Клинический случай пациентки с субтотальной оссификацией улитки: результаты кохлеарной имплантации с применением нейровизуализационных методов контроля динамики
- Авторы: Дворянчиков В.В.1, Кузовков В.Е.1, Клячко Д.С.1, Лиленко А.С.1, Сугарова С.Б.1, Танасчишина В.А.1, Каляпин Д.Д.1, Харитонова П.Р.1
-
Учреждения:
- ФГБУ «Санкт-Петербургский научно-исследовательский институт уха, горла, носа и речи» Минздрава России
- Выпуск: Том 26, № 3 (2024): Оториноларингология и пульмонология
- Страницы: 172-176
- Раздел: Статьи
- Статья опубликована: 18.05.2024
- URL: https://consilium.orscience.ru/2075-1753/article/view/633275
- DOI: https://doi.org/10.26442/20751753.2024.3.202741
- ID: 633275
Цитировать
Полный текст
Аннотация
Обоснование. В настоящее время кохлеарная имплантация (КИ) является общепризнанным в мировой практике методом реабилитации лиц с глухотой, позволяющим не только повысить качество жизни пациента, но и интегрировать его в среду слышащих. Оссификация лабиринта – одна из наиболее актуальных проблем, с которой сталкивается хирург во время проведения КИ. Пациенты с оссификацией улитки имеют комплекс проблем, с которыми встречается сурдолог-аудиолог, среди которых длительность глухоты, предшествующие сложности слухопротезирования из-за отсутствия эффективности и выраженности дискомфорта при ношении слухового аппарата (СА), выраженность повреждения микроструктур уха, приводящая к необходимости использования высоких уровней, потенциальное неполное введение электрода или введение электрода через кохлеостому, возникновение неслуховых ощущений в виде стимуляции лицевого нерва. У пациентов с длительным периодом глухоты наблюдается снижение активности слуховой коры височной доли головного мозга (ГМ). С целью оценки реакции слуховых центров на звуковой стимул используется методика функциональной нейровизуализации, которая может дать представление о нейробиологических факторах, различиях в индивидуальных результатах слуха после КИ. В настоящее время измерение нейронной активности в слуховой коре ГМ пользователей системы кохлеарных имплантатов является сложной задачей, т.к., прежде всего, использование традиционных методов нейровизуализации, таких как электроэнцефалография, магнитоэнцефалография, позитронно-эмиссионная томография, функциональная магнитно-резонансная томография, ограничено у пациентов с КИ. Функциональная ближняя инфракрасная спектроскопия (фБИКС) – новая технология, которая обладает преимуществами в данной группе пациентов, поскольку она неинвазивна, совместима с устройствами КИ и не подвержена электрическим помехам. Полученные при помощи данной методики знания позволят объективизировать качество слухоречевой реабилитации пациентов за счет фиксации активности коры ГМ.
Цель. Описать клинический случай пациентки с субтотальной оссификацией улитки с оценкой слухоречевой реабилитации с использованием методик нейровизуализации.
Материалы и методы. В ноябре 2022 г. в ФГБУ СПб НИИ ЛОР обратилась пациентка М. с жалобами на снижение слуха вплоть до глухоты, шум в ушах, дискомфортные ощущения при ношении СА. Из анамнеза известно, что в возрасте 5 лет она перенесла гнойный менингит неустановленной этиологии. Наблюдалась у сурдолога, слухопротезирована на оба уха. В 2021 г. отметила полную потерю эффективности СА, в связи с чем принято решение об обследовании по программе КИ. Речь пациентки представлена сложными предложениями с аграмматизмами, восприятие речи производилось преимущественно зрительно чтением с губ. На КТ височных костей от 27.03.2022 выявлены признаки субтотальной оссификации структур лабиринта с двух сторон, спиральный канал улитки справа частично проходим. В связи с высоким риском невозможности введения активного электрода решение о проведении оперативного лечения принимал консилиум в составе 2 отохирургов, анестезиолога, сурдолога-аудиолога и невролога. Интраоперационно принято решение использовать короткий прямой электрод длиной 11 мм. После подключения речевого процессора у пациентки получены звуковые ощущения, объективность полученных данных подтверждена методом фБИКС.
Результаты. Через месяц после проведения оперативного вмешательства пациентка поступила для подключения речевого процессора системы КИ. С учетом длительного анамнеза глухоты использована стратегия кодирования СIS. Дополнительной мерой устранения реакции со стороны лицевого нерва стало применение трехфазной стимуляции. Пациентка отметила улучшение слухозрительного восприятия речи. При контрольном аудиологическом обследовании через месяц с момента операции у нее обнаружены реакции в свободном звуковом поле на звуки интенсивностью 50 дБ в диапазоне частот 250–4000 Гц. Максимальные комфортные уровни громкости достигнуты при стимуляции в среднем на уровне 29,23 qu.
(20,18–41,03 qu). В результате произведенных настроек у пациентки полностью устранены неслуховые ощущения.
Заключение. Методика фБИКС позволила получить объективную картину реакции коры височной доли именно на звуковую стимуляцию у пациентки с речевым процессором без применения инвазивных или лучевых методов исследования, которые могут иметь высокую погрешность. Использование данной методики является перспективным у пациентов с глубокой потерей слуха до и после КИ.
Полный текст
Введение
В настоящее время кохлеарная имплантация (КИ) является общепризнанным в мировой практике методом реабилитации лиц с глухотой, позволяющим не только повысить качество жизни пациента, но и интегрировать его в среду слышащих.
Оссификация лабиринта – одна из наиболее актуальных проблем, с которой сталкивается хирург во время проведения КИ [1–6].
До 1988 г. наличие оссификации улитки (ОУ) являлось противопоказанием к проведению КИ, в связи с чем пациенты были лишены шанса на полноценную реабилитацию [7].
Благодаря развитию технологий и разработке новых хирургических подходов к проведению КИ стало возможным ее выполнение пациентам с ОУ. Безопасность и эффективность КИ при наличии частичной оссификации продемонстрированы T. Balkany и соавт. в 90-х годах ХХ в. [7, 8].
В исследовании T. Tokat и соавт. (2022 г.) произведена оценка послеоперационных результатов слухоречевой реа- билитации (СРР) 54 пациентов с ОУ и 54 наблюдаемых контрольной группы (КГ) без менингита в анамнезе. Как основу оценки использовали тест на слуховую работоспособность-II и тест на разборчивость речи (РР). Отмечено, что пациенты с тотальной ОУ показали более худшие результаты СРР, чем больные КГ. Авторами подчеркнута непредсказуемость аудиологических результатов у пациентов после перенесенного менингита с ОУ, однако им рекомендовано проведение КИ [6].
В ретроспективном исследовании A. Vashishth и соавт. (2018 г.) рассмотрено 42 случая пациентов с обструкцией спирального канала улитки (СКУ), вызванной ремоделированием или ОУ. Авторы изучали результаты СРР в течение 4 лет с момента операции и сравнивали их с результатами пациентов с постлингвальной глухотой, которых случайно отобрали в исследование для участия в группе контроля. Они пришли к выводу о том, что результаты ССР сопоставимы с КГ. Не выявлено зависимости между методикой доступа к просвету СКУ, выраженностью оссификации и качеством РР [9].
В систематическом обзоре K. Singhal и соавт. (2020 г.) обобщены результаты КИ у пациентов с глухотой после менингита. Произведен поиск по базам данных Medline, Pubmed, Embase, Web of Science, Cochrane Collection и ClinicalTrials.gov. Примечательно то, что авторы не делали ограничений по языку или году публикации. Поисковые запросы выявили 906 тезисов и 291 полноценную статью, включающие обзоры и клинические случаи (КС). В них сообщено о результатах у 610 пациентов с 650 КИ. Качество СРР (КСРР) было лучше во всех исследованиях после КИ в сравнении со слухопротезированием. Статистически значимую разницу между результатами до и после КИ продемонстрировали 7 исследований. Пациенты без ОУ, с полным введением электрода, меньшей продолжительностью глухоты и без неврологических осложнений показали, как правило, наилучшие результаты. Аудио- логические результаты после КИ при менингите являются удовлетворительными, обеспечивая функциональные уровни восприятия и РР. Особенностью приведенного исследования являлось то, что авторы подчеркнули значимость КСРР в зависимости от степени ОУ, продолжительности глухоты до имплантации, неврологического статуса и полноценности введения электрода. Соответственно, ранняя и двусторонняя имплантация рекомендована всем пациентам с потерей слуха (ПС) после менингита, чтобы повысить вероятность полного введения электрода в улитку [10].
Пациенты с ОУ имеют комплекс проблем, с которыми встречается сурдолог-аудиолог, среди которых длительность глухоты, предшествующие сложности слухопротезирования из-за отсутствия эффективности и выраженности дискомфорта при ношении слухового аппарата (СА), выраженность повреждения микроструктур уха, приводящая к необходимости использования высоких уровней стимуляции, потенциальное неполное введение (НВ) электрода или введение электрода через кохлеостому, возникновение неслуховых ощущений (НСО) в виде стимуляции лицевого нерва (СЛН) [11].
За время наблюдений выдвинуто несколько теорий этио- логии СЛН после КИ. Самыми распространенными гипотезами являются: снижение сопротивляемости костной ткани электрическим раздражителям (при аномалиях улитки, отосклерозе, отосифилисе), низкая сопротивляемость костной ткани у основания модиолуса и необходимость высоких уровней стимуляции кохлеарного имплантата (при гипоплазии слуховых нервов, после менингита, перелома височной кости – ВК, длительном периоде ПС, плохо функционирующих электродах) [12].
H. Kempf и соавт. (1999 г.) обнаружили, что у большинства детей со СЛН основной причиной ПС являлся менингит [13].
Перспектива развития роботизированной ассистенции при помощи рентгенологических изображений в сочетании с навигационными методиками во время хирургических операций позволят расширить возможности рассверливания оссифицированного участка при КИ [14].
У пациентов с длительной глухотой зачастую при восприятии речи используется зрительный анализатор, из-за чего могут возникнуть трудности в СРР после КИ. Соответственно, возникает необходимость в оценке потенциальных возможностей развития и сохранности слуховой коры (СК), однако существующие ограничения в использовании рентгенологических методик не позволяют полноценно оценить зону СК у пациента, прошедших КИ. Большая часть оценочных тестов являются поведенческими и носят субъективный характер, что может привести к неверной интерпретации результатов СРР, особенно у младенцев и детей младшего возраста. Приведенная проблема особенно актуальна в случаях менингита в анамнезе, поскольку при данной патологии при стимуляции может отсутствовать рефлекторный дискомфорт [15].
Функциональная нейровизуализация может дать представление о нейробиологических факторах, которые способствуют различиям в индивидуальных результатах СРР после КИ. В настоящее время измерение нейронной активности в СК головного мозга (ГМ) пользователей системы кохлеарных имплантатов является сложной задачей, т.к., прежде всего, использование традиционных методов нейровизуализации ограничено. Функциональная ближняя инфракрасная спектроскопия (фБИКС) – новая технология, которая предлагает преимущества данной группе населения, поскольку она неинвазивна, совместима с устройствами КИ и не подвержена электрическим помехам. Однако при использовании фБИКС необходимо учитывать важные нюансы проведения исследования, чтобы максимизировать соотношение сигнал/шум и наилучшим образом идентифицировать значимые кортикальные реакции [16].
Полученные знания при помощи данной методики позволят улучшить и объективизировать КСРР пациентов за счет фиксации активности коры ГМ.
Цель – описать КС пациентки с субтотальной ОУ с использованием методик нейровизуализации для подтверждения эффективности работы системы КИ.
Материалы и методы
В ноябре 2022 г. в ФГБУ СПб НИИ ЛОР обратилась пациентка М. с жалобами на снижение слуха вплоть до глухоты, шум в ушах, дискомфортные ощущения при ношении СА. Из анамнеза известно, что в возрасте 5 лет она перенесла гнойный менингит неустановленной этиологии. Наблюдалась у сурдолога, слухопротезирована на оба уха без значительного эффекта. В 2021 г. отметила полную потерю эффективности СА, в связи с чем принято решение об обследовании по программе КИ. Речь пациентки представлена сложными предложениями с аграмматизмами, восприятие речи производилось преимущественно зрительно чтением с губ.
В ходе обследований установлен диагноз – двусторонняя хроническая сенсоневральная тугоухость 4-й степени приобретенной этиологии, вторичное расстройство рецептивной и экспрессивной речи. Пациентка не имела сопутствующей патологии.
На момент отбора кандидата к КИ пациентка слухопротезирована сверхмощными аппаратами с двух сторон.
При исследовании коротколатентных слуховых вызванных потенциалов от 08.11.2022 пороги КСВП зарегистрированы при интенсивности сигнала 100 дБ с обеих сторон.
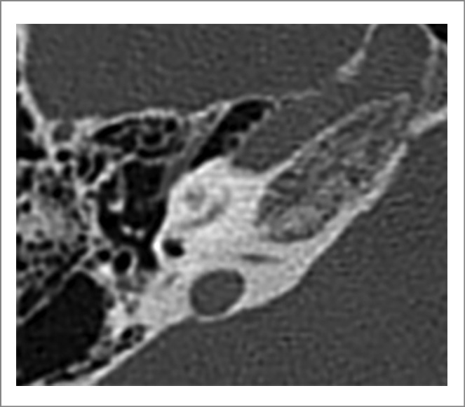
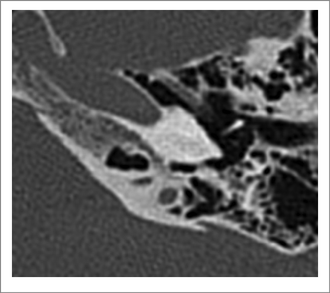
На КТ ВК от 27.03.2022 выявлены КТ-признаки субтотальной оссификации структур лабиринта, СКУ справа частично проходим (рис. 1, 2).
Рис. 1. КТ-картина правой ВК перед операцией.
Рис. 2. КТ-картина левой ВК перед операцией.
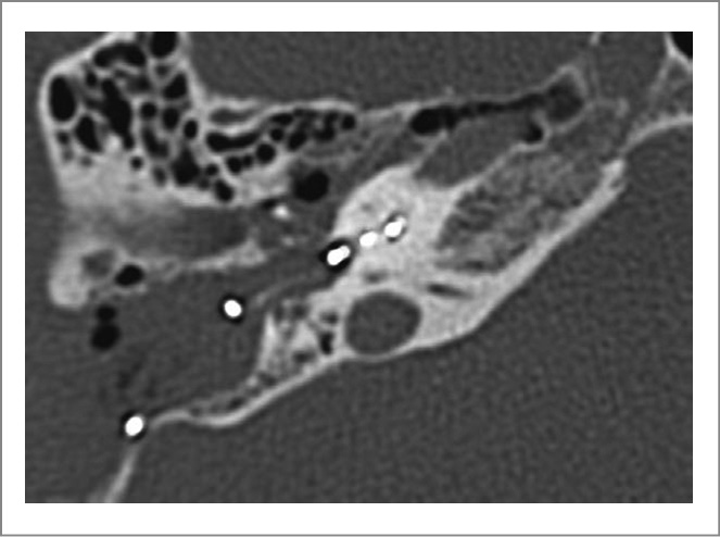
В результате оперативного вмешательства рассверлен базальной завиток улитки, однако доступ к среднему завитку выполнить не удалось. Интраоперационно принято решение о проведении КИ с использованием имплантата с коротким прямым электродом 11 мм. В ходе операции удалось ввести 10 активных электродов цепи кохлеарного имплантата из 12. Общее сопротивление зафиксировано в пределах нормы по всем электродам, что не типично для пациентов с ОУ. Несмотря на неизмененную анатомию среднего уха, акустические рефлексы стременной мышцы не получены. При проведении телеметрии нервного ответа достоверно получены ответы на 6 электродах из 12 (рис. 3).
Рис. 3. КТ правой ВК после операции с НВ активного электрода.
Послеоперационный период проходил без особенностей. У пациентки не выявлено вестибулярных нарушений.
Результаты
Через месяц после проведения оперативного вмешательства пациентка поступила для подключения речевого процессора (РП) системы КИ.
В результате телеметрии имплантата зафиксировано среднее сопротивление 4,8±1,4 кОм (минимальное значение – 1,78, максимальное значение – 6,36), что укладывается в пределы нормы. Телеметрия нервного ответа показала ответы на 2, 4, 5, 7, 8, 9-м электродах и недостоверный ответ на 6-м электроде из 12. В связи с полученными результатами принято решение об отключении 10–12 электродов цепи. Пациентка обратила внимание на выраженный дискомфорт в виде болей, иррадиирущих в шею, и подергивание верхнего века справа. В результате дополнительной коррекции принято решение об отключении 8, 9-го электродов и изменении распределения частот по оставшимся активным электродам (рис. 4, 5). С учетом длительного анамнеза глухоты использована стратегия кодирования СIS. Дополнительной мерой устранения реакции со стороны ЛН стало применение трехфазной стимуляции. Записаны прогрессивные карты. Максимальные комфортные уровни выставлены по субъективным реакциям пациентки, с учетом дискомфортных ощущений в шее и СЛН. При осмотре больной сурдопедагогом выявлено восприятие низких частот до 6 м, средних частот – до 3 м, высоких частот – до 2 м. Зафиксировано достоверное различение фонем. Пациентка отметила улучшение слухозрительного восприятия речи. При контрольном аудиологическом обследовании через месяц с момента операции у нее обнаружены реакции в свободном звуковом поле на звуки интенсивностью 50 дБ в диапазоне частот 250–4000 Гц. Максимальные комфортные уровни громкости достигнуты при стимуляции в среднем на уровне 29,23 qu (20,18–41,03 qu). В результате произведенных настроек у пациентки полностью устранены НСО.
Рис. 4. Настройки РП с учетом НВ и НСО.
Рис. 5. Смещение частотного ряда по активным электродам.
Во время повторного курса реабилитации отмечена положительная динамика слухового восприятия и речи. При контрольном аудиологическом обследовании через 3 мес с момента операции у пациентки обнаружены реакции в свободном звуковом поле на звуки интенсивностью 40–45 дБ в диапазоне частот 250–4000 Гц. При осмотре сурдопедагогом выявлено восприятие низких, средних и высоких частот на расстоянии до 5 м с их различением. Она научилась воспринимать контур слова без зрительного подкрепления.
Для того чтобы убедиться в том, что пациентка слышит звуки, использован метод фБИКС, который фиксирует активность ГМ. Во время звуковой стимуляции посредством тона и речи наблюдали повышение содержания оксигемоглобина (HbO) в области коркового отдела слухового анализатора в зоне первичной и вторичной СК, что говорило о положительной реакции на тоны различной частоты и речь (рис. 6).
Рис. 6. Результаты фБИКС у пациентки после КИ.
Обсуждение
Интерес приведенного КС заключается в выраженной ОУ, приведшей к необходимости НВ короткого прямого электрода, длительного анамнеза глухоты и наличия НСО в сочетании с удовлетворительным КСРР, которая могла быть проконтролирована с помощью методики фБИКС.
Безусловно, тотальная ОУ в сочетании с длительным анамнезом глухоты несет высокие риски отсутствия результатов СРР ввиду потенциальной гибели клеток спирального ганглия и сложности введения цепочки активных электродов.
Однако в случаях наличия слухового опыта, качественного слухопротезирования и высокой мотивации пациента ОУ может привести к хорошим результатам СРР, причем даже в условиях НВ электрода.
Перенесенный менингит после КИ может вызвать увеличение проницаемости тканей внутреннего уха для электрического тока и, как следствие, развитие побочной СЛН [13].
НСО в виде дискомфорта и СЛН в подавляющем большинстве случаев поддаются коррекции за счет изменений уровней стимуляции, отключения электродов.
Заключение
Методика фБИКС позволила получить объективную картину реакции коры височной доли именно на звуковую стимуляцию у пациента с РП без применения инвазивных или рентгенологических методов исследования, которые в ряде случаев могут иметь высокую погрешность.
По нашему мнению, использование приведенной методики перспективно у пациентов с глубокой ПС до и после КИ.
Раскрытие интересов. Авторы декларируют отсутствие явных и потенциальных конфликтов интересов, связанных с публикацией настоящей статьи.
Disclosure of interest. The authors declare that they have no competing interests.
Вклад авторов. Авторы декларируют соответствие своего авторства международным критериям ICMJE. Все авторы в равной степени участвовали в подготовке публикации: разработка концепции статьи, получение и анализ фактических данных, написание и редактирование текста статьи, проверка и утверждение текста статьи.
Authors’ contribution. The authors declare the compliance of their authorship according to the international ICMJE criteria. All authors made a substantial contribution to the conception of the work, acquisition, analysis, interpretation of data for the work, drafting and revising the work, final approval of the version to be published and agree to be accountable for all aspects of the work.
Источник финансирования. Авторы декларируют отсутствие внешнего финансирования для проведения исследования и публикации статьи.
Funding source. The authors declare that there is no external funding for the exploration and analysis work.
Информированное согласие на публикацию. Пациентка подписала форму добровольного информированного согласия на публикацию медицинской информации.
Consent for publication. Written consent was obtained from the patient for publication of relevant medical information and all of accompanying images within the manuscript.
Об авторах
Владимир Владимирович Дворянчиков
ФГБУ «Санкт-Петербургский научно-исследовательский институт уха, горла, носа и речи» Минздрава России
Автор, ответственный за переписку.
Email: 3162256@mail.ru
ORCID iD: 0000-0002-0925-7596
д-р мед. наук, проф., дир., засл. врач РФ
Россия, Санкт-ПетербургВладислав Евгеньевич Кузовков
ФГБУ «Санкт-Петербургский научно-исследовательский институт уха, горла, носа и речи» Минздрава России
Email: 3162256@mail.ru
д-р мед. наук, зав. отд. диагностики и реабилитации нарушений слуха
Россия, Санкт-ПетербургДмитрий Семенович Клячко
ФГБУ «Санкт-Петербургский научно-исследовательский институт уха, горла, носа и речи» Минздрава России
Email: 3162256@mail.ru
ORCID iD: 0000-0001-5841-8053
канд. мед. наук, ст. науч. сотр. отд. диагностики и реабилитации нарушений слуха
Россия, Санкт-ПетербургАндрей Сергеевич Лиленко
ФГБУ «Санкт-Петербургский научно-исследовательский институт уха, горла, носа и речи» Минздрава России
Email: 3162256@mail.ru
канд. мед. наук, науч. сотр.
Россия, Санкт-ПетербургСерафима Борисовна Сугарова
ФГБУ «Санкт-Петербургский научно-исследовательский институт уха, горла, носа и речи» Минздрава России
Email: 3162256@mail.ru
ORCID iD: 0000-0003-0856-8680
канд. мед. наук, науч. сотр.
Россия, Санкт-ПетербургВиктория Андреевна Танасчишина
ФГБУ «Санкт-Петербургский научно-исследовательский институт уха, горла, носа и речи» Минздрава России
Email: 3162256@mail.ru
ORCID iD: 0000-0001-6345-020X
аспирант отд. диагностики и реабилитации нарушений слуха
Россия, Санкт-ПетербургДенис Дмитриевич Каляпин
ФГБУ «Санкт-Петербургский научно-исследовательский институт уха, горла, носа и речи» Минздрава России
Email: 3162256@mail.ru
канд. мед. наук, сурдолог, мл. науч. сотр. отд. диагностики и реабилитации нарушений слуха
Россия, Санкт-ПетербургПолина Романовна Харитонова
ФГБУ «Санкт-Петербургский научно-исследовательский институт уха, горла, носа и речи» Минздрава России
Email: 3162256@mail.ru
аспирант отд. диагностики и реабилитации нарушений слуха
Россия, Санкт-ПетербургСписок литературы
- Raut V, Toner JG. Cochlear implantation in the obliterated cochlea. Clin Otolaryngol Allied Sci. 2002;27(3):147-52. doi: 10.1046/j.1365-2273.2002.00549.x
- Bogar M, Bento RF, Tsuji RK. Cochlear anatomy study used to design surgical instruments for cochlear implants with two bundles of electrodes in ossified cochleas. Braz J Otorhinolaryngol. 2008;74(2):194-9. doi: 10.1016/s1808-8694(15)31088-0
- Кузовков В.Е., Янов Ю.К. Минимизация травмы внутреннего уха при проведении кохлеарной имплантации. Российская оториноларингология. 2009;2:41-8 [Kuzovkov VE, Yanov YuK. Minimization of the inner ear injury during cochlear operation. Rossiiskaya otorinolaringologiya. 2009;2:41-8 (in Russian)].
- Кузовков В.Е., Янов Ю.К. Оптимизация проведения хирургического этапа кохлеарной имплантации у детей. Российская оториноларингология. 2009;S1:84-89 [Kuzovkov VE, Yanov YuK. Optimization of the surgical stage of cochlear implantation in children. Rossiiskaya otorinolaringologiya. 2009;S1:84-9 (in Russian)].
- Trakimas DR, Knoll RM, Castillo-Bustamante M, et al. Otopathologic Analysis of Patterns of Postmeningitis Labyrinthitis Ossificans. Otolaryngol Head Neck Surg. 2021;164(1):175-81. doi: 10.1177/0194599820934748
- Tokat T, Catli T, Bozkurt EB, Olgun L. Surgical Methods and Auditory Outcomes of Cochlear Implantation in Cochlear Ossification. J Int Adv Otol. 2022;18(1):51-6. doi: 10.5152/iao.2022.20146
- Balkany T, Bird PA, Hodges AV, et al. Surgical technique for implantation of the totally ossified cochlea. Laryngoscope. 1998;108(7):988-92. doi: 10.1097/00005537-199807000-00007
- Кузовков В.Е., Янов Ю.К., Лиленко А.С., и др. Кохлеарная имплантация при оссификации базального завитка улитки. Оториноларингология. Восточная Европа. 2016;6(4):544-51 [Kuzovkov VE, Yanov YuK, Lilenko AS, et al. Cochlear implantation in patients with ossification of cochlea basal turn. Otorhinolaryngology. Eastern Europe. 2016;6(4):544-51 (in Russian)].
- Vashishth A, Fulcheri A, Prasad SC, et al. Cochlear Implantation in Cochlear Ossification: Retrospective Review of Etiologies, Surgical Considerations, and Auditory Outcomes. Otol Neurotol. 2018;39(1):17-28. doi: 10.1097/MAO.0000000000001613
- Singhal K, Singhal J, Muzaffar J, et al. Outcomes of Cochlear Implantation in Patients with Post-Meningitis Deafness: A Systematic Review and Narrative Synthesis. J Int Adv Otol. 2020;16(3):395-410. doi: 10.5152/iao.2020.9040
- Кузовков В.Е., Лиленко А.С., Сугарова С.Б., и др. Этиологические факторы стимуляции лицевого нерва у пользователей кохлеарных имплантов. Медицинский совет. 2022;16(20):170-76 [Kuzovkov VE, Lilenko AS, Sugarova SB, et al. Etiological factors of facial nerve stimulation in cochlear implant users. Meditsinskiy sovet = Medical Council. 2022;16(20):170-76 (in Russian)].
- Кузовков В.Е., Лиленко А.С., Сугарова С.Б., и др. Факторы риска стимуляции лицевого нерва у пользователей кохлеарных имплантов: наш опыт. Российская оториноларингология. 2022;21(5):116-21 [Kuzovkov VE, Lilenko AS, Sugarova SB, et al. Risk factors for facial nerve stimulation in cochlear implant users: our experience. Rossiiskaya otorinolaringologiya. 2022;21(5):116-21 (in Russian)].
- Kempf HG, Johann K, Lenarz T. Complications in pediatric cochlear implant surgery. Eur Arch Otorhinolaryngol. 1999;256(3):128-32. doi: 10.1007/s004050050124
- Al Saadi M, Heuninck E, De Raeve L, et al. Robotic cochlear implantation in post-meningitis ossified cochlea. Am J Otolaryngol. 2023;44(1):103668. doi: 10.1016/j.amjoto.2022.103668
- Harrison SC, Lawrence R, Hoare DJ, et al. Use of Functional Near-Infrared Spectroscopy to Predict and Measure Cochlear Implant Outcomes: A Scoping Review. Brain Sci. 2021;11(11):1439. doi: 10.3390/brainsci11111439
- Saliba J, Bortfeld H, Levitin DJ, Oghalai JS. Functional near-infrared spectroscopy for neuroimaging in cochlear implant recipients. Hear Res. 2016;338:64-75. doi: 10.1016/j.heares.2016.02.005
Дополнительные файлы









