Experience with the long-term use of interferons β in the treatment of relapsing-remitting multiple sclerosis. Case report
- Authors: Simaniv T.O.1, Belkina A.A.1, Zakharova M.N.1
-
Affiliations:
- Research Center of Neurology
- Issue: Vol 26, No 11 (2024): NEUROLOGY AND RHEUMATOLOGY
- Pages: 752-758
- Section: Articles
- Published: 16.12.2024
- URL: https://consilium.orscience.ru/2075-1753/article/view/642887
- DOI: https://doi.org/10.26442/20751753.2024.11.203057
- ID: 642887
Cite item
Full Text
Abstract
Current approaches to treating multiple sclerosis aim at controlling disease activity. Despite the variety of agents that have proven their effectiveness and were introduced in practice in the last decade, the use of the interferon β group remains relevant. The article presents clinical cases of long-term use of interferons β in treating multiple sclerosis.
Full Text
Введение
Рассеянный склероз (РС) – наиболее частое хроническое демиелинизирующее иммуноопосредованное заболевание центральной нервной системы, является ведущей причиной нетравматической инвалидизации лиц молодого трудоспособного возраста [1]. Традиционно выделяют три типа течения этого заболевания:
- ремиттирующее (РРС), с чередованием обострений с полным или частичным восстановлением и ремиссий;
- вторично-прогрессирующее (ВПРС), когда после РРС наблюдается прогрессирование неврологического дефицита независимо от обострений;
- первично-прогрессирующее, когда нарастание неврологического дефицита начинается с дебюта заболевания, обострения при этом чаще всего отсутствуют [2].
В большинстве случаев (около 85%) заболевание носит ремиттирующий характер, и одна из целей лечения РС – предотвратить переход в ВПРС [3].
Стратегии терапии РС
В настоящее время имеется большое количество подходов, которые могут повлиять на течение заболевания, в первую очередь РРС, и снизить его активность [4]. Первыми препаратами, изменяющими течение РС (ПИТРС), которые показали эффективность в отношении снижения частоты обострений, стали препараты интерферонов β-1b (ИФНβ-1b) в 1993 г. [5]. В настоящее время в Российской Федерации зарегистрировано более 15 ПИТРС, отличающихся механизмом действия, способом и кратностью введения, профилями эффективности и безопасности [6]. Однако, несмотря на это, продолжается непрерывный поиск новых терапевтических опций для лечения РС [7]. Современной идеальной целью терапии РС является достижение статуса No Evidence of Disease Activity (NEDA; «нет данных за активность заболевания»): отсутствие клинических обострений, отсутствие прогрессирования, определяемого как стабильный балл по расширенной шкале статуса инвалидизации (Expanded Disability Status Scale – EDSS), отсутствие новых или увеличивающихся, или накапливающих контрастное вещество очагов по данным магнитно-резонансной томографии (МРТ) [8].
По эффективности ПИТРС традиционно классифицируют по линиям терапии, хотя в настоящее время этот подход пересматривается.
К препаратам с умеренной эффективностью (1-я линия терапии) относят ИФНβ-1а для подкожного и внутримышечного введения, ИФНβ-1b для подкожного введения, пегилированные ИФНβ-1а (пэгинтерферон β-1а и сампэгинтерферон β-1а), глатирамера ацетат, терифлуномид и диметилфумарат.
К препаратам с высокой эффективностью (2-я линия терапии) относят модуляторы сфингозин-1-фосфатных рецепторов (финголимод, сипонимод, озанимод), моноклональные антитела к CD20-рецептору лимфоцитов (окрелизумаб, офатумумаб, дивозилимаб), к субъединице α4 молекулы клеточной адгезии VLA-4 (натализумаб), к CD52-рецептору лимфоцитов (алемтузумаб), кладрибин, являющийся антиметаболитом – аналогом аденозина, и цитостатический препарат митоксантрон (применяется вне зарегистрированных показаний off-label) [9, 10].
Согласно клиническим рекомендациям по РС, пациентам без признаков высокой активности заболевания 1 терапию следует начинать с препаратов 1-й линии. В том случае, если имеются признаки высокой активности РС или отсутствует ответ на терапию 1-й линии, следует использовать ПИТРС 2-й линии [11].
Роль интерферонов β в лечении РС
Согласно данным национальных регистров, высокая активность РРС встречается нечасто (5,7–8,5% всех случаев), поэтому применение ПИТРС 1-й линии остается широко распространенным и является оптимальным у пациентов с умеренной активностью заболевания [12, 13]. К преимуществам этой группы препаратов относятся известный и благоприятный профиль безопасности, возможность самостоятельного применения без посещения клиники и достаточно простой мониторинг клинического наблюдения [14]. Кроме того, препараты ИФНβ и глатирамера ацетата безопасны в отношении развития плода и могут применяться пациентками во время беременности, в том числе ранее получавшими другие ПИТРС [15].
Механизм действия ИФНβ заключается в связывании со специфическими рецепторами, что приводит к запуску антипролиферативных и иммуномодулирующих реакций, которые вызывают снижение экспрессии главного комплекса гистосовместимости класса II и колониестимулирующих факторов. Это, в свою очередь, приводит к снижению уровня презентации антигенов, снижению экспрессии провоспалительных цитокинов, ингибированию активации СD4+ Т-лимфоцитов и индукции интерлейкина-10, который изменяет дифференцировку CD4+ Т-клеток в сторону противовоспалительного Th2-фенотипа и ограничивает Т-клеточную миграцию, а также стабилизирует гематоэнцефалический барьер за счет снижения уровня молекул адгезии и матриксной металлопротеиназы 9. Кроме того, ИФНβ активируют транспортные белки и белки цитоскелета, поддерживают пролиферацию и дифференцировку клеток предшественников нейронов, олигодендроцитов и астроцитов, повреждают паттерн экспрессии микроРНК и участвуют в регуляции пути метаболизма витамина D [16–18]. Благодаря множественным механизмам действие ИФНβ развивается очень быстро и ожидаемый эффект от терапии наступает уже через 3–6 мес от начала лечения [19].
Препарат ИФНβ-1b для подкожного введения доказал свою эффективность в многоцентровом рандомизированном плацебо-контролируемом исследовании, в котором приняли участие 468 пациентов. У пациентов в группе ИФНβ-1b достоверно увеличилось время ремиссии, на 50% уменьшилось число больных с выраженными обострениями. Снижение частоты обострений составило, по сравнению с плацебо, 31%. На МРТ эффект проявился в снижении общего объема очагов на Т2-изображении и количества активных очагов, накапливающих контраст на Т1-изображении [5]. Исследование ИФНβ-1а для подкожного введения завершено спустя 5 лет после ИФНβ-1b и проведено при участии 560 больных из 22 клиник в разных странах. Исследовались дозы 22 мкг и 44 мкг, клинические эффекты достигнуты в обоих случаях. Однако для 44 мкг они были более выраженными. Число обострений снизилось на 27 и 33% соответственно. Достоверно снизилась частота тяжелых обострений, а также активность процесса по данным МРТ [20]. Долгосрочные продолженные наблюдательные исследования достоверно подтверждают замедление трансформации РРС в ВПРС на фоне терапии ИФНβ-1b и -1а [21, 22].
Эффективность долгосрочной терапии ИФНβ-1b продемонстрирована и в отношении клинически изолированного синдрома – первого клинического эпизода демиелинизации, не удовлетворяющего диагностическим критериям РС. В исследовании BENEFIT пациенты с клинически изолированным синдромом получали ИФНβ-1b (группа раннего начала терапии) или плацебо (группа отсроченного начала терапии). Через 2 года после трансформации в клинически достоверный РС все пациенты получали ИФНβ-1b. За 15 лет наблюдения 169 (67,6%) пациентов в группе раннего лечения и 118 (73,5%) пациентов в группе отсроченного лечения перешли в стадию клинически достоверного РС. Риск перехода в клинически достоверный РС на 30,5% был ниже в группе раннего начала терапии (p=0,0029). На 15-м году наблюдения средний балл EDSS в группах раннего лечения и отсроченного лечения составил 2,55 и 2,43 соответственно. Большинство пациентов в обеих группах лечения имели минимальную инвалидность (по EDSS≤2,5 балла). Большинство (66,3%) были трудоустроены на 15-м году и не брали выходные на работе за последние 12 мес из-за РС независимо от того, находились они в группе раннего лечения или отсроченного лечения первоначальной когорты. Раннее начало терапии ИФНβ-1b оказывало благоприятное влияние не только на активность заболевания, но и на когнитивные функции, оцениваемые по шкале PASAT-3 (Paced Auditory Serial Addition Test). Увеличение показателей PASAT-3 от исходного уровня до 15-го года терапии оставалось высоким у пациентов с ранним началом лечения по сравнению с пациентами с отсроченным лечением (p=0,0036) [23].
В Российской Федерации широкое использование получил первый биоаналог отечественного производства ИФНβ-1b (Инфибета®, АО «Генериум»). В 2010–2011 гг. проведено сравнительное клиническое исследование, которое продемонстрировало сопоставимые результаты эффективности и безопасности в сравнении с референтным препаратом [24]. С 2011 г. данный препарат используется в рутинной клинической практике и демонстрирует достоверное снижение частоты обострений через 1 год от начала применения терапии, а также стабилизацию в отношении инвалидизации на долгосрочном этапе наблюдения свыше 8 лет. Проанализированы случаи 332 пациентов с диагнозом РС, получавших терапию ИФНβ-1b (Инфибета®) в течение не менее 8 лет (средний возраст 48,7±10,2 года). Большинство (73,2%) пациентов, длительно применявших препарат Инфибета®, получали ИФНβ-1b в качестве 1-го ПИТРС. За 8 лет наблюдения только 2 (0,01%) пациента с РРС на момент включения перешли в ВПРС на фоне терапии ИФНβ-1b. Доля пациентов без обострений выросла с 66% в 1-й год после начала лечения до 80% в последующее время наблюдения. Через 8 лет лечения препаратом Инфибета® 86,9% пациентов с РРС не испытывали обострений. У 42% пациентов с РРС средний балл по шкале EDSS за 8 лет не изменился. Нарастание общего балла по шкале EDSS в группе РРС в течение 8 лет составило 1 балл (с 2,5 до 3,5 балла) [25, 26].
Рассмотрим три клинических случая пациентов с РРС из практики ФГБНУ «Научный центр неврологии».
Клинический случай 1
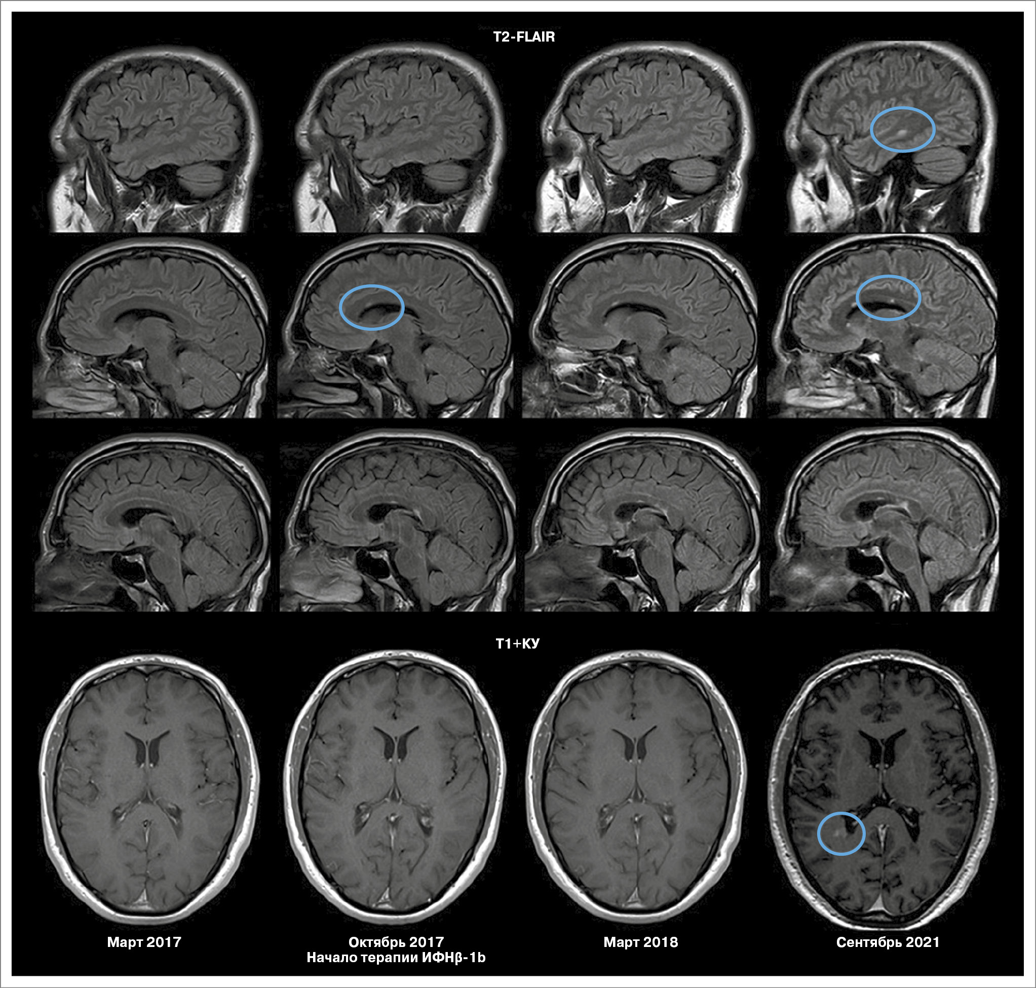
Пациент Д., мужчина, 1986 г.р. Дебют заболевания в 2017 г. (возраст 30 лет), когда появилось двоение в глазах, головокружение, слабость в левой ноге. По данным МРТ головного мозга: множественные очаги в белом веществе головного мозга – перивентрикулярные, в том числе в мозолистом теле, юкстакортикальные в мозжечке (рис. 1) и шейном отделе спинного мозга.
Рис. 1. МРТ пациента Д. (клинический случай 1).
Неврологический статус
Черепные нервы (ЧН): движения глазных яблок не доводит до наружных спаек. Нистагм горизонтальный в крайних отведениях. Лицо симметрично. Глотание и фонация не нарушены. Язык по средней линии. Нижний парапарез, справа 4 балла проксимально, слева 3 балла проксимально. Мышечный тонус не изменен. Клонуса стоп нет. Пальценосовую и пяточно-коленную пробы выполняет с интенционным тремором и дисметрией. Неустойчив в пробе Ромберга. Походка паретико-атаксическая, опорой не пользуется. Сухожильные и периостальные рефлексы в руках и в ногах высокие, акцент слева. Патологические рефлексы Бабинского с двух сторон. Рефлексов орального автоматизма нет. Легкая гипестезия в стопах, парестезии в них. Тазовые функции контролирует. EDSS – 3,5 балла.
Выполнено исследование сыворотки и ликвора на олигоклональные антитела, тип синтеза 2. Поставлен диагноз «РС, ремиттирующее течение».
Проведена пульс-терапия метилпреднизолоном в курсовой дозе 6 г с положительным эффектом, зарегистрировано снижение балла EDSS до 2,5. Назначен ПИТРС ИНФβ-1b (Инфибета®, АО «Генериум») 9,6 млн МЕ подкожно через день. На фоне 7 лет терапии препаратом Инфибета® клинических обострений не зарегистрировано. Отмечалась активность по данным МРТ в виде появления нового очага перивентрикулярно в течение первых 6 мес от начала терапии и в 2021 г. – появление очага перивентрикулярно, накапливающего контрастное вещество (см. рис. 1). С пациентом обсуждалась возможность замены терапии на другой ПИТРС. Однако он принял решение продолжить лечение ИФНβ-1b. При повторных исследованиях до 2024 г. радиологическая активность отсутствует, EDSS остается стабильным – 2,0 балла.
Клинический случай 2
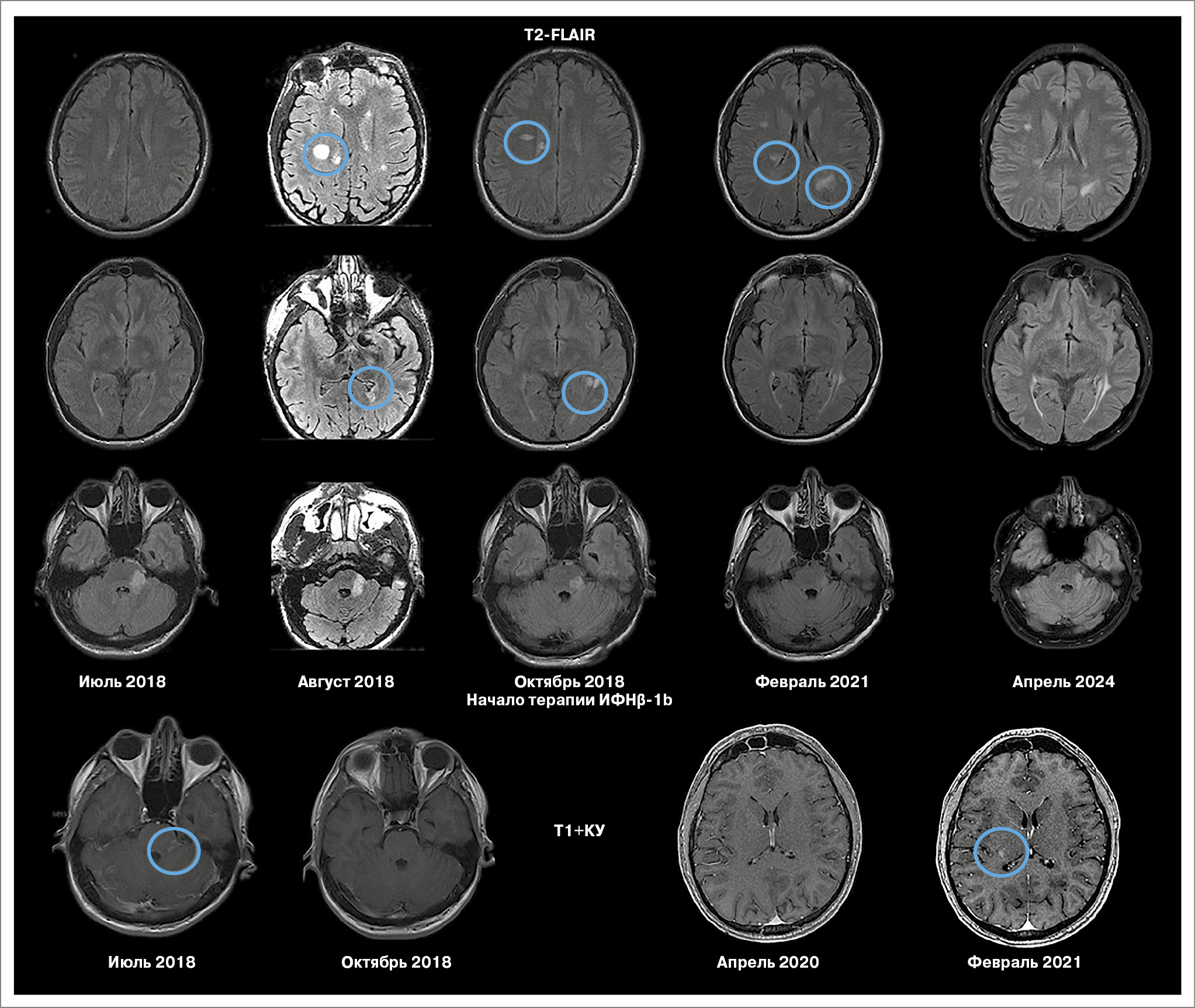
Пациент Ш., мужчина, 1990 г.р. Дебют заболевания в июле 2018 г. (возраст 28 лет), когда резко возникло головокружение системного характера, шаткость при ходьбе, подобный эпизод повторился на следующий день. Через несколько дней появилось онемение правой половины тела. По данным МРТ головного мозга выявлено образование в левой средней ножке мозжечка, левой половине моста, частично накапливало контрастное вещество, подозрение на глиому левой средней ножки мозжечка. Консультирован в ФГАУ «НМИЦ нейрохирургии им. акад. Н.Н. Бурденко» и ГБУЗ «НИИ СП им. Н.В. Склифосовского». При выполнении МРТ головного мозга в динамике через 1 мес выявлены 2 новых очага в мозолистом теле и перивентрикулярно (рис. 2). По данным МР-спектроскопии убедительных данных за наличие опухолевого процесса не получено. Присоединились жалобы на дискоординацию в правых руке и ноге.
Рис. 2. МРТ пациента Ш. (клинический случай 2).
Неврологический статус
ЧН: движения глазных яблок в полном объеме. Нистагм среднеамплитудный горизонтальный с ротаторным компонентом. Конвергенция ослаблена. Лицо симметрично. Глотание и фонация не нарушены. Элементы скандированной речи. Язык по средней линии. Легкий правосторонний гемипарез до 4 баллов. Мышечный тонус снижен. Клонуса стоп нет. Координаторные пробы выполняет с интенционным тремором и дисметрией, хуже справа. Не стоит в пробе Ромберга. Походка атаксическая, опорой не пользуется. Сухожильные и периостальные рефлексы оживленные, D=S. Патологические рефлексы Бабинского с двух сторон. Рефлексов орального автоматизма нет. Чувствительность изменена по мозаичному типу. Корешковых синдромов нет. Тазовые функции контролирует. EDSS – 3,0 балла.
Выполнено исследование сыворотки и ликвора на олигоклональные антитела, тип синтеза 2. Поставлен диагноз «РС, ремиттирующее течение, псевдотуморозная форма».
Проведена пульс-терапия метилпреднизолоном в курсовой дозе 6 г с положительным эффектом, зарегистрировано снижение балла EDSS до 2,0. Назначен ПИТРС ИФНβ-1b (Инфибета®, АО «Генериум») 9,6 млн МЕ подкожно через день. В первые 2 мес пациент отмечал частое развитие гриппоподобного синдрома с повышением температуры до 39,2°С, слабостью, мышечной и суставной болью, периодическим онемением в правой ноге. В дальнейшем данные нежелательные реакции не наблюдались. На фоне 6-летней терапии клинических обострений не зарегистрировано. С середины декабря 2020 по январь 2021 г. в связи с задержками поставок препарата был вынужденный перерыв в лечении. Возобновление применения препарата осуществлялось с титрацией дозы. По данным МРТ головного мозга (февраль 2021 г.): отрицательная динамика в виде появления очага на границе таламуса и задних отделов наружной капсулы, накапливающего контраст (см. рис. 2). При повторных исследованиях до 2024 г. радиологическая активность отсутствует, EDSS остается стабильным – 1,5 балла.
Клинический случай 3
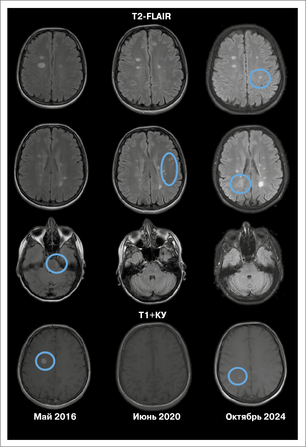
Пациентка М., женщина, 1991 г.р. Дебют заболевания в 2015 г. (возраст 24 года), когда появилось онемение в стопах, спустя несколько дней онемение распространилось полностью на ноги и нижнюю часть живота. По данным МРТ головного мозга: множественные очаги в белом веществе головного мозга (перивентрикулярные, юкстакортикальные, в том числе с накоплением контрастного вещества одним очагом), в левой половине моста (рис. 3), а также в грудном отделе спинного мозга на уровне ThV–ThVI.
Рис. 3. МРТ пациентки М. на фоне терапии ИФНβ-1b с 2015 г. (клинический случай 3).
Неврологический статус
ЧН: движения глазных яблок в полном объеме. Нистагма нет. Лицо симметрично. Глотание и фонация не нарушены. Язык по средней линии. Легкий правосторонний гемипарез до 4 баллов. Мышечный тонус не изменен. Клонуса стоп нет. Пальценосовую и пяточно-коленную пробы выполняет удовлетворительно. Устойчива в пробе Ромберга. Походка не изменена, опорой не пользуется. Сухожильные и периостальные рефлексы в руках и ногах высокие, акцент справа. Патологический рефлекс Бабинского справа. Рефлексов орального автоматизма нет. Умеренное снижение чувствительности по проводниковому типу с уровня ThVIII. Тазовые функции контролирует. EDSS – 3,5 балла.
Выполнено исследование сыворотки и ликвора на олигоклональные антитела, тип синтеза 2. Поставлен диагноз «РС, ремиттирующее течение».
Проведена пульс-терапия метилпреднизолоном в курсовой дозе 3 г с положительным эффектом, зарегистрировано снижение балла EDSS до 2,0. Назначен ПИТРС ИФНβ-1b (Инфибета®, АО «Генериум») 9,6 млн МЕ подкожно через день. На фоне лечения (8 лет терапии) клинических обострений не зарегистрировано. Отмечалась активность по данным МРТ в виде появления новых очагов перивентрикулярно в течение первых 6 мес от начала терапии. В 2023 г. на фоне терапии наступила беременность, протекала без осложнений, завершена естественными родами без осложнений. После родоразрешения пациентка продолжила прием препарата. В 2024 г. появились перивентрикулярные очаги, один из которых накапливал контрастное вещество (см. рис. 3). В настоящее время пациенткой принято решение также продолжать лечение ИФНβ-1b. EDSS остается стабильным – 1,5 балла.
Обсуждение
Описанные клинические случаи подтверждают долгосрочную эффективность и благоприятный профиль применения ИФНβ-1b. Выбор в пользу ИФНβ-1b сделан на основании клинической картины заболевания: полисимптомное инвалидизирующее течение в дебюте, в том числе псевдотуморозная форма в случае 2, вовлечение спинного мозга (в случаях 1 и 3). При этом раннее начало терапии после первого обострения позволило предотвратить клиническую активность заболевания на долгосрочный период (6–8 лет). Минимальная радиологическая активность наблюдалась во всех трех случаях, но в двух из них ассоциирована с внешними причинами: приостановка терапии и послеродовый период. Случай 3 представляет интерес с точки зрения планирования семьи на фоне РС: терапия проводилась непрерывно на всем протяжении беременности и в послеродовом периоде.
Заключение
Выбор ПИТРС необходимо проводить на основании клинических рекомендаций. Однако в каждом конкретном случае необходимо учитывать индивидуальные особенности пациента и клинического течения РС. Результаты клинических исследований подтверждаются реальной клинической практикой: длительное применение ИФНβ демонстрирует долгосрочный стойкий положительный эффект в отношении активности заболевания при раннем начале терапии РС. Данный препарат может быть рекомендован пациентам с полисимптомным дебютом, когда требуется быстро взять заболевание под контроль, и пациенткам, которые планируют беременность. Применение ИФНβ-1b разрешено как во время беременности и ее планирования, так и в период грудного вскармливания [27, 28]. Пациентам с РС даже при наличии стабильного клинического состояния необходимо проводить динамическое наблюдение с целью оценки эффективности, безопасности и приверженности лечению. Только в этом случае терапия будет максимально результативной.
Раскрытие интересов. Авторы декларируют отсутствие явных и потенциальных конфликтов интересов, связанных с публикацией настоящей статьи.
Disclosure of interest. The authors declare that they have no competing interests.
Вклад авторов. Авторы декларируют соответствие своего авторства международным критериям ICMJE. Все авторы в равной степени участвовали в подготовке публикации: разработка концепции статьи, получение и анализ фактических данных, написание и редактирование текста статьи, проверка и утверждение текста статьи.
Authors’ contribution. The authors declare the compliance of their authorship according to the international ICMJE criteria. All authors made a substantial contribution to the conception of the work, acquisition, analysis, interpretation of data for the work, drafting and revising the work, final approval of the version to be published and agree to be accountable for all aspects of the work.
Источник финансирования. Материал подготовлен при финансовой поддержке компании АО «Генериум». При подготовке рукописи авторы сохранили независимость мнений.
Funding source. This study was supported by Generium JSC. During the preparation of the manuscript, the authors maintained their independence of opinion.
Информированное согласие на публикацию. Пациенты подписали форму добровольного информированного согласия на публикацию медицинской информации.
Consent for publication. Written consent was obtained from the patients for publication of relevant medical information and all of accompanying images within the manuscript.
1 Два или более обострения с подтвержденным усилением инвалидизации и выявлением одного или более контрастируемого очага на Т1-ВИ или увеличением количества очагов на Т2-ВИ по данным МРТ головного и/или спинного мозга в сравнении с предшествующим исследованием за последний год.
About the authors
Taras O. Simaniv
Research Center of Neurology
Author for correspondence.
Email: tarassimaniv@gmail.com
ORCID iD: 0000-0001-7256-2668
Cand. Sci. (Med.)
Russian Federation, MoscowAnna A. Belkina
Research Center of Neurology
Email: tarassimaniv@gmail.com
ORCID iD: 0000-0001-9444-0960
neurologist
Russian Federation, MoscowMariya N. Zakharova
Research Center of Neurology
Email: tarassimaniv@gmail.com
ORCID iD: 0000-0002-1072-9968
D. Sci. (Med.)
Russian Federation, MoscowReferences
- Reich DS, Lucchinetti CF, Calabresi PA. Multiple Sclerosis. N Engl J Med. 2018;378(2):169-80. doi: 10.1056/NEJMra1401483
- Lublin FD, Reingold SC, Cohen JA, et al. Defining the clinical course of multiple sclerosis: the 2013 revisions. Neurology. 2014;83(3):278-86. doi: 10.1212/WNL.0000000000000560
- Tintore M, Vidal-Jordana A, Sastre-Garriga J. Treatment of multiple sclerosis – success from bench to bedside. Nat Rev Neurol. 2019;15(1):53-8. doi: 10.1038/s41582-018-0082-z
- McGinley MP, Goldschmidt CH, Rae-Grant AD. Diagnosis and Treatment of Multiple Sclerosis: A Review. JAMA. 2021;325(8):765-79. doi: 10.1001/jama.2020.26858
- Interferon beta-1b is effective in relapsing-remitting multiple sclerosis. I. Clinical results of a multicenter, randomized, double-blind, placebo-controlled trial. The IFNB Multiple Sclerosis Study Group. Neurology. 1993;43(4):655-61. doi: 10.1212/wnl.43.4.655
- Гусев Е.И., Бойко А.Н. Рассеянный склероз. Научно-практическое руководство. Монография в 2 тт. М.: РООИ Здоровье человека, 2020 [Gusev EI, Boiko AN. Rasseiannyi skleroz. Nauchno-prakticheskoe rukovodstvo. Monografiia v 2 tt. Moscow: ROOI Zdorov'e cheloveka, 2020 (in Russian)].
- Bierhansl L, Hartung HP, Aktas O, et al. Thinking outside the box: non-canonical targets in multiple sclerosis. Nat Rev Drug Discov. 2022;21(8):578-600. doi: 10.1038/s41573-022-00477-5
- Newsome SD, Binns C, Kaunzner UW, et al. No Evidence of Disease Activity (NEDA) as a Clinical Assessment Tool for Multiple Sclerosis: Clinician and Patient Perspectives [Narrative Review]. Neurol Ther. 2023;12(6):1909-35. doi: 10.1007/s40120-023-00549-7
- Журавлева М.В., Давыдовская М.В., Лучинина Е.В., и др. Сравнение клинических преимуществ препаратов второй линии, изменяющих течение рассеянного склероза. Журнал неврологии и психиатрии им. С.С. Корсакова. 2020;120(8):148-53 [Zhuravleva MV, Davydovskaya MV, Luchinina EV, et al. Comparison of the clinical benefits of second-line drugs modifying the course of multiple sclerosis. S.S. Korsakov Journal of Neurology and Psychiatry. 2020;120(8):148-53 (in Russian)]. doi: 10.17116/jnevro2020120081148
- Yang JH, Rempe T, Whitmire N, et al. Therapeutic Advances in Multiple Sclerosis. Front Neurol. 2022;13:824926. doi: 10.3389/fneur.2022.824926
- Рассеянный склероз. Клинические рекомендации. 2022. Режим доступа: https://cr.minzdrav.gov.ru/schema/739_1/ Ссылка активна на 10.11.2024 [Rasseiannyi skleroz. Klinicheskie rekomendatsii. 2022. Available at: https://cr.minzdrav.gov.ru/schema/739_1/ Accessed: 10.11.2024 (in Russian)].
- Laakso SM, Viitala M, Kuusisto H, et al. Multiple sclerosis in Finland 2018-Data from the national register. Acta Neurol Scand. 2019;140(5):303-11. doi: 10.1111/ane.13145
- Ohlmeier C, Gothe H, Haas J, et al. Epidemiology, characteristics and treatment of patients with relapsing remitting multiple sclerosis and incidence of high disease activity: Real world evidence based on German claims data. PLoS One. 2020;15(5):e0231846. doi: 10.1371/journal.pone.0231846
- Wingerchuk DM, Carter JL. Multiple sclerosis: current and emerging disease-modifying therapies and treatment strategies. Mayo Clin Proc. 2014;89(2):225-40. doi: 10.1016/j.mayocp.2013.11.002
- Hellwig K, Thiel S, Haben S, et al. Glatiramer acetate or IFN-β bridging therapy in women with relapsing multiple sclerosis planning a pregnancy. Neurodegener Dis Manag. 2023;13(4):223-34. doi: 10.2217/nmt-2022-0032
- Jakimovski D, Kolb C, Ramanathan M, et al. Interferon β for Multiple Sclerosis. Cold Spring Harb Perspect Med. 2018;8(11):a032003. doi: 10.1101/cshperspect.a032003
- Dhib-Jalbut S, Marks S. Interferon-beta mechanisms of action in multiple sclerosis. Neurology. 2010;74(Suppl. 1):S17-24. doi: 10.1212/WNL.0b013e3181c97d99
- Hojati Z, Kay M, Dehghanian F. Mechanism of Action of Interferon Beta in Treatment of Multiple Sclerosis. In: Multiple Sclerosis. 2016; p. 365-92. doi: 10.1016/b978-0-12-800763-1.00015-4
- Giovannoni G, Turner B, Gnanapavan S, et al. Is it time to target no evident disease activity (NEDA) in multiple sclerosis? Mult Scler Relat Disord. 2015;4(4):329-33. doi: 10.1016/j.msard.2015.04.006
- Ebers GC. Randomised double-blind placebo-controlled study of interferon β-1a in relapsing/ remitting multiple sclerosis. Lancet. 1998;352(9139):1498-504. doi: 10.1016/S0140-6736(98)03334-0
- Zettl UK, Rommer PS, Aktas O, et al. Interferon beta-1a sc at 25 years: a mainstay in the treatment of multiple sclerosis over the period of one generation. Expert Rev Clin Immunol. 2023;19(11):1343-59. doi: 10.1080/1744666X.2023.2248391
- Claflin SB, Tan B, Taylor BV. The long-term effects of disease modifying therapies on disability in people living with multiple sclerosis: A systematic review and meta-analysis. Mult Scler Relat Disord. 2019;36:101374. doi: 10.1016/j.msard.2019.08.016
- Kappos L, Edan G, Freedman MS, et al.; BENEFIT and BENEFIT 15 Study Groups. Long-term clinical outcomes in patients with CIS treated with interferon beta-1b: results from the 15-year follow up of the BENEFIT trial. J Neurol. 2024;271(7):4599-609. doi: 10.1007/s00415-024-12417-x
- Попова Е.В., Бойко А.Н., Васильев А.В., и др. Результаты сравнительного клинического исследования российского биоаналога – интерферона-1b (инфибета). Журнал неврологии и психиатрии им. С.С. Корсакова. 2012;112(5):56-61 [Popova EV, Boiko AN, Vasil'ev AV, et al. Results of a comparative clinical trial of the Russian – interferon-1b bioanalogue (infibeta). S.S. Korsakov Journal of Neurology and Psychiatry. 2012;112(5):56-61 (in Russian)].
- Попова Е.В., Бойко А.Н., Давыдовская М.В., и др. Опыт применения российского биоаналога интерферона бета-1b (инфибета) в Московском городском центре рассеянного склероза. Журнал неврологии и психиатрии им. С.С. Корсакова. Спецвыпуски. 2013;113(10-2):93-6 [Popova EV, Boiko AN, Davydovskaya MV, et al. The first experience of the use the Russian interferon-1b biosimilar (infibeta) in the daily practice of the Moscow Center of Multiple Sclerosis. S.S. Korsakov Journal of Neurology and Psychiatry. 2013;113(10-2):93-6 (in Russian)].
- Коробко Д.С., Барабанова М.А., Бахтиярова К.З., и др. Долгосрочная терапия рассеянного склероза интерфероном бета-1b. Результаты ретроспективного открытого наблюдательного исследования. Журнал неврологии и психиатрии им. С.С. Корсакова. Спецвыпуски. 2022;122(7-2):96-103 [Korobko DS, Barabanova MA, Bakhtiyarova KZ, et al. Long-term treatment for multiple sclerosis with interferon beta-1b. Outcomes of an open, retrospective, observational study. S.S. Korsakov Journal of Neurology and Psychiatry. 2022;122(7-2):96-103 (in Russian)]. doi: 10.17116/jnevro202212207296
- Dobson R, Dassan P, Roberts M, et al. UK consensus on pregnancy in multiple sclerosis: 'Association of British Neurologists' guidelines. Pract Neurol. 2019;19(2):106-14. doi: 10.1136/practneurol-2018-002060
- Hellwig K, Duarte Caron F, Wicklein EM, et al. Pregnancy outcomes from the global pharmacovigilance database on interferon beta-1b exposure. Ther Adv Neurol Disord. 2020;13:1756286420910310. doi: 10.1177/1756286420910310
Supplementary files






