Combination of cortical-subcortical infarction with lobar microbleeds as a specific MRI pattern in patients with infective endocarditis
- Authors: Demin D.A.1, Kulesh A.A.2,3, Nikolaeva E.V.4, Shaposhnikova E.I.1, Lezhikova M.V.1, Astanin P.A.5
-
Affiliations:
- Federal Center for Cardiovascular Surgery
- Vagner Perm State Medical University
- City Clinical Hospital №4
- Pyatigorsk City Clinical Hospital №2
- Pirogov Russian National Research Medical University
- Issue: Vol 25, No 2 (2023): Neurology and rheumatology
- Pages: 86-90
- Section: Articles
- Published: 15.02.2023
- URL: https://consilium.orscience.ru/2075-1753/article/view/553086
- DOI: https://doi.org/10.26442/20751753.2023.2.202230
- ID: 553086
Cite item
Full Text
Abstract
Background. Ischemic stroke (IS) and cerebral microbleeds (CMB) are the most common types of neurological complications of infective endocarditis (IE), while their combination is poorly understood.
Aim. To evaluate the pattern of combination of cortical-subcortical infarction with lobar CMB or subarachnoid hemorrhage (SAH) in patients with ”left-sided” IE.
Materials and methods. A retrospective case-control study was conducted, including patients with IE who received cardiac surgery at the Federal Center for Cardiovascular Surgery. Inclusion criteria: age of patients ≥18 years; definite or possible (Duke criteria) IE of the left heart (aortic and/or mitral valves). The control group included patients without IE, with non-lacunar (likely embolic) IS. In both groups, the pattern of combination of cortical-subcortical infarction with lobar CMB or SAH was assessed. Differences between groups of patients were assessed using the χ2 test, Fisher's exact test and the Mann–Whitney test. Additionally, odds ratios for binary features were calculated. To assess the information content of the studied pattern, classical classification quality metrics were calculated: accuracy, sensitivity, and specificity.
Results. In patients with IS, infarcts corresponded to the main characteristics of cardioembolism: involvement of multiple cerebral arterial territories (84%), multiple infarcts (88%), cortical-subcortical localization (100%), and a high incidence of hemorrhagic transformation (44%). CMB was detected in 64% of cases (in 93.8%, CMB localization was lobar), SAH – in 28% of patients (with CMB in 6 out of 7 cases). The pattern of combination of cortical-subcortical infarction with lobar CMB or SAH was observed in 64% in the IE group (in the control group – in 12%). Odds ratio for the presence of IE was 13.0 (95% confidence interval 3.04–55.9; p<0.001). The accuracy of the sign was 76%, specificity – 71%, sensitivity – 84%.
Conclusion. The combination of cortical-subcortical infarcts with lobar CMB or SAH may be a sign characteristic of IE-associated stroke.
Keywords
Full Text
Введение
Инфекционный эндокардит (ИЭ) приводит к развитию церебральных неврологических осложнений (ЦНО) у каждого 4-го пациента, а при выполнении рутинной магнитно-резонансной томографии (МРТ) головного мозга частота возрастает до 80% [1, 2]. К основным типам ЦНО относятся ишемический инсульт (ИИ) и транзиторная ишемическая атака, внутричерепные кровоизлияния – субарахноидальные (САК), внутримозговые и церебральные микрокровоизлияния (ЦМК), а также инфекционные осложнения, включающие менингит, энцефалит, абсцесс и инфекционные аневризмы. Церебральные поражения могут влиять на первичную диагностику эндокардита, ухудшать прогноз заболевания и оказывать влияние на сроки хирургического лечения. При проведении МРТ головного мозга возможно выявление широкого спектра ЦНО, относящегося к малым критериям ИЭ по Duke (инфаркты, внутричерепное кровоизлияние, аневризмы). Это может сократить время диагностической неопределенности и, соответственно, задержки лечебных мероприятий. По данным ранее проведенных исследований, церебральные инфаркты и ЦМК – наиболее частые типы ЦНО, выявляемые по данным МРТ у пациентов с ИЭ, о чем свидетельствуют результаты систематического обзора и метаанализа Y. Ahn и соавт. (2022 г.) [3]. Каждое из этих осложнений имеет свои особенности. Так, характеристики инфарктов соответствуют кардиоэмболии (разные бассейны, кортикальные инфаркты, высокая частота геморрагической трансформации), а ЦМК часто являются множественными и преимущественно долевыми, что отличает их от микрокровоизлияний при спорадической церебральной микроангиопатии. Таким образом, мы решили изучить нейровизуализационный профиль и оценить, является ли сочетание эмболических инфарктов и долевых ЦМК (или САК) характерным паттерном ИЭ-ассоциированного инсульта.
Материалы и методы
Проведено ретроспективное исследование по типу «случай-контроль», включающее пациентов с ИЭ, прошедших кардиохирургическое лечение в ФГБУ ФЦССХ (г. Астрахань). Критерии включения: возраст пациентов ≥18 лет; достоверный или вероятный (критерии Duke) ИЭ левых отделов сердца (аортальный и/или митральный клапаны). В контрольную группу включены случайные пациенты без ИЭ, имеющие нелакунарный (предполагаемо – эмболический) ИИ. Критерии невключения: изолированный ИЭ правых отделов сердца, небактериальный тромбэндокардит и хронический ИЭ. Демографические параметры, коморбидность, физикальные и эхокардиографические показатели получены из госпитальной информационной системы. Мы не выравнивали группы по основным клинико-демографическим параметрам, так как предметом изучения являлся нейровизуализационный паттерн. Учитывая, что никаких вмешательств вне установленного протокола стационарного лечения не проводилось, информированное согласие не требовалось.
Нейровизуализация
Показаниями к выполнению нейровизуализации в практике центра является анамнез острой неврологической патологии, клинические признаки неврологических осложнений, а также сомнения в диагнозе ИЭ, когда церебральные поражения могут выступить дополнительными критериями диагноза. В условиях ФГБУ ФЦССХ МРТ головного мозга проводилась на томографе Siemens Magnetom Avanto 1,5 Tесла. Протокол оценки включал последовательности DWI, FLAIR, T1, T2 и T2*, а также время-пролетную магнитно-резонансную ангиографию (Time-Of-Flight, TOF). ЦМК определялись как округлые гипоинтенсивные очаги на Т2* диаметром ≤10 мм, САК – как линейная гиперинтенсивность на FLAIR или гипоинтенсивность на Т2*, соответствующая форме кортикальных борозд. Если для исследования использовались данные МРТ, выполненной по месту первичного обращения, мы включали их в анализ только при наличии магнитно-резонансных последовательностей, позволяющих вывить описанные изменения.
Эхокардиографические и лабораторные данные
У всех пациентов доступна трансторакальная и чреспищеводная эхокардиография (аппараты Phillips iE33, Phillips Affiniti 70, Phillips Epiq 5). Оценивались вегетации с определением их длины, перивальвулярные и клапанные поражения. Микробиологическую информацию получали из посевов крови и интраоперационных образцов резецированных тканей сердца.
Статистический анализ данных
Для анализа данных использованы непараметрические методы. В рамках описательной статистики для качественных признаков рассчитывались доли (n, %), для количественных признаков – медиана и межквартильный размах (Me [Q1; Q3]). Оценка различий между качественными признаками осуществлялась с использованием критерия χ2 или точного критерия Фишера (при наличии значений в ячейках таблицы сопряженности менее 5). Для оценки различий по количественным признакам применялся критерий Манна–Уитни. Дополнительно рассчитывались отношения шансов (ОШ) для бинарных признаков. Для оценки информативности исследуемого паттерна рассчитывались классические метрики качества классификации: точность, чувствительность и специфичность (%). Статистически значимыми считались результаты проверки гипотез при p<0,050.
Результаты
Среди 222 случаев «левостороннего» ИЭ частота ЦНО составила 25,7% (57 пациентов). Чаще наблюдался ИИ – у 43 (19,4%) пациентов. Транзиторная ишемическая атака развилась у 4 (1,8%) пациентов, внутричерепные кровоизлияния – у 12 (5,4%, в 2 случаях выявлен разрыв инфекционных аневризм), воспалительные поражения (менингит, энцефалит, абсцесс) – у 6 (2,7%). Восемь (3,6%) пациентов имели сочетание разных типов ЦНО. Среди пациентов с ИИ данные МРТ, позволяющие выявить ЦМК и САК, доступны у 25 пациентов, которые и вошли в основную группу исследования. В контрольную группу, также включающую 25 пациентов, вошли пациенты со следующими подтипами ИИ: кардиоэмболический, не связанный с ИЭ (n=9), атеротромботический (n=9), эмболический инсульт из неустановленного источника (n=5), другой уточненный (n=2). В группу атеротромботического ИИ включались пациенты с предполагаемым механизмом инсульта по типу артерио-артериальной эмболии. Демографические и клинические характеристики представлены в табл. 1. Медиана возраста составила 46 [35; 57] лет, доля женщин − 24%. ИЭ протезированного клапана наблюдался в 8% случаев, вегетации >10 мм присутствовали у 80% пациентов, Staphylococcus aureus оказался возбудителем ИЭ в 12% случаев (самый частый возбудитель − Enterococcus faecalis, высеянный у 20% пациентов).
Таблица 1. Демографические и клинические характеристики пациентов | |||
Показатель | Группа ИЭ (n=25) | Группа без ИЭ (n=25) | p-value |
Женский пол, абс. (%) | 6 (24,0) | 6 (24,0) | 1,000 |
Возраст, лет (Me [Q1–Q3]) | 46 [35; 57] | 63 [56; 65] | <0,001 |
Артериальная гипертензия, абс. (%) | 7 (28,0) | 22 (88,0) | <0,001 |
Сахарный диабет, абс. (%) | 2 (8,0) | 8 (32,0) | 0,074 |
Фибрилляция предсердий, абс. (%) | 5 (20,0) | 7 (28,0) | 0,742 |
Каротидный стеноз >50%, абс. (%) | 1 (4,0) | 10 (40,0) | 0,005 |
Антитромботические препараты, абс. (%) | 20 (80,0) | 23 (92,0) | 0,417 |
Реперфузионная терапия, абс. (%) | 1 (4,0) | 0 (0,0) | 1,000 |
Характеристики данных МРТ
Нейровизуализационные данные представлены в табл. 2. У пациентов с ИЭ очаги ИИ соответствовали основным характеристикам кардиоэмболии: поражение разных сосудистых бассейнов (84%), множественные (>1 зоны) инфаркты (88%), кортикально-субкортикальная локализация (100%; глубинная/стволовая – у 32%), высокая частота геморрагической трансформации (44%). У 28% пациентов максимальный размер инфаркта составил >5 см, у 20% − от 2 до 5 см, у 52% − <2 см. ЦМК выявлены в 64% случаев, при этом в 93,8% локализация ЦМК долевая, а у 56% пациентов с ЦМК наблюдались множественные (>1) микрокровоизлияния. САК выявлено у 28% пациентов (при этом из 7 пациентов инфекционная аневризма по данным магнитно-резонансной ангиографии выявлена только в 1 случае, а сосуществующие ЦМК – у 6). Изучаемый нами паттерн сочетания кортикально-субкортикального инфаркта с долевым ЦМК или САК (рис. 1) наблюдался у 64% пациентов в группе ИЭ, в контрольной – у 12%. ОШ для наличия ИЭ составило 13,0 (95% доверительный интервал 3,04–55,9; p<0,001). Точность признака – 76%, специфичность – 71%, чувствительность – 84%.
Таблица 2. Нейровизуализационные характеристики церебральных инфарктов | ||||
Показатель | Группа ИЭ (n=25) | Группа без ИЭ (n=25) | ОШ [95% доверительный интервал] | p-value |
Инфаркты в разных бассейнах, абс. (%) | 21 (84,0) | 8 (32,0) | <0,001 | |
Множественные инфаркты, абс. (%) | 22 (88,0) | 15 (60,0) | 0,034 | |
Кортикально-субкортикальные инфаркты, абс. (%) | 25 (100,0) | 19 (76,0) | – | 0,022 |
Глубинные/стволовые инфаркты, абс. (%) | 8 (32,0) | 11 (44,0) | 0,561 | |
Геморрагическая трансформация, абс. (%) | 11 (44,0) | 8 (32,0) | 0,561 | |
Размер инфаркта >5 см, абс. (%) | 7 (28,0) | 7 (28,0) | 1,000 | |
ЦМК, абс. (%) | 16 (64,0) | 6 (24,0) | 0,010 | |
Долевые ЦМК, абс. (%) | 15 (60,0) | 5 (20,0) | 0,009 | |
Множественные ЦМК, абс. (%) | 9 (36,0) | 5 (20,0) | 0,345 | |
САК, абс. (%) | 7 (28,0) | 0 (0,0) | – | 0,010 |
Паттерн «кортикально-субкортикальный инфаркт с долевым ЦМК или САК» | 16 (64) | 3 (12) | <0,001 | |
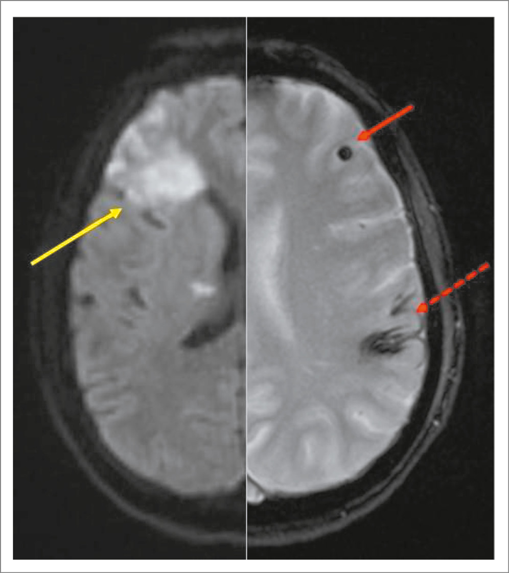
Рис. 1. Паттерн сочетания кортикально-субкортикального инфаркта (желтая стрелка указывает на острые ишемические изменения на МРТ-DWI) и ЦМК (сплошная красная стрелка) или САК (пунктирная красная стрелка).
Обсуждение
Частота ИИ у пациентов с «левосторонним» ИЭ по данным нашего исследования составила 19,4%, что соответствует результатам ранее проведенных исследований (14–25%) [1, 4]. При выполнении рутинной МРТ патологические изменения выявляются у 4 из 5 пациентов с ИЭ, при этом чаще наблюдаются острые инфаркты (52%) и ЦМК (57%), что продемонстрировано в исследовании IMAGE [2]. Среди характеристик церебральных инфарктов мы отметили высокую частоту признаков кардиоэмболии: поражение разных сосудистых бассейнов, множественность инфарктов, кортикально-субкортикальная локализация и геморрагическая трансформация. Это свидетельствует о существенном эмболическом потенциале эндокардита, при котором вегетации приводят к рецидивирующим церебральным инфарктам в пределах короткого временного интервала, о чем свидетельствуют данные A. Hess и соавт. (2013 г.): в 52,5% случаях выявлены инфаркты разного срока давности, что отражает рецидивирующую эмболию [5]. В исследовании I. Valenzuela и соавт. (2018 г.) частота кортикально-субкортикальных инфарктов составила 71,4%, а вовлечение передней и задней циркуляции наблюдалось у 51% пациентов, при этом в каждом 4-м случае визуализация ограничивалась компьютерной томографией (КТ), что может занижать истинную распространенность признаков кардиоэмболии [6]. Наши данные по множественным инфарктам соответствуют результатам исследования S. Okazaki и соавт. (2013 г.), сообщающих, что множественные (в среднем 3) очаги наблюдались у 77% пациентов [7]. Мы также выявили высокую частоту геморрагической трансформации (44%), встречаемость которой, по данным разных авторов, составляет 15–35,4% [6, 8]. Такая высокая частота может объясняться тем, что септическая эмболия помимо окклюзии артерии вызывает воспалительные изменения в ее стенке (артериит, эрозия) с повышением частоты развития кровоизлияний. Ранее сообщаемая частота ЦМК при ИЭ составляет 53–57% [2, 3], в нашем исследовании – 64%. Причина ЦМК у больных с ИЭ может заключаться в подостром микрососудистом процессе – васкулите или эмболии в vasa vasorum. В пользу последнего механизма свидетельствует тот факт, что большинство ЦМК имеет долевую локализацию – 67–72% [5, 7]. Частота САК по нашим данным составила 28%. По данным метаанализа Y. Ahn и соавт. (2022 г.) распространенность внутричерепных геморрагических поражений достигает 24,7% [3], при этом САК, также имеющее в своей основе артериит (с формированием инфекционных аневризм или без), наблюдается у 7–8% пациентов при рутинном проведении МРТ [2, 5].
Согласно текущим подходам к верификации ИЭ эмболии относятся к малым критериям диагноза, а ЦМК не учитываются в качестве диагностических признаков [9]. Обобщая полученные данные по уникальному сочетанию эмболических и геморрагических изменений, мы оценили паттерн наличия кортикально-субкортикального ИИ с долевыми ЦМК или САК. Данный признак характерен для инсульта на фоне ИЭ – он наблюдается у 2/3 пациентов и имеет высокие показатели точности (76%), специфичности (71%) и чувствительности (84%), что может быть полезным инструментом в интерпретации нейровизуализационных данных.
Ограничения
Исследование имеет несколько ограничений. Мы не проводим рутинную нейровизуализацию, поэтому исследование имеет ограниченную выборку. Также мы не выполняли селективную или КТ-ангиографию всем пациентам с выявленными геморрагическими изменениями, поэтому не можем оценить истинную частоту инфекционных аневризм.
Заключение
ИЭ демонстрирует высокую частоту развития как ИИ, так и внутричерепных кровоизлияний, при этом сочетание данных проявлений создает уникальный для эндокардита тип поражения головного мозга. Паттерн кортикально-субкортикального инфаркта в сочетании с долевым ЦМК или САК, наблюдаемый у 2/3 пациентов с ИИ, ассоциированным с «левосторонним» эндокардитом, может служить характерным признаком данной этиологии инсульта.
Раскрытие интересов. Авторы декларируют отсутствие явных и потенциальных конфликтов интересов, связанных с публикацией настоящей статьи.
Disclosure of interest. The authors declare that they have no competing interests.
Вклад авторов. Авторы декларируют соответствие своего авторства международным критериям ICMJE. Все авторы в равной степени участвовали в подготовке публикации: разработка концепции статьи, получение и анализ фактических данных, написание и редактирование текста статьи, проверка и утверждение текста статьи.
Authors’ contribution. The authors declare the compliance of their authorship according to the international ICMJE criteria. All authors made a substantial contribution to the conception of the work, acquisition, analysis, interpretation of data for the work, drafting and revising the work, final approval of the version to be published and agree to be accountable for all aspects of the work.
Источник финансирования. Авторы декларируют отсутствие внешнего финансирования для проведения исследования и публикации статьи.
Funding source. The authors declare that there is no external funding for the exploration and analysis work.
About the authors
Dmitry A. Demin
Federal Center for Cardiovascular Surgery
Email: demin2404@mail.ru
ORCID iD: 0000-0003-2670-4172
Neurologist
Russian Federation, AstrakhanAleksey A. Kulesh
Vagner Perm State Medical University; City Clinical Hospital №4
Author for correspondence.
Email: aleksey.kulesh@gmail.com
ORCID iD: 0000-0001-6061-8118
D. Sci. (Med.)
Russian Federation, Perm; PermEkaterina V. Nikolaeva
Pyatigorsk City Clinical Hospital №2
Email: novayakatia@mail.ru
ORCID iD: 0000-0001-5701-2449
Radiologist
Russian Federation, PyatigorskElena I. Shaposhnikova
Federal Center for Cardiovascular Surgery
Email: lena.pincetic@gmail.ru
ORCID iD: 0000-0001-9065-1189
Head of the Department of Radiology
Russian Federation, AstrakhanMarina V. Lezhikova
Federal Center for Cardiovascular Surgery
Email: mvlezhikova@mail.ru
ORCID iD: 0009-0005-9534-3843
Neurologist
Russian Federation, AstrakhanPavel A. Astanin
Pirogov Russian National Research Medical University
Email: med_cyber@mail.ru
ORCID iD: 0000-0002-1854-8686
Assistant of Professor
Russian Federation, MoscowReferences
- García-Cabrera E, Fernández-Hidalgo N, Almirante B, et al. Neurological complications of infective endocarditis: risk factors, outcome, and impact of cardiac surgery: a multicenter observational study. Circulation. 2013;127(23):2272-84. doi: 10.1161/CIRCULATIONAHA.112.000813
- Duval X, Iung B, Klein I, et al. Effect of early cerebral magnetic resonance imaging on clinical decisions in infective endocarditis: a prospective study. Ann Intern Med. 2010;152(8):497-504. doi: 10.7326/0003-4819-152-8-201004200-00006
- Ahn Y, Joo L, Suh CH, et al. Impact of Brain MRI on the Diagnosis of Infective Endocarditis and Treatment Decisions: Systematic Review and Meta-Analysis. AJR Am J Roentgenol. 2022;218(6):958-68. doi: 10.2214/AJR.21.26896
- Rizzi M, Ravasio V, Carobbio A, et al. Predicting the occurrence of embolic events: an analysis of 1456 episodes of infective endocarditis from the Italian Study on Endocarditis (SEI). BMC Infect Dis. 2014;14:230. doi: 10.1186/1471-2334-14-230
- Hess A, Klein I, Iung B, et al. Brain MRI findings in neurologically asymptomatic patients with infective endocarditis. AJNR Am J Neuroradiol. 2013;34(8):1579-84. doi: 10.3174/ajnr.A3582
- Valenzuela I, Hunter MD, Sundheim K, et al. Clinical risk factors for acute ischaemic and haemorrhagic stroke in patients with infective endocarditis. Intern Med J. 2018;48(9):1072-80. doi: 10.1111/imj.13958
- Okazaki S, Yoshioka D, Sakaguchi M, et al. Acute ischemic brain lesions in infective endocarditis: incidence, related factors, and postoperative outcome. Cerebrovasc Dis. 2013;35(2):155-62. doi: 10.1159/000346101
- Sorabella RA, Han SM, Grbic M, et al. Early Operation for Endocarditis Complicated by Preoperative Cerebral Emboli Is Not Associated With Worsened Outcomes. Ann Thorac Surg. 2015;100(2):501-8. doi: 10.1016/j.athoracsur.2015.03.078
- Habib G, Lancellotti P, Antunes MJ, et al. 2015 ESC Guidelines for the management of infective endocarditis: The Task Force for the Management of Infective Endocarditis of the European Society of Cardiology (ESC). Endorsed by: European Association for Cardio-Thoracic Surgery (EACTS), the European Association of Nuclear Medicine (EANM). Eur Heart J. 2015;36(44):3075-128. doi: 10.1093/eurheartj/ehv319
Supplementary files




