Approach to the patient with adrenal incidentaloma. Case series
- Authors: Ladygina D.O.1, Zorina A.A.1, Berkovskaya M.A.1, Chevais A.2, Beltsevich D.G.2, Fadeev V.V.1
-
Affiliations:
- Sechenov First Moscow State Medical University (Sechenov University)
- National Medical Research Center for Endocrinology
- Issue: Vol 25, No 4 (2023): Endocrinology
- Pages: 278-286
- Section: Articles
- Published: 10.04.2023
- URL: https://consilium.orscience.ru/2075-1753/article/view/568241
- DOI: https://doi.org/10.26442/20751753.2023.4.202306
- ID: 568241
Cite item
Full Text
Abstract
The formations of the adrenal glands are often detected accidentally during instrumental methods of examination of the abdominal cavity and retroperitoneal space, performed for some other reasons. Over the past 2 decades, the frequency of detection of adrenal gland formations has increased 10-fold, and most of them are diagnosed in old age. The tactics of observation and treatment depend both on hormonal activity and on the malignant potential of the detected formation. Up to 5–8% of patients with adrenal incidentalomas have a malignant nature, with a higher risk in young patients, with a size of more than 4 cm, as well as with a history of other malignant neoplasms. The frequency of detection of the classical clinical and laboratory picture of hypercorticism, hyperaldosteronism or catecholamine-producing tumor is less than 15%, however, the phenomenon of functionally autonomous cortisol production according to the results of studies conducted in the last few years is much more common – up to 30–50% of patients. Despite the absence of vivid clinical symptoms in some cases, autonomous cortisol secretion is associated with increased cardiovascular morbidity and metabolic disorders, therefore, all patients with adrenal incidentalomas need to exclude this condition. This article presents clinical cases of patients with adrenal gland formations, describes in detail the examination algorithm and the choice of treatment tactics, taking into account the results of studies conducted since the release of the latest clinical recommendations for the management of patients with adrenal gland incidentalomas in 2016.
Full Text
Введение
Образования надпочечников (ОН) обнаруживаются при проведении визуализирующих исследований органов брюшной полости (компьютерная томография – КТ или магнитно-резонансная томография – МРТ) у 5–7% пациентов [1]. За последние 2 десятилетия частота выявления ОН увеличилась в 10 раз параллельно с увеличением частоты проведения КТ и МРТ брюшной полости. Этот рост произошел в первую очередь за счет обнаружения небольших аденом надпочечников в возрастной группе старше 65 лет [2].
Все ОН можно в целом разделить на 5 категорий:
1) аденомы надпочечников и узелковая гиперплазия;
2) другие доброкачественные ОН (миелолипомы, кисты, гематомы и прочее);
3) карциномы коры надпочечников (адренокортикальный рак – AКР);
4) другие злокачественные ОН (метастазы, саркомы, лимфомы);
5) феохромоцитомы.
Популяционные данные показали, что злокачественные ОН диагностируются в 8,6% случаев, причем большинство из них представляют собой метастазы в надпочечники, и только 0,3% являются АКР [2].
Из доброкачественных ОН чаще всего выявляются аденомы коры надпочечников, составляющие 85% всех образований [2]. Адренокортикальные аденомы сопровождаются биохимическими признаками избытка гормонов примерно в 30–50% случаев, чаще всего выявляется функционально автономная продукция кортизола (ФАПК) [1]. Как продемонстрировало недавнее популяционное исследование, лишь незначительной части пациентов с ОН проводится полноценное исключение гормональной активности выявленных образований, особенно это касается пациентов с ФАПК, первичным гиперальдостеронизмом (ПГА) и более легкими формами синдрома Кушинга (СК) [2]. Длительное влияние даже относительно незначительной гиперсекреции кортизола и/или альдостерона может оказывать значимое влияние на сердечно-сосудистую заболеваемость и смертность, развитие метаболических расстройств [3–5]. В метаанализе Y. Elhassan и соавт. отмечается повышенный кардиоваскулярный риск у пациентов с ФАПК. Также прибавка в массе тела и развитие сахарного диабета 2-го типа (СД 2) наблюдались в 2 раза чаще у пациентов с ФАПК, чем у пациентов с гормонально неактивными образованиями [3]. Таким образом, исключение гормональной активности и злокачественности ОН одинаково важно для выбора верной тактики наблюдения и лечения.
Этиология инциденталом надпочечников
Аденома
Аденомы надпочечников (рис. 1, g) составляют большинство случайно выявленных ОН (81–88%) [6, 7]. На момент постановки диагноза средний размер аденомы надпочечника составляет 1,5–2,5 см, при этом 95–98% из них имеют размер <4 см [2, 3, 7]. Двусторонние аденомы выявляются примерно у 15% пациентов. При визуализации около 60% аденом богаты жировой тканью и имеют нативную плотность <10 единиц Хаунсфилда (HU), в 25% случаев плотность находится в диапазоне от 10 до 19 HU и в 15% – >20 HU. ФАПК диагностируется у 35–50% пациентов (табл. 1) [1, 2]. Следует отметить, что гормонально активные аденомы зачастую выявляются случайно после проведения радиологических исследований, а не по причине наличия симптомов гиперкортицизма или гиперальдостеронизма [6, 8].
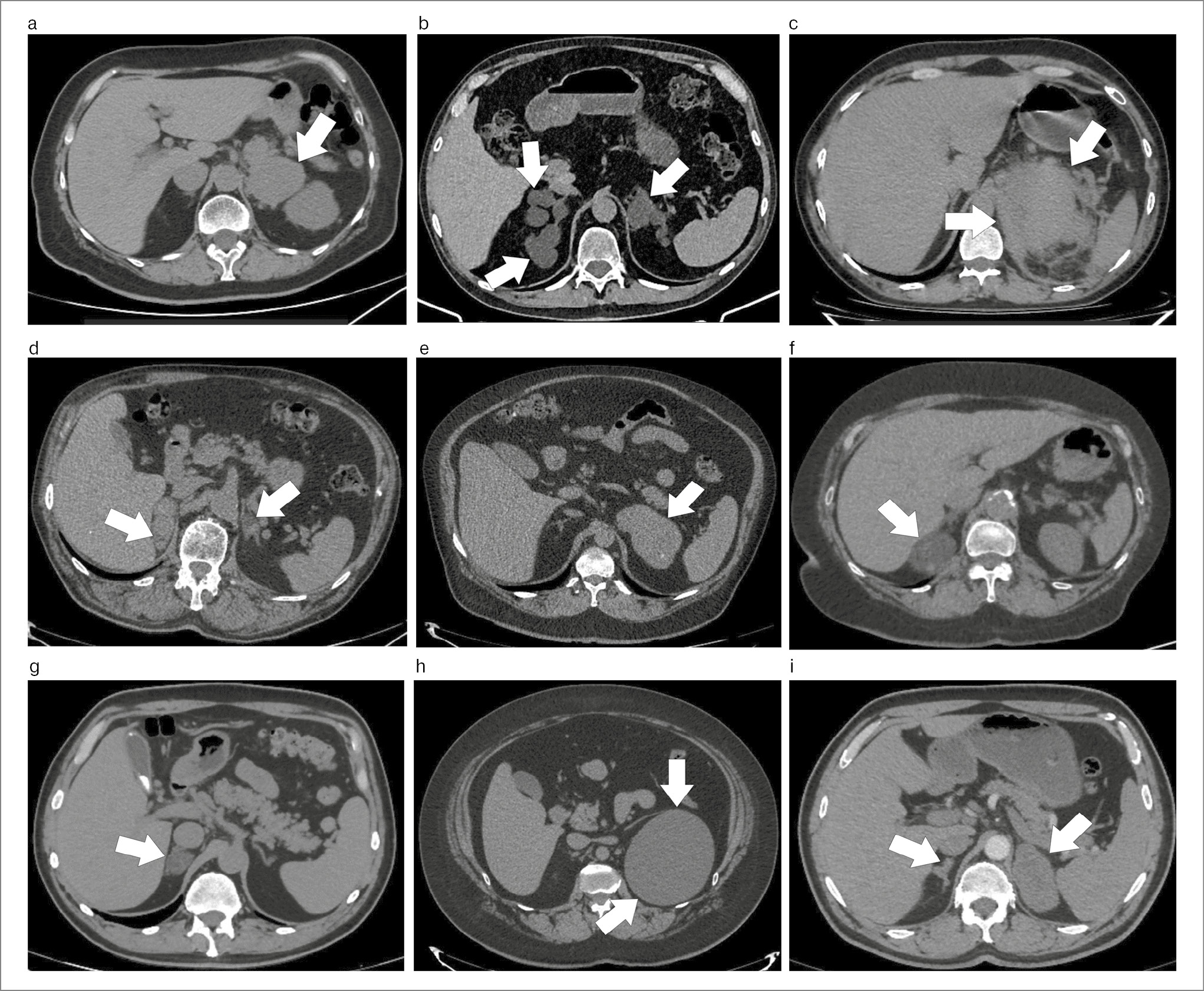
Рис. 1. КТ-изображения инциденталом надпочечников: a – феохромоцитома левого надпочечника размером 69×57×45 мм высокой нативной плотности (25–35 HU); b –двусторонняя макронодулярная гиперплазия надпочечников: правый надпочечник от 14 до 26 мм, с точечными кальцинатами в наиболее крупном из образований. Левый надпочечник – от 10 до 52 мм; плотность – 0–10 HU; c – лимфома левого надпочечника размером 80×64×53 мм с без четких контуров, высокой нативной плотности (от 40–50 HU); d – двусторонние метастазы светлоклеточного рака почки в надпочечники. В правом надпочечнике образования овальной формы, с четкими и ровными контурами, максимальным размером 36×29×32 мм, плотностью от 23–48 HU (при комбинированной позитронно-эмиссионной и рентгеновской КТ SUV 4). В левом надпочечнике образование округлой формы, с четкими и ровными контурами, размерами 21×20×25 мм, плотностью от 29 HU (при комбинированной позитронно-эмиссионной и рентгеновской КТ SUV 3,2); e – АКР левого надпочечника с неровными контурами, вытянутой овальной формы, размерами 48×91×61 мм, плотностью до 35 HU; f – миелолипома правого надпочечника с четкими, ровными контурами размером 49×34×41 мм, плотностью 30 HU; g – аденома (альдостерома) правого надпочечника с ровными четкими контурами, размерами 22,5×18,3×28,6 мм, плотностью 10 HU; h – киста левого надпочечника размерами 113×105×115 мм, плотностью во все фазы исследования 20 HU; i – объемные ОН на фоне длительной декомпенсации врожденной дисфункции коры надпочечников. В правом надпочечнике узелки максимальным размером 10×12 мм, плотностью 33 HU. В левом надпочечнике структура с четкими и неровными контурами, максимальным размером 66×34×42 мм, плотностью до 37 HU.
Таблица 1. Клиническая, биохимическая и КТ-семиотика ОН | |||||
Аденома | Другие доброкачественные ОН | АКР | Другие злокачественные ОН | Феохромоцитома | |
Распространенность, % | |||||
Популяция | 84 | 7 | 0,3 | 8 | 1 |
Эндокринологическая клиника | 85–90 | 3–7 | 1–5 | 1–3 | 1–8 |
Первоначальная диагностика, % | |||||
Инциденталома | 85 | 90 | 40 | 35 | 60 |
Наблюдение при наличии рака других органов | 7 | 4 | <1 | 50 | <1 |
Симптомы избытка гормонов | 7 | <1 | 40 | <1 (надпочечниковая недостаточность) | 30 |
Масс-эффект | <1 | 5 | 15 | 5 | <1 |
Другие | <1 | 1 | 5 | 10 | 10 (генетическое исследование) |
КТ-семиотика | |||||
Размер опухоли | |||||
Медиана, см | 1,5–2,5 | 2–3 | 10 | 3 | 4–5 |
<4 см, % | 95 | 60–70 | 1–2 | 60 | 45 |
Расположение | 15–20% двустороннее | 5–10% двустороннее | <0,1% двустороннее | 24–43% двустороннее | 5–10% двустороннее |
Рост | <1 см/год | <1 см/год | >1 см/3–6 мес | >1 см/3–6 мес | <1 см/год |
Плотность КТ (HU) | HU<10: 50–60% | HU: различная | HU<10: 0% | HU<10: 0% | HU<10: 0% |
HU 10–20: 20–30% | HU<0: миелолипомы | HU 10–20: 1–2% | HU 10–20: 1-4% | HU 10–20: 1–3% | |
HU>20: 10–20% | HU>100: кальцинаты | HU>20: 98–99% | HU>20: 96–98% | HU>20: 97–99% | |
МРТ, % | |||||
Химический сдвиг присутствует | 60–801 | Различно, в зависимости от этиологии | 01 | 02 | 02 |
Химический сдвиг отсутствует | 20–401 | 1001 | 1002 | 1002 | |
Гормональная активность, % | |||||
Неактивные | 50–60 | 1002 | У 20–50% при рутинном биохимическом исследовании не выявлено избытка гормонов (выявляется лишь у 5% при исследовании метаболитов стероидов в моче) | 100 | 5–10 |
Избыток глюкокортикоидов | 40–50 – ФАПК; 1–3 – СК | – | – | – | |
Избыток альдостерона | 5–10 | – | – | – | |
Избыток катехоламинов | – | – | – | 90–95 | |
1Данные о точности МРТ в диагностике злокачественных новообразований и феохромоцитомы ограничены; определения химического сдвига могут различаться. Учитывая эти ограничения, образование, богатое липидами (присутствует химический сдвиг), исключает злокачественность образования и феохромоцитому; 2редко избыток гормонов надпочечников может быть обнаружен у пациента с миелолипомой (ФАПК, ПГА). В таких ситуациях обычно диагностируется сопутствующая аденома или гиперплазия надпочечника. | |||||
Миелолипомы и другие доброкачественные ОН
Миелолипомы надпочечников (рис. 1, f) диагностируются у 3,3–6,2% пациентов с инциденталомами (см. табл. 1). Средний размер миелолипом от 2 до 2,5 см; однако он может значительно варьировать от 0,5 до 15 см и более. Двусторонние миелолипомы встречаются у 5% от общего количества миелолипом и в 20% случаев – среди инциденталом размером >6 см [9].
Доброкачественные некортикальные ОН, отличные от миелолипом, встречаются редко, составляя в общей сложности 1–2%, и включают ганглионевромы, кисты (рис. 1, h), гемангиомы, лимфомы (рис. 1, c) и шванномы [2, 6, 7]. КТ- и МРТ-семиотика этих образований не специфична, диагноз часто ставится на основании гистологического исследования после проведения адреналэктомии.
Феохромоцитома
В популяционных исследованиях феохромоцитомы диагностируют у 1,1% пациентов с ОН, частота выявления увеличивается до 4–8,5%, если анализ проводился в учреждении эндокринологического профиля (см. табл. 1) [2, 6]. На сегодняшний день патогномоничная клиническая симптоматика является первоначальной причиной обследования пациента на наличие хромафинной опухоли только в 27% случаев, подавляющее же большинство случаев выявляется при обследовании пациентов с инциденталомами надпочечников (61%). Генетическое тестирование при отягощенном семейном анамнезе является первопричиной выявления заболевания у 12% [10].
Имеющие клинические проявления феохромоцитомы представляют собой крупные опухоли со средним размером от 4 до 5 см, которые в 4–10% случаев имеют двустороннюю локализацию [10]. Подавляющее количество феохромоцитом при проведении КТ (рис. 1, a) имеет плотность >20 HU (92%), при этом только у 7,5% плотность образования находится в диапазоне от 10 до 20 HU, а у 0,5% пациентов равна 10 HU.
Около 4% гистологически подтвержденных феохромоцитом не выявляется при проведении гормонального исследования [10]. Это чаще всего связано с небольшими размерами образований или с относительно низкой продукцией катехоламинов. Недооценка наличия катехоламин-секретирующей опухоли несет риск периоперационного развития высокоамплитудных гипертензивных кризов, отека легких, фатальных аритмий, синдрома «неуправляемой гемодинамики» и внезапной сердечной смерти [11].
АКР
АКР (рис. 1, e) является редким злокачественным ОН и составляет примерно 0,3% всех ОН и 3,6% злокачественных ОН в популяционной выборке [2]. В то же время AКР является наиболее часто диагностируемым злокачественным ОН в эндокринологической клинике и выявляется примерно у 5% пациентов, наблюдаемых эндокринологом (см. табл. 1) [7]. АКР обнаруживается случайно при проведении визуализирующих обследований по другим причинам в 42–44% случаев [7, 8], несмотря на то, что при обследовании эти образования оказываются гормонально активными. АКР представляет собой одностороннее образование, при этом большинство карцином на момент обнаружения имеют средний размер 10 см [7, 8]. При визуализации карциномы являются либо гетерогенными опухолями, либо имеют плотность >20 HU по данным КТ, медиана плотности составляет 35 HU [7, 8]. Только 2% АКР обнаруживаются при размере опухоли <4 см, и только у 1% плотность составляет от 10 до 20 HU [7].
Метастазы в надпочечниках или другие злокачественные образования
Метастазы (рис. 1, d) являются наиболее распространенным злокачественным ОН, на долю которых приходится 7,5% всех ОН и 86% всех злокачественных новообразований надпочечников в популяции [2]. Однако метастазы в надпочечники гораздо реже встречаются в практике эндокринолога, и только 1 из 4 пациентов с метастазами в надпочечники проводится исключение гормональной активности выявленного образования [2, 12, 13]. Несмотря на то что большинство метастазов в надпочечники обнаруживаются при проведении динамического наблюдения за пациентами с онкологическими заболеваниями, 36% выявляются случайно [12]. Средний размер образований составляет 3 см, варьируя от 0,5 до 20 см (см. табл. 1) [12]. Нередко встречается двустороннее метастазирование в надпочечники [12]. У 12% пациентов с двусторонними метастазами в надпочечники диагностируется первичная надпочечниковая недостаточность [12]. Редко встречающимися злокачественными ОН являются лимфомы, саркомы и нейробластомы [2, 7, 8].
Размеры и расположение образований
Риск злокачественности образования прямо пропорционален его размеру. В популяционном исследовании, включавшем 1287 пациентов, 6% ОН размером <2 см и 9% ОН размерами от 2 до 4 см оказались злокачественными, в то время как среди ОН размером >4 см – 34% [2]. В исследовании, в которое вошли 705 пациентов с крупными ОН>4 см, обследованных в специализированном центре, распространенность злокачественных новообразований оказалась аналогична показателям популяции (31%) [8]. Поскольку средний размер карциномы надпочечника на момент выявления составляет 10 см, больший размер образования увеличивает вероятность его злокачественности; однако оценка размера образования не несет такой диагностической ценности при метастазах в надпочечники (средний размер при постановке диагноза – 3 см) [7, 8, 12]. АКР почти всегда представляет собой одностороннее ОН, в то время как 24–43% метастазов в надпочечники являются двусторонними [8, 12]. Таким образом, в популяции, в которой большинство злокачественных ОН являлись метастазами, двустороннее расположение ассоциировано с более высоким риском злокачественности – в 2,3 раза выше по сравнению с односторонними ОН [2].
Рост опухоли
При наличии изображений ОН, выполненных ранее, анализ динамики их роста дает ценную информацию для определения риска злокачественности. Как сообщалось в большом систематическом обзоре и метаанализе, средняя динамика роста аденом надпочечников за период наблюдения 50 мес составила 2 мм в год, при этом только в 2,5% случаев суммарный рост составил более 1 см [3]. Также отмечено, что изначально аденомы меньшего размера (<2,5 см) росли относительно быстрее в ходе наблюдения, чем более крупные аденомы (>2,5 см) [3]. Ни в одном случае первоначально классифицируемого на основании КТ-семиотики доброкачественного образования не зарегистрировано злокачественной трансформации при наблюдении [3, 9].
Феохромоцитомы растут медленно, примерно на 3–5 мм в год [14]. Однако данных о динамике роста феохромоцитом накоплено мало, поскольку стандартом лечения любого пациента с феохромоцитомой является адреналэктомия.
Динамика роста злокачественных ОН варьирует. Исследования, в которых сообщается о скорости роста злокачественных новообразований, трудно интерпретировать из-за сопутствующей терапии, которая может влиять на темп роста образования, непродолжительности наблюдения из-за проведения адреналэктомии. В одном небольшом исследовании сообщалось о среднем росте опухоли на 60 мм/год [15]. В другом исследовании отмечено, что абсолютный рост на 8 мм за 2–12 мес имел чувствительность 72% и специфичность 81% при диагностике злокачественных новообразований [16].
Исключение гормональной активности
Первым шагом при оценке гормональной активности выявленного ОН является подробный сбор анамнеза, включающий наследственность, наличие и тяжесть сопутствующих заболеваний как возможных проявлений гормональных нарушений. Важно уточнить все лекарственные препараты, биологически активные добавки, которые получает пациент, применение глюкокортикоидов в настоящее время и в анамнезе вне зависимости от способа применения (перорально, перкутанно, инъекционно, на слизистые). До 3% взрослого населения получают глюкокортикоиды по различным причинам, что может приводить к развитию ятрогенного СК и влияет на результаты лабораторных исследований.
Относительно редко ОН могут быть проявлением генетических синдромов: до 5–10% случаев АКР, 25% макронодулярной двусторонней гиперплазии надпочечников и гораздо чаще – до 40% – феохромоцитом [17–19]. При осмотре пациента и сборе анамнеза важно обращать внимание на наличие патологий, которые могут указывать на лежащее в основе генетическое заболевание [17–19]. Важными факторами, которые указывают на наличие генетического синдрома, являются молодой возраст, отягощенный семейный анамнез и двусторонняя локализация образований.
Лабораторная диагностика
Всем пациентам с инциденталомами надпочечников следует проводить ночной подавляющий тест (НПТ) с 1 мг дексаметазона (табл. 2) [20]. Остальная часть первичного лабораторного обследования определяется индивидуально, исходя из клинических данных и результатов радиологического исследования:
1) при наличии артериальной гипертензии и/или необъяснимой гипокалиемии ПГА должен быть исключен на основании исследования утреннего ренина и альдостерона в плазме [21, 22];
2) если по результатам КТ плотность образования >10 HU, то следует провести исследование уровня метанефринов плазмы крови или мочи [23];
3) при подозрении на АКР повышенный уровень половых гормонов и предшественников стероидов может помочь подтвердить диагноз до проведения адреналэктомии [20] (см. табл. 2). При проявлениях надпочечниковой недостаточности вследствие двустороннего инфильтративного заболевания (чаще при метастазах в надпочечники) следует измерить утренний уровень адренокортикотропного гормона (АКТГ) и кортизола (см. табл. 2) [20].
Таблица 2. Гормональные исследования у пациентов с ОН | ||||
Гормональные нарушения | Показания для проведения исследования | Тест 1-й линии | Тест 2-й линии или подтверждающие тесты | Примечания |
Избыток кортизола | Независимо от наличия симптомов, любой пациент с ОН | НПТ с 1 мг дексаметазона. Подтверждение автономной гиперпродукции (ФАПК либо СК): кортизол сыворотки >1,8 мкг/дл. Возможные причины ложноположительных результатов: • прием пероральных эстрогенов • прием препаратов, индукторов CYP3A4 • экзогенные глюкокортикоиды • неконтролируемая гипергликемия – алкоголизм • психические расстройства • выраженное ожирение – беременность • хронический гепатит • почечная недостаточность • пожилой возраст • деменция | • АКТГ • ДГЭА-С • Исследование свободного кортизола в суточной моче • Кортизол слюны • В отдельных случаях: повторить НПТ с 1 мг дексаметазона; провести тест с 8 мг дексаметазона; тест Лиддла; тест с КРГ | • АКТГ-независимый генез автономной гиперпродукции кортизола должен быть подтвержден до рассмотрения вопроса о проведении адреналэктомии • Об АКТГ-независимом генезе автономной гиперпродукции кортизола говорит задавленный уровень АКТГ и ДГЭА-С • Уровень свободного кортизола суточной мочи при ФАПК обычно в пределах нормы • Диагностическая ценность кортизола слюны при ФАПК низкая |
Избыток альдостерона | Любой пациент с артериальной гипертензией вне зависимости от степени повышения артериального давления, со спонтанной гипокалиемией или без нее | Утренний альдостерон + ренин (прямой ренин либо активность ренина). Подтверждение автономной продукции: альдостерон >10 нг/дл (277 пмоль/л; 100 пг/мл) и задавленный ренин. Возможные причины ложноположительных результатов*: • прием β-блокаторов, α-метилдопы, НПВП, пероральных эстрогенов (при измерении прямого ренина) • тестирование во время лютеиновой фазы менструального цикла • нарушение функции почек с гиперкалиемией. Возможные причины ложноотрицательных результатов*: • прием антагонистов минералокортикоидных рецепторов, диуретиков, дигидропиридиновых блокаторов кальциевых каналов, блокаторов рецепторов ангиотензина II, СИОЗС, ингибиторов натрий-глюкозного котранспортера 2-го типа | Не требуется при положительном результате теста 1-й линии и спонтанной гипокалиемии при значении альдостерона более 20 нг/дл. В остальных случаях: тест с внутривенным введением физиологического раствора, тест с солевой нагрузкой, тест с каптоприлом или флудрокортизоном | • Пациентам с подтвержденным ПГА требуется определение типа гиперсекреции при помощи инструментальных методов (КТ/МРТ) и СВЗК • Точность определения источника ПГА на основании КТ/МРТ – 60%, что требует обязательного проведения СВЗК • При альдостерон-продуцирующей аденоме до 22% пациентов имеют ФАПК, что требует обязательного исключения до оперативного вмешательства** |
Избыток катехоламинов | При плотности образования >10 HU, с симптомами или без них | Общий метанефрин, норметанефрин в суточной моче либо свободный метанефрин, норметанефрин плазмы. Подтверждает диагноз: 2-кратное превышение. Возможные причины ложноположительных результатов: • Нарушение техники забора анализа • Прием лекарственных препаратов: трициклических антидепрессантов, психоактивных веществ, прохлорперазина, L-допы, агонистов адренергических рецепторов, феноксибензамина • Физический стресс или серьезное заболевание, требующее госпитализации; застойная сердечная недостаточность; панические атаки; субарахноидальное кровоизлияние; обструктивное апноэ сна • Отмена после длительного приема алкоголя, клофелина и др. Возможные причины ложноотрицательных результатов: • небольшие размеры феохромоцитомы (размер <2 см)*** | • Обычно не требуется**** • Дофамин в моче или плазме крови либо метокситирамин в плазме крови являются возможными дополнительными тестами для выявления образований с гиперсекрецией дофамина (имеют повышенный риск метастазирования) | • Фракционированные общие метанефрины суточной мочи обладают высокой чувствительностью и специфичностью • Фракционированные свободные метанефрины плазмы обладают превосходной чувствительностью, но субоптимальной специфичностью, при несоблюдении правил забора. Последний необходимо проводить после 30-минутного положения лежа на спине • У пациентов с подозрением на феохромоцитому необходимо обращать особое внимание на возможные проявления наследственных синдромов |
Предполагаемый избыток предшественников стероидогенеза, андрогенов или эстрогенов | Любой пациент с подозрением на АКР с симптомами или без них. У всех пациентов с двусторонними аденомами/миелолипомами необходимо исключить врожденную дисфункцию коры надпочечников | ДГЭА-С, прогестерон, 17-ОН-прогестерон, 17-ОН-прегненолон, 11-деоксикортизол, андростедион, тестостерон (у женщин), эстрадиол (у мужчин, женщин в постменопаузе). При возможности выполнить мультистероидный профиль мочи. Исследование 17-ОН-прогестерона ранним утром (в раннюю фолликулярную фазу менструального цикла) | Исследование кортизола и 17-ОН-прогестерона после стимуляции тетракозактидом | - Избегать биопсии надпочечников • Обычно рекомендуется открытая адреналэктомия • Опытный хирург – залог успеха! Генетическое тестирование |
Надпочечниковая недостаточность | Наличие двусторонних образований (чаще метастазы) | Утренний АКТГ и кортизол. При гипонатриемии – исследование альдостерона и ренина | При необходимости повторить в динамике либо проведение стимуляционных тестов | |
Примечание. КРГ – кортикотропин-релизинг-гормон, НПВП – нестероидные противовоспалительные препараты, СВЗК – селективный венозный забор крови; *при первичном обследовании пациента с недавно выявленным ОН не рекомендуется проводить отмену потенциально влияющих препаратов; **одновременная продукция кортизола важна по причине риска развития надпочечниковой недостаточности после адреналэктомии; ***небольшие образования, секретирующие катехоламины, могут иметь отрицательные результаты лабораторных исследований. Целесообразен повторный контроль при увеличении размеров или появлении характерных симптомов; ****прием трициклических антидепрессантов и других психоактивных средств следует уменьшить и прекратить за 2 нед до повторного тестирования. Селективные ингибиторы обратного захвата серотонина (СИОЗС) не оказывают существенного влияния. | ||||
Лабораторная оценка избытка кортизола
НПТ с 1 мг дексаметазона является лучшим тестом для исключения ФАПК. Наличие ФАПК высоковероятно, если уровень кортизола в сыворотке крови в ходе пробы >1,8 мкг/дл (50 нмоль/л); см. табл. 2 [20]. При получении ложноположительных результатов, обусловленных нарушением метаболизма или всасывания препарата, с целью оценки его биодоступности возможно параллельное исследование концентрации дексаметазона в сыворотке крови (см. табл. 2) [24, 25]. Дополнительные тесты, такие как исследование уровня дегидроэпиандростерон сульфата (ДГЭА-С) и АКТГ, необходимы для подтверждения АКТГ-независимой автономной гиперпродукции кортизола, о чем будет свидетельствовать низконормальный или задавленный их уровень. При подозрении на СК исследование кортизола в суточной моче и исследование вечернего кортизола слюны должны быть использованы для подтверждения диагноза [26]. При ФАПК уровень кортизола в суточной моче и в вечерней слюне – часто в пределах референсных значений [27–30].
Лабораторная оценка избытка альдостерона
Первичная диагностика ПГА включает определение уровня альдостерона, ренина и калия в сыворотке крови. Забор крови осуществляют до 10 ч утра на фоне либерализованной по соли диеты, при этом пациенту не обязательно приходить натощак. В течение 2 ч до анализа желательно нахождение пациента в вертикальном положении, а непосредственное взятие крови проводится в положении сидя. Многочисленные классы антигипертензивных и других лекарственных препаратов могут влиять на показатели ренина и альдостерона; это следует принимать во внимание при интерпретации результатов (см. табл. 2) [22, 31]. Несмотря на то, что антигипертензивные препараты потенциально могут вызывать ложноотрицательные результаты тестирования у пациентов с легкой формой ПГА, ни один препарат не может вызывать ложноположительный результат при первичном тестировании, если использовать определенный cut-off для уровня альдостерона и ренина плазмы [32]. Положительным первичным тестом на ПГА, требующим проведения подтверждающих проб, можно считать сочетание уровня альдостерона в верхней половине референса (>10 нг/дл/100 пг/мл/277 пмоль/л) и активности ренина <1 нг/мл/ч (или прямого ренина ниже референсного значения) [22].
Лабораторная оценка избытка катехоламинов
Исследование уровня метанефринов в плазме крови или суточной моче является тестом выбора для диагностики феохромоцитомы [11]. Оба теста обладают превосходной диагностической чувствительностью [33], при этом специфичность выше при исследовании метанефринов в моче. Некоторые лекарства, заболевания и преаналитические факторы могут привести к ложноположительным результатам и должны приниматься во внимание при тестировании пациентов. Двукратное повышение уровня норметанефринов и метанефринов подтверждает наличие у пациента феохромоцитомы/параганглиомы и не требует других подтверждающих тестов [11, 34].
Лечение инциденталом надпочечников
Тактика лечения инциденталом надпочечников основывается на анализе результатов клинического, лабораторного и инструментального исследований. При неоднозначных результатах исследований принятие окончательного решения оптимально проводить на междисциплинарном консилиуме [20].
Лечение гормонально неактивных доброкачественных ОН: наблюдаем или нет?
Согласно рекомендациям Европейского общества эндокринологов проводить повторную визуализацию при гомогенных низкоплотностных инциденталомах надпочечников размером менее 4 см и плотностью ≤10 HU не рекомендуется [20]. По результатам систематического обзора и метаанализа, объединивших более 2800 пациентов с инциденталомами надпочечников, случаев злокачественной трансформации при первичном определении опухоли как доброкачественной не выявлено [3]. Тем не менее следует подчеркнуть: мнение ряда ведущих экспертов не совпадает с тактикой, озвученной в клинических рекомендациях о снятии с наблюдения пациентов с низкоплотностными образованиями, настаивающих на однократном инструментальном контроле (КТ или МРТ) через 1 год [35].
В случае гормонально неактивного ОН промежуточной и высокой плотности (>10 HU) размером менее 4 см дальнейшая тактика может быть следующей:
1) проведение повторной визуализации через 3–12 мес;
2) проведение альтернативного радиологического исследования (позитронно-эмиссионная томография с 18F-фтордезоксиглюкозой или КТ с контрастированием) либо исследование стероидного профиля;
3) проведение адреналэктомии.
Выбор зависит от предварительной оценки вероятности наличия злокачественного новообразования и должен определяться мультидисциплинарной командой.
Среди пациентов с доброкачественными гормонально неактивными ОН распространенность кардиометаболических нарушений, включая предиабет, СД 2, артериальную гипертензию, выше, чем среди пациентов без объемных образований [1, 3, 36]. Не исключено, что это связано с автономной гиперсекрецией кортизола и предшественников стероидогенеза, не выявляемой рутинными методами [37].
Риск возникновения развернутой картины гиперкортицизма при длительном наблюдении пациентов с ранее диагностированными гормонально неактивными ОН или ФАПК практически нулевой (<0,1%) [3]. Однако от 4 до 12% инциденталом надпочечников, которые первоначально расценены как гормонально неактивные, могут впоследствии перейти в группу ФАПК на основании повторно проведенной пробы с 1 мг дексаметазона [3, 27, 36]. Проведение НПТ в динамике оправдано при манифестации или ухудшении течения артериальной гипертензии, нарушений углеводного обмена, ожирения, остеопороза; исключение ПГА также необходимо провести повторно при впервые возникшей гипокалиемии, изменении характера и тяжести повышения артериального давления [3, 20].
Лечение ФАПК
ФАПК все чаще расценивается как клинически значимое кардиометаболическое заболевание. Систематический обзор и метаанализ более 4 тыс. пациентов с доброкачественными опухолями надпочечников выявили высокую распространенность артериальной гипертензии (64%), ожирения (41%), дислипидемии (34%), СД 2 (28%) и сердечно-сосудистых осложнений (6%) у пациентов с ФАПК, что значительно выше, чем в популяции. Опубликованы данные о более высоком риске сердечно-сосудистых событий и смертности при наличии ФАПК [3, 38–42]. Частота остеопороза и переломов позвонков, зачастую бессимптомных, в этой группе составила 46–82% по сравнению с 13–23% у пациентов с гормонально неактивными ОН [43, 44]. Полученные данные относительно повышенного риска переломов и остеопороза получили подтверждение и в популяционном исследовании [45].
Обнаружение ФАПК ставит врачей перед дилеммой, следует ли наблюдать и продолжать медикаментозное лечение сопутствующих метаболических заболеваний или отправить пациента на адреналэктомию. Метаанализ небольших, в основном ретроспективных исследований показал, что у пациентов с ФАПК, перенесших адреналэктомию, наблюдается нормализация артериального давления, улучшается контроль гликемии и дислипидемии, а также отмечается снижение массы тела [46]. Есть доказательства снижения частоты развития переломов позвонков после адреналэктомии в этой группе [47].
В настоящее время решение о выборе тактики ведения должно приниматься в индивидуальном порядке с учетом тяжести клинических проявлений, результатов лабораторных и инструментальных исследований, а также предпочтений пациента. Молодые пациенты с наличием коморбидных состояний с большей вероятностью получат пользу от проведения адреналэктомии. Исследование уровня АКТГ и ДГЭА-С сыворотки крови помогает не только определить АКТГ-независимый характер гиперпродукции кортизола, но и дает дополнительную информацию о выраженности автономной секреции [48]. При планировании оперативного лечения следует обязательно повторить тест с 1 мг дексаметазона для уменьшения вероятности ложноположительных результатов.
В случае выбора консервативной тактики лечения ФАПК крайне важно обеспечить длительное наблюдение за пациентом и оптимизировать терапию сопутствующих заболеваний, вызванных избыточной продукцией кортизола (артериальная гипертензия, СД 2, дислипидемия и снижение костной массы). При ежегодном осмотре следует анализировать эффективность проводимой терапии, манифестацию новых проявлений и при необходимости повторно обсуждать показания к радикальному лечению.
Клинические случаи
Клинический случай №1
Пациентка 60 лет обратилась с жалобами на увеличение массы тела на 20 кг в течение 5–7 лет. Менее года назад диагностирован СД 2 (гликированный гемоглобин – HbA1c – 7,1%, сахароснижающую терапию не получала). Наблюдается по поводу артериальной гипертензии, принимает лизиноприл 10 мг в день и амлодипин 5 мг в день. Два года назад по данным рентгеноденситометрии диагностирован остеопороз (принимала содержащие кальций и витамин D биодобавки, антирезорбтивная терапия не проводилась). За несколько месяцев до этого у пациентки случайно выявили образование левого надпочечника размером 2,2 см. При осмотре: ожирение 3-й степени, индекс массы тела (ИМТ) 41,3 кг/м2, с распределением подкожно-жировой клетчатки по абдоминальному типу. Кожные покровы – без особенностей. Артериальное давление – 138/86 мм рт. ст., пульс – 72 уд/мин.
По данным КТ брюшной полости – образование левого надпочечника с высоким содержанием жира (-12 HU), размером 2,2 см в наибольшем диаметре. Правый надпочечник – без изменений. Исходные результаты лабораторных тестов приведены в табл. 3.
Таблица 3. Биохимические исследования пациентов | ||||
Биохимический показатель | Пациентка №1 | Пациентка №2 | Пациентка №3 | Референсный интервал |
Кортизол в ходе НПТ с 1 мг дексаметазона, мкг/дл | 2,9 | 3,3 | 22 | <1,8 |
АКТГ, пг/мл | <5 | 14 | <5 | 7,2–63 |
ДГЭА-C, мкг/дл | 26 | 485 | <15 | 15–200 (1-й cлучай) 44–332 (2-й случай) 18–284 (3-й случай) |
Альдостерон, нг/дл | 8 | 5 | 4 | <21 |
Активность ренина плазмы, нг/мл/ч | 4,1 | 1,7 | <0,6 | ≤0,6–3 |
Метанефрин в моче, мкг/сут | – | 227 | – | <400 |
Норметанефрин в моче, мкг/сут | – | 356 | – | <900 |
Свободный кортизол в моче, мкг/сут | 27 | 38 | 389 | 3,5–45 |
Злокачественность образования исключена на основании фенотипа изображения (плотность образования <10 HU). ФАПК диагностирована на основании результата теста с 1 мг дексаметазона (кортизол >1,8 мкг/дл), а также низкого уровня АКТГ и ДГЭА-С. Пациентка проинформирована о возможной взаимосвязи ФАПК и сопутствующих сердечно-сосудистых заболеваний (гипертония, диабет, ожирение). Обсуждалось консервативное лечение в сравнении с адреналэктомией. Больная сделала выбор в пользу адреналэктомии, которая выполнена лапароскопически. При гистологическом исследовании выявлена аденома коры надпочечников.
После операции диагностирована надпочечниковая недостаточность (уровень кортизола 2,1 мкг/дл наутро после операции), назначена терапия гидрокортизоном. Через 6 мес наблюдения прием гидрокортизона прекращен. Клинически пациентка отметила улучшение самочувствия, похудела на 7 кг. Достигнуты целевые значения артериального давления на прежней антигипертензивной терапии, уровень HbA1c снизился до 6,5% через 6 мес после операции.
Клинический случай №2
Пациентка 24 лет обратилась в клинику для оценки случайно обнаруженного на КТ ОН. КТ проведена несколькими месяцами ранее с целью диагностики острого аппендицита. В дальнейшем пациентка прооперирована, последние несколько месяцев лекарств и пищевых добавок не получала, жалоб не предъявляет.
По данным физикального обследования ИМТ – 23,6 кг/м2, артериальное давление – 115/64 мм рт. ст. Выполнено повторное КТ, по результатам которого определяется образование левого надпочечника размером 6,8 см, нативной плотностью HU 36 (см. рис. 1, e). В сравнении с предыдущим исследованием отмечен рост образования на 1 см. Результаты лабораторных анализов представлены в табл. 3.
Пациентке сообщено, что наиболее вероятным диагнозом является AКР (из-за значительного роста опухоли, большого размера образования, высокой нативной плотности при визуализации и сочетанного избытка глюкокортикоидов и андрогенов). Проведена открытая левосторонняя адреналэктомия. Размер образования составлял 5,5×7,5×6,9 см. При гистологическом исследовании подтверждено наличие AКР с учетом 5 баллов по Weiss-шкале, a KI67 – 10%. Пациентка выписана на заместительной терапии глюкокортикоидами, через 4 нед после операции инициирована терапия митотаном. Терапия митотаном прекращена из-за побочных эффектов со стороны желудочно-кишечного тракта через 15 мес. Через 5 лет после адреналэктомии пациентка продолжала находиться в стадии ремиссии и чувствовала себя хорошо.
Клинический случай №3
По поводу выявленных двусторонних ОН обратилась 47-летняя женщина. За последние 3 года отмечает постепенное увеличение массы тела на 12 кг, появление надключичных жировых «подушечек» и климактерического горбика, стрий на внутренней поверхности бедер и животе, беспокойство и бессонницу. Кроме того, 8 мес назад у нее диагностировали артериальную гипертензию и СД 2 (HbA1c 7,8%). На момент обследования пациентка получала следующую терапию: лизиноприл, амлодипин, гидрохлоротиазид и метформин. При физикальном осмотре: артериальное давление 163/97 мм рт. ст., ИМТ – 31,7 кг/м2, стрии на животе и внутренней поверхности бедер, лунообразное лицо, матронизм, дорсоцервикальные и надключичные жировые «подушечки». Заподозрен СК, проведены соответствующие лабораторные анализы (см. табл. 3). При повторной оценке результатов КТ выявлены двусторонние ОН 1,4×2,6 см справа и 1,0×5,2 см слева, сходной нативной плотности 5 HU (рис. 1, b).
Учитывая больший размер образования слева, проведено лапароскопическое удаление левого надпочечника, при гистологическом исследовании подтверждено наличие аденомы. В послеоперационном периоде развилась надпочечниковая недостаточность, в связи с чем инициирована терапия глюкокортикоидами. Пациентка отметила нормализацию эмоционального фона, вес снизился на 7 кг за 6 месяцев, на фоне отмены антигипертензивной и сахароснижающей терапии показатели артериального давления и углеводного обмена в пределах нормы.
Раскрытие интересов. Авторы декларируют отсутствие явных и потенциальных конфликтов интересов, связанных с публикацией настоящей статьи.
Disclosure of interest. The authors declare that they have no competing interests.
Вклад авторов. Авторы декларируют соответствие своего авторства международным критериям ICMJE. Все авторы в равной степени участвовали в подготовке публикации: разработка концепции статьи, получение и анализ фактических данных, написание и редактирование текста статьи, проверка и утверждение текста статьи.
Authors’ contribution. The authors declare the compliance of their authorship according to the international ICMJE criteria. All authors made a substantial contribution to the conception of the work, acquisition, analysis, interpretation of data for the work, drafting and revising the work, final approval of the version to be published and agree to be accountable for all aspects of the work.
Источник финансирования. Авторы декларируют отсутствие внешнего финансирования для проведения исследования и публикации статьи.
Funding source. The authors declare that there is no external funding for the exploration and analysis work.
Информированное согласие на публикацию. Пациенты подписали форму добровольного информированного согласия на публикацию медицинской информации.
Consent for publication. Written consent was obtained from the patients for publication of relevant medical information and all of accompanying images within the manuscript.
About the authors
Daria O. Ladygina
Sechenov First Moscow State Medical University (Sechenov University)
Author for correspondence.
Email: ladygina.do@gmail.com
ORCID iD: 0000-0001-6418-7060
SPIN-code: 7958-9435
Cand. Sci. (Med.)
Russian Federation, MoscowAnastasia A. Zorina
Sechenov First Moscow State Medical University (Sechenov University)
Email: azorina97@yandex.ru
ORCID iD: 0000-0002-2234-5283
SPIN-code: 5670-4957
Clinical Resident
Russian Federation, MoscowMarina A. Berkovskaya
Sechenov First Moscow State Medical University (Sechenov University)
Email: abaitamar@gmail.com
ORCID iD: 0000-0003-4974-7765
SPIN-code: 4251-7117
Cand. Sci. (Med.)
Russian Federation, MoscowAnastassia Chevais
National Medical Research Center for Endocrinology
Email: anastassia93@gmail.com
ORCID iD: 0000-0001-5592-4794
SPIN-code: 2459-0540
Endocrinologist
Russian Federation, MoscowDmitry G. Beltsevich
National Medical Research Center for Endocrinology
Email: belts67@gmail.com
ORCID iD: 0000-0001-7098-4584
SPIN-code: 4475-6327
D. Sci. (Med.)
Russian Federation, MoscowValentin V. Fadeev
Sechenov First Moscow State Medical University (Sechenov University)
Email: walfad@mail.ru
ORCID iD: 0000-0002-2504-7468
SPIN-code: 6825-8417
D. Sci. (Med.), Prof., Corr. Memb. RAS
Russian Federation, MoscowReferences
- Reimondo G, Castellano E, Grosso M, et al. Adrenal incidentalomas are tied to increased risk of diabetes: findings from a prospective study. J Clin Endocrinol Metab. 2020;105(4):e973-81.
- Ebbehoj A, Li D, Kaur RJ, et al. Epidemiology of adrenal tumours in Olmsted County, Minnesota, USA: a population-based cohort study. Lancet Diabetes Endocrinol. 2020;8(11):894-902.
- Elhassan YS, Alahdab F, Prete A, et al. Natural history of adrenal incidentalomas with and without mild autonomous cortisol excess: a systematic review and meta-analysis. Ann Intern Med. 2019;171(2):107-16. doi: 10.7326/M18-3630
- Nieman LK, Biller BM, Findling JW, et al. Treatment of Cushing’s Syndrome: An Endocrine Society Clinical Practice Guideline. J Clin Endocrinol Metab. 2015;100(8):2807-31. doi: 10.1210/jc.2015-1818
- Libè R, Dall’Asta C, Barbetta L, et al. Long-term follow-up study of patients with adrenal incidentalomas. Eur J Endocrinol. 2002;147(4):489-94. doi: 10.1530/eje.0.1470489
- Ichijo T, Ueshiba H, Nawata H, Yanase T. A nationwide survey of adrenal incidentalomas in Japan: the first report of clinical and epidemiological features. Endocr J. 2020;67(2):141-52.
- Bancos I, Taylor AE, Chortis V, et al.; ENSAT EURINE-ACT Investigators. Urine steroid metabolomics for the differential diagnosis of adrenal incidentalomas in the EURINE-ACT study: a prospective test validation study. Lancet Diabetes Endocrinol. 2020;8(9):773-781.
- Iniguez-Ariza NM, Kohlenberg JD, Delivanis DA, et al. Clinical, biochemical, and radiological characteristics of a single-center retrospective cohort of 705 large adrenal tumors. Mayo Clin Proc Innov Qual Outcomes. 2018;2(1):30-9.
- Hamidi O, Raman R, Lazik N, et al. Clinical course of adrenal myelolipoma: a long-term longitudinal follow-up study. Clin Endocrinol (Oxf). 2020;93(1):11-8.
- Gruber LM, Hartman RP, Thompson GB, et al. Pheochromocytoma characteristics and behavior differ depending on method of discovery. J Clin Endocrinol Metab. 2019;104(5):1386-93.
- Lenders JW, Duh QY, Eisenhofer G, et al. Pheochromocytoma and paraganglioma: an endocrine society clinical practice guideline. J Clin Endocrinol Metab. 2014;99(6):1915-42. doi: 10.1210/jc.2014-1498
- Mao JJ, Dages KN, Suresh M, Bancos I. Presentation, disease progression and outcomes of adrenal gland metastases. Clin Endocrinol (Oxf). 2020;93(5):546-54.
- Delivanis DA, Erickson D, Atwell TD, et al. Procedural and clinical outcomes of percutaneous adrenal biopsy in a high-risk population for adrenal malignancy. Clin Endocrinol (Oxf). 2016;85(5):710-6.
- Sanford T, Gomella PT, Siddiqui R, et al. Long term outcomes for patients with von Hippel-Lindau and pheochromocytoma: defining the role of active surveillance. Urol Oncol. 2021;39(2):134.e1-8.
- Corwin MT, Navarro SM, Malik DG, et al. Differences in growth rate on CT of adrenal adenomas and malignant adrenal nodules. AJR Am J Roentgenol. 2019;213(3):632-6.
- Pantalone KM, Gopan T, Remer EM, et al. Change in adrenal mass size as a predictor of a malignant tumor. Endocr Pract. 2010;16(4):577-87.
- Bouys L, Chiodini I, Arlt W, et al. Update on primary bilateral macronodular adrenal hyperplasia (PBMAH). Endocrine. 2021;71(3):595-603.
- Dahia PL. Pheochromocytoma and paraganglioma pathogenesis: learning from genetic heterogeneity. Nat Rev Cancer. 2014;14(2):108-19.
- Petr EJ, Else T. Adrenocortical carcinoma (ACC): when and why should we consider germline testing? Presse Med. 2018;47(7-8 Pt. 2):e119-25.
- Fassnacht M, Arlt W, Bancos I, et al. Management of adrenal incidentalomas: European Society of Endocrinology Clinical Practice Guideline in collaboration with the European Network for the Study of Adrenal Tumors. Eur J Endocrinol. 2016;175(2):G1-34.
- Vaidya A, Carey RM. Evolution of the primary aldosteronism syndrome: updating the approach. J Cli Endocrinol Metab. 2020;105(12):3771-83.
- Funder JW, Carey RM, Mantero F, et al. The management of primary aldosteronism: case detection, diagnosis, and treatment: an Endocrine Society clinical practice guideline. J Clin Endocrinol Metab. 2016;101(5):1889-916.
- Buitenwerf E, Berends AMA, van Asselt ADI, et al. Diagnostic accuracy of computed tomography to exclude pheochromocytoma: a systematic review, meta-analysis, and cost analysis. Mayo Clin Proc. 2019;94(10):2040-52.
- Ceccato F, Artusi C, Barbot M, et al. Dexamethasone measurement during low-dose suppression test for suspected hypercortisolism: threshold development with and validation. J Endocrinol Invest. 2020;43(8):1105-13.
- Vogg N, Kurlbaum M, Deutschbein T, et al. Method-specific cortisol and dexamethasone thresholds increase clinical specificity of the dexamethasone suppression test for Cushing syndrome. Clin Chem. 2021;67(7):998-1007.
- Nieman LK, Biller BM, Findling JW, et al. The diagnosis of Cushing’s syndrome: an Endocrine Society clinical practice guideline. J Clin Endocrinol Metab. 2008;93(5):1526-40.
- Giordano R, Marinazzo E, Berardelli R, et al. Long-term morphological, hormonal, and clinical follow-up in a single unit on 118 patients with adrenal incidentalomas. Eur J Endocrinol. 2010;162(4):779-85.
- Ueland GÅ, Grinde T, Methlie P, et al. Diagnostic testing of autonomous cortisol secretion in adrenal incidentalomas. Endocr Connect. 2020;9(10):963-70.
- Ceccato F, Barbot M, Albiger N, et al. Daily salivary cortisol and cortisone rhythm in patients with adrenal incidentaloma. Endocrine. 2018;59(3):510-9.
- Delivanis DA, Iñiguez-Ariza NM, Zeb MH, et al. Impact of hypercortisolism on skeletal muscle mass and adipose tissue mass in patients with adrenal adenomas. Clin Endocrinol (Oxf). 2018;88(2):209-16.
- O’Shea PM, Griffin TP, Denieffe S, Fitzgibbon MC. The aldosterone to renin ratio in the diagnosis of primary aldosteronism: promises and challenges. Int J Clin Pract. 2019;73(7):e13353. doi: 10.1111/ijcp.13353
- Young WF Jr. Diagnosis and treatment of primary aldosteronism: practical clinical perspectives. J Intern Med. 2019;285(2):126-48. doi: 10.1111/joim.12831
- Därr R, Kuhn M, Bode C, et al. Accuracy of recommended sampling and assay methods for the determination of plasmafree and urinary fractionated metanephrines in the diagnosis of pheochromocytoma and paraganglioma: a systematic review. Endocrine. 2017;56(3):495-503.
- Sbardella E, Grossman AB. Pheochromocytoma: An approach to diagnosis. Best Pract Res Clin Endocrinol Metab. 2020;34(2):101346. doi: 10.1016/j.beem.2019.101346
- Young WF, Bancos I. Adrenal disorders 100 cases from the adrenal clinic. Elsevier, 2022.
- Di Dalmazi G, Vicennati V, Garelli S, et al. Cardiovascular events and mortality in patients with adrenal incidentalomas that are either non-secreting or associated with intermediate phenotype or subclinical Cushing’s syndrome: a 15-year retrospective study. Lancet Diabetes Endocrinol. 2014;2(5):396-405.
- Lopez D, Luque-Fernandez MA, Steele A, et al. “Nonfunctional” adrenal tumors and the risk for incident diabetes and cardiovascular outcomes: a cohort study. Ann Intern Med. 2016;165(8):533-42.
- Di Dalmazi G, Vicennati V, Pizzi C, et al. Prevalence and incidence of atrial fibrillation in a large cohort of adrenal incidentalomas: a long-term study. J Clin Endocrinol Metab. 2020;105(8):e2770-7.
- Morelli V, Palmieri S, Lania A, et al. Cardiovascular events in patients with mild autonomous cortisol secretion: analysis with artificial neural networks. Eur J Endocrinol. 2017;177(1):73-83.
- Singh S, Atkinson EJ, Achenbach SJ, et al. Frailty in patients with mild autonomous cortisol secretion is higher than in patients with nonfunctioning adrenal tumors. J Clin Endocrinol Metab. 2020;105(9):e3307-15.
- Kjellbom A, Lindgren O, Puvaneswaralingam S, et al. Association between mortality and levels of autonomous cortisol secretion by adrenal incidentalomas: a cohort study. Ann Intern Med. 2021;42(1):164-73.
- Zhang CD, Li D, Kaur RJ, et al. Cardiometabolic outcomes and mortality in patients with adrenal adenomas: a populationbased cohort study. J Clin Endocrinol Metab. 2021;106(11):3320-30.
- Chiodini I, Morelli V, Masserini B, et al. Bone mineral density, prevalence of vertebral fractures, and bone quality in patients with adrenal incidentalomas with and without subclinical hypercortisolism: an Italian multicenter study. J Clin Endocrinol Metab. 2009;94(9):3207-14.
- Chiodini I, Viti R, Coletti F, et al. Eugonadal male patients with adrenal incidentalomas and subclinical hypercortisolism have increased rate of vertebral fractures. Clin Endocrinol (Oxf). 2009;70(2):208-13.
- Li D, Kaur RJ, Zhang CD, et al. Risk of bone fractures after the diagnosis of adrenal adenomas: a population-based cohort study. Eur J Endocrinol. 2021;184(4):597-606.
- Bancos I, Alahdab F, Crowley RK, et al. Therapy of endocrine disease: improvement of cardiovascular risk factors after adrenalectomy in patients with adrenal tumors and subclinical Cushing’s syndrome: a systematic review and meta-analysis. Eur J Endocrinol. 2016;175(6):R283-95.
- Salcuni AS, Morelli V, Eller Vainicher C, et al. Adrenalectomy reduces the risk of vertebral fractures in patients with monolateral adrenal incidentalomas and subclinical hypercortisolism. Eur J Endocrinol. 2016;174(3):261-9.
- Dennedy MC, Annamalai AK, Prankerd-Smith O, et al. Low DHEAS: a sensitive and specific test for the detection of subclinical hypercortisolism in adrenal incidentalomas. J Clin Endocrinol Metab. 2017;102(3):786-92.
Supplementary files



