Difficulties in differential diagnosis of carbohydrate metabolism disorders in patients with coronavirus infection in real clinical practice. Case report
- Authors: Markova T.N.1,2, Stas M.S.1, Chibisova V.V.2, Anchutina A.A.1,2
-
Affiliations:
- Yevdokimov Moscow State University of Medicine and Dentistry
- Moscow City Clinical Hospital №52
- Issue: Vol 25, No 4 (2023): Endocrinology
- Pages: 241-246
- Section: Articles
- Published: 10.04.2023
- URL: https://consilium.orscience.ru/2075-1753/article/view/568231
- DOI: https://doi.org/10.26442/20751753.2023.4.202216
- ID: 568231
Cite item
Full Text
Abstract
The problem of the impact of coronavirus infection on carbohydrate metabolism remains open. In the course of the disease, various disorders of carbohydrate metabolism are detected, including newly diagnosed diabetes mellitus and transient hyperglycemia. This article presents two clinical cases with different course and duration of transient stress hyperglycemia against the background of coronavirus infection.
Full Text
Введение
Актуальным вопросом отечественного и мирового здравоохранения является изучение влияния коронавирусной инфекции (COVID-19), вызванной вирусом SARS-CoV-2, на организм, в том числе и на углеводный обмен. Установлено, что у лиц с различными хроническими заболеваниями (в частности, с сахарным диабетом – СД) COVID-19 имеет более тяжелое течение и высокий риск летального исхода [1]. M. Lee и соавт. (2021 г.) в метаанализе отмечают высокую частоту смертности (17%), перевода в отделение интенсивной терапии (11%) и необходимости в кислородной поддержке у пациентов с гипергликемией в ходе коронавирусной инфекции (в группу входили больные с СД и без него) [2]. На сегодня имеются данные как о развитии впервые выявленного СД, так и о высокой распространенности транзиторной гипергликемии (ТГ) на фоне COVID-19 [3].
Точные механизмы впервые возникшего диабета у пациентов с COVID-19 неизвестны, но вполне вероятно, что задействован ряд сложных взаимосвязанных процессов, включая ранее недиагностированный СД, стрессовую гипергликемию, гипергликемию, вызванную терапией глюкокортикостероидами (ГКС), прямое или косвенное воздействие инфекционного агента на β-клетку и усиление или возникновение инсулинорезистентности на фоне воспалительного процесса [4]. Известно, что прямое повреждающее действие вирус оказывает путем связывания с рецепторами ангиотензинпревращающего фермента-2 и TMPRSS2 (мембрано-связанной сериновой протеазы 2-го типа) в островковых клетках поджелудочной железы [5]. Кроме того, цитокиновый шторм, развивающийся у больных COVID-19, характеризуется выраженной протромботической и воспалительной активностью и также может оказывать влияние на β-клетки поджелудочной железы. Согласно ретроспективному исследованию итальянских ученых среди 413 пациентов с COVID-19 впервые выявленный СД установлен у 21 (5,1%) человека [6]. По данным метаанализа 8 исследований с участием более 3700 пациентов, совокупная доля впервые диагностированного диабета у госпитализированных пациентов с COVID-19 составляла 14,4% [7]. В исследовании, опубликованном в январе 2022 г., китайские ученые отмечают увеличение общего числа пациентов с впервые диагностированным СД 1-го типа (СД 1) после вспышки COVID-19 [8]. По данным М.В. Шестаковой и соавт. (2021 г.), частота впервые выявленного СД среди госпитализированных с COVID-19 больных составила 5,2% [9]. Согласно данным российских ученых у 12,5% из 120 детей развился СД 1 после перенесенной коронавирусной инфекции в период от июля 2020 до июня 2021 г. [10], кроме того, отмечено, что среди госпитализированных с COVID-19 и без СД в анамнезе выявлена высокая распространенность нарушений углеводного обмена (НОУ), которая составляла 41,7% [11].
Известно, что ТГ обусловлена выбросом контринсулярных гормонов при возникновении стрессовых ситуаций (обширные оперативные вмешательства, острые заболевания, массивные травмы, инфекционные заболевания) [12, 13]. По данным A. Da Porto и соавт. (2022 г.), распространенность ТГ среди 150 пациентов с COVID-19 составляла 27% [12].
На сегодня общепризнано, что уровень гликемии влияет на прогноз COVID-19, так, L. Zhu и соавт. отметили, что у больных СД 2-го типа (СД 2) с плохо контролируемой гликемией имелась более высокая летальность по сравнению с пациентами с контролируемым диабетом [14]. Также имеются сведения о том, что впервые возникшая гипергликемия связана с более высоким риском летального исхода, чем ранее известный диабет, у госпитализированных пациентов с COVID-19 [15]. В работе Т.Н. Марковой и соавт. (2022 г.) отмечено, что у пациентов с СД 2 и COVID-19 уровень глюкозы плазмы натощак (ГПН) выше 8,8 ммоль/л при поступлении повышал риск летального исхода в 1,7 раза, а у госпитализированных без диабета уровень ГПН выше 6,1 ммоль/л увеличивал данный риск в 1,9 раза [16].
Совет экспертов Российской ассоциации эндокринологов предлагает дифференцировать НОУ, возникшие в острый период заболевания коронавирусной инфекцией, следующим образом: СД, ранее установленный, СД, ранее не диагностированный, СД, впервые развившийся на фоне COVID-19, ТГ, индуцированная инфекцией (COVID-19) или ГКС (табл. 1). При этом диагнозы «нарушенная толерантность к глюкозе» или «нарушенная гликемия натощак» во время острого инфекционного заболевания или приема ГКС не устанавливаются, также не проводится пероральный глюкозотолерантный тест [17].
Таблица 1. Дифференциальная диагностика синдрома гипергликемии на фоне острого заболевания COVID-19 (цит. по [17]) | ||||
Диагноз | HbA1c, % | ГПН, ммоль/л | Глюкоза плазмы при поступлении, ммоль/л | Анамнез СД или приема антигипергликемических препаратов |
СД, ранее установленный | Зависит от предшествующего контроля гликемии (как правило, >6,5) | Зависит от предшествующего контроля гликемии | Зависит от предшествующего контроля гликемии | Есть |
СД, ранее не диагностированный | >6,5 | ≥7,0 | ≥11,1 | Нет |
СД, впервые развившийся на фоне COVID-19 | <6,5 | ≥7,0 | ≥11,1 | Нет |
ТГ | <6,5 | ≥7,0 | ≥11,1 | Нет |
Нормализация после прекращения воздействия фактора стресса (COVID-19) или ГКС | ||||
Нами представлены клинические случаи возникновения разных видов НОУ на фоне коронавирусной инфекции.
Клинический случай 1
Пациентка П., 49 лет. Госпитализирована на 3-й день заболевания с жалобами на общую слабость, сухой кашель, одышку при умеренной физической нагрузке, головную боль разлитого характера, чувство «ломоты» в мышцах, потерю вкуса и обоняния на фоне повышения температуры тела до 38,5°С. Самостоятельно принимала амоксициллин. Выполнен экспресс-тест с целью выявления возбудителя – положительный результат.
Наследственность по СД не отягощена, в анамнезе ранее не зафиксированы НОУ.
При осмотре отмечено гиперстеническое телосложение (рост – 167 см, масса тела – 105 кг, индекс массы тела – 37,6 кг/м2). Госпитализирована в среднетяжелом состоянии с признаками интоксикационного синдрома: частота сердечных сокращений – 100 уд/мин, температура тела 38,3°С, частота дыхательных движений – 18 в минуту, аускультативно дыхание с жестким оттенком, сатурация крови методом пульсоксиметрии – 97% на атмосферном воздухе.
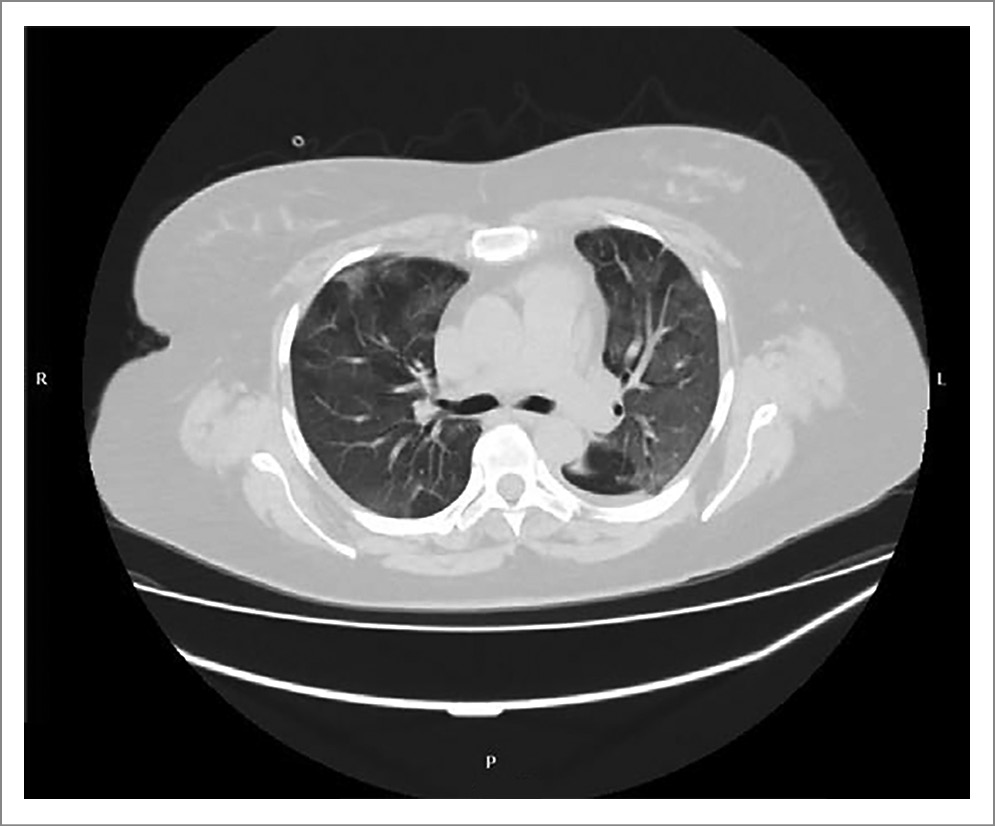
Выполнена мультиспиральная компьютерная томография (МСКТ) органов грудной клетки, выявлены немногочисленные двусторонние зоны уплотнения по типу «матового стекла» различной протяженности, преимущественно с периферическим распределением. Картина соответствовала 1-й степени тяжести согласно классификации по данным компьютерной томографии (КТ); рис. 1.
Рис. 1. Пациентка П. МСКТ органов грудной клетки (1-й день госпитализации).
При лабораторном обследовании в клиническом анализе крови обращало на себя внимание снижение уровня лимфоцитов, в биохимическом анализе крови отмечались признаки системной воспалительной реакции (высокий уровень С-реактивного белка – СРБ, фибриногена). Динамика лабораторных показателей представлена в табл. 2.
Таблица 2. Клинический и биохимический анализ крови в динамике, пациентка П. | |||||
Показатель | 1-й день | 5-й день | 10-й день | 15-й день | Референсные значения |
Лейкоциты,109/л | 6,8 | 12,3 | 13,7 | 12,3 | 4,00–9,00 |
Лимфоциты, %/абс. | 11,7/0,8 | 6,8/0,8 | 7,1/1,0 | 20,5/2,5 | 19–40/1,2–3 |
Нейтрофилы, %/абс. | 82,2/5,6 | 87,4/10,8 | 85,5/11,7 | 71,2/8,7 | 28–54/1,5–8,5 |
СРБ, мг/л | 21,66 | 4,19 | 0,59 | 0,0 | 0,00–6,00 |
Лактатдегидрогеназа, ЕД/л | 217,8 | 251,4 | 346 | 286,3 | 0,0–248,0 |
Фибриноген, г/л | 6,11 | 2,38 | 2,31 | 1,27 | 1,8–4,0 |
Выявлен возбудитель коронавирусной инфекции методом полимеразной цепной реакции – ПЦР (мазок отделяемого из носоглотки/ротоглотки).
На основании данных клинического осмотра, лабораторной и инструментальной диагностики пациентке выставлен диагноз коронавирусной инфекции, вызванной COVID-19 (подтвержденной методом ПЦР, МСКТ), среднетяжелого течения, осложненной внебольничной двусторонней полисегментарной пневмонией и интоксикационным синдромом.
Согласно актуальным Временным рекомендациям Минздрава России (версия 11) инициирована патогенетическая терапия ГКС (дексаметазон), антикоагулянтная терапия (эноксапарин натрия), противовирусная терапия (фавипиравир), генно-инженерная биологическая терапия рекомбинантными моноклональными антителами к рецептору интерлейкина-6 сарилумабом 200 мг внутривенно капельно в течение 2 дней.
На фоне проводимой терапии в динамике отмечались снижение уровня СРБ, относительный лейкоцитоз при нормальном уровне прокальцитонина.
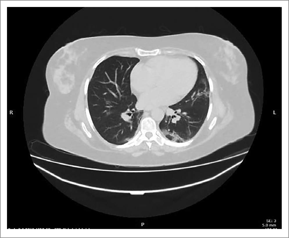
На 6-й день заболевания появились выраженные признаки дыхательной недостаточности: снижение сатурации крови (метод пульсоксиметрии) до 84% при дыхании атмосферным воздухом, при инсуффляции увлажненного кислорода 12 л/мин – до 94–95%. Выполнена повторная МСКТ органов грудной клетки, отмечалось увеличение размеров очагов уплотнения типа «матового стекла», появление новых аналогичных очагов. КТ-признаки вирусной инфекции, с высокой вероятностью COVID-19, среднетяжелой (КТ-3) степени тяжести (рис. 2).
Рис. 2. Пациентка П. МСКТ органов грудной клетки (6-й день госпитализации).
Назначена повторная биологическая терапия тоцилизумабом 400 мг внутривенно капельно, инициирована пульс-терапия метилпреднизолоном 250 мг 1 раз в день, корректирована антикоагулянтная терапия с переходом на постоянную инфузию раствора гепарина через инфузомат.
На фоне патогенетической терапии отмечалось постепенное снижение признаков дыхательной недостаточности с нарастанием сатурации крови до 98–99% на 15-й день госпитализации.
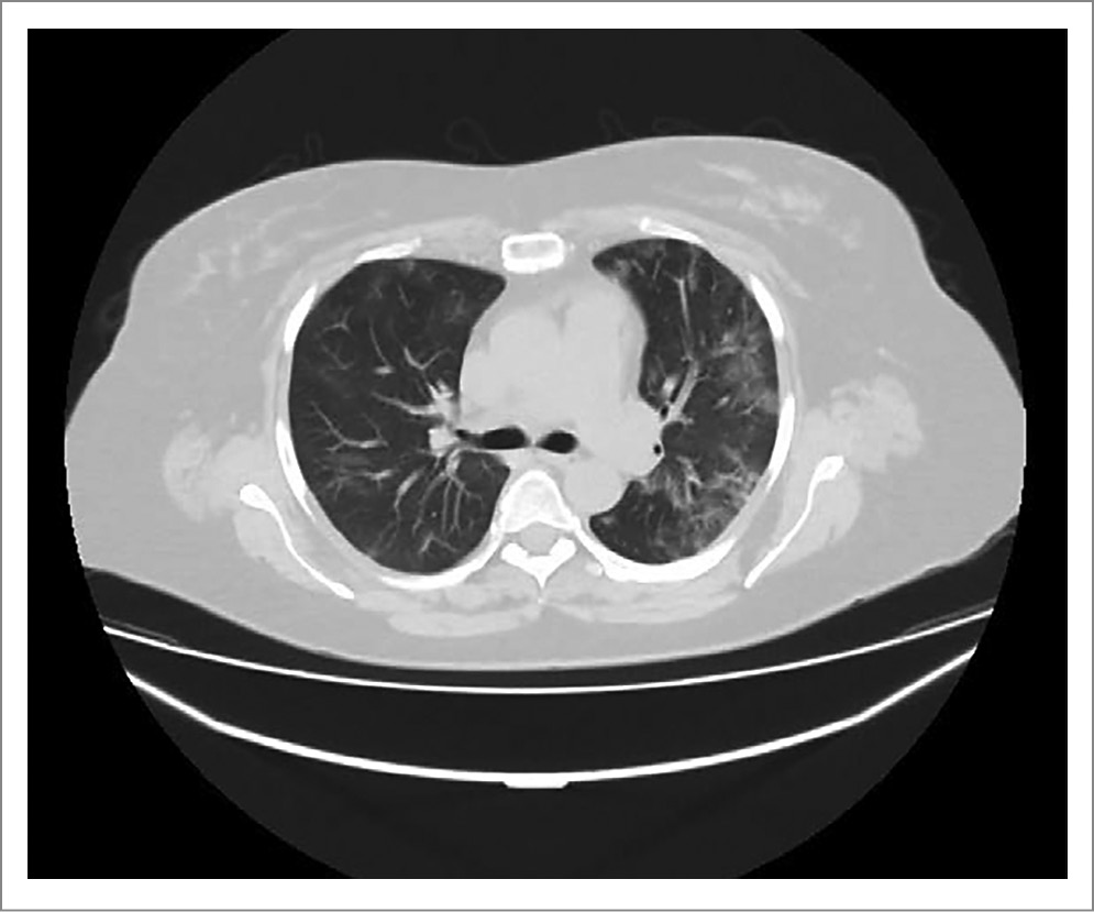
На 14-й день госпитализации выполнена МСКТ органов грудной клетки: отмечалось уменьшение выраженности симптома «матового стекла», с замещением ретикулярными тяжами. По сравнению с КТ на 6-й день госпитализации – положительная динамика (рис. 3).
Рис. 3. Пациентка П. МСКТ органов грудной клетки (14-й день госпитализации).
На фоне терапии ГКС и тяжелого течения коронавирусной инфекции отмечалось повышение уровня гликемии в первые дни заболевания (особенно перед ужином и в 22:00). На 4-й день госпитализации инициирована инсулинотерапия (инсулин короткого действия – ИКД, в среднем по 2–6 ЕД) при повышении уровня гликемии выше 10,0 ммоль/л. Гликемические профили представлены в табл. 3.
Таблица 3. Гликемический профиль в период госпитализации | |||||||
2-й день | 4-й день | 6-й день | 8-й день | 10-й день | 12-й день | 14-й день | |
Перед завтраком | 7,1 | 8,4 | 8,0 | 8,6 | 8,2 | 6,3 | 4,6 |
Перед обедом | 5,8 | 9,4 | 8,9 | 8,1 | 7,8 | 5,1 | 6,7 |
Перед ужином | 8,0 | 11,0 (ИКД) | 11,5 (ИКД) | 13,7 (ИКД) | 9,1 | 6,1 | 9,3 |
22:00 | 7,8 | 11,0 (ИКД) | 14,6 (ИКД) | 13,3 (ИКД) | 10,8 (ИКД) | 6,8 | 5,3 |
На 12-й день пребывания в стационаре (27.08.2021) установлен монитор непрерывного контроля гликемии (Freestyle libre) на 14 дней (рис. 4, 5).
Рис. 4. Данные непрерывного мониторинга глюкозы за 14 дней.
Рис. 5. Данные непрерывного мониторинга глюкозы за 14 дней.
По данным отчета наблюдается тендеция к незначительному повышению уровня гликемии во 2-й половине дня (в период от 14:00 до 22:00), стабилизируемая введением ИКД, что характерно для стероид-индуцированной гипергликемии. На фоне отмены терапии ГКС и улучшения воспалительного статуса наблюдалась стабилизация гликемического профиля. Вариабельность уровня глюкозы составляла 30,9%, и больная находилась 92% времени в целевом диапозоне, средний уровень глюкозы за период наблюдения – 5,9 ммоль/л.
Пациентка выписана в удовлетворительном состоянии с диагнозом «коронавирусная инфекция COVID-19 (подтвержденная по МСКТ органов грудной клетки и ПЦР), тяжелого течения». Терапия генно-инженерными биологическими препаратами: моноклональные антитела к рецептору интерлейкина-6 (сарилумаб 200 мг от 16.08.2021, сарилумаб 200 мг от 17.08.2021, тоцилизумаб 400 мг от 21.08.2021). Осложнение: внебольничная двусторонняя пневмония, тяжелое течение в фазе разрешения (КТ-2). Дыхательная недостаточность 0-й степени. ТГ. На момент выписки не требовалась сахароснижающая терапия. Пациентке рекомендована консультация эндокринолога через 12 нед после выздоровления для реклассификации НОУ.
Можно сделать вывод о том, что гипергликемия обусловлена использованием больших доз ГКС и тяжелым течением COVID-19.
Клинический случай 2
Пациентка М., 54 года, госпитализирована 05.07.2020 в стационар с подтвержденной методом ПЦР коронавирусной инфекцией COVID-19 и гипергликемией (26 ммоль/л). При поступлении предъявляла жалобы на кашель, повышение температуры тела до 38°С, общую слабость, сухость во рту, жажду, учащенное мочеиспускание. Считала себя больной в течение 16 дней, когда отметила появление и нарастание указанных жалоб. Получала симптоматическую терапию без положительного эффекта. Амбулаторно проведена МСКТ органов грудной клетки, по данным которой выявлены признаки вирусной пневмонии, с высокой вероятностью COVID-19 (КТ-2). Пациентка обратилась в поликлинику по месту жительства к терапевту, где, учитывая полидипсию, полиурию, сухость во рту, жажду, проведен контроль гликемии. Уровень глюкозы крови составил 26 ммоль/л.
В анамнезе ранее не выявлено НОУ, наследственность по СД не отягощена.
При осмотре отмечено нормостеническое телосложение. Зафиксированы гипертермия 38,5°С, частота дыхательных движений составила 18 минуту, при аускультации легких отмечается жесткое дыхание, сатурация 96% на атмосферном воздухе, артериальное давление – 120/70 мм рт. ст., частота сердечных сокращений – 80 уд/мин. При лабораторном обследовании выявлены: повышенный СРБ, лимфопения, гипергликемия (табл. 4).
Таблица 4. Динамика основных биохимических и клинических показателей пациентки М. | ||||
Показатель | При поступлении | Через 5 сут | Через 8 сут | Референсные значения |
Лейкоциты,109/л | 8,3 | 4,4 | 3,2 | 4,00–9,00 |
Лимфоциты, 109/л | 0,82 | – | – | 1,0–2,0 |
Глюкоза, ммоль/л | 19,83 | 4,12 | 10,10 | 4,10–6,10 |
Лактатдегидрогеназа, ЕД/л | 201,4 | 168,4 | 123,0 | 0,00–248,0 |
СРБ, мг/л | 47,80 | 11,63 | 4,12 | 0,00–6,00 |
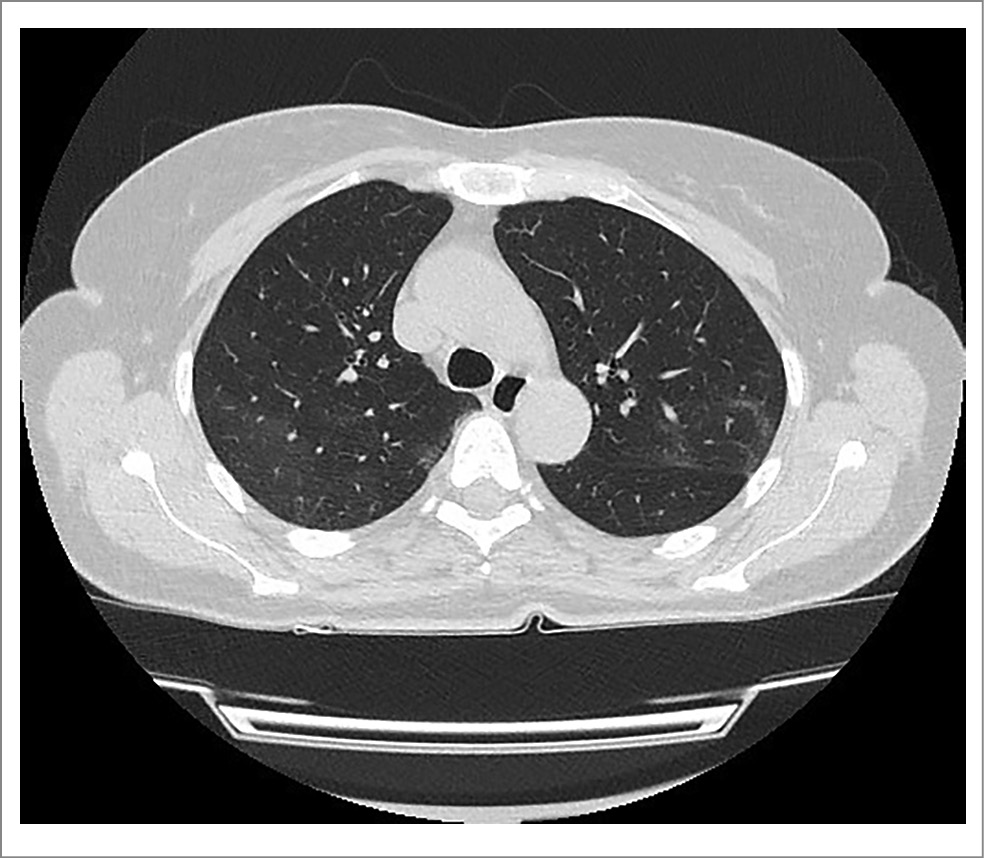
По данным КТ подтверждена картина вирусной пневмонии COVID-19, КТ-2 (рис. 6).
Рис. 6. МСКТ органов грудной клетки пациентки М. при поступлении в стационар.
Согласно актуальным клиническим рекомендациям по лечению коронавирусной инфекции на момент госпитализации проведена этиотропная и патогенетическая терапия: гидроксихлорохин 200 мг в течение 7 дней, тоцилизумаб 400 мг однократно с целью купирования цитокинового шторма с положительным эффектом.
Определен гликемический профиль за 2 дня: 06.07.2020 – 7 ч – 11,7 ммоль/л, 10 ч – 15,5 ммоль/л, 13 ч – 9,0 ммоль/л, 19 ч – 14,7 ммоль/л, 22 ч – 11,4 ммоль/л; 07.07.2020 – 7 ч – 9,5 ммоль/л, 13 ч – 14,3 ммоль/л, 17 ч – 8,9 ммоль/л, 22 ч – 16,0 ммоль/л.
Назначен ИКД ситуационно, при повышении уровня гликемии выше 11,0 ммоль/л. Для определение функциональной активности поджелудочной железы проведено дополнительное обследование: уровень С-пептида – 0,136 нг/мл (0,9–7,1), гликированного гемоглобина (HbA1c) – 13,7% (диагностический критерий СД>6,5%). Учитывая уровень HbA1c, уровень С-пептида и данные гликемического профиля, выставлен диагноз СД 1, назначена базис-болюсная терапия: инсулин человеческий растворимый генно-инженерный по уровню гликемии, в среднем 8 ЕД перед завтраком, 6–8 ЕД перед обедом, 4 ЕД перед ужином, инсулин детемир 10 ЕД перед завтраком, 10 ЕД вечером в 22:00. На фоне проводимой терапии достигнуты целевые значения уровня гликемии (7,0–10,0 ммоль/л).
На 10-е сутки госпитализации пациентка выписана из стационара с рекомендациями на амбулаторное долечивание с впервые выявленным СД 1, назначена базис-болюсная инсулинотерапия.
При консультативном приеме эндокринологом через 1 мес отмечено снижение потребности в инсулине: инсулин детемир 8 ЕД перед завтраком, 6 ЕД в 22:00, инсулин аспарт 6 ЕД перед завтраком, 6 ЕД перед обедом, 4 ЕД перед ужином, что расценено как период «медового месяца» (период, наступающий вскоре после манифестации СД и начала инсулинотерапии, проявляющийся в виде временной стабилизации сахара крови, снижения дозировок инсулина или полного отказа от лекарства). Через 3 мес пациентка повторно консультирована эндокринологом, определен уровень антител к декарбоксилазе глутаминовой кислоты (один из типов аутоантител-маркеров СД 1) с отрицательным результатом, уровень С-пептида 0,9 нг/мл, оставлена только болюсная инсулинотерапия по гликемии. Еще через 3 мес отмечена нормализация гликемического профиля (уровень глюкозы в пределах 5,6–7,8 ммоль/л), отсутствие потребности в инсулинотерапии, проведен контроль уровня С-пептида крови – 2,8 нг/мл, в связи с чем диагноз пересмотрен и расценен как ТГ на фоне коронавирусной инфекции. Однако данное НОУ у пациентки не соответствует критериям ТГ (см. табл. 1), поскольку нормализация уровня гликемии произошла через длительный период после острого инфекционного заболевания.
Обсуждение
Остается доказанным факт влияния COVID-19 на развитие НОУ, при этом гипергликемия (как у пациентов с СД, так и без) является уставленным предиктором более тяжелого течения и высокой смертности у больных COVID-19 [16]. Как известно, гипергликемия может возникать у госпитализированных пациентов с различными острыми заболеваниями, однако отмечается более высокая частота впервые выявленного диабета после коронавирусной инфекции, вызванного SARS-CoV-2, по сравнению с другими острыми респираторными вирусными инфекциями. C. Barrett и соавт. (2022 г.) при ретроспективном анализе выявили, что риск развития СД оказался на 166% выше в группе с COVID-19, чем в группе без COVID-19, и на 116% выше, чем группе перенесших острую респираторную вирусную инфекцию до пандемии [18].
Обращает внимание, что в первом случае гипергликемия имела короткий срок (несколько дней после выписки) и обусловлена тяжелым течение инфекционного процесса, наличием сопутствующих заболеваний (ожирение), введением супрафизиологических доз ГКС. Во втором же случае не проводилась патогенетическая терапия ГКС, гипергликемия длилась около 8 мес и вызвана абсолютной инсулиновой недостаточностью, вероятно, развившейся вследствие прямого повреждающего действия инфекционного агента.
Российскими учеными проведено исследование с определением гликемического профиля методом непрерывного мониторинга гликемии у пациентов с СД 2 и COVID-19 в сравнении с больными СД 2 без коронавирусной инфекции. Согласно результатам больные COVID-19 и СД 2 отличаются выраженной устойчивой гипергликемией, однако 1/3 из них имеют эпизоды гипогликемии. Во время терапии дексаметазоном отмечается наиболее выраженная гипергликемия, без эпизодов гипогликемии. У больных, у которых непрерывный мониторинг гликемии проводился после отмены дексаметазона, гипергликемия менее выражена, но у 60% из них выявляются эпизоды гипогликемии, часто – ночные, клинически значимые и не диагностированные рутинными методами [19]. В представленном нами клиническом случае (№1) эпизоды гипогликемии отсутствовали.
Индийские ученые описывают 3 случая, при которых на фоне COVID-19 развился СД с кетоацидозом. Пациентам инициирована инфузионная терапия инсулинами. Примерно через неделю их перевели на многократные инъекции инсулина подкожно, далее через 4–6 нед их потребность в инсулине уменьшилась, и им назначены пероральные сахароснижающие препараты. При последующем наблюдении (14 нед) уровень гликемии контролировался пероральными сахароснижающими препаратами [20].
Заключение
В представленных клинических случаях отмечается разное течение стрессовой ТГ на фоне коронавирусной инфекции. Таким образом, необходимо долгосрочное наблюдение за пациентами, перенесшими коронавирусную инфекцию и имевшими ТГ. ТГ, возникшая в ходе острого заболевания, может способствовать выявлению пациентов, находящихся в группе высокого риска развития диабета. Поэтому целесообразно рассматривать перенесенную COVID-19 с НОУ как фактор риска развития СД 2.
Раскрытие интересов. Авторы декларируют отсутствие явных и потенциальных конфликтов интересов, связанных с публикацией настоящей статьи.
Disclosure of interest. The authors declare that they have no competing interests.
Вклад авторов. Авторы декларируют соответствие своего авторства международным критериям ICMJE. Все авторы в равной степени участвовали в подготовке публикации: разработка концепции статьи, получение и анализ фактических данных, написание и редактирование текста статьи, проверка и утверждение текста статьи.
Authors’ contribution. The authors declare the compliance of their authorship according to the international ICMJE criteria. All authors made a substantial contribution to the conception of the work, acquisition, analysis, interpretation of data for the work, drafting and revising the work, final approval of the version to be published and agree to be accountable for all aspects of the work.
Источник финансирования. Авторы декларируют отсутствие внешнего финансирования для проведения исследования и публикации статьи.
Funding source. The authors declare that there is no external funding for the exploration and analysis work.
Информированное согласие на публикацию. Пациенты подписали форму добровольного информированного согласия на публикацию медицинской информации.
Consent for publication. Written consent was obtained from the patients for publication of relevant medical information and all of accompanying images within the manuscript.
About the authors
Tatyana N. Markova
Yevdokimov Moscow State University of Medicine and Dentistry; Moscow City Clinical Hospital №52
Author for correspondence.
Email: markovatn18@yandex.ru
ORCID iD: 0000-0001-7911-2424
SPIN-code: 5914-2890
D. Sci. (Med.)
Russian Federation, Moscow; MoscowMukhamed S. Stas
Yevdokimov Moscow State University of Medicine and Dentistry
Email: hamudestas@gmail.com
ORCID iD: 0000-0002-9498-6039
SPIN-code: 4601-6785
Graduate Student
Russian Federation, MoscowValentina V. Chibisova
Moscow City Clinical Hospital №52
Email: lv93_93@mail.ru
ORCID iD: 0000-0001-7974-4560
SPIN-code: 7818-5605
endocrinologist
Russian Federation, MoscowAnastasia A. Anchutina
Yevdokimov Moscow State University of Medicine and Dentistry; Moscow City Clinical Hospital №52
Email: anastasia.ponomariova@yandex.ru
ORCID iD: 0000-0002-6202-8821
SPIN-code: 5252-8148
endocrinologist
Russian Federation, Moscow; MoscowReferences
- Zhou F, Yu T, Du R, et al. Clinical course and risk factors for mortality of adult inpatients with COVID-19 in Wuhan, China: a retrospective cohort study. Lancet. 2020;395(10229):1054-62. doi: 10.1016/S0140-6736(20)30566-3
- Lee MH, Wong C, Ng CH, et al. Effects of hyperglycaemia on complications of COVID-19: A meta-analysis of observational studies. Diabetes Obes Metab. 2021;23(1):287-9. doi: 10.1111/dom.14184
- Калмыкова З.А., Кононенко И.В., Скляник И.А., и др. Гипергликемия и возможные механизмы повреждения β-клеток у пациентов с COVID-19. Сахарный диабет. 2020;23(3):229-34 [Kalmykova ZA, Kononenko IV, Sklyanik IA, et al. Hyperglycemia and possible mechanisms of β-cell damage in patients with COVID-19. Diabetes mellitus. 2020;23(3):229-34 (in Russian)]. doi: 10.14341/DM12485
- Govender N, Khaliq OP, Moodley J, Naicker T. Insulin resistance in COVID-19 and diabetes. Prim Care Diabetes. 2021;15(4):629-34. doi: 10.1016/j.pcd.2021.04.004
- Senapati S, Banerjee P, Bhagavatula S, et al. Contributions of human ACE2 and TMPRSS2 in determining host-pathogen interaction of COVID-19. J Genet. 2021;100(1):12. doi: 10.1007/s12041-021-01262-w
- Fadini GP, Morieri ML, Boscari F, et al. Newly-diagnosed diabetes and admission hyperglycemia predict COVID-19 severity by aggravating respiratory deterioration. Diabetes Res Clin Pract. 2020;168:108374. doi: 10.1016/j.diabres.2020.108374
- Sathish T, Kapoor N, Cao Y, et al. Proportion of newly diagnosed diabetes in COVID-19 patients: A systematic review and meta-analysis. Diabetes Obes Metab. 2021;23(3):870-4. doi: 10.1111/dom.14269
- Lee MS, Lee R, Ko CW, Moon JE. Increase in blood glucose level and incidence of diabetic ketoacidosis in children with type 1 diabetes mellitus in the Daegu-Gyeongbuk area during the coronavirus disease 2019 (COVID-19) pandemic: a retrospective cross-sectional study. J Yeungnam Med Sci. 2022;39(1):46-52. doi: 10.12701/yujm.2021.01221
- Шестакова М.В., Кононенко И.В., Калмыкова З.А., и др. Повышенный уровень гликированного гемоглобина (HbA1c) у больных с COVID-19 является маркером тяжести течения инфекции, но не индикатором предшествующего сахарного диабета. Сахарный диабет. 2020;23(6):504-13 [Shestakova MV, Kononenko IV, Kalmykova ZA, et al. High level of glycated hemoglobin (HbA1c) in patients with COVID-19 is a marker of the severity of the infection but not an indicator of previous diabetes mellitus. Diabetes mellitus. 2020;23(6):504-13 (in Russian)]. doi: 10.14341/DM12702
- Хайдарова Ф.А., Алимова Н.У., Алиева А.В., и др. Влияние COVID-19-инфекции на развитие сахарного диабета 1 типа у детей и подростков. Сахарный диабет. 2022;25(1):21-6 [Khaydarova FA, Alimova NU, Alieva AV, et al. Impact of COVID-19 infection on the development of type 1 diabetes mellitus in children and adolescents. Diabetes mellitus. 2022;25(1):21-6 (in Russian)]. doi: 10.14341/DM12785
- Маркова Т.Н., Лысенко М.А., Иванова А.А., и др. Распространенность нарушений углеводного обмена у пациентов с новой коронавирусной инфекцией. Сахарный диабет. 2021;24(3):222-30 [Markova TN, Lysenko MA, Ivanova AA, et al. Prevalence of carbohydrate metabolism disorders in patients with new coronavirus infection. Diabetes mellitus. 2021;24(3):222-30 (in Russian)]. doi: 10.14341/DM12712
- Da Porto A, Tascini C, Colussi G, et al. Relationship between cytokine release and stress hyperglycemia in patients hospitalized with COVID-19 infection. Front Med (Lausanne). 2022;9:988686. doi: 10.3389/fmed.2022.988686
- Ilias I, Jahaj E, Kokkoris S, et al. Clinical Study of Hyperglycemia and SARS-CoV-2 Infection in Intensive Care Unit Patients. In Vivo. 2020;34(5):3029-32. doi: 10.21873/invivo.12136
- Zhu L, She ZG, Cheng X, et al. Association of Blood Glucose Control and Outcomes in Patients with COVID-19 and Pre-existing Type 2 Diabetes. Cell Metab. 2020;31(6):1068-77.e3. doi: 10.1016/j.cmet.2020.04.021
- Li H, Tian S, Chen T, et al. Newly diagnosed diabetes is associated with a higher risk of mortality than known diabetes in hospitalized patients with COVID-19. Diabetes Obes Metab. 2020;22(10):1897-906. doi: 10.1111/dom.14099
- Маркова Т.Н., Анчутина А.А., Лысенко М.А. Глюкоза плазмы натощак как фактор риска неблагоприятного исхода у госпитализированных пациентов с COVID-19. Сборник тезисов IX (XXVIII) Национальный диабетологический конгресс с международным участием «Сахарный диабет и ожирение – неинфекционные междисциплинарные пандемии XXI века». 05–08 сентября 2022 года. М., 2022 [Markova TN, Anchutina AA, Lysenko MA. Glyukoza plazmy natoshchak kak faktor riska neblagopriiatnogo iskhoda u gospitalizirovannykh patsiientov s COVID-19. Sbornik tezisov IX (XXVIII) Natsional'nyi diabetologicheskii kongress s mezhdunarodnym uchastiiem “Sakharnyi diabet i ozhireniie – neinfektsionnyie mezhdistsiplinarnyie pandemii XXI veka”. 05–08 sentiabria 2022 goda. Moscow, 2022 (in Russian)].
- Дедов И.И., Мокрышева Н.Г., Шестакова М.В., и др. Контроль гликемии и выбор антигипергликемической терапии у пациентов с сахарным диабетом 2 типа и COVID-19: консенсусное решение совета экспертов Российской ассоциации эндокринологов. Сахарный диабет. 2022;25(1):27-49 [Dedov II, Mokrysheva NG, Shestakova MV, et al. Glycemia control and choice of antihyperglycemic therapy in patients with type 2 diabetes mellitus and COVID-19: a consensus decision of the board of experts of the Russian association of endocrinologists. Diabetes mellitus. 2022;25(1):27-49 (in Russian)].
- Barrett CE, Koyama AK, Alvarez P, et al. Risk for Newly Diagnosed Diabetes >30 Days After SARS-CoV-2 Infection Among Persons Aged <18 Years – United States, March 1, 2020 – June 28, 2021. MMWR Morb Mortal Wkly Rep. 2022;71(2):59-65. doi: 10.15585/mmwr.mm7102e2
- Стронгин Л.Г., Некрасова Т.А., Беликина Д.В., и др. Дисгликемия при COVID-19 и сахарном диабете 2 типа: особенности гликемического профиля у госпитализированных пациентов и роль стероид-индуцированных нарушений. Проблемы эндокринологии. 2022;68(2):56-65 [Strongin LG, Nekrasova TA, Belikina DV, et al. Dysglycemia in COVID-19 and Type 2 Diabetes Mellitus: Peculiarities of the Glycemic Profile in Hospitalized Patients and the Role of Steroid-Induced Disorders. Problems of Endocrinology. 2022;68(2):56-65 (in Russian)]. doi: 10.14341/probl12840
- Kuchay MS, Reddy PK, Gagneja S, et al. Short term follow-up of patients presenting with acute onset diabetes and diabetic ketoacidosis during an episode of COVID-19. Diabetes Metab Syndr. 2020;14(6):2039-41. doi: 10.1016/j.dsx.2020.10.015
Supplementary files









