Laparoscopic nephrectomy for polycystic kidney disease: Benefit or necessity?
- Authors: Firsov M.A.1,2, Simonov P.A.1,2, Duntz D.A.2, Shalamay E.V.1, Alekseeva E.A.1,2, Bezrukov E.A.2,3, Sorsunov S.V.1
-
Affiliations:
- Krasnoyarsk Regional Clinical Hospital
- Voino-Yasenetsky Krasnoyarsk State Medical University
- Sechenov First Moscow State Medical University (Sechenov University)
- Issue: Vol 25, No 7 (2023): Урология
- Pages: 456-460
- Section: Articles
- Published: 15.07.2023
- URL: https://consilium.orscience.ru/2075-1753/article/view/627464
- DOI: https://doi.org/10.26442/20751753.2023.7.202286
- ID: 627464
Cite item
Full Text
Abstract
Background. According to foreign and domestic authors, autosomal dominant polycystic kidney disease (ADPKD) is a disease accompanied by a progressive deterioration in the functional state of the kidneys and occupies a significant contribution to the structure of all causes leading to the end stage of chronic renal failure (ESRD). An increase in the volume of the kidneys and the development of complications significantly worsen the quality of life of these patients. Open surgical interventions are accompanied by a more severe course. In this connection, the question of choosing the timing and method of surgical intervention in this group of patients remains relevant.
Aim. To evaluate the results of nephrectomy in patients with ADPKD for the period from 2016 to 2022, performed at the Krasnoyarsk Regional Clinical Hospital.
Materials and methods. Within 6 years, 22 nephrectomies were performed in 20 patients with ADPKD. Monolateral nephrectomy was performed in 12 cases, simultaneous bilateral surgery was performed in eight patients. The mean age of the patients was 51.3±7.9 years. Mostly nephrectomy was performed by laparoscopic approach (17 patients), lumbotomy operation was performed in three patients. The need for conversion during laparoscopic operations was not noted.
Results. Open surgical treatment was performed only because of uncontrolled gross hematuria and suppuration of cysts. All patients were transferred to the intensive care unit after surgery. Repeated surgery due to the development of bleeding was required in 33.3% of cases. The need for an inpatient stage of treatment was 15.1±2.8 days. In one case, a fatal outcome was recorded. Laparoscopic nephrectomy was performed in 17 patients, monolateral in seven patients, staged bilateral in two, and simultaneous bilateral in eight patients. In 41% of cases, in addition to pain and hypertension, nephrectomy was due to the upcoming kidney transplantation. The average volume of removed kidneys was 3138.74±356.30 ml. The average bed-day was 8.86±2.4 days.
Conclusion. The increase in the number of patients with ADPKD and ESRD raises the question of the improvement in their quality of life that can be achieved by unilateral or bilateral nephrectomy. However, there are no clearly regulated criteria that determine the indications for these types of surgery. Despite certain difficulties, we believe that laparoscopic nephrectomy in patients with ADPKD and ESRD is the most optimal.
Full Text
Актуальность
Поликистоз почек вносит весомый вклад в структуру всех причин, приводящих к терминальной стадии хронической почечной недостаточности (тХПН), и занимает одно из лидирующих мест в перечне урологических заболеваний – до 8,1% [1, 2]. Аутосомно-доминантная поликистозная болезнь почек (АДПБП), например, в США является причиной развития терминальной стадии хронической болезни почек (тХБП и ХБП соответственно) у 5% пациентов, получающих заместительную почечную терапию, и этот показатель постепенно увеличивается [3]. Бразильские специалисты фиксируют, что данная патология – наиболее частотная среди урологических заболеваний нозология, сопровождающаяся развитием тХПН, – 6,2% [4].
АДПБП генетически неоднородна, и развитие почечной недостаточности при этой патологии сильно варьирует [5]. Исследования H. Mitcheson и соавт. демонстрировали, что примерно у 70% пациентов с АДПБП развивается почечная недостаточность при достижении 65-летнего возраста [6].
Рецидивные инфекции мочевыводящих путей, нефролитиаз, а также постоянные боли, дискомфорт в пояснице и животе – нередкие «спутники» пациентов с АДПБП [7]. В исследованиях J. Grantham и соавт. также доказано, что увеличение объема почек сопутствует некоторым осложнениям, приводящим к появлению макрогематурии или пиелонефритов, и является прогностическим фактором риска развития ХБП [8]. Увеличение размеров кист может приводить к активации ренин-ангиотензин-альдостероновой системы и развитию или прогрессированию гипертензионного синдрома [9].
По данным отечественных авторов, использование лапароскопических технологий значительно снижает травматичность вмешательства, частоту послеоперационных осложнений и летальность пациентов с данной патологией. Преимущество лапароскопического доступа – практически отсутствие осложнений, сопровождающих лапаро- или люмботомный доступ. Риск тяжелых послеоперационных осложнений открытых вмешательств, таких как тяжелый парез кишечника и сепсис, несоизмеримо высок, что не всегда позволяет избежать летальных исходов [10].
В исследованиях американских коллег показано, что билатеральная лапароскопическая нефрэктомия – безопасный и надежный вариант оперативного лечения пациентов, которым требуется одномоментное удаление двух почек. Однако увеличение объема почки более 3500 см3 приводит к повышенному риску открытой конверсии. Поэтапная лапароскопическая нефрэктомия обеспечивает эффективное устранение симптомов у пациентов с АДПБП, связанных с тяжестью, болью и дискомфортом в брюшной полости [11]. Следует внимательно избирать метод и объем оперативного лечения, принимая во внимание эффективность, безопасность и минимизацию рисков, учитывая и без того сниженные ресурсы организма данных пациентов.
Стоит отметить, что одним из показаний к проведению нефрэктомии поликистозных почек является планируемая трансплантация. При этом не существует однозначного мнения о необходимости выполнения нефрэктомии до, после или во время трансплантации почки. Некоторые исследования демонстрируют отсутствие различия результатов выживаемости пациентов и приживаемости трансплантата [12, 13].
Применение билатеральной нефрэктомии улучшает качество жизни (КЖ) большей части пациентов, потому что избавляет от болевого синдрома, гипертензии, устраняет повышенный риск развития рака в урогенитальном тракте. Однако исключение почки из участия в регуляции гомеостаза влияет на снижение выработки эритропоэтина, что необходимо учитывать при планировании операции.
Прогрессивно увеличивающееся число пациентов с АДПБП и тХБП требует продолжения поиска и определения более четких критериев и сроков для выполнения би- или монолатеральной нефрэктомии с учетом высокой вероятности развития инфекционных, геморрагических и других осложнений, а также влияния функции почек на другие процессы гомеостаза организма.
Цель исследования – оценить результаты нефрэктомий у пациентов с АДПБП за период с 2016 по 2022 г., выполненных в Красноярской краевой клинической больнице.
Материалы и методы
Исходя из данных Красноярского краевого реестра пациентов с тХБП, наибольшее количество удалений почек выполняются больным с поликистозом почек – 35,2%, в течение 6 лет выполнены 22 нефрэктомии у 20 пациентов (9 мужчин и 11 женщин); у 4 пациентов слева, у 8 – справа; одномоментная двусторонняя операция проведена в 8 случаях. Возраст пациентов варьировал от 37 до 68 лет, средний возраст – 51,3±7,9 года. Преимущественно нефрэктомию выполняли лапароскопическим доступом (17 пациентов), люмботомически операция проведена 3 больным. Необходимости конверсии при лапароскопических вмешательствах не было.
Результаты
Открытое оперативное лечение выполняли только в экстренном порядке по причине неконтролируемой макрогематурии в 1 случае и нагноения кист с развитием синдрома системного воспалительного ответа – в 2 случаях. Длительность оперативного вмешательства составила 92,26±26,1 мин, зафиксированная интраоперационная кровопотеря – 431,45±96,5 мл. Всех пациентов после операции переводили в отделение реанимации. В 2 случаях экстубация больных произведена на операционном столе; в 1 случае потребовалась продленная искусственная вентиляция легких, экстубация выполнена через 8 ч после перевода в отделение реанимации. В ранний послеоперационный период отмечено снижение уровня гемоглобина с 123,4±8,1 до 89,6±21,14 г/л по сравнению с исходным уровнем. Развитие постгеморрагической анемии потребовало гемотрансфузионной терапии у 2 пациентов в объеме 674,32±66,42 мл. На 1-е сутки после операции регистрировалось повышение концентрации калия с 4,13±0,84 до 4,9±0,37 ммоль/л, креатинина с 582,18±366,35 до 882,48±188,24 мкмоль/л и мочевины с 16,9±11,8 до 32,6±12,81 ммоль/л. Проведение безгепаринового 2-часового экстренного сеанса гемодиализа потребовалось 2 пациентам, что обусловлено критическими показателями уровня калия.
Всех больных после операции переводили в отделение реанимации. Повторное оперативное вмешательство в связи с развитием кровотечения потребовалось в 33,3% случаев. Стационарный этап лечения составил 15,1±2,8 дня. В 1 случае зафиксирован летальный исход на 34-й день после проведенной нефрэктомии; непосредственной причиной смерти явился развивавшийся отек головного мозга вследствие прогрессирования полиорганной недостаточности на фоне сепсиса.
Лапароскопическая нефрэктомия проведена 17 пациентам, монолатеральная – 7, этапная билатеральная – 2 и одномоментная билатеральная – 8 пациентам (рис. 1).
Рис. 1. Передняя брюшная стенка перед отсроченным этапом после односторонней лапароскопической нефрэктомии.
Показаниями к лапароскопической нефрэктомии послужили критерии, представленные В.С. Дайнеко и соавт. [14]. Помимо выполнения нефрэктомии перед предстоящей трансплантацией почки, в 41% случаев операцию проводили в связи с наличием болевого синдрома и дискомфорта в поясничной области и животе, существенно снижающих КЖ, которые сочетались как с нефрогенной артериальной гипертензией, наблюдаемой у 64,7% больных, так и с анурией – у 11% пациентов. Преимущественно операцию выполняли в плановом порядке, однако 2 больным проведена лапароскопическая односторонняя нефрэктомия по срочным показаниям: в 1-м случае в связи с признаками инфицирования кист и невозможностью их дренирования, во 2-м случае – в связи с развитием некорригируемой макрогематурии.
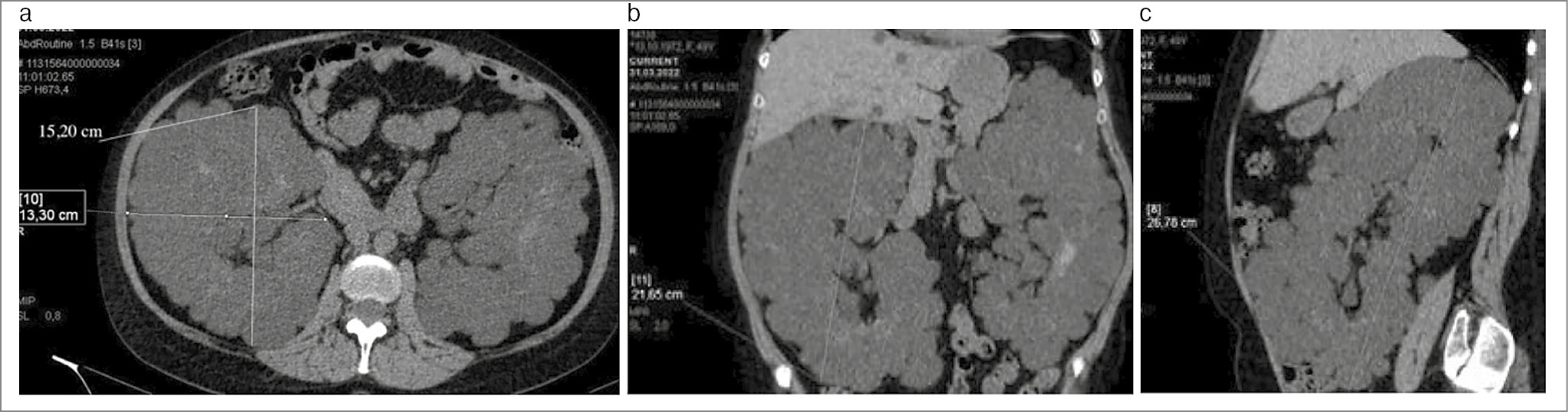
Всем пациентам проведены предоперационное обследование сопутствующей патологии с определением анестезиологических рисков и мультиспиральная компьютерная томография с контрастным усилением для оценки ангиоархитектоники почечной ножки и определения размеров почки. При измерении почки определяли объем по формуле эллипсоида, для подсчета которого необходимо получение трех размеров в разных плоскостях: передне-заднего, поперечного и краниокаудального (рис. 2).
Рис. 2. Мультиспиральная компьютерная томография почек с определением объема поликистозной почки: a – аксиллярная проекция; b – прямая проекция; c– сагиттальная проекция.
Средний объем удаляемых почек составил 3138,74±356,30 мл, при этом фиксировано, что у всех пациентов правая почка была несколько меньше левой (3030,79±339,16 и 3246,68±373,46 мл соответственно). Склонность к артериальной гипертензии до операции отмечали большинство (76%) пациентов на фоне приема корригирующей терапии. Систолическое артериальное давление до операции составило 144,37±9,68 мм рт. ст., пульсовое – 57,5±10,29 мм рт. ст. Подавляющее число пациентов имели склонность к анемии: уровень гемоглобина до операции был 113,8±13,1 г/л.
Определенная трудность при проведении лапароскопической нефрэктомии при поликистозе – ограничение пространства, при этом значительная сложность связана с изменением топографо-анатомических взаимоотношений не только органов брюшной полости, но и забрюшинного пространства (рис. 3).
Рис. 3. Интраоперационное изображение при нефрэктомии поликистозной почки слева.
Средняя продолжительность операции при лапароскопической монолатеральной нефрэктомии составила 153,9±45,69 мин, при билатеральной – 241,4±75,69 мин. Необходимо отметить, что продолжительность операции была значительно больше на этапе ее внедрения, в последующем время операции уменьшилось в среднем на 30 мин. Во время операции при выполнении билатеральной нефрэктомии также применены период смены положения тела и анестезиологическая пауза с целью определения рисков и возможности продолжения операции. Этот период составил от 15 до 35 мин. Длительность анестезиологического пособия – 279,31±110,15 мин; 53% пациентов экстубированы на операционном столе, 47% – на 1-е сутки после операции. Интраоперационная кровопотеря не превышала 500 мл (255,72±142,57 мл).
Сроки проведения сеансов гемодиализа определяли индивидуально, основываясь на изменениях основных параметров кислотно-щелочного равновесия, ионограммы и повышения азотемических показателей. Так, 1-е сутки после операции сопровождались повышением концентрации калия с 5,03±1,04 до 5,55±0,49 ммоль/л, креатинина – с 482,88±199,90 до 624,47±207,63 мкмоль/л, мочевины – с 13,78±4,41 до 14,5±4,95 ммоль/л. Экстренные сеансы (сразу после оперативного вмешательства) потребовались в 17,6% случаев (3 пациента) вследствие резкого увеличения азотемических показателей у 1 пациента, в 2 других случаях – по причине гиперкалиемии более 7 ммоль/л. Большинству (82,4%) пациентов в послеоперационный период проводили 2-часовой сеанс гемодиализа на следующий день после операции в безгепариновом режиме. Уровень гемоглобина в 1-е сутки снижался со 113,8±13,1 до 105±15,6 г/л, однако в последующем снижение гемоглобина у части больных прогрессировало и не было связано с кровотечением. Это обстоятельство в 35,3% случаев потребовало переливания эритроцитарной взвеси в объеме 633,33±316,56 мл. Уровень гемоглобина перед выпиской составил 96,9±15,4 г/л. Послеоперационных осложнений выше II класса по классификации Clavien–Dindo не зафиксировано. Стационарный этап лечения при нефрэктомии, выполненной лапароскопическим доступом, составил 8,86±2,4 дня (рис. 4).
Рис. 4. Удаленные поликистозные почки.
Нужно отметить, что у всех пациентов после выполненной нефрэктомии регистрировано значимое снижение систолического и пульсового артериального давления на момент выписки из стационара со 144,37±9,68 до 128,15±11,5 мм рт. ст. и с 57,5±10,29 до 48,75±7,8 мм рт. ст. соответственно. Наибольшие показатели снижения давления достигнуты у пациентов, которым выполнена двусторонняя операция. Систолическое давление в этой группе снизилось со 146,57±13,2 до 122,57±14,22 мм рт. ст., а пульсовое – с 62,57±10,11 до 45,42±6,8 мм рт. ст.
Обсуждение
АДПБП – заболевание, которое сопровождается прогрессивным ухудшением функционального состояния почек и неизбежно приводит к тХБП. Увеличение популяции пациентов с АДПБП прямо пропорционально числу больных с этой патологией, которым требуется заместительная почечная терапия. По данным регистра пациентов с тХБП Красноярского края за 2021 г. число пациентов с АДПБП увеличилось в 3 раза и составляет в структуре гемодиализ-потребных 12,8%.
При развитии инфекционно-воспалительных, геморрагических осложнений, требующих неотложного оперативного вмешательства, существенно ухудшается КЖ этих пациентов, что связано с увеличением объема почек. Открытые оперативные вмешательства сопровождаются более тяжелым течением, в связи с чем остается актуальным вопрос выбора сроков и метода хирургического вмешательства больным с АДПБП. Тяжелое течение послеоперационного периода, которое нередко сопровождает открытые оперативные вмешательства, пугает пациента, что приводит к отказу от предложенной операции в так называемый холодный период.
Внедрение в практику малоинвазивной (лапароскопической) нефрэктомии у пациентов с АДПБП и тХБП существенно улучшает КЖ больных. При этом минимальные сроки восстановления и отсутствие массивной хирургической агрессии приводят к большей приверженности пациентов лечению с помощью такого оперативного вмешательства (рис. 5). Вследствие этого выполнение плановой лапароскопической нефрэктомии позволяет не только улучшить КЖ пациента, но и провести профилактику тяжелых осложнений АДПБП.
Рис. 5. Передняя брюшная стенка пациента после билатеральной лапароскопической нефрэктомии.
Полученные нами результаты свидетельствуют о том, что санационная (профилактическая) нефрэктомия достаточно легко переносится пациентами, при этом с учетом современных успехов фармакологии появляется возможность корригировать последствия ренопривного состояния.
По нашим наблюдениям, из 17 больных, которым выполнена лапароскопическая би- или монолатеральная нефрэктомия, большинство получили возможность включения в лист ожидания на трансплантацию почки; в 8 (47%) случаях почки уже успешно трансплантированы, и эти пациенты имеют удовлетворительную функцию почки (период наблюдения составляет от 4 до 32 мес). Помимо случаев с риском развития инфекционно-воспалительных реакций организма, мы в основном проводили операции при случаях с превышением объема почек более 3 л, при которых существенно ограничена возможность выполнения трансплантации почек.
Заключение
Число пациентов с ХБП ежегодно увеличивается, рост количества гемодиализ-зависимых пациентов с поликистозом почек объясняется не только распространенностью этого заболевания, но и увеличением продолжительности жизни этих пациентов. Наблюдаемая тенденция непроизвольно поднимает вопрос об улучшении КЖ пациентов с АДПБП и тХБП, которое может быть достигнуто с помощью проведения моно- или билатеральной нефрэктомии. Однако в настоящее время не существует четко регламентирующих критериев, определяющих показаний к проведению этих видов оперативного вмешательства. По нашему мнению, одним из сдерживающих факторов по внедрению этого вида вмешательства является отсутствие приверженности пациентов хирургическому лечению, которое связано со страхом перенесения ими открытой операции. Использование лапароскопического доступа существенно улучшает отношение больного к предлагаемой нефрэктомии.
Несмотря на определенные сложности, связанные с хирургической техникой и анестезиологическим пособием, считаем, что выполнение нефрэктомии лапароскопическим доступом у пациентов с АДПБП и тХБП является наиболее оптимальным.
About the authors
Mikhail A. Firsov
Krasnoyarsk Regional Clinical Hospital; Voino-Yasenetsky Krasnoyarsk State Medical University
Author for correspondence.
Email: firsma@mail.ru
ORCID iD: 0000-0002-0887-0081
Cand. Sci. (Med.), Krasnoyarsk Regional Clinical Hospital, Voino-Yasenetsky Krasnoyarsk State Medical University
Russian Federation, Krasnoyarsk; KrasnoyarskPavel A. Simonov
Krasnoyarsk Regional Clinical Hospital; Voino-Yasenetsky Krasnoyarsk State Medical University
Email: wildsnejok@mail.ru
ORCID iD: 0000-0002-9114-3052
– urologist, Krasnoyarsk Regional Clinical Hospital, Voino-Yasenetsky Krasnoyarsk State Medical University
Russian Federation, Krasnoyarsk; KrasnoyarskDaria A. Duntz
Voino-Yasenetsky Krasnoyarsk State Medical University
Email: dashaduntz@mail.ru
student
Russian Federation, KrasnoyarskElena V. Shalamay
Krasnoyarsk Regional Clinical Hospital
Email: lena.shalamai@mail.ru
radiologist
Russian Federation, KrasnoyarskEkaterina A. Alekseeva
Krasnoyarsk Regional Clinical Hospital; Voino-Yasenetsky Krasnoyarsk State Medical University
Email: vohminak@mail.ru
ORCID iD: 0000-0002-8215-9095
Cand. Sci. (Med.), Krasnoyarsk Regional Clinical Hospital, Voino-Yasenetsky Krasnoyarsk State Medical University
Russian Federation, Krasnoyarsk; KrasnoyarskEugene A. Bezrukov
Voino-Yasenetsky Krasnoyarsk State Medical University; Sechenov First Moscow State Medical University (Sechenov University)
Email: eabezrukov@rambler.ru
ORCID iD: 0000-0002-2746-5962
D. Sci. (Med.), Voino-Yasenetsky Krasnoyarsk State Medical University, Sechenov First Moscow State Medical University (Sechenov University)
Russian Federation, Krasnoyarsk; MoscowSergey V. Sorsunov
Krasnoyarsk Regional Clinical Hospital
Email: sorsunov.sergey@yandex.ru
ORCID iD: 0000-0002-7116-9925
Cand. Sci. (Med.)
Russian Federation, KrasnoyarskReferences
- Янковой А.Г. Трансплантация почки у больных с урологическими заболеваниями: дис. … д-ра мед. наук. М., 2005 [Iankovoi AG. Transplantatsiia pochki u bol'nykh s urologicheskimi zabolevaniiami: dis. … d-ra med. nauk. Moscow, 2005 (in Russian)].
- Banaga ASI, Mohammed EB, Siddig RM, et al. Causes of end stage renal failure among haemodialysis patients in Khartoum State/Sudan. BMC Res Notes. 2015;8(1):1-7. doi: 10.1186/s13104-015-1509-x
- Pei Y. Diagnostic approach in autosomal dominant polycystic kidney disease. Clin J Am Soc Nephrol. 2006;1(5):1108-14. doi: 10.2215/CJN.02190606
- Sarmento LR, Fernandes PFCBC, Pontes MX, et al. Prevalence of clinically validated primary causes of end-stage renal disease (ESRD) in a State Capital in Northeastern Brazil. J Bras Nefrol. 2018;40(2):130-5. doi: 10.1590/2175-8239-jbn-3781
- Sedman A, Bell P, Manco-Johnson M, et al. Autosomal dominant polycystic kidney disease in childhood: A longitudinal study. Kidney Int. 1987;31(4):1000-5. doi: 10.1038/ki.1987.98
- Mitcheson H, Williams G, Castro JE. Clinical aspects of polycystic disease of the kidneys. Br Med J. 1977;1(6070):1196-9. doi: 10.1136/bmj.1.6070.1196
- Bajwa ZH, Gupta S, Warfield CA, Steinman TI. Pain management in polycystic kidney disease. Kidney Int. 2001;60(5):1631-44. doi: 10.1046/j.1523-1755.2001.00985.x
- Grantham JJ, Torres VE, Chapman AB, et al. Volume progression in polycystic kidney disease. N Engl J Med. 2006;354(20):2122-30. doi: 10.1056/NEJMoa054341
- Chapman AB. Approaches to testing new treatments in autosomal dominant polycystic kidney disease: insights from the CRISP and HALT-PKD studies. Clin J Am Soc Nephrol. 2008;3(4):1197-204. doi: 10.2215/CJN.00060108
- Резник О.Н., Ананьев А.Н., Невирович Е.С., и др. Лапароскопическая нефрэктомия у пациентов с аутосомно-доминантным поликистозом почек. Вестник трансплантологии и искусственных органов. 2016;18(3):50-6 [Reznik ON, Ananiev AN, Nevirovich ES, et al. Laparoscopic nephrectomy in patients with autosomal dominant polycystic kidney disease. Russian Journal of Transplantology and Artificial Organs. 2016;18(3):50-6 (in Russian)]. doi: 10.15825/1995-1191-2016-3-50-56
- Lipke MC, Bargman V, Milgrom M, Sundaram CP. Limitations of laparoscopy for bilateral nephrectomy for autosomal dominant polycystic kidney disease. J Urol. 2007;177(2):627-31. doi: 10.1016/j.juro.2006.09.026
- Gonçalves S, Guerra J, Santana A, et al. Autosomal-dominant polycystic kidney disease and kidney transplantation: experience of a single center. Transplant Proc. 2009;41(3):887-90. doi: 10.1016/j.transproceed.2009.01.069
- Bhutani G, Astor BC, Mandelbrot DA, et al. Long-term outcomes and prognostic factors in kidney transplant recipients with polycystic kidney disease. Kidney360. 2021;2(2):312. doi: 10.34067/KID.0001182019
- Дайнеко В.С., Ананьев А.Н., Невирович Е.С., и др. Результаты трансплантации почки пациентам с терминальной почечной недостаточностью, обусловленной аутосомно-доминантным поликистозом почек. Вестник трансплантологии и искусственных органов. 2019;21(2):39-48 [Daineko VS, Ananiev N, Nevirovich ES, et al. Results of kidney transplantation in patients with end-stage renal failure caused by autosomal dominant polycystic kidney disease. Russian Journal of Transplantology and Artificial Organs. 2019;21(2):39-48 (in Russian)]. doi: 10.15825/1995-1191-2019-2-39-48
Supplementary files








