Radical surgery on the middle ear in the treatment of cholesteatoma: history or reality? A review
- Authors: Isachenko V.S.1, Dvorianchikov V.V.1, Ognetov S.Y.2, Sotnikova K.I.1, Tsydypova D.A.1
-
Affiliations:
- Saint Petersburg Research Institute of Ear, Throat, Nose and Speech
- Izhevsk State Medical Academy
- Issue: Vol 25, No 9 (2023): Otorhinolaryngology and pulmonology
- Pages: 637-641
- Section: Articles
- Published: 14.09.2023
- URL: https://consilium.orscience.ru/2075-1753/article/view/609547
- DOI: https://doi.org/10.26442/20751753.2023.9.202417
- ID: 609547
Cite item
Full Text
Abstract
Radical surgery on the middle ear is primarily associated with such pathology as cholesteatoma and ear neoplasms. And if in the case of tumors radicalism in ear surgery is justified, then in the surgery of the cholesteatomic process there is a need to discuss this issue. The existence of acquired cholesteatoma was recognized more than three centuries ago. Without timely detection and intervention, cholesteatomas can increase to gigantic sizes and lead to numerous intracranial and extracranial complications. Due to its aggressive growth, invasive nature and potentially fatal consequences of intracranial complications, acquired cholesteatoma remains the cause of morbidity and death in those who do not have access to advanced medical care. Currently, there are no effective non-surgical methods of treatment. The article provides a brief overview of the main issues related to acquired middle ear cholesteatoma, and discusses the practical
Full Text
Введение
Под холестеатомой понимают опухолевидное образование, представляющее собой эпидермальную кисту, которая является результатом агрессивного роста ороговевающего плоскоклеточного эпителия. В 90% случаев она появляется на фоне хронического гнойного среднего отита. По сути холестеатома представлена кожей, которая располагается в полостях височной кожи, однако, находясь в нетипичном для нее анатомическом пространстве, она подвержена постоянному хроническому воспалению, вызывающему постепенные деструктивные процессы в прилежащих костных тканях.
Холестеатома уха не является истинной опухолью уха, хотя по своему внешнему виду и характеру роста напоминает опухолевое образование. Холестеатома уха имеет слоистую структуру: сверху она покрыта капсулой из соединительной ткани, под которой находится ороговевающий плоский эпителий. Средний слой холестеатомы уха представлен наложенными одна на другую пластинами слущенного эпителия и расположенными между ними кристаллами холестерина. Центральную часть холестеатомы уха, или ее ядро, занимает имеющий гнилостный запах беловатый детрит.
Большинство холестеатом врастает в эпитимпанум и ретротимпанум с разрушением цепи слуховых косточек в результате атрофии от разницы давлений в барабанной полости и в наружном слуховом проходе с формированием перфорации в ненатянутой части барабанной перепонки вследствие длительной дисфункции слуховой трубы. Иными словами, происходит разрежение газовой смеси в полости уха, которое приводит к снижению давления. Так как в слуховом проходе давление, равное атмосферному, будет превалировать над давлением в полости уха, на барабанную перепонку воздействует сила, которая приводит к пролабированию наименее укрепленного ее участка: ненатянутой части. Формируется мешок с эпидермальной выстилкой, направленный внутрь, который, увеличиваясь, разрушает латеральную стенку аттика. Когда втяжение становится достаточно глубоким, в нем начинают накапливаться кератин и слущенный эпителий, что ведет к развитию холестеатомы уха. Местная инфекция приводит к нарушению механизмов самоочищения, при этом клеточный мусор и кератиноциты накапливаются внутри ретракционного кармана, и за этим следует иммиграция иммунных клеток, т.е. клеток Лангерганса, Т-клеток, макрофагов. Существуют дисбаланс и порочный круг пролиферации эпителия, дифференцировки и созревания кератиноцитов, длительного апоптоза и нарушения механизмов самоочищения. Воспалительный стимул индуцирует пролиферацию эпителия наряду с экспрессией литических ферментов и цитокинов. Бактерии внутри ретракционного кармана вырабатывают некоторые антигены, которые активируют различные цитокины и литические ферменты. Эти цитокины приводят к активации и созреванию остеокластов, следствием чего являются деградация внеклеточного костного матрикса и гиперпролиферация, эрозия кости и в конечном итоге – прогрессирование заболевания [1–11].
Концепция отохирургии
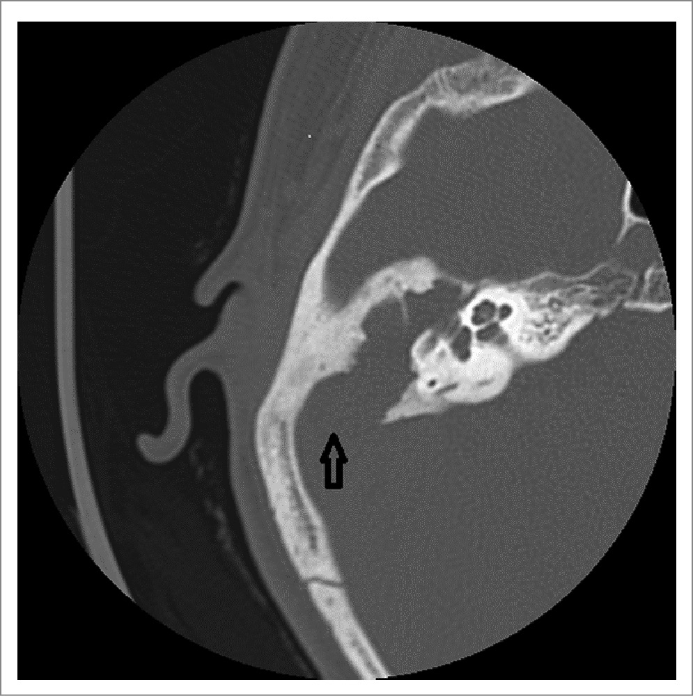
Имея характер деструктивного роста, холестеатома уха увеличивается в размерах, разрушает слуховые косточки, заполняет ячейки сосцевидного отростка, доходит до мозговых оболочек и капсулы лабиринта, разрушает канал лицевого нерва. Зачастую холестеатома уха достигает размера грецкого ореха и имеет расходящиеся в различных направлениях отростки. Содержащие токсическую жидкость кисты холестеатомы могут являться причиной внутричерепных и септических осложнений (рис. 1).
Рис. 1. Срез спиральной компьютерной томограммы височной кости: на месте аттика и антрума располагается гигантская кариозная полость. Стрелка указывает на значительный дефект пирамиды височной кости, граничащий с задней черепной ямкой.
Исходя из сказанного, согласно формальной логике у оториноларингологов имелись все основания для проведения больших санирующих оперативных вмешательств как единственного средства излечения данной патологии. И впервые радикальную операцию с трепанацией сосцевидного отростка по поводу воспалительного процесса в среднем ухе выполнили в 1878 г. Schwatze и Eysell [12–20]; рис. 2.
Рис. 2. Радикальная операция (рисунок).
На рис. 3 иллюстрировано фото обнаженного в результате кариозного процесса лицевого нерва. Черная стрелка указывает на обнаженный лицевой нерв. Синяя и красная стрелки указывают на остатки задней костной стенки наружного слухового прохода. Зеленая стрелка направлена на тимпаномеатальный лоскут, уложенный кпереди.
Рис. 3. Радикальная операция.
В последующем данная операция, получившая наименование радикальной, широко вошла в хирургическую практику.
В целом популярный термин «радикальная операция» подразумевает мастоидэктомию с удалением задней стенки наружного слухового прохода. В англоязычной литературе такая операция носит название canal wall down procedures. Термин «классическая радикальная операция» подразумевает формирование единой тимпано-мастоидальной полости без реконструкции барабанной перепонки, с удалением находящихся в барабанной полости структур: остатков наковальни и молоточка, оставшихся частей барабанной перепонки и ее фиброзного, а иногда даже костного кольца.
Реконструкция тимпанальной полости с формированием барабанной перепонки не входит в состав этого вмешательства. Однако с середины ХХ в. подавляющее большинство отохирургов предпочитают восстановление перепонки, даже несмотря на удаление фиброзного кольца. В результате в настоящее время классическая радикальная операция выполняется редко, а радикальное удаление всех структур из тимпанальной полости заканчивается ее закрытием с целью восстановления слуха, уменьшения реактивных процессов, экранирования внутреннего уха.
Таким образом, повысилось качество лечения больных с холестеатомой за счет эффективной санации очага хронической инфекции и профилактики внутричерепных, септических, вестибулярных и неврологических осложнений отогенного характера.
Однако существует и обратная сторона медали, связанная с негативными последствиями, наблюдаемыми в раннем и позднем послеоперационном периоде.
Как сказано выше, в ходе радикальной операции на среднем ухе на месте санированных кариозных участков среднего уха формируется трепанационная полость, которая при нормальном ранозаживлении покрывается первоначально грануляционной тканью, а потом эпидермисом. И на этом этапе встречаются первые неприятности: полноценная эпидермизация раневой поверхности в трепанационной полости височной кости наступает лишь в 65–87% случаев [21]. Некоторые авторы дают еще более печальные цифры. По данным ФГБУ СПб НИИ ЛОР, полная эпидермизация послеоперационной полости после радикальной операции на ухе наступает только в 46,5% случаев, т.е. больше чем в 1/2 случаев у прооперированных пациентов наблюдаются периодические или постоянные выделения из уха. Большинство прооперированных вынуждены беречь ухо от воды, что несколько снижает качество жизни [22, 23].
Функционально, т.е. с позиции восстановления слуха, ситуация становится еще более негативной. Так как трансплантат барабанной перепонки помещается на канал лицевого нерва и медиальную стенку аттика, то отмечается два нюанса: существенное уменьшение объема тимпанальной полости и формирование большого пространства латеральнее барабанной перепонки, включающего мастоидальную полость и сосцевидный отросток. Исходя из того, что объем тимпанальной полости является частью физиологии слуховой трубы, то по закону Бойля–Мариотта определенное перемещение объема из большого объема сопровождается меньшим изменением давления, чем при изъятии такого же объема из малого исходного объема. Иными словами, постоянная абсорбция газов из малой тимпанальной полости будет оказывать более сильное влияние на давление в среднем ухе. Таким образом, трансплантат барабанной перепонки будет подвержен большему влиянию к пролабированию медиально, и, следовательно, вероятность фиксации трансплантата к промонториальной стенке будет значительно больше. К. Flisberg в своих работах отмечал, что при тимпанальной полости малого объема отделение подвижных стенок слуховой трубы друг от друга затрудняется ввиду относительно более выраженного снижения давления в среднем ухе к моменту открытия слуховой трубы. При дальнейшем нарастании отрицательного давления свыше 30 мм рт. ст. в тимпанальной полости малого размера возникает патологический круг, при котором открытие слуховой трубы становится невозможным за исключением продувания трубы повышенным давлением через носоглотку. Барабанная перепонка втягивается и фиксируется к медиальной стенке тимпанальной полости, что влияет на итоговую потерю передачи звука (рис. 4).
Рис. 4. Трансканальная эндоскопическая картина результата выполненной радикальной операции с тимпанопластикой. Неотимпанальная мембрана спаяна с медиальной стенкой барабанной полости.
Само же пространство мастоидальной полости и слуховой проход создают резонанс, который может способствовать дополнительному препятствованию передачи звука. При этом вследствие малой тимпанальной полости и отсутствия демпферной системы сосцевидного отростка при избыточном акустическом давлении повышается вероятность необратимого повреждения внутреннего уха.
M. Alam и соавт. отмечают, что при отсутствии статистически значимой разницы в частоте рецидивов холестеатомы и осложнений при методах радикальной операции с тимпанопластикой в сравнении с закрытой операцией при холестеатомном процессе наблюдаются худшие с точки зрения приживления трансплантата результаты, а также повышение порогов звукопроведения (в среднем на 8,56±0,93 дБ) [24].
L. Abraham и соавт., D. Lucidi и соавт. приводят аналогичные данные, добавляющие статистические различия в сравнении качества жизни группы пациентов после радикальной операции и после хирургического лечения по закрытому типу [25, 26].
При том что основной задачей операции является гарантированная санация полостей среднего уха, рецидив холестеатомы встречается, по данным разных авторов, от 29,8 до 59,8% случаев [27–30]. Без сомнения, так как результат воспалительного процесса после выполненной радикальной операции распространяется в открытую полость, то и риск осложнений минимизируется. И, вероятно, тем обстоятельством, что у прооперированного человека периодически из уха истекает зловонное отделяемое и что есть необходимость периодического туалета мастоидальной полости специалистом, можно пренебречь ради спасения жизни, но с точки зрения качества жизни результат операции может быть рассмотрен пациентом как неудовлетворительный.
Подводя промежуточные итоги, можно сказать, что внедрение радикальной операции на среднем ухе исторически, без всякого сомнения, оказало самое благоприятное влияние на лечение значительной группы людей всех континентов и национальностей. Но научно-технический прогресс не стоял на месте: повсеместно внедрен общий наркоз, позволяющий длительно оперировать в условиях управляемой гипотонии, разработаны новые системы визуализации и силового оборудования, новые методологические оперативные подходы. У хирурга есть возможность выполнить пластику практически любого дефекта оссикулярной системы благодаря различным имплантам слуховых косточек. Внедрение эндоскопических систем в формате высокого разрешения и разработка адаптированного микроинструмента привели к формированию метода трансканальной эндоскопической микрохирургии, что позволило обозревать самые скрытые отделы тимпанальной полости.
Таким образом, естественно ожидать трансформацию хирургического подхода в направлении снижения хирургической агрессии, внедрения малоинвазивных санирующих и реконструктивных методик, направленных на восстановление нормальных и естественных условий в среднем ухе. Не пора ли санирующей операции на среднем ухе уйти в прошлое и занять свое достойное место в музее медицины? К сожалению, пока это несколько преждевременно, и мы посчитали возможным высказать свою точку зрения на стратегию подхода к лечению больных хроническими отитами, осложненными холестеатомой.
K. Kerckhoffs и соавт. в 2016 г. проанализировали 2600 статей с исследованиями результатов хирургии холестеатом по открытому (радикальная операция) и закрытому (тимпанопластика) типу. В результате данного масштабного исследования сделаны выводы, что закрытый тип операций приводит к большему количеству рецидивов заболевания по сравнению с радикальной операцией на среднем ухе у взрослых пациентов с первичной приобретенной холестеатомой. Если риск рецидива является наиболее важным фактором при выборе определенной хирургической техники, K. Kerckhoffs и соавт. рекомендуют применить радикальную операцию. Однако наилучшее решение принимается при учете дополнительных факторов, о которых говорилось ранее, особенностей ухода за пациентом и доступа к медицинской помощи [31].
Мы полностью разделяем выводы K. Kerckhoffs и соавт. и хотим отметить те показания к радикальной операции, которые должны учитываться при выборе лечения:
- Наличие отогенных внутричерепных, септических и вестибулярных осложнений, а также острое возникновение пареза (паралича) лицевого нерва.
- В случае пожилого возраста, наличия тяжелой сопутствующей патологии, выраженного нейросенсорного компонента тугоухости, а также малодоступности оперативного (незамедлительного) осмотра в крупном оториноларингологическом центре в послеоперационном периоде.
Во всех остальных случаях, по нашему мнению, показан закрытый тип тимпанопластики с сохранением задней стенки наружного слухового прохода с последующим динамическим наблюдением и диагностическим хирургическим вмешательством на среднем ухе в период 9 мес – 1 год после первичной операции. Выполнение компьютерной и магнитно-резонансной томографии в режиме non-EPI DWI, по нашим наблюдениям, не является основанием для отсрочки повторного хирургического вмешательства.
Раскрытие интересов. Авторы декларируют отсутствие явных и потенциальных конфликтов интересов, связанных с публикацией настоящей статьи.
Disclosure of interest. The authors declare that they have no competing interests.
Вклад авторов. Авторы декларируют соответствие своего авторства международным критериям ICMJE. Все авторы в равной степени участвовали в подготовке публикации: разработка концепции статьи, получение и анализ фактических данных, написание и редактирование текста статьи, проверка и утверждение текста статьи.
Authors’ contribution. The authors declare the compliance of their authorship according to the international ICMJE criteria. All authors made a substantial contribution to the conception of the work, acquisition, analysis, interpretation of data for the work, drafting and revising the work, final approval of the version to be published and agree to be accountable for all aspects of the work.
Источник финансирования. Авторы декларируют отсутствие внешнего финансирования для проведения исследования и публикации статьи.
Funding source. The authors declare that there is no external funding for the exploration and analysis work.
About the authors
Vadim S. Isachenko
Saint Petersburg Research Institute of Ear, Throat, Nose and Speech
Author for correspondence.
Email: v.isachenko@niilor.ru
ORCID iD: 0000-0001-9090-0413
D. Sci. (Med.), Assoc. Prof., Saint Petersburg Research Institute of Ear, Throat, Nose and Speech
Russian Federation, Saint PetersburgVladimir V. Dvorianchikov
Saint Petersburg Research Institute of Ear, Throat, Nose and Speech
Email: 3162256@mail.ru
ORCID iD: 0000-0002-0925-7596
D. Sci. (Med.), Prof., Saint Petersburg Research Institute of Ear, Throat, Nose and Speech
Russian Federation, Saint PetersburgSergey Y. Ognetov
Izhevsk State Medical Academy
Email: ognetovlor@rambler.ru
ORCID iD: 0000-0003-0289-3335
Cand. Sci. (Med.), Izhevsk State Medical Academy
Russian Federation, IzhevskKseniya I. Sotnikova
Saint Petersburg Research Institute of Ear, Throat, Nose and Speech
Email: sotnikovakseniya302@gmail.com
ORCID iD: 0000-0002-8659-0480
Resident, Saint Petersburg Research Institute of Ear, Throat, Nose and Speech
Russian Federation, Saint PetersburgDolgorma A. Tsydypova
Saint Petersburg Research Institute of Ear, Throat, Nose and Speech
Email: dolgorma1995@gmail.com
ORCID iD: 0000-0002-7416-904X
Graduate Student, Saint Petersburg Research Institute of Ear, Throat, Nose and Speech
Russian Federation, Saint PetersburgReferences
- Iino Y, Hoshino E, Tomioka S, et al. Organic acids and anaerobic microorganisms in the contents of the cholesteatoma sac. Ann Otol Rhinol Laryngol. 1983;92:91-6. doi: 10.1177/000348948309200122
- Abramson M, Moriyama H, Huang CC. Pathogenic factors in bone resorption in cholesteatoma. Acta Otolaryngol. 1984;97:437-42. doi: 10.3109/00016488409132918
- Palomar V, Fortuny JC, Sarroca E, Iranzo C. Otic cholesteatoma. Some comments. An Otorrinolaringol Ibero Am. 1989;16(1):69-74 (in Spanish).
- Sculerati N, Bluestone CD. Pathogenesis of cholesteatoma. Otolaryngol Clin North Am. 1989;22(5):859-68.
- Powell MA. Cholesteatoma. J Am Acad Nurse Pract. 1990;2(2):83-4. doi: 10.1111/j.1745-7599.1990.tb00781.x
- Olszewska E, Wagner M, Bernal-Sprekelsen M, et al. Etiopathogenesis of cholesteatoma. Eur Arch Otorhinolaryngol. 2004;261:6-24. doi: 10.1007/s00405-003-0623-x
- Bhutta MF, Williamson IG, Sudhoff HH. Cholesteatoma. BMJ. 2011;342:d1088. doi: 10.1136/bmj.d1088
- Maniu A, Harabagiu O, Perde Schrepler M, et al. Molecular biology of cholesteatoma. Rom J Morphol Embryol. 2014;55(1):7-13.
- Kuo CL, Shiao AS, Yung M, et al. Updates and knowledge gaps in cholesteatoma research. Biomed Res Int. 2015;2015:854024. doi: 10.1155/2015/854024
- Kuo CL, Shiao AS, Yung M, et al. Updates and knowledge gaps in cholesteatoma research. Biomed Res Int. 2015;2015:854024. doi: 10.1155/2015/854024
- Imai R, Sato T, Iwamoto Y, et al. Osteoclasts modulate bone erosion in cholesteatoma via RANKL signaling. J Assoc Res Otolaryngol. 2019;20:449-59. doi: 10.1007/s10162-019-00727-1
- Вульштейн Х. Слухоулучшающие операции. М., Медицина, 1972 [Vul'shtein KH. Slukhouluchshaiushchie operatsii. Moscow, Meditsina, 1972 (in Russian)].
- Sadé J. Treatment of cholesteatoma. Am J Otol. 1987;8(6):524-33.
- Lau T, Tos M. Tensa retraction cholesteatoma: treatment and long-term results. J Laryngol Otol. 1989;103(2):149-57. doi: 10.1017/s0022215100108321
- Тос М. Руководство по хирургии среднего уха. Т. 2. Хирургия сосцевидного отростка и реконструктивные операции. Томск: СГМУ, 2005 [Tos M. Rukovodstvo po khirurgii srednego ukha. T. 2. Khirurgiia sostsevidnogo otrostka i rekonstruktivnyie operatsii. Tomsk: SGMU, 2005 (in Russian)].
- Аникин И.А., Бокучава Т.А., Хамгушкеева Н.Н., и др. Ревизионное хирургическое вмешательство у больных с хроническим гнойным средним отитом с холестеатомой, перенесших санирующую операцию с тимпанопластикой. Российская оториноларингология. 2017;1:9-20 [Anikin IA, Bokuchava TA, Khamgushkeeva NN, et al. Revision surgical intervention in patients with chronic suppurative otitis media with cholesteatoma after sanitation operations with tympanoplasty. Rossiiskaia otorinolaringologiia. 2017;1:9-20 (in Russian)]. doi: 10.18692/1810-4800-2017-1-9-20
- Юкачева А.А., Дубинец И.Д. Эволюция реконструктивно-санирующих оперативных вмешательств при хроническом гнойном среднем отите. Российская оториноларингология. 2019;18(2):77-84 [Yukacheva AA, Dubinets ID. Evolution of reparative sanitizing operations in the treatment of chronic suppurative otitis media. Rossiiskaia otorinolaringologiia. 2019;18(2):77-84 (in Russian)]. doi: 10.18692/1810-4800-2019-2-77-84
- Аникин И.А., Астащенко С.В., Хамгушкеева Н.Н., Будковая М.А. Клинический случай открытого ведения трепанационной полости после удаления массивной лабиринтной- апикальной холестеатомы пирамиды височной кости. Российская оториноларингология. 2019;18(5):89-95 [Anikin IA, Astashchenko SV, Khamgushkeeva NN, Budkovaya MA. А сlinical case of open management of trepanation cavity after surgical removal of massive labyrinth-apical cholesteatoma of the petrous temporal bone. Rossiiskaia otorinolaringologiia. 2019;18(5):89-95 (in Russian)]. doi: 10.18692/1810-4800-2019-5-89-95
- Власова Г.В., Александров Т.А. Cовременный подход к диагностике холестеатомы среднего уха у детей. Folia Otorhinolaryngologiae et Pathologiae Respiratoriae. 2019;25(1):102-7 [Vlasova GV, Alexandrov TA. Modern approach to the diagnosis of middle ear cholesteatoma in children. Folia Otorhinolaryngologiae et Pathologiae Respiratoriae. 2019;25(1):102-7 (in Russian)].
- Черногаева Е.А., Тунян Н.Т., Павлов В.В. Особенности холестеатомы среднего уха в детском возрасте. Folia Otorhinolaryngologiae et Pathologiae Respiratoriae. 2019;25(4):29-34 [Chernogaeva EA, Tunyan NT, Pavlov PV. Features of middle ear cholesteatoma in children. Folia Otorhinolaryngologiae et Pathologiae Respiratoriae. 2019;25(4):29-34 (in Russian)]. doi: 10.33848/foliorl23103825-2019-25-4-29-34
- Семенов Ф.В., Ридненко В.А., Немцева С.В. Анализ некоторых причин рецидива хронического гнойного среднего отита в послеоперационном периоде. Вестник оториноларингологии. 2005;3:48-9 [Semenov FV, Ridnenko VA, Nemtseva SV. Analiz nekotorykh prichin retsidiva khronicheskogo gnoinogo srednego otita v posleoperatsionnom periode. Vestnik otorinolaringologii. 2005;3:48-9 (in Russian)].
- Янов Ю.К., Ситников В.П., Аникин И.А., и др. Болезнь оперированного уха: клиническая характеристика и патоморфологическое обоснование. Российская оториноларингология. 2005;4:149-54 [Ianov IuK, Sitnikov VP, Anikin IA, et al. Bolezn' operirovannogo ukha: klinicheskaia kharakteristika i patomorfologicheskoie obosnovaniie. Rossiiskaia otorinolaringologiia. 2005;4:149-54 (in Russian)].
- Исаченко В.С., Огнетов С.Ю. Влияние эпидермального фактора роста на сроки заживления малой послеоперационной полости после операций на среднем ухе по открытому типу. Естественные и технические науки. 2022;10-2:150-5 [Isachenko VS, Ognetov SYu. The effect of epidermal growth factor on the healing time of the small postoperative cavity after canal wall down mastoidectomy. Estestvennyie i tochnyiie nauki. 2022;10-2:150-5 (in Russian)]. doi: 10.37882/2223-2966.2022.10-2.13
- Alam M, Chandra K. Ears with Cholesteatoma: Outcomes of Canal Wall Up and Down Tympano-Mastoidectomies – A Comparative Prospective Study. Indian J Otolaryngol Head Neck Surg. 2022;74(Suppl. 1):730-6. doi: 10.1007/s12070-021-02549-1
- Abraham L, Philip A, Lepcha A, et al. A Comparative Study of Outcomes and Quality of Life in Canal Wall up Mastoidectomies and Canal Wall down Mastoidectomies. Indian J Otolaryngol Head Neck Surg. 2022;74(Suppl. 1):600-7. doi: 10.1007/s12070-021-02424-z
- Lucidi D, De Corso E, Paludetti G, Sergi B. Quality of life and functional results in canal wall down vs canal wall up mastoidectomy. Acta Otorhinolaryngol Ital. 2019;39(1):53-60. doi: 10.14639/0392-100X-2005
- Аникин И.А., Астащенко С.В., Третьякова А.В. Случай клинического наблюдения отдаленного рецидива холестеатомы у пациентки с хроническим гнойным средним отитом, перенесшей радикальную операцию на среднем ухе 29 лет назад. Российская оториноларингология. 2012;57(2):173-7 [Anikin IA, Astashenko SV, Tretyakova AV. A late follow up clinical observation of cholesteatoma recrudescence in patient with chronic otitis media after radical surgery on middle ear 29 years ago. Rossiiskaia otorinilaringologiia. 2012;57(2):173-7 (in Russian)].
- Борисенко О.Н. Морфологические и функциональные результаты трех вариантов тимпанопластики. Материалы XVI съезда оториноларингологов РФ «Оториноларингология на рубеже тысячелетий». СПб.: РИА–АМИ, 2001; с. 43-5 [Borisenko ON. Morfologicheskiie i funktsional'nyie rezul'taty trekh variantov timpanoplastiki. Materialy XVI s"iezda otorinolaringologov RF «Otorinolaringologiia na rubezhe tysyacheletii». Saint Petersburg: RIA–AMI, 2001; p. 43-5 (in Russian)].
- Федорова О.В. Санирующая хирургия при хроническом гнойном среднем отите с холестеатомой. Вестник оториноларингологии. 2011;1:62-5 [Fedorova OV. Saniruiushchaia khirurgiia pri khronicheskom gnoinom srednem otite s kholesteatomoi. Vestnik otorinolaringologii. 2011;1:62-5 (in Russian)].
- Avraham S, Luntz M, Sadé J. The influence of ventilating tubes on the surgical treatment of atelectatic ears. Eur Arch Otorhinolaryngol. 1991;248(5):259-61. doi: 10.1007/BF00176749
- Kerckhoffs KG, Kommer MB, van Strien TH, et al. The disease recurrence rate after the canal wall up or canal wall down technique in adults. Laryngoscope. 2016;126(4):980-7. doi: 10.1002/lary.25591
Supplementary files







