Клиника и диагностика коморбидности туберкулеза органов дыхания и вирусной пневмонии, вызванной Herpes simplex virus, Cytomegalovirus Human и SARS-CoV-2, у больных на поздних стадиях ВИЧ-инфекции с иммунодефицитом
- Авторы: Мишин В.Ю.1,2, Мишина А.В.1,2, Лежнев Д.А.1, Собкин А.Л.2, Шашенков И.В.1
-
Учреждения:
- ФГБОУ ВО «Московский государственный медико-стоматологический университет им. А.И. Евдокимова» Минздрава России
- ГБУЗ «Туберкулезная клиническая больница №3 им. проф. Г.А. Захарьина» Департамента здравоохранения г. Москвы
- Выпуск: Том 24, № 9 (2022)
- Страницы: 645-650
- Раздел: Статьи
- Статья опубликована: 20.09.2022
- URL: https://consilium.orscience.ru/2075-1753/article/view/119841
- DOI: https://doi.org/10.26442/20751753.2022.9.201937
- ID: 119841
Цитировать
Полный текст
Аннотация
Цель. Изучить особенности социального статуса, клиники и диагностики коморбидности туберкулеза органов дыхания и вирусной пневмонии, вызванной Herpes simplex virus 1-го типа, Cytomegalovirus Human и SARS-CoV-2, у больных на поздних стадиях ВИЧ-инфекции с иммунодефицитом.
Материалы и методы. В проспективное исследование включены 25 больных с коморбидностью туберкулеза органов дыхания с выделением Mycobacterium tuberculosis, герпесвирусной и коронавирусной пневмонией и 21 больной – с туберкулезом органов дыхания, цитомегаловирусной и коронавирусной пневмонией (1а и 2а основные группы) и соответственно 25 и 21 аналогичных пациентов, но без коронавирусной пневмонии (1б и 2б группы сравнения), на поздних стадиях ВИЧ-инфекции с иммунодефицитом. Для этиологической диагностики герпесвирусной и цитомегаловирусной пневмонии применялась полимеразная цепная реакция выявления ДНК Herpes simplex virus 1-го типа и Cytomegalovirus Human в диагностическом материале респираторного тракта, а для этиологической диагностики коронавирусной пневмонии – полимеразная цепная реакция выявления РНК SARS-CoV-2. Статистическую обработку данных осуществляли с помощью программы Microsoft Office Excel 2019 с вычислением среднего показателя в группе и стандартной ошибки среднего, доверительного интервала.
Результаты. Коморбидность туберкулеза органов дыхания, герпес-, цитомегало- и коронавирусной пневмонии у больных ВИЧ-инфекцией на поздней стадии в фазе прогрессирования и при отсутствии антиретровирусной терапии характеризовалась выраженным иммунодефицитом и генерализацией туберкулеза с множественными внелегочными поражениями. Это определяет сходство клинических проявлений и визуализацию компьютерно-томографических изменений данной коморбидности, что затрудняет их различие ввиду одновременного наслоения сразу нескольких патологий с однотипными клиническими проявлениями и требует комплексной этиологической диагностики конкретных болезней для назначения своевременного комплексного лечения и снижения летальности данного тяжелого контингента больных.
Заключение. Больные туберкулезом органов дыхания и ВИЧ-инфекцией, состоящие на учете в кабинете противотуберкулезной помощи ВИЧ-инфицированным в противотуберкулезном диспансере, представляют собой группу высокого риска заражения COVID-19 и заболевания коронавирусной пневмонией, а при выраженном иммунодефиците, герпесвирусной и цитомегаловирусной пневмонии должны регулярно подвергаться профилактическим исследованиям для своевременного выявления COVID-19 с целью их экстренной изоляции и лечения.
Полный текст
Введение
Инфекционное поражение легких различной этиологии является одной из основных причин развития пневмонии у больных ВИЧ-инфекцией, особенно на поздних стадиях с иммунодефицитом (ИД) [1–5]. При этом важную роль у данной категории больных играет туберкулез, который сочетается с другими оппортунистическими инфекциями легких (ОИЛ) [6], среди которых важное значение имеют вирусные пневмонии (ВП), этиологически связанные с Herpes simplex virus 1-го типа (HVS-1) и Cytomegalovirus Human (CMVH), которые существенно влияют на тяжесть клинических проявлений и эффективность проводимой терапии ввиду отсутствия специфического лечения [7–12].
COVID-19 создал определенные проблемы у больных ВИЧ-инфекцией в связи с тяжелым поражением дыхательной системы и развитием коронавирусной пневмонии, что является одной из основных причин госпитализации больных ВИЧ-инфекцией и наиболее частой причиной их смерти [13–17]. Однако наибольшие проблемы возникают при коморбидности туберкулеза органов дыхания (ТОД) и герпесвирусной пневмонии (ГВП), вызванной HVS-1, цитомегаловирусной пневмонии (ЦМВП), вызванной CMVH, и коронавирусной пневмонии (КВП), вызванной SARS-CoV-2, у больных на поздних стадиях ВИЧ-инфекции с ИД в плане особенности клиническо-рентгенологических проявлений и своевременной диагностики для назначения адекватного этиологического лечения и противоэпидемических мероприятий. Ведение данной категории пациентов требует новых знаний по особенностям клинико-рентгенологических проявлений и диагностики, а также мер индивидуальной и коллективной защиты, при этом подобные публикации в зарубежной и отечественной литературе отсутствуют.
Цель исследования – изучить особенности социального статуса, клиники и диагностики коморбидности ТОД и ВП, вызванной HVS-1, CMVH и SARS-CoV-2, у больных на поздних стадиях ВИЧ-инфекции с ИД.
Материалы и методы
Работа проведена на кафедре фтизиатрии и пульмонологии ФГБОУ ВО «МГМСУ им. А.И. Евдокимова» и клинической базе кафедры ГБУЗ «ТКБ №3 им. проф. Г.А. Захарьина».
Проведено проспективное исследование 92 впервые выявленных больных ТОД с выделением Mycobacterium tuberculosis (MBT), IVB стадией ВИЧ-инфекции в фазе прогрессирования и при отсутствии антиретровирусной терапии (АРВТ), в возрасте 26–52 лет. Мужчин – 59 (64,1±5,0%), женщин – 33 (35,9±5,0%). Больные разделены на 1а и 2а (основные) и 1б и 2б (контрольные) группы.
Так, 1а основная группа сформирована из 25 больных, у которых диагностирована коморбидность ТОД, ГВП и КВП, и 2а основная группа – из 21 пациента с диагностированной коморбидностью ТОД, ЦМВП и КВП.
Группы сравнения 1б и 2б составили соответственно 25 и 21 больной, у которых не диагностирована КВП, отобранные по принципу «копия-пара» по отношению к пациентам 1а и 2а основной группы, практически идентичные по социальным, возрастным, половым, клиническим параметрам, стадии ВИЧ-инфекции, выраженности ИД и отсутствию других ОИЛ.
Для этиологической диагностики ТОД производился посев диагностического материала респираторного тракта (мокрота, бронхоальвеолярный лаваж, биопсийный материал, полученный при бронхоскопии и пункциях внутригрудных лимфатических узлов) и других органов (кровь, моча, кал и пункции периферических лимфатических узлов) на плотную среду Левенштейна–Йенсена и в автоматизированной системе BACTEC MGIT 960 с определением лекарственной устойчивости полученной культуры MBT к противотуберкулезным препаратам методом абсолютных концентраций [18].
Для этиологической диагностики ГВП и ЦМВП применялась полимеразная цепная реакция (ПЦР) выявления ДНК HVS-1 и CMVH и иммуноферментный анализ выявления вирусных антигенов и антител и в диагностическом материале респираторного тракта [19], а для этиологической диагностики КВП при COVID-19 применялась ПЦР выявления РНК SARS-CoV-2 [20].
Для исключения других возбудителей ОИЛ, наиболее часто развивающихся на поздних стадиях ВИЧ-инфекции, таких как бактериальная пневмония, вызванная Streptococcus pneumoniae, Haemophilus influenzae или Staphylococcus aureus, микобактериоз легких – Mycobacterium nontuberculosis, пневмоцистная пневмония – Pneumocystis jiroveci, кандидозная пневмония – Candida albicans, применялись микробиологические, иммунологические методы и ПЦР диагностического материала из респираторного тракта [19].
Всем пациентам проводилось комплексное клиническое, лабораторное, иммунологическое (определение количества CD4+ лимфоцитов методом проточной цитофлюориметрии и вирусной нагрузки по количеству копий РНК ВИЧ в периферической крови) и лучевое исследование, включавшее компьютерную томографию (КТ), магнитно-резонансную томографию и ультразвуковое исследование органов грудной клетки и внутренних органов.
Статистическая обработка данных проводилась с помощью программы Microsoft Office Excel 2019 с вычислением среднего показателя в группе и стандартной ошибки среднего, доверительного интервала. Критерий достоверности p определялся по таблице Стьюдента. Различия между средними арифметическими показателями считались достоверными при значении p<0,05.
Результаты
У всех 92 больных в выделенных группах ВИЧ-инфекция – первое заболевание, а ТОД выявлен через 5–8 лет. Все они состояли на учете СПИД-центра, который практически не посещали ввиду социальной дезадаптации и отсутствия приверженности обследованию и лечению, не работали и не имели семьи. Все пациенты страдали наркозависимостью, употребляли алкогольные напитки и курили табачные изделия. У всех больных диагностирована сопутствующая патология: вирусный гепатит В или С и хроническая обструктивная болезнь легких (ХОБЛ) – у 61 (66,3±4,9%).
ТОД у всех 92 больных выявлен при обращении с симптомами острого воспалительного респираторного заболевания в лечебные учреждения первичной медико- санитарной помощи и подтвержден при комплексном обследовании в противотуберкулезном диспансере, где при микробиологическом исследовании диагностического материала респираторного тракта выявлены MBT и при КТ-исследовании органов грудной клетки установлены двусторонние изменения, характерные для воспалительного поражения легких, и они госпитализированы в ГБУЗ «ТКБ №3 им. проф. Г.А. Захарьина». В приемном отделении у 46 пациентов 1а и 2а групп диагностирован COVID-19, и они изолированы в обсервационное отделение («красную зону»), а при отсутствии COVID-19 46 больных 1б и 2б направлены в отделение для больных туберкулезом и ВИЧ-инфекцией, где дополнительно у 50 больных 1а и 1б групп выявлен HVS-1 и у 42 – CMVH.
Распределение больных в наблюдаемых группах по количеству CD4+ лимфоцитов в 1 мкл крови представлено в табл. 1.
Таблица 1. Распределение больных в наблюдаемых группах по количеству CD4+ лимфоцитов в 1 мкл крови (M±m)
Группы наблюдения | Число больных, абс. (%) | Количество CD4+ лимфоцитов в 1 мкл крови | |||
50–30 | 29–20 | 19–10 | <9 | ||
1а | 25 (100,0) | 5 20,0±8,0 | 7 28,0±9,0 | 10 40,0±9,8 | 3 12,0±6,5 |
1б | 25 (100,0) | 6 24,0±8,5 | 7 28,0±9,0 | 8 32,0±9,3 | 4 16,0±7,3 |
2а | 21 (100,0) | 5 23,8±9,3 | 5 23,8±9,3 | 8 38,1±10,5 | 3 14,3±7,6 |
2б | 21 (100,0) | 4 19,0±8,5 | 6 28,6±9,9 | 7 33,3±10,2 | 4 19,0±8,5 |
Как показано в табл. 1, в 1а, 1б, 2а и 2б группах показатели количества CD4+ лимфоцитов в 1 мкл крови практически не различались.
В 1а группе у 20,0% больных количество CD4+ лимфоцитов в диапазоне 50–30 кл/мкл крови, у 28% – 20–29, у 40% – 19–10 и у 12% – менее 9, а в 1б группе соответственно: у 24, 28, 32 и 16% (р>0,05). В 2а группе у 23,8% больных количество CD4+ лимфоцитов в диапазоне 50–30 кл/мкл крови, у 23,8% – 20–29, у 38,1% – 19–10 и у 14,3% – менее 9, а в 2б группе соответственно: у 19,0, 28,6, 33,3 и 19,0% (р>0,05).
Среднее количество CD4+ лимфоцитов в 1 мкл крови также оказалось сходным и составляло у больных 1а группы 24,7±0,29 кл/мкл крови и в 1б группе – 29,4±0,44, а у пациентов в 2а и 2б группах соответственно: 20,3±0,45 и 28,3±0,33 (р>0,05). При этом вирусная нагрузка у больных в наблюдаемых группах – более 500 тыс. РНК ВИЧ копий/мл крови.
Таким образом, у больных с коморбидностью ТОД, ГВП и КВП или ТОД, ЦМВП и КВП и без КВП, IVВ стадией ВИЧ-инфекции в фазе прогрессирования и при отсутствии АРВТ имеется значительное снижение количества CD4+ лимфоцитов в крови (от 50 клеток и ниже в 1 мкл крови) и со средним количеством CD4+ клеток, не превышающим 30 кл/мкл крови. Это свидетельствует о выраженном ИД, что, по-видимому, определяет однотипность низкого иммунного ответа на различные по этиологии возбудители и обусловливает сходство распространенности патологических поражений и клинико-рентгенологических проявлений коморбидного заболевания.
У больных в наблюдаемых группах ТОД сочетался с генерализацией туберкулеза с множественными внелегочными специфическими поражениями различных органов, подтвержденными выделением МBТ в диагностическом материале из различных органов. У пациентов 1а группы два органа поражены у 11 пациентов, три – у 6, четыре – у 2 и пять – у 2, а в 2а соответственно у 10, 8, 1 и 1. Аналогичная частота внелегочных поражений и в 1б и 2б группах, где два органа поражены у 12 и у 8 больных, три – у 5 и 6, четыре – у 2 и 5, пять – у 2 и 1. Наиболее частыми внелегочными локализациями у больных в наблюдаемых группах стали кишечник, брыжеечные лимфатические узлы и периферические лимфатические узлы, центральной нервной системы и мочеполовой системы. Несколько реже встречались поражения селезенки, костей и суставов, а поражения щитовидной железы, надпочечников, перикарда, внутреннего уха встречались у единичных пациентов.
Следовательно, у больных с коморбидностью ТОД, ГВП и КВП или ТОД, ЦМВП и КВП и без КВП, IVВ стадией ВИЧ-инфекции в фазе прогрессирования и при отсутствии АРВТ тяжесть клинических проявлений и течения коморбидного заболевания в значительной степени определяется генерализованным характером туберкулеза на фоне выраженного ИД, что определяет сходство клинических проявлений и затрудняет их различие ввиду одновременного наслоения сразу нескольких вирусных патологий, требующего комплексной этиологической диагностики конкретных болезней.
Клиническая картина болезни у больных в наблюдаемых группах практически не различалась и характеризовалась выраженным синдромом интоксикации и общими воспалительными изменениями с потерей массы тела, адинамией, головной болью, миалгией, невропатией, энцефалопатией, сердцебиением, бледностью кожного покрова, лихорадкой, ознобом, показателями воспаления в лабораторных анализах, снижением сатурированного кислорода и нарастающей легочно-сердечной недостаточностью, что определяет инфекционно-токсический шок при коморбидной патологии. Все это сочеталось также с симптомами поражения других органов и систем. У всех больных 1а и 1б групп с ГВП на слизистых оболочках (губ, рта, глаз и гениталий) или на различных участках кожи отмечены характерные высыпания сгруппированных везикулярных пузырьков. У 2а и 2б с ЦМВП на слизистых и на коже – высыпания, представленные петехиальной или везикуло- буллезной сыпью, и у 12 пациентов выявлено поражение центральной нервной системы в виде менингоэнцефалита. Клиническая картина воспалительных изменений респираторной системы у больных также существенно не различалась и характеризовалась одышкой, кашлем, бронхоспазмом, выделением слизисто-гнойной мокроты и наличием разнокалиберных хрипов в легких.
У больных 1а и 2а групп отмечались симптомы, характерные для COVID-19, аносмия, дисгевзия и нейросенсорная потеря слуха, гипоксемия, синдром диссеминированного внутрисосудистого свертывания, тромбозы или тромбоэмболии, а в ряде случаев и синдромом Гийена–Барре. Однако подобные клинические проявления с различной частотой встречалось и у пациентов без COVID-19, что в значительной степени определяется поздней стадией ВИЧ-инфекции с выраженным ИД и тяжелым течением коморбидной болезни.
Таким образом, у больных с коморбидностью ТОД, КВП, ГВП или ТОД, ЦПМП и КВП и без КВП, IVВ стадией ВИЧ-инфекции с ИД в фазе прогрессирования и при отсутствии АРВТ клиническая картина, характеризующаяся синдромом интоксикации, общими воспалительными и респираторными проявлениями, практически одинакова и неспецифична, а особенности клинического течения коморбидного заболевания возможно выявить только при наличии конкретного возбудителя.
На КТ органов грудной клетки у больных в наблюдаемых группах визуализируется комплекс одновременного сочетания 4 патологических синдромов: диссеминации, патологии плевры, усиления легочного рисунка и аденопатии. Синдром диссеминации представлен очагами различных размеров (от мелких до крупных) и интенсивности (от низкой до высокой) с тенденцией к слиянию и образованию инфильтратов негомогенного характера с деструкцией легочной ткани и бронхогенным обсеменением. Синдром поражения плевры проявлялся уплотнением междолевой и париетальной плевры, а более чем у 1/2 пациентов – с развитием экссудативного плеврита или эмпиемы плевры. Синдром усиления и деформации легочного рисунка имел «сетчатый» характер вследствие развития интерстициальной пневмонии при лимфогематогенной диссеминации с диффузным понижением прозрачности легочной ткани, развитием кистозно-дистрофических изменений и участками консолидации по типу «матового стекла». Синдром аденопатии представлен двусторонним увеличением внутригрудных лимфатических узлов с инфильтративными изменениями по периферии.
У больных в наблюдаемых группах не последнюю роль играло наслоение одновременно нескольких патологий и изменений, развивающихся в легких на поздних стадиях ВИЧ-инфекции с ИД, в том числе связанных непосредственно с самой ВИЧ-инфекцией, в виде лимфоидной интерстициальной пневмонии, неспецифической интерстициальной пневмонии, первичной легочной гипертонии и высокой частоты ХОБЛ, ведущей к развитию эмфиземы и кистозно-дистрофических изменений, и при этом не исключается развитие подобных изменений, связанных с проявлениями отдельных ВП [5, 10, 19].
При этом площадь поражения легких у всех больных составляла 80–100% и являлась практически сопоставимой. Дифференцировать данные изменения, визуализирующиеся на КТ органов грудной клетки, по конкретным патологиям не представляется возможным ввиду сходства КТ-признаков, при этом диагностика возможна только при микробиологическом, вирусологическом и молекулярно-генетическом установлении этиологии конкретных возбудителей.
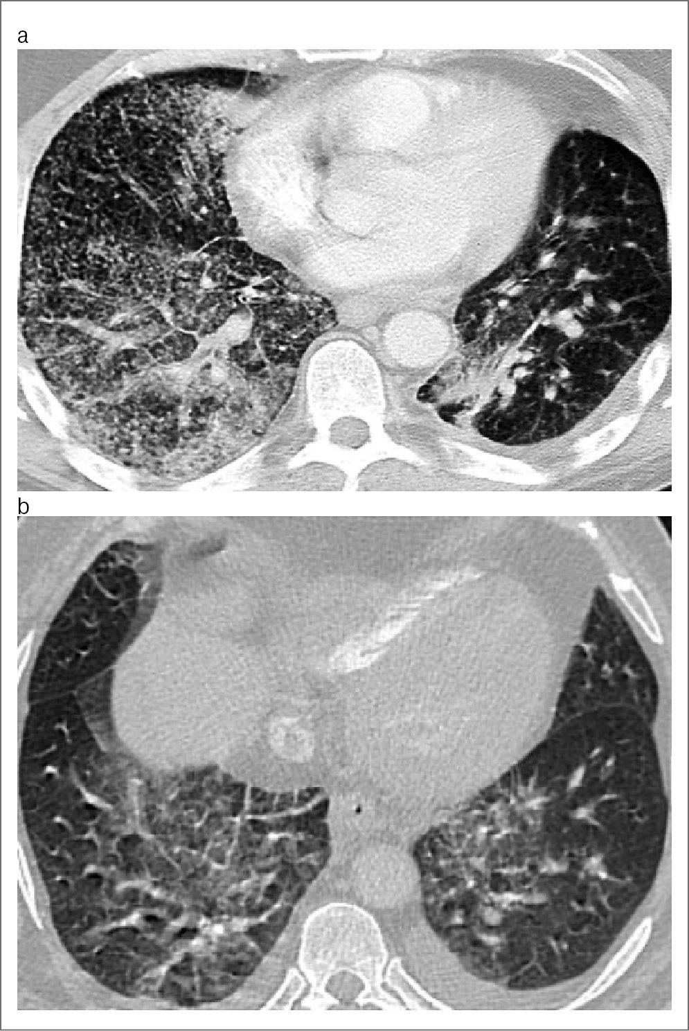
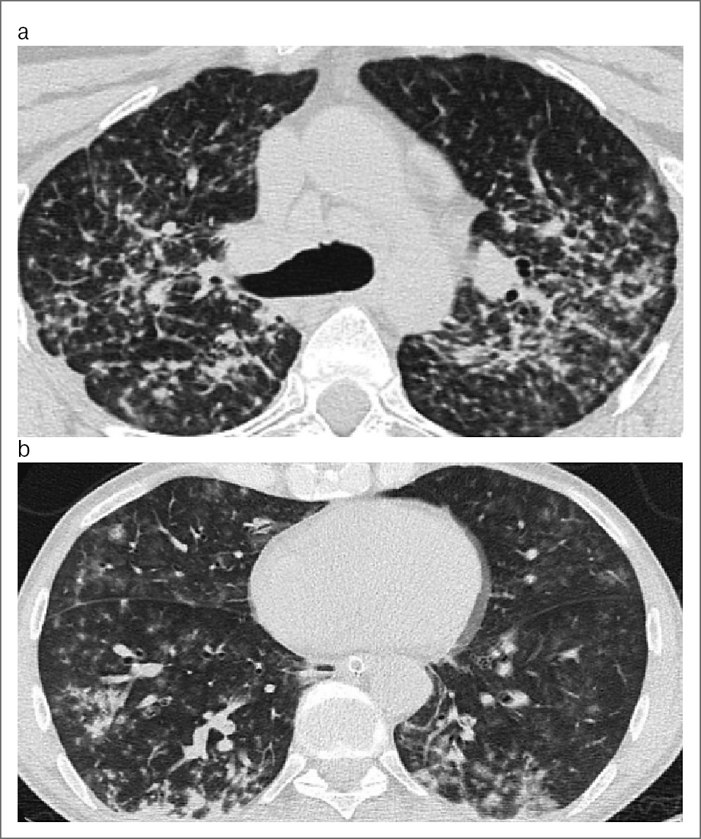
В качестве примеров приводим снимки КТ органов грудной клетки у больных IVВ стадией ВИЧ-инфекции с ИД в фазе прогрессирования и при отсутствии АРВТ, иллюстрирующие сходство визуализации патологических изменений в 1а и 1б группах (рис. 1, a, b) и в 2а и 2б группах (рис. 2, a, b).
Рис. 1. КТ органов грудной клетки. Аксиальная проекция, режим легочного окна: a – пациент, возраст 32 года, с IVB стадией ВИЧ-инфекции с ИД в фазе прогрессирования, без АРВТ и с верифицированной коморбидностью ТОД, ГВП и КВП; b – пациент, возраст 29 лет, с IVB стадией ВИЧ-инфекции с ИД в фазе прогрессирования, без АРВТ и с верифицированной коморбидностью ТОД и ГВП.
Рис. 2. КТ органов грудной клетки. Аксиальная проекция, режим легочного окна: a – пациент, возраст 26 лет, с IVB стадией ВИЧ-инфекции с ИД в фазе прогрессирования, без АРВТ и с верифицированной коморбидностью ТОД, ЦМВП и КВП; b – пациент, возраст 28 лет, с IVB стадией ВИЧ-инфекции с ИД в фазе прогрессирования, без АРВТ и с верифицированной коморбидностью ТОД и ЦМВП.
Как видно на рис. 1 и 2, на снимках КТ органов грудной клетки визуализируются однотипные 4 синдрома: диссеминации, патологии плевры усиления и деформации легочного рисунка с участками «матового стекла» и аденопатии.
Таким образом, на КТ органов грудной клетки у больных с коморбидностью ТОД, ГВП и КВП или ТОД, ЦПМП и КВП и без КВП, IVВ стадией ВИЧ-инфекции в фазе прогрессирования и при отсутствии АРВТ с ИД визуализируются однотипные синдромы наслоения нескольких патологий, дифференцировать которые не представляется возможным, что требует своевременной диагностики с использованием микробиологических, молекулярно-генетических и иммунологических исследований для выявления MBT, HVS-1, CMVH и SARS-CoV-2, что необходимо для адекватного своевременного этиологического лечения.
Обсуждение
Коморбидность ТОД, ГВП, ЦМВП и КВП у больных на поздней стадии ВИЧ-инфекции в фазе прогрессирования и при отсутствии АРВТ диагностировалась через 5–8 лет после установления ВИЧ-инфекции у больных, страдающих наркозависимостью, употребляющих алкогольные напитки и куривших табачные изделия и с сопутствующей патологией вирусного гепатита В или С и ХОБЛ в 66,3% случаев. При этом заболевание характеризовалось выраженным ИД и генерализацией туберкулеза с множественными внелегочными поражениями. Это определяет сходство клинических проявлений и визуализацию КТ-изменений данной коморбидности, что затрудняет их различие ввиду одновременного наслоения сразу нескольких патологий с однотипными клиническими проявлениями и требует комплексной этиологической диагностики конкретных болезней для назначения своевременного комплексного лечения и снижения летальности данного тяжелого контингента больных. В то же время дифференцировать заболевания респираторной системы по клиническим и лучевым методам исследования не представляется возможным, что требует разработки новых подходов в комплексной диагностике коморбидности ТОД и ВП различной этиологии в кабинетах противотуберкулезной помощи ВИЧ-инфицированным, и им в обязательном порядке необходимо регулярно проводить исследования для своевременного выявления COVID-19.
Заключение
Больные ТОД и ВИЧ-инфекцией, состоящие на учете в кабинете противотуберкулезной помощи ВИЧ-инфицированным в противотуберкулезном диспансере, представляют собой эпидемиологическую группу высокого риска заражения COVID-19 и заболевания КВП, а при выраженном ИД, ГВП и ЦМВП они должны регулярно подвергаться профилактическим исследованиям для своевременного выявления COVID-19 с целью их экстренной изоляции и лечения для предотвращения заражения контактирующих с ними лиц.
Раскрытие интересов. Авторы декларируют отсутствие явных и потенциальных конфликтов интересов, связанных с публикацией настоящей статьи.
Disclosure of interest. The authors declare that they have no competing interests.
Вклад авторов. Авторы декларируют соответствие своего авторства международным критериям ICMJE. Все авторы в равной степени участвовали в подготовке публикации: разработка концепции статьи, получение и анализ фактических данных, написание и редактирование текста статьи, проверка и утверждение текста статьи.
Authors’ contribution. The authors declare the compliance of their authorship according to the international ICMJE criteria. All authors made a substantial contribution to the conception of the work, acquisition, analysis, interpretation of data for the work, drafting and revising the work, final approval of the version to be published and agree to be accountable for all aspects of the work.
Источник финансирования. Авторы декларируют отсутствие внешнего финансирования для проведения исследования и публикации статьи.
Funding source. The authors declare that there is no external funding for the exploration and analysis work.
Информированное согласие на публикацию. Пациенты подписали форму добровольного информированного согласия на публикацию медицинской информации.
Consent for publication. Written consent was obtained from the patiens for publication of relevant medical information and all of accompanying images within the manuscript.
Соответствие принципам этики. Протокол исследования был одобрен локальным этическим комитетом ФГБОУ ВО «МГМСУ им. А.И. Евдокимова» (протокол №77 от 07.10.2022). Одобрение и процедуру проведения протокола получали по принципам Хельсинкской конвенции.
Ethics approval. The study was approved by the local ethics committee of Yevdokimov Moscow State University of Medicine and Dentistry (protocol №677, 07.10.2022). The approval and procedure for the protocol were obtained in accordance with the principles of the Helsinki Convention.
Об авторах
Владимир Юрьевич Мишин
ФГБОУ ВО «Московский государственный медико-стоматологический университет им. А.И. Евдокимова» Минздрава России; ГБУЗ «Туберкулезная клиническая больница №3 им. проф. Г.А. Захарьина» Департамента здравоохранения г. Москвы
Автор, ответственный за переписку.
Email: mishin.vy@mail.ru
ORCID iD: 0000-0002-4134-530X
д-р мед. наук, проф., зав. каф. фтизиатрии и пульмонологии; проф.-консультант; засл. деят. науки РФ, засл. врач РФ, акад. Академии электротехнических наук РФ
Россия, Москва; МоскваАнастасия Владимировна Мишина
ФГБОУ ВО «Московский государственный медико-стоматологический университет им. А.И. Евдокимова» Минздрава России; ГБУЗ «Туберкулезная клиническая больница №3 им. проф. Г.А. Захарьина» Департамента здравоохранения г. Москвы
Email: mishin.vy@mail.ru
ORCID iD: 0000-0002-3340-5843
канд. мед. наук, доц. каф. фтизиатрии и пульмонологии; рач 5 отд-ния для больных туберкулезом и ВИЧ-инфекцией
Россия, Москва; МоскваДмитрий Анатольевич Лежнев
ФГБОУ ВО «Московский государственный медико-стоматологический университет им. А.И. Евдокимова» Минздрава России
Email: mishin.vy@mail.ru
ORCID iD: 0000-0002-7163-2553
д-р мед. наук, проф., зав. каф. лучевой диагностики
Россия, МоскваАлександр Лазаревич Собкин
ГБУЗ «Туберкулезная клиническая больница №3 им. проф. Г.А. Захарьина» Департамента здравоохранения г. Москвы
Email: mishin.vy@mail.ru
канд. мед. наук, глав. врач
Россия, МоскваИван Васильевич Шашенков
ФГБОУ ВО «Московский государственный медико-стоматологический университет им. А.И. Евдокимова» Минздрава России
Email: mishin.vy@mail.ru
ORCID iD: 0000-0003-0233-7072
ассистент каф. фтизиатрии и пульмонологии
Россия, МоскваСписок литературы
- Cilloniz C, Torres A, Polverino E, et al. Community-acquired lung respiratory infections in HIV-infected patients: microbial aetiology and outcome. Eur Respir J. 2014;43(6):1698-708. doi: 10.1183/09031936.00155813
- Figueiredo-Mello C, Naucler P, Negra M, Levin A. Prospective etiological investigation of community-acquired pulmonary infections in hospitalized people living with HIV. Medicine (Baltimore). 2017;96(4):57-78. doi: 10.1097/MD.0000000000005778
- Беляков Н.А., Рассохин В.В. ВИЧ-инфекция и коморбидные состояния: монография. СПб.: Балтийский медицинский образовательный центр, 2020. Режим доступа: https://expose.gpntbsib.ru/expose/vnp-40ada057/book/D2020-2490878857701. Ссылка активна на 03.10.2022 [Belyakov NA, Rassokhin VV. HIV infection and comorbid conditions: monograph. Saint Petersburg: Baltic Medical Education Center, 2020. Available at: https://expose.gpntbsib.ru/expose/vnp-40ada057/book/D2020-2490878857701. Accessed: 03.10.2022 (in Russian)].
- Фазылов В.Х., Манапова Э.Р., Акифьев В.О. Клинико-эпидемиологическая характеристика вторичных заболеваний у ВИЧ-инфицированных пациентов в условиях оказания стационарной помощи. Инфекционные болезни: новости, мнения, обучение. 2020;9(4):81-7 [Fazylov VH, Manapova ER, Akifyev VO. Clinical and epidemiological characteristics of secondary diseases in HIV-infected patients in the conditions of inpatient care. Infectious diseases: news, opinions, training. 2020;9(4):81-7 (in Russian)]. doi: 10.33029/2305-3496-2020-9-4-81-87
- Guidelines for Prevention and Treatment of Opportunistic Infections in HIV-Infected Adults and Adolescents with HIV. Recommendations from the Centers for Disease Control and Prevention, the National Institutes of Health, and the HIV Medicine Association of the Infectious Diseases Society of America, 2021. Available at: https://clinicalinfo.hiv.gov/sites/default/files/guidelines/documents/Adutl_Ol.pdf. Accessed: 03.10.2022.
- Мишина А.В., Мишин В.Ю., Эргешов А.Э., и др. Особенности клинических проявлений и диагностики сочетания туберкулеза органов дыхания с оппортунистическими инфекциями легких у взрослых больных на поздних стадиях ВИЧ-инфекции с иммунодефицитом. Consilium Medicum. 2020;22(11):78-86 [Mishina AV, Mishin VYu, Ergeshov AE, et al. Features of clinical manifestations and diagnostics of a combination of respiratory tuberculosis with opportunistic lung infections in adult patients with late stages of HIV infection with immunodeficiency. Consilium Medicum. 2020;22(11):78-86 (in Russian)]. doi: 10.26442/20751753.2020.11.200184
- Азовцева О.В. Особенности течения герпетической инфекции на фоне ВИЧ-инфекции. ВИЧ-инфекция и иммуносупрессия. 2010;2(3):37-41 [Azovtseva OV. Features of the course of herpetic infection on the background of HIV infection. HIV infection and immunosuppression. 2010;2(3):37-41 (in Russian)].
- Скляр Л.Ф., Маркелова Е.В., Боровская Н.А., и др. Клинико-иммунологические особенности герпесвирусных заболеваний при ВИЧ-инфекции. Тихоокеанский медицинский журнал. 2010;3:62-4 [Sklyar LF, Markelova EV, Borovskaya NA, et al. Clinical and immunological features of herpesviral diseases in case of HIV-infection. Pacific Journal. 2010;3:62-4 (in Russian)].
- Anaedobe CG, Ajani TA. Co-infection of Herpes Simplex Virus Type 2 and HIV Infections among Pregnant Women in Ibadan, Nigeria. J Glob Infect Dis. 2019;11(1):19-24. doi: 10.4103/jgid.jgid-56-18
- Bartlett G, Redfield R, Pham P. Bartlett's Medical Management of HIV Infection. Oxford Univercity Press. 2019. doi: 10.1093/med/9780190924775.001.0001
- Шахгильдян В.И., Ядрихинская М.С., Орловский А.А., и др. Концентрация ДНК ЦМВ в биологических материалах – ключ к диагностике цитомегаловирусной пневмонии у больных ВИЧ-инфекцией. Журнал инфектологии (S1). 2019;11(3):109-17 [Shakhgildyan VI, Yandrinskaya MS, Orlovsky АА, et al. The concentration of CMV DNA in biological materials is the key to the diagnosis of cytomegalovirus pneumonia in patients with HIV infection. Journal of Infectology (S1). 2019;11(3):109-17 (in Russian)]. doi: 10.22625/2072-6732-2019-11-3S1
- Шахгильдян В.И., Ядрихинская М.С., Орловский А.А., и др. Вирусная, но не ковидная пневмония у больных ВИЧ-инфекцией. Эпидемиология и инфекционные болезни. 2021;11(3):69-7 [Shakhgildyan VI, Yadrikhinskaya MS, Orlovsky AA, et al. Virial, but not-covid pneumonia in patients with HIV infection. Epidemiology and infectious diseases. 2021:11(3):69-7 (in Russian)]. doi: 10.18565/epidem.2021.11.3.69-77
- Gervasoni C, Meraviglia P, Riva A, et al. Clinical features and outcomes of HIV patients with coronavirus disease 2019. Clin Infect Dis. 2020;71(16):2276-8.
- Blanco JL, Ambrosioni J, Garcia F, et al. COVID-19 in patients with HIV: clinical case series. Lancet HIV. 2020;7(5):e314-6.
- Hoffmann C, Casado J, Härter G, et al. Immune deficiency is a risk factor for severe COVID-19 in people living with HIV. HIV Medicine. 2021;22(5);372-8. doi: 10.1111/hiv.13037
- Гаус А.А., Климова Н.В. Рентреноморфологические особенности течения COVID-19 и ВИЧ-инфекции. ВИЧ-инфекция и иммуносупрессии. 2021;13(2):77-84 [Gauss AA, Klimova NV. Rentrenomorphological features of the COVID-19 and HIV infections. HIV infection and immunosuppression. 2021;13(2):77-84 (in Russian)]. doi: 10.22328/2077-9828-2021-13-2-77-84
- Кравченко А.В., Куимова У.А., Канестри В.Г., и др. Клиническое течение и подходы к терапии больных сочетанной инфекцией (ВИЧ-инфекция и COVID-19). Эпидемиология и инфекционные болезни. 2021;4:20-4 [Kravchenko AV, Kuimova UA, Kanestri VG, et al. Clinical course and approaches to therapy of patients with combined infection (HIV infection and COVID-19). Epidemiology and infectious diseases. 2021;4;20-4 (in Russian)]. doi: 10.18565/epidem.2021.11.4.20-4
- Федеральные клинические рекомендации по диагностике и лечению туберкулеза у больных ВИЧ-инфекцией. М.–Тверь: Триада, 2014. https://aidsomsk.ru/sites/default/uploads/_-.pdf. Ссылка активна на 03.10.2022 [Federal clinical recommendations on diagnosis and management of TB in HIV-infected patients. Moscow–Tver: Triada, 2014. Available at: https://aidsomsk.ru/sites/default/uploads/_-.pdf. Accessed: 03.10.2022 (in Russian)].
- Клинические рекомендации. ВИЧ-инфекция у взрослых. Национальная ассоциация специалистов по профилактике, диагностике и лечению ВИЧ-инфекции. 2020. Режим доступа: https://rushiv.ru/klinicheskie-rekomendatsii-vich-infektsiya-u-vzroslyh-2020/ Ссылка активна на 03.10.2022 [Clinical recommendations. HIV infection in adults. National Association of Specialists in the Prevention, Diagnosis and Treatment of HIV Infection. 2020. Available at: https://rushiv.ru/klinicheskie-rekomendatsii-vich-infektsiya-u-vzroslyh-2020/ Accessed: 03.10.2022 (in Russian)].
- Временные методические рекомендации Министерства здравоохранения Российской Федерации. Профилактика диагностика и лечение новой короновирусной инфекции (COVID-19). Версия 16 (18.08.2022):248. Режим доступа: https://static-0.minzdrav.gov.ru/system/attachments/attaches/000/060/193/original/BMP_COVID-19_V16.pdf. Ссылка активна на 03.10.2022 [Temporary methodical recommendations of the Ministry of Health of the Russian Federation. Prevention, diagnosis, and management of the novel coronavirus infection (COVID-19). Version 16 (18.08.2022):248. Available at: https://static-0.minzdrav.gov.ru/system/attachments/attaches/000/060/193/original/BMP_COVID19_V16.pdf. Accessed: 03.10.2022 (in Russian)].
Дополнительные файлы





