Functional and organic dysphonia in voice professionals (lecture)
- Authors: Stepanova J.E.1
-
Affiliations:
- Saint Petersburg Research Institute of Ear, Throat, Nose and Speech
- Issue: Vol 25, No 9 (2023): Otorhinolaryngology and pulmonology
- Pages: 629-635
- Section: Articles
- Published: 14.09.2023
- URL: https://consilium.orscience.ru/2075-1753/article/view/609546
- DOI: https://doi.org/10.26442/20751753.2023.9.202387
- ID: 609546
Cite item
Full Text
Abstract
An urgent task of otorhinolaryngology (phoniatry) is the diagnosis and treatment of disorders of voice function in voice professionals or persons of voice-speech professions. An undiagnosed laryngeal disease worsens the quality of life of patients, creates difficulties in communication and can even lead to professional unfitness, because the patient does not withstand the necessary vocal load. The leading role in the modern diagnosis of laryngeal diseases belongs to endoscopic research methods – video endoscopy and video endostroboscopy. All disorders of voice function are classified as functional and organic. Recent studies have shown that from 30.5 to 40% of voice professionals who have applied for phoniatric care suffer from functional disorders. Functional changes are understood to mean changes in which laryngoscopic examination does not always reveal any visible pathology. But with the help of special research methods, such as stroboscopy (videostroboscopy), spectral analysis of the voice, pathognomonic changes can be determined, and the patient presents characteristic complaints. More often than others, hypotonic and hypo-hypertonic dysphonia are diagnosed. Organic laryngeal diseases are characteristic of 69.5% of patients with dysphonia. They are represented by various nosological forms. Certain difficulties arise in the diagnosis of professional laryngitis and vascular pathology of the larynx. The lecture presents pathognomonic clinical changes of the larynx in voice professionals, knowledge of which is necessary for practical doctors to make a diagnosis.
Full Text
Введение
Голос является важным показателем здоровья человека. Состояние голосовой функции обусловлено деятельностью разных органов и систем организма: дыхательной, иммунной, нервной, эндокринной и т.д. Известно, что нарушения голоса затрудняют профессиональное и межличностное общение, ухудшают качество жизни, а у лиц голосоречевых профессий могут приводить к профессиональной непригодности. Своевременная диагностика, лечение и профилактика дисфоний у профессионалов голоса являются одной из важных задач современной оториноларингологии. Традиционно к профессионалам голоса относят вокалистов, хоровых певцов, артистов, учителей и педагогических работников, воспитателей дошкольных учреждений, юристов, врачей, военнослужащих. В последние десятилетия социально-экономическое развитие привело к появлению новых профессий: рекламные агенты, представители сетевого маркетинга, служащие банков и т.д. [1, 2].
Работа врача-оториноларинголога, или фониатра, с лицами голосоречевых профессий имеет свою специфику. Так, при сборе анамнеза у профессионала голоса обязательно выясняют длительность ежедневной голосовой нагрузки, его профессиональную подготовку, визуально оценивают напряженность фонации. К сожалению, не для всех лиц голосоречевых профессий разработаны нормативные показатели нагрузки. Так, профессорско-преподавательский состав должен трудиться не более 36 ч в неделю, учителя-дефектологи – не более 20 ч. Только некоторые педагоги могут позволить себе не работать (по финансовым причинам) со значительно большей нагрузкой. Если показатели превышают допустимые значения, то это приводит к голосовым перегрузкам и развитию заболеваний гортани. Но не только длительность голосовой нагрузки значима в развитии дисфоний: работа в шумном помещении, на улице, в плохо отапливаемом здании также может их провоцировать. Не все представители речевых профессий владеют щадящими приемами использования голосовой функции, что также способствует развитию дисфоний. Исключение составляют вокалисты и актеры, которые имеют соответствующую подготовку, поскольку осваивают эти навыки во время обучения [2].
Нарушения голосовой функции классифицируют как функциональные и органические. Это достаточно условное деление. Функциональные состояния могут переходить в органические, а некоторые органические – в функциональные. Под функциональными понимают изменения, при которых ларингоскопическое исследование не выявляет какой-либо видимой (органической) патологии. Поэтому диагностика функциональных нарушений представляет определенные трудности для ЛОР-врачей. Однако с помощью специальных методов исследования, таких как стробоскопия, спектральный анализ голоса, можно определить патогномоничные изменения, а больной предъявляет соответствующие жалобы. При органических изменениях выявляют отчетливо диагностируемую патологию (ларингиты, опухолеподобные образования гортани, парезы и параличи, врожденные пороки развития гортани, сосудистую патологию и т.д.) [1, 3].
Ведущая роль в своевременной диагностике заболеваний гортани принадлежит эндоскопическим методам исследования. В 2012 г. опубликован приказ Минздрава России №905н «Об утверждении порядка оказания медицинской помощи населению по профилю оториноларингология», зарегистрированный в Минюсте России 05.03.2013 №27502. В нем не только изложены правила оказания медицинской помощи, но и утвержден перечень необходимого оборудования. Оториноларингологический кабинет должен быть оснащен риноларингофиброскопом для диагностики заболеваний гортани, в амбулаторном оториноларингологическом отделении (дневном стационаре) необходимы риноларингофиброскоп и электронный стробоскоп. В стационарном оториноларингологическом отделении предусмотрена видеосистема эндоскопическая, ларингоскоп и риноларингофиброскоп. Следовательно, каждый ЛОР-врач, независимо от места работы, должен владеть эндоскопическими методами исследования гортани [4].
Все большее распространение в настоящее время приобретает клиническая диагностика заболеваний гортани методами видеоэндоларинго- и видеоэндоларингостробоскопии. Видеоэндоларингоскопическая картина здоровых пациентов следующая: цвет слизистой оболочки гортани розовый, тонус голосовых складок хорошо выражен, медиальные края голосовых складок ровные, натянуты. Фонация в головном регистре, т.е. пациент высоко пропевает гласный звук «и»: складки смыкаются плотно или между ними остается тонкая линейная фонационная щель. Надгортанник максимально смещается к корню, поэтому голосовые складки хорошо обозримы от передней комиссуры до межчерпаловидной области. Фонация в грудном регистре, т.е. пациент низко пропевает гласный звук «и»: голосовые складки смыкаются плотно, фонационная щель между ними отсутствует. В момент вдоха голосовые складки расходятся на одинаковое расстояние и образуют щель в виде равнобедренного треугольника. При дыхании и фонации черпаловидные хрящи и черпалонадгортанные складки располагаются симметрично, вестибулярные складки не участвуют в фонации, гортанные желудочки не видны.
Видеоэндоларингостробоскопия – метод исследования гортани, который позволяет оценить амплитуду или симметричность, частоту или регулярность колебаний голосовых складок, а также слизистую волну, наличие или отсутствие невибрирующих участков. У всех здоровых пациентов колебания голосовых складок регулярные, симметричные, слизистая волна большая, отсутствуют невибрирующие участки [5, 6]. Наиболее часто у профессионалов голоса встречаются функциональные дисфонии. Результаты исследований последних лет показали, что от 30,5 до 40% пациентов, обратившихся за фониатрической помощью, страдают функциональными нарушениями голоса [7, 8]. Среди 100% обследованных с функциональными дисфониями чаще всего диагностировали гипотонусную дисфонию – в 87,1% случаев, гипо-гипертонусную – 11,5% больных и гипертонусную – у 1,4% [8].
Органическую патологию выявили у 69,5% лиц голосоречевых профессий: ларингиты – у 28,9%, опухолеподобные образования – у 18,9%, парез гортани – у 8,8%, а доброкачественные и злокачественные новообразования – в 4,2% наблюдений. Врожденные пороки развития гортани, такие как бороздки голосовых складок, дистопия черпаловидных хрящей и черпалонадгортанных складок, диагностировали у 3,0% пациентов. Сосудистой патологией страдали 5,7% обследованных [9]. Наиболее сложными заболеваниями для диагностики и лечения являются функциональные дисфонии, профессиональные ларингиты, сосудистая патология голосовых складок.
Функциональные дисфонии
Определение. Функциональная дисфония – нарушение голоса, которое обусловлено снижением или повышением мышечного тонуса голосовых складок и других мышц, участвующих в процессе голосообразования. При ларингоскопии не выявляют какой-либо органической патологии гортани, т.е. воспалительных изменений, образований голосовых складок, нарушений иннервации и т.д. [1, 10]. В некоторых руководствах по оториноларингологии функциональную дисфонию расценивают как миогенный парез голосовых мышц и называют парезом голосовой, поперечной или других мышц. Однако в настоящее время к парезам гортани относят только изменения, связанные с повреждением n. recurrence [1].
Этиология. Главными этиологическими факторами являются перенапряжение голосового аппарата вследствие неправильного механизма голосоведения, чрезмерная голосовая нагрузка, а также состояния после перенесенных острых респираторных инфекций. Кроме этого, важную роль играет психоэмоциональный статус пациентов, о чем свидетельствует развитие функциональных нарушений голоса на фоне стрессовых состояний. Нередко у больных диагностируют гормональные нарушения – дисфункцию щитовидной железы, нарушения менструального цикла. Развитию функциональных дисфоний также способствуют заболевания нижних дыхательных путей, анемия, дегенеративно-дистрофические заболевания шейного отдела позвоночника. Поэтому пациенты с функциональной дисфонией должны быть обследованы профильными специалистами для определения возможной причины заболевания и лечения. При устранении этиопатогенетических факторов их развития голосовая функция может полностью восстановиться [11, 12].
Функциональная дисфония по гипотонусному типу (гипотонусная, гипофункциональная, гипокинетическая)
По мнению M. Hirano (1993 г.), гипотонусная дисфония относится к группе нарушений голоса, обусловленных недостаточной активностью как внутренних, так и наружных мышц гортани, принимающих участие в процессе голосообразования. Это проявляется в недостаточном закрытии голосовой щели во время фонации, ослаблении натяжения голосовых складок, снижении тонуса приводящих мышц, уменьшении длительности фонационного выдоха и подскладкового давления. Следует отметить, что данной патологией страдают преимущественно женщины [10].
Основываясь на теории Л.А. Орбели об адаптационно-трофическом влиянии симпатической нервной системы на скелетные мышцы, профессор П.Л. Мануйлов в 1940 г. вызывал утомление мышц гортани у экспериментальных животных. Он раздражал фарадическим током шейный симпатический узел. Автор установил, что одной из причин гипотонуса мышц гортани является уменьшение содержания адреналина в нервных синапсах, которое сопровождается адреналинемией. Полученные результаты свидетельствовали о недостаточности адаптационной функции симпатической нервной системы. В то же время вливание адреналина в гортань больным с функциональной дисфонией по гипотонусному типу приводило к повышению тонуса голосовых складок и стало практическим подтверждением экспериментальных данных [13].
Клиническая картина гортани. Для гипотонусной дисфонии характерны восемь патогномоничных ларингоскопических и ларингостробоскопических признаков [1, 5, 9, 10].
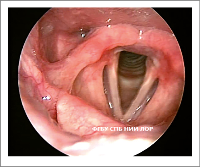
- Фонационная щель пациентов с функциональной дисфонией не соответствует форме фонационной щели здоровых людей. Изменение формы фонационной щели – основной признак гипотонуса голосовых складок. Сниженный тонус мышц гортани проявляется овальной, широкой линейной или треугольной фонационной щелью. Если у пациентов с функциональной дисфонией форма фонационной щели напоминает овал, то это свидетельствует о преимущественном снижении тонуса голосовых мышц (рис. 1). При снижении тонуса межчерпаловидных мышц фонационная щель имеет вид треугольника с верхушкой в передней комиссуре и основанием в межчерпаловидной области (рис. 2).
- Недостаточное натяжение медиального края голосовой складки во время вдоха обусловлено снижением тонуса голосовой (m. vocalis) и щитоперстневидной (m. anticus) мышц. Край выглядит несколько вогнутым (рис. 3).
- Симптом «неоднородности» голосовых складок проявляется в том, что lig. vocale и m. vocalis видны изолированными друг от друга образованиями, а не как единое структурное целое (рис. 4).
- Симптом «зияния гортанных желудочков» характеризуется максимальным отведением вестибулярных складок при вдохе, что позволяет увидеть гортанные желудочки; следует отметить, что в здоровой гортани гортанные желудочки необозримы.
- К симптомам гипотонуса относят также патологическое смыкание голосовых складок голосовыми отростками, а не всем медиальным краем, как это происходит у здоровых пациентов. В некоторых случаях выступающие голосовые отростки на фоне сниженного тонуса принимают за узелки голосовых складок. Следует помнить, что узелки голосовых складок располагаются на границе передней и средней третей голосовой складки, в узловой точке, и относятся к приобретенным опухолеподобным образованиям, а голосовые отростки локализуются на границе средней и задней третей и являются анатомическим образованием гортани (рис. 5).
- В момент вдоха можно видеть не только верхнюю, но и нижнюю поверхность голосовых складок. Следует отметить, что у здорового человека при дыхании видна только верхняя поверхность голосовых складок.
- Стробоскопическим признаком гипотонуса также является «пестрота» стробоскопической картины. Под «пестротой» ларингостробоскопической картины понимают следующие изменения: во время осмотра пациента с гипотонусной дисфонией колебания голосовых складок в последовательных вибраторных циклах могут соответствовать клинической картине здоровых, т.е. быть симметричными, регулярными, затем становиться асимметричными, нерегулярными, но в следующем цикле вновь соответствовать нормальным показателям.
- Голосовые складки при гипотонусной дисфонии обычно колеблются асимметрично, с малой амплитудой, как правило, нерегулярно; слизистая волна (или смещение слизистой оболочки по свободному краю) хорошо выражена или уменьшена.
Рис. 1. Функциональная дисфония по гипотонусному типу (фонация): овальная щель.
Рис. 2. Функциональная дисфония по гипотонусному типу (фонация): треугольная щель.
Рис. 3. Функциональная дисфония по гипотонусному типу (вдох): зияние гортанных желудочков, недостаточное натяжение медиального края голосовых складок.
Рис. 4. Функциональная дисфония по гипотонусному типу (фонация): симптом «неоднородности» голосовых складок.
Рис. 5. Функциональная дисфония по гипо-гипертонусному типу (фонация): фонационная щель овальной формы в передней трети, фонационная щель треугольной формы в задней трети, гиперфункция вестибулярных складок, смыкание голосовых отростков; над передней комиссурой нависает стебель надгортанника.
Перечисленные клинические признаки могут встречаться как изолированно, так и в сочетании друг с другом. Следует отметить, что вестибулярные складки при данном виде дисфонии не принимают участия в фонации и остаются интактными.
Лечение. Пациентов с гипотонусной дисфонией следует лечить комплексно. Основной целью является нормализовать тонус голосовых складок, прежде всего благодаря соблюдению щадящего голосового режима не менее 14 дней. Больным необходимо сократить голосовую нагрузку, не разговаривать в шуме, не использовать шепот, поскольку это приводит к увеличению фонационной щели и задействуется патологический ложноскладковый механизм фонации.
Одновременно проводят лечение сопутствующей патологии, которая могла оказаться причинным фактором дисфонии. Если пациент не обследован ранее, то рекомендуют консультацию невролога, эндокринолога, психотерапевта. При отсутствии противопоказаний назначают медикаментозную терапию, направленную на повышение тонуса мышц голосовых складок. Так, при впервые возникшей гипотонусной дисфонии на фоне чрезмерной голосовой нагрузки в течение 1 мес показаны растительные адаптогены, витаминотерапия.
Физиотерапевтических процедуры, такие как синусоидальные модулированные или флюктуирующие токи, вызывают периодическое сокращение и расслабление мышц гортани, повышают их тонус и усиливает обмен веществ. Важной составляющей лечения пациентов с функциональной дисфонией являются фонопедические занятия (их проводит логопед-фонопед), направленные на восстановление голосовой функции и нормализацию фонационного дыхания. Отсутствие своевременного лечения гипотонусных дисфоний приводит к формированию гипо-гипертонусных дисфоний, узелков, полипов, кист, гранулем голосовых складок.
Функциональная дисфония по гипо-гипертонусному типу (гипо-гиперфункциональная, гипо-гиперкинетическая)
Этиология. Длительное существование функциональной дисфонии по гипотонусному типу и отсутствие адекватного лечения приводят к развитию функциональной дисфонии по гипо-гипертонусному типу и формированию патологического механизма голосоведения, с вовлечением вестибулярных складок.
Клиническая картина гортани. Гипо-гипертонусную дисфонию диагностируют по следующим клиническим признакам: во-первых, по снижению тонуса голосовых складок и, во-вторых, по повышению тонуса вестибулярных складок. При этом патогномоничные признаки снижения тонуса голосовых складок остаются такими же, как при функциональной дисфонии по гипотонусному типу. В то же время вестибулярные складки находятся в состоянии гипертонуса, т.е. они выполняют компенсаторную функцию, как бы пытаясь сомкнуться вместо голосовых складок.
В таких случаях вестибулярные складки в процессе фонации частично закрывают голосовые, а во время дыхания они остаются интактными, поэтому голосовые складки хорошо видны (см. рис. 5). Гипертонус вестибулярных складок необходимо дифференцировать с их гипертрофией. Гипертрофированные вестибулярные складки как при дыхании, так и во время фонации выглядят увеличенными, что приводит к полному или частичному закрытию голосовых складок.
Лечение гипо-гипертонусной дисфонии направлено на устранение причин, приводящих к изменению голосовых складок. Цель фонопедических занятий – нормализовать мышечный тонус голосового аппарата и восстановить координационное взаимодействие между фонацией и дыханием.
Функциональная дисфония по гипертонусному типу (гипертонусная, гиперфункциональная, гиперкинетическая)
Гипертонусная дисфония – это нарушение голосовой функции, обусловленное повышенным тонусом мышц гортани, в том числе голосовых складок.
Этиология. Отличительные особенности фонации при гипертонусной дисфонии обусловлены форсированной манерой голосоведения в речи и пении, длительной фонацией в шумных условиях, частым использованием твердой атаки. В ряде случаев выражен металлический оттенок, а для вокалистов становится невозможным филировка звука и фонация на piano. Это сопровождается постоянным перенапряжением мышц брюшного пресса, толчкообразными движениями диафрагмы, напряжением и болезненностью мышц лица и шеи. Профессиональные аудиторы оценивают голос этих пациентов как напряженный, резкий, пронзительный. Чаще всего пациенты жалуются на повышенную утомляемость голоса, охриплость, периодические спазмы в области гортани, болевые ощущения в глотке, в области шеи, повышенное слизеобразование и постоянное желание откашлять слизь.
Клиническая картина. Гипертонусная дисфония проявляется плотным смыканием голосовых складок, т.е. отсутствием фонационной щели, отечностью и умеренной гиперемией их краев, гиперфункцией вестибулярных складок, а также сосудистой инъекцией слизистой оболочки гортани (рис. 6). Ларингостробоскопия: амплитуда колебаний может отсутствовать или быть уменьшенной.
Рис. 6. Функциональная дисфония по гипо-гипертонусному типу (фонация): плотное смыкание голосовых складок, отсутствие фонационной щели, гиперфункция вестибулярных складок.
Лечение пациентов с гипертонусной дисфонией проводят фониатр совместно с неврологом, физиотерапевтом и фонопедом. Используют медикаментозную терапию, которая включает спазмолитические, седативные средства, миорелаксанты. Из физиотерапевтических процедур наиболее эффективны воротник по Щербаку с 1% раствором новокаина, а также низкочастотное переменное магнитное поле на паравертебральную область. Обязательно проводят курс фонопедии, чтобы устранить мышечное напряжение.
Таким образом, диагностика различных типов функциональной дисфонии основывается на соотношении тонуса голосовых и вестибулярных складок. Следует также помнить о том, что состояние гипотонуса может сочетаться с узелками, полипами, кистами, хроническим ларингитом, сосудистой патологией. Но при этих состояниях он может быть как первичным причинным фактором и развиваться до органических изменений, так и вторичным.
Органические дисфонии
Ларингиты
Известно, что среди заболеваний гортани у лиц голосоречевых профессий встречаются как профессиональные ларингиты, так и ларингиты, не связанные с голосовой нагрузкой [1, 14]. Развитие профессиональных ларингитов обусловлено спецификой работы лиц голосовых профессий. Среди непрофессиональных ларингитов выделяют первичные (неспецифические) и вторичные (специфические). Несоблюдение правил охраны и гигиены певческого и речевого голоса – главная причина развития профессиональных ларингитов. Нарушение техники голосоведения, работа в больном состоянии на фоне острых респираторных заболеваний, занятие вокалом во время менструаций, превышение нормы голосовых нагрузок являются провоцирующими факторами развития профессиональной патологии.
Условия труда также имеют важное значение в развитии ларингитов: влажность и чистота воздуха в рабочих помещениях, температурный режим, акустические условия (пение на открытом воздухе, в неприспособленных залах, голосовая нагрузка в шуме и т.д.). Кроме профессиональных ларингитов у лиц голосоречевых профессий, так же как и у других пациентов, диагностируют острые и хронические ларингиты, не связанные с голосовой нагрузкой. Острый ларингит может иметь вирусную этиологию и входить в симптомокомплекс ОРВИ. Развитие острого ларингита также обусловливают ирритативные (неинфекционные) причины: климатические условия, курение, гастроэзофагеальная рефлюксная болезнь, профессиональные вредности.
Хронические ларингиты (неспецифические) представлены несколькими нозологическими формами, на развитие которых влияют курение, сопутствующая патология различных органов и систем. При этом голосовые перегрузки у профессионалов голоса усугубляют течение ларингита. Именно поэтому в современных условиях большое значение для сохранения профессионального долголетия имеют своевременная диагностика, лечение и профилактика заболеваний гортани у профессионалов голоса. Специфические ларингиты являются вторичными и развиваются при туберкулезе, сифилисе, инфекционных заболеваниях (дифтерии), системных заболеваниях (болезни Вегенера, ревматоидном артрите, амилоидозе, саркоидозе, полихондрите, системной красной волчанке и др.), заболеваниях крови, кожи (пузырчатке, большой многоформной эритеме) [15].
Хронические ларингиты (неспецифические)
Хронические ларингиты у взрослых составляют от 24,6 до 50,2% среди всех заболеваний гортани и 8,4–10% всей патологии ЛОР-органов. Мужчины страдают этим заболеванием значительно чаще женщин [15].
Этиология. Причины развития хронических ларингитов достаточно разнообразны: несоблюдение голосового режима при простудных заболеваниях, работа в плохо отапливаемых и пыльных помещениях; вредные привычки, т.е. курение, злоупотребление алкоголем, нарушение диеты; заболевания верхних и нижних дыхательных путей, такие как искривление носовой перегородки, хронические риниты, фарингиты, тонзиллиты, острые ларингиты, ларинготрахеиты, бронхиты, бронхиальная астма; патологии желудочно-кишечного тракта, такие как хронические гастриты, гастроэзофагеальная рефлюксная болезнь; изменения в эндокринной системе, а именно сахарный диабет, гипотиреоз; снижение неспецифической резистентности организма.
Классификация. Выделяют следующие формы хронического неспецифического ларингита: катаральный, отечно-полипозный (болезнь Рейнке–Гайека), атрофический, гиперпластический. У профессионалов голоса самой частой патологией является хронический катаральный ларингит, который диагностируют у 46,7% обследованных, гиперпластический – у 23,2%, отечно-полипозный – у 8,5%, атрофический – у 5,1% [16]. Клинические проявления у лиц голосоречевых профессий катарального, отечно-полипозного ларингита (болезни Рейнке–Гайека), атрофического и гиперпластического ларингита – такие же, как у лиц других профессий.
Острый и хронический профессиональные ларингиты
Этиология. Острый профессиональный ларингит возникает внезапно. На фоне полного здоровья у пациентов после большой голосовой нагрузки появляется дисфония или афония. Напротив, хронический ларингит развивается постепенно вследствие длительной акустической травмы, которая сопровождает многочасовые частые перегрузки голосового аппарата, форсированную манеру голосоведения, несоблюдение правил охраны и гигиены речевого и певческого голоса.
Жалобы. Больные с острым профессиональным ларингитом предъявляют жалобы на дискомфорт в области гортани, повышенную утомляемость голоса сразу после нагрузки, осиплость или афонию.
Клинические проявления. При ларингостробоскопическом исследовании определяют умеренную гиперемию слизистой оболочки гортани, отечность медиального края голосовых складок, расширенные сосуды по всей поверхности слизистой оболочки, у некоторых больных слизь присутствует в большом количестве. Амплитуда колебаний голосовых складок уменьшена, колебания нерегулярные, также уменьшена слизистая волна. Следует отметить, что подголосовой отдел и трахея остаются интактными или может присутствовать незначительная сосудистая инъекция слизистой оболочки (рис. 7).
Рис. 7. Острый профессиональный ларингит (фонация): овальная щель, сосудистая инъекция слизистой оболочки гортани.
Дифференциальная диагностика. Известно, то сразу после голосовой нагрузки возникает физиологическая гиперемия голосовых складок, или «рабочая гиперемия», которая проходит после нескольких часов голосового покоя. Именно с этим состоянием следует дифференцировать острый профессиональный ларингит. Его необходимо также дифференцировать с острым вирусно-бактериальным ларингитом на основании таких клинических проявлений, как переохлаждение, ринит, боль в глотке, кашель сухой или с небольшим количеством мокроты, повышение температуры тела, ухудшение общего состояния, которые предшествуют развитию острого процесса в гортани. Пациенты жалуются на выраженную осиплость. Клинический диагноз основан на следующих признаках: слизистая оболочка всех отделов гортани ярко гиперемирована, с выраженной сосудистой инъекцией голосовых складок и подскладкового отдела, отеком слизистой оболочки голосовых складок, большим количеством слизистого отделяемого и сниженным тонусом голосовых складок. После присоединения бактериальной инфекции в гортани появляется слизисто-гнойное отделяемое.
Лечение. Основным требованием в лечении больных с острым профессиональным ларингитом является соблюдение голосового покоя как минимум в течение 7 дней. Больному запрещают речевое общение и рекомендуют сообщать свои пожелания в письменном виде. Кроме этого, проводят курс ингаляционной терапии глюкокортикоидами (для ингаляционного применения) через небулайзер или с помощью внутриларингеальных вливаний препаратов группы кортикостероидов системного действия [16–19].
Отсутствие адекватного лечения, несоблюдение голосового режима при остром профессиональном ларингите приводят к формированию хронического профессионального ларингита. Кроме этого, его развитию способствуют перегрузки голосового аппарата, форсированная манера голосоведения, несоблюдение правил охраны и гигиены певческого и речевого голоса. Следует отметить, что такие пациенты не имеют вредных привычек, патологии верхних и нижних дыхательных путей, заболеваний желудочно-кишечного тракта, эндокринной системы.
В стадии ремиссии ларингита пациенты жалуются на утомляемость голоса, периодическую осиплость, ощущение сухости и дискомфорта в глотке, постоянное желание откашляться после голосовой нагрузки. Для видеоэндостробоскопии характерны умеренная отечность слизистой оболочки голосовых складок, выраженная инъекция сосудов, слизь на голосовых складках во время фонации (рис. 8). Тонус голосовых складок снижен, колебания асимметричные, нерегулярные, слизистая волна уменьшена. Диагностируется патологическая форма голосовой щели (широкая линейная, овальная, треугольная) [9, 16].
Рис. 8. Хронический профессиональный ларингит, ремиссия (фонация): треугольная щель, слизистое отделяемое на голосовых складках.
Лечение хронического профессионального ларингита в стадии обострения соответствует лечению острого ларингита. После купирования обострения основное внимание нужно уделять соблюдению голосового режима и фонопедической коррекции нарушений механизма голосоведения и фонационного дыхания.
Сосудистая патология гортани у лиц голосоречевых профессий
По классификации J. Abitbol (1995 г.), к сосудистой патологии гортани относят капилляроэктазию, геморрагию, гемангиому. Под капилляроэктазией понимают варикозное расширение сосудов голосовых складок. Геморрагия – кровоизлияние в голосовую складку, а гемангиома относится к доброкачественным сосудистым опухолям. Первые две нозологические формы (капилляроэктазия и кровоизлияние) являются, как правило, осложнением основного заболевания. Эти состояния требуют своевременного лечения. Кровоизлияния более характерны для женщин [20].
Этиология. Капилляроэктазии возникают чаще всего на фоне гипотонуса голосовых складок, острого или хронического ларингита, при использовании длительной форсированной манеры голосоведения, сопутствующих эндокринных нарушениях и варикозной болезни. Основные причины кровоизлияний: сильный крик или кашель, резкое изменение тональности, чаще в головном регистре, твердая атака голоса, а также занятия вокалом в предменструальном периоде.
Патоморфологические изменения. Кровоизлияние локализуется в подэпителиальном слое слизистой оболочки голосовой складки, голосовая мышца не страдает.
Жалобы. При наличии капилляроэктазии жалобы могут отсутствовать или быть обусловлены основным заболеванием гортани. Пациенты с кровоизлиянием отмечают внезапно возникшую осиплость, быстрое утомление, истощение голоса. Диффузное кровоизлияние может сопровождаться афонией.
Клинические проявления. Сосудистые повреждения чаще локализуются на верхней поверхности голосовой складки или ее свободном крае. Мелкие расширенные сосуды проходят параллельно свободному краю голосовой складки и заканчиваются ангиоматозной дилатацией разных размеров. Капилляроэктазия может сочетаться с отеком свободного края голосовой складки, узелками, полипами, кистами (рис. 9). Капилляроэктазии голосовых складок представляют опасность для профессионалов голоса, поскольку в любой момент вследствие акустической травмы может произойти разрыв сосуда с последующим кровоизлиянием, которое может быть диффузным и распространяться на всю поверхность голосовой складки, или ограниченным, т.е. повреждать только ее часть (рис. 10).
Рис. 9. Капилляроэктазии голосовых складок с ангиоматозной дилатацией, отек медиальных краев голосовых складок (вдох).
Рис. 10. Диффузное кровоизлияние в правую голосовую складку (фонация).
Диффузное кровоизлияние имеет блестящую, «лакированную» поверхность и напоминает ногтевую пластинку пальца, покрытую красным лаком. При ларингостробоскопии амплитуда колебаний и слизистая волна на стороне кровоизлияния могут отсутствовать или быть значительно уменьшены. Ограниченное кровоизлияние локализуется в любом отделе голосовой складки. При ларингостробоскопии амплитуда колебаний и слизистая волна голосовой складки с ограниченным кровоизлиянием меньше, чем на противоположной. Независимо от распространенности кровоизлияния, в течение 10–14 дней оно проходит стандартные стадии развития, при этом цвет голосовой складки изменяется от ярко-красного до желтого, т.е. кровоизлияние проходит стадии «цветения» (рис. 11).
Рис. 11. Диффузное кровоизлияние в левую голосовую складку, «цветение» (фонация).
Лечение. При возникновении кровоизлияния в голосовую складку пациенту рекомендуют обязательно соблюдать голосовой покой 7–10 дней, т.е. полностью исключить речь. Обязательно назначают щадящую диету, без острых, горячих блюд и напитков, алкоголя. Этим предотвращают развитие фаринголарингеального рефлюкса. Больной не должен перегреваться, т.е. посещать бани, сауны, ему также следует избегать тяжелых физических нагрузок. Медикаментозная терапия: прием ангиопротекторов, антигистаминных препаратов, препаратов кальция в течение 14 дней. Местное лечение: курс ингаляционной терапии глюкокортикоидами (для ингаляционного применения) через небулайзер или внутриларингеальные вливания препаратов группы кортикостероидов системного действия. Назначают также электрофорез с рассасывающими препаратами на область гортани [9].
Заключение
Функциональные и органические дисфонии у профессионалов голоса представлены различными нозологическими формами. Несмотря на клинико-морфологические различия заболеваний, все они сопровождаются дисфонией, которая обусловлена нарушением смыкания голосовых складок и показателей вибраторного цикла. Основным этиологическим фактором развития заболеваний является акустическая травма: голосовые перегрузки, форсированная манера голосоведения, твердая атака и т.д. Профилактика дисфоний у лиц голосоречевых профессий должна стать первоочередной задачей для врачей оториноларингологов и включать ряд мероприятий, направленных на предотвращение их развития.
Прежде всего пациенту необходимо нормировать голосовую нагрузку, которая должна распределяться равномерно по дням недели. В течение рабочего времени следует делать перерывы на отдых. После работы вокалистам и педагогам рекомендуют соблюдать голосовой режим 2–4 ч, т.е. избегать длительных разговоров. При развитии острых заболеваний верхних и нижних дыхательных путей больному показано соблюдение голосового режима (больничный лист). Только после купирования воспалительного процесса и полного восстановления голосовой функции он может приступить к выполнению своих профессиональных обязанностей.
Как известно, заболевания нервной, гастроинтестинальной, бронхолегочной и эндокринной систем также приводят к развитию дисфоний. Поэтому своевременные профилактические осмотры профессионалов голоса разными специалистами также чрезвычайно важны. В случае обострений хронических заболеваний должны быть приняты срочные лечебные меры. Например, если пациентка страдает нарушением менструального цикла, то ей показано обследование гинеколога-эндокринолога. Женщинам – профессионалам голоса следует помнить, что во время менструаций голосовые складки становятся пастозными, повышается их сосудистая проницаемость, голос быстрее утомляется, что способствует возникновению функциональных дисфоний и сосудистых изменений голосовых складок, в том числе кровоизлияний. Следовательно, в этот период им необходимо ограничивать или исключать голосовую нагрузку. Непоправимый вред голосовому аппарату наносит курение. Поэтому только своевременный отказ от этой пагубной привычки может сохранить профессиональное долголетие. Таким образом, профилактику заболеваний голосового аппарата у лиц голосоречевых профессий нужно проводить комплексно и своевременно.
Раскрытие интересов. Автор декларирует отсутствие явных и потенциальных конфликтов интересов, связанных с публикацией настоящей статьи.
Disclosure of interest. The author declares that she has no competing interests.
Вклад автора. Автор декларирует соответствие своего авторства международным критериям ICMJE.
Author’s contribution. The author declares the compliance of her authorship according to the international ICMJE criteria.
Источник финансирования. Автор декларирует отсутствие внешнего финансирования для проведения исследования и публикации статьи.
Funding source. The author declares that there is no external funding for the exploration and analysis work.
About the authors
Julia E. Stepanova
Saint Petersburg Research Institute of Ear, Throat, Nose and Speech
Author for correspondence.
Email: julia.stepanov@yandex.ru
ORCID iD: 0000-0003-1502-6337
D. Sci. (Med.), Assoc. Prof., Saint Petersburg Research Institute of Ear, Throat, Nose and Speech
Russian Federation, Saint PetersburgReferences
- Василенко Ю.С. Голос. Фониатрические аспекты. М.: Дипак, 2013 [Vasilenko IuS. Golos. Foniatricheskie aspekty. Moscow: Dipak, 2013 (in Russian)].
- Степанова Ю.Е., Корень Е.Е., Готовяхина Т.В. Клинико-диагностический алгоритм работы врача-оториноларинголога с профессионалами голоса. Российская оториноларингология. 2019;18(1):116-23 [Stepanova YuE, Koren’ EE, Gotovyakhina TV. Clinical and diagnostic algorithm for otorhinolaryngologist’s work with voice professionals. Rossiiskaya otorinolaringologiya. 2019;18(1):116-23 (in Russian)]. doi: 10.18692/1810-4800-2019-1-116-123
- Максимов И. Фониатрия. М.: Медицина, 1987 [Maksimov I. Foniatriia. Moscow: Meditsina, 1987 (in Russian)].
- Приказ Минздрава России от 12 ноября 2012 г. №905н «Об утверждении порядка оказания медицинской помощи населению по профилю “оториноларингология”» [Prikaz Minzdrava Rossii ot 12 noiabria 2012 g. №905n «Ob utverzhdenii poriadka okazaniia meditsinskoi pomoshchi naseleniiu po profiliu “otorinolaringologiia”» (in Russian)].
- Степанова Ю.Е., Швалев Н.В. Применение видеостробоскопии для диагностики, лечения функциональных и органических заболеваний гортани: пособие для врачей. СПб., 2000 [Stepanova IuE, Shvalev NV. Primenenie videostroboskopii dlia diagnostiki, lecheniia funktsional'nykh i organicheskikh zabolevanii gortani: posobie dlia vrachei. Saint Petersburg, 2000 (in Russian)].
- Pereira ER, Tavares EL, Martins RH. Voice disorders in teachers: clinical, videolaryngoscopical, and vocal aspects. J Voice. 2015;29(5):564-71. doi: 10.1016/j.jvoice.2014.09.019
- Kwok M, Eslick GD. The Impact of Vocal and Laryngeal Pathologies Among Professional Singers: A Meta-analysis. J Voice. 2019;33(1):58-65. doi: 10.1016/j.jvoice.2017.09.002
- Готовяхина Т.В., Степанова Ю.Е., Корень Е.Е. Влияние пандемии COVID-19 на заболеваемость гортани. Российская оториноларингология. 2022;21(4):29-34 [Gotovyakhina TV, Stepanova YuE, Koren EE. Impact of COVID-19 on laryngeal morbidity. Rossiiskaya otorinolaringologiya. 2022;21(4):29-34 (in Russian)]. doi: 10.18692/1810-4800-2022-4-29-34
- Степанова Ю.Е., Артюшкин С.А., Готовяхина Т.В. Заболевания гортани у лиц голосоречевых профессий. СПб.: Полифорум, 2018 [Stepanova IuE, Artiushkin SA, Gotoviakhina TV. Zabolevaniia gortani u lits golosorechevykh professii. Saint Petersburg: Poliforum, 2018 (in Russian)].
- Hirano M, Bless DM. Videostroboscopic examination of the larynx. San-Diego: Singular, 1993.
- Степанова Ю.Е., Готовяхина Т.В., Махоткина Н.Н. Важность своевременной диагностики заболеваний гортани при первичном осмотре врачом-оториноларингологом. Медицинский совет. 2018;20:58-64 [Stepanova YuE, Gotovyakhina TV, Makhotkina NN. Importance of timely diagnosis of diseases of the larynx during initial examination performed by an otorhinolaryngologist. Meditsinskiy sovet=Medical Council. 2018;20:58-64 (in Russian)]. doi: 10.21518/2079-701X-2018-20-58-64
- Van Houtte E, Van Lierde K, Claeys S. Pathophysiology and treatment of muscle tension dysphonia: A review of the current knowledge. J Voice. 2011;25(2):202-7. doi: 10.1016/j.jvoice.2009.10.009
- Ермолаев В.Г., Лебедева Н.Ф., Морозов В.П. Руководство по фониатрии. Ленинград: Медицина. Ленинградское отделение, 1970 [Ermolaev VG, Lebedeva NF, Morozov VP. Rukovodstvo po foniatrii. Leningrad: Meditsina. Leningradskoe otdelenie, 1970 (in Russian)].
- Степанова Ю.Е. Профессиональные заболевания гортани у лиц голосоречевых профессий. Профессиональные болезни верхних дыхательных путей и уха: руководство для врачей. Под ред. В.И. Бабияка, Я.А. Накатиса. СПб.: Гиппократ, 2009 [Stepanova IuE. Professional'nye zabolevaniia gortani u lits golosorechevykh professii. Professional'nye bolezni verkhnikh dykhatel'nykh putei i ukha: rukovodstvo dlia vrachei. Pod red. VI Babiiaka, IaA Nakatisa. Saint Petersburg: Gippokrat, 2009 (in Russian)].
- Оториноларингология: национальное руководство. Под ред. В.Т. Пальчуна. М.: ГЭОТАР-Медиа, 2016 [Otorinolaringologiia: natsional'noe rukovodstvo. Pod red. VT Pal'chuna. Moscow: GEOTAR-Media, 2016 (in Russian)].
- Степанова Ю.Е., Коноплев О.И., Готовяхина Т.В., и др. Острые и хронические ларингиты у профессионалов голоса. Вестник оториноларингологии. 2019;84(1):68-71 [Stepanova YuE, Konoplev OI, Gotovyakhina TV, et al. Acute and chronic laryngitis in the subjects engaged in the voice and speech professions. Vestnik Oto-Rino-Laringologii. 2019;84(1):68-71 (in Russian)]. doi: 10.17116/otorino20198401168
- Степанова Ю.Е., Готовяхина Т.В., Корнеенков А.А., и др. Комплексное лечение дисфоний у лиц голосоречевых профессий. Вестник оториноларингологии. 2017;82(3):48-53 [Stepanova YuE, Gotovyakhina TV, Korneenkov AA, et al. The combined treatment of dysphonia in the subjects engaged in the voice and speech professions. Vestnik Oto-Rino-Laringologii. 2017;82(3):48-53 (in Russian)]. doi: 10.17116/otorino201782348-53
- Национальная медицинская ассоциация оториноларингологов, Союз педиатров России. Острый ларингит. Клинические рекомендации. М., 2020 [Natsional'naia meditsinskaia assotsiatsiia otorinolaringologov, Soiuz pediatrov Rossii. Ostryi laringit. Klinicheskie rekomendatsii. Moscow, 2020 (in Russian)].
- Махоткина Н.Н., Степанова Ю.Е. Острый ларингит. Современные аспекты физиотерапевтического лечения с позиции синдромно-патогенетического подхода. Российская оториноларингология. 2022;21(6):114-9 [Makhotkina NN, Stepanova YuE. Acute laryngitis. Modern aspects of physiotherapy treatment with syndromic and pathogenetic approach. Rossiiskaya otorinolaringologiya. 2022;21(6):114-9 (in Russian)]. doi: 10.18692/1810-4800-2022-6-114-119
- Abitbol J. Atlas of laser voice surgery. San Diego: Singular, 1995.
Supplementary files














