Advices for diagnostics of ankylosing spondylitis/axial spondyloarthritis: A review
- Authors: Bunchuk N.V.1, Levshakova A.V.2
-
Affiliations:
- „Klinika Sesil'+“ LLC
- Hertsen Moscow Oncology Research Institute – branch of the National Medical Research Radiological Centre
- Issue: Vol 25, No 11 (2023): Neurology and rheumatology
- Pages: 755-765
- Section: Articles
- Published: 15.11.2023
- URL: https://consilium.orscience.ru/2075-1753/article/view/627625
- DOI: https://doi.org/10.26442/20751753.2023.11.202461
- ID: 627625
Cite item
Full Text
Abstract
The article written by a rheumatologist and a radiologist who have long-term experience in diagnostics of ankylosing spondylitis (axial spondylitis), provides advices on rational recognition of these diseases. The first part of the article discusses adequate visualization of the sacroiliac joints and the need for thoughtful consideration of radiological and MRI signs of sacroiliitis, neither of which, taken alone, is pathognomonic. An optimal, from the authors' point of view, algorithm for conducting visualization studies of sacroilial joints is proposed. Numerous situations simulating sacroiliitis are analyzed.
Full Text
У авторов статьи, врача-ревматолога и врача-рентгенолога, в течение многих лет занимающихся консультированием и обследованием пациентов с подозрением на анкилозирующий спондилит/аксиальный спондилоартрит (АС/аксСпА)1, сложилось впечатление, что диагностика этих заболеваний с некоторых пор проводится недостаточно строго. Нередко все сводится к поиску сакроилиита исключительно с помощью магнитно-резонансной томографии (МРТ), и если отек костной ткани около крестцово-подвздошных суставов (КПС) радиологом найден, то диагноз АС/аксСпА почти предрешен. К обследованию обычно добавляют определение HLA-B27 и С-реактивного белка (СРБ). Хотя эти тесты не имеют самостоятельного диагностического значения: HLA-B27 из-за частой встречаемости у здоровых людей (в Москве примерно у 10% жителей), а СРБ вследствие нормальных значений у многих пациентов с клинически активным АС/аксСпА.
Такой упрощенный подход к диагностике объясняется некорректным использованием критериев, предложенных в 2009 г. Международным обществом по изучению спондилоартритов (ASAS) для классификации аксСпА [1]. Подчеркнем, не для диагностики, а в целях классификации, то есть для отбора пациентов в научные исследования. Этот отбор обычно проводят с учетом дополнительных условий и ограничений, меняющихся в зависимости от конкретных задач исследования и неунифицированных. В так называемый визуализационный вариант этих скрининговых критериев ASAS в качестве одного из признаков входит обнаружение сакроилиита с помощью рентгенографии («определенный» сакроилиит) или МРТ («активный» сакроилиит). «Определенный» сакроилиит предложено диагностировать на основании градаций рентгенологических изменений КПС, использующихся в модифицированных нью-йоркских критериях АС (см. ниже). Эти критерии также являются не диагностическими, а классификационными. Для выявления с помощью МРТ «активного» сакроилиита экспертами ASAS созданы особые классификационные критерии (они обсуждаются ниже). Помимо визуализационного варианта классификационных критериев ASAS предложен клинический вариант (clinical arm), использование которого позволяет отнести пациента к аксСпА при отсутствии рентгенологических или МРТ-признаков сакроилиита, если имеется HLA-B27 и еще как минимум 2 признака, в том числе и такие расплывчатые и ненадежные, как «хороший» эффект нестероидных противовоспалительных средств и семейная история спондилоартритов (СпА).
В первые годы после опубликования скрининговые критерии аксСпА и «активного» сакроилиита без должной критики стали использовать не только в научных исследованиях, но и в целях диагностики. Это можно объяснить ожиданиями обнаружить с помощью аппаратов МРТ самые ранние, доклинические и еще обратимые изменения скелета и устранить их путем применения появившихся примерно в то же время генно-инженерных биологических препаратов. Со временем стало ясно, что эти ожидания оправдываются лишь частично. Отек костного мозга около КПС (признак, положенный в основу диагностики «активного» сакроилиита) оказался неспецифичен для АС/аксСпА, обнаруживается при этих заболеваниях непостоянно и часто выявляется при других болезнях (локальных и системных), в том числе невоспалительных, и даже у здоровых лиц после занятий спортом или во время беременности и после родов. А убедительных доказательств того, что лечение биологическими препаратами способно сдерживать прогрессирование АС/аксСпА, до сих пор не получено.
Диагностические критерии АС, аксСпА и других СпА, в которых прежде всего нуждается практический врач, пока не разработаны. Строго обоснованный диагноз необходим для назначения генно-инженерных биологических препаратов и ингибиторов янус-киназ. Укажем, что в настоящее время преобладающее большинство этих весьма эффективных средств терапии зарегистрированы (официально разрешены) в нашей стране только для применения при АС и лишь отдельные из них – при аксСпА2. Создание универсальных, истинно диагностических критериев обсуждаемых заболеваний процесс объективно сложный и длительный, поскольку клиническая диагностика всегда индивидуальна, а классификационный подход основан на усредненных статистических данных, полученных в ограниченных популяциях пациентов. Но усилия в этом отношении целесообразны хотя бы для выработки национальных рекомендаций, в чем может помочь отечественная Ассоциация ревматологов.
Хотим познакомить читателей со своим подходом к диагностике АС/аксСпА. Он предполагает самостоятельную оценку практикующим врачом изображений КПС и позвоночника у пациентов с подозрением на эти заболевания. Мнение радиолога клиницистом не игнорируется (с его заключения начинается консультация), но личный анализ изображений скелета считается нами совершенно необходимым. Практика показывает, что компетенция радиологов в диагностике опорно-двигательных заболеваний далеко не всегда соответствует стандартам. Мы осознаем, что такой подход требует навыков, определенного оснащения и занимает значительное время. Но иначе увеличивается риск ошибок и неточностей. Оговоримся, что в статье обсуждаются ситуации, которые вызывают реальные трудности в диагностике, когда нет клинических «подсказок», повышающих вероятность диагноза СпА, например периферического артрита, энтезита, увеита, псориаза, хронических воспалительных заболеваний кишечника. Одним словом, речь пойдет о диагностике называвшейся ранее «центральной формы» АС, когда пациент обращается с жалобами на стойкие боли в позвоночнике. Уточним также, что в статье не обсуждаются вопросы диагностики СпА у пациентов, заболевших в детском возрасте (в связи с существенными клиническими и визуализационными особенностями).
Сначала приведем пример того, как механистическое использование классификационных критериев ASAS в целях диагностики привело к ошибке.
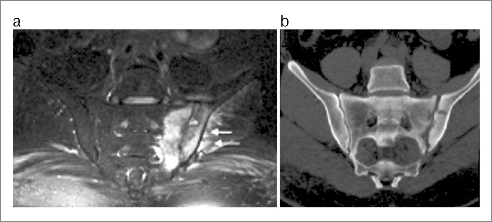
Пациентка В. 29 лет направлена на консультацию в 2023 г. с подозрением на АС. Жалобы на боли в нижней части спины и ягодиц, которые впервые остро возникли на 9-м месяце беременности (за 4 года до настоящей консультации), были стойкими и очень интенсивными. По результатам МРТ (рис. 1) сделано заключение о наличии сакроилиита. После родов боли продолжались, но постепенно стали менее сильными и непостоянными. Скорость оседания эритроцитов и уровень СРБ не повышались. Обнаружен HLA-B27. Установлен диагноз АС. Во время осмотра пациентки осанка существенно не нарушена, движения в позвоночном столбе не ограничены и безболезненны, болезненность при пальпации гребня левой подвздошной кости и в проекции левого КПС. Пересмотр МРТ четырехлетней давности позволил обнаружить стресс-переломы крестца с обеих сторон и массивный отек костного мозга вокруг линий переломов. Повторное МРТ-исследование (2023 г.) показало, что отек костного мозга в крестце отсутствует. На рентгеновском снимке признаков сакроилиита, нарушений целостности крестца не найдено. Рентгеноостеоденситометрия: показатели минеральной костной плотности в поясничном отделе позвоночника и проксимальном отделе бедренной кости в норме. Предположение об АС отвергнуто, установлен диагноз заживших (заживающих?) стресс-переломов крестца.
Рис. 1. Пациентка В. 29 лет. Стресс-переломы крестца, развившиеся на 9-м мес беременности. МРТ (коронарная проекция, режим STIR): в обеих боковых массах крестца отмечаются обширные зоны сигнала повышенной интенсивности (отек костного мозга), на фоне которого прослеживаются линии переломов (указаны стрелками).
При АС (у взрослых) илиосакральные сочленения по неясным причинам поражаются рано и почти обязательно, диагноз этой болезни можно надежно установить, только обнаружив их воспаление – сакроилиит3. Поэтому диагностика сакроилиита – одна из главных задач в распознавании как АС, так и других воспалительных заболеваний позвоночника. На наш взгляд, в практической деятельности ключевое диагностическое значение имеет обнаружение структурных изменений КПС, причем преимущественно с помощью рентгенологических методов. Акцент в визуализации на обычной (плоскостной) рентгенографии и компьютерной томографии (КТ) может показаться шагом назад по сравнению с МРТ. Но на практике мы часто сталкиваемся с гипердиагностикой сакроилиита методом МРТ. Это не только наше впечатление. В последние 1–2 года нарастает число публикаций об обнаружении субхондрального отека костного мозга – решающего признака «активного сакроилиита» по критериям ASAS – у пациентов с болями в спине при различных невоспалительных заболеваниях позвоночника и даже у здоровых лиц (см. ниже). Справедливости ради нужно отметить, что и при анализе рентгенограмм часто возникают ошибки в оценке состояния КПС. Но эти ошибки можно надежно устранить с помощью КТ.
Структурными рентгенологическими изменениями КПС, характерными для сакроилиита при аксСпА, принято считать краевые костные эрозии, расширение суставной щели, субхондральный склероз сочленяющихся костей и частичный анкилоз сустава (отдельные костные «мостики», соединяющие края суставов). Они отражают процессы деструкции и репарации, возникающие вследствие воспаления. Диагностическая ценность этих признаков заключается в том, что они сохраняются длительное время (годами), обычно медленно нарастая. Признаки же воспаления (например, отек костной ткани на МРТ) могут довольно быстро исчезать на фоне активного лечения. У пациентов с воспалительными болями в нижней части спины обнаружить структурные изменения КПС рентгенологически удается почти в 2 раза чаще, чем с помощью МРТ [4]. По нашему опыту, практикующему врачу легче (привычнее) оценивать рентгенологические изображения опорно-двигательного аппарата, к тому же на это обычно тратится меньше времени, чем на анализ МРТ-изображений. Поэтому обследование пациентов с подозрением на АС/аксСпА рекомендуется начинать с обычной (плоскостной) рентгенографии. Выполняется обзорный снимок костей таза, на котором должны быть видны крылья подвздошных костей, тазобедренные суставы, большие вертелы бедренных костей, лонное сочленение и (насколько возможно) нижние поясничные позвонки, что позволяет в ряде случаев заподозрить дополнительные источники болевого синдрома. Мы считаем необходимым проводить это обследование, даже если с начала заболевания прошло немного времени. При длительности клинических симптомов менее одного года опытный глаз обнаруживает рентгенологические признаки «определенного» сакроилиита примерно у 30% пациентов [5], что немало.
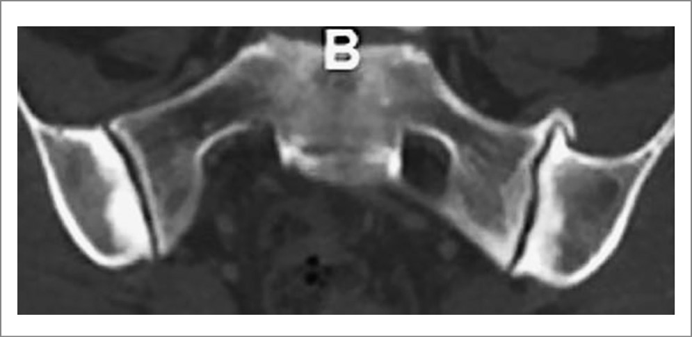
Специфичность (то есть безошибочность в диагностике) рентгенологически «определенного» сакроилиита (двустороннего II стадии или одностороннего III стадии) для установления диагноза АС составляет более 90%. Эти результаты не удается превзойти другими методами, например МРТ [6]. Диагноз сакроилиита при АС/аксСпА убедителен только при одновременном обнаружении двух рентгенологических признаков: множественных краевых эрозий и широкого (более 5 мм) субхондрального склероза (рис. 2). По отдельности каждый из них может встречаться при других заболеваниях. Например, краевые костные эрозии без субхондрального склероза могут возникать в КПС у пациентов с многолетним ревматоидным артритом [7], при гнойном сакроилиите и гиперпаратиреозе [8]. А периартикулярный остеосклероз без эрозий типичен для остеоартроза КПС и конденсирующего остеита.
Рис. 2. Пациент Н. 22 лет, длительность аксСпА 9 мес. КТ (коронарная проекция): в правом КПС видны эрозии («зазубренный» контур) и широкий субхондральный склероз подвздошной кости (односторонний определенный сакроилиит).
Костными эрозиями суставов принято называть мелкие (не менее 1 мм диаметром) и более крупные неровности кортикального слоя суставной поверхности, не окруженные венчиком склероза (в отличие от вскрывшихся в полость сустава кист). В диагностике сакроилиита значение придается множественным эрозиям, так как отдельные неровности и краевые дефекты КПС возможны в норме, особенно после 50 лет [9]. При АС множественные мелкие эрозии КПС иногда приводят к своеобразной деформации контура краев сустава, напоминающего четки, нитку бисера, края почтовой марки или зубья пилы. В случае слияния нескольких крупных эрозий возникает неравномерное расширение суставной щели, по форме напоминающее гирлянду электрических елочных лампочек. Эрозии и псевдорасширения КПС при АС/аксСпА возникают вследствие остеита – очаговой деструкции субхондральной костной ткани и замещения ее рентгенонегативной волокнистой фиброзной тканью, содержащей клетки воспаления (см. ниже) [10]. Некоторые опытные рентгенологи первыми признаками сакроилиита при АС/аксСпА считают не эрозии, а исчезновение непрерывности (различимости) кортикального слоя в какой-либо одной части сустава, что связывается с очаговой подхрящевой декальцинацией субхондральной кости (последствие остеита) [11, 12], или пятнистый периартикулярный остеопороз преимущественно в средней и нижней третях сустава [13].
Субхондральный склероз КПС у пациентов с АС/аксСпА – это широкая зона уплотнения костной ткани, расположенная вдоль щели сустава со стороны подвздошной кости и/или крестца, различной, обычно значительной протяженности, постепенно переходящая кнаружи в нормальную костную ткань. По данным, полученным с помощью КТ, у молодых здоровых взрослых может наблюдаться некоторое уплотнение субхондрального слоя со стороны подвздошной кости и крестца, но ширина этого уплотнения редко превышает 5 и 3 мм соответственно. После 40 лет зона субхондрального склероза часто становится более широкой, особенно у многорожавших женщин и женщин с избыточной массой тела [14]. Субхондральный склероз, так же как и эрозии, преимущественно начинается при АС/аксСпА со стороны подвздошной кости.
Иллюстрации типичного сакроилиита у пациентов с АС приведены на рис. 3 и 4.
Рис. 3. Пациентка Б. 22 лет, диагноз АС, длительность болезни 36 мес. КТ крестцово-подвздошных сочленений (коронарная проекция): широкий субхондральный склероз в подвздошных костях, справа мелкие эрозии в верхней части и участки расширения щели в нижней части сустава, слева множественные эрозии и участки расширения щели (двусторонний определенный сакроилиит).
Рис. 4. Пациентка П., диагноз АС, длительность болезни 12 мес: a – КТ крестцово-подвздошных сочленений (коронарная проекция) показала широкий субхондральный склероз подвздошных костей, краевые эрозии подвздошных костей и крестца, расширение суставной щели с обеих сторон (двусторонний определенный сакроилиит); b – на рентгенограмме крестцово-подвздошных сочленений этой же пациентки (сделана незадолго до КТ) изменения (субхондральный склероз, подозрение на расширение щели в средней части левого сустава) видны далеко не так отчетливо, как на КТ.
Один из признанных авторитетов в области рентгенологии АС W. Dihlmann считал, что изменения КПС у больных АС не поддаются разделению на постепенно сменяющие друг друга стадии. Он наблюдал уже в начале болезни сочетание всех элементов, свойственных сакроилииту: эрозии, склероз и даже костные «мостики» – и предложил для описания этой многообразной патологии термин «пестрая рентгенологическая картина» (multicolored X-ray picture) [15]. Варианты рентгенологических признаков сакроилиита схематично изображены на рис. 5.
Рис. 5. Схема W. Dihlmann рентгенологических изменений КПС, характерных для сакроилиита у пациентов с АС (заимствовано из [15]): а – смазанный контур передних ушковидных поверхностей крестца и подвздошной кости; b – размытая структура субхондральных отделов сочленяющихся костей; c – псевдорасширение суставной щели, напоминающее гирлянду электрических лампочек; d – псевдорасширение суставной щели с сохраненной кортикальной пластинкой (своеобразный остеолиз), параллельно щели сустава отмечается полосовидная зона повышенной прозрачности; e – перед тем, как мелкие эрозии появятся на краях суставных поверхностей, они могут обнаруживаться несколько отступя от него в виде овальных или круглых рентгенопрозрачных зон, не деформирующих контур; f – «нитка бисера» или «четки»; g – односторонние изменения, напоминающие край пилы или почтовой марки, могут наблюдаться крупные изолированные эрозии, секвестрация и сочетание мелких и более крупных округлых зон субхондрального остеолиза; h – пятнистый склероз губчатой кости (тигровый рисунок, aspect tigré), участки уплотнения сферической формы (масть лошади в яблоках, aspect pommelé) или диффузный субхондральный склероз; i – уплотнение губчатой кости в виде полосы рядом с субхондральным слоем; j – зона склероза треугольной формы, сходная с конденсирующим остеитом подвздошной кости; k – внутрисуставные костные «мостики» и сужение щели; l – типы оссификации капсулы сустава, включая «симптом звезды».
W. Dihlmann подчеркивал, что рентгенологический диагноз сакроилиита при АС убедителен только при одновременном наличии не двух, как считаем мы, а трех симптомов: эрозий, субхондрального склероза и внутрисуставных костных «мостиков». Столь жесткий подход к диагностике автор объяснял возможностью обнаружения первых двух признаков у здоровых лиц в молодом возрасте [5]. При этом он ссылался на статью A.S. Cohen и соавт. [16], в которой проанализированы рентгенограммы КПС у лиц разного возраста без болей в спине. Авторы действительно отметили у небольшого числа молодых людей единичные эрозии и субхондральный склероз, но только по отдельности, сочетания этих признаков найдено не было. В старшем возрасте (после 50 лет) комбинация эрозий и субхондрального остеосклероза в области КПС хотя и обнаруживалась, но редко – только у 6% обследованных.
Структурные изменения, характерные для сакроилиита, сохраняются на рентгенограммах длительное время, с разной скоростью (обычно медленно, годами) нарастают, одновременно подвергаясь репарации. Краевые дефекты замещаются вновь образуемой костной тканью, что приводит к выравниванию поверхности суставов, но при этом суставная щель суживается. Позже возникают отдельные костные «мостики», а затем развивается полный анкилоз и постепенно исчезает субхондральный остеосклероз.
Перед детальным анализом обзорного рентгеновского снимка костей таза рекомендуется определить качество изображения КПС, и, если оно нечеткое, целесообразно проведение КТ [17]. Использование этого метода рекомендуется и в том случае, если при просмотре обычного снимка возникает подозрение на сакроилиит. Преимущества КТ для выявления структурных изменений КПС (не только по сравнению с плоскостной рентгенографией, но и с МРТ) иллюстрируются рис. 6 и 7 (исследования проведены с небольшим интервалом). Рентгенография КПС в косых проекциях, а также сцинтиграфия скелета для диагностики сакроилиита имеют лишь историческое значение.
Рис. 6. Пациент М. 25 лет. Диагноз АС, HLA-B27+, длительность болей в нижней части спины 3 года: a – на рентгенограмме видны только участки субхондрального склероза подвздошных костей с обеих сторон (I стадия сакроилиита); b – КТ (коронарная проекция) показала широкие зоны субхондрального склероза с двух сторон, немногочисленные эрозии (II стадия сакроилиита); c – МРТ (коронарная проекция, режим Т2 STIR): участки отека костного мозга (светлые области в субхондральных отделах подвздошной кости и крестца справа), эрозия подвздошной кости в зоне отека (активный сакроилиит по классификации ASAS).
Рис. 7. Пациент П. 24 лет. Диагноз АС, HLA-B27+, длительность болей в нижней части спины 1 год: a – рентгенограмма: широкая зона субхондрального склероза в левой подвздошной кости (I стадия сакроилиита); b – КТ (коронарная проекция): множественные эрозии подвздошных костей с псевдорасширением щели обоих суставов, широкий субхондральный склероз подвздошных костей (III стадия сакроилиита); c – МРТ (коронарная проекция, режим Т2 STIR): многочисленные зоны околосуставного отека костного мозга (светлые области) и эрозии в подвздошных костях и крестце с обеих сторон (активный сакроилиит по классификации ASAS).
На рис. 7 видно, что с помощью КТ обнаруживается больше характерных для сакроилиита структурных изменений (эрозии, склероз, псевдорасширение щели), чем на МРТ. Еще одним преимуществом КТ у пациентов с предполагаемым АС/аксСпА является более объективная верификация тех изменений, которые могут имитировать сакроилиит на МРТ: аномалии развития, незавершенные зоны роста, конденсирующий остеит, остеоартроз и болезнь Форестье (идиопатический диффузный гиперостоз скелета). Для оценки КПС и позвоночника используются мультисрезовые (мультиспиральные) компьютерные томографы. Число срезов не должны быть меньше 16. Существенно соблюдение следующей методики исследования. Верхняя граница сканирования располагается на уровне верхнего края крыльев подвздошных костей, нижняя – на уровне нижнего края тел лобковых костей. Сканирование проводится без наклона устройства гентри. Рекомендуемые технические параметры: толщина среза – 1 мм, шаг спирали – 3 мм, параметр питч – 0,94, время сканирования – 12 с, напряжение на трубке – 140 kVp, сила тока на трубке – 300 mAs. Для диагностики сакроилиита может и должна использоваться (особенно у лиц молодого возраста) низкодозовая КТ [18]. Осуществление протокола низкодозового исследования возможно на любом современном КТ-сканере, для чего изменяют параметры сканирования в настройках аппарата. Доза облучения при этом снижается примерно в 10 раз и сравнима с лучевой нагрузкой во время выполнения обзорного снимка костей таза.
Механизм развития структурных изменений в КПС у пациентов с АС своеобразен. Патологический процесс начинается в субхондральной кости (остеит), а не в синовиальной оболочке, как, например, при ревматоидном артрите, и затем распространяется на суставной хрящ. Ниже приведена микрофотография (рис. 8) области КПС, полученной путем удаления одним блоком части крестца и подвздошной кости (размер биоптата составлял 2,5 см) у пациента с недавно развившимся АС (давность болезни 10 мес). Виден единичный небольшой участок замещения суставного хряща фиброзной тканью, которая внедряется в хрящ изнутри, со стороны трабекулярной кости.
Рис. 8. Микроскопическое исследование биоптата КПС у пациента с ранним АС. Со стороны субхондральной кости в хрящ проникает пучок соединительной ткани (указано стрелкой) (заимствовано из [19]).
Прижизненное получение материала для морфологических исследований из структур позвоночника при АС затруднено. Поэтому особый интерес представляет публикация известных морфологов [20], которые объединили имеющиеся единичные наблюдения и оценили их ex consilio. Подтверждена ведущая роль остеита в развитии сакроилиита, но в ряде биопсий, проведенных на ранних стадиях АС, также наблюдался синовит. Для описания ранних изменений, происходящих в субхондральной кости, использован термин «миксоидный» костный мозг (синонимы «субхондральная грануляционная ткань», «фиброз костного мозга» или «васкуляризированная фиброзная ткань»). Миксоматозные изменения наблюдались авторами только в субхондральных отделах КПС и часто соседствовали с воспалительным клеточным инфильтратом, энтезит не составлял ранней черты сакроилиита. В биоптатах, полученных на более поздних стадиях АС, наблюдались пролиферативные процессы: метаплазия грануляционной ткани в хрящ с дальнейшей его энхондральной оссификацией, а также фиброз и образование волокнистой кости.
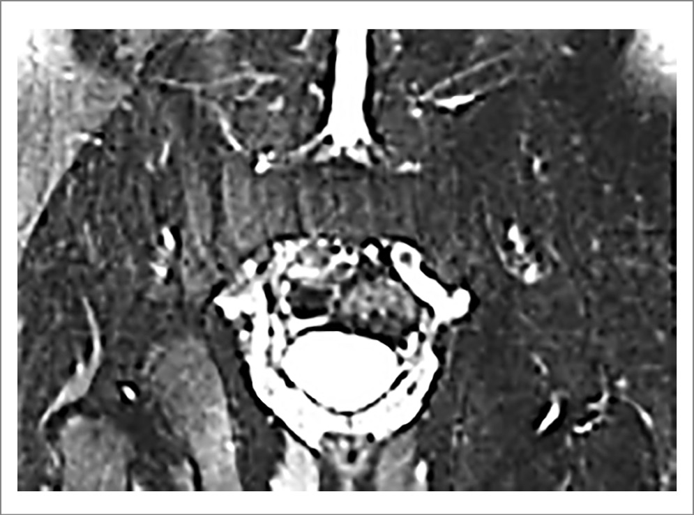
Наличие остеита (воспалительный отек костной ткани) в области КПС отчетливо визуализируется у пациентов с АС/аксСпА с помощью МРТ. Этот признак, обнаруживающийся рано (в первые дни и недели после появления вертебралгий) и доминирующий над отеком других структур суставов (синовиальная оболочка, капсула, связки и места их прикрепления к костям), признан главным в МРТ-семиотике «активного» сакроилиита. Указанная особенность патологии КПС при АС/аксСпА – преобладание воспаления в костной ткани – отражается на формировании рентгенологических изменений и их эволюции. КПС имеют большое анатомическое сходство с симфизами – фиброзными и хрящевыми сочленениями. Симфизами или синхондрозами являются и многие другие структуры аксиального скелета: межпозвонковые диски, лонное сочленение, соединения рукоятки и мечевидного отростка с телом грудины и другие, к которым «тропно» воспаление при АС, все чаще называемом теперь аксСпА. Патоморфологические процессы, происходящие в классических симфизах при АС, сходны с теми, что наблюдаются в КПС. Динамика их своеобразна и напоминает эволюцию перелома, когда в месте гематомы сначала формируется соединительная, затем фиброзно-хрящевая ткань, которая позже замещается костной. На последовательно выполненных рентгеновских снимках можно наблюдать, как диастаз между отломками (его эквивалентом при АС является расширенная щель сустава) постепенно замещается фиброзной, а затем хрящевой и костной «мозолью» с восстановлением ранее утраченной непрерывности кости. На рис. 9 приведена рентгенограмма манубриостернального сочленения у пациента с АС, на которой видны эрозирование краев сустава, неравномерное расширение щели и широкий субхондральный склероз сочленяющихся костей, то есть признаки, характерные и для сакроилиита.
Рис. 9. Деструкция манубриостернального сустава у пациента Ш. 45 лет. Диагноз АС, HLA-B27, продолжительность болезни 20 лет, давность поражения манубриостернального сустава 1 год.
Проведение МРТ КПС мы рекомендуем в тех случаях, когда у пациента с болями в нижней части спины на рентгенограммах/КТ достоверных признаков сакроилиита не обнаружено, а основания для подозрения на АС/аксСпА сохраняются (например, когда длительность вертебралгий воспалительного характера невелика) или когда необходим поиск других объяснений болей в нижней части спины (стресс-перелом крестца у спортсменов и беременных, патология мягких тканей, например синдром грушевидной мышцы и др.).
Для МРТ-исследования КПС целесообразно использовать аппараты с напряженностью магнитного поля не менее 1,5 Тесла. Низкотесловые аппараты менее чувствительны для обнаружения эрозий и очагов отека костного мозга небольшой интенсивности. Первой выполняется томограмма пояснично-крестцового отдела в сагиттальной проекции в режиме Т2 (количество сканограмм – 10–11, толщина среза – 4 мм). Затем осуществляются томограммы КПС в полукоронарной плоскости. Для их получения избирают срединную (центральную) сагиттальную томограмму, на которой проводится линия, соединяющая верхние отделы задней поверхности тел первых трех крестцовых позвонков. Учитывая вогнутую форму крестца, примерно две трети зоны сканирования необходимо расположить кпереди от этой линии, а одну треть – кзади. В этой плоскости получают изображения в режимах Т1, Т2 с подавлением сигнала от жировой ткани (STIR или FatSat) и Т1 FatSat (для оптимальной визуализации границы кости и хряща); количество сканограмм – 10–11, толщина среза – 4 мм. Далее выполняются томограммы в полуаксиальной плоскости (перпендикулярной полукоронарной) в режиме Т2 FatSat или STIR (толщина среза – 5 мм, количество сканограмм зависит от протяженности КПС, в среднем – 16–18). Зона сканирования должна охватывать симфиз и тазобедренные суставы с целью визуализации возможной патологии этих областей. Внутривенное контрастное усиление нецелесообразно, поскольку не повышает диагностическую эффективность метода. Структурные аномалии КПС на МРТ должны анализироваться преимущественно в режиме Т1 или Т1 FatSat, где четче видны контуры сустава. Для оценки томограмм необходимо наличие на рабочем столе персонального компьютера программы DICOM (одной из наиболее распространенных является программа RADIANT).
Для диагностики сакроилиита с помощью МРТ используют только те признаки, которые указывают на воспаление КПС, а структурные изменения не учитываются. Рабочей группой ASAS в 2019 г. сформулированы следующие положения для описания «активного» сакроилиита по данным МРТ, которые рекомендовано использовать в классификационных критериях аксСпА [21].
- Должен быть выявлен отек/воспаление костного мозга (остеит) – зоны гиперинтенсивного сигнала в режиме STIR или Т2 FatSat типичной локализации (субхондральные области КПС), имеющие визуализационные признаки, характерные для аксСпА (рис. 10).
- Зоны отека должны быть множественными или обнаруживаться на многих изображениях (срезах, последовательностях и плоскостях). Необходимо, чтобы зона отека была достаточно большой, не могла быть объяснена артефактами и другими причинами, которые способны индуцировать подобные изменения. Мелкие, отдельно расположенные (солитарные) очаги отека костного мозга должны интерпретироваться с осторожностью. Не принимается во внимание зона отека, расположенная исключительно в вентральной части сустава. Отек костного мозга в связочной области сустава не учитывается. Количество срезов МРТ, на которых выявляется отек, существенного значения не имеет.
- Воспаление других структур КПС (энтезит, капсулит), а также усиление сигнала от полости сустава (синовит), обнаружение жидкости в полости сустава и воспаление в месте эрозий имеют лишь подтверждающее значение и учитываются только в тех случаях, когда отек костного мозга выявляется неотчетливо.
- Наличие только структурных изменений КПС: жировая трансформация костного мозга; эрозии; жировая трансформация в полости эрозии, феномен «засыпки» (backfill); остеофиброз; анкилоз и костный выступ (bone bud) – не соответствует понятию «активного» сакроилиита по данным МРТ.
Рис. 10. Пациент Б., диагноз АС. МРТ КПС (коронарная проекция, режим Т2 FatSat): множественные зоны отека костного мозга (указаны стрелками) в основном в субхондральных областях. Изменения соответствуют критериям «активного» сакроилиита по классификации ASAS [22].
Существует немало ситуаций, когда на МРТ в области КПС регистрируется отек костного мозга, в ряде случаев формально соответствующий критериям «активного» сакроилиита, но не обусловленный воспалением этих суставов. Вообще отек костного мозга на МРТ совсем не обязательно индуцируется воспалением, а может возникать вследствие различных патологических процессов – травм, дегенеративных изменений суставов и позвоночника, ишемии (аваскулярный некроз) и др. В молодом и среднем возрасте причинами отека костного мозга в области КПС могут быть аномалии и варианты развития этих суставов и поперечных отростков LV, беременность и роды, занятия спортом, конденсирующий остеит, инфекции. Во второй половине жизни этот список дополняют остеоартроз КПС, болезнь (гиперостоз) Форестье, метаболические заболевания костей, почечная остеодистрофия. Ниже приводятся краткие сведения об отдельных ситуациях, в которых из-за некорректной интерпретации МРТ КПС или вследствие недостаточного внимания к клиническим проявлениям и анамнезу, можно ошибочно заподозрить АС/аксСпА [22, 23].
Технические артефакты МРТ. Ряд технических погрешностей во время регистрации МРТ может вызывать изменения сигнала в области КПС, напоминающие отек костного мозга. К таким артефактам относят «эффект катушки» (рис. 11) и недостаточное подавление сигнала от жировой ткани (рис. 12).
Рис. 11. МРТ КПС (аксиальная проекция, режим T2 FatSat): технические артефакты наложения (возникают в случае неправильно выбранного фазового кодирования). Видны зоны неправильной линейной и полулунной формы, накладывающиеся на левый КПС и мягкие ткани в зоне сканирования (указаны стрелками), что затрудняет визуализацию.
Рис. 12. МРТ КПС (в аксиальной проекции, режим Т2 FatSat): недостаточное жироподавление, о чем свидетельствует сохранение гиперинтенсивного сигнала от жировой ткани в правой ягодичной области (указано звездочкой). Участок гиперинтенсивного сигнала в правой боковой массе крестца имитирует отек костного мозга (указан стрелкой).
Еще одним артефактом, который может затруднять анализ состояния КПС на МРТ, является наложение пульсации расположенных поблизости сосудов (рис. 13).
Рис. 13. МРТ КПС (коронарная проекция, режим Т2 FatSat): артефакты от пульсации сосудов в виде вертикально направленных линий затрудняют визуализацию КПС. Можно подозревать зоны отека костного мозга в телах обеих подвздошных костей и боковых массах крестца, но достоверно оценить эти изменения на фоне артефактов не представляется возможным.
Аномалии, варианты развития и возрастные изменения КПС. Среди нескольких вариантов развития КПС известны два, которые могут сопровождаться отеком костного мозга: так называемый дисморфный КПС и несросшиеся зоны роста в боковых массах крестца и в подвздошной кости. Анатомические варианты и аномалии развития КПС лучше выявляются на КТ. Дисморфные КПС характеризуются костными выступами крестца или подвздошной кости, деформирующими суставные поверхности. На МРТ в этих областях возможны отек костного мозга и неровности, сходные с эрозиями.
Несросшиеся (персистирующие) зоны роста. Зоны роста в верхней части боковых масс крестца могут срастаться с ним с запозданием и сохраняться во взрослом возрасте. Несросшиеся зоны роста обычно наблюдаются по краю крестца на уровне SI–SII. На рентгенограмме обнаруживается округлый оссификат, как бы смещенный из крестца в подвздошную кость, а в крестце определяется зона вдавления («дефект»). На МРТ в этой области возможны отек костного мозга и неровности сустава, напоминающие эрозии. Иногда этот дефект развития сопровождается болями в нижней части спины или в области ягодиц. Возможны и нарушения оссификации подвздошной кости около КПС. На рентгенограмме они выглядят как единичные или множественные небольшие, округлые, часто уплотненные костные образования, как бы вдавленные в подвздошную кость (обычно с одной стороны, в верхней части). Нарушения развития ушковидной поверхности подвздошной кости могут на рентгеновском снимке выглядеть как эрозии КПС.
К вариантам развития КПС относят также костные «мостики». Частота рентгенологических аномалий КПС нарастает по мере увеличения возраста. J.B. Vogler и соавт. с помощью КТ установили, что негомогенный субхондральный склероз подвздошной кости отмечался у 83%, а локальное одностороннее сужение суставной щели (ширина менее 2 мм) – у 74% лиц старше 50 лет, не предъявлявших жалоб на боли в спине [9].
Люмбосакральный переходный позвонок. Пояснично-крестцовый переходный позвонок (вариант развития) наблюдается в общей популяции примерно у 25% пациентов. Возможна либо сакрализация тела пятого поясничного позвонка, либо люмбализация позвонка SI. Анатомические варианты разнообразны: от расширенных поперечных отростков до полного слияния их с крестцом с двух сторон или с одной стороны (рис. 14). Переходные позвонки могут сопровождаться болями в пояснице, особенно если имеется неполное сращение (псевдоартроз) между увеличенными поперечными отростками и верхней частью крестца.
Рис. 14. Пациент А. 20 лет, длительность болей в нижней части спины 5 лет. МРТ КПС в коронарной проекции: a – в режиме Т2 FatSat в левой боковой массе крестца на уровне верхних отделов сустава отмечается зона отека костного мозга, также создается впечатление об усилении сигнала от прилежащих мягких тканей (указано стрелками); b – в режиме Т1 отчетливо визуализируется неоартроз между левым поперечным отростком позвонка LV и левой боковой массой крестца (стрелка) – левосторонняя сакрализация LV с признаками отека.
Конденсирующий остеит подвздошной кости и/или крестца. На рентгенограмме конденсирующий остеит выглядит как широкая зона склероза треугольной формы с основанием, направленным вниз. Эти изменения могут обнаруживаться в одной или обеих подвздошных костях и/или в крестце поблизости от КПС (рис. 15) и наблюдаются преимущественно у женщин (особенно после родов), но иногда и у мужчин (имеется связь с ожирением, чрезмерной физической нагрузкой и сколиозом позвоночника). Ширина суставной щели не изменяется и эрозии отсутствуют.
Рис. 15. Пациентка К. 32 лет. Жалобы на боли в нижней части спины в течение 5 лет, возникли после родов: на КТ крестцово-подвздошных сочленений в коронарной (a) и аксиальной (b) плоскостях в субхондральных отделах тел обеих подвздошных костей и боковых масса крестца наблюдаются зоны широкого склероза (указаны стрелками), ширина суставных щелей не изменена, замыкательные пластинки костей четкие, без узурации – двусторонний конденсирующий остеит подвздошных костей и крестца.
Клинические проявления непостоянны (чаще отсутствуют), но возможны боли в пояснице или в области КПС, причем воспалительного характера. На МРТ конденсирующий остеит характеризуется низкой интенсивностью сигнала во всех последовательностях (рис. 16). Часто (в 48–93% случаев) по периферии зоны склероза отмечается отек костного мозга. Почти всегда зоны отека у пациентов с конденсирующим остеитом расположены в передней части КПС (тогда как при аксСпА они располагаются преимущественно в средней части сустава), эрозии наблюдаются только в единичных случаях [22].
Рис. 16. Пациентка 36 лет. Жалобы на боли в спине. На КТ КПС (слева) в аксиальной проекции в субхондральном отделе тела правой подвздошной кости отмечается широкая зона склероза (указана стрелкой), щель правого сустава несколько неравномерно сужена, ровная, имеются передние остеофиты с обеих сторон. На МРТ той же пациентки в аксиальной проекции видна зона сигнала пониженной интенсивности (указана стрелкой), соответствующая области склероза, выявленной на КТ.
Изменения КПС во время беременности, после родов, а также вследствие другой локальной перегрузки. Во время беременности на МРТ часто выявляется отек костного мозга в области КПС, что может сопровождаться болевыми ощущениями. Но наибольшая частота отека костного мозга регистрируется через 3 мес после родов. Типичной локализацией послеродового отека является передняя часть КПС, преимущественно средние слои (эти области особенно подвержены нагрузке во время беременности и родов). Протяженность отека костного мозга может быть такой же значительной, как и при аксСпА, достигая 1 см и более. Со временем размеры отека постепенно уменьшаются, но и через 12 мес после родов его регистрируют примерно у 40% женщин. Могут выявляться неровности контуров суставов, напоминающие эрозии, остеосклероз и жировая трансформация костного мозга. Изменения МРТ, возникающие вследствие беременности и родов, в ряде случаев трансформируются в типичную картину конденсирующего остеита, локализующегося в подвздошной кости и/или крестце. Зоны отека могут заменяться участками жировой метаплазии. Феномен «заполнения» эрозий (backfill) не наблюдается, анкилоз КПС не возникает [24].
Отек костного мозга в области КПС можно выявить у пациентов с механической болью в нижней части спины, а иногда и у здоровых лиц, особенно физически активных. Размеры зон отека в этих случаях обычно меньше, чем у пациентов с АС/аксСпА, но в одном из исследований показано, что выявленный у 12,5% бегунов и у 6,4% пациентов с хронической болью в спине отек костного мозга соответствовал критериям «активного» сакроилиита, предложенным ASAS [24]. Важно отметить, что эти изменения, связывающиеся с локальной перегрузкой КПС, чаще всего возникают в передней или средней части сустава. Вот почему при анализе МРТ у пациентов с подозрением на АС/аксСпА важно оценивать локализацию отека костного мозга (на аксиальных срезах) и скептически относиться к изменениям, ограничивающимся передними отделами суставов.
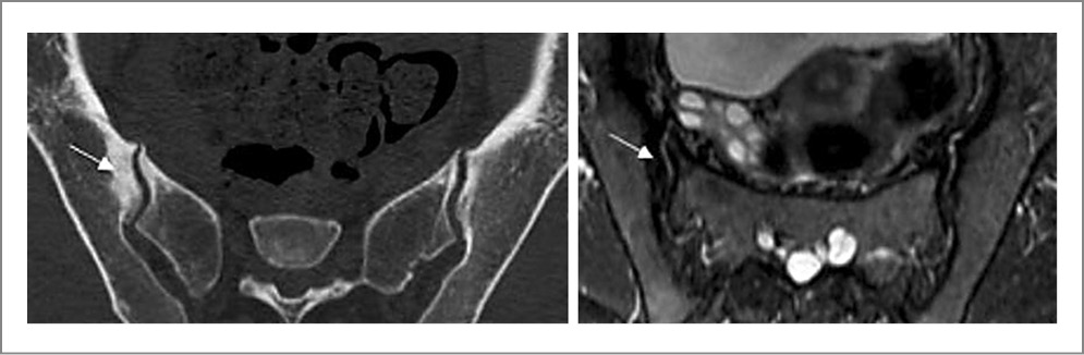
Остеоартроз КПС. Возможность дегенерации КПС следует учитывать уже в четвертом десятилетии жизни. В старшем же возрасте остеоартроз этих суставов по визуализационным данным возникает часто, хотя болевые ощущения в нижней части спины нетипичны. На КТ отмечаются сужение суставной щели (ширина менее 2 мм), субхондральный остеосклероз (обычно неширокий и гомогенный), четко отграниченный от нормальной костной ткани, остеофиты, а иногда вакуум-феномен и субхондральные кисты. Анкилоз не развивается. Изредка описываются мелкие единичные эрозии или неровности суставного края, напоминающие эрозии. Дегенеративные изменения КПС закономерно возникают у пациентов со сколиозом позвоночника и такими аномалиями развития, как переходные крестцово-поясничные позвонки и добавочные КПС. Оптимальным методом обнаружения дегенеративных изменений КПС является КТ (рис. 17). МРТ не позволяет точно измерить ширину щели КПС и выявить небольшие остеофиты, то есть кардинальные признаки остеоартроза. Однако с помощью МРТ можно обнаружить иногда возникающий отек костного мозга. Его особенностями при остеоартрозе КПС являются небольшие размеры, ограниченная глубина (отек виден не более чем на 1–2 срезах) и локализация в передней части сустава по соседству со склерозированными участками, внутри этих зон и/или около остеофитов. Если у пациентов отек костного мозга обнаружен только в передней части КПС, рекомендуется поиск (с помощью КТ) других признаков, указывающих на дегенеративную патологию суставов.
Рис. 17. Остеоартроз КПС у 39-летней пациентки со сколиозом и болями воспалительного типа в области крестца. На КТ отмечаются неровность суставных поверхностей, их локальное сужение (преимущественно слева), двусторонний субхондральный склероз подвздошных костей и краевые остеофиты (слева), эрозий не обнаружено (заимствовано из [22]).
Диффузный идиопатический гиперостоз скелета. Изменения КПС при этом заболевании характеризуются оссификацией передней и задней крестцово-подвздошных связок и капсулы сустава, что на рентгеновских снимках может имитировать анкилоз (рис. 18). На КТ картина проясняется, выявляется лишь поверхностное связочное и капсулярное сращение КПС, причем нижние две трети суставных щелей хорошо прослеживаются [25]. У части пациентов обнаруживаются небольшие зоны отека костного мозга и жировая метаплазия костного мозга в области КПС. Эрозии и субхондральный склероз встречаются редко.
Рис. 18. Пациент Г., диагноз «диффузный идиопатический гиперостоз скелета»: a – на рентгенограмме видны сужение щели правого сустава и участки субхондрального склероза в нижних и верхних отделах обоих суставов, щель левого сустава местами не прослеживается; b – КТ показала, что щель КПС сохранна с обеих сторон, эрозии и субхондральный склероз отсутствуют, в верней части суставов отмечается оссификация капсулы.
Диффузный идиопатический гиперостоз скелета характеризуется генерализованной оссификацией сухожилий, связок и их энтезисов и развивается обычно во второй половине жизни (встречается у 10–15% лиц старше 50 лет). Диагноз этой патологии устанавливается на основании типичной рентгенологической картины – непрерывного окостенения передней продольной связки позвоночника, распространяющегося вдоль не менее 4 соседних тел позвонков – при условии отсутствия патологии дисков, тел и межпозвоночных суставов в этих сегментах, которая могла бы по-другому объяснить паравертебральную оссификацию (рис. 19).
Рис. 19. Пациент С. Диагноз «диффузный идиопатический гиперостоз скелета»: a – на рентгенограмме грудного отдела позвоночника в прямой проекции видны смыкающиеся и несмыкающиеся выпуклые спондилофиты, более выраженные по правому контуру (типичная особенность болезни Форестье – эффект пульсации аорты); b – на рентгенограмме в боковой проекции видна примыкающая к поверхности тел позвонков непрерывно оссифицированная значительно утолщенная передняя продольная связка (форма тел позвонков, межпозвонковые промежутки сохранны); c – ее размеры и расположение лучше определяются на КТ одного из грудных позвонков.
Инфекционный сакроилиит. На МРТ у пациентов с инфекционным сакроилиитом отмечается односторонний обширный отек костного мозга, преимущественно локализующийся в крестце. Иногда отек распространяется и на подвздошную кость, но ее изолированное поражение не характерно. Обычно также возникает скопление жидкости в полости КПС и значительный отек капсулы. Самый примечательный МРТ-признак этой патологии – распространение отека на прилегающие к крестцу мышцы (рис. 20). Типичны также крупные краевые эрозии пораженного сустава, а иногда секвестры (остеомиелит), которые лучше визуализируются на КТ. Патогномоничным признаком, наблюдающимся на поздних стадиях заболевания, является абсцесс подвздошно-поясничной или грушевидной мышцы. Со временем в ходе репарации в суставе могут возникать костные перемычки, жировое замещение костного мозга и анкилоз. В отличие от инфекционного сакроилиита воспалительные изменения КПС при АС/аксСпА не выходят за анатомические границы сустава.
Рис. 20. Гнойный сакроилиит у пациента Н. 29 лет через 1 мес после начала болезни: a – на МРТ выявлен распространенный отек костного мозга по обе стороны левого КПС, а также отек подвздошной мышцы слева (указано стрелками); b – на КТ видна деструкция левого КПС (остеомиелит).
Стресс-переломы костей таза могут возникать вследствие острых небольших травм и/или хронического перенапряжения данной анатомической области у здоровых молодых людей с нормальным костным скелетом, например у спортсменов и новобранцев, а иногда и вследствие родов. Такие переломы трудно обнаруживаются с помощью рентгенографии, методами выбора в диагностике являются МРТ и сцинтиграфия. При стресс-переломах крестца на МРТ выявляется отек костного мозга, который может напоминать картину «активного» сакроилиита при АС/аксСпА. Пример этой патологии приведен в начале статьи. Точный диагноз устанавливается при обнаружении линии перелома. Изменения на томограммах, а также болевые ощущения могут сохраняться длительное время.
Рентгенологическая патология КПС, неотличимая от сакроилиита или напоминающая его, описана при различных метаболических (подагра, псевдоподагра, остеомаляция, охроноз), эндокринных (гиперпаратиреоз, гипопаратиреоз) и других системных заболеваниях (серповидно-клеточная анемия, почечная остеодистрофия, болезнь Гоше, ретикулогистиоцитоз), а также при токсических влияниях (винилхлорид, флюороз), костной болезни Педжета и нижней параплегии.
Заключение
В заключение этой части статьи обобщим советы в отношении диагностики сакроилиита у пациентов с подозрением на АС/аксСпА.
- Главное в диагностике АС/аксСпА – надежное распознавание сакроилиита. Ключевое значение в верификации сакроилиита имеет обнаружение структурной патологии крестцово-подвздошных сочленений – сочетания множественных краевых эрозий (и/или расширения суставной щели) и широкой зоны субхондрального склероза. Наиболее отчетливо эти изменения выявляются рентгенологическими методами. Если при просмотре рентгенограммы возникает подозрение на сакроилиит или если получен некачественный снимок, целесообразно проведение мультиспиральной КТ (у лиц молодого возраста с использованием низких доз лучевой нагрузки). КТ позволяет уверенно отграничить аномалии развития и дегенеративные изменения суставов от сакроилиита.
- Проведение МРТ КПС в случае подозрения на АС/аксСпА показано при отсутствии рентгенологических признаков сакроилиита. В МРТ-диагностике сакроилиита учитываются только типично расположенные (околосуставные), множественные, характерные для АС/аксСпА зоны отека костного мозга. Исключительное их расположение в передней части КПС нетипично для сакроилиита. Рекомендации рабочей группы ASAS в отношении МРТ-диагностики «активного» сакроилиита полезны, но предназначаются только для предварительной оценки состояния КПС.
- Прежде чем признать связь МРТ-изменений КПС со спондилоартритами, рекомендуется рассмотреть другие причины: аномалии и варианты развития этих суставов и нижнего поясничного отдела позвоночника, конденсирующий остеит подвздошной кости и/или крестца, механическую перегрузку (беременность и роды, занятия спортом), остеоартроз, диффузный идиопатический гиперостоз скелета, инфекционный сакроилиит, стресс-переломы крестца, метаболические заболевания костей (гиперпаратиреоз, остеомаляция, почечная остеодистрофия).
Проблемы, связанные с диагностикой и дифференциальной диагностикой поражения позвоночного столба у пациентов с АС/аксСпА, изложены во второй части статьи.
Раскрытие интересов. Авторы декларируют отсутствие явных и потенциальных конфликтов интересов, связанных с публикацией настоящей статьи.
Disclosure of interest. The authors declare that they have no competing interests.
Вклад авторов. Авторы декларируют соответствие своего авторства международным критериям ICMJE. Все авторы в равной степени участвовали в подготовке публикации: разработка концепции статьи, получение и анализ фактических данных, написание и редактирование текста статьи, проверка и утверждение текста статьи.
Authors’ contribution. The authors declare the compliance of their authorship according to the international ICMJE criteria. All authors made a substantial contribution to the conception of the work, acquisition, analysis, interpretation of data for the work, drafting and revising the work, final approval of the version to be published and agree to be accountable for all aspects of the work.
Источник финансирования. Авторы декларируют отсутствие внешнего финансирования для проведения исследования и публикации статьи.
Funding source. The authors declare that there is no external funding for the exploration and analysis work.
Информированное согласие на публикацию. Пациенты подписали форму добровольного информированного согласия на публикацию медицинской информации.
Consent for publication. Written consent was obtained from the patients for publication of relevant medical information and all of accompanying images within the manuscript.
1 В новой Международной классификации болезней Всемирной организации здравоохранения (11-й пересмотр, 2022 г.) в качестве основных терминов, относящихся к категории «Воспалительные спондилоартропатии», используются «аксиальный спондилоартрит» и «периферический спондилоартрит», а термин «анкилозирующий спондилит» изъят. Мы будем использовать термины «анкилозирующий спондилит» (АС) и «аксиальный спондилоартрит» (аксСпА) как синонимы.
2 В зарегистрированных в России (на 2023 г.) показаниях к применению генно-инженерных биологических препаратов и ингибиторов янус-киназ у больных СпА превалирует диагноз АС. Возможность использования их при аксСпА официально указана только для препаратов Далибра (адалимумаб), Симзия (цертолизумаба пэгол), Козэнтикс (секукинумаб) и Ранвэк (упадацитиниб).
3 Известны крайне редкие достоверные случаи АС без поражения КПС [2, 3].
About the authors
Nikolay V. Bunchuk
„Klinika Sesil'+“ LLC
Author for correspondence.
Email: nbunchuk@yahoo.com
ORCID iD: 0000-0002-4728-400X
D. Sci. (Med.), „Klinika Sesil'+“ LLC
Russian Federation, MoscowAntonina V. Levshakova
Hertsen Moscow Oncology Research Institute – branch of the National Medical Research Radiological Centre
Email: nbunchuk@yahoo.com
ORCID iD: 0000-0002-2381-4213
D. Sci. (Med.), Hertsen Moscow Oncology Research Institute – branch of the National Medical Research Radiological Centre
Russian Federation, MoscowReferences
- Rudwaleit M, Jurik AG, Hermann KG, et al. Defining active sacroiliitis on magnetic resonance imaging (MRI) for classification of axial spondyloarthritis: a consensual approach by the ASAS/OMERACT MRI group. Ann Rheum Dis. 2009;68(10):1520-7. doi: 10.1136/ard.2009.110767
- Calin A. Ankylosing spondylitis sine sacroiliitis. Arthritis Rheum. 1979;22(3):303-4. doi: 10.1002/art.1780220316
- Khan MA, van der Linden SM, Kushner I, et al. Spondylitic disease without radiologic evidence of sacroiliitis in relatives of HLA-B27 positive ankylosing spondylitis patients. Arthritis Rheum. 1985;28(1):40-3. doi: 10.1002/art.1780280107
- Heuft-Dorenbosch L, Landewé R, Weijers R et al. Combining information obtained from magnetic resonance imaging and conventional radiographs to detect sacroiliitis in patients with recent onset inflammatory back pain. Ann Rheum Dis. 2006;65(6):804-8. doi: 10.1136/ard.2005.044206
- Dihlmann W. Current radiodiagnostic concept of ankylosing spondylitis. Skeletal Radiol. 1979;4(4):179-88. doi: 10.1007/BF00347211
- Poddubnyy D, Weineck H, Diekhoff T, et al. Clinical and imaging characteristics of osteitis condensans ilii as compared with axial spondyloarthritis. Rheumatology (Oxford). 2020;59(12):3798-806. doi: 10.1093/rheumatology/keaa175
- Dixon AS, Lience E. Sacro-iliac joint in adult rheumatoid arthritis and psoriatic arthropathy. Ann Rheum Dis. 1961;20(3):247-57. doi: 10.1136/ard.20.3.247
- Kreutzinger V, Diekhoff T, Liefeldt L, et al. Asymptomatic secondary hyperparathyroidism can mimic sacroiliitis on computed tomography. Sci Rep. 2021;11(1):4323. doi: 10.1038/s41598-021-83989-1
- Vogler JB 3rd, Brown WH, Helms C, Genant HK. The normal sacroiliac joint: a CT study of asymptomatic patients. Radiology. 1984;151(2):433-7. doi: 10.1148/radiology.151.2.6709915
- Forestier J. The importance of sacroiliac changes in the early diagnosis of ankylosing spondylarthritis. Marie–Strumpell–Bechterew disease. Radiology. 1939;33(3):389-402. doi: 10.1148/33.3.389
- Lindvall N. In: Proceedings from a symposium on Bechterew’s syndrome and allied disorders. Oslo, Norway, October 22–24, 1979. Scand J Rheumatol Suppl. 1980;32:1-252.
- Dale K. In: Proceedings from a symposium on Bechterew’s syndrome and allied disorders. Oslo, Norway, October 22–24, 1979. Scand J Rheumatol Suppl. 1980;32:1-252.
- Resnik D. In: Proceedings from a symposium on Bechterew’s syndrome and allied disorders. Oslo, Norway, October 22–24, 1979. Scand J Rheumatol Suppl. 1980;32:1-252.
- Faflia CP, Prassopoulos PK, Daskalogiannaki ME, Gourtsoyiannis NC. Variation in the appearance of the normal sacroiliac joint on pelvic CT. Clin Radiol. 1998;53(10):742-6. doi: 10.1016/s0009-9260(98)80316-4
- Dihlmann W. Diagnostic radiology of the sacroliac joints. Georg Thieme Verlag Stuttgart, NY. 1980.
- Cohen AS, McNeill JM, Calkins E, et al. The „normal“ sacroiliac joint. Analysis of 88 sacroiliac roentgenograms. Am J Roentgenol Radium Ther Nucl Med. 1967;100(3):559-63.
- Левшакова А.В., Бочкова А.Г., Бунчук Н.В. Мультиспиральная компьютерная томография в диагностике сакроилиита у больных ранними спондилоартритами. Вестник рентгенологии и радиологии. 2009;1–3:27-30 [Levshakova AV, Bochkova AG, Bunchuk NV. Multispiral computed tomography in the diagnosis of sacroileitis in patients with early spondyloarthriis. Vestn Rentgenol Radiol. 2009;1–3:27-30 (in Russian)].
- Diekhoff T, Hermann KGA, Lambert RG. Future of low-dose computed tomography and dual-energy computed tomography in axial spondyloarthritis. Curr Rheumatol Rep. 2022;24(6):198-205. doi: 10.1007/s11926-022-01075-5
- Shichikawa K, Tsujimoto M, Nishioka J, et al. Histopathology of early sacroiliitis and enthesitis in ankylosing spondylitis. In: Advances in inflammation research. Vol. 9. The spondyloarthropathies. Ed. by Ziff M, Cohen SB. New York: Raven Press.
- François RJ, Gardner DL, Degrave EJ, Bywaters EG. Histopathologic evidence that sacroiliitis in ankylosing spondylitis is not merely enthesitis. Systematic Study of Speciments from Patients and Control Subjects. Arthritis Rheum. 2000;43(9):2011-24. doi: 10.1002/1529-0131(200009)43:9<2011::AID-ANR12>3.0.CO;2-Y
- Maksymowych WP, Lambert RG, Østergaard M, et al. MRI lesions in the sacroiliac joints of patients with spondyloarthritis: an update of definitions and validation by the ASAS MRI working group. Ann Rheum Dis. 2019;78(11):1550-8. doi: 10.1136/annrheumdis-2019-215589
- Jurik AG. Diagnostics of sacroiliac joint differentials to axial spondyloarthritis changes by magnetic resonance imaging. J Clin Med. 2023;12(3):1039. doi: 10.3390/jcm12031039
- Caetano AP, Mascarenhas VV, Machado PM. Axial spondyloarthritis: mimics and pitfalls of imaging assessment. Front Med (Lausanne). 2021;8:658538. doi: 10.3389/fmed.2021.658538
- De Winter J, de Hooge M, van de Sande M, et al. Magnetic resonance imaging of the sacroiliac joints indicating sacroiliitis according to the assessment of spondyloarthritis international society definition in healthy individuals, runners, and women with postpartum back pain. Arthritis Rheumatol. 2018;70(7):1042-8. doi: 10.1002/art.40475
- Бунчук Н.В. Ревматические заболевания пожилых (Избранные). 3-е изд., доп. М.: МЕДпресс-информ, 2020 [Bunchuk NV. Revmaticheskie zabolevaniia pozhilykh (Izbrannye). 3-e izd., dop. Moscow: MEDpress-inform, 2020 (in Russian)].
Supplementary files























