Респираторная эпителиальная аденоматоидная гамартома у ребенка с полипозным риносинуситом: клинический случай
- Авторы: Баранов К.К.1,2, Котова Е.Н.1,2, Вязьменов Э.О.1,2, Полунин М.М.1, Фениксова Л.В.1, Павлова Е.В.1
-
Учреждения:
- ФГАОУ ВО «Российский национальный исследовательский медицинский университет им. Н.И. Пирогова» Минздрава России
- ФГБУ «Федеральный научно-клинический центр физико-химической медицины им. акад. Ю.М. Лопухина» ФМБА России
- Выпуск: Том 25, № 12 (2023): Коморбидность в клинике внутренних болезней
- Страницы: 817-821
- Раздел: Статьи
- Статья опубликована: 15.12.2023
- URL: https://consilium.orscience.ru/2075-1753/article/view/628276
- DOI: https://doi.org/10.26442/20751753.2023.12.202508
- ID: 628276
Цитировать
Полный текст
Аннотация
Доброкачественные образования носа и околоносовых пазух на ранних этапах развития протекают бессимптомно или проявляются незначительными неспецифическими признаками, в связи с чем часто остаются нераспознанными. Гамартома – опухолевидное образование дизэмбриологической природы, состоящее из нормальных, но неорганизованных клеток. Из-за редкости возникновения гамартом синоназальной области, особенно в педиатрической практике, их диагностика может представлять определенные сложности, поскольку они могут имитировать другие образования, такие как полипы носа или инвертированную папиллому, могут встречаться как изолированные образования в полости носа, есть варианты сочетания с хроническим риносинуситом, полипозом носа. Цель – сообщить о редком клиническом случае в педиатрической практике – респираторной эпителиальной аденоматоидной гамартоме (РЭАГ), ассоциированной с аллергическим риносинуситом и полипозом, отобразить связь возникновения РЭАГ с хроническим воспалением полости носа и околоносовых пазух, провести дифференциальную диагностику с другими экзофитными поражениями полости носа, объединить и обобщить доступные данные по синоназальным гамартомам. В статье приведено описание клинического случая РЭАГ у пациента 17 лет с предшествующим 4-летним наблюдением с полипозом полости носа и неоднократным проведением полипотомии в анамнезе. Представлены результаты эндоскопии и компьютерной томографии полости носа и околоносовых пазух, результаты хирургического вмешательства, а также выводы гистологического исследования удаленного у пациента образования. Авторы провели анализ отечественной и зарубежной литературы, на основании которого представили дифференциальный ряд синоназальных гамартом. РЭАГ – редкое патологическое образование синоназальной области, проявляющееся в виде изолированного полиповидного образования в полости носа или как случайная операционная находка у пациентов с хроническим синуситом. Ассоциация с полипами полости носа подтверждает гипотезу о том, что воспаление может быть одним из индуцирующих факторов. Тактика лечения предполагает эндоскопическое удаление образования в пределах здоровых тканей, что обеспечивает хорошие отдаленные результаты, рецидивы крайне редки.
Ключевые слова
Полный текст
Доброкачественные и злокачественные образования носа и околоносовых пазух на ранних этапах развития протекают бессимптомно или проявляются незначительными неспецифическими признаками, в связи с чем часто остаются нераспознанными. Позже основными проявлениями в зависимости от локализации и распространенности процесса становятся симптомы, расцениваемые чаще как признаки острых или хронических синуситов: назальная обструкция различной степени выраженности, частые респираторные заболевания, головная боль, гипосмия [1]. Стоит отметить, что даже доброкачественные новообразования синоназальной области могут протекать с признаками злокачественности, приводя к костной деструкции и распространению процесса в соседние анатомические области, что может привести к развитию тяжелых внутричерепных осложнений, массивных спонтанных кровотечений, нарушений функций жизненно важных органов [2, 3].
Гамартома – опухолевидное образование дизэмбриологической природы, состоящей из нормальных, но неорганизованных клеток [4]. В большинстве случаев данные образования диагностируются в легких, почках, печени, селезенке, коже, а синоназальные гамартомы встречаются крайне редко [5]. В зависимости от гистологической характеристики они подразделяются на 4 группы: респираторная эпителиальная аденоматоидная гамартома (РЭАГ), серомуцинозная гамартома (СГ), хондро-костная респираторная эпителиальная гамартома (ХКРЭГ) и хондромезенхимальная гамартома носа (ХМГН). Первые две чаще диагностируются у взрослых пациентов, в то время как ХМГН преимущественно встречается у новорожденных и младенцев [6, 7].
Все 4 группы гамартом могут проявляться в виде массивных поражений полости носа и околоносовых пазух, риноорбитальной зоны и сопровождаться сопутствующими обструктивными симптомами. Учитывая редкость этих поражений, диагностика может представлять определенные сложности, поскольку гамартомы могут имитировать другие образования, такие как полипы носа или инвертированную папиллому, могут встречаться как изолированное образование в полости носа, так и в сочетании с хроническим риносинуситом, полипозом носа [8, 9].
В 2021 г. проведено исследование, согласно которому РЭАГ в основном встречается у взрослых в возрасте от 3 до 9-го десятилетия жизни с преобладанием мужчин и пиками на 5-6-м десятилетии с 1 случаем, зарегистрированным в детском возрасте [10].
Цель – сообщить о редком клиническом случае РЭАГ в педиатрической практике, ассоциированной с аллергическим риносинуситом и полипозом, отобразить связь возникновения РЭАГ с хроническим воспалением полости носа и околоносовых пазух, провести дифференциальную диагностику с другими экзофитными агрессивными поражениями полости носа, объединить и обобщить все доступные данные по синоназальным гамартомам.
Клинический случай
Пациент К., 17 лет обратился в клинику кафедры оториноларингологии педиатрического факультета ФГАОУ ВО «РНИМУ им. Н.И. Пирогова» (на базе отделения оториноларингологии ФГБУ «ФНКЦ ФХМ им. Ю.М. Лопухина») с жалобами на длительное выраженное затруднение носового дыхания.
Из анамнеза известно, что ребенок наблюдался с диагнозом «полипоз полости» носа с 13 лет, неоднократно проводилась полипотомия полости носа под местной анестезией без последующего гистологического исследования по месту жительства. После проведенных манипуляций отмечалось кратковременное улучшение носового дыхания. При обследовании у аллерголога выявлена сенсибилизация к сорным травам и бытовым аллергенам.
В рамках амбулаторного обследования пациенту выполнена диагностическая эндоскопия полости носа и носоглотки: в общих, нижних и средних носовых ходах с двух сторон выявлены множественные полиповидные образования, практически полностью обтурирующие просвет полости носа.
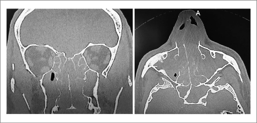
Учитывая клинические признаки, пациенту проведена компьютерная томография околоносовых пазух. Выявлены мягкотканные структуры, практически полностью заполняющие полость носа и околоносовых пазух, плотностью 40–45 едH с частичной деструкцией медиальных стенок верхнечелюстных пазух (рис. 1).
Рис. 1. Компьютерная томография околоносовых пазух. РЭАГ и полипоз полости носа и околоносовых пазух.
С диагнозом «полипозный риносинусит» пациент госпитализирован для планового хирургического вмешательства. Под эндотрахеальным наркозом произведена операция: двусторонняя эндоскопическая полипотомия, эндоскопическая полисинусотомия с санацией пазух. Преимущественная локализация полипозных масс определялась в задних отделах полости носа. Данные патологические образования полностью удалены из полости носа, операционный материал отправлен на гистологическое исследование. Послеоперационный период протекал без осложнений. На 5-е сутки в удовлетворительном состоянии с адекватным носовым дыханием пациент выписан под амбулаторное наблюдение.
Последующее гистологическое исследование свидетельствовало о том, что кроме полипозной ткани в материале обнаружены признаки РЭАГ: полиповидное образование, представленное многочисленными ветвящимися железами различного калибра, местами кистозно трансформированными, содержащими муцин, выстланными респираторным эпителием с большим количеством муцин-секретирующих клеток. Отмечено резкое утолщение базальной мембраны в виде эозинофильного ободка, окружающего железу, часть желез – с атрофическими изменениями, представленными утолщенным кубическим эпителием. Строма обильно инфильтрирована плазмоцитами, эозинофилами, наличием разнокалиберных, в том числе толстостенных сосудов. Идентифицируемой митотической активности или некроза не обнаружено.
За период катамнестического наблюдения (1 год) признаков рецидива не выявлено.
Обсуждение
Каждая из 4 групп синоназальных гамартом имеет не только различную гистологическую характеристику, но и ряд клинических особенностей.
ХМГН – это редкое доброкачественное новообразование носовой полости, околоносовых пазух и основания черепа, обычно развивающееся у детей первого года жизни. Типичная локализация: перегородка и преддверие носа, решетчатый лабиринт, клиновидная и верхнечелюстная пазуха. Для данного образования характерны быстрый рост и значительная костная реконструкция, которая может имитировать злокачественный процесс [11, 12]. Этиология возникновения окончательно не установлена. На данный момент основной причиной развития ХМГН является мутация гена DICER1 [13]. Гистологически образование имеет смешанную морфологическую структуру, состоящую преимущественно из мезенхимальных и хрящевых компонентов, включая веретенообразные клетки, коллагеновые волокна [14, 15]. Клиническая картина зависит от локализации опухоли в полости носа и околоносовых пазухах. Симптоматика может варьироваться от затруднения носового дыхания до нарушения зрения и появления болевого синдрома лицевой области [16].
СГ – редкая доброкачественная железистая пролиферация, возникающая из реснитчатого эпителия синоназального тракта и носоглотки. Данное образование впервые описано в 1974 г. как полиповидные разрастания в области сошника [17]. В большинстве случаев диагностируется у взрослых. СГ состоит из разрастания серомуцинозных желез и их протоков. Важными диагностическими критериями СГ являются: окрашивание серозного компонента S100, отсутствие позитивных р63 аблюминальных клеток и отсутствие миоэпителиальных и базальных клеток [18].
ХКРЭГ – крайне редкое образование носовой полости. Это медленно растущее доброкачественное поражение без злокачественных особенностей. Гистологически отмечаются признаки пролиферации желез респираторного тракта и визуализируются островки незрелого гиалинового хряща [10, 19]. ХКРЭГ встречается как у детей, так и у взрослых в возрастном диапазоне от 3 до 83 лет и, по-видимому, не имеет явной связи с полом и возрастом [7].
Гистологический вариант образования в представленном нами клиническом наблюдении крайне редко диагностируется в детском возрасте и, как правило, является операционной находкой. РЭАГ представляет собой редкое доброкачественное новообразование верхних дыхательных путей. Данное образование впервые описано в 1995 г. как полиповидное железистое разрастание в полости носа, характеризующееся железистой пролиферацией, выстланной мерцательным эпителием, происходящим из эпителия дыхательных путей [20]. Всемирная организация здравоохранения признала данный вид гамартом как отдельный объект в новой классификации опухолей головы и шеи в 2017 г. [21].
В полости носа РЭАГ чаще встречается у мужчин старше 30 лет и располагается в обонятельной области задних отделов носовой перегородки, хотя сообщалось также о поражении латеральной стенки полости носа, решетчатых, лобных пазух и носоглотки [21, 22]. Этиология возникновения образования в настоящее время до конца не изучена [23]. Но ассоциация с полипами носа и аллергическим риносинуситом подтверждает гипотезу о том, что воспаление может быть одним из индуцирующих факторов РЭАГ [9], что отмечено и в нашем наблюдении.
На сегодняшний день существует только одно исследование, в котором изучалась молекулярная генетика РЭАГ. В исследовании J. Ozolek и соавт. проанализированы гены на хромосомах 9p (CDKN2/p16), 11p (H-ras), 17p (p53) и 18q (DCC/DPC4). По данным исследования показано, что РЭАГ обладает высокой потерей гетерозиготности по локусам, расположенным на хромосомах 9p и 18q, а также частичную аллельную потерю 31%. Данный показатель высокий для неопухолевого образования. Авторы пришли к выводу, что РЭАГ на самом деле может быть доброкачественным новообразованием, а не гистологическим пороком эмбрионального развития, как первоначально считалось [11, 24].
Клинически РЭАГ напоминает полипы носовой полости с одно- или двусторонней локализацией [25]. Симптомы включают аносмию, обструкцию носа, давление в области лица и ринорею [26].
Осведомленность о возможности возникновении РЭАГ в задних отделах полости носа важна для дифференциальной диагностики: РЭАГ может имитировать инвертированную папиллому, аденокарциному и полипоз носа клинически, радиологически и патологически. Гистологически гамартома, как и полипы полости носа, отличается фибробластической и сосудистой пролиферацией, стромальным отеком, инфильтрацией воспалительными клетками [9, 27]. Однако полипы не имеют ярко выраженной аденоматоидной пролиферации и гиалинизации стромы, которые характерны для РЭАГ. Но, несмотря на характерные гистологические особенности, дифференциальный диагноз данного образования затрудняется в случаях небольших или фрагментированных эндоскопических биопсий [28].
Инвертированные папилломы в отличие от полипов полости носа и РЭАГ считаются истинными новообразованиями, возникающими в результате инвагинации многослойного плоского эпителия. Клинически для данного новообразования характерны затруднение носового дыхания на стороне поражения, носовое кровотечение, ринорея, ощущение давления в области околоносовых пазух [29]. Гистологически инвертированные папилломы состоят из пролиферирующих плоских эпителиальных клеток с примесью муцинсодержащих клеток и микрокист. Иногда в базальном слое могут наблюдаться митозы, и обычно наблюдается атипия от легкой до умеренной степени [30]. Инвертированный рост плоского эпителия для РЭАГ не характерен, выстилающий ее эпителий, как правило, однослойный, что помогает в диагностике. В то время как РЭАГ имеет тенденцию располагаться в задних отделах носовой перегородки, инвертированные папилломы имеют склонность к боковой стенке полости носа и в дополнение к их локально агрессивному клиническому поведению также могут рецидивировать [27, 31]. Кроме того, эти новообразования обладают потенциалом злокачественной трансформации, которая до настоящего времени не описана для РЭАГ.
Синоназальная аденокарцинома – редкое злокачественное новообразование, возникающее из секретирующей слизь железистой ткани. Клинически симптоматика аденокарциномы схожа с инвертированной папилломой [32, 33]. Гистологически дифференцировать синоназальную аденокарциному от РЭАГ обычно нетрудно, так как для нее характерно значительное количеством митозов. В отличие от аденокарциномы РЭАГ не обладает способностью к непрерывному росту, что приводит к ее самоограниченной пролиферации [30, 31, 34]. Еще одной благоприятной характеристикой РЭАГ является то, что полное ее удаление обеспечивает отличный прогноз.
Тактика лечения предполагает эндоскопическое удаление образования, что обеспечивает хорошие отдаленные результаты. Рецидивы РЭАГ крайне редки, целесообразность применения лучевой терапии не обоснована.
Заключение
РЭАГ – редкое патологическое образование синоназальной области, проявляющееся в виде изолированного полиповидного образования в полости носа или как случайная операционная находка у пациентов с хроническим синуситом. Ассоциация с полипами полости носа подтверждает гипотезу о том, что воспаление может быть одним из индуцирующих факторов. РЭАГ, хотя и встречается редко, должна приниматься во внимание при дифференциальной диагностике экзофитных поражений полости носа. Тактика лечения предполагает эндоскопическое удаление образования в пределах здоровых тканей, что обеспечивает хорошие отдаленные результаты, рецидивы РЭАГ крайне редки.
Раскрытие интересов. Авторы декларируют отсутствие явных и потенциальных конфликтов интересов, связанных с публикацией настоящей статьи.
Disclosure of interest. The authors declare that they have no competing interests.
Вклад авторов. Авторы декларируют соответствие своего авторства международным критериям ICMJE. Все авторы в равной степени участвовали в подготовке публикации: разработка концепции статьи, получение и анализ фактических данных, написание и редактирование текста статьи, проверка и утверждение текста статьи.
Authors’ contribution. The authors declare the compliance of their authorship according to the international ICMJE criteria. All authors made a substantial contribution to the conception of the work, acquisition, analysis, interpretation of data for the work, drafting and revising the work, final approval of the version to be published and agree to be accountable for all aspects of the work.
Источник финансирования. Авторы декларируют отсутствие внешнего финансирования для проведения исследования и публикации статьи.
Funding source. The authors declare that there is no external funding for the exploration and analysis work.
Информированное согласие на публикацию. Авторы получили письменное согласие законных представителей пациента на анализ и публикацию медицинских данных и фотографий.
Consent for publication. The authors obtained written consent from the patient's legal representatives to analyze and publish medical data and photographs.
Соответствие принципам этики. Протокол исследования был одобрен локальным этическим комитетом ФГАОУ ВО «РНИМУ им. Н.И. Пирогова» №180 от 17 декабря 2018 г. «Оптимизация диагностики и лечения врожденной атрезии хоан у детей».
Ethics approval. The study was approved by the local ethics committee of Pirogov Russian National Research Medical University (protocol №180 of 17.12.2018).
Об авторах
Константин Константинович Баранов
ФГАОУ ВО «Российский национальный исследовательский медицинский университет им. Н.И. Пирогова» Минздрава России; ФГБУ «Федеральный научно-клинический центр физико-химической медицины им. акад. Ю.М. Лопухина» ФМБА России
Автор, ответственный за переписку.
Email: kkb333@mail.ru
ORCID iD: 0000-0001-8268-815X
канд. мед. наук, доц. каф. оториноларингологии педиатрического фак-та, зав. отд-нием оториноларингологии
Россия, Москва; МоскваЕлена Николаевна Котова
ФГАОУ ВО «Российский национальный исследовательский медицинский университет им. Н.И. Пирогова» Минздрава России; ФГБУ «Федеральный научно-клинический центр физико-химической медицины им. акад. Ю.М. Лопухина» ФМБА России
Email: enkotova@yandex.ru
ORCID iD: 0000-0002-0318-7179
канд. мед. наук, доц. каф. оториноларингологии педиатрического фак-та, врач-оториноларинголог
Россия, Москва; МоскваЭдуард Олегович Вязьменов
ФГАОУ ВО «Российский национальный исследовательский медицинский университет им. Н.И. Пирогова» Минздрава России; ФГБУ «Федеральный научно-клинический центр физико-химической медицины им. акад. Ю.М. Лопухина» ФМБА России
Email: hnodoctor@gmail.com
ORCID iD: 0000-0002-2880-4882
канд. мед. наук, доц. каф. оториноларингологии педиатрического фак-та, врач-оториноларинголог
Россия, Москва; МоскваМихаил Михайлович Полунин
ФГАОУ ВО «Российский национальный исследовательский медицинский университет им. Н.И. Пирогова» Минздрава России
Email: mmpolunin@gmail.ru
ORCID iD: 0000-0002-9086-726X
д-р мед. наук, зав. каф. оториноларингологии педиатрического фак-та
Россия, МоскваЛюдмила Викторовна Фениксова
ФГАОУ ВО «Российский национальный исследовательский медицинский университет им. Н.И. Пирогова» Минздрава России
Email: fenixlv@mail.ru
ORCID iD: 0009-0006-3996-3738
канд. мед. наук, доц. каф. оториноларингологии педиатрического фак-та
Россия, МоскваЕлизавета Валерьевна Павлова
ФГАОУ ВО «Российский национальный исследовательский медицинский университет им. Н.И. Пирогова» Минздрава России
Email: pavlova.elizaveta1999@gmail.com
ORCID iD: 0000-0002-8985-5974
студентка педиатрического фак-та
Россия, МоскваСписок литературы
- Habesoglu TE, Habesoglu M, Surmeli M, et al. Unilateral Sinonasal Symptoms. J Craniofac Surg. 2010;21(6):2019-22.
- Крюков А.И., Носуля Е.В., Ким И.А., Первич Б. Доброкачественные опухоли и опухолеподобные заболевания синоназальной области у детей. Российская ринология. 2019;27(1):41-8 [Kryukov AI, Nosulya EV, Kim IA, Pervich B. The benign tumours and tumour-like conditions of the sino-nasal region in the children. Rossiiskaia rinologiia. 2019;27(1):41-8 (in Russian)]. doi: 10.17116/rosrino20192701141
- Ракова С.Н., Головач Е.Н., Логис О.В., и др. Новообразования носа и околоносовых пазух у детей, клинические наблюдения. Журнал ГрГМУ. 2020;4:475-80 [Rakova SN, Golovach EN, Logis OV, et al. N Tumors of the nose and paranasal sinuses in children, clinical observations. ZHurnal GrGMU. 2020;4:475-80 (in Russian)]. doi: 10.25298/2221-8785-2020-18-4-4
- Гринев М.В., Грозов Р.В., Суров Д.А. Гамартома. Трудности диагностики. Вестник хирургии. 2011; 6:80-1 [Grinyov MV, Grozov RV, Surov DA. Gamartoma. Difficulties in diagnosis. Vestnik hirurgii. 2011; 6:80-1 (in Russian)].
- Lin YW, Lai KJ, Shen KH. A case report of adolescent respiratory epithelial adenomatoid hamartoma. Ear Nose Throat J. 2022;1455613221101936. doi: 10.1177/01455613221101936
- Thirunavukkarasu B, Chatterjee D, Mohindra S, et al. Nasal Chondromesenchymal Hamartoma. Head Neck Pathol. 2020;14(4):1041-5. doi: 10.1007/s12105-020-01179-3
- Lee JT, Garg R, Brunworth J, et al. Sinonasal respiratory epithelial adenomatoid hamartomas: series of 51 cases and literature review. Am J Rhinol Allergy. 2013;27(4):322-8. doi: 10.2500/ajra.2013.27.3905
- Vira D, Bhuta S, Marilene B, Wang MB. Respiratory epithelial adenomatoid hamartomas. Laryngoscope. 2011;121(12):2706-9.
- Davison WL, Pearlman AN, Donatelli LA, Conley LM. Respiratory epithelial adenomatoid hamartomas: an increasingly common diagnosis in the setting of nasal polyps. Am J Rhinol Allergy. 2016;30(4):139-46. doi: 10.2500/ajra.2016.30.4338
- Yu Y, Tan CS, Koh LT. Not just another nasal polyp: Chondro-osseous respiratory epithelial adenomatoid hamartomas of the sinonasal tract. Laryngoscope Investig Otolaryngol. 2021;6(3):376-85. doi: 10.1002/lio2.580
- Schaerer D, Nation J, Rennert RC, et al. Pediatric Nasal Chondromesenchymal Tumors: Case Report and Review of the Literature. Pediatr Neurosurg. 2021;56(1):61-6. doi: 10.1159/000512717
- Perić A, Đurđević BV, Sotirović J, et al. Chondromesenchymal Hamartoma With Nasopharyngeal Involvement: Two Unusual Cases of an Extremely Rare Lesion. Ear Nose Throat J. 2023;102(1):NP8-12. doi: 10.1177/0145561320986031
- Пчеленок Е.В., Тарасова О.Ю., Косяков С.Я. Хондромезенхимальная гамартома передних клеток решетчатого лабиринта: клинический случай. Folia otorhinolaryngologiae et pathologiae respiratoriae. 2021;27(3):107-12 [Pchelenok EV, Tarasova OYu, Kosyakov SYa. Chondromesenchymal hamartoma of the anterior cells of the ethmoidal labyrinth: a clinical case. Folia Otorhinolaryngologiae et Pathologiae Respiratoriae. 2021;27(2):107-12 (in Russian)]. doi: 10.33848/foliorl23103825-2021-27-3-107-112
- Vijayasundaram S, Gopalakrishnan S, Karthikeyan P, Vignesh R. Nasal Chondromesenchymal Hamartoma: A Rare Benign Lesion in Adult Female. Indian J Otolaryngol Head Neck Surg. 2022;74(Suppl 2):1253-5. doi: 10.1007/s12070-020-02333-7
- Hsueh C, Hsueh S, Gonzalez-Crussi F, et al. Nasal chondromesenchymal hamartoma in children: report of 2 cases with review of the literature. Arch Pathol Lab Med. 2001;125(3):400-3.
- Mason KA, Navaratnam A, Theodorakopoulou E, et al. Nasal Chondromesenchymal Hamartoma (NCMH): a systematic review of the literature with a new case report. J of Otolaryngol – Head & Neck Surg. 2015;44(1):28. doi: 10.1186/s40463-015-0077-3
- Alokby G, Alayed RS, Al Fayez JB. Seromucinous hamartoma of ethmoid sinus in pediatric patient (case report). Int J Surg Case Rep. 2021;82:105915. doi: 10.1016/j.ijscr.2021.105915
- Fleming KE, Perez-Ordoñez B, Nasser JG, et al. Sinonasal seromucinous hamartoma: a review of the literature and a case report with focal myoepithelial cells. Head Neck Pathol. 2012;6:395-9.
- Fang G, Wang C, Piao Y, Zhang L. Chondro-osseous respiratory epithelial adenomatoid hamartoma of the nasal cavity. Pediatr Int. 2016;58(3):229-31. doi: 10.1111/ped.12777
- Schemel AF, Zamperini KM, Soderlund KA, et al. Respiratory Epithelial Adenomatoid Hamartoma. Head Neck Pathol. 2023;17(2):498-501. doi: 10.1007/s12105-022-01519-5
- Thompson LDR, Franchi A. New tumor entities in the 4th edition of the World Health Organization classification of head and neck tumors: Nasal cavity, paranasal sinuses and skull base. Virch Arch. 2018;472(3):315-30. doi: 10.1007/s00428-017-2116-0
- Wang T, Li W, Wu X, et al. Nasal chondromesenchymal hamartoma in young children: CT and MRI findings and review of the literature. World J Surg Oncol. 2014;12(1):1-5. doi: 10.1186/1477-7819-12-257
- Shanbag R, Patil P, Rani SH, Kulkarni S. Respiratory Epithelial Adenomatoid Hamartoma (REAH) in the Olfactory Cleft: Often Masked by Bilateral Nasal Polyps. Indian J Otolaryngol Head Neck Surg. 2019;71(Suppl 3):2121-6. doi: 10.1007/s12070-018-1562-6
- Ozolek JA, Hunt JL. Tumor suppressor gene alterations in respiratory epithelial adenomatoid hamartoma (REAH): comparison to sinonasal adenocarcinoma and inflamed sinonasal mucosa. Am J Surg Pathol. 2006;30:1576-80. doi: 10.1097/01.pas.0000213344.55605.77
- Suzuki J, Tozuka H, Hemmi T, et al. Preoperative Endovascular Embolization in an Easily Bleeding Respiratory Epithelial Adenomatoid Hamartoma of the Olfactory Cleft: A Case Report. Tohoku J Exp Med. 2021;254(2):107-10. doi: 10.1620/tjem.254.107
- Handa KK, Handa A, Gautam P. Recurrent respiratory epithelial adenomatoid hamartoma of the nasal cavity. Proc (Bayl Univ Med Cent). 2022;35(5):668-9. doi: 10.1080/08998280.2022.2086783
- Gauchotte G, Marie B, Gallet P. A poorly recognized entity with mast cell recruitment and frequently. Am J Surg Pathol. 2013;37(11):1678-85. doi: 10.1097/PAS.0000000000000092
- Nguyen DT, Gauchotte G, Arous F, et al. Respiratory epithelial adenomatoid hamartoma of the nose: an updated review. Am J Rhinol Allergy. 2014;28(5):187-92. doi: 10.2500/ajra.2014.28.4085
- Сапова К.И., Науменко А.Н., Коноплев О.И., и др. Инвертированная папиллома синоназальной локализации: современные представления об этиологии, патогенезе, классификации и клинических проявлениях. Российская оториноларингология. 2017;4:82-7 [Sapova KI, Naumenko AN, Konoplev OI, et al. Inverted papilloma os sinonasal localization: ethiology, patogenesis, klassification and clinical issues. Rossijskaya otorinolaringologiya. 2017;4:82-7 (in Russian)]. doi: 10.18692/1810-4800-2017-4-82-87
- Bullock MJ. Low-grade epithelial proliferations of the sinonasal tract. Head Neck Pathol. 2016;10(1):47-59. doi: 10.1007/s12105-016-0691-z
- Ozolek JA, Barnes EL, Hunt JL. Basal/myoepithelial cells in chronic sinusitis, respiratory epithelial adenomatoid hamartoma, inverted papilloma, and intestinal-type and nonintestinal-type sinonasal adenocarcinoma: an immunohistochemical study. Arch Pathol Lab Med. 2007;131(4):530-7. doi: 10.5858/2007-131-530-MCICSR
- Patel NN, Maina IW, Kuan EC, Triantafillou V, Trope MA, Carey RM, Workman AD, Tong CC, Kohanski MA, Palmer JN, Adappa ND, Newman JG, Brant JA. Adenocarcinoma of the Sinonasal Tract: A Review of the National Cancer Database. J Neurol Surg B Skull Base. 2020;81(6):701-8. doi: 10.1055/s-0039-1696707
- Kim J, Chang H, Jeong EC. Sinonasal intestinal-type adenocarcinoma in the frontal sinus. Arch Craniofac Surg. 2018;19(3):210-3. doi: 10.7181/acfs.2018.01970
- Fitzhugh VA, Mirani N. Respiratory Epithelial Adenomatoid Hamartoma: A Review. Head Neck Pathol. 2008;2(3):203-8. doi: 10.1007/s12105-008-0064-3
Дополнительные файлы




