Osteoarthropathy of the front thorax
- Authors: Bunchuk N.V.1
-
Affiliations:
- Academic Clinic of Neurology and Dentistry “Cecil”
- Issue: Vol 24, No 11 (2022)
- Pages: 828-834
- Section: Articles
- Published: 15.11.2022
- URL: https://consilium.orscience.ru/2075-1753/article/view/120339
- DOI: https://doi.org/10.26442/20751753.2022.11.202030
- ID: 120339
Cite item
Full Text
Abstract
This article reviews the data on a unique, rare rheumatologic syndrome – osteoarthropathy of the anterior thorax (OAAT), characterized by inflammation of the bone, joint, and ligament structures that form the skeleton of the anterior thorax. OAAT is part of chronic non-bacterial osteomyelitis, which occurs in adults and children and may be due to genetic mutations. The basis of this disorder is osteitis (focal lesion of the sternum, clavicles, and ribs with a tendency to the destruction of mainly articular parts and development of bone proliferation – hyperostosis), arthritis with possible ankylosis development, as well as enthesitis and ligamentitis with ectopic ossification of affected soft tissues. Many patients also show similar dermatological changes: commonly palmar and plantar pustulosis and sometimes acne inversa (purulent hidradenitis and globular acne). The article describes typical radiological, scintigraphic, and MRI changes in the musculoskeletal system. The classification of chronic non-bacterial osteomyelitis is reviewed. Diseases that may mimic OAAT are listed. Treatments for chronic non-bacterial osteomyelitis, including bisphosphonates and biologics, are reported.
Full Text
Введение
В ревматологии известно немало признаков и симптомов, которые обнаруживаются при осмотре и имеют существенное или даже решающее диагностическое значение (являются «визитной карточкой» ряда болезней): ревматоидная кисть, палец в виде сосиски при псориатическом или реактивном артрите, подагрические тофусы в ушных раковинах, амимия, «кисет» вокруг рта и уменьшение апертуры рта при системной склеродермии, папулы Готтрона и «рука механика» при дерматомиозите, дигитальный артериит (очаговые некрозы кожи вокруг ногтевого ложа) при серопозитивном ревматоидном артрите и др. Этот список продолжает остеоартропатия передней части грудной клетки (ОАПГК) – своеобразный и запоминающийся симптомокомплекс (рис. 1).
Рис. 1. ОАПГК у пациента Н. (39 лет) с синдромом SAPHO: яркое воспаление в области грудины и соединяющихся с ней ключиц и ребер; выраженный отек подкожных тканей и гиперемия кожи (верхние фото). Сцинтиграфия скелета (99mTc, соединенный с фосфатами): значительное накопление РФП преимущественно в рукоятке и теле грудины, грудино-ключичных суставах (больше в правом) – картина «головы быка» (bull’s head) – указано стрелкой. Очаговая гиперфиксация наблюдается также в латеральном отделе правой ключицы и головках плечевых костей (собственное наблюдение [1]).
ОАПГК – это клинический синдром, своеобразное по локализации воспаление опорно-двигательного аппарата: поражение верхней части грудины, сочленяющихся с ней ключиц и верхних ребер, грудино-ключичных, грудино-реберных суставов, сустава между рукояткой и телом грудины и фиброзно-связочных структур этой области (рис. 2). Еще одна уникальная характеристика ОАПГК – поражение костной ткани – многоочаговый остеит с вовлечением как кортикального, так и трабекулярного отделов костей и развитием сначала деструкции, а затем избыточного костеобразования (остеосклероза и гиперостоза).
Рис. 2. Анатомические структуры, поражение которых типично для ОАПГК
Клиническая картина
Основными клиническими симптомами ОАПГК являются боль и болезненная припухлость в «зоне декольте», распространяющаяся на рукоятку грудины и прилегающие к ней костно-суставные структуры и мягкие ткани. Отек может сопровождаться яркой («пылающей») гиперемией и гипертермией кожи. Боль нередко бывает стойкой и изнуряющей, так как пораженные структуры постоянно находятся в движении, участвуя в дыхании. Болевые ощущения могут приводить к ограничениям движений в плечевом поясе, становится больно пожимать плечами, поднимать руки вверх через сторону, чихать и кашлять. Возможен артрит манубриостернального сустава – возникает болезненный плотный отек этой области. Воспаление редко переходит на нижнюю часть грудины и отдаленные от нее отделы грудной клетки. Изменения часто бывают двусторонними, но обычно несимметричны.
Клинические проявления чаще развиваются остро, но возможно и постепенное вовлечение в патологический процесс отдельных структур, когда формирование полной клинической картины растягивается на несколько месяцев. ОАПГК может возникнуть в любом возрасте, в том числе у детей и пожилых людей. Средний возраст начала этого синдрома составляет 30 лет. Несколько чаще заболевают женщины.
Лабораторные признаки
ОАПГК характеризуется не только остеитом, но и артритом грудино-ключичных и грудино-реберных суставов с деструкцией и исходом в анкилоз, а также воспалением прилегающих мягких тканей (энтезит и лигаментит) с тенденцией к их кальцификации и оссификации [2]. Такое многокомпонентное поражение структур опорно-двигательного аппарата объясняет использование термина «остеоартропатия», хотя ряд авторов предпочитают называть этот симптомокомплекс артро-остеитом [3]. Гистологические изменения неспецифичны, первоначально развивается преимущественно нейтрофильное воспаление, отек и остеобластическая костная резорбция; рано присоединяется реактивное костеобразование. В целом эти изменения неотличимы от бактериального остеомиелита, однако результаты микробиологических исследований биопсионного материала всегда отрицательны, за исключением единичных случаев выделения Cutibacterium acnes, считающихся контаминантами. На более поздних стадиях воспалительный инфильтрат представлен преимущественно Т-лимфоцитами, острота воспалительной реакции снижается, отмечается новообразование трабекул и фиброз костного мозга [4–6].
Проявлений общего характера, как правило, нет, в единичных случаях возможна лихорадка. Специфичных лабораторных маркеров не найдено. Обычно повышаются показатели активности острофазового воспаления (скорость оседания эритроцитов, С-реактивный белок). Частота HLA-B27 не повышена. Аутоантитела (ревматоидный, антинуклеарный фактор и др.) не выявляются [7–10].
Лучевая диагностика
Изменения опорно-двигательного аппарата, происходящие при ОАПГК, могут быть наглядно продемонстрированы с помощью различных визуализационных методов. Ранние изменения – отек костного мозга, мягких тканей и синовит – лучше всего обнаруживаются при магнитно-резонансной томографии (МРТ) [2, 10–12]. Детальный анализ МРТ у 71 пациента с синдромом SAPHO – синовит + акне + пустулез + гиперостоз + остеит (сочетание ОАПГК с ладонно-подошвенным пустулезом – ЛПП или инверсными акне) показал, что триада этих ранних изменений наблюдалась соответственно у 89, 69 и 90% пациентов [12]. Отек костного мозга преобладал в рукоятке грудины, 1-х грудино-реберных суставах и ключицах. В верхней части тела грудины и грудино-ключичных суставах отек наблюдался примерно у 1/3 пациентов и намного реже найден в средней и нижней части тела грудины и 2–6-х грудино-реберных суставах (рис. 3). Изменения костей всегда сопровождались отеком прилегающих мягких тканей. Синовит (выпот) зарегистрирован преимущественно (у 76% пациентов) в грудино-ключичных суставах и реже (у 16% пациентов) – в грудино-реберных суставах.
Рис. 3. МРТ (режим Т2 STIR) пациентки (Г., 27 лет) с ОАПГК (синдром SAPHO). Отек костного мозга рукоятки и тела грудины, медиальных отделов II и III ребер; выпот в полости манубриостернального сустава (собственное наблюдение).
Изменения на МРТ были несимметричны. Количество зон воспаления у одного пациента составляло в среднем 4,8±3,4 (из 18 учитываемых) и варьировало от 1 до 17. Нередко обнаруживались утолщение мягких тканей, вызванное отеком, и воспалительные инфильтраты в ретростернальной области. Отек мягких тканей может быть выраженным и иногда приводит к сдавлению подключичных вен или имитирует лимфомы. Наряду с воспалением отмечались (при более длительном течении заболевания) и хронические (структурные) МРТ-изменения в виде оссификации реберно-ключичных, грудино-реберных и грудино-ключичных связок, гиперостоза ключиц и грудины, жировой инфильтрации костного мозга и формирования костных мостиков. Было обращено внимание на высокую частоту (у 92% пациентов) разнообразных изменений I ребер (костный отек, оссификация хряща и перихондрия, гиперостоз) и расположенных рядом мягких тканей [2].
При ОАПГК демонстративна сцинтиграфия скелета с технецием, связанным с фосфатными соединениями [13, 14]. Этот метод позволяет найти изменения уже на ранних стадиях и особенно целесообразен для скрининга бессимптомных зон поражения (позвоночник, метафизы длинных костей и др.), которые могут возникать у пациентов с синдромом SAPHO или хроническим небактериальным остеомиелитом. Для ОАПГК считается типичным преимущественное накопление радиофармпрепарата (РФП) в рукоятке грудины и грудино-ключичных суставах, напоминающее голову быка (симптом «головы быка»); см. рис. 1, но такая картина наблюдается редко. Большей диагностической ценностью обладает метод (18F-FDG) ПЭТ/КТ или ПЭТ/МРТ, позволяющий получить как скрининговую информацию распространенности патологического процесса, так и томографические подробности о зонах поражения [15]. Не менее информативна и МРТ всего тела [16].
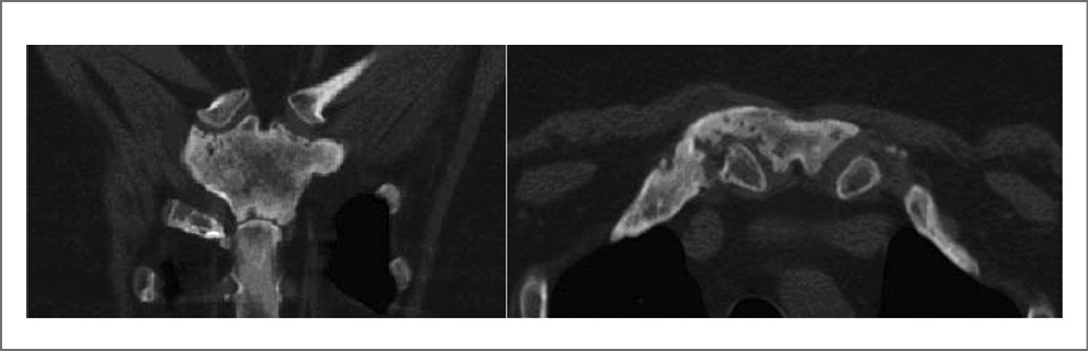
Поскольку в развитии ОАПГК существенную роль играет остеит, диагностическую ценность имеют рентгеновские методы, особенно компьютерная томография (КТ) [2, 17, 18]. Первоначально выявляются литические изменения медиального отдела ключицы и периостальное образование костной ткани, быстро формируется оссификация реберно-ключичной связки. Затем присоединяются признаки артропатии манубриостернального, грудино-ключичных и грудино-реберных суставов (эрозии и расширение, затем сужение щели, остеосклероз сочленяющихся отделов); рис. 4, 5. Очаговая деструкция грудины, ключиц, передних отрезков ребер, а также пролиферация костной ткани в виде периостита, гиперостоза костей, их неравномерного склероза напоминают картину остеомиелита.
Рис. 4. КТ передне-верхней части грудной клетки пациентки П., 54 года, с ОАПГК (синдром SAPHO). Слева (коронарная плоскость): эрозирование сочленения рукоятки с телом грудины, а также сочленений рукоятки с ключицами (слева с расширением щели); неравномерный остеосклероз рукоятки. Справа (аксиальная плоскость): деструкция и частичный анкилоз грудино-ключичного сочленения, расширение (гиперостоз) и перестройка костной структуры медиального отдела правой ключицы (собственное наблюдение [1]).
Рис. 5. КТ области грудины (аксиальная плоскость) пациента Н., 39 лет, с ОАПГК (синдром SAPHO): деструкция сочленения между II правым ребром и грудиной, очаговая оссификация хряща сочленения между II левым ребром и грудиной, неравномерный остеосклероз и периостит тела грудины, выраженный отек мягких тканей кпереди от грудины (собственное наблюдение).
В дальнейшем наблюдается прогрессирование остеосклероза и гиперостоза пораженных костей, возможно развитие анкилоза суставов [18]. Для ОАПГК характерен также процесс кальцификации и оссификации воспаленных мягких тканей, связок, хрящей и ребер. Гиперостоз и остеосклероз ключиц сохраняются в течение многих лет, постепенно распространяясь на латеральные отделы [2].
Пролиферация костной ткани считается главной особенностью патологического процесса, отмечающегося при ОАПГК, что послужило основанием для еще одного синонима этого синдрома: грудино-реберно-ключичный гиперостоз – ГРКГ (sternocostoclavicular hyperostosis) [19]. Типично хроническое течение с обострениями и ремиссиями, возникающими как спонтанно, так и под влиянием лечения. Серьезные осложнения (нарушения функции, требующие ортопедической помощи) встречаются редко [7].
Дифференциальная диагностика
ОАПГК во врачебной практике встречается редко, и хотя со времени описания этого синдрома прошло не менее 50 лет и опубликовано большое количество наблюдений, диагностика по-прежнему вызывает трудности и, как правило, задерживается на несколько лет (по данным A. Ramautar и соавт. [7], в среднем на 5 лет). Диагностика обычно облегчается и ускоряется, если у пациента выявляется один из двух дерматозов, которые закономерно сопутствуют ОАПГК, – ЛПП или акне (обычно осложненные, acne conglobata, или гнойный гидраденит). ЛПП наблюдается примерно у 30% пациентов с ОАПГК [7], а акне – реже (8%) [7], эти дерматозы могут предшествовать остеоартикулярным проявлениям, возникать одновременно с ними или присоединяться позже.
ЛПП характеризуется скоплениями стерильных пустул исключительно на ладонях и подошвах (рис. 6). На ладонях изменения обнаруживаются преимущественно в области возвышения большого пальца и мизинца, а на подошвах – по боковой поверхности, на боковой и задней поверхности пяток, реже – в области подъема стоп. Размер пустул небольшой, их диаметр не превышает 0,5 см, они часто двусторонние, возникают на эритематозном основании, могут сопровождаться десквамацией эпидермиса, трещинами, гиперкератозом. Свойственна тенденция к кровоточивости и местным болям. Пустулы могут заживать через несколько дней с образованием коричневых макул и/или гиперкератотических бляшек, напоминающих обыкновенный псориаз, но нередко отмечается рецидивирующее течение дерматита на протяжении всей жизни пациента. Пустулезные элементы в редких случаях могут возникать в других регионах тела, например на предплечьях, тыле стоп, голенях, в области коленных суставов и на ягодицах. У части пациентов с ЛПП возникают изменения ногтей, неотличимые от псориатических.
Рис. 6. ЛПП у пациентки С., 27 лет, с синдромом SAPHO (собственное наблюдение).
ЛПП считается хроническим воспалительным заболеванием из группы нейтрофильных дерматозов, в которую также входят синдром Свита, гангренозная пиодермия, болезнь Бехчета (ее слизисто-кожные проявления) и ряд других болезней. Эти заболевания объединены наличием стерильного, преимущественно нейтрофильного инфильтрата, выявляемого гистологически. Пустулы при ЛПП стерильны, бактерий (в том числе Propionibacterium acnes) в них не содержится.
ОАПГК развивается примерно у 20–30% пациентов с ЛПП. ОАПГК может присоединяться к уже существующим кожным изменениям (чаще), начинаться одновременно с ними или возникать через разный срок (иногда через много лет) после развития ЛПП [20]. Иногда костно-суставные проблемы опережают пустулез. Четкая связь активности дерматита с активностью остеоартропатии наблюдается редко. Хотя ЛПП – хроническое заболевание, но папулы не всегда бывают заметными, тем более на подошвах стоп, изменения кожи в отдельные периоды времени могут выглядеть как гиперкератоз и растрескивание кожи, поэтому необходим активный расспрос и осмотр пациентов.
Следует заметить, что пустулез ладоней и подошв может отмечаться у пациентов с простым (бляшечным) псориазом других локализаций (псориатический пустулез ладоней и подошв), и у таких пациентов возможно развитие псориатического артрита/спондилоартрита, в том числе с поражением структур передней части грудной клетки [21].
Целесообразно отличать ЛПП от пустулезного локального акродерматита Аллопо (Hallopeau), которому свойственны пустулы, локализующиеся исключительно на коже дистальных отделов пальцев кистей и стоп, около ногтевого ложа. Нередко возникает онихопатия, напоминающая псориатическую. У пациентов с этим дерматозом описан псориатический артрит, в том числе с поражением дистальных межфаланговых суставов; ОАПГК не типична [22].
Важно иметь в виду, что ОАПГК не является самостоятельным заболеванием и представляет собой, скорее всего, один из клинических вариантов хронического небактериального остеомиелита (ХНО) – аутовоспалительной неинфекционной болезни костей. ХНО описан в 1972 г. [23]. Помимо ОАПГК выделяют (рис. 7) вариант ХНО с изолированным поражением нижней челюсти (изолированный диффузный склерозирующий остеомиелит нижней челюсти) и вариант с множественными очагами поражения (хронический рецидивирующий мультифокальный остеомиелит – ХРМО) [7]. Этот последний вариант чаще наблюдается у детей, для него характерно преимущественное поражение метафизов длинных трубчатых костей. ХНО описан и у взрослых [7], его особенностями считаются преобладание изменений не в периферическом скелете, а в переднем отделе грудной клетки, а дополнительные изменения чаще находят в позвоночнике и нижней челюсти.
Рис. 7. Клиническая классификация ХНО у детей и взрослых [7].
Практическое значение этой классификации состоит в том, что у каждого пациента с ОАПГК нужно оценивать возможность существования (развития в будущем) изменений опорно-двигательного аппарата вне передней грудной клетки. В первую очередь это позвоночник и крестцово-подвздошные суставы. У взрослых пациентов с ХНО довольно часто существуют жалобы на боли и ограничения движений в тех или иных отделах позвоночника, а также в области сакроилиальных суставов.
A. Ramautar и соавт., наблюдавшие большое число взрослых пациентов с ХЛО и поражением переднего отдела грудной клетки (n=213), установили, что у 72% пациентов имел место ГРКГ, а у остальных 59 пациентов отмечались дополнительные изменения в аксиальном скелете. Эти изменения по данным сцинтиграфии наблюдались в основном в позвоночнике (у 40 пациентов), клинические же проявления (жалобы на боли) – в 2 раза реже. Изменения периферических суставов отмечались редко (только у 4 пациентов – 1,9%). В этом исследовании отмечена значительная частота остеита в нижней челюсти (у 20 пациентов – 35%) [7].
По данным X. Sun и соавт., при обследовании 26 пациентов с синдромом SAPHO жалобы на боли в шейном, грудном и поясничном отделах позвоночника отмечались соответственно в 23, 46 и 81%. Гиперфиксация РФП (99mTc) в позвоночнике зарегистрирована несколько реже, в общей сложности у 66% пациентов (в шейном – у 16%, в грудном – у 44%, в поясничном отделе – у 60%). В крестцово-подвздошных суставах сцинтиграфические изменения отмечались у 32% пациентов. Проведение через некоторый интервал времени у этих пациентов ПЭТ/КТ с использованием 18F-FDG показало хорошее совпадение результатов этих двух изотопных исследований [15].
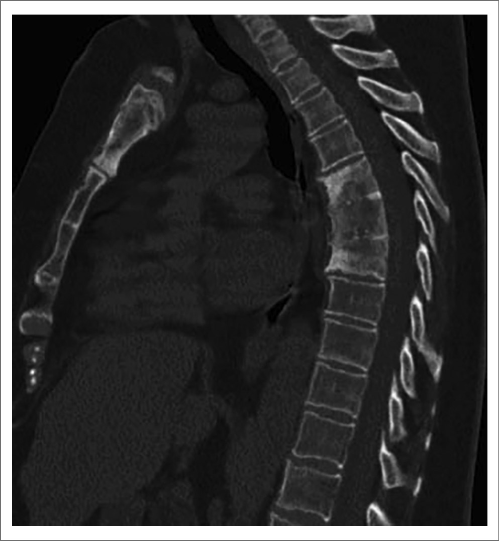
Могут быть найдены и рентгенологические изменения позвоночника в виде остесклероза замыкательных пластинок, развития энтезофитов или синдесмофитов, клиновидных деформаций тел и (редко) анкилозирования тел позвонков (рис. 8). Эти изменения обычно ограничены одним сегментом, но иногда распространяются на несколько соседних позвонков. Они напоминают изменения, свойственные анкилозирующему спондилиту, но не бывают столь распространенными [2, 8]. Сакроилиит разных рентгенологических стадий диагностируется у 13–52% пациентов с синдромом SAPHO. На МРТ можно обнаружить признаки переднего и заднего спондилита, артрита дугоотростчатых суставов и активного сакроилиита [2, 10, 24].
Рис. 8. КТ грудной клетки (сагиттальная плоскость) пациентки П., 54 года, с ОАПГК (синдром SAPHO). Определяются изменения грудного отдела позвоночника: клиновидная деформация и сращение тел ThVI, ThVII и ThVIII, эрозирование верхней замыкательной пластинки ThVI и нижней замыкательной пластинки ThVIII, неровность передней поверхности тел, многочисленные участки просветления костной ткани в телах ThVI, ThVII и ThVIII, обширные зоны остеосклероза в телах ThVI и ThVIII, краевые передние остеофиты. Также заметна деформация рукоятки грудины с расширением (гиперостоз) и фрагментацией верхней ее части и зонами просветления и склероза в нижней части (собственное наблюдение [1]).
В приведенной выше классификации выделен синдром SAPHO. Он описан французскими ревматологами в 1987 г. [25], наблюдавшими сочетание ОАПГК не только с ЛПП, но и с акне (как правило, тяжелыми формам, такими как шаровидные акне и гнойный гидраденит). Название образовано путем объединения первых букв следующих англоязычных терминов: синовит (Synovitis; первоначально буква «S» обозначала синдром – Syndrome), акне (Acne), пустулез (Pustulosis), гиперостоз (Hyperostosis), остеит (Osteitis) и предложено французскими ревматологами. В целом клиническая картина и визуализационные данные синдрома SAPHO не отличаются от пустулезного артро- остеита японских авторов. Частота поражения структур переднего отдела грудной клетки у пациентов с синдромом SAPHO при наличии акне и у пациентов с пустулезным артро-остеитом примерно одинакова, поэтому выделение этого синдрома (как и термина «пустулезный артро-остеит»), на наш взгляд, не имеет большого смысла. Некоторые авторы, правда, считают, что отличительной чертой синдрома SAPHO является относительно частое развитие артрита периферических суставов, что не свойственно другим формам ХНО. По данным метаанализа исследований, в которые включены 642 взрослых пациента с ХНО (при наличии ОАПГК), периферический артрит имел место в 24% случаев [9]. Сообщается в основном о моноартрите или олигоартрите различных суставов, в том числе мелких суставов кистей и стоп, иногда даже дистальных межфаланговых. Полиартрит и дактилит редки. Рентгенологические изменения суставов обычно отсутствуют. Японские авторы указывали на развитие периферического артрита у 17 из 52 (32%) пациентов с пустулезным артро-остеитом; чаще воспалялись ключично-акромиальные суставы, у нескольких пациентов наблюдались изменения пястно-фаланговых и проксимальных межфаланговых суставов, а в единичных случаях – локтевых, коленных, тазобедренных и голеностопных суставов [3].
Применительно к проблеме ХНО, в том числе и при ОАПГК, нужно принимать во внимание еще несколько клинически важных аспектов.
В последние годы установлено, что ХНО может быть одним из проявлений некоторых моногенных аутовоспалительных заболеваний, особенно синдрома Маджида и синдрома DIRA (deficiency of the IL-1 receptor antagonist – дефицит антагониста рецептора ИЛ-1) [26]. Синдром Маджида (Majeed) описан в 1989 г., вызывается мутацией гена LPIN2, кодирующего белок липин-2. Развивается в раннем детском возрасте. Помимо ХНО (чаще в форме хронического рецидивирующего мультифокального остеомиелита с преимущественным поражением длинных трубчатых костей), типично наличие хронической микроцитарной гипохромной анемии и (у части пациентов) нейтрофильных дерматозов (ЛПП, синдром Свита и гангренозная пиодермия). Нередко наблюдаются также рецидивирующая лихорадка и гепатоспленомегалия. Наследуется рецессивно. Имеется возможность генетической диагностики – выявления мутации гена LPIN2 [27].
Синдром DIRA – аутосомно-рецессивное заболевание, обусловленное мутациями гена IL1RN, который кодирует белок-антагонист рецептора интерлейкина (ИЛ)-1. Дефицит этого антагониста приводит к увеличению активности ИЛ-1, обладающего провоспалительным действием. Заболевание описано в 2009 г., начинается, как правило, в раннем детском возрасте (известны отдельные случаи и более позднего начала) и проявляется хроническим рецидивирующим мультифокальным остеомиелитом, пустулезной кожной сыпью, поражением легких и центральной нервной системы. Имеется возможность генетической диагностики (выявление мутаций гена ILIRN) [28]. ХНО возможен еще при одном генетическом аутовоспалительном заболевании – синдроме PAPA (pyogenic arthritis, pyoderma gangrenosum, acne) – аутовоспалительный синдром, характеризующийся комбинацией стерильного эрозивного артрита, осложненных акне и гангренозной пиодермии, обусловленный мутациями гена белка PSTPIP1. Характеризуется сочетанием рецидивирующего, «пиогенного» артрита (на самом деле развивается острый, ярко воспалительный, но стерильный артрит), а также гангренозной пиодермии и осложненных акне. Имеется возможность генетической диагностики.
Известно, ХНО (и ОАПГК) примерно у 20% пациентов могут сочетаться с другими хроническими воспалительными заболеваниями, чаще всего с болезнью Крона и неспецифическим язвенным колитом [29].
Как уже говорилось, диагностика ОАПГК обычно запаздывает. Чаще всего это объясняется недостаточной информированностью врачей. Но в ряде случаев возникают трудности при разграничении ОАПГК и локального поражения этих же анатомических структур при других заболеваний: опухолях, инфекциях, травмах [30]. В этих случаях обычно нет полной клинической и визуализационной картины ОАПГК, а отмечаются лишь отдельные элементы, напоминающие эту патологию. В трудных ситуациях требуется всесторонняя визуализация и морфологическое исследование. Синдром Титце является перихондритом суставных участков одного или нескольких верхних ребер, не сопровождается рентгенологическими и МРТ-изменениями, характерными для остеита при ОАПГК и не прогрессирует.
При ХНО (и ОАПГК) имеются отдельные проявления, которые свойственны спондилоартритам, в первую очередь псориатическому артриту/спондилоартриту, а также анкилозирующему спондилиту. При этих заболеваниях нередко наблюдается поражение грудино-ключичных, ключично-акромиальных суставов, манубриостернального сочленения, иногда с развитием деструкции [31]. На МРТ могут обнаруживаться отдельные воспалительные изменения энтезисов и костной ткани (отек) анатомических структур передней части грудной клетки [32]. Но при спондилоартитах не возникают типичные для ОАПГК деструкция и гиперостоз костей, кальциноз и оссификация мягких тканей передней грудной клетки, нехарактерно поражение грудино-реберных сочленений. При ОАПГК периферический артрит, если отмечается, то не становится стойкой и прогрессирующей проблемой, как при спондилоартритах. При ХНО возможен сакроилиит и спондилит, но вертебральные нарушения, как правило, локальны и не прогрессируют в такой степени, как при анкилозирующем спондилите [33]. Затруднения в дифференциальной диагностике обычно разрешаются в процессе наблюдения за эволюцией проявлений [34].
Основные принципы лечения
Лечение большинства пациентов с заболеваниями, сопровождающимися ОАПГК, проводится поэтапно. Сначала пытаются помочь пациентам, применяя нестероидные противовоспалительные препараты или кортикостероиды в небольших дозах внутрь [35]. Если в качестве триггерного фактора ОАПГК выявляется очаговая инфекция, используют антибиотики [36, 37]. Антибиотики (тетрациклины, клиндамицин и азитромицин) могут быть успешны в отношении акне. Описаны случаи яркого лечебного эффекта тонзилэктомии в отношении как ЛПП, так и остеоартропатии у пациентов с синдромом SAPHO и хроническим тонзиллитом [38].
На следующем этапе используют синтетические противоревматоидные средства (метотрексат, лефлуномид и сульфасалазин) в дозах и режимах, которые применяются при ревматоидном артрите [39, 40]. Альтернативой считаются бисфосфонаты, которые, помимо антиостеорезорбирующего действия, обладают некоторым противовоспалительным эффектом. Чаще рекомендуются препараты для парентерального применения, преимущественно памидронат (в дозе 1 мг/кг 1 раз в мес или в той же дозе в течение 3 последовательных дней каждые 3 мес) [39, 41–43]. Известны единичные сообщения об эффективности внутривенных инфузий золендроновой кислоты (5 мг 1 раз в 6–12 мес) [44]. Существуют немногочисленные публикации об эффективности при ОАПГК апремиласта (ингибитора фосфодиэстеразы) [45].
В случае резистентности к указанным методам лечения или при необходимости достижения как можно более быстрого эффекта у пациентов с выраженным остеитом/артритом и/или дерматитом прибегают к биологическим препаратам. Наибольший опыт накоплен в отношении ингибиторов фактора некроза опухолей α (инфликсимаб, адалимумаб и др.) [46]. Успешные результаты также получены в результате использования ингибиторов ИЛ-17/23 (секукинумаб). Тоцилизумаб (ингибитор ИЛ-6) оказался неэффективен [47]. Опубликованы положительные результаты применения при синдроме SAPHO ингибитора янус-киназ тофацитиниба [48]. Обычно требуется длительная поддерживающая терапия. Вследствие редкости заболевания оценка указанных выше препаратов в двойных слепых плацебо-контролируемых исследованиях не проводилась.
Раскрытие интересов. Автор декларирует отсутствие явных и потенциальных конфликтов интересов, связанных с публикацией настоящей статьи.
Disclosure of interest. The author declares that he has no competing interests.
Вклад автора. Автор декларирует соответствие своего авторства международным критериям ICMJE.
Author’s contribution. The author declares the compliance of his authorship according to the international ICMJE criteria.
Источник финансирования. Автор декларирует отсутствие внешнего финансирования для проведения исследования и публикации статьи.
Funding source. The author declares that there is no external funding for the exploration and analysis work.
Информированное согласие на публикацию. Пациенты подписали форму добровольного информированного согласия на публикацию медицинской информации и фотографий.
Consent for publication. Written consent was obtained from the patients for publication of relevant medical information and all of accompanying images within the manuscript.
About the authors
Nikolay V. Bunchuk
Academic Clinic of Neurology and Dentistry “Cecil”
Author for correspondence.
Email: nbunchuk@yahoo.com
ORCID iD: 0000-0002-4728-400X
D. Sci. (Med.)
Russian Federation, MoscowReferences
Supplementary files











