Parathyroid adenoma: multimodal diagnosis capabilities: A retrospective study
- Authors: Ognerubov N.A.1, Antipova T.S.2, Abakumova G.N.3
-
Affiliations:
- Derzhavin Tambov State University
- PET-Technology
- Tambov Regional Oncological Clinical Dispensary
- Issue: Vol 25, No 6 (2023): Personalized oncology in real clinical practice
- Pages: 415-420
- Section: Articles
- Published: 15.06.2023
- URL: https://consilium.orscience.ru/2075-1753/article/view/622996
- DOI: https://doi.org/10.26442/20751753.2023.6.202335
- ID: 622996
Cite item
Full Text
Abstract
Background. Primary hyperparathyroidism is a common endocrinological disease caused mainly by parathyroid adenoma. The main treatment method is surgery (parathyroidectomy). Therefore, the exact determination of adenoma localization is crucial.
Aim. To evaluate the current possibilities of multimodal diagnosis of parathyroid adenomas.
Materials and methods. A retrospective analysis of 49 patients with primary hyperparathyroidism aged 24 to 82 (median 57.9 years) was performed. Modern radionuclide and hybrid technologies were used for topical diagnosis and metabolic assessment of parathyroid adenomas: scanning, single-photon emission computed tomography, single-photon emission computed tomography combined with computed tomography, positron emission tomography combined with computed tomography with 18F-deoxyglucose and 18F-choline. The diagnosis of primary hyperparathyroidism was confirmed by a biochemical blood test: the level of parathyroid hormone and ionized and total calcium.
Results. The study included 43 (87.8%) females and 6 (12.2%) males. The female/male ratio was 7.2:1. Most cases (78.1%) were the hypercalcemic type of primary hyperparathyroidism, and the normocalcemic type was diagnosed in 21.9% of patients. The mean parathyroid hormone level was 145.43 pg/mL, exceeding the reference values by 2.2 times. Parathyroid hormone concentration in patients with primary hyperparathyroidism was 156.38 pg/mL, and mean ionized and total blood calcium levels were 1.43 and 3.04 mmol/L, respectively. The asymptomatic type occurred in 76.7% of patients. The symptomatic type of hyperparathyroidism had 23.3%, manifested with nephrolithiasis, pancreatitis, and bone lesions. Parathyroid adenomas were more often located in the left lobe (42.9%). In 77.6% of patients with primary hyperparathyroidism, solitary adenomas were detected. Ectopia of the parathyroid glands was detected in 16.3% of patients, with intrathyroidal location in the left lobe being the most common. Rare locations include the anterior and posterior mediastinum and the esophageal wall.
Conclusion. Modern diagnostic multimodal options based on radionuclide and hybrid technologies are crucial in the personalized treatment of primary hyperparathyroidism.
Full Text
Введение
Первичный гиперпаратиреоз (ПГПТ) является третьим по распространенности эндокринным заболеванием в западных странах. По данным эпидемиологических исследований, в США он встречается в 233 и 85 случаях на 100 тыс. женщин и мужчин соответственно. Заболеваемость его в общей популяции составляет 0,5–1%, причем с возрастом, у лиц старше 50 лет, она увеличивается до 2% [1]. На сегодняшний день, по данным литературы, заболеваемость выше в странах, где проводится скрининг на кальций, причем за счет бессимптомного варианта [2]. В когорте больных преобладают лица женского пола, при этом соотношение числа женщин к числу мужчин колеблется до 13:1 [3–5].
Среди факторов риска наряду с полом и возрастом необходимо выделить проведение лучевой терапии в области шеи, которая способствует возникновению заболевания в более позднем возрасте, а также продолжительный дефицит кальция, сопровождающийся длительной стимуляцией выделения паратиреоидного гормона (ПТГ) [6].
Основу патофизиологии ПГПТ составляет чрезмерный рост ткани околощитовидных желез с избыточной секрецией ПТГ и одновременным снижением уровня экспрессии рецепторов к кальцию на мембранах клеток [7, 8]. Это приводит к увеличению резорбции костной ткани, особенно с выраженным кортикальным слоем, с потерей костной массы, что сопровождается развитием низкотравматичных патологических переломов [9]. Наряду с этим могут появляться и другие поражения, а именно: почек – в виде нефролитиаза, желудочно-кишечного тракта, нервно- мышечные, сердечно-сосудистой системы [10, 11].
Согласно литературным данным почти все случаи ПГПТ обусловлены доброкачественным заболеванием паращитовидных желез. Среди них аденомы являются наиболее распространенным заболеванием. Чаще всего, в 85% наблюдений, ПГПТ обусловлен одиночной аденомой околощитовидных желез, значительно реже (15%) – множественными аденомами и крайне редко (менее 1%) – карциномой околощитовидных желез [12].
Этиология аденом неизвестна. Около 20–40% спорадических аденом имеет гиперэкспрессию циклина D1 [6].
Случайное выявление гиперкальциемии различного уровня при других соматических заболеваниях является начальным признаком гиперпаратиреоза. С целью уточнения причины этого состояния следует определить уровень ПТГ в крови [13].
Для постановки диагноза ПГПТ необходим мультидисциплинарный подход с включением различных специалистов – эндокринологов, радиологов, хирургов, терапевтов. С этой целью наряду с традиционными ультразвуковым исследованием (УЗИ), рентгеновской компьютерной томографией (РКТ) и магнитно-резонансной томографией (МРТ) применяют высокотехнологичные методы диагностики, включая радионуклидные и гибридные технологии: сцинтиграфию, однофотонную эмиссионную компьютерную томографию (ОФЭКТ), ОФЭКТ, совмещенную с компьютерной томографией (ОФЭКТ/КТ), позитронно- эмиссионную томографию, совмещенную с КТ (ПЭТ/КТ) с 18F-дезоксиглюкозой и 18F-холином [11, 14].
Мультимодальная обработка медицинской информации, полученной с помощью обобщения и анализа данных из различных источников, способствует улучшению диагностики и выбору персонализированной тактики лечения заболеваний околощитовидных желез.
Цель работы – оценить современные возможности мультимодальной диагностики аденом околощитовидных желез.
Материалы и методы
Основу ретроспективного исследования составили 49 пациентов с установленным диагнозом аденомы околощитовидных желез за период с 2019 по апрель 2023 г. в возрасте от 24 до 82 лет. Из них женщин оказалось подавляющее большинство – 43 (87,8%), мужчин – 6 (12,2%). При постановке диагноза и интерпретации клинических проявлений мы придерживались рекомендаций V международного семинара по оценке и лечению ПГПТ 2022 г. [15].
Диагноз аденомы околощитовидных желез ставился путем комплексной оценки информации, полученной с помощью различных методов медицинской визуализации. Такой подход позволил уточнить распространенность заболевания, включая клинические последствия с целью выбора индивидуальной тактики лечения.
Подтверждение диагноза ПГПТ осуществляется с помощью лабораторных методов. Биохимическое исследование крови включало определение уровня ПТГ, ионизированного кальция, а также общего кальция в сыворотке крови у 32 пациентов.
Всем пациентам на I этапе выполняли УЗИ щитовидной железы и лимфатических узлов шеи. Дальнейший диагностический алгоритм направлен на идентификацию, определение анатомической локализации околощитовидных желез, оценку их метаболической активности, а также различных клинических проявлений ПГПТ. С этой целью мы применяли современные методы медицинской визуализации околощитовидных желез при гиперпаратиреозе, а именно радионуклидные методы – сцинтиграфию, ОФЭКТ и гибридные технологии – ОФЭКТ/КТ и ПЭТ/КТ с применением 18F-дезоксиглюкозы и 18F-холина. Двухфазное радионуклидное исследование щитовидной железы и околощитовидных желез с 99mTc-технетрилом проводилось с использованием комбинированной системы ОФЭКТ/КТ Discovery NM/CT 670 у 49 больных.
Для диагностики локализации аденом околощитовидных желез применяли ПЭТ/КТ на томографе Discovery RX 710GEH с радиофармпрепаратом 18F-холином у 10 пациентов.
Визуализация аденом, а также проявлений гиперпаратиреоза и оценка состояния костной системы выполнялись с помощью ПЭТ/КТ-сканирования с 18F-дезоксиглюкозой у 10 больных.
По показаниям производили традиционные методы обследования – КТ и МРТ.
Результаты
Возраст пациентов колебался от 24 до 82 лет, медиана – 57,9 года. Среди больных с аденомами околощитовидных желез подавляющее большинство составили женщины – 43 (87,8%), медиана возраста – 57,4 года, мужчин было 6 (12,2%), медиана возраста – 58,3 года. При этом соотношение числа женщин к числу мужчин равнялось 7,2:1. При распределении по возрасту установлено, что 30,6% приходилось на возрастную группу 40–55 лет, с увеличением возраста отмечается резкое увеличение заболеваемости ПГПТ, составляя 63,3%. У лиц молодого возраста оно отмечено только в 6,1% случаев.
Клинические проявления болезни оценивались по анамнезу и представленной медицинской документации.
Согласно рекомендациям по оценке и лечению ПГПТ различают симптоматический и бессимптомный ПГПТ. ПГПТ расценивался как бессимптомный при отсутствии традиционной клинической картины или признаков болезни. В последнем случае выделяют вариант с поражением и без органов-мишеней, а также нормокальциемический, при этом скелетные или почечные осложнения могут наблюдаться или отсутствовать [15].
Среди обследованных пациентов чаще наблюдался бессимптомный вариант, составляя 76, 7%. На долю симптоматического гиперпаратиреоза приходилось 23,3%. Он представлен нефролитиазом с клиническими проявлениями у 3 больных, выявлен с помощью УЗИ. Поражение желудочно-кишечного тракта в виде хронического панкреатита, подтвержденного биохимическими показателями крови и УЗИ органов брюшной полости, наблюдалось у 6 пациентов. Жалобы на боли в грудном отделе позвоночника предъявляла 1 больная, у которой по данным ПЭТ/КТ с 18F-фтордезоксиглюкозой и РКТ выявлен солитарный очаг литической деструкции в теле ThI, диаметром 7 мм.
Кроме того, мы наблюдали 1 пациентку 48 лет с бессимптомным нормокальциемическим вариантом с поражением костей, осложненным патологическим переломом. При этом уровень ионизированного и общего кальция у нее соответствовал референсным значениям, составляя 1,26 и 2,53 ммоль/л соответственно. По данным ПЭТ/КТ и РКТ обнаружен компрессионный перелом ThIII.
Проведенные биохимические исследования крови у пациентов с ПГПТ показали, что средний уровень ПТГ составил 156,38 пг/мл, а ионизированного и общего кальция – 1,43 и 3,03 ммоль/л соответственно (табл. 1).
Таблица 1. Биохимические показатели крови у больных ПГПТ (n=32)
Показатели | Общая группа | Гиперкальциемический вариант (диапазон значений) | Нормокальциемический вариант |
ПТГ, пг/мл | 156,38 (49,7–484) | 163,3 (77,89–484) | 145,43 (49,7–177) |
Кальций ионизированный, ммоль/л | 1,43 (1,19–1,92) | 2,95 (1,34–3,63) | 1,24 (1,19–1,27) |
Общий кальций в сыворотке, ммоль/л | 3,04 (2,14–8,65) | 3,17 (2,99–3,56) | 2,44 (2,14–2,55) |
Различают гиперкальциемический ПГПТ с повышенным уровнем ионизированного и общего кальция, а также ПТГ или с его нормальным референсным значением. Согласно полученным данным чаще всего встречается гиперкальциемический вариант – 25 (78,1%) случаев. При этом уровень ПТГ колебался от 49,7 до 484 пг/мл, составляя в среднем 163,3 пг/мл. Средние показатели ионизированного и общего кальция составили 2,95 и 3,17 ммоль/л, что превышает аналогичные у пациентов в общей группе в 2,1 и 1,1 раза соответственно.
Нормокальциемический вариант характеризуется нормальными значениями ионизированного и общего кальция при повышенной величине ПТГ. На его долю приходится 7 случаев (21,9%). Средние показатели ПТГ, ионизированного и общего кальция составили 145,43 пг/мл, 1,24 и 2,44 ммоль/л соответственно (см. табл. 1).
В современной хирургии гиперпаратиреоза предоперационной этап топической диагностики аденом околощитовидных желез является решающим, от него зависит эффективность лечения. Причем гибридное исследование ОФЭКТ/КТ является высокоинформативным методом визуализации и метаболической оценки околощитовидных желез при аденомах. Этот метод выполнен у 49 больных.
Согласно полученным данным солитарные аденомы паращитовидных желез наблюдались в подавляющем большинстве случаев, составляя 38/77,6% (табл. 2). При этом чаще всего (42,9%) одиночные аденомы находились в левой доле щитовидной железы. Справа они наблюдались в 1,5 раза реже – 24,5%. Две аденомы в 1 доле щитовидной железы слева у 3 пациентов, а справа – в 2 случаях.
Таблица 2. Вариантная анатомия аденом околощитовидных желез при ПГПТ (n=49)
Локализация | Абс. | % | |
Слева 42,9% | верхний полюс | 4 | 8,2 |
нижний полюс | 14 | 28,6 | |
2 аденомы | 3 | 6,1 | |
Справа 28,6% | верхний полюс | 3 | 6,1 |
нижний полюс | 9 | 18,4 | |
2 аденомы | 2 | 4,1 | |
Сочетание 12,2% | слева, 1 аденома | 4 | 8,2 |
справа, 1 аденома | |||
слева, 2 аденомы | 1 | 2,0 | |
справа, 1 аденома | |||
слева, 3 аденомы | 1 | 2,0 | |
справа, 2 аденомы | |||
Эктопия 16,3% | интратиреоидная, слева | 3 | 6,1 |
переднее средостение | 1 | 2,0 | |
заднее средостение | 1 | 2,0 | |
параэзофагеально | 1 | 2,0 | |
в стенке пищевода | 1 | 2,0 | |
перешеек щитовидной железы | 1 | 2,0 | |
Максимальное количество аденом, согласно полученным данным, составило 5 в 2 долях щитовидной железы.
Неэффективность хирургического лечения гиперпаратиреоза, как правило, обусловлена малыми размерами аденомы, трудностью визуализации или эктопией паращитовидных желез. Мы наблюдали 8 случаев различных эктопических локализаций. Среди них к редким относится интратиреоидное расположение аденом, которое выявлено у 4 больных. Причем в 3 случаях они локализовались в левой доле щитовидной железы, а в 1 – в перешейке. Весьма редкие случаи эктопий аденом паращитовидных желез обнаружены в переднем, заднем средостении и стенке пищевода (табл. 2).
Причина возникновения ПГПТ, по нашим данным, в 77,6% случаев обусловлена наличием одиночной аденомы околощитовидных желез, а у 10,2% пациентов наблюдалось 2 аденомы. И только у 4,1% больных выявлено более 3 аденом.
Определенный клинический интерес представляет сочетание аденом, располагающихся в разных долях щитовидной железы с локализацией в других анатомических областях. Это касается пациента, у которого аденомы околощитовидных желез визуализированы параэзофагеально справа на уровне СVII и в заднем средостении.
Полученные данные по вариантной анатомии аденом околощитовидных желез имеют важное значение в хирургической практике гиперпаратиреоза.
Радионуклидные методы исследования, равно как и другие, используются в основном для топической диагностики аденом околощитовидных желез. Среди них гибридное исследование ОФЭКТ/КТ является высокоинформативным методом топической диагностики и оценки метаболической активности аденом околощитовидных желез. Оно выполнено всем больным (рис. 1).
Рис. 1. Пациент П., 58 лет. а – планарная сцинтиграфия шеи и средостения, b, с – гибридное исследование ОФЭКТ/КТ, совмещенное изображение, аксиальные и корональные срезы. На представленных изображениях очагу гиперфиксации соответствует неоднородное мягкотканное образование в верхнем средостении размерами 27,7×26,0×33,0 мм, расположенное паратрахеально справа, с достаточно четким контуром. Заключение: сцинтиграфические признаки эктопированной в центральное средостение гиперфункционирующей аденомы паращитовидной железы.
ПЭТ/КТ с 18F-дезоксиглюкозой и 18F-холином применялось нами для выявления и уточнения анатомической локализации околощитовидных желез, когда результаты других методов обследования вызывают сомнения.
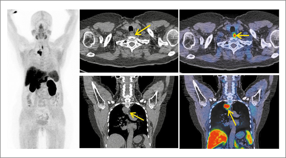
ПЭТ/КТ с 18F-холином проведена 10 пациентам в возрасте от 53 до 69 лет, медиана – 60,5 года. На I этапе выполнены УЗИ и ОФЭКТ/КТ с целью определения локализации аденом околощитовидных желез. При этом у 2 больных после сцинтиграфии получен сомнительный, а в 2 случаях – отрицательный результат. После ПЭТ/КТ с 18F-холином во всех случаях выявлены аденомы околощитовидных желез различной локализации, включая эктопические варианты – в стенке шейного отдела пищевода и в заднем средостении (рис. 2).
Рис. 2. Пациентка А., 59 лет. На MIP ПЭТ/КТ, аксиальных и корональных КТ- и ПЭТ/КТ-срезах с 18F-холином кзади от левой доли щитовидной железы, у стенки шейного отдела пищевода (уровень СVII) визуализируется метаболически активный очаг размерами 8×8×16 мм, SUVmax 6,0. Аналогичное образование на уровне ТhI–ТhIII справа, распространяется пара/ретротрахеально в заднее средостение размерами до 29×15×47 мм, SUVmax 10,6. Заключение: аденомы эктопированных паращитовидных желез в стенке шейного отдела пищевода слева и в заднем средостении справа.
Для разграничения аденом околощитовидных желез от ткани щитовидной железы F. Dekorsy и соавт. (2022 г.) определили уровень стандартизированного коэффициента максимального накопления (SUVmax), который, по их данным, составил 4,36 [16].
По нашим данным, в холинозависимых поражениях средняя величина SUVmax составила 5,43 (диапазон 3,2–10,6), а средний размер образований – 9,8×18,9 мм (диапазон 8×11 – 15×47 мм).
В нашем исследовании с помощью гибридной технологии ПЭТ/КТ с 18F-холином во всех случаях получен положительный результат по идентификации аденом околощитовидных желез.
Данный факт свидетельствует о том, что этот метод позволяет определить их локализацию и метаболическую активность при отрицательных и сомнительных случаях, полученных при различных методах визуализации.
Обсуждение
ПГПТ встречается в 3 случаях на 1 тыс. человек в общей популяции, с последующей более высокой распространенностью у женщин в постменопаузе, достигающей 21 на 1 тыс. [17].
Паращитовидные железы впервые обнаружены в 1880 г. у животных. Первую паратиреоидэктомию выполнил Felix Mandl в 1925 г. в Вене [18].
Аденома паращитовидной железы является основным заболеванием наряду с гиперплазией и карциномой, способствующими возникновению ПГПТ [5, 11].
Солитарная аденома как причина развития ПГПТ наблюдается в 85–90% случаев, и лишь в 10% случаев встречаются 2 и более аденомы или сочетание аденом с гиперплазией [19]. Аналогичной точки зрения придерживаются и другие авторы. Так, по данным Z. Peng и соавт. (2022 г.), при ПГПТ в 85% случаев наблюдается наличие 1 аденомы [20].
Согласно результатам нашего исследования в 77,6% случаев причиной ПГПТ оказалась одиночная аденома околощитовидных желез, 2 аденомы наблюдались у 10,2% пациентов. И только у 4,1% больных выявлено более 3 аденом.
Аденома паращитовидных желез чаще встречается в возрасте 50–70 лет, тем не менее они могут наблюдаться в любом периоде жизни. Согласно полученным данным практически 1/3 (35%) пациентов находились в возрастном интервале 56–65 лет, причем женщины в 13 раз чаще, чем мужчины, страдают этой патологией [21].
По нашим данным, выявлено преобладание лиц женского пола, на долю которых приходится 87,8% при медиане возраста 57,4 года. При этом максимальное число (63,3%) приходилось на возрастную группу старше 55 лет. Соотношение числа женщин к числу мужчин составило 7,2:1.
ПТГ играет важную роль в обеспечении метаболизма кальция и фосфора на уровне почек, кишечника и костях. Низкий уровень кальция способствует увеличению секреции ПТГ, который увеличивает абсорбцию кальция в дистальных канальцах почек и ингибирует реабсорбцию фосфора. Кроме того, он активирует функцию остеокластов, что сопровождается резорбцией костей [4].
Болезнь развивается в результате автономной продукции ПТГ.
Большинство пациентов с аденомой околощитовидных желез имеют гиперкальциемию, жалобы на боли в костях скелета и животе, повышенную утомляемость, потерю массы тела и депрессию. Впоследствии появляются нефролитиаз, снижение минеральной плотности костей с последующими патологическими переломами [11]. В связи с этим различают следующие клинические фенотипы ПГПТ:
- симптоматический;
- бессимптомный [15].
Y. Chen и соавт. (2023 г.) представили результаты ретроспективного исследования 162 пациентов с аденомой. По их данным, бессимптомный ПГПТ наблюдался у 32,7% пациентов. Соотношение числа женщин к числу мужчин равнялось 2,4:1. Типичная рентгенологическая картина поражения костей обнаружена у 29% больных, равно как и проявление нефролитиаза – 29,6%. Гастроинтестинальные заболевания констатированы только в 16% случаев [5].
Средний уровень ПТГ составил 233,6 пг/мл (колебания 133,8–605,2), общего кальция в сыворотке крови – 2,83 ммоль/л, ионизированного кальция – 1,42 ммоль/л [5].
В представленной нами когорте больных бессимптомный вариант ПГПТ наблюдался у большинства больных – 76,7%. Симптоматический вариант (23,3%) представлен 3 случаями нефролитиаза, панкреатитом – у 6 больных и поражением скелета – у 1 пациентки. Также мы наблюдали больную с бессимптомным нормокальциемическим вариантом с поражением костей, осложненным патологическим переломом тела позвонка ThIII.
Согласно полученным нами данным средние уровни ПТГ, общего и ионизированного кальция у больных ПГПТ равны 156,38 пг/мл, 3,04 и 1,43 ммоль/л соответственно.
В соответствии с рекомендациями V международного семинара по оценке и лечению ПГПТ (2022 г.) различают гиперкальциемический и нормокальциемический ПГПТ [15].
Мы наблюдали чаще всего гиперкальциемический вариант ПГПТ. На его долю приходилось 78,1% случаев. При этом в 1 случае отмечен нормальный уровень ПТГ – 49,7 пг/мл. В то же время частота нормокальциемического ПГПТ составила 21,9%.
Для выявления топической диагностики и метаболической оценки аденом околощитовидных желез используют различные методы медицинской визуализации: анатомические – УЗИ, КТ и МРТ; функциональные – сцинтиграфия, ОФЭКТ и метаболические – гибридные технологии – ОФЭКТ/КТ, ПЭТ/КТ [16, 22].
Ультразвуковой метод исследования обладает низкой чувствительностью и специфичностью – 42–91 и 50–96% соответственно, что значительно ограничивает его диагностические возможности [16].
Обычные МРТ и РКТ имеют низкую частоту обнаружения, в связи с чем не рекомендуются для выявления аденомы околощитовидных желез [23].
Современные радионуклидные методы диагностики позволяют получить точную информацию о локализации и метаболической активности нормальных и измененных околощитовидных желез.
Y. Raruenrom и соавт. (2018 г.) провели сравнительный анализ диагностической точности 5 протоколов сцинтиграфии паращитовидных желез для их предоперационной локализации, включая планарные двухфазные протоколы с 99mTc-пертехнетатом, ОФЭКТ и гибридную технологию ОФЭКТ/КТ. При этом оказалось, что чувствительность и специфичность ОФЭКТ составили 92 и 75%, а ОФЭКТ/КТ – 80 и 75% соответственно, т.е. эти методы визуализации являлись более точными, чем планарные [24].
M. Prabhu и соавт. (2018 г.) в обзоре по клиническому применению ПЭТ/КТ с 18F-холином показали, что этот метод является перспективным при определении аденом околощитовидных желез, особенно при множественном их характере и небольших размерах [25].
Среди различных методов визуализации по локализации аденом околощитовидных желез ПЭТ/КТ с 18F-дезоксиглюкозой и особенно с 18F-холином показали превосходство над ультразвуковым методом и сцинтиграфией, поскольку последние не позволяют обнаружить гиперфункционирующие аденомы у каждого 5-го пациента [16, 26].
Так, по ретроспективным данным F. Dekorsy и соавт. (2022 г.), из 33 пациентов с ПГПТ при сомнительных и отрицательных результатах ПЭТ/КТ с 18F-холином показала наличие аденом околощитовидных желез в 72,7% случаев, у 12,1% пациентов результаты оказались сомнительными, отрицательными – у 15,2% пациентов. Авторы считают, что этот метод является альтернативным, особенно у пациентов с отрицательными и сомнительными результатами стандартных методов визуализации [16].
Нами с целью визуализации анатомической локализации и оценки функционального состояния аденом околощитовидных желез применялся мультимодальный диагностический подход, включающий радионуклидные и гибридные технологии.
Чаще всего, у 42,9% больных, аденомы находились в левой доле щитовидной железы, справа реже – в 28,6% случаев.
При отсутствии паращитовидных желез в типичном месте они могут обнаруживаться как очаги эктопии в различных анатомических областях, что встречается приблизительно в 15% наблюдений. К этим областям относятся переднее и заднее средостение, тимус, пищевод, восходящий отдел аорты, фасциальный футляр сонной артерии и внутри щитовидной железы – 2–3% [27, 28].
Мы обнаружили эктопию паращитовидных желез у 8 (16,3%) пациентов, что практически совпадает с литературными данными. Среди них в 1/2 случаев отмечено интратиреоидальное расположение, в основном в левой доле.
В связи с этим на сегодняшний день разработка и внедрение новых методов диагностики, включая применение радиофармпрепаратов, повышающих точность визуализации аденом околощитовидных желез, являются решающими в лечении ПГПТ.
Заключение
Диагностика аденом околощитовидных желез должна предусматривать мультимодальное применение современных радионуклидных и гибридных технологий, что позволяет более точно установить их локализацию и проявления заболевания. Это имеет решающее значение при выборе рациональной тактики лечения, особенно при планировании хирургического вмешательства.
Среди пациентов с ПГПТ преобладают женщины, составляя 87,8%. Соотношение числа женщин к числу мужчин равно 7,2:1. Это заболевание наблюдается чаще всего (63,3%) в возрастной когорте старше 55 лет.
Гибридная технология ОФЭКТ/КТ является предпочтительной на всех этапах диагностики для точной топической визуализации и оценки метаболической активности, особенно при низкой, околощитовидных желез.
Применение ПЭТ/КТ с 18F-холином позволяет определить локализацию и функциональную активность околощитовидных желез при сомнительных и отрицательных результатах, полученных с помощью других методов визуализации.
ПЭТ/КТ с 18F-дезоксиглюкозой способствует визуализации, топической диагностике и определению функциональной активности при аденомах околощитовидных желез, особенно в спорных клинических случаях.
Согласно полученным данным чаще всего, в 78,1% случаев, встречается гиперкальциемический вариант ПГПТ, а на долю нормокальциемического варианта приходится 21,9%.
Причиной ПГПТ в 77,6% случаев явилась солитарная аденома, 2 аденомы наблюдались у 10,2% пациентов, а более 3 – в 4,1% случаев.
Одиночные аденомы околощитовидных желез большей частью локализовались в левой щитовидной железе (42,9%). Эктопия паращитовидных желез наблюдалась у 16,3% больных ПГПТ с локализацией в толще ткани щитовидной железы, переднем и заднем средостении, стенке пищевода.
Чаще наблюдался бессимптомный вариант ПГПТ – 76,7%, а симптоматический вариант, с поражением органов-мишеней, – у 23,3% больных.
Раскрытие интересов. Авторы декларируют отсутствие явных и потенциальных конфликтов интересов, связанных с публикацией настоящей статьи.
Disclosure of interest. The authors declare that they have no competing interests.
Вклад авторов. Авторы декларируют соответствие своего авторства международным критериям ICMJE. Все авторы в равной степени участвовали в подготовке публикации: разработка концепции статьи, получение и анализ фактических данных, написание и редактирование текста статьи, проверка и утверждение текста статьи.
Authors’ contribution. The authors declare the compliance of their authorship according to the international ICMJE criteria. All authors made a substantial contribution to the conception of the work, acquisition, analysis, interpretation of data for the work, drafting and revising the work, final approval of the version to be published and agree to be accountable for all aspects of the work.
Источник финансирования. Авторы декларируют отсутствие внешнего финансирования для проведения исследования и публикации статьи.
Funding source. The authors declare that there is no external funding for the exploration and analysis work.
Информированное согласие на публикацию. Пациенты подписали форму добровольного информированного согласия на публикацию медицинской информации.
Consent for publication. Written consent was obtained from the patients for publication of relevant medical information and all of accompanying images within the manuscript.
About the authors
Nikolai A. Ognerubov
Derzhavin Tambov State University
Author for correspondence.
Email: ognerubov_n.a@mail.ru
ORCID iD: 0000-0003-4045-1247
D. Sci. (Med.), Cand. Sci. (Law), Prof.
Russian Federation, TambovTatiana S. Antipova
PET-Technology
Email: antipovats@gmail.com
ORCID iD: 0000-0003-4165-8397
Doctor
Russian Federation, TambovGalina N. Abakumova
Tambov Regional Oncological Clinical Dispensary
Email: ognerubov_n.a@mail.ru
Radiologist
Russian Federation, TambovReferences
- Yeh MW, Ituarte PH, Zhou HC, et al. Incidence and prevalence of primary hyperparathyroidism in a racially mixed population. J Clin Endocrin Metab. 2013;98(3):1122-9. doi: 10.1210/jc.2012-4022
- Yao XA, Wei BJ, Jiang T, Chang H. The characteristics of clinical changes in primary hyperparathyroidism in Chinese patients. J Bone Miner Metab. 2019;37(2):336-41.
- Rao SD. Epidemiology of parathyroid disorders. Best Pract Res Clin Endocrinol Metab. 2018;32(6):773-80. doi: 10.1016/j.beem.2018.12.003
- Mizamtsidi M, Nastos C, Mastorakos G, et al. Diagnosis, management, histology and genetics of sporadic primary hyperparathyroidism: old knowledge with new tricks. Endocr Connect. 2018;7(2):R56-68.
- Chen Y, Song A, Nie M, et al. Clinical and genetic analysis of atypical parathyroid adenoma compared with parathyroid carcinoma and benign lesions in a Chinese cohort. Front Endocrinol (Lausanne). 2023;14:1027598. doi: 10.3389/fendo.2023.1027598
- Sahli ZT, Karipineni F, Zeiger MA. A garden of parathyroid adenomas. BMJ Case Rep. 2017;2017.
- Singh P, Bhadada SK, Dahiya D, et al. Reduced calcium sensing receptor (CaSR) expression is epigenetically deregulated in parathyroid adenomas. J Clin Endocrinol Metab. 2020;105(9):3015-24.
- Corbetta S, Mantovani G, Lania A, et al. Calcium-sensing receptor expression and signalling in human parathyroid adenomas and primary hyperplasia. Clin Endocrinol (Oxf). 2000;52(3):339-48.
- Silverberg SJ, Shane E, de la Cruz L, et al. Skeletal disease in primary hyperparathyroidism. J Bone Miner Res. 1989;4(3):283-91.
- Albright F, Aub JC, Bauer W. Hyperparathyroidism: a common and polymorphic condition as illustrated by seventeen proved cases from one clinic. JAMA. 1934;102:1276-87.
- Wolfe SA, Sharma S. Parathyroid Adenoma. In: StatPearls. Treasure Island (FL): StatPearls Publishing; 2023 Jan-. Available at: https://www.ncbi.nlm.nih.gov/books/NBK507870/. Accessed: 15.04.2023
- Cetani F, Pardi E, Marcocci C. Parathyroid carcinoma. Front Horm Res. 2019;51:63-76.
- Prabhu M, Damle NA. Fluorocholine PET Imaging of Parathyroid Disease. Indian J Endocrinol Metab. 2018;22(4):535-41. doi: 10.4103/ijem.IJEM_707_17
- Slashchuk KY, Degtyarev MV, Rumyantsev PO, et al. Imaging methods of the parathyroid glands in primary hyperparathyroidism. Literature review. Endocrine Surgery. 2019;13(4):153-74 (in Russian). doi: 10.14341/serg12241
- Bilezikian JP, Khan AA, Silverberg SJ, et al. Evaluation and Management of Primary Hyperparathyroidism: Summary Statement and Guidelines from the Fifth International Workshop. J Bone Miner Res. 2022;37(11):2293-314. doi: 10.1002/jbmr.4677
- Dekorsy FJ, Beyer L, Spitzweg C, et al. Preoperative Imaging with [18F]-Fluorocholine PET/CT in Primary Hyperparathyroidism. J Clin Med. 2022;11(10):2944. doi: 10.3390/jcm11102944
- Adami S, Marcocci C, Gatti D. Epidemiology of primary hyperparathyroidism in Europe. J Bone Miner Res. 2002;17((Suppl. S2)):N18-23.
- Wolfe SA, Fingeret A. Parathyroid Minimally Invasive Surgery. In: StatPearls. Treasure Island (FL): StatPearls Publishing; 2023 Jan-. Available at: https://www.ncbi.nlm.nih.gov/books/NBK507834/ Accessed: 15.04.2023
- Ruda JM, Hollenbeak CS, Stack BC, Jr. A systematic review of the diagnosis and treatment of primary hyperparathyroidism from 1995 to 2003. Otolaryngol Neck Surg. 2005;132:359-72. doi: 10.1016/j.otohns.2004.10.005.
- Peng ZX, Qin Y, Bai J, et al. Analysis of the successful clinical treatment of 140 patients with parathyroid adenoma: A retrospective study. World J Clin Cases. 2022 Oct 6;10(28):10031-10041. doi: 10.12998/wjcc.v10.i28.10031
- Edafe O, Collins EE, Ubhi CS, Balasubramanian SP. Current predictive models do not accurately differentiate between single and multi gland disease in primary hyperparathyroidism: a retrospective cohort study of two endocrine surgery units. Ann R Coll Surg Engl. 2018;100(2):140-5.
- Minisola S, Cipriani C, Diacinti D, et al. Imaging of the parathyroid glands in primary hyperparathyroidism. Eur J Endocrinol. 2016;174:D1-8. doi: 10.1530/EJE-15-0565
- Mihai R, Simon D, Hellman P. Imaging for primary hyperparathyroidism–An evidence-based analysis. Langenbeck’s Arch. Surg. 2009;394:765-84. doi: 10.1007/s00423-009-0534-4
- Raruenrom Y, Theerakulpisut D, Wongsurawat N, Somboonporn C. Diagnostic accuracy of planar, SPECT, and SPECT/CT parathyroid scintigraphy protocols in patients with hyperparathyroidism. Nucl Med Rev Cent East Eur. 2018;21(1):20-5. doi: 10.5603/NMR.a2018.0003
- Prabhu M, Kumari G, Damle NA, et al. Assessment of the role of early dynamic PET/CT with 18F-fluorocholine in detection of parathyroid lesions in patients with primary hyperparathyroidism. Nucl Med Commun. 2018;39:1190-6. doi: 10.1097/MNM.0000000000000924
- Sommerauer M, Graf C, Schäfer N, et al. Sensitivity and Specificity of Dual-Isotope 99mTc-Tetrofosmin and 123I Sodium Iodide Single Photon Emission Computed Tomography (SPECT) in Hyperparathyroidism. PLoS ONE. 2015;10:e0129194. doi: 10.1371/journal.pone.0129194
- Mourad M, Buemi A, Darius T, Maiter D. Surgical options for primary hyperparathyroidism. Ann Endocrinol (Paris). 2015;76(5):638-42. doi: 10.1016/j.ando.2015.08.001
- Karalkin AV, Ippolitov LI, Pasha SP. SPECT/CT in the diagnosis of ectopic parathyroid adenoma (case report). Medical Visualization. 2021;25(2):133-7 (in Russian). doi: 10.24835/1607-0763-871
Supplementary files





