Subacute thyroiditis: clinical significance of diffuse 18-fluorodeoxyglucose uptake. Case report
- Authors: Ognerubov N.A.1, Antipova T.S.2, Palkina E.E.3
-
Affiliations:
- Derzhavin Tambov State University
- PET-Technology
- Tambov Regional Oncological Clinical Dispensary
- Issue: Vol 25, No 4 (2023): Endocrinology
- Pages: 274-277
- Section: Articles
- Published: 10.04.2023
- URL: https://consilium.orscience.ru/2075-1753/article/view/568240
- DOI: https://doi.org/10.26442/20751753.2023.4.202301
- ID: 568240
Cite item
Full Text
Abstract
Background. Subacute thyroiditis is a rare inflammatory thyroid disease presumably associated with viral infection, including COVID-19. It accounts for about 5% of all thyroid diseases.
Materials and methods. A clinical case of de Quervain's subacute thyroiditis in a patient with diffuse hypermetabolic 18-fluorodeoxyglucose uptake by the thyroid gland is presented.
Results. A 61-year-old patient with no history of thyroid disorders 3 weeks after COVID-19 experienced fever in the evenings (37.8–39.8°C). He had moderate pain in the thyroid gland with radiation to the jaw, severe weakness, hand tremors, shivers, 12 kg weight loss, and sweating. These symptoms lasted for 3 weeks. Physical examination showed an enlarged thyroid gland, dense and extremely tender, especially its left lobe. Ultrasound showed an enlarged thyroid gland with a heterogeneous structure and large hypoechoic areas in both lobes up to 4×7 mm with fuzzy contour. Color Doppler imaging revealed reduced blood flow. Combined positron-emission and X-ray computed tomography with 18-fluorodeoxyglucose showed an increased diffuse uptake of the radiopharmaceutical in the thyroid gland and enlargement of its lobes, SUVmax 10.55. Blood thyroid-stimulating hormone is low, free triiodothyronine and thyroxine are high, and ferritin concentration is markedly increased, consistent with thyrotoxicosis. A fine-needle aspiration biopsy was performed. Cytology confirmed de Quervain's subacute thyroiditis. Glucocorticoids and nonsteroidal anti-inflammatory drugs were administered. Four weeks after the treatment, the clinical manifestations resolved. The patient was assessed in 6 months. Ultrasound showed a thyroid gland of regular size with smooth contours; color Doppler mapping revealed normal blood flow. Thyroid-stimulating hormone, triiodothyronine, and thyroxine were within reference ranges.
Conclusion. The SARS-CoV-2 virus can be regarded as the cause of subacute thyroiditis. Combined positron-emission and X-ray computed tomography with 18-fluorodeoxyglucose showed diffuse intensive radiopharmaceutical uptake in the thyroid gland. Cytology is the basis for differential diagnostics. Glucocorticoids and nonsteroidal anti-inflammatory drugs are the first-choice agents.
Full Text
Введение
Подострый тиреоидит – воспалительное заболевание щитовидной железы. В литературе это заболевание имеет и другие названия, в частности тиреоидит де Кервена, гигантоклеточный тиреоидит, гранулоцитарный тиреоидит, подострый гранулематозный тиреоидит. Вероятно, он имеет вирусное происхождение и обычно протекает в 4 фазы. Клиническому дебюту заболевания предшествует на 2–8 нед раньше инфекция верхних дыхательных путей [1].
По частоте встречаемости на его долю приходится от 1,6 до 5% всех заболеваний щитовидной железы [2].
В период пандемии коронавирусной инфекции (COVID-19) 10–20% госпитализированных пациентов имели клинические проявления подострого тиреоидита [3]. Однако влияние COVID-19 на его распространенность изучается.
Женщины страдают этим заболеванием в 4,7 раза чаще, чем мужчины, на их долю приходится от 70 до 80% всех больных [4].
В литературе имеются единичные сообщения о случаях заболевания у детей [5].
В 2018–2020 гг. в Турции проведено ретроспективное одноцентровое исследование, согласно которому выявлены усиление сезонных колебаний и увеличение числа мужчин, страдающих подострым тиреоидитом, без влияния на клиническое течение [6].
В то же время результаты перекрестного исследования, проведенного в Южной Корее с 2017 по 2019 г., показали максимальную заболеваемость подострым тиреоидитом в 2020 г. Для лечения этой болезни чаще применяли кортикостероиды [7].
До 96% пациентов с классическим болезненным тиреоидитом сообщают о наличии боли в щитовидной железе от умеренной до сильной с иррадиацией ее в нижнюю челюсть (13%) и уши (19%). Лихорадка наблюдалась у 7% больных [8]. Возможно развитие пареза голосовых связок. Практически у 1/2 больных в первые недели заболевания появляются симптомы тиреотоксикоза – подавление функции тиреотропного гормона (ТТГ), повышение концентрации трийодтиронина (Т3) и тироксина (Т4), продолжительность тиреотоксикоза составляет 2–8 нед. Возникает он в результате разрушения железистой паренхимы щитовидной железы и выброса тиреоидных гормонов [1]. Впоследствии же часто развиваются проявления гипотиреоза [9].
С целью визуализации подострого тиреоидита применяют ультразвуковое исследование (УЗИ) щитовидной железы, лабораторные тесты – гормоны ТТГ, Т3, Т4, антитела к тиреоглобулину и тиреопероксидазе, скорость оседания эритроцитов, С-реактивный белок, сцинтиграфию щитовидной железы с 99mTc-пертехнетатом и цитологическое исследование пунктата, которое требуется редко [1].
Заболевания щитовидной железы, выявляемые с помощью гибридной технологии – комбинированной позитронно-эмиссионной и рентгеновской компьютерной томографии (ПЭТ/КТ) с 18-фтордезоксиглюкозой (18-ФДГ), позволяют уточнить характер патологического процесса при очаговом или диффузном накоплении радиофармпрепарата (РФП). В литературе этому посвящены единичные сообщения [10, 11].
Мы наблюдали пациента с подострым тиреоидитом, у которого при ПЭТ/КТ с 18-ФДГ выявлен диффузный гиперметаболизм РФП.
Клинический случай
Пациент Н., 61 год, обратился к врачу с жалобами на повышение температуры тела по вечерам от 37,8 до 39,8°С, похудение на 12 кг, боли в области щитовидной железы с распространением на нижнюю челюсть, снижение аппетита, потливость, сильную слабость, тремор рук, дрожь в теле. Считает себя больным на протяжении 3 нед. Проводилась симптоматическая терапия с переменным успехом. Из анамнеза известно, что за 3 нед до начала болезни он перенес COVID-19.
При пальпации щитовидная железа диффузно увеличена, плотная, резко болезненная, особенно слева. Шейные и надключичные лимфатические узлы не пальпируются. Согласно результатам УЗИ правая доля – размером 5,9×2,6×2,3 см, левая – 5,4×2,5×2,0 см. Объем долей не соответствует полу и возрасту. Контуры ровные. Эхоструктура неоднородная, с обширными гипоэхогенными участками в обеих долях, размером до 4×7 мм, без четких контуров. Цветовое допплеровское картирование – кровоток снижен. Заключение: признаки диффузно-очаговых изменений щитовидной железы. Больной направлен к эндохирургу для решения вопроса об оперативном лечении.
По данным спиральной КТ органов грудной клетки, УЗИ органов брюшной полости очаговой патологии не выявлено.
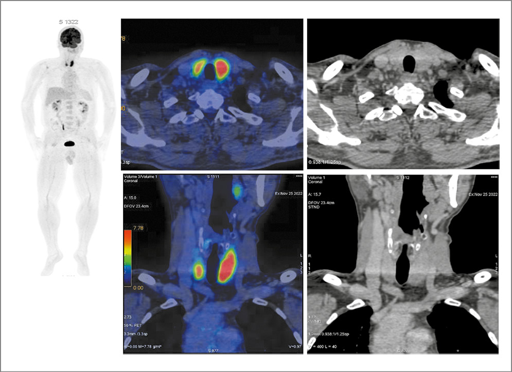
Выполнена ПЭТ/КТ с 18-ФДГ. Выявлено увеличение размеров обеих долей: левой – до 28×19 мм, правой – до 26×16 мм с диффузной гиперфиксацией РФП SUVmax 10,55. Лимфоузлы шеи не увеличены, метаболически неактивные (рис. 1).
Рис. 1. Больной Н., 61 год. На MIP ПЭТ, аксиальных, корональных КТ и ПЭТ/КТ-проекциях отмечается диффузное увеличение размеров обеих долей щитовидной железы: левой – до 28×19 мм, правой – до 26×16 мм, с диффузной гиперфиксацией РФП, SUVmax 10,55. С четкими ровными контурами, однородной структуры. Патологических образований в области мягких тканей шеи не выявлено.
Произведена тонкоигольная аспирационная биопсия левой доли щитовидной железы под контролем УЗИ. При цитологическом исследовании установлен подострый гранулематозный тиреоидит де Кервена (рис. 2).
Рис. 2. Больной Н, 61 год. Фото с препарата. Цитологическая картина подострого тиреоидита де Кервена. Окраска по Романовскому–Гимзе. Увеличение ×200: а – в поле зрения гигантская многоядерная клетка инородных тел, видны зрелые лимфоциты и нейтрофильные лейкоциты; b – небольшое скопление клеток фолликулярного эпителия на фоне элементов хронического подострого воспаления.
В сыворотке крови концентрация ТТГ снижена – 0,053 мМЕ/л, а Т3 свободного и Т4 свободного повышена – 8,88 и 29,7 нмоль/л соответственно. Уровень ферритина значительно увеличен – 1876,5 нг/мл. Эти показатели характерны для тиреотоксикоза. Антитела к тиреопероксидазе – 0,305 МЕ/мл, что свидетельствует о норме. Проведенный анализ на инфекционные заболевания – гепатит, микоплазмоз, хламидиаз показал отрицательный результат. Антитела к вирусу Эпштейна–Барр и цитомегаловирусу класса G не обнаружены. Скорость оседания эритроцитов – 65 мм/ч. При эхокардиографии данных за эндокардит не получено.
Установлен диагноз – «подострый тиреоидит де Кервена, тиреотоксикоз». Назначены кортикостероиды – преднизолон в суточной дозе 20 мг на протяжении 2 нед с последующим снижением дозы, длительность терапии – 6 нед, а также нестероидные противовоспалительные препараты. К концу лечения клинические симптомы полностью регрессировали, а уровень гормонов щитовидной железы нормализовался. Обследован через 6 мес. При УЗИ щитовидная железа не увеличена, контуры ровные, структура однородная, характер кровотока обычный. Гормональная функция щитовидной железы не нарушена.
Представленный случай интересен наличием связи заболевания подострым тиреоидитом с вирусом SARS-CoV-2, а также благоприятным исходом после терапии глюкокортикоидами.
Обсуждение
Первое описание подострого тиреоидита сделано швейцарским хирургом де Кервеном в 1902 г. [12]. Этиология его до сих пор не ясна. Начало заболевания обусловлено несколькими вирусами: Коксаки, Эпштейна–Барр, гриппа, парвовируса, краснухи, ВИЧ, гепатита, кори [13]. Инфекции верхних дыхательных путей оказались первоначальным диагнозом у 1/3 пациентов [14].
Основные морфологические изменения в щитовидной железе обусловлены миграцией клеток острого воспаления с выраженным повреждением фолликулов [15].
C. Xu и соавт. в 2023 г. опубликовали результаты библиометрического анализа литературы, посвященного различным аспектам подострого тиреоидита с 2001 по 2022 г. по базе данных Web of Science. В общей сложности анализу подвергнуты 568 исследований, опубликованных в 282 академических журналах из 900 учреждений и 61 страны. Авторы считают, что за последние 20 лет основные исследования посвящены изучению распространенности этого заболевания, особенно у больных COVID-19, включая генетические изменения, и его лечению. В период пандемии COVID-19 отмечается резкий рост количества публикаций, касающихся подострого тиреоидита [16]. Опубликованы многочисленные случаи связи подострого тиреоидита с инфекцией SARS-CoV-2 [17]. Первый такой случай, ассоциированный с SARS-CoV-2, зарегистрирован в мае 2020 г. [18]. Также систематический обзор литературы показал, что подострый тиреоидит может возникать в течение 2 мес после вакцинации против COVID-19 [19].
Клиническая картина заболевания сопровождается локальной болью и болезненностью при пальпации в области щитовидной железы в сочетании с лихорадкой, ознобом, потерей массы тела [20]. В начале заболевания отмечается тиреотоксикоз с последующим развитием гипотиреоза и возвратом к эутиреоидному состоянию через несколько месяцев после лечения. Однако в последнее время клиническая картина претерпела определенные изменения. Так, лихорадка стала наблюдаться реже, увеличилась частота безболезненного варианта до 6,3% [4]. Типичным симптомом стал стойкий гипотиреоз, вероятность которого связана с изменением объема щитовидной железы, определяемого с помощью УЗИ до начала лечения и по его окончании [21]. Это сопровождается разнонаправленными диагностическими и тактическими ошибками в лечении. С момента клинического дебюта до постановки диагноза время варьирует от 2 нед до 6 мес [22], что приводит к задержке лечения и ухудшению качества жизни.
В представленном случае клиническая картина носила классический характер. Тем не менее пациент проходил обследование и получал симптоматическое лечение в поликлинике по месту жительства в течение 4 нед, после этого госпитализирован в инфекционную больницу, где находился 3 нед. При обследовании установлен диагноз – «объемное образование щитовидной железы» и рекомендовано оперативное лечение. Таким образом, диагноз подострого тиреоидита поставлен через 7 нед от клинического дебюта болезни.
УЗИ щитовидной железы является одним из основных методов диагностики и последующего наблюдения за больными подострым тиреоидитом [1].
Подострый тиреоидит может поражать диффузно или очагово, одну или обе доли щитовидной железы [13]. В доступной литературе опубликован ряд работ по ультразвуковой характеристике подострого тиреоидита, где описаны 27 пациентов. Из них у 23 наблюдалось одностороннее поражение, а у 4 – двустороннее. При этом все образования были нечеткими, гипоэхогенными с неровным краем, которые имитировали злокачественную опухоль [13].
Ценным методом для диагностики, особенно дифференциальной, является ПЭТ/КТ с 18-ФДГ. Очаговое накопление в щитовидной железе РФП обусловлено чаще всего злокачественной опухолью. В литературе опубликовано несколько сообщений о случаях подострого тиреоидита с диффузным интенсивным накоплением РФП, напоминающим злокачественное новообразование [23]. Вероятнее всего, интенсивный гиперметаболизм 18-ФДГ обусловлен активным воспалением.
Описанный случай продемонстрировал возможность диффузного интенсивного поглощения щитовидной железой 18-ФДГ при подостром тиреоидите.
Стандартизированный коэффициент максимального накопления SUVmax равнялся 10,55. В таких случаях с целью дифференциальной диагностики необходимо выполнять тонкоигольную аспирационную биопсию с последующим цитологическим исследованием, которое позволит установить истинный характер процесса.
Основная цель лечения подострого тиреоидита – обезболивание и противовоспалительная терапия, для чего применяют глюкокортикоиды и нестероидные противовоспалительные препараты, причем кортикостероиды считаются фактором снижения риска рецидива заболевания. Краткосрочное применение преднизолона сравнимо с длительным приемом и имеет лучший профиль безопасности [24].
Ранний рецидив развивается в 10–22% случаев на фоне лечения глюкокортикоидами или в течение 2 мес по его окончании [25]. Поздние рецидивы встречаются у 0,9–2,3% больных через 8–23 года по завершении терапии [26].
Кроме того, возможно интратиреоидное введение кортикостероидов под ультразвуковым контролем, что позволяет сократить длительность перорального приема препарата [27].
Заключение
Подострый тиреоидит является редким вирус-ассоциированным воспалительным заболеванием щитовидной железы. Представленный случай связан с вирусом SARS-CoV-2. Боль в области щитовидной железы и болезненность при пальпации, а также лихорадка являются характерными симптомами подострого гранулематозного тиреоидита де Кервена.
По данным ПЭТ/КТ с 18-ФДГ при подостром тиреоидите в щитовидной железе отмечается как очаговая, так и диффузная повышенная фиксация РФП, SUVmax 10,55. Последний вариант встречается значительно реже. В связи с этим в таких случаях выполнение тонкоигольной аспирационной биопсии необходимо считать обязательной опцией с целью проведения дифференциальной диагностики с учетом результатов цитологического исследования. Основным методом лечения является применение глюкокортикоидов и нестероидных противовоспалительных препаратов.
Раскрытие интересов. Авторы декларируют отсутствие явных и потенциальных конфликтов интересов, связанных с публикацией настоящей статьи.
Disclosure of interest. The authors declare that they have no competing interests.
Вклад авторов. Авторы декларируют соответствие своего авторства международным критериям ICMJE. Все авторы в равной степени участвовали в подготовке публикации: разработка концепции статьи, получение и анализ фактических данных, написание и редактирование текста статьи, проверка и утверждение текста статьи.
Authors’ contribution. The authors declare the compliance of their authorship according to the international ICMJE criteria. All authors made a substantial contribution to the conception of the work, acquisition, analysis, interpretation of data for the work, drafting and revising the work, final approval of the version to be published and agree to be accountable for all aspects of the work.
Источник финансирования. Авторы декларируют отсутствие внешнего финансирования для проведения исследования и публикации статьи.
Funding source. The authors declare that there is no external funding for the exploration and analysis work.
Информированное согласие на публикацию. Пациент подписал форму добровольного информированного согласия на публикацию медицинской информации.
Consent for publication. Written consent was obtained from the patient for publication of relevant medical information and all of accompanying images within the manuscript.
About the authors
Nikolai A. Ognerubov
Derzhavin Tambov State University
Author for correspondence.
Email: ognerubov_n.a@mail.ru
ORCID iD: 0000-0003-4045-1247
D. Sci. (Med.), Cand. Sci. (Law), Prof.
Russian Federation, TambovTatiana S. Antipova
PET-Technology
Email: ognerubov_n.a@mail.ru
ORCID iD: 0000-0003-4165-8397
doctor
Russian Federation, TambovElena E. Palkina
Tambov Regional Oncological Clinical Dispensary
Email: palkina68@mail.ru
cytologist
Russian Federation, TambovReferences
- Braga M, Brito JP, Lewiński A, Płaczkiewicz-Jankowska E. Subacute Painful Thyroiditis (de Quervain Thyroiditis). McMaster Textbook of Internal Medicine. Kraków: Medycyna Praktyczna. Available at: https://empendium.com/mcmtextbook/chapter/B31.II.9.3.3. Accessed: 02.07.2023.
- Xu C, Jiang R, Liu JY. Emerging trends and hot spots in subacute thyroiditis research from 2001 to 2022: A bibliometric analysis. Front Endocrinol (Lausanne). 2023;14:1144465. doi: 10.3389/fendo.2023.1144465
- Sözen M, Topaloğlu Ö, Çetinarslan B, et al. COVID-19 mRNA vaccine may trigger subacute thyroiditis. Hum Vaccin Immunother. 2021;17(12):5120-5. doi: 10.1080/21645515.2021.2013083
- Stasiak M, Michalak R, Stasiak B, Lewinski A. Clinical characteristics of subacute thyroiditis is different than it used to be – current state based on 15 years own material. Neuro Endocrinol Lett. 2019;39(7):489-95.
- Ramineni P, Kamath SP, Joshi J, Rao S. Subacute thyroiditis with airway compromise in a 5-year-old boy. BMJ Case Rep. 2020;13(11):e236909. doi: 10.1136/bcr-2020-236909
- Bostan H, Sencar ME, Calapkulu M, et al. Impact of the COVID-19 pandemic on the incidence, seasonal distribution, and characteristics of subacute thyroiditis. Endocrine. 2022;79(2):323-30. doi: 10.1007/s12020-022-03197-3
- Ahn HY, Choi HS, Ha S, Cho SW. Incidence of subacute thyroiditis during the COVID-19 pandemic in south Korea using the national health insurance service database. Thyroid. 2022;32(11):1299-306. doi: 10.1089/thy.2022.0363
- Fatourechi V, Aniszewski JP, Fatourechi GZ, et al. Clinical features and outcome of subacute thyroiditis in an incidence cohort: Olmsted County, Minnesota, study. J Clin Endocrinol Metab. 2003;88:2100-5.
- Hennessey Jv. Subacute Thyroiditis. [Updated 2018 Jun 12]. In: Endotext. Eds. KR Feingold, B Anawalt, MR Blackman, et al. South Dartmouth (MA): MDText.com, Inc.; 2000. Available at: https://www.ncbi.nlm.nih.gov/books/NBK279084/ Accessed: 12.02.2023.
- Yeo SH, Lee SK, Hwang I, Ahn EJ. Subacute thyroiditis presenting as a focal lesion on [18F] fluorodeoxyglucose whole-body positron-emission tomography/CT. Am J Neuroradiol. 2011;32(4):E58-60. doi: 10.3174/ajnr.A2017
- Karantanis D, Bogsrud TV, Wiseman GA, et al. Clinical significance of diffusely increased 18F-FDG uptake in the thyroid gland. J Nucl Med. 2007;48(6):896-901. doi: 10.2967/jnumed.106.039024
- Quervain F. Über acute, nichteitrige thyroiditis. Arch Für Klin Chir. 1902;67:706-14.
- Mangaraj S. Subacute thyroiditis complicating dengue fever – case report and brief review of literature. Trop Doct. 2021;51(2):254-6. doi: 10.1177/0049475520977821
- Zornitzki T, Mildiner S, Schiller T, et al. Subacute thyroiditis-still a diagnostic challenge: Data from an observational study. Int J Environ Res Public Health. 2022;19(15):9388. doi: 10.3390/ijerph19159388
- Volpe The management of subacute (DeQuervain's) thyroiditis. Thyroid. 1993;3(3):253-5.
- Xu C, Jiang R, Liu JY. Emerging trends and hot spots in subacute thyroiditis research from 2001 to 2022: A bibliometric analysis. Front Endocrinol (Lausanne). 2023;14:1144465. doi: 10.3389/fendo.2023.1144465
- Kong M, La Porte S. Case Report: De Quervain's Thyroiditis as a Long-Term Sequelae Complication to SARS-CoV-2 Infection. Case Rep Acute Med. 2021;4(2):64-70. doi: 10.1159/000517705
- Brancatella A, Ricci D, Viola N, et al. Subacute thyroiditis after SARS-COV-2 infection. J Clin Endocrinol Metab. 2020;105(7):dgaa276. doi: 10.1210/clinem/dgaa276
- Pipitone G, Rindi LV, Petrosillo N, et al. Vaccine-Induced Subacute Thyroiditis (De Quervain's) after mRNA Vaccine against SARS-CoV-2: A Case Report and Systematic Review. Infect Dis Rep. 2022;14(1):142-54. doi: 10.3390/idr14010018
- Pearce EN, Farwell AP, Braverman LE. Thyroiditis. N Engl J Med. 2003;348(26):2646-55. doi: 10.1056/NEJMra021194
- Park JY, Choi W, Hong AR, et al. Early thyroid volume reduction in subacute thyroiditis can be a potential indicator for hypothyroidism. Front Endocrinol (Lausanne). 2022;13:888018. doi: 10.3389/fendo.2022.888018
- Stasiak M, Michalak R, Stasiak B, Lewiński A. Time-lag between symptom onset and diagnosis of subacute thyroiditis – how to avoid the delay of diagnosis and unnecessary overuse of antibiotics. Horm Metab Res. 2020;52(1):32-8. doi: 10.1055/a-1033-7524
- Park SY, Kim EK, Kim MJ, et al. Ultrasonographic characteristics of subacute granulomatous thyroiditis. Korean J Radiol. 2006;7:229-34.
- Saydam BO, Adiyaman SC, Demir T, et al. The use of low dose prednisolone in patients with subacute thyroiditis and its effect on impaired life and sleep quality. Acta Endocrinol (Buchar). 2022;18(1):64-73. doi: 10.4183/aeb.2022.64
- Arao T, Okada Y, Torimoto K, et al. Prednisolone Dosing Regimen for Treatment of Subacute Thyroiditis. J UOEH. 2015;37:103-10.
- Iitaka M, Momotani N, Ishii J, et al. Incidence of subacute thyroiditis recurrences after a prolonged latency: 24-year survey. J Clin Endocrinol Metab. 1996;81:466-9.
- Huo J, Chen C, Gao D, et al. Ultrasound-guided capsular thyroid injection therapy with dexamethasone and lidocaine mixture for subacute thyroiditis: A single-center study. J Ultrasound Med. 2022;42(3):613-21. doi: 10.1002/jum.16054





