Brain metastases as the first clinical manifestation of prostate cancer: a case report
- Authors: Ognerubov N.A.1, Sergeev R.S.2, Mikhalev D.M.3
-
Affiliations:
- Penza Institute for Further Training of Physicians – Branch Campus of Russian Medical Academy of Continuous Professional Education
- Penza Regional Oncology Clinical Dispensary
- Sergey Berezin Treatment and Diagnostic Center of the International Institute of Biological Systems, LLC
- Issue: Vol 25, No 11 (2023): Neurology and rheumatology
- Pages: 746-750
- Section: Articles
- Published: 15.11.2023
- URL: https://consilium.orscience.ru/2075-1753/article/view/627619
- DOI: https://doi.org/10.26442/20751753.2023.11.202505
- ID: 627619
Cite item
Full Text
Abstract
Background. Intracranial metastases, as the first clinical symptom of prostate cancer (PC), are extremely rare, with only anecdotal case reports in the literature.
Aim. To present a case of multiple brain metastases (MCI) as the first clinical manifestation of PC with isolated facial nerve injury (FNI).
Materials and methods. A 66-year-old patient with PC and multiple brain and bone metastases was observed.
Results. The patient considered himself sick for 4 months when weakness in the left arm, headache, dizziness, facial asymmetry, staggering when walking, and memory loss appeared. He received non-surgical treatment prescribed by a neurologist. A clinical examination revealed a neurological deficit in the form of FN central palsy of grade 3 according to the House-Brackmann score. Magnetic resonance imaging of the brain showed masses in the right insular, left temporal lobes, and left cerebellar hemisphere of 3.7×3.3×2.9, 1.1×0.8 and 0.5×0.6 cm, respectively, with marked perifocal edema. According to the magnetic resonance imaging of the pelvis in the right half of the prostate gland, a tumor of 2.2×1.0×2.7 cm and PI-RADS 5 score was detected, and a metastatic lesion of the left ilium was found. Bone scintigraphy showed metastases in the thoracic and lumbar spine. A core biopsy of the prostate was performed. Histological and immunohistochemical studies revealed acinar adenocarcinoma with a Gleason score of 6 (3+3) points. The level of total prostate-specific antigen was 8.6 ng/mL. A final diagnosis was made: stage IV prostate cancer, T2aN0M1c, with brain and bone metastases. Given the neurological symptoms, radiation therapy was performed on the brain with a total radiation dose of 30 Gy, followed by androgen deprivation and monochemotherapy with docetaxel and bisphosphonates.
Conclusion. Multiple brain lesions as the first clinical manifestation of PC are extremely rare. An isolated lesion of FN with neurological deficit in the form of central palsy indicates an advanced metastatic process. The primary method of treatment is palliative radiation therapy with a total radiation dose of 30 Gy, followed by androgen deprivation and chemotherapy.
Keywords
Full Text
Введение
Рак предстательной железы (РПЖ) является распространенным злокачественным новообразованием у мужчин в мире. По данным онкологической базы данных Globаcan, в 2020 г. зарегистрированы 1 414 259 новых случаев, что составило в структуре заболеваемости 7,3%, и 375 304 смерти – 3,8% [1].
Наиболее часто РПЖ метастазирует в кости и тазовые лимфатические узлы. Вторичное поражение головного мозга (ГМ) при различных злокачественных новообразованиях выявляется часто, однако при РПЖ внутричерепные метастазы встречаются редко – на их долю приходится менее 2%, что связано, как правило, с неблагоприятным исходом [2, 3].
Метастатическое поражение ГМ является следствием прогрессирования основного опухолевого процесса у предлеченных больных при развитии у них кастрат-резистентного рака [4].
Метастазы в ГМ как первое клиническое проявление РПЖ наблюдаются крайне редко [5].
Так, по данным K. Rajeswaran и соавт. (2022 г.), частота выявления метастазов в ГМ у нелеченных больных на диагностическом этапе составляет 0,76–1,26% [6].
M. Ganau и соавт. (2020 г.) предлагают различать следующие виды внутричерепных метастазов при РПЖ в зависимости от локализации: поражения твердой мозговой оболочки, субдуральные, экстрадуральные/костные и внутримозговые [7].
Клинические проявления в виде неврологического дефицита черепно-мозговых нервов при внутричерепных метастазах РПЖ встречаются редко, особенно изолированные поражения, и свидетельствуют о распространенном опухолевом процессе [4, 5].
Прогноз для больных РПЖ с метастазами в ГМ плохой – медиана выживаемости составляет 1–7,7 мес [8, 9].
Клинический случай
Пациент Л., 66 лет, обратился за медицинской помощью к неврологу с жалобами на слабость в левой руке, головную боль, головокружение, пошатывание при ходьбе, снижение и кратковременную потерю памяти, асимметрию лица. Указанные симптомы появились 4 мес назад, однако в последнее время отмечает их усиление. Получал консервативное лечение, которое не дало эффекта. Заболевание мочеполовой системы в анамнезе отрицает. Количество мочеиспусканий за ночь – до 2 раз. Оценка общего состояния больного с использованием шкалы ECOG – 1. Неврологический статус: сознание ясное; в пространстве и времени ориентирован; зрачки симметричные, фотореакция живая, содружественная, движения глазных яблок в полном объеме; лицо ассиметрично по центральному типу слева; глотание и фонация не нарушены; сухожильные рефлексы повышены слева; патологические стопные знаки слабоположительные слева; координаторные пробы с интенцией, больше слева; в позе Ромберга неустойчив; менингеальных знаков нет. Установлено, что у пациента имеются очаговая неврологическая симптоматика в виде центрального поражения лицевого нерва (ЛН) слева, левосторонняя пирамидальная недостаточность и вестибуло-атаксический синдром. Согласно шкале Хауса–Бракманна поражение ЛН оценивается как 3-я степень.
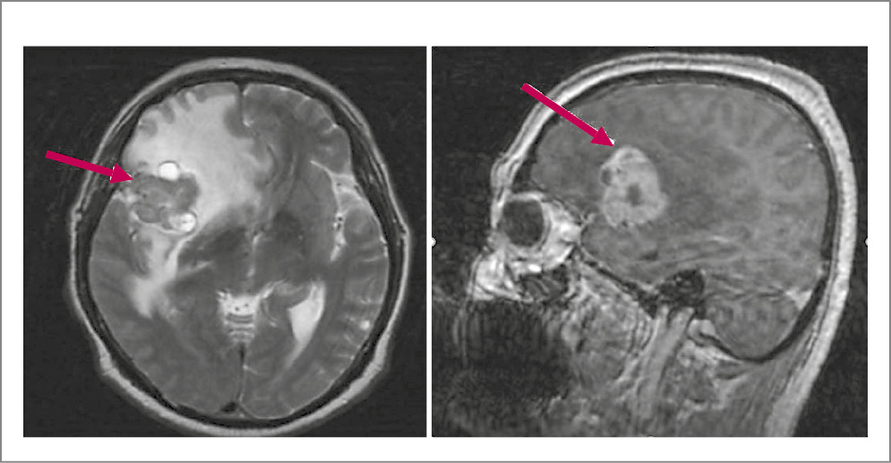
По данным магнитно-резонансной томографии (МРТ) ГМ с контрастированием в островковой доле справа с распространением на лобную и височную визуализируется внутримозговое кистозно-солидное образование с бугристым контуром размером 3,7×3,3×2,9 см. Отмечаются выраженный перифокальный отек с переходом на лобную и височную доли, базальные ядра со смещением срединных структур на 1,3 см. Аналогичные образования выявлены в задних отделах левой височной доли и левом полушарии мозжечка, размеры которых составили 1,1×0,8 и 0,5×0,6 см соответственно. В гипофизе определяется кровоизлияние. Соответственно, у больного имеются объемные образования в правой островковой, левой височной долях и левом полушарии мозжечка с кровоизлиянием в гипофиз (рис. 1, 2).
Рис. 1. Пациент Л., 66 лет. МРТ ГМ. Крупное кистозно-солидное образование вторичного характера в правой островковой доле размером 3,7×3,3×2,9 см, с выраженным перифокальным отеком, приводящим к смещению срединных структур влево (стрелки).
Рис. 2. Больной Л., 66 лет. МРТ ГМ: a, b – кистозно-солидное образование вторичного характера в левой височной доле размером 1,1×0,8 см с выраженным накоплением контраста солидным компонентом; c – контрастпозитивное образование вторичного характера в левой гемисфере мозжечка размером 0,5×0,6 см, которое не определяется на нативных программах (стрелки).
Выполнено трансректальное ультразвуковое исследование. Предстательная железа размером 3,7×3,2×4,4 см, контуры ровные, четкие. Структура неоднородная, в правой доле визуализируется гипоэхогенное образование размером 2,0×2,4 см с локусами кровотока. Семенные пузырьки без эхоморфологических особенностей. Выявленные изменения указывают на возможность РПЖ.
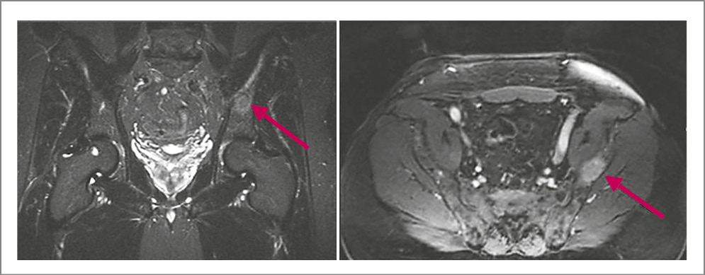
По данным МРТ органов малого таза с контрастированием установлено, что предстательная железа не увеличена – 3,1×4,4×4,0 см. В периферической и транзиторной зонах правой доли на уровне верхушки и среднего сектора имеется зона пониженного сигнала – 2,2×1,0×1,7 см – с ранним накоплением контраста. Распространения за пределы капсулы нет. Парааортальные и забрюшинные лимфоузлы не увеличены. Магнитно-резонансная картина соответствует 5-й категории изменений по шкале PI-RADS (PI-RADS 5) – очень высокий риск (наличие клинически значимого рака крайне вероятно); рис. 3.
Рис. 3. Больной Л., 66 лет. МРТ органов малого таза. Образование в правых отделах периферической зоны предстательной железы без признаков распространения за пределы органа размером 2,2×1,0×2,7 см (стрелки). PI-RADS 5.
В левой подвздошной кости выявлено объемное образование размером 2,4×1,3 см метастатического характера, накапливающее контраст (рис. 4).
Рис. 4. Больной Л., 66 лет. МРТ органов малого таза. Контрастпозитивное образование вторичного характера в левой подвздошной кости (стрелки).
Выполнена трепанобиопсия предстательной железы. При гистологическом и иммуногистохимическом исследованиях установлена ацинарная аденокарцинома. Оценка по шкале Глисона составила 6 (3+3) баллов. Уровень общего простат-специфического антигена (ПСА) в крови – 8,6 нг/мл.
Произведена сцинтиграфия костей скелета. Выявлено метастатическое поражение тел позвонков ThIII–VI и LI–III остеобластического характера. По данным спиральной компьютерной томографии (КТ) органов грудной и брюшной полостей специфической патологии не выявлено.
Установлен окончательный диагноз – РПЖ IV стадии cT2аN0M1с, метастазы в ГМ, кости. Учитывая распространенность опухолевого процесса, наличие очаговой неврологической симптоматики, обусловленной множественным поражением ГМ, больному проведена паллиативная лучевая терапия на ГМ суммарной очаговой дозой (СОД) 30 Гр. Нежелательных явлений не обнаружено. Назначена андроген-депривационная терапия – введено 10,8 мг гозерелина и начат прием преднизолона в дозе 10 мг/сут, с последующей монохимиотерапией доцетакселом с бисфосфонатами.
Описанный случай представляет интерес для онкологов, а также для широкого круга клиницистов и радиологов, поскольку клиническая симптоматика, обусловленная метастатическим поражением ГМ, предшествовала постановке диагноза РПЖ. Такой вклад клинической особенности РПЖ необходимо учитывать при проведении дифференциальной диагностики метастатического поражения ГМ.
Кроме того, в клинической картине у больного имеет место изолированное поражение VII пары черепно-мозговых нервов в виде центрального паралича, который, по данным литературы, является крайне редким явлением.
Обсуждение
Отдаленные метастазы развиваются приблизительно у 17% больных РПЖ. Наиболее распространенными местами их локализации являются кости осевого (череп, позвонки, ребра) и добавочного скелета (таз, нижние конечности) – 90%, лимфатические узлы – 10,6%, печень – 10,2%, легкие – 9,1% [10–12].
Один из наиболее редких органов, в котором появляются метастазы, – ГМ, на долю которого, согласно различным авторам, приходится 0,2–2% среди всех метастазов в ГМ, составляя в среднем 1,14% [5, 13–15].
По данным аутопсий частота метастатического поражения ГМ при РПЖ превосходит клинические, составляя 1–6% [16, 17].
Внутричерепные метастазы как первое клиническое проявление РПЖ встречаются крайне редко. Так, частота выявления поражений ГМ у нелеченных больных, по результатам метаанализа, проведенного K. Rajeswaran и соавт. (2022 г.), составила 0,76–1,26% [6]. Такая редкость подобных случаев обусловлена, вероятно, инфратенториальным расположением метастазов. В то же время в литературе имеются сообщения о более высокой частоте – 8% – метастазов в твердую мозговую оболочку у молодых пациентов с показателем Глисона, равным 9 баллам [18].
Другие авторы различают внутримозговые и метастазы в твердую мозговую оболочку, а также лептоменингеальные метастазы. Наиболее распространенными из них являются лептоменингеальные – 67,1%, внутримозговые и метастазы в мозжечок – 25 и 8% соответственно [19]. По данным G. Kanyilmaz и соавт. (2018 г.), наоборот, чаще встречаются внутримозговые – 60% наблюдений, а в твердую мозговую оболочку – только 20% [14]. Внутримозговые поражения связаны с лучшей выживаемостью. Медиана общей продолжительности жизни при внутримозговых поражениях составила 5,4 мес, тогда как при метастазах в твердую мозговую оболочку – 2,6 мес, а при лептоменингеальных – всего 1 мес [20].
По данным H. Bhambhvani и соавт. (2020 г.), внутричерепные метастазы, по отношению к намету мозжечка, делятся на супра- и инфратенториальные, на долю которых приходится 61 и 10% соответственно. Одновременная локализация встречается в 29% случаев. Такое расположение метастазов обусловливает особенности их клинического проявления, в частности наличие неврологической дисфункции черепно-мозговых нервов, которая наблюдается у 19% пациентов [2].
Клинические проявления при метастатическом поражении ГМ носят разнообразный характер. Самыми частыми из них являются общемозговые симптомы: головная боль – 65%, тошнота, слабость – 45%, паралич черепно-мозговых нервов – 19%, изменения полей зрения – 23%, атаксия – 19% [2, 21]. Однако в литературе описаны и бессимптомные варианты течения болезни [3].
Паралич черепно-мозговых нервов при РПЖ представляет собой редкое проявление обширного метастатического поражения ГМ, особенно основания черепа, однако эти изменения оказывают существенное влияние на качество жизни. Клинически неврологический дефицит поражения нервов весьма многообразен – от множественных, в виде синдромов [22, 23], до изолированных [5, 24].
Q. Ma и соавт. (2022 г.) впервые сообщили об изолированном поражении VII и VIII пары черепно-мозговых нервов при метастазах в ГМ [5]. Аналогичное поражение ЛН в виде периферического паралича наблюдали R. McDermott и соавт. (2004 г.) у 2/15 пациентов при метастатическом поражении височной кости средней черепной ямки при РПЖ [4].
Согласно полученным данным у пациента наблюдались множественные (3 очага) внутримозговые супра- и инфратенториальные метастазы различных размеров. При этом у него имелась очаговая неврологическая симптоматика в виде поражения ЛН по центральному типу 3-й степени по шкале Хауса–Бракманна. Указанные клинические проявления и органические поражения ГМ и костей скелета выявлены до первичной диагностики РПЖ.
К факторам риска метастазов в ГМ при РПЖ относят наличие синхронных поражений печени, легких, особые варианты гистологического строения, такие как мелкоклеточный, нейроэндокринный рак, неацинарные опухоли, а также индекс Карновского и высокий уровень ПСА [3, 5, 25, 26].
Высокий уровень ПСА – более 4 нг/мл – является предикторным фактором риска прогрессирования у больных РПЖ [5, 27]. Однако концентрация ПСА даже при наличии метастазов в ГМ может иметь низкие значения [3, 21].
Высокий показатель Глисона также свидетельствует об определенном риске и вероятности метастатического поражения ГМ [3]. Так, исследование G. Kanyilmaz и соавт. (2018 г.), в котором приняли участие 339 больных РПЖ с рентгенологически подтвержденными метастазами, показало, что у всех из них количество баллов по шкале Глисона составляло 7 и более [14].
H. Bhambhvani и соавт. (2020 г.) представили результаты ретроспективного анализа 31 пациента с внутримозговыми метастазами РПЖ, которые проходили лечение в одном учреждении. Согласно полученным данным медиана баллов по шкале Глисона составила 8, уровень ПСА – 60 нг/мл, количество метастазов – 1–5, в среднем выявлено 2 очага. У всех пациентов отмечены метастазы в кости, легкие – 48%, печень – 35% [2].
Однако у пациента, который приведен в нашем клиническом случае, по данным МРТ ГМ выявлено 3 очага, локализовавшиеся в различных отделах. Уровень общего ПСА в крови составил 8,6 нг/мл, а показатель по шкале Глисона – 6 (3+3) баллов.
Метастазы в ГМ развиваются в основном у больных, которым проводилось длительное лечение по поводу первичного очага, т.е. при развитии кастрационной резистентности. Так, R. McDermott и соавт. (2004 г.) описывают 15 случаев метастатического поражения ГМ на фоне специального лечения, причем 80% больных получали химиотерапию, а 87% – лучевую [4].
Длительность латентного периода от момента постановки диагноза РПЖ до обнаружения симптомов поражения ГМ составляет 3–195 мес, в среднем – 41–81 мес [2, 4]. Согласно K. Rajeswaran и соавт. (2022 г.), диапазон этого времени составляет несколько меньше – 6–90 мес [6].
Для постановки диагноза применяют различные методы медицинской визуализации, такие как МРТ, мультиспиральная КТ ГМ с контрастированием [4]. КТ превосходит МРТ при определении поражения костей в основании черепа, а МРТ, наоборот, наиболее чувствительна для диагностики поражений твердой мозговой оболочки, лептоменингеальных метастазов и черепно-мозговых нервов [28].
Позитронно-эмиссионная томография, совмещенная с рентгеновской компьютерной, или ПЭТ/КТ с 68-Ga-ПСМА, является идеальным методом визуализации внутричерепных метастазов и определения распространенности опухолевого процесса у больных РПЖ на диагностическом этапе и при оценке эффективности проводимой терапии [3].
В плане дифференциальной диагностики большое значение имеет исходное состояние всех черепно-мозговых нервов, которое определяет сенсорную, двигательную функции, рефлексы и координацию [4].
Стандартного лечения гетерогенной группы пациентов с метастазами в ГМ при РПЖ не существует. Как правило, согласно конкурентному принципу в выборе тактики лечения, при наличии очаговой неврологической симптоматики его начинают с паллиативной лучевой терапии различными источниками ионизирующего излучения, применяя разнообразные методы [4, 5].
Лучевая терапия на область ГМ проводится по стандартным схемам: СОД составляет 30 Гр за 10 фракций. Более короткие курсы лучевой терапии – с СОД до 20 Гр – проводятся ослабленным больным. Ответ на лечение развивается быстро, по его завершении. У 67% больных наблюдается полное разрешение дефицита неврологической симптоматики, а у 27% – частичный ответ [4].
При одиночных метастазах оптимальным методом лечения является хирургический, с последующей стереотаксической лучевой терапией. Данное комбинированное лечение позволяет увеличить медиану продолжительности жизни до 13 мес [2].
По данным других авторов, стереотаксическая радиохирургия увеличивает выживаемость до 9 мес [16].
Заключение
Метастазы РПЖ в ГМ встречаются редко, обычно на фоне прогрессирования основного заболевания. Практически всегда они связаны с плохим прогнозом. В литературе приводятся единичные случаи поражения ГМ, предшествующего диагностике РПЖ. При этом вторичные опухоли поражают оболочки и различные отделы ГМ как супра-, так и инфратенториально. В представленном случае множественные внутримозговые метастазы в ГМ, включая мозжечок, являлись первым клиническим проявлением РПЖ. В клинической картине у пациента наблюдались общемозговая симптоматика и очаговый неврологический дефицит в виде левосторонней пирамидальной недостаточности, вестибуло-атаксического синдрома и центрального паралича ЛН 3-й степени.
С целью ранней диагностики клиницистам и радиологам необходимо помнить о РПЖ как о возможном источнике метастазирования в ГМ. Основным методом лечения, при невозможности хирургического вмешательства, является паллиативная лучевая терапия.
Раскрытие интересов. Авторы декларируют отсутствие явных и потенциальных конфликтов интересов, связанных с публикацией настоящей статьи.
Disclosure of interest. The authors declare that they have no competing interests.
Вклад авторов. Авторы декларируют соответствие своего авторства международным критериям ICMJE. Все авторы в равной степени участвовали в подготовке публикации: разработка концепции статьи, получение и анализ фактических данных, написание и редактирование текста статьи, проверка и утверждение текста статьи.
Authors’ contribution. The authors declare the compliance of their authorship according to the international ICMJE criteria. All authors made a substantial contribution to the conception of the work, acquisition, analysis, interpretation of data for the work, drafting and revising the work, final approval of the version to be published and agree to be accountable for all aspects of the work.
Источник финансирования. Авторы декларируют отсутствие внешнего финансирования для проведения исследования и публикации статьи.
Funding source. The authors declare that there is no external funding for the exploration and analysis work.
Информированное согласие на публикацию. Пациент подписал форму добровольного информированного согласия на публикацию медицинской информации.
Consent for publication. Written consent was obtained from the patient for publication of relevant medical information and all of accompanying images within the manuscript.
About the authors
Nikolai A. Ognerubov
Penza Institute for Further Training of Physicians – Branch Campus of Russian Medical Academy of Continuous Professional Education
Author for correspondence.
Email: ognerubov_n.a@mail.ru
ORCID iD: 0000-0003-4045-1247
D. Sci. (Med.), Cand. Sci. (Law), Prof., Penza Institute for Further Training of Physicians – Branch Campus of Russian Medical Academy of Continuous Professional Education
Russian Federation, PenzaRuslan S. Sergeev
Penza Regional Oncology Clinical Dispensary
Email: russlannn777@mail.ru
ORCID iD: 0009-0000-2832-0557
oncologist, Penza Regional Oncology Clinical Dispensary
Russian Federation, PenzaDmitriy M. Mikhalev
Sergey Berezin Treatment and Diagnostic Center of the International Institute of Biological Systems, LLC
Email: ognerubov_n.a@mail.ru
ORCID iD: 0009-0000-1870-8929
radiologist, Sergey Berezin Treatment and Diagnostic Center of the International Institute of Biological Systems, LLC
Russian Federation, TambovReferences
- Globocan cancer observatory. 2020. Available at: https://gco.iarc.fr. Accessed: 21.11.2023.
- Bhambhvani HP, Greenberg DR, Srinivas S, Gephart MH. Prostate cancer brain metastases: a single-institution experience. World Neurosurg. 2020;138:445-9. doi: 10.1016/j.wneu.2020.02.152
- McBean R, Tatkovic A, Wong DC. Intracranial metastasis from prostate cancer: investigation, incidence, and imaging findings in a large cohort of Australian men. J Clin Imaging Sci. 2021;11:24. doi: 10.25259/JCIS_52_2021
- McDermott RS, Anderson PR, Greenberg RE, et al. Cranial nerve deficits in patients with metastatic prostate carcinoma: clinical features and treatment outcomes. Cancer. 2004;101(7):1639-43. doi: 10.1002/cncr.20553
- Ma QF, Ou CY, Wang QH, Wang YN. Incidental finding of metastatic prostatic adenocarcinoma of cerebellopontine angle presenting as acoustic neuroma: a case report and review of literature. Int J Surg Case Rep. 2022;98:107493. doi: 10.1016/j.ijscr.2022.107493
- Rajeswaran K, Muzio K, Briones J, et al. Prostate cancer brain metastasis: review of a rare complication with limited treatment options and poor prognosis. J Clin Med. 2022;11(14):4165. doi: 10.3390/jcm11144165
- Ganau M, Gallinaro P, Cebula H, et al. Intracranial metastases from prostate carcinoma: classification, management, and prognostication. World Neurosurg. 2020;134:e559-65. doi: 10.1016/j.wneu.2019.10.125
- Caffo O, Veccia A, Fellin G, et al. Frequency of brain metastases from prostate cancer: an 18-year single-institution experience. J Neurooncol. 2013;111:163-7. doi: 10.1007/s11060-012-0994-1
- Flannery T, Kano H, Niranjan A, et al. Stereotactic radiosurgery as a therapeutic strategy for intracranial metastatic prostate carcinoma. J Neurooncol. 2010;96(3):369-74. doi: 10.1007/s11060-009-9966-5
- Sartor O, de Bono J, Chi KN, et al. Lutetium-177-PSMA-617 for metastatic castration-resistant prostate cancer. N Engl J Med. 2021;385:1091-103. doi: 10.1056/NEJMoa2107322
- Bubendorf L, Schöpfer A, Wagner U, et al. Metastatic patterns of prostate cancer: an autopsy study of 1,589 patients. Hum Pathol. 2000;31:578-83. doi: 10.1053/hp.2000.6698
- Sukumaran M, Mao Q, Cantrell DR, et al. Holohemispheric prostate carcinoma dural metastasis mimicking subdural hematoma: case report and review of the literature. J Neurol Surg Rep. 2022;83(1):e23-8. doi: 10.1055/s-0042-1744127
- Barros de Oliveira EG, Meireles Da Costa N, Palmero CY, et al. Malignant invasion of the central nervous system: the hidden face of a poorly understood outcome of prostate cancer. World J Urol. 2018;36(12):2009-19. doi: 10.1007/s00345-018-2392-6
- Kanyilmaz G, Aktan M, Yavuz BB, Koç M. Brain metastases from prostate cancer: a single-center experience. Turk J Urol. 2018;45(4):279-83. doi: 10.5152/tud.2018.74555
- Boxley PJ, Smith DE, Gao D, et al. Prostate cancer central nervous system metastasis in a contemporary cohort. Clin Genitourin Cancer. 2021;19(3):217-22.e1. doi: 10.1016/j.clgc.2020.07.012
- Tremont-Lukats IW, Bobustuc G, Lagos GK, et al. Brain metastasis from prostate carcinoma: the M. D. Anderson Cancer Center experience. Cancer. 2003;98(2):363-8. doi: 10.1002/cncr.11522
- Scher HI, Morris MJ, Stadler WM, et al. Trial design and objectives for castration-resistant prostate cancer: updated recommendations from the prostate cancer clinical trials working group 3. J Clin Oncol. 2016;34(12):1402-18. doi: 10.1200/JCO.2015.64.2702
- Lawton A, Sudakoff G, Dezelan LC, Davis N. Presentation, treatment, and outcomes of dural metastases in men with metastatic castrate-resistant prostate cancer: a case series. J Palliat Med. 2010;13(9):1125-9. doi: 10.1089/jpm.2009.0416
- Lynes W, Bostwick DG, Freiha F, Stamey T. Parenchymal brain metastases from adenocarcinoma of the prostate. Urology. 1986;28(4):280-7. doi: 10.1016/0090-4295(86)90005-1
- Caffo O, Gernone A, Ortega C, et al. Central nervous system metastases from castration-resistant prostate cancer in the docetaxel era. J Neurooncol. 2012;107(1):191-6. doi: 10.1007/s11060-011-0734-y
- Son Y, Chialastri P, Scali JT, Mueller TJ. Metastatic adenocarcinoma of the prostate to the brain initially suspected as meningioma by magnetic resonance imaging. Cureus. 2020;12(12):e12285. doi: 10.7759/cureus.12285
- Glaser C, Lang S, Pruckmayer M, et al. Clinical manifestations and diagnostic approach to metastatic cancer of the mandible. Int J Oral Maxillofac Surg. 1997;26(5):365-8. doi: 10.1016/s0901-5027(97)80798-9
- Kattah JC, Chrousos GC, Roberts J, et al. Metastatic prostate cancer to the optic canal. Ophthalmology. 1993;100(11):1711-5. doi: 10.1016/s0161-6420(93)31413-2
- Seymore CH, Peeples WJ. Cranial nerve involvement with carcinoma of prostate. Urology. 1988;31(3):211-3. doi: 10.1016/0090-4295(88)90141-0
- Hatzoglou V, Patel GV, Morris MJ, et al. Brain metastases from prostate cancer: an 11-year analysis in the MRI era with emphasis on imaging characteristics, incidence, and prognosis. J Neuroimaging. 2014;24(2):161-6. doi: 10.1111/j.1552-6569.2012.00767.x
- Gzell CE, Kench JG, Stockler MR, Hruby G. Biopsy-proven brain metastases from prostate cancer: a series of four cases with review of the literature. Int Urol Nephrol. 2013;45(3):735-42. doi: 10.1007/s11255-013-0462-7
- Ganau M, Paris M, Syrmos N, et al. How nanotechnology and biomedical engineering are Supporting the Identification of Predictive Biomarkers in Neuro-Oncology. Medicines (Basel). 2018;5(1):23. doi: 10.3390/medicines5010023
- Durden DD, Williams DW 3rd. Radiology of skull base neoplasms. Otolaryngol Clin North Am. 2001;34(6):1043-64, vii. doi: 10.1016/s0030-6665(05)70364-9
Supplementary files







