Сложности диагностики онкологического заболевания при системной склеродермии (описание клинического случая)
- Авторы: Меньшикова И.В.1, Собянина А.Н.1, Прокофьева Ю.А.1, Колосова И.Р.1
-
Учреждения:
- ФГАОУ ВО «Первый Московский государственный медицинский университет им. И.М. Сеченова» Минздрава России (Сеченовский Университет)
- Выпуск: Том 27, № 2 (2025): Неврология и ревматология
- Страницы: 123-128
- Раздел: Статьи
- Статья опубликована: 12.04.2025
- URL: https://consilium.orscience.ru/2075-1753/article/view/678431
- DOI: https://doi.org/10.26442/20751753.2025.2.203162
- ID: 678431
Цитировать
Полный текст
Аннотация
Системная склеродермия (ССД) – относительно редкое иммуновоспалительное заболевание, характеризующееся васкулопатией, иммунными нарушениями и генерализованным фиброзом. Распространенность онкологических заболеваний при ССД составляет от 3 до 11%, чаще всего опухоли выявляют в легких или желудочно-кишечном тракте. Несмотря на регулярное наблюдение пациентов с ССД у ревматологов, онкологический процесс часто диагностируют на поздних стадиях. Описан клинический случай пациентки 71 года с давним анамнезом ССД, у которой опухолевый процесс обнаружен на стадии костных метастазов, а морфологическая верификация представляла определенные сложности.
Полный текст
Введение
Системная склеродермия – ССД (прогрессирующий системный склероз) – полиорганное заболевание, при котором развиваются специфические аутоиммунные расстройства, сопровождающиеся вазоспастическими сосудистыми реакциями по типу синдрома Рейно, облитерирующей васкулопатией с ишемическими повреждениями и активацией фиброобразования с избыточным отложением коллагена в тканях.
Этиология заболевания неизвестна. В основе патогенеза лежат три ключевых механизма [1]:
1) васкулопатия мелких сосудов;
2) гуморальные и клеточные иммунные нарушения;
3) дисфункция фибробластов, приводящая к избыточному отложению компонентов внеклеточного матрикса.
Прогрессирующее течение ССД приводит к развитию необратимых распространенных фиброзных изменений кожи и внутренних органов с нарушением их функций, что определяет высокую инвалидизацию больных и общий плохой прогноз болезни. Заболеваемость составляет 3–20 случаев на 1 млн населения в год, распространенность – 30–300 случаев на 1 млн человек. ССД чаще встречается у женщин (соотношение 5–7:1) в возрасте 30–60 лет. Около 10% пациентов заболевают в детском возрасте.
Наиболее частые клинические проявления:
- поражение кожи – 90–95%;
- феномен Рейно – до 90%;
- общая слабость – до 80%;
- артралгии/миалгии – 70–80%;
- нарушения моторики желудочно-кишечного тракта (ЖКТ) – до 50%;
- интерстициальные заболевания легких – до 80%;
- другие висцеральные поражения встречаются реже.
Иммунологическая диагностика
Определение антинуклеарных антител выявляется более чем у 95% пациентов. Исследуются специфичные аутоантитела:
- антитела к топоизомеразе I – ассоциированы с диффузной формой ССД и высоким риском легочного фиброза;
- антицентромерные антитела – характерны для лимитированной формы заболевания с низкой вероятностью поражения внутренних органов;
- антитела к РНК-полимеразе III – выявляются реже, преимущественно при диффузной форме болезни, и ассоциируются с развитием почечного криза [2].
В редких случаях характерные клинические признаки ССД могут маскировать онкологические заболевания (злокачественные новообразования – ЗНО) [3]. Распространенность ЗНО у пациентов с ССД варьирует в пределах от 3 до 11%. Злокачественные опухоли наряду с инфекциями и сердечно-сосудистыми осложнениями являются одной из ведущих причин летального исхода при данном заболевании.
По данным EUSTAR (5860 пациентов с ССД, проанализировано 234 летальных случая) [4] выявлено, что среди причин смерти заболевания составили:
- ЗНО – 31%;
- инфекционные осложнения – 33%;
- сердечно-сосудистые заболевания – 29%.
Существует ряд исследований, в которых изучали ассоциацию ЗНО и склеродермии. В датском исследовании национального регистра из 2040 пациентов с ССД обнаружено 222 пациента с возникшими ЗНО [5]. У мужчин заболеваемость онкологией выше. Часто выявлялись рак легких, онкогематологические заболевания. Ученые Университета Джона Хопкинса взяли группу пациентов, одновременно страдающих онкологией (раком молочной железы, раком яичников и раком легких) и ССД. У каждого пациента изучили наличие типичных для ССД антител. Продемонстрирована тесная временная связь между началом склеродермии и выявлением онкологии у тех пациентов, у которые определяли антитела к РНК-полимеразе I/III. В исследовании также изучали фрагменты опухолей: у всех пациентов, кто имел антитела к РНК-полимеразе, в опухолевых клетках обнаружена повышенная экспрессия этого фермента [6].
Такие результаты наталкивают на логическую цепочку: развитие опухоли с экспрессией антигенов вызывает иммунный ответ с образованием специфических антител, что влечет за собой развитие ССД. Это позволяет выдвинуть теорию о том, что аутоантитела к РНК-полимеразе I/III являются маркерами злокачественности у пациентов с недавно диагностированной склеродермией [6]. Данное предположение требует подтверждения на более крупной выборке пациентов с расширенной контрольной популяцией.
Ассоциацию развития ЗНО у пациентов с ССД и позитивностью по антителам к РНК-полимеразе подтверждает еще одно британское когортное исследование [7], в котором из 2177 пациентов с ССД обнаружено 154 (7%) случая ЗНО, что сопоставимо с данными предыдущих исследований. Установлено, что позитивность по антителам к РНК-полимеразе давала в 6 раз более высокие шансы развития рака в течение 36 мес с момента начала ССД по сравнению с теми, у кого отсутствовали эти антитела [6].
Онкологическое заболевание может быть диагностировано:
- перед появлением симптомов ССД;
- на этапе установления диагноза ССД;
- спустя годы после постановки диагноза ССД [8].
При первых двух вариантах стоит рассмотреть возможность паранеопластического синдрома, когда первична опухоль, которая вызывает склеродермоподобные изменения кожи [2, 3]. В иных случаях первичной может быть склеродермия, а злокачественная трансформация может являться следствием длительного повреждения органов под воздействием хронического воспаления и фиброза или цитотоксической терапии. В таком случае ЗНО чаще диагностируется спустя годы после постановки диагноза ССД (наиболее часто – через 2–3 года после установления диагноза).
Цель – представить клинический случай выявления ЗНО на поздних стадиях у пациентки с хроническим многолетним течением ССД, несмотря на регулярное амбулаторное и стационарное обследование.
Клинический случай
Пациентка С., 71 год, поступила в отделение ревматологии с жалобами:
- на интенсивные боли в правом коленном суставе в течение всего дня и ночью (по Визуальной аналоговой шкале – 9 баллов);
- припухлость и гипертермию кожных покровов над суставом, ограничение движений в суставе;
- чувство онемения и похолодания пальцев верхних и нижних конечностей;
- язвочки на кончиках пальцев обеих кистей;
- периодическую изжогу;
- одышку при умеренной физической нагрузке.
Из анамнеза жизни известно, что пациентка родилась в 1953 г. в г. Москве, развивалась соответственно возрасту. Профессиональных вредностей не имела, в настоящий момент на пенсии. Вредные привычки отсутствовали. В аллергоанамнезе – непереносимость пенициллинов. Семейный анамнез не отягощен. В перенесенных заболеваниях – язвенная болезнь двенадцатиперстной кишки с эпизодом прободения язвы с последующим ушиванием (1994 г.), аутоиммунный тиреоидит.
Анамнез заболевания. Пациентка считает себя больной с 33 лет, когда стала отмечать чувство онемения кончиков пальцев рук на холоде. Затем стали появляться боль и посинение пальцев кистей на холоде, уплотнение кожи пальцев. В 1990 г. диагностирована ССД, назначены сосудистые препараты и преднизолон 10 мг/сут с постепенным снижением дозы вплоть до отмены. В 1994 г. появилась дисфагия, вновь назначен преднизолон в дозе 25 мг/сут, на фоне чего развилось прободение язвы двенадцатиперстной кишки с последующим ушиванием и отменой преднизолона. В дальнейшем синдром Рейно постепенно прогрессировал, развился остеолиз ногтевой фаланги II пальца левой кисти, на кончиках пальцев начали появляться язвочки и рубчики, беспокоили миалгии в мышцах плечевого пояса, артралгии в кистях. Получала малые дозы преднизолона. В 2004 г. присоединилась одышка при умеренной физической нагрузке. С 2005 г. наблюдается в ревматологическом отделении УКБ №1 ФГАОУ ВО «Первый МГМУ им. И.М. Сеченова» (Сеченовский Университет). К этому моменту сформировался «кисет» вокруг рта. Впервые назначен пеницилламин в дозе 500 мг/сут в качестве антифиброзной терапии, вазопростан и амлодипин – в качестве сосудистой терапии. В последующие годы пациентка периодически госпитализировалась для обследования, проведения курсов сосудистой терапии и сеансов гипербарической оксигенации. Заболевание характеризовалось медленно прогрессирующим течением с постепенным нарастанием симптоматики. В качестве постоянной терапии принимала пеницилламин 500 мг/сут, амлодипин 10 мг/сут. Постепенно отменила пеницилламин к 2021 г. В конце 2022 г. в связи с прогрессированием интерстициального поражения легких инициирована терапия циклофосфамидом 400 мг внутривенно капельно ежемесячно. Тогда же пациентка предъявила жалобы на боли в нижних конечностях при ходьбе, отмечалось посинение большого пальца левой стопы. При обследовании выявлены критический стеноз левой подколенной артерии и окклюзия передней большеберцовой артерии, в связи с чем выполнена баллонная ангиопластика. В 2023 г. при мультиспиральной компьютерной томографии (МСКТ) брахиоцефальных артерий выявлены стенозы внутренних сонных артерий с обеих сторон: справа – до 63% (по ЕСSТ), до 40% (по NASСЕТ), слева – до 38% (по ЕСSТ), до 8% (по МАЗСЕТ). В феврале 2023 г. в связи с нагноением натоптыша на большом пальце левой стопы отменены циклофосфамид и преднизолон, впоследствии назначен микофенолата мофетил (Селлсепт) в дозе 1500 мг/сут. Для усиления сосудистой терапии назначен силденафил 50 мг/сут. Через год пациентка самостоятельно отменила селлсепт и возобновила прием пеницилламина 500 мг/сут, мотивируя лучшей переносимостью. На этом фоне отмечала уменьшение одышки и увеличение толерантности к физическим нагрузкам. В конце 2023 г. в плановом порядке амбулаторно проведены гастро- и колоноскопия, по данным которых изменений слизистой не выявлено. В июле 2024 г. возникли интенсивные боли, припухлость и скованность в правом коленном суставе. Принимала различные нестероидные противовоспалительные препараты без эффекта. В октябре 2024 г. госпитализирована в ревматологическое отделение УКБ №1 ФГАОУ ВО «Первый МГМУ им. И.М. Сеченова» (Сеченовский Университет).
При поступлении: общее состояние средней степени тяжести, температура тела – в пределах нормы, кожные покровы естественной окраски, чистые, умеренной влажности, отмечаются множественные телеангиэктазии, «кисет» вокруг рта, трофические изменения кожи левого голеностопного сустава, дигитальные рубчики на пальцах кистей, проявления синдрома Рейно, остеолиз дистальной фаланги II пальца левой кисти. При аускультации легких дыхание ослаблено, крепитация в средних и нижних отделах легких с обеих сторон. SpO2 – 96%, частота дыхательных движений – 20 в минуту. Тоны сердца ясные, ритмичные, шумов нет, артериальное давление – 110/70 мм рт. ст. Частота сердечных сокращений – 71 уд/мин. Живот мягкий, безболезненный. Печень и селезенка перкуторно не увеличены. Симптом поколачивания – отрицательный. Стул и мочеиспускание – в норме.
Отмечаются значительная болезненность и припухлость правого коленного сустава. Ограничены передвижения в связи с интенсивным болевым синдромом (передвигается на кресле).
Лабораторное и инструментальное обследование
В анализах крови: значительное повышение островоспалительных маркеров (скорость оседания эритроцитов – 53 мм/ч, С-реактивный белок – 97 мг/л, фибриноген – 6,69 г/л), значительное повышение Д-димера – 3,53 мкг/мл, высокая иммунологическая активность (антинуклеарный фактор – 1:2560).
В связи с выраженным артритом правого коленного сустава для исключения гнойного процесса выполнена пункция с исследованием синовиальной жидкости: выявлены воспалительный характер изменений (лейкоциты покрывали все поле зрения, нейтрофилез), примесь крови, клетки ЗНО не обнаружены. При посеве роста микрофлоры не обнаружено.
При попытке проведения магнитно-резонансной томографии (МРТ) правого коленного сустава (из-за выраженного тремора правой ноги исследование прекращено досрочно) удалось получить лишь несколько изображений, на которых патологические изменения напоминали признаки асептического некроза мыщелка правой бедренной кости с демаркационными линиями (рис. 1).
Рис. 1. МРТ правого коленного сустава. Признаки асептического некроза мыщелка правой бедренной кости с демаркационными линиями.
На электрокардиограмме значимых нарушений ритма, проводимости и изменений конечной части желудочкового комплекса не зарегистрировано.
По данным эхокардиографии значимых изменений со стороны сердца не выявлено.
Выполнена рентгеноскопия пищевода и желудка с контрастированием, на которой отмечалась резко выраженная гипотония пищевода.
При гастроскопии выявлены аксиальная кардиальная грыжа с признаками гастрита и последствия хирургического лечения прободной язвы.
При исследовании функции внешнего дыхания нарушений легочной вентиляции не выявлено (объем форсированного выдоха за 1-ю секунду/форсированная жизненная емкость легких – 75%, объем форсированного выдоха за 1-ю секунду – 88% от должн., форсированная жизненная емкость легких – в пределах возрастной нормы – 91% от должн.)
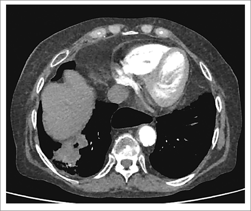
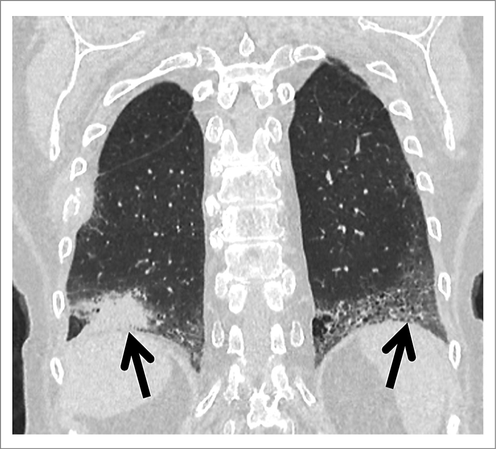
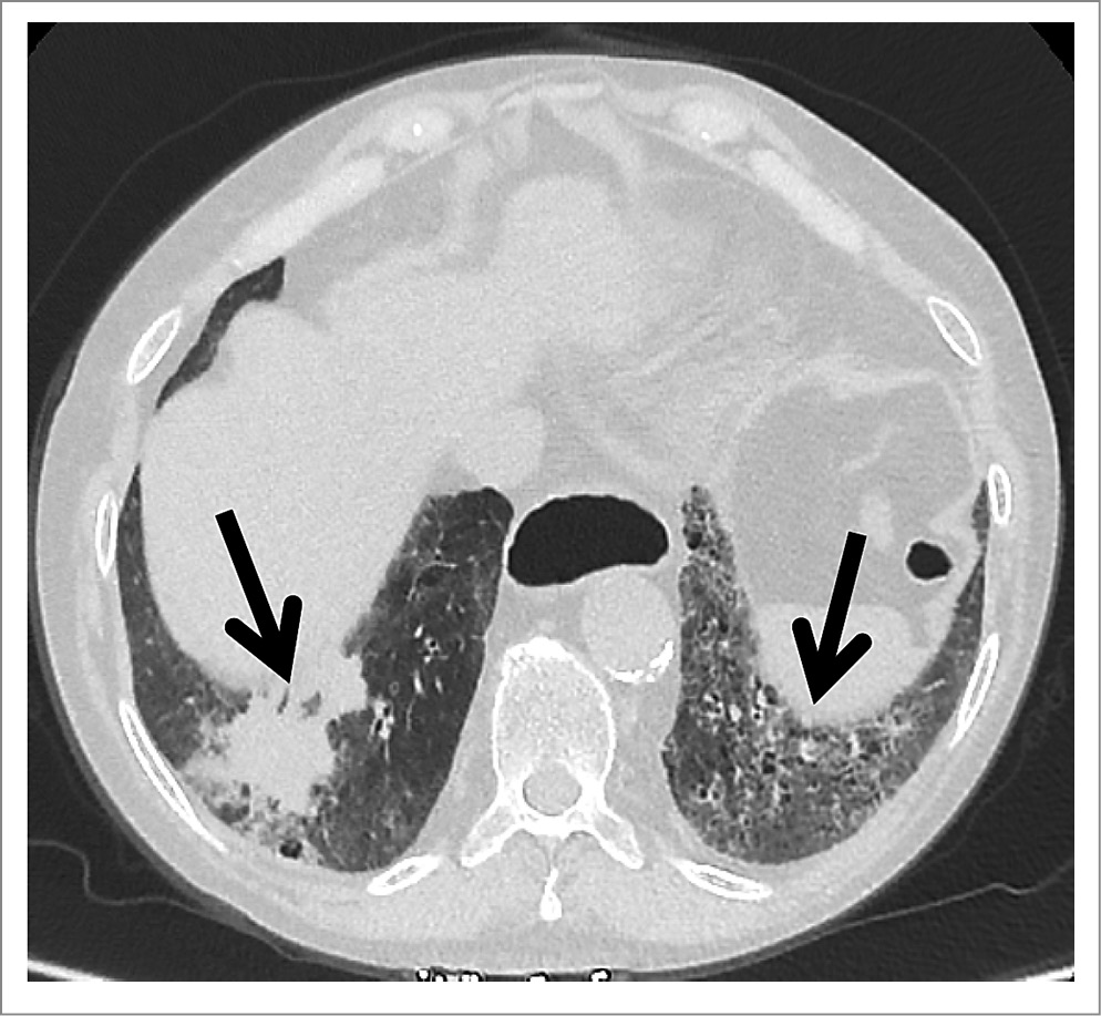
При КТ органов грудной клетки (ОГК) обнаружено образование нижней доли правого легкого размерами 55×40 мм с неровными нечеткими лучистыми контурами. В верхней доле правого легкого визуализировались два кольцевидных очага размером 4,5 мм. В нижних долях обоих легких, субплевральных отделах верхних долей и в средней доле справа определялись участки формирования сотового легкого. Медиастинальная лимфаденопатия. Деструкция VII ребра справа, вероятно, вторичного характера. При предыдущем исследовании от 25.04.2023 очаговые изменения не выявлялись, имелись лишь проявления интерстициального поражения легких (рис. 2, 3).
Рис. 2. КТ ОГК. Визуализируются образование нижней доли правого легкого, участки формирования сотового легкого в нижних отделах обоих легких, деструкция VII ребра справа.
Рис. 3. КТ ОГК в сагиттальной плоскости.
Выполнена бронхоскопия: макроскопических изменений бронхиального дерева не выявлено, диагностирован двухсторонний катаральный эндобронхит. Проведен забор бронхоальвеолярного смыва. При микроскопическом исследовании лаважной жидкости данных за специфическую инфекцию, аспергиллез, неопластические процессы не выявлено. При бактериологическом исследовании роста патологической флоры не получено.
С целью исключения туберкулезной инфекции выполнен Т-spot. Результат – отрицательный.
Для уточнения генеза костно-деструктивных изменений выполнена остеосцинтиграфия, выявлены очаги патологического накопления радиофармпрепарата в диафизе правой бедренной кости, эпифизе правой плечевой кости, VII ребре справа и LV позвонке (рис. 4).
Рис. 4. Остеосцинтиграфия. Очаги патологического накопления радиофармпрепарата в диафизе правой бедренной кости, эпифизе правой плечевой кости, VII ребре справа и LV позвонке.
С целью дальнейшего онкопоиска выполнена МСКТ ОГК, брюшной полости и малого таза с внутривенным контрастированием. Выявленное при нативной КТ образование нижней доли правого легкого неравномерно накапливало контрастный препарат, что подтвердило его злокачественный генез. Контрастный препарат также накапливался в увеличенных лимфоузлах корня правого легкого, VII ребре справа и LV позвонке. В VI сегменте печени выявлено образование размером 7 мм, вероятно, вторичного характера (рис. 5).
Рис. 5. МСКТ ОГК с внутривенным контрастированием. Неравномерное накопление контрастного препарата в образовании нижней доли правого легкого.
При МСКТ коленных суставов визуализировались выраженные изменения костной структуры размерами около 43×36×75 мм с множественными участками разрежения и деструкции кортикального слоя. Полученная картина соответствовала метастатическому поражению правой бедренной кости (рис. 6).
Рис. 6. МСКТ коленных суставов. Визуализируются выраженные изменения костной структуры с множественными участками разрежения и деструкции кортикального слоя.
Проведен консилиум в составе ревматологов, торакального хирурга, травматолога и онколога. Заключение консилиума: поражение костей скелета, медиастинальных лимфоузлов, печени, вероятно, носит метастатический характер с первичным очагом в нижней доле правого легкого. Целесообразно проведение его биопсии, однако с учетом диффузного поражения легких в рамках ССД биопсия легкого сопряжена с высоким риском осложнений, поэтому решено выполнить биопсию бедренной кости с последующим иммуногистохимическим исследованием.
Клинический диагноз
Основное заболевание. ССД хронического течения, диффузная форма с поражением кожи (склеродактилия, дигитальные рубчики), суставов (артриты, артралгии в анамнезе), сосудов (синдром Рейно, дигитальный артериит, телеангиэктазии, остеолиз дистальной фаланги II пальца левой кисти), ЖКТ (гипотония пищевода), легких (фиброзирующий альвеолит с формированием «сотового легкого»), активность высокая.
Конкурирующее заболевание. Образование нижней доли правого легкого, с поражением лимфоузлов корня легкого, вторичным поражением костей (VII ребра справа, тела LV позвонка, правой бедренной кости) и печени.
Сопутствующие заболевания. Гастроэзофагеальная рефлюксная болезнь: грыжа пищеводного отверстия диафрагмы, хронический эзофагит. Язвенная болезнь двенадцатиперстной кишки. Операция ушивания язвы в 1994 г. Дислипидемия. Атеросклероз аорты и брахиоцефальных артерий (стенозы внутренних сонных артерий справа – до 63%, слева – до 40%), артерий нижних конечностей (справа – стеноз общей бедренной артерии – 30%, подколенной артерии – 70–75%, окклюзия задней большеберцовой артерии, слева – рестеноз подколенной артерии 80–85%, окклюзия передней большеберцовой артерии). Состояние после баллонной ангиопластики и стентирования подколенной артерии и артерий голени слева. Хронический аутоиммунный тиреоидит с исходом в гипотиреоз.
В стационаре пациентка получала антифиброзную терапию (пеницилламин 500 мг/сут), сосудистую терапию (амлодипин 10 мг/сут и внутуривенно инфузии пентоксифиллина 2% по 5 мл №10). С целью обезболивания применялись различные нестероидные противовоспалительные препараты и анальгетики с кратковременным эффектом. В качестве антикоагулянтной терапии назначен апиксабан 2,5 мг 2 раза в сутки. После выявления очаговых изменений в легких при нативной КТ и гнойного характера лаважной жидкости по согласованию с клиническим фармакологом и пульмонологом в связи с невозможностью исключить остаточные явления пневмонии в правом легком проведен 5-дневный курс антибактериальной терапии левофлоксацином 1000 мг/сут. Продолжен прием L-Тироксина 125 мкг/сут, эзомепразола 40 мг/сут и розувастатина 20 мг/сут.
Пациентка переведена в отделение онкологии, где выполнена биопсия мыщелка правой бедренной кости. Выявлен интраоссальный рост карциномы крибриформного строения. Иммуногистохимическое исследование: гистологическое строение с учетом иммунофенотипа и клинической картины соответствует метастазу карциномы крибриформного строения с наиболее вероятной первичной локализацией в верхних отделах ЖКТ.
Ввиду того что имелось несоответствие между данными иммуногистохимии и отсутствием выявления признаков онкологического процесса в органах ЖКТ при предыдущем исследовании, по месту жительства выполнена биопсия очага в области VII ребра справа – по результатам иммуногистохимического исследования сделано заключение о наличии метастаза карциномы из органов ЖКТ (правых отделов толстой кишки, желудка, панкреатобилиарной зоны), менее вероятно – муцинозной аденокарциномы легкого.
В дальнейшем пациентка наблюдалась онкологом по месту жительства. Наиболее вероятным диагнозом с учетом очага в легком и отсутствия достоверных признаков рака пищевода или желудка при эзофагогастродуоденоскопии представляется аденокарцинома легкого, в связи с чем планируется лекарственная терапия метастатического рака легкого.
Заключение
Целью демонстрации клинического случая является необходимость онкологической настороженности у пациентов с аутоиммунными процессами. В данном наблюдении у пациентки с хроническим многолетним течением ССД, несмотря на регулярное амбулаторное и стационарное обследование, онкологический процесс диагностирован на стадии метастатического поражения костей, что свидетельствует об агрессивности опухоли. Известно, что наиболее частой формой рака при ССД является именно рак легкого, факторами риска которого служат интерстициальное поражение легких и лечение циклофосфамидом [9]. Оба эти фактора присутствовали у нашей пациентки. Следует также помнить, что выраженный и стойкий болевой синдром в суставе, плохо поддающийся противовоспалительной и анальгетической терапии, может быть обусловлен костными метастазами, в том числе и у больных с предшествующим заболеванием суставов. Полноценное лечение онкологических заболеваний у пациентов с системными болезнями соединительной ткани в ряде случаев существенно ограничено вследствие уже имеющихся органных поражений (легких, сердца, почек). Тем не менее онкологическая настороженность и ранняя диагностика ЗНО будут способствовать наиболее полноценному лечению таких пациентов.
Раскрытие интересов. Авторы декларируют отсутствие явных и потенциальных конфликтов интересов, связанных с публикацией настоящей статьи.
Disclosure of interest. The authors declare that they have no competing interests.
Вклад авторов. Авторы декларируют соответствие своего авторства международным критериям ICMJE. Все авторы в равной степени участвовали в подготовке публикации: разработка концепции статьи, получение и анализ фактических данных, написание и редактирование текста статьи, проверка и утверждение текста статьи.
Authors’ contribution. The authors declare the compliance of their authorship according to the international ICMJE criteria. All authors made a substantial contribution to the conception of the work, acquisition, analysis, interpretation of data for the work, drafting and revising the work, final approval of the version to be published and agree to be accountable for all aspects of the work.
Источник финансирования. Авторы декларируют отсутствие внешнего финансирования для проведения исследования и публикации статьи.
Funding source. The authors declare that there is no external funding for the exploration and analysis work.
Информированное согласие на публикацию. Пациентка подписала форму добровольного информированного согласия на публикацию медицинской информации.
Consent for publication. Written consent was obtained from the patient for publication of relevant medical information and all of accompanying images within the manuscript.
Об авторах
Ирина Вадимовна Меньшикова
ФГАОУ ВО «Первый Московский государственный медицинский университет им. И.М. Сеченова» Минздрава России (Сеченовский Университет)
Автор, ответственный за переписку.
Email: ivmenshikova@mail.ru
ORCID iD: 0000-0003-3181-5272
д-р мед. наук, проф. каф. госпитальной терапии №1 им. А.А. Остроумова Института клинической медицины, зав. отд-нием ревматологии Университетской клинической больницы №1, врач-ревматолог высшей категории ФГАОУ ВО «Первый МГМУ им. И.М. Сеченова» (Сеченовский Университет)
Россия, МоскваАнна Николаевна Собянина
ФГАОУ ВО «Первый Московский государственный медицинский университет им. И.М. Сеченова» Минздрава России (Сеченовский Университет)
Email: ivmenshikova@mail.ru
ORCID iD: 0009-0000-4733-6263
врач-ординатор каф. госпитальной терапии №1 им. А.А. Остроумова Института клинической медицины
Россия, МоскваЮлия Артуровна Прокофьева
ФГАОУ ВО «Первый Московский государственный медицинский университет им. И.М. Сеченова» Минздрава России (Сеченовский Университет)
Email: ivmenshikova@mail.ru
ORCID iD: 0000-0001-8658-3435
ассистент каф. госпитальной терапии №1 им. А.А. Остроумова Института клинической медицины, врач-терапевт ФГАОУ ВО «Первый МГМУ им. И.М. Сеченова» (Сеченовский Университет)
Россия, МоскваИрина Раисовна Колосова
ФГАОУ ВО «Первый Московский государственный медицинский университет им. И.М. Сеченова» Минздрава России (Сеченовский Университет)
Email: ivmenshikova@mail.ru
ORCID iD: 0000-0002-3924-6345
канд. мед. наук, врач-ревматолог ревматологического отд-ния, врач высшей категории
Россия, МоскваСписок литературы
- Потекаев Н.Н., Вавилов В.В. Патогенез склеродермии: современные представления. Клиническая дерматология и венерология. 2012;5:8-15 [Potekaev NN, Vavilov VV. Pathogenesis of scleroderma: Current ideas. Russian Journal of Clinical Dermatology and Venereology. 2012;10(5):8-15 (in Russian)].
- Шостак Н.А., Клименко А.А., Демидова Н.А., Андрияшкина Д.Ю. Склеродермия как паранеопластический синдром и опухоли, ассоциированные со склеродермией. Клиницист. 2020;14(1-2):55-61 [Shostak N.A., Klimenko A.A., Demidova N.A., Andriyashkina D.Yu. Scleroderma as a paraneoplastic syndrome and tumors associated with scleroderma. The Clinician. 2020;14(1-2):55-61 (in Russian)]. doi: 10.17650/1818-8338-2020-14-1-2-55-61
- Головач И.Ю., Егудина Е.Д. Склеродермоподобный паранеопластический синдром: ревматология "overlap" онкология. Лікар-практик. 2018;7(3):17-22 [Golovach IYu, Egudina ED. Sklerodermopodobnyi paraneoplasticheskii sindrom: revmatologiia “overlap” onkologiia. Líkar-praktik. 2018;7(3):17-22 (in Russian)].
- Del Galdo F, Lescoat A, Conaghan PG, et al. EULAR recommendations for the treatment of systemic sclerosis: 2023 update. Ann Rheum Dis. 2025;84(1):29-40. doi: 10.1136/ard-2024-226430
- Olesen AB, Sværke C, Farkas DK, Sørensen HT. Systemic sclerosis and the risk of cancer: a nationwide population-based cohort study. Br J Dermatol. 2010;163(4):800-6. doi: 10.1111/j.1365-2133.2010.09861.x
- Shah AA, Rosen A, Hummers L, et al. Close temporal relationship between onset of cancer and scleroderma in patients with RNA polymerase I/III antibodies. Arthritis Rheum. 2010;62(9):2787-95. doi: 10.1002/art.27549
- Moinzadeh P, Fonseca C, Hellmich M, et al. Association of anti-RNA polymerase III autoantibodies and cancer in scleroderma. Arthritis Res Ther. 2014;16:R53. doi: 10.1186/ar4486
- Chung L, Ferrari G, Ton Cet al. The risk of cancer development in systemic sclerosis: a meta-analysis. Cancer Epidemiol. 2013;37(3):321-6. doi: 10.1016/j.canep.2013.04.014
- Bernal-Bello D., Garcíade T., Guillén-del Castillo A. et al. Novel risk factors related to cancer in scleroderma. Autoimmunity Rev. 2017;16(5):461-8.
Дополнительные файлы









