Persistent Itsenko-Cushing’s disease with no remission after two surgical treatments: a clinical case
- Authors: Osipova E.V.1, Smirnova P.A.1, Soldatova V.D.1, Dzyuba A.S.1, Pavlova M.G.1
-
Affiliations:
- Sechenov First Moscow State Medical University
- Issue: Vol 27, No 4 (2025): Эндокринология
- Pages: 258-262
- Section: Articles
- Published: 25.04.2025
- URL: https://consilium.orscience.ru/2075-1753/article/view/685099
- DOI: https://doi.org/10.26442/20751753.2025.4.203330
- ID: 685099
Cite item
Full Text
Abstract
Itsenko-Cushing’s disease (ICD) is a rare neuroendocrine disease caused by hyperproduction of adrenocorticotropic hormone (ACTH) by pituitary adenoma, leading to a persistent increase in cortisol levels and the development of endogenous hypercorticism. Without treatment, ICD leads to severe complications and significantly reduces life expectancy. Transsphenoidal adenomectomy remains the “gold standard” of treatment, but a significant proportion of patients experience persistence or recurrence of the disease, requiring the use of alternative treatments. This paper presents a clinical case of a patient H., 62 years old, with confirmed ACTH-dependent hypercorticism. The diagnosis was made in 2023 based on the following tests: cortisol level in a nocturnal suppression test with 1 mg of dexamethasone – 458 nmol/L, salivary cortisol at 23:00 – 10.37 nmol/L, daily urinary cortisol excretion – > 200 μg/day, ACTH – 14.7 pmol/L. Magnetic resonance imaging showed a pituitary microadenoma. A transsphenoidal adenomectomy was performed; however, remission was not achieved. Ketoconazole therapy was administered, with clinical improvement, but the patient subsequently discontinued the drug on her own. Upon follow-up examination a year later, the persistence of ICD was confirmed (salivary cortisol at 23:00 – 10.5 nmol/L, daily urinary cortisol excretion – 475.2 μg/day, ACTH – 49.8 pg/mL), magnetic resonance imaging showed signs of a residual pituitary tumor. Repeated transsphenoidal adenomectomy was performed, but remission was not achieved again. At follow-up, clinical and laboratory signs of hypercorticism and the patient’s severe condition persisted. Due to the ineffectiveness of surgical treatment, the patient was referred for stereotactic radiosurgery. The management of patients with a persistent or recurrent ICD remains clinically challenging due to the lack of a universal, highly effective, and safe therapeutic approach. The treatment strategy is determined individually, considering the severity of hypercorticism, the presence of complications, the disease prognosis, and the availability of therapies.
Full Text
Введение
Болезнь Иценко–Кушинга (БИК) – тяжелое нейроэндокринное заболевание, обусловленное гиперпродукцией адренокортикотропного гормона (АКТГ) аденомой гипофиза, приводящей к повышенной выработке кортизола корой надпочечников и развитию симптомокомплекса эндогенного гиперкортицизма (ЭГ) [1]. БИК относится к числу редких эндокринных заболеваний: ее распространенность составляет 39,1, а уровень заболеваемости варьирует от 1,2 до 2,4 случая на 1 млн человек в год [2].
Клинические проявления ЭГ зависят от выраженности и длительности гиперкортизолизма. При выраженном гиперкортицизме симптомы заболевания становятся очевидными и легко распознаваемыми. Однако ряд симптомов, таких как артериальная гипертензия, нарушение углеводного обмена, увеличение массы тела, широко распространены в общей популяции и могут наблюдаться не только у пациентов с БИК, что затрудняет диагностику заболевания. Помимо классических признаков гиперкортицизма, таких как проксимальная мышечная слабость и багровые стрии, у больных могут выявляться другие многочисленные заболевания и состояния, развитие которых непосредственно ассоциировано с гиперкортицизмом. К ним относятся сердечно-сосудистые и тромбоэмболические осложнения, диабет и нарушенная толерантность к глюкозе, когнитивные и психические расстройства, а также инфекционные заболевания. При отсутствии лечения уровень смертности таких пациентов превышает среднепопуляционные показатели в 1,7–4 раза, при этом 5-летняя выживаемость составляет около 50% [1, 3, 4]. В связи с этим особо значимой остается проблема ранней диагностики и своевременного лечения БИК.
«Золотой стандарт» лечения БИК – трансназальная транссфеноидальная аденомэктомия, которая позволяет достичь ремиссии примерно у 65–90% пациентов. Однако этот показатель снижается при длительном катамнестическом наблюдении [5–7]. В интервале от 3 мес до 13 лет (в среднем в течение 4,5 лет) после операции рецидив заболевания наблюдается примерно у 13% человек [8], достигая 22,7% у людей с микроаденомами и 33,3% у пациентов с макроаденомами в течение 15 лет после лечения [9]. Таким образом, почти у 1/3 больных в долгосрочной перспективе не удается достичь стойкой клинико-лабораторной ремиссии, что свидетельствует о персистирующем течении заболевания либо о его рецидиве. В таких случаях возникает необходимость перехода к терапии 2-й линии, включающей лучевые методы, фармакотерапию и в редких случаях двустороннюю адреналэктомию [8, 10].
Унифицированного алгоритма ведения пациентов с персистирующим течением БИК в настоящее время не существует. Выбор оптимальной терапевтической стратегии определяется степенью активности гиперкортицизма и тяжестью клинических проявлений, при этом решение принимается индивидуально в каждом конкретном случае [11].
В статье обсуждается клинический случай персистирующего течения БИК с отсутствием ремиссии после двукратного хирургического лечения, а также рассматривается выбор индивидуальной тактики ведения данной категории пациентов.
Клинический случай
Пациентка Н., 62 года, с января 2023 г. (60 лет) стала отмечать изменение внешности – одутловатость лица, покраснение щек, увеличение массы тела, нарастающую мышечную слабость, повышение артериального давления (АД) до 160/100 мм рт. ст. на фоне проводимой антигипертензивной терапии (АГТ). По месту жительства проведено обследование, по результатам которого подтвержден ЭГ: кортизол в ночном подавляющем тесте с 1 мг дексаметазона – 483 нмоль/л (< 50), свободный кортизол в суточной моче – 590,9 мкг/сут (58–403). При выполнении компьютерной томографии (КТ) органов брюшной полости в левом надпочечнике выявлено гиподенсное (-5HU) образование 27 × 25 мм с быстрым вымыванием контраста (абсолютный индекс вымывания – 61,8%).
В марте 2023 г. пациентка поступила для дообследования в клинику эндокринологии УКБ №2 ФГАОУ ВО «Первый МГМУ им. И.М. Сеченова» (Сеченовский Университет) с жалобами на прогрессирующую мышечную и общую слабость, боли в спине, увеличение массы тела.
Данные физикального осмотра при поступлении: состояние средней степени тяжести, рост – 173 см, вес – 100 кг, индекс массы тела – 33,41 кг/м2. Отмечались истончение и сухость кожи, распределение подкожно-жировой клетчатки по центрипетальному типу, гиперемия щек («матронизм»). Со стороны остальных органов и систем – без особенностей.
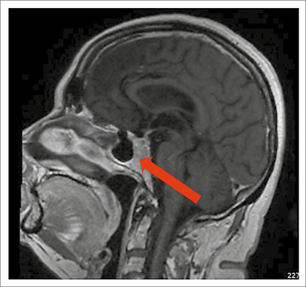
По данным лабораторного обследования подтвержден ЭГ: кортизол в ночном подавляющем тесте с 1 мг дексаметазона – 458 нмоль/л (< 50), кортизол слюны в 23:00 – 10,37 нмоль/л (< 9,4), суточная экскреция кортизола с мочой > 200 мкг/сутки (1,5–63). Уровень АКТГ составил 14,7 пмоль/л (0–10,2), что подтвердило АКТГ-зависимый генез заболевания. Проведена магнитно-резонансная томография (МРТ) головного мозга (рис. 1), выявлен очаг замедленного накопления контрастного препарата слева от средней линии размером до 4 мм – микроаденома гипофиза.
Рис. 1. МРТ головного мозга от 21.03.2023: микроаденома гипофиза.
С учетом небольшого размера выявленного образования (< 6 мм), в рамках дифференциальной диагностики АКТГ-зависимых форм ЭГ проведена большая дексаметазоновая проба, по результатам которой получено снижение кортизола на 80% от исходного уровня (кортизол в 8:00 исходно – 662 нмоль/л, кортизол в 8:00 после приема на ночь 8 мг дексаметазона – 132 нмоль/л). Результаты пробы свидетельствовали в пользу центрального генеза гиперкортицизма – БИК. Пациентка была направлена на консультацию нейрохирурга, в рамках предоперационной подготовки назначен обратимый ингибитор стероидогенеза кетоконазол 400 мг/сут.
При обследовании на предмет осложнений ЭГ в биохимическом анализе крови выявлена дислипидемия [липидный спектр: общий холестерин – 8,51 ммоль/л (< 4,5); липопротеины высокой плотности – 1,56 ммоль/л (> 1,3); липопротеины низкой плотности – 5,01 ммоль/л (< 2,6); липопротеины очень низкой плотности – 0,94 ммоль/л (0,19–0,77)], по результатам перорального глюкозотолерантного теста с 75 г глюкозы данных за нарушение углеводного обмена не получено [глюкоза натощак – 4,95 ммоль/л (< 6,1), глюкоза на 120-й минуте – 6,26 ммоль/л (< 7,8)], при рентгенологическом исследовании грудного и поясничного отделов позвоночника обнаружены компрессионные переломы 1-й степени грудного ThVII и поясничного LI позвонков, что свидетельствовало о наличии у пациентки тяжелого остеопороза. Назначена гиполипидемическая (ГЛТ), антирезорбтивная терапия (АРТ). За время госпитализации эпизодов повышения АД не отмечено, продолжена АГТ в прежнем объеме (телмисартан – 40 мг/сут, бисопролол – 5 мг/сут).
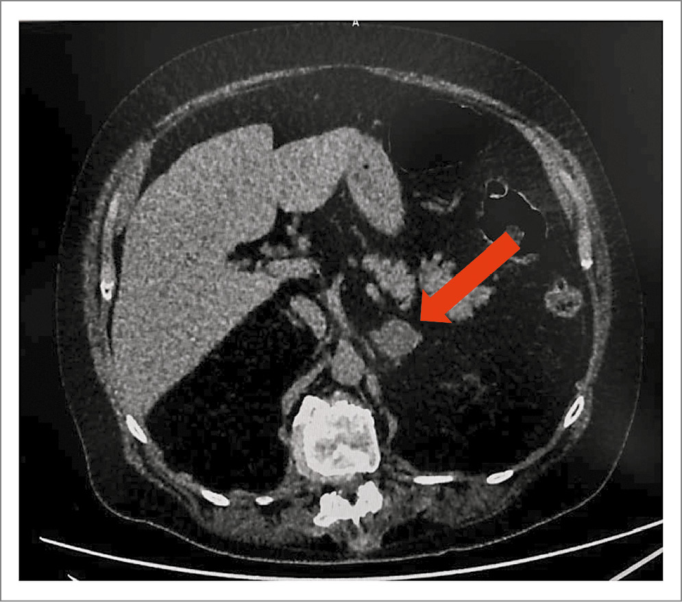
Проведена КТ органов брюшной полости: в паренхиме тела и латеральной ножке левого надпочечника – аденома округлой формы диаметром до 22 мм нативной плотностью до +3 HU, с накоплением контраста до +55 HU, с вымыванием до +22 HU (абсолютный индекс вымывания – 60%, относительный индекс вымывания – 48%); рис. 2.
Рис. 2. КТ брюшной полости и забрюшинного пространства от 25.03.2023: аденома.
С целью исключения гормональной активности выявленного образования надпочечника исследованы уровни альдостерона 68 пг/мл (в покое 41,71–208,9) и ренина 14,98 нг/мл/ч (0,32–1,84). Определение метанефринов не проводилось ввиду низкой плотности образования.
В октябре 2023 г. (61 год) пациентка госпитализирована в ФГБУ «НМИЦ эндокринологии» для хирургического лечения. Лабораторно подтвержден АКТГ-зависимый ЭГ: кортизол слюны в 23:00 – 12,95 нмоль/л (< 9,4), свободный кортизол суточной мочи – 690,75 мкг/сут (100–379), АКТГ – 72,73 пг/мл (7,2–63,3). По данным повторной МРТ головного мозга выявлено увеличение размеров микроаденомы гипофиза до 6 × 4,5 мм, в связи с чем проведено эндоскопическое трансназальное транссфеноидальное удаление опухоли. Иммуногистохимическое исследование опухоли не выполнено в связи с недостаточным количеством послеоперационного материала. В раннем послеоперационном периоде признаки ремиссии ЭГ отсутствовали: базальный кортизол – 431,5 нмоль/л (64–327), кортизол слюны в 23:00 – 11,42 нмоль/л (< 9,4), свободный кортизол в суточной моче – 756,53 мкг/сут (100–379). Для исключения гипопитуитаризма определены уровни тиреотропного гормона – 0,21 мМЕ/л (0,4–4,0) и свободного Т4 – 14,68 пмоль/л (9–19), оценены суточный диурез (не более 3 л) и удельная плотность мочи (1012 г/л), что позволило исключить вторичный гипотиреоз и несахарный диабет соответственно. Рекомендовано продолжить прием кетоконазола в дозе 400 мг/сут.
При динамическом наблюдении с октября 2023 г. по апрель 2024 г. на фоне приема кетоконазола в суточной дозе 400 мг уровень свободного кортизола в суточной моче сохранялся в пределах референсного диапазона [в ноябре 2023 г. – 66,3 мкг/сут (4,3–176), в январе 2023 г. – 74 мкг/сут (4,3–176)]. Пациентка отмечала улучшение состояния: регресс мышечной слабости, стабилизацию АД. Однако в апреле 2024 г. в связи с появлением жалоб на гиперемию лица, чувство жара на лице и тремор самостоятельно отменила кетоконазол.
В апреле 2024 г. (62 года) повторно госпитализирована в ФГБУ «НМИЦ эндокринологии». На фоне отмены терапии кетоконазолом зарегистрировано повышение уровня базального кортизола – 495,8 нмоль/л (64,0–327,0), кортизола слюны в 23:00 – 10,5 нмоль/л (< 9,4), кортизола суточной мочи – 475,2 мкг/сут (100–379), АКТГ – 49,8 пг/мл (2–25,5), диагностирован рецидив БИК. По данным МРТ головного мозга в правых отделах аденогипофиза определяется неоднородная зона размерами 5 × 3,5 мм, замедленно накапливающая контрастное вещество (остаточная аденоматозная ткань? послеоперационные изменения?). С учетом неэффективности первичного хирургического вмешательства и размеров образования менее 6 мм, с целью дифференциальной диагностики АКТГ-зависимых форм ЭГ выполнен селективный забор крови из нижних каменистых синусов. Максимальный градиент АКТГ центр/периферия получен в правом каменистом синусе (10,43), что превысило общепризнанную точку cut-off > 2 до стимуляции и > 3 после стимуляции десмопрессином и подтвердило центральный генез заболевания. В октябре 2024 г. выполнена повторная трансназальная транссфеноидальная аденомэктомия. По данным иммуногистохимического исследования выявлены позитивная экспрессия АКТГ опухолью, отрицательная экспрессия лютеинизирующего гормона, фолликулостимулирующего гормона, пролактина, соматотропного и тиреотропного гормона. В раннем послеоперационном периоде ремиссия вновь не достигнута: базальный кортизол – 388 нмоль/л (64,0–327,0), кортизол слюны в 23:00 – 13,1 нмоль/л (< 9,4), кортизол суточной мочи – 286,7 мкг/сут (100–379), АКТГ – 35 пг/мл (2–25,5). Исключены вторичный гипотиреоз, несахарный диабет. Рекомендовано возобновить терапию кетоконазолом, однако пациентка препарат не принимала. До января 2025 г. обследование не проводилось.
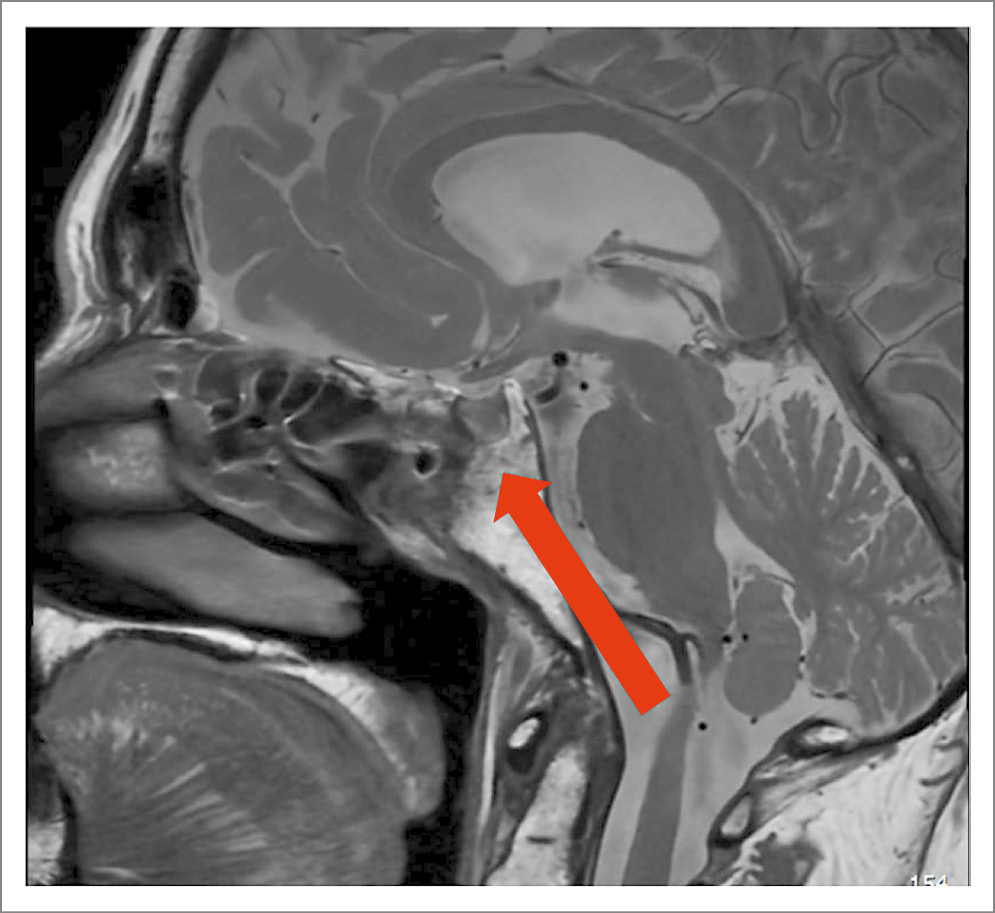
В январе 2025 г. (62 года) госпитализирована в клинику эндокринологии УКБ №2 ФГАОУ ВО «Первый МГМУ им. И.М. Сеченова» (Сеченовский Университет) с жалобами на выраженную мышечную слабость, прогрессирующее снижение мышечной массы в руках и ногах, снижение работоспособности, сниженный фон настроения, боли в грудном и поясничном отделах позвоночника. При объективном осмотре обращали на себя внимание перераспределение подкожно-жировой клетчатки по центрипетальному типу (индекс массы тела – 34,8 кг/м2), гиперемия щек, снижение мышечной силы в конечностях. По результатам лабораторного обследования подтверждена персистенция БИК: уровень свободного кортизола в суточной моче – 67,5 мкг/сут (1,5–63), кортизол в ночном подавляющем тесте с 1 мг дексаметазона – 179 нмоль/л (< 50). Уровень АКТГ снизился до 7,8 пмоль/л (< 10 пмоль/л). При проведении большой дексаметазоновой пробы получено снижение кортизола на 80% от исходного уровня (кортизол в 8:00 исходно – 662 нмоль/л, кортизол в 8:00 после приема 8 мг дексаметазона – 132 нмоль/л). По данным МРТ головного мозга – послеоперационные изменения передне-нижних отделов гипофиза, селлярной области и основной пазухи (рис. 3).
Рис. 3. МРТ головного мозга от 17.01.2025: послеоперационные изменения.
Данных за нарушение углеводного обмена не получено (глюкоза натощак – 5,5 ммоль/л, гликированный гемоглобин – 5,8%), общий холестерин (4,0 ммоль/л), липопротеины низкой плотности – 2,2 ммоль/л на фоне ГЛТ, АД – в пределах целевых значений (110–130/60–80 мм рт. ст.)
Учитывая неэффективность хирургического лечения, пациентка направлена на проведение стереотаксической радиохирургии (СРХ – гамма-нож). На этапе подготовки к СРХ возобновлена терапия кетоконазолом 400 мг/сут. Продолжены АГТ, ГЛТ, АРТ.
Обсуждение
Лечение персистирующего течения БИК представляет собой сложную клиническую задачу. Одной из актуальных проблем остается отсутствие достоверных предикторов ремиссии, позволяющих определить оптимальную тактику ведения пациента, снизить риск развития осложнений гиперкортицизма и повысить эффективность терапии [12, 13].
При недостаточной эффективности первичного хирургического вмешательства встает вопрос о выборе дальнейшей лечебной стратегии.
Повторное нейрохирургическое вмешательство, как у нашей пациентки, может быть рекомендовано в случае четкой визуализации остаточной опухоли по данным МРТ [14, 15]. Вместе с тем в литературе подчеркивается, что отсутствие достоверных признаков опухоли на МРТ не исключает возможности успешного повторного хирургического вмешательства [5]. Эффективность повторной транссфеноидальной аденомэктомии варьирует от 37 до 88%, что обусловлено различными критериями рецидива и длительностью наблюдения [3].
При неэффективности оперативного лечения рассматривается применение лучевых методов и медикаментозной терапии.
Среди лучевых методов лечения приоритетна СРХ, позволяющая достичь ремиссии в 65–75% случаев [14, 16, 17]. Несмотря на то что проведение лучевой терапии ассоциировано с высокой вероятностью развития гипопитуитаризма, наблюдаемого у 25–50% пациентов [3], четкая визуализация гипофиза при планировании радиохирургии, а также использование более низких доз облучения позволяют снизить эти риски [1]. Еще один недостаток СРХ – отсроченность ее действия, что требует продолжения медикаментозного лечения после проведенной терапии до развития клинического эффекта.
Современная фармакотерапия может эффективно контролировать симптомы гиперкортизолизма, однако она не влияет непосредственно на причину БИК и ее применение ограничено развитием серьезных побочных эффектов [1, 18–20]. Единственный препарат, официально зарегистрированный в России для лечения БИК, – пасиреотид (Сигнифор) [1], от применения которого наша пациентка отказалась в связи с высокой стоимостью и труднодоступностью.
Двусторонняя адреналэктомия – наиболее радикальный вариант лечения, который применяется только в случае неэффективности всех остальных методов, когда речь идет о спасении жизни пациента [17].
Заключение
Ведение пациентов с персистирующим или рецидивирующим течением БИК представляет собой значительную клиническую проблему для врача-эндокринолога. В настоящее время отсутствует универсальный лечебный алгоритм, обеспечивающий быструю и стойкую эффективность, минимальный риск серьезных побочных эффектов и сохранение адекватной работы гипоталамо-гипофизарно-надпочечниковой оси. Отсутствие четких предикторов ремиссии затрудняет выбор дальнейшей тактики лечения. Тактика в отношении ведения пациентов с персистирующим или рецидивирующим течением БИК индивидуальна, а выбор оптимального метода терапии 2-й линии зависит от степени выраженности гиперкортицизма, наличия осложнений, а также технических и организационных возможностей учреждения и пациента.
Раскрытие интересов. Авторы декларируют отсутствие явных и потенциальных конфликтов интересов, связанных с публикацией настоящей статьи.
Disclosure of interest. The authors declare that they have no competing interests.
Вклад авторов. Авторы декларируют соответствие своего авторства международным критериям ICMJE. Все авторы в равной степени участвовали в подготовке публикации: разработка концепции статьи, получение и анализ фактических данных, написание и редактирование текста статьи, проверка и утверждение текста статьи.
Authors’ contribution. The authors declare the compliance of their authorship according to the international ICMJE criteria. All authors made a substantial contribution to the conception of the work, acquisition, analysis, interpretation of data for the work, drafting and revising the work, final approval of the version to be published and agree to be accountable for all aspects of the work.
Источник финансирования. Авторы декларируют отсутствие внешнего финансирования для проведения исследования и публикации статьи.
Funding source. The authors declare that there is no external funding for the exploration and analysis work.
Информированное согласие на публикацию. Пациентка подписала форму добровольного информированного согласия на публикацию медицинской информации.
Consent for publication. Written consent was obtained from the patient for publication of relevant medical information and all of accompanying images within the manuscript.
About the authors
Elizaveta V. Osipova
Sechenov First Moscow State Medical University
Author for correspondence.
Email: moslisa1810@gmail.com
ORCID iD: 0009-0005-6333-7844
Resident
Russian Federation, MoscowPolina A. Smirnova
Sechenov First Moscow State Medical University
Email: moslisa1810@gmail.com
ORCID iD: 0009-0000-6978-6783
Resident
Russian Federation, MoscowValeria D. Soldatova
Sechenov First Moscow State Medical University
Email: moslisa1810@gmail.com
ORCID iD: 0000-0003-2764-7237
Resident
Russian Federation, MoscowAnna S. Dzyuba
Sechenov First Moscow State Medical University
Email: moslisa1810@gmail.com
ORCID iD: 0000-0002-4837-1893
Endocrinologist
Russian Federation, MoscowMaria G. Pavlova
Sechenov First Moscow State Medical University
Email: moslisa1810@gmail.com
ORCID iD: 0000-0001-6073-328X
Cand. Sci. (Med.), Assoc. Prof.
Russian Federation, MoscowReferences
- Мельниченко Г.А., Дедов И.И., Белая Ж.Е., и др. Болезнь Иценко-Кушинга: клиника, диагностика, дифференциальная диагностика, методы лечения. Проблемы Эндокринологии. 2015;61(2):55-77 [Melnichenko GA, Dedov II, Belaya ZhE, et al. Cushing's disease: the clinical features, diagnostics, differential diagnostics, and methods of treatment. Problemy Endokrinologii. 2015;61(2):55-77 (in Russian)]. doi: 10.14341/probl201561255-77
- Etxabe J, Vazquez JA. Morbidity and mortality in Cushing's disease: an epidemiological approach. Clin Endocrinol (Oxf). 1994;40(4):479-84. doi: 10.1111/j.1365-2265.1994.tb02486.x
- Fleseriu M, Auchus R, Bancos I, et al. Consensus on diagnosis and management of Cushing's disease: a guideline update. Lancet Diabetes Endocrinol. 2021;9(12):847-75. doi: 10.1016/S2213-8587(21)00235-7
- Nieman LK. Cushing's syndrome: update on signs, symptoms and biochemical screening. Eur J Endocrinol. 2015;173(4):M33-8. doi: 10.1530/EJE-15-0464
- Надеждина Е.Ю., Реброва О.Ю., Григорьев А.Ю. Правила прогнозирования ремиссии болезни Иценко−Кушинга после успешной эндоскопической трансназальной аденомэктомии. Проблемы Эндокринологии. 2020;66(1):70-7 [Nadezhdina EY, Rebrova OYu, Grigoriev AYu. The rules for predicting remission in patients with cushing disease after successful endoscopic transnasal adenomectomy. Problemy Endokrinologii. 2020;66(1):70-7 (in Russian)]. doi: 10.14341/probl10149
- Atkinson AB, Kennedy A, Wiggam MI, et al. Long-term remission rates after pituitary surgery for Cushing's disease: the need for long-term surveillance. Clin Endocrinol (Oxf). 2005;63(5):549-59. doi: 10.1111/j.1365-2265.2005.02380.x
- Brada M, Rajan B, Traish D, et al. The long-term efficacy of conservative surgery and radiotherapy in the control of pituitary adenomas. Clin Endocrinol (Oxf). 1993;38(6):571-8. doi: 10.1111/j.1365-2265.1993.tb02137.x
- Pivonello R, De Leo M, Cozzolino A, et al. The Treatment of Cushing's Disease. Endocr Rev. 2015;36(4):385-486. doi: 10.1210/er.2013-1048
- Alexandraki KI, Kaltsas GA, Isidori AM, et al. Long-term remission and recurrence rates in Cushing's disease: predictive factors in a single-centre study. Eur J Endocrinol. 2013;168(4):639-48. doi: 10.1530/EJE-12-0921
- Geer EB, Shafiq I, Gordon MB, et al. Biochemical control during long-term follow-up of 230 adult patients with Cushing disease: a multicenter retrospective study. Endocr Pract. 2017;23(8):962-70. doi: 10.4158/EP171787.OR
- Espinosa-de-Los-Monteros AL, Sosa-Eroza E, Espinosa E, et al. Long-term outcome of the different treatment alternatives for recurrent and persistent Cushing disease. Endocr Pract. 2017;23(7):759-67. doi: 10.4158/EP171756.OR
- Курицына Н.В., Цой У.А., Черебилло В.Ю., и др. Прогнозирование результатов транссфеноидальной эндоскопической аденомэктомии у пациентов с болезнью Иценко–Кушинга. Медицинский совет. 2021;(21-2):152-61 [Kuritsyna NV, Tsoy UA, Cherebillo VYu. Prediction of the transsphenoidal endoscopic adenomectomy results in patients with cushing's disease. Meditsinskii sovet. 2021;(21-2):152-61 (in Russian)]. doi: 10.21518/2079-701X-2021-21-2-152-161
- Гуссаова Н.В., Цой У.А., Черебилло В.Ю., и др. Прогностические маркеры ремиссии болезни Кушинга после транссфеноидальной эндоскопической аденомэктомии. Клиническая медицина. 2017;95(12):1106-11 [Gussaova NV, Choi WA, Cerebello VU, et al. Prognostic markers of remission of cushing's disease after transsphenoidal endoscopic adenomektomii. Clinical Medicine. 2017;95(12):1106-11 (in Russian)]. doi: 10.18821/0023-2149-2017-95-12-1106-1111
- Андреева А.В., Маркина Н.В., Анциферов М.Б. Современные подходы к терапии болезни Иценко-Кушинга. Проблемы Эндокринологии. 2016;62(4):50-5 [Andreeva AV, Markina NV, Antsiferov MB. Modern approaches to the treatment of cushing’s disease. Problemy Endokrinologii. 2016;62(4):50-5 (in Russian)]. doi: 10.14341/probl201662450-55
- Capatina C, Hinojosa-Amaya JM, Poiana C, et al. Management of patients with persistent or recurrent Cushing's disease after initial pituitary surgery. Expert Rev Endocrinol Metab. 2020;15(5):321-39. doi: 10.1080/17446651.2020.1802243
- Tritos NA, Biller BMK. Current management of Cushing's disease. J Intern Med. 2019;286(5):526-41. doi: 10.1111/joim.12975
- Morris LF, Harris RS, Milton DR, et al. Impact and timing of bilateral adrenalectomy for refractory adrenocorticotropic hormone-dependent Cushing’s syndrome. Surgery. 2013;154(6):1174-83. doi: 10.1016/j.surg.2013.06.017
- Castinetti F, Guignat L, Giraud P, et al. Ketoconazole in Cushing's disease: is it worth a try? J Clin Endocrinol Metab. 2014;99(5):1623-30. doi: 10.1210/jc.2013-3628
- Lacroix A, Gu F, Gallardo W, et al. Pasireotide G2304 Study Group. Efficacy and safety of once-monthly pasireotide in Cushing's disease: a 12 month clinical trial. Lancet Diabetes Endocrinol. 2018;6(1):17-26. doi: 10.1016/S2213-8587(17)30326-1
- Gadelha M, Snyder PJ, Witek P, et al. Long-term efficacy and safety of osilodrostat in patients with Cushing's disease: results from the LINC 4 study extension. Front Endocrinol (Lausanne). 2023;14:1236465. doi: 10.3389/fendo.2023.1236465
Supplementary files






