Особенности постковидного синдрома у детей с хроническими неспецифическими заболеваниями легких
- Авторы: Чернявская А.С.1,2, Симонова О.И.1,2
-
Учреждения:
- ФГАОУ ВО «Первый Московский государственный медицинский университет им. И.М. Сеченова» Минздрава России (Сеченовский Университет)
- ФГАУ «Национальный медицинский исследовательский центр здоровья детей» Минздрава России
- Выпуск: Том 25, № 8 (2023): Детские болезни
- Страницы: 512-517
- Раздел: Статьи
- Статья опубликована: 15.08.2023
- URL: https://consilium.orscience.ru/2075-1753/article/view/624257
- DOI: https://doi.org/10.26442/20751753.2023.8.202337
- ID: 624257
Цитировать
Полный текст
Аннотация
Цель. Определить особенности течения постковидного синдрома у детей с хроническими неспецифическими заболеваниями легких (муковисцидоз, врожденные пороки развития бронхов и легких, бронхиальная астма).
Материалы и методы. Исследование проводилось на клинической базе кафедры педиатрии и детской ревматологии клинического института детского здоровья им. Н.Ф. Филатова ФГАОУ ВО «Первый МГМУ им. И.М. Сеченова» (Сеченовский Университет) – ФГАУ «НМИЦ здоровья детей» в период с ноября 2020 по апрель 2023 г. В двунаправленное одноцентровое исследование включены пациенты в возрасте от 1 мес до 17 лет 11 мес, перенесшие новую коронавирусную инфекцию. В анализ включены 69 пациентов, имеющих сопутствующее хроническое неспецифическое заболевание легких – муковисцидоз, врожденные пороки развития бронхов и легких, бронхиальную астму. Все пациенты оценены в среднем через 1 год (±2 мес) после перенесенной новой коронавирусной инфекции с помощью стандартизированного опросника ISARIC COVID-19 для детей. Рассмотрены распространенность постковидного синдрома среди включенных в исследование пациентов, а также частота встречаемости персистирующих симптомов и особенности последствий новой коронавирусной инфекции в группе детей с сопутствующими хроническими неспецифическими заболеваниями легких. Также ретроспективно оценена частота обострений основного заболевания до и через 1 год после COVID-19.
Результаты. Спустя 1 год после перенесенной инфекции COVID-19 пациенты с хроническими неспецифическими заболеваниями легких не считают себя полностью оправившимися от болезни и испытывают ряд персистирующих симптомов, затрагивающих различные сферы жизнедеятельности, – утомляемость, физическая активность, аппетит, нарушения когнитивной сферы: трудности с концентрацией, ухудшение памяти, оговорки при разговоре, нарушающие повседневную жизнь ребенка и членов его семьи, а также создающие трудности в обучении. Для улучшения качества оказания помощи детям с хроническими неспецифическими заболеваниями легких, перенесшим COVID-19, требуется разработка программ реабилитации и лечения постковидного синдрома с учетом возможности развития у них как физических, так и нейрокогнитивных нарушений.
Полный текст
Введение
Конец 2019 г. ознаменовался первым взаимодействием человека и новой коронавирусной инфекции (НКИ), масштабы которой в дальнейшем приобрели характер пандемии. По данным Всемирной организации здравоохранения на апрель 2023 г., в мире диагностировано более 762 млн случаев инфицирования, а число смертельных исходов приближается к 6,9 млн, в Российской Федерации соответствующие цифры составляют 22,7 млн заболевших и 398 тыс. летальных случаев [1].
Согласно первичным данным на начало пандемии в РФ число педиатрических пациентов составляло до 11% общего числа официально зарегистрированных заболевших, из них в тяжелой форме болезнь протекала лишь у 0,4% детей. Госпитализация понадобилась 6,6% детей с подтвержденным диагнозом COVID-19, остальные дети получали лечение амбулаторно [2]. Течение пандемии COVID-19 в России, как и во всем мире, имело волнообразный характер. В РФ отмечено 5 периодов (волн) эпидемиологических подъемов заболеваемости НКИ, при этом наибольшая заболеваемость зафиксирована в 5-ю волну подъема (10.01.2022–27.02.2022) и составила 905,37 на 100 тыс. населения. Доля детей в общей структуре пациентов, перенесших COVID-19, увеличилась с 10% в 2020 г. до 18% в 2022 г. [3].
Клинически проявления COVID-19 варьируют от бессимптомных форм до тяжелых дыхательных нарушений и внелегочных проявлений, а в ряде случаев – смертельных исходов. Считается, что у детей течение болезни легче, чем у взрослых, однако, согласно имеющимся данным, часть из них могут развить тяжелые мультисистемные воспалительные реакции в ответ на НКИ [4–6].
В настоящее время внимание клиницистов и ученых во всем мире приковано к долгосрочным последствиям COVID-19, которые в русскоязычном медицинском сообществе принято называть постковидным синдромом (ПКС). В октябре 2021 г. Всемирная организация здравоохранения впервые опубликовала определение ПКС: «Постковидное состояние возникает у лиц с подозрением на новую коронавирусную инфекцию или подтвержденным заражением в анамнезе, обычно через 3 месяца после первых симптомов COVID-19, длится не менее 2 месяцев и не может быть объяснено альтернативным диагнозом. Постковидное состояние обычно проявляется усталостью, одышкой, когнитивной дисфункцией, а также другими симптомами, которые влияют на повседневное функционирование человека. Симптомы могут впервые возникать через некоторое время после выздоровления или сохраняться после первоначального заболевания новой коронавирусной инфекцией. Симптомы также могут меняться или рецидивировать с течением времени» [7].
В исследованиях отдаленных последствий коронавирусной инфекции фигурируют такие проявления, как быстрая утомляемость, снижение когнитивных функций, боль в мышцах и суставах, бессонница, одышка и кашель, «чувство сердцебиения» [8].
Симптомы, предрасполагающие факторы, длительность, возможные способы лечения и исходы ПКС у детей недостаточно изучены и требуют обширных междисциплинарных исследований, а также систематизации уже имеющихся данных для формирования национальных и мировых стратегий по снижению влияния COVID-19 на здоровье детского населения [9]. Актуальной и все еще недостаточно изученной темой является ПКС у детей с отягощенным преморбидным фоном. Современные исследования показывают, что одним из предрасполагающих факторов к развитию постковидного состояния у детей, возможно, являются аллергические заболевания, а также хронические заболевания легких, в частности бронхиальная астма (БА), муковисцидоз (МВ) и бронхолегочная дисплазия [10, 11].
Исследования особенностей COVID-19 и его последствий у детей с хроническими неспецифическими заболеваниями легких (ХНЗЛ) немногочисленны. Мало информации о течении ПКС у детей с хроническим бронхитом на фоне различных врожденных пороков развития бронхов и легких (ВПРБиЛ). В настоящее время коллегами из Швейцарии проводится проспективное лонгитудинальное исследование особенностей НКИ у пациентов с первичной цилиарной дискинезией, в том числе детского возраста, однако определение отдаленных последствий требует дальнейшего наблюдения [12].
Отраженное в немногочисленных зарубежных и отечественных исследованиях нетяжелое течение острого периода COVID-19 у детей с МВ может быть связано с длительной непрерывной базисной терапией, направленной на профилактику воспаления и деструкции в легочной ткани [13].
Однако у пациентов с тяжелым течением МВ и выраженным нарушением легочной функции могут отмечаться долгосрочные неблагоприятные последствия НКИ в виде ухудшения показателей функции внешнего дыхания (ФВД), отрицательной динамики компьютерной томографии органов грудной клетки (КТ ОГК) [14].
Цель исследования – определить особенности течения ПКС у детей с ХНЗЛ (МВ, ВПРБиЛ, БА).
Материалы и методы
Исследование проводилось на клинической базе кафедры педиатрии и детской ревматологии клинического института детского здоровья им. Н.Ф. Филатова ФГАОУ ВО «Первый МГМУ им. И.М. Сеченова» (Сеченовский Университет) – ФГАУ «НМИЦ здоровья детей» в период с ноября 2020 по апрель 2023 г. и одобрено локальным этическим комитетом университета (протокол №01-22 от 20.01.2022).
В двунаправленное одноцентровое исследование включены пациенты, соответствующие следующим критериям:
- детский возраст от 1 мес до 17 лет 11 мес;
- перенесенная НКИ, подтвержденная результатами полимеразной цепной реакции на SARS-CoV-2;
- острый период заболевания COVID-19, который не потребовал госпитализации пациента в круглосуточный стационар.
Ретроспективный анализ медицинской документации выявил 69 пациентов, имеющих сопутствующее ХНЗЛ (МВ, ВПРБиЛ, БА) и соответствующих указанным критериям, наблюдавшихся с ноября 2020 по ноябрь 2021 г.
Все пациенты оценены в среднем через 1 год (±2 мес) после перенесенной НКИ с помощью стандартизированного опросника ISARIC COVID-19 для детей. Международный консорциум по тяжелым острым респираторным и новым инфекционным заболеваниям (International Severe Acute Respiratory and emerging Infection Consortium – ISARIC), ставящий своей целью гармонизацию сбора данных и анализ эпидемиологических данных во время эпидемий, в 2020 г. основал проект по изучению распространения, течения и последствий COVID-19 [15]. Консорциумом разработаны протокол и опросник для наблюдения последствий НКИ у детей, которые в настоящее время используются в клинических исследованиях по всему миру [16]. Анкета ISARIC охватывает ряд вопросов: анамнез жизни, статус вакцинации, преморбидный фон, особенности диагностики и течения острой фазы COVID-19, широкий спектр персистирующих симптомов (длительная лихорадка, нарушения со стороны дыхательной, сердечно-сосудистой, нервной, пищеварительной систем, усталость, изменения психоэмоциональной и когнитивной сфер и др.), а также качество жизни и самооценку состояния здоровья после COVID-19. Данный опросник заполнен законными представителями от имени своих детей и детьми самостоятельно при условии достижения ими 14 лет. Заполнение анкеты проводилось очно в присутствии врача-педиатра или в ходе телефонного интервью.
Рассмотрены распространенность ПКС среди включенных в исследование пациентов, а также частота встречаемости персистирующих симптомов и особенности последствий НКИ в группе детей с сопутствующими ХНЗЛ. Также ретроспективно оценена частота обострений основного заболевания до и через 1 год после COVID-19.
Для пациентов из групп с МВ и ВПРБиЛ, проходящих регулярное плановое комплексное обследование на базе пульмонологического отделения ФГАУ «НМИЦ здоровья детей», дополнительно оценена динамика данных КТ ОГК и показателей ФВД – объема форсированного выдоха за первую секунду (ОФВ1) при условии достижения ребенком достаточного возраста для адекватного выполнения дыхательного маневра (5 лет) до и через 1 год после перенесенной инфекции COVID-19.
Результаты
Проанализированы данные 69 пациентов в возрасте от 2 лет до 17 лет 11 мес, из которых 33 (47,8%) мальчика и 36 (52,2%) девочек.
Все пациенты перенесли НКИ в легкой форме, не потребовавшей госпитализации в круглосуточный стационар, получали амбулаторно симптоматическую терапию в острую фазу COVID-19 в период с ноября 2020 по ноябрь 2021 г. Диагноз подтвержден методом полимеразной цепной реакции отделяемого из носоглотки на SARS-CoV-2.
Дети с сопутствующими ХНЗЛ в зависимости от вида патологии составили 3 клинические группы: 1-я группа – 28 детей с МВ, 2-я группа – 16 больных с ВПРБиЛ, 3-я группа – 25 пациентов с БА.
Группу больных МВ составили 18 детей с тяжелым и 10 со среднетяжелым течением МВ в возрасте от 2 до 17 лет (медиана 10 лет). Все дети на постоянной основе получали базисную терапию МВ (муколитик дорназа альфа, кинезитерапия, панкреатические ферменты, курсы антибактериальной терапии согласно результатам микробиологических посевов мокроты), ни один из включенных пациентов с МВ на момент острого периода COVID-19 не получал таргетную терапию модуляторами CTFR (табл. 1).
Таблица 1. Характеристика пациентов с МВ до и через 1 год после COVID-19
№ | Пол | Возраст, лет | Тяжесть течения МВ | Генотип МВ | Число обострений в год до/после COVID-19 | ОФВ1 до/после COVID-19, %Д |
1 | Мальчик | 14 | Среднетяжелая | W1282Х/G85Е | 2/2 | 87/89 |
2 | Девочка | 10 | Тяжелая | delF508\CFTR dele2.3(21kb) | 4/4 | 75/90 |
3 | Девочка | 7,5 | Тяжелая | 1677delTA/W1282Х | 5/5 | 80/80 |
4 | Девочка | 13 | Тяжелая | F508del/F508del | 7/7 | 36/39 |
5 | Мальчик | 7,5 | Тяжелая | c.54-5940_273+10250del /c.2052dup | 6/6 | 52/57 |
6 | Девочка | 16,5 | Среднетяжелая | W1282X/W1282X | 1/2 | 103/105 |
7 | Мальчик | 7 | Тяжелая | delF508/ 21 kb | 8/8 | 68/90 |
8 | Девочка | 8 | Тяжелая | p.E92K/p.E217G | 7/7 | 73/79 |
9 | Девочка | 12,5 | Тяжелая | 1677delТА/Е92К | 6/9 | 28/22 |
10 | Мальчик | 9 | Среднетяжелая | S 466X/R1070Q | 1/3 | 100/105 |
11 | Девочка | 11,5 | Среднетяжелая | 1677 delTA/3272-11А->G | 1/2 | 111/114 |
12 | Девочка | 15 | Тяжелая | F508del/F508del | 8/12 | 24/22 |
13 | Девочка | 5 | Тяжелая | delF508/Q378Afs*4 | 4/5 | – |
14 | Мальчик | 3,5 | Тяжелая | 1677delTA/1677delTA | 6/6 | – |
15 | Мальчик | 4 | Тяжелая | F508del/F508del | 4/4 | – |
16 | Девочка | 2,5 | Тяжелая | F508del/E92K | 4/6 | – |
17 | Мальчик | 4 | Тяжелая | dele2,3/R334W | 6/7 | – |
18 | Девочка | 10 | Тяжелая | F508del/F508del | 4/4 | 55/50 |
19 | Мальчик | 9,5 | Среднетяжелая | c.1521_1523del/c.3909C>G | 2/6 | 68/69 |
20 | Мальчик | 11 | Тяжелая | F508del/F508del | 5/7 | 37/34 |
21 | Мальчик | 17 | Среднетяжелая | delF508/Е92К | 2/4 | 58/50 |
22 | Девочка | 10 | Среднетяжелая | F508 del/L1335P | 4/5 | 70/56 |
23 | Девочка | 6,5 | Среднетяжелая | c.1114C>T/c.2052dup | 4/4 | 74/90 |
24 | Мальчик | 14 | Тяжелая | delF508\CFTR dele2.3(21kb) | 6/8 | 26/24 |
25 | Мальчик | 7 | Тяжелая | c.3815_3816insTTG/c.3815_3816insTTG | 4/5 | 38/35 |
26 | Девочка | 10 | Среднетяжелая | delF508/delF508 | 4/4 | 90/92 |
27 | Девочка | 11,5 | Тяжелая | 2143delT/с.2290С>Т | 6/8 | 46/50 |
28 | Мальчик | 15,5 | Среднетяжелая | F508del/2143delT | 2/4 | 84/86 |
Примечание. %Д – процент к должному значению. | ||||||
У 15 (53,5%) пациентов в группе МВ отмечалось увеличение частоты обострений основного заболевания в год после перенесенной инфекции COVID-19 (в среднем с 4,3 до 5,5 раза в год). По результатам анкетирования пациентов c МВ как минимум 1 персистирующий симптом COVID-19 отмечался у 13 (46,4%) детей через 1 год после заболевания. Наиболее частыми длительно сохраняющимися симптомами через 1 год после COVID-19 у детей в группе МВ являлись усталость (53,5%), трудности с концентрацией (35,7%), снижение физической активности (35,7%), ухудшение памяти (28,5%). По данным КТ ОГК у 3 пациентов отмечалась отрицательная динамика через 1 год после перенесенного COVID-19 в виде нарастания явлений мукостаза, увеличения размеров бронхоэктазий. Исследование ФВД не проводилось у 5 пациентов ввиду маленького возраста и невозможности адекватного выполнения дыхательного маневра, среди оставшихся 23 пациентов у 8 (28,5%) отмечалась отрицательная динамика показателей ФВД в виде снижения ОФВ1 по сравнению с данными до COVID-19.
В группу пациентов с ВПРБиЛ включены 4 пациента с синдромом Зиверта–Картагенера, 3 пациента с первичной цилиарной дискинезией, 3 пациента с синдромом Вильямса–Кэмпбелла, 2 пациента с врожденной внутридолевой секвестрацией легкого и 4 пациента с гипоплазией легкого (табл. 2).
Таблица 2. Характеристика пациентов с ВПРБиЛ до и через 1 год после COVID-19
№ | Пол | Возраст, лет | Диагноз | Число обострений в год до/после COVID-19 | ОФВ1 /до/после COVID-19, %Д |
1 | Мальчик | 14 | Синдром Зиверта–Картагенера | 6/6 | 36/38 |
2 | Девочка | 10,5 | Синдром Зиверта–Картагенера | 2/2 | 80/82 |
3 | Мальчик | 9 | Синдром Зиверта–Картагенера | 6/5 | 40/44 |
4 | Девочка | 11,5 | Синдром Зиверта–Картагенера | 4/4 | 58/66 |
5 | Девочка | 12 | Первичная цилиарная дискинезия | 2/2 | 61/65 |
6 | Девочка | 13,5 | Первичная цилиарная дискинезия | 4/6 | 47/50 |
7 | Девочка | 12 | Первичная цилиарная дискинезия | 6/10 | 40/25 |
8 | Девочка | 10 | Синдром Вильямса–Кэмпбелла | 4/4 | 43/44 |
9 | Девочка | 15 | Синдром Вильямса–Кэмпбелла | 1/1 | 60/78 |
10 | Мальчик | 11,5 | Синдром Вильямса–Кэмпбелла | 2/1 | 74/80 |
11 | Мальчик | 11 | Врожденная внутридолевая секвестрация легкого | 1/1 | 79/80 |
12 | Девочка | 10,5 | Врожденная внутридолевая секвестрация легкого | 1/1 | 88/88 |
13 | Мальчик | 9 | Гипоплазия легкого | 2/2 | 100/112 |
14 | Мальчик | 9,5 | Гипоплазия легкого | 1/1 | 101/102 |
15 | Мальчик | 12 | Гипоплазия легкого | 1/0 | 95/98 |
16 | Девочка | 13 | Гипоплазия легкого | 2/2 | 110/110 |
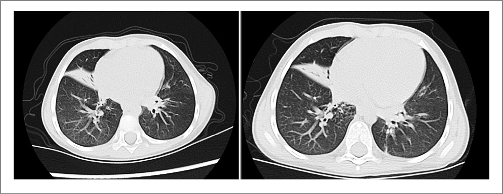
Возраст пациентов в данной группе составил от 9 до 15 лет (медиана 11,5 года). У 2 пациентов с первичной цилиарной дискинезией отмечалось увеличение частоты обострений хронического бронхита в год после перенесенной НКИ (в среднем с 2,8 до 3 раз в год). Как минимум один персистирующий симптом COVID-19 отмечался у 4 (25%) детей через 1 год после острой фазы инфекции. Наиболее часто отмечаемыми стойкими симптомами через 1 год после COVID-19 были снижение физической активности (50%), усталость (37,5%), оговорки при разговоре (25%), трудности с концентрацией (25%). У 1 пациента с первичной цилиарной дискинезией (девочка, 12 лет) отмечались отрицательная динамика КТ ОГК в виде нарастания явлений мукостаза и бронхитических изменений и ухудшение показателей ФВД в виде снижения ОФВ1 с 40 до 25%Д через 1 год после перенесенной НКИ (рис. 1).
Рис. 1. КТ-динамика пациентки с первичной цилиарной дискинезией до и через 1 год после СOVID-19.
Группу пациентов с БА составили дети в возрасте от 7 до 16 лет (медиана 10 лет), все пациенты получали базисную терапию БА на момент острого периода COVID-19 (табл. 3).
Таблица 3. Характеристика пациентов с БА до и через 1 год после COVID-19
№ | Пол | Возраст | Форма БА | Тяжесть БА | Уровень контроля БА | Базисная терапия | Число обострений в год до/после COVID-19 | ОФВ1 до/после COVID-19, %Д |
1 | Мальчик | 7 | Аллергическая | Легкая | Хорошо контролируемая | Низкие дозы ИГКС-КДБА по потребности | 1/1 | 88/90 |
2 | Девочка | 16 | Аллергическая | Легкая | Хорошо контролируемая | Низкие дозы ИГКС-КДБА по потребности | 2/3 | 94/95 |
3 | Мальчик | 14,5 | Аллергическая | Средняя | Хорошо контролируемая | Низкие дозы ИГКС/ДДБА | 1/2 | 77/80 |
4 | Мальчик | 10 | Аллергическая | Легкая | Хорошо контролируемая | Низкие дозы ИГКС-КДБА по потребности | 1/1 | 89/92 |
5 | Девочка | 10,5 | Аллергическая | Легкая | Хорошо контролируемая | Низкие дозы ИГКС-КДБА по потребности | 1/1 | 100/101 |
6 | Девочка | 8 | Аллергическая | Легкая | Хорошо контролируемая | Низкие дозы ИГКС | 1/1 | 105/110 |
7 | Мальчик | 7,5 | Аллергическая | Легкая | Хорошо контролируемая | Низкие дозы ИГКС | 1/1 | 111/112 |
8 | Мальчик | 14,5 | Аллергическая | Легкая | Хорошо контролируемая | низкие дозы ИГКС | 1/1 | 90/100 |
9 | Девочка | 13 | Аллергическая | Легкая | Хорошо контролируемая | Низкие дозы ИГКС-КДБА по потребности | 1/1 | 81/81 |
10 | Мальчик | 12,5 | Неаллергическая | Средняя | Хорошо контролируемая | Низкие дозы ИГКС/ДДБА | 2/3 | 70/72 |
11 | Мальчик | 9 | Аллергическая | Легкая | Хорошо контролируемая | Низкие дозы ИГКС-КДБА по потребности | 1/1 | 93/94 |
12 | Мальчик | 11 | Неаллергическая | Легкая | Хорошо контролируемая | Низкие дозы ИГКС-КДБА по потребности | 1/1 | 94/99 |
13 | Мальчик | 14 | Неаллергическая | Легкая | Хорошо контролируемая | Низкие дозы ИГКС-КДБА по потребности | 1/1 | 87/90 |
14 | Девочка | 10,5 | Аллергическая | Средняя | Частично контролируемая | Низкие дозы ИГКС/ДДБА | 2/2 | 72/72 |
15 | Мальчик | 8,5 | Аллергическая | Легкая | Хорошо контролируемая | Низкие дозы ИГКС-КДБА по потребности | 1/2 | 101/102 |
16 | Девочка | 7,5 | Аллергическая | Тяжелая | Частично контролируемая | Высокие дозы ИГКС/ДДБА | 2/5 | 55/55 |
17 | Мальчик | 8 | Аллергическая | Легкая | Хорошо контролируемая | Низкие дозы ИГКС-КДБА по потребности | 1/0 | 110/116 |
18 | Девочка | 10 | Неаллергическая | Средняя | Частично контролируемая | Низкие дозы ИГКС/ДДБА | 1/1 | 69/70 |
19 | Мальчик | 11 | Аллергическая | Легкая | Хорошо контролируемая | Низкие дозы ИГКС-КДБА по потребности | 1/0 | 85/– |
20 | Девочка | 12 | Аллергическая | Легкая | Хорошо контролируемая | Низкие дозы ИГКС-КДБА по потребности | 1/1 | 116/117 |
21 | Мальчик | 11 | Аллергическая | Легкая | Хорошо контролируемая | Низкие дозы ИГКС-КДБА по потребности | 1/1 | 101/105 |
22 | Девочка | 10,5 | Неаллергическая | Легкая | Хорошо контролируемая | Низкие дозы ИГКС-КДБА по потребности | 1/1 | 90/90 |
23 | Девочка | 7 | Аллергическая | Средняя | Частично контролируемая | Низкие дозы ИГКС/ДДБА | 3/4 | 70/– |
24 | Девочка | 15,5 | Аллергическая | Легкая | Хорошо контролируемая | Низкие дозы ИГКС-КДБА по потребности | 2/2 | 96/97 |
25 | Девочка | 11,5 | Аллергическая | Легкая | Хорошо контролируемая | Низкие дозы ИГКС-КДБА по потребности | 1/1 | 87/– |
Примечание. ИГКС – ингаляционный глюкокортикостероид, КДБА – короткодействующие β2-агонисты, ДДБА – длительно действующие β2-агонисты. | ||||||||
У 6 (24%) пациентов с БА отмечалось увеличение частоты обострений основного заболевания в год после перенесенной инфекции COVID-19 (в среднем с 1,2 до 1,5 раза в год). По результатам оценки пациентов c БА по опроснику ISARIC как минимум 1 персистирующий симптом COVID-19 отмечался у 5 (20%) детей через 1 год после заболевания (рис. 2).
Рис. 2. Процент пациентов, у которых наблюдался как минимум 1 персистирующий симптом через 1 год после COVID-19.
К наиболее часто отмечаемым персистирующим симптомам через 1 год после COVID-19 у детей с БА относились усталость (55,5%), снижение физической активности (27,7%), слабость (27,7%), трудности с концентрацией (22,2%); рис. 3.
Рис. 3. Персистирующие симптомы COVID-19 у пациентов с ХНЗЛ.
Мы попросили всех включенных в исследование пациентов оценить свое состояние здоровья до и после COVID-19 по 100-балльной шкале, где 0 – наихудшее возможное состояние здоровья, а 100 – наилучшее возможное состояние здоровья. Отмечено, что через 1 год после заболевания пациенты оценивали свое здоровье в целом хуже, чем до НКИ: 8 (28,5%) в группе МВ, 5 (20%) человек в группе БА, 2 (12,5%) в группе ВПРБиЛ. Среди всех пациентов 13 (18,8%) не считали себя полностью восстановившимися спустя год после перенесенной инфекции COVID-19.
В ходе исследования нами выявлено, что в общей выборке у 23 (33,3%) пациентов с сопутствующими ХНЗЛ отмечались отдаленные последствия перенесенной инфекции COVID-19 в виде увеличения частоты обострений основного заболевания в год. Порядка 20% детей не считают себя полностью восстановившимися даже через 1 год после COVID-19. Всего 22 (31,8%) пациента страдали как минимум от одного персистирующего симптома через 12 мес после COVID-19, при этом наиболее часто отмечались такие физические симптомы, как усталость, снижение активности, слабость.
Заключение
Исследование показывает, что даже спустя год после перенесенной инфекции COVID-19 пациенты с ХНЗЛ не считают себя полностью оправившимися от болезни и испытывают ряд персистирующих симптомов, затрагивающих различные сферы жизнедеятельности, – утомляемость, физическая активность, аппетит, внимание, память.
Повышенного внимания клиницистов заслуживают нарушения когнитивной сферы при ПКС – трудности с концентрацией, ухудшение памяти, оговорки при разговоре, сохраняющиеся у детей с ХНЗЛ до 1 года после НКИ и нарушающие повседневную жизнь ребенка и членов его семьи, а также создающие трудности в обучении.
Для улучшения качества оказания помощи детям с ХНЗЛ, перенесшим COVID-19, требуется разработка программ реабилитации и лечения ПКС у таких пациентов с учетом возможности развития у них как физических, так и нейрокогнитивных нарушений.
Раскрытие интересов. Авторы декларируют отсутствие явных и потенциальных конфликтов интересов, связанных с публикацией настоящей статьи.
Disclosure of interest. The authors declare that they have no competing interests.
Вклад авторов. Авторы декларируют соответствие своего авторства международным критериям ICMJE. Все авторы в равной степени участвовали в подготовке публикации: разработка концепции статьи, получение и анализ фактических данных, написание и редактирование текста статьи, проверка и утверждение текста статьи.
Authors’ contribution. The authors declare the compliance of their authorship according to the international ICMJE criteria. All authors made a substantial contribution to the conception of the work, acquisition, analysis, interpretation of data for the work, drafting and revising the work, final approval of the version to be published and agree to be accountable for all aspects of the work.
Источник финансирования. Авторы декларируют отсутствие внешнего финансирования для проведения исследования и публикации статьи.
Funding source. The authors declare that there is no external funding for the exploration and analysis work.
Соответствие принципам этики. Протокол исследования был одобрен локальным этическим комитетом ФГАОУ ВО «Первый МГМУ им. И.М. Сеченова» (Сеченовский Университет); протокол №01-22 от 20.01.2022. Одобрение и процедуру проведения протокола получали по принципам Хельсинкской конвенции.
Ethics approval. The study was approved by the local ethics committee of Sechenov First Moscow State Medical University (Sechenov University); №01-22 dated 20.01.2022. The approval and procedure for the protocol were obtained in accordance with the principles of the Helsinki Convention.
Информированное согласие на публикацию. Авторы получили письменное согласие законных представителей пациентов на анализ и публикацию медицинских данных и фотографий.
Consent for publication. The authors obtained written consent from the patients' legal representatives to analyze and publish medical data and photographs.
Об авторах
Анастасия Сергеевна Чернявская
ФГАОУ ВО «Первый Московский государственный медицинский университет им. И.М. Сеченова» Минздрава России (Сеченовский Университет); ФГАУ «Национальный медицинский исследовательский центр здоровья детей» Минздрава России
Email: chernyavskaya_a_s@student.sechenov.ru
ORCID iD: 0000-0002-3068-762X
аспирант каф. педиатрии и детской ревматологии ФГАОУ ВО «Первый МГМУ им. И.М. Сеченова» (Сеченовский Университет), врач-педиатр ФГАУ «НМИЦ здоровья детей»
Россия, Москва; МоскваОльга Игоревна Симонова
ФГАОУ ВО «Первый Московский государственный медицинский университет им. И.М. Сеченова» Минздрава России (Сеченовский Университет); ФГАУ «Национальный медицинский исследовательский центр здоровья детей» Минздрава России
Автор, ответственный за переписку.
Email: oisimonova@mail.ru
ORCID iD: 0000-0002-2367-9920
д-р мед. наук, проф. каф. педиатрии и детской ревматологии ФГАОУ ВО «Первый МГМУ им. И.М. Сеченова» (Сеченовский Университет), гл. науч. сотр. ФГАУ «НМИЦ здоровья детей»
Россия, Москва; МоскваСписок литературы
- WHO COVID-19 Dashboard, Russian Federation, April 2023.
- Николаева С.В., Горелов А.В., и др. COVID-19 у детей в Российской Федерации – итоги года. Сборник трудов ХIII Ежегодного Всероссийского Конгресса по инфекционным болезням имени академика В.И. Покровского; IV Всероссийской научно-практической конференции; VI Всероссийского симпозиума. М., 2021 [Nikolaeva SV, Gorelov AV et al. COVID-19 u detei v Rossiiskoi Federatsii – itogi goda. Sbornik trudov XIII Ezhegodnogo Vserossiiskogo Kongressa po infektsionnym bolezniam imeni akademika V.I. Pokrovskogo; IV Vserossiiskoi nauchno-prakticheskoi konferentsii; VI Vserossiiskogo simpoziuma. Moscow, 2021 (in Russian)].
- Самитова Э.Р. Клинико-эпидемиологические особенности течения COVID-19 у детей в периоды подъема заболеваемости в Москве в 2020–2022 годы. Эпидемиология и вакцинопрофилактика. 2022;21(5):38-48 [Samitova ER. Kliniko-epidemiologicheskie osobennosti techeniia COVID-19 u detei v periody pod"ema zabolevaemosti v Moskve v 2020–2022 gody. Epidemiologiia i vaktsinoprofilaktika. 2022;21(5):38-48 (in Russian)].
- Ludvigsson JF. Systematic review of COVID-19 in children shows milder cases and a better prognosis than adults. Acta Paediatr. 2020;109(6):1088-95. doi: 10.1111/apa.15270
- Garazzino S, Lo Vecchio A, Pierantoni L, et al. Epidemiology, clinical features and prognostic factors of pediatric SARS-CoV-2 infection: results from an Italian multicenter study. Front Pediatr. 2021;91:649358. doi: 10.3389/fped.2021.649358
- Patel JM. Multisystem Inflammatory Syndrome in Children (MIS-C). Curr Allergy Asthma Rep. 2022;22(5):53-60. doi: 10.1007/s11882-022-01031-4
- WHO – A clinical case definition of post COVID-19 condition by a Delphi consensus, 6 October 2021.
- Carfì A, Bernabei R, Landi F; Gemelli Against COVID-19 Post-Acute Care Study Group. Persistent Symptoms in Patients After Acute COVID-19. JAMA. 2020;324(6):603-5. doi: 10.1001/jama.2020.12603
- Munblit D, Sigfrid L, Warner JO. Setting priorities to address research gaps in long-term COVID-19 outcomes in children. JAMA Pediatrics. 2021;175(11):1095-6. doi: 10.1001/jamapediatrics.2021.2281
- Osmanov IM, Spiridonova E, Bobkova P, et al. Risk factors for long COVID in previously hospitalised children using the ISARIC Global follow-up protocol: A prospective cohort study. Eur Respir J. 20221;59(2):2101341. doi: 10.1183/13993003.01341-2021
- Moeller A, Thanikkel L, Duijts L, et al. COVID-19 in children with underlying chronic respiratory diseases: survey results from 174 centres. ERJ Open Res. 2020;6(4):00409-2020.
- Pedersen ESL, Collaud ENR, Mozun R. COVID-PCD: a participatory research study on the impact of COVID-19 in people with primary ciliary dyskinesia. ERJ Open Research. 2021;7(1):00843-2020. doi: 10.1183/23120541.00843-2020
- Bain R, Cosgriff R, Zampoli M, et al. Clinical characteristics of SARS-CoV-2 infection in children with cystic fibrosis: an international observational study. J Cyst Fibros. 2021;20(1):25-30.
- Burgel P-R, Goss C. COVID-19 outcomes in people with cystic fibrosis. Curr Opin Pulm Med. 2021;27(6):538-43.
- ISARIC COVID-19 Global Follow Up Working Group. ISARIC Global COVID-19 follow up study protocol. 2020.
- ISARIC Global COVID-19 Paediatric Follow Up Working Group. Consequences of COVID-19 infection for child health and wellbeing: protocol for a prospective, observational, longitudinal study in children. 2021.
Дополнительные файлы






