Fortelyzin® in the treatment of ischemic stroke. Case report
- Authors: Ubushieva S.T.1, Kazakov D.N.1, Lebedeva A.Y.1,2
 - 
							Affiliations: 
							
- Moscow Multidisciplinary Clinical Center “Kommunarka“
 - Pirogov Russian National Research Medical University
 
 - Issue: Vol 24, No 11 (2022)
 - Pages: 777-782
 - Section: Articles
 - Published: 15.11.2022
 - URL: https://consilium.orscience.ru/2075-1753/article/view/120213
 - DOI: https://doi.org/10.26442/20751753.2022.11.202025
 - ID: 120213
 
Cite item
Full Text
Abstract
Given the current high incidence of cerebral circulatory disorders and the challenging treatment of such patients, developing therapies and medications for these conditions is urgent. The proportion of patients undergoing various reperfusion techniques is increasing, and so is the medical community's need for novel agents with high efficacy and low complication rate.
Keywords
Full Text
Введение
Ишемический инсульт – одна из ведущих причин смерти и инвалидности во всем мире. В 2004 г. Всемирная организация здравоохранения объявила инсульт глобальной эпидемией. Ежегодная смертность от инсульта в России – одна из наиболее высоких в мире (175 на 100 тыс. населения). Ранняя 30-дневная летальность после инсульта составляет 34,6%, а в течение года умирают примерно 1/2 заболевших. Инсульт является лидирующей причиной инвалидизации населения. По данным Национального регистра инсульта, 31% перенесших инсульт больных нуждаются в посторонней помощи, 20% не могут самостоятельно ходить. Лишь 8% выживших больных могут вернуться к прежней работе. Инсульт накладывает особые обязательства на членов семьи больного, значительно снижая их трудовой потенциал [1]. Международный опыт показывает, что снижение смертности населения от сердечно-сосудистых заболеваний достигается в результате реализации координированного комплекса мер, основными из которых являются повышение информированности населения о факторах риска сосудистых заболеваний и их профилактике, внедрение эффективных профилактических программ и совершенствование системы медицинской помощи при инсульте (рекомендации). Новые подходы к лечению ишемического инсульта включают применение современных высокоэффективных методов реперфузии вещества головного мозга в первые часы заболевания, направленных на восстановление кровотока в пораженном сосуде, что позволяет предотвратить развитие необратимого повреждения вещества головного мозга либо уменьшить его объем, т.е. минимизировать степень выраженности остаточного неврологического дефицита.
Системная тромболитическая терапия (СТЛТ) – наиболее эффективный и безопасный метод реперфузионной терапии при ишемическом инсульте в первые 4,5 ч от начала развития симптоматики.
В 1933 г. W. Tillet – профессор медицины в Школе медицины Нью-Йоркского университета впервые обнаружил свойство бета-гемолитического стрептококка продуцировать некую «фибринолитическую» субстанцию и лизировать кровяной сгусток (стрептококковый фибринолизин). В ходе дальнейших исследований из культуры гемолитических стрептококков получен фермент стрептокиназа. С 1955 г. ученые изучали влияние стрептокиназы на систему гемостаза при внутривенном введении*.
В настоящее время выделяют следующие группы тромболитических препаратов:
- Препараты, оказывающие прямое протеолитическое действие на фибрин: активированный человеческий плазмин (фибринолизин) и его модифицированные формы: миниплазмин, микроплазмин, дельта-плазмин и др. [2].
 - Препараты, активирующие образование плазмина из плазминогена: внутренние и внешние активаторы плазминогена.
 - Препараты, включающие комбинации плазмина с активаторами плазминогена [3].
 
Алтеплаза – это препарат, относящийся к семейству сериновых протеаз (тканевый активатор фибриногена), являющийся фибринолитиком непрямого механизма действия II поколения. Алтеплаза стимулирует переход связанного с фибрином плазминогена в активный плазмин, действует непосредственно на фибриновый сгусток и способствует его растворению. Препарат доказал свою эффективность при незначительном риске развития осложнений. Безопасность и эффективность системного тромболизиса при ишемическом инсульте с помощью rt-PA (алтеплаза) доказаны в ряде крупных рандомизированных плацебо-контролируемых клинических исследований (NINDS, ECASS I, II, III, ATLANTIS), а также регистров SITS-MOST и SITS-ISTR.
В настоящее время проведение тромболитической терапии при ишемическом инсульте является методом дифференцированного лечения в стационаре, имеющем в своей структуре блок интенсивной терапии и реанимации для лечения больных с острым нарушением мозгового кровообращения (ОНМК), при условии обязательного наличия служб нейровизуализации (компьютерной томографии – КТ или высокопольной магнитно-резонансной томографии) и лабораторной диагностики, функционирующих ежедневно круглосуточно (24/7/365). Тромболизис может проводиться лишь после исключения геморрагического характера поражения мозга. Кроме этого, необходимо наличие возможности проведения неотложной консультации врача-нейрохирурга (рекомендации). Задачи нейровизуализации перед проведением тромболизиса: определить объем, характер и остроту ишемических изменений: признаки обширного инфаркта мозга (гиподенсивный очаг – или гиперинтенсивный при магнитно-резонансной томографии в DWI-режиме – ≥1/3 бассейна средней мозговой артерии), выявить противопоказания к проведению системного тромболизиса (внутричерепное кровоизлияние в подоболочечные, межоболочечные пространства, в паренхиму мозга и в желудочковую систему головного мозга). Перед проведением СТЛТ не требуется наличие доказанной ишемии методом КТ, так как идентификация области поражения может быть затруднена при выполнении КТ в сроки до 24–72 ч. Некоторые клинические признаки имеют приоритет над данными КТ – менингеальные симптомы при отсутствии данных о субарахноидальном кровоизлиянии по результатам КТ служат основанием к отказу от проведения СТЛТ. При выявлении признаков ишемического повреждения для оценки объема ишемического очага по результатам КТ в рутинной практике рекомендуется использование шкалы ASPECTS [3].
В ГБУЗ ММКЦ «Коммунарка» за период с 30.05.2022 по 25.11.2022 (менее 6 мес) проведено 111 процедур тромболитической терапии, что в процентном соотношении соответствует 19,3%. По итогам 2021 г. в Российской Федерации процент тромболизиса при ишемическом инсульте составлял 5,2%. Таким образом, мы имеем достаточный опыт в использовании тромболитиков и пришли к выводу, что препарат, используемый для ТЛТ, должен быть не только эффективным, безопасным, но и простым в применении. Подходы к лечению ишемического инсульта включают применение современных высокоэффективных методов реперфузии вещества головного мозга в первые минуты и часы заболевания, направленных на восстановление кровотока в пораженном сосуде, что позволяет предотвратить развитие необратимого повреждения вещества головного мозга либо уменьшить его объем, т.е. минимизировать степень выраженности остаточного неврологического дефицита. Увеличение времени «дверь–игла» (“door-to-drug”) напрямую связано с увеличением летальности. Болюсный способ введения препарата имеет несколько потенциальных преимуществ. Простота введения препарата ведет к более быстрому началу лечения, что улучшает выживаемость пациентов. Время, отведенное на принятие решения и начало ТЛТ, может быть уменьшено, если имеется в наличии болюсный фибринолитический препарат, применение которого возможно в кабинете КТ.
В 1976 г. академик Е.И. Чазов продемонстрировал возможность растворения тромба при остром инфаркте миокарда при внутрикоронарном введении фибринолизина, что ознаменовало начало нового периода в лечении данного заболевания. Позже в мире активно продолжились исследования тромболитических свойств полученных ферментов и поиск эффективных методов лечения нарушения мозгового кровообращения. Российскими учеными создан препарат Фортелизин® – рекомбинантный белок, полученный с помощью генно-инженерной технологии из Escherichia coli и содержащий аминокислотную последовательность (138 аминокислот) неиммуногенной стафилокиназы [4].
Механизм фибринолитического действия препарата Фортелизин® обусловлен первоначальным связыванием с плазмином, находящимся на фибриновом сгустке с последующей активацией плазминогена. Фортелизин® – это единственный тромболитик, образующий тройной комплекс: плазмин-плазминоген-активатор плазминогена, по сравнению с классическим активатором плазминогена Актилизе. Второй механизм фибринселективности препарата Фортелизин® обусловлен различием скоростей ингибирования комплекса плазмин-Фортелизин® в кровотоке и на поверхности фибрина, т.е. на тромбе. Этот комплекс нейтрализуется 2-антиплазмином в плазме крови в 100 раз быстрее, чем на поверхности фибрина.
Фибринселективность препарата Фортелизин® повышает терапевтическую эффективность, не допуская активации циркулирующего плазминогена, и может повысить безопасность ТЛТ путем минимального воздействия на циркулирующий фибриноген крови. После внутривенного введения препарата Фортелизин® отмечается незначительное снижение фибриногена крови менее чем на 10% в течение первых суток после его введения. Фортелизин® обладает коротким периодом полувыведения. Основной орган, обеспечивающий выведение препарата Фортелизин®, – печень, при прохождении через которую удаляется 75% препарата. За 6 мин из кровотока выводится около 90% циркулирующего препарата, а оставшиеся 10% выводятся в течение 30 мин.
На сегодняшний день Фортелизин® имеет достаточную доказательную базу эффективности и безопасности у пациентов с острым инфарктом миокарда и ишемическим инсультом [5–8]. Как отмечает в своем докладе заведующая неврологическим отделением для больных с ОНМК ГБУЗ «Ленинградская областная клиническая больница», главный внештатный невролог Комитета по здравоохранению Ленинградской области кандидат медицинских наук Наталья Владимировна Жуковская: «Фортелизин® демонстрирует высокую эффективность и безопасность у больных с ишемическим инсультом. Как показывает опыт, применение препарата у пациентов 18 лет и старше, с верифицированным диагнозом ишемического инсульта с давностью развития симптоматики не более 4,5 ч до начала тромболитической терапии, ассоциируется с отсутствием серьезных нежелательных эффектов при его болюсном введении, геморрагической трансформации ишемического инсульта, а также с уменьшением частоты летальности. Удобство применения и уникальные свойства препарата Фортелизин® открывают большие возможности для его широкого применения в условиях клинической практики» [9].
Опыт работы с препаратом Фортелизин® в ГБУЗ ММКЦ «Коммунарка» ограничен (на настоящий момент) использованием у 10 пациентов с ишемическим инсультом, поступивших в терапевтическом окне для СТЛТ (4,5 ч от начала заболевания). Препарат вводился в соответствии с инструкцией – 10 мг болюсно в течение 10 с, вне зависимости от массы тела. Указанный способ лечения применим у больных от 18 лет и старше без максимального ограничения возраста.
Первичная конечная точка эффективности – хорошее функциональное восстановление на 90-й день после развития ОНМК (оценка по шкале Рэнкин 0–1 балл). Вторичная комбинированная конечная точка эффективности на 90-й день кроме оценки по шкале Рэнкина 0–1 балл включала индекс по Шкале инсульта Национального института здоровья (National Institutes of Health Stroke Scale – NIHSS).
Лечение проведено 5 женщинам и 5 мужчинам (рис. 1). Возраст пациентов варьировал от 46 до 74 лет (рис. 2). Средний возраст у женщин 63,2 года, у мужчин – 58,2 года. Время развития неврологической симптоматики до времени поступления в стационар максимально составило 3 ч 35 мин, минимум 40 мин (рис. 3). Минимальное время, потребовавшееся после поступления пациента в стационар для введения препарата Фортелизин®, составило 10 мин, максимум 40 мин (в среднем – 20,2 мин). Исходно по шкале NIHSS регресс неврологической симптоматики до 0 баллов у 3 пациентов; NIHSS 1 балл – у 4 пациентов; NIHSS 2 балла – у 2 пациентов (рис. 4). Восстановление по шкале Рэнкин: до 1-й степени – у 4 пациентов; 0-й степени – у 1 пациента; 2-й степени – у 3 пациентов (рис. 5).
Рис. 1. Пол пациентов.
Рис. 2. Возраст пациентов (лет).
Рис. 3. Время развития неврологической симптоматики до времени поступления в стационар.
Рис. 4. Регресс неврологической симптоматики по шкале NIHSS.
Рис. 5. Оценка по шкале Рэнкин.
При поступлении оценка по шкале NIHSS варьировала в пределах от 4 до 23 баллов.
К концу первых суток среднее значение по шкале NIHSS – 2,3 балла.
Шкала Рэнкин
Оценка по шкале Рэнкин в день поступления: 6 пациентов – Рэнкин 4 балла; 3 пациента – Рэнкин 3 балла; 1 пациент – Рэнкин 2 балла; «средняя» оценка Рэнкин при поступлении – 3,5 балла; «средняя» оценка Рэнкин в исходе – 1,5 балла (см. рис. 5).
Клиническое наблюдение
Пациентка С., 60 лет, доставлена в стационар по экстренным показаниям через 65 мин от начала заболевания. Настоящее ухудшение состояния проявлялось в виде угнетения сознания, перекоса лица. В неврологическом статусе оценка по шкалам: NIHSS (баллы): 9; шкала комы Глазго (ШКГ): 14; FOUR 15; Индекс активности Ривермид (баллы): 1; Шкала Рэнкин: 4; частота дыхательных движений: 17 в минуту; FIO2: 21 %; SPO2: 97%; артериальное давление (АД) 155/90 мм рт. ст.; частота сердечных сокращений: 108 уд/мин; ритм синусовый.
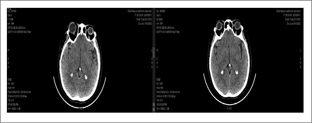
КТ: данных в пользу острых очаговых изменений в головном мозге не получено. Данные лабораторного контроля в границах референсных значений (рис. 6).
Рис. 6. КТ головного мозга пацентки С.
Через 20 мин от поступления проведен консилиум и принято решение о назначении СТЛТ препаратом Фортелизин® в соответствии с инструкцией (10 мг, растворенные в 10 мл физраствора, внутривенно струйно в течение 10 с).
При оценке состояния через 60 мин – состояние с положительной динамикой.
Сознание: ясное. Гемодинамика стабильная. Без дыхательных нарушений.
В неврологическом статусе оценка по шкалам: NIHSS (баллы): 1; ШКГ: 15; FOUR 16; Индекс активности Ривермид (баллы): 3; Шкала Рэнкин: 3 балла. При КТ-контроле через сутки данных в пользу острых очаговых изменений, объемных образований и геморрагического содержимого в головном мозге не получено.
При выписке оценка неврологического статуса по шкалам: NIHSS (баллы): 0; Индекс активности Ривермид (баллы): 12; Шкала Рэнкин: 1 балл.
Пациентка П., 50 лет, доставлена в стационар через 3 ч 35 мин от начала заболевания. Развитие заболевания начиналось с появления слабости в левых конечностях, нарушения речи, асимметрии лица на фоне повышения АД до 180/90. Из хронических заболеваний у больной отмечалось наличие мочекаменной болезни с нефролитиазом левой почки и правого мочеточника. Острый обструктивный пиелонефрит справа. Чрескожная пункционная нефростомия справа под контролем ультразвукового исследования от 02.05.2022; хроническая железодефицитная анемия легкой степени тяжести; гипертоническая болезнь II стадии, 3-й степени, риск сердечно-сосудистых осложнений 3. Ревматоидный артрит. Ожирение 1-й степени (индекс массы тела 33,66). Инфаркт головного мозга в бассейне правой средней мозговой артерии от 1998 г. Постоянно принимает: гидроксихлорохин, клопидогрел, пропранолол, лозартан.
Уровень сознания: ясное. NIHSS (баллы): 7; ШКГ: 15; Индекс активности Ривермид (баллы): 7; Шкала Рэнкин: 3 балла; частота дыхательных движений: 20 в минуту; SPO2: 97%; АД 145/80 мм рт. ст.; частота сердечных сокращений: 60 уд/мин; лабораторные показатели в границах референсных значений.
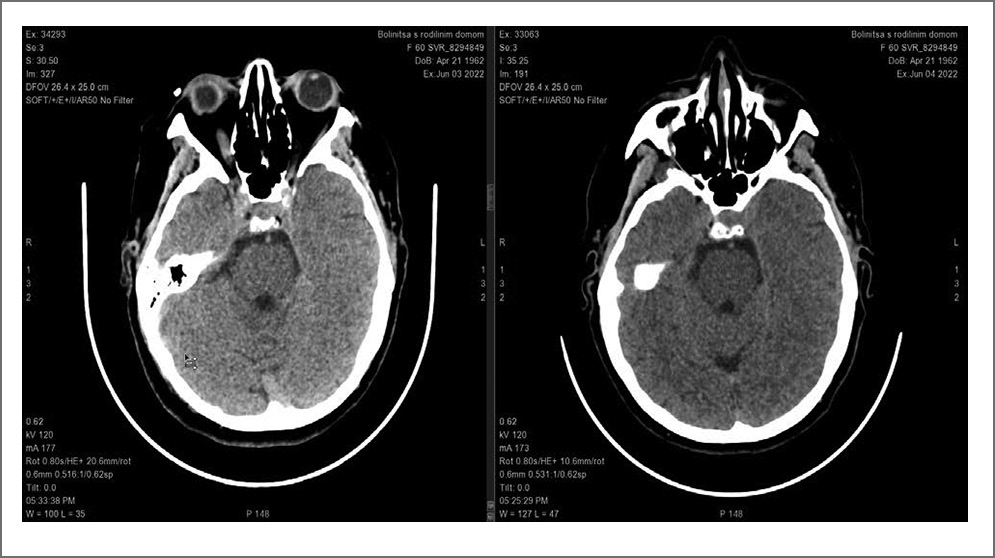
По данным КТ головного мозга: КТ-картина очагов лейкоареоза сосудистого генеза в белом веществе головного мозга. Церебральный атеросклероз. Заместительная наружная гидроцефалия. Неполная аномалия Киммерли слева. Через 20 мин от поступления проведен консилиум и принято решение о назначении СТЛТ препаратом Фортелизин® в соответствии с инструкцией (10 мг, растворенные в 10 мл физраствора, внутривенно струйно в течение 10 с). При оценке через час отмечается регресс неврологического дефицита с 7 баллов до 3 баллов по шкале NIHSS.
При КТ-контроле головного мозга через сутки в веществе мозга не отмечается появление новых патологических очагов/участков гипо- и гиперденсивных. Срединные структуры не смещены. Дифференцировка вещества мозга сохранена. КТ-картина без отрицательной динамики (рис. 7).
Рис. 7. КТ головного мозга пациентки П.
При выписке оценка неврологического статуса по шкалам: NIHSS (баллы): 1; Индекс активности Ривермид (баллы): 8; Шкала Рэнкин: 2 балла.
Заключение
Единственным патогенетическим методом лечения ишемического инсульта, доказавшим свою эффективность и безопасность в клинических исследованиях, является восстановление кровотока в церебральной артерии (внутривенный тромболизис и тромбоэкстракция). Наиболее важным предиктором успеха методов реканализации является время от развития инсульта до начала лечения. Таким образом, данные не только клинических исследований, но и реальной практики демонстрируют действенность использования препарата Фортелизин® и преимущества болюсного введения препаратов с фиксированной дозой при ишемическом инсульте у пациентов с любой массой тела. Отмечается высокая эффективность и безопасность препарата Фортелизин® для лечения больных с ишемическим инсультом в реальной практике. Полученный опыт свидетельствует об отсутствии серьезных нежелательных эффектов (геморрагической трансформации ишемического инсульта) и удобстве применения препарата.
Раскрытие интересов. Авторы декларируют отсутствие явных и потенциальных конфликтов интересов, связанных с публикацией настоящей статьи.
Disclosure of interest. The authors declare that they have no competing interests.
Вклад авторов. Авторы декларируют соответствие своего авторства международным критериям ICMJE. Все авторы в равной степени участвовали в подготовке публикации: разработка концепции статьи, получение и анализ фактических данных, написание и редактирование текста статьи, проверка и утверждение текста статьи.
Authors’ contribution. The authors declare the compliance of their authorship according to the international ICMJE criteria. All authors made a substantial contribution to the conception of the work, acquisition, analysis, interpretation of data for the work, drafting and revising the work, final approval of the version to be published and agree to be accountable for all aspects of the work.
Источник финансирования. Авторы декларируют отсутствие внешнего финансирования для проведения исследования и публикации статьи.
Funding source. The authors declare that there is no external funding for the exploration and analysis work.
Информированное согласие на публикацию. Пациенты подписали форму добровольного информированного согласия на публикацию медицинской информации.
Consent for publication. Written consent was obtained from the patients for publication of relevant medical information and all of accompanying images within the manuscript.
*1999-01-10. Институт молекулярной генетики РАН. Способ лечения ишемического инсульта. Режим доступа: https://patents.google.com/patent/RU2670203C1/ru). Ссылка активна на 10.11.2022.
About the authors
Sarbinaz T. Ubushieva
Moscow Multidisciplinary Clinical Center “Kommunarka“
														Email: alebedeva-md@yandex.ru
				                	ORCID iD: 0000-0001-8529-3903
				                																			                								
neurologist
Russian Federation, MoscowDmitry N. Kazakov
Moscow Multidisciplinary Clinical Center “Kommunarka“
														Email: alebedeva-md@yandex.ru
				                	ORCID iD: 0000-0003-0263-6670
				                																			                								
Head of the Resuscitation and Intensive Care Unit
Russian Federation, MoscowAnastasiya Yu. Lebedeva
Moscow Multidisciplinary Clinical Center “Kommunarka“; Pirogov Russian National Research Medical University
							Author for correspondence.
							Email: alebedeva-md@yandex.ru
				                	ORCID iD: 0000-0002-4060-0786
				                																			                								
D. Sci. (Med.)
Russian Federation, Moscow; MoscowReferences
Supplementary files
				
			
					
						
									









