Non-surgical treatment of cervical radiculopathy in outpatient settings. Case report
- Authors: Isaikin A.I.1, Kerimova E.K.1, Mouki K.1
-
Affiliations:
- Sechenov First Moscow State Medical University (Sechenov University)
- Issue: Vol 27, No 2 (2025): Neurology and Rheumatology
- Pages: 81-87
- Section: Articles
- Published: 12.04.2025
- URL: https://consilium.orscience.ru/2075-1753/article/view/678416
- DOI: https://doi.org/10.26442/20751753.2025.2.203210
- ID: 678416
Cite item
Full Text
Abstract
Cervical radiculopathy (CR) occurs when the cervical spinal roots are compressed due to degenerative changes in vertebral structures. At the cervical level, compression of radicular structures is most often caused not by the "soft tissue" component of the herniated disc in the epidural space but by compression in the radicular opening itself due to spondylosis. CR can present with various clinical symptoms and their combination in the form of not only pain (usually with "distant" radiation) but also symptoms of dysfunction (hypoaesthesia, motor disorders, decreased tendon reflexes) in the innervation zone of the corresponding spinal roots. Challenge tests aimed at increasing root compression and enhancing clinical symptoms (Spurling, Valsalva, and Elvey tests – Upper Limb Tension Tests, ULTT) are used, as well as other tests to reduce the root compression and relieve pain (traction, shoulder abduction). The diagnosis is based on the analysis of clinical presentation. Root compression is unlikely in the absence of focal neurological symptoms. Native magnetic resonance imaging of the cervical spine is the mainstay of neuroimaging for patients with a new or worsening clinical presentation of non-traumatic CR in the absence of "red flags." When assessing radicular compression, neuroimaging data should be interpreted only in the context of clinical presentation. The presence of anxiety, depression, distress symptoms, and high demands at work is associated with a poor prognosis of recovery and a decrease in the quality of life in patients with CR. Most doctors do not pay enough attention to assessing psychosocial factors. To facilitate this assessment, we have developed a telegram bot. The CR has a naturally favorable course and prognosis. In most cases, CR is a spontaneously resolving condition with a full recovery rate of 83-90%. The method of choice is non-surgical treatment. A case of typical CR is presented. A comprehensive multidisciplinary treatment, including clarification, an educational program, physical therapy, manual therapy, as well as drug therapy (non-steroidal anti-inflammatory drugs, gabapentin, Combilipen) is effective in regression of pain, neurological symptoms, improvement of psycho-emotional status, functional abilities, and quality of life.
Full Text
Введение
Цервикальная (шейная) радикулопатия (ЦР) – это состояние, обусловленное сдавлением или раздражением одного или нескольких спинномозговых корешков вследствие дегенеративных изменений шейного отдела позвоночника (ШОП). Клиническими проявлениями ЦР являются боль в шее, иррадиирующая в одну или обе руки, двигательные, рефлекторные и чувствительные нарушения (в том числе дизестезия и парестезии) в зоне иннервации соответствующих корешков без признаков поражения спинного мозга [1–3].
По данным крупного популяционного исследования, проводившегося в г. Рочестере (США) в 1976–1990 гг., ежегодная заболеваемость ЦР на 100 тыс. человек составляет у мужчин 107,3 случая, у женщин – 63,5 [4]. В недавнем систематическом обзоре по эпидемиологии ЦР заболеваемость оценена как 0,832–1,79 человеко-лет на 1 тыс. населения, распространенность – 1,21–5,8 [5]. Пик заболеваемости ЦР приходится на четвертое и пятое десятилетия жизни. К факторам риска ЦР относят эпизоды предшествующей поясничной радикулопатии, подъем тяжестей, ныряние, вибрационное воздействие, курение. Вопреки распространенному мнению частота травм в дебюте ЦР является низкой и не оказывает влияния на тяжесть состояния, а в 2/3 случаев симптоматика развивается без явных провоцирующих событий [4, 6].
По сравнению с другими вариантами шейных болей для ЦР характерны большая выраженность болевого синдрома (БС), значительное ограничение физического функционирования, негативное влияние на психическое здоровье и социальную активность пациентов. В то же время в большинстве случаев симптоматика ЦР хорошо регрессирует в результате консервативного лечения. В качестве иллюстрации приводим клинический случай.
Клинический случай
Жалобы и анамнез
Пациент И. 44 лет обратился с жалобами на простреливающую, жгучую боль в ШОП, иррадиирущую в правую руку, по наружной поверхности плеча и предплечья до I пальца кисти, интенсивностью до 7 баллов по цифровой рейтинговой шкале (ЦРШ), ощущение парестезий в этой области. Болевые ощущения усиливались при движении в ШОП, уменьшались при заведении руки за голову. Периодически боли в шее беспокоили в течение нескольких лет. Настоящее обострение возникло за 3 нед до обращения в клинику, когда после интенсивной физической нагрузки и подъема тяжестей появилась боль в шее до 4–5 баллов по ЦРШ. Спустя 4 дня боль усилилась до 7–8 баллов и стала иррадиировать в руку по наружной поверхности правого плеча и предплечья.
В анамнезе – гипертоническая болезнь I стадии, язвенная болезнь желудка (в настоящее время – в стадии стойкой ремиссии), в возрасте 34 лет был эпизод пояснично-крестцовой радикулопатии.
Лечился амбулаторно по месту жительства. Назначены нестероидные противовоспалительные препараты (НПВП), миорелаксанты с кратковременным положительным эффектом. В связи с неэффективностью лечения обратился в Клинику нервных болезней им. А.Я. Кожевникова ФГАОУ ВО «Первый МГМУ им. И.М. Сеченова» (Сеченовский Университет).
Неврологическое и нейроортопедическое обследование
Пациент в сознании, менингеальных знаков нет, черепно-мозговые нервы без патологии. Отмечен парез двуглавой мышцы правой руки справа до 4 баллов (уступчивость), тонус не изменен. Выявлено снижение сухожильного рефлекса с m. bicepsi справа, остальные – средней живости D=S, патологических знаков нет, снижение болевой чувствительности по сегментарно-корешковому типу С5-С6. Других расстройств чувствительности, координации и тазовых нарушений не обнаружено.
При нейроортопедическом обследовании выявлены ограничение латерофлексии и блок на среднем шейном уровне справа, гипермобильность при разгибании ШОП, напряжение ременной, нижней порции трапециевидной и надостной мышц справа, болезненность в проекции вырезки лопатки. Положительный тест Шпурлинга справа, положительный Элвейс-тест (Upper Limb Tension Test – ULTT 1) справа, проба Вальсальвы отрицательная, дистракционный тест отрицательный, в пробе на отведение плеча – уменьшение БС. Нейроортопедическое обследование плечевого сустава не выявило патологии: активные и пассивные движения в плечевом суставе в полном объеме, безболезненные, провокационные тесты отрицательные. При тестировании по опроснику невропатической боли (DN4) – 7 баллов, что соответствует наличию невропатического компонента.
Проведено обследование психоэмоционального статуса пациента. По Госпитальной шкале тревоги и депрессии (HADS) выявлены субклинически выраженная тревога (10 баллов) и субклинически выраженная депрессия (9 баллов), по опроснику Бека – легкая депрессия (11 баллов), по шкале реактивной и личностной тревожности Спилбергера–Ханина определен средний уровень – 33 и 36 баллов. По опроснику STarT MSK Tool (Subgroups for Targeted Treatment Musculoskeletal Tool), который предназначен для скрининговой оценки выраженности психоэмоционального компонента и риска хронизации при болях в шее, балл составил 8, что соответствует среднему риску хронификации. Показатель индекса нарушения жизнедеятельности при болях в шее (Neck Disability Index – NDI) составил 26, что соответствует значительному ограничению функционирования. Отмечено снижение качества жизни (КЖ) по данным опросника SF-12, в частности физической составляющей – до 37 баллов, психологической – до 36.
Дополнительное обследование
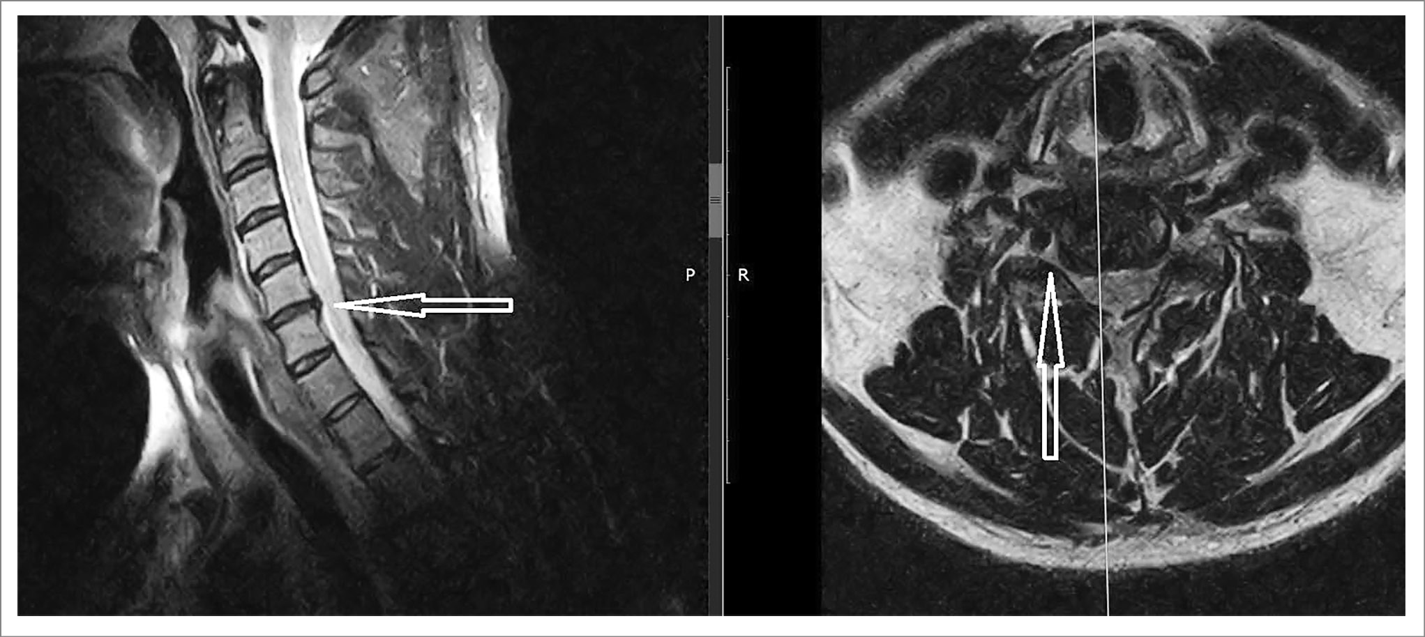
Амбулаторно проведена магнитно-резонансная томография (МРТ) ШОП. Заключение: выявлены изменения в субхондральных отделах тел позвонков (по типу Modic-2), дугоотросчатые суставы и унко-вертебральные сочленения умеренно дегенеративно изменены на уровне С5-С6, высота межпозвонковых дисков умеренно снижена на уровнях С5-С7, структура дисков изменена за счет начальных проявлений дегидратации; обнаружена правосторонняя лаерализованная (до 3,1 мм) грыжа диска С5-С6 с умеренной деформацией переднего контура дурального мешка, мелкими краевыми заострениями, корешковые отверстия сужены, больше справа, отмечено контактное воздействие на корешки нервов с признаками компрессии, позвоночный канал сужен до 8,5 мм (рис. 1).
Рис. 1. МРТ ШОП пациента И. Правосторонняя грыжа диска С5-С6 (показана стрелкой) с умеренной деформацией переднего контура дурального мешка.
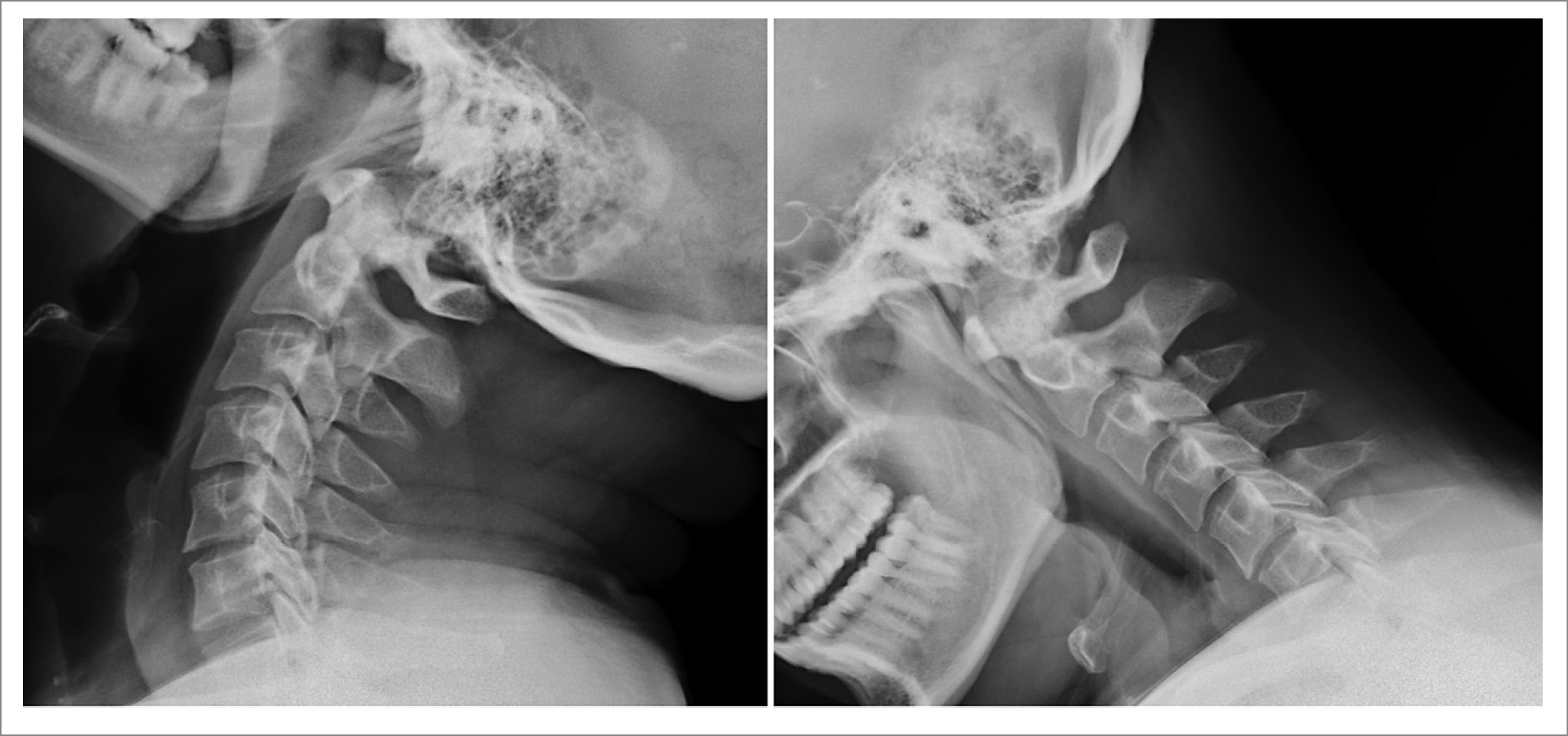
Проведена рентгенография ШОП с функциональными пробами: при функциональных пробах патологического смещения тел позвонков не выявлено. Рентгенологическая картина дегенеративных изменений ШОП показана на рис. 2.
Рис. 2. Рентгенография ШОП с функциональными пробами. Отсутствие патологического смещения тел позвонков.
Обоснование диагноза
Учитывая острое начало заболевания с болей в шее и последующим распространением боли в руку (до дистальных отделов), а также данные клинического обследования, которое выявило наличие негрубого вертебрального и миофасциального синдрома на шейном уровне, признаки корешкового поражения в виде легкого пареза бицепса со снижением сухожильного рефлекса, нарушение чувствительности по сегментарно-корешковому типу, усиление боли в провокационных тестах Шпурлинга и ULTT1 и облегчение при заведении руки за голову, нейровизуализационные изменения, которые соответствовали клинической симптоматике, установлен следующий диагноз: вертеброгенная цервикобрахиалгия, корешковый синдром С5-6 справа, диско-радикулярный конфликт, дисфункция фасеточных суставов С3-С6, миофасциальный синдром паравертебральной мускулатуры на шейном уровне. Тревожно-депрессивные нарушения.
Лечение
С пациентом проведена образовательная беседа: объяснены причины боли, доброкачественный характер процесса и высокая вероятность благоприятного прогноза, отсутствие необходимости использования шины Шанца, даны советы по эргономике работы и отдыха. Показана лечебная гимнастика, проведена мануальная терапия.
Медикаментозная терапия включала прием per os: НПВП совместно с гастропротекторами; габапентина, пентоксифиллина; внутримышечно Комбилипен®1 N10 с дальнейшим переходом на пероральный прием Комбилипен® табс2 по 3 таблетки 1 раз в сутки в течение 4 нед. На фоне лечения боли уменьшились до 3–4 баллов в течение 3 дней. Через 2 дня отмечены полный регресс пареза, БС и чувствительных нарушений в руке, достигнута нормализация эмоционального состояния (по HADS тревога составила 2, депрессия – 0), повысились показатели КЖ (SF-12), в частности физическая составляющая – до 53 баллов, психологическая – до 55, восстановлены функциональная активность и трудоспособность (NDI – 3 балла). Во время приема медикаментозной терапии побочных эффектов не выявлено. При последующем наблюдении в течение 2 мес рецидивов не отмечено новых болевых симптомов.
Обсуждение
Сочетание болей в шее и руке наблюдается при различных состояниях, включая скелетно-мышечные боли ШОП, например фасеточный синдром, патологию суставов руки, туннельные невропатии, синдром верхней апертуры и другие, что является частой причиной врачебных ошибок [7–9].
Основу диагностики составляет анализ клинической симптоматики. Точный сбор анамнеза является первым шагом в диагностике радикулопатии, при ЦР боли начинаются в шее, с последующим или одновременным нисходящим распространением в руку, что наблюдалось в приведенном клиническом случае. ЦР может проявляться различными клиническими симптомами и их сочетанием в виде не только боли (обычно с «длинной» иррадиацией), но и симптомов выпадения (гипестезии или двигательных нарушений) в зоне иннервации спинномозговых корешков. В отличие от туннельных невропатий характерно снижение рефлексов. Для оценки используют провокационные тесты, направленные на увеличение компрессии корешка и усиление клинической симптоматики (Шпурлинга, Вальсальвы, Элвейс-тест – ULTT) либо на уменьшение степени сдавления корешка и облегчение боли (тракции, отведения плеча). Корешковая компрессия маловероятна в отсутствие очаговой неврологической симптоматики, при этом отдельные тесты обладают невысокими чувствительностью и специфичностью. Информативным является комплексное обследование с учетом клинической симптоматики и результатов тестирования [9–11]. В нашем случае клиническое обследование выявило наличие вертебрального синдрома и радикулярной симптоматики, типичной для поражения корешков С5-6. Клинически отличить поражение отдельных близлежащих корешков практически невозможно, т.е. локализация болевых и сенсорных симптомов, а также распределение парезов могут совпадать, не соответствуя академическим представлениям о четкой привязанности радикулярных симптомов к зоне определенных дерматомов и миотомов. Это объясняется индивидуальной особенностью формирования спинномозговых корешков из нескольких уровней, а также вариабельностью клинических данных при повторных осмотрах одного и того же пациента [12, 13].
При вертеброгенной дегенеративной ЦР сдавление спинномозговых корешков и питающих их сосудов обусловлено грыжей диска или остеофитами (в том числе диско-остеофитными комплексами). В настоящее время имеется ограниченное число качественных клинических рекомендаций по диагностике и лечению ЦР, многие из которых являются экстраполяцией данных, полученных для пояснично-крестцовых радикулопатий. В то же время стоит отметить, что строение межпозвонковых дисков на шейном уровне существенно отличается от поясничных. К 30 годам шейные диски в значительной степени утрачивают пульпозное ядро и представлены в основном фибро-хрящевой пластиной. Дегенеративные изменения приводят к развитию спондилоартроза и унковертебрального артроза в соответствующих позвоночных сегментах, что приводит к сужению корешкового отверстия. На шейном уровне спинномозговые корешки чаще сдавливаются не за счет мягкотканного компонента грыжи диска в эпидуральном пространстве, а преимущественно в самом корешковом отверстии вследствие спондилеза. Важное патогенетическое значение имеет фактор асептического воспаления со сложным иммунным каскадом [14–18].
Основным методом нейровизуализации для пациентов с впервые возникшей или нарастающей клинической картиной нетравматической ЦР, в отсутствие «красных флагов тревоги», является МРТ ШОП без контрастирования [19]. В представленном клиническом случае выявлены МРТ-изменения в виде преимущественно фораминального стеноза, обусловленного относительно небольшими разрастаниями в области унковертебральных сочленений, «жестким» диско-остеофитным комплексом, которые лучше видны на снимке в аксиальной проекции (см. рис. 1).
Следует отметить, что диагностика ЦР на основании исключительно МРТ невозможна из-за высокой частоты дегенеративных изменений ШОП, в том числе у бессимптомных пациентов [10, 20]. Имеется высокий процент ложноположительных и ложноотрицательных результатов МРТ [3]. В большинстве исследований подчеркивается, что при оценке корешковой компрессии данные нейровизуализации необходимо интерпретировать только в контексте клинической симптоматики [1, 2, 21].
Рентгенографию ШОП не используют для диагностики ЦР [22]. В нашем случае наблюдалось практически полное совпадение клинической симптоматики и нейровизализационной МРТ-картины. Учитывая признаки гипермобильности по данным нейроортопедического обследования, перед проведением мануальной терапии для исключения спондилолистеза и нестабильности ШОП выполнена функциональная рентгенография.
Для уточнения уровня поражения возможно использование селективных блокад спинномозговых корешков, если планируется инвазивное вмешательство [2, 21].
Вопреки распространенным опасениям для ЦР характерны естественное благоприятное течение и прогноз. В большинстве случаев ЦР является спонтанно регрессирующим заболеванием, при котором полностью выздоравливают 83–90% пациентов [21–24].
Как полагают некоторые исследователи, в основе достаточно быстрого уменьшения клинических проявлений лежит уменьшение воспалительного процесса, при этом улучшение наблюдается как при мягкотканных грыжах, так и при компрессии, обусловленной остеофитами [25]. Наш клинический случай является наглядной иллюстрацией этого процесса.
При долгосрочном наблюдении обычно не отмечалось прогрессирование неврологической симптоматики или развитие миелопатии [21, 22, 24].
Факторами плохого восстановления ЦР являются продолжительность более 6 мес, высокая интенсивность боли, наличие психосоциальных проблем, осложнений, связанных с операцией, рентные установки по возмещению ущерба [24, 26].
В недавнем систематическом обзоре (2023 г.) показано, что наличие тревоги, депрессии, симптомов дистресса, высоких требований на работе связано с плохим прогнозом восстановления и снижением КЖ у пациентов с ЦР [27].
Согласно международным клиническим рекомендациям при выборе метода лечения ЦР необходимо учитывать эмоциональный фон и когнитивный статус пациентов [2]. В своей практической деятельности большинство врачей не уделяют должного внимания оценке психосоциальных факторов. Для облегчения этой оценки нами разработан телеграмм-бот, включающий автоматическую экспресс-оценку приведенных факторов на основании включенных в этот бот шкал (HADS, STarT MSK Tool и др.). В приведенном клиническом случае обследование выявило наличие тревожно-депрессивных нарушений, во многом обусловленных БС и связанных с наличием ЦР-опасений.
Консервативное лечение ЦР является вариантом выбора [21, 22, 26]. Пациенты должны получать информацию о благоприятном прогнозе, советы по сохранению активности. Наиболее обосновано использование мультимодальной реабилитации, в которой сочетаются обучение, лечебная физкультура (ЛФК), мануальная терапия, психологические и фармакологические методы лечения. По данным систематического обзора (2022 г.), эффективность мультимодальных вмешательств сравнима по эффективности с нейрохирургическим лечением [28, 29]. Экспертами группы OPTIMa для лечения пациентов c острой ЦР рекомендовано использование контролируемых упражнений в сочетании со структурированным обучением пациентов, при этом нет доказательств пользы шейных воротников, вытяжения и лазерной терапии [30]. Для каждого пациента следует тщательно рассматривать наиболее безопасный вариант гимнастики [31]. По данным систематического обзора с метаанализом показана эффективность мануальной терапии в лечении ЦР [32]. Манипуляции должны выполняться хорошо подготовленным специалистом. В представленном клиническом случае пациент получал мультимодальную реабилитацию, включающую образовательную программу, ЛФК и мануальную терапию с хорошим эффектом в виде регресса неврологической симптоматики, вертебрального синдрома, психоэмоциональных нарушений.
В связи с отсутствием высококачественных исследований медикаментозная терапия ЦР не полностью определена. Национальный институт здравоохранения (Великобритания) [NICE 2022 г.] предлагает использовать простые обезболивающие препараты (НПВП, парацетамол, кодеин), а для лечения нейропатических болей – антиконвульсанты и антидепрессанты [23].
Роль антиконвульсантов для лечения различных вариантов компрессионно-ишемической радикулопатии остается неясной. Учитывая наличие невропатического компонента боли у нашего пациента, подтвержденного результатами клинического обследования и данными тестирования по шкале DN-4 (7 баллов), назначен габапентин, обладающий хорошим обезболивающим эффектом.
В клинических рекомендациях Российского общества по изучению боли (РОИБ) по ведению дискогенной пояснично-крестцовой радикулопатии, которые одобрены Минздравом России в 2023 г., в качестве дополнительного метода медикаментозной терапии показано использование комбинированных препаратов витаминов группы В [33]. Комплекс витаминов группы В применяют при острой пояснично-крестцовой радикулопатии в комбинации с НПВП для уменьшения боли. Добавление этих витаминов к НПВП оказывает дополнительное обезболивающее действие при острой радикулопатии. Механизм потенцирования действия НПВП включает блокирование действия медиаторов воспаления, ингибирование синтеза простогландинов, замедление метаболизма НПВП путем подавления каталитической активности цитохрома С450. Помимо усиления действия НПВП витамины группы В обладают собственным анальгезирующим действием. Комбинированная терапия может сократить сроки лечения, а также уменьшить необходимость приема НПВП. Учитывая наличие язвенной болезни желудка в анамнезе у нашего пациента, назначение препаратов Комбилипен® и Комбилипен® табс с ко-анальгетической целью способствовало снижению риска развития побочных эффектов НПВП. Учитывая, что применение комбинированных препаратов витаминов группы В в виде ступенчатой терапии позволяет снизить риск развития рецидива заболевания, назначенная нами терапия начиналась с внутримышечных инъекций препарата Комбилипен®1, что позволило ускорить наступление анальгетического эффекта, а в дальнейшем пациент был переведен на таблетированную форму – Комбилипен® табс2 по 1 таблетке 3 раза в день на протяжении 4 нед. Так, дальнейшее наблюдение за пациентом в течение 2 мес не выявило рецидивов и возникновения новых болевых симптомов. Важно отметить, что Комбилипен® табс в своем составе содержит особую жирорастворимую форму витамина В1 – бенфотиамин, обладающую более высокой биодоступностью по сравнению с водорастворимой формой и обеспечивающую достижение лечебных концентраций витамина В1 в нервной клетке. Входящие в состав препарата пиридоксина гидрохлорид и цианокобаламин обеспечивают пациента витаминами В6 в безопасной суточной дозе 300 мг и В12 в суточной дозе 6 мкг. Ко-анальгетики – это вещества, которые используют совместно с классическими обезболивающими, оказывающие позитивное воздействие на боль. Комбинированная терапия НПВП и витаминами группы В превосходит монотерапию НПВП в отношении БС [34]. На экспериментальных моделях доказано существование собственного обезболивающего эффекта у тиамина. Витамин B6 способствует подавлению пуринергических рецепторов катион-проницаемых ионных каналов, которые обеспечивают быструю возбуждающую нейротрансмиссию в центральной и периферической нервной системе, соответственно, он предотвращает формирование нейропатической боли, повреждение клеток в условиях ишемии, а также оказывает противовоспалительное действие. В эксперименте метилкобаламин уменьшает нейропатическую боль, снижает потерю периферических нервных волокон и устраняет дисбаланс цитокинов в спинном мозге [35]. Основываясь на этих данных и на патофизиологии нейропатической боли, можно предложить использование Комбилипена® в качестве комбинированной терапии при различных вариантах нейропатической боли, в том числе при радикулопатиях.
Комбинированное применение витаминов группы В оказывает адъювантный обезболивающий эффект при смешанных болях, с наличием ноцицептивного и невропатического компонентов. Такой эффект можно объяснить противовоспалительным, антиноцицептивным, нейропротекторным и нейромодулирующим действием на нисходящую болевую систему [36]. Витамины B6 и B12 необходимы для метаболизации фолатов и обезвреживания гомоцистеина, что способствует снижению нейровоспаления. Витамин В12 по данным литературы играет основную роль в восстановлении миелиновой оболочки нервов, что обеспечивает нормальное проведение нервных импульсов, а витамин В1 обладает антиоксидантными свойствами [37, 38].
Доказана эффективность эпидуральных блокад с местными анестетиками и глюкокортикоидами [21, 39]. В нашем случае удалось купировать клинические проявления ЦР без применения интервенционных методов лечения. В современных качественных клинических рекомендациях не показано системное назначение глюкокортикоидов. В ряде случаев (особенно при наличии красных флажков тревоги) возможно применение нейрохирургического лечения, которое обеспечивает быстрый обезболивающий эффект. В то же время подчеркивается, что в настоящее время нет четкого консенсуса относительно показаний к операции у пациентов с ЦР [21].
Заключение
Представленный клинический случай демонстрирует типичную картину ЦР у пациента средних лет с длительным анамнезом боли в шее и эпизодом пояснично-крестцовой радикулопатии. Неврологическое и нейроортопедическое обследование подтвердило наличие вертеброгенного и корешкового синдромов в отсутствие признаков поражения спинного мозга и других возможных источников боли в руке. МРТ-находки соответствовали клинической симптоматике. Проведена комплексная оценка психосоциального статуса с использованием телеграмм-бота. Комплексное мультидисциплинарное лечение, включающее разъяснение, образовательную программу, ЛФК, мануальную терапию, а также медикаментозную терапию (НПВП, габапентин, Комбилипен®), позволило достичь хорошего эффекта в виде регресса болевых ощущений, неврологической симптоматики, улучшения психоэмоционального статуса, функциональных способностей и КЖ.
Раскрытие интересов. Авторы декларируют отсутствие явных и потенциальных конфликтов интересов, связанных с публикацией настоящей статьи.
Disclosure of interest. The authors declare that they have no competing interests.
Вклад авторов. Авторы декларируют соответствие своего авторства международным критериям ICMJE. Все авторы в равной степени участвовали в подготовке публикации: разработка концепции статьи, получение и анализ фактических данных, написание и редактирование текста статьи, проверка и утверждение текста статьи.
Authors’ contribution. The authors declare the compliance of their authorship according to the international ICMJE criteria. All authors made a substantial contribution to the conception of the work, acquisition, analysis, interpretation of data for the work, drafting and revising the work, final approval of the version to be published and agree to be accountable for all aspects of the work.
Источник финансирования. Авторы декларируют отсутствие внешнего финансирования для проведения исследования и публикации статьи.
Funding source. The authors declare that there is no external funding for the exploration and analysis work.
Информированное согласие на публикацию. Пациент подписал форму добровольного информированного согласия на публикацию медицинской информации.
Consent for publication. Written consent was obtained from the patient for publication of relevant medical information and all of accompanying images within the manuscript.
1 Комбилипен®. Инструкция по медицинскому применению препарата. Режим доступа: https://grls.rosminzdrav.ru/Grls_View_v2.aspx?routingGuid=b3838316-9ddf-47da-918b-2301d80cc6f7. Ссылка активна на 13.02.2025.
2 Комбилипен® табс. Инструкция по медицинскому применению препарата. Режим доступа: https://grls.rosminzdrav.ru/Grls_View_v2.aspx?routingGuid=9157154b-4f68-425e-835d-b152878ea25b. Ссылка активна на 13.02.2025.
About the authors
Aleksei I. Isaikin
Sechenov First Moscow State Medical University (Sechenov University)
Email: ekaterinakerimova29@yandex.ru
ORCID iD: 0000-0003-4950-144X
Cand. Sci. (Med.), Assoc. Prof.
Russian Federation, MoscowEkaterina K. Kerimova
Sechenov First Moscow State Medical University (Sechenov University)
Author for correspondence.
Email: ekaterinakerimova29@yandex.ru
ORCID iD: 0009-0003-4417-0968
Clinical Resident, neurologist
Russian Federation, MoscowKinan Mouki
Sechenov First Moscow State Medical University (Sechenov University)
Email: ekaterinakerimova29@yandex.ru
ORCID iD: 0000-0002-8446-7489
Student
Russian Federation, MoscowReferences
- Яхно Н.Н., Абузарова Г.Р., Алексеев В.В., и др. Боль. Практическое руководство. М.: МЕДпресс-информ, 2022 [Iakhno NN, Abuzarova GR, Alekseev VV, et al. Bol'. Prakticheskoe rukovodstvo. Moscow: MEDpress-inform, 2022 (in Russian)].
- Bono CM, Ghiselli G, Gilbert TJ, et al. An evidence-based clinical guideline for the diagnosis and treatment of cervical radiculopathy from degenerative disorders. Spine J. 2011;11(1):64-72. doi: 10.1016/j.spinee.2010.10.023
- Kuijper B, Tans JT, Schimsheimer RJ, et al. Degenerative cervical radiculopathy: diagnosis and conservative treatment. A review. Eur J Neurol. 2009;16(1):15-20. doi: 10.1111/j.1468-1331.2008.02365.x
- Radhakrishnan K, Litchy WJ, O'Fallon WM, Kurland LT. Epidemiology of cervical radiculopathy. A population-based study from Rochester, Minnesota, 1976 through 1990. Brain. 1994;117(Pt 2):325-35. doi: 10.1093/brain/117.2.325
- Mansfield M, Smith T, Spahr N, Thacker M. Cervical spine radiculopathy epidemiology: A systematic review. Musculoskeletal Care. 2020;18(4):555-67. doi: 10.1002/msc.1498
- Kelsey JL, Githens PB, Walter SD, et al. An epidemiological study of acute prolapsed cervical intervertebral disc. The Journal of Bone & Joint Surgery. 2016;66(6):907-14. doi: 10.2106/00004623-198466060-00011
- Katsuura Y, Bruce J, Taylor S, et al. Overlapping, Masquerading, and Causative Cervical Spine and Shoulder Pathology: A Systematic Review. Global Spine J. 2020;10(2):195-208. doi: 10.1177/2192568218822536
- Jajeh H, Lee A, Charls R, et al. A clinical review of hand manifestations of cervical myelopathy, cervical radiculopathy, radial, ulnar, and median nerve neuropathies. J Spine Surg. 2024;10(1):120-34. doi: 10.21037/jss-23-39
- Исайкин А.И., Ахмеджанова Л.Т., Голенкова С.С., и др. Шейно-плечевой синдром: алгоритмы диагностики и лечения. Неврология, нейропсихиатрия, психосоматика. 2024;16(3):110-6 [Isaykin AI, Akhmedzhanova LT, Golenkova SS, et al. Cervicobrachial syndrome: diagnostic and treatment algorithms. Nevrologiya, neiropsikhiatriya, psikhosomatika = Neurology, Neuropsychiatry, Psychosomatics. 2024;16(3):110-6 (in Russian)]. doi: 10.14412/2074-2711-2024-3-110-116
- Исайкин А.И., Шмидт Т.Е., Шор Ю.М. Цервикальная радикулопатия. Неврология, нейропсихиатрия, психосоматика. 2022;14(5):103-8 [Isaikin AI, Shmidt TE, Shor YuM. Cervical radiculopathy. Neurology, Neuropsychiatry, Psychosomatics. 2022;14(5):103-8 (in Russian)]. doi: 10.14412/2074-2711-2022-5-103-108
- Guzman J, Haldeman S, Carroll LJ, et al. Clinical Practice Implications of the Bone and Joint Decade 2000–2010 Task Force on Neck Pain and Its Associated Disorders: from concepts and findings to recommendations. Spine (Phila Pa 1976). 2008;33(Suppl. 4):S199-213. doi: 10.1097/brs.0b013e3181644641
- McAnany SJ, Rhee JM, Baird EO, et al. Observed patterns of cervical radiculopathy: how often do they differ from a standard, "Netter diagram" distribution? Spine J. 2019;19(7):1137-12. doi: 10.1016/j.spinee.2018.08.002
- Rainville J, Joyce AA, Laxer E, et al. Comparison of Symptoms From C6 and C7 Radiculopathy. Spine (Phila Pa 1976). 2017;42(20):1545-51. doi: 10.1097/BRS.0000000000002353
- Peng B, Bogduk N. Cervical Discs as a Source of Neck Pain. An Analysis of the Evidence. Pain Med. 2019;20(3):446-55. doi: 10.1093/pm/pny249
- Kang JD, Stefanovic-Racic M, McIntyre LA, et al. Toward a biochemical understanding of human intervertebral disc degeneration and herniation. Contributions of nitric oxide, interleukins, prostaglandin E2, and matrix metalloproteinases. Spine (Phila Pa 1976). 1997;22(10):1065-73. doi: 10.1097/00007632-199705150-00003
- Kato T, Haro H, Komori H, Shinomiya K. Sequential dynamics of inflammatory cytokine, angiogenesis inducing factor and matrix degrading enzymes during spontaneous resorption of the Herniated disc. Journal Orthopaedic Research. 2004;22(4):895-900. doi: 10.1016/j.orthres.2003.11.008
- Sun Z, Zhang M, Zhao XH. Immune cascades in human intervertebral disc: the pros and cons. Int J Clin Exp Pathol. 2013;6(6):1009-14.
- McCartney S, Baskerville R, Blagg S, McCartney D. Cervical radiculopathy and cervical myelopathy: diagnosis and management in primary care. Br J Gen Pract. 2018;68(666):44-6. doi: 10.3399/bjgp17X694361
- Expert Panel on Neurological Imaging: McDonald MA, Kirsch CFE, et al. ACR Appropriateness Criteria(®) Cervical Neck Pain or Cervical Radiculopathy. J Am Coll Radiol. 2019;16(5S):S57-76. doi: 10.1016/j.jacr.2019.02.023
- Brinjikji W, Luetmer PH, Comstock B, et al. Systematic literature review of imaging features of spinal degeneration in asymptomatic populations. AJNR Am J Neuroradiol. 2015;36(4):811-6. doi: 10.3174/ajnr.A4173
- Iyer S, Kim HJ. Cervical radiculopathy. Curr Rev Musculoskelet Med. 2016;9(3):272-80. doi: 10.1007/s12178-016-9349-4
- Thoomes EJ, Scholten-Peeters W, Koes B, et al. The effectiveness of conservative treatment for patients with cervical radiculopathy: a systematic review. Clin J Pain. 2013;29(12):1073-86. doi: 10.1097/AJP.0b013e31828441fb
- National Institute for Health and Care Excellence. Neck pain – cervical radiculopathy. 2015. Available at: https://cks.nice.org.uk/neck-pain-cervical-radiculopathy#!scenario. Accessed: 15.01.2025.
- Wong JJ, Côté P, Quesnele JJ, et al. The course and prognostic factors of symptomatic cervical disc herniation with radiculopathy: a systematic review of the literature. Spine J. 2014;14(8):1781-9. doi: 10.1016/j.spinee.2014.02.032
- Beckworth WJ, Abramoff BA, Bailey IM, et al. Acute Cervical Radiculopathy Outcomes: Soft Disc Herniations vs Osteophytes. Pain Med. 2021;22(3):561-6. doi: 10.1093/pm/pnaa341
- Cohen SP. Epidemiology, diagnosis, and treatment of neck pain. Mayo Clin Proc. 2015;90(2):284-99. doi: 10.1016/j.mayocp.2014.09.008
- Mansfield M, Thacker M, Taylor JL, et al. The association between psychosocial factors and mental health symptoms in cervical spine pain with or without radiculopathy on health outcomes: a systematic review. BMC Musculoskelet Disord. 2023;24(1):235. doi: 10.1186/s12891-023-06343-8
- Mallard F, Wong JJ, Lemeunier N, Côté P. Effectiveness of Multimodal Rehabilitation Interventions for Management of Cervical Radiculopathy in Adults: An Updated Systematic Review from the Ontario Protocol for Traffic Injury Management (Optima) Collaboration. J Rehabil Med. 2022;54:jrm00318. doi: 10.2340/jrm.v54.2799
- Kjaer P, Kongsted A, Hartvigsen J, et al. National clinical guidelines for non-surgical treatment of patients with recent onset neck pain or cervical radiculopathy. Eur Spine J. 2017;26(9):2242-27. doi: 10.1007/s00586-017-5121-8
- Côté P, Wong JJ, Sutton D, et al. Management of neck pain and associated disorders: A clinical practice guideline from the Ontario Protocol for Traffic Injury Management (OPTIMa) Collaboration. Eur Spine J. 2016;25(7):2000-22. doi: 10.1007/s00586-016-4467-7
- Liang L, Feng M, Cui X, et al. The effect of exercise on cervical radiculopathy: A systematic review and meta-analysis. Medicine (Baltimore). 2019;98(45):e17733. doi: 10.1097/MD.0000000000017733
- Zhu L, Wei X, Wang S. Does cervical spine manipulation reduce pain in people with degenerative cervical radiculopathy? A systematic review of the evidence, and a meta-analysis. Clin Rehabil. 2016;30(2):145-55. doi: 10.1177/0269215515570382
- Парфенов В.А., Яхно Н.Н., Давыдов О.С., и др. Дискогенная пояснично-крестцовая радикулопатия. Рекомендации Российского общества по изучению боли (РОИБ). Неврология, нейропсихиатрия, психосоматика. 2020;12(4):15-24 [Parfenov VA, Yakhno NN, Davydov OS, et al. Discogenic lumbosacral radiculopathy. Recommendations of the Russian Association for the Study of Pain (RSSP). Nevrologiya, neiropsikhiatriya, psikhosomatika = Neurology, Neuropsychiatry, Psychosomatics. 2020;12(4):15-24 (in Russian)]. doi: 10.14412/2074-2711-2020-4-15-24
- Mibielli MA, Geller M, Cohen JC, et al. Diclofenac plus B vitamins versus diclofenac monotherapy in lumbago: the DOLOR study. Curr Med Res Opin. 2009;25(11):2589-99. doi: 10.3111/13696990903246911
- Торшин И.Ю., Громова О.А. О неврологических функциях и синергизме витаминов B1, B6, B12. Российский журнал боли. 2022;20(1):56-64 [Torshin IYu, Gromova OA. Neurological functions and synergism of vitamins B1, B6 and B12. Russian Journal of Pain. 2022;20(1):56-64 (in Russian)]. doi: 10.17116/pain20222001156
- Nava-Mesa MO, Aispuru Lanche GR. Role of B vitamins, thiamine, pyridoxine, and cyanocobalamin in back pain and other musculoskeletal conditions: a narrative review. Semergen. 2021;47(8):551-62 (in Spanish). doi: 10.1016/j.semerg.2021.01.010
- Кукушкин М.Л. Витамины группы В (B1, B6, B12) в комплексной терапии болевых синдромов. Российский журнал боли. 2019;17(3):39-45 [Kukushkin ML. Vitamins of group B (B1, B6, B12) in complex therapy of pain syndromes. Russian Journal of Pain. 2019;17(3):39-45 (in Russian)]. doi: 10.25731/RASP.2019.03.31 (in Russian)].
- Calderon-Ospina CA, Nava-Mesa MO, Arbeláez Ariza CE. Effect of Combined Diclofenac and B Vitamins (Thiamine, Pyridoxine, and Cyanocobalamin) for Low Back Pain Management: Systematic Review and Meta-analysis. Pain Med. 2020;21(4):766-81. doi: 10.1093/pm/pnz216
- Peene L, Cohen SP, Brouwer B, et al. 2. Cervical radicular pain. Pain Pract. 2023;23(7):800-17. doi: 10.1111/papr.13252
Supplementary files





