Extralobar pulmonary sequestration in an adult male with a heart defect. Case report
- Authors: Makarevich A.M.1,2, Zaytsev A.A.3,4, Makarevich E.M.5, Akhmedkhanov H.A.1
-
Affiliations:
- 301 Military Clinical Hospital
- Institute for Advanced Training of Health Care Professionals
- Russian Biotechnological University
- Russian University of Medicine
- Children's City Polyclinic No. 1
- Issue: Vol 26, No 1 (2024): Cardiology and Nephrology
- Pages: 68-72
- Section: Articles
- Published:
- URL: https://consilium.orscience.ru/2075-1753/article/view/632193
- DOI: https://doi.org/10.26442/20751753.2024.1.202738
- ID: 632193
Cite item
Full Text
Abstract
Pulmonary sequestration (PS) is a rare congenital malformation of the lungs referring to an abnormal (non-functioning) segment of the lung that has no connection with the tracheobronchial tree, which receives arterial blood from systemic circulation and has various types of venous outflow. PS is divided into intralobar (intrapulmonary) and extralobar (extrapulmonary) types. The distinctive feature of extralobar pulmonary sequestration is the presence of its own visceral pleura. PS is most common in pediatric practice; in some cases, this disease may remain oligosymptomatic or asymptomatic in children and adolescents. Adults with PS have a higher risk of recurrent pneumonia, chest pain, and episodes of hemoptysis. Cases of the late onset of PS are reported in a few foreign and Russian publications. The special feature was the elderly patients with a long asymptomatic course of PS, "pseudopneumonic" clinical onset, episodes of thoracalgia and hemoptysis. We present a case of an adult male soldier with PS clinically simulated a respiratory infection in the lower lobe of the left lung with severe pain and hemoptysis. In addition, the patient has a concomitant congenital heart defect.
Keywords
Full Text
Легочная секвестрация (ЛС) – редкий врожденный порок развития легких. Представляет аномальный (нефункционирующий) сегмент легкого, не имеющий связи с трахеобронхиальным деревом, который получает артериальную кровь из большого круга кровообращения и имеет различные формы венозного оттока.
ЛС подразделяется на внутридолевую (внутрилегочную – ВЛС) и экстралобарную (ЭЛС, внелегочную), отличием последней является наличие собственной висцеральной плевры [1].
ЛС чаще всего обнаруживают в педиатрической практике, в некоторых случаях это заболевание может оставаться малосимптомным или протекать бессимптомно в детском и подростковом возрасте. У взрослых с ЛС увеличивается вероятность появления повторных пневмоний, болей в груди, эпизодов кровохарканья [2].
Примеры позднего дебюта ЛС продемонстрированы в немногочисленных зарубежных и отечественных работах. Особенностью наблюдений стали пациенты старшего возраста с длительным бессимптомным течением ЛС, «псевдопневмоническим» клиническим началом, эпизодами торакалгии и кровохарканья [3–5].
Мы представляем случай ЭЛС у взрослого мужчины, военнослужащего, которая проходила под маской респираторной инфекции в нижней доле левого легкого с выраженным болевым синдромом и кровохарканьем. Кроме того, у пациента имела место сопутствующая врожденная аномалия развития сердца.
Клинический случай
В окружной военный клинический госпиталь в начале ноября 2023 г. переведен пациент 38 лет, военнослужащий, с жалобами на кашель с отделением скудной мокроты, болью в грудной клетке слева при дыхании, с впервые возникшим эпизодом кровохарканья. У больного при спиральной компьютерной томографии (КТ) органов грудной клетки (ОГК) выявлены бронхоэктазы и панлобулярная эмфизема в нижней доле левого легкого. Из анамнеза известно, что пациент был 9-м ребенком в семье, рос и развивался нормально, нередко переносил респираторные инфекции. Наличие хронических заболеваний отрицает. Не курит. Физически хорошо развит, активно занимается спортом. В 2012 и 2019 г. были госпитализации в терапевтическое отделение с диагнозом «внебольничная пневмония в девятом, десятом сегментах левого легкого, нетяжелое течение» с симптомами кашля малопродуктивного характера, болью в грудной клетке. Пациент отмечал, что боль в грудной клетке, связанная с актом дыхания, носила выраженный и длительный характер. Ухудшение началось с появления кашля, преимущественно в ночное время, сопровождающегося болью в левой половине грудной клетки и эпизодами кровохарканья. При осмотре – нормальное телосложение, дефектов развития нет. Обращает внимание отставание левой половины грудной клетки в акте дыхания от правой, ограничение экскурсии нижнего края левого легкого. При перкуссии определяется укорочение звука над нижней долей левого легкого, там же определяется резкое ослабление дыхания, побочных дыхательных шумов нет. Частота дыхательных движений – 18–20 в мин, сатурация (SpO2) – 98%, артериальное давление – 120/80 мм рт. ст., частота сердечных сокращений – 76 в мин. Физикальный осмотр других органов и систем не выявил каких-либо отклонений от нормы. Результаты лабораторных исследований, включая общий анализ крови, коагулограмму, биохимический (общетерапевтический) анализ, и инструментальных исследований (электрокардиографии, спирометрии, бодиплетизмографии, диффузного теста) – без значимых изменений. Из особенностей: выявлено увеличение невентилируемого объема легких до 860 мл (при норме не более 500 мл). Диагностическая фибробронхоскопия показала сужение устьев сегментарных бронхов на 1/3 слева, слизистая бронхов имела «смазанный» сосудистый рисунок с налетом вязкой слизи.
На представленной рентгенограмме ОГК, выполненной на предыдущем этапе лечения в ноябре 2023 г., инфильтративных изменений легочной ткани не выявлено. Левое легкое визуально больше в объеме. Отмечается участок повышенной воздушности легочной ткани в базальных отделах слева за счет измененного (обедненного) сосудистого рисунка (по сравнению с правыми отделами), смещение тени сердца вправо (рис. 1).
Рис. 1. Рентгенограмма ОГК в двух проекциях.
Определяется: a – левое легкое больше в объеме, участок ограниченного просветления легочной ткани в базальных отделах слева за счет повышенной воздушности легочной ткани (по сравнению с правыми отделами), смещение тени сердца вправо, купол диафрагмы слева косонисходящий; b – на уровне тела Th11 позвонка визуализируются 3 округлых участка высокой плотности с четкими ровными контурами – ортогонально расположенные сосуды.
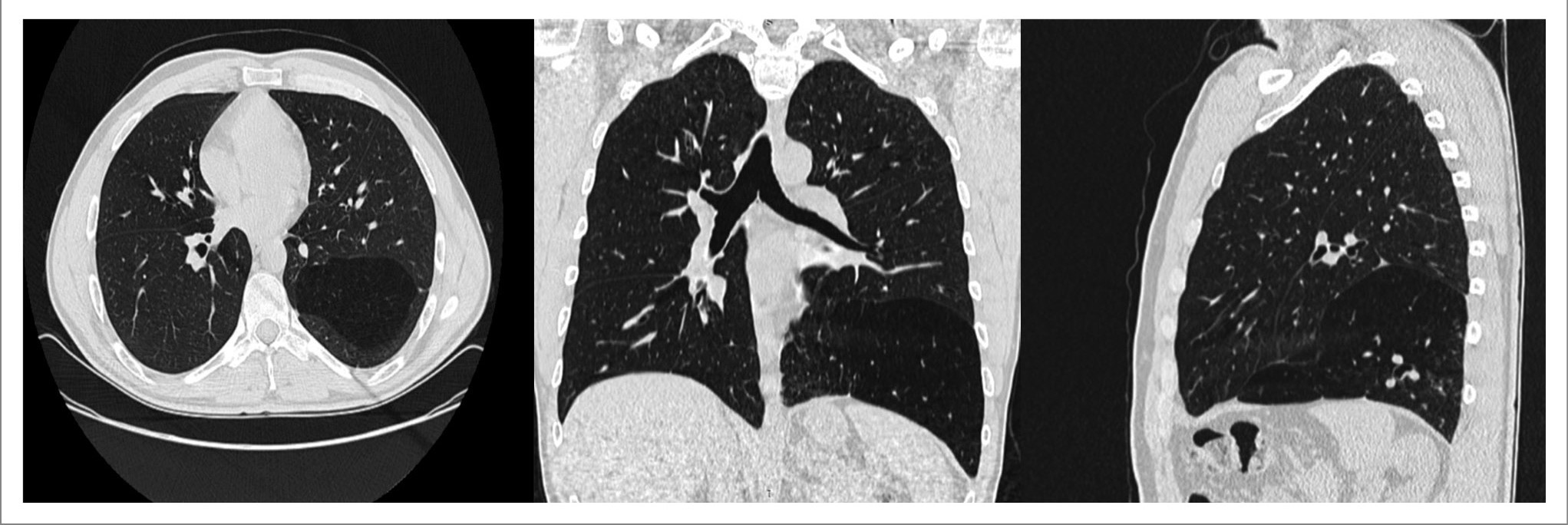
Мультиспиральная КТ (МСКТ) грудной клетки показала, что в заднебазальном отделе грудной клетки слева определяется чрезмерно вздутый участок легочной ткани пирамидальной формы (образование) полностью прилегающий к диафрагме, частично по передней и заднебоковой поверхности грудной клетки, размерами 14×14×11 см (на вдохе) с эмфизематозными изменениями (симптом «воздушной ловушки»), отделенный листком плевры от функционирующей легочной ткани левого легкого. Связь с бронхиальным деревом не прослеживается. Плотность образования на вдохе – 972–985 HU, на выдохе – 926–945 HU. Средостение и трахея смещены вправо. Левое легкое поджато кверху, легочный рисунок в данном участке прослеживается, ткань воздушна (рис. 2).
Рис. 2. МСКТ ОГК (нативное исследование): в заднебазальном отделе грудной клетки слева определяется участок (образование) легочной ткани пирамидальной формы, полностью прилегающий к диафрагме, отделенный листком плевры от остальной функционирующей легочной ткани, не меняющий своей воздушности на вдохе и на выдохе – симптом «воздушной ловушки».
При МСКТ-ангиографии данное образование имеет автономное кровоснабжение от грудного отдела аорты диаметром до 0,88 см на уровне Th11 позвонка. Венозный отток осуществляется через ветвь нижней легочной вены диаметром до 0,77 см непосредственно в левое предсердие (рис. 3).
Рис. 3. МСКТ-ангиография ОГК в аксиальной и фронтальной проекции: a – на уровне Th11 позвонка слева отходит крупная ветвь из грудного отдела аорты – аберрантная артерия; b – в нижней доле левого легкого определяется сосуд крупного диаметра – ветвь левой нижней легочной вены; c – в проекции максимальной интенсивности четко прослеживается вся сосудистая система легких – дренажная вена из левой нижней легочной вены, аберрантная артерия из грудного отдела аорты.
По эхокардиографии выявлен врожденный порок сердца в виде двустворчатого аортального клапана с аортальной регургитацией 1-й степени.
Поставлен окончательный клинический диагноз «аномалия развития легких – ЭЛС левого легкого; врожденный порок сердца – двустворчатый аортальный клапан с аортальной регургитацией 1-й степени».
Обсуждение
Впервые описание этого патологического состояния (ЛС) встречается в 1861 г. в лекциях по патологической анатомии немецкого патологоанатома Карла Рокитанского и профессора анатомии Венского университета Эрнста Ректорзика под названием «добавочная доля легкого». В отечественной медицине В.А. Попов в 1911 г. по результатам патологоанатомического исследования представил случай «прибавочного легкого» у младенца [6].
Д. Прайсом в 1946 г. бронхолегочная аномалия в виде отдельного участка легкого названа «легочная секвестрация» [7]. Термин «секвестрация легкого» используется и в настоящее время, а заболевание представляет собой аномалию развития в виде отдельного нефункционирующего фрагмента ткани легкого, не сообщающегося с бронхиальным деревом и кровоснабжаемого ветвями аорты или артериями большого круга кровообращения [8].
ВЛС локализуется в пределах нормальной легочной паренхимы и встречается чаще, чем ЭЛС, при которой секвестр полностью отделен от нормального легкого, имеет собственную висцеральную плевру без сообщения с дыхательными путями. Некоторые авторы считают ее абсолютно врожденным пороком развития [9].
ЭЛС обычно обнаруживается в грудной клетке слева (65–90%) и в задней реберно-диафрагмальной борозде между диафрагмой и нижней долей легкого (63–77%). Секвестры имеют размер от 0,5 до 15,0 см, обычно от 3 до 6 см, пирамидальную или овоидную форму [10].
ЛС может проявляться кашлем с мокротой, кровохарканьем, лихорадкой, болью в груди, когда сопровождается легочной инфекцией, либо протекать бессимптомно и выявляться случайно [11].
В современной литературе описаны единичные клинические случаи проявления ЭЛС у взрослых в виде пневмонии, гемоторакса, легочной эмболии, перекрута ЭЛС, симптомов кровохарканья [12, 13].
S. Ren и соавт. при изучении ЛС у взрослых показали, что средний возраст пациентов составлял 38 лет, большинство из них были некурящими, симптомы кровохарканья и боли в грудной клетке не являлись частыми симптомами, ЭЛС встречалась редко. При МСКТ-визуализации легочные секвестры встречались чаще в нижней доле левого легкого с близким расположением к позвоночнику, главным образом имели артериальное кровоснабжение из грудной аорты с венозным оттоком в легочные вены [3].
Эти данные находят подтверждение и в случае ретроспективного наблюдения 2625 пациентов с ЛС в Китае [11].
По данным анализа клинических данных 208 детей N. Zhang и соавт. показали различие в венозном оттоке при разных видах ЛС. Так, при ВЛС венозный дренаж осуществляется через легочные вены, а в случае ЭЛС преимущественно через непарную и полунепарную вену либо отток в правое предсердие через полую вену [14].
Диагноз ЛС можно заподозрить при рентгенографии грудной клетки при наличии образования или кистозного, полостного, «пневмонического» поражения в нижнем отделе легкого, а подтвердить с помощью МСКТ-ангиографии с выявлением аномального артериального кровоснабжения секвестрированных тканей легких [11, 15].
Представляется интересным описанный клинический случай ЛС правой нижней доли легкого у ранее здорового и физически активного 27-летнего морского пехотинца США, у которого впервые появилось кровохарканье после отжиманий. Диагноз был поставлен с помощью рентгенографии грудной клетки и контрастной КТ [16]. В последующем пациент был прооперирован с хорошим клиническим исходом, выздоровел без осложнений и был выписан на 2-й послеоперационный день.
Результаты нашего клинического наблюдения аналогичные: военнослужащий в возрасте 38 лет, некурящий, ранее был здоровым и физически активным. Процесс дебютировал с редких эпизодов легочной инфекции с малопродуктивным кашлем, выраженным болевым синдромом в грудной клетке при вдохе, с локализацией «пневмонических» изменений в заднебазальном отделе левого легкого. Ведущими клиническими признаками стали интенсивный малопродуктивный кашель, интенсивная боль в грудной клетке слева, кровохарканье в виде «плевков» красного цвета до 1–2 столовых ложек на протяжении 4–5 дней.
Воздушное образование у пациента в левом легком плотно прилегало к диафрагме, имело пирамидальную форму, размер 14×14×11 см, автономное кровоснабжение из грудного отдела аорты с наличием дренажной нижнедолевой легочной вены (рис. 4). Такой вид венозного оттока мало характерен для ЭЛС. Примечательным фактом является впервые выявленный врожденный порок развития – врожденный порок сердца, двустворчатый аортальный клапан без клинических проявлений и хронической сердечной недостаточности.
Рис. 4. МСКТ ОГК, VRT-реконструкция – «сосудистый» фильтр. Аберрантная артерия (красная стрелка) отходит от грудного отдела аорты, ветвь левой нижней легочной вены (синяя стрелка) впадает в левое предсердие.
Важно подчеркнуть, что ретроспективный анализ рентгенологического архива пациента с 2012 г., клинической картины и результатов МСКТ от ноября 2023 г. вызывал серьезное сомнение в «односторонней левосторонней эмфиземе легкого с бронхоэктазами» или тем более в «пневмоническом» характере изменений.
Очевидно, что врачами-рентгенологами и клиницистами с момента наблюдения за пациентом неверно интерпретировались указанные изменения в легких. Имеющиеся описания рентгенографии ОГК при диспансерном наблюдении как «вариант нормы» не отвечали как минимум на три важных вопроса. Почему при каждом исследовании имеются смещение средостения вправо, нарушение архитектоники бронхиального дерева слева (высокое отхождение нижнедолевого бронха) и наличие гиперпрозрачного левого легкого в проекции нижней доли? Мы приводим в качестве примера рентгенологические исследования пациента в динамике (рис. 5).
Рис. 5. Рентгенограммы ОГК в прямой проекции 2012–2019 гг.
На снимках определяется: левое легкое больше в объеме, участок просветления легочной ткани в базальных отделах слева за счет повышенной воздушности легочной ткани (по сравнению с правыми отделами), смещение тени сердца вправо.
Клиническое наблюдение подтверждает и формальное, максимально упрощенное, низкое качество непосредственного обследования пациента практикующими врачами. Пренебрежение перкуссией и аускультацией ОГК при исходно «аномальной» рентгенограмме ОГК, отсутствие настороженности на редкие врожденные аномалии неизбежно приводят к большому числу диагностических ошибок и поздней диагностике. Данные выводы основаны на собственном опыте и наблюдении ряда пациентов [17].
В исследовании А. Черняева и соавт. показано, что у лиц молодого возраста (военнослужащих по призыву), неоднократно перенесших пневмонию, встречались пороки развития легких, в том числе с морфологическими признаками секвестрации легких [18].
Пациенты с ЭЛС подвергаются риску инфицирования, кровотечения и злокачественной трансформации [19]. Бессимптомного пациента можно наблюдать, а пациентам с рецидивирующими симптомами, как в нашем наблюдении, требуется хирургическая резекция секвестрированного сегмента.
Заключение
Клинический случай показывает отсутствие настороженности врачей-клиницистов и рентгенологов в отношении диагностики ЛС при наличии «аномальной» исходной рентгенологической картины у молодого человека.
Диагностика врожденных пороков развития у взрослых, вне всякого сомнения, является сложной задачей для практикующего врача. Однако неоднократные эпизоды респираторных инфекций, протекающие с кровохарканьем, выраженным болевым синдромом, должны стать дополнительным поводом для полноценного обследования и выполнения КТ грудной клетки с контрастным усилением.
Раскрытие интересов. Авторы декларируют отсутствие явных и потенциальных конфликтов интересов, связанных с публикацией настоящей статьи.
Disclosure of interest. The authors declare that they have no competing interests.
Вклад авторов. Авторы декларируют соответствие своего авторства международным критериям ICMJE. Все авторы в равной степени участвовали в подготовке публикации: разработка концепции статьи, получение и анализ фактических данных, написание и редактирование текста статьи, проверка и утверждение текста статьи.
Authors’ contribution. The authors declare the compliance of their authorship according to the international ICMJE criteria. All authors made a substantial contribution to the conception of the work, acquisition, analysis, interpretation of data for the work, drafting and revising the work, final approval of the version to be published and agree to be accountable for all aspects of the work.
Источник финансирования. Авторы декларируют отсутствие внешнего финансирования для проведения исследования и публикации статьи.
Funding source. The authors declare that there is no external funding for the exploration and analysis work.
Информированное согласие на публикацию. Пациент подписал форму добровольного информированного согласия на публикацию медицинской информации.
Consent for publication. Written consent was obtained from the patient for publication of relevant medical information and all of accompanying images within the manuscript.
About the authors
Andrey M. Makarevich
301 Military Clinical Hospital; Institute for Advanced Training of Health Care Professionals
Author for correspondence.
Email: makar-kha@yandex.ru
ORCID iD: 0009-0004-5347-3554
Cand. Sci. (Med.), 301 Military Clinical Hospital, Institute for Advanced Training of Health Care Professionals
Russian Federation, Khabarovsk; KhabarovskAndrey A. Zaytsev
Russian Biotechnological University; Russian University of Medicine
Email: a-zaicev@yandex.ru
ORCID iD: 0000-0002-0934-7313
D. Sci. (Med.), Prof., Russian Biotechnological University, Russian University of Medicine
Russian Federation, Moscow; MoscowElena M. Makarevich
Children's City Polyclinic No. 1
Email: makarelenakha@gmail.com
Deputy Chief doctor, Children's City Polyclinic No. 1
Russian Federation, KhabarovskHasan A. Akhmedkhanov
301 Military Clinical Hospital
Email: gasssssan@mail.ru
Department Head
Russian Federation, KhabarovskReferences
- Genç O, Gürkök S, Dakak M, et al. Pulmonary sequestration and surgical treatment. Asian Cardiovasc Thorac Ann. 2006;14(1):3-6. doi: 10.1177/021849230601400102
- Баженов А.В., Мотус И.Я., Бердников Р.Б., Ромахин А.С. Легочные секвестрации. Пульмонология. 2023;33(5):690-6 [Bazhenov AV, Motus IYa, Berdnikov RB, Romahin AS. Pulmonary sequestrations. Pulmonologiya. 2023;33(5):690-6 (in Russian)]. doi: 10.18093/0869-0189-2023-33-5-690-696
- Ren S, Yang L, Xiao Y, et al. Pulmonary sequestration in adult patients: a single-center retrospective study. Respir Res. 2023;24(1):13. doi: 10.1186/s12931-023-02320-w
- Shafiq M, Ali A, Dawar U, Setty N. Rare cause of haemoptysis: bronchopulmonary sequestration. BMJ Case Rep. 2021;14(3):e239140. doi: 10.1136/bcr-2020-239140
- Третьяков М.А., Третьяков А.Ю. Внутридолевая бронхолегочная секвестрация: пример позднего дебюта редкой врожденной патологии. Пульмонология. 2023;33(5):697-702 [Tretyakov MА, Tretyakov AYu. Intralobar bronchopulmonary sequestration: an example of the late onset of this rare congenital pathology. Pulmonologiya. 2023;33(5):697-702 (in Russian)]. doi: 10.18093/0869-0189-2023-33-5-697-702
- Попов В.А. Случай прибавочнаго легкаго. Казанский медицинский журнал. 1911;11(7-10):217-24 [Popov VA. The case of surplus lung. Kazan Medical Journal. 1911;11(7-10):217-24 (in Russian)].doi: 10.17816/kazmj48564
- Carrasco R, Castañón M, San Vicente B, et al. Extralobar infradiaphragmatic pulmonary sequestration with a digestive communication. J Thorac Cardiovasc Surg. 2002;123(1):188-9. doi: 10.1067/mtc.2002.118040
- Туманова У.Н., Дорофеева Е.И., Подуровская Ю.Л., и др. Секвестрация легкого: классификация, диагностика, лечение. Педиатрия. 2018;97(2):163-71 [Tumanova UN, Dorofeeva EI, Podurovskaya YuL, et al. Pulmonary sequestration: classification, diagnostics, treatment. Pediatria. 2018;97(2):163-71 (in Russian)]. doi: 10.24110/0031-403X-2018-97-2-163-171
- Rosado-de-Christenson ML, Frazier AA, Stocker JT, Templeton PA. From the archives of the AFIP. Extralobar sequestration: radiologic-pathologic correlation. Radiographics. 1993;13(2):425-41. doi: 10.1148/radiographics.13.2.8460228
- Takeuchi K, Ono A, Yamada A, et al. Two adult cases of extralobar pulmonary sequestration: A non-complicated case and a necrotic case with torsion. Pol J Radiol. 2014;79:145-9. doi: 10.12659/PJR.890662
- Wei Y, Li F. Pulmonary sequestration: a retrospective analysis of 2625 cases in China. Eur J Cardiothorac Surg. 2011;40(1):e39-42. doi: 10.1016/j.ejcts.2011.01.080
- Sato Y, Endo S, Saito N, et al. A rare case of extralobar sequestration with hemoptysis. J Thorac Cardiovasc Surg. 2004;128(5):778-9. doi: 10.1016/j.jtcvs.2004.03.004
- Yang L, Yang G. Extralobar pulmonary sequestration with a complication of torsion: A case report and literature review. Medicine (Baltimore). 2020;99(29):e21104. doi: 10.1097/MD.0000000000021104
- Zhang N, Zeng Q, Chen C, et al. Distribution, diagnosis, and treatment of pulmonary sequestration: Report of 208 cases. J Pediatr Surg. 2019;54(7):1286-92. doi: 10.1016/j.jpedsurg.2018.08.054
- Petty L, Joseph A, Sanchez J. Case report: Pulmonary sequestration in an adult. Radiol Case Rep. 2017;13(1):21-3. doi: 10.1016/j.radcr.2017.09.029
- Thurber JS, Unger JA, DeVries WC. A United States marine presenting with hemoptysis after push-ups. Mil Med. 2014;179(4):e466-8. doi: 10.7205/MILMED-D-13-00326
- Добрых В.А., Мамровская Т.П., Тен Т.К., и др. Некоторые общие вопросы диагностики и лечения заболеваний внутренних органов (лекция). Дальневосточный медицинский журнал. 2021;2:70-3 [Dobrykh VA, Mamrovskaya TP, Ten TK, et al. Some general issues of diagnostics and treatment of diseases of internal organs (lecture). Far East Medical Journal. 2021;(2):70-3 (in Russian)]. doi: 10.35177/1994-5191-2021-2-70-73
- Черняев А.Л., Матвеев В.Ф., Синопальников А.И. Пороки развития легких у лиц молодого возраста под маской пневмонии. Пульмонология. 2003;(1):40-5 [Cherniaev AL, Matveev VF, Sinopalnikov AI. Lung defects disguised by pneumonia in young people. Pulmonologiya. 2003;(1):40-5 (in Russian)].
- Laurin S, Aronson S, Schüller H, Henrikson H. Spontaneous hemothorax from bronchopulmonary sequestration. Unusual angiographic and pathologic-anatomic findings. Pediatr Radiol. 1980;10(1):54-6. doi: 10.1007/BF01644345
Supplementary files








