Baker's cyst: etiopathogenesis, clinical picture, differential diagnosis of complications: A review
- Authors: Lyalina V.V.1, Skripnichenko E.A.1,2, Borisovskaya S.V.1,2, Obyedkov R.N.1, Lazko F.L.3, Yudin R.I.4, Saltykova V.G.5, Nikitin I.G.1
-
Affiliations:
- Pirogov Russian National Research Medical University
- Buyanov City Clinical Hospital
- People’s Friendship University of Russia (RUDN University)
- Vessel Clinic Medical Center
- Russian Medical Academy of Continuous Professional Education
- Issue: Vol 25, No 2 (2023): Neurology and rheumatology
- Pages: 119-123
- Section: Articles
- Published: 15.02.2023
- URL: https://consilium.orscience.ru/2075-1753/article/view/553604
- DOI: https://doi.org/10.26442/20751753.2023.2.202139
- ID: 553604
Cite item
Full Text
Abstract
Baker’s cyst (BC) is a common condition and can be caused by both inflammatory and non-inflammatory disorders. Small BCs are usually asymptomatic and accidentally revealed. Large BCs present with pain and discomfort in the posterior knee as well as certain limitations of mobility. Large BCs may rupture resulting the fluid efflux down into the calf, which in turn presents with acute pain and number of potential thrombotic and neural complications. On another note, BC rupture requires differentiation with some urgent conditions such as venosus or arterial thrombosis, soft tissue infections etc. In this article we present some aspects of the etiopathogenesis, clinical signs and course of the BC. We also discuss the problematic issues of assessment and diagnostic work-up in case of BC ruptures.
Full Text
Введение
Бурса представляет собой небольшое замкнутое полостное образование. Капсула бурсы образована соединительной тканью, а внутренняя поверхность капсулы выстлана синовиумом, в связи с чем бурсу также называют синовиальной сумкой. Бурсы расположены в тех местах опорно-двигательного аппарата, где необходимо облегчить скольжение между сопряженными структурами мягкого и костного скелета. Наибольшее количество бурс выявляется в области тазового и плечевого поясов, а также вокруг крупных и средних суставов [1].
В организме человека имеется не менее 160 бурс, и многие из них вариабельны по расположению, размерам и строению. В норме стенки бурсы прилежат друг к другу и разделены тонким слоем вязкой синовиальной жидкости. В случае воспаления (бурсита) происходит заполнение бурсы выпотом, она растягивается, и ее размеры значительно увеличиваются [2].
Область коленного сустава содержит 8–13 бурс. В медиальном отделе подколенной ямки имеется полуперепончато-икроножная бурса (ПИБ). Она расположена между верхним краем большеберцовой кости, полуперепончатой мышцей и внутренней головкой икроножной мышцы. ПИБ может быть однокамерной, многокамерной или состоять из отдельных полостей [3].
В большинстве случаев ПИБ является изолированной структурой, однако у 30–40% людей имеется сообщение этой бурсы с полостью коленного сустава. В связи с этим ПИБ может стать дополнительным резервуаром для накопления избыточной суставной жидкости, и в таких случаях увеличенная в размерах ПИБ называется кистой Бейкера (КБ) [3]. В литературе встречаются также и другие названия КБ: киста подколенной ямки, подколенная киста, синовиальная киста подколенной области.
Необходимо отличать КБ от полуперепончато-икроножного бурсита, при котором происходит скопление жидкости в изолированной ПИБ [4].
Дифференциально диагностический ряд КБ представлен структурными изменениями заднего отдела коленного сустава (суставной ганглий, грыжа заднего заворота, киста медиального мениска), мышечно-фасциальной патологией (фасциальная грыжа голени, оссифицирующий миозит), сосудистой патологией (аневризма подколенной и бедренной артерий), гнойными заболеваниями (абсцесс подколенной области), а также новообразованиями (липома, гемангиома, шваннома, различные виды сарком и др.) [3]. Среди признаков, указывающих на необходимость тщательного обследования, называют крупный размер КБ (более 5 см), отсутствие внутрисуставной патологии, объясняющей появление КБ, нетипичное расположение, эрозивные изменения прилежащих костей [4].
Клинические проявления КБ
Клинические проявления КБ зависят от ее размера. Небольшие КБ бессимптомны, клинически никак не выявляются и обнаруживаются случайно при проведении визуализирующих исследований коленного сустава (ультразвуковое исследование или магнитно-резонансная томография – МРТ) [4]. Небольшие бессимптомные КБ, по-видимому, являются распространенным состоянием: при выполнении МРТ коленного сустава они обнаруживаются у 5% пациентов [5].
Крупные КБ (более 3–5 см подлиннику) сопровождаются появлением болей, ограничениями объема движений в колене и затруднениями двигательной активности. Характерны тянущие или давящие боли, чувство тяжести в подколенной области. Отмечается умеренное ограничение сгибания, а в ряде случаев – и разгибания колена. Симптомы усиливаются после длительного нахождения в положении стоя, а также после физической активности (ходьбы, занятий спортом) [6, 7]. При продольном размере КБ более 5 см она становится видна при клиническом осмотре как припухлость в подколенной области. При пальпации КБ безболезненна и имеет плотно-эластическую или довольно плотную консистенцию (в зависимости от степени растяжения стенок и состава содержимого). При выполнении теста Фуше (сгибание колена до 45° в положении пациента лежа на животе) КБ пропадает [7].
Формирование КБ связано с повышенной секрецией синовиальной жидкости вследствие воспалительной или невоспалительной патологии [8, 9].
Воспалительные причины
Воспаление коленного сустава (артрит) сопровождается выработкой экссудата, объем которого может достигать нескольких десятков миллилитров. Наличие сообщения между полостью сустава и ПИБ приводит к формированию КБ [6]. Такие КБ обычно имеют крупные размеры, достигая 20 см (а иногда и более) подлиннику, и проявляются характерными симптомами [10]:
- В медиальном отделе подколенной ямки выявляется видимая припухлость. В редких случаях возможны центральное и латеральное расположение припухлости, распространение на бедро или на переднюю поверхность голени.
- При пальпации определяется малоподвижное образование продолговатой формы плотно-эластической консистенции, безболезненное или малоболезненное.
- Пациента беспокоят постоянное чувство тяжести, тянущие боли в подколенной области. Ходьба, длительное стояние, сгибание колена приводят к усилению болей.
- Наблюдается ограничение сгибания, а в некоторых случаях – также и разгибания в колене.
- В случае особо крупного размера КБ возможны давящие боли в икроножных мышцах, а также чувствительные нарушения в области задней поверхности голени.
- В самом коленном суставе определяется существенное количество выпота. Отдельные случаи артрита не приводят к заметной дефигурации сустава именно за счет «сброса» основного объема экссудата в ПИБ, что в свою очередь приводит к быстрому развитию КБ.
- В случае ремиссии или излечения артрита КБ, как правило, регрессирует, но может и персистировать, при этом ее содержимое загустевает.
Невоспалительные (механические) причины [6–8]:
Развитию КБ могут способствовать как длительно существующие структурные изменения (такие как повреждения заднего рога медиального мениска и остеоартрит), так и острые ситуационные перегрузки колена (например, интенсивная тренировка). В связи с перегрузкой сустава выработка синовиальной жидкости усиливается, а ее накопление в ПИБ обусловливается, по-видимому, реализацией клапанного механизма при сгибании и разгибании сустава, а также фиброзными изменениями заднего отдела капсулы, приводящими к однонаправленному току жидкости из полости сустава в ПИБ [11, 12]. Невоспалительные КБ, как правило, мелкие, бессимптомные или проявляются умеренными тянущими болями в подколенной области.
Необходимо помнить, что массивный гемартроз [13, 14] и гнойный артрит [15] также могут привести к образованию КБ.
Разрыв КБ
Разрыв КБ происходит в случае накопления большого объема жидкости, превышающего резервы стенок ПИБ. При разрыве содержимое кисты истекает в голень, распространяясь по межфасциальным пространствам, а также подкожно.
В большинстве случаев разрыв возникает остро, но возможен и субклинический вариант, когда наблюдается регулярное «подтекание» небольших порций жидкости [16].
Острый разрыв сопровождается резкой болью и отечностью голени, а также исчезновением КБ. Возможны также покраснение кожи голени, появление болезненного кровоподтека в области медиальной лодыжки, отечности в области голеностопного сустава (но движения в нем сохраняются). Выраженный болевой синдром приводит к затруднениям ходьбы. При сжатии мышечной массы голени отмечается резкое усиление болезненности [7].
Разрыв КБ в свою очередь может сопровождаться рядом осложнений, связанных со сдавлением структур голени излившейся жидкостью [7]:
- тромбоз глубоких вен (ТГВ) голени;
- сдавление подколенной артерии и острая ишемия голени;
- сдавление ветвей большеберцового нерва (жгучая нейропатическая боль в икроножных мышцах, онемение зад- него отдела стопы, возможна также слабость пальцев);
- задний компартмент-синдром голени (сочетание чувствительных нарушений в области подошвы, отечности голени и усиления болей при пассивном разгибании пальцев).
Диагностика разрыва КБ
Наиболее доступным и эффективным методом верификации разрыва КБ является ультразвуковое исследование, которое позволяет визуализировать такие характерные признаки, как неоднородность структуры и деформация (заострение) нижнего полюса КБ, а также появление субфасциальных жидкостных прослоек вдоль сухожилия и/или брюшка медиальной головки икроножной мышцы (рис. 1, 2).
Рис. 1. Крупная многокамерная КБ (14,2×2,15 см) туго наполнена содержимым, имеется угроза разрыва. Нижний полюс кисты указан красной стрелкой.
Рис. 2. Разрыв КБ. Распространение содержимого в межфасциальное пространство заднего отдела голени (красная стрелка). Остаточное содержимое в кисте (желтая стрелка). Зона разрыва (зеленая стрелка).
Ультразвуковая верификация разрыва КБ может быть затруднена, если на момент исследования киста уже находится в спавшемся состоянии, а ее содержимое поглощено окружающими тканями. В таких случаях рекомендовано искать жидкость между медиальной головкой икроножной мышцы и сухожилием полуперепончатой мышцы [17, 18].
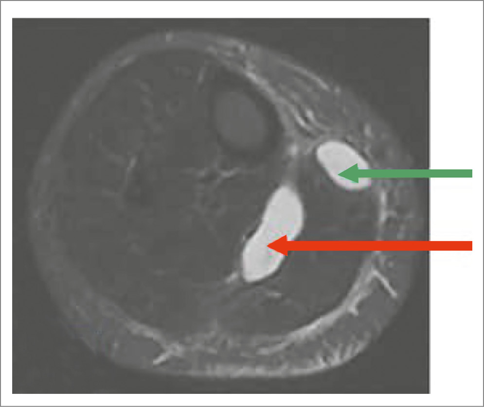
На МРТ разрыв КБ визуализируется как истечение жидкости в межмышечные пространства (рис. 3–5).
Рис. 3. МРТ голени, аксиальный срез, Т2-ВИ STIR. Разрыв КБ с истечением содержимого подкожно (зеленая стрелка) и межмышечно, сепарация медиальной головки икроножной мышцы (красная стрелка).
Рис. 4. МРТ голени, коронарный срез, Т2-ВИ STIR. Разрыв КБ, сепарация подкожной клетчатки истекающей жидкостью (красная стрелка).
Рис. 5. МРТ голени, коронарный срез, Т2-ВИ STIR. Разрыв КБ, истечение жидкости в межмышечное пространство голени (красная стрелка).
Дифференциальный диагноз разрыва КБ
Разрыв КБ дифференцируют с сосудистыми, травматическими и гнойно-инфекционными поражениями голени: ТГВ, острой артериальной непроходимостью (ОАН), травматическими повреждениями мышц и сухожилий голени, а также флегмоной.
ТГВ сопровождается отечностью, болезненностью и изменением цвета кожных покровов голени [19]:
- выраженность болевого синдрома может быть различной: как правило, наблюдается постепенное нарастание распирающий боли, однако нередко протекает безболезненно;
- отек голени определяется как увеличение ее окружности на уровне, расположенном на 10 см ниже бугристости большеберцовой кости; при ТГВ окружность пораженной голени, как правило, больше здоровой на 3 см и более;
- наблюдаются цианоз и гипертермия кожи голени и стопы; характерно усиление цианоза в положении стоя и после ходьбы;
- двигательных ограничений не наблюдается;
- выявляются положительные симптомы Хоманса, Мозеса и Ловенберга, однако необходимо учитывать их неспецифичность и риск провоцирования тромбоэмболии легочной артерии при выполнении этих тестов.
Важно помнить, что ТГВ может быть как первичным, так и вторичным состоянием, связанным со сдавлением вен в силу тех или иных причин. В частности, развитие вторичного ТГВ отмечается в ряде случаев разрыва КБ.
ОАН голени
ОАН может быть обусловлена тромбоэмболией или артериальным тромбозом. И в том, и в другом случае клинические проявления представлены эволюцией симптомов ишемии, различия касаются характеристик болевого синдрома в начале заболевания [20]:
- в случае эмболии возникает резкая острейшая боль в голени, а тромбоз характеризуется постепенным нарастанием интенсивности боли;
- определяется отсутствие пульса ниже уровня окклюзии: в случае поражения подколенной артерии – на артериях стопы, бедренной – отсутствие пульсации также и в подколенной ямке;
- отмечаются изменение цвета (бледность, а затем цианотичность и «мраморный рисунок») и гипотермия кожных покровов голени и стопы;
- наблюдается быстрое развитие чувствительных нарушений по типу «чулка»; их выраженность может быть различной вплоть до анестезии;
- в случае выраженной ишемии развиваются парез и/или паралич пальцев стопы, а затем и голеностопного сустава;
- на поздних стадиях ишемии выявляются болезненность при пальпации икроножных мышц, плотный отек мышц голени, контрактура суставов стопы и голеностопного сустава.
Необходимо помнить, что ОАН голени может быть вызвана осложнениями аневризмы подколенной артерии (тромбозом или разрывом аневризмы). Разрыв аневризмы манифестирует пульсирующей гематомой в подколенной области с дальнейшим появлением признаков тромбоза.
Травматические повреждения голени
Разрыв КБ дифференцируют с повреждениями мягкого скелета голени (разрыв икроножных мышц и ахиллова сухожилия), а также со спонтанной межмышечной гематомой.
Повреждения мягкого скелета провоцируются избыточной физической нагрузкой, возникают, как правило, на фоне занятий спортом и возможны как у профессиональных регулярно тренирующихся спортсменов, так и у неспортсменов при эпизодических занятиях [21].
Разрыв мышцы сопровождается характерной симптоматикой [21]:
- острое возникновение резкой дергающей боли в мышечной массе голени;
- появление отечности и кровоподтека в месте повреждения;
- пальпация поврежденной мышцы, а также все связанные с ней движения крайне болезненны;
- отмечается затруднение ходьбы в связи с выраженной болью, а также ограничением подвижности голеностопного сустава.
При повреждении ахиллова сухожилия наблюдаются следующие изменения [22]:
- момент повреждения сопровождается звуковым феноменом «хлопка» или «треска» и возникновением резкой интенсивной боли в области задней поверхности пятки и/или в икроножных мышцах;
- в проекции ахиллова сухожилия появляются отечность и кровоподтек;
- нарушаются движения в голеностопном суставе (наиболее ограничено подошвенное сгибание), при ходьбе затрудняется опора на большие пальцы стопы, возникает хромота.
Спонтанная межмышечная гематома проявляется острой внезапной болью в голени, возникающей, как правило, во время обычной ходьбы и не являющейся результатом какого-либо травматического воздействия или сосудистой патологии. Как правило, боль регрессирует в течение нескольких минут, иногда сохраняется до нескольких часов. В проекции поврежденного сосуда определяется небольшой отек, а примерно через сутки появляется болезненный кровоподтек в области лодыжки или на подошвенной поверхности стопы. Крупные гематомы могут осложняться развитием компартмент-синдрома и ТГВ [23]. Важно помнить, что спонтанная гематома может быть проявлением гипокоагуляции, в том числе медикаментозной [9].
Флегмона голени
Флегмона голени – острое гнойное разлитое воспаление подкожного и межмышечного клетчаточных пространств. Симптоматика флегмоны представлена яркими признаками инфекционно-гнойного воспаления [24]:
- быстрое распространение болезненной припухлости и гиперемии, появление зон флуктуации;
- интенсивные разлитые боли в голени, значительные затруднения ходьбы;
- фебрильная лихорадка и другие признаки интоксикации, лейкоцитоз, нейтрофильный сдвиг.
Заключение
КБ является распространенным состоянием, развивающимся вторично по отношению к воспалительной и невоспалительной патологии коленного сустава у лиц с предрасполагающими анатомическими особенностями. В большинстве случаев КБ протекает субклинически. Крупные КБ могут осложняться разрывом, что в свою очередь также может сопровождаться осложнениями. Дифференциальный диагноз КБ и ее осложнений требует междисциплинарного подхода и осведомленности врачей широкого круга специальностей.
Раскрытие интересов. Авторы декларируют отсутствие явных и потенциальных конфликтов интересов, связанных с публикацией настоящей статьи.
Disclosure of interest. The authors declare that they have no competing interests.
Вклад авторов. Авторы декларируют соответствие своего авторства международным критериям ICMJE. Все авторы в равной степени участвовали в подготовке публикации: разработка концепции статьи, получение и анализ фактических данных, написание и редактирование текста статьи, проверка и утверждение текста статьи.
Authors’ contribution. The authors declare the compliance of their authorship according to the international ICMJE criteria. All authors made a substantial contribution to the conception of the work, acquisition, analysis, interpretation of data for the work, drafting and revising the work, final approval of the version to be published and agree to be accountable for all aspects of the work.
Источник финансирования. Авторы декларируют отсутствие внешнего финансирования для проведения исследования и публикации статьи.
Funding source. The authors declare that there is no external funding for the exploration and analysis work.
About the authors
Vera V. Lyalina
Pirogov Russian National Research Medical University
Author for correspondence.
Email: vera_lyalina@mail.ru
ORCID iD: 0000-0002-4262-4060
Cand. Sci. (Med.)
Russian Federation, MoscowElina A. Skripnichenko
Pirogov Russian National Research Medical University; Buyanov City Clinical Hospital
Email: vera_lyalina@mail.ru
ORCID iD: 0000-0001-6321-8419
Graduate Student
Russian Federation, Moscow; MoscowSvetlana V. Borisovskaya
Pirogov Russian National Research Medical University; Buyanov City Clinical Hospital
Email: vera_lyalina@mail.ru
ORCID iD: 0000-0002-9365-1472
Cand. Sci. (Med.)
Russian Federation, Moscow; MoscowRuslan N. Obyedkov
Pirogov Russian National Research Medical University
Email: vera_lyalina@mail.ru
ORCID iD: 0000-0002-8689-6623
Student
Russian Federation, MoscowFedor L. Lazko
People’s Friendship University of Russia (RUDN University)
Email: fedor-lazko@mail.ru
ORCID iD: 0000-0001-5292-7930
D. Sci. (Med.)
Russian Federation, MoscowRoman Iu. Yudin
Vessel Clinic Medical Center
Email: vera_lyalina@mail.ru
ORCID iD: 0000-0001-7898-7608
D. Sci. (Med.)
Russian Federation, MoscowVictoria G. Saltykova
Russian Medical Academy of Continuous Professional Education
Email: vera_lyalina@mail.ru
ORCID iD: 0000-0003-3879-6457
D. Sci. (Med.)
Russian Federation, MoscowIgor G. Nikitin
Pirogov Russian National Research Medical University
Email: vera_lyalina@mail.ru
ORCID iD: 0000-0003-1699-0881
D. Sci. (Med.), Prof.
Russian Federation, MoscowReferences
- Бунчук Н.В. Болезни внесуставных мягких тканей. Ревматические болезни. M.: Медицина, 1997 [Bunchuk NV. Bolezni vnesustavnykh miagkikh tkanei. Revmaticheskiie bolezni. Moscow: Medicine, 1997 (in Russian)].
- Стерлинг Д.У. Анатомия и физиология опорно-двигательной системы. Секреты ревматологии. M.: ГЭОТАР-Мед, 2018 [Sterling DW. Anatomiia i fiziologiia oporno-dvigatel'noi sistemy. Sekrety revmatologii. Moscow: GEOTAR-Med, 2018 (in Russian)].
- Bui-Mansfield LT. Baker Cyst Imaging. Available at: https://emedicine.medscape.com/article/387399-overview. Accessed: 20.08.2022.
- Bell D, Weerakkody Y. Baker cyst. Available at: https://radiopaedia.org/articles/baker-cyst-2. Accessed: 03.09.2022.
- Demange MK. Baker’s cyst. Revista Brasileira de Ortopedia. 2011;6(46):630-3. doi: 10.1016/S2255-4971(15)30317-7
- Khitrov NA. Baker’s cyst: types of its course, sonographic guidance, and treatment. Mod Rheumatol. 2009;1(4):44. doi: 10.14412/1996-7012-2009-522
- Leib AD, Roshan A, Foris LA, et al. Baker’s Cyst. Available at: https://www.ncbi.nlm.nih.gov/books/NBK430774/ Accessed: 03.09.2022.
- Макушин В.Д., Чегуров О.К., Чиркова А.М., Казанцев В.И. Дифференциальная диагностика и лечение кист подколенной области. Гений ортопедии. 1998;(2):29-33 [Makushin VD, Chegurov OK, Chirkova AM, Kazantsev VI. Differentsial'naia diagnostika i lecheniie kist podkolennoi oblasti. Genii ortopedii. 1998;(2):29-33 (in Russian)].
- Салтыкова В.Г., Турдакина И.Н. Ультразвуковая диагностика синовиальной кисты подколенной области (кисты Бейкера). Ультразвуковая и функциональная диагностика. 2021;(4):57-8 [Saltykova VG, Turdakina IN. Ultrasound in synovial cyst of popliteal space (Baker cyst) diagnosis (pictorial review). Ultrazvukovaia i funktsionalnaia diagnostika. 2021;(4):57-8 (in Russian)].
- Helfgott SM. Popliteal (Baker’s) cyst. Available at: https://www.uptodate.com/contents/popliteal-bakers-cyst. Accessed: 05.09.2022.
- Lindgren PG. Gastrocnemio-Semimembranosus Bursa and its Relation to the Knee Joint. Acta Radiol Diagn (Stockh). 1978;2(19):377-88. doi: 10.1177/028418517801900213
- Ohishi T, Takahashi M, Suzuki D, et al. Treatment of popliteal cysts via arthroscopic enlargement of unidirectional valvular slits. Mod Rheumatol. 2015;5(25):772-8. doi: 10.3109/14397595.2015.1008779
- Yoo MJ, Yoo JS, Jang HS, Hwang CH. Baker’s Cyst Filled with Hematoma at the Lower Calf. Knee Surg Relat Res. 2014;4(26):253-6. doi: 10.5792/ksrr.2014.26.4.253
- Gualtierotti R, De Magistris C, Biguzzi E, et al. Successful Chemical Synovectomy in a Patient with Acquired von Willebrand Syndrome with Chronic Synovitis Due to Recurrent Knee Hemarthrosis: A Case Report. Rheumatol Ther. 2022;5(9):1465-74. doi: 10.1007/s40744-022-00477-2
- Valle Alonso J, Fonseca del Pozo FJ, Van der Bergh E, Kinderman H. Infected Baker’s cyst, diagnosed in the emergency department using POCUS. POCUS J. 2019;1(4). doi: 10.24908/pocus.v4i1.13316
- Abdelrahman MH, Tubeishat S, Hammoudeh M. Proximal Dissection and Rupture of a Popliteal Cyst: A Case Report. Case Rep Radiol. 2012; 2012:1-2. doi: 10.1155/2012/292414
- Hoffman BK. Cystic lesions of the popliteal space. Surgery, Gynecology & Obstetrics. 1963;116.
- Li TY. The Sonographic Spectrum of Baker Cysts. Journal of Diagnostic Medical Sonography. 2018;1(34). doi: 10.1177/8756479317733
- Лебедев А.К., Кузнецова О.Ю. Тромбоз глубоких вен нижних конечностей. Российский семейный врач. 2015;3(19):4 [Lebedev AK, Kuznetsova OYu. Deep venous trombosis of lower extremitiesa. Rossiiskii semeinyi vrach. 2015;3(19):4 (in Russian)]. doi: 10.17816/RFD201534-16
- Национальные рекомендации по ведению пациентов с заболеваниями артерий нижних конечностей. Режим доступа: https://www.mrckb.ru/files/recommendations_LLA.pdf. Ссылка активна на 12.10.2022 [National guidelines for the management of patients with diseases of the arteries of the lower extremities. Available at: https://www.mrckb.ru/files/recommendations_LLA.pdf. Accessed: 12.10.2022 (in Russian)].
- Rainbow CR, Fields KB. Calf injuries not involving the Achilles tendon (Electronic resource). Available at: https://www.uptodate.com/contents/calf-injuries-not-involving-the-achilles-tendon. Accessed: 20.09.2022.
- Maughan KL, Boggess BR. Achilles tendinopathy and tendon rupture (Electronic resource). Available at: https://www.uptodate.com/contents/achilles-tendinopathy-and-tendon-rupture. Accessed: 20.07.2022.
- Davis DD, Kane S. Muscular Hematoma (Electronic resource). Available at: https://www.ncbi.nlm.nih.gov/books/NBK557613/. Accessed: 20.07.2022.
- Гостищев В.К. Гл. 10. Операции при гнойных заболеваниях нижних конечностей. В кн.: Клиническая оперативная гнойная хирургия. М.: ГЭОТАР-Мед, 2016; с. 213 [Gostishchev VK. Gl. 10. Operatsii pri gnoinykh zabolevaniiakh nizhnikh konechnostei. V kn.: Klinicheskaia operativnaia gnoinaia khirurgiia. Moscow: GEOTAR-Med, 2016; s. 213 (in Russian)].
Supplementary files








