Идиопатический легочный фиброз: клинический случай длительного наблюдения
- Авторы: Игнатова Г.Л.1, Блинова Е.В.1, Бельснер М.С.1, Короткая М.А.2
-
Учреждения:
- ФГБОУ ВО «Южно-Уральский государственный медицинский университет» Минздрава России
- ГАУЗ «Областная клиническая больница №3»
- Выпуск: Том 24, № 9 (2022)
- Страницы: 640-644
- Раздел: Статьи
- Статья опубликована: 20.09.2022
- URL: https://consilium.orscience.ru/2075-1753/article/view/119827
- DOI: https://doi.org/10.26442/20751753.2022.9.201962
- ID: 119827
Цитировать
Полный текст
Аннотация
Идиопатический легочный фиброз является особой формой хронической прогрессирующей фиброзирующей интерстициальной пневмонии неизвестной этиологии. В течение последнего десятилетия достигнут значительный прогресс в разработке и применении диагностического алгоритма для пациентов с идиопатическим легочным фиброзом, предполагающий анализ клинических, лабораторных и инструментальных данных, прежде всего результатов высокоразрешающей компьютерной томографии органов грудной клетки. Раннее назначение антифиброзной терапии позволяет оказать влияние на течение заболевания, замедлить прогрессирование патологического процесса и улучшить прогноз.
Ключевые слова
Полный текст
Идиопатический легочный фиброз (ИЛФ) – особая форма хронической прогрессирующей фиброзирующей интерстициальной пневмонии неизвестной этиологии, которая возникает преимущественно у людей старшего возраста, поражает только легкие и связана с гистологическим и/или компьютерно-томографическим паттерном обычной интерстициальной пневмонии (ОИП) [1, 2]. ИЛФ привлекает особое внимание исследователей всего мира в связи с прогрессирующим течением, быстро приводящим к инвалидизации и летальному исходу. ИЛФ относится к категории редких заболеваний, однако, по данным различных эпидемиологических исследований последних лет, доля ИЛФ составляет около 2/3 в структуре всех идиопатических интерстициальных пневмоний [3].
По инициативе Российского респираторного общества в 2016 г. в Российской Федерации разработаны клинические рекомендации по диагностике и лечению данного заболевания, включен в работу регистр пациентов с ИЛФ [4]. Согласно данным, полученным по результатам работы регистра в период с 2016 по 2020 гг., распространенность ИЛФ в РФ составляет 8–12 случаев на 100 тыс. населения, а заболеваемость – 4–7 случаев на 100 тыс. населения [5]. Аналогичные эпидемиологические данные получены в США и странах Европы [6, 7].
Основными клиническими проявлениями ИЛФ являются прогрессирующая одышка, снижение толерантности к физической нагрузке и хронический непродуктивный кашель [1]. В среднем от начала заболевания до момента первичного обращения пациента за медицинской помощью проходит от нескольких месяцев до 1,5 года. К этому времени появляются и такие неспецифические симптомы, как слабость, сниженный аппетит, потеря веса, которые в дальнейшем прогрессируют [8]. У 40% больных при первичном осмотре выявляются изменения дистальных фаланг пальцев рук по типу «барабанных палочек», изменения ногтевых пластин пальцев рук по типу «часовых стекол» различной степени выраженности, появление которых типично для развернутой стадии заболевания [1]. Выявляемая при аускультации двусторонняя крепитация в конце вдоха (хрипы «velcro») в базальных отделах также характерна для пациентов с ИЛФ и коррелирует с наличием паттерна обычной интерстициальной пневмонии при проведении высокоразрешающей компьютерной томографии (ВРКТ) органов грудной клетки [9].
Диагностика ИЛФ основана на выявлении паттерна ОИП при проведении ВРКТ органов грудной клетки и/или патологоанатомического исследования биоптатов легочной ткани [1]. Обзорная рентгенография органов грудной клетки больным с подозрением на ИЛФ не рекомендуется в связи с ее низкой информативностью [10]. Основными признаками типичного паттерна ОИП при ВРКТ легких являются преобладание изменений в кортикальных и базальных отделах, наличие диффузных ретикулярных изменений, мелкие субплевральные воздушные кисты («сотовое легкое») и/или периферические тракционные бронхо- или бронхиолоэктазы, а также отсутствие признаков, позволяющих заподозрить альтернативный диагноз [1, 11].
Возможно присутствие «матового стекла» на фоне ретикулярных изменений и «сотового легкого», но не превалирует, также является признаком фиброза легочной паренхимы [12]. Согласно последним российским и международным клиническим рекомендациям гистологическое подтверждение диагноза не требуется и не рекомендуется, если у пациента с клинической картиной, характерной для ИЛФ, и с отсутствием очевидных причин для развития интерстициального заболевания легких диагностирован ВРКТ-паттерн типичной ОИП [1, 2].
Значительное расширение объема знаний о патогенезе ИЛФ, исследования механизмов фиброобразования в легочной ткани и возможности влияния на него в последние десятилетия привели к появлению лекарственных средств с антифибротическим и антипролиферативным действием для лечения этого заболевания [13]. В настоящее время клиническая эффективность в лечении ИЛФ доказана только для двух препаратов – нинтеданиба и пирфенидона [14, 15].
Пирфенидон, пероральный препарат, относящийся к производным пиридона, – первый из двух противофиброзных лекарственных средств, получивших в 2011 г. рекомендацию Европейского медицинского агентства (European Medicines Agency) к применению у больных ИЛФ. В 2014 г. пирфенидон также одобрен Управлением по контролю пищевых продуктов и лекарств в США (Food and Drug Administration) [16, 17].
В доклинических исследованиях на животных моделях установлено, что пирфенидон вызывает торможение ранних и поздних реакций фиброобразования в легочной ткани и других органах, в том числе в почках [18]. Этот эффект опосредован ингибирующим влиянием препарата на синтез фибробластами трансформирующего фактора роста β, что ограничивает индуцируемый им процесс образования компонентов экстрацеллюлярного матрикса. Действие пирфенидона проявляется в подавлении пролиферации фибробластов, угнетении процессов их дифференцировки в миофибробласты, уменьшении скорости миграции этих и других клеток моноцитарно-макрофагальной системы. Кроме того, препарат предупреждает развитие митохондриальной дисфункции в различных клетках, что способствует их защите от апоптоза, индуцированного оксидативным стрессом [19].
Клиническая эффективность пирфенидона при ИЛФ доказана в нескольких крупных рандомизированных контролируемых исследованиях [14, 20]. Пирфенидон в суточной дозе 2403 мг замедлял скорость снижения форсированной жизненной емкости легких (ФЖЕЛ) на 193 мл в год по сравнению с плацебо (относительная разница 45,1%; р<0,001), улучшал переносимость физических нагрузок в тесте с 6-минутной ходьбой и снижал риск летального исхода (отношение шансов – ОШ 0,52; 95% доверительный интервал – ДИ 0,31–0,87; р=0,0107) [14, 21].
Пирфенидон имеет приемлемый профиль безопасности. Наиболее частыми побочными эффектами являются диспептические (тошнота, рвота, диарея) и кожные (фотосенсибилизация) симптомы, повышение печеночных трансаминаз, слабость, анорексия [22]. Чтобы уменьшить риск развития побочных явлений, рекомендуется постепенное наращивание дозы пирфенидона до терапевтической [23]. При приеме пирфенидона возможна модификация дозы, включая ее временное снижение либо полную отмену препарата до устранения побочных явлений, что позволяет управлять нежелательными реакциями и продолжить лечение. Рекомендовано мониторировать сывороточный уровень печеночных трансаминаз перед началом лечения, затем ежемесячно в течение первых 6 мес терапии и далее каждые 3 мес на протяжении всего периода лечения. Для уменьшения риска развития и выраженности желудочно-кишечных побочных эффектов рекомендуется принимать препарат вместе с пищей, для снижения риска развития кожных симптомов – использовать защиту от ультрафиолетового облучения [24].
Клинический случай
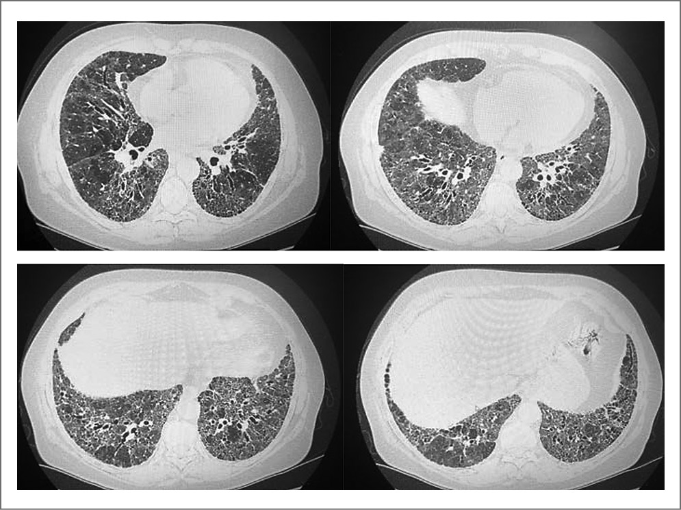
Пациентка П. 1956 года рождения (60 лет) обратилась в областной консультативно-диагностический центр для больных пульмонологического профиля Областной клинической больницы №3 г. Челябинска в декабре 2016 г. с жалобами на одышку смешанного характера при умеренной физической нагрузке, сухой приступообразный кашель по утрам. Из анамнеза известно, что одышка беспокоит последние 2 года при подъеме по лестнице на четвертый этаж, за 6 мес до обращения к пульмонологу одышка стала прогрессировать. В поликлинике по месту жительства при выполнении обзорной рентгенографии органов грудной клетки выявлены очаговые тени небольших размеров, преимущественно в базальных отделах, рекомендована ВРКТ. В январе 2017 г. впервые проведена ВРКТ органов грудной клетки: в нижних отделах обоих легких, преимущественно в базальных и субплевральных отделах, значительно выражены ретикулярные изменения, тракционные бронхо- и бронхиолоэктазы, участки формирования «сотового легкого»; симптом «матового стекла» в зонах ретикулярной исчерченности (рис. 1).
Рис. 1 Компьютерные томограммы органов грудной клетки пациентки П., 2017 г.
Пациентка – жительница г. Челябинска, факт курения отрицает. В течение всей жизни не имела неблагоприятных профессиональных и бытовых воздействий. Из сопутствующих заболеваний – гипертоническая болезнь II стадии, ежедневно принимает 50 мг лозартана в сутки. Аллергологический анамнез не отягощен.
При объективном осмотре: пациентка нормального телосложения, с индексом массы тела 34,1 кг/м2. Цианоза и периферических отеков нет. Обращают на себя внимание умеренно выраженные изменения ногтевых пластин пальцев рук по типу «часовых стекол». При аускультации в легких на фоне везикулярного дыхания выслушивалась грубая конечно- инспираторная крепитация в нижних отделах с обеих сторон. Частота дыхательных движений – 20 в минуту. Одышка по шкале Британского медицинского совета (Modified Medical Research Council dyspnoea scale – mMRC) – 2 балла. Уровень насыщения крови кислородом (SpO2), измеренный методом пульсоксиметрии, – 94% в покое, при самообслуживании – снижение SpO2 до 89%. Тоны сердца приглушены, ритм правильный, частота сердечных сокращений – 81 в минуту, артериальное давление – 124/71 мм рт. ст., остальные органы без отклонений.
В клиническом и биохимическом анализах крови значимых отклонений не выявлено. Сывороточные маркеры системных ревматических заболеваний в пределах нормы. По результатам исследования функции внешнего дыхания – вентиляционная функция легких не нарушена: объем форсированного выдоха за 1-ую секунду (ОФВ1) – 96% от должного, форсированная жизненная емкость легких (ФЖЕЛ) – 93% от должного. При бодиплетизмографии диагностированы рестриктивные нарушения легочной вентиляции: снижение показателей внутригрудного объема (ВГО) – 66,3% от должного, общей емкости легких (ОЕЛ) – 69,1% от должного, остаточного объема легких (ООЛ) – 63,6% от должного. Газотранспортная функция легких характеризовалась снижением диффузионной способности легких (DLco) до 48%, что соответствует тяжелой степени нарушения.
По данным эхокардиографии (2017 г.) умеренная дилатация полости левого предсердия, дилатация ствола легочной артерии. Систолодиастолическая функция левого желудочка удовлетворительная. Систолическое давление в легочной артерии – 66 мм рт. ст.
Для оценки толерантности к физической нагрузке выполнен тест с 6-минутной ходьбой: пройденное расстояние составило 420 м, выявлена десатурация, SpO2 – 84%.
Полученные при обследовании данные пациентки внесены в регистр больных ИЛФ. На основании жалоб, анамнеза болезни, изменений функциональных исследований и ВРКТ органов грудной клетки в 2017 г. центральные эксперты установили диагноз ИЛФ. Хроническая дыхательная недостаточность 2-й степени. Легочная гипертензия, класс III. Рекомендована антифибротическая терапия. С ноября 2017 г. пациентка принимала 2403 мг/сут (9 капсул) пирфенидона (Эсбриет®), ингибиторы протонной помпы (эзомепразол по 40 мг/сут), проходила длительную кислородотерапию (2 л/мин не менее 15 часов в сутки).
Пациентка продолжает принимать пирфенидон в течение 5 лет. На этом фоне отмечаются нежелательные явления в виде умеренной выраженной тошноты и мышечной слабости, не требующие изменения режима терапии. Эпизодов фотодерматита на протяжении всего периода лечения не отмечено (в весенне-летний период регулярно использует солнцезащитный крем). В мае 2022 г. больная переведена на пирфенидон российского производства – ПИРФАСПЕК®, капсулы по 267 мг (ООО «Аспектус фарма», Россия), прием которого продолжает по настоящее время. При переходе на пирфенидон российского производства (ПИРФАСПЕК®) других побочных явлений не наблюдалось.
На фоне противофиброзной терапии, проводимой в течение 5 лет, состояние пациентки стабильное, обострений ИЛФ не зарегистрировано. Сохраняется одышка при физической нагрузке (3 балла по mMRC). Динамика основных функциональных показателей представлена в табл. 1.
Таблица 1. Динамика основных показателей респираторной функции легких
Показатель | Период наблюдения | ||
2017 г. (исходно) | 2019 г. (2-й год лечения) | 2022 г. (5-й год лечения) | |
ФЖЕЛ, % от должного | 93 | 90,1 | 84 |
ОФВ1, % от должного | 96 | 94 | 92 |
ВГО, % от должного | 66,3 | 61,8 | 55,6 |
ОЕЛ, % от должного | 69,1 | 64,3 | 57,7 |
ООЛ, % от должного | 63,6 | 59,7 | 53,2 |
DLco, % от должного | 48 | 44,5 | 41,2 |
Анализируя представленные данные, видим тенденцию к снижению основных функциональных показателей, однако клиническое состояние пациентки стабильное, она продолжает наблюдаться в амбулаторных условиях, не возникало потребности в использовании дополнительных ресурсов здравоохранения.
По данным ВРКТ органов грудной клетки также отмечается стабилизация процесса (рис. 2).
Рис. 2 Компьютерные томограммы органов грудной клетки пациентки П., 2021 г.
Обсуждение
В 2011 г. P. Noble и соавт. опубликовали результаты III фазы рандомизированных клинических исследований CAPACITY-1 и CAPACITY-2, инициированных в 110 медицинских центрах Европы, США и Австралии, в которых рассматривались вопросы клинической эффективности и безопасности применения пирфенидона у пациентов с ИЛФ [20]. По полученным данным, длительный (до 72 нед) прием пирфенидона достоверно уменьшал скорость снижения ФЖЕЛ, препятствовал сокращению пройденного расстояния в тесте с 6-минутной ходьбой, а также увеличивал сроки до появления признаков прогрессирования заболевания в сравнении с плацебо. В исследовании ASCEND у пациентов, получавших пирфенидон (n=555), зарегистрировано на 47,9% меньше неблагоприятных исходов, к которым относилось снижение ФЖЕЛ на 10% и более от исходного значения, а также случаи смерти [14].
В результате обобщенного анализа нежелательных явлений, зарегистрированных в исследованиях CAPACITY и ASCEND, установлено, что длительное (максимальная продолжительность составила 9,9 года) лечение пирфенидоном сопровождалось возникновением тошноты в 37,6% случаев, диареи – в 28,1%, диспепсии – в 18,4%, рвоты – в 15,9%, кожных симптомов – в 25%. Эти реакции в большинстве случаев были незначительно или умеренно выраженными, исчезали при уменьшении дозы препарата и не имели отдаленных неблагоприятных последствий [24].
Представленный клинический случай наглядно демонстрирует, что противофиброзная терапия на ранней стадии болезни, до развития значимых функциональных нарушений, позволяет замедлить прогрессирование заболевания, отсрочить появление тяжелых симптомов и снизить риск неблагоприятного исхода. Применение пирфенидона в течение 5 лет в терапевтической дозе сопровождалось умеренными нежелательными явлениями, однако модификация дозировки лекарственного препарата не требовалась.
Результаты открытого рандомизированного перекрестного исследования сравнительной фармакокинетики и биоэквивалентности препарата ПИРФАСПЕК® в капсулах по 267 мг (ООО «Аспектус фарма», Россия) и препарата Эсбриет® в капсулах по 267 мг (Ф. Хоффманн-Ля Рош Лтд, Швейцария) с участием здоровых добровольцев продемонстрировали сходные фармакокинетические параметры изучаемых препаратов, сопоставимую безопасность, на основании чего сделан вывод о биоэквивалентности этих лекарственных средств. В феврале 2022 г. в России зарегистрирован пирфенидон отечественного производства с торговым наименованием ПИРФАСПЕК® (ООО «Аспектус фарма», Россия) [25].
Заключение
В настоящее время результаты доклинических и рандомизированных клинических исследований по влиянию пирфенидона на течение ИЛФ подтверждаются данными российских и международных наблюдательных исследований, в которых демонстрируется его эффективность и безопасность. При длительном применении пирфенидона нежелательные эффекты слабо или умеренно выражены и не провоцируют неблагоприятные отдаленные последствия. Раннее назначение антифибротических препаратов позволяет повлиять на течение ИЛФ и улучшить выживаемость пациентов.
Раскрытие интересов. Авторы декларируют отсутствие явных и потенциальных конфликтов интересов, связанных с публикацией настоящей статьи.
Disclosure of interest. The authors declare that they have no competing interests.
Вклад авторов. Авторы декларируют соответствие своего авторства международным критериям ICMJE. Все авторы в равной степени участвовали в подготовке публикации: разработка концепции статьи, получение и анализ фактических данных, написание и редактирование текста статьи, проверка и утверждение текста статьи.
Authors’ contribution. The authors declare the compliance of their authorship according to the international ICMJE criteria. All authors made a substantial contribution to the conception of the work, acquisition, analysis, interpretation of data for the work, drafting and revising the work, final approval of the version to be published and agree to be accountable for all aspects of the work.
Источник финансирования. Авторы декларируют отсутствие внешнего финансирования для проведения исследования и публикации статьи.
Funding source. The authors declare that there is no external funding for the exploration and analysis work.
Информированное согласие на публикацию. Пациентка подписала форму добровольного информированного согласия на публикацию медицинской информации.
Consent for publication. Written consent was obtained from the patient for publication of relevant medical information and all of accompanying images within the manuscript.
Об авторах
Галина Львовна Игнатова
ФГБОУ ВО «Южно-Уральский государственный медицинский университет» Минздрава России
Email: iglign@mail.ru
ORCID iD: 0000-0002-0877-6554
д-р мед. наук, проф., зав. каф. терапии Института дополнительного профессионального образования
Россия, ЧелябинскЕлена Владимировна Блинова
ФГБОУ ВО «Южно-Уральский государственный медицинский университет» Минздрава России
Автор, ответственный за переписку.
Email: blinel@mail.ru
ORCID iD: 0000-0003-2507-5941
канд. мед. наук, доц. каф. терапии Института дополнительного профессионального образования
Россия, ЧелябинскМария Сергеевна Бельснер
ФГБОУ ВО «Южно-Уральский государственный медицинский университет» Минздрава России
Email: mariika_04@mail.ru
ORCID iD: 0000-0003-2295-609X
канд. мед. наук, доц. каф. терапии Института дополнительного профессионального образования
Россия, ЧелябинскМарина Александровна Короткая
ГАУЗ «Областная клиническая больница №3»
Email: korotkayama@yandex.ru
врач-рентгенолог, зав. отделением лучевой диагностики №3
Россия, ЧелябинскСписок литературы
- Российское Респираторное Общество. Идиопатический легочный фиброз. Клинические рекомендации, 2021 [Rossiiskoe Respiratornoe Obshchestvo. Idiopaticheskii legochnyi fibroz. Klinicheskie rekomendatsii, 2021 (in Russian)].
- Raghu G, Remy-Jardin M, Myers JL, et al. Diagnosis of Idiopathic Pulmonary Fibrosis. An Official ATS/ERS/JRS/ALAT Clinical Practice Guideline. Am J Respir Crit Care Med. 2018;198(5):e44-68. doi: 10.1164/rccm.201807-1255ST
- Valeyre D, Duchemann B, Nunes H, et al. Interstitial Lung diseases. Respiratory epidemiology. Eur Respir Monogr. 2014;65:79-87. doi: 10.1183/2312508X.erm6514
- Чучалин А.Г., Авдеев С.Н., Айсанов З.Р., и др. Диагностика и лечение идиопатического легочного фиброза. Федеральные клинические рекомендации. Пульмонология. 2016;26(4):399-419 [Chuchalin AG, Avdeev SN, Aisanov ZR, et al. Diagnosis and Treatment of Idiopathic Pulmonary Fibrosis. Federal Guidelines. PULMONOLOGIYA. 2016;26(4):399-419 (in Russian)]. doi: 10.18093/0869-0189-2016-26-4-399-419
- Чикина С.Ю., Черняк А.В., Мержоева З.М., и др. Регистр больных идиопатическим легочным фиброзом в Российской Федерации. Пульмонология. 2020;30(2):173-83 [Chikina SYu, Chernyak AV, Merzhoeva ZM, et al. Idiopathic pulmonary fibrosis Registry in Russia. PULMONOLOGIYA. 2020;30(2):173-83 (in Russian)]. doi: 10.18093/0869-0189-2020-30-2-173-183
- Richeldi L, Rubin AS, Avdeev S, et al. Idiopathic Pulmonary Fibrosis in BRIC countries: the cases of Brazil, Russia, India, and China. BMC Med. 2015;13:237. doi: 10.1186/s12916-015-0495-0
- Costabel U, Crestani B, Wells AU, eds. Idiopathic Pulmonary Fibrosis. ERS Monograph. 2016. doi: 10.1183/2312508X.erm7116
- Raghu G, Collard HR, Egan JJ, et al; ATS/ERS/JRS/ALAT Committee on Idiopathic Pulmonary Fibrosis. An official ATS/ERS/JRS/ALAT statement: idiopathic pulmonary fibrosis; evidence-based guidelines for diagnosis and management. Am J Respir Crit Care Med. 2011;183(6):788-824. doi: 10.1164/rccm.2009-040GL
- Sgalla G, Walsh SLF, Sverzellati N, et al. “Velcro-type” crackles predict specific radiologic features of fibrotic interstitial lung disease. BMC Pulm Med. 2018;18(1):103. doi: 10.1186/s12890-018-0670-0
- Mathieson JR, Mayo JR, Staples CA, Müller NL. Chronic diffuse infiltrative lung disease: comparison of diagnostic accuracy of CT and chest radiography. Radiology. 1989;171(1):111-6. doi: 10.1148/radiology.171.1.2928513
- Lynch DA, Godwin JD, Safrin S, et al. High-resolution computed tomography in idiopathic pulmonary fibrosis: diagnosis and prognosis. Am J Resir Crit Care Med. 2005;172(4):488-93. doi: 10.1164/rccm.200412-1756OC
- Remy-Jardin M, Giraud F, Remy J, et al. Importance of ground-glass attenuation in chronic diffuse infiltrative lung disease: pathologic-CT correlation. Radiology. 1993;189(3):693-8. doi: 10.1148/radiology.189.3.8234692
- Skandamis A, Kani C, Markantonis SL, Souliotis K. Systematic review and network meta-analysis of approved medicines for the treatment of idiopathic pulmonary fibrosis. J Drug Assess. 2019;8(1):55-61. doi: 10.1080/21556660.2019.1597726
- King TE Jr, Bradford WZ, Castro-Bernardini S, et al; ASCEND Study Group. A phase 3 trial of pirfenidone in patients with idiopathic pulmonary fibrosis. N Engl J Med. 2014;370(22):2083-92. doi: 10.1056/NEJMoa1402582
- Richeldi L, du Bois RM, Raghu G, et al; INPULSIS Trial Investigators. Efficacy and safety of nintedanib in idiopathic pulmonary fibrosis. N Engl J Med. 2014;370(22):2071-82. DOI:10.1056/ NEJMoa1402584
- Navaratnam V, Fleming KM, West J, et al. The rising incidence of idiopathic pulmonary fibrosis in the U.K. Thorax. 2011;66(6):462-7. doi: 10.1136/thx.2010.148031
- Raghu G, Chen SY, Yeh WS, et al. Idiopathic pulmonary fibrosis in US Medicare beneficiaries aged 65 years and older: incidence, prevalence, and survival, 2001–11. Lancet Respir Med. 2014;2(7):566-72. doi: 10.1016/S2213-2600(14)70101-8
- Macconi D, Benigni A, Remuzzi G. The onset and Resolution of Renal Fibrosis: A Human Perspective. Kidney development, disease, repair and regeneration. Ed MH Little. Amsterdam: Elsevier Academic Press, 2016, p. 351-66. doi: 10.1016/B978-0-12-800102-8.00026-6
- Fernandez IE, Eickelberg O. The impact of TGF-β on lung fibrosis: from targeting to biomarkers. Proc Am Thorac Soc. 2012;9(3):111-6. doi: 10.1513/pats.201203-023AW
- Noble PW, Albera C, Bradford WZ, et al; CAPACITY Study Group. Pirfenidone in patients with idiopathic pulmonary fibrosis (CAPACITY): two randomised trials. Lancet. 2011;377(9779):1760-9. doi: 10.1016/SO140-6736(11)60405-4
- Nathan SD, Albera C, Bradford WZ, et al. Effect of pirfenidone on mortality: pooled analyses and meta-analyses of clinical trials in idiopathic pulmonary fibrosis. Lancet Respir Med. 2017;5(1):33-41. doi: 10.1016/S2213-2600(16)30326-5
- Costabel U, Albera C, Bradford WZ, et al. Analysis of lung function and survival in RECAP: An open-label extension study of pirfenidone in patients with idiopathic pulmonary fibrosis. Sarcoidosis Vasc Diffuse Lung Dis. 2014;31(3):198-205.
- Khanna D, Albera C, Fisher A, et al. An Open-label, Phase II Study of the Safety and Tolerability of Pirfenidone in Patients with Scleroderma-associated Interstitial Lung Dease: the LOTUSS Trial. J Rheumatol. 2016;43(9):1672-9. doi: 10.3899/jrheum.151322
- Lancaster L, Albera C, Bradford WZ, et al. Safety of pirfenidone in patients with idiopathic pulmonary fibrosis: integrated analysis of cumulative data from 5 clinical trials. BMJ Open Respir Res. 2016;3(1):e000105. doi: 10.1136/bmjresp-2015-000105
- Открытое, рандомизированное, перекрестное исследование сравнительной фармакокинетики и биоэквивалентности препарата Пирфенидон, капсулы, 267 мг (Аспектус Фарма, Россия) и препарата Эсбриет®, капсулы, 267 мг (Ф.Хоффманн-Ля Рош Лтд, Швейцария) с участием здоровых добровольцев. Протокол №EUS-PRF1 от 14 ноября 2019 г. [Otkrytoe, randomizirovannoe, perekrestnoe issledovanie sravnitel'noi farmakokinetiki i bioekvivalentnosti preparata Pirfenidon, kapsuly, 267 mg (Aspektus Farma, Rossiia) i preparata Esbriet®, kapsuly, 267 mg (F.Khoffmann-Lia Rosh Ltd, Shveitsariia) s uchastiem zdorovykh dobrovol'tsev. Protokol №EUS-PRF1 ot 14 noiabria 2019 g. (in Russian)].





