The kidney diseases associated with HIV infection and coinfection with viral hepatitis B and C. Case report
- Authors: Martynov A.Y.1, Krivushkin S.A.2, Irkabaeva M.M.1, Cherenkova D.O.3
-
Affiliations:
- Patrice Lumumba People’s Friendship University of Russia
- Moscow City Hospital named after S.S. Yudin of the Moscow Healthcare Department
- Russian Scientific Center of Roentgenology and Radiology
- Issue: Vol 26, No 10 (2024): CARDIOLOGY AND NEPHROLOGY
- Pages: 684-691
- Section: Articles
- Published: 23.11.2024
- URL: https://consilium.orscience.ru/2075-1753/article/view/626633
- DOI: https://doi.org/10.26442/20751753.2024.10.202670
- ID: 626633
Cite item
Full Text
Abstract
The article presents the main pathomorphological, pathogenetic, classification, diagnostic information and clinical cases of kidney disease in patients with HIV infection and viral hepatitis B and C coinfection. Two cases of lupus-like glomerulonephritis and a rare case of C3-glomerulopathy due to HIV are described, which characterized by different disease severity and a diverse kidney damage clinical manifestation, demonstrating the role of isolated HIV infection and coinfection with viral hepatitis B and C in glomerular injury.
Full Text
Введение
По данным на 2023 г., заболеваемость ВИЧ в Российской Федерации составила 20,4 человека на 100 тыс. населения [1]. Среди людей с ВИЧ-инфекцией чаще, чем в общей популяции, распространены заболевания почек, которые могут прогрессировать вплоть до терминальной почечной недостаточности (ТПН) [2].
При гистологическом исследовании почек пациентов с заболеваниями, возникающими при ВИЧ-инфекции, выделяют изменения с доминирующим поражением гломерул, канальцев и интерстициальной ткани, сосудов почек, а также другие поражения на фоне ВИЧ. Поражения гломерул в первую очередь связаны с подоцитопатией, которая характеризуется сглаживанием и слиянием отростков ножек подоцитов. Классически ВИЧ-ассоциированная нефропатия (ВИЧ-АН) проявляется сегментарным или глобальным коллапсом клубочка с гипертрофией и гиперплазией подоцитов. Кроме того, выявляются фокально-сегментарный гломерулосклероз (ФСГС), диффузная гиперклеточность мезангия, минимальные изменения. Другой механизм связан с отложением иммунных комплексов (ИК) в клубочке. Иммунокомплексное повреждение почек связано с отложением мезангиально и эндокапиллярно всего набора иммуноглобулинов (Ig) – IgG, A, M, компонентов системы комплемента (СК) – С3, 4 и 1q, типичного для волчаночного нефрита, или только с отложением IgA, который характерен для IgA-нефропатии.
Тубулоинтерстициальное повреждение представлено в виде атрофии канальцев, интерстициального фиброза, эндотелиальных тубулоретикулярных включений и микрокистозной дилатации канальцев [3].
Полный спектр заболеваний почек, выявляемых при биопсии на фоне ВИЧ-инфекции, представлен в табл. 1 [4, 5].
Таблица 1. Классификация заболеваний почек, связанных с ВИЧ
I. Гломерулярно-доминантные | |
A. Подоцитопатии | Классическая ВИЧ-АН |
ФСГС на фоне ВИЧ | |
Заболевание с минимальными изменениями на фоне ВИЧ | |
Диффузная мезангиальная гиперклеточность на фоне ВИЧ | |
Другие подоцитопатии на фоне ВИЧ | |
B. Иммунокомплексные заболевания клубочков | IgA-нефропатия на фоне ВИЧ |
Волчаночноподобный ГН на фоне ВИЧ | |
Волчаночный нефрит на фоне ВИЧ | |
Мембранозная нефропатия на фоне ВИЧ | |
Мембранопролиферативный ГН на фоне ВИЧ | |
Эндокапиллярный пролиферативный и экссудативный ГН на фоне ВИЧ. Постстрептококковые, ассоциированные со стафилококком, другие | |
Фибриллярный или иммунотактоидный ГН на фоне ВИЧ | |
Другие иммунокомплексные заболевания на фоне ВИЧ | |
II. Тубулоинтерстициально-доминантное поражение | |
A. Тубулоинтерстициальное повреждение на фоне классического ВИЧ | Гиалиновая капельная тубулопатия |
Трубчатые микроцисты | |
Тубулоинтерстициальное воспаление | |
B. Острое повреждение канальцев или острый некроз канальцев | Ишемическое |
Токсическое (связанное с ВААРТ) по сравнению с другими | |
C. Тубулоинтерстициальный нефрит, вызванный лекарственными препаратами (кроме ВААРТ) | Антибиотики |
Ингибиторы протонной помпы | |
НПВП | |
Другие | |
D. Тубулоинтерстициальное воспаление, связанное с иммунологической дисфункцией | Синдром диффузного инфильтративного лимфоцитоза |
Воспалительный синдром восстановления иммунитета | |
Другое тубулоинтерстициальное воспаление на фоне ВИЧ | |
E. Прямое инфицирование почечной паренхимы патогенами | Бактериальными |
Вирусными | |
Грибковыми | |
Простейших и др. | |
III. Сосудисто-доминантное | |
A. Тромботическая микроангиопатия на фоне ВИЧ | |
B. Артериосклероз | |
IV. Другие поражения на фоне ВИЧ-инфекции | |
A. Диабетическая нефропатия | |
B. Возрастной нефросклероз | |
C. Гипертоническая нефропатия | |
D. C3-ГП | |
E. Амилоидоз | |
F. Прогрессирующее хроническое повреждение неопределенной этиологии | |
Примечание. НПВП – нестероидные противовоспалительные препараты.
Патогенез заболеваний почек на фоне ВИЧ связан с прямым цитопатическим воздействием вируса, который реплицируется в почечных клетках [6]. В различных исследованиях у пациентов с ВИЧ-нефропатией не обнаружена экспрессия корецепторов проникновения ВИЧ-хемокиновых рецепторов CCR5 и CXCR4 во внутренних клубочковых, канальцевых и реноваскулярных клетках. При наличии тубулоинтерстициального воспаления экспрессия CCR5 и CXCR4 локализовалась в инфильтрирующих мононуклеарных лейкоцитах [7], что предполагает нерецепторный механизм проникновения вируса. Имеются данные о роли трансмембранного фактора некроза опухоли α (ФНО-α) в облегчении проникновения вируса и интеграции ВИЧ в ДНК почечных эпителиальных клеток. Показано, что сверхэкспрессия трансмембранного ФНО-α на фоне ВИЧ-инфекции вызывает воспаление в эпителиальных клетках почек и подоцитах, что «подготавливает» почечные клетки к инфицированию ВИЧ-1. Обнаружено, что ФНО-α активизирует нуклеарный фактор каппа-би и интеграцию ВИЧ в ДНК подоцитов. Вхождение ВИЧ в подоциты происходит через липидные рафты. Кроме того, вирус может передаваться напрямую от клетки к клетке за счет туннельных нанотрубок через уже инфицированные мононуклеары [8–12].
ВИЧ-АН – наиболее распространенное заболевание среди лиц, не получающих высокоактивную антиретровирусную терапию (ВААРТ). Заболевание проявляется при тяжелой иммуносупрессии, заключающейся в малом количестве CD4+-клеток и высокой вирусной нагрузке. ВИЧ-АН встречается среди представителей негроидной расы, у которых значительно распространены определенные аллели гена аполипопротеина L1 – варианты G1 и/или G2, ассоциированные с высоким риском заболеваний почек, в частности ВИЧ-АН [13]. Клинически ВИЧ-АН проявляется протеинурией нефротического диапазона, быстрым прогрессированием до ТПН, отсутствием гипертонии и изменений в мочевом осадке. Ввиду отсутствия патогномоничных признаков и наличия ряда альтернативных заболеваний для постановки диагноза необходима биопсия почки. Основу лечения составляют скорейшее начало или продолжение ВААРТ, отказ от препаратов, обладающих нефротоксичностью, а также назначение ингибиторов ренин-ангиотензин-альдостероновой системы, которые улучшают выживаемость и задерживают прогрессирование до ТПН [14, 15].
Иммунокомплексный гломерулонефрит (ГН) на фоне ВИЧ – морфологически неоднородная группа заболеваний, которая включает как патогенетически связанные с ВИЧ варианты, в частности IgA-нефропатию, волчаночноподобный ГН, мембранозный ГН, мембранопролиферативный ГН, иммунотактоидный ГН, так и постинфекционный ГН, опосредованный системной инфекцией за счет грамположительной кокковой флоры или вследствие инфекций-оппортунистов [16].
Волчаночноподобный ГН на фоне ВИЧ морфологически напоминает нефрит при системной красной волчанке, но в отсутствие ее иммунологических маркеров, в частности антинуклеарных антител, антител к двухцепочечной ДНК (анти-dsДНК), антител к экстрагируемому ядерному антигену Sm. При световой микроскопии, как и при системной красной волчанке, можно наблюдать различную гистологическую картину, в частности мезангиальный минимальный или пролиферативный нефрит, очаговый или диффузный пролиферативный ГН с субэндотелиальным отложением «проволочных петель» и полулуний, мембранозный и склерозирующий ГН [17]. При иммунофлуоресцентной микроскопии выявляется так называемый "full house" – свечение IgA, M, G и компонентов СК C3, С1q. Патогенез волчаночноподобного ГН при ВИЧ до конца не изучен, обнаружены циркулирующие ИК, состоящие из антигенов ВИЧ (gp41, gp20, p24) и антител IgG и A, с ними связанных. В нескольких исследованиях рассматриваются механизмы, связанные с развитием поликлональной гипергаммаглобулинемии, которая развивается на фоне хронического персистирования ВИЧ [18]. У пациентов чаще всего наблюдались микроскопическая гематурия, массивная протеинурия и нарушение функции почек, прогрессирующее до ТПН. Применение ВААРТ в отношении иммунокомплексных ГН, в отличие от ВИЧ-АН, значимо не повлияло на прогрессирование почечных заболеваний. Существуют сообщения об успешном применении ингибиторов ангиотензинпревращающего фермента, системных глюкокортикостероидов и микофеноловой кислоты [17, 19].
Патогенез мембранозного ГН также не ясен, а одним из предполагаемых механизмов является активная репликация ВИЧ в клетках, подтверждением чему служит нахождение генома вируса при биопсии ткани почки, а также в патогенезе имеет место дизрегуляция иммунной системы, которая способствует вхождению вируса в клетку [20]. Существует предположение о том, что ВИЧ не напрямую приводит к поражению клубочков, а вызывает аутоиммунный ответ, подобно вирусным гепатитам В (ВГВ) и С (ВГС), в виде синтеза аутоантител к внутренним клубочковым антигенам, таким как PLA2R (рецептор фосфолипазы А2). Однако при такой ситуации представляется затруднительным исключить первичный PLA2R-ассоциированный мембранозный ГН [21].
В структуре ГН на фоне ВИЧ-инфекции C3-гломерулопатия (С3-ГП) является редкой патологией и представляет собой гетерогенную группу заболеваний, выявляемую гистологически и состоящую из болезни плотных отложений и С3-ГП. Морфологически болезнь плотных отложений проявляется гломерулярными отложениями плотного осмиофильного материала и С3-ГП – менее плотными мезангиальными, субэндотелиальными и субэпителиальными отложениями [22]. Причинами являются активация (дизрегуляция) альтернативного пути СК из-за приобретенных аутоантител к регуляторным факторам (CFH, CFI, CFD), С3-конвертазе, нефритическим факторам (NeF) СК (C3NeF, C4NeF, C5NeF) и генетические мутации в тех же регуляторных белках СК, CFHR5, С3-факторе. Перечисленные белки участвуют в инактивации активного С3b-фактора, который откладывается на гломерулярной базальной мембране. Кроме того, даже в норме присутствует персистирующая выработка C3b-компонента (работа вхолостую – "tick over"), что в условиях дефицита ингибирующих факторов приводит к избыточному накоплению C3b-фракции и возникновению С3-ГП. Клинические проявления варьируют от бессимптомной гематурии до массивного нефротического синдрома. Для постановки диагноза необходимо исследовать компоненты СК, Ig, криоглобулины в сыворотке крови. Выявляют снижение С3 и нормальный уровень С4-фракции. При световой микроскопии и иммунофлуоресценции свечение С3-компонента будет как минимум на 2 порядка выше, чем свечение Ig, C1q, C4. Для уточнения ультраструктуры ГП требуется осуществить электронную микроскопию. После установления гистологического диагноза С3-ГП следует провести иммунологические тесты на антитела и генетические тесты на мутации перечисленных белков СК [23].
Сочетание ВИЧ с ВГВ, ВГС повышает риск заболевания почек и может вызвать иммунокомплексно-ассоциированную нефропатию смешанной этиологии. ВГВ способствует возникновению таких заболеваний клубочков почек, как мембранозный ГН, мембранопролиферативный ГН, IgA-нефропатия, криоглобулинемическая нефропатия. Механизм данных изменений состоит в образовании ИК, однако остается дискутабельным вопрос о том, поступают ли ИК из кровотока, а затем фиксируются в клубочках, или они образуются in situ. ИК предположительно состоят из маркера ВГВ HBeAg и IgG/C3 [24, 25]. При ВГС обнаруживаются мембранопролиферативный ГН с/без криоглобулинемии, мембранозный ГН, ФСГС, связанный с антителами к кардиолипину, иммунотактоидный ГН [26]. Чаще всего встречается мембранопролиферативный ГН с криоглобулинемией 2 или 3-го типа. Патогенез связан со способностью белков ВГС имитировать аутоантигены хозяина и активировать, соответственно, В-лимфоциты, которые продуцируют огромное количество аутоантител, в результате чего образуются ИК, из которых собираются крупные сложные агрегаты – криоглобулины, выпадающие в осадок под воздействием низких температур [27].
Далее приведем серию клинических случаев пациентов с заболеваниями почек на фоне ВИЧ-инфекции.
Клинический случай 1
Пациент М., 42 года. 15 февраля 2021 г. в плановом порядке госпитализирован в нефрологическое отделение ГБУЗ «ГКБ им. С.С. Юдина» с жалобами на слабость, повышение артериального давления (АД), отеки нижних конечностей до средних третей голеней, лица.
Анамнез заболевания. С 1999 г. отмечает повышение АД максимально до 220/110 мм рт. ст., адаптирован к 160/100 мм рт. ст. Медикаментозную терапию не получал. Летом 2020 г. стали отекать нижние конечности, снизился диурез. С января 2021 г. после ежедневного приема алкоголя на протяжении месяца сильно отекало лицо, в связи с чем неоднократно обращался к терапевту в поликлинику, где ему назначили гипотензивную терапию, которую пациент регулярно не принимал и за цифрами АД не следил. По результатам амбулаторного обследования выявлено в биохимическом анализе крови: креатинин – 79 мкмоль/л, мочевина – 4,1 ммоль/л, альбумин – 26 г/л, в общем анализе мочи (ОАМ): белок – до 3 г/л, активный мочевой осадок (+++), в связи с чем пациент направлен в нефрологическое отделение ГБУЗ «ГКБ им. С.С. Юдина».
Анамнез жизни. Работает дальнобойщиком. Abusus. Курит 2–3 пачки в день на протяжении 20 лет. Индекс курильщика – 50 пачка/лет. Прием наркотических средств отрицает. Семейный анамнез не отягощен. Инфекционные заболевания в анамнезе отрицает.
Результаты физикального обследования. Общее состояние средней тяжести. Сознание ясное. Кожные покровы розовые, нормальной влажности. Температура тела 36,5°С. Отеки лица, стоп, голеней до средних третей. Дыхание ровное, ритмичное, частота дыхательных движений (ЧДД) – 16 в минуту. В легких везикулярное дыхание, хрипов нет. Границы сердца не расширены. Тоны сердца ясные, ритмичные, сердечные шумы не выслушиваются. АД – 190/100 мм рт. ст. Частота сердечных сокращений (ЧСС) – 82 в минуту. Язык розовый, влажный. Живот симметричный, мягкий, безболезненный. Печень пальпаторно не определяется. Стул оформленный, регулярный. Симптом поколачивания отрицательный. Мочеиспускание свободное, произвольное.
Клинический анализ крови (16.02.2021): без особенностей. Биохимический анализ крови (15.02.2021): общий белок (ОБ) – 72 г/л (n=64–82), альбумин – 21,5 г/л (n=34–50), билирубин общий – 4,5 мкмоль/л (n=3–17), мочевая кислота (МК) – 520 мкмоль/л (n=155–357), мочевина – 9,5 ммоль/л (n=2,4–6,4), креатинин – 106 мкмоль/л (n=53–115), аспартатаминотрансфераза (АСТ) – 25 Ед/л (n=15–37), аланинаминотрансфераза – 40 Ед/л (n=10–49). Иммунологическое исследование (16.02.2021): C3-комплемент – 0,82 г/л (0,9–1,8), С4-комплемент – 0,21 г/л (0,1–0,4), антитела к кардиолипину IgM – 6,9 Ед/мл (n<7), антитела к кардиолипину IgG – 29,69 Ед/мл (n<10), антитела IgG к фосфолипидам – 18,9 МЕ/мл (n<10). Диагностика парентеральных инфекций (19.02.2021): реакция Вассермана (RW) – отр., поверхностный антиген ВГВ – отр., иммуноферментный анализ (ИФА) на ВИЧ: HIV Ag-Ab COMBO 749,00 – положит.
ОАМ (17.02.2021): цвет желтый, прозрачность – полная, относительная плотность – 1019 г/л (n=1012–1022), уровень кислотности (pH) мочи – 5,5 (n=4–7), белок – 3,22 г/л (n=0–0,14), кетоновые тела – 0,5 ммоль/л (n = не опр.), лейкоциты – 9–19 в п/зр (n=0–5), реакция на кровь – 300 эр./мкл, эритроциты смешанные – 5–9 (n=0–6 в п/зр), бактерии – умеренное количество (n = не опр.), эпителий плоский, умеренно, глюкоза, билирубин, нитриты мочи – не обнаружены, суточная протеинурия (СПУ) – 3,40 г/сут.
Компьютерная томография (КТ) брюшной полости (18.02.2021): КТ-картина гиперденсной высокоплотной структуры размерами 8,2×5,6 мм в нижней трети левого мочеточника (может соответствовать конкременту), признаки пиелокаликоуретероэктазии слева.
Ультразвуковое исследование (УЗИ) почек, надпочечников и забрюшинного пространства (17.02.2021): УЗ-картина без структурных изменений.
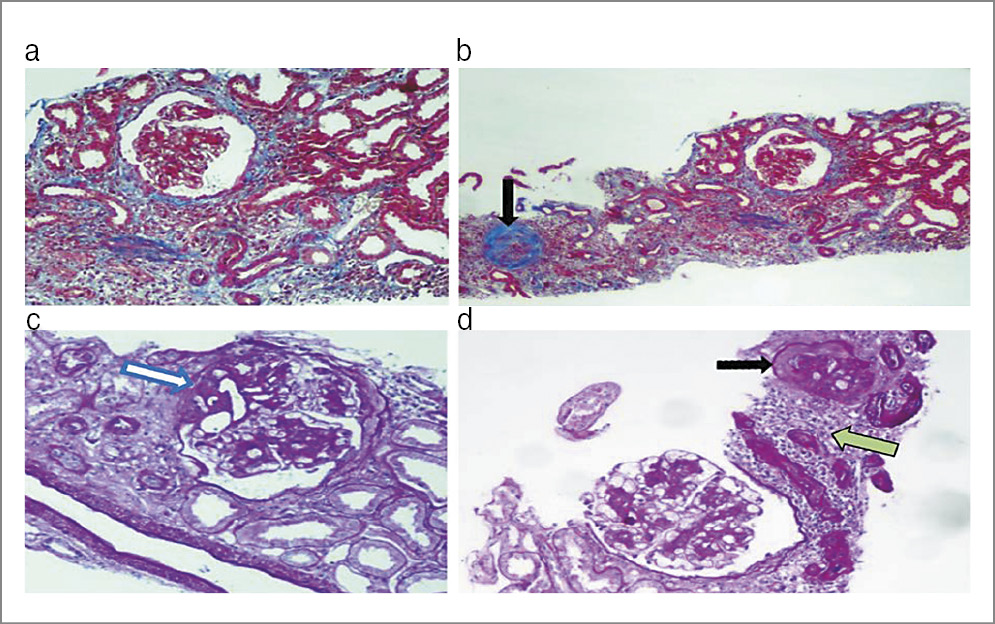
Гистологическое исследование нефробиоптатов (15.02.2021, рис. 1): проведены окраска гематоксилин-эозином (Г-Э), реакция Шифф-йодной кислотой (ШИК-реакция), окраска трихром по Массону. При световой микроскопии: в препарате 6 клубочков, 2 из них полностью склерозированы. Оставшиеся клубочки увеличены в размерах и выглядят гиперклеточными за счет преимущественно мезангиальной (до 7–8 клеток на зону мезангия) и сегментарной эндокапиллярной (в 1 клубочке) пролиферации. Имеются синехии с капсулой Боумена. Стенки капиллярных петель не утолщены, одноконтурные. Диффузно-очаговый склероз интерстиция и атрофия канальцев, занимающая около 25–30% почечной паренхимы. Диффузно-очаговая, достаточно плотная инфильтрация интерстиция мононуклеарами с примесью большого числа плазматических клеток без явлений тубулита. Артериолы – без особенностей. Артерии в препарате отсутствуют. При иммунофлуоресценции: IgG – то же, что С3+; IgA – негативно; IgM – то же, что С3+; С1q – негативно; С3 – мезангий и периферия капиллярных петель гранулярно+++; Kappa – то же, что С3+; Lambda – то же, что С3+; фибриноген – нет. Заключение. Фокальный пролиферативный и склерозирующий ГН. Комментарии: данная морфологическая картина наиболее характерна для иммунокомплексного ГН, однако, учитывая преобладание свечения С3-фрагмента комплемента, нельзя исключать С3-ГП.
Рис. 1. Фокальный пролиферативный и склерозирующий ГН: a, b – гиперклеточность клубочков за счет мезангиальной и сегментарной эндокапиллярной пролиферации, склерозированный клубочек (черная стрелка), склероз интерстиция и атрофия канальцев. Окраска трихром по Массону ×200 (a), окраска трихром по Массону ×100 (b); с – синехии с капсулой Боумена (белая стрелка). ШИК-реакция ×250; d – диффузно-очаговая инфильтрация мононуклеарами и большим количеством плазматических клеток (зеленая стрелка), склерозированный клубочек (черная стрелка). Окраска Г-Э ×200
Клинический диагноз. Основное заболевание: ВИЧ-инфекция (неуточненной стадии). С3-ГП на фоне ВИЧ. Морфологически – фокальный пролиферативный и склерозирующий ГН. Хроническая болезнь почек (ХБП) С2А3 (расчетная скорость клубочковой фильтрации – рСКФ – 74,2 мл/мин/1,73 м2 по CKD-EPI).
Осложнения основного заболевания: нефротический синдром. Артериальная гипертензия (АГ) 3-й степени, риск сердечно-сосудистых осложнений 4-й степени.
Сопутствующие заболевания: мочекаменная болезнь, конкремент левого мочеточника. Пиелокаликоуретероэктазия слева. Гиперурикемия.
С 15 февраля 2021 г. на протяжении 3 мес получал следующее лечение: таблетки преднизолона 40 мг 1 раз в день, с 15 по 19 февраля 2021 г. – таблетки бисопролола 2,5 мг, нифедипина 30 мг, фозиноприла 40 мг, аллопуринола 100 мг, омепразола 20 мг.
Клинический случай 2
Пациентка Г., 38 лет. 23 июля 2020 г. в плановом порядке госпитализирована в нефрологическое отделение ГБУЗ «ГКБ им. С.С. Юдина» с жалобами на общую слабость, одышку при минимальной физической нагрузке, потемнение мочи и отеки нижних конечностей до уровня коленных суставов, пальцев рук, передней брюшной стенки, лица.
Анамнез заболевания. С юности страдает хроническим пиелонефритом (ХП) с обострениями 1 раз в 5 лет, по поводу которых принимает антибактериальную терапию. В 2009 г. диагностирован ВГС, в 2016 г. – ВИЧ, на данный момент регулярно получает ВААРТ: ламивудин 150 мг, абакавир 600 мг, лопинавир/ритонавир по 2 таблетки 2 раза в день. Иммунный статус от 18 мая 2020 г.: CD4 – 118 кл/мкл, CD8 – 602 кл/мкл, CD8 – 57%, CD4/8 – 0,19, РНК ВИЧ – 1251 коп/мл. В 2019 и 2020 г. госпитализирована в связи с проявлениями мочевого синдрома, которые расценивали как обострения ХП. При последней госпитализации 15 июня 2020 г. отмечено нарастание протеинурии (СПУ – 11,24 г/сут), гипопротеинемии (альбумин – 18 г/л), эритроцитурии – до 99 в п/зр. После выписки состояние прогрессивно ухудшалось. Нарастала слабость, возникали отеки, потемнела моча. Направлена в ГБУЗ «ГКБ им. С.С. Юдина».
Анамнез жизни. Не работает, инвалидность 3-й группы. Употребление алкоголя и наркотических средств отрицает. Курит на протяжении 15 лет по 1 пачке в день. Отказалась от курения в 2019 г. Индекс курильщика – 15 пачка/лет. Семейный анамнез не отягощен. Инфекционные заболевания в детстве отрицает.
Результаты физикального обследования. Состояние средней тяжести. Сознание ясное. Кожные покровы бледные, теплые, нормальной влажности. Отеки стоп, голеней до уровня коленных суставов, пальцев рук, передней брюшной стенки, лица. Температура 36,8ºС. Дыхание ровное, ритмичное. ЧДД – 19 в минуту. В легких дыхание везикулярное усиленное. Границы сердца не расширены. Тоны сердца ясные, ритмичные, сердечные шумы не выслушиваются. АД – 130/80 мм рт. ст. ЧСС – 70 в минуту. Язык розовый, влажный, с налетом белого цвета. Живот симметричный, мягкий, безболезненный. Печень пальпаторно по краю реберной дуги. Стул оформленный, регулярный. Симптом поколачивания отрицательный. Мочеиспускание свободное, произвольное. Моча темно-желтого цвета, объем за предыдущие сутки – 1000 мл.
Клинический анализ крови (23.07.2020): гемоглобин – 79,0 г/л, гематокрит – 23,8, эритроциты – 2,40×1012/л, тромбоциты – 97×109/л, лейкоциты – 3,7×109/л, лимфоциты – 28%, моноциты – 12,8%, базофилы – 0,3%. Биохимический анализ крови (23.07.2020): ОБ – 48 г/л (n=64–82), альбумин – 15 г/л (n=34–50), билирубин общий – 3,4 мкмоль/л (n=3–17), МК – 343 мкмоль/л (n=155–357), мочевина – 33,7 ммоль/л (n=2,4–6,4), креатинин – 243 мкмоль/л (n=53–115), щелочная фосфатаза – 89 Ед/л (n=50–136), лактатдегидрогеназа – 201 Ед/л (n=81–234), АСТ – 39 Ед/л (n=15–37). Диагностика парентеральных инфекций (23.07.2020): RW – отр., антитела к ВГС – положит., ИФА на ВИЧ: HIV Ag-Ab COMBO 976,00 – положит. Иммунологическое исследование (31.07.2020): C3-комплемент – 1,51 г/л (0,9–1,8), С4-комплемент – 0,35 г/л (0,1–0,4). Антинуклеарный фактор – обнаружен (титр 1:320), анти-dsДНК – 1,8 МЕ/мл (n<4,9).
ОАМ (23.07.2020): цвет желтый, прозрачность – мутная, относительная плотность – 1019 г/л (n=1012–1022), pH мочи – 5,5 (n=4–7), белок – 5,12 г/л (n=0–0,14), лейкоциты – 1–3 в п/зр (n=0–5), реакция на кровь – 300 эр./мкл, эритроциты смешанные – 49–99 (n=0–6 в п/зр), бактерии – умеренно (n = не опр.), эпителий плоский, умеренно, глюкоза, кетоновые тела, билирубин, нитриты мочи – не обнаружены, СПУ – 6,10 г/сут.
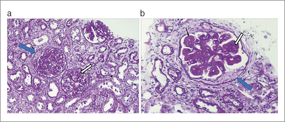
КТ брюшной полости и забрюшинного пространства с болюсным контрастированием (27.07.2020): КТ-признаки свободной жидкости в брюшной полости и в полости малого таза; единичный конкремент левой почки (диаметром до 5 мм); простая киста левой почки. УЗИ почек, надпочечников и забрюшинного пространства (30.07.2020): УЗ-признаки кисты (13 мм) и конкремента (3,8 мм) левой почки. Гистологическое исследование нефробиоптатов (30.07.2020, рис. 2): проведены окраска Г-Э, ШИК-реакция, окраска трихром по Массону. При световой микроскопии: в препарате 11 клубочков, один из них полностью склерозирован. В нем определяются фрагменты фиброзного полулуния, еще в 3 клубочках – участки сегментарного склероза капиллярных петель с образованием сегментарных фиброзных полулуний. Оставшиеся клубочки выглядят гиперклеточными за счет мезангиальной и эндокапиллярной пролиферации с сопутствующей экстракапиллярной реакцией и образованием в 4 из них сегментарных фиброзно-клеточных и клеточных полулуний. Стенки капиллярных петель резко утолщены, в 2 клубочках по типу «проволочных петель» имеются двойные контуры. Отек и диффузно-очаговый фиброз интерстиция с сопутствующей атрофией канальцев, занимающие около 30% почечной паренхимы. Выраженная дистрофия канальцевого эпителия. Артериолы – без особенностей. Артерии в препарате отсутствуют. При иммунофлуоресценции: IgG – периферия капиллярных петель и мезангий крупногранулярно +; IgA – то же, что IgG++; IgM – то же, что IgG++; С1q – следы; С3 – то же, что IgG+; Kappa – то же, что IgG++; Lambda – то же, что IgG++; фибриноген – нет. Заключение. Диффузный пролиферативный ГН с 36% сегментарных фиброзно-клеточных полулуний, крупными субэндотелиальными депозитами и свечением всех классов Ig. Учитывая данные анамнеза, можно предполагать наличие волчаночноподобного ГН на фоне ВИЧ.
Рис. 2. Диффузный пролиферативный ГН с 36% сегментарных фиброзно-клеточных полулуний и крупными субэндотелиальными депозитами: a – мезангиальная и эндокапиллярная пролиферация (белая стрелка) с образованием фиброзно-клеточных полулуний (синяя стрелка). Окраска Г-Э ×200; b – мезангиальная пролиферация (белая стрелка) с полулунием (синяя стрелка) и субэндотелиальными депозитами в виде «проволочных петель» (черная стрелка). Окраска Г-Э ×250
Клинический диагноз. Основное заболевание: ВИЧ-инфекция, стадия 4А, фаза прогрессирования на фоне ВААРТ. Волчаночноподобный иммунокомплексный ГН на фоне ВИЧ. Морфологически – диффузный пролиферативный ГН с 36% сегментарных фиброзно-клеточных полулуний, IV класс A+C волчаночного нефрита. ХБП С4А4 (рСКФ – 21,93 мл/мин/1,73 м2 по CKD-EPI).
Сочетанное заболевание: хронический ВГС.
Осложнения основного заболевания: нефротический синдром. АГ 3-й степени, риск сердечно-сосудистых осложнений 3-й степени. Анемия средней степени тяжести. Панцитопения.
Сопутствующие заболевания: мочекаменная болезнь, конкремент левой почки. ХП, ремиссия.
Пациентка получала следующее лечение: 31 июля 2020 г. – раствор метилпреднизолона 1000 мг 1 раз день, с 1 по 2 августа 2020 г. – раствор метилпреднизолона 500 мг 1 раз день, с 3 по 11 августа 2020 г. – таблетки преднизолона 40 мг 1 раз в день, с 23 июля по 1 августа 2020 г. – раствор железа [III] гидроксида 100 мг внутривенно капельно, раствор рекомбинантный Эритропоэтина человека 2500 Ед подкожно, с 23 июля по 11 августа 2020 г. – таблетки моксонидина 0,2 мг, с 23 по 28 июля 2020 г. – таблетки амлодипина 10 мг, с 1 по 5 августа 2020 г. – таблетки метронидазола 100 мл (5 мг/мл).
Клинический случай 3
Пациентка М., 48 лет. 25 января 2021 г. в плановом порядке госпитализирована в нефрологическое отделение ГБУЗ «ГКБ им. С.С. Юдина» с жалобами на периодические ноющие двусторонние боли в пояснице, боли в спине в проекции позвоночника, с иррадиацией влево.
Анамнез заболевания. С 2014 г. периодически в вечернее время отмечала субфебрильную температуру 37,2–37,5ºС с ознобом, по утрам судороги икроножных мышц, жидкий стул до 3–5 раз в сутки обычной окраски без патологических примесей, в последующее время – выпадение волос. В 2017 г. установлен диагноз «хронический ВГВ», противовирусную терапию не получала, уровень вирусной нагрузки не известен. В октябре 2020 г. после перенесенной острой респираторной вирусной инфекции отметила покраснение мочи длительностью 2–3 нед, по поводу чего консультирована терапевтом. В анализе крови креатинин составил 128 мкмоль/л, в ОАМ белок – 0,3 г/л, мочевой осадок – более 10 эритроцитов/мкл. Терапевт назначил цефепим 400 мг 1 раз в день в течение 10 дней, что, со слов пациентки, дало положительный эффект. При амбулаторном обследовании от 11 января 2021 г. ОАМ – без особенностей, СПУ – отр. В плановом порядке направлена в нефрологическое отделение ГБУЗ «ГКБ им. С.С. Юдина».
Анамнез жизни. Не работает. Употребление алкоголя, наркотических средств отрицает. Курит. Индекс курильщика – 12 пачка/лет. Семейный анамнез не отягощен.
Результаты физикального обследования. Состояние средней тяжести. Сознание ясное. Кожные покровы розовые, теплые, нормальной влажности. Температура тела 36,5ºC. Отеков нет. Дыхание ровное, ритмичное. ЧДД – 17 в минуту. В легких везикулярное дыхание, хрипов нет. Границы сердца не расширены. Тоны сердца ясные, ритмичные, сердечные шумы не выслушиваются. АД – 130/80 мм рт. ст. ЧСС – 76 в минуту. Язык розовый, влажный. Живот симметричный, мягкий, безболезненный. Печень пальпаторно по краю реберной дуги. Стул оформленный, регулярный. Симптом поколачивания сомнительный с обеих сторон. Мочеиспускание свободное, произвольное. Моча соломенного цвета, объем – 1400 мл/сут.
Клинический анализ крови (26.01.2021): гемоглобин – 100,0 г/л, гематокрит – 30,1, скорость оседания эритроцитов – 55 мм/ч, в остальном – без особенностей. Биохимический анализ крови (25.01.2021): ОБ – 89 г/л (n=64–82), альбумин – 34 г/л (n=34–50), билирубин общий – 3,5 мкмоль/л (n=3–17), МК – 269 мкмоль/л (n=155–357), мочевина – 6,1 ммоль/л (n=2,4–6,4), креатинин – 108 мкмоль/л (n=53–115), щелочная фосфатаза – 98 Ед/л (n=50–136), лактатдегидрогеназа – 212 Ед/л (n=81–234), АЛТ – 30 Ед/л (n=10–49), АСТ – 22 Ед/л (n=15–37). Иммунологические исследования (25.01.2021): ревматоидный фактор – 129,5 МЕ/л (n=0–30), С3 – 1,02 г/л (n=0,7–1,8), С4 – 0,24 г/л (n=0,1–0,4), антитела к циклическому цитруллиновому пептиду – 0,6 Ед/мл (n<3), анти-dsДНК<1 МЕ/мл (n<4,9), антитела к экстрагируемому ядерному антигену Sm<0,2 (n<1), антитела к кардиолипину IgM – 26,46 Ед/мл (n<7), антитела к кардиолипину IgG – 8,42 Ед/мл (n<10), антитела IgG к фосфолипидам – 5,62 МЕ/мл (n<10). Диагностика парентеральных инфекций: ИФА на ВИЧ (28.01.2021) – положит., иммуноблоттинг ВИЧ (29.01.2021) – положит., gp160+, gp120+, gp41+, p55+, p40+, p24+, p18+, p68+, p52+, p34+. RW (28.01.2021) – отр. Поверхностный антиген ВГВ (28.01.2021) – положит. Анализ на антитела к ВГС (28.01.2021) – отр.
ОАМ (25.01.2021): цвет желтый, прозрачность – неполная, относительная плотность – 1012 г/л (n=1012–1022), pH мочи – 5,5 (n=4–7), лейкоциты – 5–9 в п/зр (n=0–5), реакция на кровь – 300 эр./мкл, эритроциты смешанные – 9–19 (n=0–6 в п/зр), бактерии – умеренное количество (n = не опр.), эпителий плоский, небольшое количество, белок, кетоновые тела, глюкоза, билирубин, нитриты мочи – не обнаружены, СПУ – 0,27 г/сут (n=0–0,15).
УЗИ почек, надпочечников и забрюшинного пространства (28.01.2021): УЗ-картина без структурных изменений.
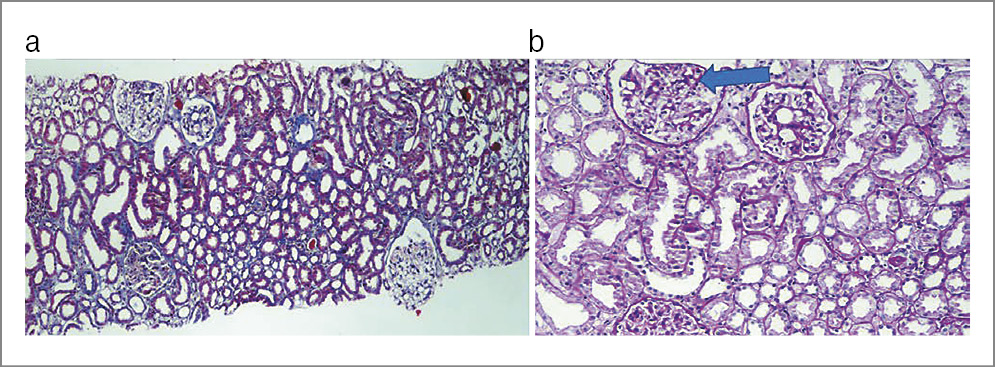
Гистологическое исследование нефробиоптатов (26.01.2021, рис. 3): проведены окраска Г-Э, ШИК-реакция, окраска трихром по Массону. В препарате 7 клубочков, не увеличены в размерах, в одном из них отмечается небольшое расширение мезангия с сопутствующей мезангиальной пролиферацией до 3–4 клеток на зону мезангия. Стенки капиллярных петель не утолщены, одноконтурные. Интерстиций не изменен. Артерии и артериолы – без особенностей. Иммунофлуоресценция: IgG – мезангий ++, IgA – то же, что IgG+, IgM – то же, что IgG++, С3 – то же, что IgG++, C1q – то же, что IgG++, Каppа – следы, Lambda – то же, что IgG++. Заключение. Учитывая данные иммунофлуоресценции и минимальную мезангиальную пролиферацию, морфологическая картина наиболее характерна для I класса волчаночного нефрита.
Рис. 3. Минимальная мезангиальная пролиферация: a, b – мезангиальная пролиферация (синяя стрелка). Окраска трихром по Массону ×100 (a), ШИК-реакция ×200 (b)
Клинический диагноз. Основное заболевание: ВИЧ-инфекция, стадия 2Б. Волчаночноподобный иммунокомплексный ГН на фоне ВИЧ. Морфологически – минимальная мезангиальная пролиферация, класс II волчаночного нефрита. ХБП С3аА2 (рСКФ 52,25 мл/мин/1,73 м2 CKD-EPI).
Сочетанное заболевание: хронический ВГВ.
Осложнения основного заболевания: анемия легкой степени тяжести.
С 25 января по 1 февраля 2021 г. пациентка получала таблетки лозартана 50 мг, железа [III] гидроксида 20 мг.
Обсуждение
У первого пациента с впервые выявленной и, вероятно, длительно персистирующей ВИЧ-инфекцией, а также с такими факторами риска ХБП, как неконтролируемая АГ более 20 лет, курение с высоким индексом курильщика – 50 пачка/лет, злоупотребление алкоголем, мочекаменная болезнь, клиническая картина поражения почек представлена внезапно развившимися на фоне злоупотребления алкоголем массивной протеинурией 3,40 г/сут, гипоальбуминемией, отеками лица и нижних конечностей. Кроме того, отмечалась стойкая АГ – АД 190/100 мм рт. ст. Такая клиническая картина не характерна для поражения почек при злоупотреблении алкоголем, где обычно отмечается умеренная протеинурия, а при гистологическом исследовании – IgA-нефропатия [28]. При биопсии почек выявлены характерные для ВИЧ-инфекции диффузно-очаговый склероз интерстиция и атрофия канальцев. При иммунофлуоресценции свечение С3-фракции было выше на 2 порядка по сравнению с IgG, M, A, C1q – негативно, что с учетом снижения С3-компонента СК при нормальном уровне С4-фракции в сыворотке крови позволяет предполагать С3-ГП. У данного пациента, вероятнее всего, длительно персистирующая ВИЧ-инфекция самостоятельно или в совокупности с хронической интоксикацией алкоголем и курением табака привела к избыточной активации альтернативного пути СК [29]. Возможно, что указанные факторы привели к реализации генетической мутации или генного полиморфизма с изменением структуры регуляторных протеинов СК и нарушением их функции. При последующем наблюдении у больного отмечена микрогематурия, СКФ – 69,20 мл/мин/1,73 м2. Клиническое течение нефропатии может расцениваться как доброкачественное.
У второй пациентки имело место сочетание ВГС и ВИЧ-инфекции, выявленных в 2009 и в 2016 г. соответственно. Имелись также факторы риска ХБП: ХП с редкими обострениями, табакокурение в анамнезе с невысоким индексом курильщика – 15 пачка/лет. По поводу ВИЧ-инфекции пациентка регулярно получала ВААРТ. Несмотря на терапию, сохранялась высокая активность ВИЧ. Клиническая картина поражения почек характеризовалась выраженным нефротическим синдромом со значительным ухудшением функции почек. Гистологически на биопсии почки выявлен диффузный пролиферативный ГН с образованием полулуний, что соответствует IV классу A+C по классификации ISN/RPS волчаночных нефритов. В отсутствие иммунологических критериев системной красной волчанки и данных иммунофлуоресценции – «full house» с преобладающим свечением всех Ig, данный иммунокомплексный волчаночноподобный ГН можно рассматривать как следствие ВИЧ-инфекции. Вероятно, причинами быстропрогрессирующего поражения почек стали длительное персистирование и высокая активность ВИЧ-инфекции. Однако с учетом длительного инфицирования пациентки ВГС нельзя исключить сочетанного воздействия 2 вирусов на клубочки почек и связанную с этим тяжелую клиническую симптоматику в виде выраженного нефротического синдрома и прогрессирующего снижения функции почек. Приведенное предположение подтверждают данные различных исследований о влиянии коинфекции ВГС на заболевания почек, связанные с ВИЧ, где прослеживаются увеличение риска и более тяжелое течение поражения почек, проявляющееся в более частой необходимости диализа и/или большей смертности [30, 31]. Данная пациентка через месяц после выписки скончалась в инфекционной клинике от присоединившейся рожистой инфекции.
Третья пациентка с единственным фактором риска ХБП – курением, ВГВ, выявленным в 2017 г. и впервые выявленной ВИЧ-инфекцией характеризовалась клинически и гистологически доброкачественным течением нефрита. Информация о статусе ВГВ отсутствовала. При биопсии выявлена минимальная мезангиальная пролиферация. Данные изменения с учетом микрогематурии и микроальбуминурии могут соответствовать II классу волчаночного нефрита по классификации ISN/RPS. В отсутствие иммунологических маркеров системной красной волчанки и, несмотря на более длительный анамнез ВГВ, данный иммунокомплексный ГН интерпретировали как развившееся на фоне ВИЧ заболевание почек. По данным литературы, коинфекция ВГВ влияет на прогрессирование ХБП у ВИЧ-больных, хотя повреждающее действие ВГВ не связано с его активностью [32]. Клинические и гистологические проявления нефрита у больной не характерны для ВГВ, соответственно, роль данной инфекции в повреждении почек сомнительна. При последующем наблюдении у пациентки изменений в анализах мочи не отмечено, СКФ – 62,5 мл/мин/1,73 м2. Клиническое течение нефропатии расценивается как доброкачественное.
Заключение
Во всех 3 клинических случаях заболевание почек развилось на фоне ВИЧ-инфекции и связано с непосредственным или иммунокомплексным повреждением почек ВИЧ. Большой интерес представляет пациент с С3-ГП, которую на фоне ВИЧ-инфекции описывают крайне редко. В литературе приведены единичные наблюдения о такого рода этиопатогенетической связи [33]. У данных пациентов, как и в нашем случае, остается открытым вопрос о первичном или вторичном характере изменений в СК. Два случая иммунокомплексного волчаночноподобного нефрита, характерного для ВИЧ-инфекции, подтверждают более значимое повреждающее воздействие на почки ВИЧ, чем ВГВ и ВГС. У пациентки с высокой активностью ВИЧ и ВГС, несмотря на длительное применение ВААРТ, отмечено тяжелое течение нефрита с ярко выраженными клиническими проявлениями и значительным снижением СКФ с последующим летальным исходом. Приведенный случай подтверждают литературные данные о связи активности ВИЧ-инфекции с тяжестью повреждения почек, а также об ухудшении течения ГН и прогноза пациентов при длительном сочетанном персистировании ВГС [31, 32]. В случае пациентки с хроническим ВГВ с минимальной клинической активностью и впервые выявленной ВИЧ-инфекцией волчаночноподобный нефрит протекал доброкачественно. Вероятнее всего, ВГВ не оказал такого повреждающего воздействия на почки и не повлиял на течение ГН. Рассматриваемый случай показывает индивидуальность иммунного ответа на персистирование ВГВ и большую тропность ВИЧ-инфекции к почкам [33].
Антикардиолипиновые антитела, найденные у 2 из 3 пациентов, никак не коррелируют с тромботическими изменениями по показателям коагулограмм, что также согласовывается с литературными данными об их незначимости у ВИЧ-больных [34, 35].
Раскрытие интересов. Авторы декларируют отсутствие явных и потенциальных конфликтов интересов, связанных с публикацией настоящей статьи.
Disclosure of interest. The authors declare that they have no competing interests.
Вклад авторов. Авторы декларируют соответствие своего авторства международным критериям ICMJE. Все авторы в равной степени участвовали в подготовке публикации: разработка концепции статьи, получение и анализ фактических данных, написание и редактирование текста статьи, проверка и утверждение текста статьи.
Authors’ contribution. The authors declare the compliance of their authorship according tо the international ICMJE criteria. All authors made a substantial contribution to the conception of the work, acquisition, analysis, interpretation of data for the work, drafting and revising the work, final approval of the version to be published and agree to be accountable for all aspects of the work.
Источник финансирования. Авторы декларируют отсутствие внешнего финансирования для проведения исследования и публикации статьи.
Funding source. The authors declare that there is no external funding for the exploration and analysis work.
Информированное согласие на публикацию. Пациенты подписали форму добровольного информированного согласия на публикацию медицинской информации.
Consent for publication. Written consent was obtained from the patients for publication of relevant medical information and all accompanying images within the manuscript.
About the authors
Alexey Yu. Martynov
Patrice Lumumba People’s Friendship University of Russia
Author for correspondence.
Email: martynov_ayu@pfur.ru
ORCID iD: 0000-0002-2438-2862
Cand. Sci. (Med.)
Russian Federation, MoscowSergey A. Krivushkin
Moscow City Hospital named after S.S. Yudin of the Moscow Healthcare Department
Email: martynov-ayu@rudn.ru
ORCID iD: 0000-0003-0294-6257
Department Head
Russian Federation, MoscowMalika M. Irkabaeva
Patrice Lumumba People’s Friendship University of Russia
Email: martynov-ayu@rudn.ru
ORCID iD: 0000-0003-0346-8920
Assist. Prof.
Russian Federation, MoscowDarya O. Cherenkova
Russian Scientific Center of Roentgenology and Radiology
Email: martynov-ayu@rudn.ru
Clinical Resident
Russian Federation, MoscowReferences
- ВИЧ-инфекция в Российской Федерации на 30 июня 2023 г. Режим доступа: https://files.antispidnn.ru/uploads/docs/spec/vich2023.pdf. Ссылка активна на 12.01.2024 г. [VICh-infektsiia v Rossiiskoi Federatsii na 30 iiunia 2023 g. Available at: https://files.antispidnn.ru/uploads/docs/spec/vich2023.pdf. Accessed: 12.02.2024 (in Russian)].
- Wyatt CM. Kidney Disease and HIV Infection. Top Antivir Med. 2017;25(1):13-6.
- Kudose S, Santoriello D, Bomback AS, et al. The spectrum of kidney biopsy findings in HIV-infected patients in the modern era. Kidney Int. 2020;97(5):1006-16. doi: 10.1016/j.kint.2020.01.018
- Swanepoel CR, Atta MG, D'Agati VD, et al. Kidney disease in the setting of HIV infection: conclusions from a Kidney Disease: Improving Global Outcomes (KDIGO) Controversies Conference. Kidney Int. 2018;93(3):545-59. doi: 10.1016/j.kint.2017.11.007
- Diana NE, Davies M, Mosiane P, et al. Clinicopathological correlation of kidney disease in HIV infection pre- and post-ART rollout. PLoS One. 2022;17(5):e0269260. doi: 10.1371/journal.pone.0269260
- Herman ES, Klotman PE. HIV-associated nephropathy: Epidemiology, pathogenesis, and treatment. Semin Nephrol. 2003;23(2):200-8. doi: 10.1053/snep.2003.50018
- Eitner F, Cui Y, Hudkins KL, et al. Chemokine receptor CCR5 and CXCR4 expression in HIV-associated kidney disease. J Am Soc Nephrol. 2000;11(5):856-67. doi: 10.1681/ASN.V115856
- Bracq L, Xie M, Benichou S, Bouchet J. Mechanisms for Cell-to-Cell Transmission of HIV-1. Front Immunol. 2018;9:260. doi: 10.3389/fimmu.2018.00260
- Eugenin EA, Gaskill PJ, Berman JW. Tunneling nanotubes (TNT) are induced by HIV-infection of macrophages: a potential mechanism for intercellular HIV trafficking. Cell Immunol. 2009;254(2):142-8. doi: 10.1016/j.cellimm.2008.08.005
- Mikulak J, Singhal PC. HIV-1 entry into human podocytes is mediated through lipid rafts. Kidney Int. 2010;77(1):72-3. doi: 10.1038/ki.2009.366
- Khatua AK, Taylor HE, Hildreth JE, Popik W. Non-productive HIV-1 infection of human glomerular and urinary podocytes. Virology. 2010;408(1):119-27. doi: 10.1016/j.virol.2010.09.005
- Li J, Das JR, Tang P, et al. Transmembrane TNF-α Facilitates HIV-1 Infection of Podocytes Cultured from Children with HIV-Associated Nephropathy. J Am Soc Nephrol. 2017;28(3):862-75. doi: 10.1681/ASN.2016050564
- Limou S, Nelson GW, Lecordier L, et al. Sequencing rare and common APOL1 coding variants to determine kidney disease risk. Kidney Int. 2015;88(4):754-63. doi: 10.1038/ki.2015.151
- Atta MG. Diagnosis and natural history of HIV-associated nephropathy. Adv Chronic Kidney Dis. 2010;17(1):52-8. doi: 10.1053/j.ackd.2009.08.005
- Burns GC, Paul SK, Toth IR, Sivak SL. Effect of angiotensin-converting enzyme inhibition in HIV-associated nephropathy. J Am Soc Nephrol. 1997;8(7):1140-6. doi: 10.1681/ASN.V871140
- Nochy D, Glotz D, Dosquet P, et al. Renal disease associated with HIV infection: a multicentric study of 60 patients from Paris hospitals. Nephrol Dial Transplant. 1993;8(1):11-9. doi: 10.1093/oxfordjournals.ndt.a092263
- Haas M, Kaul S, Eustace JA. HIV-associated immune complex glomerulonephritis with "lupus-like" features: a clinicopathologic study of 14 cases. Kidney Int. 2005;67(4):1381-90. doi: 10.1111/j.1523-1755.2005.00215.x
- Cohen SD, Kimmel PL. Immune complex renal disease and human immunodeficiency virus infection. Semin Nephrol. 2008;28(6):535-44. doi: 10.1016/j.semnephrol.2008.08.006
- Tiong M, Wilson S, Pham A, Chrysostomou A. Successful treatment of HIV-associated lupus-like glomerulonephritis with mycophenolic acid. Clin Case Rep. 2020;8(9):1601-4. doi: 10.1002/ccr3.2955
- Kimmel PL, Phillips TM, Ferreira-Centeno A, et al. HIV-associated immune-mediated renal disease. Kidney Int. 1993;44(6):1327-40. doi: 10.1038/ki.1993.386
- Charu V, Andeen N, Walavalkar V, et al. Membranous nephropathy in patients with HIV: a report of 11 cases. BMC Nephrol. 2020;21(1):401. doi: 10.1186/s12882-020-02042-x
- Cook HT, Pickering MC. Clusters Not Classifications: Making Sense of Complement-Mediated Kidney Injury. J Am Soc Nephrol. 2018;29(1):9-12. doi: 10.1681/ASN.2017111183
- Schena FP, Esposito P, Rossini M. A Narrative Review on C3 Glomerulopathy: A Rare Renal Disease. Int J Mol Sci. 2020;21(2). doi: 10.3390/ijms21020525
- Mazzaro C, Adinolfi LE, Pozzato G, et al. Extrahepatic Manifestations of Chronic HBV Infection and the Role of Antiviral Therapy. J Clin Med. 2022;11(21). doi: 10.3390/jcm11216247
- Lai KN, Li PK, Lui SF, et al. Membranous nephropathy related to hepatitis B virus in adults. N Engl J Med. 1991;324(21):1457-63. doi: 10.1056/NEJM199105233242103
- Kamar N, Rostaing L, Alric L. Treatment of hepatitis C-virus-related glomerulonephritis. Kidney Int. 2006;69(3):436-9. doi: 10.1038/sj.ki.5000142
- da Mata GF, Fernandes DE, Luciano EP, et al. Inflammation and kidney involvement in human viral diseases caused by SARS-CoV-2, HIV, HCV and HBV. J Venom Anim Toxins Incl Trop Dis. 2021;27:e20200154. doi: 10.1590/1678-9199-JVATITD-2020-0154
- Saha MK, Julian BA, Novak J, Rizk DV. Secondary IgA nephropathy. Kidney Int. 2018;94(4):674-81. doi: 10.1016/j.kint.2018.02.030
- Shen H, French BA, Liu H, et al. Increased activity of the complement system in the liver of patients with alcoholic hepatitis. Exp Mol Pathol. 2014;97(3):338-44. doi: 10.1016/j.yexmp.2014.09.004
- Wyatt CM, Malvestutto C, Coca SG, et al. The impact of hepatitis C virus coinfection on HIV-related kidney disease: a systematic review and meta-analysis. AIDS. 2008;22(14):1799-807. doi: 10.1097/QAD.0b013e32830e0152
- Izzedine H, Sene D, Cacoub P, et al. Kidney diseases in HIV/HCV-co-infected patients. AIDS. 2009;23(10):1219-26. doi: 10.1097/QAD.0b013e32832ac36a
- Mocroft A, Neuhaus J, Peters L, et al. Hepatitis B and C co-infection are independent predictors of progressive kidney disease in HIV-positive, antiretroviral-treated adults. PLoS One. 2012;7(7):e40245. doi: 10.1371/journal.pone.0040245
- Kawakita C, Kinomura M, Otaka N, et al. HIV-associated Immune Complex Kidney Disease with C3-dominant Deposition Induced by HIV Infection after Treatment of IgA Nephropathy. Intern Med. 2019;58(20):3001-7. doi: 10.2169/internalmedicine.2439-18
- Uthman IW, Gharavi AE. Viral infections and antiphospholipid antibodies. Semin Arthritis Rheum. 2002;31(4):256-63. doi: 10.1053/sarh.2002.28303
- Ankri A, Bonmarchand M, Coutellier A, et al. Antiphospholipid antibodies are an epiphenomenon in HIV-infected patients. AIDS. 1999;13(10):1282-3. doi: 10.1097/00002030-199907090-00024
Supplementary files






