Патология внутреннего слухового прохода: эпидемиология, гистология и дифференциальная диагностика новообразований
- Авторы: Диаб Х.1,2, Дайхес Н.А.1,2, Пащинина О.А.1, Панина О.С.1
-
Учреждения:
- ФГБУ «Национальный медицинский исследовательский центр оториноларингологии» ФМБА России
- ФГАОУ ВО «Российский национальный исследовательский медицинский университет им. Н.И. Пирогова» Минздрава России (Пироговский Университет)
- Выпуск: Том 27, № 3 (2025): Оториноларингология и пульмонология
- Страницы: 141-148
- Раздел: Статьи
- Статья опубликована: 21.06.2025
- URL: https://consilium.orscience.ru/2075-1753/article/view/685506
- DOI: https://doi.org/10.26442/20751753.2025.3.203056
- ID: 685506
Цитировать
Полный текст
Аннотация
В статье представлен анализ литературы, посвященной патологии внутреннего слухового прохода (ВСП); приведены данные эпидемиологии, гистологическая характеристика, МР- и КТ-паттерны, характерные для различного типа образований. Все патологии ВСП условно дифференцированы на 2 большие группы: 1) патологии, исходящие непосредственно из структур ВСП; 2) прочие патологии, разрушающие ВСП извне (пирамиды височной кости, средней и задней черепной ямок). Отдельное внимание уделено вестибулярной шванноме, холестеатоме, менингиоме, параганглиоме, остеоме, липохористоме – образованиям ВСП, выявленным в клиническом опыте отдела заболеваний уха и основания черепа ФГБУ «НКЦ оториноларингологии»; хирургическая тактика и результаты лечения будут приведены в отдельном клиническом исследовании.
Ключевые слова
Полный текст
Введение
По данным мировой статистики 85% случаев поражения внутреннего слухового прохода (ВСП) и мостомозжечкового угла (ММУ) составляют вестибулярные шванномы (ВШ), остальные поражения ВСП разнородны. В практике отохирурга поражения ВСП чаще всего встречаются при таких процессах, как холестеатома пирамиды височной кости (ПВК), параганглиома, невринома лицевого нерва (ЛН), перелом латерального основания черепа. Имеются также редкие описания менингиом, гемангиом, остеом, лимфом, липохористом ВСП и пр. [1]. Данные по диагностике и эпидемиологии патологии ВСП представлены в литературе в виде разрозненных сведений по отдельным разновидностям патологических процессов, часто в виде клинических случаев. В данной статье приведена сводная таблица основных новообразований ВСП (табл. 1); проведен анализ литературы по эпидемиологии, гистологической характеристике и ключевым паттернам КТ- и МРТ-патологий ВСП (табл. 2), встретившихся нам в клинической практике в ФГБУ НМИЦО. Методы и результаты лечения данных пациентов будут оформлены в самостоятельное исследование и приведены в отдельных публикациях.
Таблица 1. Патология внутреннего слухового прохода либо с распространением в него в зависимости от источника роста и степени злокачественности | ||
Источник патологического процесса | Тип новообразования | |
Периферическая нервная система | Шваннома | I степень злокачественности по ВОЗ: • вестибулярного нерва • кохлеарного нерва • лицевого нерва |
Злокачественная опухоль периферических нервов: II–IV степени злокачественности по ВОЗ | ||
Автономная нервная система | Параганглиома | I степень злокачественности по ВОЗ: • тимпаномастоидальная • югулотимпанальная • вагальная |
Менингеальные оболочки | Менингиома | I степень злокачественности по ВОЗ (94,5%): • менинготелиоматозные • фибробластические • переходные • псаммоматозные II степень злокачественности по ВОЗ (4,7%): • атипическая • хордоидная • чистоклеточная III степень злокачественности по ВОЗ (0,8%): • анапластическая • папиллярная • рабдоидная |
Арахноидальная киста | ||
Костная ткань | Остеома (доброкачественная) Экзостоз (доброкачественная) Фиброзная дисплазия (доброкачественная, озлокачествление возможно при синдроме Макквина–Олбрайта), болезнь Педжета Остеобластома, остеосаркома: I–III степень злокачественности по ВОЗ Гигантоклеточная опухоль кости Хондробластома, хондросаркома: I–III степень злокачественности по ВОЗ Хордома (умеренная) Опухоль эндолимфатического мешка (умеренная) | |
Гематопоэтическая система | Лимфомы (злокачественные) Гистоцитоз (от умеренного до злокачественного) | |
Хориоидное сплетение IV желудочка | Хороидная папиллома: I (85%) – II (15%) степень злокачественности по ВОЗ Карцинома хороидного сплетения: III степень злокачественности по ВОЗ | |
Опухолеподобные дизонтогенетические кисты | Эпидермоидная киста / холестеатома (доброкачественная) Дермоидная киста (доброкачественная) | |
Зародышевая ткань | Эмбриональная карцинома (умеренная) Опухоль желточного мешка (умеренная) Хориокарцинома (умеренная) Тератомы (умеренная) | |
Метастатические поражения | Первичный очаг: • карцинома • саркома • меланома • лимфома | |
Таблица 2. Дифференциальная диагностика патологии ВСП по данным КТ височных костей и МРТ ММУ | |||||||
Вид ВСП | По отношению к просвету ВСП | КТ височных костей | МРТ Т1-взвешенный | МРТ Т2-взвешенный | МРТ с внутривенным контрастом | МРТ с жироподавлением | МРТ Non-EPI DWI |
Шваннома | Изнутри | Конусообразное расширение ВСП | Изоинтенсивна | Гиперинтенсивна | Накапливает контраст | Нет эффекта | Нет эффекта |
Холестеатома | Извне | Деструкция ВСП и других структур височной кости | Гипоинтенсивна | Гиперинтенсивна | Не накапливает контраст | Нет эффекта | Ограничение диффузии |
Менингиома | Изнутри | Гиперостозы, расширение ВСП, кальцинаты в структуре опухоли | Изоинтенсивна | Изо- или незначительно гиперинтенсивна | Накапливает контраст | Нет эффекта | Нет эффекта |
Параганглиома | Извне | Деструкция стенок ВСП, яремного отверстия и других структур височной кости; симптом «соли и перца» | Изоинтенсивна | Неоднородна – изоинтенсивна с гипер- и гипоинтенсивными включениями – симптом «соли и перца») | Накапливает контраст | Нет эффекта | Нет эффекта |
Остеома | Изнутри | Образование костной плотности, солидное или дольчатое | Гипоинтенсивна | Гипоинтенсивна | Не накапливает контраст (возможно накопление контраста по периферии) | Нет эффекта | Нет эффекта |
Липохористома | Изнутри | – | Гиперинтенсивна | Изо-, гипо-, гиперинтенсивна | – | Потеря сигнала | Нет эффекта |
Арахноидальная киста | – | Изоинтенсивна | Гиперинтенсивна | – | Нет эффекта | Нет эффекта | |
Вестибулярная шваннома
ВШ – медленнорастущая доброкачественная опухоль ВСП и ММУ, исходящая из VIII пары черепно-мозговых нервов (ЧМН). ВШ составляют примерно 6–8% интракраниальных опухолей у взрослых, это наиболее распространенные опухоли ММУ – с частотой от 60 до 95%, по данным разных авторов [2–5]. Термины ВШ и «акустическая невринома» – синонимы, они характеризуют доброкачественные опухоли, которые состоят из шванновских клеток [6]. Эти опухоли в большинстве случаев исходят из вестибулярной, а не кохлеарной порции VIII пары ЧМН и могут возникать из любой точки на всем его протяжении. T. Khrais и соавт. установили, что наиболее частые источники ВШ – оболочки нижнего вестибулярного нерва, реже – верхнего вестибулярного нерва [7, 8].
Выделяют 2 типа ВШ: спорадические (односторонние) и семейные (мультицентрические). Спорадическая форма ВШ встречается в 95% случаев и обычно наблюдается у взрослых. Мультицентрический двусторонний характер роста имеют 5% опухолей, чаще всего это проявление наследственного заболевания – нейрофиброматоза II типа (НФ 2); встречаются в молодом и детском возрасте. НФ 2 – генетически наследуемое аутосомно-доминантное заболевание, дополнительно характеризующееся множественными периферическими опухолями, включая плексиформные кожные шванномы, менингиомы, глиомы (астроцитомы, эпендимомы), параганглиомы. ВШ при НФ 2 могут также захватывать нервные волокна ЛН.
Ранее сообщалось, что заболеваемость ВШ составляет ~1 случай на 100 тыс. человек в год [9, 10]. Однако по данным систематического анализа от 2021 г. международные показатели заболеваемости (Дания, Нидерланды, Тайвань и США) спорадической ВШ превышают обычно указываемое число до 5 раз среди всех возрастов и до 20 раз среди возрастных групп с самым высоким уровнем риска [10, 11]. Благодаря постепенному усовершенствованию методов нейровизуализации, позволяющих устанавливать диагноз на ранних стадиях заболевания, выявляемость растет [12, 13]. При анализе размеров опухолей, по данным национальной популяционной выборки в Дании, в течение 30 лет размер выявляемых опухолей уменьшился с ~3 см в 1970-х гг. до ~1 см в середине 2000-х гг. [14]. Кроме того, в 1970-х гг. практически не диагностировались интраканальные шванномы, а к середине 2000-х гг. 33% всех обнаруженных опухолей были ограничены ВСП [14]. Это говорит о том, что сообщаемая заболеваемость ВШ зависит от повышающейся чувствительности методов визуализации и увеличения показаний для использования исследований магнитно-резонансной томографии (МРТ).
ВШ поражают социально активных людей в трудоспособном возрасте, часто имеется длительный бессимптомный период. Согласно обзору S. Stangerup и соавт., процент опухолей, демонстрирующих прогрессирующий рост после установки диагноза, составляет от 30 до 90% [14]. M. Sethi и соавт. сообщают, что вероятность роста экстраканальных опухолей – 30%, интраканальных – 15% в течение одного года наблюдения [15, 16]. Формального консенсуса в понимании скорости роста в настоящий момент не существует, однако большинство авторов определяют среднюю скорость роста от 1 до 2 мм в год, а высокую – 4 мм или более в год [10]. Симптоматика возникает вследствие растяжения и сдавления соседних ЧМН, деформации ствола мозга и прилежащего мозжечка.
Диагностика ВШ складывается из анализа клинико-анамнестических (снижение слуха, шум в ухе, вестибулярные нарушения, дисфункция мимической мускулатуры лица, снижение чувствительности лица, головные боли и пр.), аудиологических данных и результатов компьютерной томографии (КТ) и МРТ (рис. 1). КТ головного мозга – метод, не специфичный для данной патологии, однако позволяет предоперационно оценить особенности анатомии височных костей. При больших новообразованиях наиболее характерный КТ-признак – конусобразное расширение ВСП с одной стороны.
Рис. 1. МРТ-исследования пациентов с ВШ: а – интраканальная опухоль левого ВСП; b – новообразование левого ВСП Т2 по классификации Koos; опухоль заполняет всю мостомозжечковую цистерну, доходит до ствола; c – новообразование правого ВСП Т4 по Koos; опухоль оттесняет структуры ствола, сдавливает ликвороотводящую систему (зеленая стрелка). Здесь и далее на рис. 2–4 желтой стрелкой указан патологический процесс.
МРТ (не менее 1,5 Т) – метод выбора для выявления ВШ, при этом Т1-взвешенные изображения (тонкосрезовые спин-эхо или турбо-спин-эхо) с контрастным усилением считаются «золотым стандартом» как при установке диагноза, так и в периоде наблюдения [17, 18]. Протокол МРТ должен включать стандартные Т1- и Т2-взвешенные последовательности, диффузионно-взвешенные изображения (DWI) и режимы с жироподавлением. Режим non-EPI DWI полезен для дифференциации ВШ от арахноидальных или эпидермоидных кист. По крайней мере одна Т2-взвешенная последовательность обязательна, чтобы исключить возможную патологию ствола мозга, имитирующую симптомы ВШ (глиомы, рассеянный склероз) [18]. Аксиальная субмиллиметровая высокоинтенсивная Т2-взвешенная последовательность наиболее важна для оценки нервов ВСП [визуализируются как линейные гипоинтенсивные структуры, окруженные гиперинтенсивной спинномозговой жидкостью в цистернах (FIESTA, CISS или DRIVE)].
При размерах новообразования менее 5 мм визуальные изменения структур ВСП по данным стандартного МРТ (Т1, Т2, Flair) чаще отсутствуют [19, 20]. Ранее сообщалось, что около ½ интраканальных ВШ локализуется в центральных отделах ВСП [21]. Однако, по последним данным N. Koen и соавт., имеется латеральное преобладание ВШ<5 мм (61% – в области дна ВСП, 34% – в средней трети, только 5% – в области внутреннего отверстия ВСП) [22]. При экстра-интрамеатальных опухолях на МРТ ММУ определяется симптом «рожка мороженого»: расширенный ВСП и шар в области мостомозжечковой цистерны (ММЦ). Характеристика в Т1-, Т2-режимах может варьировать в зависимости от наличия кистозного компонента. При введении контрастного препарата характерно его накопление в структуре опухоли.
Для понимания общей клинической картины при ВШ важна оценка местоположения и размеров опухоли, компрессии структур ствола мозга, сосудисто-нервных структур области и ликвороотводящей системы. Для классификации ВШ в настоящее время чаще всего используются классификации по A. Samii и по Koos, которые объединяют характерную МР-картинку и клиническую симптоматику.
Холестеатома ПВК и эпидермоидные кисты ММУ
Холестеатома, или эпидермальная киста, – это доброкачественное образование, развивающееся из эктодермы. Бесконтрольный рост холестеатомы происходит в результате десквамации эпидермальных клеток внутри кисты с образованием перламутровых, блестящих детритов, а также секреции холестерина и кератина в кисту [23–26]. Все холестеатомы различают по происхождению (врожденные, приобретенные, ятрогенные) и локализации. Врожденная холестеатома, или эпидермальная киста, может развиваться на разных стадиях эмбрионального развития. Первый термин чаще используется отохирургами, второй – нейрохирургами, при этом обозначая одно понятие и один патологический процесс по своей гистологии. Развитие отклонений возможно начиная со стадии ранней гаструлы, когда происходит дифференцировка клеток эктодермы, и далее – в ходе группировки эктодермальных клеток в эпидермальную и нервную ткани. В этот же период эмбриогенеза (3–5 нед внутриутробного развития) формируются также слуховые и зрительные пузырьки, что определяет наиболее частое развитие интракраниальных эпидермоидов в ММУ, ПВК и в параселлярной области [23, 24]. Предполагается, что кисты, расположенные в пределах IV желудочка, возникают в результате смещения эктодермальных клеток до закрытия нервной трубки, а кисты, расположенные эпидурально или в ПВК, в среднем ухе образуются после закрытия нервной трубки из-за персистенции фетальных эктодермальных клеток [23]. Почти 1/2 холестеатом возникает в ММУ, это третьи по частоте опухоли головного мозга в этой локализации после шванном и менингиом: составляют 5–7% опухолей в этой области [23–25, 27–29].
Частота встречаемости холестеатомы ПВК: 3 на 100 тыс. детей; 9,2 на 100 тыс. взрослых (при этом в 1,4 раза чаще у мужчин) [26, 30]. При врожденной холестеатоме ПВК барабанная перепонка остается интактной, и эпизоды отореи, характерные для хронического гнойного среднего отита (ХГСО), отсутствуют. Частота встречаемости врожденного характера процесса составляет 0,12 на 100 тыс. человек, но реальные цифры выше, если учитывать тот факт, что возможно формирование вторичных перфораций барабанной перепонки [31]. Врожденный процесс имеет тенденции к большей степени деструкции, что связано с длительным бессимптомным течением и начальной манифестацией у людей молодого возраста с грубых клинических симптомов (дисфункции ЛН, глухоты, формирования экстра-интракраниальных абсцессов, синус-тромбоза, менингита, сепсиса), в отличие от пациентов с ХГСО, страдающих периодическими отореями и находящихся под амбулаторным наблюдением ЛОР-врачей по месту жительства [32–34].
Приобретенная холестеатома развивается вследствие инвазии эпидермиса в результате ретракции или перфорации барабанной перепонки на фоне ХГСО. Распространенность ХГСО чрезвычайно высока и варьирует в диапазоне 8,4–40,0 случая на 1 тыс. человек. Во всем мире от 1,5 до 4,0% населения страдают от данного заболевания; в структуре ЛОР-заболеваний доля ХГСО достигает 15–23%, а по данным разных авторов, частота развития холестеатомы вследствие ХГСО составляет от 19 до 63% [30, 31, 35].
Ведущие методы исследования для установки диагноза – КТ височных костей и МРТ головного мозга. По КТ-исследованиям оценивается локализация процесса в структуре височной кости и латерального основания черепа, определяется хирургическая тактика. На данных КТ основаны наиболее актуальные современные классификации холестеатомы ПВК M. Sanna и D. Moffat и соав. [33, 36]. Холестеатома ПВК имеет тенденцию к агрессивному разрушению костных структур, может одновременно поражать несколько отделов височной кости и распространяться по супра-/инфралабиринтному ячеистому тракту к внутренней сонной артерии, верхушке пирамиды, клиновидной пазухе, в исключительно редких случаях – носоглотке; сзади к задней черепной ямке (ЗЧЯ) и сигмовидному синусу; медиально может доходить до основания ВСП и ската; вниз до яремного отверстия, канала подъязычного нерва, мыщелка затылочной кости [37]. Изолированное развитие холестеатомы в ВСП встречается редко, а разрушение стенок ВСП не указывается в классификациях, между тем несет в себе ключевое понимание о типе необходимого доступа, достаточного для санации и определения методики закрытия послеоперационной полости. Для более детальной оценки вовлеченных в патологический процесс анатомических структур, в том числе ВСП, разработана оценочная шкала CLIF (APO) [38].
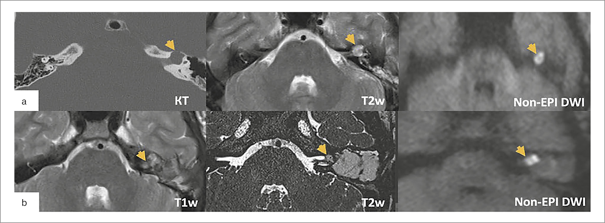
Исследования МРТ производятся в стандартных режимах (Т1 – гипоинтенсивный сигнал, Т2 – гиперинтенсивный), они дополняют КТ в ходе дифференциальной диагностики. Большое значение имеет non-EPI (В1000) DWI – последовательность, высокоспецифичная для холестеатомы, играет большую роль в определении рецидивов, особенно при закрытых техниках (облитерация послеоперационной полости и закрытие наружного слухового прохода cul-de-sac); рис. 2. В случае протяженного контакта холестеатомы с магистральными сосудами и возможной необходимости перекрытия просвета сигмовидного синуса необходимо проведение МРТ с внутривенным контрастированием либо в режимах MPА (ToF, PC, 4D), чтобы оценить достаточность венозного оттока по контрлатеральной стороне [21].
Рис. 2. Исследования пациентов с холестеатомой ПВК, разрушающей ВСП: а – врожденная супралабиринтная холестеатома, локализующаяся в области дна ВСП; b – рецидив врожденной холестеатомы ПВК в области ВСП.
Одни из первых симптомов, характерных для холестеатомы ПВК с разрушением ВСП, – снижение слуха и функции мимической мускулатуры на стороне поражения. Холестеатома сдавливает прилежащие ЧМН, вызывая локальную демиелинизацию. При распространении процесса во внутреннее ухо часто развивается глухота.
Менингиомы
Менингиомы представляют собой инкапсулированные, медленнорастущие доброкачественные опухоли с тенденцией к инвазии твердой мозговой оболочки и прилежащей кости. Возникают из ворсинок паутинной оболочки, которые располагаются вдоль венозных сосудистых структур (сигмовидного синуса, верхнего и нижнего каменистых синусов, синусного стока и яремного отверстия) [39]. Интраканальные менингиомы встречаются крайне редко и возникают из арахноидальных грануляций, расположенных вдоль дуральной выстилки отверстий ВСП. По данным литературы, интраканальные менингиомы чаще встречаются у женщин средней возрастной группы, чем у мужчин (отношение 1:1,6) [40].
F. Castellano и соавт. классифицировали менингиомы ЗЧЯ в зависимости от места их отхождения от твердой мозговой оболочки на 5 групп: поверхности мозжечка; тенториума; задней поверхности височной кости; ската; большого затылочного отверстия [41]. M. Desgeorges дополнительно подразделил менингиомы задней поверхности височной кости в зависимости от отношения к плоскости ВСП:
1) расположенные кпереди от ВСП;
2) в области ВСП;
3) опухоли, расположенные кзади от ВСП [42].
A. Bacciu и соавт. предложили классификацию менингиом на основании характера вовлечения ВСП и лабиринта:
1) интраканальные;
2) интраканальные с распространением в ММЦ;
3) интраканальные с прорастанием в окружающую кость;
4) интраканальные с распространением в ММЦ и инвазией в окружающую кость [43].
Менингиома обычно по мере своего роста сдавливает прилежащие нервы и сосуды, а не разрушает их структуру [39]. Эта особенность менингиом позволяет им протекать бессимптомно в ММЦ по мере увеличения в размерах. Однако при интраканальном характере процесса опухоль имеет тенденцию к раннему развитию симптомов из-за двух факторов:
1) ограниченного пространства, доступного для ее роста;
2) склонности к инвазии в костный лабиринт внутреннего уха [44].
Клинически симптомы интраканальных менингиом аналогичны симптомам ВШ, при этом снижение слуха в диапазоне от легкой до односторонней глухоты – наиболее частый симптом (85,4%) наряду с шумом в ушах (54%), головокружением (33,3%), неустойчивостью (20,8%), по данным A. Bacciu и V. Sykoprtrires и соавт. [43, 45]. Дисфункция ЛН (слабость, гемифациальные спазмы) также может быть ранним симптомом интраканальной менингиомы чаще, чем при ВШ [45].
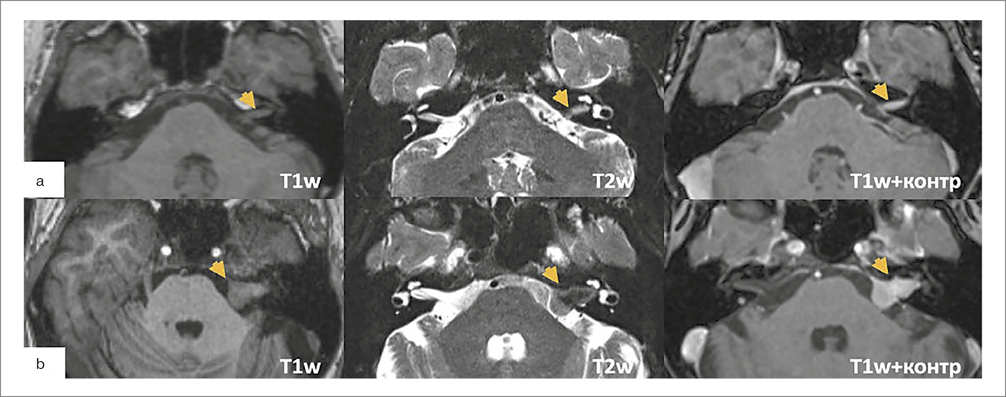
К методам диагностики относятся исследования КТ и МРТ (рис. 3). В отличие от ВШ, большинство менингиом топографически исходят из задней поверхности пирамиды и отличаются широким основанием прикрепления. На КТ-срезах можно выявить участки гиперостоза прилегающей кости и кальцификаты в структуре опухоли. На МРТ в Т1-режиме ВШ и менингиомы изоинтенсивны либо слегка гипоинтенсивны. На Т2-взвешенных изображениях ВШ чаще гиперинтенсивны, в то время как менингиомы – изоинтенсивны [43–47]. Менингиомы можно отличить от шванномы также по наличию неровных границ, неравномерно накапливающих контраст. Кроме того, один из наиболее характерных симптомов – симптом «хвоста» твердой мозговой оболочки после внутривенного введения контраста.
Рис. 3. Исследования пациентов с менингиомой ВСП: а – интраканальная менингиома; b – интраканальная менингиома с распространением в ММЦ. У пациента в анамнезе стереотаксическое лечение на аппарате «Гамма-нож». На T2W МР-последовательностях видно неоднородное строение опухоли в центральных отделах, гипоинтенсивный сигнал.
При изолированной интраканальной локализации отличить менингиому от ВШ на предоперационном этапе чрезвычайно трудно. Фактически в 75–90% зарегистрированных случаев интраканальных менингиом предварительный диагноз был ВШ [43, 48]. Один из ведущих диагностических факторов – форма опухоли в ММЦ: при менингиомах обычно имеется широкое основание, а при ВШ – сферическая форма (симптом «мороженого»). K. Asaoka и соавт. ретроспективно отметили, что для менингиомы также характерна выраженная тенденция инвазии твердой мозговой оболочки и костных отделов дна ВСП [40]. Также описано распространение менингиом по волокнам преддверно-улиткового нерва в улитку, преддверие и ампулы полукружных каналов [49].
Параганглиома
Параганглиома – васкуляризированная опухоль, которая происходит из симпатических или парасимпатических автономных комплексов нервных клеток, продуцирующих катехоламины. В литературе часто также используются синонимы – хемодектома, гломусная опухоль. Выделяют 3 подтипа параганглиом по источникам роста:
1) тимпаномастоидальная (из нерва Jacobson, проходит через барабанный каналец);
2) тимпаноюгулярная (из стенки луковицы яремной вены);
3) вагальная параганглиома (из нерва Arnold, проходит через мастоидальный каналец) [50].
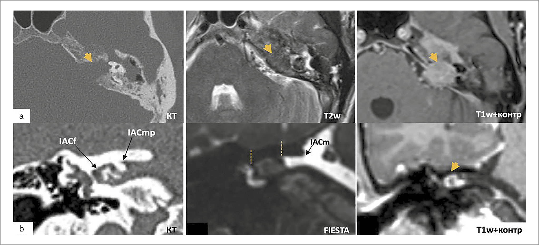
Тимпаноюгулярная параганглиома – вторая по частоте опухоль височной кости и самая распространенная опухоль, поражающая яремное отверстие, которая чаще встречается у европеоидов (преимущественно женского пола) с пиком в 5 и 6-м десятилетиях жизни. Опухоль характеризуется медленным ростом, инвазией костей основания черепа, инфильтрацией нижних ЧМН и вовлечением в процесс крупных кровеносных сосудов: луковицы яремной вены, внутренней сонной артерии, сигмовидного синуса, позвоночной артерии [51]. Поражение ВСП и интракраниальное распространение параганглиомы встречается редко и преимущественно бывает при тимпаноюгулярной и вагальной формах. Гистологически параганглиомы состоят из эпителиоидных однородных главных клеток и поддерживающих клеток, обычно образующих кластеры. Иммуногистохимически эпителиоидные главные клетки экспрессируют синаптофизин и хромогранин, что активно используется для установки окончательного гистологического диагноза. Для определения распространения роста широко принята классификация Fisch (1988 г.) в модификации S. Sivalingam и M. Sanna (2012 г.), базирующаяся на данных исследований КТ и МРТ [52]. По данным КТ, характерный признак – выраженное разрушение височной кости (каналов внутренней сонной артерии, луковицы яремной вены, сигмовидного синуса, ЛН); по МРТ в Т1-режиме изоинтенсивна; Т2 неоднородна (преимущественно изоинтенсивна с гипер- и гипоинтенсивными включениями – симптом «соли и перца»), в Т1 с внутривенным контрастированием определяется выраженное накопление контрастного вещества. Интрадуральное распространение, включающее себя пространство ВСП, обозначается буквой D. Опухоль обычно распространяется в субарахноидальное пространство, проникая в твердую мозговую оболочку ЗЧЯ вдоль нижних ЧМН (рис. 4). Однако описаны случаи интрадурального роста опухоли через ВСП и твердую мозговую оболочку средней ямки [53, 54]. По данным M. Sanna и соавт., в некоторых случаях не исключено распространение параганглиомы в ММУ и кавернозный синус непосредственно из-за инвазии ПВК. Большинство случаев Di1 были С2 (59,2%), а случаи Di2 были С3 (72,2%). Это показывает, что степень интрадурального вовлечения коррелирует с ростом класса опухоли [53].
Рис. 4. Исследования пациентов с параганглиомой и остеомой ВСП: а – параганглиома с распространением в ВСП; b – интраканальная остеома ВСП. IACf – дно внутреннего слухового прохода; IACmp – средняя часть внутреннего слухового прохода; IACm – внутреннее отверстие внутреннего слухового прохода.
Остеомы и экзостозы ВСП
Костные поражения ВСП встречаются редко и в основном протекают бессимптомно. Различные костные патологии ВСП, приводящие к стенозу его просвета, чаще являются следствием генерализованных поражений костной ткани: фиброзной дисплазии, болезни Педжета, гигантоклеточной опухоли кости, отеобластомы, остеита ПВК. Встречаются только 2 типа солитарных доброкачественных образований: остеома и экзостоз [55, 56]. Дифференциация остеом и экзостозов ВСП может быть сложной задачей. Остеома представляет собой тип медленнорастущей доброкачественной опухоли кости, которая обычно диагностируется в наружном слуховом проходе [55, 57]. Остеомы имеют более тонкую ножку и характеризуются фиброваскулярными каналами, окруженными неравномерно ориентированной пластинчатой костью. Напротив, экзостозы обычно представляют собой возвышения кости с широким основанием, состоящие из параллельных слоев поднадкостницы [57, 58].
Первое описание остеомы ВСП было сделано V. Singh и соавт. в 1992 г. [59]. V. Gerganov и соавт. описали первый случай двусторонней остеомы ВСП [59]. Всего в зарубежной литературе выявлено 26 клинических случаев остеомы ВСП, при этом нет ни одного исследования ее происхождения. Точная причина возникновения остеом не установлена, имеются несколько возможных этиологий развития: травма, инфекция, воспаление, контакт/раздражение от прилежащих кровеносных сосудов, гормональные или генетические факторы или участки различного эмбриологического происхождения [60].
В большинстве случаев остеома ВСП – рентгенологическая находка [55, 61]. Диагноз устанавливают преимущественно на основании тонкосрезовой (0,5–0,7 мм) КТ, где определяется гомогенная опухоль кости на ножке, хорошо ограниченная, округлая или многодольчатая [62]. При анализе существующих публикаций точная локализация остеомы в ВСП (дно, средний отдел, внутреннее отверстие) и стенка ее происхождения (передняя/верхняя/задняя/нижняя) отмечены не во всех рассмотренных исследованиях, что может быть важно для понимания преобладания тех или иных клинических симптомов. J. Vrabec и соавт. указали, что в 6 случаях из 7 остеома выявлена в латеральных отделах ВСП [62]. По МРТ-исследованию возможно ошибочно диагностировать остеому с ВШ из-за плохой визуализации опухоли в стандартных режимах из-за ее малых размеров [63]. Последовательность FIESTA полезна для обнаружения небольших поражений ВСП, но для исключения костных опухолей следует выполнять КТ-исследование височной кости.
Клинические симптомы остеомы вариабельны, несмотря на сходные рентгенологические данные (снижение слуха от незначительного до глубокого; шум в ушах от периодического до постоянного); вестибулярные расстройства варьировали от позиционного до постоянного головокружения [63]. В литературе не описано случаев дисфункции мимической мускулатуры на фоне остеомы ВСП [64]. Нечастое поражение ЛН может быть связано с преимущественной локализацией образования по нижней и задней стенкам ВСП, что делает степень компрессии лицевого ствола не столь значительной. В 2010 г. B. Lietin и соавт. описали пациента с гемифациальным спазмом как первым проявлением [61].
Липохористома
Интракраниальные липомы – редкие образования, на долю которых приходится от 0,1 до 1,5% всех внутричерепных опухолей, около 10% из них возникают в ММЦ [65]. В настоящее время эту патологию не рассматривают ни как истинные новообразования, ни как гамартомы, скорее как врожденные пороки развития, возникающие в результате аномальной персистенции (хористома) и липоматозной дифференцировки «примитивной мозговой оболочки» (мезенхимального производного нервного гребня) во время развития субарахноидальных цистерн. Липомы могут быть случайной находкой и протекать бессимптомно либо имитировать другие, более распространенные поражения ВСП и ММУ, такие как шванномы и менингиомы, вызывая компрессию ЧМН и кровеносных сосудов [66, 67]. Наиболее частый симптом – снижение слуха, сопровождаемое головокружением и шумом в ушах [66, 68]. Изолированная интраканальная липома трудно диагностируется, и до операции чаще предполагается ВШ [47].
На КТ с высоким разрешением липохористома обычно представляет собой гиподенсивную массу. На МРТ характеризуется гиперинтенсивностью на Т1-взвешенных изображениях. Т2-взвешенные изображения могут иметь переменную интенсивность сигнала (изоинтенсивный, гипоинтенсивный или гиперинтенсивный); на последовательностях с жироподавлением сигнал отсутствует, что подтверждает диагноз [47, 69]. Липомы обычно не накапливают контраст [65, 70]. Большинство липом топографически происходят из области входа корешков акустикофациальной группы нервов, тогда как шванномы чаще возникают из латеральной части ВСП и распространяются медиально.
Гистологический анализ липом обычно показывает наличие тяжей соединительной ткани и зрелых жировых клеток, включающих нервные пучки и сосуды. Тенденция адипоцитов к инфильтрации нервных волокон уникальна для липом ВСП и ММЦ, что делает хирургическое удаление образования с сохранением нервных стволов технически сложной задачей [71]. Частота дисфункции ЛН в послеоперационном периоде достигает 29,4% по данным литературы.
Заключение
Всю патологию ВСП можно условно разделить на 2 большие группы:
1) патологию, исходящую непосредственно из структур ВСП;
2) другую патологию (ПВК, средней черепной ямки и ЗЧЯ), разрушающую ВСП извне.
Все эти новообразования, несмотря на разную гистологическую структуру, проявляются схожим симптомокомплексом, связанным с локализацией патологического процесса в узком костном канале и сдавлением/разрушением стволов акустикофациальной группы нервов. К основному методу диагностики относится МРТ-исследование (не менее 1,5 Т; в режимах Т1, Т2, CISS/FIESTA, non-EPIDWI, режимах с жироподавлением, Т1 с внутривенным контрастрированием), позволяющее с большой долей вероятности установить диагноз на предоперационном этапе. Основной сложностью остается дифференциальная диагностика ВШ и интраканальной менингиомы (вероятность некорректного диагноза – до 90%). КТ височных костей – вспомогательная методика, позволяющая исключить костные образования ВСП, деструкцию прилежащих областей, а также спланировать хирургический доступ, интегрируя в хирургический план индивидуальные анатомические особенности.
Раскрытие интересов. Авторы декларируют отсутствие явных и потенциальных конфликтов интересов, связанных с публикацией настоящей статьи.
Disclosure of interest. The authors declare that they have no competing interests.
Вклад авторов. Авторы декларируют соответствие своего авторства международным критериям ICMJE. Все авторы в равной степени участвовали в подготовке публикации: разработка концепции статьи, получение и анализ фактических данных, написание и редактирование текста статьи, проверка и утверждение текста статьи.
Authors’ contribution. The authors declare the compliance of their authorship according to the international ICMJE criteria. All authors made a substantial contribution to the conception of the work, acquisition, analysis, interpretation of data for the work, drafting and revising the work, final approval of the version to be published and agree to be accountable for all aspects of the work.
Источник финансирования. Авторы декларируют отсутствие внешнего финансирования для проведения исследования и публикации статьи.
Funding source. The authors declare that there is no external funding for the exploration and analysis work.
Об авторах
Хассан Мохаммад Али Диаб
ФГБУ «Национальный медицинский исследовательский центр оториноларингологии» ФМБА России; ФГАОУ ВО «Российский национальный исследовательский медицинский университет им. Н.И. Пирогова» Минздрава России (Пироговский Университет)
Email: dr.panina@gmail.com
ORCID iD: 0000-0001-5337-3239
д-р мед. наук, зам. дир., проф. каф. оториноларингологии постдипломного образования
Россия, Москва; МоскваНиколай Аркадьевич Дайхес
ФГБУ «Национальный медицинский исследовательский центр оториноларингологии» ФМБА России; ФГАОУ ВО «Российский национальный исследовательский медицинский университет им. Н.И. Пирогова» Минздрава России (Пироговский Университет)
Email: dr.panina@gmail.com
ORCID iD: 0000-0001-5636-5082
чл.-кор. РАН, д-р мед. наук, проф., дир., зав. каф. оториноларингологии постдипломного образования
Россия, Москва; МоскваОльга Александровна Пащинина
ФГБУ «Национальный медицинский исследовательский центр оториноларингологии» ФМБА России
Email: dr.panina@gmail.com
ORCID iD: 0000-0002-3608-2744
канд. мед. наук, зав. отд. патологии уха и основания черепа
Россия, МоскваОльга Сергеевна Панина
ФГБУ «Национальный медицинский исследовательский центр оториноларингологии» ФМБА России
Автор, ответственный за переписку.
Email: dr.panina@gmail.com
ORCID iD: 0000-0002-5177-4255
врач-оториноларинголог, мл. науч. сотр. научно-клинического отд. патологии уха и основания
Россия, МоскваСписок литературы
- Miyamoto RT, Althaus R, Wilson F, Brookler KH. Middle fossa surgery Report of 153 cases. Otolaryngol Head Neck Surg. 1985;93(4):529-35. doi: 10.1177/019459988509300411
- Horvath M, Babel B, Nyary L, et al. Tumors of the cerebellopontine angle. Changing policy in treatment. Neurosurg Rev. 1996;19(4):243-6. doi: 10.1007/BF00314839
- Betka J, Zverina E, Balogova Z, et al. Complications of microsurgery of vestibular schwannoma. Biomed Res Int. 2014:315952. doi: 10.1155/2014/315952
- Brackmann DE, Bartels LJ. Rare tumors of the cerebellopontine angle. Otolaryngol Head Neck Surg (1979). 1980;88(5):555-9. doi: 10.1177/019459988008800508
- Mahaley M, Mettlin C, Natarajan N, et al. Analysis of patterns of care of brain tumor patients in the United States: a study of the Brain Tumor Section of the AANS and the CNS and the Commission on Cancer of the ACS. Clin Neurosurg. 1990;36:347-52.
- Gal T, Shinn J, Huang B. Current epidemiology and management trends in acoustic neuroma. Otolaryngol Head Neck Surg. 2010;142(5):677-81. doi: 10.1016/j.otohns.2010.01.037
- Khrais T, Romano G, Sanna M. Nerve origin of vestibular schwannoma: A prospective study. J Laryngol Otol. 2008;122(2):128-31. doi: 10.1017/S0022215107001028
- He Y, Yu C, Ji H, et al. Significance of vestibular testing on distinguishing the nerve of origin for vestibular schwannoma and predicting the preservation of hearing. Chin Med J (Engl). 2016;129(7):799-803. doi: 10.4103/0366-6999.178958
- Howitz M, Johansen C, Tos M, et al. Incidence of vestibular schwannoma in Denmark, 1977–1995. Am J Otol. 2000;21(5):690-4.
- Nestor J, Korol H, Nutik S, Smith R. The incidence of acoustic neuromas. Arch Otolaryngol Head Neck Surg. 1988;114(6):680. doi: 10.1001/archotol.1988.01860180094042
- Marinelli J, Beeler C, Carlson M, et al. Global Incidence of Sporadic Vestibular Schwannoma: A Systematic Review. Otolaryngol Head Neck Surg. 2022;167(2):209-14. doi: 10.1177/01945998211042006
- Abele T, Besachio D, Quigley E, et al. Diagnostic accuracy of screening MR imaging using unenhanced axial CISS and coronal T2WI for detection of small internal auditory canal lesions. Am J Neuroradiol. 2014;35(12):2366-70. doi: 10.3174/ajnr.A4041
- Liudahl A, Davis A, Liudahl D, et al. Diagnosis of small vestibular schwannomas using constructive interference steady state sequence. Laryngoscope. 2018;128(9):2128-32. doi: 10.1002/lary.27100
- Stangerup S, Caye-Thomasen P. Epidemiology and Natural History of Vestibular Schwannomas. Otolaryngol Clin North Am. 2012;45(2):257-68. doi: 10.1016/j.otc.2011.12.008
- Sethi M, Borsetto D, Bance M, et al. Determinants of Vestibular Schwannoma Growth. Otol Neurotol. 2021;42(5):746-54. doi: 10.1097/MAO.0000000000003043
- Sethi M, Borsetto D, Cho Y, et al. The Conditional Probability of Vestibular Schwannoma Growth at Different Time Points after Initial Stability on an Observational Protocol. Otol Neurotol. 2020;41(2):250-7. doi: 10.1097/MAO.0000000000002448
- Dunn I, Bi W, Mukundan S, et al. Congress of Neurological Surgeons Systematic Review and Evidence-Based Guidelines on the Role of Imaging in the Diagnosis and Management of Patients With Vestibular Schwannomas. doi: 10.1093/neuros/nyx510/4764045
- Goldbrunner R, Weller M, Regis J, et al. Eano guideline on the diagnosis and treatment of vestibular schwannoma. Neuro Oncol. 2020;22(1):31-45. doi: 10.1093/neuonc/noz153
- Tos M, Stangerup SE, Per Caye-Thomasen, et al. What Is the Real Incidence of Vestibular Schwannoma? Arch Otolaryngol Head Neck Surg. 2004;130(2):216-20. doi: 10.1001/archotol.130.2.216
- Caye-Thomasen P, Hansen S, Dethloff T, et al. Sublocalization and volumetric growth pattern of intracanalicular vestibular schwannomas. Laryngoscope. 2006;116(7):1131-5. doi: 10.1097/01.MLG.0000217528.37106.2D
- Friedmann R, Slattery W, Brackmann DE, et al. Lateral skull base surgery. The House Clinic Atlas. Thieme; 2012.
- Koen N, Shapiro C, Kozin E, et al. Location of Small Intracanalicular Vestibular Schwannomas Based on Magnetic Resonance Imaging. Otolaryngol Head Neck Surg. 2020;162(2):211-4. doi: 10.1177/0194599819893106
- Nagasawa D, Yew A, Safaee M, et al. Clinical characteristics and diagnostic imaging of epidermoid tumors. J Clin Neurosci. 2011;18(9):1158-62. doi: 10.1016/j.jocn.2011.02.008
- Bonneville F, Savatovsky J, Chiras J. Imaging of cerebellopontine angle lesions: An update. Part 2: Intra-axial lesions, skull base lesions that may invade the CPA region, and non-enhancing extra-axial lesions. Eur Radiol. 2007;17(11):2908-20. doi: 10.1007/s00330-007-0680-4
- Schiefer T, Link M. Epidermoids of the cerebellopontine angle: a 20-year experience. Surg Neurol. 2008;70(6):584-90. doi: 10.1016/j.surneu.2007.12.021
- Olszewska E, Wagner M, Bernal-Sprekelsen M, et al. Etiopathogenesis of cholesteatoma. Eur Arch Otorhinolaryngol. 2004;261(1):6-24. doi: 10.1007/s00405-003-0623-x
- Kobata H, Kondo A. Cerebellopontine Angle Epidermoids Presenting with Cranial Nerve Hyperactive Dysfunction: Pathogenesis and Long-term Surgical Results in 30 Patients. Neurosurgery. 2002;50(2):276-85. doi: 10.1097/00006123-200202000-00008
- Springborg J, Poulsgaard L, Thomsen J. Nonvestibular schwannoma tumors in the cerebellopontine angle: A structured approach and management guidelines. Skull Base. 2008;18(4):217-28. doi: 10.1055/s-2007-1016959
- Moffat D, Ballagh R. Clinical Oncology Rare Tumours of the Cerebellopontine Angle. Clin Oncol. 1995;7(1):28-41. doi: 10.1016/s0936-6555(05)80632-6
- Mario Sanna, Carlo Zini, Roberto Gamoletti, et al. Petrous Bone Cholesteatoma. Skull Base Surg. 1993;3(4):201-13. doi: 10.1055/s-2008-1060585
- Potsic WP, Samadi DS, Marsh RR, Wetmore RF. A Staging System for Congenital Cholesteatoma. Arch Otolaryngol Head Neck Surg. 2002;128.
- Prasad S, Piras G, Piccirillo E, et al. Surgical strategy and facial nerve outcomes in petrous bone cholesteatoma. Audiol Neurotol. 2017;21(5):275-85. doi: 10.1159/000448584
- Sanna M, Pandya Y, Mancini F, et al. Petrous bone cholesteatoma: Classification, management and review of the literature. Audiol Neurotol. 2011;16(2):124-36. doi: 10.1159/000315900
- Rijuneeta, Parida P, Bhagat S. Parapharyngeal and retropharyngeal space abscess: An unusual complication of chronic suppurative otitis media. Indian J Otolaryngol Head Neck Surg. 2008;60(3):252-5. doi: 10.1007/s12070-008-0001-5
- Lynrah Z, Bakshi J, Panda N, Khandelwal N. Aggressiveness of Pediatric Cholesteatoma. Do We Have an Evidence? Indian J Otolaryngol Head Neck Surg. 2013;65(3):264-8. doi: 10.1007/s12070-012-0548-z
- Moffat D, Jones S, Smith W. Petrous temporal bone cholesteatoma: A new classification and long-term surgical outcomes. Skull Base. 2008;18:107-15.
- Omran A, de Denato G, Piccirillo E, et al. Petrous bone cholesteatoma: Management and outcomes. Laryngoscope. 2006;116(4):619-26. doi: 10.1097/01.mlg.0000208367.03963.ca
- Диаб Х.М., Панина О.С., Пащинина О.А. Модифицированная классификация инфралабиринтной холестеатомы пирамиды височной кости и шкала распространенности патологического процесса. Медицинский совет. 2020;(16):86-94 [Diab K, Panina O, Pashchinina O. Modified classification of infralabyrinthie cholesteatoma and scale of cholesteatoma extention. Meditsinskiy Sovet. 2020;(16):86-94 (in Russian)]. doi: 10.21518/2079-701X-2020-16-86-94
- Nakamura M, Roser F, Mirzai S, et al. Meningiomas of the internal auditory canal. Neurosurgery. 2004;55(1):119-27. doi: 10.1227/01.neu.0000126887.55995.e7
- Asaoka K, Barrs D, Sampson J, et al. Intracanalicular Meningioma Mimicking Vestibular Schwannoma. AJNR Am J Neuroradiol. 2002;23(9):1493-6. PMID: 12372737
- Castellano F, Ruggiero G. Meningiomas of the posterior fossa. Acta Radiol Suppl. 1953;(104):170-7.
- Desgeorges M. Posterior surface of petrous bone meningiomas: Choice of surgical approach and comparison between standard microsurgical techniques and the use of a microscope-guided laser. In: Tos M, Thomsen J. Acoustic Neuroma. Amsterdam, The Netherlands: Kugler Publications, 1992. doi: 10.3109/00016488809124991
- Bacciu A, Piazza P, Di Lella F, Sanna M. Intracanalicular Meningioma: Clinical Features, Radiologic Findings, and Surgical Management. Otol Neurotol. 2007;28(3):391-9. doi: 10.1097/MAO.0b013e31803261b4
- Martinez Devesa P, Wareing M, Moffat D. Meningioma in the internal auditory canal. J Laryngol Otol. 2001;115(1):48-9. doi: 10.1258/0022215011906777
- Sykopetrites V, Piras G, Taibah A, Sanna M. Meningiomas of the Internal Auditory Canal. Laryngoscope. 2021;131(2):E413-9. doi: 10.1002/lary.28987
- Caylan R, Falcioni M, De Donato G, et al. Intracanalicular meningiomas. Otolaryngol Head Neck Surg. 2000;122(1):147-50. doi: 10.1016/S0194-5998(00)70166-5
- White J, Carlson M, Van Gompel J, et al. Lipomas of the cerebellopontine angle and internal auditory canal: Primum Non Nocere. Laryngoscope. 2013;123(6):1531-6. doi: 10.1002/lary.23882
- Watanabe K, In-Ping Huang Cobb M, Zomorodi A, et al. Rare Lesions of the Internal Auditory Canal. World Neurosurg. 2017;99:200-9. doi: 10.1016/j.wneu.2016.12.003
- Asaoka K, Barrs D, Sampson J, et al. Intracanalicular Meningioma Mimicking Vestibular Schwannoma. AJNR Am J Neuroradiol. 2002;23(9):1493-6.
- Диаб К.М., Дайхес Н.А., Пащинина О.А., и др. Анатомия яремного отверстия при хирургии параганглиомы латерального основания черепа. Вестн Оториноларингол. 2023;88(1):10-6 [Diab KM, Daikhes NA, Pashchinina OA, et al. Jugular foramen anatomy in lateral skull base paraganglioma surgery. Vestn Otorinolaringol. 2023;88(1):10-6 (in Russian)]. doi: 10.17116/otorino20228801110
- Диаб Х.М., Быкова В.П., Давудов Х.Ш. Клинико-морфологическая характеристика югулотимпанальных параганглиом. Клин эксп морфология. 2019;8(3):35-40 [Diab KhM, Bykova VP, Davudov HSh, et al. Clinical and morphological characteristics of jugulotympanic paraganliomas. Clinical and Experimental Morphology. 2019;8(3):35-40 (in Russian)]. doi: 10.31088/CEM2019.8.3.35-40
- Sivalingam S, Konishi M, Shin S, et al. Surgical management of tympanojugular paragangliomas with intradural extension, with a proposed revision of the fisch classification. Audiol Neurotol. 2012;17(4):243-55. doi: 10.1159/000338418
- Sanna M, Jain Y, De Donato G, et al. Management of Jugular Paragangliomas: The Gruppo Otologico Experience. Otol Neurotol. 2004;25(5):797-804. doi: 10.1097/00129492-200409000-00025
- Magliulo G, Parrotto D, Alansi W, et al. Intradural jugular paragangliomas: Complications and sequelae. Skull Base. 2008;18(3):189-94. doi: 10.1055/s-2007-1016957
- Ramsay H, Brackmann D. Osteoma of the Internal Auditory Canal A Case Report [Internet]. Arch Otolaryngol Head Neck Surg. 1994;120.
- Baik F, Nguyen L, Doherty J, et al. Comparative Case Series of Exostoses and Osteomas of the Internal Auditory Canal. Ann Otol Rhinol Laryngol. 2011;120(4):255-60. doi: 10.1177/000348941112000407
- Graham M, Arbor A. Osteomas and exostoses of the external auditory canal a clinical, histopathologic and scanning electron microscopic study. Ann Otol Rhinol Laryngol. 1979;88(4 Pt. 1):566-72. doi: 10.1177/000348947908800422
- Singh V, Annis J, Todd G. Clinical Records Osteoma of the internal auditory canal presenting with sudden unilateral hearing loss. J Laryngol Otol. 1992;106(10):905-7. doi: 10.1017/s0022215100121243
- Gerganov V, Samii A, Paterno V, et al. Bilateral osteomas arising from the internal auditory canal: case report. Neurosurgery. 2008;62(2):E528-9. doi: 10.1227/01.neu.0000316023.81786.b6
- Clerico M, Jahn A, Fontanella S. Osteoma of the internal auditory canal case report and literature review. Ann Otol Rhinol Laryngol. 1994;103(8 Pt 1):619-23. doi: 10.1177/000348949410300807
- Lietin B, Bascoul A, Gabrillargues J, et al. Osteoma of the internal auditory canal. Eur Ann Otorhinolaryngol Head Neck Dis. 2010;127(1):15-9. doi: 10.1016/j.anorl.2010.02.004
- Vrabec J, Lambert P, Chaljub G. Osteoma of the Internal Auditory Canal. Arch Otolaryngol Head Neck Surg. 2000;126.
- Suzuki J, Takata Y, Miyazaki H, et al. Osteoma of the internal auditory canal mimicking vestibular schwannoma: Case report and review of 17 recent cases. Tohoku J Exp Med. 2014;232(1):63-8. doi: 10.1620/tjem.232.63
- Davis TC, Thedinger BA, Greene GM. Osteomas of the internal auditory canal: a report of two cases. Am J Otol. 2000;21(6):852-6. PMID: 11078075
- Bacciu A, Di Lella F, Ventura E, et al. Lipomas of the internal auditory canal and cerebellopontine angle. Ann Otology Rhinol Laryngol. 2014;123(1):58-64. doi: 10.1177/0003489414521384
- Uysal E, Reese J, Cohen M, et al. Internal Auditory Canal Lipoma: An Unusual Intracranial Lesion. World Neurosurg. 2020;135:156-9. doi: 10.1016/j.wneu.2019.12.037
- Ventura E, Ormitti F, Crisi G, et al. Bilateral cerebellopontine angle lipomas. Auris Nasus Larynx. 2012;39(1):103-6. doi: 10.1016/j.anl.2011.01.021
- Dazert S, Aletsee C, Brors D, et al. Rare tumors of the internal auditory canal. Eur Arch Otorhinolaryngol. 2005;262(7):550-4. doi: 10.1007/s00405-003-0734-4
- Buyukkaya R, Buyukkaya A, Ozturk B, et al. CT and MR imaging characteristics of intravestibular and cerebellopontine angle lipoma. Iran J Radiol. 2014;11(2):e11320. doi: 10.5812/iranjradiol.11320
- Sandy S, Lo W, Tschirhart D. Lipochoristomas (lipomatous tumors) of the acoustic nerve. Arch Pathol Lab Med. 2003;127(11):1475-9. doi: 10.5858/2003-127-1475-LLTOTA
- Christensen W, Long D, Epstein J. Cerebellopontine Angle Lipoma. Hum Pathol. 1986;17(7):739-43. doi: 10.1016/s0046-8177(86)80184-8
Дополнительные файлы







