Nasopharyngeal sarcoidosis: a clinical case
- Authors: Sapova K.I.1, Gaydukov S.S.1, Voronov A.V.1, Naumenko A.N.2, Sarkisyan I.I.3
-
Affiliations:
- Saint-Petersburg Research Institute of Ear, Throat, Nose and Speech
- Sokolov North-Western District Scientific and Clinical Center
- Saint Petersburg State Pediatric Medical University
- Issue: Vol 24, No 9 (2022)
- Pages: 655-658
- Section: Articles
- Published: 20.09.2022
- URL: https://consilium.orscience.ru/2075-1753/article/view/119843
- DOI: https://doi.org/10.26442/20751753.2022.9.201945
- ID: 119843
Cite item
Full Text
Abstract
Sarcoidosis is a chronic multisystem inflammatory disease characterized by non-caseous granulomas, most commonly in the lungs and intrathoracic lymph nodes. The nasopharyngeal disease is a rare localization of sarcoidosis. Clinical presentations include difficulty in nasal breathing, rhinophonia, and postnasal syndrome. Nasopharyngeal endoscopy, computed tomography, and magnetic resonance imaging are the main diagnostic methods for detecting lesions in this area. The histological examination provides the diagnosis verification. Considering the frequent secondary spread of sarcoidosis, all patients should consult a rheumatologist to select adequate systemic therapy. We provide a clinical case illustrating the management of a patient with nasopharyngeal sarcoidosis.
Full Text
Введение
Саркоидоз является системным воспалительным заболеванием неуточненной этиологии, характеризующимся образованием неказеозных гранулем, мультисистемным поражением с вовлечением различных органов и систем [1]. Заболеваемость саркоидозом в России составляет 2–7 случаев на 100 тыс. взрослого населения [2, 3]. Летальность от саркоидоза – приблизительно 5% всех случаев заболевания, причем у 25% больных выявляется поражение миокарда [4].
Этиология саркоидоза по-прежнему неясна. Одна из теорий, объясняющих развитие саркоидоза, указывает на различные экзогенные факторы (бактерии, вирусы, лекарственные препараты и антитела к ним, а также различные гаптены), которые могут провоцировать развитие характерного для саркоидоза асептического гранулематозного воспаления, в дальнейшем прогрессирующего аутохтонно (для его поддержания не требуется присутствия инициировавшего агента) [5]. У части больных саркоидозом выявляются заметное ослабление реакции гиперчувствительности замедленного типа, анергия к туберкулину и фиксация определенных антител на клетках гранулем. Увеличение частоты саркоидоза среди лиц, контактирующих с различными поллютантами, в том числе в концентрациях, более низких, чем вызывающие соответствующие специфические поражения легких, позволяет обсуждать этиологическую роль неорганических пылей при данном заболевании [6].
Морфологическим субстратом саркоидоза является эпителиоидноклеточная гранулема – компактное скопление мононуклеарных фагоцитов (макрофагов и эпителиоидных клеток) с наличием гигантских многоядерных клеток, лимфоцитов и гранулоцитов или без них [7].
Клинические проявления саркоидоза крайне разнообразны – от изолированного бессимптомного увеличения внутригрудных лимфатических узлов до тяжелого инвалидизирующего полиорганного поражения с летальным исходом вследствие остановки сердца или развития тяжелой неврологической недостаточности. Наиболее частой локализацией патологического процесса являются легкие (80–90%) [8]. Но необходимо помнить и о других проявлениях данного заболевания: поражение кожи отмечается у 16–32% пациентов, глаз – в 5–23% случаев, печень затронута у 12–20% пациентов, лимфатические узлы поражаются у 13–15% больных [9]. К более редким органам-мишеням можно отнести селезенку (5–10%), органы нервной системы (3–9%), сердце (2–5%) [10].
Основным и широко используемым методом лечения саркоидоза является применение системных глюкокортикостероидов, однако ранняя гормональная терапия сопровождается высокой частотой нежелательных реакций, ухудшает отдаленный прогноз заболевания, увеличивает частоту рецидивов [11].
Накоплен достаточный опыт применения цитостатиков и антиметаболитов, среди которых лидирует метотрексат, зарекомендовавший себя как эффективное и относительно безопасное средство в ревматологии. Однако отношение к применению этих препаратов в лечении саркоидоза различное – от полного отказа до широкого назначения [12].
Использование инновационных таргетных технологий при саркоидозе также остается предметом дискуссий. С одной стороны, инфликсимаб, этанерцепт, ритуксимаб и другие изучаются при рефрактерном к общепринятым методам лечения саркоидозе. Их даже включают в схемы лечения этого вида гранулематоза, несмотря на крайне слабую доказательную базу. С другой стороны, саркоидоз или саркоидные реакции рассматриваются как ятрогения при применении этих препаратов. При этом большинство исследователей и клиницистов признают, что у 50–70% вновь выявленных больных имеется шанс развития спонтанной ремиссии в отсутствие иммуносупрессии. Показанием к лечению является прогрессирование саркоидоза.
Саркоидоз с поражением верхних дыхательных путей является достаточно редким заболеванием. Наиболее часто в данный вид патологического процесса вовлекается околоушная слюнная железа (по данным разных авторов, до 6% случаев всех локализаций). Встречаются как изолированная клиническая форма, так и патология, ассоциированная с синдромом Хеерфордта [13]. Назофарингеальная форма встречается очень редко [14]. Также заболевание может возникать как изолированное поражение верхних дыхательных путей при саркоидозе или в сочетании с другими системными проявлениями, зачастую с поражением легких [15, 16].
В статье приводится описание клинического случая пациента с гистологически подтвержденным диагнозом саркоидоза носоглотки, проходившего лечение в хирургическом отделении для взрослых ФГБУ «Санкт-Петербургский научно-исследовательский институт уха, горла, носа и речи» в 2022 г.
Клинический случай
Пациент Ч., 39 лет, обратился с жалобами на затруднение носового дыхания, чувство заложенности носа, скопление слизи в носоглотке. Из анамнеза известно, что в 2021 г. пациенту выполнена септопластика. Интраоперационно под контролем видеоэндоскопического оборудования в своде носоглотки были визуализированы массивные разрастания, напоминающие остатки лимфоидной ткани. Учитывая возраст пациента, отсутствие обследования у врача- инфекциониста на наличие персистирующей вирусной инфекции, лечащий врач принял решение о дальнейшем консервативном лечении и наблюдении. Также известно, что пациент в течение длительного времени наблюдается у врача-пульмонолога с диагнозом саркоидоза легких. В 2007 г. для верификации диагноза выполнены пункция и биопсия окологрудных лимфоузлов. Системную гормональную и цитостатическую терапию на момент обращения к врачам-оториноларингологам пациент не получал. По результатам компьютерной томографии органов грудной клетки выявлены двустороннее увеличение средостенных лимфатических узлов, диссеминированные легочные гранулемы.
На первичном осмотре при передней риноскопии: слизистая оболочка полости носа умеренно гиперемирована, раздражена, несколько отечна, покрыта обилием слизисто-геморрагических корочек; в перегородке носа по средней линии, в области костно- хрящевого сочленения отмечена перфорация диаметром около 2 см, края неэпителизированы, покрыты корочками; носовые раковины выраженно отечны, при анемизации сокращаются слабо; в своде носоглотки в центральных отделах определяется патологическая ткань с дольчатой структурой, плотная, при попытке пункции – незначительная кровоточивость, скудное количество слизи; устья слуховых труб обтурированы, при глотке – открыты; в средних носовых ходах определяется полипозно измененная слизистая оболочка.
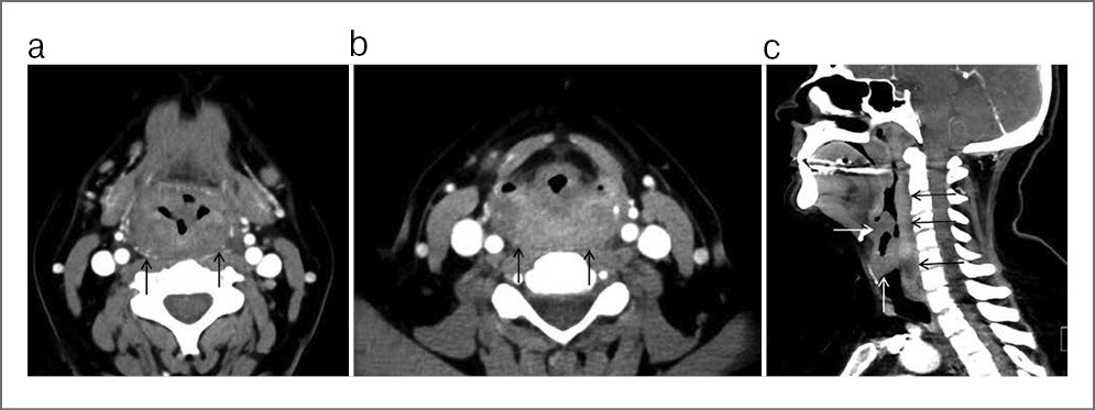
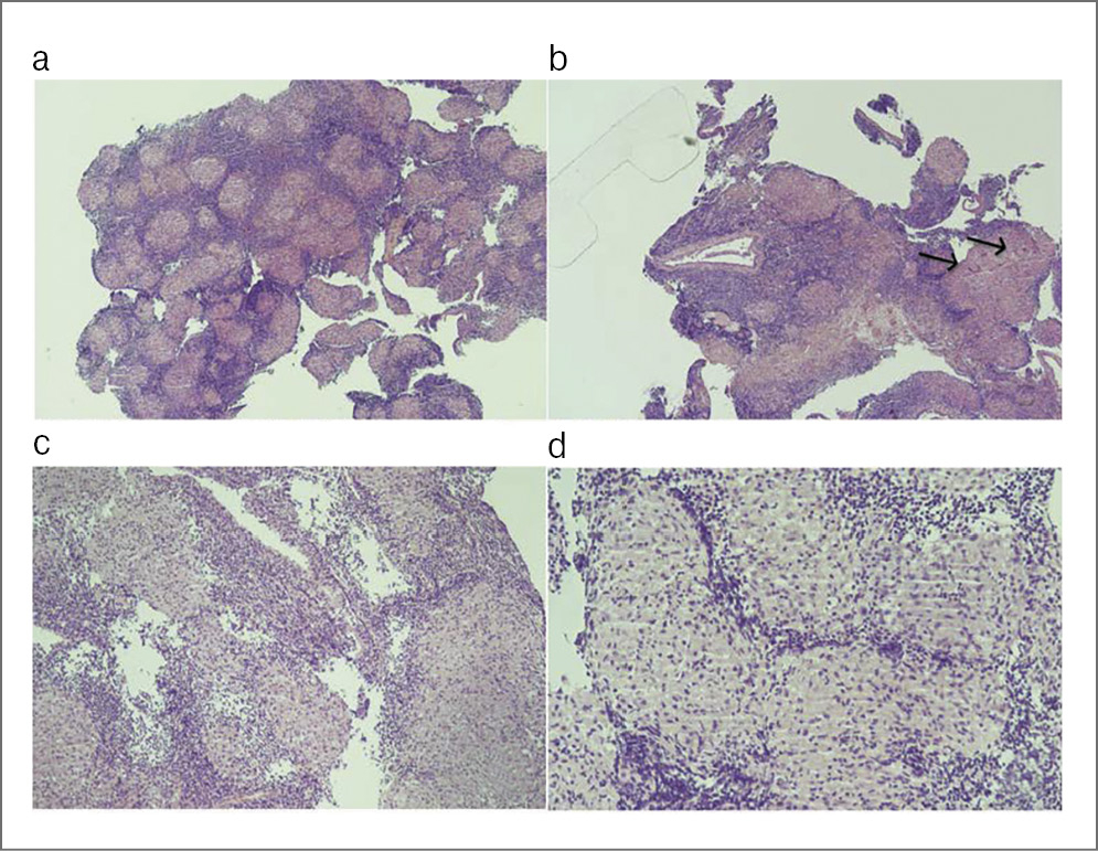
Пациент предоставил заключение врача-инфекциониста, данных о наличии герпесвирусной инфекции, инфекции, вызываемой вирусом Эпштейна–Барр, и цитомегаловирусной инфекции не получено. Пациенту назначена компьютерная и магнитно-резонансная томография околоносовых пазух для определения распространения патологического процесса, а также исключения инвазии в смежные анатомические области (рис. 2, 3). В предоперационном периоде под контролем эндовидеоскопического оборудования пациенту выполнен забор материала из свода носоглотки, верифицирован диагноз саркоидоза носоглотки (рис. 1, 4).
Рис. 1. Эндоскопическая картина пациента с диагнозом саркоидоза носоглотки.
Рис. 2. Результаты компьютерной томографии околоносовых пазух у пациента с диагнозом саркоидоза носоглотки. Стрелками обозначен патологический процесс.
Рис. 3. Результаты магнитно-резонансной томографии околоносовых пазух у пациента с диагнозом саркоидоза носоглотки. Стрелками обозначен патологический процесс.
Рис. 4. Морфологическая картина саркоидоза – ткань носоглотки с многочисленными диффузными неказеозными эпителиоидными гранулемами, состоящими из эпителиоидных клеток (a–d) с редкими гигантскими клетками Лангханса (выделены стрелками на рис. b).
Пациенту выполнено оперативное вмешательство – удаление саркоидозных гранулем в своде носоглотки. Кровопотеря составила 1300 мл, гемотрансфузия не выполнялась. В послеоперационном периоде пациенту назначены топические глюкокортикостероидные препараты по стандартной схеме в течение 2 мес, антибактериальные мази, орошение полости носа и носоглотки. При контрольном видеоэндоскопическом обследовании данных о продолженном воспалительном процессе в своде носоглотки не получено. Пациенту рекомендовано продолжить наблюдение у врача-пульмонолога, назначена консультация врача- ревматолога для решения вопроса о назначении системной противовоспалительной терапии. Интерес представленного клинического наблюдения обусловлен крайне редкой локализацией эпителиально-клеточных гранулем в носоглотке.
Заключение
Саркоидоз является хроническим воспалительным заболеванием, которое может поражать верхние дыхательные пути. Назофарингеальную форму саркоидоза необходимо учитывать при дифференциальной диагностике заболеваний верхних дыхательных путей (гипертрофия аденоидов, киста Торнвальда, карцинома носоглотки, гранулематоз с полиангиитом и прочие). Биопсия неспецифических поражений носоглотки позволяет верифицировать характер патологического процесса и рекомендована как метод выбора при ранней диагностике саркоидоза. Всем пациентам, у которых в анамнезе установлен диагноз легочного саркоидоза, с жалобами на симптомы со стороны верхних дыхательных путей, необходимо рекомендовать обследование у врача-оториноларинголога для определения вторичной внелегочной локализации саркоидоза.
Раскрытие интересов. Авторы декларируют отсутствие явных и потенциальных конфликтов интересов, связанных с публикацией настоящей статьи.
Disclosure of interest. The authors declare that they have no competing interests.
Вклад авторов. Авторы декларируют соответствие своего авторства международным критериям ICMJE. Все авторы в равной степени участвовали в подготовке публикации: разработка концепции статьи, получение и анализ фактических данных, написание и редактирование текста статьи, проверка и утверждение текста статьи.
Authors’ contribution. The authors declare the compliance of their authorship according to the international ICMJE criteria. All authors made a substantial contribution to the conception of the work, acquisition, analysis, interpretation of data for the work, drafting and revising the work, final approval of the version to be published and agree to be accountable for all aspects of the work.
Источник финансирования. Авторы декларируют отсутствие внешнего финансирования для проведения исследования и публикации статьи.
Funding source. The authors declare that there is no external funding for the exploration and analysis work.
Информированное согласие на публикацию. Пациент подписал форму добровольного информированного согласия на публикацию медицинской информации.
Consent for publication. Written consent was obtained from the patient for publication of relevant medical information and all of accompanying images within the manuscript.
About the authors
Kseniia I. Sapova
Saint-Petersburg Research Institute of Ear, Throat, Nose and Speech
Author for correspondence.
Email: ksenia_sapova@mail.ru
ORCID iD: 0000-0002-8227-1423
Cand. Sci. (Med.)
Russian Federation, Saint PetersburgStanislav S. Gaydukov
Saint-Petersburg Research Institute of Ear, Throat, Nose and Speech
Email: gsstas@mail.ru
ORCID iD: 0000-0001-7811-9835
Cand. Sci. (Med.)
Russian Federation, Saint PetersburgAleksey V. Voronov
Saint-Petersburg Research Institute of Ear, Throat, Nose and Speech
Email: voronovdoc@mail.ru
ORCID iD: 0000-0003-4030-8571
Cand. Sci. (Med.)
Russian Federation, Saint PetersburgArkadiy N. Naumenko
Sokolov North-Western District Scientific and Clinical Center
Email: naumenko_rhinosurgery@gmail.com
ORCID iD: 0000-0002-7180-4829
Cand. Sci. (Med.)
Russian Federation, Saint PetersburgIrina I. Sarkisyan
Saint Petersburg State Pediatric Medical University
Email: dr.sarkisyan.ir@mail.ru
ORCID iD: 0000-0001-8200-714X
Cand. Sci. (Med.)
Russian Federation, Saint PetersburgReferences
Supplementary files







