Clinical case of gusher-syndrome in surgery of a congenital isolated malformation of the middle ear
- Authors: Astashchenko S.V.1, Anikin I.А.1, Ilyin S.N.1, Goncharov O.I.2, Kaliapin D.D.1, Dyakov I.M.1, Valkova A.A.1
-
Affiliations:
- Saint-Petersburg Research Institute of Ear, Throat, Nose and Speech
- City Hospital №26
- Issue: Vol 26, No 3 (2024): Оториноларингология и пульмонология
- Pages: 177-181
- Section: Articles
- Published: 18.05.2024
- URL: https://consilium.orscience.ru/2075-1753/article/view/633278
- DOI: https://doi.org/10.26442/20751753.2024.3.202742
- ID: 633278
Cite item
Abstract
Gusher syndrome is a rather rare condition complicating surgical interventions on the stapes. It is characterized by profuse effusion of perilymphatic fluid from the vestibule into the lumen of the tympanic cavity during fenestration or removal of the foot plate of the stapes and rapid filling of the volume of the tympanic cavity and the external auditory canal with perilymph. This is due to increased pressure of perilymph fluid in the inner ear cavity in some developmental anomalies. Preoperative diagnosis of gusher syndrome can be difficult when the CT scan does not show any abnormalities in the anatomy of the inner ear canal and inner ear structures. The rarity of this phenomenon greatly complicates the procedure of its study, as well as the development of optimal schemes of therapeutic and diagnostic tactics in a real clinical situation. A clinical case of a combination of congenital isolated middle ear developmental anomaly and gusher syndrome is studied. A patient with suspected otosclerosis underwent stapedoplasty at Saint-Petersburg Research Institute of Ear, Throat, Nose and Speech. During the operation, abundant perilymphorrhea "Gusher" symptom was obtained, as well as thickening of the stapes legs and thin tendon of the stirrup muscle were revealed. The postoperative diagnosis was changed from otosclerosis to congenital isolated anomaly of middle ear development (isolated ankylosis of the stapes), gusher syndrome. The tactics of management of a patient with otosclerosis and isolated middle ear anomaly are similar. CT of temporal bones and virtual CT endoscopy should become the standard of examination of patients before surgical treatment. The use of cartilage and supracartilage is a safe way to stop perilymphorrhea in patients with gusher syndrome.
Full Text
Introduction
Gusher syndrome is a serious complication of middle ear (ME) and inner ear (IE) surgery character-ized by sudden and profuse leakage of perilymphatic fluid from the vestibule into the tympanic cavi-ty (TC) immediately after fenestration or removal of the footplate of the stapes (FPS), leading to rapid filling of the TC and external auditory canal (EAC) with perilymph. This complication is chal-lenging to treat and can lead to the development of severe postoperative hearing loss, subjective buzzing in ears, and vestibular disorders [1].
Gusher syndrome is a rare complication in otosclerosis surgery, which occurs, according to the liter-ature, in 0.3% of cases [2] and even less often (in no more than 0.05% [3] of cases) in combination with congenital stapes ankylosis.
It is usually a result of abnormal communication between the perilymphatic and subarachnoid spac-es [4]. The perilymphatic system can be connected to the subarachnoid space in two main ways: through the perilymphatic duct or perineural nerve sheets in the internal auditory canal (IAC). A less significant third way is the vestibular aqueduct, where the endolymphatic duct is located [5]. In most cases, the abnormal connection occurs through the perilymphatic duct or the wall of the IAC [6].
Gusher syndrome is usually an incidental finding, and symptoms remain unnoticed for a long time and are detected during stapedectomy in patients with otosclerosis and congenital stapes fixation [5]. The inability to detect this condition due to the absence of pathognomonic signs is a critical point [1]. Some studies showed that increased perilymph pressure may mask stapes fixation [7]. J. Causse et al. (1983) described two features that help otosurgeon to suggest the gusher syndrome before ves-tibulotomy: the non-vascular mucous membrane of TC and the abnormal anterior attachment of the posterior crus of the stapes to the FPS [8]. However, they are certainly too non-specific for an accu-rate diagnosis, especially at the preoperative stage [5].
Different authors propose several approaches in cases of congenital fixed stapes with gusher syn-drome. Some recommend performing a stapedotomy with the formation of a small hole and the placement of a soft tissue graft before installing the prosthesis instead of ear packing and the end of the operation [9]. Others believe that after diagnosing gusher syndrome, further surgical manipula-tions can be dangerous for auditory function and, in the future, for regulating the perilymphatic fluid flow. Thus, A. Wolferman (1964) [10] used gel foam (GELFOAM) to relieve gusher syndrome, closed the vestibular window, and packed TC and EAC. If the leakage of the perilymph persisted, he recommended stapedectomy and packing of the vestibular window with auto-fat, and in case of fail-ure of the packing, the installation of lumbar drainage to reduce the pressure of the cerebrospinal fluid and, thus, the pressure in the perilymphatic space of the IE. It should be noted that packing with a fat graft does not stop perilymphorrhea in patients with gusher syndrome due to high peri-lymph pressure and the inability to conduct a tight packing in the vestibular window due to the risks of developing a sensorineural component of hearing loss. When gusher syndrome was diagnosed during cochlear implantation, H. Diab et al. (2016) packed the cochlear window with an autologous muscle, which stopped otoliquorrea and did not prevent the achievement of a positive hearing out-come [11].
When conducting a diagnostic search in the presence of normal otoscopic findings in combination with hearing loss, the otolaryngologist should consider the possibility of otosclerosis, isolated anom-alies of the auditory ossicles (AOs), as well as congenital anomalies of the IE [12, 13].
Computed tomography (CT) of the temporal bones (TB) can identify this potentially dangerous con-dition in a patient with stapes ankylosis at the preoperative stage and, thus, help prevent severe in-traoperative complications in some cases [5, 14–18].
Virtual CT endoscopy is a good tool for the diagnosis of isolated congenital anomalies of the ME [19], which makes it possible to diagnose with great accuracy the presence of bone adhesions be-tween AOs and the TC structures, the breakdown of inter-ossicular connections and deviations from the normal configuration of the elements of the AO chain. In the diagnosis of gusher syndrome, this method, like multispiral CT (MSCT), can only indirectly indicate a possible increase in perilym-phatic pressure when based on the morphological changes in the IE structures, such as the fistula of the bone wall of the IAC, the dilation of the perilymphatic duct and the cochlear window.
If functional MSCT showed a combined congenital anomaly of IE and ME, and if a high risk of gusher syndrome after stapedotomy is suspected, it is recommended to avoid surgical treatment in order to prevent meningitis or complete hearing loss, and patients are recommended hearing correc-tion with a hearing aid [20].
In March 2023, patient L., 24 years old, presented at the St. Petersburg Research Institute of ENT with hearing loss in both ears, more on the left, and periodic mixed tinnitus. She had these symptoms for 2 years. According to the patient, she had no previous history of chronic or acute ear diseases; her family history is unremarkable. From 2010 to 2016, she was followed up by an epileptologist for an epilepsy episode; in 2016, she was withdrawn from the follow-up. Somatically, she had an arach-noid retrocerebellar cyst and a congenital anomaly of the urinary system, left kidney duplication. Other findings were unremarkable. The otoscopic pattern was normal. When conducting acoustic impedance measurement, the type A tympanogram on both sides was recorded; the stapedial reflex-es on both sides were absent. Tonal audiometry corresponded to a grade 2 mixed hearing loss on the left, with the Carhart notch at 2000 Hz and grade 1 conductive hearing loss on the right (Fig. 1). When examined with a 128 Hz tuning fork, the lateralization of sound in the Weber test spread to the left ear, the Rinne’s, Federicci’s and Gellé tests were negative on both sides. CT (Fig. 2, 3) and virtual CT endoscopy of the ME (Fig. 4) showed no changes in the ME and IE. The configuration of the semicircular canals, the vestibular aqueduct, and the perilymphatic duct were unremarkable. TB CT showed no demineralization of the labyrinth bone capsule, gross deformations of the AO chain, or abnormalities in the structure of the ME and IE.
Fig. 1. Tonal threshold audiometry. On the left, a grade 2 mixed hearing loss, the presence of a Carhart notch at 2000 Hz; on the right, a grade 1 conductive hearing loss. Date of the assessment: 10.03.2023.
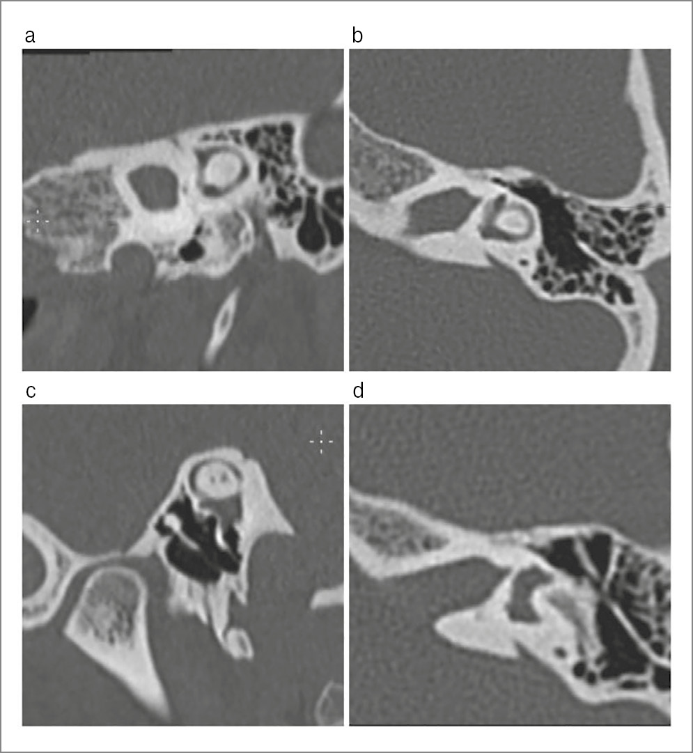
Fig. 2. MSCT scans of the left TB showed the normal structures of the vestibule: a – normal dimensions and absence of bone wall defects in the middle and apical turns of the cochlea; b – normal dimensions and absence of wall defects in the perilymphatic duct and the basal turn of the cochlea; c – normal dimensions of the vestibular aqueduct; d – normal dimensions and absence of bone capsule defects in the vestibule.
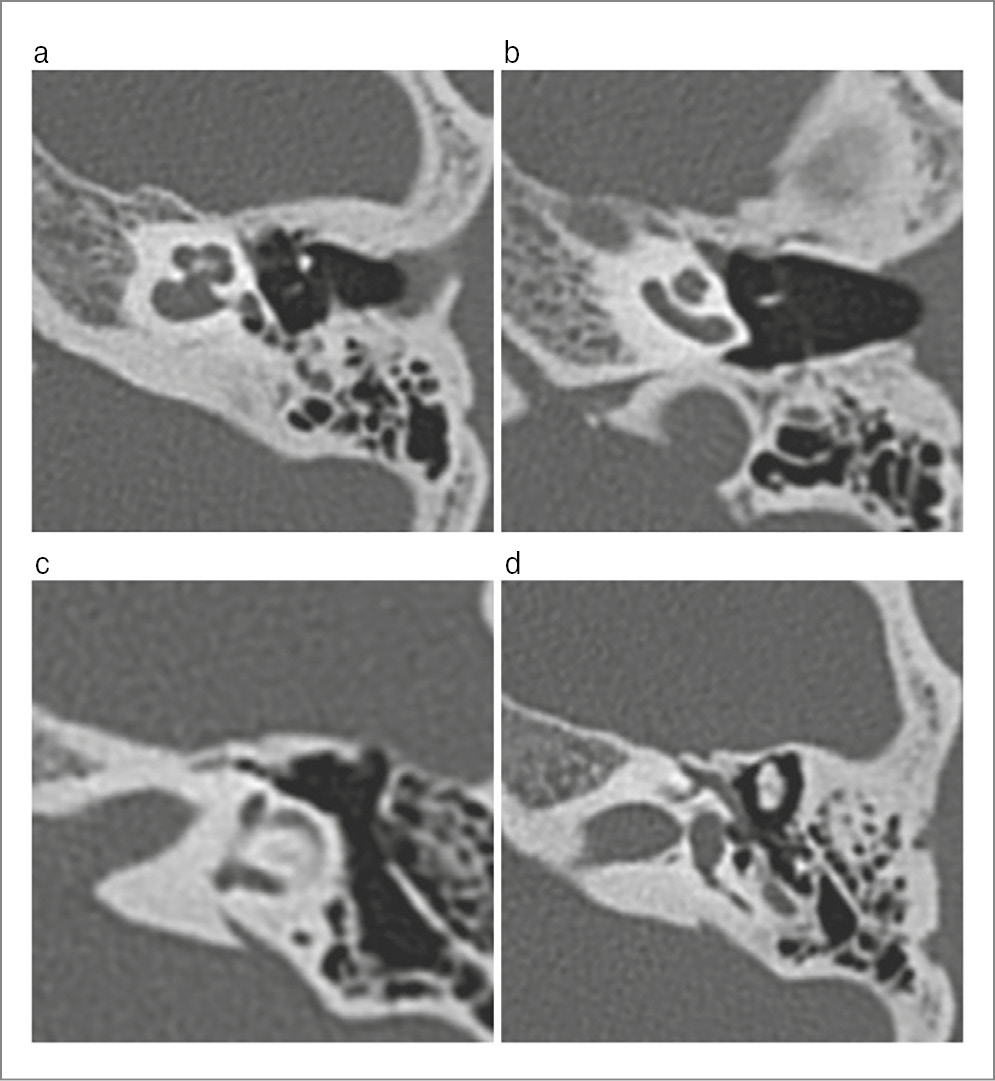
Fig. 3. MSCT scans of the left TB showed the normal structures of the IE and ME: a – normal dimensions and absence of the bone capsule defects in the posterior semicircular canal; b – normal dimensions and absence of bone capsule defects in the lateral semi-circular canal; c – normal dimensions and absence of bone capsule defects in the superior semicircular canal; d – normal dimen-sions and absence of defects in the IAC wall.
Fig. 4. Virtual CT endoscopy of the TC. The normal configuration of the AO chain was visualized.
The examination and medical history of the patient (hearing loss for 2 years) did not contradict the diagnosis of otosclerosis, and the patient was planned for elective surgery (stapedoplasty) on the hearing-impaired left ear.
The surgery was performed under endotracheal anesthesia with an endaural approach. After making the Rosen incision, the meatotympanic flap was separated, and the TC was opened. The shelf of the EAC rear wall was not pronounced, and the AO chain was well visible. Chorda tympany (a branch of the facial nerve) was pushed medially and preserved. It was noteworthy that the long crus of the in-cus was thinned, and the stapedius muscle (SM) tendon was thin and fixed to the posterior crus of the stapes. The stapes superstructures were immobile, and the stapes crura were thickened (Fig. 5). The incudostapedial joint was disarticulated, and the SM tendon and the posterior crus of the stapes were transected. Stapes superstructures were removed. The niche of the vestibular window was wide. The FPS was gray and immobile, and the annular ligament contour was not visible (Fig. 6). The FPS was perforated in the central part using a micro-perforator with a diameter of 4 mm. After the point per-foration of the FPS, abundant perilymphoria was obtained (gusher syndrome) (Fig. 7). Due to the severity of perilymphorea, it was decided to end the operation with packing of the vestibular window niche without ossiculoplasty. Tragus cartilage with the perichondrium was harvested. The vestibular window niche was packed with cartilage fragments, perichondrium, and GELFOAM sponge (Fig. 8). Perilymphorea stopped. The meatotympanic flap was laid back in place, followed by EAC packing with silk thread and a cotton swab with Syntomycin ointment. The tragus was sutured, and an aseptic dressing was applied.
Fig. 5. Intraoperative otomicroscopy: left TC. The long crus of the incus and the SM tendon were thinned. The anterior and poste-rior crura of stapes were thickened. The superstructures of the stapes are immobile.
Fig. 6. Intraoperative otomicroscopy: left TC. SM tendon transected, stapes superstructures removed. A gray fixed FPS was visual-ized. The annular ligament contour was not visible.
Fig. 7. Intraoperative otomicroscopy: left TC. After the perforation of the FPS, abundant perilymphoria was obtained (gusher syn-drome).
Fig. 8. Intraoperative otomicroscopy: left TC. The stage of packing of the vestibular window niche with the perichondrium and fragments of autologous cartilage.
Based on the TB CT data, in particular, the absence of demineralization of the labyrinth bone cap-sule, intraoperative findings, such as thickening of the stapes crura and a thin SM tendon, the post-operative diagnosis was changed from otosclerosis to an isolated congenital anomaly of the ME (iso-lated stapes ankylosis) and gusher syndrome. This condition corresponds to 1.A.4 class of isolated congenital anomalies of ME according to the Teunnisen and Cremers (1993) classification in the Tos (1998) modification.
In the postoperative period, the patient received antineuritic and antibacterial therapy and acetazo-lamide and remained on bed rest with an elevated head position for two days. There were no events of vestibulopathy or perilymphorrhea in the postoperative period. The follow-up tonal threshold au-diometry showed no hearing deterioration on day 13 after the surgery (Fig. 9). Note the absence of a Carhart notch on the audiogram after the surgery.
Fig. 9. Tonal threshold audiometry on day 13 after surgery. No deterioration in comparison with the preoperative audiogram, no Carhart notch at 2000 Hz.
Conclusion
Isolated congenital anomalies of the ME can simulate otosclerosis. Therefore, an otosurgeon should be prepared for unexpected intraoperative findings. TB CT and virtual CT endoscopy should become the assessment standard for patients before surgery. The management of a patient with otosclerosis and an isolated ME anomaly is similar.
The above clinical case is interesting since it is a rare combination of an isolated congenital anoma-ly of the ME and gusher syndrome, which could not be diagnosed at the preoperative assessment and required to finish surgery with packing of the vestibular window without ossiculoplasty.
Packing with a fat graft does not stop perilymphorrhea in patients with gusher syndrome due to high perilymph pressure and the inability to conduct a tight packing in the vestibular window due to the risks of developing a sensorineural component of hearing loss. We believe that the use of cartilage and perichondrium is a safe way to stop perilymphorrhea in patients with gusher syndrome.
The presented case shows that in stapes surgery, it is necessary to be aware of gusher syndrome even if TB MSCT shows no abnormalities in the ME, IE, and IAC.
Disclosure of interest. The authors declare that they have no competing interests.
Раскрытие интересов. Авторы декларируют отсутствие явных и потенциальных конфликтов интересов, связанных с публикацией настоящей статьи.
Authors’ contribution. The authors declare the compliance of their authorship according to the international ICMJE criteria. All authors made a substantial contribution to the conception of the work, acquisition, analysis, interpretation of data for the work, drafting and revising the work, final approval of the version to be published and agree to be accountable for all aspects of the work.
Вклад авторов. Авторы декларируют соответствие своего авторства международным критериям ICMJE. Все авторы в равной степени участвовали в подготовке публикации: разработка концепции статьи, получение и анализ фактических данных, написание и редактирование текста статьи, проверка и утверждение текста статьи.
Funding source. The authors declare that there is no external funding for the exploration and analysis work.
Источник финансирования. Авторы декларируют отсутствие внешнего финансирования для проведения исследования и публикации статьи.
Consent for publication. Written consent was obtained from the patient for publication of relevant medical information and all of accompanying images within the manuscript.
Информированное согласие на публикацию. Пациентка подписала форму добровольного информированного согласия на публикацию медицинской информации.
About the authors
Svetlana V. Astashchenko
Saint-Petersburg Research Institute of Ear, Throat, Nose and Speech
Author for correspondence.
Email: docte@yandex.ru
ORCID iD: 0000-0003-1863-2279
D. Sci. (Med.)
Russian Federation, Saint PetersburgIgor А. Anikin
Saint-Petersburg Research Institute of Ear, Throat, Nose and Speech
Email: dr-anikin@mail.ru
ORCID iD: 0000-0003-2977-2656
D. Sci. (Med.)
Russian Federation, Saint PetersburgSergei N. Ilyin
Saint-Petersburg Research Institute of Ear, Throat, Nose and Speech
Email: docte@yandex.ru
Cand. Sci. (Med.)
Russian Federation, Saint PetersburgOleg I. Goncharov
City Hospital №26
Email: entgoncharov@gmail.com
ORCID iD: 0000-0003-3738-4944
otorhinolaryngologist
Russian Federation, Saint PetersburgDenis D. Kaliapin
Saint-Petersburg Research Institute of Ear, Throat, Nose and Speech
Email: kalyapin92@gmail.com
ORCID iD: 0000-0002-2768-6036
Cand. Sci. (Med.), Res. Assist.
Russian Federation, Saint PetersburgIlya M. Dyakov
Saint-Petersburg Research Institute of Ear, Throat, Nose and Speech
Email: ilya.dyakov@mail.ru
otorhinolaryngologist, Res. Assist.
Russian Federation, Saint PetersburgAnastasiya A. Valkova
Saint-Petersburg Research Institute of Ear, Throat, Nose and Speech
Email: Anastasi.valkova@yandex.ru
ORCID iD: 0009-0000-8792-9450
Clinical Resident
Russian Federation, Saint PetersburgReferences
- Alicandri-Ciufelli M, Molinari G, Rosa MS, et al. Gusher in stapes surgery: a systematic review. Eur Arch Otorhinolaryngol. 2019;276(9):2363-76. doi: 10.1007/s00405-019-05538-x
- Causse J, Causse JB. Eighteen-year report on stapedectomy. I. Problems of stapedial fixation. Clin Otolaryngol Allied Sci. 1980;5(1):49-59. doi: 10.1111/j.1365-2273.1980.tb01626.x
- Talbot JM, Wilson DF. Computed tomographic diagnosis of X-linked congenital mixed deafness, fixation of the stapedial footplate, and perilymphatic gusher. Am J Otol. 1994;15(2):177-82.
- Schuknecht HF, Reisser C. The morphologic basis for perilymphatic gushers and oozers. Adv Otorhinolaryngol. 1988;39:1-12. doi: 10.1159/000415649
- Cassano P, Decandia N, Cassano M, et al. Perilymphatic gusher in stapedectomy: demonstration of a fistula of internal auditory canal. Acta Otorhinolaryngol Ital. 2003;23(2):116-9.
- Glasscock ME 3rd. The stapes gusher. Arch Otolaryngol. 1973;98(2):82-91. doi: 10.1001/archotol.1973.00780020088004
- Nance WE, Setleff R, McLeod A, et al. X-linked mixed deafness with congenital fixation of the stapedial footplate and perilymphatic gusher. Birth Defects Orig Artic Ser. 1971;07(4):64-9.
- Causse JB, Causse JR, Wiet RJ, Yoo TJ. Complications of stapedectomies. Am J Otol. 1983;4(4):275-80.
- Farrior B. Contraindications to the small hole stapedectomy. Ann Otol Rhinol Laryngol. 1981;90(6 Pt 1):636-9. doi: 10.1177/000348948109000627
- Wolferman A. Cerebrospinal otorrhea, a complication of stapes surgery. Laryngoscope. 1964;74:1368-80. doi: 10.1288/00005537-196410000-00002
- Диаб Х., Дайхес Н., Кондратчиков Д., и др. Отоликворея при аномалиях развития внутреннего уха. Врач. 2016;2:30-3 [Diab Kh, Daikhes N, Kondratchikov D, et al. Cerebrospinal fluid otorrhea in patients with inner ear malformations. Vrach. 2016;2:30-3 (in Russian)].
- Johnson J, Lalwani AK. Sensorineural and conductive hearing loss associated with lateral semicircular canal malformation. Laryngoscope. 2000;110(10 Pt 1):1673-9. doi: 10.1097/00005537-200010000-00019
- Астащенко С.В., Кузовков В.Е., Ильин С.Н., и др. Кохлеарная форма отосклероза: диагностика и тактика хирургического лечения. РМЖ. Медицинское обозрение. 2019;39(II):52-5 [Astashchenko SV, Kuzovkov VE, Ilyin SN, et al. Cochlear otosclerosis: diagnostics and surgical tactics. RMJ. Medical Review. 2019;9(II):52-5 (in Russian)].
- Swartz JD, Harnsberger HR. Imaging of the temporal bone. 3rd edition. New York: Thieme, 1998.
- Kumar G, Castillo M, Buchman CA. X-linked stapes gusher: CT findings in one patient. AJNR Am J Neuroradiol. 2003;24(6):1130-2.
- Зеликович Е.И. Лучевая диагностика. Глава 36. Детская оториноларингология: руководство для врачей: в 2 т. Под ред. М.Р. Богомильского, В.Р. Чистяковой. М.: Медицина, 2005. Т. 2 [Zelikovich EI. Luchevaia diagnostika. Glava 36. Detskaia otorinolaringologiia: rukovodstvo dlia vrachei: v 2 t. Pod red. M.R. Bogomil'skogo, V.R. Chistiakovoi. Moscow: Meditsina, 2005. T. 2 (in Russian)].
- Пальчун В.Т., Лучихин Л.А., Магомедов М.М., Зеликович Е.И. Обследование оториноларингологического больного. М.: ЛИТТЕРРА, 2012 [Pal'chun VT, Luchikhin LA, Magomedov MM, Zelikovich EI. Obsledovanie otorinolaringologicheskogo bol'nogo. Moscow: LITTERRA, 2012 (in Russian)].
- Зеликович Е.И., Торопчина Л.В., Куриленкова А.Г., Куриленков Г.В. КТ височных костей в диагностике врожденной ликворно-перилимфатической фистулы, или gusher-синдрома (клиническое наблюдение). Медицинская визуализация. 2016;(3):80-4 [Zelikovich EI, Toropchina LV, Kurilenkova AG, Kurilenkov GV. CT Scan of the Temporal Bone in the Diagnosis of Congenital CSF-Fistula or Perilymphatic Gusher Syndrome. Clinical Case Observation. Medical Visualization. 2016;(3):80-4 (in Russian)].
- Аникин И.А., Астащенко С.В., Комаров М.В., и др. Оптимизация предоперационной верификации изолированных аномалий среднего уха при помощи виртуальной КТ-эндоскопии. Российская оториноларингология. 2020;19(6):16-22 [Anikin IA, Astashchenko SV, Komarov MV, Il’in SN, et al. Optimization of preoperative verification of isolated middle ear abnormalities using virtual ct endoscopy. Rossiiskaya otorinolaringologiya. 2020;19(6):16-22 (in Russian)]. doi: 10.18692/1810-4800-2020-6-16-2219
- Русецкий Ю.Ю., Латышева Е.Н., Лопатин А.С., Бодрова И.В. Использование функциональной мультиспиральной компьютерной томографии для дифференциальной диагностики отосклероза и врожденной аномалии внутреннего и среднего уха (клинический пример). Вестник оториноларингологии. 2012;77(2):76-8 [Rusetskiĭ IuIu, Latysheva EN, Lopatin AS, Bodrova IV. The use of functional multispiral computed tomography for differential diagnostics of otosclerosis and congenital malformation of the internal and middle ear (A case report). Vestn Otorinolaringol. 2012;77(2):76-8 (in Russian)].
Supplementary files














