годы при тромбозе мозговых вен и венозных синусов применяются инструментальные методы удаления тромбов из центральных венозных синусов – тромбэктомия и декомпресcивная трепанация черепа, что оказывает положительный эффект на выживаемость пациентов [9, 10].
Ранее основой лечения ЦВТ являлся гепарин с последующим переходом на варфарин. Обычная схема введения гепарина в острой фазе заболевания составляла 5000 ЕД внутривенно болюсно, затем внутривенное капельное введение 1000 ЕД/ч (в сутки 20–40 тыс. ЕД). По окончании острого периода заболевания рекомендовалось перевести пациента на пероральный прием варфарина (в среднем 8–12 мес) [1, 11].
В настоящее время вариантом выбора для лечения ЦВТ являются пероральные антикоагулянты (ПОАК), эффективность и безопасность которых подтверждены многочисленными исследованиями.
Одна из первых работ, посвященных применению ПОАК при ЦВТ, опубликована в 2015 г. С. Herweh и соавт. Исследование проводилось с 1998 по 2014 г., в нем приняли участие 99 пациентов, 97% из которых получали ПОАК в среднем в течение 7 мес. Полная реканализация была достигнута у 57,6%, частичная реканализация – у 29,3%, отсутствие реканализации – у 13,1% пациентов. Среднее время до частичной реканализации составило 4 мес, до полной – 6 мес. По результатам 8-месячного наблюдения у 91,8% пациентов определялся хороший результат по клиническому течению. В течение всего периода наблюдения не отмечено серьезных геморрагических осложнений и рецидивов ЦВТ [12].
В практике ЛОР-врача сЦВТ является угрожающим жизни пациента осложнением. Во время курации пациента с длительным воспалительным процессом в околоносовых синусах или полостях среднего уха оториноларинголог всегда помнит о внутричерепных и орбитальных осложнениях.
До момента широкого распространения антибиотикотерапии сЦВТ был широко распространен и считался смертельным осложнением. Несмотря на современные методы диагностики и лечения, сЦВТ не уходит из практики врачей, более того, с улучшением качества инструментального обследования и приходом новой COVID-19-инфекции частота выявляемости снова начала расти. Cогласно исследованию ISCVT инфекционные процессы, локализованные в области головы и шеи, являются этиологической причиной развития сЦВТ в 8,2% случаев [1, 3].
Согласно данным литературы в странах с развитой экономикой встречаемость синус-тромбозов в общей структуре гнойно-воспалительных рино- и отогенных внутричерепных заболеваний составляет 7,9%, в странах с развивающейся экономикой – 19,8%. Госпитальная летальность при ЛОР-ассоциированных синус-тромбозах составляет 31,6% [13, 14].
Наиболее часто поражается сигмовидный синус, что связано с гнойным средним отитом, мастоидитом [14]. Кроме того, развитие сЦВТ более характерно для детского возраста. Согласно результатам эпидемиологического исследования в США у 40% пациентов педиатрического профиля с ЦВТ выявлена инфекционная этиология заболевания [14].
Точный механизм формирования септического тромбоза венозного синуса головного мозга до конца не уточнен. Принято считать, что по эмиссарным венам из венозных коллекторов области головы и шеи инфекционный агент прямым путем может влиять на развитие ЦВТ у пациентов с наличием предрасполагающих факторов, в первую очередь врожденной или приобретенной тромбофилией [15].
Этиологически сЦВТ вызывают как бактериальные, так и вирусные, грибковые и паразитарные заболевания [16].
Staphylococcus aureus является наиболее часто идентифицируемым инфекционным агентом, который обнаруживается в 60–70% случаев. Реже встречаются стрептококки (в том числе Streptococcus pneumoniae), грамотрицательные бактерии, анаэробы. В литературе отмечаются случаи септического тромбоза кавернозного синуса, вызванного Mycobacterium tuberculosis. В последние годы все чаще выявляется метициллинрезистентный S. aureus (MRSA) [15–17].
Среди грибковых этиологических факторов как причин сЦВТ в основном выявляют Aspergillus fumigatus, Rhizopus species, Mucormycosis [15–19].
Клиническая картина сЦВТ неспецифична и может одновременно сочетать симптомы поражения вовлеченных в патологический процесс органов и систем. К ведущим клиническим проявлениям заболевания относятся общеинфекционный синдром, синдром системной воспалительной реакции (ССВР), синдром воспалительного поражения ГМ [14, 20].
Симптомокомплекс первичного очага инфекционного процесса в большинстве случаев маскируется клиникой развившихся внутричерепных осложнений [15, 21].
Лечение
Лечение сЦВТ происходит по следующим направлениям: санирующее вмешательство, назначение антибактериальной (АБТ) и тромболитической терапии.
Первым этапом производится хирургическая санация очага инфекции, которая в зависимости от этиологии ЦВТ заключается во вскрытии околоносовых пазух, полостей среднего уха, ячеек сосцевидного отростка, очагов деструкции костной ткани височной кости, орбитальной зоны, области поражений мягких тканей лица. Кроме того, по показаниям в ходе хирургической санации возможно вскрытие пораженного венозного синуса и выполнение тромбэктомии [14, 15, 20].
Препаратами выбора при стартовой АБТ являются препараты, обладающие высокой противомикробной активностью, проникающие через гематоэнцефалический барьер: цефалоспорины III–V поколений, комбинированные препараты (цефоперазон + сульбактам), аминогликозиды, антианаэробные препараты. Парентеральное применение АБТ длительное – до 3–4 нед, кроме того, возможно внутриартериальное, эндолюмбальное введение антибиотиков по показаниям [1, 14, 21].
Клинический случай
Пациент К., 16 лет, госпитализирован в многопрофильный специализированный стационар с жалобами на повышение температуры тела до фебрильных цифр, интенсивную головную боль, тошноту, рвоту, боли в левом глазу, двоение в глазах. Из анамнеза: ребенок-инвалид, умственная отсталость легкой степени. Хронический отит диагностирован 6 лет назад, частое гноетечение, в течение последнего года лечение не получал. При поступлении: сознание ясное, температура тела 38,1ºС, симптомы раздражения мозговых оболочек. При ЛОР-осмотре: мягкие ткани в левой заушной области умеренно отечны, надавливание на площадку сосцевидного отростка болезненно, оторея (сливкообразный гной из наружного слухового прохода). Отомикроскопия: кожа наружного слухового прохода отечна, барабанная перепонка гиперемирована, утолщена, краевой дефект в передне-верхнем квадранте, холестеатома, гнойное отделяемое. При осмотре офтальмолога: visus OD=1,0; OS=0,6, отек век, конъюнктивы, экзофтальм слева, нарушение подвижности глазного яблока, офтальмоскопия: отек дисков зрительного нерва.
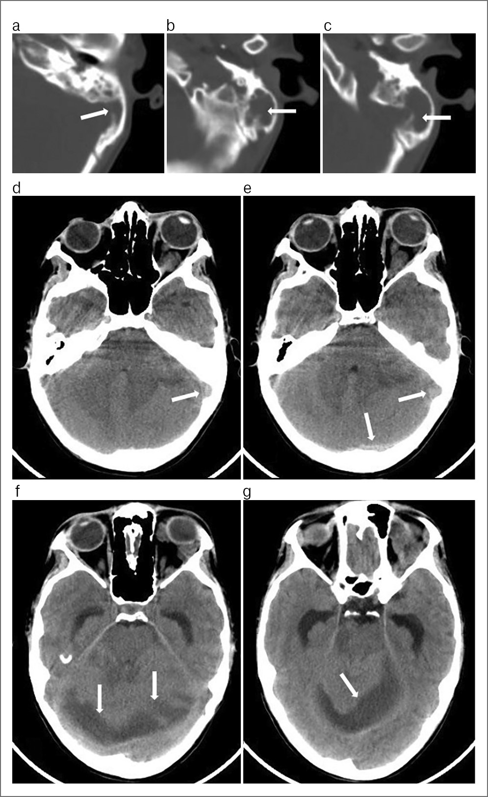
Консилиум (оториноларинголог, нейрохирург, невролог, реаниматолог, терапевт, клинический фармаколог, офтальмолог): комплексная оценка общего состояния больного: шкала Глазго – 15; SOFA – 1; APACHE II – 1; риск летального исхода по шкале APACHE II – 3,3. С учетом результатов КТ височных костей, ГМ (рис. 1) установлен диагноз: хронический эпитимпанит слева, холестеатома, мастоидит, отогенный менингоэнцефалит, тромбоз кавернозного, сигмовидного, поперечного синусов, субдуральный абсцесс задней черепной ямки, ССВР.
Рис. 1. КТ височных костей в аксиальной проекции (a–c) и ГМ без контрастирования в аксиальной проекции (d–g) пациента К., 16 лет. Диагноз: хронический эпитимпанит слева, холестеатома, мастоидит, отогенный менингоэнцефалит, тромбоз кавернозного, сигмовидного, поперечного синусов, субдуральный абсцесс задней черепной ямки, ССВР. Определяется инфекционная деструкция с истончением и аррозией задней грани пирамиды височной кости – стрелка (a), тотальное отсутствие воздушности ячеек левого сосцевидного отростка (b, c), обширная зона деструкции с образованием полости (стрелки), заполненной мягкотканным содержимым. На КТ ГМ определяются утолщение, извитость вен орбиты, левосторонний экзофтальм (d, e), повышение интенсивности сигнала в проекции левого сигмовидного и поперечного синусов (d, e – указательные стрелки), отек вещества ГМ, левой гемисферы мозжечка со смещением срединных структур ГМ. По ходу намета мозжечка определяется неправильной формы гипоинтенсивная зона (12–16 ед. Н), субдуральный абсцесс (f, g указательные стрелки); в левом полушарии мозжечка определяются гипоинтенсивные участки вещества ГМ (очаги энцефалита).
Экстренное хирургическое лечение. Оториноларинголог: радикальная операция на левом ухе, операционные находки: обширная полость деструкции, заполненная холестеатомой, разрушение «угловых» и «пороговых» клеток. В процессе удаления патологически измененных тканей обнажена стенка сигмовидного синуса, покрытая грануляциями. Определяется дефект стенки синуса (0,1×0,2 см) с гнойным отделяемым. Совместно с нейрохирургом просвет синуса вскрыт, выполнена тромбэктомия. Нейрохирургический этап операции: трепанация задней черепной ямки с удалением субдурального абсцесса, установкой проточно-промывного дренажа. Установка катетера в устье общей сонной артерии при пункции поверхностной височной артерии по Сельдингеру. Интенсивная терапия пациента в отделении реанимации 6 сут. АБТ: цефтриаксон 4,0 г в сутки внутриартериально при помощи инфузомата поточным методом: основа инфузата – 0,9% раствор хлорида натрия с добавлением гепарина, спазмолитиков. Продолжительность инфузии 5 сут.
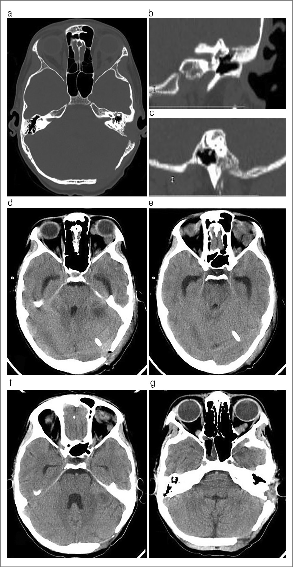
При динамических КТ-исследованиях височных костей, ГМ, выполненных через 5 дней после оперативноголечения, – динамика положительная (рис. 2). Исход лечения – выздоровление.
Рис. 2. КТ височных костей в аксиальной проекции (a), коронарной проекции (b) и сагиттальной проекции (c) и ГМ без контрастирования в аксиальной проекции (d, g) пациента К., 16 лет, выполненные после хирургической санации очагов инфекции. Послеоперационные полости среднего уха и сосцевидного отростка без воспалительных явлений (a, b). На КТ ГМ, выполненных в динамике через 5 дней после оперативного лечения (d, e), жидкостных образований не выявлено, отек вещества ГМ, смещение срединных структур умеренно выраженные. На КТ ГМ, выполненных на 17-е сутки после хирургической санации очагов инфекции (f, g), образований, смещения срединных структур ГМ не выявлено.
Заключение
В настоящее время, помимо устранения всех этиологических причин, при выявленном сЦВТ рекомендуется назначение АКТ, приводящей к предотвращению роста тромба, профилактике развития тромбоза глубоких вен и восстановлению проходимости пораженного сосуда.
Ранее применение антикоагулянтов в лечении инфекционных ЦВТ вызывало споры, что было связано с потенциальными рисками внутричерепных и/или системных кровоизлияний. Однако на сегодняшний день определено, что вероятность развития кровоизлияния на фоне применении антикоагулянтов при сЦВТ крайне низка, и нет доказанной информации по увеличению смертности при комбинированной АБТ и АКТ. Наоборот, наблюдается тенденция к снижению заболеваемости при использовании тромболитических препаратов совместно с антибиотиками на ранних стадиях [6, 10].
По данным Европейской федерации неврологических сообществ, Американской ассоциации кардиологов оптимальным вариантом АКТ является применение низкомолекулярного/нефракционированного гепарина в остром периоде ЦВТ [1, 2].
Однако в последнее время для терапии сЦВТ активно применяются ПОАК, как в переходном варианте от гепаринотерапии, так и в качестве самостоятельных антикоагулянтных препаратов.
Таким образом, в настоящее время применение ПОАК в качестве лечения асептического и септического ЦВТ широко распространено. Данный вариант АКТ еще не внесен в стандарты лечения пациентов с ЦВТ, но с учетом обширной литературной базы и положительного опыта клинических испытаний можно сделать вывод о хорошей переносимости, высокой эффективности применения препаратов ПОАК в лечении тромбозов венозных синусов ГМ.
Раскрытие интересов. Авторы декларируют отсутствие явных и потенциальных конфликтов интересов, связанных с публикацией настоящей статьи.
Disclosure of interest. The authors declare that they have no competing interests.
Вклад авторов. Авторы декларируют соответствие своего авторства международным критериям ICMJE. Все авторы в равной степени участвовали в подготовке публикации: разработка концепции статьи, получение и анализ фактических данных, написание и редактирование текста статьи, проверка и утверждение текста статьи.
Authors’ contribution. The authors declare the compliance of their authorship according to the international ICMJE criteria. All authors made a substantial contribution to the conception of the work, acquisition, analysis, interpretation of data for the work, drafting and revising the work, final approval of the version to be published and agree to be accountable for all aspects of the work.
Источник финансирования. Авторы декларируют отсутствие внешнего финансирования для проведения исследования и публикации статьи.
Funding source. The authors declare that there is no external funding for the exploration and analysis work.
Информированное согласие на публикацию. Авторы получили письменное согласие законных представителей пациента на анализ и публикацию медицинских данных и фотографий.
Consent for publication. Written consent was obtained from the patient for publication of relevant medical information and all of accompanying images within the manuscript.
About the authors
Aleksandr A. Krivopalov
Saint-Petersburg Research Institute of Ear, Throat, Nose and Speech
							Author for correspondence.
							Email: krivopalov@list.ru
				                	ORCID iD: 0000-0002-6047-4924
				                																			                								
D. Sci. (Med.)
Russian Federation, Saint PetersburgAleksandr Yu. Shcherbuk
Saint Petersburg State University
														Email: gkod@gmail.com
				                	ORCID iD: 0000-0003-3049-1552
				                																			                								
D. Sci. (Med.), Prof.
Russian Federation, Saint PetersburgYurii A. Shcherbuk
Saint Petersburg State University
														Email: 9361661@gmail.com
				                	ORCID iD: 0000-0003-1945-6959
				                																			                								
D. Sci. (Med.), Acad. RAS
Russian Federation, Saint PetersburgIrina I. Sarkisyan
Saint Petersburg State Pediatric Medical University
														Email: dr.sarkisyan.ir@mail.ru
				                	ORCID iD: 0000-0001-8200-714X
				                																			                								
Cand. Sci. (Med.)
Russian Federation, Saint PetersburgPolina A. Shamkina
Saint-Petersburg Research Institute of Ear, Throat, Nose and Speech
														Email: p.s.ent@bk.ru
				                	ORCID iD: 0000-0003-4595-365X
				                																			                								
Res. Assist.
Russian Federation, Saint PetersburgAlexandra I. Glyshchenko
Saint-Petersburg Research Institute of Ear, Throat, Nose and Speech
														Email: nocturne4@mail.ru
				                	ORCID iD: 0000-0001-5209-7869
				                																			                								
Graduate Student
Russian Federation, Saint PetersburgReferences
Supplementary files
 
				
			 
					 
						 
									





