Migraine with prolonged aura vs migraine-associated stroke: a case series. Case report
- Authors: Kulesh A.A.1,2, Starikova N.L.1, Demin D.A.3, Krapivin S.1, Mekhriakov S.A.1,2, Kaileva N.A.1,2, Lezhikova M.V.3
-
Affiliations:
- Wagner Perm State Medical University
- City Clinical Hospital №4
- Federal Center for Cardiovascular Surgery
- Issue: Vol 27, No 2 (2025): Neurology and Rheumatology
- Pages: 75-80
- Section: Articles
- Published: 12.04.2025
- URL: https://consilium.orscience.ru/2075-1753/article/view/678415
- DOI: https://doi.org/10.26442/20751753.2025.2.203175
- ID: 678415
Cite item
Full Text
Abstract
The article presents three clinical cases of patients with migraine with aura and long-term focal symptoms without the formation of ischemic foci. A case of migraine-associated stroke is presented for comparison. The presented cases indicate that admission to the hospital of a patient with a history of migraine and a focal neurological deficit is a challenging clinical situation that requires individualization of diagnostic and therapeutic tactics. In the presence of a prolonged aura, CT perfusion, and diffusion-weighted magnetic resonance imaging, can contribute to an informed clinical decision. The MRI findings should be interpreted cautiously since transient cortical edema may be associated with aura prolongation. If it is impossible to differentiate reliably between migraine and stroke in a short time, intravenous thrombolysis should be performed.
Keywords
Full Text
Введение
Мигрень – хроническое неврологическое заболевание, характеризующееся повторными приступами интенсивной головной боли (ГБ), которое входит в топ-5 болезней с наибольшим негативным влиянием на жизнь пациентов [1–3]. По данным эпидемиологических исследований, мигренью страдают 11–20% населения, что приносит значительный экономический ущерб [4]. Согласно Международной классификации головных болей 3-го пересмотра [5] выделяют 4 варианта заболевания: мигрень без ауры (МБА) – наиболее часто встречающийся вариант, мигрень с аурой (МА), хроническую мигрень и эпизодические синдромы, ассоциированные с мигренью.
Характерный признак МА – сочетание мигренозной ГБ с очаговой неврологической симптоматикой, которая предшествует болевому приступу или появляется в процессе его развития. МА составляет около 25–30% всех случаев мигрени [6]. МА классифицируется по характеру симптомов ауры: различают мигрень с типичной аурой (зрительные, чувствительные, речевые нарушения), мигрень со стволовой аурой (стволовая церебральная симптоматика, отдельно также выделяют вестибулярную мигрень), гемиплегическую мигрень (наряду с типичной аурой наблюдается парез какой-либо степени выраженности), ретинальную мигрень. Наиболее часто симптоматика типичной ауры представлена разнообразными зрительными расстройствами. Вместе с тем в литературе описан широкий спектр неболевых симптомов мигрени, который включает вегетативную, когнитивную и поведенческую симптоматику [7]. В тех случаях, когда продолжительность симптомов ауры превышает классические 60 мин, возможными вариантами диагноза становятся осложнения мигрени – персистирующая аура без инфаркта мозга, при которой не обнаруживается ишемический очаг при нейровизуализации, либо мигренозный инфаркт мозга. Последний доказывается наличием ишемических изменений головного мозга (ГМ) в зоне, соответствующей симптомам ауры. Слабое место этого утверждения состоит в том, что критерии ишемических изменений не уточняются. Это оставляет место для дискуссии, например в таких ситуациях, как мигрень с транзиторным отеком коры ГМ.
Персистирующая аура без инфаркта мозга диагностируется при наличии очаговых симптомов ауры на протяжении >7 дней, что привело к появлению дополнительного термина «пролонгированная аура» при длительности очаговой симптоматики более часа, но менее 7 дней. Считается, что около 17% аур при мигрени продолжительные, а у 26% пациентов с МА в анамнезе имеется хотя бы один эпизод длительной ауры [8]. Данные литературы, посвященные мигрени с длительной аурой, немногочисленны и разрозненны, а патофизиологическая основа пролонгированной ауры без формирования ишемического очага вызывает большой интерес. Предполагается, что длительно сохраняющаяся очаговая неврологическая симптоматика ауры обусловлена развитием обратимого отека коры ГМ, верифицируемого с помощью магнитно-резонансной томографии (МРТ), и гипоперфузии соответствующей локализации [9–11]. Традиционно придается значение и феномену коркового вазоспазма [12].
Следовательно, длительно сохраняющаяся неврологическая симптоматика при МА далеко не всегда обусловлена формированием ишемического очага в ГМ, что подтверждается нейровизуализационными исследованиями. Приводим 3 клинических случая пациентов с МА и длительно сохранявшейся очаговой симптоматикой без формирования ишемических очагов. Для сравнения представим случай мигренозного инсульта.
Клинический случай №1
Пациент П., 25 лет. С 14 лет беспокоят сильные, пульсирующие ГБ, односторонние, с распространением на правый глаз, с интенсивностью 8 баллов по Визуальной аналоговой шкале, с фото- и фонофобией. Приступы ГБ сопровождались онемением левой руки и левой половины лица, тошнотой, рвотой, невестибулярным головокружением, а также концентрическим сужением полей зрения, которое развивалось за 30 мин до ГБ и длилось около часа. На основании клинической картины установлен диагноз МА. Приступы МА возникали в 2017, 2020 и 2023 гг. Отмечались приступы МБА, в среднем 1 раз в полгода. Пациент успешно купировал цефалгию приемом ибупрофена или золмитриптана. При изучении семейного анамнеза выяснено, что родители пациента также страдают мигренью: у матери – МБА, у отца – мигрень со зрительной аурой.
24 декабря 2024 г. утром у пациента развилась выраженная ГБ. Со слов родственников, наблюдались психомоторное возбуждение и многократная рвота. Вызвана бригада скорой медицинской помощи, в 13:30 пациент доставлен в приемное отделение стационара с подозрением на инсульт.
При поступлении отмечалось психомоторное возбуждение: пациент метался по кабинету, кричал, сопротивлялся медицинскому осмотру и диагностике. Двигательных нарушений не отмечено, речь и зрение оценить не представлялось возможным. На фоне медикаментозной седации проведена компьютерная томография (КТ) ГМ, зон патологической плотности не выявлено. Признаков окклюзии крупных и средних артерий, а также венозного тромбоза по данным КТ-ангиографии не выявлено. По данным КТ-перфузии показатели кровенаполнения повышены (гиперперфузия) в области верхних отделов мозжечка и медиобазальных отделов височных долей (рис. 1).
Рис. 1. Клинический случай №1: a – КТ-перфузия; b – МРТ (описание в тексте).
Пациент госпитализирован в отделение реанимации, выполнена люмбальная пункция. Получен анализ ликвора: глюкоза – 3,7 ммоль/л, цитоз – 3 кл/мкл, белок – 0,48 г/л. Продолжена медикаментозная седация. На следующее утро психомотороное возбуждение регрессировало, однако пациент жаловался на снижение зрения по типу нечеткости. В 11:00 выполнена МРТ ГМ (см. рис. 1), на которой отмечено повышение МР-сигнала на изотропных картах (b-1000), без изменения интенсивности на ИКД-картах (ИКД – измеряемый коэффициент диффузии) с повышением МР-сигнала на Т2 FLAIR от кортикальных отделов правых лобной, височной и островковой долей. В течение дня зрение полностью восстановилось. Пациент выписан через 5 дней в удовлетворительном состоянии. Провести повторную МРТ не удалось из-за клаустрофобии.
Клинический случай №2
Пациент М., 24 года. С 18 лет страдает МБА. В 2022 г. впервые в жизни возникли онемение правой руки, правой половины лица, нарушение речи с развитием ГБ через 10 мин. Пациент госпитализирован в первичное сосудистое отделение, проведен внутривенный тромболизис, учитывая сохранение сенсорных нарушений. Симптомы регрессировали в течение суток, очага инфаркта мозга на контрольной КТ не выявлено. Подобные эпизоды повторялись в 2023 и 2024 гг. В дальнейшем частота приступов увеличилась до 1 раза в месяц. В 2024 г. при поступлении в региональный сосудистый центр с очередным цефалгическим приступом и развитием очаговой неврологической симптоматики установлен диагноз МА.
14 января 2025 г. пациент, вернувшись с работы, отметил появление выраженной ГБ, онемения правой руки, правой половины лица, нечеткости зрения. Принял ибупрофен и лег спать. Проснулся около 18:00. Интенсивность ГБ снизилась, однако во время разговора с пациентом супруга заметила нарушение речи. Вызвана бригада скорой медицинской помощи, в 20:00 пациент доставлен в приемное отделение стационара с подозрением на инсульт.
При поступлении отмечена моторная афазия, иного неврологического дефицита не обнаружено. Проведена КТ ГМ, зон патологической плотности не выявлено. Признаки окклюзии крупных и средних артерий, а также венозного тромбоза по данным КТ-ангиографии не выявлены. По данным КТ-перфузии кровоток замедлен (удлинение показателя Tmax) в левом полушарии ГМ – в зонах, выходящих за границы артериальных бассейнов. В результате МРТ ГМ патологических изменений не выявлено (рис. 2).
Рис. 2. Клинический случай №2: a – КТ-перфузия; b, c – чреспищеводная ЭхоКГ (описание в тексте).
Клиническая и радиологическая картина расценена дежурным неврологом как «маска» инсульта, принято решение не проводить внутривенный тромболизис. На утро следующего дня у пациента сохранялась легкая афазия. В 11:00 выполнена контрольная МРТ, результат которой также оказался нормальным. Через 20 ч с момента развития симптомов речь полностью восстановилась. В рамках выяснения причины пролонгирования МА выполнена чреспищеводная эхокардиография (ЭхоКГ), выявлена аневризма межпредсердной перегородки (R-тип, глубина 12 мм) в сочетании с открытым овальным окном (ООО) диаметром 3 мм (рис. 2, b). При тугом наполнении правых камер аэрированным физиологическим раствором во время натуживания (маневр Вальсальвы) отмечался массивный сброс микропузырьков в левое предсердие (рис. 2, c). По данным дуплексного сканирования тромбов в венах нижних конечностей не обнаружено. Пациент выписан в удовлетворительном состоянии.
Клинический случай №3
Пациентка С., 33 года. С 20 лет страдает мигренью со зрительной и сенсорной аурой. Приступы 1–2 раза в год. 25 ноября 2024 г. утром ходила в бассейн. В 10:30 возникло нарушение зрения (нечеткость в правом поле). Через 30 мин присоединилось онемение кончиков пальцев правой руки, которое в течение нескольких минут распространилось на всю руку, перешло на лицо, полость рта и правую ногу. Еще через 30 мин развилась интенсивная ГБ в левой лобной области, появились рвота и светобоязнь. Пациентке стало трудно подбирать слова и формулировать предложения. Вызвана бригада скорой медицинской помощи, в 13:00 пациентка доставлена в приемное отделение стационара.
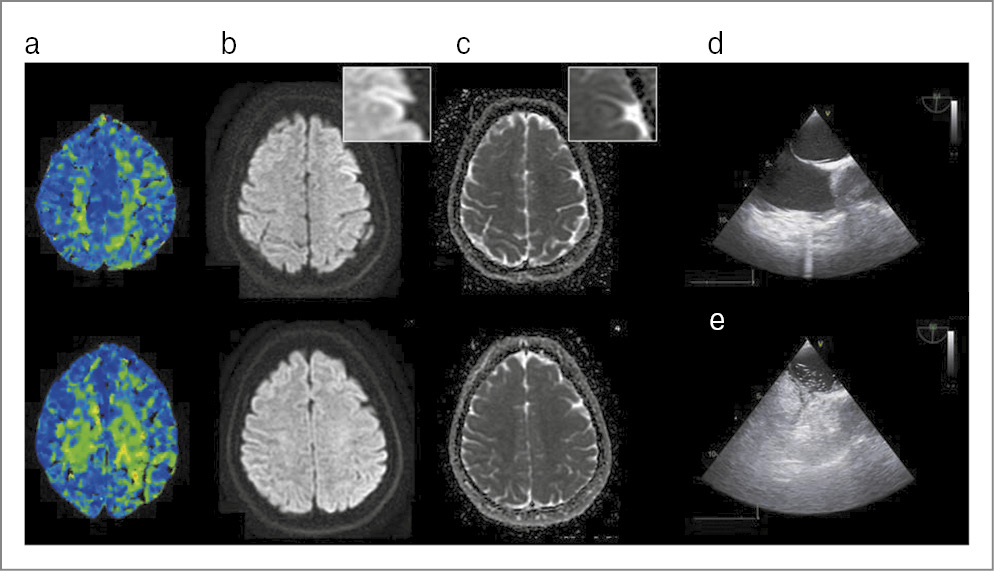
При поступлении наблюдались умеренная сенсомоторная афазия и правосторонняя гемианопсия. Проведена КТ ГМ, зон патологической плотности не выявлено. Признаков окклюзии крупных и средних артерий, а также венозного тромбоза по данным КТ-ангиографии не обнаружено. По данным КТ-перфузии отмечалось замедление кровотока (удлинение показателя Tmax) в левом полушарии ГМ – в зонах, выходящих за границы артериальных бассейнов. Выполнена МРТ ГМ: зафиксировано локальное повышение интенсивности на изотропной карте (b-1000) с понижением МР-сигнала на ИКД-картах от коры левой лобной доли, что соответствовало цитотоксическому отеку; изменений на FLAIR при этом не наблюдалось (рис. 3). Учитывая диагностические сомнения, принято решение провести внутривенный тромболизис. Примерно в 17:00 все симптомы регрессировали. Контрольная КТ ГМ не выявила патологических изменений. В рамках выяснения причины пролонгирования МА выполнена чреспищеводная ЭхоКГ: выявлена аневризма межпредсердной перегородки (R-тип, глубина 10 мм) в сочетании с ООО диаметром 2 мм (рис. 3, d). При тугом наполнении правых камер аэрированным физиологическим раствором во время натуживания отмечался массивный сброс микропузырьков в левое предсердие (рис. 3, e). По данным дуплексного сканирования тромбов в венах нижних конечностей не обнаружено. На 5-е сутки заболевания выполнена контрольная МРТ ГМ, результат которой оказался нормальным. Пациентка выписана в удовлетворительном состоянии.
Рис. 3. Клинический случай №3: a – КТ-перфузия; b – ДВИ; c – ИКД-карты МРТ; d, e – чреспищеводная ЭхоКГ (описание в тексте).
Клинический случай №4
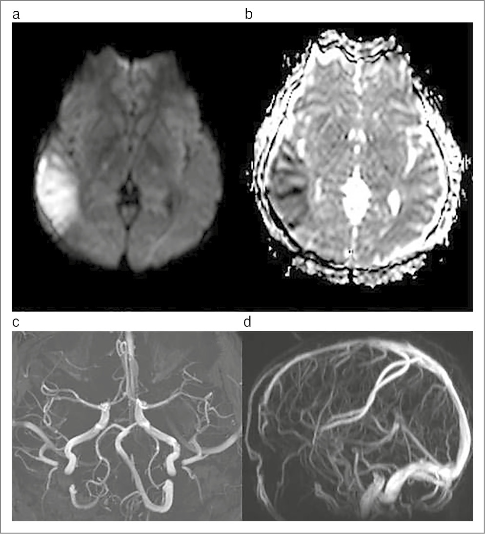
Пациентка Х., 27 лет. В анамнезе с подросткового возраста МБА, редкие приступы. Получает комбинированное контрацептивное средство (препарат, содержащий эстроген+гестаген) по назначению гинеколога. 10 января 2022 г. остро развилась интенсивная ГБ в правой половине головы (по Визуальной аналоговой шкале 8 баллов) без тошноты и рвоты, перед приступом ГБ появлялись «белое пятно» перед правым глазом с нечеткостью зрения и легкое онемение левой руки. Зрительные нарушения регрессировали в течение суток, сенсорные – в течение 3 дней. Интенсивная ГБ сохранялась около 10 дней, пациентка не обращалась за экстренной помощью, принимала нестероидные противовоспалительные препараты с временным уменьшением интенсивности цефалгии (ГБ не купирована). После амбулаторного обращения к неврологу направлена на МРТ ГМ, которое выявило признаки ишемического инсульта в правой теменно-височной области – гиперинтенсивность на диффузно-взвешенной МРТ тела (ДВИ) и гипоинтенсивность на ADC-картах (рис. 4, a, b). По результатам МР-ангиографии патологии артерий и венозных структур не обнаружено (рис. 4, c, d), гиперинтенсивности артерий на FLAIR не отмечено. Пациентка госпитализирована в первичное сосудистое отделение, поиск причин инсульта (КТ-ангиография, трансторакальная ЭхоКГ, холтеровский мониторинг ЭКГ, микропузырьковая проба, базовый лабораторный скрининг) патологии не выявил, анализы на основные тромбофилии (включая оценку на антифосфолипидный синдром) также отрицательные. В последующем пациентку беспокоили приступы МБА со средней частотой 1 раз в месяц, успешно купирующиеся ибупрофеном. После установления диагноза мигрень-ассоциированного инсульта пациентке рекомендовано не использовать триптаны для контроля приступов ГБ, а после совместной консультации с гинекологом отменен оральный контрацептив.
Рис. 4. Клинический случай №4: a – ДВИ; b – ИКД-карты МРТ; c – МР-ангиография (TOF); d – МР-венография (TOF).
Обсуждение
Взаимоотношения мигрени и инсульта представляются многогранными: с одной стороны, очаговая симптоматика в рамках МА может быть ошибочно диагностирована как признак инсульта, с другой – инсульт может дебютировать ГБ и очаговыми симптомами, напоминающими приступ МА, реже встречается мигренозный инсульт [13, 14]. Кроме того, имеются статистические данные о наличии повышенного риска инсульта у пациентов с мигренью (особенно при наличии ауры) [15, 16]. Взаимосвязь МА и инсульта имеет патофизиологическую основу: распространяющаяся корковая деполяризация, представляющая собой механизм МА, также описана при других патологических процессах в ГМ, включая ишемическую пенумбру [7, 13]. Описанная серия клинических случаев, на наш взгляд, представляет собой достаточно полную иллюстрацию вариантов соотношения двух заболеваний как с точки зрения патогенеза, так и в аспекте выбора терапевтической тактики в экстренной ситуации.
Несмотря на то что первый пациент доставлен в стационар с подозрением на острое нарушение мозгового кровообращения, инсульт удалось быстро исключить путем проведения КТ-ангиографии (отсутствие окклюзии крупной артерии) и КТ-перфузии (отсутствие зон, типичных для ишемии мозга). В силу особенностей клинической картины (ГБ и психомоторное возбуждение) дифференциальный ряд включал КТ-негативный случай субарахноидального кровоизлияния, энцефалит (в первую очередь герпетический) [17], синдром обратимой церебральной вазоконстрикции [18] и синдром транзиторной ГБ с неврологическим дефицитом и лимфоцитозом в цереброспинальной жидкости (HaNDL) [19]. Опровергнуть данные заболевания позволили нормальный анализ ликвора, монофазное течение заболевания с отсутствием рецидивов ГБ и результат контрольной МРТ ГМ (отсутствие патологических зон, характерных для энцефалита, и признака гиперинтенсивных на FLAIR артерий, характерного для вазоконстрикции). С учетом наличия в анамнезе у пациента МА развившееся состояние расценено как приступ мигрени со спутанностью (acute confusional migraine) – вариант заболевания, проявляющийся спутанностью сознания, ажитацией, дезориентацией, изменением психического статуса, нарушением речи и памяти. Мигрень со спутанностью характерна для детей и подростков, однако в 17% случаев развивается у лиц 18 лет и старше. В 1/3 случаев у пациентов наблюдаются зрительные нарушения. Считается, что изменение сознания может выступать следствием корковой распространяющейся деполяризации [20]. Примечательно, что дебют в виде психомоторного возбуждения описан также при гемиплегической мигрени [21]. В литературе обнаружено лишь одно описание КТ-перфузии у пациента с данным состоянием: наблюдалось снижение кровотока в левой височной доле [22]. В представленном нами случае можно предположить наличие гиперперфузии в лимбических зонах ГМ, что соотносится с клинической картиной заболевания. Известно, что во время приступа мигрени гиперперфузия приходит на смену первоначальной гипоперфузии, соответствующей ауре [23]. В литературе имеется единичное описание обратимого отека коры ГМ по МРТ у пациентов с пролонгированной МА [9]. В представленном нами случае выявленные на контрольной МРТ изменения соответствовали сохраняющимся на тот момент зрительным расстройствам, что подтверждает патогенетическую значимость обнаруженного феномена. К сожалению, наличие у пациента клаустрофобии не позволило выполнить повторную МРТ.
Второй представленный случай примечателен тем, что наличие типичного для МА анамнеза и изменений на КТ-перфузии позволило дежурному врачу принять обоснованное решение о непроведении внутривенного тромболизиса. Известно, что у 2,2% пациентов, поступающих в стационар с подозрением на инсульт, выявляется его маска в форме мигрени. В когорте пациентов, которым проведен тромболизис, данный показатель составляет 0,5% [24, 25]. На долю мигрени приходится 1 из 10 случаев всех масок инсульта [26]. В описании приступа у нашего пациента имелись типичные характеристики МА, в частности наличие «марша по сосудистым территориям» [27], однако вызывала сомнение в «безопасном диагнозе» продолжительность речевых нарушений. На наш взгляд, КТ-перфузия – надежный инструмент дифференциальной диагностики мигрени и инсульта: при МА гипоперфузия часто наблюдается в «задних» отделах мозга, выходит за границу сосудистого бассейна (может охватывать все полушарие) и имеет менее выраженное увеличение среднего времени транзита контрастного агента, чем при артериальной ишемии, с минимальным снижением объема мозгового кровотока [28].
Третий клинический случай примечателен тем, что пролонгирование ауры сопровождалось транзиторным цитотоксическим отеком коры ГМ. Ранее аналогичные, но более выраженные изменения описаны при гемиплегической мигрени [29, 30]. Схожий с нашим клинический случай транзиторного изменения МР-сигнала на ДВИ описан в 2010 г. R. Belvís и соавт. у пациентки с персистирующей зрительной аурой [31]. Кроме того, обсуждаемый случай интересен тем, что дежурным неврологом принято решение провести внутривенный тромболизис. Это обусловлено трактовкой повышения МР-сигнала на ДВИ ишемическим процессом, что представляется совершенно оправданным в экстренной ситуации. Важно отметить, что при невозможности надежно дифференцировать инсульт и его маску целесообразно выполнить внутривенный тромболизис в силу его относительной безопасности – риск симптомного кровоизлияния в этой ситуации не превышает 0,4% [32].
Важно отметить, что у второго и третьего пациентов выявлено открытое овальное окно (ООО) с массивным право-левым шунтом. Взаимосвязь мигрени и ООО представляется интригующей: окно может служить источником микроэмболии или порталом для нее (из венозного русла), что приводит к развитию ишемически-индуцированной корковой распространяющейся деполяризации; наличие ООО препятствует метаболизму вазоактивных метаболитов в легких, а также связано с синдромом обратимой церебральной вазоконстрикции [33, 34]. На наш взгляд, данные ассоциации могут быть особенно актуальны для мигрени с пролонгированной аурой. Однако практическая значимость аномалии у пациентов с мигренью противоречива: окклюзия ООО или/и применение антитромботических препаратов не входят в рутинную клиническую практику, хотя могут быть показаны в отдельных случаях (мигрень с резистентной аурой, гиперинтенсивность белого вещества) [35–37].
В четвертом клиническом случае у пациентки наблюдалась типичная мигренозная ГБ с пролонгированным неврологическим дефицитом, а первичная МРТ, выполненная отсроченно, выявила типичный инфаркт в бассейне правой средней мозговой артерии. Ипсилатеральные зрительные симптомы предположительно объясняются преходящей ретинальной ишемией, однако картина глазного дна в остром периоде не исследовалась. Другим объяснением могла бы быть сочетанная эмболия в правый каротидный бассейн, однако поиск ее источников показал отрицательный результат. Этот случай поддерживает критику критериев Международной классификации головных болей 3-го пересмотра [5] по мигренозному инфаркту, так как они требуют наличия у пациентов МА, не допуская возможности инсульта при МБА. Для «обхода» данных традиционных критериев некоторые эксперты используют термин «мигрень-ассоциированный инсульт» [38]. Мигренозный инсульт наблюдается редко – на его долю приходится 0,8% всех случаев инсульта, однако у молодых пациентов каждый десятый инсульт может быть мигрень-ассоциированным [39, 40]. Возможные причины мигренозного инсульта включают вазоконстрикцию, углубленную корковую депрессию со снижением регионарного кровотока, эндотелиальную дисфункцию и протромботические состояния [41, 42]. Роль последнего фактора усилена в нашем случае использованием гормонального контрацептива, а сочетание симптомов ишемии со стороны ГМ и сетчатки (ипсилатерально) свидетельствует о распространенной корковой депрессии/вазоконстрикции [43].
Заключение
Поступление в стационар пациента с мигренью в анамнезе и очаговым неврологическим дефицитом – сложная клиническая ситуация, требующая индивидуализации диагностической и терапевтической тактики. При наличии длительной ауры принятию обоснованного клинического решения может способствовать проведение КТ-перфузии, а также диффузионно-взвешенной МРТ. Интерпретация результата последней должна проводиться с осторожностью, так как транзиторный отек коры может быть ассоциирован с пролонгированием ауры. При невозможности в сжатые сроки надежно дифференцировать мигрень и инсульт следует провести внутривенный тромболизис.
Раскрытие интересов. Авторы декларируют отсутствие явных и потенциальных конфликтов интересов, связанных с публикацией настоящей статьи.
Disclosure of interest. The authors declare that they have no competing interests.
Вклад авторов. Авторы декларируют соответствие своего авторства международным критериям ICMJE. Все авторы в равной степени участвовали в подготовке публикации: разработка концепции статьи, получение и анализ фактических данных, написание и редактирование текста статьи, проверка и утверждение текста статьи.
Authors’ contribution. The authors declare the compliance of their authorship according to the international ICMJE criteria. All authors made a substantial contribution to the conception of the work, acquisition, analysis, interpretation of data for the work, drafting and revising the work, final approval of the version to be published and agree to be accountable for all aspects of the work.
Источник финансирования. Авторы декларируют отсутствие внешнего финансирования для проведения исследования и публикации статьи.
Funding source. The authors declare that there is no external funding for the exploration and analysis work.
Информированное согласие на публикацию. Пациенты подписали форму добровольного информированного согласия на публикацию медицинской информации.
Consent for publication. Written consent was obtained from the patients for publication of relevant medical information and all of accompanying images within the manuscript.
About the authors
Aleksey A. Kulesh
Wagner Perm State Medical University; City Clinical Hospital №4
Author for correspondence.
Email: aleksey.kulesh@gmail.com
ORCID iD: 0000-0001-6061-8118
D. Sci. (Med.)
Russian Federation, Perm; PermNatalia L. Starikova
Wagner Perm State Medical University
Email: aleksey.kulesh@gmail.com
ORCID iD: 0000-0002-8350-7004
D. Sci. (Med.)
Russian Federation, PermDmitry A. Demin
Federal Center for Cardiovascular Surgery
Email: aleksey.kulesh@gmail.com
ORCID iD: 0000-0003-2670-4172
Cand. Sci. (Med.)
Russian Federation, AstrakhanSergey Krapivin
Wagner Perm State Medical University
Email: aleksey.kulesh@gmail.com
ORCID iD: 0009-0000-8975-7365
Student
Russian Federation, PermSergei A. Mekhriakov
Wagner Perm State Medical University; City Clinical Hospital №4
Email: aleksey.kulesh@gmail.com
ORCID iD: 0000-0001-5679-4100
Cand. Sci. (Med.)
Russian Federation, Perm; PermNadezhda A. Kaileva
Wagner Perm State Medical University; City Clinical Hospital №4
Email: aleksey.kulesh@gmail.com
ORCID iD: 0000-0002-3785-1154
Cand. Sci. (Med.)
Russian Federation, Perm; PermMarina V. Lezhikova
Federal Center for Cardiovascular Surgery
Email: aleksey.kulesh@gmail.com
ORCID iD: 0009-0005-9534-3843
neurologist
Russian Federation, AstrakhanReferences
- Awaki E, Takeshima T, Matsumori Y, et al. Impact of Migraine on Daily Life: Results of the Observational survey of the Epidemiology, Treatment, and Care of Migraine (OVERCOME [Japan]) Study. Neurol Ther. 2024;13:165-82. doi: 10.1007/s40120-023-00569-3
- GBD 2015 Disease and Injury Incidence and Prevalence Collaborations. Global, regional and national incidence, prevalence, and years lived with disability for 310 diseases and injuries, 1990–2015: a systematic analysis for the Global Burden of Disease Study 2015. Lancet. 2016;388(10053):1545-602. doi: 10.1016/S0140-6736(16)31678-6
- Safiri S, Pourfathi H, Eagan A, et al. Global, regional, and national burden of migraine in 204 countries and territories 1990 to 2019. Pain. 2021;163:e293-e309. doi: 10.1097/j.pain.0000000000002275
- Stovner LJ, Nichols E, Steiner TJ, et al. Global, regional and national burden of migraine and tension-type headache, 1990-2016: a systematic analysis for the Global Burden of Disease Study 2016. Lancet Neurol. 2018;17:954-76. doi: 10.1016/s1474-4422(18)30322-3
- Headache Classification Committee of the International Headache Society (IHS) The International Classification of Headache Disorders, 3rd edition. Cephalalgia. 2018;38(1):1-211. doi: 10.1177/0333102417738202
- Табеева Г.Р., Кацарава З. Современная концепция патофизиологии и новые мишени терапии мигрени. Неврология, нейропсихиатрия, психосоматика. 2020;12(4):143-52 [Tabeeva GR, Katsapava Z. Current concept of the pathophysiology of migraine and new targets for its therapy. Nevrologiya, neiro psikhiatriya, psikhosomatika = Neurology, Neuropsychiatry, Psychosomatics. 2020;12(4):143-52 (in Russian)]. doi: 10.14412/2074-2711-2020-4-143-152
- Pelzer N, de Boer I, van den Maagdenberg AMJM, Terwindt GM. Neurological and psychiatric comorbidities of migraine: Concepts and future perspectives. Cephalalgia. 2023;43(6):3331024231180564. doi: 10.1177/03331024231180564
- Viana M, Afridi S. Migraine with prolonged aura: phenotype and treatment. Naunyn-Schmiedeberg's Arch Pharmacol. 2018;391:1-7. doi: 10.1007/s00210-017-1438-4
- Zayat R, Fermo OP. Two cases of delayed onset, fully reversible cortical oedema and signal intensity on brain MRI without infarction caused by prolonged migraine aura. Neurol Neurochir Pol. 2024;58(2):210-4. doi: 10.5603/pjnns.98031
- Jicha CJ, Alex A, Herskovitz S, et al. Migraine with prolonged aphasic aura associated with a CACNA1A mutation: A case report and narrative review. Headache. 2023;63(7):975-80. doi: 10.1111/head.14594
- Lester J, Bustamante JC, García-Moreno C, Klériga E. Atypical perfusion manifestation in migraine with aura. Case Rep Neurol. 2021;13(3):672-6. doi: 10.1159/000519508
- Viola S, Viola P, Buongarzone MP, et al. Microvascular vasospasm of cerebral cortex in prolonged aura migraine. Neurol Sci. 2018;39(Suppl. 1):95-6. doi: 10.1007/s10072-018-3343-0
- Scutelnic A, Kreis LA, Beyeler M, et al. Migraine aura-like symptoms at onset of stroke and stroke-like symptoms in migraine with aura. Front Neurol. 2022;13:1004058. doi: 10.3389/fneur.2022.1004058
- Jacobsen E, Logallo N, Kvistad CE, et al. Characteristics and predictors of stroke mimics in young patients in the norwegian tenecteplase stroke trial (NOR-TEST). BMC Neurol. 2023;23(1):406. doi: 10.1186/s12883-023-03425-x
- Acarsoy C, Fani L, Al-Hassany L, et al. Migraine and the risk of stroke in a middle-aged and elderly population: A prospective cohort study. Cephalalgia. 2023;43(1). doi: 10.1177/03331024221132008
- Kurth T, Winter AC, Eliassen AH, et al. Migraine and risk of cardiovascular disease in women: prospective cohort study. BMJ. 2016;353:i2610. doi: 10.1136/bmj.i2610
- Jørgensen LK, Mogensen TH. [Herpes simplex encephalitis]. Ugeskr Laeger. 2017;179(2):V07160478.
- Кулеш А.А., Демин Д.А., Старикова Н.Л., и др. Синдром обратимой церебральной вазоконстрикции. Consilium Medicum. 2025;27(2) [Kulesh AA, Demin DA, Starikova NL, et al. Reversible cerebral vasoconstriction syndrome. Consilium Medicum. 2025;27(2) (in Russian)]. doi: 10.26442/20751753.2025.2.203150
- Кулеш А.А., Старикова Н.Л., Дробаха В.Е., и др. Синдром транзиторной головной боли с неврологическим дефицитом и лимфоцитозом в цереброспинальной жидкости (HaNDL): описание трех пациентов. Неврология, нейропсихиатрия, психосоматика. 2020;12(4):65-72 [Kulesh AA, Starikova NL, Drobakha VE, et al. The syndrome of transient headache and neurologic deficits with cerebrospinal fluid lymphocytosis (HaNDL): a description of three patients. Nevrologiya, neiropsikhiatriya, psikhosomatika = Neurology, Neuropsychiatry, Psychosomatics. 2020;12(4):65-72 (in Russian)]. doi: 10.14412/2074-2711-2020-4-65-72
- Farooqi AM, Padilla JM, Monteith TS. Acute Confusional Migraine: Distinct Clinical Entity or Spectrum of Migraine Biology? Brain Sci. 2018;8(2):29. doi: 10.3390/brainsci8020029
- Старикова Н.Л., Кулеш А.А. Семейная гемиплегическая мигрень. Журнал неврологии и психиатрии. 2021;121(7):114 7 [Starikova NL, Kulesh AA. Familial hemiplegic migraine. S.S. Korsakov Journal of Neurology and Psychiatry. 2021;121(7):114-7 (in Russian)]. doi: 10.17116/jnevro2021121071114
- Iovene V, Piccardi B, Arba F, et al. CT perfusion in acute confusional migraine. Journal of the Neurological Sciences. 2021;429:119319. doi: 10.1016/j.jns.2021.119319
- Schramm S, Börner C, Reichert M, et al. Perfusion imaging by arterial spin labeling in migraine: A literature review. J Cereb Blood Flow Metab. 2024;44(8):1253-70. doi: 10.1177/0271678X241237733
- Förster A, Griebe M, Wolf ME, et al. How to identify stroke mimics in patients eligible for intravenous thrombolysis? J Neurol. 2012;259(7):1347-53. doi: 10.1007/s00415-011-6354-93
- Vroomen PC, Buddingh MK, Luijckx GJ, De Keyser J. The incidence of stroke mimics among stroke department admissions in relation to age group. J Stroke Cerebrovasc Dis. 2008;17(6):m418-22. doi: 10.1016/j.jstrokecerebrovasdis.2008.06.007
- Terrin A, Toldo G, Ermani M, et al. When migraine mimics stroke: A systematic review. Cephalalgia. 2018;38(14):2068-78. doi: 10.1177/0333102418767999
- Кулеш А.А., Демин Д.А. Маски инсульта и транзиторной ишемической атаки. Неврология, нейропсихиатрия, психосоматика. 2024;16(6):11-20 [Kulesh AA, Demin DA. Stroke and transient ischemic attack mimickers. Nevrologiya, neiropsikhiatriya, psikhosomatika = Neurology, Neuropsychiatry, Psychosomatics. 2024;16(6):11-20 (in Russian)]. doi: 10.14412/2074-2711-2024-6-11-20
- Strambo D, Nannoni S, Rebordão L, et al. Computed tomographic perfusion abnormalities in acute migraine with aura: Characteristics and comparison with transient ischemic attack. Eur Stroke J. 2022;7(4):431-8. doi: 10.1177/23969873221114256
- Thaler AI, Kim BD, Fara MG. Teaching NeuroImages: Magnetic resonance perfusion and diffusion findings in hemiplegic migraine. Neurology. 2020;95(12):554-5. doi: 10.1212/WNL.0000000000010249
- Hu Y, Wang Z, Zhou L, Sun Q. Prolonged Hemiplegic Migraine Led to Persistent Hyperperfusion and Cortical Necrosis: Case Report and Literature Review. Front Neurol. 2021;12:748034. doi: 10.3389/fneur.2021.748034
- Belvís R, Ramos R, Villa C, et al. Brain apparent water diffusion coefficient magnetic resonance image during a prolonged visual aura. Headache. 2010;50(6):1045-9. doi: 10.1111/j.1526-4610.2010.01672.x
- Ali-Ahmed F, Federspiel JJ, Liang L, et al. Intravenous Tissue Plasminogen Activator in Stroke Mimics. Circ Cardiovasc Qual Outcomes. 2019;12(8):e005609. doi: 10.1161/CIRCOUTCOMES.119.005609
- Cao W, Shen Y, Zhong J, et al. The Patent Foramen Ovale and Migraine: Associated Mechanisms and Perspectives from MRI Evidence. Brain Sci. 2022;12(7):941. doi: 10.3390/brainsci12070941
- Yan C, Li H, Wang C, et al. Frequency and Size of In Situ Thrombus Within Patent Foramen Ovale. Stroke. 2023;54(5):1205-13. doi: 10.1161/STROKEAHA.122.041524
- Zhang Y, Wang H, Liu L. Patent Foramen Ovale Closure for Treating Migraine: A Meta-Analysis. J Interv Cardiol. 2022;2022:6456272. doi: 10.1155/2022/6456272
- Zuo Y, Wang J, Gong Z, et al. Advances in the Study of the Correlation Between Patent Foramen Ovale and Migraine. Psychiatry Clin Psychopharmacol. 2024;34(3):265-71. doi: 10.5152/pcp.2024.23810
- Yan S, Wang N, Liu H, et al. Patent Foramen Ovale Closure for Migraineurs with Massive Right-to-Left Shunt and White Matter Lesions: An Exploration on Curative Effects. Altern Ther Health Med. 2024;30(11):160-5.
- Welch KM, Levine SR. Migraine-related stroke in the context of the International Headache Society classification of head pain. Arch Neurol. 1990;47(4):458-62. doi: 10.1001/archneur.1990.00530040114027
- Arboix A, Massons J, García-Eroles L, et al. Migrainous cerebral infarction in the Sagrat Cor Hospital of Barcelona stroke registry. Cephalalgia. 2003;23(5):389-94. doi: 10.1046/j.1468-2982.2003.00534.x
- Linetsky E, Leker RR, Ben-Hur T. Headache characteristics in patients after migrainous stroke. Neurology. 2001;57(1):130-2. doi: 10.1212/wnl.57.1.130
- Hassan M, Belavadi R, Gudigopuram SVR, et al. Migraine and Stroke: In Search of Shared Pathways, Mechanisms, and Risk Factors. Cureus. 2021;13(12):e20202. doi: 10.7759/cureus.20202
- Vinciguerra L, Cantone M, Lanza G, et al. Migrainous Infarction And Cerebral Vasospasm: Case Report And Literature Review. J Pain Res. 2019;12:2941-50. doi: 10.2147/JPR.S209485
- Batur P, Yao M, Bucklan J, et al. Use of combined hormonal contraception and stroke: A case-control study of the impact of migraine type and estrogen dose on ischemic stroke risk. Headache. 2023;63(6):813-21. doi: 10.1111/head.14473
Supplementary files







