Paraneoplastic limbic encephalitis in a patient with small cell lung cancer. Case report
- Authors: Ognerubov N.A.1, Mirsalimova O.O.2, Zemur M.A.3
-
Affiliations:
- Russian Medical Academy of Continuous Professional Education
- Federal Network of Nuclear Medicine Centers “PET-Technology”
- PET-Technology Oncoradiology Center
- Issue: Vol 26, No 12 (2024): Коморбидность в клинике внутренних болезней
- Pages: 879-885
- Section: Articles
- Published: 18.12.2024
- URL: https://consilium.orscience.ru/2075-1753/article/view/646276
- DOI: https://doi.org/10.26442/20751753.2024.12.203050
- ID: 646276
Cite item
Full Text
Abstract
Paraneoplastic limbic encephalitis (PLE) is a rare autoimmune neurological syndrome caused by selective involvement of the limbic system with the development of neuropsychiatric symptoms and cognitive impairment. PLE is associated with malignancies. We observed PLE in a patient with small cell lung cancer (SCLC). Patient B. complained of severe weakness, headache attacks, irritability, memory loss, and cramps in the muscles of the limbs for 2 months. Contrast-enhanced magnetic resonance imaging of the brain showed signs of PLE. Anti-neuronal antibodies were detected in the blood serum: anti-Hu, anti-CV2 and anti-Ma2, anti-amphiphysin. In the cerebrospinal fluid, anti-Hu antibodies, lymphocytosis of 88%, and increased protein of 0.6 g/L were found. The patient was consulted by a neurologist and diagnosed with PLE. No treatment was administered. After 2 months, the patient reported a significant deterioration. Memory impairment progressed, convulsive seizures with short-term loss of consciousness became more frequent, and the patient became aggressive and withdrawn. Positron emission tomography combined with computed tomography with 18F-fluorodeoxyglucose was performed. There was an excessive radiopharmaceutical uptake in a limited area of the medial parts of the left temporal lobe. A tumor was detected in the upper lobe of the right lung. A bronchoscopy with biopsy was performed. Histological examination showed SCLC. Clinical diagnosis: SCLC of the right lung, stage IIb cT2bN1M0; PLE. Cytotoxic and immunotherapy were administered. The case shows that PLE is a rare neurological syndrome associated in most cases with SCLC, usually in the early stages of the malignancy. Neuropsychiatric and cognitive disorders and seizures are predominant in clinical presentation. PLE neuroimaging is performed using contrast-enhanced magnetic resonance imaging and positron emission tomography combined with computed tomography with 18F-fluorodeoxyglucose, the latter being the method of choice. The presence of antineuronal antibodies in serum and cerebrospinal fluid confirms the autoimmune (paraneoplastic) nature of the process.
Full Text
Введение
Рак легких в структуре заболеваемости и смертности в мире, по данным GLOBOCAN (2022 г.), занимает 1-е место, составляя 2 480 675 новых случаев и 1 817 469 смертей. В Российской Федерации на долю рака легкого приходится 3-е место по заболеваемости и 1-е по смертности – 70 362 и 51 887 больных соответственно [1].
Паранеопластический лимбический энцефалит (ПЛЭ) – редкий аутоиммунный неврологический синдром, ассоциированный с раком, характеризующийся аутоиммунным воспалением с избирательным поражением лимбической структуры мозга, включая медиальные отделы височных долей, гиппокамп, миндалевидное тело, опоясывающую извилину и гипоталамус [2, 3].
В настоящее время в клинической практике аутоиммунный энцефалит становится все более распространенным заболеванием [4, 5].
ПЛЭ с неврологическим синдромом встречается менее чем у 1 из 10 тыс. пациентов с диагнозом «злокачественное новообразование» [6]. Он является редкой формой неврологического синдрома, обусловленного развитием первичной злокачественной опухоли [3]. При этом у 60% больных неврологические симптомы развиваются до выявления опухоли, поэтому незнание этих симптомов или пренебрежение ими, безусловно, удлиняют диагностический этап, оказывая отрицательное влияние на течение и прогноз заболевания [7].
Впервые термин «лимбический энцефалит» (ЛЭ) предложили в 1968 г. J. Corsellis и соавт., которые высказали гипотезу, что это заболевание не является метастатическим осложнением злокачественной опухоли [8]. В англоязычной литературе к 2000 г. описано 137 случаев ПЛЭ, из которых 32 подтверждены на аутопсии [9].
Принято считать, что ЛЭ ассоциирован с опухолями любой локализации, наиболее часто с мелкоклеточным раком легкого – МКРЛ (50–80%), семиномой (15–20%), а также с раком молочных желез (8%), болезнью Ходжкина, опухолями желудочно-кишечного тракта и раком яичника [9–11].
Патогенез этого заболевания остается неясным. Основу паранеопластического поражения нервной системы составляют иммунологические процессы в связи с наличием на поверхности опухолевой клетки перекрестных антигенов с нейронами и мышечными клетками. Эти антигены сенсибилизируют Т- и В-лимфоциты, которые могут повреждать клетки центральной и периферической нервной системы и индуцировать выработку онконевральных аутоантител [12]. При этом установлена связь паранеопластических неврологических синдромов с определенным типом онконейрональных антител к различным тканеспецифическим и опухолеспецифическим антигенам, включая анти-Hu, анти-Ma2, анти-CV, анти-Ri и анти-амфифизин [13, 14].
Антинейрональные антитела часто обнаруживают в крови больного еще до выявления опухоли, поэтому их можно использовать для ранней диагностики злокачественных новообразований.
Существует более 30 видов антинейрональных антител. Некоторые из них хорошо изучены, выявлена их строгая специфичность и связь с определенными видами злокачественных опухолей. Их делят на 2 группы [15].
Антитела 1-й группы направлены на внутриклеточные нейрональные антигены, включая классические, и связаны с наличием злокачественной опухоли [16].
Классический ПЛЭ чаще всего ассоциирован с онконевральными антителами, направленными на внутриклеточные антигены, такие как анти-Hu, Yo, Ri, Ma2, СV2 и анти-амфифизин [17]. В связи с этим патогенетический механизм повреждения тканей опосредован цитотоксическими аутоиммунными Т-клетками [18].
Антитела, направленные на внутриклеточные антигены, чаще выявляются при скрытых вариантах злокачественных новообразований, по сравнению с антителами против антигенов клеточной поверхности и синаптических антигенов. Выявление данного типа антител (анти-Hu) в 95% случаев свидетельствует о наличии паранеопластического процесса, даже еще до выявления первичной опухоли [18, 19].
Представители 2-й группы нейрональных антител нацелены на антигены клеточной поверхности и синаптические антигены. К ним относятся антитела против NMDAR, CASPR2 и других рецепторов. Они с меньшей вероятностью связаны с наличием злокачественной опухоли [20], поэтому патогенетический механизм развития аутоиммунного энцефалита опосредуется В-клетками [18].
Несмотря на представленный патогенез, в литературе имеются указания на отсутствие онконевральных антител у пациентов с ПЛЭ [9].
Ряд авторов считают, что ЛЭ возникает, как правило, на ранней стадии опухоли, поэтому клинический дебют его может способствовать ранней диагностике первичной опухоли с выработкой оптимальной тактики лечения [6].
Клиническая картина ПЛЭ изменчива. Она зависит от типа онконевральных антител и пораженных областей головного мозга. Обычно начало ЛЭ подострое, с развитием различных нейропсихиатрических и неврологических симптомов, таких как изменение личности, маниакальные и депрессивные эпизоды, нарушение памяти, галлюцинации, а также снижение когнитивных способностей, изменение уровня сознания [21]. Появление приступов эпилепсии свидетельствует о вовлечении медиальных отделов височной доли головного мозга [22].
F. Graus и соавт. в 2001 г. опубликовали результаты анализа ПЛЭ, ассоциированного с антителами к Hu-антигену, у 200 пациентов. Средний возраст больных составил 63 года с преобладанием лиц мужского пола (75%). Основными неврологическими симптомами были сенсорная нейропатия (54% больных) и мозжечковая атаксия (10% случаев). Первичная опухоль выявлена у 83% больных. При этом МКРЛ диагностирован у 74% пациентов. ЛЭ предшествовал выявлению первичной опухоли у 71% пациентов с задержкой диагностики в течение 6,5–7 мес. Авторы пришли к выводу, что если опухоль экспрессирует антиген Hu, то дальнейшее исследование сосуществующего МКРЛ не целесообразно [23].
K. Shen и соавт. (2018 г.) приводят данные по исследованию клинических особенностей, а также ответов на терапию и прогнозы у 16 больных ПЛЭ на фоне МКРЛ. Они отмечали нарушение сознания, дезориентацию и судороги. У 13 пациентов выявлены онконевральные антитела в сыворотке крови, в том числе анти-Hu и GABAbR. По данным позитронно-эмиссионной томографии, совмещенной с компьютерной томографией (ПЭТ/КТ) с 18F-фтордезоксиглюкозой (18F-ФДГ), наблюдалась аномальная метаболическая активность в височной доле. Применение иммунотерапии сопровождалось улучшением клинических проявлений в 4 случаях при наличии антител к GABAbR. Общий уровень ответа составил 75%, а 2-летняя общая выживаемость – 74,7% [2].
Диагноз ПЛЭ ставится в совокупной последовательности, включая оценку клинических симптомов с преобладанием нейропсихиатрических проявлений, когнитивных нарушений и судорог, с последующей нейровизуализацией с помощью магнитно-резонансной томографии (МРТ) и ПЭТ/КТ с 18F-ФДГ.
При МРТ головного мозга в режиме T2-FLAR выявляется гиперинтенсивность магнитно-резонансного (МР)-сигнала в медиальных отделах височных долей или других анатомических образований лимбической системы. ПЭТ/КТ с 18F-ФДГ демонстрирует также гиперметаболические очаги в указанных отделах [24].
Паранеопластическая этиология, в том числе и при ЛЭ, может быть признана при обнаружении онконейрональных антител в сыворотке крови или спинномозговой жидкости или при идентификации первичной опухоли [25, 26].
При аутопсии пациентов с ПЛЭ выявляются множественные очаги микроразмягчения в коре головного мозга как в лимбических областях, так и за их пределами. При микроскопическом исследовании определяется лимфоцитарная инфильтрация в тканях и сосудах, с наличием признаков воспаления с преобладанием Т-клеток и потерей нейронов [27, 28].
Терапевтические опции включают иммунотерапию, цитотоксическую терапию и стероиды [13]. Комбинация противоопухолевой терапии с иммунотерапией с целью купирования неврологических симптомов является более эффективной по сравнению с иммунотерапией [9].
Мы наблюдали пациента с ПЛЭ, ассоциированным с МКРЛ.
Цель работы – представить случай ПЛЭ у больного МКРЛ.
Клинический случай
Пациент Б. 56 лет обратился с жалобами на приступы головных болей и головокружение, сильную слабость, чувство страха, нарушение памяти, потерю интереса к жизни, отмечал судороги мышц в области конечностей. Начало заболевания подострое, в течение 3 дней наблюдалась субфебрильная температура. Симптомы нарастали, появилась раздражительность и снижение физической активности. Со слов родственников, в последнее время стал замкнутым, менее активным, трудно запоминает текущие события. Считает себя больным на протяжении 2 мес. Проводилась симптоматическая терапия под контролем врача-терапевта. Без эффекта.
Из анамнеза известно, что пациент курит на протяжении 32 лет, до 15 сигарет в день. Осмотрен неврологом. При обследовании – сознание ясное. Ориентирован в пространстве и времени. Координация движений не нарушена. Отмечает нарушения сна и бодрствования. Походка устойчивая. При осмотре мышц конечностей фасцикулярных подергиваний не выявлено. Двигательная активность несколько снижена. Судорожных припадков на момент осмотра нет. Сухожильные рефлексы сохранены, патологических рефлексов на руках и ногах нет.
Мышление замедленное, речь вязкая, излишне детализированная. Абстрактное мышление нарушено. Интеллект больного незначительно снижен. Внимание с небольшими нарушениями. Прослеживается снижение кратковременной памяти.
В эмоциональной сфере пациент отмечает беспричинные перемены настроения с хорошего на пониженное, с всплесками негативных эмоций. При плохом настроении больной чувствует тревогу и тоску.
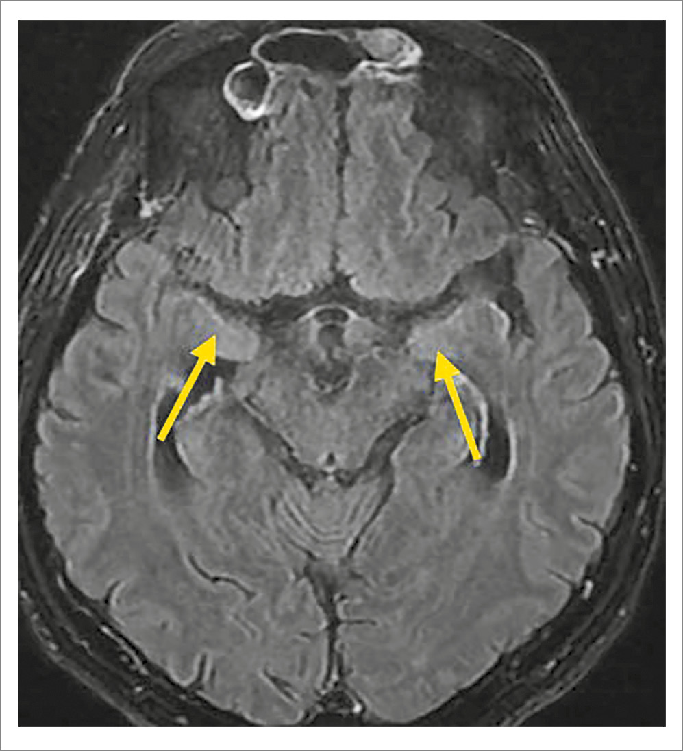
Для исключения патологии головного мозга выполнено МР-исследование суб- и супратенториальных структур головного мозга в Т1- и Т2-взвешенных изображениях, режимах IR-, FLAIR- и DWI в сагиттальной, коронарной и аксиальной проекциях с контрастированием. Срединные структуры не смещены, III и IV желудочки не расширены. В медиальных отделах височных долей, более выраженно в левой, в Т2-FLAIR-режиме в аксиальной проекции определяются участки слабо гиперинтенсивного измененного МР-сигнала без четких границ. В белом веществе обоих полушарий, лобно-теменных отделах определяются немногочисленные перивентрикулярные очаги гиперинтенсивного сигнала на Т2 в режиме FLAIR с нечеткими контурами до 6 мм.
Заключение: МР-картина изменений в медиальных отделах височных долей соответствует ЛЭ, необходимо исключить паранеопластическую природу (рис. 1).
Рис. 1. Пациент Б., 56 лет. МРТ головного мозга с контрастированием. Т2-FLAIR – аксиальный срез. Определяется гиперинтенсивный МР-сигнал от медиальных отделов височных долей (желтая стрелка).
Клинически и с учетом результатов МРТ головного мозга поставлен диагноз ЛЭ. По данным рентгенографии органов грудной клетки очаговой патологии не выявлено.
Для подтверждения паранеопластического варианта ЛЭ сделан анализ сыворотки крови, в результате определеляли онконейрональные антитела анти-Hu, анти-Yo, анти-CV2, анти-Ma2, анти-Ri и анти-амфифизин. При этом концентрация антител к Hu показала высокое содержание (3+), к CV2 и Ма2 – среднее содержание (2+), к амфифизину – низкое содержание. Антитела анти-Yo и анти-Ri отсутствовали.
Провели люмбальную пункцию с последующим клиническим и цитологическим анализом спинномозговой жидкости. Выявлен лимфоцитоз – 88%, концентрация белка несколько повышена – 0,6 г/л, злокачественные клетки не обнаружены. Уровень антинейрональных антител анти-Hu расценен как средний. При биохимическом исследовании крови выявлена гипонатриемия – 130 ммоль/л.
На основании изложенного поставлен диагноз ПЛЭ. От предложенного дообследования с целью идентификации первичного очага больной категорически отказался. Рекомендовано лечение у невролога по месту жительства.
Пациент вернулся через 2 мес из-за значительного ухудшения состояния. Судороги мышц конечностей и туловища стали более частыми, периодически с кратковременной потерей сознания. Появились ощущение «ползание мурашек», покалывание, онемение в пальцах правой кисти, которые расценены как проявления сенсорной нейропатии. Со слов близких, стал агрессивным, эмоционально неустойчивым. Потеря памяти прогрессирует, особенно на текущие события, появились эпизоды галлюцинаций. Принимает Тегретол.
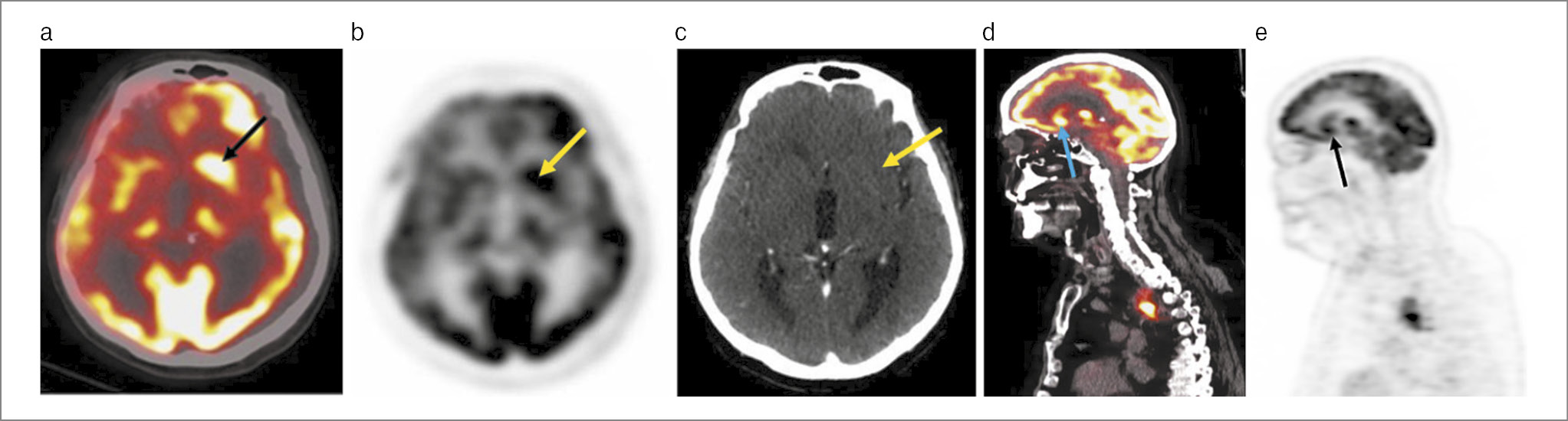
Учитывая отрицательную клиническую динамику и результаты предыдущих методов обследования, с целью подтверждения ранее поставленного диагноза ПЛЭ проведена оценка метаболизма головного мозга и выявление первичного опухолевого очага с помощью ПЭТ/КТ с 18F-ФДГ. По результатам исследования в медиальных отделах левой височной доли отмечается гиперфиксация радиофармпрепарата – РФП (рис. 2).
Рис. 2. Пациент Б., 56 лет. ПЭТ/КТ головного мозга с 18F-ФДГ: a – аксиальная проекция ПЭТ/КТ-исследования; b – аксиальная проекция максимальной интенсивности (MIP); c – аксиальная проекция КТ-исследования; d – сагиттальная проекция ПЭТ/КТ-исследования; e – сагиттальная проекция MIP. Во всех проекциях отмечается гиперфиксация 18F-ФДГ в медиальных отделах левой височной доли размерами 14×18 мм (маркирована стрелками).
По данным ПЭТ/КТ в верхней доле правого легкого имеется объемное образование с лучистыми контурами, с наличием участков некроза в центральных отделах, размером 47×30 мм с гиперфиксацией РФП, а величина стандартизированного коэффициента максимального накопления составила 13,29. Опухоль распространяется в средостение с частичной обтурацией SI бронха. Определяются одиночные верхнемедиастинальные лимфоузлы справа с метаболической активностью SUVmax до 2,07. Диагностирована опухоль правого легкого неопластического характера с вовлечением в специфический процесс лимфоузлов средостения (рис. 3).
Рис. 3. Пациент Б., 56 лет: a – MIP-проекция ПЭТ; b – коронарная проекция ПЭТ-исследования; c – аксиальная проекция ПЭТ-исследования; d – аксиальная проекция КТ-исследования. В правом легком в верхней доле парамедиастинально определяется опухоль с лучистыми контурами, размером 47×30 мм, с повышенным метаболизмом 18F-ФДГ, SUVmax 13,29. Опухоль распространяется в средостение с неполной обтурацией SI бронха.
С целью морфологической верификации произведена бронхоскопия с биопсией. При гистологическом исследовании выявлен МКРЛ. Таким образом, с помощью ПЭТ/КТ с 18F-ФДГ идентифицирована первичная опухоль правого легкого. Окончательный диагноз «МКР правого легкого, клиническая стадия IIb cT2bN1M0. ПЛЭ».
Клинический случай демонстрирует развитие ПЛЭ, ассоциированного с антителами к внутриклеточным антигенам анти-Hu, анти-CV2, анти-Ма2 и анти-амфифизин, у больного МКРЛ. Латентный период с момента дебюта нейропсихиатрических симптомов до выявления первичного опухолевого процесса составил 120 дней. Учитывая распространенность опухолевого процесса, а также вариант гистологического строения, пациенту назначена цитотоксическая терапия в комбинации с иммунотерапией.
Диагностика ПЛЭ должна учитывать прежде всего клинические проявления, характерные для поражения лимбической системы, с последующим применением методов нейровизуализации, среди которых ПЭТ/КТ с 18F-ФДГ является альтернативной. При этом обязательно определять антинейрональные антитела в сыворотке крови и спинномозговой жидкости.
Обсуждение
Паранеопластические неврологические синдромы, обусловленные наличием первичной опухоли, являются редким клиническим проявлением и встречаются менее чем у 1% пациентов со злокачественными новообразованиями. Причины их развития, а также неврологическая симптоматика обусловлены аутоиммунной реакцией антител против онконейрональных антигенов [3, 17].
ПЛЭ вызывает выраженную неврологическую дисфункцию и предшествует постановке диагноза МКРЛ более чем у 70% пациентов. Чаще всего наблюдаются когнитивные нарушения, изменения личности, кратковременная потеря сознания и судороги [5, 9]. Это делает выявление неврологической симптоматики значимой для ранней диагностики злокачественных новообразований [11].
Первыми критерии диагностики ПЛЭ предложили J. Dalmau и M. Rosenfeld (2008 г.). Согласно им, неврологические или психоневрологические симптомы должны иметь подострый характер. Клинический дебют проявлений опережает диагностику первичного опухолевого очага вплоть до 4 лет, но чаще – от 3 до 5 мес. Кроме того, клиническая картина должна исключать проявление других осложнений рака, таких как метастазы в головной мозг.
Наряду с этим диагностические критерии должны включать хотя бы одно из следующих условий:
- изменения в ликворе воспалительного характера, лимфоцитарный плеоцитоз, а также умеренное повышение белка более 150 г/л, повышение уровня иммуноглобулинов класса G;
- одностороннее или двустороннее поражение височной доли головного мозга по данным МРТ в виде гиперинтенсивных сигналов на Т2-FLAIR-режимах сканирования;
- наличие фокальной медленноволновой или эпилептиформной активности в одной или обеих височных долях головного мозга при электроэнцефалографии (ЭЭГ) [29].
Однако в литературе имеются сообщения об отсутствии указанных изменений на ЭЭГ и МРТ [30].
S. Gultekin и соавт. (2000 г.) предложили свои критерии для постановки диагноза ПЛЭ:
- клиническая картина должна соответствовать этому синдрому с характерными симптомами;
- интервал между началом неврологических симптомов и диагностикой опухоли должен быть менее 4 лет;
- исключение других нейроонкологических осложнений;
- необходимость включения минимум одного диагностического критерия [9].
Критерии паранеопластических неврологических синдромов, изложенные ранее, частично устарели. В 2021 г. группа экспертов разработала модифицированные диагностические критерии для клинической и исследовательской практики, которые содержат три основные части. В частности, паранеопластический неврологический синдром определяется как неврологические расстройства, которые:
- могут возникать при поражении любой части нервной системы, включая фенотипы высокого риска;
- связаны с раком;
- имеют иммуноопосредованный патогенез, подтверждаемый присутствием специфических нейроантител [31].
В настоящее время предложены другие диагностические критерии, более адаптированные к клинической практике, применение которых значительно упрощает постановку диагноза [32].
Диагностика ПЛЭ основана на оценке клинических проявлений, методов нейровизуализации (МРТ, ПЭТ/КТ), анализе спинномозговой жидкости и ЭЭГ [33].
Клинические симптомы ЛЭ, как правило, включают: когнитивный дефицит, изменение личности, кратковременную потерю сознания, дефицит памяти и психиатрические расстройства [9].
Симптомы ПЛЭ при МКРЛ включают: нарушение краткосрочной памяти, судорожные припадки, психиатрические нарушения (галлюцинации, изменения личности), мозжечковую симптоматику, нарушение обоняния и вкуса, парезы [9].
По данным литературы, у пациентов часто наблюдаются проявления поражений нервной системы за пределами лимбической, в частности мозжечковая атаксия и периферическая нейропатия [34].
В описанном случае у пациента основными проявлениями ПЛЭ были нейропсихиатрические симптомы, судороги с кратковременной потерей сознания и когнитивные нарушения. Наряду с классическими лимбическими проявлениями у больного диагностирована сенсорная полинейропатия.
Клинические проявления неврологического и/или когнитивного дефицита при ПЛЭ появляются раньше диагностики первичной злокачественной опухоли, что, безусловно, поддерживает клиническую значимость и актуальность этого заболевания.
Методом нейровизуализации ПЛЭ является МРТ с контрастированием. При этом отмечается повышение интенсивности сигнала в медиальных отделах височной доли на Т2-взвешенных изображениях. Эти проявления подтверждены результатами аутопсий. В 70–80% указанные очаговые изменения лучше визуализируются в режиме FLAR-изображений [35], причем указанные изменения могут быть как двусторонними, так и односторонними.
Кроме того, МРТ позволяет исключить опухоли центральной нервной системы, которые могут привести к неврологическим симптомам.
По данным МРТ головного мозга в представленном случае в медиальных отделах височных долей с большей выраженностью слева в режиме T2-FLAR определяется гиперинтенсивность МР-сигнала.
В литературе имеются сообщения о роли ПЭТ/КТ с 18F-ФДГ в диагностике ПЛЭ [7], причем результаты ПЭТ/КТ с 18F-ФДГ головного мозга имеют более четкую связь с клинической картиной заболевания, тяжестью его течения и результатами лечения по сравнению с данными МРТ [36]. В связи с этим метаболическая нейровизуализация особенно выгодна для пациентов при отсутствии у них судорог в анамнезе и патологических проявлений по данным МРТ [16].
Некоторые авторы считают, что ПЭТ/КТ с 18F-ФДГ в режиме «все тело» следует проводить при отсутствии возможности выявить первичный опухолевый очаг или при технической невозможности взять биопсию [37]. Эта методика позволит визуализировать участки гиперметаболизма в медиальных отделах височных долей [38].
Оценка метаболической активности головного мозга и идентификация первичной опухоли в представленном наблюдении выполнена с помощью ПЭТ/КТ с 18F-ФДГ. В медиальных отделах левой височной области выявлена гиперфиксация РФП. Кроме того, в верхней доле правого легкого обнаружена опухоль с повышенным метаболизмом, SUVmax 13,29, с вовлечением лимфоузлов средостения.
ЭЭГ-исследования выявляют различные нарушения биоэлектрической активности в виде появления медленных или острых волн очагового или диффузного характера, редко в сочетании с эпилептической активностью [2].
В описанном случае при ЭЭГ отмечались острые волны в проекции височной доли. Диапазон латентного периода от начала клинического дебюта лимбических расстройств до выявления первичной опухоли колеблется от 1до 47 мес, при медиане 6,5–7 мес [23]. По данным K. Shen и соавт. (2018 г.), этот период в среднем составляет 66 дней, при диапазоне от 18 до 234 дней. Опухоль чаще диагностируется на ограниченной стадии [2]. Это событие опережает диагностику первичного опухолевого процесса на 4–6 мес практически у 80% больных при наличии симптомов ПЛЭ [6].
В представленном нами случае у пациента длительность периода с момента появления первичных лимбических расстройств до постановки диагноза МКРЛ составила 120 дней.
Открытие и определение в сыворотке крови и спинномозговой жидкости онконейрональных антител против антигенов нейронов убедительно показали причинно-следственную связь между наличием антител и развитием паранеопластического синдрома. Основными внутриклеточными антителами, ассоциированными с развитием ПЛЭ при МКРЛ, являются анти-Hu, анти-Ma2, анти-CV2 и реже анти-амфифизин [39].
Вклад этих антител в клиническую симптоматику различен. Их обнаружение в сыворотке крови и ликворе может помочь в постановке диагноза 50–70% пациентов с ПЛЭ. В связи с этим паранеопластическая причина неврологического синдрома может быть установлена только при выявлении указанных антител или при обнаружении первичной опухоли [25].
Статус антител включен в новые критерии диагностики ПЛЭ. При этом наличие данных антител в сыворотке крови коррелирует с результатами МРТ головного мозга при постановке диагноза ЛЭ у 78–80% больных. Важно отметить, что приблизительно 60% пациентов на момент обследования не имели в анамнезе злокачественного новообразования и не состояли на диспансерном учете по этому поводу [32]. В настоящее время наличие антинейрональных антител является необходимым условием для постановки диагноза ПЛЭ.
В описанном случае у больного в сыворотке крови обнаружены анти-Hu, анти-СV2, анти-Ма2, анти-амфифизин, при отсутствии антител анти-Yo. В ликворе выявлены анти-Hu-антитела, умеренный лимфоцитоз – 88%, а уровень белка составил 0,6 г/л.
Определенные варианты злокачественных опухолей, таких как МКРЛ, более связаны с ПЛЭ. Однако данный синдром может наблюдаться и при солидных опухолях различного характера как при скрытых, так и при видимых опухолях [12].
В представленном наблюдении у пациента диагностирован ПЛЭ при МКРЛ, клиническая стадия IIb cT2bN1M0, ассоциированный с нейрональными антителами анти-Hu, анти-CV2, анти-Ma2 и анти-амфифизин. Учитывая распространенность опухолевого процесса, его гистологический вариант, пациенту назначена цитотоксическая и иммунотерапия.
Заключение
ПЛЭ – это редкий аутоиммунный неврологический синдром, наблюдаемый у больных МКРЛ. При наличии нейропсихиатрических симптомов у больных с подозрением на злокачественный опухолевый процесс необходимо исключить ПЛЭ.
Диагностика ПЛЭ осуществляется в совокупной последовательности, включающей оценку клинических проявлений, методы нейровизуализации с обязательным определением онконейрональных антител в сыворотке крови и ликворе.
Среди клинических проявлений данного синдрома чаще всего встречаются нейропсихиатрические симптомы, когнитивные расстройства и судороги с кратковременной потерей сознания.
ПЭТ/КТ с 18F-ФДГ является методом выбора для диагностики ЛЭ и первичного опухолевого очага, его применение позволяет уточнить наличие и распространенность опухолевого процесса, что способствует выбору рациональной тактики лечения.
Клинически ПЛЭ связан с онконевральными антителами против внутриклеточных антигенов – анти-Hu, анти-Ma2, анти-CV2 и анти-амфифизин. При подозрении на ПЛЭ следует проводить широкое тестирование на антинейрональные антитела в сыворотке крови и ликворе с целью максимизации показателей обнаружения.
Длительность латентного периода с начала клинического дебюта лимбических проявлений до выявления первичной опухоли в описанном случае составила 120 дней.
Раскрытие интересов. Авторы декларируют отсутствие явных и потенциальных конфликтов интересов, связанных с публикацией настоящей статьи.
Disclosure of interest. The authors declare that they have no competing interests.
Вклад авторов. Авторы декларируют соответствие своего авторства международным критериям ICMJE. Все авторы в равной степени участвовали в подготовке публикации: разработка концепции статьи, получение и анализ фактических данных, написание и редактирование текста статьи, проверка и утверждение текста статьи.
Authors’ contribution. The authors declare the compliance of their authorship according to the international ICMJE criteria. All authors made a substantial contribution to the conception of the work, acquisition, analysis, interpretation of data for the work, drafting and revising the work, final approval of the version to be published and agree to be accountable for all aspects of the work.
Источник финансирования. Авторы декларируют отсутствие внешнего финансирования для проведения исследования и публикации статьи.
Funding source. The authors declare that there is no external funding for the exploration and analysis work.
Информированное согласие на публикацию. Пациент подписал форму добровольного информированного согласия на публикацию медицинской информации.
Consent for publication. Written consent was obtained from the patient for publication of relevant medical information and all of accompanying images within the manuscript.
About the authors
Nikolai A. Ognerubov
Russian Medical Academy of Continuous Professional Education
Author for correspondence.
Email: ognerubov_n.a@mail.ru
ORCID iD: 0000-0003-4045-1247
SPIN-code: 3576-3592
D. Sci. (Med.), D. Sci. (Law), Prof.
Russian Federation, MoscowOlga O. Mirsalimova
Federal Network of Nuclear Medicine Centers “PET-Technology”
Email: ognerubov_n.a@mail.ru
ORCID iD: 0009-0007-8600-7586
radiologist
Russian Federation, MoscowMikhail A. Zemur
PET-Technology Oncoradiology Center
Email: ognerubov_n.a@mail.ru
ORCID iD: 0009-0003-6492-7008
radiologist
Russian Federation, PodolskReferences
- Ferlay J, Ervik M, Lam F, et al. Global Cancer Observatory: Cancer Today (version 1.1). Lyon, France: International Agency for Research on Cancer. 2024. Available at: https://gco.iarc.who.int/today. Accessed: 11.10.2024.
- Shen K, Xu Y, Guan H, et al. Paraneoplastic limbic encephalitis associated with lung cancer. Sci Rep. 2018;8(1):6792. doi: 10.1038/s41598-018-25294-y
- Darnell RB, Posner JB. Paraneoplastic syndromes affecting the nervous system. Semin Oncol. 2006;33(3):270-98. doi: 10.1053/j.seminoncol.2006.03.008
- Collao-Parra JP, Romero-Urra C, Delgado-Derio C. Autoimmune encephalitis. A review. Rev Med Chil. 2018;146(3):351-61 (in Spanish). doi: 10.4067/s0034-98872018000300351
- Altabakhi IW, Babiker HM, Lui F. Paraneoplastic Limbic Encephalitis. In: StatPearls [Internet]. Treasure Island (FL): StatPearls Publishing, 2024. PMID: 30137808. Available at: https://www.ncbi.nlm.nih.gov/books/NBK519523/ Accessed: 10.10.2024.
- Said S, Cooper CJ, Reyna E, et al. Paraneoplastic limbic encephalitis, an uncommon presentation of a common cancer: Case report and discussion. Am J Case Rep. 2013;14:391-4. doi: 10.12659/AJCR.889560
- Ances BM, Vitaliani R, Taylor RA, et al. Treatment-responsive limbic encephalitis identified by neuropil antibodies: MRI and PET correlates. Brain. 2005;128(Pt. 8):1764-77. doi: 10.1093/brain/awh526
- Corsellis JA, Goldberg GJ, Norton AR. "Limbic encephalitis" and its association with carcinoma. Brain. 1968;91(3):481-96. doi: 10.1093/brain/91.3.481
- Gultekin SH, Rosenfeld MR, Voltz R, et al. Paraneoplastic limbic encephalitis: neurological symptoms, immunological findings and tumour association in 50 patients. Brain. 2000;123(Pt. 7):1481-94. doi: 10.1093/brain/123.7.1481
- Rosenfeld MR, Dalmau J. Cancer and the Nervous System. Paraneoplastic Disorders of the Nervous System. In: Bradley WG, Daroff RB, Fenichel GM, Jankovic J, eds. Neurology in clinical practice. 5th ed. Butterworth-Heinemann, Elsevier, 2008; р.1405-15.
- Торопина Г.Г., Яхно Н.Н., Воскресенская О.Н., и др. Лимбический энцефалит. Обзор литературы и клинические наблюдения. Неврологический журнал. 2013;18(3):11-21 [Toropina GG, Yakhno NN, Voskresenskaya ON, et al. Limbic encephalitis. Literature review and case reports. Nevrologicheskii Zhurnal. 2013;18(3):11-21 (in Russian)].
- Inuzuka T. Paraneoplastic neurological syndrome–definition and history. Brain Nerve. 2010;62(4):301-8 (in Japanese).
- Gozzard P, Woodhall M, Chapman C, et al. Paraneoplastic neurologic disorders in small cell lung carcinoma: A prospective study. Neurology. 2015;85(3):235-9. doi: 10.1212/WNL.0000000000001721
- Scheid R, Honnorat J, Delmont E, et al. A new anti-neuronal antibody in a case of paraneoplastic limbic encephalitis associated with breast cancer. J Neurol Neurosurg Psychiatry. 2004;75:338-40.
- Tüzün E, Dalmau J. Limbic encephalitis and variants: classification, diagnosis and treatment. Neurologist. 2007;13(5):261-71. doi: 10.1097/NRL.0b013e31813e34a5
- Dalmau J, Bataller L. Clinical and immunological diversity of limbic encephalitis: a model for paraneoplastic neurologic disorders. Hematol Oncol Clin North Am. 2006;20:1319-35. doi: 10.1016/j.hoc.2006.09.011
- Dalmau J, Graus F. Antibody-Mediated Encephalitis. N Engl J Med. 2018;378(9):840-51. doi: 10.1056/NEJMra1708712
- Dalmau J, Geis C, Graus F. Autoantibodies to Synaptic Receptors and Neuronal Cell Surface Proteins in Autoimmune Diseases of the Central Nervous System. Physiol Rev. 2017;97(2):839-87. doi: 10.1152/physrev.00010.2016
- Rees JH. Paraneoplastic syndromes: when to suspect, how to confirm, and how to manage. J Neurol Neurosurg Psychiatry. 2004;75(Suppl. 2):ii43-50. doi: 10.1136/jnnp.2004.040378
- Dalmau J, Lancaster E, Martinez-Hernandez E, et al. Clinical experience and laboratory investigations in patients with anti-NMDAR encephalitis. Lancet Neurol. 2011;10:63-74. doi: 10.1016/S1474-4422(10)70253-2
- Pollak TA, Lennox BR, Müller S, et al. Autoimmune psychosis: an international consensus on an approach to the diagnosis and management of psychosis of suspected autoimmune origin. Lancet Psychiatry. 2020;7(1):93-108. doi: 10.1016/S2215-0366(19)30290-1. Erratum in: Lancet Psychiatry. 2019;6(12):e31. doi: 10.1016/S2215-0366(19)30439-0
- Nathoo N, Anderson D, Jirsch J. Extreme Delta Brush in Anti-NMDAR Encephalitis Correlates With Poor Functional Outcome and Death. Front Neurol. 2021;12:686521. doi: 10.3389/fneur.2021.686521
- Graus F, Keime-Guibert F, Reñe R, et al. Anti-Hu-associated paraneoplastic encephalomyelitis: analysis of 200 patients. Brain. 2001;124(Pt. 6):1138-48. doi: 10.1093/brain/124.6.1138
- Kelley BP, Patel SC, Marin HL, et al. Autoimmune Encephalitis: Pathophysiology and Imaging Review of an Overlooked Diagnosis. AJNR Am J Neuroradiol. 2017;38(6):1070-8. doi: 10.3174/ajnr.A5086
- Graus F, Delattre JY, Antoine JC, et al. Recommended diagnostic criteria for paraneoplastic neurological syndromes. J Neurol Neurosurg Psychiatry. 2004;75(8):1135-40. doi: 10.1136/jnnp.2003.034447
- Funaguchi N, Ohno Y, Endo J, et al. [Paraneoplastic neurological syndrome accompanied by severe central hypoventilation and expression of anti-Hu antibody in a patient with small cell lung cancer]. Nihon Kokyuki Gakkai Zasshi. 2008;46(4):314-8 [Article in Japanese].
- Ando T, Goto Y, Mano K, et al. Paraneoplastic autoimmune encephalitis associated with pleomorphic lung carcinoma: An autopsy case report. Neuropathology. 2018. doi: 10.1111/neup.12477
- Höftberger R, Lassmann H. Immune-mediated disorders. Handb Clin Neurol. 2017;145:285-99. doi: 10.1016/B978-0-12-802395-2.00020-1
- Dalmau J, Rosenfeld MR. Paraneoplastic syndromes of the CNS. Lancet Neurol. 2008;7(4):327-40. doi: 10.1016/S1474-4422(08)70060-7
- Lawn ND, Westmoreland BF, Kiely MJ, et al. Clinical, magnetic resonance imaging, and electroencephalographic findings in paraneoplastic limbic encephalitis. Mayo Clin Proc. 2003;78(11):1363-8. doi: 10.4065/78.11.1363
- Graus F, Vogrig A, Muñiz-Castrillo S, et al. Updated Diagnostic Criteria for Paraneoplastic Neurologic Syndromes. Neurol Neuroimmunol Neuroinflamm. 2021;8(4):e1014. doi: 10.1212/NXI.0000000000001014
- Шнайдер Н.А., Дмитренко Д.В., Дыхно Ю.А., Ежикова В.В. Паранеопластический лимбический энцефалит в практике невролога и онколога. Российский онкологический журнал. 2013;(1):49-57 [Shnayder NA, Dmitrenko DV, Dykhno YuA, Ezhikova VV. Paraneoplastic limbic encephalitis in neuorological and oncological practice. Rossiiskii Onkologicheskii Zhurnal. 2013;(1):49-57 (in Russian)].
- Graus F, Titulaer MJ, Balu R, et al. A clinical approach to diagnosis of autoimmune encephalitis. Lancet Neurol. 2016;15(4):391-404. doi: 10.1016/S1474-4422(15)00401-9
- Dalmau J, Rosenfeld MR. Autoimmune encephalitis update. Neuro Oncol. 2014;16(6):771–8. doi: 10.1093/neuonc/nou030
- Urbach H, Soeder BM, Jeub M, et al. Serial MRI of limbic encephalitis. Neuroradiology. 2006;48(6):380-6. doi: 10.1007/s00234-006-0069-0
- Heine J, Prüss H, Bartsch T, et al. Imaging of autoimmune encephalitis – Relevance for clinical practice and hippocampal function. Neuroscience. 2015;309:68-83. doi: 10.1016/j.neuroscience.2015.05.037
- Younes-Mhenni S, Janier MF, Cinotti L, et al. FDG-PET improves tumour detection in patients with paraneoplastic neurological syndromes. Brain. 2004;127(Pt. 10):2331-8. doi: 10.1093/brain/awh247
- Chanson JB, Diaconu M, Honnorat J, et al. PET follow-up in a case of anti-NMDAR encephalitis: arguments for cingulate limbic encephalitis. Epileptic Disord. 2012;14(1):90-3. doi: 10.1684/epd.2012.0486
- Филиппов П.П. Паранеопластические антигены и ранняя диагностика рака. Соросовский Образовательный Журнал. 2000;6(9):25-30 [Philippov PP. Paraneoplastic antigens and early diagnostics of cancer. Soros Educational Journal. 2000;6(9): 25-30 (in Russian)].
Supplementary files






