Cardiovascular diseases in the long-term after surviving malignant neoplasms: A review
- Authors: Poltavskaya M.G.1, Novikova A.I.1, Bezlyudskiy A.L.1
-
Affiliations:
- Sechenov First Moscow State Medical University (Sechenov University)
- Issue: Vol 27, No 8 (2025): Поликлинические вопросы
- Pages: 438-445
- Section: Articles
- Published: 07.09.2025
- URL: https://consilium.orscience.ru/2075-1753/article/view/690179
- DOI: https://doi.org/10.26442/20751753.2025.8.203064
- ID: 690179
Cite item
Full Text
Abstract
The article provides an overview of the literature data on cardiovascular diseases in cancer survivors over the long term. Particular attention is paid to the adverse effects of radiation therapy. Clinical guidelines for cardiac risk stratification and monitoring of long-term cardiovascular complications of antitumor treatment are provided. A clinical case of a radiation-associated heart disease is presented.
Full Text
Связь повышенной сердечно-сосудистой заболеваемости и смертности со злокачественными новообразованиями (ЗНО), причем не только с «активным раком», но и с перенесенным ранее, показана в целом ряде исследований. По данным B. Zoller и соавт., риск госпитализации по поводу ишемической болезни сердца (ИБС) и инсульта в первые 6 мес после установления онкологического диагноза возрастает соответственно в 1,6 и 2,2 раза. Со временем он снижается, но и через 10 лет остается выше, чем в общей популяции [1, 2]. Двенадцатилетнее наблюдение выявило также рост хронической сердечной недостаточности (ХСН), кардиомиопатии, тромбоэмболии легочной артерии, аритмий и поражений клапанов. Частота некоторых событий, например венозных тромбозов, со временем снижается, однако риск СН и дисфункции сердца продолжает расти [3, 4]. Метаанализ 2021 г., включивший данные 10 479 530 пациентов из 21 страны, продемонстрировал возрастание риска инсульта в 1,66 раза после выявления ЗНО, в первую очередь после опухолей головы и шеи, кроветворной системы, легких, поджелудочной железы и желудка [5].
Рост сердечно-сосудистых заболеваний (ССЗ) у онкологических пациентов в первую очередь объясняют воспалением, которое индуцирует злокачественная опухоль [6]. Инсульт, помимо этого, может быть связан с непосредственным воздействием опухоли (инвазией в сосуды, опухолевыми эмболами) и коагулопатией [7]. Влияние на риск ССЗ может оказывать снижение толерантности к нагрузке в связи с болью, астенией, механическими ограничениями и уменьшением мышечной массы, что приводит к малоподвижному образу жизни. Кроме того, в связи с большим количеством поддерживающих препаратов (обезболивающих, противорвотных и других), пациенты и врачи могут отменять кардиопротективную терапию (β-адреноблокаторы – β-АБ, ингибиторы ангиотензинпревращающего фермента, статины). Некоторые из поддерживающих лекарств повышают риск ССЗ, например кортикостероиды, которые вызывают гипергликемию, артериальную гипертензию (АГ), дислипидемию, ожирение, особенно при длительном применении в высоких дозах, и эти сдвиги могут быть необратимыми [8].
Важнейшее значение имеют традиционные факторы риска ССЗ: курение, АГ, недостаточная физическая активность, употребление алкоголя, нездоровое питание. Устранение этих факторов могло бы предотвратить не только 80% инфарктов, инсультов и случаев сахарного диабета (СД), но и 40% ЗНО [8].
Значительный вклад в развитие ССЗ вносит противоопухолевая терапия (табл. 1), главным образом лучевая терапия (ЛТ) на область сердца, головы и шеи, а также кардиотоксичные химиопрепараты, в первую очередь антрациклины [9]. Не вызывает сомнений и роль гормональной терапии (селективных модуляторов рецепторов эстрогенов, ингибиторов ароматазы, андроген-депривационной терапии) [10], таргетных препаратов (трастузумаба, ингибиторов тирозинкиназы), иммунотерапии. Так, гормональная терапия, провоцируя дислипидемию, артериальную гипертонию, коагулопатию, повышает риск инсульта, венозных тромбозов, аритмий, инфаркта миокарда и ХСН (хотя есть индивидуальные различия между препаратами) [10]. Риск инсульта повышают также радиотерапия опухолей любой локализации и препараты платины, вызывающие эндотелиальную дисфункцию, нарушение механизмов коагуляции и гемостаза [11]. Еще один вид лечения с потенциальными отсроченными осложнениями – трансплантация костного мозга, в первую очередь аллогенная. Распространенность ХСН в течение 15 лет после трансплантации достигает 14,5%, десятилетиями сохраняется повышенный риск артериальных событий [12].
Таблица 1. Виды противоопухолевой терапии, ассоциированные с долгосрочными неблагоприятными сердечно-сосудистыми эффектами
Локализация ЗНО | Применяемые виды лечения | Отдаленные осложнения |
Простата | Андроген-депривационная терапия | Метаболический синдром, ИБС |
Молочная железа | Антрациклины | ХСН, инсульт, ИБС, перикардит |
Антагонисты HER2-рецепторов | ||
Гормональная терапия | ||
ЛТ | ||
Легкое | ЛТ | ИБС, инсульт, миокардит, перикардит |
Препараты платины | ||
Иммунотерапия | ||
Гематоонкология | Ингибиторы тирозинкиназы | ИБС, инсульт, ХСН, периферический |
Антрациклины | ||
ЛТ | ||
Трансплантация костного мозга | ||
Гонады | Препараты платины | ИБС, ХСН |
Ингибиторы фактора роста эндотелия сосудов | ||
Антрациклины | ||
Колоректальный | Ингибиторы фактора роста эндотелия сосудов | АГ, артериальные тромбозы, ИБС |
Антиметаболиты | ||
Меланома | Иммунотерапия | Миокардит, кардиомиопатия, ХСН, |
Отдаленные последствия ЛТ
ЛТ, при которой в поле облучения вовлечено сердце, индуцируя развитие фиброза всех его структур, может приводить к развитию ИБС, патологии клапанов и перикарда, ХСН, нарушений ритма и проводимости. Эти осложнения зависят от дозы облучения, появляются обычно в очень отдаленные сроки – через 10–20 и более лет после ЛТ, что особенно важно на фоне увеличения продолжительности жизни онкологических пациентов [13].
Проблема радиационно-ассоциированных заболеваний сердца наиболее актуальна для больных с лимфомой Ходжкина (ЛХ) или ранними стадиями рака молочной железы, у которых наиболее высока вероятность дожития до клинически выраженных осложнений ЛТ [14, 15]. В последние годы возросла значимость кардиальных осложнений ЛТ и у пациентов с новообразованиями пищевода и легких, у которых все чаще удается достичь длительного контроля опухоли [16, 17].
При ЛТ в области головы и шеи возрастает риск стенозирования сонных артерий, микроваскулярного поражения головного мозга и инсульта [18], а облучение органов брюшной полости и малого таза повышает риск аорто-подвздошного атеросклероза и стеноза почечных артерий.
Совершенствование методик ЛТ позволило уменьшить негативное воздействие ионизирующего излучения на окружающие опухоль здоровые органы и ткани, однако полностью избежать их лучевых повреждений не удается [19].
Поражения миокарда
Ионизирующая радиация вызывает повреждение эндотелия микрососудов с сопутствующим воспалением и последующим развитием очагового и диффузного фиброза миокарда [20]. Фракция выброса (ФВ) левого желудочка (ЛЖ) при этом, как правило, сохранена, а основное клиническое проявление – снижение физической работоспособности [21, 22]. Чаще всего при прогрессировании фиброза в отдаленные сроки (>20 лет) после высокодозной ЛТ области средостения развивается клинико-эхокардиографическая картина рестриктивной кардиомиопатии. Она проявляется симптомами ХСН с застоем в большом круге кровообращения и малого сердечного выброса.
Эхокардиографическая диагностика постлучевого фиброза миокарда может вызывать затруднения. Его отличают повышенная жесткость, диастолическая дисфункция и повышение давления заполнения ЛЖ. Нехарактерны гипертрофия и расширение полостей сердца, наоборот, есть тенденция к уменьшению объема и массы миокарда ЛЖ. В отличие от других кардиомиопатий при постлучевой может отсутствовать расширение левого предсердия, что наряду с отсутствием снижения ФВ затрудняет диагностику [22–24]. Умеренное снижение ФВ возможно при тяжелой, далеко зашедшей кардиомиопатии. Значительно раньше может выявляться снижение продольной деформации ЛЖ, однако в настоящее время ее диагностическое и прогностическое значение после ЛТ только изучается [25]. О дисфункции ЛЖ может свидетельствовать повышение натрийуретических пептидов [26]. Диастолическая дисфункция может быть обусловлена сопутствующей констрикцией перикарда, что иногда вызывает дополнительные затруднения при интерпретации результатов эхокардиографии (ЭхоКГ) [21, 23].
При магнитно-резонансной томографии (МРТ) в отдаленные сроки (8 и более лет) после ЛТ у взрослых могут быть выявлены умеренное снижение ФВ и некоторое уменьшение объема ЛЖ [27, 28]. У детей изменения могут появиться быстрее, через 1–2 года, а при более высоких дозах облучения – еще раньше [29]. МРТ позволяет оценить характер и распространенность фиброза, жизнеспособный миокард, а также состояние клапанов и перикарда, сопутствующее поражение которых имеет большое значение для развития ХСН [24].
В настоящее время нет убедительных данных о пользе того или иного лекарственного препарата для профилактики и лечения радиационно-ассоциированной кардиомиопатии [30]. Лечение симптоматическое и включает в первую очередь диуретики и антагонисты минералкортикоидных рецепторов. Стандартная терапия ХСН может быть полезна при сопутствующей систолической дисфункции, но при ее отсутствии польза от нейрогуморальных модуляторов сомнительна, а малый сердечный выброс и артериальная гипотония приводят к их плохой переносимости [30, 31]. При фибрилляции предсердий предпочтительна стратегия контроля ритма. После трансплантации сердца 4-летняя выживаемость составляет 50% [32].
Поражение КА
Лучевое поражение эндотелия затрагивает как микроциркуляторное русло, так и субэпикардиальные коронарные артерии (КА), в которых активируются протромботические и воспалительные факторы. Это предрасполагает к ускоренному развитию атеросклероза и тромботической окклюзии сосудов [33, 34]. Риск ИБС начинает возрастать через 2–4 года после ЛТ и зависит от дозы облучения, полученной КА, возраста, наличия ИБС в анамнезе, а также традиционных факторов риска, таких как дислипидемия и АГ [35, 36]. После медиастинальной ЛТ по поводу ЛХ риск ИБС – в 4–7 раз, а инфаркта миокарда – в 2–7 раз выше, чем в популяции [36].
При облучении области левой молочной железы риску наиболее подвержены средние и дистальные отделы передней межжелудочковой артерии. При лечении пациентов с ЛХ могут поражаться ствол левой, огибающая и правая КА. Морфологические изменения аналогичны «обычному» атеросклерозу [37], однако сужения артерий могут быть более протяженными, тубулярными, концентрическими, часто без кальциноза [34].
Дебют ИБС может являться внезапным, в виде острого коронарного синдрома или внезапной сердечной смерти. Значительно чаще заболевание развивается постепенно и длительно остается бессимптомным. Клинические проявления зачастую атипичны, распространенность безболевой ишемии выше, чем при «обычной» ИБС, что связывают с с поражением рецепторов сердца [38]. Это определяет необходимость регулярного пожизненного скрининга на ИБС.
Подходы к диагностике, лечению и вторичной профилактике ИБС соответствуют общим рекомендациям. С учетом высокой распространенности атипичных и безболевых форм ИБС функциональные нагрузочные пробы приобретают особое значение. Среди функциональных проб предпочтительны методики с визуализацией миокарда. Исследование коронарного кальция имеет прогностическое значение, однако не исключает возможности тяжелых некальцинированных стенозов. Выраженный кальциноз, наоборот, снижает диагностическую значимость компьютерной томографии (КТ)-ангиографии. Коронароангиография остается «золотым стандартом» диагностики, а в связи с особенностями поражения оправдано более широкое применение внутрисосудистого ультразвукового исследования (УЗИ) [34].
Решение вопроса о плановой коронарной реваскуляризации следует принимать с участием мультидисциплинарной команды кардиологов, онкологов, кардиохирургов, специалистов по чрескожным вмешательствам [30]. При стабильной ИБС приоритет отдается при возможности полной реваскуляризации. При длительном наблюдении (максимум 16 лет) после чрескожного вмешательства риск повторных ишемических событий и рестенозов у пациентов, перенесших торакальную ЛТ, такой же, как у «обычных» пациентов, однако риск смерти от всех причин выше, вероятнее всего, в связи с онкологическими причинами [38]. При планировании коронарного шунтирования следует учитывать вероятность поражения аорты («фарфоровая» аорта) и маммарной артерии, а также диффузного кальциноза КА.
Поражения клапанов сердца
У пациентов, получавших медиастинальную ЛТ, риск клапанных поражений различной тяжести повышен в 7–34 раза [39]. Их распространенность, по данным различных исследований, составляет 10–31% через 10–13 лет и 30–67% через 22–30 лет. Бессимптомные поражения при ЭхоКГ выявляются в среднем через 11,5 года, а средний срок до диагноза клинически значимого порока сердца составляет 22 года. Потребность в хирургической коррекции клапанной патологии, в первую очередь аортального стеноза, в 6–9 раз выше, чем в популяции [15].
Ионизирующая радиация инициирует процесс дегенерации и со временем в сочетании с травматизацией током крови приводит к утолщению, фиброзу и кальцификации клапанов и околоклапанных структур. Характерные локализации поражения – корень аорты, створки аортального клапана, фиброзные кольца, базальные и средние отделы створок митрального клапана, околоклапанные структуры [34]. Наиболее ранние макроскопические изменения – уменьшение клапана с сопутствующей регургитацией, а со второго десятилетии после ЛТ прогрессируют фиброз, кальцификация и стенозирование [40]. Клапаны левой половины сердца поражаются чаще, чем правой [41].
У пациентов с уже развившимся аортальным стенозом порок прогрессирует с такой же скоростью, как у пациентов с «обычным» пороком, но симптомы могут возникать быстрее в связи с сопутствующей патологией миокарда, перикарда, КА (до 80% пациентов) и легких [41].
Протезирование клапанов улучшает прогноз [41]. Вместе с тем при медиастинальной ЛТ в анамнезе 30-дневная и отдаленная послеоперационная смертность выше, чем у обычных пациентов, а возвращение к нормальному качеству жизни после операции маловероятно [42]. При планировании вмешательства следует учитывать высокую вероятность комбинированного поражения сердца, медиастинального и легочного фиброза, склонность к устойчивым выпотам и нарушению процессов заживления, которые затрудняют хирургическое лечение и ухудшают его прогноз. При аортальном стенозе транскатетерная замена клапана является методом выбора. При этом 30-дневная смертность, безопасность и гемодинамические результаты не хуже, чем у пациентов без ЛТ в анамнезе, хотя 1-летняя смертность и частота ухудшения ХСН у постлучевых больных выше [43].
Инсульт и периферический атеросклероз
После ЛТ с вовлечением средостения, шеи или головы риск развития инсульта возрастает как минимум вдвое [44]. После перенесенной в детстве ЛТ на область головы и шеи относительный риск инсульта составляет 7,8, а после ЛТ по поводу опухолей мозга – 30,1 по сравнению со здоровыми, в частности в связи с ранним развитием атеросклероза магистральных артерий головы. Вероятность инсульта и транзиторной ишемической атаки возрастает пропорционально кумулятивной дозе облучения. Значительную роль играют также популяционные факторы риска, в первую очередь АГ и СД [45].
В сонных артериях несколько механизмов приводят к повышению жесткости и утолщению комплекса интима–медиа, а в дальнейшем, через 10 и более лет после ЛТ, – к гемодинамически значимому сужению. Это окклюзия vasa vasorum с некрозом и фиброзом медии, фиброз адвентиции и ускорение развития атеросклероза, возможен и тромбоз сонной артерии с ее окклюзией или эмболическим инсультом [13]. Аналогичные процессы после облучения развиваются в аорте и других периферических артериях – подключичных, бедренных и подвздошных, что может сопровождаться симптомами ишемии конечности [46]. Инсульты могут возникать и при отсутствии существенной патологии крупных артерий, вероятно, за счет поражения микроциркуляторного русла с повреждением эндотелия и повышением риска тромбоза [47].
Больным, перенесшим ЛТ по поводу лимфом, опухолей головы или шеи, для скрининга на атеросклероз рекомендуется УЗИ магистральных артерий головы, особенно по прошествии 5 лет и в последующие годы. Если выявляются патологические изменения, дуплексное сканирование следует повторять в дальнейшем как минимум каждые 5 лет (или чаще). Значимый стеноз артерий может потребовать эндоваскулярного или хирургического лечения. Методы хирургической и рентгенэндоваскулярной коррекции сосудистых поражений не отличаются от тех, которые применяются при «обычном» атеросклерозе [30].
Автономная дисфункция, нарушения ритма и проводимости
Ионизирующая радиация может повредить волокна блуждающего нерва, зону каротидного синуса, что приводит к нарушению барорефлекса и, как следствие, к повышению частоты сердечных сокращений в покое и неадекватному ее возрастанию при нагрузках. Кроме того, лучевое поражение миокарда может приводить к компенсаторному повышению концентрации β-адренергических рецепторов с повышением симпатической стимуляции и развитием автономной дисфункции [47]. Нарушение иннервации сердца может приводить к снижению болевой чувствительности и, таким образом, к немой ишемии миокарда при поражении КА [48].
Лучевой фиброз миокарда с вовлечением проводящей системы спустя многие годы после ЛТ может сопровождаться развитием атриовентрикулярных блокад, дисфункции синусового узла, фибрилляции предсердий, желудочковых аритмий. Подход к лечению должен быть индивидуальным, с коррекцией факторов, способствующих брадикардии, по возможности. Нередко требуется имплантация электрокардиостимулятора, причем пациенты с рестриктивной кардиомиопатией и малым сердечным выбросом могут нуждаться в электрокардиостимуляторе даже при отсутствии стандартных показаний [30].
Перикардит
Изменения перикарда в ранние сроки после ЛТ характеризуются разрушением эндотелия микрососудов, приводящим к ишемии и фибринозному воспалению. Со временем развиваются фиброз и утолщение перикарда, замещение жира коллагеном, спайки, констрикция. Симптомы хронического перикардита могут возникнуть спустя несколько месяцев или лет после ЛТ. Годами может наблюдаться хронический выпот, в том числе бессимптомный. Констрикция может быть причиной СН при отсутствии очевидных изменений миокарда [49].
Диагностика лучевых поражений перикарда проводится на основании общих рекомендаций по диагностике перикардита, и основным методом является трансторакальная ЭхоКГ. Могут также применяться КТ и МРТ сердца, особенно для выявления кальцификации и утолщения перикарда [34].
При наличии перикардиального выпота диагноз лучевого перикардита всегда должен быть «диагнозом исключения». Следует проводить дифференциальный диагноз с опухолевым перикардитом (рецидив, метастазы, новая опухоль), а также исключать другую возможную этиологию, в том числе туберкулез, вирусные, бактериальные инфекции и пр. Пункция перикарда показана при тампонаде сердца, а также может применяться с диагностической целью. При массивном хроническом выпоте с нарушением гемодинамики и неэффективности медикаментозного лечения применяется фенестрация перикарда или частичная перикардэктомия [49].
При развитии констрикции лечение симптоматическое, при выраженном нарушении гемодинамики – хирургическое (перикардэктомия). При решении вопроса о вмешательстве у пациентов с симптомами правожелудочковой недостаточности существенные затруднения может вызывать дифференциальный диагноз между констрикцией перикарда и рестриктивной кардиомиопатией. Отсутствие утолщения и кальцификации перикарда не исключает констрикции, так же как их наличие не исключает сопутствующего фиброза миокарда. В большинстве случаев следует рассматривать комплекс признаков, включая данные ЭхоКГ, КТ, МРТ, а при неясности диагноза – катетеризации сердца [49].
Следует учитывать, что выживаемость после перикардэктомии при лучевом констриктивном перикардите может быть ниже, чем при другой этиологии констрикции. Периоперационная летальность достигает 21%, а 7-летняя выживаемость может не превышать 27%. Это связано как с техническими трудностями в условиях постлучевых изменений сердца, сосудов и средостения, так и сопутствующим прогрессирующим поражением других структур сердца, в первую очередь миокарда, а также легких [50].
Рекомендации по кардиоваскулярному мониторингу и профилактике у пациентов в отдаленном периоде после лечения по поводу ЗНО
Рекомендации по кардиоонкологии Европейского общества кардиологов (ЕОК) 2022 г. выделяют среди пациентов, имеющих высокий риск кардиоваскулярных осложнений после противоопухолевого лечения, проводившегося во взрослом возрасте, подгруппы с ранним (до 5 лет после лечения) и поздним (более 30 лет) высоким риском (табл. 2). Все пациенты, перенесшие ЛТ с облучением сердца, крупных сосудов, головы и шеи, относятся к группе позднего высокого риска, который с течением времени непрерывно возрастает [30].
Таблица 2. Категории риска отдаленных сердечно-сосудистых осложнений у бессимптомных пациентов после окончания противоопухолевого лечения (на основании Рекомендаций по кардиоонкологии ЕОК 2022 г.) [30]
Категория рискa | Характеристики пациента и ПОТ |
Очень высокий | Очень высокий риск кардиоваскулярной токсичности до лечения |
Кумулятивная доза доксорубицинаb ≥400 мг/м2 | |
ЛТ: средняя доза на сердце >25 Грc | |
ЛТ: средняя доза на сердце >15 Грc + доксорубицин ≥100 мг/м2 | |
Ранний высокий | Высокий риск кардиоваскулярной токсичности до лечения |
Симптомная или бессимптомная умеренная/тяжелая дисфункция | |
Кумулятивная доза доксорубицинаb 250–399 мг/м2 | |
Трансплантация гемопоэтических стволовых клеток высокого рискаd | |
Поздний | ЛТ: средняя доза на сердце >15–25 Грc |
ЛТ: средняя доза на сердце 5–15 Грe + доксорубицинb ≥100 мг/м2 | |
Плохо контролируемые ФР ССЗ | |
Средний | Умеренный риск кардиоваскулярной токсичности до лечения |
Кумулятивная доза доксорубицинаb 100–249 мг/м2 | |
ЛТ: средняя доза на сердце 5–15 Грe | |
ЛТ: средняя доза на сердце <5f + доксорубицинb ≥100 мг/м2 | |
Низкий | Низкий риск кардиоваскулярной токсичности до лечения и |
Легкие проявления кардиотоксичности во время ПОТ, | |
ЛТ: средняя доза на сердце: <5 Грf | |
Кумулятивная доза доксорубицинаb <100 мг/м2 |
Примечание. ПОТ – противоопухолевая терапия, СС – сердечно-сосудистый, ФР – факторы риска; aпри оценке риска ЛТ рекомендуется учитывать среднюю суммарную дозу излучения на сердце, а не предписанную суммарную очаговую дозу, которая может недостаточно точно отражать дозовую нагрузку на сердце. В зависимости от распределения доз и облучения специфических структур сердца, а также клинических факторов категория риска может быть повышена или, наоборот, понижена, если лишь небольшая часть ткани сердца получила относительно высокую очаговую дозу; bили эквивалент; cили суммарная очаговая доза ≥35 Гр на объем, содержащий сердце, если данные о средней дозе на сердце недоступны (в этом случае недостаточно точная информация о лучевой нагрузке не позволяет разграничить высокий и очень высокий кардиальный риск); dаллогенная трансплантация, ранее существовавшие ССЗ или множественные неконтролируемые факторы риска, перенесенная ЛТ с облучением средостения или с применением мантиевидного поля облучения, применение алкилирующих агентов, доксорубицина ≥250 мг/м2, облучение всего тела, развитие реакции «трансплантат против хозяина»; eили суммарная очаговая доза ≥15–34 Гр на объем, содержащий сердце, если средняя доза на сердце неизвестна; fили суммарная очаговая доза <15 Гр на объем, содержащий сердце, если средняя доза на сердце неизвестна.
Всем пациентам, начиная до противоопухолевого лечения и пожизненно, показаны интенсивная коррекция факторов риска атеросклероза: здоровое питание, регулярные физические нагрузки, контроль массы тела, контроль артериального давления (АД) и липидов крови, необходимость прекратить курение [30]. Применение липид-модифицирующей терапии может быть целесообразно в соответствии с рекомендациями для лиц высокого и очень высокого сердечно-сосудистого риска [31]. Для уточнения риска ИБС и решения вопроса о лекарственной терапии может быть полезна КТ сердца с исследованием коронарного кальция [51].
Интенсивность и частота кардиологического обследования при длительном наблюдении после лечения определяются степенью риска сердечно-сосудистых осложнений, которая в свою очередь зависит от исходного сердечно-сосудистого риска и кардиотоксичности противоопухолевой терапии (табл. 3). Последняя обусловлена прежде всего дозами радиации, полученными тканями сердца, а также применением антрациклинов и их дозами. У пациентов, получавших не только ЛТ, но и химиотерапию (ХТ), возможно поражение сосудов и в областях, отдаленных от зоны непосредственного облучения [52]. Через 5 лет после лечения целесообразна рестратификация риска в зависимости от ФВ ЛЖ, учитывая, что у пациентов с умеренно сниженной ФВ (41–49%) в 8 раз чаще, чем у пациентов с сохраненной ФВ (≥50%), к 10 годам после лечения наблюдается снижение ФВ ЛЖ<40% [53].
Таблица 3. Рекомендации по кардиоваскулярному мониторингу взрослых пациентов после противоопухолевого лечения (на основании Рекомендаций по кардиоонкологии ЕОК 2022 г.) [30]
Рекомендации | Класс |
Ежегодная оценка сердечно-сосудистого риска (клиническое обследование, АД, липидный профиль, HbA1c, ЭКГ, определение НУП) и коррекция факторов риска рекомендуются всем пациентам после потенциально кардиотоксичной противоопухолевой терапии или ЛТ | IB |
Повторная оценка ССР через 5 лет после противоопухолевого лечения (оценка новых или ранее существовавших ССЗ, ФР, кардиотоксичности ПОТ) для планирования долгосрочного наблюдения рекомендуется всем пациентам | IC |
ЭхоКГ через 1, 3 и 5 лет после завершения кардиотоксичного лечения, затем каждые 5 лет рекомендуется бессимптомным пациентам с очень высоким риском ССО и высоким риском ранних ССОa | IIaC |
ЭхоКГ через 5 лет после ЛТ с вовлечением области сердца и затем каждые 5 лет рекомендуется бессимптомным пациентам с высоким риском поздних ССОa | IIaC |
ЭхоКГ каждые 5 лет рекомендуется бессимптомным пациентам с умеренным риском | IIbC |
Неинвазивный скрининг на ИБС (нагрузочное тестирование с визуализацией) рекомендуется бессимптомным пациентам, получившим среднюю дозу излучения на сердце >15 Грb, через 5 лет после ЛТ, затем каждые 5–10 лет | IIaC |
УЗИ сонных артерий рекомендуется бессимптомным пациентам после ЛТ в области головы и шеи через 5 лет после ЛТ, затем каждые 5–10 лет | IIaC |
УЗИ почечных артерий рекомендуется пациентам, перенесшим ЛТ в области живота и малого таза, имеющим снижение функции почек и/или АГ | IIaC |
ЭхоКГ каждые 5 лет рекомендуется пациентам, перенесшим острый перикардит на фоне ЛТ с вовлечением области сердца, в связи с повышенным риском хронической констрикции перикарда | IIbC |
Примечание. Здесь и далее в табл. 4: ЭКГ – электрокардиография, ФР – факторы риска, ПОТ – противоопухолевая терапия, HbA1c – гликированный гемоглобин, НУП – натрийуретические пептиды, ССР – сердечно-сосудистый риск, ССО – сердечно-сосудистые осложнения; aсм. табл. 2; bили суммарная очаговая доза ≥35 Гр на объем, содержащий сердце, если средняя доза на сердце неизвестна.
Таблица 4. Рекомендации по кардиоваскулярному мониторингу взрослых бессимптомных пациентов, перенесших ЗНО в детском/подростковом возрасте (на основании Рекомендаций по кардиоонкологии ЕОК 2022 г.) [30]
Рекомендации | Класс |
Рекомендуются информирование о повышенном риске ССО и обучение здоровому образу жизни пациентов, которые получали лечение антрациклинами, митоксантроном и/или ЛТ с вовлечением области сердца в детском возрасте, и их родителей (опекунов) | IB |
Ежегодный скрининг модифицируемых ФР ССЗ (ожирения, малоподвижного образа жизни, курения, употребления алкоголя, неприверженности здоровому питанию, АГ, СД) рекомендуется пациентам, которые получали лечение антрациклинами, митоксантроном и/или ЛТ с вовлечением области сердца | IC |
Кардиологическое обследование (измерение АД, липидного профиля, HbA1c, ЭКГ и ЭхоКГ) рекомендуется женщинам при планировании беременности или в I триместре беременности | IC |
ЭхоКГ рекомендуется бессимптомным пациентам с высоким рискомa ССО каждые 2 года | IIaC |
ЭхоКГ рекомендуется бессимптомным пациентам с умеренным рискомa ССО каждые 5 лет | IIaC |
aСм. табл. 2. | |
Особого внимания заслуживают пациенты, которые получали противоопухолевое лечение в детском или подростковом возрасте. В настоящее время 5-летняя выживаемость при детских ЗНО превышает 80% [54]. Вместе с тем кардиотоксичная терапия, включающая антрациклины, митоксантрон и/или ЛТ в области грудной клетки, головы и шеи, сопровождается высоким риском развития в молодом возрасте СН, клапанных пороков, коронарной болезни, нарушений ритма и проводимости, автономной дисфункции, поражений перикарда, инсульта и преждевременной смертности [55]. Так, распространенность кардиомиопатии и ХСН у лиц, достигших 40–45 летнего возраста, составляет 4,8–10,6% [56].
Для этого контингента пациентов характерна повышенная распространенность кардиометаболических факторов риска: ожирения, предиабета и СД, АГ и дислипидемии [57], поэтому рекомендуются ежегодный мониторинг этих факторов и их и интенсивная коррекция (табл. 4) [58]. Пациенты, подвергнутые в детстве ЛТ на область грудной клетки, головы и шеи, должны наблюдаться кардиологом пожизненно [59].
Клиническое наблюдение
Пациентка З. 55 лет госпитализирована в Клинику кардиологии Университетской клинической больницы №1 ФГАОУ ВО «Первый МГМУ им. И.М. Сеченова» (Сеченовский Университет) с декомпенсацией ХСН: одышкой в покое и при минимальной нагрузке, выраженными периферическими отеками, гепатомегалией, асцитом, гидротораксом. Кроме того, ее беспокоили загрудинные боли давящего характера при медленной ходьбе. При аускультации сердца выслушивался грубый систолический шум на аорте.
Из анамнеза: в 1990 г. (в возрасте 27 лет) диагностирован рак левой молочной железы, проведено комплексное лечение: мастэктомия, ХТ, включавшая антрациклины, ЛТ. В 2011 г. – рак правой молочной железы, хирургическое лечение и химиолучевая терапия с применением антрациклинов. Названия других препаратов, дозы антрациклинов и ЛТ пациентка указать не могла, медицинская документация отсутствовала. В анамнезе также в течение длительного времени – ожирение 1-й степени, АГ, в связи с которой нерегулярно принимала ингибиторы ангиотензинпревращающего фермента. С 2014 г. (через 24 года после первичного лечения) обнаружили шум в сердце. С 2015 г. – одышка и приступы стенокардии при ходьбе. С 2018 г. – неоднократные госпитализации в связи с прогрессированием СН, тенденция к гипотонии. В 2018 г. выявлен СД 2-го типа. Регулярно принимала ацетилсалициловую кислоту, низкие дозы блокаторов рецепторов анготензина и β-АБ, спиронолактон, петлевые диуретики.
Пациентка курила с юности, в последние годы не курит.
По данным обследования в клинике: электрокардиография – синусовый ритм, признаки гипертрофии ЛЖ.
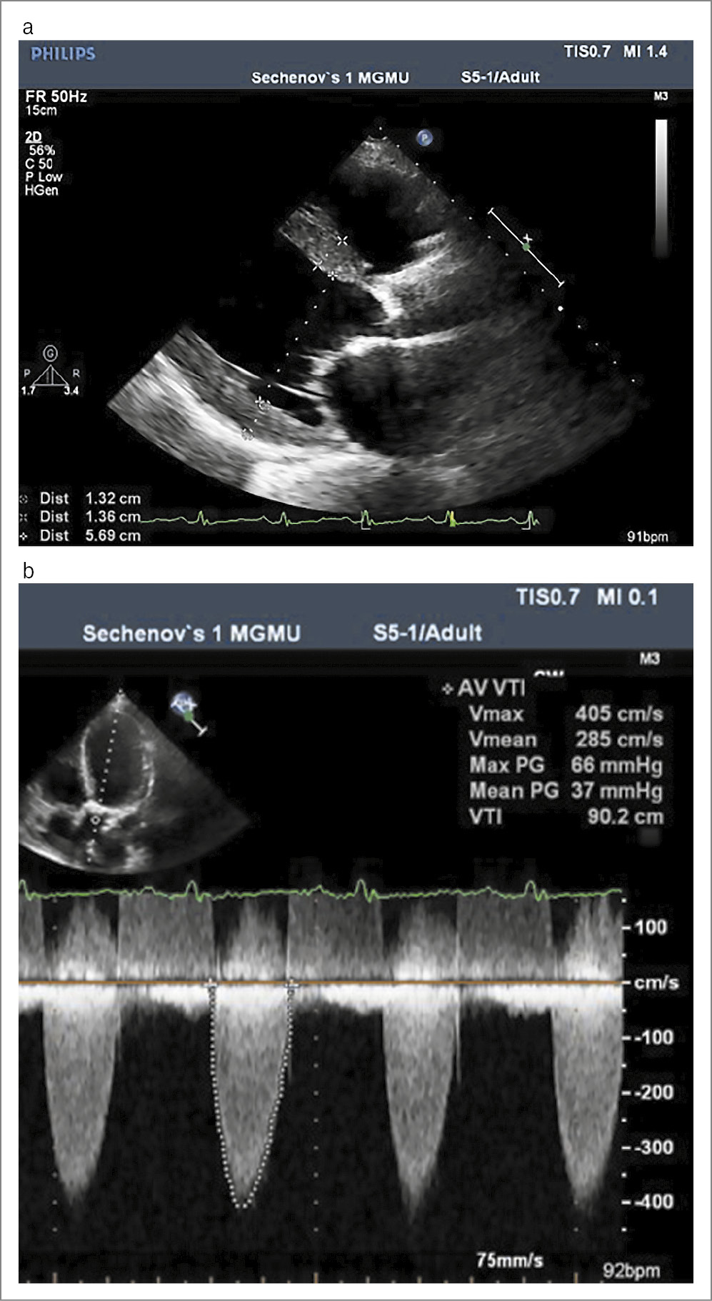
ЭхоКГ: левое и правое предсердия увеличены. ЛЖ: конечный диастолический размер – 5,7 см (норма – до 5,6 см), толщина межжелудочковой перегородки – 1,35 см, толщина задней стенки ЛЖ – 1,3 см (норма – до 1,1 см), конечный диастолический объем – 163 мл, конечный систолический объем – 123 мл. ФВ – 23%. Правый желудочек: переднезадний размер – 3,6 см. Аортальный клапан: створки кальцинированы, амплитуда раскрытия снижена, регургитация 2-й степени. Максимальный градиент давления – 66 мм рт. ст., средний градиент – 37 мм рт. ст. Максимальная скорость кровотока – 405 см/с. Площадь аортального клапана – 0,5–0,6 см2. Митральный клапан: створки умеренно кальцинированы, подвижность створок не ограничена. Регургитация 1–2-й степени. Трикуспидальный клапан: подвижность створок не ограничена, регургитация до 2-й степени. Нижняя полая вена не расширена, на вдохе спадается менее чем на 50%. Заключение: кальциноз аортального клапана с формированием его критического стеноза. Диффузный гипокинез миокарда. Митральная регургитация от умеренной до средней. Аортальная регургитация до средней степени. Легочная гипертензия (систолическое давление в легочной артерии – 50 мм рт. ст.); рис. 1.
КТ: кальциноз створок и фиброзного кольца трехстворчатого аортального клапана (рис. 2).
Рис. 1. ЭхоКГ пациентки З.: a – утолщение створок аортального клапана и фиброзного кольца. Умеренная гипертрофия ЛЖ; b – допплерЭхоКГ демонстрирует тяжесть аортального стеноза: максимальная скорость кровотока – 405 см/с, средний градиент – 37 мм рт. ст. (недооценивается в условиях низкой сократительной функции).
Рис. 2. КТ (a) и 3D-реконструкция (b) аортального клапана. Виден трехстворчатый аортальный клапан с кальцинатами в основании и краях створок, характерными для лучевого поражения клапанов.
Коронароангиография: окклюзия проксимального сегмента правой КА с ретроградным заполнением дистального и среднего сегментов по коллатералям. В остальном – без существенной патологии.
Таким образом, у пациентки имелись критический аортальный стеноз, хроническая окклюзия правой КА, не требовавшая реваскуляризации, и значительное снижение сократимости ЛЖ. Несмотря на крайне высокий риск вмешательства, принято решение о выполнении транскатетерного протезирования аортального клапана биологическим протезом. Операция выполнена после оптимизации медикаментозной терапии и стабилизации состояния пациентки.
После операции прекратились приступы стенокардии, значительно уменьшились проявления СН. Через год полностью отменены диуретики, ФВ ЛЖ>50%. В 2020 г. пациентка обратилась в клинику в связи с возобновлением подъемов АД. Получала терапию β-АБ, блокаторами рецепторов ангиотензина, статинами, блокаторами кальциевых каналов, клопидогрелом, тиазидными диуретиками в низких дозах, пероральными сахароснижающими средствами. При ЭхоКГ – нормальная функция протеза, ФВ ЛЖ – 56%, зон гипокинезии миокарда не выявлено.
Приведенное клиническое наблюдение демонстрирует характерное для отдаленных последствий ЛТ комбинированное поражение сердца: кальциноз аортального клапана с развитием его критического стеноза в сочетании с коронарной патологией у пациентки с факторами риска атеросклероза (курением, неадекватно контролируемой АГ). Вероятнее всего, имеется также поражение миокарда, связанное как с ЛТ, так и с кардиотоксичной ХТ, однако, судя по восстановлению ФВ ЛЖ после операции, основную роль в снижении сократимости играл аортальный стеноз. Данный случай подтверждает, что транскатетерное протезирование клапана у таких пациентов может быть не менее эффективным, чем у пациентов с «обычным» аортальным стенозом.
Заключение
Современные методы онкологического лечения позволяют значительно продлевать жизнь пациентов, достигать длительной устойчивой ремиссии, практически излечения от ЗНО. Вместе с тем как сам рак, так и лечение от него повышают риск развития СН, нарушений ритма и проводимости, ИБС, цереброваскулярной и другой сердечно-сосудистой патологии и смертности. В наибольшей степени это относится к широко применяемым кардиотоксичным препаратам из группы антрациклинов и к ЛТ образований грудной клетки, головы и шеи, с которыми связано развитие кардиальных осложнений в весьма отдаленные сроки – спустя годы и десятилетия после лечения. К этому времени пациенты уже, как правило, не наблюдаются у онколога, перенесенное заболевание может не упоминаться в текущей медицинской документации, и ни у пациентов, ни у медиков нет настороженности в отношении возможной сердечно-сосудистой патологии. Повышение осведомленности о риске и особенностях отдаленных кардиальных осложнений, пожизненное кардиологическое наблюдение и жесткая коррекция факторов риска после перенесенного онкологического лечения будут способствовать предупреждению, своевременному выявлению таких осложнений и продлению жизни пациентов.
Раскрытие интересов. Авторы декларируют отсутствие явных и потенциальных конфликтов интересов, связанных с публикацией настоящей статьи.
Disclosure of interest. The authors declare that they have no competing interests.
Вклад авторов. Авторы декларируют соответствие своего авторства международным критериям ICMJE. Все авторы в равной степени участвовали в подготовке публикации: разработка концепции статьи, получение и анализ фактических данных, написание и редактирование текста статьи, проверка и утверждение текста статьи.
Authors’ contribution. The authors declare the compliance of their authorship according to the international ICMJE criteria. All authors made a substantial contribution to the conception of the work, acquisition, analysis, interpretation of data for the work, drafting and revising the work, final approval of the version to be published and agree to be accountable for all aspects of the work.
Источник финансирования. Авторы декларируют отсутствие внешнего финансирования для проведения исследования и публикации статьи.
Funding source. The authors declare that there is no external funding for the exploration and analysis work.
Информированное согласие на публикацию. Пациентка подписала форму добровольного информированного согласия на публикацию медицинской информации.
Consent for publication. Written consent was obtained from the patient for publication of relevant medical information and all of accompanying images within the manuscript.
About the authors
Maria G. Poltavskaya
Sechenov First Moscow State Medical University (Sechenov University)
Author for correspondence.
Email: poltavskaya_m_g@staff.sechenov.ru
ORCID iD: 0000-0003-4463-2897
D. Sci. (Med.)
Russian Federation, Moscow
Alena I. Novikova
Sechenov First Moscow State Medical University (Sechenov University)
Email: poltavskaya_m_g@staff.sechenov.ru
ORCID iD: 0000-0003-2972-1795
Assistant
Russian Federation, MoscowArtem L. Bezlyudskiy
Sechenov First Moscow State Medical University (Sechenov University)
Email: poltavskaya_m_g@staff.sechenov.ru
ORCID iD: 0009-0005-9593-5339
Student
Russian Federation, MoscowReferences
- Zoller B, Ji J, Sundquist J, Sundquist K. Risk of haemorrhagic and ischaemic stroke in patients with cancer: a nationwide follow-up study from Sweden. Eur J Cancer. 2012;48(12):1875-83.
- Zoller B, Ji J, Sundquist J, Sundquist K. Risk of coronary heart disease in patients with cancer: a nationwide follow-up study from Sweden. Eur J Cancer. 2012;48(1):121-8.
- Strongman H, Gadd S, Matthews A, et al. Medium and long-term risks of specific cardiovascular diseases in survivors of 20 adult cancers: a population-based cohort study using multiple linked UK electronic health records databases. Lancet. 2019;394(10203):1041-54.
- Paterson DI, Wiebe N, Cheung WY, et al. Incident Cardiovascular Disease Among Adults With Cancer: A Population-Based Cohort Study. JACC CardioOncol. 2022;4(1):85-94.
- Zhang F, Wang K, Du P, et al. Risk of stroke in cancer survivors: a meta-analysis of population-based cohort studies. Neurology. 2021;96(4):e513-26.
- Mantovani A, Allavena P, Sica A, Balkwill F. Cancer-related inflammation. Nature. 2008;454(7203):436-44.
- Dardiotis E, Aloizou AM, Markoula S, et al. Cancer-associated stroke: pathophysiology, detection and management (Review). Int J Oncol. 2019;54(3):779-96.
- Muhandiramge J, John R Zalcberg JR, van Londen GJ. Cardiovascular Disease in Adult Cancer Survivors: a Review of Current Evidence, Strategies for Prevention and Management, and Future Directions for Cardio-oncology. Curr Oncol Rep. 2022;24:1579-92.
- Stoltzfus KC, Zhang Y, Sturgeon K, et al. Fatal heart disease among cancer patients. Nat Commun. 2020;11(1):2011.
- Okwuosa TM, Morgans A, Rhee JW, et al. Impact of hormonal therapies for treatment of hormone dependent cancers (breast and prostate) on the cardiovascular system: effects and modifications: a scientific statement from the American Heart Association. Circ Genom Precis Med. 2021;14(3):e000082.
- Huang R, Zhou Y, Hu S, et al. Radiotherapy exposure in cancer patients and subsequent risk of stroke: a systematic review and meta-analysis. Front Neurol. 2019;10:233.
- Tichelli A, Bucher C, Rovo A, et al. Premature cardiovascular disease after allogeneic hematopoietic stemcell transplantation. Blood. 2007;110(9):3463-71.
- Mitchell JD, Cehic DA, Morgia M, et al. Cardiovascular manifestations from therapeutic radiation: a multidisciplinary expert consensus statement from the International Cardio-Oncology Society. JACC Cardio Oncol. 2021;3:360-80
- Nardin S, Mora E, Varughese FM, et al. Breast Cancer Survivorship, Quality of Life, and Late Toxicities. Front Oncol. 2020;10:864.
- Van Nimwegen FA, Schaapveld M, Janus CPM, et al. Cardiovascular disease after Hodgkin lymphoma treatment 40-year disease risk. JAMA Intern Med. 2015;175:1007-17.
- Wei X, Liu HH, Tucker SL, et al. Risk factors for pericardial effusion in inoperable esophageal cancer patients treated with definitive chemoradiation therapy. Int J Radiat Oncol Biol Phys. 2008;70:707-14.
- Banfill K, Giuliani M, Aznar M, et al. Cardiac toxicity of thoracic radiotherapy: existing evidence and future directions. J Thorac Oncol. 2021;16:216-27.
- Popit M, Zaletel M, Žvan B, Zaletel LZ. Long-Term Adverse Effects of Neck Radiotherapy in Childhood on the Carotid Arteries in Survivors of Hodgkin Lymphoma. Cancers (Basel). 2023;15(15):3992.
- Bergom C, Bradley JA, Ng AK, et al. Past, present, and future of radiation-induced cardiotoxicity: refinements in targeting, surveillance, and risk stratification. JACC Cardio Oncol. 2021;3:343-59.
- Liu LK, Ouyang W, Zhao X, et al. Pathogenesis and prevention of radiation-induced myocardial fibrosis. Asian Pac J Cancer Prev. 2017;18:583-7.
- Armstrong GT, Joshi VM, Ness KK, et al. Comprehensive echocardiographic detection of treatment-related cardiac dysfunction in adult survivors of childhood cancer: results from the St. Jude Lifetime Cohort Study. J Am Coll Cardiol. 2015;65:2511-22.
- Constine L, Schwartz R, Savage D, et al. Cardiac function, perfusion, and morbidity in irradiated long-term survivors of Hodgkin’s disease. Int J Radiat Oncol Biol Phys. 1997;39:897-906.
- Saiki H, Petersen IA, Scott CG, et al. Risk of heart failure with preserved ejection fraction in older women after contemporary radiotherapy for breast cancer. Circulation. 2017;135:1388-96.
- Plana JC, Thavendiranathan P, Bucciarelli-Ducci C. Multi-Modality Imaging in the Assessment of Cardiovascular Toxicity in the Cancer Patient. J Am Coll Cardiol Img. 2018;11:1173-86.
- Polomski EAS, Heemelaar JC, Krol ADG, et al Impaired Global Longitudinal Strain Is Associated with Cardiovascular Events in Hodgkin Lymphoma Survivors. Cancers (Basel). 2022;14(9):2329.
- Pudil R, Mueller C, Cˇelutkiene˙ J, et al. Role of serum biomarkers in cancer patients receiving cardiotoxic cancer therapies: a position statement from the Cardio-Oncology Study Group of the Heart Failure Association and the Cardio-Oncology Council of the European Society of Cardiology. Eur J Heart Fail. 2020;22:1966-83.
- Vallabhaneni S, Wang Y, Zhang Y, et al. Cardiovascular Magnetic Resonance in Early Detection of Radiation Associated Cardiotoxicity With Chest Radiation. Front Cardiovasc Med. 2022;9:1-7.
- Machann W, Beer M, Breunig M, et al. Cardiac magnetic resonance imaging fndings in 20-year survivors of mediastinal radiotherapy for Hodgkin’s disease. Int J Radiat Oncol Biol Phys. 2011;79(4):1117-23.
- Traber J, Krempien R, Schulz-Menger J, von Knobelsdorf-Brenkenhof F. Assessment of acute radiation therapy-related cardiotoxicity by cardiovascular magnetic resonance. J Cardiovasc Magn Reson. 2016;18(S1):1-2.
- Lyon AR, López-Fernández T, Couch LS, et al. 2022 ESC Guidelines on cardio-oncology developed in collaboration with the European Hematology Association (EHA), the European Society for Therapeutic Radiology and Oncology (ESTRO) and the International Cardio-Oncology Society (IC-OS). Eur Heart J. 2022;43(41):4229-361.
- Sárközy M, Varga Z, Gáspár R. Pathomechanisms and therapeutic opportunities in radiation-induced heart disease: from bench to bedside. Clinical Research in Cardiology. Clin Res Cardiol. 2021;110(4):507-31.
- DePasquale EC, Nasir K, Jacoby DL. Outcomes of adults with restrictive cardiomyopathy after heart transplantation. J Heart Lung Transplant. 2012;31(12):1269-75.
- Hansson G. Inflammation, atherosclerosis, and coronary artery disease. N Engl J Med. 2005;352(16):1685-95.
- Desai MY, Windecker S, Lancellotti P, et al. Prevention, Diagnosis, and Management of Radiation-Associated Cardiac Disease JACC Scientific Expert Panel. J Am Coll Cardiol. 2019;74:905-27.
- Stewart FA, Seemann I, Hoving S, Russell NS. Understanding radiation-induced cardiovascular damage and strategies for intervention. Clin Oncol (R Coll Radiol). 2013;25:617-24.
- Oeffinger KC, Mertens AC, Sklar CA, et al. Childhood Cancer Survivor Study. Chronic health conditions in adult survivors of childhood cancer. N Engl J Med. 2006;355:1572-82.
- Fajardo LF. The pathology of ionizing radiation as defined by morphologic patterns. Acta Oncol. 2005;44:13-22.
- Thakker R, Suthar K, Bhakta P, et al. Percutaneous Coronary Intervention Outcomes in Patients With Prior Thoracic Radiation Therapy: A Systematic Review and Meta-Analysis. Cardiol Res. 2022;13(6):333-8.
- Bijl JM, Roos MM, van Leeuwen-Segarceanu EM, et al. Assessment of valvular disorders in survivors of Hodgkin’s lymphoma treated by mediastinal radiotherapy +/- chemotherapy. Am J Cardiol. 2016;117(4):691-6.
- Wethal T, Lund MB, Edvardsen T, et al. Valvular dysfunction and left ventricular changes in Hodgkin’s lymphoma survivors. A longitudinal study. Br J Cancer. 2009;101:575-81.
- Donnellan E, Griffin BP, Johnston DR, et al. Rate of progression of aortic stenosis and its impact on outcomes in patients with radiation-associated cardiac disease: a matched cohort study. J Am Coll Cardiol Img. 2018;11:1072-80.
- Donnellan E, Masri A, Johnston DR, et al. Long-term outcomes of patients with mediastinal radiation-associated severe aortic stenosis and subsequent surgical aortic valve replacement: a matched cohort study. J Am Heart Assoc. 2017;6(5):e005396.
- Zafar MR, Mustafa SF, Miller TW, et al. Outcomes after transcatheter aortic valve replacement in cancer survivors with prior chest radiation therapy: a systematic review and meta-analysis. Cardiooncology. 2020;14(6):8.
- De Bruin ML, Dorresteijn LD, van’t Veer MB, et al. Increased risk of stroke and transient ischemic attack in 5-year survivors of Hodgkin lymphoma. J Natl Cancer Inst. 2009;101:928-37.
- van Dijk IW, van der Pal HJ, van Os RM, et al. Risk of Symptomatic Stroke After Radiation Therapy for Childhood Cancer: A Long-Term Follow-Up Cohort Analysis. Int J Radiat Oncol Biol Phys. 2016;96(3):597-605.
- Jurado JA, Bashir R, Burket MW. Radiation-induced peripheral artery disease. Catheter Cardiovasc Interv. 2008;72:563-8.
- Murphy ES, Xie H, Merchant TE, et al. Review of cranial radiotherapy-induced vasculopathy. J Neurooncol. 2015;122(3):421-9.
- Ness KK, Armstrong GT. Screening for cardiac autonomic dysfunction among Hodgkin lymphoma survivors treated with thoracic radiation. J Am Coll Cardiol. 2015;65:584-5.
- Andratschke N, Maurer J, Molls M, Trott KR. Late radiation-induced heart disease after radiotherapy. Clinical importance, radiobiological mechanisms and strategies of prevention. Radiother Oncol. 2011;100:160-6.
- Szabó G, Schmack B, Bulut C, et al. Constrictive pericarditis: risks, aetiologies and outcomes after total pericardiectomy: 24 years of experience. Eur J Cardiothorac Surg. 2013;44:1023-8.
- Lai YH, Chen HHW, Tsai YS. Accelerated coronary calcium burden in breast cancer patients after radiotherapy: a comparison with age and race matched healthy women. Radiat Oncol. 2021;16:210.
- Koppelmans V, Vernooij MW, BoogerdW, et al. Prevalence of cerebral small-vessel disease in long-term breast cancer survivors exposed to both adjuvant radiotherapy and chemotherapy. J Clin Oncol. 2015;33:588-93.
- Leerink JM, van der Pal HJH, Kremer LCM, et al. Refining the 10-year prediction of left ventricular systolic dysfunction in longterm survivors of childhood cancer. JACC CardioOncology. 2021;3:62-72.
- Gatta G, Botta L, Rossi S, et al. Childhood cancer survival in Europe 1999–2007: results of EUROCARE-5 – a populationbased study. Lancet Oncol. 2014;15:35-47.
- Armenian SH, Armstrong GT, Aune G, et al. Cardiovascular disease in survivors of childhood cancer: insights into epidemiology, pathophysiology, and prevention. J Clin Oncol. 2018;36:2135-44.
- Kremer LCM, van Dalen EC, Offringa M, Voûte PA. Frequency and risk factors of anthracycline-induced clinical heart failure in children: a systematic review. Ann Oncol. 2002;13:503-5.
- Armstrong GT, Oeffinger KC, Chen Y, et al. Modifiable risk factors and major cardiac events among adult survivors of childhood cancer. J Clin Oncol. 2013;31:3673-80.
- van Dalen EC, Mulder RL, Suh E, et al. Coronary artery disease surveillance among childhood, adolescent and young adult cancer survivors: a systematic review and recommendations from the International Late Effects of Childhood Cancer Guideline Harmonization Group. Eur J Cancer. 2021;156:127-37.
- Armenian SH, Hudson MM, Mulder RL, et al. Recommendations for cardiomyopathy surveillance for survivors of childhood cancer:a report from the International Late Effects of Childhood Cancer Guideline Harmonization Group. Lancet Oncol. 2015;16:e123-36.
Supplementary files





