Historical aspects of fungal sinusitis, topical issues of early diagnosis and medical care on clinical example: A review
- Authors: Lengina M.A.1, Abdullin V.М.1, Shapovalova V.V.1, Frolova V.D.1, Kravchenko A.Y.2, Klepikov S.V.3
-
Affiliations:
- South Ural State Medical University
- Regional Clinical Hospital №3
- Chelyabinsk Regional Clinical Hospital
- Issue: Vol 25, No 3 (2023): Otorhinolaryngology and pulmonology
- Pages: 179-186
- Section: Articles
- Published: 15.03.2023
- URL: https://consilium.orscience.ru/2075-1753/article/view/474118
- DOI: https://doi.org/10.26442/20751753.2023.3.202094
- ID: 474118
Cite item
Full Text
Abstract
Inflammatory diseases of the nose and paranasal sinuses provoked by fungal contamination have been on the rise over the past decades. The cause of infection, according to the literature, is more often accidental ingestion of filling material, fragments of teeth and small parts of the implant into the sinuses, followed by fungal contamination. Diagnosis of fungal sinusitis, as a rule, is not difficult, but if the use of modern technological capabilities of research and differential analysis is refused or ignored, the verification of the diagnosis may be erroneous and the routing of the patient will not be determined correctly. In the context of early diagnosis and timely treatment of inflammatory diseases of the nose and paranasal sinuses, of course, a brief historical overview reflecting the importance of the existing problem will be useful for doctors, and the given clinical example will largely help to avoid mistakes.
Full Text
Введение
Актуальность изучения вопросов реабилитации пациентов с воспалительными заболеваниями верхних дыхательных путей объясняется высокой частотой их встречаемости. Так, например, пациенты с инфекционными поражениями полости носа и околоносовых пазух (ОНП) – острыми и хроническими риносинуситами (ХРС) – составляют до 30% всех стационарных больных в ЛОР-отделениях. На амбулаторном приеме лидирующее место занимают ХРС, характеризуясь высокими эпидемиологическими показателями, охватывающими от 5 до 12% популяции в целом. Отрицательно влияя на систему здравоохранения и экономику страны в целом из-за потери трудоспособности, ХРС существенно снижает качество жизни пациентов [1–5]. Наиболее часто хронический воспалительный процесс локализуется в верхнечелюстных (гайморовых) пазухах (ВП). По определению Российских клинических рекомендаций, утвержденных в 2021 г. Минздравом России, к ХРС относятся воспалительные заболевания носа и ОНП, протекающие более 3 мес, а в европейских согласительных документах (EPOS, 2020) – более 12 нед сопровождающиеся ≥2 симптомами, хотя бы одним из которых является назальная обструкция и затруднение носового дыхания или ринорея ± цефалгии (в проекции ОНП) ± дизосмия или аносмия и кашель [1, 6]. В зависимости от триггерных факторов обострения ХРС клинически протекают с выраженным интоксикационным синдромом, явлениями иммунологических нарушений, воспалительными изменениями в крови, нарушением функции отдельных органов и систем [7–10].
Внешние (инфекционные и неинфекционные) и внутренние (сопутствующие патологические состояния, анатомические нарушения структур полости носа и ОНП) факторы, играя ключевую роль в развитии ХРС, во многих случаях могут вызвать определенные трудности в лечении и привести к различным осложнениям. Например, наличие анатомических дефектов структур полости носа и ОНП, затрудняющих эвакуацию патологического содержимого при продуктивных формах заболевания, присутствие высоковирулентной инфекции могут спровоцировать отиты с переходом в хронические формы с патологическим ремоделированием костных структур среднего уха, опухолевые процессы, назальную ликворею, внутричерепные осложнения и т.д. [11–17]. Для удобства постановки диагноза и лечения Б.С. Преображенским (1956 г.) предложена клиническая классификация хронических синуситов, согласно которой различают: экссудативные (катаральная, серозная, гнойная), продуктивные (пристеночно-гиперпластическая, полипозная), альтернативные (казеозная, холестеатомная, атрофическая, некротическая), вазомоторные формы, в том числе аллергическую форму и смешанные формы ХРС.
Наряду с бактериальной инфекцией, участвующей в формировании ХРС, в EPOS 2020 и Российских клинических рекомендациях особое внимание уделяется грибковой контаминации вследствие попадания пломбировочного материала или осколков зуба при посещении стоматологов, отдельную группу составляют асептические синуситы. По мнению специалистов, верификация грибкового синусита происходит в более поздние сроки и причиной чаще является, с одной стороны, позднее обращение пациента за медицинской помощью, а с другой – недостаточный объем дополнительных методов обследования пациента и дифференциальной диагностики [18, 19]. В силу того, что не все пациенты проходят диагностику на современном высокоинформативном оборудовании и ограничиваются только выполнением рентгенологических исследований, постановка диагноза может быть ошибочной. При этом маршрутизация пациента будет заранее определена не верно. В этом контексте многие исследователи, занимающиеся изучением грибковых поражений ОНП, делают акцент на необходимости дальнейшего совершенствования ранней диагностики и лечения.
Цель исследования – повысить эффективность ранней диагностики грибковых поражений ВП и оказания качественной медицинской помощи на основании обобщения литературных данных с приведением клинического примера.
Материалы и методы
В основу работы вошли литературные источники по грибковым поражениям ОНП научных баз Scopus, Web of Science, Medline, а также отечественных специализированных изданий eLIBRARY за период 2012–2022 гг.
Первые описания грибковых поражений ОНП в специализированной научной литературе датируются 1883 годом (P. Shubert). Спустя 6 лет J. Mackenzie и Н. Siebermann, основываясь на собственных наблюдениях, описали поражения грибками Аspergillus fumigatus и Аspergillus nidulans ВП. В это же время в США M. Kenzie отмечены наблюдения грибковых поражений ВП вследствие экстракции зуба, возбудителем являлся тот же A. fumigatus. Позже, в 1911 г., аналогичный клинический случай изучен H. Harmer (США). Важно отметить, что все авторы подчеркивали редкость регистрации данного заболевания в общей структуре заболеваемости. В последующие годы в зарубежной литературе все чаще стали появляться результаты клинических наблюдений грибковых риносинуситов, а в 1914 г. английский оториноларинголог Tilley описал наблюдение уже несколько случаев грибковых поражений ВП, вызванных грибками рода Aspergillus. В отечественной научной литературе первое сообщение о грибковом поражении ВП принадлежит Т.А. Никитиной (1955 г.).
В окружающей среде грибы встречаются повсюду, и контакт человека с ними неизбежен, однако в случаях аэрогенного заноса грибковых спор в ОНП развитие риносинусита возможно по большей мере у пациентов со сниженным иммунитетом (на фоне химиотерапии, сахарного диабета и других соматических заболеваний) [20, 21]. Так, в 1970–1990 гг. рост грибкового поражения ОНП обусловлен всплеском заболеваемости, вызываемой ВИЧ, со значительным снижением иммунной защиты организма [22].
За последнее десятилетие ХIХ в. распространенность грибкового синусита значительно возросла, и к началу ХХ в. грибковые элементы обнаруживались, по данным J.B. Taxy (2006 г.), у 6–12% пациентов, страдающих хроническим синуситом, при культуральном или гистологическом исследовании. По клиническим наблюдениям A. Singh и соавт. (2017 г.), частота регистрации грибковых синуситов продолжает расти [23]. Более того, больше чем у 1/2 больных хроническим синуситом выявлены грибы или грибково-микробные ассоциации [24]. Значительный прогресс в области интервенционной стоматологии сопровождался ростом числа пациентов с одонтогенным верхнечелюстным синуситом. Среди частых причин указывалось попадание во время обработки корневых каналов пломбировочного материала, фрагментов зубов и имплантата в полость ВП [25].
По частоте встречаемости риносинуситов грибкового происхождения лидируют ВП, реже страдают клетки решетчатого лабиринта, в единичных случаях происходит поражение основной и лобной пазух [1, 19, 26]. Среди основных возбудителей чаще всего выделяют Aspergillus spp., Aspergillus niger, Penicillium spp., Mucor, Alternaria, Candida albicans, Candida krusei, Candida glabrata [27, 28].
Первое предложение разделить аспергиллезные поражения пазух на две формы по клиническому течению сделано J. Hora в 1965 г. Спустя 3 десятилетия R. DeShazo и соавт., опираясь на свои клинические исследования, подтвердили это положение [26]. В то же время S. Mitra и соавт. опубликовали клиническое течение обеих форм, где первая форма протекала как поверхностный процесс без неинвазивного роста грибов, а вторая характеризовалась внедрением грибов в глубокие ткани – инвазивным ростом [29]. В клинической практике до сих пор сохраняет актуальность разработанная Х. Штамбергером (2008 г.) классификация грибковых поражений ОНП, согласно которой по характерным клинико-диагностическим признакам выделяют инвазивные (по течению: острая – фульминантная, хроническая – гранулематозная) и неинвазивные формы (мицетома – грибковое тело, аллергический – эозинофильный) грибкового синусита [1, 30–32].
Среди публикаций, посвященных результатам клинических наблюдений за особенностями течения микозов ОНП, встречается термин «синоназальный микоз» – неинвазивная поверхностная форма грибкового поражения ОНП вследствие инфицирования назального содержимого и введенных остатков медикаментов [33]. Согласно классификации, предложенной европейским согласительным комитетом EPOS-2020, первичные грибковые полипозные риносинуситы (ПРС) могут иметь односторонний и двусторонний характер, проявляясь в виде аллергического грибкового риносинусита (АГР). Вторичные грибковые ПРС носят односторонний характер, чаще одонтогенной природы [1, 34].
Работы ряда авторов подчеркивают четкую взаимосвязь особенностей течения грибкового поражения ОНП и иммунного статуса пациента. У иммунокомпетентных лиц при грибковом поражении чаще всего наблюдается неинвазивная форма, когда гифы грибка, не внедряясь в ткани, формируют полиповидное образование на слизистой оболочке – грибковый шар (ГШ). В случаях иммунной гиперчувствительности к грибковым антигенам у пациентов чаще развивается АГР [35, 36]. Известно, что на иммунный статус пациента оказывают подавляющее влияние первичный иммунодефицит, сахарный диабет, онкопатология, аутоиммунные процессы, ВИЧ-инфекция, предрасположенность пациента к атопии, предшествующие синуситу эндодонтические манипуляции, в частности лечение пульпита, возникшего в верхних премолярах и первых двух верхних молярах [37].
Патогенез грибкового поражения слизистой носа с формированием полипов, как правило, связан с влиянием различных триггерных факторов. Риносинусит, в котором ключевую роль играют грибы, проявляется в трех формах: АГР, ГШ и инвазивный риносинусит [38].
АГР характеризуется наличием у пациентов гиперчувствительности 1-го типа к грибкам, обитающим в слизистой оболочке носа. Главным в патогенезе АГР является изначальная колонизация слизистой оболочки полости носа неинвазивным грибком и в дальнейшем сенсибилизация организма к антигенам грибка. Развивается ХРС с аллергическим воспалением и дальнейшим формированием полипов носа. Процесс при этом может носить как односторонний, так и двусторонний характер. Развитию АГР чаще подвержены женщины молодого возраста [1, 39].
Для формирования двух других форм грибковых риносинуситов наличие аллергии не играет существенной роли. Патогенез при них будет прежде всего зависеть от состояния иммунной системы пациента и способности противостоять грибковой инвазии в самой ткани. При отсутствии адекватного иммунного ответа (сахарный диабет, терапия иммуносупрессантами, ВИЧ-инфекции/СПИД, нейтропении и т.д.) гифы грибка могут начать прорастать в ткани, вызывая тяжелое гранулематозное поражение полости носа и ОНП с некрозом и деструкцией тканей носа. Иногда воспалительный процесс тубогенным путем попадает в барабанную полость, вызывая кохлеовестибулярные нарушения [40–42].
Патогенез неинвазивной формы грибкового риносинусита (ГШ) связывают с предшествующим эндодонтическим вмешательством. Связано это с тесным контактом нижней стенки ВП и корней верхних премоляров, 1 и 2-го моляров. В некоторых случаях корни последних могут непосредственно выступать в синус, отделяясь от полости синуса лишь слизистой оболочкой. При возникновении пульпитов зубов указанной локализации эндодонтическое вмешательство заключается в удалении нерва, сосудов из полости зуба и санации корневых каналов с дальнейшим заполнением полости инертным материалом. Как правило, содержащий соединения цинка пломбировочный материал, попадая во время манипуляций в синусы, вызывает временный паралич реснитчатого эпителия, активирует метаболические реакции в грибках-аспергиллах, создавая условия для развития грибковой контаминации. В случае имеющегося периапикального воспаления вокруг пораженного корня зуба нарушается мукоцилиарный клиренс [1, 43]. В дальнейшем разрастание мицелия гриба приводит к формированию округлого образования, которое по размерам может занимать всю пазуху, приводя к эрозиям стенок пазухи, и внешне может напоминать специфическое изменение эпителия, как при злокачественном новообразовании. В ряде случаев это приводит к ошибочной поставке диагноза. По литературным данным деструкции костных стенок встречаются от 4 до 17% всех случаев ГШ [44].
Клиническая картина грибкового поражения при ПРС зависит от фенотипа полипоза. Несмотря на наличие общих проявлений, характерных для всех полипов, таких как заложенность носа, ринорея, кашель в случае постназального затека, боли в области пазух носа, длительное нарушение обоняния более 12 нед – гипосмия/аносмия, присутствует ряд специфических жалоб, присущих грибковому ПРС. Так, при неинвазивной форме грибкового поражения ВП пациентов в большей мере беспокоят плохо поддающиеся лечению симптомы, такие как ринорея приступообразного характера с характерным запахом, цветом и консистенцией в зависимости от возбудителя, периодически возникающая выраженной интенсивности цефалгия, нередко принимаемая за невралгию тройничного нерва, и стойкая заложенность носового дыхания. Как правило, ярко выраженная неврологическая симптоматика характерна при грибковом поражении ОНП плесневыми грибами рода Aspergillus, Penicillium, Alternaria, в отличие от дрожжеподобных грибов рода Cаndida. Симптомы обусловлены как токсическим действием ферментов, продуцируемых грибами при их жизнедеятельности, так и специфической аллергической реакцией организма на них. Некоторые пациенты предъявляют жалобы на зуд, жжение в пораженной пазухе и гиперестезию слизистой полости носа. Например, результаты проведенных клинических исследований доказывают выраженную аллергизирующую способность дрожжеподобных грибов рода Cаndida, что подтверждается формированием вазомоторных явлений слизистой оболочки полости носа у пациентов с кандидозным поражением ОНП [19, 21, 24]. При инвазивной форме грибкового поражения характерно наличие носовых кровотечений (чаще с одной стороны) и цефалгий с характерной латерализацией в области пораженной пазухи. Боли обусловлены более глубоким поражением ВП, деструктивными процессами надкостницы и костной ткани, развитием некроза с прорастанием в решетчатый лабиринт, глазницу и альвеолярные отростки [45].
В настоящее время, несмотря на большой опыт изучения заболеваемости грибковым синуситом, до настоящего времени нет унифицированных методов диагностики и алгоритмов проведения дифференциального анализа специфичных симптомов [46]. Например, в клинических рекомендациях по ПРС (2022 г.) среди характерных диагностических признаков грибковой инфекции выделяют наличие в средних носовых ходах полипов небольших размеров, напоминающих грануляционную ткань, часто сопровождаемых вазомоторными изменениями отечной слизистой носовых раковин, с характерным гнойным отделяемым [45].
Благодаря внедрению в практику современных методов диагностики, таких как компьютерная томография (КТ), мультиспиральная компьютерная томография (МСКТ), конусно-лучевая компьютерная томография (КЛКТ) и магнитно-резонансная томография (МРТ), стало возможным выявление скрытых и бессимптомных форм грибкового синусита.
По результатам КТ ОНП можно визуализировать неоднородное тотальное или субтотальное затемнение ОНП с наличием либо одного конгломерата, либо группы гиперденсивных включений округлой или линейной формы. При длительной компрессии ГШ на фоне бессимптомного воспалительного процесса может быть обнаружена эрозия стенок ОНП в 3,6–17% случаев [39, 47–50]. По данным различных авторов, чувствительность и специфичность результатов КТ ОНП составляет 62 и 99% [48, 51]. На основе КТ-семиотики предложен способ диагностики мицетом ОНП, позволяющий регистрировать наличие грибкового поражения ОНП на ранних стадиях и обосновать необходимый объем хирургического лечения [46].
По диагностической информативности МСКТ и КЛКТ существенно превосходят рентгенологические методики благодаря высокому контрастному разрешению и возможности получения более качественных изображений, значительно сокращают время обследования пациента, снижают лучевую нагрузку. Являясь своего рода «золотым стандартом» в диагностике неинвазивных грибковых поражений ОНП, они определяют накопление в толще характерных частиц с «металлической денсностью», подтверждая факт наличия пломбировочного материала, вокруг которого и формируется ГШ. По сравнению с неорганическим субстратом (пломбировочный материал) грибковой мицелий имеет более низкую плотность 40–2000 HU и при выполнении МСКТ легко регистрируется вместе с измененными костными структурами. На сериях снимков МРТ ОНП грибковые тела визуализируются на T1-взвешенных изображениях в виде областей с низкой интенсивностью сигнала, на Т2-ВИ – в виде областей с выраженной гипоинтенсивностью сигнала или участков «пустого» сигнала [52].
Однако при невозможности проведения методов диагностики пациенту, как правило, рекомендуют проведение рентгенологического исследования носа и ОНП. В данном случае важно напомнить, что рентгенография мало информативна и выявить специфические признаки грибкового поражения ВП будет сложно. Среди неспецифических выделяют наличие «облаковидного» и неравномерного затемнения вследствие локальной инфильтрации грибков в слизистые оболочки ОНП, деструкции костной ткани пазух – при инвазивных формах грибкового поражения ОНП [25]. По локализации грибковых поражений неинвазивной формы с формированием полипозного процесса наиболее часто поражаются медиальная и нижняя стенки ВП, а также угловые участки межу медиальной, нижней и последней с латеральными стенками ВП. В случае инвазии в кость регистрируются явления периостита.
Важно помнить о необходимости проведения морфологической верификацией процесса. В настоящее время в клиническую практику широко внедрены перспективные методы гистологического исследования со специфическими методами обработки биопсийного материала, благодаря которым стало возможным дифференцировать различные формы хронических ПРС, проводить дифференциальную диагностику с другими заболеваниями, учитывать особенности течения полипозного процесса и определять выбор тактики лечения [53–55]. В этом контексте хорошо известны различия в морфологическом строении разных типов назальных полипов. Так, полип отечного типа покрыт однослойным многорядным мерцательным эпителием, в строме которого регистрируется увеличение численной плотности бокаловидных клеток, которые выделяют густой слизистый секрет сигнала [56]. Для аллергического типа назального полипа характерна трансформация многорядного мерцательного эпителия с увеличением его высоты, наличием участков, покрытых многослойным эпителием, редко прослеживающимся наличием бокаловидных клеток, в отличие от других типов назальных полипов, очагами воспалительных инфильтратов, с вовлечением собственной пластинки и подслизистой основы полипа. В клеточном составе инфильтратов преобладают эозинофилы, моноциты и тучные клетки.
Фиброзный тип полипов характеризуется снижением высоты эпителия, утолщением базальной мембраны за счет гиалиноза, увеличением числа бокаловидных клеток в составе эпителиального пласта. Несмотря на уменьшение количества желез, активное их функционирование приводит к образованию на поверхности клеток густого и вязкого секрета, который на фоне плохой эвакуации из протоков желез в дальнейшем приводит к кистозной трансформации. Так благодаря выявленным морфологическим особенностям предложена классификация полипов по гистологическому строению, изложенная в клинических рекомендациях по ПРС 2019 г., согласно которой выделяют: отечные (эозинофильные, аллергические), фиброзно-воспалительные (нейтрофильные), железистые и полипы с атипией стромы [6, 26, 45].
Грибковая контаминация слизистой ОНП при формировании полипозного процесса гистологически характеризуется, помимо вышеперечисленных патоморфологических особенностей, наличием грибов (спор и мицелия или псевдомицелия), для обнаружения которых необходимо выполнение ШИК-реакции. Однако данный метод исследования не является стандартным и проводится лишь при клиническом подозрении на грибковую инфекцию, что не во всех медицинских учреждениях представляется возможным.
В качестве примера приводим собственное клиническое наблюдение.
Больная 56 лет в августе 2022 г. обратилась за консультацией на кафедру оториноларингологии ФГБУ ВО ЮУГМУ с жалобами на одностороннюю заложенность носа в течение года, периодически возникающую ринорею с обильными слизисто-гнойными выделениями, жжением и болевыми ощущениями в области ВП, головной болью.
Из анамнеза, начало заболевания связывает с посещением частной стоматологической клиники летом (июль) 2021 г., где проходила лечение, в ходе которого проведена ревизия корней и каналов с пломбированием 2-го премоляра с последующим удалением через 1 мес 1-го моляра верхней челюсти слева. При повторном посещении стоматолога с указанными выше жалобами в начале октября врач клиники констатировал состоятельность пломбированного премоляра, отсутствие свища на месте удаленного зуба, была рекомендована консультация оториноларинголога. После проведения обычной рентгенографии ОНП и оториноларингологического осмотра выставлен диагноз: ПРС на фоне аллергического ринита. Прошла 2 курса лечения с использованием топической глюкокортикостероидной, противовоспалительной, антигистаминной, элиминационной терапии. Дважды короткими курсами (7 дней) принимала преднизолон – дозировки не помнит. Состояние не улучшилось. В июне 2022 г. после очередного посещения ЛОР-врача по месту жительства и проведения КТ носа и ОНП без контраста выставлен предварительный диагноз: новообразование левой ВП. Больная направлена на консультацию к онкологу (рис. 1).
Рис. 1. Массивное образование с деструкцией медиальной стенки ВП и клеток решетчатого лабиринта слева, смещение носовой перегородки.
С указанными выше жалобами пациентка онколога не посещала и обратилась за консультацией на кафедру оториноларингологии ФГБОУ ВО ЮУГМУ.
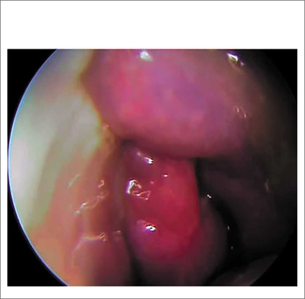
После эндоскопической визуализации полости носа и регистрации слева полипозных вегетаций с характерной окраской и консистенцией, обильным выделением густого слизистого секрета (рис. 2) и предыдущей КТ носа и ОНП пациентке выполнена МСКТ с контрастным усилением, заключение: тотальное затемнение левой гайморовой пазухи, клеток решетчатого лабиринта с разрушением медиальной стенки ВП и проникновением в полости носа, смещение носовой перегородки и компрессия средней носовой раковины, наличие группы гиперденсивных включений округлой формы, контраст не накапливается (рис. 3). После выставления диагноза левостороннего хронического ПРС, мицетомы гайморовой пазухи и проведения соответствующей предоперационной подготовки пациентке выполнена гайморотомия по Колдуэлл–Люку, этмоидотомия слева. Отмечено в левой ВП наличие органических субстратов высокой плотности. Интраоперационно взятые подозрительные фрагменты поврежденных тканей направлены на гистологическое исследование с соответствующим диагнозом (рис. 4).
Рис. 2. Назальные полипы в носовом ходе слева, густой слизисто-гнойный секрет.
Рис. 3. Контрастное усиление. Аксиальная проекция.
Рис. 4. Удаленные фрагменты образования ВП.
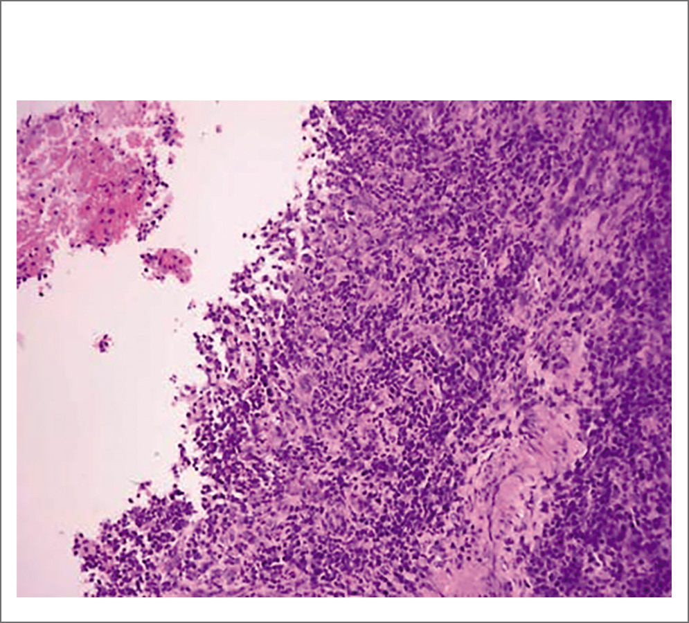
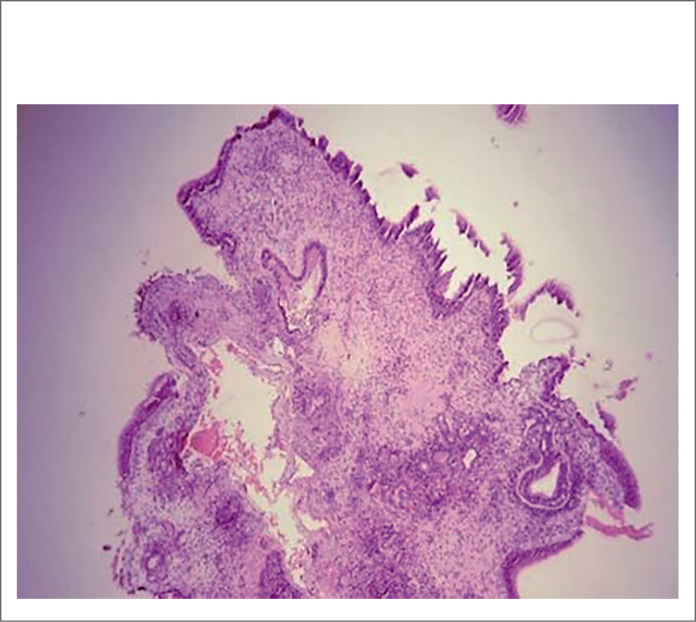
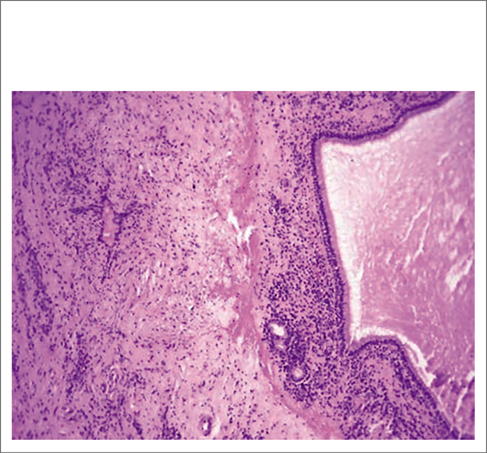
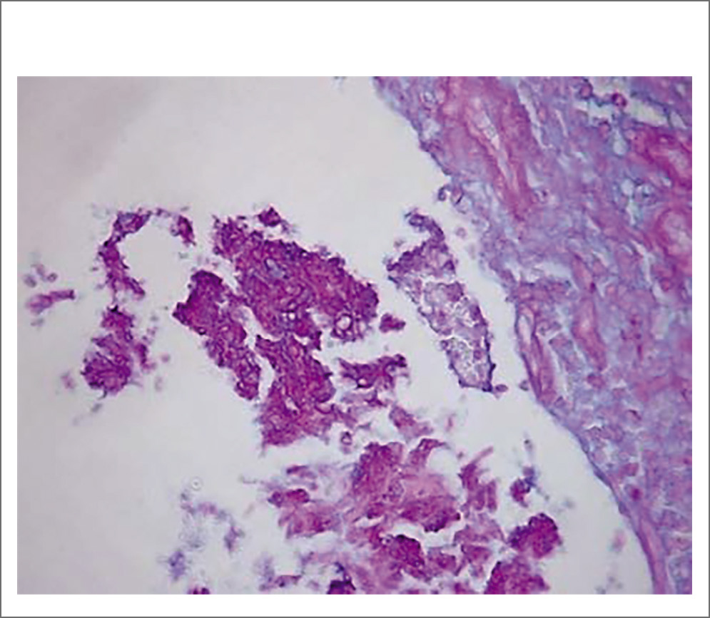
Через 10 дней получен ответ с описанием признаков хронического воспаления и полипоза носа: отечная, фиброзная или слабомиксоидная строма, инфильтрирована смешанными воспалительными клетками, включая лимфоциты, плазматические клетки, эозинофилы, нейтрофилы и тучные клетки, поверхностный эпителий проявляется изъязвлением или плоскоклеточной метаплазией, подслизистые железы уменьшены или отсутствуют. Заключение гистологического исследования: множественные аденоматозные фиброзно-отечные полипы носа. Данные за мицелий отсутствуют (рис. 5–7). После обращения с просьбой повторно исследовать гистологические блоки на наличие грибов морфологами были использованы элективные методы обработки (постановка ШИК-реакции, метод Гомори) и обнаружены элементы мицелия грибов (рис. 8). Импрегнация по Гомори–Грокотт метинамином серебра не проводилась.
Рис. 5. Воспалительный синоназальный полип. Общий вид. Окраска гематоксилином и эозином. ×50.
Рис. 6. Структура полипа. Воспалительная инфильтрация, уменьшение количества слизистых желез, отечная миксоидно- фиброзная строма. Окраска гематоксилином и эозином. ×200.
Рис. 7. Эрозия с грануляционной тканью. Окраска гематоксилином и эозином. ×400.
Рис. 8. Элементы мицелия грибов. ШИК-реакции.
Пациентка выписана на 6-й день после операции, специфическая противогрибковая терапия не проводилась.
Таким образом, описанный клинический случай представляет определенный научно-практический интерес, поскольку могут возникнуть неординарные ситуации на этапах маршрутизации пациентов. Это объясняется тем, что, во-первых, односторонний полипозный процесс, как показывают клиническая практика и литературные источники, всегда настораживает, поскольку он чаще встречается при новообразованиях или попадании инородных тел во время выполнения манипуляций в ВП (ятрогении). Во-вторых, у пациентки после проводимых стоматологических вмешательств при повторном посещении не был выполнен обзорный контрольный снимок, подтверждающий отсутствие инородных тел (пломбировочный материал, осколки зуба и т.д.) и других осложнений. В-третьих, с целью быстрой и точной верификации диагноза не стоит пренебрегать высокоинформативными методами дифференциальной диагностики, такими как МСКТ с контрастированием, что не было сделано. В-четвертых, необходимо акцентировать внимание морфологов на необходимости более тщательного исследования биопсийного материала на наличие грибковой инфекции (ШИК-реакции и т.д.), в данном случае это не было сделано, а обычная окраска препарата не подтвердила наличие мицелия грибов.
Важно помнить, что в целях профилактики ятрогенных грибковых синуситов одонтогенной природы обязателен контроль (ортопантомография или внутриротовая контактная рентгенография, при возможности – МСКТ, КЛКТ, МРТ).
Основные разделы представленного обзора литературы по грибковым поражениям ОНП и клинические примеры входят в разработку рабочих программ и преподаются врачам на курсах повышения квалификации, студентам, ординаторам и аспирантам [57].
Заключение
Проведенный обзор литературы подтверждает сохраняющуюся актуальность дальнейшего изучения вопросов ранней диагностики и оказания высококвалифицированной медицинской помощи больным с хроническими заболеваниями носа и ОНП, а клинический пример наглядно демонстрирует последствия неверной верификации диагноза и влияние на качество жизни.
Раскрытие интересов. Авторы декларируют отсутствие явных и потенциальных конфликтов интересов, связанных с публикацией настоящей статьи.
Disclosure of interest. The authors declare that they have no competing interests.
Вклад авторов. Авторы декларируют соответствие своего авторства международным критериям ICMJE. Все авторы в равной степени участвовали в подготовке публикации: разработка концепции статьи, получение и анализ фактических данных, написание и редактирование текста статьи, проверка и утверждение текста статьи.
Authors’ contribution. The authors declare the compliance of their authorship according to the international ICMJE criteria. All authors made a substantial contribution to the conception of the work, acquisition, analysis, interpretation of data for the work, drafting and revising the work, final approval of the version to be published and agree to be accountable for all aspects of the work.
Источник финансирования. Авторы декларируют отсутствие внешнего финансирования для проведения исследования и публикации статьи.
Funding source. The authors declare that there is no external funding for the exploration and analysis work.
Информированное согласие на публикацию. Пациент подписал форму добровольного информированного согласия на публикацию медицинской информации и фотографий.
Consent for publication. Written consent was obtained from the patient for publication of relevant medical information and all of accompanying images within the manuscript.
About the authors
Maria A. Lengina
South Ural State Medical University
Author for correspondence.
Email: Danilenko1910@mail.ru
ORCID iD: 0000-0002-8103-192X
Cand. Sci. (Med.), South Ural State Medical University
Russian Federation, ChelyabinskVadim М. Abdullin
South Ural State Medical University
Email: abdyllin2000@gmail.com
ORCID iD: 0000-0003-4004-6575
Medical Resident, South Ural State Medical University
Russian Federation, ChelyabinskVictoria V. Shapovalova
South Ural State Medical University
Email: v.v.foxygen@gmail.com
ORCID iD: 0000-0002-9636-011X
Medical Resident, South Ural State Medical University
Russian Federation, ChelyabinskVioletta D. Frolova
South Ural State Medical University
Email: frolovavioletta24@gmail.com
ORCID iD: 0000-0001-7304-4328
Medical Resident, South Ural State Medical University
Russian Federation, ChelyabinskAnna Yu. Kravchenko
Regional Clinical Hospital №3
Email: Anna4665@mail.ru
ORCID iD: 0000-0003-2037-2023
Head of the Department of Otorhinolaryngology, Regional Clinical Hospital №3
Russian Federation, ChelyabinskSemyon V. Klepikov
Chelyabinsk Regional Clinical Hospital
Email: semyon.klepikov@gmail.com
ORCID iD: 0000-0002-6296-9197
Employee of the Department of Otorhinolaryngology, Chelyabinsk Regional Clinical Hospital
Russian Federation, ChelyabinskReferences
- Fokkens W, Lund V, Hopkins C, et al. European Position Paper on Rhinosinusitis and Nasal Polyps 2020. Rhinology. 2020;58(29 Suppl.):1-464. doi: 10.4193/Rhin20.600
- Иващенко О.А., Лопатин А.С. Хронический риносинусит: эпидемиология, классификация, этиология, патогенез. Современный взгляд на проблему. Вестник оториноларингологии. 2012;2:91-6 [Ivanchenko OA, Lopatin AS. Chronic rhinosinusitis: epidemiology, classification, etiology, and pathogenesis. The current view of the problem. Vestnik otorinolaringologii. 2012;2:91-6 (in Russian)].
- Шишева А.К., Коркмазов М.Ю. Социально-экономические аспекты оптимизации госпитальной помощи больным с патологией носа и околоносовых пазух в условиях крупного промышленного города. Вестник Южно-Уральского государственного университета. Серия «Образование, здравоохранение, физическая культура». 2011;26(243):62-6 [Shisheva AK, Korkmazov MYu. Socio-economic aspects hospital help optimization for patient with pathology of nose and paranasal sinuses in the large industrial city conditions. Vestnik Yuzhno-Ural'skogo gosudarstvennogo universiteta. Seriia “Obrazovanie, zdravookhranenie, fizicheskaia kul'tura”. 2011;26(243):62-6 (in Russian)].
- Коркмазов М.Ю., Коркмазов А.М., Дубинец И.Д., и др. Влияние немедикаментозной терапии на сроки реабилитации и занятие стендовой стрельбой после перенесенных ринохирургических вмешательств. Человек. Спорт. Медицина. 2020;20(S1):136-44 [Korkmazov MYu, Korkmazov AM, Dubinets ID, et al. Influence of non-drug therapy on rehabilitation time and skeet shooting after rhinosurgical interventions. Chelovek. Sport. Meditsina. 2020;20(S1):136-44 (in Russian)]. doi: 10.14529/hsm20s117
- Талибов А.Х., Коркмазов М.Ю., Ленгина М.А., и др. Персонифицированный подход к повышению качества жизни и психофизической готовности спортсменов-гиревиков коррекцией сенсорных и вазомоторных расстройств ЛОР-органов. Человек. Спорт. Медицина. 2021;21(4):29-41 [Talibov AKh, Korkmazov MYu, Lengina MA, et al. Personalized approach to improving the quality of life and psychophysical readiness of weightlifters through the correction of sensory and vasomotor disorders of ENT organs. Chelovek. Sport. Meditsina. 2021;21(4):29-41 (in Russian)]. doi: 10.14529/hsm210404
- Полипозный риносинусит. Клинические рекомендации. 2019. Режим доступа: https://www.vodkb.ru/wp-content/uploads/pages/documents/klin-recomend/Polipoznyj-rinosinusit19.pdf. Ссылка активна на 26.01.2023 [Polypous rhinosinusitis. Clinical recommendations. 2019. Available at: https://www.vodkb.ru/wp-content/uploads/pages/documents/klin-recomend/Polipoznyj-rinosinusit19.pdf. Accessed: 26.01.2023 (in Russian)].
- Коркмазов М.Ю., Коркмазов А.М., Дубинец И.Д., и др. Особенности альтеративного воздействия импульсного шума на кохлеарный анализатор у спортсменов: прогноз, методы коррекции и профилактики. Человек. Спорт. Медицина. 2021;21(2):189-200 [Korkmazov MYu, Korkmazov AM, Dubinets ID, et al. Features of alternative impact of pulse noise on the cochlear analyzer in athletes: prognosis, methods of correction and prevention of Human. Chelovek. Sport. Medicine. 2021;21(2):189-200 (in Russian)]. doi: 10.14529/hsm210223
- Коркмазов М.Ю., Дубинец И.Д., Ленгина М.А., и др. Отдельные показатели иммунологи- ческой реактивности при хирургической альтерации ЛОР-органов. Российский иммунологический журнал. 2022;25(2):201-6 [Korkmazov MYu, Dubinets ID, Lengina MA, et al. Distinct indexes of immunological reactivity in surgical alteration of ORL organs. Rossiyskiy immunologicheskiy zhurnal. 2022;25(2):201-6 (in Russian)]. doi: 10.46235/1028-7221-1121-DIO
- Козлов В.С., Савлевич E.Л., Горбунов С.А., Фельшин Д.И. Эффективность локальной терапии при острых воспалительных заболеваниях верхних дыхательных путей. Вестник оториноларингологии. 2020;85(1):68-73 [Kozlov VS, Savlevich EL, Gorbunov SA, Felshin DI. The effectiveness of local therapy in acute inflammatory diseases of the upper respiratory tract. Bulletin of Otorhinolaryngology. 2020;85(1):68-73 (in Russian)]. doi: 10.17116/otorino20208501168
- Коркмазов М.Ю., Дубинец И.Д., Ленгина М.А., Солодовник А.В. Локальные концентрации секреторного иммуноглобулина А у пациентов с аденоидитом, риносинуситом и обострением хронического гнойного среднего отита на фоне применения в комплексной терапии физических методов воздействия. Российский иммунологический журнал. 2021;24(2):297-304 [Korkmazov MYu, Dubinets ID, Lengina MA, Solodovnik AB. Local concentrations of secretory immunoglobulin A in patients with adenoiditis, rhinosinusitis and exacerbation of chronic purulent otitis media when using physiatric methods in complex therapy. Rossiyskiy immunologicheskiy zhurnal. 2021;24(2):297-304 (in Russian)]. doi: 10.46235/1028-7221-999-LCO
- Дубинец И.Д., Синицкий А.И., Коркмазов М.Ю., и др. Окислительная модификация белков ткани височной кости при хронических средних отитах. Казанский медицинский журнал. 2019;100(2):226-31 [Dubinets ID, Sinitsky AI, Korkmazov MYu, et al. Oxidative protein modification of the temporal bone tissue in chronic otitis media. Kazanskiy meditsinskiy zhurnal. 2019;100(2):226-31 (in Russian)]. doi: 10.17816/KMJ2019-226
- Дубинец И.Д., Коркмазов М.Ю., Синицкий А.И., и др. Изменение элементного состава височной кости у пациентов с хроническим гнойным средним отитом. Вестник оториноларингологии. 2020;85(5):44-50 [Dubinets ID, Korkmazov MY, Sinitsky AI, et al. Changes in the elemental composition of the temporal bone in patients with chronic suppurative otitis media. Vestnik otorinolaringologii. 2020;85(5):44-50 (in Russian)]. doi: 10.17116/otorino20208505144
- Дубинец И.Д., Коркмазов М.Ю., Синицкий А.И., и др. Окислительный стресс на локальном и системном уровне при хронических гнойных средних отитах. Медицинский совет. 2021;18:148-56 [Dubinets ID, Korkmazov MYu, Sinitskii AI, et al. Local and systemic oxidative stress in chronic suppurative otitis media. Meditsinskiy sovet. 2021;18:148-56 (in Russian)]. doi: 10.21518/2079-701X-2021-18-148-156
- Коркмазов М.Ю., Ангелович М.С., Ленгина М.А., Ястремский А.П. Пятнадцатилетний опыт пластики ликворных свищей с применением высокоинтенсивного лазерного излучения. Медицинский совет. 2021;18:192-201 [Korkmazov MYu, Angelovich MS, Lengina MA, Yastremsky AP. Fifteen years of experience in plastic liquor fistulas using high-intensity laser radiation. Meditsinskiy sovet. 2021;18:192-201 (in Russian)]. doi: 10.21518/2079-701X-2021-18-192-201
- Гизингер О.А., Коркмазов А.М., Коркмазов М.Ю. Состояние факторов антимикробной защиты назального секрета у пациентов, оперированных по поводу искривления носовой перегородки в ранний послеоперационный период. Российский иммунологический журнал. 2017;11(2):117-9 [Gisinger OA, Korkmazov AM, Korkmazov MYu. The state of antimicrobial protection factors of nasal secretion in patients operated on the curvature of the nasal septum in the early postoperative period. Rossiyskiy immunologicheskiy zhurnal. 2017;11(2):117-9 (in Russian)].
- Коркмазов М.Ю., Ангелович М.С., Ленгина М.А., Белоусов С.Ю. Клинический случай ангиосаркомы решетчатого лабиринта и лобной пазухи, вопросы морфологической верификации диагноза. Вестник оториноларингологии. 2022;87(4):102-6 [Korkmazov MYu, Angelovich MS, Lengina MA, Belousov SYu. Clinical case of angiosarcoma of ethmoidal labyrinth and frontal sinus, issues of morphological verification of diagnosis. Vestnik otorinolaringologii. 2022;87(4):102-6 (in Russian)]. doi: 10.17116/otorino202287041102
- Коркмазов М.Ю., Солодовник А.В., Коркмазов А.М., Ленгина М.А. Перспективы использования растительного препарата в сочетании с физическими методами при комплексной терапии хронического аденоидита. Медицинский совет. 2021;18:19-27 [Korkmazov MYu, Solodovnik AV, Korkmazov AM, Lengina MA. Prospects for using herbal preparation in combination with physical methods in complex therapy of chronic adenoiditis. Meditsinskiy sovet. 2021;18:19-27 (in Russian)]. doi: 10.21518/2079-701X-2021-18-19-27
- Редько Д.Д., Шляга И.Д. Грибковый синусит (обзор литературы). Проблемы здоровья и экологии. 2012;2:34-40 [Redko DD, Shlyaga ID. Fungal sinusitis (literature review). Problemy zdorov'ya i ekologii. 2012;2:34-40 (in Russian)]. doi: 10.51523/2708-6011.2012-9-2-6
- Морозова О.В. Роль грибковой инфекции в этиологии риносинуситов. Практическая медицина. 2012;2:201-4 [Morozova OV. The role of fungal infection in the etiology of rhinosinusitis. Prakticheskaya meditsina. 2012;2:201-4 (in Russian)].
- Дайняк Л.Б., Кунельская В.Я. Микозы верхних дыхательных путей. М.: Медицина, 1979 [Dainiak LB, Kunel'skaia VIa. Mikozy verkhnikh dykhatel'nykh putei. Moscow: Meditsina, 1979 (in Russian)].
- Кунельская В.Я. Роль грибковой флоры и патологии ЛОР органов и современные методы терапии ЛОР-микозов. В: Достижения клинической оториноларингологии. М., 1985; с. 68-73 [Kunel'skaya VYa. Rol' gribkovoi flory i patologii LOR organov i sovremennye metody terapii LOR-mikozov. In: Dostizheniia klinicheskoi otorinolaringologii. Moscow, 1985; p. 68-73 (in Russian)].
- Никитин К.А., Чайка Н.А. СПИД в оториноларингологической практике. Вестник оториноларингологии. 1991;2:44-8 [Nikitin KA, Chayka NA. AIDS in otorhinolaryngological practice. Vestnik otorinolaringologii. 1991;2:44-8 (in Russian)].
- Singh АK, Gupta P, Verma N, et al. Fungal Rhinosinusitis: Microbiological and Histopathological Perspective. J Clin Diagn Res. 2017;11(7):10-2. doi: 10.7860/JCDR/2017/25842.10167
- Красножен В.Н., Хайритонова З.Х., Глушко Н.И. Роль плесневых и дрожжевых грибов в формировании хронических риносинуситов. Успехи медицинской микологии: Материалы первого всероссийского конгресса по медицинской микологии. М., 2003. Т. 2; с. 246-7 [Krasnozhen VN, Khairitonova ZKh, Glushko NI. Rol' plesnevykh i drozhzhevykh gribov v formirovanii khronicheskikh rinosinusitov. Uspekhi meditsinskoi mikologii: Materialy pervogo vserossiyskogo kongressa po meditsinskoi mikologii. Moscow, 2003. Vol. 2; p. 246-7 (in Russian)].
- Серова Н.С., Евсеева Е.В. Лучевая диагностика одонтогенного верхнечелюстного синусита. Вестник оториноларингологии. 2017;2:46-50 [Serova NS, Evseeva EV. Radiodiagnostics of odontogenic maxillary sinusitis. Vestnik otorinolaringologii. 2017;2:46-50 (in Russian)]. doi: 10.17116/otorino201782246-50
- DeShazo RD, Chapin K, Swain RE. Fungal Sinusitis. New Eng J Med. 1997;337:254-9. doi: 10.1056/NEJM199707243370407
- Шляга И.Д. Диагностика и лечение грибковых синуситов в современных условиях. Медицинский журнал. 2013;2:127-30 [Shlyaga ID. Diagnostics and treatment of fungal chronic sinusitis under present-day conditions. Meditsinskiy zhurnal. 2013;2:127-30 (in Russian)].
- Карпищенко С.А., Станчева О.А., Суворкина А.Д. Особенности диагностики и лечения изолированных грибковых поражений клиновидной пазухи. Folia otorhinolaryngologie et pathologiae respiratoriae. 2017;3:50-7 [Karpischenko SA, Stancheva OA, Suvorkina AD. Features of diagnosis and treatment of isolated fungal sphenoid sinusitis. Folia Otorhinolaryngol Pathol Respirat. 2017;3:50-7 (in Russian)].
- Mitra S, Kundu S, Prasad Chatterjee R, et al. A unique case of aspergillosis involving the maxillary antrum. Int J Curr Res. 2018;10(2):65538-41.
- Лопатин А.С. Грибковые заболевания околоносовых пазух. Российская оториноларингология. 1999;1:46-8 [Lopatin AS. Fungal diseases of the paranasal sinuses. Rossiyskaya otorinolaringologiya. 1999;1:46-8 (in Russian)].
- Guevara N, Roy D, Dutruc-Rosset C, et al. Mucormycosis – early diagnosis and treatment. Rev Laryngol Otol Rhinol. 2004;125(2):127-31.
- Montone KT. Pathology of Fungal Rhinosinusitis: A Review. Head Neck Pathol. 2016;10(1):40-6. doi: 10.1007/s12105-016-0690-0
- Пискунов Г.З., Пискунов С.З., Козлов В.С., Лопатин А.С. Заболевания носа и околоносовых пазух: эндомикрохирургия. М.: Коллекция «Совершенно секретно», 2003 [Piskunov GZ, Piskunov SZ, Kozlov VS, Lopatin AS. Zabolevaniia nosa i okolonosovykh pazukh: endomikrokhirurgiia. Moscow: Kollektsiia “Sovershenno sekretno”, 2003 (in Russian)].
- Lim H-S, Yoon YH, Xu J, et al. Isolated sphenoid sinus fungus ball: a retrospective study conducted at a tertiary care referral center in Korea. Eur Arch Otorhinolaryngol. 2017;274(6):2453-9. doi: 10.1007/s00405-017-4468-0
- Ponikau JU, Sherris DA, Kern EB, et al. The diagnosis and incidence of allergic fungal sinusitis. Mayo Clin Proc. 1999;74(9):877-4. doi: 10.4065/74.9.877
- Lackner A, Stammberger H, Buzina W, et al. Fungi: a normal content of human nasal mucus. Am J Rhinol. 2005;19(2):125-9.
- Mensi M, Piccioni M, Marsili F, et al. Risk of maxillary fungus ball in patients with endodontic treatment on maxillary teeth: a case-control study. Oral Surg Oral Med Oral Pathol Oral Radiol Endod. 2007;103(3):433-6. doi: 10.1016/j.tripleo.2006.08.014
- Montone KT. Pathology of Fungal Rhinosinusitis: A Review. Head Neck Pathol. 2016;10(1):40-6. doi: 10.1007/s12105-016-0690-0
- Soler ZM, Schlosser RJ. The role of fungi in diseases of the nose and sinuses. Am J Rhinol Allergy. 2012;26(5):351-8. doi: 10.2500/ajra.2012.26.3807
- Волков А.Г., Трофименко С.Л. Клинические проявления вторичного иммунодефицита при заболеваниях ЛОР-органов. М.: Джангар, 2007 [Volkov AG, Trofimenko SL. Klinicheskie proiavleniia vtorichnogo immunodefitsita pri zabolevaniiakh LOR-organov. Moscow: Dzhangar, 2007 (in Russian)].
- Clancy CJ, Nguyen MH. Invasive sinus aspergillosis in apparentky immunocompetent hosts. J Infect. 1998;37(3):229-40. doi: 10.1016/s0163-4453(98)91921-1
- Коркмазов М.Ю., Ленгина М.А. Необходимость дополнительных методов реабилитации больных с кохлео-вестибулярной дисфункцией. Вестник оториноларингологии. 2012;S5:76-7. Режим доступа: https://www.elibrary.ru/item.asp?id=32349459. Ссылка активна на 27.01.2023 [Korkmazov MYu, Lengina MA. The need for additional methods of rehabilitation of patients with cochleo-vestibular dysfunction. Bulletin of Otorhinolaryngology. 2012;S5:76-7 (in Russian)]. Available at: https://www.elibrary.ru/item.asp?id=32349459. Accessed: 27.01.2023.
- Park GY, Kim HY, Min JY, et al. Endodontic treatment: a significant risk factor for the development of maxillary fungal ball. Clin Exp Otorhinolaryngol. 2010;3(3):136-40. doi: 10.3342/ceo.2010.3.3.136
- Grosjean P, Weber R. Fungus balls of the paranasal sinuses: a review. Eur Arch Otorhinolaryngol. 2007;264(5):461-70. doi: 10.1007/s00405-007-0281-5
- Полипозный риносинусит. Клинические рекомендации. 2022. Режим доступа: http://rhinology.ru/wp-content/uploads/2022/10/ПРС-Клинические_рекомендации_ финал.pdf. Ссылка активна на 27.01.2023 [Polypous rhinosinusitis. Clinical recommendations. 2022. Available at: http://rhinology.ru/wp-content/uploads/2022/10/ПРС-Клинические_рекомендации_финал.pdf. Accessed: 27.01.2023 (in Russian)].
- Насыров В.А., Миненков Г.О., Исламов И.М., Солодченко Н.В. КТ-диагностика мицетом. Вестник Кыргызско-Российского славянского университета. 2018;182:71-3 [Nasyrov VA, Minenkov GO, Islamov IM, Solodchenko NV. CT-diagnosis of fungus ball. Vestnik Kyrgyzsko-Rossiyskogo slavyanskogo universiteta. 2018;182:71-3 (in Russian)].
- Щербаков Д.А., Попов И.Б., Кротова А.С., Екимова А.Е. Наш опыт применения навигационной системы при эндоскопическом хирургическом лечении грибкового тела основной пазухи. Folia Otorhinolaryngologiae et Pathologiae Respiratoria. 2017;23(4):99-105 [Shcherbakov DA, Popov IB, Krotova AS, Ekimova AE. Surgical endoscopic treatment experience of fungal ball in sphenoid sinus under navigation system. Folia Otorhinolaryngol Pathol Respirat. 2017;23(4):99-105 (in Russian)].
- Zhu H, Zhang W, Guan J, et al. CT imaging and clinical features of sinus fungus ball with bone erosion. J Nat Sci. 2015;1(4):69.
- Eloy P, Marlair C, de Dorlodot CL, Weynand B. Maxillary and Sphenoid Sinus Fungus Ball: A Single Belgian Centre's Experience. J Otol Rhinol. 2014;3:6. doi: 10.4172/2324-8785.1000198
- Труфанов Г.Е. Лучевая диагностика заболеваний околоносовых пазух и полости носа. СПб.: Элби-СПб, 2011 [Trufanov GE. Luchevaia diagnostika zabolevanii okolonosovykh pazukh i polosti nosa. Saint Petersburg: Elbi-SPb, 2011 (in Russian)].
- Iqbal J, Rashid S, Darira J, et al. Diagnostic Accuracy of CT Scan in Diagnosing Paranasal Fungal Infection. J Coll Phys Surg Pak. 2017;27(5):271-4.
- Крюков А.И., Попов И.Б., Грачев Н.С., и др. Два случая больших грибковых тел околоносовых пазух и полости носа. Голова и шея. Российский журнал. 2019;7(1):42-6 [Kryukov AI, Popov IB, Grachev NS, et al. Large fungal masses in paranasal sinuses and nasal cavity: two clinical cases. Head and Neck. Russian Journal. 2019;7(1):42-6 (in Russian)]. doi: 10.25792/HN.2019.7.1.42-46
- Коркмазов М.Ю., Ленгина М.А., Дубинец И.Д., и др. Возможности коррекции отдельных звеньев патогенеза аллергического ринита и бронхиальной астмы с оценкой качества жизни пациентов. Медицинский совет. 2022;16(4):24-34 [Korkmazov MYu, Lenina MA, Dubinets ID, et al. The possibility of correcting individual links in the pathogenesis of allergic rhinitis and bronchial asthma with an assessment of the quality of life of patients. Medical Counsil. 2022;16(4):24-4 (in Russian)]. doi: 10.21518/2079-701X-2022-16-4-24-34
- Савлевич Е.Л., Егоров В.И., Шачнев К.Н., Татаренко Н.Г. Анализ схем лечения полипозного риносинусита в Российской Федерации. Российская оториноларингология. 2019;18(1):124-34 [Savlevich EL, Egorov VI, Shachnev KN, Tatarenko NG. The analysis of polypous rhinosinusitis treatment regimens in the Russian Federation. Rossiiskaya otorinolaringologiya. 2019;18(1):124-34 (in Russian)]. doi: 10.18692/1810-4800-2019-1-124-134
- Савлевич Е.Л., Пелишенко Т.Г., Козлов В.С., и др. Ведение пациентов в периоперационном периоде при операциях в полости носа и на околоносовых пазухах. Российская оториноларингология. 2021;20(4):102-9 [Savlevich EL, Pelishenko TG, Kozlov VS, et al. Perioperative management of patients with operated nasal cavity and paranasal sinuses. Rossiiskaya otorinolaringologiya. 2021;20(4):102-9 (in Russian)]. doi: 10.18692/1810-4800-2021-4-102-109
- Павлуш Д.Г., Дюйзен И.В. Морфологическая характеристика различных типов полипозного риносинусита. Российская оториноларингология. 2019;18(1):76-82 [Pavlush DG, Dyuizen IV. Morphological characteristics of various types of polypous rhinosinusitis. Rossiyskaya otorinolaringologiya. 2019;18(1):76-82 (in Russian)]. doi: 10.18692/1810-4800-2019-1-76-43
- Коркмазов М.Ю., Зырянова К.С., Дубинец И.Д., Корнова Н.В. Оптимизация педагогического процесса на кафедре оториноларингологии. Вестник оториноларингологии. 2014;1:82-5 [Korkmazov MYu, Zyrianova KS, Dubinets ID, Kornova NV. Optimization of the pedagogical process at the department of otorhinolaryngology. Vestnik otorinolaringologii. 2014;1:82-5 (in Russian)].
Supplementary files











