Features of clinical manifestations and diagnosis of comorbidity of disseminated pulmonary tuberculosis, coronavirus, pneumocystis and pneumococcal pneumonia in patients with late stages of HIV infection with immunodeficiency
- Authors: Mishin V.Y.1,2, Mishina A.V.1,2,3, Lezhnev D.A.1, Sobkin A.L.2, Shashenkov I.V.1
-
Affiliations:
- Yevdokimov Moscow State University of Medicine and Dentistry
- Zakharyin Tuberculosis Clinical Hospital №3
- Russian State Social University
- Issue: Vol 25, No 9 (2023): Otorhinolaryngology and pulmonology
- Pages: 551-557
- Section: Articles
- Published: 14.09.2023
- URL: https://consilium.orscience.ru/2075-1753/article/view/609529
- DOI: https://doi.org/10.26442/20751753.2023.9.202271
- ID: 609529
Cite item
Full Text
Abstract
Aim. To study the features of clinical manifestations and diagnosis of comorbidity of disseminated pulmonary tuberculosis, coronavirus, pneumocystis and pneumococcal pneumonia in patients with late stages of HIV infection with immunodeficiency.
Materials and methods. The prospective study included 120 newly identified patients with disseminated pulmonary tuberculosis with Mycobacterium tuberculosis, stage IVB of HIV infection, in the phase of progression and in the absence of antiretroviral therapy, aged 29–53 years, who were randomized into 1A and 2A main groups and 1B and 2B comparison groups. Group 1A included 29 patients with comorbidity and pneumocystis pneumonia and group 2A – 31 patients with comorbidity of disseminated pulmonary tuberculosis, coronovirus pneumococcal pneumonia, and group 1B and 2B comprised 29 and 31 similar patients, but without coronovirus pneumonia. To diagnose coronavirus pneumonia, PCR of SARS-CoV-2 RNA was used in smears from the nasopharynx and oropharynx, in sputum or in endotracheal aspirate. To detect Pneumocystis jirovecii, the causative agent of pneumocystis pneumonia, a microscopic examination of diagnostic material from the respiratory tract with Romanovsky–Giemse and Grokott–Gömöri coloration was carried out, and to detect Streptococcus pneumoniae, the causative agent of pneumococcal pneumonia, the diagnostic material was seeded on special nutrient media with determination of the drug resistance of the resulting culture to broad-spectrum antibiotics. Statistical data processing was carried out using the Microsoft Office Excel 2019 program with the calculation of the average in the group and the standard error of the average, confidence interval.
Results. The comorbidity of disseminated pulmonary tuberculosis, coronavirus, pneumocystis and pneumococcal pneumonia in patients in the late stages of HIV infection, in the phase of progression and in the absence of antiretroviral therapy was characterized by severe immunodeficiency, generalization of tuberculosis with multiple extrapulmonary lesions and severe pneumonia. This determines the similarity of clinical manifestations and respiratory symptoms, and also makes it difficult to visualize computed tomographic changes consisting of a complex simultaneous combination of four pathological syndromes: dissemination, pleural pathology, increased pulmonary pattern and adenopathy. Simultaneous layering of several pathologies with the same type of clinical manifestations and computed tomographic changes requires a comprehensive etiological diagnosis of specific diseases to prescribe timely comprehensive treatment and reduce the lethality of this heavy contingent of patients.
Conclusion. Patients with disseminated pulmonary tuberculosis and HIV infection who are registered in the office of tuberculosis care for HIV-infected in the tuberculosis dispensary represent a high risk group of COVID-19 infection and the development of coronavirus pneumonia, and with severe immunodeficiency, pneumocystis and pneumococcal pneumonia, should be regularly subjected to preventive studies for timely detection of COVID-19, coronavirus, pneumocystis and pneumococcal pneumonia for the purpose of their emergency isolation and timely treatment.
Full Text
Введение
Проблема коморбидной инфекционной патологии респираторной системы среди ВИЧ-инфицированных пациентов приобретает все большую актуальность, особенно на поздних стадиях ВИЧ при выраженном иммунодефиците (ИД), когда развиваются вторичные оппортунистические инфекции легких (ОИЛ), протекающие с поражением нижних отделов респираторного тракта, возбудителями которых являются бактерии, реже грибы и вирусы [1–5].
Наиболее частым вторичным бактериальным заболеванием является туберкулез, вызываемый Mycobacterium tuberculosis, который у данной категории больных развивается как диссеминированный туберкулез легких (ДТЛ) и имеет генерализованный характер, с множественными внелегочными поражениями [6, 7]. Другими частыми ОИЛ, вызывающими пневмонию, являются пневмоцистная пневмония (ПЦП), вызываемая Pneumocystis jirovecii, и внебольничная пневмококковая пневмония (ПКП), вызываемая Streptococcus pneumoniae, которые провоцируют нарастание респираторной симптоматики и развитие двусторонних полисегментарных патологических изменений легочной ткани и интерстициальных изменений по типу «матового стекла», что существенно затрудняет диагностику коморбидного заболевания и является одной из основных причин госпитализации больных ВИЧ-инфекцией и наиболее частой причиной их смерти, особенно при коморбидности с туберкулезом [8–13].
Коронавирус SARS-CoV-2 создал серьезные клинические проблемы у больных ВИЧ-инфекцией в связи с развитием полиорганной недостаточности, септическим шоком и венозной тромбоэмболией с тяжелым поражением дыхательной системы и развитием коронавирусной пневмонии (КВП), что особенно опасно на поздних стадиях ВИЧ-инфекции с ИД и ОИЛ и делает данную категорию больных особенно опасной для заражения здорового населения, с учетом их социальной дезадаптации, некритического отношения к состоянию своего здоровья и отсутствия приверженности обследованию и лечению. Это диктует необходимость активного регулярного обследования данной категории в кабинете противотуберкулезной помощи ВИЧ-инфицированным в противотуберкулезном диспансере (ПТД), а при выявлении COVID-19 – строгой изоляции и комбинированного лечения [14–22].
Однако наибольшие серьезные клинические и диагностические проблемы возникают при коморбидности туберкулеза, COVID-19 с КВП, ПЦП и ПКП у больных на поздних стадиях ВИЧ-инфекции с ИД, что затрудняет своевременную диагностику и назначение адекватного этиологического лечения для снижения летальности, при этом публикации, посвященные проблеме клиники, диагностики и лечения данной коморбидности в зарубежной и отечественной литературе отсутствуют.
Цель исследования – изучить особенности клинических проявлений и диагностики коморбидности ДТЛ, КВП, ПЦП и ПКП у больных на поздних стадиях ВИЧ-инфекции с ИД.
Материалы и методы
Работа проведена на кафедре фтизиатрии и пульмонологии ФГБОУ ВО «МГМСУ им. А.И. Евдокимова» и клинической базе кафедры ГБУЗ «Туберкулезная клиническая больница №3 им. проф. Г.А. Захарьина». Проведено проспективное исследование 120 больных с впервые выявленным ДТЛ с выделением M. tuberculosis, IVВ-стадией ВИЧ-инфекции, в фазе прогрессирования и при отсутствии антиретровирусной терапии (АРВТ), в возрасте 29–53 лет. Мужчин – 77 (64,2±4,4%), женщин – 43 (35,8±4,4%). Больных рандомизировали в основные группы 1А и 2А и группы сравнения 2А и 2Б.
Основная группа 1А сформирована из 29 больных, у которых диагностирована коморбидность ДТЛ, КВП и ПЦП; 2А – из 31 пациента с диагностированной коморбидностью ДТЛ, КВП и ПКП. Группы сравнения 1Б и 2Б составили соответственно 29 и 31 больной, у которых не диагностирована КВП. Их отобрали по принципу «копия–пара» по отношению к пациентам основных групп, они также практически идентичны по социальным, возрастным, половым, клиническим параметрам, стадии ВИЧ-инфекции, выраженности ИД и отсутствию других ОИЛ, развивающихся на поздних стадиях ВИЧ.
Для этиологической диагностики ДТЛ в диагностическом материале респираторного тракта (мокроте, бронхоальвеолярном лаваже, биопсийном материале, полученном при бронхоскопии и пункциях внутригрудных лимфатических узлов) и других органов (крови, моче, кале и пункциях периферических лимфатических узлов) производили люминесцентную микроскопию, полимеразную цепную реакцию (ПЦР) ДНК M. tuberculosis, посев на плотную питательную среду Левенштейна–Йенсена и на жидкую – в автоматизированной системе BACTEC MGIT 960, с определением лекарственной устойчивости полученной культуры M. tuberculosis к противотуберкулезным препаратам (ПТП) методом абсолютных концентраций [23].
Для диагностики COVID-19 и КВП применяли ПЦР РНК SARS-CoV-2 в мазках из носо- и ротоглотки, в мокроте или эндотрахеальном аспирате [24]. Для обнаружения P. jirovecii, возбудителя ПЦП, в мазках из ротоглотки и в бронхоальвеолярном лаваже использовали микроскопическое исследование при окраске по Романовскому–Гимзе и по Грокотту–Гомори и реакцию иммунофлюоресценции с моно- и поликлональными антителами и определением уровня иммуноглобулинов класса G и М. Учитывались высокий уровень суммарной активности лактатдегидрогеназы и снижение показателя сатурации кислорода в крови, а для этиологической диагностики ПКП, вызываемой S. pneumoniae, диагностический материал респираторного тракта исследовали методом микроскопии окрашенных мазков по Граму и методом Гиса и производили посев диагностического материала на специальные питательные среды (кровяной агар и сывороточный бульон, 10% желчный бульон), с определением лекарственной устойчивости полученной культуры к антибиотикам широкого спектра действия (АШСД) диско-диффузионным методом или методом серийных разведений [2, 3, 25–27].
Для исключения других возбудителей ОИЛ, таких как микобактериоз легких, вызываемый Mycobacterium nontuberculosis, внутрибольничная бактериальная пневмония – Staphylococcus aureus и Haemophilus influenzae, атипичная пневмония – Legionella pneumophila, Mycoplasma pneumoniae и Chlamydophila pneumoniae, кандидозная пневмония – Candida albicans и вирусная пневмония – Herpes simplex virus-1 или Cytomegalovirus Human, применяли микробиологические, вирусологические, иммунологические методы и ПЦР диагностического материала из респираторного тракта, крови, мочи и спинномозговой жидкости [2, 3, 26, 27].
Всем пациентам проводили комплексное клиническое, лабораторное, иммунологическое (определение количества лимфоцитов CD4+ методом проточной цитофлуориметрии и вирусной нагрузки по количеству копий РНК ВИЧ в периферической крови) и лучевое исследования, включавшие компьютерную (КТ), магнитно-резонансную томографию и ультразвуковое исследование органов грудной клетки (ОГК) и внутренних органов.
Статистическую обработку данных проводили с помощью программы Microsoft Office Excel 2019, с вычислением среднего показателя в группе и стандартной ошибки среднего, доверительного интервала. Критерий p определяли по таблице Стьюдента. Различия между средними арифметическими показателями считали достоверными при p<0,05.
Результаты
У всех 120 больных во всех группах длительность ВИЧ-инфекции составляла 8–12 лет. Все они состояли на учете СПИД-центра, который практически не посещали ввиду социальной дезадаптации и отсутствия приверженности обследованию и лечению. Все пациенты страдали наркозависимостью, употребляли алкогольные напитки и курили табачные изделия. У всех больных диагностирован вирусный гепатит В или С и у 79 (65,8±4,3%) – хроническая обструктивная болезнь легких (ХОБЛ).
Все 120 больных обратились с симптомами острого воспалительного респираторного заболевания и двусторонних воспалительных поражений легких в лечебные учреждения первичной медико-санитарной помощи, где у них заподозрили туберкулез легких. Их направили в противотуберкулезный диспансер (ПТД). Там при комплексном микробиологическом исследовании диагностического материала респираторного тракта выявлены M. tuberculosis и при КТ ОГК визуализировалось двустороннее поражение легких, характерное для ДТЛ. Пациентов госпитализировали в ТКБ №3 им. проф. Г.А. Захарьина. В приемном отделении у 60 пациентов групп 1А и 2А диагностирован COVID-19 и КВП, их изолировали в обсервационном отделении («красной зоне»). У 60 больных 1Б и 2Б отсутствовали данные заболевания, и их направили в отделение для больных туберкулезом и ВИЧ-инфекцией.
У пациентов групп 1Б и 2Б при микроскопическом исследовании и реакции иммунофлюоресценции с моно- и поликлональными антителами диагностического материала респираторного тракта обнаружены P. jirovecii, установлен диагноз ПЦП, а у больных 2А и 2Б при посеве диагностического материала из респираторного тракта на специальные питательные среды получена культура S. pneumoniae и установлен диагноз ПКП. Распределение больных в наблюдаемых группах по количеству лимфоцитов CD4+ в 1 мкл крови представлено в табл. 1.
Таблица 1. Распределение больных в наблюдаемых группах по количеству лимфоцитов CD4+ в 1 мкл крови (M±m) | |||||
Группы наблюдения | Число больных, абс. (%) | Количество лимфоцитов | |||
50–30 | 29–20 | 19–10 | меньше 9 | ||
1А | 29 (100) | 6 [20,7±7,2] | 7 [24,1±7,9] | 11 [37,9±9,0] | 5 [17,2±7,0] |
2А | 31 (100) | 7 [22,6±7,5] | 7 [22,6±7,5] | 13 [41,9±8,8] | 4 [12,9±6,0] |
1Б | 29 (100) | 5 [17,2±7,0] | 8 [27,6±8,3] | 10 [34,5±8,8] | 6 [20,7±7,2] |
2Б | 31 (100) | 8 [25,8±7,8] | 5 [16,1±6,6] | 15 [48,4±9,0] | 3 [9,7±5,3] |
Как показано в табл. 1, во всех группах количество лимфоцитов CD4+ не превышало 50 кл/мкл и их количественное соотношение в наблюдаемых группах практически не различалось. В группе 1А у 20,7% больных количество лимфоцитов CD4+ было в диапазоне 50–30 кл/мкл: у 24,1% – 20–29, у 37,9% – 19–10 и у 17,2% – менее 9, а в группе 1Б соответственно у 17,2, 27,6, 34,5 и 20,7% (p>0,05). В группе 2А у 22,6% больных количество лимфоцитов CD4+ – в диапазоне 50–30 кл/мкл, у 22,6% – 20–29, у 41,9% – 19–10 и у 12,9% – менее 9, а в группе 2Б соответственно у 25,8, 16,1, 48,4 и 9,7 % (p>0,05).
Среднее количество лимфоцитов CD4+ в 1 мкл крови также сходно, в группе 1А – 24,8±0,37 кл/мкл и в 2Б – 26,5±0,43, а в группах 2А и 2Б соответственно 20,3±0,45 и 28,3±0,33 (p>0,05). При этом вирусная нагрузка у больных в наблюдаемых группах – более 500 тыс. РНК ВИЧ-копий в 1 мл крови.
Таким образом, у больных группы 1А с коморбидностью ДТЛ, КВП и ПЦП, 1Б с коморбидностью ДТЛ и ПЦП и без КВП, 2А с коморбидностью ДТЛ, КВП и ПКП и 2Б с коморбидностью ДТЛ и ПКП и без КВП, с IVВ-стадией ВИЧ-инфекции в фазе прогрессирования и в отсутствие АРВТ отмечено значительное снижение количества лимфоцитов CD4+ (от 50 кл/мкл и ниже), со средним количеством CD4+, не превышающим 30 кл/мкл и высокой вирусной нагрузкой более 500 тыс. РНК ВИЧ-копий в 1 мл крови, что свидетельствует о выраженном ИД. Это определяет однотипность низкого иммунного ответа на одновременное воздействие M. tuberculosis, P. jirovecii и S. pneumoniae и объясняет распространенность патологических поражений легких и однотипность клинических проявлений коморбидного заболевания, но при этом мы не установили влияние COVID-19 и КВП на снижение количества лимфоцитов CD4+ и выраженность вирусной нагрузки РНК ВИЧ-копий.
У больных в наблюдаемых группах ДТЛ сочетался с генерализацией туберкулеза с множественными внелегочными специфическими поражениями различных органов, подтвержденными выделением M. tuberculosis в диагностическом материале из различных органов. У пациентов группы 1А два органа поражены у 10 пациентов, три – у 6, четыре – у 3 и пять – у 2, а в 2А два органа – у 10, три – у 7, четыре – у 2 и пять – у 1. Аналогичная частота внелегочных поражений зафиксирована в группах 1Б и 2Б, где два органа поражены у 13 и у 7 больных, три – у 5 и 6, четыре – у 2 и 5, пять – у 2. Наиболее частыми внелегочными локализациями у больных в наблюдаемых группах являлись внутригрудные, периферические и брыжеечные лимфатические узлы, кишечник, мочеполовая, центральная нервная система. Несколько реже встречались поражения селезенки, костей и суставов, а поражения щитовидной железы, надпочечников, перикарда, внутреннего уха – у единичных пациентов.
Следовательно, у больных группы 1А с коморбидностью ДТЛ, КВП и ПЦП, 1Б с коморбидностью ДТЛ и ПЦП и без КВП, 2А с коморбидностью ДТЛ, КВП и ПЦП и 2Б с коморбидностью ДТЛ и ПКП и без КВП, с IVВ-стадией ВИЧ-инфекции, выраженным ИД, в фазе прогрессирования и в отсутствие АРВТ полиорганная патология определяется генерализованным характером туберкулеза и отображает выраженность клинических проявлений коморбидного заболевания.
Клиническая картина болезни у больных в наблюдаемых группах практически не различалась и характеризовалась выраженным синдромом интоксикации и общими воспалительными изменениями, с потерей массы тела, адинамией, головной болью, миалгией, невропатией, энцефалопатией, сердцебиением, бледностью кожных покровов, лихорадкой, ознобом, снижением сатурированного кислорода и нарастающей легочно-сердечной недостаточностью, что определяет септический шок при коморбидной патологии. Все это сочеталось также с симптомами поражения других органов и систем. В лабораторных анализах определялись показатели воспаления, характерные для септического состояния: в анализе крови зафиксирован высокий лейкоцитоз – больше 15×109/л, лимфопения – меньше 1,2×109/л и резко ускоренная скорость оседания эритроцитов – более 40 мм/ч, а при биохимическом исследовании – высокие показатели С-реактивного белка – выше 100 мг/л. Клиническая картина воспалительных изменений респираторной системы у всех больных также существенно не различалась и характеризовалась одышкой, кашлем, бронхоспазмом, выделением слизисто-гнойной мокроты и наличием разнокалиберных хрипов в легких.
У больных групп 1А и 2А отмечались симптомы, характерные для COVID-19: аносмия, дисгевзия и нейросенсорная потеря слуха, гипоксемия, диссеминированное внутрисосудистое свертывание крови, тромбозы или тромбоэмболии, а в ряде случаев и синдромом Гийена–Барре. Однако подобные клинические проявления с различной частотой встречались у пациентов групп 1Б и 2Б без COVID-19, что в значительной степени определяется поздней стадией ВИЧ-инфекции с выраженным ИД и тяжелым течением коморбидной патологии и связано не только с генерализованным туберкулезом, но и тяжестью течения КВП, ПЦП и ПКП.
Таким образом, у больных группы 1А с коморбидностью ДТЛ, КВП и ПЦП, 1Б с коморбидностью ДТЛ и ПЦП и без КВП, 2А с коморбидностью ДТЛ, КВП и ПЦП и 2Б с коморбидностью ДТЛ и ПКП без КВП, с IVВ-стадией ВИЧ-инфекции, выраженным ИД, в фазе прогрессирования и в отсутствие АРВТ клиническая картина, характеризовавшаяся синдромом интоксикации, общими воспалительными и респираторными проявлениями, практически одинакова и неспецифична, а особенности клинического течения коморбидного заболевания свидетельствовали о сходстве клинических проявлений и течения ДТЛ, КВП, ПЦП и ПКП.
На КТ ОГК визуализировался комплекс одновременного сочетания 4 патологических синдромов: диссеминации, патологии плевры, усиления легочного рисунка и аденопатии. Синдром диссеминации представлен очагами разных размеров (от мелких до крупных) и интенсивности (от низкой до высокой), с тенденцией к слиянию и образованию инфильтратов негомогенного характера, с деструкцией легочной ткани и бронхогенным обсеменением. Синдром поражения плевры проявлялся уплотнением междолевой и париетальной плевры, а более чем у 1/2 пациентов – с развитием экссудативного плеврита или эмпиемы плевры. Синдром усиления и деформации легочного рисунка имел «сетчатый» характер вследствие развития интерстициальной пневмонии при лимфогематогенной диссеминации, с диффузным понижением прозрачности легочной ткани, развитием кистозно-дистрофических изменений и участками консолидации по типу «матового стекла». Синдром аденопатии представлен двусторонним увеличением внутригрудных лимфатических узлов с инфильтративными изменениями по периферии.
В то же время у пациентов групп 2А и 2Б чаще визуализировались инфильтраты, на фоне которых выявлялись просветы бронхов, преимущественно в нижних долях легких, с образованием мелких абсцессов, появлением выпота в плевральной полости, однако эти изменения также встречались и у больных групп 1А и 1Б.
Не последнюю роль играло наслоение одновременно нескольких патологий и изменений, развивающихся в легких на поздних стадиях ВИЧ-инфекции с ИД, в том числе связанных непосредственно с самой ВИЧ-инфекцией в виде лимфоидной интерстициальной пневмонии, неспецифической интерстициальной пневмонии, первичной легочной гипертонии и высокой часты ХОБЛ, ведущей к развитию эмфиземы и кистозно-дистрофических изменений, и при этом не исключается развитие подобных изменений, связанных с проявлениями отдельных пневмоний [3, 5, 26]. При этом площадь поражения легких у всех больных составляла 80–100% и была практически сопоставимой. Дифференцировать данные изменения, визуализирующиеся на КТ ОГК, по конкретным патологиям не представляется возможным ввиду сходства КТ-признаков, при этом диагностика возможна только при микробиологическом, вирусологическом и молекулярно-генетическом исследованиях конкретных возбудителей.
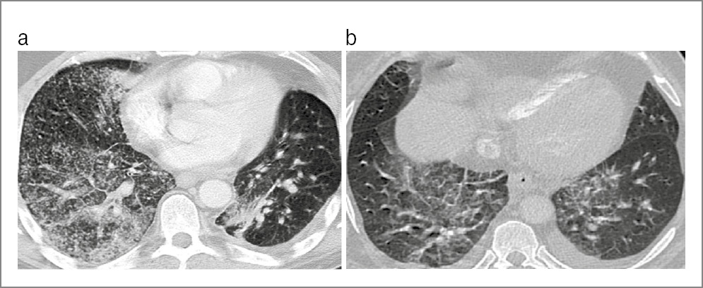
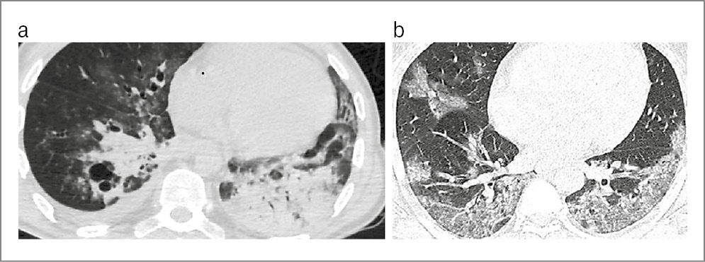
Таким образом, у больных группы 1А с коморбидностью ДТЛ, КВП и ПЦП, 1Б с коморбидностью ДТЛ и ПЦП и без КВП, 2А с коморбидностью ДТЛ, КВП и ПЦП и 2Б с коморбидностью ДТЛ и ПКП и без КВП, с IVВ-стадией ВИЧ-инфекции, выраженным ИД, в фазе прогрессирования и в отсутствие АРВТ клиническая картина характеризуется синдромом интоксикации, общими воспалительными и респираторными проявлениями, практически одинакова и неспецифична, а особенности клинического течения коморбидного заболевания возможно определить только при выявлении конкретного возбудителя. В качестве примеров приведены КТ ОГК больных IVВ-стадией ВИЧ-инфекции с ИД, в фазе прогрессирования и в отсутствие АРВТ, иллюстрирующие сходство визуализации патологических изменений во всех группах (рис. 1, 2).
Рис. 1. КТ ОГК. Аксиальная проекция, режим легочного окна: a – пациент 42 лет с IVВ-стадией ВИЧ-инфекции с ИД, в фазе прогрессирования, без АРВТ и с верифицированной коморбидностью ДТЛ, КВП и ПЦП; b – пациент 39 лет с IVВ-стадией ВИЧ-инфекции с ИД, в фазе прогрессирования, без АРВТ и с верифицированной коморбидностью ДТЛ и ПЦП.
Рис. 2. КТ ОГК. Аксиальная проекция, режим легочного окна: a – пациент 39 лет с IVВ-стадией ВИЧ-инфекции с ИД, в фазе прогрессирования, без АРВТ и с верифицированной коморбидностью ДТЛ, КВП и ПКП; b – пациент 36 лет с IVВ-стадией ВИЧ-инфекции с ИД, в фазе прогрессирования, без АРВТ и с верифицированной коморбидностью ДТЛ и ПКП.
Как видно на рис. 1 и 2, на КТ ОГК визуализируются однотипные четыре синдрома: диссеминации, патологии плевры, усиления и деформации легочного рисунка с участками «матового стекла» и аденопатии.
Таким образом, на КТ ОГК у больных с коморбидностью туберкулеза органов дыхания (ТОД), КВП и ПЦП или ТОД и ПЦП и без КВП, IVВ-стадией ВИЧ-инфекции, в фазе прогрессирования и в отсутствие АРВТ с ИД визуализируются однотипные синдромы наслоения нескольких патологий, дифференцировать которые не представляется возможным, что требует своевременной диагностики с использованием микробиологических, молекулярно-генетических и иммунологических исследований для выявления M. tuberculosis, SARS-CoV-2, P. jiroveci, S. pneumoniae для адекватного своевременного этиологического лечения.
Распределение больных в наблюдаемых группах по частоте и характеру лекарственной устойчивости M. tuberculosis к ПТП представлено в табл. 2.
Таблица 2. Распределение больных в группах по частоте и характеру лекарственной устойчивости M. tuberculosis к ПТП (M±m) | ||||||
Группа наблюдения | Число больных, абс. (%) | Лекарственная чувствительность M. tuberculosis | ||||
чувствительность сохранена | МР | ПР | МЛУ | ШЛУ | ||
1А | 29 (100) | – | – | 6 [20,7±7,5] | 13 [44,8±9,2] | 10 [34,5±8,8] |
2А | 31 (100) | – | – | 7 [22,6±7,5] | 17 [54,8±8,9] | 7 [22,6±7,5] |
1Б | 29 (100) | – | – | 7 [24,1±7,9] | 14 [48,3±9,2] | 8 [27,6±8,3] |
2Б | 31 (100) | – | 2 [6,4±4,4] | 8 [25,8±7,8] | 14 [45,2±8,9] | 7 [22,6±7,5] |
Как следует из табл. 2, M. tuberculosis имели полирезистентность (ПР) к двум ПТП, но не к сочетанию изониазида и рифампицина: в группе 1А – 20,7% больных, 2А – 22,6%, 1Б – 24,1% и 2Б – 25,8% (p>0,05); монорезистентность (МР) отмечена всего у 2 (6,4%) пациентов, чувствительность ко всем ПТП не обнаружена. У наибольшего числа больных в наблюдаемых группах M. tuberculosis имели множественную лекарственную устойчивость (МЛУ) к сочетанию изониазида и рифампицина и широкую лекарственную устойчивость (ШЛУ) к сочетанию изониазида, рифампицина, фторхинолонам и инъекционным аминогликозидам (стрептомицину, канамицину и амикацину) и капреомицину. МЛУ в группе 1А выявлена в 44,8% случаев, 2А – в 54,8%, 1Б – в 48,3%, 2Б – в 45,2% (p>0,05), а ШЛУ соответственно в 34,5, 22,6, 27,6 и 22,6% случаев (p>0,05).
Высокий уровень МЛУ и ШЛУ M. tuberculosis мы ранее описывали у больных казеозной пневмонией с распространенными казеозно-некротическими поражениями легочной ткани и выраженным ИД, когда среднее количество лимфоцитов CD4+ не превышало 40 кл/мкл [28]. При этом иммунная система теряла контроль над безудержным размножением M. tuberculosis, когда резко возрастала частота спонтанных и индуцированных мутаций с формированием лекарственной устойчивости. Подобные мутации встречаются у природных диких штаммов еще до контакта с ПТП и развиваются в процессе неадекватной химиотерапии туберкулеза, с формированием МЛУ и ШЛУ M. tuberculosis [28]. Подобный механизм развития МЛУ и ШЛУ M. tuberculosis, как мы описали, реализуется и на поздних стадиях ВИЧ-инфекции, при выраженном ИД у больных туберкулезом и распространенных казеозно-некротических поражениях легких. При этом выраженный ИД у больных ВИЧ-инфекцией усугублялся при коморбидности туберкулеза ОИЛ, в том числе с КВП, ПЦП и ПКП, что определяет тяжелые клинические проявления болезни и высокий уровень МЛУ и ШЛУ M. tuberculosis к ПТП [11, 13].
В то же время мы установили, что у больных казеозной пневмонией с выраженным ИД методом посева материала из респираторного тракта в диагностическом титре выявлялись патогенные бактериальные возбудители, в том числе S. pneumoniae, с высоким уровнем резистентности к АШСД, что существенно отягощало течение казеозной пневмонии и ПКП [28]. У больных в наблюдаемых группах более чем в 80% случаев выявлялась множественная резистентность S. pneumoniae к бета-лактамным антибиотикам, тетрациклинам, макролидам, Левомицетину и другим АШСД, а также к антибиотикам, применяемым для лечения туберкулеза: рифампицину, левофлоксацину, моксифлоксацину, амоксициллину + клавулановой кислоте, кларитромицину и меропенему. Только линезолид оказался высокоэффективным препаратом для лечения больных ДТЛ, вызванным МЛУ и ШЛУ M. tuberculosis, и ПКП, вызванной S. pneumoniae, с множественной резистентностью к АШСД.
Следует отметить, что в Федеральных клинических рекомендациях по диагностике и лечению туберкулеза у больных ВИЧ-инфекцией [16] с выделением МЛУ и ШЛУ M. tuberculosis применяются IV и V режимы химиотерапии, в которые входят АШСД, обладающие активностью против M. tuberculosis: канамицин, амикацин, капреомицин, левофлоксацин, моксифлоксацин, линезолид, амоксициллин + клавулановая кислота, кларитромицин и меропенем – согласно клиническим рекомендациям Российского респираторного общества и Межрегиональной ассоциации по клинической микробиологии и антимикробной химиотерапии применяющиеся для лечения пневмонии, вызванной S. pneumoniae [7].
Высокая частота лекарственной устойчивости M. tuberculosis и S. pneumoniae ставит под сомнение эффективность эмпирического назначения препаратов, входящих в IV и V режимы химиотерапии туберкулеза и антибактериальной терапии ПКП, что требует определения лекарственной устойчивости ко всем препаратам, рекомендуемым для лечения коморбидности ТОД и ПКП, в каждом конкретном случае. Необходима разработка индивидуализированных режимов химиотерапии ТОД и антибактериального лечения ПКП у больных на поздней стадии ВИЧ-инфекции с ИД.
Обсуждение
Коморбидность ДТЛ с выделением M. tuberculosis, КВП, вызванной SARS-CoV-2, ПЦП, вызванной P. jirovecii, и ПКП, вызванной S. pneumoniae, на поздних стадиях ВИЧ в фазе прогрессирования и при отсутствии АРВТ диагностируется, как правило, через 6–9 лет после выявления ВИЧ-инфекции у лиц репродуктивного возраста, неработающих, не имеющих семьи, страдающих наркозависимостью, употребляющих алкоголь и курящих табак, с сопутствующим вирусным гепатитом В или С и ХОБЛ. Данная коморбидность характеризуется выраженным ИД (количеством лимфоцитов CD4+ менее 50 кл/мкл и со средним показателем, не превышающим 30 кл/мкл), высокой вирусной нагрузкой – более 500 тыс. РНК ВИЧ-копий в 1 мл крови, генерализацией туберкулеза с внелегочными поражениями и тяжелым течением КВП, ПЦП и ПКП.
При этом клиническая картина, характеризующаяся синдромом интоксикации, общими воспалительными и респираторными проявлениями, практически одинакова и неспецифична, а особенности клинического течения коморбидного заболевания свидетельствуют о сходстве клинических проявлений и течения ДТЛ, КВП, ПЦП и ПКП, что затрудняет визуализацию КТ-изменений, состоящих из комплекса четырех патологических синдромов: диссеминации, патологии плевры, усиления легочного рисунка и аденопатии. Одновременное наслоения сразу нескольких патологий с однотипными клиническими проявлениями и КТ-изменениями требует комплексной этиологической диагностики конкретных болезней. При этом у этих больных на поздних стадиях ВИЧ с выраженным ИД необходимы микробиологические и молекулярно-генетические исследования диагностического материала из респираторной системы для определения лекарственной устойчивости ко всем препаратам, применяемым для лечения туберкулеза и ПКП, с учетом того, что у M. tuberculosis определяется высокая частота МЛУ и ШЛУ – более чем в 80% случаев – и у S. pneumoniae – множественная резистентность к АШСД.
Заключение
Больные ДТЛ и ВИЧ-инфекцией, состоящие на учете в кабинете противотуберкулезной помощи ВИЧ-инфицированным в ПТД, представляют собой группу высокого риска заражения COVID-19 и развития КВП, а при выраженном ИД, ПЦП и ПКП должны регулярно подвергаться профилактическим комплексным исследованиям для своевременного выявления COVID-19, КВП, ПЦП и ПКП, а также других ОИЛ с целью их экстренной госпитализации и изоляции для своевременного комплексного лечения и снижения летальности данного тяжелого контингента больных.
Раскрытие интересов. Авторы декларируют отсутствие явных и потенциальных конфликтов интересов, связанных с публикацией настоящей статьи.
Disclosure of Interest. The authors declare that they have no competing interests.
Вклад авторов. Авторы декларируют соответствие своего авторства международным критериям ICMJE. Все авторы в равной степени участвовали в подготовке публикации: разработка концепции статьи, получение и анализ фактических данных, написание и редактирование текста статьи, проверка и утверждение текста статьи.
Authors’ contribution. The authors declare the compliance of their authorship according to the international ICMJE criteria. All authors made a substantial contribution to the conception of the work, acquisition, analysis, interpretation of data for the work, drafting and revising the work, final approval of the version to be published and agree to be accountable for all aspects of the work.
Источник финансирования. Авторы декларируют отсутствие внешнего финансирования для проведения исследования и публикации статьи.
Funding source. The authors declare that there is no external funding for the exploration and analysis work.
Соответствие принципам этики. Протокол исследования был одобрен локальным этическим комитетом ФГБОУ ВО «Московский государственный медико-стоматологический университет им. А.И. Евдокимова» (протокол №77 от 07.10.2022). Одобрение и процедуру проведения протокола получали по принципам Хельсинкской конвенции.
Ethics approval. The study was approved by the local ethics committee of Yevdokimov Moscow State University of Medicine and Dentistry (protocol №77, 07.10.2022). The approval and procedure for the protocol were obtained in accordance with the principles of the Helsinki Convention.
Информированное согласие на публикацию. Пациенты подписали форму добровольного информированного согласия на публикацию медицинских данных и фотографий.
Consent for publication. Written consent was obtained from the patients for publication of relevant medical information and all of accompanying images within the manuscript.
About the authors
Vladimir Y. Mishin
Yevdokimov Moscow State University of Medicine and Dentistry; Zakharyin Tuberculosis Clinical Hospital №3
Author for correspondence.
Email: mishin.vy@mail.ru
ORCID iD: 0000-0002-4134-530X
D. Sci. (Med.), Prof., Yevdokimov Moscow State University of Medicine and Dentistry, Zakharyin Tuberculosis Clinical Hospital №3
Russian Federation, Moscow; MoscowAnastasiia V. Mishina
Yevdokimov Moscow State University of Medicine and Dentistry; Zakharyin Tuberculosis Clinical Hospital №3; Russian State Social University
Email: mishin.vy@mail.ru
ORCID iD: 0000-0002-3340-5843
Cand. Sci. (Med.), Yevdokimov Moscow State University of Medicine and Dentistry, Zakharyin Tuberculosis Clinical Hospital №3, Russian State Social University
Russian Federation, Moscow; Moscow; MoscowDmitry A. Lezhnev
Yevdokimov Moscow State University of Medicine and Dentistry
Email: mishin.vy@mail.ru
ORCID iD: 0000-0002-7163-2553
D. Sci. (Med.), Prof., Yevdokimov Moscow State University of Medicine and Dentistry
Russian Federation, MoscowAleksandr L. Sobkin
Zakharyin Tuberculosis Clinical Hospital №3
Email: mishin.vy@mail.ru
Cand. Sci. (Med.), Zakharyin Tuberculosis Clinical Hospital №3
Russian Federation, MoscowIvan V. Shashenkov
Yevdokimov Moscow State University of Medicine and Dentistry
Email: mishin.vy@mail.ru
ORCID iD: 0000-0003-0233-7072
Assistant, Yevdokimov Moscow State University of Medicine and Dentistry
Russian Federation, MoscowReferences
- Figueiredo-Mello C, Naucler P, Negra MD, Levin AS. Prospective etiological investigation of community-acquired pulmonary infections in hospitalized people living with HIV. Medicine (Baltimore). 2017;96(4):e5778. doi: 10.1097/MD.0000000000005778
- Panel on Opportunistic Infections in HIV-Infected Adults and Adolescents. Guidelines for the prevention and treatment of opportunistic infections in HIV-infected adults and adolescents: recommendations from the Centers for Disease Control and Prevention, the National Institutes of Health, and the HIV Medicine Association of the Infectious Diseases Society of America. Chapter «Bacterial Respiratory Disease». 2018;97-109.
- Bartlett JG, Redfield RR, Pham PA. Bartlett's Medical Management of HIV Infection. Oxford University Press, 2019.
- Фазылов В.Х., Манапова Э.Р., Акифьев В.О. Клинико-эпидемиологическая характеристика вторичных заболеваний у ВИЧ-инфицированных пациентов в условиях оказания стационарной помощи. Инфекционные болезни: новости, мнения, обучение. 2020;9(4):81-7 [Fazylov VKh, Manapova ER, Akifyev VO. Clinical and epidemiological characteristics of secondary diseases in HIV-infected patients in hospital care. Infektsionnye bolezni: novosti, mneniya, obuchenie (Infectious Diseases: News, Opinions, Training). 2020;9(4):81-7 (in Russian)]. doi: 10.33029/2305-3496-2020-9-4-81-87
- Беляков Н.А., Рассохин В.В., Бобкова М.Р., и др. ВИЧ-инфекция и коморбидные состояния. СПб.: Балтийский медицинский образовательный центр, 2020 [Beliakov NA, Rassokhin VV, Bobkova MR, et al. VICh-infektsiia i komorbidnye sostoianiia. Saint Petersburg: Baltiiskii meditsinskii obrazovatel'nyi tsentr, 2020 (in Russian)].
- Мишина А.В., Мишин В.Ю., Собкин А.Л., Осадчая О.А. Диссеминированный и генерализованный туберкулез легких и оппортунистические заболевания у больных на поздних стадиях ВИЧ-инфекции с иммуносупрессией. Туберкулез и болезни легких. 2018;96(12):68-70 [Mishina AV, Mishin VYu, Sobkin AL, Osadchaya OA. Disseminated and generalized pulmonary tuberculosis and opportunistic diseases in patients at the advanced stages of HIV infection with immunosuppression. Tuberculosis and Lung Diseases. 2018;96(12):68-70 (in Russian)]. doi: 10.21292/2075-1230-2018-96-12-68-70
- Азовцева О.В., Грицюк А.В., Гемаева М.Д., и др. ВИЧ-инфекция и туберкулез как наиболее сложный вариант коморбидности. Вестник Новгородского государственного университета. 2020;1(117):79-84 [Azovtseva OV, Gritsyuk AV, Gemaeva MD, et al. HIV infection and tuberculosis as the most complex variant of comorbidity. Vestnik NovSU. 2020;1(117):79-84 (in Russian)]. doi: 10.34680/2076-8052.2020.1(117).79-84
- Peck KR, Kim TJ, Min AL, et al. Pneumonia in immunocompromised patients: updates in clinical and imaging features. Precision and Future Medicine. 2018;2(3):95-108. doi: 10.23838/PFM.2018.00121
- Акушева Д.Н., Хохлова О.Е., Камшилова В.В., и др. Внебольничная пневмония у ВИЧ-инфицированных: микрофлора, антибиотикорезистентность, роль в развитии в зависимости от уровня CD4-лимфоцитов. Медицинская иммунология. 2019;21(3):457-66 [Akusheva DN, Khokhlova OE, Kamshilova VV, et al. Community-acquired pneumonia in HIV-infected subjects: microflora, antibiotic resistance: dependence on the levels of CD4 lymphocytes. Medical Immunology (Russia). 2019;21(3):457-66 (in Russian)]. doi: 10.15789/1563-0625-2019-3-457-466
- Mendelson F, Griesel R, Tiffin N, et al. C-reactive protein and procalcitonin to discriminate between tuberculosis, Pneumocystis jirovecii pneumonia, and bacterial pneumonia in HIV-infected inpatients meeting WHO criteria for seriously ill: a prospective cohort study. BMC Infect Dis. 2018;18(1):388-99. doi: 10.1186/s12879-018-3303-6
- Мишина А.В., Мишин В.Ю., Эргешов А.Э., и др. Особенности клинических проявлений и диагностики сочетания туберкулеза органов дыхания с оппортунистическими инфекциями легких у взрослых больных на поздних стадиях ВИЧ-инфекции с иммунодефицитом. Consilium Medicum. 2020;22(11):78-86 [Mishina AV, Mishin VYu, Ergeshov AE, et al. Features of clinical manifestations and diagnostics of pulmonary tuberculosis and opportunistic lung infections combination in adult patients with advanced HIV infection and immunodeficiency. Consilium Medicum. 2020;22(11):78-86 (in Russian)]. DOI:10.442120751753.2020.11.200184
- Викторова И.Б., Зимина В.Н., Дадыка И.В., и др. Внебольничные пневмонии у больных ВИЧ-инфекцией. Туберкулез и болезни легких. 2021;99(4):22-8 [Viktorova IB, Zimina VN, Dadyka IV, et al. Community-acquired pneumonia in HIV patients. Tuberculosis and Lung Diseases. 2021;99(4):22-8 (in Russian)]. doi: 10.21292/2075-1230-2021-99-4-22-28
- Мишин В.Ю., Мишина А.В., Собкин А.Л., и др. Коморбидность туберкулеза органов дыхания и бактериальной пневмонии у больных на поздних стадиях ВИЧ-инфекции. Вестник ЦНИИТ. 2022;2:42-53 [Mishin VYu, Mishina AV, Sobkin AL, et al. Pulmonary TB and bacterial pneumonia comorbidity in patients with late-stage HIV infection. Vestnik TsNIIT. 2022;2:42-53 (in Russian)]. doi: 10.7868/S2587667822020054
- Kelly S, Waters L, Cevik M, et al. Pneumocystis pneumonia, a COVID-19 mimic, reminds us of the importance of HIV testing in COVID-19. Clin Med (Lond). 2020;20(6):590-59. doi: 10.7861/clinmed.2020-0565
- Cabelloa A, Zamarro B, Nistal S, et al. COVID-19 in people living with HIV: A multicenter case-series study. Int J Infect Dis. 2021;102:310-5. doi: 10.1016/j.ijid.2020.10.060
- Hoffmann C, Casado JL, Härter G, et al. Immune deficiency is a risk factor for severe COVID-19 in people living with HIV. HIV Med. 2021;22(5):372-8. doi: 10.1111/hiv.13037
- Кравченко А.В., Куимова У.А., Канестри В.Г., и др. Клиническое течение и подходы к терапии больных сочетанной инфекцией (ВИЧ-инфекция и COVID-19). Эпидемиология и инфекционные болезни. 2021;4:20-4 [Kravchenko AV, Kuimova UA, Kanestri VG, et al. Clinical course and approaches to therapy of patients with combined infection (HIV-infection and COVID-19). Epidemiology and Infectious Diseases. 2021;4:20-4 (in Russian)]. doi: 10.18565/epidem.2021.11.4.20-4
- Гаус А.А., Климова Н.В. Рентгеноморфологические особенности течения COVID-19 и ВИЧ-инфекции. ВИЧ-инфекция и иммуносупрессии. 2021;13(2):77-84 [Gaus AA, Klimova NV. X-RAY-morphological features of the current COVID-19 and HIV infection. HIV Infection and Immunosuppressive Disorders. 2021;13(2):77-84 (in Russian)]. doi: 10.22328/2077-9828-2021-13-2-77-84
- Мишина А.В., Мишин В.Ю., Эргешов А.Э., и др. Новая коронавирусная инфекция (COVID-19), сочетанная с туберкулезом, у больных на поздних стадиях ВИЧ-инфекции с иммунодефицитом. ВИЧ-инфекция и иммуносупрессии. 2021;13(1):80-7 [Mishina AV, Mishin VYu, Ergeshov AE, et al. New coronoviral infection (COVID-19) combined with tuberculosis in patients at late stages of HIV infection with immunodeficiency. HIV Infection and Immunosuppressive Disorders. 2021;13(1):80-7 (in Russian)]. DOI:10.22328.2077-9828-2021-13-1-80-87
- Старшинова А.А., Довгалюк И.Ф. Туберкулез в структуре коморбидной патологии у больных COVID-19. Тихоокеанский медицинский журнал. 2021;1(83):10-4 [Starshinova AA, Dovgalyuk IF. Tuberculosis in the structure of COVID-19 patients comorbidities. Pacific Medical Journal. 2021;1(83):10-4 (in Russian)]. DOI:10.34215.1609-1175-2021-1-10-14
- Альжанов Р.С., Пятибратова А.В., Краснов Д.В., и др. Клинико-лабораторные особенности COVID-19 у пациентов с сочетанием ВИЧ-инфекция + туберкулез. Туберкулез и болезни легких. 2022;100(4):14-21 [Alzhanov RS, Pyatibratova АV, Krasnov DV, et al. Clinical and laboratory specific parameters of COVID-19 in patients with TB/HIV co-infection. Tuberculosis and Lung Diseases. 2022;100(4):14-21 (in Russian)]. doi: 10.21292/2075-1230-2022-100-4-14-21
- Долгова Н.Н., Рындич А.А., Суладзе А.Г., и др. Некоторые клинические и эпидемиологические аспекты COVID-19 у людей, живущих с ВИЧ. Инфекционные болезни: новости, мнения, обучение. 2022;11(1):41-6 [Dolgova NN, Ryndich AA, Suladze AG, et al. Some clinical and epidemiological aspects of the course of COVID-19 in people living with HIV. Infektsionnye bolezni: novosti, mneniya, obuchenie (Infectious Diseases: News, Opinions, Training). 2022;11(1):41-6 (in Russian)]. doi: 10.33029/2305-3496-2022-11-1-41-46
- Российское общество фтизиатров. Федеральные клинические рекомендации по диагностике и лечению туберкулеза у больных ВИЧ-инфекцией. М., 2014 [Rossiiskoe obshchestvo ftiziatrov. Federal'nye klinicheskie rekomendatsii po diagnostike i lecheniiu tuberkuleza u bol'nykh VICh-infektsiei. Moscow, 2014 (in Russian)].
- Временные методические рекомендации Министерства здравоохранения Российской Федерации. Профилактика, диагностика и лечение новой коронавирусной инфекции (COVID-19). Версия 17 (14.12.2022) [Vremennye metodicheskie rekomendatsii Ministerstva zdravookhraneniia Rossiiskoi Federatsii. Profilaktika, diagnostika i lechenie novoi koronavirusnoi infektsii (COVID-19). Versiia 17 (14.12.2022) (in Russian)].
- Российское респираторное общество, Межрегиональная ассоциация по клинической микробиологии и антимикробной химиотерапии. Внебольничная пневмония. МКБ 10: J13-J18. Клинические рекомендации, 2018 [Rossiiskoe respiratornoe obshchestvo, Mezhregional'naia assotsiatsiia po klinicheskoi mikrobiologii i antimikrobnoi khimioterapii. Vnebol'nichnaia pnevmoniia. MKB 10: J13-J18. Klinicheskie rekomendatsii, 2018 (in Russian)].
- Национальная ассоциация специалистов по профилактике, диагностике и лечению ВИЧ-инфекции, Национальная вирусологическая ассоциация. Клинические рекомендации. ВИЧ-инфекция у взрослых. 2020 (16.02.2021) [Natsional'naia assotsiatsiia spetsialistov po profilaktike, diagnostike i lecheniiu VICh-infektsii, Natsional'naia virusologicheskaia assotsiatsiia. Klinicheskie rekomendatsii. VICh-infektsiia u vzroslykh. 2020 (16.02.2021) (in Russian)].
- Guidelines for Prevention and Treatment of Opportunistic Infections in HIV-Infected Adults and Adolescents with HIV. Recommendations from the Centers for Disease Control and Prevention, the National Institutes of Health, and the HIV Medicine Association of the Infectious Diseases Society of America, 2021.
- Ерохин В.В., Мишин В.Ю., Чуканов В.И., Гиллер Д.Б. Казеозная пневмония: руководство для врачей. М.: Медицина, 2008 [Erokhin VV, Mishin VIu, Chukanov VI, Giller DB. Kazeoznaia pnevmoniia: rukovodstvo dlia vrachei. Moscow: Meditsina, 2008 (in Russian)].
Supplementary files





