Стеноз ствола левой коронарной артерии при идиопатической легочной гипертензии. Клинический случай
- Авторы: Иванов С.Н.1, Едемский А.Г.1, Васильцева О.Я.1, Чернявский А.М.1, Калашникова М.В.2, Селецкая С.В.2
-
Учреждения:
- ФГБУ «Национальный медицинский исследовательский центр им. акад. Е.Н. Мешалкина» Минздрава России
- ГБУЗ «Сахалинская областная клиническая больница»
- Выпуск: Том 24, № 12 (2022)
- Страницы: 876-881
- Раздел: Статьи
- Статья опубликована: 04.12.2022
- URL: https://consilium.orscience.ru/2075-1753/article/view/191376
- DOI: https://doi.org/10.26442/20751753.2022.12.201903
- ID: 191376
Цитировать
Полный текст
Аннотация
В статье приведен клинический случай комплексного лечения пациента с идиопатической легочной гипертензией и редким осложнением в виде стеноза ствола левой коронарной артерии, вызванного экстравазальной компрессией расширенной легочной артерией. Данное осложнение клинически проявилось болевым синдромом. Пациенту выполнена чрескожная транслюминальная баллонная ангиопластика со стентированием левой коронарной артерии и последующее назначение комбинированной ЛАГ-специфической терапии. При контрольном обследовании в отдаленном послеоперационном периоде помимо субъективного улучшения самочувствия и отсутствия болевого синдрома у пациента увеличилась дистанция теста 6-минутной ходьбы, отмечена положительная динамика показателей эхокардиографии, катетеризации правых отделов сердца, а также лабораторного маркера сердечной недостаточности NT-proBNP.
Полный текст
Введение
Легочная гипертензия (ЛГ) – патологическое состояние, осложняющее течение многих заболеваний, которое характеризуется прогрессирующим повышением легочного сосудистого сопротивления (ЛСС) вследствие сужения, гипертрофии и пролиферации легочных сосудов. ЛГ приводит к развитию правожелудочковой сердечной недостаточности (СН) и преждевременной гибели пациентов [1, 2]. Диагностическими критериями ЛГ считаются: среднее давление в легочной артерии (ЛА) более 20 мм рт. ст., давление заклинивания в ЛА менее 15 мм рт. ст., ЛСС более 2 единиц Wood по данным катетеризации правых отделов сердца [2].
Согласно современной классификации ЛГ подразделяется на 5 основных групп [1–3]. Причиной первичной ЛГ является повреждение эндотелия легочных сосудов. Исследования, проведенные в последнее время, выявили ген семейной первичной легочной артериальной гипертензии (ЛАГ) BMPR-II, регулирующий рост и пролиферацию клеток и локализованный на 2q33 хромосоме [4, 5]. К развитию вторичной ЛГ приводят врожденные пороки сердца, коллагенозы, наличие тромба в ЛА, хронические обструктивные заболевания легких [3]. У большинства пациентов c ЛГ выявляется тромбоз in situ, развивающийся в результате нарушения функции эндотелия. В эндотелии сосудов легких нарушается соотношение метаболитов простациклина и тромбоксана в сторону усиления активности тромбоксана. Снижается синтез эндотелием основного вазодилататора оксида азота (NO), при этом значительно возрастает продукция эндотелиальными клетками вазоконстриктора эндотелина [4–6].
Морфологически при идиопатической ЛГ поражению подвергаются мелкие артерии и артериолы легких [1, 4]. Первоначальные изменения на ранних этапах ЛГ являются обратимыми (пролиферация клеточных элементов в интиме, мускуляризация среднего слоя), а по мере прогрессирования ЛГ появляются необратимые поражения в виде концентрического фиброза и фиброэластоза с проксимальным расположением плексогенных структур [7–9]. В некоторых случаях идиопатической ЛАГ (иЛАГ) выявляются признаки некротизирующего артериита с острым фибриноидным некрозом медии, а также для больных иЛАГ характерно наличие тромботических масс в ЛА мышечного типа и артериолах на различных стадиях организации [4, 7].
По эпидемиологическим данным, заболеваемость в разных странах составляет 1–2 случая на 1 млн населения в год [2, 4, 7, 10, 11]. Так, иЛАГ может манифестировать в любом возрасте, обычно средний возраст дебюта составляет 36 лет, а соотношение мужчин и женщин примерно 1:1,7 [7]. В настоящее время иЛАГ все чаще диагностируют у пациентов более пожилого возраста, средний возраст на момент диагностики составляет 50–65 лет [2, 7]. По данным российского регистра средний возраст на момент установления диагноза иЛАГ составил 31,2 года, а соотношение мужчин и женщин – 1:6,5. Период от проявления первых симптомов заболевания до верификации диагноза иЛАГ составил около 2 лет [2, 7].
Основные жалобы у пациентов с ЛАГ – на одышку, повышенную утомляемость и слабость, боль в груди, синкопальные состояния, перебои в работе сердца, кашель и кровохарканье, отеки нижних конечностей [1, 2, 4, 12].
Наиболее распространенным симптомом иЛАГ является одышка, особенно при физической нагрузке, которая может сопровождаться болью в области сердца, головокружениями и эпизодами потерь сознания. Одышка связана с уменьшением минутного объема сердца при физической нагрузке, рефлекторным возбуждением дыхательного центра в ответ на увеличение давления в ЛА с барорецепторов сосудистой стенки, а также нарушением газового состава крови [1, 3, 4, 7]. Боль в грудной клетке при иЛАГ, как правило, носит давящий, ноющий, колющий или сжимающий характер, обычно усиливается при физической нагрузке. Такая боль очень похожа на боли при ишемической болезни сердца. У некоторых пациентов отмечаются типичные приступы стенокардии [4, 7, 12, 13]. Анализ жалоб 53% пациентов с иЛАГ с болью в грудной клетке показал, что у 12% из них были типичные приступы стенокардии [12]. Дилатация ЛА может приводить к осиплости голоса вследствие сдавления возвратного гортанного нерва [1, 14].
В возникновении грудной боли могут играть роль следующие факторы [1, 15]:
- уменьшение сердечного выброса и снижение давления в коронарных артериях (КА), особенно при физической нагрузке, когда минутный объем сердца увеличивается неадекватно нагрузке;
- выраженная гипертрофия правого желудочка (ПЖ) с развитием относительной коронарной недостаточности за счет низкого минутного объема и повышенных потребностей миокарда в кислороде, а также относительно слабого развития коронарных коллатералей;
- перерастяжение ЛА в связи с выраженной ЛГ.
Дилатация ЛА встречается в 76,6% случаев [16], что может сопровождаться сдавлением ствола левой КА (ЛКА). Сдавление ствола ЛКА расширенным стволом ЛА часто может быть причиной стенокардии при ЛАГ [15, 17]. Наряду со стенокардией компрессия ствола ЛКА может стать причиной тяжелой ишемии миокарда [18], аритмии и, в конечном итоге, внезапной смерти [19–23]. Впервые это осложнение описали Е. Corday и соавт. в 1957 г. [24]. Истинная распространенность синдрома сдавления ствола ЛКА у пациентов с ЛАГ остается неизвестной. По данным разных авторов, сдавление ствола ЛКА при ЛГ наблюдается от 5 до 44% случаев (19% – в случае иЛАГ), и это сдавление примерно в 41% случаев клинически проявляется болью в грудной клетке [12, 25, 26]. По данным N. Galie и соавт., распространенность случаев сдавления ствола ЛКА стволом ЛА находится в пределах от 6% в популяции всех пациентов с ЛАГ до 39,7% у пациентов с ЛАГ, имеющих симптомы стенокардии. По данным N. Galie соавт., распространенность синдрома сдавления ствола ЛКА в популяции больных ЛАГ с симптомами стенокардии – порядка 50% случаев [15, 22]. По их данным, из 765 больных ЛАГ у 121 (16%) были жалобы на боли за грудиной. Из них по данным мультиспиральной компьютерной томографии (МСКТ) – коронарографии у 94 (78%) обнаружена компрессия ЛКА расширенным стволом ЛА. К предикторам развития компрессии ЛКА относятся диаметр ствола ЛА более 40 мм и соотношение диаметров ЛА к аорте более 1,5 [22].
В большинстве случаев ЛАГ не сопровождается наличием ишемической болезни сердца, в связи с чем редко осуществляется коронарная ангиография, что приводит к несвоевременной постановке диагноза. Обычно при подозрении на стеноз ствола ЛКА рекомендуют выполнение коронарной ангиографии с последующим проведением МСКТ – коронарной ангиографии [15, 21, 27]. По данным А.Н. Быкова [12], распространенность синдрома сдавления ствола ЛКА у пациентов с иЛАГ составила 22% в популяции всех пациентов и 36% – у пациентов с иЛАГ, имеющих симптомы стенокардии. Авторы рекомендуют рассмотреть этот синдром в дифференциальном диагнозе стенокардии или систолической дисфункции левого желудочка (ЛЖ) у пациентов с тяжелой ЛАГ [28]. Так, Y. Choi и соавт. описывают пациента с ЛГ, клинической стенокардией и синдромом сдавления ствола ЛКА стволом ЛА, которому успешно выполнено чрескожное коронарное вмешательство (ЧКВ) с имплантацией стента, что продемонстрировало необходимость проведения коронарной ангиографии с перспективой ЧКВ у пациентов с ЛГ, страдающих стенокардией или дисфункцией ЛЖ [25]. Дилатация ствола ЛА является серьезным последствием ЛГ и обычно диагностируется при проведении эхокардиографического исследования, а также при проведении компьютерной томографии (КТ). При наличии существенной дилатации ствола ЛА необходимо провести дополнительную оценку, чтобы исключить синдром сдавления ствола ЛКА, особенно у пациентов со стенокардией, поскольку вероятность сдавления ЛКА у пациентов с ЛАГ напрямую коррелирует как с диаметром ЛА, так и с соотношением диаметра ЛА к диаметру аорты [21, 29]. У L. Kajita и соавт. [20] в серии случаев, где везде присутствовал синдром сдавления ствола ЛКА, среднее значение отношения диаметра легочного ствола к диаметру аорты составило 2,0. Подтверждая вышесказанное, S. Mesquita и соавт. [29] сообщили, что в группе пациентов с ЛГ средний диаметр ЛА составлял 55 мм, а среднее отношение диаметра корня легочного ствола к аорте – 1,98 у пациентов с синдромом сдавления ствола ЛКА в сравнении с теми пациентами, у которых отсутствовал данный синдром, с показателями 37 и 1,46 мм соответственно. В исследование были включены 36 пациентов с ЛАГ (идиопатическая, ассоциированная с врожденным пороком сердца). Синдром сдавления ствола ЛКА подтвержден ангиографически как обструкция ствола ЛКА≥50%. Диаметр ЛА и аорты измерялся трансторакальной эхокардиографией (ЭхоКГ). Из 26 пациентов, имеющих клинику стенокардии, 7 были с компрессией ствола ЛКА. Компрессия была связана с диаметром ЛА (p=0,002) и отношением диаметра ствола ЛА к диаметру аорты (p=0,02). Компрессия не наблюдалась при диаметре ЛА<40 мм; среди 19 пациентов с диаметром ЛА≥40 мм частота компрессии составила 37%. Аналогично компрессия не происходила при отношении диаметра ствола ЛА к аорте <1,21; среди 27 пациентов с коэффициентом ≥1,21 частота компрессии составила 26%. Е. Demerouti и соавт. [30] в своей работе подчеркнули связь диаметра ствола ЛА с синдромом сдавления ствола ЛКА, а также связь расстояния между стволами легочной и ЛКА и наличием сдавления ЛКА, измеряемых с помощью КТ-ангиографии. Компрессия ЛКА у пациентов с ЛГ чаще всего встречается при низком расположении левого коронарного синуса аорты и отхождении ЛКА под острым углом [12, 15, 20, 31]. Факторами риска возможного сдавления ствола ЛКА при ЛАГ являются возраст, значительное расширение ствола ЛА (более 40 мм) и соотношение ствол ЛА/диаметр аорты более 1,2 [16, 29]. Коронароангиография считается «золотым стандартом» для окончательной диагностики синдрома сдавления ствола ЛКА [32]. Восстановление проходимости ствола ЛКА путем выполнения ЧКВ со стентированием и лечение ЛГ ЛАГ-специфическими препаратами привело к значительному улучшению сердечной функции и качества жизни пациентов, а также уменьшению проявления стенокардии. У пациентов с высокой ЛГ транскатетерные методы лечения более оправданны, безопасны и эффективны [17]. По данным N. Galie и соавт., у пациентов с ЛАГ частота рестенозов в стенте составляет около 11% [22].
Описание клинического случая
Пациентка П. 1975 г. р. поступила в отделение 25.05.2020 с жалобами на одышку при умеренной физической нагрузке, периодически давящие боли за грудиной, сердцебиение, слабость, утомляемость. Из анамнеза известно: считает себя больной с декабря 2019 г., когда появилась одышка при нагрузках, боли в грудной клетке при нагрузках, отеки ног. На протяжении нескольких лет страдает АГ, гипотиреозом. Избыточная масса тела. В детстве дважды перенесла пневмонию и инфекционный мононуклеоз. С предварительным диагнозом: ишемическая болезнь сердца. Стенокардия напряжения. III функциональный класс (ФК). Гипертоническая болезнь III стадии. Риск 4. Выраженная трикуспидальная недостаточность. Легочная гипертензия. ХСН IIА. ФК III пациентка направлена ФГБУ «НМИЦ им. акад. Е.Н. Мешалкина» для обследования и верификации диагноза. Рекомендованная терапия: Диувер 5 мг утром, Верошпирон 25 мг утром, Кораксан 5 мг по 2 раза, эналаприл 2,5 мг вечером, клопидогрел 75 мг утром, Тромбо АСС 100 мг в обед, L-Тироксин 50 мкг утром.
Объективно: рост 151 см, вес 62 кг. Индекс массы тела – 27,2. Частота сердечных сокращений (ЧСС) 102 в 1 мин, частота дыхания – 16 в мин. Артериальное давление (АД) – 120/90 мм рт. ст. Дистанция теста 6-минутной ходьбы составила 195 м. Анализы крови и мочи без отклонений. NT-proBNP – 1497 пг/мл. По электрокардиограмме – ритм синусовый, тахикардия. Отклонение электрической оси сердца вправо. Признаки блокады правой ножки пучка Гиса. Нарушение процессов реполяризации миокарда ЛЖ сердца. Патологии щитовидной железы, бронхолегочной системы, системных заболеваний, ВИЧ-инфекции и гепатита нет. Холтеровское мониторирование электрокардиограммы – наджелудочковой и желудочковой эктопической активности, а также ишемических изменений не выявлено. По данным ЭхоКГ от 25.05.2020 расширены правые отделы сердца (ПЖ – 4,8 см), парадоксальное движение межжелудочковой перегородки, кинез миокарда ПЖ диффузно снижен, трикуспидальная регургитация 2–3-й степени по распространению, умеренная по объему, V. contracta 0,8 см, систолическое давление в ЛА 125 мм рт. ст., среднее давление в ЛА 69 мм рт. ст., фракционное изменение площади ПЖ 25%, TAPSE 1,3 см, фракция выброса ЛЖ 74%. Ствол ЛА (3,8 см) и ее ветви расширены.
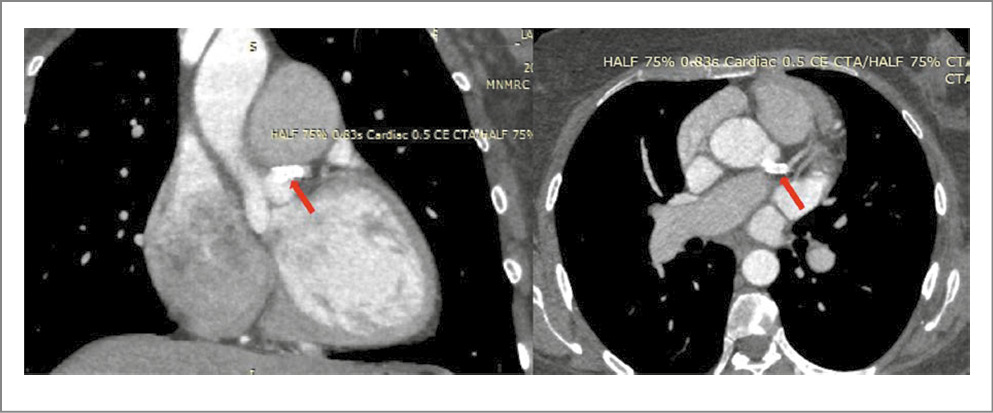
28.05.2020 проведено МСКТ-исследование легких с ангиографией ЛА. По данным проведенного исследования признаков окклюзионно-стенотического поражения ЛА не выявлено, диаметр ствола ЛА 37 мм, косвенные признаки высокой ЛГ, расширение полостей правых отделов сердца. Подозрение на изгиб устья ствола ЛКА. По данным катетеризации правых отделов сердца давление в ЛА 101/75/84 мм рт. ст., давление заклинивания ЛА 10 мм рт. ст., сердечный выброс 4,6 л/мин, ЛСС 1322 дин/см/с-5. Вазореактивный тест отрицательный. По данным коронарографии (29.05.2020) определяется сужение до 85% в устье ствола ЛКА за счет компрессии расширенной ЛА (рис. 1).
Рис. 1. а – коронарография; зона стеноза ствола ЛКА указана белой стрелкой; б – коронарография и ангиопульмонография; зона стеноза ствола ЛКА указана белой стрелкой; контуры расширенной ЛА указаны красными стрелками.
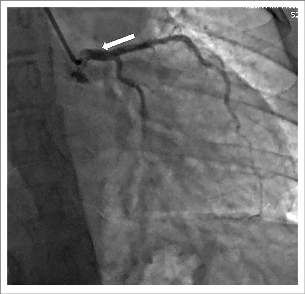
На основании клинических данных и результатов комплексного обследования установлен диагноз: иЛАГ. Стеноз ствола ЛКА за счет компрессии расширенной ЛА. Недостаточность трикуспидального клапана 2-й степени. Хроническая СН2а. ФК3 (Всемирная организация здравоохранения). Учитывая жалобы, высокую степень ЛГ, данные коронарографии, консилиумом принято решение о выполнении эндоваскулярной операции. Поэтому 01.06.2020 выполнена чрескожная транслюминальная коронарная ангиопластика со стентированием ствола ЛКА стентом Калипсо 4,0×11 мм (рис. 2).
Рис. 2. Коронарография. Стентированный сегмент ствола ЛКА указан белой стрелкой.
Послеоперационный период протекал без осложнений, ангинозные боли не рецидивировали, одышка уменьшилась. Состояние без отрицательной динамики. Ходьбу по коридору отделения переносит удовлетворительно. Электрокардиограмма: ритм синусовый, без отрицательной динамики ST-T. По биохимическим анализам крови: уровень кардиоспецифических острофазовых ферментов, азотемия в норме. Пациентка выписана под наблюдение кардиолога по месту жительства 05.06.2020 с рекомендациями продолжить двойную дезагрегантную терапию.
Комплексная оценка клинико-функциональных показателей показала, что пациентка соответствовала зоне промежуточно-высокого риска ЛГ. В связи с этим назначена двойная ЛАГ-специфическая терапия: мацитентан (Опсамит) по 10 мг 1 раз в день и риоцигуат (Адемпас), подбор дозы препарата путем титрации в зависимости от уровня АД. В результате титрования препарата максимальная доза риоцигуата составила 2,5 мг 3 раза в сутки.
21.03.2022 пациентка поступила для контрольного обследования. На фоне лечения ее состояние заметно улучшилось. Уменьшились одышка, признаки СН, повысилась толерантность к физической нагрузке, ангинозные боли исчезли. Беспокоила одышка и повышенная утомляемость при физических нагрузках. Ноги не отекают. Обмороков не было. АД 110/80 мм рт. ст. Продолжает принимать Диувер 10 мг утром, Верошпирон 25 мг утром, клопидогрел 75 мг утром, L-Тироксин 75 мкг утром, Беталок ЗОК 25 мг. Помимо базисной диуретической и дезагрегантной терапии пациентка принимает риоцигуат (Адемпас) в дозировке 2,5 мг 3 раза в сутки и мацитентан 10 мг 1 раз в день.
При осмотре ЧСС 72 в 1 мин, АД 120/80 мм рт. ст. Насыщение капиллярной крови кислородом 98%. NT-proBNP – 118 пг/мл. Электрокардиограмма – ритм синусовый с ЧСС 66 в 1 мин, отклонение электрической оси сердца вправо. Признаки блокады правой ножки пучка Гиса. Нарушение внутрижелудочкой проводимости. Дистанция теста 6-минутной ходьбы составила 305 м. По данным ЭхоКГ (23.03.2022) увеличены правые отделы сердца (ПЖ – 3,7 см). Зон гипо-, акинезии нет. Глобальная сократительная функция миокарда ЛЖ не нарушена. Нарушений сегментарной сократительной способности не выявлено. ФВ ЛЖ сердца – 76%. Сократительная способность ПЖ не снижена. Конечно-диастолический объем ПЖ 58 мл, фракционное изменение площади ПЖ 41%. TAPSE 2,0 см. Толщина свободной стенки ПЖ 0,6 см. Створки трикуспидального клапана тонкие, трикуспидальная регургитация 1-й степени, двумя потоками, минимальная по объему. Нижняя полая вена не расширена, коллабирует на вдохе более 50%. Ствол ЛА (3,3 см) и ее ветви расширены. Расчетное систолическое давление в ЛА – 69 мм рт. ст., среднее – 33 мм рт. ст. Свободной жидкости в полости перикарда, плевральных синусах не выявлено.
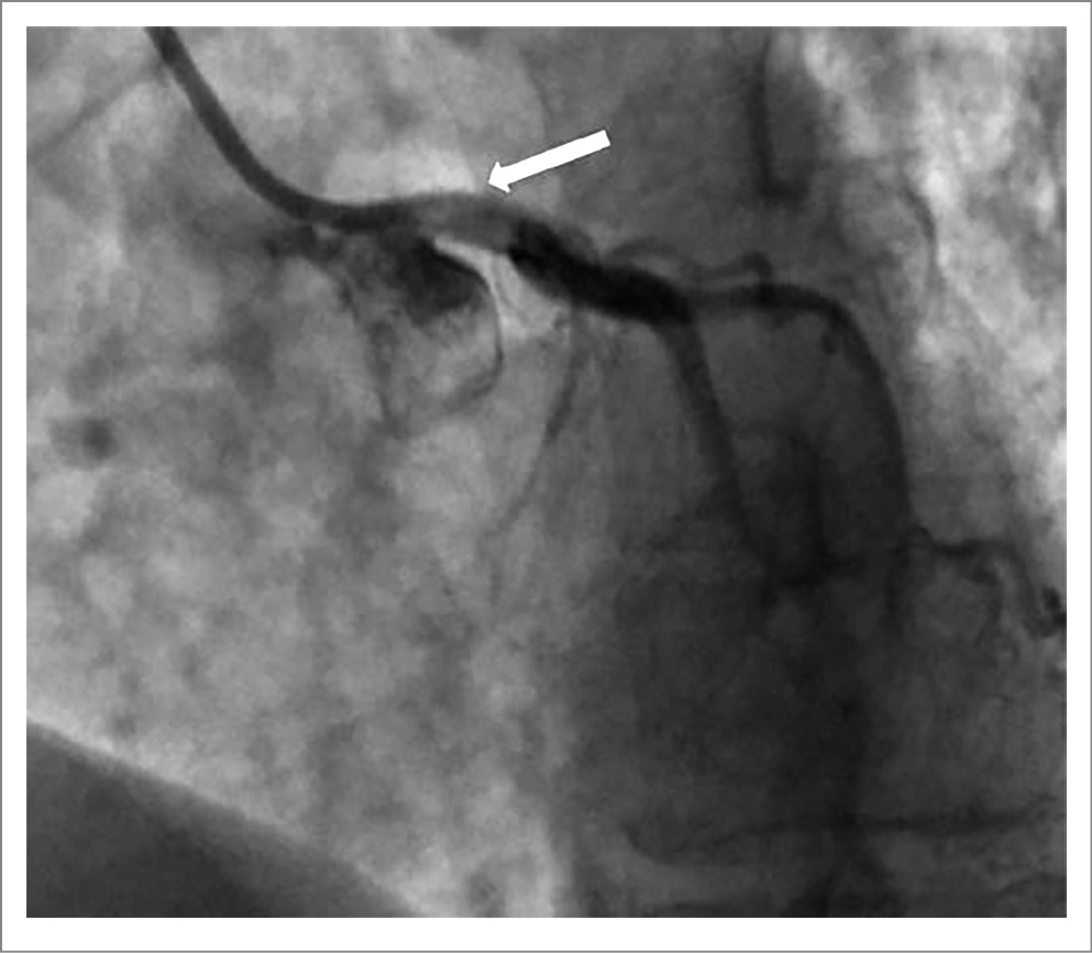
По данным катетеризации правых отделов сердца давление в ЛА 81/35/50 мм рт. ст., давление заклинивания ЛА 9 мм рт. ст., сердечный выброс 3,9 л/мин, ЛСС 841 дин/см/с-5. По данным контрольной коронарографии от 24.03.2022 стентированный сегмент ствола ЛКА без признаков рестеноза (рис. 3).
Рис. 3. Контрольная коронарография. Стентированный сегмент ствола ЛКА указан белой стрелкой.
По данным контрольной КТ-коронарографии (25.03.2022) также отмечено отсутствие рестеноза в стентированном сегменте (рис. 4).
Рис. 4. КТ-коронарография. Зона стентированного сегмента ствола ЛКА отмечена красной стрелкой.
При оценке функции внешнего дыхания форсированная жизненная емкость легких и объем форсированного выдоха за 1-ю секунду снижены. Жизненная емкость в пределах нормы. Отмечается снижение пиковой скорости форсированного экспираторного выдоха и скорости форсированного экспираторного потока на уровне всех бронхов. Индекс Тиффно 72% (в пределах нормы). Остаточный и дыхательный объемы легких увеличены. По данным бодиплетизмографии выявлены умеренные нарушения функции внешнего дыхания по смешанному типу с преобладанием обструктивного компонента. Зарегистрированы признаки гипервентиляции легких за счет увеличения дыхательного объема. Диффузионная способность легких незначительно снижена (70% от должного). Остаточный объем и общая емкость легких в пределах нормы. Индекс воздушности умеренно увеличен. По данным эргоспирометрии в покое выявлено умеренное снижение эффективности легочной вентиляции – коэффициент использования кислорода составил 26,1 мл/л. Потребление кислорода в покое 2,8 мл/мин/кг (96% от должного). Физическая работоспособность соответствует 3 ФК. Толерантность к физической нагрузке ниже средней. Анаэробный порог достигнут при мощности нагрузки 29 Вт. Пиковое потребление кислорода составило 12,7 мл/мин/кг (55% от должного).
Рекомендовано постоянное наблюдение кардиолога по месту жительства, контроль электрокардиограммы, эхокардиограммы, BNP, продолжить терапию СН, двойную ЛАГ-специфическую терапию.
Таким образом, данный клинический случай демонстрирует сложный путь диагностики и лечения редкого осложнения – стеноза ствола ЛКА за счет компрессии расширенной ЛА у пациента с высокой ЛГ. Высокая вероятность компрессии ЛКА при идиопатической ЛГ возможна у пациентов с расширением ЛА более 40 мм, диагностированным при стандартной ЭхоКГ. Комплексная оценка диаметра ЛА, соотношения диаметров ЛА и аорты, а также угла отхождения ЛКА от левого коронарного синуса позволяет выявить пациентов с подозрением на компрессию ЛКА. В этих случаях необходимо катетеризацию правых отделов сердца сочетать с проведением коронарографии. При выявлении гемодинамически значимых стенозов при наличии клиники стенокардии или ее эквивалентов целесообразны выполнение стентирования ЛКА и ЛАГ-специфическая терапия, направленная на коррекцию общелегочного сопротивления. Предложенная стратегия лечения (ангиопластика со стентированием ствола ЛКА и ЛАГ-специфическая терапия) позволила не только добиться снижения давления в ЛА, но и полностью нивелировать жалобы на стенокардию, минимизировав риск развития острого коронарного синдрома. Показано постоянное наблюдение кардиолога по месту жительства каждые 3–6 мес и проведение клинико-функционального обследования с целью стратификации риска ЛГ.
Раскрытие интересов. Авторы декларируют отсутствие явных и потенциальных конфликтов интересов, связанных с публикацией настоящей статьи.
Disclosure of interest. The authors declare that they have no competing interests.
Вклад авторов. Авторы декларируют соответствие своего авторства международным критериям ICMJE. Все авторы в равной степени участвовали в подготовке публикации: разработка концепции статьи, получение и анализ фактических данных, написание и редактирование текста статьи, проверка и утверждение текста статьи.
Authors’ contribution. The authors declare the compliance of their authorship according to the international ICMJE criteria. All authors made a substantial contribution to the conception of the work, acquisition, analysis, interpretation of data for the work, drafting and revising the work, final approval of the version to be published and agree to be accountable for all aspects of the work.
Источник финансирования. Авторы декларируют отсутствие внешнего финансирования для проведения исследования и публикации статьи.
Funding source. The authors declare that there is no external funding for the exploration and analysis work.
Информированное согласие на публикацию. Пациент подписал форму добровольного информированного согласия на публикацию медицинской информации.
Consent for publication. Written consent was obtained from the patient for publication of relevant medical information and all of accompanying images within the manuscript.
Источник финансирования. Авторы декларируют отсутствие внешнего финансирования для проведения исследования и публикации статьи.
Funding source. The authors declare that there is no external funding for the exploration and analysis work.
Об авторах
Сергей Николаевич Иванов
ФГБУ «Национальный медицинский исследовательский центр им. акад. Е.Н. Мешалкина» Минздрава России
Автор, ответственный за переписку.
Email: s_ivanov@meshalkin.ru
ORCID iD: 0000-0001-6439-1774
д-р мед. наук, проф., врач-кардиолог консультативно-диагностического отд-ния, вед. нуч. сотр. отд. новых хирургических технологий Института патологии кровообращения ФГБУ «НМИЦ им. акад. Е.Н. Мешалкина»
Россия, НовосибирскАлександр Геннадьевич Едемский
ФГБУ «Национальный медицинский исследовательский центр им. акад. Е.Н. Мешалкина» Минздрава России
Email: a_edemskiy@meshalkin.ru
ORCID iD: 0000-0002-6661-7826
врач – сердечно-сосудистый хирург кардиохирургического отд-ния аорты и коронарных артерий ФГБУ «НМИЦ им. акад. Е.Н. Мешалкина»
Россия, НовосибирскОксана Ярославна Васильцева
ФГБУ «Национальный медицинский исследовательский центр им. акад. Е.Н. Мешалкина» Минздрава России
Email: vasiltseva_o@meshalkin.ru
ORCID iD: 0000-0002-2932-3159
д-р мед. наук, вед. науч. сотр. научно-исследовательского отд. хирургии аорты, коронарных и периферических артерий Института патологии кровообращения ФГБУ «НМИЦ им. акад. Е.Н. Мешалкина»
Россия, НовосибирскАлександр Михайлович Чернявский
ФГБУ «Национальный медицинский исследовательский центр им. акад. Е.Н. Мешалкина» Минздрава России
Email: a_cherniavsky@meshalkin.ru
ORCID iD: 0000-0001-9818-8678
чл.-кор. РАН, д-р мед. наук, проф., ген. дир. ФГБУ «НМИЦ им. акад. Е.Н. Мешалкина», засл. деятель науки РФ
Россия, НовосибирскМария Владимировна Калашникова
ГБУЗ «Сахалинская областная клиническая больница»
Email: m.kalashnikova@sakhalin.gov.ru
зам. глав. врача Регионального сосудистого центра ГБУЗ СОКБ
Россия, Южно-СахалинскСветлана Валерьевна Селецкая
ГБУЗ «Сахалинская областная клиническая больница»
Email: cardiolog.seletskaya86@gmail.com
ORCID iD: 0000-0002-1275-7807
врач-кардиолог отд-ния кардиологии 1 ГБУЗ СОКБ
Россия, Южно-СахалинскСписок литературы
- Мартынюк Т.В. Легочная гипертензия: диагностика и лечение. М.: МИА, 2018 [Martyniuk TV. Legochnaia gipertenziia: diagnostika i lechenie. Moscow: MIA, 2018 (in Russian)].
- Humbert M, Kovacs G, Hoeper M, et al. 2022 ESC/ERS Guidelines for the diagnosis and treatment of pulmonary hypertension. Eur Heart J. 2022;43(38):3618-731. doi: 10.1093/eurheartj/ehac237
- Чазова И.Е., Мартынюк Т.В., Валиева З.С., и др. Евразийские клинические рекомендации по диагностике и лечению легочной гипертензии. Евразийский кардиологический журнал. 2020;1:78-122 [Chazova IE, Martyniuk TV, Valieva ZS, et al. Evraziiskie klinicheskie rekomendatsii po diagnostike i lecheniiu legochnoi gipertenzii. Evraziiskii kardiologicheskii zhurnal. 2020;1:78-122 (in Russian)].
- Беленков Ю.Н., Чазова И.Е. Первичная легочная гипертензия. М.: Нолидж, 1999 [Belenkov IuN, Chazova IE. Pervichnaia legochnaia gipertenziia. Moscow: Nolidzh, 1999 (in Russian)].
- Чазова И.Е., Мартынюк Т.В. Легочная гипертензия. М.: Практика, 2015 [Chazova IE, Martyniuk TV. Legochnaia gipertenziia. Moscow: Praktika, 2015 (in Russian)].
- Thenappan N, Ormiston ML, Ryan JJ, Archer SL. Pulmonary arterial hypertension: pathogenesis and clinical management. BMJ. 2018;360:j5492. doi: 10.1136/bmj.j5492
- Чазова И.Е., Архипова О.А., Мартынюк Т.В. Легочная артериальная гипертензия в России: анализ шестилетнего наблюдения по данным Национального регистра. Терапевтический архив. 2019;91(1):10-31 [Chazova IE, Arkhipova OA, Martynyuk TV. Pulmonary arterial hypertension in Russia: six-year observation analysis of the National Registry. Terapevticheskii Arkhiv (Ter. Arkh.). 2019;91(1):10-31 (in Russian)]. doi: 10.26442/00403660.2019.01.000024
- Humbert M, Guignabert C, Bonnet S, et al. Pathology and pathobiology of pulmonary hypertension: state of the art and research perspectives. Eur Respir J. 2019;53:1801887. doi: 10.1183/13993003.01887-2018
- Simonneau G, Montani D, Celermajer DS, et al. Haemodynamic definitions and updated clinical classification of pulmonary hypertension. Eur Respir J. 2019;53(57):1801913. doi: 10.1183/13993003.01913-2018
- Escribano-Subias P, Blanco I, Lopez-Meseguer M, et al. Survival in pulmonary hypertension in Spain: insights from the Spanish registry. Eur Respir J. 2012;40:596-603.
- Peacock AJ, Murphy NF, McMurray JJ, et al. An epidemiological study of pulmonary arterial hypertension. Eur Respir J. 2007;30:104-9.
- Быков А.Н. Клинико-анатомические особенности коронарного кровотока у пациентов с идиопатической легочной артериальной гипертензией: дис. ... канд. мед. наук. Екатеринбург, 2019 [Bykov AN. Kliniko-anatomicheskie osobennosti koronarnogo krovotoka u patsientov s idiopaticheskoi legochnoi arterial'noi gipertenziei: dis. ... kand. med. nauk. Ekaterinburg, 2019 (in Russian)].
- van Wolferen SA, Marcus JT, Westerhof N, et al. Right coronary artery flow impairment in patients with pulmonary hypertension. Eur Heart J. 2008;29:120-7.
- Akbal OY, Kaymaz C, Tanboga IH, et al. Extrinsic compression of left main coronary artery by aneurysmal pulmonary artery in severe pulmonary hypertension: its orrelates, clinical impact, and management strategies. Eur Heart J Cardiovasc Imaging. 2018;19(11):1302-8. doi: 10.1093/ehjci/jex303
- Симакова М.А., Марукян Н.В., Гуков К.Д., и др. Компрессия ствола левой коронарной артерии аневризмой ствола легочной артерии у пациентов с длительно существующей легочной артериальной гипертензией. Кардиология. 2018;58:22-32 [Simakova MA, Marukian NV, Gukov KD, et al. Kompressiia stvola levoi koronarnoi arterii anevrizmoi stvola legochnoi arterii u patsientov s dlitel'no sushchestvuiushchei legochnoi arterial'noi gipertenziei. Kardiologiia. 2018;58:22-32 (in Russian)].
- Demerouti EA, Manginas AN, Athanassopoulos GD, Karatasakis GT. Complications Leading to Sudden Cardiac Death in Pulmonary Arterial Hypertension. Respir Care. 2013;58(7):1246-54. doi: 10.4187/respcare.02252
- Kushner FG, Hand M, Smith SC, et al. 2009 Focused Updates: ACC/AHA Guidelines for the Management of Patients With ST-Elevation Myocardial Infarction (Updating the 2004 Guideline and 2007 Focused Update) and ACC/AHA/SCAI Guidelines on Percutaneous Coronary Intervention (Updating the 2005 Guideline and 2007 Focused Update): A Report of the American College of Cardiology Foundation/American Heart Association Task Force on Practice Guidelines. Circulation. 2009;120(22):2271-306. doi: 10.1161/CIRCULATIONAHA.109.192663
- Vaseghi M, Lee JS, Currier JW. Acute myocardial infarction secondary to left main coronary artery compression by pulmonary artery aneurysm in pulmonary arterial hypertension. J Invasive Cardiol. 2007;19(12):E375-7.
- Demerouti E, Manginas A, Athanassopoulos G, et al. Complications leading to sudden cardiac death in pulmonary arterial hypertension. Respir Care. 2013;58:1246-54.
- Kajita L, Martinez E, Ambrose J, et al. Extrinsic compression of the left main coronary artery by a dilated pulmonary artery: clinical, angiographic, and hemodynamic determinants. Catheter Cardiovasc Interv. 2001;52(1):49-54.
- Dodd J, Maree A, Palacios I, et al. Images in cardiovascular medicine. Left main coronary artery compression syndrome: evaluation with 64-slice cardiac multidetector computed tomography. Circulation. 2007;115:e7-8.
- Galiè N, Saia F, Palazzini M, et al. Left Main Coronary Artery Compression in Patients with Pulmonary Arterial Hypertension and Angina. J Am Coll Cardiol. 2017;69(23):2808-17.
- Tespili M, Saino A, Personeni D, et al. Life-threatening left main stenosis induced by compression from a dilated pulmonary artery. J Cardiovasc Med (Hagerstown). 2009;10(2):183-7.
- Corday E, Gold H, Kaplan L, аt al. Coronary artery compression: an explanation for the cause of coronary insufficiency in pulmonary hypertension. Trans Am Coll Cardiol. 1957;7:93-103.
- Choi Y-J, Kim U, Lee J-S, et al. A Case of Extrinsic Compression of the Left Main Coronary Artery Secondary to Pulmonary Artery Dilatation. J Korean Med Sci. 2013;28(10):1543-8.
- Kawut SM, Silvestry FE, Ferrari VA, et al. Extrinsic compression of the left main coronary artery by the pulmonary artery in patients with long-standing pulmonary hypertension. Am J Cardiol. 1999;83(6):984-6.
- Dakkak W, Tonelli AR. Compression of adjacent anatomical structures by pulmonary artery dilation. Postgrad Med. 2016;128(5):451-9. doi: 10.1080/00325481.2016.1157442
- Gomez A, Bialostozky D, Zajarias A, et al. Right ventricular ischemia in patients with primary pulmonary hypertension. J Am Coll Cardiol. 2001;38:1137-42.
- Mesquita S, Castro C, Ikari NM, et al. Likelihood of left main coronary artery compression based on pulmonary trunk diameter in patients with pulmonary hypertension. Am J Med. 2004;116:369-74.
- Demerouti E, Manginas A, Petrou E, et al. Cardiac Dual-source Computed Tomography for the Detection of Left Main Compression Syndrome in Patients with Pulmonary Hypertension. Open Cardiovasc Med J. 2016;10:130-7. doi: 10.2174/1874192401610010130
- Godfrey A. A 55-year-old woman with pulmonary hypertension, worsening dyspnea, and chest pain. Chest. 2014;145(3):6425.
- Pina Y, Exaire J, Zarate JS. Left main coronary artery extrinsic compression syndrome: a combined intravascular ultrasound and pressure wire. J Invasive Cardiol. 2006;18(3):102-4.
Дополнительные файлы







