Клинический случай пациентки с аномалией развития внутреннего уха и рефрактерной стимуляцией лицевого нерва после перенесенной коронавирусной инфекции и менингита
- Авторы: Кузовков В.Е.1, Левин С.В.1,2, Лиленко А.С.1, Сугарова С.Б.1, Танасчишина В.А.1, Корнева Ю.С.1
-
Учреждения:
- ФГБУ «Санкт-Петербургский научно-исследовательский институт уха, горла, носа и речи» Минздрава России
- ФГБОУ ВО «Северо-Западный государственный медицинский университет им. И.И. Мечникова» Минздрава России
- Выпуск: Том 25, № 3 (2023): Оториноларингология и пульмонология
- Страницы: 168-172
- Раздел: Статьи
- Статья опубликована: 15.03.2023
- URL: https://consilium.orscience.ru/2075-1753/article/view/473942
- DOI: https://doi.org/10.26442/20751753.2023.3.202106
- ID: 473942
Цитировать
Полный текст
Аннотация
Введение. Благодаря развитию технологий и разработке новых хирургических подходов к проведению кохлеарной имплантации (КИ) стало возможным ее проведение пациентам с аномалиями развития внутреннего уха. Опыт проведения данного вида реабилитации насчитывает более 15 лет в отечественной практике и более 20 лет в мировой. К сожалению, пандемия COVID-19 добавила не только еще одну причину глухоты, но и этиологический фактор осложнений, в том числе связанных с периферической иннервацией лицевого нерва и риском возникновения асептического менингита. Клинический случай сочетания всех этиологических факторов стимуляции лицевого нерва (СЛН) ранее не описан в научной литературе.
Цель. Описание клинического случая СЛН у пользователя КИ с аномалией развития внутреннего уха и перенесенной коронавирусной инфекцией, осложнившейся менингитом.
Материалы и методы. В ФГБУ СПб НИИ ЛОР пациентке 4 лет с аномалией развития внутреннего уха (неполное разделение улитки II) в 2017 г. выполнена КИ на правом ухе. В мае 2022 г. девочка поступила в инфекционное отделение лечебно-профилактического учреждения с диагнозом: коронавирусная инфекция (подтвержденная), тяжелое течение; осложнение: менингоэнцефалит гнойный. После выздоровления у пациентки осталось подергивание мимической мускулатуры при использовании речевого процессора кохлеарного импланта. С целью коррекции возникшего неслухового ощущения ребенок направлен в ФГБУ СПб НИИ ЛОР на повторную реабилитацию в июне 2022 г. В ходе неоднократных настроек удалось улучшить реакции на звуки. Улучшилось различение фонем. На фоне измененных настроек была зарегис- трирована положительная динамика. Средние пороги слуха с использованием 3-фазной стимуляции составили 42,5 дБ. Однако окончательно устранить реакции со стороны лицевого нерва не удалось, а вынужденные настройки речевого процессора не позволили пациентке достичь достаточной разборчивости речи.
Заключение. Перенесенный менингит после КИ может вызвать увеличение проницаемости тканей внутреннего уха для электрического тока и, как следствие, развитие побочной стимуляции лицевого нерва. Современные технологии позволяют реабилитировать таких пациентов, в том числе с аномалиями развития внутреннего уха. Для повышения эффективности реабилитации используются специальные стратегии кодирования с применением 3-фазной стимуляции.
Ключевые слова
Полный текст
Введение
На сегодняшний день кохлеарная имплантация (КИ) является общепризнанным в мировой практике методом реабилитации лиц с глухотой, позволяющим не только повысить качество жизни пациента, но и интегрировать его в среду слышащих.
Благодаря развитию технологий и разработке новых хирургических подходов к КИ стало возможным ее проведение пациентам с аномалиями развития внутреннего уха. Опыт данного вида реабилитации насчитывает более 15 лет в отечественной практике и более 20 лет в мировой [1, 2].
Однако из-за анатомических особенностей и измененной синтопии лицевого нерва и улитки КИ может сопровождаться рядом трудностей как во время проведения операции, так и во время реабилитации ввиду возникновения неслуховых ощущений.
Стимуляция лицевого нерва (СЛН) является распространенным осложнением после КИ, которое представляет собой вариант неслухового ощущения с диапазоном выраженности от осознания движения мимических мышц на стороне операции до сильного спазма. Причиной данного феномена является побочное воздействие генерируемого кохлеарным имплантом электрического тока во время подключения и эксплуатации речевого процессора. Особенность данного осложнения заключается в непредсказуемости возникновения, поскольку дебют неслухового ощущения может быть как немедленным, так и отсроченным (до 10 лет) [3].
Диапазон частоты встречаемости данного осложнения по данным мировой литературы крайне широк, от 1 до 14,9%, а в более узконаправленном по нозологии (в частности, при кохлеарной форме отосклероза) исследовании сообщалось, что СЛН после КИ достигает 38% [4].
За время наблюдений выдвинуто несколько теорий этиологии СЛН после КИ. Самыми распространенными гипотезами являются: снижение сопротивляемости костной ткани к электрическим раздражителям (при аномалиях улитки, отосклерозе, отосифилисе); низкая сопротивляемость костной ткани у основания модиолуса и необходимость высоких уровней стимуляции кохлеарного импланта (при гипоплазии слуховых нервов, после менингита, перелома височной кости, длительном периоде потери слуха, плохо функционирующих электродах) [2].
Близость лабиринтного сегмента лицевого нерва к восходящему сегменту базального завитка улитки приводит к повышенному риску СЛН, что подтверждается тем фактом, что электроды средней части электродной решетки, ближайшие к лабиринтному сегменту, с наибольшей вероятностью бывают задействованы в СЛН. Было даже выдвинуто предположение, что костное разделение между лицевым нервом и тимпанальной лестницей может разрушаться под давлением электрода, что явилось объяснением признанного феномена пареза лицевого нерва с отсроченным началом. Результаты интраоперационных находок и исследования на животных также показывают низкую сопротивляемость костной ткани в области основания модиолуса, что может приводить к утечке тока из тимпанальной лестницы улитки [3].
Наконец, доказано, что повышенная проводимость в «мягкой», ремоделированной кости при раннем отосклерозе увеличивает частоту СЛН, и предложено использовать препараты фтора, чтобы вызвать «созревание» отосклероза и уменьшить выраженность данного осложнения [5].
В ретроспективном когортном исследовании Y. Rah и соавт. основной целью была оценка корреляции между толщиной костной капсулы улитки и риском возникновения СЛН после КИ. С помощью полученных данных произведена попытка установить основные механизмы и спрогнозировать риск развития данного осложнения на дооперационном этапе. На основании полученных данных авторы пришли к выводу, что тонкая костная капсула улитки может быть причиной СЛН после КИ. При этом толщина костной капсулы могла быть несимметричной, что требовало более тщательного отбора стороны для проведения КИ [6].
I. Aljazeeri и соавт. провели ретроспективный обзор 1700 предоперационных компьютерных томографий (КТ) височных костей пациентов, которым впоследствии проведена КИ в период с января 2010 по январь 2020 г. Авторы сравнили толщину и плотность кости, разделяющей нисходящий сегмент базального завитка улитки и лабиринтный сегмент канала лицевого нерва у пациентов со СЛН после КИ и у пользователей кохлеарных имплантов без данного осложнения. Измерена толщина в аксиальной и коронарной плоскостях, а также плотность кости, разделяющей базальный завиток улитки и лабиринтный участок канала лицевого нерва. На основе полученных данных сделан вывод, что у пациентов с СЛН выявлены значительно меньшие расстояние между базальным завитком улитки и лабиринтным сегментом канала лицевого нерва и плотность костной ткани в этой области [7].
B. Papsin обнаружил, что у большинства – 80% (8 из 10) – пациентов с аномалиями развития улитки отмечена индуцируемая СЛН. Наличие аномалий улитки является фактором риска аберрантной СЛН, препятствующим программированию оптимальных уровней стимуляции речевого процессора по сравнению с детьми с нормальной улиткой [8].
H. Kempf и соавт. обнаружили, что у большинства детей со СЛН основной причиной потери слуха был менингит [9].
В нескольких исследованиях высказано предположение, что пониженное сопротивление или повышенная проводимость капсулы лабиринта являются наиболее вероятными причинами СЛН, поскольку создают возможные пути для утечки тока из улитки в другие близлежащие структуры [7, 10, 11].
К сожалению, пандемия COVID-19 добавила не только еще одну причину глухоты, но и этиологический фактор осложнений, в том числе связанных с периферической иннервацией лицевого нерва и риском возникновения асептического менингита [12–15]. Однако клинический случай сочетания всех этиологических факторов ранее не был описан в научной литературе.
Целью данной работы является описание клинического случая СЛН у пользователя КИ с аномалией развития внутреннего уха и перенесенной коронавирусной инфекцией, осложнившейся менингитом.
Материалы и методы
В ФГБУ СПб НИИ ЛОР в 2017 г. обратились родители пациентки Д. 4 лет с жалобами на отсутствие реакции на звуки у ребенка и задержку речевого развития. В ходе обследований выставлен диагноз: двусторонняя хроническая сенсоневральная тугоухость IV степени врожденной этио- логии, вторичное расстройство рецептивной и экспрессивной речи. Резидуальная энцефалопатия. Гипохромная анемия смешанной этиологии легкой степени тяжести. Хроническая цитомегаловирусная инфекция латентного течения. Хроническая вирусная Эпштейна–Барр инфекция латентного течения.
По заключению детского психолога: познавательные способности ребенка в пределах нормы, интеллект сохранен.
На момент отбора кандидата к КИ ребенок был слухопротезирован сверхмощными аппаратами с двух сторон без эффекта.
На КТ височных костей выявлена двусторонняя аномалия развития внутреннего уха в виде неполного разделения улитки II типа (IP 2, аномалия Мондини) справа и аплазия улитки слева (рис. 1). Ввиду невозможности проведения КИ на левом ухе пациентке предложено оперативное вмешательство на правом ухе.
Рис. 1. КТ-картина правой височной кости пациентки перед операцией.
После обследования ребенку проведена КИ на правом ухе классическим доступом через антромастоидотомию и заднюю тимпанотомию с введением активного электрода в спиральный канал через заранее вскрытую мембрану окна улитки. Интраоперационной ликвореи в ходе хирургического вмешательства не наблюдалось. Для операции использован специальный укороченный электрод, имеющий рабочую длину активного электрода 24 мм, разработанный для пациентов с аномалиями развития внутреннего уха. Несмотря на неизмененную анатомию среднего уха, акус- тические рефлексы не получены. Однако при проведении телеметрии нервного ответа реакции получены на 8 электродах из 12.
Послеоперационная трансорбитальная рентгенография подтвердила правильное положение электрода в спиральном канале улитки в классической форме окружности.
При контрольном аудиологическом обследовании через год с момента операции у пациентки обнаружены реакции в свободном звуковом поле на звуки интенсивностью 30–40 дБ в диапазоне частот от 250 до 4000 Гц. Речь пациентки представляла преимущественно односложные и двусложные слова.
С 2017 по 2022 г. девочка стабильно проходила курсы повторной реабилитации согласно рекомендациям.
В мае 2022 г. пациентка поступила в инфекционное отделение лечебно-профилактического учреждения с жалобами на повышение температуры тела до 39ºС, многократную рвоту, головокружение. На фоне нарастающих симптомов впервые выявлено подергивание правого глаза и уголков рта справа, которое купировалось снятием речевого процессора кохлеарного импланта. В ходе обследований, включавших в себя тест полимеразной цепной реакции (ПЦР) на новую коронавирусную инфекцию, вызванную SARS-CoV-2, КТ головного мозга, выставлен диагноз. Основной: коронавирусная инфекция (подтвержденная), тяжелое течение; осложнение: менингоэнцефалит гнойный; сопутствующее: двусторонняя хроническая сенсоневральная тугоухость IV степени, вторичное расстройство рецептивной и экспрессивной речи; резидуальная энцефалопатия; гипохромная анемия смешанной этиологии, средней степени тяжести; хроническая цитомегаловирусная инфекция, фаза обострения (ПЦР+), хроническая вирусная Эпштейна–Барр инфекция, латентная фаза; дисплазия соединительной ткани – дополнительная хорда левого желудочка; постковидный синдром; лабильная артериальная гипертензия, дисметаболическая нефропатия. Пациентке неоднократно проведен бактериологический посев спинномозговой жидкости на микрофлору – ни в одном случае не получено роста флоры. На фоне проводимого лечения отмечалась положительная неврологическая и клинико-лабораторная динамика. Пациентка выписана на долечивание в амбулаторных условиях.
После перенесенной коронавирусной инфекции тяжелой степени с менингоэнцефалитом у ребенка осталось подергивание мимической мускулатуры при использовании речевого процессора кохлеарного импланта.
С целью коррекции возникшего неслухового ощущения девочка направлена в ФГБУ СПб НИИ ЛОР на повторную реабилитацию в июне 2022 г. Во время госпитализации проведена телеметрия кохлеарного импланта, подтверждена работоспособность всех электродов. Среднее значение сопротивления составило 8,11 кОм (минимальное значение – 6,42, максимальное – 10,3), что соответствует нормальным значениям импеданса.
Результаты
В первые сутки госпитализации ввиду выраженного дискомфорта были пробно отключены 2 электрода. Записаны прогрессивные карты настройки, в связи с аномалией улитки использована стратегия кодирования CIS. Максимальные комфортные уровни выставлены по субъективным реакциям пациента, с учетом СЛН. При осмотре ребенка сурдопедагогом выявлено отсутствие реакции на практически весь диапазон звуков, кроме громких (дискомфорт, связанный с подергиванием мимической мускулатуры лица).
В процессе реабилитации постепенно проводилось изменение параметров стимуляции кохлеарного импланта. В результате у девочки СЛН проявлялась на всех диапазонах частот, кроме высоких. В дальнейшем принято решение использовать стратегию кодирования с применением 3-фазной стимуляции. Получен положительный результат. Получилось улучшить реакции ребенка за звуки. Средние пороги слуха с использованием 3-фазной стимуляции составили 45 дБ. Средние максимальные комфортные уровни громкости составили 21,49 qu (20,6–22,4 qu).
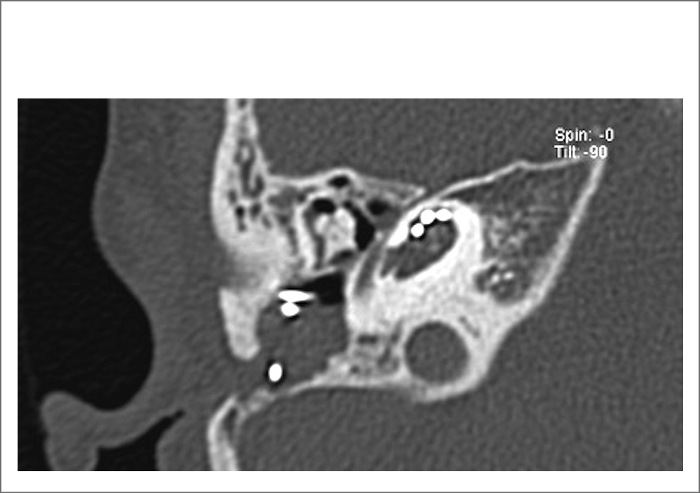
С целью дальнейшей настройки кохлеарного импланта выполнена контрольная КТ височных костей (рис. 2). Результат исследования не показал дополнительных изменений со стороны среднего и внутреннего уха за исключением незначительного остаточного затенения в антромастоидальной и барабанной полости справа, которое, вероятнее всего, соответствовало послеоперационным изменениям. Средняя плотность костной стенки в области границы лабиринтного отдела лицевого нерва и восходящего сегмента базального завитка улитки составила 1537 HU, среднее расстояние от просвета спирального канала улитки до канала лицевого нерва было равно 1,9 мм.
Рис. 2. КТ-картина состояния после КИ на правом ухе пациентки.
Пациентка приглашена повторно в сентябре 2022 г. с целью замены речевого процессора и применения новых настроек речевого процессора. Выполнена коррекция настройки речевого процессора. Отключен третий электрод (рис. 3).
Рис. 3. Карта настройки пациента после перенесенного менингита.
Удалось улучшить реакции на звуки и различение фонем. На фоне измененных настроек зарегистрирована положительная динамика. Средние пороги слуха с использованием 3-фазной стимуляции составили 42,5 дБ. Однако окончательно устранить реакции со стороны лицевого нерва не удалось, а вынужденные настройки речевого процессора не позволили девочке достичь достаточной разборчивости речи.
Обсуждение
Интерес данного клинического наблюдения заключается в чрезвычайно редком сочетании трех этиологических факторов риска развития СЛН (аномалии развития внутреннего уха, короновирусной инфекции и менингита) у одного пользователя системы КИ, ранее такие случаи не описаны в мировой литературе.
Безусловно, СЛН у пациентов с аномалией развития внутреннего уха чаще всего связана с дефектом дна внутреннего слухового прохода, однако в описанном клиническом случае проведения КИ у пациентки с неполным разделением улитки II типа не зарегистрировано эпизодов данного осложнения до перенесенного спустя 5 лет менингита на фоне коронавирусной инфекции, что свидетельствует о том, что изменения электропроводимости костной капсулы лабиринта могут возникать без отклонения показателей толщины и плотности костной ткани, разграничивающей спиральный канал улитки и лицевой нерв.
Перенесенный менингит после КИ может вызвать увеличение проницаемости тканей внутреннего уха для электрического тока и, как следствие, развитие побочной СЛН [16].
Современные технологии позволяют реабилитировать пациентов с СЛН, в том числе с аномалиями развития внутреннего уха [1]. СЛН у пациентов на фоне эксплуатации речевого процессора КИ может корректироваться путем изменения порогов, пробным отключением стимулирующих лицевой нерв электродов [11, 17]. Для повышения эффективности реабилитации используются специальные стратегии кодирования с применением 3-фазной стимуляции.
В данном клиническом наблюдении удалось добиться положительной динамики в распознавании звуков, однако из-за сохранения реакции со стороны лицевого нерва не получилось достичь достаточной разборчивости речи. Эффективность реабилитации была снижена по сравнению с периодом до перенесенного заболевания.
Описанный феномен подтверждает актуальность разработки новых методов профилактики и коррекции СЛН.
Заключение
Таким образом, СЛН у пациентов с аномалией развития внутреннего уха может возникнуть в том числе и из-за возможного изменения электропроводимости костной ткани лабиринтной капсулы.
Изменения настроек речевого процессора кохлеарного импланта являются первоочередным методом коррекции данного состояния.
Специальные стратегии кодирования с применением 3-фазной стимуляции также показывают довольно высокую эффективность в устранении неслуховых ощущений.
В случае отсутствия эффективности при применении настроек речевого процессора на сегодняшнем этапе отсутствуют щадящие методы устранения СЛН.
Наличие свежего перенесенного менингита в анамнезе у пользователя кохлеарного импланта требует более тщательного внимания не только на предоперационном этапе, но и на этапе реабилитации.
Раскрытие интересов. Авторы декларируют отсутствие явных и потенциальных конфликтов интересов, связанных с публикацией настоящей статьи.
Disclosure of interest. The authors declare that they have no competing interests.
Вклад авторов. Авторы декларируют соответствие своего авторства международным критериям ICMJE. Все авторы в равной степени участвовали в подготовке публикации: разработка концепции статьи, получение и анализ фактических данных, написание и редактирование текста статьи, проверка и утверждение текста статьи.
Authors’ contribution. The authors declare the compliance of their authorship according to the international ICMJE criteria. All authors made a substantial contribution to the conception of the work, acquisition, analysis, interpretation of data for the work, drafting and revising the work, final approval of the version to be published and agree to be accountable for all aspects of the work.
Источник финансирования. Авторы декларируют отсутствие внешнего финансирования для проведения исследования и публикации статьи.
Funding source. The authors declare that there is no external funding for the exploration and analysis work.
Информированное согласие на публикацию. Авторы получили письменное согласие законных представителей пациента на анализ и публикацию медицинских данных и фотографий.
Consent for publication. The authors obtained written consent from the patient's legal representatives to analyze and publish medical data and photographs.
Об авторах
Владислав Евгеньевич Кузовков
ФГБУ «Санкт-Петербургский научно-исследовательский институт уха, горла, носа и речи» Минздрава России
Автор, ответственный за переписку.
Email: v_kuzovkov@mail.ru
ORCID iD: 0000-0002-2581-4006
д-р мед. наук, зам. дир. по инновационной деятельности ФГБУ СПб НИИ ЛОР
Россия, Санкт-ПетербургСергей Владимирович Левин
ФГБУ «Санкт-Петербургский научно-исследовательский институт уха, горла, носа и речи» Минздрава России; ФГБОУ ВО «Северо-Западный государственный медицинский университет им. И.И. Мечникова» Минздрава России
Email: megalor@gmail.com
ORCID iD: 0000-0001-9770-7739
канд. мед. наук, ст. науч. сотр. отд. диагностики и реабилитации нарушений слуха ФГБУ СПб НИИ ЛОР, ФГБОУ ВО «СЗГМУ им. И.И. Мечникова»
Россия, Санкт-Петербург; Санкт-ПетербургАндрей Сергеевич Лиленко
ФГБУ «Санкт-Петербургский научно-исследовательский институт уха, горла, носа и речи» Минздрава России
Email: aslilenko@gmail.com
канд. мед. наук, мл. науч. сотр. отд. диагностики и реабилитации нарушений слуха ФГБУ СПб НИИ ЛОР
Россия, Санкт-ПетербургСерафима Борисовна Сугарова
ФГБУ «Санкт-Петербургский научно-исследовательский институт уха, горла, носа и речи» Минздрава России
Email: sima.sugarova@gmail.com
канд. мед. наук, науч. сотр. отд. диагностики и реабилитации нарушений слуха ФГБУ СПб НИИ ЛОР
Россия, Санкт-ПетербургВиктория Андреевна Танасчишина
ФГБУ «Санкт-Петербургский научно-исследовательский институт уха, горла, носа и речи» Минздрава России
Email: tanasic95@yandex.ru
ORCID iD: 0000-0001-6345-020X
аспирант отд. диагностики и реабилитации нарушений слуха ФГБУ СПб НИИ ЛОР
Россия, Санкт-ПетербургЮлия Сергеевна Корнева
ФГБУ «Санкт-Петербургский научно-исследовательский институт уха, горла, носа и речи» Минздрава России
Email: korn_jul@mail.com
ORCID iD: 0000-0002-8616-8044
клин. ординатор 2-го года обучения ФГБУ СПб НИИ ЛОР
Россия, Санкт-ПетербургСписок литературы
- Кузовков В.Е., Янов Ю.К., Левин С.В. Аномалии развития внутреннего уха и кохлеарная имплантация. Российская оториноларингология. 2009;2:102-7 [Kuzovkov VE, Ianov IuK, Levin SV. Anomalii razvitiia vnutrennego ukha i kokhlearnaia implantatsiia. Rossiiskaia otorinolaringologiia. 2009;2:102-7 (in Russian)].
- Тунян Н.Т., Кузовков В.Е., Бычкова Е.В., и др. Диагностические, хирургические и анестезиологические аспекты кохлеарной имплантации. Folia Otorhinolaryngologiae et Pathologiae Respiratoriae. 2014;20(3):89-94 [Tunian NT, Kuzovkov VE, Bychkova EV, et al. Diagnosticheskie, khirurgicheskie i anesteziologicheskie aspekty kokhlearnoi implantatsii. Folia Otorhinolaryngologiae et Pathologiae Respiratoriae. 2014;20(3):89-94 (in Russian)].
- Berrettini S, Vito de A, Bruschini L, et al. Facial nerve stimulation after cochlear implantation: our experience. Acta Otorhinolaryngol Ital. 2011;31(1):11-6.
- Bigelow DC, Kay DJ, Rafter KO. Facial nerve stimulation from cochlear implants. Am J Otol. 1998;9:163-9.
- Weber BP, Lenarz T, Battmer D. Otosclerosis and facial nerve stimulation. Ann Otol Rhinol Laryngol Suppl. 1995;166:445-7.
- Rah YC, Yoon YS, Chang MY, et al. Facial nerve stimulation in the narrow bony cochlear nerve canal after cochlear implantation. Laryngoscope. 2016;126(6):1433-9.
- Aljazeeri IA, Khurayzi T, Al-Amro M, et al. Evaluation of computed tomography parameters in patients with facial nerve stimulation post-cochlear implantation. Eur Arch Otorhinolaryngol. 2021;278(10):3789-94.
- Papsin BC. Cochlear implantation in children with anomalous cochleovestibular anatomy. Laryngoscope. 2005;115(1 Pt. 2 Suppl. 106):1-26.
- Kempf HG, Johann K, Lenarz T. Complications in pediatric cochlear implant surgery. Eur Arch Otorhinolaryngol. 1999;256:128-32. doi: 10.1007/s004050050124
- Cushing SL, Papsin BC, Gordon KA. Incidence and characteristics of facial nerve stimulation in children with cochlear implants. Laryngoscope. 2006;116:1787-91.
- Ahn JH, Oh SH, Chung JW, Lee KS. Facial nerve stimulation after cochlear implantation according to types of Nucleus 24-channel electrode arrays. Acta Oto-laryngologica. 2009;129(6):588-91.
- Lima MA, Silva MTT, Soares CN, et al. Peripheral facial nerve palsy associated with COVID-19. J Neurovirol. 2020;26(6):941-4.
- Codeluppi L, Venturelli F, Rossi J, et al. Facial palsy during the COVID-19 pandemic. Brain Behav. 2021;11(1):e01939.
- Egilmez OK, Gündoğan ME, Yılmaz MS, Güven M. Can COVID-19 Cause Peripheral Facial Nerve Palsy? SN Compr Clin Med. 2021;3(8):1707-13.
- Fotuhi M, Mian A, Meysami S, Raji CA. Neurobiology of COVID-19. J Alzheimers Dis. 2020;76(1):3-19.
- Kelsall DC, Shallop JK, Brammeier TG, Prenger EC. Facial nerve stimulation after nucleus 22-channel cochlear implantation. Am J Otol. 1997;18:336-41.
- Кузовков В.Е., Лиленко А.С., Сугарова С.Б., и др. Факторы риска стимуляции лицевого нерва у пользователей кохлеарных имплантов: наш опыт. Российская оториноларингология. 2022;21(5):116-21 [Kuzovkov VE, Lilenko AS, Sugarova SB, et al. Faktory riska stimuliatsii litsevogo nerva u pol'zovatelei kokhlearnykh implantov: nash opyt. Rossiiskaia otorinolaringologiia. 2022;21(5):116-21 (in Russian)].






