Кардиомиопатия, ассоциированная с приемом анаболических андрогенных стероидов: клинический случай
- Авторы: Чарая К.В.1, Эрдниев Т.Н.1, Макаренко Г.Д.1, Чашкина М.И.1, Гогиберидзе Н.А.1, Думикян А.Ш.1, Щекочихин Д.Ю.1, Чомахидзе П.Ш.1, Полтавская М.Г.1, Андреев Д.А.1
-
Учреждения:
- Первый Московский государственный медицинский университет им. И.М. Сеченова Минздрава России (Сеченовский Университет)
- Выпуск: Том 26, № 10 (2024): КАРДИОЛОГИЯ И НЕФРОЛОГИЯ
- Страницы: 661-665
- Раздел: Статьи
- Статья опубликована: 23.11.2024
- URL: https://consilium.orscience.ru/2075-1753/article/view/634052
- DOI: https://doi.org/10.26442/20751753.2024.10.202890
- ID: 634052
Цитировать
Полный текст
Аннотация
Применение анаболических андрогенных стероидов (ААС) в супрафизиологических дозах связано с рядом неблагоприятных эффектов на сердечно-сосудистую систему. В представленном клиническом случае у спортсмена-бодибилдера, злоупотребляющего ААС, развилась сердечная недостаточность со снижением фракции выброса левого желудочка до 20%. Особенностью случая является восстановление фракции выброса левого желудочка под влиянием медикаментозной терапии и отказа от употребления ААС с последующим снижением после возобновления приема препаратов. В данном случае мы наблюдали два типа поражения миокарда – как ишемического, так и неишемического характера.
Ключевые слова
Полный текст
Введение
Анаболические андрогенные стероиды (ААС) нередко применяются спортсменами и бодибилдерами для улучшения композиции тела и физической выносливости [1]. В литературе описан ряд неблагоприятных эффектов супрафизиологических доз ААС на сердечно-сосудистую систему, в том числе развитие кардиомиопатии (КМП) и ишемической болезни сердца (ИБС) [2]. Мы представляем клинический случай, включающий 5-летний период наблюдения за пациентом, злоупотребляющим ААС.
Клинический случай
Пациент 49 лет считал себя здоровым до мая 2019 г., профессионально занимался бодибилдингом в течение 20 лет. С 2015 г. принимал курсами ААС (тренболон 150 мг/нед, Винстрол 100 мг/нед, тестостерона пропионат 150 мг/нед, Примобалан 400 мг/нед). С мая 2019 г. пациент отметил появление и постепенное прогрессирование одышки и отеков нижних конечностей, в связи с чем был госпитализирован.
По данным медицинской документации при поступлении артериальное давление (АД) составляло 125/80 мм рт. ст., частота сердечных сокращений – 110/мин, SpO2 – 98%. Объективно – отеки нижних конечностей до нижней 1/3 бедра. Электрокардиограмма (ЭКГ) пациента при поступлении представлена на рис. 1, а.
Рис. 1. ЭКГ пациента: а – при госпитализации в 2019 г.; b – в 2024 г.
Общий клинический, биохимический анализ крови и общий анализ мочи пациента – без особенностей. При проведении эхокардиографии (ЭхоКГ) определялась выраженная гипертрофия миокарда левого желудочка (ЛЖ) со снижением фракции выброса (ФВ) ЛЖ до 20% и диффузным гипокинезом стенок ЛЖ. Детальное описание данных ЭхоКГ представлено в табл. 1.
Таблица 1. Данные ЭхоКГ
Период | Май 2019 г. | Июль 2019 г. | 2021 г. | 2024 г. |
КДР ЛЖ, см | 7 | – | – | 7,2 |
МЖП, см | 1,7 | 1,3 | 1,1 | 1,5 |
ЗС ЛЖ, см | 1,7 | 1,3 | 1,1 | 1,4 |
КДО ЛЖ, мл | 258 | 206 | 138 | 333 |
КСО ЛЖ, мл | 207 | 150 | 229 | |
ФВ ЛЖ, % | 20 | 31 | 62 | 31 |
VTI, см | – | 6,8 | 17 | 11 |
ИММ, г/м | 359 | – | – | – |
Объем ЛП, мл | 137 | 128 | 90 | 109 |
ПЖ | КДР 4,3 см, свободная стенка ПЖ 9 мм | TAPSE 2,1 см | – | 33 см; TAPSE 2 см |
Клапаны | Выраженная митральная и трикуспидальная регургитация. Выраженная недостаточность легочного клапана | МК ст. рег. 2, ТК ст. рег. 2, ЛК ст. рег. 1 | – | АК ст. рег. 1, МК ст. рег. 2, ТК ст. рег. 2 |
СДЛА, мм рт. ст. | 85 | 44 | 25 | 28 |
Примечание. КДР – конечно-диастолический размер, ЗС – задняя стенка, КДО – конечно-диастолический объем, КСО – конечно-систолический объем, ИММ – индекс массы миокарда, ЛП – левое предсердие, СДЛА – систолическое давление в легочной артерии, VTI – Velocity Time Integral, TAPSE – Tricuspid Annular Plane Systolic Excursion, МК – митральный клапан, ТК – трикуспидальный клапан, ЛК – легочный клапан, АК – аортальный клапан.
По данным компьютерной томографии грудной клетки с внутривенным контрастированием данных за острую тромбоэмболию легочной артерии не получено. Пациенту диагностирована острая декомпенсация сердечной недостаточности (СН), проводилось лечение петлевыми диуретиками. На фоне терапии симптоматика разрешилась, пациент выписан с рекомендациями приема лекарственной терапии (карведилол, спиронолактон, торасемид, лозартан).
После выписки пациент принимал перечисленную терапию и прекратил употреблять ААС. На фоне лечения отмечал значительное уменьшение выраженности одышки и отсутствие отеков нижних конечностей. В июле 2019 г. при проведении плановой ЭхоКГ (рис. 2, а) отмечена положительная динамика в виде уменьшения выраженности гипертрофии ЛЖ, повышения ФВ ЛЖ до 31%, повышения интеграла линейной скорости в выносящем тракте ЛЖ до 6,8 см, улучшения сократимости правого желудочка (ПЖ). Сохранялись дилатация камер сердца и средней тяжести митральная и трикуспидальная недостаточность (см. табл. 1).
Рис. 2. ЭхоКГ пациента: а – в 2019 г.; b – в 2021 г.; c – в 2024 г.
Пациент продолжил рекомендованное лечение, ААС не употреблял, отмечал отсутствие симптомов СН. В 2021 г. пациенту вновь выполнена ЭхоКГ (рис. 2, b), по данным которой значение ФВ ЛЖ составляло 62%, систолическое давление в легочной артерии – 25 мм рт. ст., толщина стенок ЛЖ уменьшилась до 11 мм (см. табл. 1).
После нормализации параметров эхокардиограммы пациент самостоятельно отменил все лекарственные препараты, возобновил прием ААС и занятия бодибилдингом. При плановом амбулаторном визите к кардиологу в апреле 2024 г. он отмечал отсутствие жалоб и удовлетворительную переносимость физических нагрузок. Данные осмотра без особенностей, АД 125/80 мм рт. ст., частота сердечных сокращений 110/мин, SpO2 98%. ЭКГ пациента представлена на рис. 1, b. В анализах обращала на себя внимание дислипидемия (общий холестерин 5,5 ммоль/л, липопротеины высокой плотности 1,16 ммоль/л, липопротеины низкой плотности 3,79 ммоль/л), в остальном без особенностей.
При проведении ЭхоКГ (см. рис. 2, b) выявлено снижение ФВ ЛЖ до 31%, выраженная дилатация камер сердца без наличия локальных нарушений сократимости (см. табл. 1).
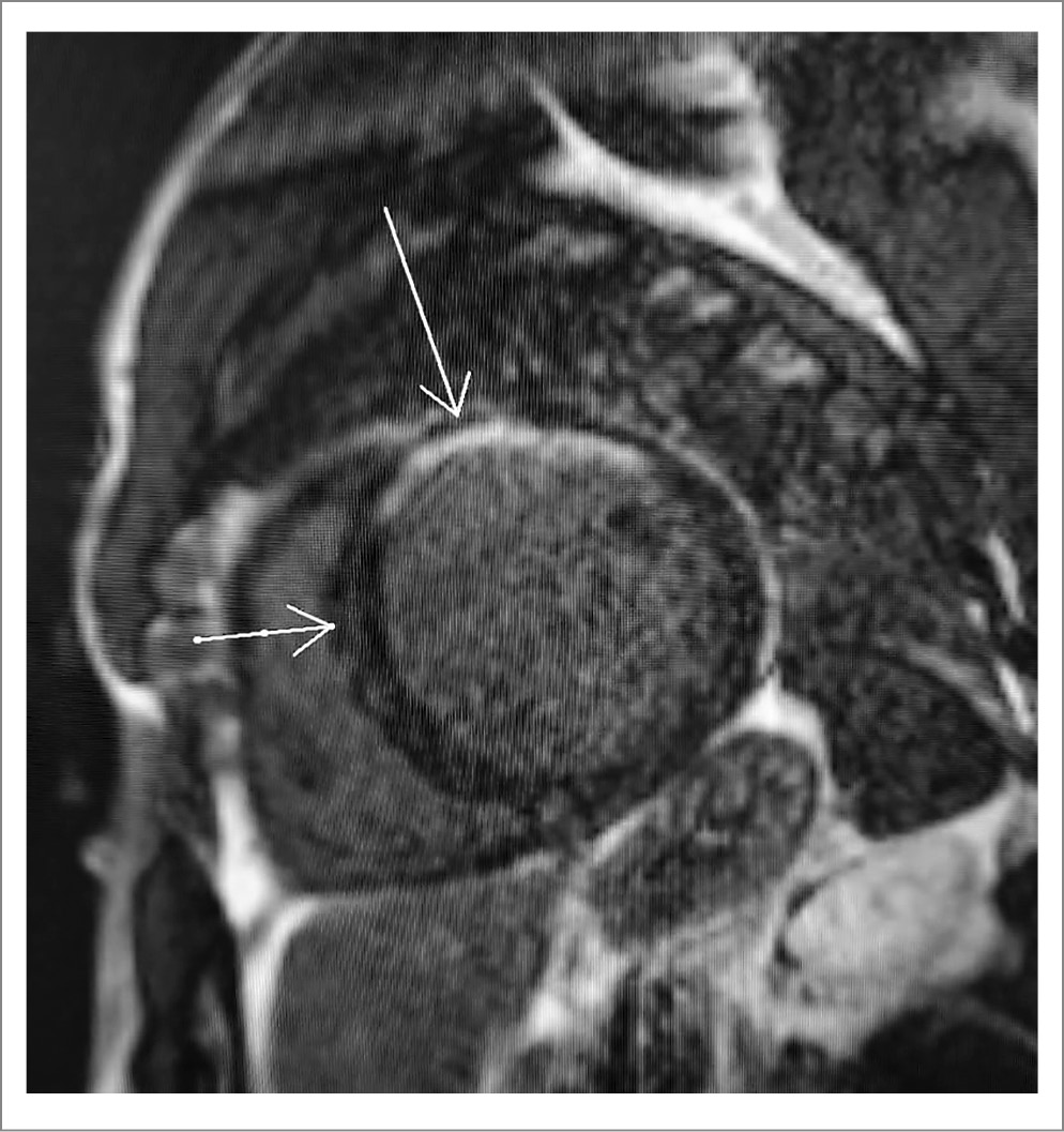
Пациенту выполнена магнитно-резонансная томография (МРТ) сердца с внутривенным контрастированием, по данным которой ФВ ЛЖ составляла 14%, сократимость ЛЖ была снижена диффузно. Межжелудочковая перегородка (МЖП) в базальном и среднем сегментах равнялась 12–13 мм, толщина остальных стенок ЛЖ – 9–10 мм. Наблюдалось 2 типа накопления контраста в миокарде ЛЖ: интрамиокардиальное линейной формы в базальном и среднем сегментах по типу «стрии» и трансмуральное в передней стенке среднего сегмента, передней стенке и передних отделах боковой стенки апикального сегмента (рис. 3).
Рис. 3. МРТ пациента
При мониторировании ЭКГ по Холтеру (24 ч) выявлено 7900 одиночных желудочковых экстрасистол, в том числе по типу бигеминии (2276) и тригеминии (3), а также одна короткая пробежка желудочковой тахикардии (3 комплекса) с частотой желудочковых сокращений 200 уд/мин (рис. 4).
Рис. 4. Фрагмент мониторировании ЭКГ по Холтеру
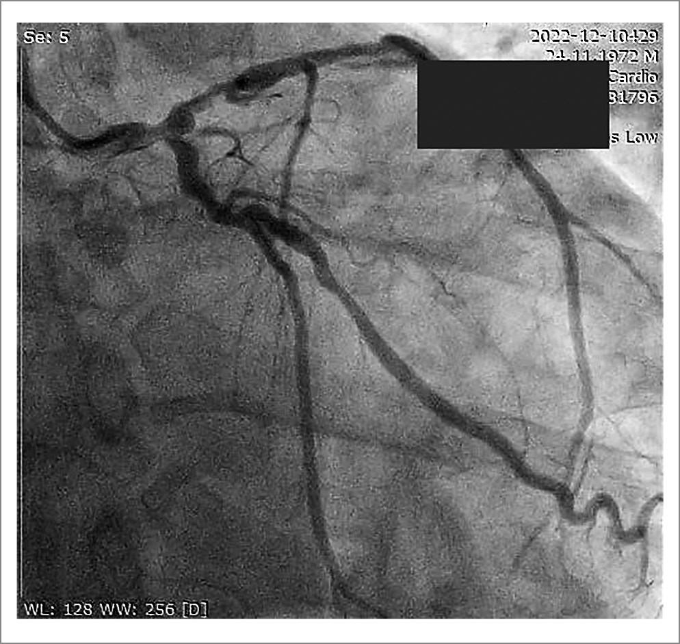
По данным коронарографии (КАГ) у пациента имелось многососудистое поражение коронарных артерий (КА) с критическим стенозом передней нисходящией, 1-й диагональной и огибающей артерии (рис. 5). Подробное описание КАГ представлено в табл. 2.
Рис. 5. КАГ пациента
Таблица 2. Данные КАГ
Артерия | Степень поражения |
Ствол левой КА | Стеноз в терминальном сегменте (60–65%) с переходом в устья ПНА и ОА |
Передняя нисходящая артерия | Стеноз в устье (30%); протяженный стеноз в проксимальном сегменте (80–90%) |
Первая диагональная артерия | Субтотальный стеноз в проксимальной трети |
Огибающая артерия | Стеноз в устье (80–90%); стеноз проксимального сегмента (70–80%) |
Артерия тупого края | Стеноз в устье (50%) |
Правая КА | Стеноз в проксимальном сегменте (50%); стеноз среднего сегмента (40–50%) |
Примечание. ПНА – передняя нисходящая артерия, ОА – огибающая артерия.
В связи с наличием трансмурального рубца большой площади переднебоковой и перегородочной локализации от проведения реваскуляризации решено воздержаться. Пациенту вновь инициирована лекарственная терапия (ацетилсалициловая кислота, амиодарон, эплеренон, карведилол, дапаглифлозин, сакубитрил + валсартан, розувастатин, эзетимиб) с рекомендацией постепенной титрации препаратов до целевых доз и консультацией аритмолога для решения вопроса об установке имплантируемого кардиовертера-дефибриллятора (ИКД).
Заключительный диагноз звучал следующим образом. Основной: 1. ИБС: постинфарктный кардиосклероз. Стенозирующий атеросклероз КА. 2. Стероид-ассоциированная КМП. Фоновый: Дислипидемия. Осложнение: хроническая сердечная недостаточность I функционального класса (ФВ ЛЖ 32%). Нарушение ритма сердца: желудочковая экстрасистолия. Пароксизмы неустойчивой желудочковой тахикардии.
Спустя 2 нед после выписки пациенту установлен ИКД. На протяжении 2 мес после выписки проводилась титрация доз назначенных препаратов, пациент настроен на продолжение лекарственного лечения и отказ от употребления ААС.
Обсуждение
ААС представляют собой группу синтетических препаратов, полученных на основе тестостерона и обладающих анаболической и андрогенной активностью [3]. Супрафизиологические дозы ААС нередко применяются спортсменами и бодибилдерами для улучшения физической выносливости и композиции тела [1]. Известно, что в США число лиц, злоупотребляющих ААС, составляет более 3 млн [4]. Распространенность применения ААС в Российской Федерации неизвестна, однако согласно данным анонимного анкетирования мужчин, проведенного Н.П. Лихоносовым и соавт. [5] в тренажерных залах Санкт-Петербурга, каждый 4-й посетитель имеет опыт применения ААС.
За последние годы в литературе все чаще встречается описание неблагоприятного влияния злоупотребления ААС на сердечно-сосудистую систему. Данные обсервационных исследований говорят об ускоренном развитии атеросклероза, а также гипертрофии и дисфункции миокарда на фоне злоупотребления АСС [2]. Обращают на себя внимание многочисленные случаи внезапных сердечных смертей на фоне приема супрафизиологических доз ААС [6]. Нами продемонстрирован случай, когда кардиотоксичность ААС проявилась развитием гипертрофии и фиброза миокарда, выраженной систолической дисфункцией и ускоренным развитием атеросклероза, что привело к инфаркту миокарда (ИМ).
Гипертрофия миокарда у спортсменов и атлетов, употребляющих ААС, широко освещена в виде клинических сообщений и секционных данных [7, 8]. Связь между толщиной миокарда и супрафизиологическими дозами ААС показана в обсервационном исследовании HAARLEM [9], где при сравнении ЭхоКГ перед началом приема ААС, в конце курса и через год после выявлена связь между увеличением толщины ЛЖ и супрафизиологическими дозами ААС.
Одним из предполагаемых механизмов развития гипертрофии миокарда при приеме ААС является прямая стимуляция андрогенных рецепторов кардиомиоцитов [10]. Однако оценка вклада ААС в развитие гипертрофии ЛЖ затруднена тем, что повышение постнагрузки ввиду чрезмерных изометрических нагрузок само по себе способствует утолщению миокарда [11]. Аргументом в пользу независимого от выраженности физических нагрузок действия ААС на миокард являются результаты исследования, проводившегося на профессиональных атлетах [8], по данным которого злоупотребление ААС у таких пациентов связано с большей выраженностью гипертрофии задней стенки ЛЖ и МЖП.
Не менее важным является развитие диастолической дисфункции на фоне приема ААС. В ряде работ [12, 13] отражено снижение отношения Е/А по данным тканевой допплерографии. Диастолическая дисфункция на фоне супрафизиологических доз ААС описана также в проспективных исследованиях HAARLEM [9] и A. Baggish и соавт. [14]. Некоторыми авторами высказывалось предположение, что диастолическая дисфункция ЛЖ в данном случае может быть связана с увеличением системного АД – еще одного возможного побочного эффекта ААС [6]. В противоречии с данным предположением находится тот факт, что диастолическая дисфункция ПЖ при употреблении супрафизиологических доз ААС развивается независимо от наличия легочной гипертензии [2].
Секционные данные и отдельные клинические сообщения говорят о распространенности систолической дисфункции у лиц, злоупотребляющих ААС. Согласно исследованиям HAARLEM [9] и A. Buggish и соавт. [14], статистически значимое снижение ФВ ЛЖ является одним из характерных побочных эффектов ААС. Схожие результаты получены в исследовании T. Luijkx и соавт. [15], где авторы с помощью МРТ сравнивали значения ФВ ЛЖ и ПЖ у спортсменов, принимающих и не принимающих ААС, и здоровых добровольцев. Согласно полученным данным ФВ ЛЖ и ПЖ были статистически значимо ниже в группе спортсменов, злоупотребляющих ААС.
Вопрос обратимости дисфункции миокарда, развившейся на фоне приема ААС, остается открытым. В исследовании A. Baggish и соавт. [14] показана обратимость систолической, но не диастолической дисфункции после отмены ААС. Полная обратимость дисфункции миокарда показана в исследовании HAARLEM [9]. В исследовании [16] показано, что связанная с приемом ААС систолическая дисфункция в целом необратима. В нашем клиническом случае ФВ ЛЖ пациента полностью восстановилась после прекращения приема ААС и инициации лекарственной терапии по поводу СН.
Причины того, что в дальнейшем у пациента снова снизилась ФВ ЛЖ, двояки. С одной стороны, пациент вернулся к прежнему образу жизни и возобновил прием ААС. С другой, наличие трансмурального рубца по данным МРТ говорит о том, что пациент перенес ИМ, давность которого в настоящее время невозможно определить. Возможная связь ААС с острым коронарным синдромом и ИМ дискутабельна, и имеющиеся на сегодняшний данные ограничены описанием серии случаев и обсервационными исследованиями [6]. Однако ускоренное развитие коронарного атеросклероза может являться одним из побочных эффектов употребления супрафизиологических доз ААС [6]. В исследовании [14] продемонстрировано, что применение ААС связано с большим объемом атеросклеротических бляшек в КА у спортсменов, принимающих эти вещества. Примечательно, что объем атеросклеротической бляшки при этом зависел от длительности приема ААС. Повышение индекса коронарного кальция у употребляющих ААС спортсменов показано в исследовании L. Santora и соавт. [17]. Также авторами выявлено, что применение ААС связано с развитием дислипидемии, проявляющейся снижением концентрации липопротеинов высокой плотности и увеличением липопротеинов низкой плотности. Потенциальными механизмами развития ишемии миокарда, связанными с приемом ААС, являются также развитие полицитемии, увеличение образования тромбоксана А2 и снижение синтеза простациклина [6]. В приведенном случае мы наблюдали многососудистое поражение КА у 52-летнего мужчины без артериальной гипертензии, тяжелой дислипидемии, опыта курения табака и отягощенного семейного анамнеза.
По результатам МРТ у нашего пациента выявлено 2 типа накопления контраста в миокарде ЛЖ: интрамиокардиальное в МЖП (наиболее характерное для КМП) и трансмуральное (ишемическое). Ассоциированный с приемом ААС фиброз миокарда описан по данным аутопсии [18]. Как и в нашем случае, секционные данные говорили о преимущественном интрамиокардиальном фиброзе в области МЖП [18, 19]. Поскольку миокардиальный фиброз вносит важный вклад в развитие аритмогенного субстрата и клинически значимых нарушений ритма [20], нашему пациенту рекомендована установка ИКД без предшествующего 3-месячного курса оптимальной медикаментозной терапии.
Заключение
Нами представлен клинический случай, иллюстрирующий комплексное проявление кардиотоксичности ААС. ААС следует рассматривать как одну из причин КМП и ИБС у молодых людей без факторов риска. Для лучшего понимания кардиотоксичности ААС необходимы крупные проспективные исследования.
Раскрытие интересов. Авторы декларируют отсутствие явных и потенциальных конфликтов интересов, связанных с публикацией настоящей статьи.
Disclosure of interest. The authors declare that they have no competing interests.
Вклад авторов. Авторы декларируют соответствие своего авторства международным критериям ICMJE. Все авторы в равной степени участвовали в подготовке публикации: разработка концепции статьи, получение и анализ фактических данных, написание и редактирование текста статьи, проверка и утверждение текста статьи.
Authors' contribution. The authors declare the compliance of their authorship according to the international ICMJE criteria. All authors made a substantial contribution to the conception of the work, acquisition, analysis, interpretation of data for the work, drafting and revising the work, final approval of the version to be published and agree to be accountable for all aspects of the work.
Источник финансирования. Авторы декларируют отсутствие внешнего финансирования для проведения исследования и публикации статьи.
Funding source. The authors declare that there is no external funding for the exploration and analysis work.
Информированное согласие на публикацию. Авторы получили письменное согласие пациента на анализ и публикацию медицинских данных и фотографий.
Consent for publication. Written consent was obtained from the patient for publication of relevant medical information and all of accompanying images within the manuscript.
Об авторах
Кристина Вахтанговна Чарая
Первый Московский государственный медицинский университет им. И.М. Сеченова Минздрава России (Сеченовский Университет)
Автор, ответственный за переписку.
Email: charaya9716@gmail.com
ORCID iD: 0000-0002-7071-5752
ассистент каф. кардиологии, функциональной и ультразвуковой диагностики
Россия, МоскваТамерлан Николаевич Эрдниев
Первый Московский государственный медицинский университет им. И.М. Сеченова Минздрава России (Сеченовский Университет)
Email: charaya9716@gmail.com
ORCID iD: 0000-0003-4253-1646
студент
Россия, МоскваГалина Дмитриевна Макаренко
Первый Московский государственный медицинский университет им. И.М. Сеченова Минздрава России (Сеченовский Университет)
Email: charaya9716@gmail.com
ORCID iD: 0009-0003-4567-4076
ординатор каф. кардиологии, функциональной и ультразвуковой диагностики
Россия, МоскваМария Игоревна Чашкина
Первый Московский государственный медицинский университет им. И.М. Сеченова Минздрава России (Сеченовский Университет)
Email: charaya9716@gmail.com
ORCID iD: 0000-0002-9593-6148
канд. мед. наук, доц. каф. кардиологии, функциональной и ультразвуковой диагностики
Россия, МоскваНана Автандиловна Гогиберидзе
Первый Московский государственный медицинский университет им. И.М. Сеченова Минздрава России (Сеченовский Университет)
Email: charaya9716@gmail.com
ассистент каф. кардиологии, функциональной и ультразвуковой диагностики
Россия, МоскваАнаит Шаликоевна Думикян
Первый Московский государственный медицинский университет им. И.М. Сеченова Минздрава России (Сеченовский Университет)
Email: charaya9716@gmail.com
ORCID iD: 0000-0002-7580-3401
канд. мед. наук, врач-кардиолог
Россия, МоскваДмитрий Юрьевич Щекочихин
Первый Московский государственный медицинский университет им. И.М. Сеченова Минздрава России (Сеченовский Университет)
Email: charaya9716@gmail.com
ORCID iD: 0000-0002-8209-2791
канд. мед. наук, доц. каф. кардиологии, функциональной и ультразвуковой диагностики
Россия, МоскваПётр Шалвович Чомахидзе
Первый Московский государственный медицинский университет им. И.М. Сеченова Минздрава России (Сеченовский Университет)
Email: charaya9716@gmail.com
ORCID iD: 0000-0003-1485-6072
д-р мед. наук, проф. каф. кардиологии, функциональной и ультразвуковой диагностики
Россия, МоскваМария Георгиевна Полтавская
Первый Московский государственный медицинский университет им. И.М. Сеченова Минздрава России (Сеченовский Университет)
Email: charaya9716@gmail.com
ORCID iD: 0000-0003-4463-2897
д-р мед. наук, проф. каф. кардиологии, функциональной и ультразвуковой диагностики
Россия, МоскваДенис Анатольевич Андреев
Первый Московский государственный медицинский университет им. И.М. Сеченова Минздрава России (Сеченовский Университет)
Email: charaya9716@gmail.com
ORCID iD: 0000-0002-0276-7374
д-р мед. наук, проф. каф. кардиологии, функциональной и ультразвуковой диагностики
Россия, МоскваСписок литературы
- Sagoe D, Molde H, Andreassen CS, et al. The global epidemiology of anabolic-androgenic steroid use: a meta-analysis and meta-regression analysis. Ann Epidemiol. 2014;24(5):383-98. doi: 10.1016/j.annepidem.2014.01.009
- Fadah K, Gopi G, Lingireddy A, et al. Anabolic androgenic steroids and cardiomyopathy: an update. Front Cardiovasc Med. 2023;10:1214374. doi: 10.3389/fcvm.2023.1214374
- Bond P, Smit DL, de Ronde W. Anabolic-androgenic steroids: How do they work and what are the risks? Front Endocrinol (Lausanne). 2022;13:1059473. doi: 10.3389/fendo.2022.1059473
- Parkinson AB, Evans NA. Anabolic androgenic steroids: a survey of 500 users. Med Sci Sports Exerc. 2006;38(4):644-51. doi: 10.1249/01.mss.0000210194.56834.5d
- Лихоносов Н.П., Бабенко А.Ю. Медицинский аспект использования анаболических андрогенных стероидов у мужчин, посещающих тренажерные залы Санкт-Петербурга. Проблемы эндокринологии. 2019;65(1):Art. no. 1. doi: 10.14341/probl9832
- Achar S, Rostamian A, Narayan SM. Cardiac and metabolic effects of anabolic-androgenic steroid abuse on lipids, blood pressure, left ventricular dimensions, and rhythm. Am J Cardiol. 2010;106(6):893-901. doi: 10.1016/j.amjcard.2010.05.013
- Sader MA, Griffiths KA, McCredie RJ, et al. Androgenic anabolic steroids and arterial structure and function in male bodybuilders. J Am Coll Cardiol. 2001;37(1):224-30. doi: 10.1016/s0735-1097(00)01083-4
- Dickerman RD, Schaller F, Zachariah NY, McConathy WJ. Left ventricular size and function in elite bodybuilders using anabolic steroids. Clin J Sport Med. 1997;7(2):90-3. doi: 10.1097/00042752-199704000-00003
- Smit DL, Voogel AJ, den Heijer M, de Ronde W. Anabolic Androgenic Steroids Induce Reversible Left Ventricular Hypertrophy and Cardiac Dysfunction. Echocardiography Results of the HAARLEM Study. Front Reprod Health. 2021;3:732318. doi: 10.3389/frph.2021.732318
- Bergink EW, Geelen JA, Turpijn EW. Metabolism and receptor binding of nandrolone and testosterone under in vitro and in vivo conditions. Acta Endocrinol Suppl (Copenh). 1985;271:31-7. doi: 10.1530/acta.0.109s0031
- Sharma S. Athlete’s heart – effect of age, sex, ethnicity and sporting discipline. Exp Physiol. 2003;88(5):665-9. doi: 10.1113/eph8802624
- Nottin S, NguyenL-D, Terbah M, Obert P. Cardiovascular effects of androgenic anabolic steroids in male bodybuilders determined by tissue Doppler imaging. Am J Cardiol. 2006;97(6):912-5. doi: 10.1016/j.amjcard.2005.10.026
- Krieg A, Scharhag J, Albers T, et al. Cardiac tissue Doppler in steroid users. Int J Sports Med. 2007;28(8):638-43. doi: 10.1055/s-2007-964848
- Baggish AL, Weiner RB, Kanayama G, et al. Cardiovascular Toxicity of Illicit Anabolic-Androgenic Steroid Use. Circulation. 2017;135(21):1991-2002. doi: 10.1161/CIRCULATIONAHA.116.026945
- Luijkx T, Velthuis BK, Backx FJ, et al. Anabolic androgenic steroid use is associated with ventricular dysfunction on cardiac MRI in strength trained athletes. Int J Cardiol. 2013;167(3):664-8. doi: 10.1016/j.ijcard.2012.03.072
- Søndergaard EB, Thune JJ, Gustafsson F. Characteristics and outcome of patients with heart failure due to anabolic-androgenic steroids. Scand Cardiovasc J. 2014;48(6):339-42. doi: 10.3109/14017431.2014.976837
- Santora LJ, Marin J, Vangrow J, et al. Coronary calcification in body builders using anabolic steroids. Prev Cardiol. 2006;9(4):198-201. doi: 10.1111/j.1559-4564.2006.05210.x
- Montisci M, El Mazloum R, Cecchetto G, et al. Anabolic androgenic steroids abuse and cardiac death in athletes: morphological and toxicological findings in four fatal cases. Forensic Sci Int. 2012;217(1-3):e13-8. doi: 10.1016/j.forsciint.2011.10.032 d
- Fineschi V, Riezzo I, Centini F, et al. Sudden cardiac death during anabolic steroid abuse: morphologic and toxicologic findings in two fatal cases of bodybuilders. Int J Legal Med. 2007;121(1):48-53. doi: 10.1007/s00414-005-0055-9
- López B, González A, Ravassa S, et al. Circulating Biomarkers of Myocardial Fibrosis: The Need for a Reappraisal. J Am Coll Cardiol. 2015;65(22):2449-56. doi: 10.1016/j.jacc.2015.04.026
Дополнительные файлы








