A new approach in the treatment of chronic bilateral paralytic stenosis of the larynx: A review
- Authors: Panchenko P.I.1, Krivopalov A.A.1, Shamkina P.A.1, Mazeina E.S.1
-
Affiliations:
- Saint-Petersburg Research Institute of Ear, Throat, Nose and Speech
- Issue: Vol 24, No 9 (2022)
- Pages: 651-654
- Section: Articles
- Published: 20.09.2022
- URL: https://consilium.orscience.ru/2075-1753/article/view/119842
- DOI: https://doi.org/10.26442/20751753.2022.9.201909
- ID: 119842
Cite item
Full Text
Abstract
The issues of surgical treatment of bilateral paralytic stenosis of the larynx do not lose their relevance today, since the proportion of patients suffering from this pathology is steadily increasing. Neurogenic disorders of laryngeal motor function most often occur due to previous surgical intervention on the thyroid gland and upper mediastinum. The predominant complaints of such patients are dyspnea, decreased tolerance to physical exertion and impaired lantern function. Thus, the main objectives in the treatment of chronic laryngeal stenosis are: restoration of the lumen of the vocal slit to ensure adequate respiratory function, prevention of respiratory failure and preservation of socially significant voice. The use of semiconductor lasers for laryngoplasty in bilateral paralytic stenoses of the larynx is a very common technique, however, there are no data in the literature on the use of semiconductor laser energy with a wave length of 445 nm for this surgical intervention. In their work the authors tried to show the advantages of the surgical treatment of bilateral paralytic laryngeal stenosis using 445 nm semiconductor laser, developed at the Saint Petersburg Research Institute of Ear, Throat, Nose and Speech, which allowed to reduce rehabilitation period of respiratory function and preserve socially significant voice, using a clinical example.
Full Text
Введение
До сегодняшнего дня проблема лечения хронического двустороннего паралитического стеноза гортани (ДПСГ) остается актуальной, особенно на фоне тенденции к увеличению числа пациентов с данной патологией. Распространенность нарушений двигательной функции гортани в общей структуре заболеваний верхних дыхательных путей составляет до 55–70% от числа общей ЛОР-патологии [1, 2]. Необходимо подчеркнуть, что более 68% пациентов являются лицами трудоспособного возраста, основная часть которых – женщины [2, 3].
Гортань является наиболее узкой частью верхних дыхательных путей, поэтому анатомические изменения или нейрогенные нарушения ее функций могут привести к клинически выраженному нарушению дыхания и значительному снижению качества жизни пациента [3, 4]. Стеноз складкового отдела гортани возникает преимущественно в результате двустороннего пареза голосовых складок, вызванного поражением возвратных гортанных нервов, что наиболее часто является следствием хирургических вмешательств в области шеи (в первую очередь на щитовидной железе) и верхних отделах средостения [4, 5].
При двустороннем параличе гортани голосовые складки обычно находятся в фиксированном парамедианном положении, что обусловливает уменьшение просвета голосовой щели и влечет за собой гиповентиляцию и недостаточную перфузию легких [5, 6]. Поэтому основной задачей хирургического этапа служит улучшение дыхательной функции гортани за счет механического расширения просвета голосовой щели [6, 7].
Основным методом хирургического лечения хронических стенозов гортани является реконструктивная ларингопластика с использованием современных лазерных хирургических систем [4, 5, 7]. На базе ФГБУ СПб НИИ ЛОР разработан метод хирургического лечения ДПСГ с использованием полупроводникового лазера с длиной волны 445 нм*. Предложенный метод позволяет восстановить необходимый просвет голосовой щели для достаточного дыхания, сохранив при этом удовлетворительное качество голоса. Подробнее остановимся на одном клиническом случае.
Пациентка С., 71 год, обратилась в ФГБУ СПб НИИ ЛОР в сентябре 2021 г. с жалобами на постоянную осиплость, ощущение нехватки воздуха при бытовой нагрузке, одышку. Из анамнеза заболевания известно, что в 2018 г. пациентке выполнено хирургическое лечение по поводу диффузного токсического зоба. В раннем послеоперационном периоде отмечено умеренное затруднение дыхания. Спустя год после оперативного лечения пациентка начала отмечать дальнейшее ухудшение дыхательной функции (появление одышки в покое), однако несмотря на рекомендации по наложению трахеостомы пациентка категорически отказывалась от данного вмешательства. Было рекомендовано выполнение ларинготрахеопластики под эндотрахеальным наркозом с целью реабилитации дыхательной функции.
При выполнении видеостробоскопии гортани до операции (рис. 1): слизистая оболочка гортани розовая, влажная. Надгортанник не изменен. Грушевидные синусы и валлекулы свободные. Вестибулярные складки не изменены. Черпаловидные хрящи неподвижны. Голосовые складки серые, неподвижны, находятся в парамедианном положении. Расстояние между истинными голосовыми складками около 1 мм. В момент вдоха в задней трети просвет гортани увеличивается до 2 мм. Периодически наблюдается ограничение смещения левой голосовой складки на 1–2 мм. Подскладковый отдел не визуализируется.
Рис. 1. Эндоскопическая картина гортани до операции.
Установлен клинический диагноз: хронический ДПСГ. Сопутствующий диагноз: гипертоническая болезнь II стадии, артериальная гипертензия 1-й степени, риск сердечно-сосудистых осложнений 3-й степени. Послеоперационный гипотиреоз, компенсированный заместительной гормональной терапией. Хронический гастрит, ремиссия. Желчнокаменная болезнь, состояние после холецистэктомии.
На основании результатов эндоскопического исследования и жалоб пациентки принято решение о выполнении ларинготрахеопластики с использованием полупроводникового лазера с длиной волны 445 нм (TruBlue; A.R.C. Laser Company). Метод разработан на базе СПб НИИ ЛОР и внедрен в клиническую практику*.
*Патентная справка №013505 11/03, 2022 «Способ хирургического лечения стенозов голосового отдела гортани».
В условиях многокомпонентной анестезии с использованием высокочастотной вентиляции легких (аппарат Twin stream) при прямой опорной микроларингоскопии визуализирован голосовой отдел гортани. С использованием хирургического полупроводникового лазера с длиной волны 445 нм оптоволокном 300 мкм (мощность 8 Вт, импульс 30 мс, пауза 130 мс) в атмосфере инертного газа произведен разрез слизистой оболочки правой голосовой складки в средней трети с переходом на вестибулярную складку. Далее с помощью холодных инструментов произведена отсепаровка лоскута слизистой оболочки верхней поверхности истинной голосовой складки с резекцией голосового отростка и части тела черпаловидного хряща справа. Лоскут уложен на раневую поверхность, фиксирован швами Monocryl 6:0. Кровотечение в ходе оперативного вмешательства отсутствовало. Заканчивали оперативное вмешательство обработкой слизистой гортани мазью Гидрокортизон.
Видеоэндостробоскопия на 2-е сутки после оперативного лечения (рис. 2): вход в гортань свободный, слизистая гортани слабо гиперемирована, неотечна. Надгортанник, черпало – надгортанные складки не изменены. Реактивные воспалительные явления не выражены. Голосовые складки: левая в парамедианном положении, правая резецирована в задне-средней трети. Фиксация лоскута слизистой оболочки достаточная, швы состоятельны. Межскладковый просвет в задней трети около 5 мм. Просвет для дыхания широкий. Подголосовой отдел свободен.
Рис. 2. Эндоскопическая картина через 2 дня после оперативного вмешательства.
Осложнений в послеоперационном периоде не наблюдалось. Было рекомендовано соблюдение щадящего голосового режима 2 нед, диеты. Назначена медикаментозная терапия: антибиотики, системные глюкокортикостероиды, ингаляции с противовоспалительными и противоотечными препаратами, антирефлюксная терапия.
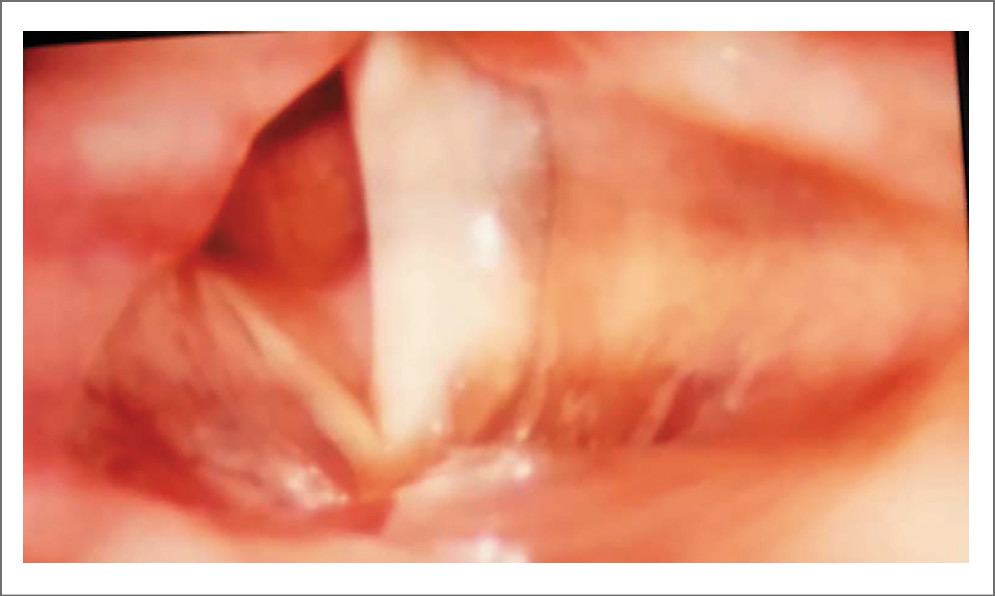
Видеоэндостробоскопия на момент выписки, 12-е сутки после операции (рис. 3): слизистая гортани розовая, влажная. Надгортанник, черпалонадгортанные складки не изменены. Реактивные воспалительные явления слизистой оболочки отсутствуют. Голосовые складки: левая в парамедианном положении, правая резецирована в задне-средней трети, голосовая щель треугольной формы. Приживление лоскута слизистой оболочки полное. Расстояние между истинными голосовыми складками в задней трети около 7 мм. Просвет для дыхания широкий. Подголосовой отдел свободен.
Рис. 3. Эндоскопическая картина на 12-е сутки после оперативного вмешательства.
На момент выписки пациентка отметила улучшение дыхательной функции и повышение толерантности к физическим нагрузкам.
Отдаленные результаты видеоэндостробоскопии через 6 мес после оперативного лечения (рис. 4): Надгортанник, черпало – надгортанные складки не изменены. Правый черпаловидный хрящ и правая вестибулярная складка без реактивных явлений. Голосовые складки: левая серая, правая резецирована в средне-задней средней трети, без воспалительных явлений. Межскладковый просвет в задней трети около 8 мм. Просвет для дыхания широкий. Подголосовой отдел свободен.
Рис. 4. Эндоскопическая картина гортани через 6 мес после вмешательства.
По результатам исследования функции внешнего дыхания перед операцией и в отдаленном периоде также получена положительная динамика (табл. 1).
Таблица 1. Результаты исследования функции внешнего дыхания до и после операции
Показатель | До операции | Через 6 мес после операции |
ФЖЕЛ | 3,05 | 3,55 |
ОФВ1 | 2,53 | 2,94 |
ОФВ1/ФЖЕЛ | 0,67 | 0,828 |
МОС25 | 1,01 | 1,44 |
Примечание. ФЖЕЛ – форсированная жизненная емкость легких, ОФВ1 – объем форсированного выдоха за 1-ю секунду, МОС25 – максимальная объемная скорость при выдохе 25% ФЖЕЛ. | ||
Обсуждение
Полупроводниковый лазер 445 нм обладает высоко выраженными фотоангиолитическими свойствами. Позволяет осуществлять как качественную коагуляцию, так и разрез тканей [7, 8]. Помимо этого за счет работы в атмосфере инертного газа (интраоперационная подача гелия за счет установки Flow Control) удается добиться хорошей визуализации операционного поля благодаря устранению возникающего дыма в операционном поле. При использовании лазера 445 нм в атмосфере инертного газа отсутствие кислорода в операционном поле сводит к минимуму эффект карбонизации тканей, что уменьшает термическое повреждение прилежащих тканей [8, 9].
Использование полупроводниковых лазеров для выполнения ларингопластики при ДПСГ является распространенной методикой, однако в литературе отсутствуют данные об использовании энергии полупроводникового лазера с длиной волны 445 нм для выполнения данного оперативного вмешательства [9–11].
Таким образом, представленный клинический случай хирургического лечения ДПСГ с использованием синего лазера показывает преимущества данной методики, благодаря которой удается сократить время хирургического вмешательства, уменьшить выраженность реактивных явлений в рабочей области и добиться быстрого заживления операционной раны. Данный способ позволяет ускорить реабилитацию пациентов со стороны дыхательной функции гортани и сохранить социально значимый голос.
Заключение
На сегодняшний день ларингопластика является наиболее эффективным и безопасным методом восстановления дыхательной функции при ДПСГ. Использование полупроводникового лазера с длиной волны 445 нм обеспечивает выполнение качественного и бескровного разреза с минимальным перитканевым воспалением, что достигается за счет высоких резекционных и коагуляционных свойств лазера. Таким образом, использование данного лазера в хирургии параличей гортани является хорошим вариантом выполнения резекционной ларингопластики.
Разработанный на базе ФГБУ СПб НИИ ЛОР метод хирургического лечения ДПСГ с использованием полупроводникового лазера с длиной волны 445 нм позволяет восстановить необходимый просвет голосовой щели для достаточного дыхания, сохранив при этом удовлетворительное качество голоса, что способствует существенному повышению качества жизни пациента.
Раскрытие интересов. Авторы декларируют отсутствие явных и потенциальных конфликтов интересов, связанных с публикацией настоящей статьи.
Disclosure of interest. The authors declare that they have no competing interests.
Вклад авторов. Авторы декларируют соответствие своего авторства международным критериям ICMJE. Все авторы в равной степени участвовали в подготовке публикации: разработка концепции статьи, получение и анализ фактических данных, написание и редактирование текста статьи, проверка и утверждение текста статьи.
Authors’ contribution. The authors declare the compliance of their authorship according to the international ICMJE criteria. All authors made a substantial contribution to the conception of the work, acquisition, analysis, interpretation of data for the work, drafting and revising the work, final approval of the version to be published and agree to be accountable for all aspects of the work.
Источник финансирования. Авторы декларируют отсутствие внешнего финансирования для проведения исследования и публикации статьи.
Funding source. The authors declare that there is no external funding for the exploration and analysis work.
Соответствие принципам этики. Протокол исследования был одобрен локальным этическим комитетом ФГБУ СПб НИИ ЛОР («Способ хирургического лечения стенозов голосового отдела гортани» №35 от 20.01.2021). Одобрение и процедуру проведения протокола получали по принципам Хельсинкской конвенции.
Ethics approval. The study was approved by the local ethics committee of Saint Petersburg Research Institute of Ear, Throat, Nose and Speech (“A method of surgical treatment of stenoses of the vocal pharynxthe” protocol №35). The approval and procedure for the protocol were obtained in accordance with the principles of the Helsinki Convention.
Информированное согласие на публикацию. Пациентка подписала форму добровольного информированного согласия на публикацию медицинской информации.
Consent for publication. Written consent was obtained from the patient for publication of relevant medical information and all of accompanying images within the manuscript.
About the authors
Pavel I. Panchenko
Saint-Petersburg Research Institute of Ear, Throat, Nose and Speech
Email: p.panchenko@niilor.ru
ORCID iD: 0000-0002-3380-7228
Res. Assist.
Russian Federation, Saint PetersburgAleksandr A. Krivopalov
Saint-Petersburg Research Institute of Ear, Throat, Nose and Speech
Author for correspondence.
Email: krivopalov@list.ru
ORCID iD: 0000-0002-6047-4924
D. Sci. (Med.)
Russian Federation, Saint PetersburgPolina A. Shamkina
Saint-Petersburg Research Institute of Ear, Throat, Nose and Speech
Email: p.s.ent@bk.ru
ORCID iD: 0000-0003-4595-365X
Res. Assist.
Russian Federation, Saint PetersburgEkaterina S. Mazeina
Saint-Petersburg Research Institute of Ear, Throat, Nose and Speech
Email: katyamzn@mail.ru
ORCID iD: 0000-0003-3326-7636
Clinical Resident
Russian Federation, Saint PetersburgReferences
Supplementary files







