Verified case of classical takotsubo syndrome. Case report
- Authors: Semitko S.P.1, Chernysheva I.E.1, Rogatova A.N.1, Vasilenko E.I.1, Lapochkina O.B.1, Kurochkina I.M.1, Kuchkina N.V.1, Bayandin N.L.2, Tsereteli N.V.1, Ioseliani D.G.1, Fomin V.V.1
-
Affiliations:
- Sechenov First Moscow State Medical University (Sechenov University)
- Filatov City Clinical Hospital No.15
- Issue: Vol 25, No 10 (2023): Болезни сердца и сосудов
- Pages: 655-660
- Section: Articles
- Published: 15.10.2023
- URL: https://consilium.orscience.ru/2075-1753/article/view/626260
- DOI: https://doi.org/10.26442/20751753.2023.10.202383
- ID: 626260
Cite item
Full Text
Abstract
Cardiovascular diseases are the most common cause for references to the medical institution in Russia. According to the date of the National research and practical society of emergency medical care, every day about 400 thousands of Russian patients with the diagnosis of “acute coronary syndrome” are admitted to the hospitals through the emergency care services. Stress-induced cardiomyopathy is diagnosed in 2% of patients with referral diagnosis. The authors present a case of Takotsubo syndrome developed in the settings of emotional stress induced by a dental intervention.
Full Text
Введение
Синдром такоцубо – СТ (синдром «разбитого сердца», стресс-индуцированная кардиомиопатия, синдром апикального баллонирования) – это состояние, при котором возникает острая обратимая апикальная дисфункция левого желудочка (ЛЖ) на фоне отсутствия обструктивного поражения коронарных артерий (КА), которое сопровождается изменениями электрокардиограммы, похожими на инфаркт миокарда (ИМ) [1, 2]. Фундаментом для развития данного заболевания является гибернация миокарда, зона которой выходит за пределы области кровоснабжения одной КА [3]. Характерными кардиоспецифическими маркерами СТ являются умеренное повышение уровня сердечного тропонина и значительное повышение уровня N-терминального мозгового натрийуретического пептида типа В (NT-proBNP). Кроме того, у большинства пациентов по результатам эхокардиографии (ЭхоКГ) наблюдается систолическое расширение верхушки ЛЖ с сопутствующим сокращением основания, напоминающее ловушку для осьминога (takotsubo) [4].
Считается, что данное заболевание встречается преимущественно среди женщин, находящихся в постменопаузе. Однако в редких случаях развитие болезни наблюдали у мужчин и молодых девушек. Провоцирующим фактором развития СТ является физический и/или психоэмоциональный стресс, который способствует выбросу плазменных и тканевых катехоламинов, в частности высвобождению норадреналина из адренергических нервных волокон симпатической нервной системы, максимальная концентрация которых определяется в области апикальных отделов ЛЖ [2, 5]. Однако ряд исследований показывает, что отсутствие триггера не исключает развития данного состояния [6, 7].
До настоящего времени единого мнения специалистов относительно основного механизма развития СТ нет. Ряд авторов считают, что коронарная микрососудистая дисфункция может быть провоцирующей причиной развития СТ, приводящей к дисбалансу между миокардиальным кровотоком и потребностью миокарда в кислороде [4].
Зачастую СТ имеет относительно благоприятный прогноз. Однако он зависит от объема повреждения миокарда. По данным ряда регистров, внутрибольничная летальность в острой фазе заболевания может варьироваться от 2 до 6% [8].
Стоит помнить, что в остром периоде данного заболевания встречаются такие осложнения, как нарушения ритма и проводимости сердца, перикардит, левожелудочковая недостаточность, реже кардиогенный шок, отек легких, разрыв миокарда и внезапная смерть. Поэтому необходимо проведение тщательной дифференциальной диагностики у пациентов с направительным диагнозом «острый коронарный синдром» (ОКС) [9–11]. В случае успешного лечения в остром периоде благоприятный долгосрочный прогноз ожидается у подавляющего большинства пациентов [12]. Функция миокарда может начать восстанавливаться уже через несколько дней и полностью восстановиться через 4–6 нед.
В настоящее время считается, что тактика ведения пациентов с СТ, госпитализированных с подозрением на ОКС, должна соответствовать протоколу ведения больных с ИМ, пока острая коронарная патология не исключена. Однако следует отметить, что применение инотропных и вазопрессорных препаратов (добутамин, дофамин, норадреналин, адреналин, милринон, изопреналин) не показано при СТ. Существующие данные свидетельствуют о том, что катехоламины сами по себе могут вызывать развитие СТ, усугублять острую обструкцию выносящего тракта ЛЖ и замедлять спонтанное восстановление сократительной способности миокарда [8].
Согласно клиническим рекомендациям по лечению СТ, медикаментозная терапия включает стандартные препараты, используемые при сердечной недостаточности, такие как ингибиторы ангиотензинпревращающего фермента (АПФ), диуретики и β-адреноблокаторы, а также антиагреганты [13, 14]. Ряд авторов, анализируя эффективность терапии при СТ, пришли к выводу, что применение ингибиторов АПФ связано с улучшением выживаемости в течение 1 года, в отличие от β-адреноблокаторов, назначение которых не привело к каким-либо преимуществам в отношении этого критерия [5].
Клиническое наблюдение
В приемное отделение Научно-практического центра интервенционной кардиоангиологии по каналу скорой медицинской помощи была госпитализирована пациентка Д. 74 лет с жалобами на интенсивные давящие боли за грудиной, возникающие без четкой связи с физической нагрузкой, на одышку при незначительной физической нагрузке (ходьба до 400 м). Пациентка четко связывала появление данного состояния с экстракцией зуба у врача-стоматолога накануне.
В анамнезе: в течение длительного времени отмечала повышение артериального давления (АД) максимально до 170/100 мм рт. ст., адаптирована к 120/80 мм рт. ст. АД контролирует, гипотензивные препараты принимает регулярно. Данные о ранее перенесенных остром ИМ (ОИМ), остром нарушении мозгового кровообращения не получены. Наследственность отягощена по гипертонической болезни. При осмотре: состояние пациентки средней тяжести, рост 158 см, вес 62 кг, индекс массы тела 24,84 кг/м2, телосложение нормостеническое, кожные покровы и видимые слизистые обычной окраски и влажности. Дыхание в легких везикулярное, проводится во все отделы, хрипов нет. Частота дыхательных движений – 16 в минуту. Сердечные тоны приглушены, ритмичные, с частотой сердечных сокращений (ЧСС) 67 уд/мин. АД на правой руке – 120/70 мм рт. ст., АД на левой руке – 110/70 мм рт. ст. Живот при пальпации мягкий, безболезненный, размеры печени не увеличены. Физиологические отправления в норме. Периферических отеков нет.
По результатам электрокардиографии (ЭКГ) при поступлении регистрировался синусовый ритм с ЧСС 58 уд/мин, отмечались глубокие отрицательные зубцы Т в отведениях с V1 по V6, I и aVL; интервал P–Q – 160 мс, интервал Q–T удлинен – 560 мс, нормальное положение электрической оси сердца (рис. 1).
Рис. 1. Электрокардиограмма при поступлении в стационар.
В результате осмотра, с учетом анамнеза заболевания и данных инструментальных методов исследования, пациентку госпитализировали в кардиологическое отделение с палатами интенсивной терапии для больных с ОКС с направительным диагнозом ОКС без подъема сегмента ST.
В экстренном порядке провели исследование крови на кардиоспецифические маркеры, общеклинический и биохимический анализы крови, определение уровня NT-proBNP, выполнили ЭхоКГ, а также диагностическую коронароангиографию (КАГ). По лабораторным данным уровень тропонина I составил 0,28 нг/мл (референсные значения <0,4 нг/мл), отмечалось значительное повышение уровня NT-proBNP – до 4065 пг/мл (референсные значения <125 пг/мл). Остальные клинические анализы крови в пределах референсных значений.
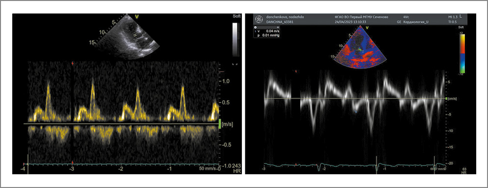
По результатам ЭхоКГ выявили снижение систолической функции в области верхушки и всех апикальных сегментов по типу дискинезии. Фракция выброса (ФВ) ЛЖ составила 46%, а глобальная продольная деформация (GLS) превышает -15%: GLS=-11,2% при норме менее -15%. Конечный диастолический размер ЛЖ – 4,49 см, конечный диастолический объем (КДО) ЛЖ – 101 мл, конечный систолический размер ЛЖ – 3,1 см, конечный систолический объем (КСО) ЛЖ – 51 мл, также определилась выраженная концентрическая гипертрофия миокарда ЛЖ (толщина межжелудочковой перегородки – 16 мм, толщина задней стенки ЛЖ – 13 мм, толщина верхушки и боковой стенки – 13 мм, индекс массы миокарда – 160 г/м2, масса миокарда – 261 г). Отмечены признаки нарушения диастолической функции ЛЖ по типу нарушения релаксации со снижением подвижности кольца митрального клапана (латеральный e’=0,03 м/с и перегородочный e’=0,04 м/с). Диастолическая дисфункция 1-го типа. Соотношение скорости пиков раннего и позднего наполнения ЛЖ (Е/А) равно 0,4 (рис. 2).
Рис. 2. Эхокардиограмма при поступлении в стационар.
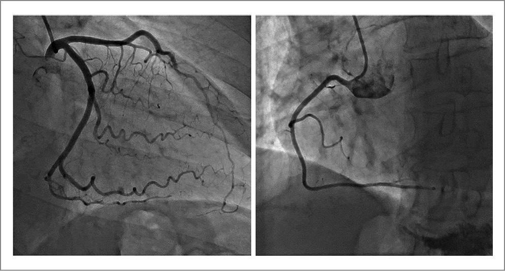
По результатам селективной КАГ – правый тип коронарного кровоснабжения, ствол левой КА обычно развит, без гемодинамически значимого стенозирования. Передняя межжелудочковая ветвь (ПМЖВ), огибающая ветвь (ОВ) и правая КА диффузно изменены на всем протяжении без гемодинамически значимого стенозирования. Отмечалось выраженное замедление антеградного кровотока, тотально по всему коронарному руслу. Syntax=0 (рис. 3).
Рис. 3. Селективная КАГ при поступлении в стационар.
Принимая во внимание наличие специфических зон нарушения локальной сократимости, концентрическую гипертрофию ЛЖ с диффузным мелкозернистым свечением миокарда, интактные КА на фоне нормальных показателей тропонина I и высокого уровня NT-proBNP, определили векторы дальнейшего дообследования пациентки в рамках заболеваний СТ и ATTR-амилоидоз. С целью диагностики амилоидоза с помощью ЭхоКГ оценивали диастолическую функцию ЛЖ и показатель RASP (паттерн относительного сохранения систолической продольной деформации в апикальных сегментах). Выявили диастолическую дисфункцию 1-го типа (по типу нарушения релаксации) и показатель RASP 0,7, что не характерно для ультразвуковой картины амилоидоза (рис. 4).
Рис. 4. Диастолическая дисфункция ЛЖ по типу нарушения релаксации.
Учитывая данные инструментальных и лабораторных методов исследования, приняли решение о проведении сцинтиграфии миокарда с 99mTc-пирофосфатом (торговое наименование Пирфотех, 99mTc) для исключения ATTR-амилоидоза. Через 3 ч после внутривенного введения 740 МБк радиофармпрепарата (РФП) на гибридном томографе GE NM\CT 860 провели планарное сканирование и однофотонную эмиссионную компьютерную томографию (ОФЭКТ-КТ) органов грудной клетки без контрастирования (рис. 5).
Рис. 5. Планарное сканирование и ОФЭКТ-КТ органов грудной клетки без контрастирования.
По суммарным результатам радионуклидного обследования специфических признаков ATTR-амилоидоза не выявлено, так как индекс накопления РФП в миокарде относительно контралатеральной стороны в правом легком был равен 1,19 (не превысил диагностический рубеж 1,3). При этом накопление РФП локализовалось преимущественно в пуле крови, а не в толще миокарда, что позволило с высокой вероятностью исключить ATTR-амилоидную кардиомиопатию.
С целью оценки перфузионно-сократительных параметров миокарда ЛЖ выполнили ОФЭКТ-КТ миокарда в покое через час после внутривенного введения 370 МБк препарата Технеций (99mTc) (торговое наименование Технетрил, 99mTc).
Для улучшения качества изображения и нивелирования артефактов исследование дополнили низкодозной компьютерной томографией. В результате на серии томографических срезов определяется неравномерное распределение РФП в миокарде ЛЖ. На этом фоне отмечается очаговое снижение перфузии миокарда верхушки и верхушечных сегментов передней и передне-перегородочной стенок ЛЖ. Площадь дефекта перфузии оставляет 12% площади ЛЖ. Запись ОФЭКТ-КТ выполняли при синхронизации с трехканальной ЭКГ. При анализе сократительной способности ЛЖ выявили снижение глобальной сократимости (ФВ ЛЖ 43%) и диффузный гипокинез, наиболее выраженный в области верхушки и прилежащих верхушечных сегментов при сохранных объемных показателях: КДО – 63 мл, КСО – 37 мл, что наиболее вероятно соответствует СТ (рис. 6).
Рис. 6. Планарная сцинтиграфия миокарда и ОФЭКТ-КТ с 99mTc-пирофосфатом для диагностики ATTR-амилоидоза.
В соответствии с полученными лабораторными и инструментальными данными установили клинический диагноз: стресс-индуцированная кардиомиопатия (СТ); гипертоническая болезнь III стадии, 3-й степени, риск сердечно-сосудистых осложнений 4; недостаточность кровообращения 1-й стадии; 2-й функциональный класс по Функциональной классификации Нью-Йоркской ассоциации сердца.
Назначенная медикаментозная терапия включала β-адреноблокаторы (бисопролол 5 мг/сут), ингибиторы АПФ (эналаприл 2,5 мг 2 раза в сутки), антиагреганты (клопидогрел 75 мг/сут). На фоне консервативной терапии пациентка отмечала улучшение состояния в виде регресса болевого синдрома и уменьшения одышки.
На 10-е сутки стационарного наблюдения сделали динамическую оценку лабораторных и инструментальных данных.
По результатам ЭКГ на 10-й день зафиксировали синусовый ритм с ЧСС 71 уд/мин, уменьшение глубины отрицательных зубцов Т в отведениях V1–V6, интервал P–Q – 200 мс, интервал Q–T удлинен – 486 мс, нормальное положение электрической оси сердца (рис. 7).
Рис. 7. Электрокардиограмма на 10-е сутки госпитализации.
По данным ЭхоКГ – положительная динамика в виде увеличения ФВ ЛЖ до 59% (по Simpson). Сохранился гипокинез апикальных сегментов передне-перегородочной стенки и межжелудочковой перегородки, в остальных сегментах отмечался нормокинез. Регистрировалась положительная динамика показателя GLS: уменьшение с -11,2% до -14,5%, при норме менее -15% (рис. 8).
Рис. 8. Эхокардиограмма на 10-е сутки госпитализации.
По результатам лабораторных исследований отмечено снижение уровня NT-proBNP с 4065 до 3185 пг/мл.
Учитывая положительную динамику клинических, лабораторных и инструментальных результатов обследования, коррекцию назначенной терапии не проводили. Пациентка была выписана из стационара в удовлетворительном состоянии с рекомендацией проведения повторного обследования через 1 мес.
К назначенному сроку пациентка отмечала значительное улучшение состояния, жалоб на боли за грудиной и одышку не предъявляла. Повторное обследование показало дальнейшее снижение уровня NT-proBNP с 3185 до 1800 пг/мл. На ЭКГ регистрировался синусовый ритм с ЧСС 59 уд/мин, уменьшение глубины отрицательных зубцов Т в отведениях V1–V6, интервал P–Q – 186 мс, интервал Q–T – 480 мс, нормальное положение электрической оси сердца (рис. 9).
Рис. 9. Электрокардиограмма через 1 мес после выписки из стационара.
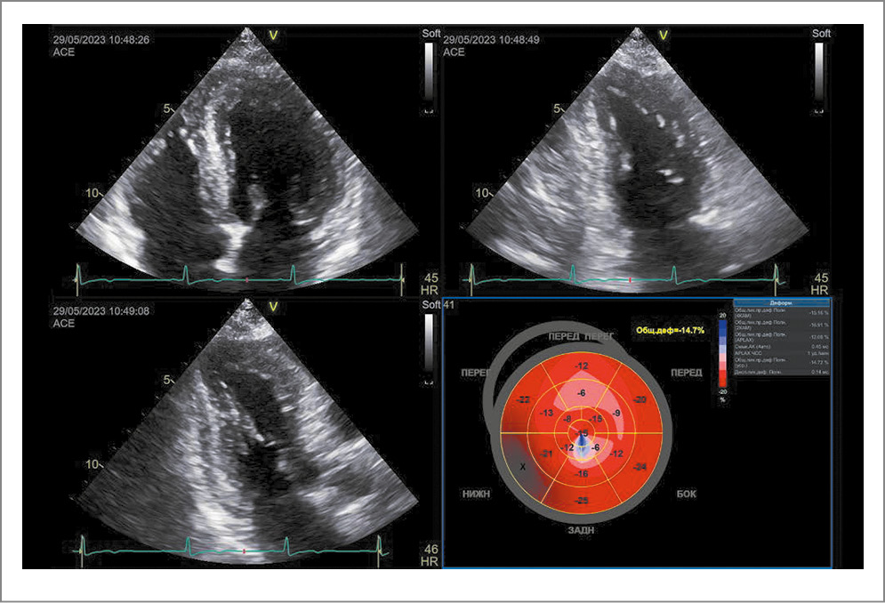
По результатам ЭхоКГ глобальная сократительная функция миокарда ЛЖ удовлетворительная. ФВ ЛЖ составила 63%, GLS – -14,7%, конечный диастолический размер ЛЖ – 4,7 см, КДО ЛЖ – 82 мл, конечный систолический размер ЛЖ – 3,1 см, КСО ЛЖ – 29 мл. Определялся локальный незначительный гипокинез апикального сегмента передне-перегородочной стенки (рис. 10).
Рис. 10. Эхокардиограмма через 1 мес после выписки из стационара.
На фоне проводимой терапии повторно выполнили перфузионную ОФЭКТ-КТ по аналогичному протоколу. По результатам радионуклидного исследования накопление РФП в миокарде однородное, равномерное, ранее выявленный дефект перфузии миокарда ЛЖ более не визуализировался. Глобальная сократительная функция улучшилась. ФВ ЛЖ с 43% повысилась до 75%, начальный гипокинез зафиксирован исключительно в верхушечных и средних сегментах передне-перегородочной стенки ЛЖ (рис. 11).
Рис. 11. Результаты ОФЭКТ-КТ спустя 1 мес после выписки.
Заключение
Жалобы пациентки, клиническая картина, а также зарегистрированные изменения на ЭКГ давали основания заподозрить диагноз ОИМ соответствующей локализации. Однако по результатам дополнительных лабораторно-инструментальных исследований выявили характерную ЭхоКГ-картину в виде значительного снижения ФВ ЛЖ с появлением зон нарушенной локальной сократимости в области верхушки ЛЖ, отсутствие обструктивного поражения КА по результатам КАГ, высокий уровень NT-proBNP при нормальных показателях тропонина I. Все это, а также четкая связь со стрессом позволили заподозрить наличие у пациентки стресс-индуцированной кардиомиопатии, что было подтверждено дополнительными методами исследования – ОФЭКТ-КТ. Следует отметить, что ОФЭКТ-КТ позволяет с большой долей вероятности диагностировать наличие у пациентов СТ. В дальнейшем диагноз был подтвержден характерной положительной динамикой по данным ЭКГ, ЭхоКГ и ОФЭКТ-КТ на 10-е сутки после поступления в стационар и на 30-е сутки после выписки.
Учитывая, что частота осложнений и смертей у пациентов с СТ сопоставима с аналогичными показателями у пациентов с ОКС, а тактика лечения определенных осложнений может отличаться от тактики лечения при ОКС, необходимо помнить о наличии такого, на первый взгляд, редко встречающегося заболевания, как СТ, и необходимости более тщательного подхода к дифференциальной диагностике ОКС на всех этапах оказания медицинской помощи.
Раскрытие интересов. Авторы декларируют отсутствие явных и потенциальных конфликтов интересов, связанных с публикацией настоящей статьи.
Disclosure of interest. The authors declare that they have no competing interests.
Вклад авторов. Авторы декларируют соответствие своего авторства международным критериям ICMJE. Все авторы в равной степени участвовали в подготовке публикации: разработка концепции статьи, получение и анализ фактических данных, написание и редактирование текста статьи, проверка и утверждение текста статьи.
Authors’ contribution. The authors declare the compliance of their authorship according to the international ICMJE criteria. All authors made a substantial contribution to the conception of the work, acquisition, analysis, interpretation of data for the work, drafting and revising the work, final approval of the version to be published and agree to be accountable for all aspects of the work.
Источник финансирования. Авторы декларируют отсутствие внешнего финансирования для проведения исследования и публикации статьи.
Funding source. The authors declare that there is no external funding for the exploration and analysis work.
Информированное согласие на публикацию. Пациентка подписала форму добровольного информированного согласия на публикацию медицинской информации.
Consent for publication. Written consent was obtained from the patient for publication of relevant medical information and all of accompanying images within the manuscript.
About the authors
Sergey P. Semitko
Sechenov First Moscow State Medical University (Sechenov University)
Author for correspondence.
Email: semitko@mail.ru
ORCID iD: 0000-0002-1268-5145
D. Sci. (Med.)
Russian Federation, MoscowIrina E. Chernysheva
Sechenov First Moscow State Medical University (Sechenov University)
Email: editor@omnidoctor.ru
ORCID iD: 0000-0003-3269-541X
Cand. Sci. (Med.)
Russian Federation, MoscowAnna N. Rogatova
Sechenov First Moscow State Medical University (Sechenov University)
Email: editor@omnidoctor.ru
ORCID iD: 0000-0003-0187-2516
Department Head
Russian Federation, MoscowElena I. Vasilenko
Sechenov First Moscow State Medical University (Sechenov University)
Email: editor@omnidoctor.ru
ORCID iD: 0000-0002-2572-3438
Cand. Sci. (Med.)
Russian Federation, MoscowOlga B. Lapochkina
Sechenov First Moscow State Medical University (Sechenov University)
Email: editor@omnidoctor.ru
ORCID iD: 0009-0006-8311-1743
Department Head
Russian Federation, MoscowIrina M. Kurochkina
Sechenov First Moscow State Medical University (Sechenov University)
Email: editor@omnidoctor.ru
ORCID iD: 0000-0002-0010-3961
Graduate Student
Russian Federation, MoscowNatalia V. Kuchkina
Sechenov First Moscow State Medical University (Sechenov University)
Email: editor@omnidoctor.ru
ORCID iD: 0000-0002-7605-5302
Cand. Sci. (Biol.)
Russian Federation, MoscowNikolay L. Bayandin
Filatov City Clinical Hospital No.15
Email: editor@omnidoctor.ru
ORCID iD: 0000-0002-9199-5669
D. Sci. (Med.), Prof.
Russian Federation, MoscowNino V. Tsereteli
Sechenov First Moscow State Medical University (Sechenov University)
Email: editor@omnidoctor.ru
ORCID iD: 0000-0003-1517-5244
Cand. Sci. (Med.)
Russian Federation, MoscowDavid G. Ioseliani
Sechenov First Moscow State Medical University (Sechenov University)
Email: editor@omnidoctor.ru
ORCID iD: 0000-0001-6425-7428
Acad. RAS, D. Sci. (Med.), Prof.
Russian Federation, MoscowVictor V. Fomin
Sechenov First Moscow State Medical University (Sechenov University)
Email: editor@omnidoctor.ru
ORCID iD: 0000-0002-2682-4417
Acad. RAS, Corr. Memb. RAS, D. Sci. (Med.), Prof.
Russian Federation, MoscowReferences
- Lyon AR, Bossone E, Schneider B, et al. Current state of knowledge on Takotsubo syndrome: a Position Statement from the Taskforce on Takotsubo Syndrome of the Heart Failure Association of the European Society of Cardiology. Eur J Heart Fail. 2016;18(1):8-27. doi: 10.1002/ejhf.424
- Lyon AR, Rees PS, Prasad S, et al. Stress (Takotsubo) cardiomyopathy – a novel pathophysiological hypothesis to explain catecholamine-induced acute myocardial stunning. Nat Clin Pract Cardiovasc Med. 2008;5(1):22-9. doi: 10.1038/ncpcardio1066
- Шмоткина А.О., Шилова А.С., Гилярова Е.М., и др. Синдром такоцубо у пациентов в критическом состоянии: современное представление о проблеме и опыт многопрофильного московского стационара. Анестезиология и реаниматология. 2019;(1):44-9 [Shmotkina AO, Shilova AS, Giliarova EM, et al. Takotsubo syndrome in critically ill patients in a Moscow multi-field hospital. Russian Journal of Anaesthesiology and Reanimatology (Anesteziologiya i Reanimatologiya). 2019;(1):44-9 (in Russian)]. doi: 10.17116/anaesthesiology201901144
- Dong F, Yin L, Sisakian H, et al. Takotsubo syndrome is a coronary microvascular disease: experimental evidence. Eur Heart J. 2023;44(24):2244-53. doi: 10.1093/eurheartj/ehad274
- Wittstein IS, Thiemann DR, Lima JA, et al. Neurohumoral features of myocardial stunning due to sudden emotional stress. N Engl J Med. 2005;352(6):539-48. doi: 10.1056/NEJMoa043046
- Templin C, Ghadri JR, Diekmann J, et al. Clinical Features and Outcomes of Takotsubo (Stress) Cardiomyopathy. N Engl J Med. 2015;373(10):929-38. doi: 10.1056/NEJMoa1406761
- Болдуева С.А., Евдокимов Д.С. Кардиомиопатия такоцубо. Обзор данных литературы: понятие, эпидемиология, патогенез. Часть I. Российский кардиологический журнал. 2022;27(3S):4993 [Boldueva SA, Evdokimov DS. Takotsubo cardiomyopathy. Literature review: concept, epidemiology, pathogenesis. Part I. Russian Journal of Cardiology. 2022;27(3S):4993 (in Russian)]. doi: 10.15829/1560-4071-2022-4993
- Шилова А.С., Шмоткина А.О., Яфарова А.А., Гиляров М.Ю. Синдром такоцубо: современные представления о патогенезе, распространенности и прогнозе. Рациональная фармакотерапия в кардиологии. 2018;14(4):598-604. Режим доступа: https://cyberleninka.ru/article/n/sindrom-takotsubo-sovremennye-predstavleniya-o-patogeneze-rasprostranennosti-i-prognoze Ссылка активна на 9.10.2023 [Shilova AS, Shmotkina AO, Yafarova AA, Gilyarov MYu. Takotsubo Syndrome: Contemporary Views on the Pathogenesis, Prevalence and Prognosis. Rational Pharmacotherapy in Cardiology. 2018;14(4):598-604. Available at: https://cyberleninka.ru/article/n/sindrom-takotsubo-sovremennye-predstavleniya-o-patogeneze-rasprostranennosti-i-prognoze Accessed: 9.10.2023 (in Russian)]. doi: 10.20996/1819-6446-2018-14-4-598-604
- Кактурский Л.В., Михалева Л.М., Мишнев О.Д., и др. Синдром такоцубо (стресс-индуцированная кардиомиопатия). Архив патологии. 2021;83(1):5-11 [Kakturskiy LV, Mikhaleva LM, Mishnev OD., et al. Takotsubo syndrome (stress-induced cardiomyopathy). Arkh Patol. 2021;83(1):5-11 (in Russian)]. doi: 10.17116/patol2021830115
- Лиманкина И.Н. Кардиомиопатия такотсубо. Вестник аритмологии. 2009;56:48-58 [Limankina IN. Tako tsubo cardiomyopathy. Journal of Arrhythmology. 2009;(56):48-58 (in Russian)].
- Bybee KA, Prasad A, Barsness GW, et al. Clinical characteristics and thrombolysis in myocardial infarction frame counts in women with transient left ventricular apical ballooning syndrome. Am J Cardiol. 2004;94(3):343-6. doi: 10.1016/j.amjcard.2004.04.030
- Кылбанова Е.С., Дайбаннырова С.С., Степанова Н.В., и др. Клинические случаи синдрома такоцубо. Вестник Северо-Восточного федерального университета им. М.К. Аммосова. Серия: Медицинские науки. 2020;20(3):21-7 [Kylbanova ES, Daybannyrova SS, Stepanova NV, et al. Clinical cases of Takotsubo syndrome. Vestnik of North-Eastern Federal University. Medical Sciences. 2020;20(3):21-7 (in Russian)]. doi: 10.25587/SVFU.2020.20.3.002
- Buja P, Zuin G, Di Pede F, et al. Long-term outcome and sex distribution across ages of left ventricular apical ballooning syndrome. J Cardiovasc Med. (Hagerstown). 2008;9(9):905-9. doi: 10.2459/JCM.0b013e3282fec072
- Костянов И.Ю., Гасанова Г.И., Рогатова А.Н., и др. Клиническое наблюдение пациентки с кардиомиопатией такотсубо. Международный журнал интервенционной кардиоангиологии. 2016;(46/47):61-76 [Kostyanov IYu, Gasanova GI, Rogatova AN, et al. Clinical case of a female patient with takotsubo cardiomyopathy. International Journal of Interventional Cardioangiologe. 2016;(46/47):61-76 (in Russian)].
Supplementary files














