Endovascular embolization in the treatment of patients with closed abdominal trauma
- Authors: Staleva K.V.1, Yartsev P.A.1, Tsuleiskiri B.T.1, Teterin Y.S.1, Zhigalova M.S.1, Shavrina N.V.1, Rogal M.M.1, Novikov S.V.1
-
Affiliations:
- Sklifosovsky Research Institute of Emergency Medicine
- Issue: Vol 26, No 12 (2024): Comorbidity in internal medicine
- Pages: 875-878
- Section: Articles
- Published: 18.12.2024
- URL: https://consilium.orscience.ru/2075-1753/article/view/633230
- DOI: https://doi.org/10.26442/20751753.2024.12.202862
- ID: 633230
Cite item
Full Text
Abstract
Background. Closed abdominal trauma is often accompanied by damage to the abdominal organs and retroperitoneal space. With the development of medicine, minimally invasive methods of treating patients with bleeding due to closed abdominal trauma have become available, including endovascular embolization of the bloodstream, which allows one to avoid traditional operations (laparotomy) in this category of patients and achieve rapid rehabilitation of patients.
Aim. To evaluate the possibility of X-ray endovascular embolization in the treatment of patients with closed abdominal trauma.
Materials and methods. At the Sklifosovsky Research Institute of Emergency Medicine in 2022–2024 treated 68 patients with a diagnosis of “closed abdominal trauma”, of which 14 underwent direct angiography. In 4 (28.6%) patients, the intervention was diagnostic, in 10 (71.4%) it was therapeutic and diagnostic. These patients were included in this study: 8 (57.1%) men and 6 (42.9%) women.
Results. Selective embolization of the splenic artery was performed in four (28.5%) cases, the renal artery in 2 (14.2%), the lumbar artery in 2 (14.2%), and the hepatic artery in 2 (14.2%). A retroperitoneal (perinephric) hematoma was punctured percutaneously under ultrasound guidance in one case to exclude urinary leakage in a patient with a kidney injury. One (7.1%) patient required laparotomy due to recurrent bleeding. There were no complications from X-ray endovascular interventions. There were no cases of hematoma infection. One (7.1%) death in a 70-year-old patient with a closed abdominal injury, subcapsular hematoma of the spleen with comorbid pathology.
Conclusion. The use of X-ray endovascular embolization made it possible to avoid traditional surgical interventions (laparotomy) in 20.6% of cases. The introduction of X-ray endovascular hemostasis is one of the priorities in the treatment of patients with closed abdominal trauma.
Full Text
Закрытая травма живота часто сопровождается повреждением органов брюшной полости (ОБП) и забрюшинного пространства. При развитии кровотечения летальность при закрытой травме живота может достигать 28–31% [1, 2]. На догоспитальном этапе до 40–80% пациентов умирают от потенциально предотвратимого кровотечения [3–5]. Таким образом, для улучшения результатов лечения данных пациентов важным является предупреждение геморрагического шока и его последствий.
С развитием медицины стали доступны минимально инвазивные методы лечения пациентов с кровотечением при закрытой травме живота, в том числе эндоваскулярная эмболизация кровотока, что позволяет избежать выполнения традиционных операций (лапаротомий) у данной категории больных и достигнуть быстрой реабилитации пациентов [6–10].
Цель исследования – оценить возможность рентгенэндоваскулярной эмболизации в лечении пациентов с закрытой травмой живота.
Материалы и методы
В ГБУЗ «НИИ СП им. Н.В. Склифосовского» за 2022–2024 гг. пролечены 68 пациентов с диагнозом «закрытая травма живота», из них у 14 выполнена прямая ангиография. У 4 (28,6%) пациентов вмешательство являлось диагностическим, у 10 (71,4%) – лечебно-диагностическим. Эти пациенты включены в данное исследование: 8 (57,1%) мужчин и 6 (42,9%) женщин. Средний возраст – 50±19 лет.
Время от травмы до момента госпитализации составило от 2 ч до 8 дней (среднее время – 32±47,8 ч).
В приемном отделении у всех пациентов проводили клинический осмотр, лабораторные и инструментальные исследования. Из лабораторных анализов изучали общий анализ крови и мочи. При необходимости выполняли биохимическое исследование крови и коагулограмму. При подаче пациентов в операционную определяли группу крови и резус-фактор.
Из инструментальных методов исследования всем поступившим выполняли ультразвуковое исследование (УЗИ) ОБП, рентгенографию брюшной полости и грудной клетки, компьютерную томографию (КТ) ОБП с контрастным усилением, электрокардиограмму.
Показания к выполнению рентгенэндоваскулярных вмешательств устанавливались на основании данных КТ с внутривенным контрастированием:
- экстравазация контрастного вещества;
- наличие травматической гематомы и свободной жидкости в брюшной полости, верифицированной как геморрагическое содержимое при пункции под контролем ультразвука.
Противопоказанием к эндоваскулярным вмешательствам являлась нестабильная гемодинамика пациентов.
Рентгенэндоваскулярные вмешательства проводились в рентгеноперационной на ангиографическом комплексе Toshiba Infinix VF-I. Все вмешательства выполняли под местной инфильтрационной анестезией с премедикацией больных.
Для катетеризации висцеральных артерий использовали интродьюсеры 6Fr для трансфеморального и трансрадиального доступа. Доступ выбирался индивидуально, учитывая анатомию поврежденных сосудов. При трансфеморальном доступе местом пункции являлась общая подвздошная артерия, при трансрадиальном – лучевая артерия. Пункцию проводили по методике Seldinger. Для визуализации артерий использовали контраст Ультравист 370. В устье поврежденной артерии устанавливались катетеры Merit medical vert 5Fr. При выявлении признаков экстравазации селективно по катетеру вводились микроэмболы на основе PVA 500-710 мкм либо эмболизирующие спирали COOK. Признаками эффективного гемостаза считали ангиографические признаки отсутствия экстравазации (отсутствие дистального кровотока по целевой артерии).
Результаты
В общем анализе крови у пациентов при поступлении выявлены анемия легкой степени тяжести, лейкоцитоз, эритропения.
По данным УЗИ ОБП свободная жидкость в брюшной полости выявлена у 12 (85,7%) больных. Из них у 4 (33,3%) пациентов разобщение листков брюшины отмечалось в одной области, у 4 (33,3%) – в двух областях и еще у 4 (33,3%) – во всех отделах брюшной полости.
Предоперационное КТ-исследование показало следующее:
- экстравазация контрастного вещества – 10 (71,4%) пациентов;
- свободная жидкость в брюшной полости – 12 (85,7%) пациентов;
- гематома селезенки (средний объем 970±900 см3) – 6 (42,9%) больных;
- забрюшинная гематома (средний объем 552±619 см3) – 6 (42,9%) пациентов;
- гематома печени (средний объем 7,5 см3) – 2 (14,3%) пациента.
Таким образом, показанием к ангиографии наличие экстравазации контрастного вещества по данным КТ с внутривенным контрастированием стало у 10 (71,4%) больных, наличие гематомы и свободной жидкости в брюшной полости, верифицированной как геморрагическое содержимое при пункции под контролем ультразвука, – у 4 (28,6%) больных.
Среднее время от госпитализации до операции составило 3,1±2,4 ч.
При выполнении рентгенангиографии признаков экстравазации не выявлено у 4 (28,5%) пациентов, эмболизация не выполнялась.
Рентгенэндоваскулярная эмболизация выполнена 10 пациентам. Из них 2 (20,0%) потребовались дополнительные хирургические вмешательства.
Селективная эмболизация селезеночной артерии выполнена в 4 (28,5%) наблюдениях, почечной артерии – в 2 (14,2%), поясничной артерии – в 2 (14,2%), печеночной артерии – в 2 (14,2%).
Забрюшинная (паранефральная) гематома пунктирована чрескожно под контролем УЗИ в 1 случае с целью исключения мочевого затека у пациента с травмой почки.
Лапаротомия в связи с рецидивом кровотечения потребовалась 1 пациенту с закрытой травмой живота с гематомой селезенки (размерами 28,8×12,9 см) и волосатоклеточным лейкозом. После ангиографии и эмболизации селезеночной артерии на 3-и сутки после операции отмечены нарастание свободной жидкости в брюшной полости (разобщение листков брюшины паралиенально, в левом латеральном канале, малом тазу), клинико-лабораторные признаки внутрибрюшного кровотечения (снижение уровня гемоглобина на 30 г/л; гипотония, тахикардия). Установлен диагноз «разрыв селезенки. Гемоперитонеум». Выполнена лапаротомия, интраоперационно выявлен двухмоментный разрыв селезенки AAST III степени. Выполнены спленэктомия, санация брюшной полости. Послеоперационный период протекал гладко. Пациент выписан в удовлетворительном состоянии.
Осложнений рентгенэндоваскулярных вмешательств не отмечено. Случаев инфицирования гематом не наблюдалось. Рецидив кровотечения зафиксирован в 1 (7,1%) случае.
Один (7,1%) летальный исход отмечен у пациента 70 лет с закрытой травмой живота, подкапсульной гематомой селезенки размерами 19,6×15,5×17 см с коморбидной патологией. В анамнезе пациента – ишемическая болезнь сердца: постинфарктный кардиосклероз, сахарный диабет 2-го типа инсулинзависимый, морбидное ожирение, хроническая обструктивная болезнь легких, синдром Пиквика, аневризма брюшного отдела аорты. Пациенту выполнена успешная эмболизация селезеночной артерии, однако на 3-и сутки после операции отмечена отрицательная динамика в состоянии. При дообследовании выявлен повторный обширный острый инфаркт миокарда, что явилось причиной летального исхода на 3-и сутки госпитализации.
Средняя продолжительность пребывания пациентов в стационаре составила 11,5± 8,0 дня.
Представлено клиническое наблюдение лечения пациентки с закрытой травмой живота.
Клиническое наблюдение
Пациентка К., 38 лет, поступила в приемное отделение в апреле 2024 г. с жалобами на боль в верхних отделах живота, слабость, тошноту. Из анамнеза известно, что больная за 7 дней до поступления упала дома, ударилась правым боком. При клиническом осмотре: общее состояние средней степени тяжести, сознание ясное, цвет кожных покровов бледно-розовый; частота дыхательных движений 18 в минуту, ритм дыхания регулярный, дыхание самостоятельное, везикулярное, SPO2 97%. Систолическое давление – 120 мм рт. ст., диастолическое давление – 70 мм рт. ст., частота сердечных сокращений – 90 уд/мин; пульс умеренного наполнения. Язык сухой, размер живота увеличен; живот вздут, при пальпации плотный, напряженный, болезненный справа. Симптомы раздражения брюшины положительные. Мочеиспускание не нарушено.
В лабораторных анализах при поступлении:
- общий анализ крови: лейкоциты – 10,55×109/л, эритроциты – 2,73×1012/л, гемоглобин – 95,9 г/л, тромбоциты – 275,90×109/л, гематокрит – 25,6%;
- биохимический анализ крови: билирубин общий – 29,02 мкмоль/л, билирубин прямой – 24,12 мкмоль/л, лактатдегидрогеназа – 412,28 ЕД/л, γ-глутамилтрансфераза – 688,52 ЕД/л, α-амилаза – 30,48 ЕД/л, аланинаминотрансфераза – 34,79 ЕД/л, щелочная фосфатаза – 290,63 ЕД/л, глюкоза – 5,55 ммоль/л, аспартатаминотрансфераза – 73,38 ЕД/л, мочевина – 3,49 ммоль/л, креатинин – 45,31 мкмоль/л.
По данным УЗИ во всех отделах живота выявлена свободная жидкость: под диафрагмой справа – 1,8 см, у края печени – 3,2 см, под печенью – до 3,5 см, в латеральном канале справа и слева – 4,5–5,0 см, в малом тазу – до 8,0 см, содержимое анэхогенное с гиперэхогенными линейными включениями (фибрин).
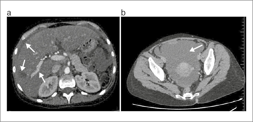
При КТ ОБП с внутривенным контрастированием поддиафрагмально, подпеченочно, межпетельно и в латеральных каналах наблюдалась свободная жидкость. Печень увеличена в размерах: 233×179×210 мм. Контуры четкие, ровные. Плотность паренхимы – 15 едН. В SVI печени при контрастном усилении визуализируется гиповаскулярное образование плотностью жидкости (24 едН) размерами 17×22 мм. При контрастном усилении определяется экстравазация из бассейна правой печеночной артерии. Структуры ворот печени дифференцированы (рис. 1).
Рис. 1. Компьютерные томограммы живота с внутривенным контрастированием: а – гематома SVI печени с экстравазацией контрастного вещества, свободная жидкость над печенью (стрелки); b – свободная жидкость в малом тазу (стрелка).
Пациентка осмотрена ответственным дежурным хирургом. Установлен диагноз: «закрытая травма живота. Гематома SVI печени. Гемоперитонеум», принято решение о выполнении симультантной операции – рентгенэндоваскулярной эмболизации и санационной видеолапароскопии (рис. 2).
Рис. 2. Этапы оперативного вмешательства: а – экстравазация контрастного вещества при ангиографии; b – ангиография аневризматически расширенной ветви правой печеночной артерии; c – эмболизация ветви 4-го порядка правой печеночной артерии эмболизационной спиралью VortX Diamond-18 3×3,3 мм.
Таблица 1. Средние показатели общего анализа крови при поступлении | ||||
Лейкоциты, 109/л | Эритроциты, 1012/л | Гемоглобин, г/л | Гематокрит, % | Тромбоциты, 109/л |
11,8±3,4 | 3,7±1,1 | 109±29,6 | 32,9±9,2 | 204±107,9 |
В гибридной операционной I этапом пунктирована и катетеризирована правая плечевая артерия, выполнена целиакография: отмечается гиперваскуляризация дистального русла и аневризма диаметром до 2 мм ветви 4-го порядка правой печеночной артерии с признаками артериовенозного сброса, общая, левая, правая печеночные, левая и правая желудочные, селезеночная, диафрагмальные артерии проходимы. Диагностический катетер селективно установлен в правой печеночной артерии. При помощи микрокатетера 0,018" и проводника 0,014" в целевую артерию суперселективно проведена и установлена эмболизационная спираль VortX Diamond-18 3×3,3 мм.
На контрольных ангиограммах: правая печеночная артерия – целевая ветвь 4-го порядка не контрастируется, эффект эмболизации достигнут, отмечается неокклюзирующий спазм в ветви 2-го порядка; общая и левая печеночные артерии, селезеночная, левая и правая желудочные, диафрагмальные артерии проходимы; диссекции и экстравазации в местах вмешательства отсутствуют.
Вторым этапом выполнена видеолапароскопия. При ревизии в брюшной полости во всех отделах выявлено около 1000 мл измененной крови. Выполнена аспирация. При дальнейшей ревизии в брюшной полости выявлены множественные наложения фибрина – удалены, брюшная полость промыта 2500 мл стерильного физиологического раствора до чистых вод. Подтекания крови из паренхимы печени не выявлено. Гемостаз, достигнутый эндоваскулярной эмболизацией, состоятелен. В малый таз и подпеченочно установлены силиконовые двухпросветные дренажи диаметром 1,0 см.
В послеоперационном периоде пациентка находилась в отделении реанимации в связи с развитием смешанного поражения головного мозга до энцефалопатии с преходящими эпизодами помрачнения сознания. Осложнений после операции не отмечалось. На 7-е сутки после операции пациентка выписана в стабильном состоянии на амбулаторное лечение.
Заключение
Селективная рентгенэндоваскулярная эмболизация эффективна у гемодинамически стабильных пациентов. Применение рентгенэндоваскулярной эмболизации позволило избежать традиционных хирургических вмешательств (лапаротомии) в 20,6% наблюдений. Внедрение рентгенэндоваскулярного гемостаза является одним из приоритетных направлений при лечении пациентов с закрытой травмой живота.
Раскрытие интересов. Авторы декларируют отсутствие явных и потенциальных конфликтов интересов, связанных с публикацией настоящей статьи.
Disclosure of interest. The authors declare that they have no competing interests.
Вклад авторов. Авторы декларируют соответствие своего авторства международным критериям ICMJE. Все авторы в равной степени участвовали в подготовке публикации: разработка концепции статьи, получение и анализ фактических данных, написание и редактирование текста статьи, проверка и утверждение текста статьи.
Authors’ contribution. The authors declare the compliance of their authorship according to the international ICMJE criteria. All authors made a substantial contribution to the conception of the work, acquisition, analysis, interpretation of data for the work, drafting and revising the work, final approval of the version to be published and agree to be accountable for all aspects of the work.
Информированное согласие на публикацию. Пациентка подписала форму добровольного информированного согласия на публикацию медицинской информации.
Consent for publication. Written consent was obtained from the patient for publication of relevant medical information and all of accompanying images within the manuscript.
Источник финансирования. Научный проект, финансируемый АНО «Московский центр инновационных технологий в здравоохранении» путем предоставления гранта №2212-16/22 от 25.03.2022 на тему «Дифференцированный подход к лечению пострадавших с абдоминальной травмой».
Funding source. A scientific project funded by the ANO “Moscow Center for Innovative Technologies in Healthcare” by providing grant No. 2212-16/22 dated 25.03.2022 on the topic “A differentiated approach to the treatment of victims with abdominal trauma”.
About the authors
Ksenia V. Staleva
Sklifosovsky Research Institute of Emergency Medicine
Author for correspondence.
Email: Staleva_Ksenya@mail.ru
ORCID iD: 0009-0009-6014-2522
Res. Assist.
Russian Federation, MoscowPeter A. Yartsev
Sklifosovsky Research Institute of Emergency Medicine
Email: Staleva_Ksenya@mail.ru
ORCID iD: 0000-0003-1270-5414
D. Sci. (Med.), Prof.
Russian Federation, MoscowBakuri T. Tsuleiskiri
Sklifosovsky Research Institute of Emergency Medicine
Email: Staleva_Ksenya@mail.ru
ORCID iD: 0000-0002-1687-1308
Cand. Sci. (Med.)
Russian Federation, MoscowYurii S. Teterin
Sklifosovsky Research Institute of Emergency Medicine
Email: Staleva_Ksenya@mail.ru
ORCID iD: 0000-0003-2222-3152
Cand. Sci. (Med.)
Russian Federation, MoscowMariya S. Zhigalova
Sklifosovsky Research Institute of Emergency Medicine
Email: Staleva_Ksenya@mail.ru
ORCID iD: 0000-0003-4520-1124
Res. Officer
Russian Federation, MoscowNatalya V. Shavrina
Sklifosovsky Research Institute of Emergency Medicine
Email: Staleva_Ksenya@mail.ru
ORCID iD: 0000-0002-3766-4674
Cand. Sci. (Med.)
Russian Federation, MoscowMikhail M. Rogal
Sklifosovsky Research Institute of Emergency Medicine
Email: Staleva_Ksenya@mail.ru
ORCID iD: 0000-0003-1327-6973
Surgeon
Russian Federation, MoscowSergey V. Novikov
Sklifosovsky Research Institute of Emergency Medicine
Email: Staleva_Ksenya@mail.ru
ORCID iD: 0000-0003-2692-1185
D. Sci. (Med.)
Russian Federation, MoscowReferences
- Li M, Yan Y, Wang C, Tu H. Hospital mortality of blunt abdominal aortic injury (BAAI): a systematic review and meta-analysis. World J Emerg Surg. 2023;18(1):26. doi: 10.1186/s13017-023-00492
- MacKenzie EJ, Rivara FP, Jurkovich GJ, et al. A national evaluation of the effect of trauma-center care on mortality. N Engl J Med. 2006;354(4):366-78. doi: 10.1056/NEJMsa052049
- Pape HC, Halvachizadeh S, Leenen L, et al. Timing of major fracture care in polytrauma patients – An update on principles, parameters and strategies for 2020. Injury. 2019;50(10):1656-70. doi: 10.1016/j.injury.2019.09.021
- Luo J, Chen D, Tang L, et al. Multifactorial Shock: A Neglected Situation in Polytrauma Patients. J Clin Med. 2022;11(22):6829. doi: 10.3390/jcm11226829
- van Ditshuizen JC, Rojer LA, van Lieshout EMM, et al. Evaluating associations between level of trauma care and outcomes of patients with specific severe injuries: A systematic review and meta-analysis. J Trauma Acute Care Surg. 2023;94(6):877-92. doi: 10.1097/TA.0000000000003890
- Crichton JCI, Naidoo K, Yet B, et al. The role of splenic angioembolization as an adjunct to nonoperative management of blunt splenic injuries: A systematic review and meta-analysis. J Trauma Acute Care Surg. 2017;83(5):934-43. doi: 10.1097/TA.0000000000001649
- Arvieux C, Frandon J, Tidadini F, et al.; Splenic Arterial Embolization to Avoid Splenectomy (SPLASH) Study Group. Effect of prophylactic embolization on patients with blunt trauma at high risk of splenectomy: A randomized clinical trial. JAMA Surg. 2020;155(12):1102-11. doi: 10.1001/jamasurg.2020.3672
- Fodor M, Primavesi F, Morell-Hofert D, et al. Non-operative management of blunt hepatic and splenic injury: A time-trend and outcome analysis over a period of 17 years. World J Emerg Surg. 2019;14:29. doi: 10.1186/s13017-019-0249-y
- Brahmbhatt AN, Ghobryal B, Wang P, et al. Evaluation of Splenic Artery Embolization Technique for Blunt Trauma. J Emerg Trauma Shock. 2021;14(3):148-52. doi: 10.4103/JETS.JETS_64_20
- Kwon H, Bae M, Jeon CH, et al. Volume preservation of a shattered kidney after blunt trauma by superselective renal artery embolization. Diagn Interv Radiol. 2022;28(1):72-8. doi: 10.5152/dir.2021.21711
Supplementary files





