Pulmonary fibrosis: New horizons and clinical solutions: A review. II Expert Council “Idiopathic pulmonary fibrosis and progressive pulmonary fibroses. Real Practice”. Symposium Review October 26, 2024, Sochi, Russia
- Authors: Avdeev S.N.1, Chikina S.I.1, Trushenko N.V.1,2, Kiniaikin M.F.3,4
-
Affiliations:
- Sechenov First Moscow State Medical University (Sechenov University)
- Research Institute of Pulmonology
- Pacific State Medical University
- Primorsky Territory Clinical Hospital No.1
- Issue: Vol 27, No 3 (2025): Оториноларингология и пульмонология
- Pages: 165-178
- Section: Articles
- Published: 21.06.2025
- URL: https://consilium.orscience.ru/2075-1753/article/view/685514
- DOI: https://doi.org/10.26442/20751753.2025.3.203266
- ID: 685514
Cite item
Full Text
Abstract
This review summarizes key materials from Symposium II of the Expert Council on idiopathic pulmonary fibrosis (IPF) and progressive pulmonary fibrosis, held on October 26, 2024, in Sochi. It highlights recent scientific advances in understanding the pathogenesis of IPF, including genetic factors and the role of fibrosenescence. Discussed are the updated clinical guidelines from the European Respiratory Society (ERS), American Thoracic Society (ATS), Japanese Respiratory Society (JRS), and Asociación Latinoamericana del Thorax (ALAT) (2022) on diagnosis, emphasizing the value of transbronchial lung cryobiopsy and high-resolution computed tomography (HRCT) patterns. Special attention is given to novel therapeutic approaches: antifibrotic drugs (nintedanib, pirfenidone), inhaled formulations, and promising agents in clinical trial phases. Research findings on the prognostic significance of symptoms (cough, crackles) and the efficacy of bioequivalent drugs are reviewed. Data from the Russian IPF patient registry underscore the importance of standardized diagnostics and monitoring. The material includes a clinical case analysis demonstrating long-term pirfenidone therapy. This review is intended for pulmonologists, rheumatologists, and specialists in interstitial lung diseases.
Full Text
С.Н. Авдеев. Идиопатический легочный фиброз и прогрессирующие легочные фиброзы: новости Американского торакального общества, Европейского респираторного общества 2024 г.
Сергей Николаевич Авдеев рассказал о научных исследованиях, которые были представлены на конгрессе Европейского респираторного общества (ERS) и конференции Американского торакального общества (ATS) в 2024 г.
Первая публикация посвящена практике ведéния больных идиопатическим легочным фиброзом (ИЛФ) в Европе "Treatment patterns and patient journey in progressive pulmonary fibrosis" [1] (рис. 1).
Рис. 1. Путь пациента с ИЗЛ в Европе.
В исследовании участвовали 265 специалистов и более 1300 пациентов. В результате получены данные о том, что в европейских странах (Германии, Испании, Италии, Англии и Франции) на постановку диагноза ИЛФ уходит примерно 1,5 года. Из симптомов, с которыми обращается пациент, на 1-м месте стоит одышка. Врач, к которому пациент обращается в первую очередь, – врач общей практики. Однако в большинстве случаев диагноз ИЛФ ставит пульмонолог.
Далее лектор выделяет исследование "Idiopathic pulmonary fibrosis: From common microscopy to single-cell biology and precision medicine" [2]. В обзоре представлена эволюция патогенеза ИЛФ: от представлений о хроническом воспалении до понимания таких механизмов, как аберрантная активация эпителия. Большое значение уделяется генетическим открытиям, затрагиваются вопросы фибростарения (рис. 2).
Рис. 2. Эволюция патогенеза ИЛФ.
В обзоре "Genetics and Genomics of Pulmonary Fibrosis: Charting the Molecular Landscape and Shaping Precision Medicine" [3] показана история открытий генов, которые могут быть связаны с развитием легочного фиброза. В настоящее время складывается цельная картина, когда за каждым механизмом патогенеза стоит какое-либо генетическое изменение. В качестве примера Сергей Николаевич приводит MUC5B – самый известный и частый ген, который определяется у пациентов с ИЛФ. Он отвечает за изменение интеграции эпителия, и в том числе за пролиферацию фибробластов.
Лектор отмечает, что не за горами то время, когда каждый пациент с легочным фиброзом будет генотипирован. Сегодня существуют успешные примеры практического полного охвата генотипированием при муковисцидозе, когда генотип известен в 98% случаев муковисцидоза в России.
Далее лектор рассказывает об исследованиях, посвященных диагностике ИЛФ.
Автор начинает этот раздел с упоминания о Российском регистре больных ИЛФ [4] (рис. 3).
Рис. 3. Симптомы и клинические признаки ИЛФ.
Сергей Николаевич обращает внимание на наиболее известные симптомы и клинические признаки ИЛФ: одышку, крепитацию, кашель, а также на тот факт, что у 1/3 пациентов была продукция мокроты, что не является характерным признаком ИЛФ.
Исследование, посвященное новой шкале для определения прогноза [5]. Шкала включает диффузионную способность, одышку по mMRC (Modified Medical Research Council Dyspnea Scale – модифицированный опросник Британского медицинского исследовательского совета для оценки тяжести одышки), тест с 6-минутной ходьбой (ТШХ) и GAP (Gender, Age, Physiology); рис. 4.
Рис. 4. Анализ ROC-кривых.
Лектор находит шкалу полезной, но обращает внимание на большой удельный вес показателя «одышка по мМRС», являющегося клиническим признаком.
Кашель при ИЛФ изучали в исследовании "Epidemiology and prognostic significance of cough in fibrotic interstitial lung disease" [6]. Канадские коллеги проанализировали более 1 тыс. пациентов с ИЛФ и приблизительно 3 тыс. больных с прогрессирующим легочным фиброзом (ПЛФ). Среди пациентов с ИЛФ тяжелый кашель, который определяли при значениях 30 мм и более по Визуальной аналоговой шкале (ВАШ), наблюдается у 43% опрошенных (рис. 5).
Рис. 5. Анализ пациентов с ИЛФ и не-ИЛФ фиброзирующим ИЗЛ, которые заполнили 100-миллиметровую ВАШ.
Эта же шкала показывает значимость кашля, чем тяжелее больной по шкале GAP, тем сильнее кашель. Оценивалась связь между тяжестью кашля, качеством жизни (КЖ) и прогрессированием заболевания. Во всех случая обнаружены достоверно значимые ассоциации. Таким образом, кашель определяет КЖ больных, и, вероятно, связан с прогрессированием заболевания.
В следующем исследовании британской группы авторов "Cough Severity Visual Analog Scale Assesses Cough Burden and Predicts Survival in Idiopathic Pulmonary Fibrosis" тоже изучали кашель [7]. В ней пациенты разделены по тяжести кашля, который оценивали по ВАШ. Тяжелому кашлю соответствовало значение больше 30 мм по данной шкале. Согласно полученному результату тяжелый кашель является прогностически неблагоприятным признаком. Это одно из первых исследований, которое показывает значение кашля в оценке прогноза пациента (рис. 6).
Рис. 6. Оценка прогноза выживаемости по тяжести кашля.
"Productive cough associated with patient-reported outcomes and computed tomography analysis results in idiopathic pulmonary fibrosis" [8] – исследование японских авторов по изучению продуктивного кашля при ИЛФ. Это первое исследование, показывающее, что продуктивный кашель ухудшает КЖ больных (рис. 7).
Рис. 7. Оценка КЖ больных с продуктивным кашлем.
Авторы научного исследования "Reliability of crackles in fibrotic interstitial lung disease" [9] анализируют значение крепитации и ее изменение со временем как возможный признак неблагоприятного прогноза. В исследовании принимали участие пульмонологи-эксперты в области интерстициальных заболеваний и обычные пульмонологи.
На изображении показаны частые точки выслушивания крепитации (рис. 8).
Рис. 8. Частые точки аускультации для выявления крепитации.
Ученые пришли к выводу о том, что воспроизводимость крепитации как звукового феномена между разными врачами была довольно хорошей, один и тот же врач воспроизводит крепитацию с высокой частотой. Проанализированы пациенты с интервалом в 12 мес на предмет связи изменения крепитации и прогрессирования заболевания. Результат оказался недостоверным, тем не менее это исследование положило начало изучению крепитации как потенциального маркера прогрессирования заболевания.
В следующей части доклада С.Н. Авдеев разбирает работы по лечению ИЛФ. В настоящее время в мире зарегистрировано 2 антифибротических препарата (АФП): пирфенидон и нинтеданиб.
В исследовании "Antifibrotics and mortality in idiopathic pulmonary fibrosis: External validity and avoidance of immortal time bias" [10] японские коллеги изучали выживаемость при ИЛФ. Участвовали 30 тыс. больных, 1/2 из которых получали антифибротики. В данном исследовании исключен показатель immortal time bias (так называемый бессмертный уклон; рис. 9).
Рис. 9. Оценка выживаемости при ИЛФ.
Группа приема нинтеданиба по сравнению с пациентами, которые не получали антифибротическую терапию (АФТ), показала хороший результат с точки зрения прогноза. Пациентам с ИЛФ он дает дополнительные 2 года жизни по сравнению с группой плацебо. Пирфенидон показал аналогичный результат. Это исследование не сравнивало напрямую 2 препарата.
Эффективность и безопасность 2 препаратов сравнили в другом исследовании "Antifibrotic treatment adherence, efficacy and outcomes for patients with idiopathic pulmonary fibrosis in Spain" [11]. В нем участвовали 232 пациента: 1/2 получала пирфенидон, 1/2 – нинтеданиб (рис. 10).
Рис. 10. Эффективность и безопасность нинтеданиба и пирфенидона.
Исследователи пришли к выводу о том, что оба препарата одинаково эффективны для пациентов с ИЛФ. По безопасности отличия есть. Число больных, которые прекратили прием препарата в группе нинтеданиба, – 36%, в группе пирфенидона – 20%. Пирфенидон переносится лучше. Лектор отмечает, что для обоих препаратов большую роль играет этнический фактор. В Японии и Китае больные крайне плохо переносят нинтеданиб, поэтому полученные результаты вполне ожидаемы.
Исследование FIBRONEER-IPF [12] представляет новый препарат нерандомиласт – ингибитор фосфодиэстеразы 4B компании Behringer. Пресс-релиз был в середине сентября 2024 г., исследование закончилось с положительным результатом: первично-конечная точка проекта достигнута. Скорее всего, полностью исследование будет представлено в 2025 г. на конференции АТS. Лектор отмечает, что Управление по контролю пищевых продуктов и лекарств в США дало препарату статус «прорывного». Не исключено, что в 2025 г. в некоторых странах появится 3-й препарат АФТ больных с ИЛФ.
Далее в докладе представлена серия исследований с положительными результатами во II фазе.
Одно из них – INTEGRIS-IPF [13], в котором изучается препарат бексотеграст (рис. 11).
Рис. 11. Результаты исследования INTEGRIS-IPF.
Он влияет на интегрин, который нужен для активации трансформирующего фактора роста β. Это небольшое по числу участников и продолжительности исследование (рис. 12).
Рис. 12. Изменение ФЖЕЛ от исходного уровня до 12-й недели (эффективность для модифицированной популяции с намерением лечиться).
Следующее исследование по препарату булоксибутид [14] представлено на Конгрессе ЕRS (European Respiratory Society), публикаций пока не вышло. Это селективный агонист рецепторов ангиотензина, который показал положительный результат II фазы.
Третий перспективный препарат – адмилпарант – изучается в "Efficacy and safety of admilparant, an LPA1 antagonist in pulmonary fibrosis" [15]. Он представляет собой антагонист рецептора-1 лизофосфатидной кислоты (рис. 13).
Рис. 13. Скорость изменения процента прогнозируемой ФЖЕЛ (ppFVC) в течение 26 нед в когорте ИЛФ для политики лечения (a) и стратегии во время лечения (b), а также в когорте ПЛФ для политики лечения (c) и стратегии во время лечения (d).
Далее докладчик рассказал об исследовании ATLAS [16], в котором изучается ингаляционная форма пирфенидона. Преимущество этой формы – в меньшем количестве побочных эффектов по сравнению с традиционной. Рабочая доза была 200 мкг/сут. Ингаляционный препарат выигрывает по минимизации всех побочных эффектов: тошноты, сыпи, изменений со стороны верхних дыхательных путей, диареи, слабости, головной боли, диспепсии. Результат II фазы положительный, III фаза уже началась (рис. 14).
Рис. 14. Дизайн исследования ATLAS.
Еще один ингаляционный препарат – трепростинил (рис. 15).
Рис. 15. Дизайн исследования по данным TETON-1 и TETON-2
С.Н. Авдеев отмечает, что этот препарат похож на ингаляционный Лапрост. Три года назад доказана эффективность применения трепростинила в INCREASE [17] – исследовании легочного фиброза с легочной гипертензией. Использование данного препарата позволило уменьшить показатели обострения легочной гипертензии у пациентов и улучшить их физическую работоспособность.
Сегодня, с учетом этих влияний на функцию дыхания, препарат вступил в III фазу в исследовании TETON [18], где он изучается уже как АФП.
Последнее исследование, которое представил Сергей Николаевич, – "Morphine for treatment of cough in idiopathic pulmonary fibrosis (PACIFY COUGH)" [19]. В нем изучалась эффективность влияния низких доз морфина на частоту кашля при ИЛФ.
Использовались таблетки с медленным освобождением 5 мг 2 раза в сутки у пациентов с кашлем по ВАШ более 30 мм. Почти 60% больных применяли АФТ. Исследование было перекрестным, одни и те же пациенты получали и плацебо, и морфий. Наблюдалось уменьшение частоты кашля на фоне морфия на 40%. Побочные эффекты предсказуемы: тошнота, рвота, запоры (табл. 1).
Таблица 1. Нежелательные явления при приеме морфина | ||
Параметр | Число пациентов в группах, абс. (%) | |
морфина (n=43) | плацебо (n=42) | |
Любое неблагоприятное событие | 17 (40,0) | 6 (14,0) |
Серьезные неблагоприятные события | 0 | 1 (2,0) |
Желудочно-кишечные расстройства: | ||
тошнота | 6 (14,0) | 3 (7,0) |
рвота | 2 (5,0) | 1(2,0) |
запор | 9 (21,0) | 0 |
Нарушения со стороны нервной системы: | ||
гиперсомния | 4 (9,0) | 2 (5,0) |
Общие расстройства: | ||
вялость | 2 (5,0) | 0 |
Респираторные расстройства: | ||
инфекция легких | 1 (2,0) | 1 (2,0) |
Примечание. Единственное серьезное нежелательное явление при лечении плацебо привело к смерти. | ||
Сергей Николаевич отмечает, что применительно к российской практике в будущем пульмонологи смогут рекомендовать прием морфина пациенту после консультации с врачом паллиативной помощи.
С.Ю. Чикина. ИЛФ и ПЛФ: современные рекомендации
Светлана Юрьевна Чикина остановилась на обзоре совместных рекомендаций ATS, ERS, Японского респираторного общества (JRS) и Латиноамериканской торакальной ассоциации (ALAT) 2018 и 2022 гг., а также рассмотрела Согласительный документ европейских экспертов 2023 г. по прогрессирующим легочным фиброзам.
Докладчик начала с изменений в рекомендациях ATS/ERS/JRS/ALAT 2022 г. [20], которые касаются прежде всего диагностики ИЛФ (отличие от рекомендаций 2018 г.).
Трансбронхиальная криобиопсия в 2018 г. только входила в клиническую практику, и тогда не было определено место этого метода в диагностике ИЛФ. В 2022 г. сделан вывод о том, что трансбронхиальная криобиопсия – приемлемая альтернатива хирургической биопсии легких, если нужно уточнить диагноз при неуточненном интерстициальном заболевании легких (ИЗЛ). Диагностическая информативность метода при неуточненном ИЗЛ составляет 79%.
Противопоказания к проведению трансбронхиальной биопсии:
- тяжелые нарушения легочной функции: форсированная жизненная емкость легких (ФЖЕЛ) <50% от должного, диффузионная способность легких по монооксиду углерода (diffusing capacity of the lungs for carbon monoxide – DLCO) <35% от должного;
- клинически значимая легочная гипертензия (систолическое давление в легочной артерии >40 мм рт. ст.);
- некорректируемый риск кровотечений;
- артериальная гипоксемия: парциальное давление кислорода в артериальной крови (PaO2) <55–60 мм рт. ст.
Вопрос о генетическом тестировании для подтверждения паттерна обычной интерстициальной пневмонии (ОИП) остается открытым. Так как чувствительность секвенирования РНК в биоптате легкого не очень высока (68%), специфичность составляет 92% [20].
Компьютерно-томографический (КТ) паттерн методом КТ высокого разрешения (ВРКТ-паттерн) ОИП и вероятной ОИП не требуют гистологической верификации, если клиническая картина не противоречит диагнозу ИЛФ. Лектор напоминает, что в 2018 г. все ВРКТ-паттерны, кроме типичной ОИП, требовали гистологической верификации. В дальнейшем появилось понимание того, что пациенты с ВРКТ-паттерном вероятной ОИП при гистологическом исследовании в 80–85% случаев получают гистологический паттерн ОИП.
Светлана Юрьевна обращается к таблице из рекомендаций 2018 г. «Сочетание ВРКТ- и гистологических паттернов», которая позволяет выставлять клинический диагноз при различных сочетаниях ВРКТ- и гистологического паттернов (табл. 2).
Таблица 2. Сочетания ВРКТ- и гистологического паттернов
*Без адекватной биопсии остается неопределенным ИЛФ. После получения информативной биопсии диагноз может быть пересмотрен.
Изменения в 2022 г. коснулись только одного из этих сочетаний: сочетание ВРКТ-паттерна, не соответствующего ОИП, и гистологического паттерна вероятной ОИП в 2018 г. рекомендовалось расценивать как альтернативный диагноз, т.е. исключался диагноз ИЛФ. Согласно новым рекомендациям такие пациенты должны трактоваться как пациенты с неопределенной (сомнительной) ОИП, потому что в такой ситуации велик риск прогрессирования и развития типичной ОИП.
Антирефлюксная терапия в настоящее время не рекомендована как метод лечения ИЛФ.
Далее автор обращает внимание на алгоритм ведения пациентов с ИЛФ (рис. 16).
Рис. 16. Алгоритм ведéния пациентов с ИЛФ.
Вторая часть доклада Светланы Юрьевны посвящена ПЛФ.
ПЛФ – ИЗЛ известной или неизвестной этиологии (но не ИЛФ) с ВРКТ-признаками легочного фиброза при наличии как минимум 2 из 3 признаков в течение последнего года при отсутствии альтернативных причин:
- ухудшения респираторных симптомов;
- физиологического прогрессирования;
- рентгенологического прогрессирования.
Докладчик делает акцент на следующих моментах:
- заболевания с ПЛФ принципиально отличаются от ИЛФ, хотя они могут иметь ВРКТ- и гистологический паттерн ОИП;
- ПЛФ – это описание определенного варианта течения ИЗЛ, а не отдельное заболевание;
- ПЛФ отражает прогноз заболевания, но пока нет ясности, насколько его критерии соответствуют критериям отбора больных для АФТ.
Прогрессирование определяется на фоне оптимальной для данного ИЗЛ терапии. Нельзя диагностировать ПЛФ при 1-м обращении пациента к врачу или при обострении ИЗЛ [21].
Наличие прогрессирующего фиброза при ИЗЛ определяется по КТ, а не по биопсии, потому что в биоптатах легочной ткани признаки фиброза могут выявляться даже у тех пациентов, у которых нет фиброзных изменений на ВРКТ, но оценивать прогрессирование легочного фиброза по биопсии мы не можем [21].
Основные признаки фиброза, на которые следует опираться при КТ, – тракционные бронхоэктазы и сотовое легкое [21].
Критерии ПЛФ (2022 г.) [20]:
- Прогрессирование респираторных симптомов.
- Прогрессирующее снижение легочной функции:
- абсолютное снижение ФЖЕЛ≥5% от должного в течение года;
- абсолютное снижение DLCO с коррекцией по гемоглобину ≥10% от должного в течение года, где для расчета применяется формула
%должногоисх - %должногочерез год.
- Прогрессирование фиброза по ВРКТ:
- увеличение распространенности или выраженности тракционных бронхо-/бронхиолоэктазов;
- появление новых участков «матового стекла» с тракционными бронхоэктазами;
- появление новых ретикулярных изменений;
- увеличение распространенности или выраженности ретикулярных изменений;
- появление новых участков «сотового легкого» или увеличение имевшихся;
- прогрессирующее уменьшение объемов долей легких.
Светлана Юрьевна поднимает вопрос необходимости введения дополнительных критериев прогрессирования, приводя в пример пациентов, у которых наблюдается снижение ФЖЕЛ на 5–10% за полгода или за более короткий срок (по настоящим критериям оценка ФЖЕЛ происходит в течение года).
Наиболее серьезными факторами риска прогрессирования ИЗЛ являются:
- ВРКТ-паттерн ОИП;
- неклассифицируемые ИЗЛ, эти состояния имеют в 1,5−2 раза выше риск прогрессирования по сравнению с другими ИЗЛ;
- десатурация в ТШХ.
В отличие от ИЛФ, при котором антифибротики являются терапией 1-й линии, при других вариантах ПЛФ лечение начинается с противовоспалительной терапии. При ее неэффективности добавляются антифибротики [22, 23] (рис. 17).
Рис. 17. Лечение ПЛФ.
До недавнего времени при ПЛФ назначался только нинтеданиб, сегодня появилось место для терапии пирфенидоном. Впервые он был обозначен в клинических рекомендациях 2023 г. по лечению ИЗЛ у больных с системными аутоиммунными заболеваниями соединительной ткани Американской коллегии ревматологов и Американской коллегии пульмонологов.
При всех заболеваниях на фоне прогрессирования возможно добавление нинтеданиба, а при ревматоидном артрите (РА) теперь официально разрешено использовать пирфенидон. Эта рекомендация основана на результатах нескольких исследований. В исследовании 2021 г. показано, что пирфенидон действительно может замедлять скорость прогрессирующего снижения легочной функции [24]. В 2023 г. выполнено исследование для изучения эффектов пирфенидона у пациентов с РА и ПЛФ [25]. Получен хороший эффект, по сравнению с плацебо скорость снижения легочной функции была значительно замедлена.
Далее автор разбирает исследования, в которых пирфенидон изучался дифференцированно у больных с системными иммуновоспалительными заболеваниями с ИЗЛ [25, 26] (рис. 18).
Рис. 18. Пирфенидон при ИЗЛ-СЗСТ.
При РА пирфенидон достоверно замедлял скорость снижения диффузионной способности легких, при этом ФЖЕЛ достоверно не изменялась. Достоверное влияние на скорость снижения ФЖЕЛ наблюдалось у больных с системной склеродермией и иммуновоспалительной миопатией (рис. 19).
Рис. 19. Пирфенидон при ИЗЛ-РА против других ИЗЛ-СЗСТ.
Уже опубликованы клинические рекомендации по лечению ПЛФ, ассоциированного с системной склеродермией. Для других ИЗЛ, ассоциированных с системными заболеваниями соединительной ткани, клинические рекомендации еще не разработаны, но, вероятно, показания к назначению пирфенидона у таких пациентов в ближайшие годы будут расширяться.
Н.В. Трушенко. Новый регистр больных с ИЛФ в РФ
Наталья Владимировна Трушенко представляла проект регистра больных с ИЗЛ. Разработка регистра велась нескольких лет, она вышла на финальную стадию, и в ближайшее время новый регистр будет введен в практику.
Спикер начала рассказ с обсуждения предыдущего регистра больных с ИЛФ, который существовал с 2016 по 2020 г. В нем состояли 1355 пациентов, участвовало 72 из 85 регионов РФ. Целью регистра была оценка характеристики и клинического течения ИЛФ, проводимости АФТ, ее эффективности и переносимости, в том числе благодаря регистру получилось внедрить в клиническую практику АФП. В результате работы регистра появились данные о пациентах с ИЛФ, представление о портрете этих больных в условиях реальной клинической практики.
Докладчик отмечает проблемы старого регистра.
При ретроспективном анализе выяснилось, что паттерн ОИП по КТ был только у 41,5% больных. Многие больные не соответствовали критериям отбора, например 21,5% составляли пациенты с гиперчувствительной пневмонией.
Вторая проблема – файлы КТ 1/3 пациентов были недоступны для анализа (ссылки устарели, файлы оказались потерянными и т.д.).
Следующая проблема – неполные данные. Практически у 1/3 пациентов не было данных спирометрии, у 1/2 не было эхокардиографии, у 60% не было ТШХ. У 40% больных не наблюдалось динамических данных, в связи с чем средний срок наблюдения за пациентами оказался очень низким – 11 мес. Говорить об анализе летальности с таким сроком наблюдения не представляется возможным.
Таким образом, перед созданием нового регистра постарались соблюсти баланс: с одной стороны, не перегрузить врачей лишними данными, с другой стороны, не упустить ключевые моменты. По мнению автора, получилось добиться максимальной автоматизации при заполнении электронной карты, интерфейс стал более удобным, значительно сократилось время заполнения регистра для врача.
Чтобы не упустить ключевую информацию, создатели регистра разделили пациентов по нозологиям, заложили тщательную оценку нозологических факторов, более подробный анализ клинических, анамнестических данных и показателей КТ.
Запрограммирован автоматический расчет по шкале GAP, индексу коморбидности Чарльсон, учитывается число обострений, госпитализаций, прогрессирование заболевания. Предполагается оценка динамики в течение более продолжительного времени – от 3 до 5 лет.
Критерии включения в регистр:
- пациенты с ИЗЛ 18–80 лет (ИЛФ, гиперчувствительные пневмониты, неспецифическая интерстициальная пневмония, системные заболевания соединительной ткани, саркоидоз, лекарственно-индуцированные поражения легких, а также пневмокониоз, пост-COVID-19);
- ПЛФ.
Критерии невключения:
- другие респираторные заболевания – бронхиальная астма, хроническая обструктивная болезнь легких, рак легких, пневмония, туберкулез легких, COVID-19 за предыдущие 3 мес;
- декомпенсация ХСН;
- нейромышечные заболевания;
- применение антифибротиков в течение 6 мес до включения в исследование.
Пример интерфейса представлен на рис. 20.
Рис. 20. Структура нового регистра больных с ИЛФ: этиологические факторы.
Разработчики запрограммировали вопросник для гиперчувствительного пневмонита, опросник по основным наиболее частым факторам риска развития данного заболевания.
Представлен большой перечень сопутствующих заболеваний (рис. 21), где нужно выбрать имеющиеся у пациента, а не вписывать их.
Рис. 21. Структура нового регистра больных с ИЛФ: коморбидность.
Наталья Владимировна объясняет, что в регистр заложена функция включения данных спирометрии за 3–12 мес до включения в исследование. Это важно для оценки динамики прогрессирования, позволит подтвердить прогрессирование заболевания на момент включения в исследование.
Предусмотрена оценка случая экспертом-клиницистом после заполнения всех данных: эксперт поставит окончательный клинический диагноз, даст заключение о том, соответствует ли пациент критериям ПЛФ и существуют ли показания к назначению АФТ.
Разработана экспертная оценка врача-рентгенолога, который проводит подробный анализ КТ-паттерна, формирует официальное заключение, которое будет прикреплено в регистре.
Новый регистр предусматривает:
- более широкий охват пациентов с фибротическими ИЗЛ;
- полную оценку клинических, анамнестических данных, данных КТ и других инструментальных исследований;
- предикторы прогрессирования;
- удобный интерфейс и сохранность данных.
М.Ф. Киняйкин. Разбор клинического случая
Михаил Федорович Киняйкин представляет клинический разбор случая пациента с ИЛФ «Основные подходы к лечению ИЛФ. Эффективность длительной терапии ИЛФ АФП пирфенидона».
Пациент Х 73 лет, наблюдается с сентября 2020 г.
Жалобы при обращении: одышка инспираторного характера при умеренной физической нагрузке (быстрой ходьбе, подъеме в гору, по лестнице на 2-й этаж).
Анамнез заболевания: в течение последних 10 лет рентгенографию органов грудной клетки (ОГК) не выполнял. С 2018 г. стал отмечать умеренную одышку при быстрой ходьбе, подъеме в гору.
Август 2020 г. КТ ОГК (рис. 22): изменения по типу вероятной ОИП.
Рис. 22. КТ ОГК пациента Х от 28.08.2020.
Жизненная емкость легких – 56%, объем форсированного выдоха за 1-ю секунду (ОФВ1) – 61%, ИГ – 82%.
Пациент был отправлен в краевую больницу для обследования.
При поступлении аускультация: двусторонняя крепитация в нижних отделах по задней поверхности. Частота дыхательных движений (ЧДД) 18 в минуту.
Уровень насыщения крови кислородом (SpO2) в покое – 94%. Во время ТШХ десатурация – до 89%. Прошел 336 м (норма – 512 м). Дыхательная недостаточность (ДН) II степени.
Систолическое давление в легочной артерии по данным эхокардиографии – 27 мм рт. ст.
Бодиплетизмография, сентябрь 2020 г.: выраженные паренхиматозные нарушения диффузионной способности легких и умеренные рестриктивные изменения.
Получены следующие показатели: жизненная емкость легких – 54%; Reflex – 250%; ФЖЕЛ – 50%; Reff-in – 146%; ОФВ1 – 51%; ОЕЛ – 48%; ИГ – 79%; остаточный объем легких – 40%; максимальная объемная скорость при выдохе, % ФЖЕЛ (МОС) 75% – 65%; остаточный объем легких / ОЕЛ – 77%; МОС 50% – 52%; TLCO – 36%; МОС 25% – 22%; внутригрудной объем газа – 40%; Reff – 188%; КСО – 73%.
Выставлен диагноз: ИЗЛ: Идиопатический легочный фиброз (КТ-паттерн – вероятная обычная интерстициальная пневмония). ДН II степени.
Пациент внесен в регистр больных ИЛФ. Рекомендовано проведение врачебной комиссии по месту жительства для получения АФП пирфенидоном. Препарат пирфенидон был получен в феврале 2021 г., через 5 мес после поступления. Наблюдалась хорошая переносимость препарата.
Контрольное обследование пациента через 8 мес
Жалобы, аускультативная картина – прежние.
SpO2 в покое – 95% (ранее – 94%). ТШХ: десатурация до 90% (ранее – 89%). Прошел 400 м (ранее – 336 м). ДН I степени.
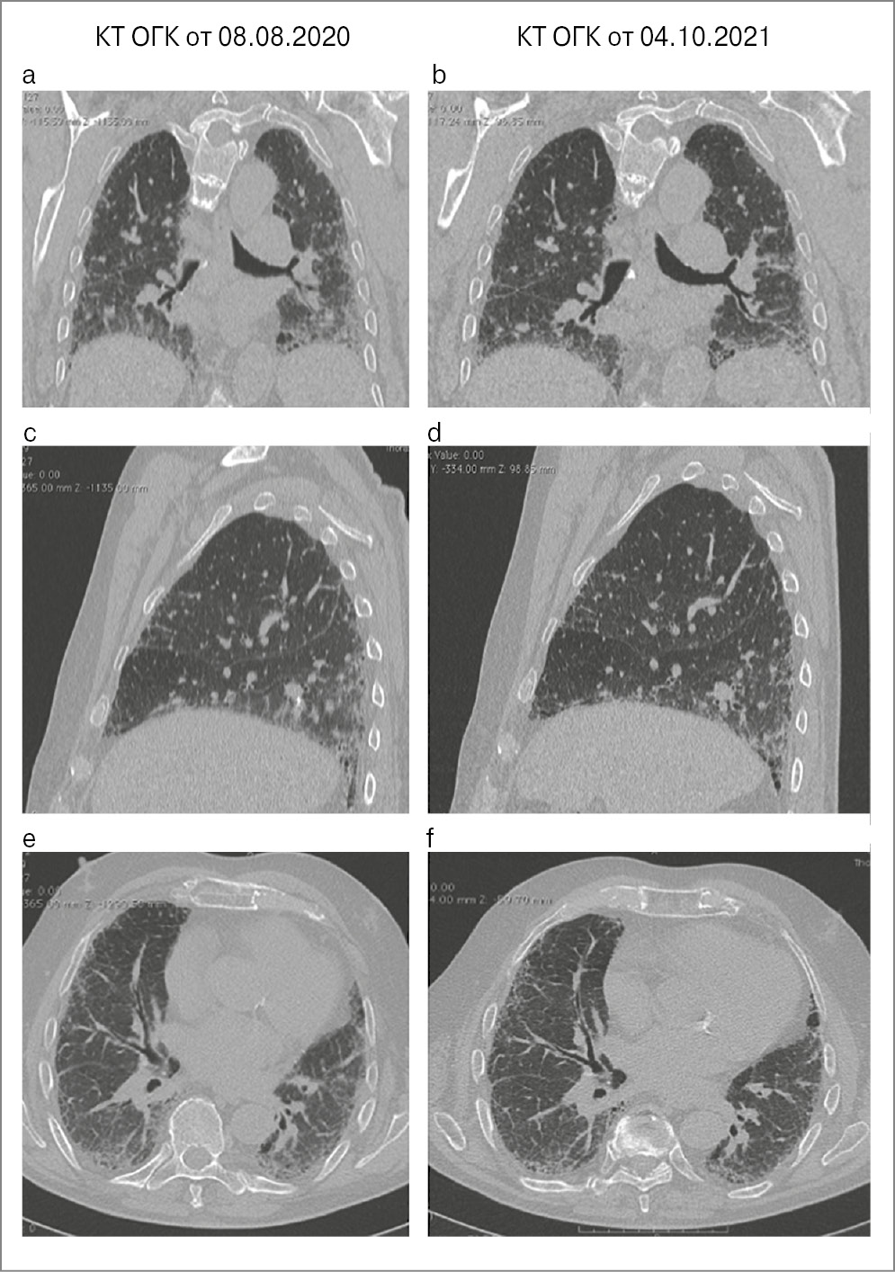
КТ ОГК (рис. 23): КТ-паттерн вероятной ОИП – без динамики по сравнению с августом 2020 г.
Рис. 23. КТ ОГК пациента Х от 08.08.2020 в сравнении с КТ ОГК от 04.10.2021.
Бодиплетизмография: в динамике отмечается снижение общей емкости легких (ОЕЛ) с 48 до 45% и увеличение диффузионной способности легких с 36 до 43%.
Получены следующие показатели: ЖЕЛ – 51% (было ранее – здесь и далее в скобках – 54%); Refflex – 141% (250%); ФЖЕЛ – 50% (50%); Reff-in – 196% (146%); ОФВ –52% (51%); TLS – 45% (48%); ИГ – 80% (79%); RV – 37% (40%); МОС 75% – 69% (65%); RV/TLS – 76% (77%); МОС 50% – 46% (52%); TLCO – 43% (36%); МОС 25% – 35% (22%); TGV – 37% (40%); Reff – 172% (188%); КСО – 107% (73%).
По данным КТ картина стабильная, показатели функций внешнего дыхания прежние, остается ДН I степени. Отмечено улучшение показателей диффузионной способности легких. Таким образом, на фоне приема препарата пирфенидона отмечается стабилизация клинической картины без развития значимых побочных реакций.
Автор показывает, что, работая много лет с АФП, замечает улучшение показателей ОЕЛ и диффузионной способности легких в 1-й год. Однако через 1–3 года эти показатели продолжают прогрессивно снижаться. Тем не менее АФТ замедляет прогрессирование заболевания.
Больной продолжал прием препарата.
Контрольное обследование пациента через 2 года и 2 мес
Жалобы, аускультативная картина – прежние. ЧДД – 18 в мин.
SpO2 в покое – 98% (ранее – 95%). ТШХ: десатурация – до 90% (ранее – 90%). Прошел 380 м (ранее – 400 м). ДН I степени.
КТ ОГК (рис. 24): КТ-паттерн вероятной ОИП, отрицательная динамика в виде увеличения количества тракционно расширенных бронхиолоэктазов.
Рис. 24. КТ ОГК пациента Х от 08.08.2020 в сравнении с КТ ОГК от 05.04.2023.
Контрольное обследование пациента через 3 года и 1 мес
Жалобы: нарастание симптомов, одышка беспокоит уже при обычном темпе ходьбы.
Аускультативная картина – прежняя. ЧДД – 20 в мин.
SpO2 в покое – 97% (ранее – 98%). ТШХ: десатурация – до 89% (ранее – 90%). Прошел 362 м (ранее – 380 м). ДН II степени.
КТ ОГК: КТ-паттерн вероятной ОИП, отмечается некоторая отрицательная динамика в виде нарастания ретикулярных изменений и увеличения количества тракционно расширенных бронхиолоэктазов.
Таким образом, автор делает вывод о том, что препарат пирфенидон обладает достаточным антифибротическим противовоспалительным действием у больных с ИЛФ. Особенностью данного случая является хорошая клиническая переносимость препарата, стабилизация патологического процесса в легких и некоторое улучшение тестов функции внешнего дыхания в течение 1-го года приема препарата.
Однако через 3 года отмечена тенденция к нарастанию фиброза по данным КТ и рестриктивных изменений по данным функциональных методов обследования, что свидетельствует о прогрессировании заболевания.
В конце выступления Михаил Федорович приводит оценку биоэквивалентности препаратов Эсбриет (оригинальный пирфенидон) и Пирфаспек («Аспектус фарма», Россия) в исследовании Синопсис. Препараты признаны биоэквивалентными.
Оценка биоэквивалентности препаратов Эсбриет и Пирфаспек
- Групповая оценка отношений среднего площади под кривой – AUC(0–t) Т/AUC(0–t) R – 97,38%, AUC(0–∞) Т/AUC(0–∞) R – 97,36%, Сmax Т/Сmax R – 99,39% (допустимый диапазон границ доверительного интервала – ДИ 80,0–125,0%); табл. 3, 4.
- Результаты исследования Синопсис удовлетворяют критериям методических указаний «Руководство по экспертизе лекарственных средств» [27].
- Препараты Эсбриет и Пирфаспек биоэквивалентны.
- В ходе исследования ни один доброволец не выбыл.
- Серьезных нежелательных явлений в ходе исследования и после его завершения у добровольцев не выявлено, смертельных случаев не наблюдали.
Таблица 3. Результаты исследования Синопсис, часть 1 | ||||
Показатель | InAUC(0–t) | InAUC(0–∞) | InСmax | |
R | LSMean | 9,25 | 9,26 | 7,67 |
LSM_SE | 0,02 | 0,02 | 0,023 | |
T | LSMean | 9,22 | 9,23 | 7,66 |
LSM_SE | 0,02 | 0,02 | 0,023 | |
Обратное экспоненциальное преобразование | ||||
R | GeoLSM | 10 364,3 | 10 476,73 | 2140,71 |
T | GeoLSM | 10 093 | 10 200,19 | 2127,68 |
Таблица 4. Результаты исследования Синопсис, часть 2 | ||||
Параметр | Отношение средних значений | 90% ДИ | БЭ | |
граница | ||||
нижняя | верхняя | |||
AUC(0–t) | 97,38 | 92,89 | 102,09 | Да |
AUC(0–∞) | 97,36 | 92,8 | 102,14 | Да |
Сmax | 99,39 | 94,18 | 104,89 | Да |
Критерии сравнения для оценки биоэквивалентности[*][27]:
- Сmax – максимальное измеренное значение концентрации активного вещества в плазме крови добровольца;
- AUC(0–t) – площадь под фармококинетической кривой начиная с нулевого значения времени (момента приема препарата) до времени отбора последнего образца крови с определяемой концентрацией активного вещества;
- AUC(0–∞) – площадь под фармококинетической кривой начиная с нулевого значения времени до бесконечности;
f'=AUC(0–t) Т/AUC(0–t) R – относительная биодоступность,
f''=Сmax Т/Сmax R – относительная степень всасывания,
где Т – тестируемый препарат (Пирфаспек), R – препарат сравнения (Эсбриет).
Источник финансирования. Материал подготовлен при поддержке компании «Евросервис».
Funding source. The paper was prepared with the support of Euroservic.
[*] Согласно методическим указаниям «Руководства по экспертизе лекарственных средств» [27], протокола исследования №EUS-PRF1 от 22.05.2019.
About the authors
Sergey N. Avdeev
Sechenov First Moscow State Medical University (Sechenov University)
Author for correspondence.
Email: editor@omnidoctor.ru
D. Sci. (Med.), Prof., Acad. RAS
Russian Federation, MoscowSvetlana I. Chikina
Sechenov First Moscow State Medical University (Sechenov University)
Email: editor@omnidoctor.ru
Cand. Sci. (Med.)
Russian Federation, MoscowNatalia V. Trushenko
Sechenov First Moscow State Medical University (Sechenov University); Research Institute of Pulmonology
Email: editor@omnidoctor.ru
Cand. Sci. (Med.)
Russian Federation, Moscow; MoscowMikhail F. Kiniaikin
Pacific State Medical University; Primorsky Territory Clinical Hospital No.1
Email: editor@omnidoctor.ru
Cand. Sci. (Med.)
Russian Federation, Vladivostok; VladivostokReferences
- Chaudhuri N, Spagnolo P, Valenzuela C, et al. Treatment patterns and patient journey in progressive pulmonary fibrosis. Respir Res. 2024;25(1):364. doi: 10.1186/s12931-024-02995-9
- Selman M, Pardo A. Idiopathic pulmonary fibrosis: From common microscopy to single-cell biology and precision medicine. Am J Respir Crit Care Med. 2024;209(9):1074-81. doi: 10.1164/rccm.202309-1573PP
- Adegunsoye A, Kropski JA, Behr J, et al. Genetics and genomics of pulmonary fibrosis: Charting the molecular landscape and shaping precision medicine. Am J Respir Crit Care Med. 2024;210(4):401-23. doi: 10.1164/rccm.202401-0238SO
- Chikina S, Cherniak A, Merzhoeva Z, et al. Russian Registry of idiopathic pulmonary fibrosis: Clinical features, treatment management, and outcomes. Life (Basel). 2023;13(2):435. doi: 10.3390/life13020435
- Liao YW, Chen YM, Liu MC, et al. Multidisciplinary-derived clinical score for accurate prediction of long-term mortality in fibrotic lung disease patients. Eur J Med Res. 2024;29(1):69. doi: 10.1186/s40001-024-01644-7
- Khor YH, Johannson KA, Marcoux V, et al. Epidemiology and prognostic significance of cough in fibrotic interstitial lung disease. Am J Respir Crit Care Med. 2024;210(8):1035-44. doi: 10.1164/rccm.202311-2101OC
- Wu Z, Smith DJF, Yazbeck L, et al. Cough Severity Visual Analog Scale assesses cough burden and predicts survival in idiopathic pulmonary fibrosis. Am J Respir Crit Care Med. 2024;209(9):1165-7. doi: 10.1164/rccm.202311-2169LE
- Fujita K, Kanemitsu Y, Ohkubo H, et al. Productive cough associated with patient-reported outcomes and computed tomography analysis results in idiopathic pulmonary fibrosis. ERJ Open Res. 2024;10(5):00527-2024. doi: 10.1183/23120541.00527-2024
- Sgalla G, Simonetti J, Di Bartolomeo A, et al. Reliability of crackles in fibrotic interstitial lung disease. Respir Res. 2024;25(1):352. doi: 10.1186/s12931-024-02979-9
- Hozumi H, Miyashita K, Nakatani E, et al. Antifibrotics and mortality in idiopathic pulmonary fibrosis: External validity and avoidance of immortal time bias. Respir Res. 2024;25(1):293. doi: 10.1186/s12931-024-02922-y
- Romero Ortiz AD, Jiménez-Rodríguez BM, López-Ramírez C, et al. Antifibrotic treatment adherence, efficacy and outcomes for patients with idiopathic pulmonary fibrosis in Spain. BMJ Open Respir Res. 2024;11(1):e001687. doi: 10.1136/bmjresp-2023-001687
- Richeldi L, Azuma A, Cottin V, et al. Design of a phase III, double-blind, randomised, placebo-controlled trial of BI 1015550 in patients with idiopathic pulmonary fibrosis (FIBRONEER-IPF). BMJ Open Resp Res. 2023;10(1):e001563. doi: 10.1136/bmjresp-2022-001563
- Lancaster L, Cottin V, Ramaswamy M, et al. Bexotegrast in Patients with Idiopathic Pulmonary Fibrosis: The INTEGRIS-IPF Study. Am J Respir Crit Care Med. 2024;210(4):424-34. doi: 10.1164/rccm.202403-0636OC
- ERS Congress 2024 – Annual Congress of the European Respiratory Society. Vienna, 2024.
- Corte TJ, Behr J, Cottin V, et al. Efficacy and safety of Admilparant, an LPA1 antagonist in pulmonary fibrosis. Am J Respir Crit Care Med. 2025;211(2):230-8. doi: 10.1164/rccm.202405-0977OC
- Nathan SD, Behr J, Cottin V, et al. Study design and rationale for the TETON-PPF Phase 3, randomized, controlled clinical trial of inhaled treprostinil in the treatment of progressive pulmonary fibrosis. CHEST Pulmonary. 2024;3(2):100124. doi: 10.1016/j.chpulm.2024.100124
- Waxman A, Restrepo-Jaramillo R, Thenappan T, et al. Inhaled Treprostinil in pulmonary hypertension due to interstitial lung disease. N Engl J Med. 2021;384(4):325-34. doi: 10.1056/NEJMoa2008470
- Nathan SD, Behr J, Cottin V, et al. Study design and rationale for the TETON phase 3, randomised, controlled clinical trials of inhaled treprostinil in the treatment of idiopathic pulmonary fibrosis. BMJ Open Respir Res. 2022;9(1):e001310. doi: 10.1136/bmjresp-2022-001310
- Wu Z, Spencer LG, Banya W, et al. Morphine for treatment of cough in idiopathic pulmonary fibrosis (PACIFY COUGH). Lancet Respir Med. 2024;12(4):273-80. doi: 10.1016/S2213-2600(23)00432-0
- Raghu G, Remy-Jardin M, Richeldi L, et al. Idiopathic pulmonary fibrosis (an update) and progressive pulmonary fibrosis in adults: An official ATS/ERS/JRS/ALAT Clinical Practice Guideline. Am J Respir Crit Care Med. 2022;205:e18-47. doi: 10.1164/rccm.202202-0399ST
- Rajan SK, Cottin V, Dhar R, et al. Progressive pulmonary fibrosis: An expert group consensus statement. Eur Respir J. 2023;61(3):2103187. doi: 10.1183/13993003.03187-2021
- Shigeki M. Progressive fibrosing interstitial lung diseases: A new concept and indication of Nintedanib. Mod Rheumatol. 2020;31(1):13-9. doi: 10.1080/14397595.2020.1826665
- Kuwana M, Azuma A. Nintedanib: New indication for systemic sclerosis-associated interstitial lung disease. Mod Rheumatol. 2020;30(2):225-31. doi: 10.1080/14397595.2019.1696505
- Behr J, Prasse A, Kreuter M, et al. Pirfenidone in patients with progressive fibrotic interstitial lung diseases other than idiopathic pulmonary fibrosis (RELIEF): A double-blind, randomised, placebo-controlled, phase 2b trial. Lancet Respir Med. 2021;9(5):476-86. doi: 10.1016/S2213-2600(20)30554-3
- Solomon JJ, Danoff SK, Woodhead FA, et al. Safety, tolerability, and efficacy of pirfenidone in patients with rheumatoid arthritis-associated interstitial lung disease: A randomised, double-blind, placebo-controlled, phase 2 study. Lancet Respir Med. 2023;11(1):87-96. doi: 10.1016/S2213-2600(22)00260-0
- Behr J, Prasse A, Kreuter M, et al. Pirfenidone in patients with progressive fibrotic interstitial lung diseases other than idiopathic pulmonary fibrosis (RELIEF): A double-blind, randomised, placebo-controlled, phase 2b trial. Lancet Respir Med. 2021;9(5):476-86. doi: 10.1016/S2213-2600(20)30554-3
- Руководство по экспертизе лекарственных средств. М.: Гриф и К, 2014. Т. I [Rukovodstvo po ekspertize lekarstvennykh sredstv. Moscow: Grif i K, 2014. T. I (in Russian)].
Supplementary files




























