Challenges in the diagnosis of adult-onset Still's disease. Clinical case
- Authors: Pokrovskaya A.E.1, Abramov V.V.1, Podzolkov V.I.1
-
Affiliations:
- Sechenov First Moscow State Medical University (Sechenov University)
- Issue: Vol 27, No 9 (2025): Otorhinolaryngology and pulmonology
- Pages: 508-511
- Section: Articles
- Published: 17.11.2025
- URL: https://consilium.orscience.ru/2075-1753/article/view/696846
- DOI: https://doi.org/10.26442/20751753.2025.9.203460
- ID: 696846
Cite item
Full Text
Abstract
A clinical case illustrates the challenges of verifying adult-onset Still's disease, a rare autoinflammatory disease with no pathognomonic symptoms and no specific laboratory markers. A 50-year-old female patient with fever lasting more than 2 weeks, arthralgia, and exanthema was diagnosed with adult Still's disease after excluding infectious, oncological, and autoimmune causes of fever of unknown origin. Administration of an adequate dose of systemic glucocorticosteroids resulted in symptom relief within the first day. A specific feature of the clinical case was the late onset of the disease. This case highlights the need for a multidisciplinary approach in the diagnosis of adult-onset Still's disease.
Full Text
Введение
Болезнь Стилла взрослых (БСВ) – это аутовоспалительное заболевание, которое не имеет специфических маркеров и характеризуется полиморфизмом клинических проявлений [1].
Этиология БСВ не установлена, однако предполагается, что БСВ – реактивный синдром, который развивается у пациентов с генетической предрасположенностью после перенесенной инфекции [2, 3].
БСВ является редким заболеванием. Распространенность в Европе составляет 0,1–0,4 случая на 100 тыс. населения [4] с преобладанием пациентов молодого возраста – от 18 до 35 лет, преимущественно женщин [5].
Основной исторический вклад в изучение БСВ внесли Дж. Стилл [6] и Э. Байвотерс [1]. Первый описал БСВ как отдельную форму ювенильного артрита, второй впервые ввел термин БСВ в медицинскую литературу.
Клинические проявления БСВ могут быть разнообразными [7], однако наиболее частыми являются лихорадка, неспецифическая экзантема, артралгия или артрит [8, 9].
В связи с тем, что патогномоничные клинические симптомы и специфические маркеры БСВ отсутствуют, мировое медицинское сообщество предлагает выставлять диагноз после исключения других причин лихорадки неясного генеза в соответствии с критериями Yamaguchi (табл. 1) [8].
Таблица 1. Классификационные критерии М. Yamaguchi и соавт. (1992 г.)
Большие критерии | Малые критерии | Диагнозы исключения |
|
|
|
Для постановки диагноза БСВ необходимо не менее 2 больших и 3 малых критериев при исключении других причин лихорадки неясного генеза.
Среди клинических форм БСВ выделяют системную и хроническую суставную форму [10]. Системная форма имеет более благоприятный прогноз и в свою очередь подразделяется на моноцикличный (1 эпизод болезни с последующей полной ремиссией) и полицикличный (2 и более эпизодов болезни) варианты. Хроническая суставная форма приводит к деструкции суставов и необходимости ортопедических операций [11].
Несмотря на разнообразие клинических проявлений, во всех случаях препаратами 1-й линии в лечении БСВ являются системные глюкокортикостероиды (сГКС) в дозе 0,5–1,0 мг/кг в сутки [12]. При неэффективности сГКС рекомендуется назначение метотрексата или альтернативных базисных противовоспалительных препаратов в максимально эффективной, не вызывающей нежелательных реакций дозе (до 30 мг/нед). В случае отсутствия эффекта на фоне лечения сГКС и базисными противовоспалительными препаратами могут быть рассмотрены к назначению генно-инженерные биологические препараты (анакинра, тоцилизумаб, инфликсимаб) [13].
Описание клинического случая
Пациентка Р., 50 лет, поступила в терапевтическое отделение Университетской клинической больницы №4 ФГАОУ ВО «Первый МГМУ им. И.М. Сеченова» (Сеченовский Университет) 20 ноября 2024 г. с жалобами на повышение температуры тела до 39,2°C, боли в крупных (плечевые, локтевые, коленные, голеностопные), а также височно-нижечелюстных и лучезапястных суставах с обеих сторон, боли в горле при глотании, выраженную общую слабость.
Анамнез жизни пациентки – без особенностей. Аллергическую непереносимость, вредные привычки, профессиональные вредности, контакт с инфекционными больными, травмы отрицает. Из сопутствующих заболеваний: гипертоническая болезнь II стадии, целевой уровень артериального давления достигнут, риск сердечно-сосудистых осложнений высокий; мочекаменная болезнь – камень в правой почке; хронический атрофический гастрит, вне обострения; дивертикулез сигмовидной кишки.
Впервые ухудшение состояния пациентка отметила за 2 мес до госпитализации, когда на фоне полного благополучия произошло повышение температуры тела до 39,5°C, по поводу чего начала прием нестероидных противовоспалительных препаратов: парацетамола, ибупрофена, нимесулида – без эффекта. Через 2 нед к сохраняющейся лихорадке присоединились боли в крупных суставах, которые появлялись при движении, а также боли в горле при глотании. В связи с отсутствием эффекта от нестероидных противовоспалительных препаратов пациентка самостоятельно начала антибиотикотерапию – Амоксиклав в дозировке 875+125 мг 1 раз в день, однако после 5 дней приема препарата самочувствие не улучшилось.
В связи с неэффективностью проводимого лечения и сохранением жалоб пациентка обратилась в частный медицинский центр, где выполнен широкий спектр лабораторных и инструментальных исследований, включающих определение ревматоидного фактора, антител к циклическому цитруллиновому пептиду, антистрептолизин-О – результаты оказались в пределах референсных значений; антитела иммуноглобудина (Ig)G к антигенам описторхисов, токсокар, трихинелл, эхинококка – отрицательные; ДНК вируса Эпштейна–Барр, цитомегаловируса – не обнаружены. Выполнены эзофагогастродуоденоскопия с биопсией, колоноскопия, рентгенография шейного отдела позвоночника, височно-нижнечелюстного сустава, компьютерная томография (КТ) гортани, ультразвуковое исследование щитовидной железы – патология не выявлена. Несмотря на повышение уровней С-реактивного белка – СРБ (204,1 мг/л) и креатинфосфокиназы (237 ед/л), данных за инфекционный или аутовоспалительный процесс не получено. Состояние пациентки прогрессивно ухудшалось: сохранялись лихорадка до 39,5°C, боли в суставах, нарастала общая слабость. Госпитализирована в терапевтическое отделение Университетской клинической больницы №4 ФГАОУ ВО «Первый МГМУ им. И.М. Сеченова» (Сеченовский Университет) с диагнозом «лихорадка неясного генеза».
При физикальном обследовании выявлены повышение температуры тела до 38,9°C, наличие на поверхности обеих голеней неспецифической розеолезной сыпи, ограничение объема движений в ранее указанных суставах в связи с выраженным болевым синдромом. Со стороны бронхолегочной, сердечно-сосудистой, пищеварительной и мочеполовой систем – без особенностей.
Данные лабораторных и инструментальных исследований при поступлении: в общем анализе крови (ОАК) отмечалось повышение уровня скорости оседания эритроцитов (СОЭ) до 44 мм/ч, в биохимическом анализе крови – незначительное повышение уровня печеночных трансаминаз (аланинаминотрансфераза – 45,5 ед/л, аспартатаминотрансфераза – 37,3 ед/л), в коагулограмме – склонность к гипокоагуляции (международное нормализованное отношение – 1,69, активированное частичное тромбопластиновое время – 28,6 с), общий анализ мочи – без особенностей. Электрокардиограмма – без особенностей, КТ органов грудной клетки (ОГК) – в легких без видимой патологии, однако выявлена внутригрудная лимфаденопатия. Также выполнена рентгенография локтевых и коленных суставов ввиду наиболее выраженного болевого синдрома в данной локализации – при визуализации суставы без особенностей.
Учитывая изложенное, в рамках диагностического поиска причин лихорадки неясного генеза и суставного синдрома сложились следующие концепции:
1) инфекционное заболевание с системными проявлениями;
2) инфекционный эндокардит;
3) паранеопластический синдром в рамках моноклональной парапротеинемии или злокачественного новообразования;
4) аутоиммунное или аутовоспалительное заболевание.
В связи с наличием у пациентки болей в горле, внутригрудной лимфаденопатии посчитали необходимым исключить инфекцию дыхательных путей, которая могла бы вызвать системные проявления. По результатам консультации оториноларинголога активный инфекционный процесс исключен. Данные за микоплазменную и хламидийную инфекции по результатам серологических исследований не получены: IgM и IgG к Chlamydophila pneumoniae, Mycoplasma pneumoniae – в пределах референсных значений. Концепция инфекционного очага другой локализации не подтверждена – при посеве мочи и фекалий роста микрофлоры не выявлено.
Инфекционный эндокардит исключен по результатам отрицательного посева крови на аэробную и анаэробную микрофлору, трансторакальной и чреспищеводной эхокардиографии.
С целью исключения моноклональной гаммапатии произведен электрофорез белков сыворотки крови с исследованием М-градиента, данных за парапротеинемию не получено. В рамках онкопоиска пациентка также консультирована акушером-гинекологом, гематологом, проведена КТ органов брюшной полости с внутривенным контрастированием – данных за онкологический процесс также не получено. Однако при выполнении КТ органов брюшной полости с внутривенным контрастированием визуализирована часть легких, где специалистом лучевой диагностики заподозрена левосторонняя нижнедолевая пневмония, что и могло бы объяснить наличие лихорадки у нашей пациентки. В связи с этим повторно проведена КТ ОГК, вызван на консультацию пульмонолог, который трактовал данные неспецифические изменения легочной ткани как пневмонит в рамках аутовоспалительного процесса.
Для исключения дебюта системных васкулитов, системной красной волчанки, синдрома Шегрена, системной склеродермии определены соответствующие антитела. Все антитела находились в пределах референсных значений. Выявлен повышенный титр антинуклеарного фактора – 1:640, однако неспецифический тип свечения указывал, что это вариант нормы.
При поступлении в рамках синдрома лихорадки неясного генеза с учетом множественной артралгии пациентке назначена антибактериальная (цефтриаксон 2,0 г/сут) и противовоспалительная (дексаметазон 8 мг/сут) терапия, так как на тот момент исключение инфекции или аутоимунного процесса оказалось невозможно. Также назначены анальгетики (Кеторол 1,0 мл внутримышечно до 3 раз в день) и ингибиторы протонной помпы (омепразол 20 мг/сут).
На фоне проводимого лечения в ОАК отмечалась отрицательная динамика в виде нарастания нейтрофильного лейкоцитоза, нормохромной нормоцитарной анемии и сохранения повышенного уровня СОЭ (табл. 2). В биохимическом анализе крови обращало на себя внимание значительное повышение уровня СРБ (212,1 мг/л) и ферритина (474 нг/мл); табл. 3.
Таблица 2. Динамика показателей ОАК за весь период госпитализации
Показатель | Норма | 21.10 | 25.10 | 28.10 | 30.10 | 02.11 | 05.11 |
Лейкоциты, 109/л | 4–11 | 10,58 | 16,1 | 13,47 | 16,87 | 15,25 | 10,22 |
Нейтрофилы, % | 45–72 | 90,1 | 87,8 | 84,7 | 92,4 | 82,0 | 82,1 |
Эритроциты, 1012/л | 3,8–5,7 | 4,12 | 3,62 | 3,75 | 3,63 | 3,45 | 4,1 |
Гемоглобин, г/л | 117–160 | 119 | 106 | 110 | 109 | 97 | 117 |
Тромбоциты, 109/л | 150–450 | 184 | 267 | 431 | 509 | 507 | 362 |
СОЭ, мм/ч | 2–20 | 47 | 48 | 43 | – | – | 48 |
Таблица 3. Динамика показателей маркеров воспаления за весь период госпитализации
Показатель | Норма | 21.10 | 23.10 | 28.10 | 30.10 | 02.11 | 05.11 |
СРБ, мг/л | 0–5 | – | 212,1 | – | 272,6 | 44,2 | 19,8 |
Ферритин, нг/мл | 5–148 | – | – | 474 | – | 249 | 230 |
В связи с отсутствием динамики состояния пациентки на фоне проводимой терапии созван кафедральный консилиум, в ходе которого совместно с ревматологом принято решение о коррекции назначенной терапии и увеличении дозы сГКС. Учитывая, что у пациентки нельзя было полностью исключить наличие очага инфекции (нейтрофильный лейкоцитоз, высокие уровни СОЭ, СРБ), принято решение продолжить антибактериальную терапию левофлоксацином 500 мг 2 раза в день.
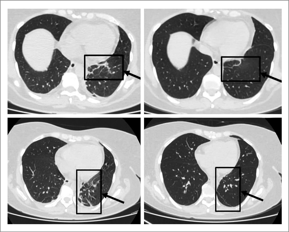
На следующий день после назначения дексаметазона в суточной дозировке 20 мг впервые за указанный период наблюдалось улучшение состояния пациентки в виде снижения температуры тела, уменьшения выраженности суставного синдрома. В последующем на фоне проводимого лечения также отмечалась положительная динамика по данным лабораторных и инструментальных исследований: СРБ – 19,8 мг/л; ферритин – 360 нг/мл; по КТ ОГК – разрешение двустороннего пневмонита, уменьшение внутригрудных лимфатических узлов (рис. 1).
Рис. 1. КТ-динамика изменений в легочной ткани на фоне терапии сГКС (слева – КТ ОГК от 30.10, справа – КТ ОГК от 05.11).
Положительная клиническая и лабораторная динамика на фоне приема сГКС позволила совместно с клиническим фармакологом отменить антибиотикотерапию.
Пациентка повторно консультирована ревматологом: сочетание лихорадки, фарингита, гиперферритинемии, нейтрофильного лейкоцитоза, отрицательных ревматоидного фактора и антител к циклическому цитруллиновому пептиду, неспецифического типа свечения антинуклеарного фактора (вариант нормы), исключение инфекционной и паранеопластической этиологии лихорадки позволили установить диагноз БСВ. Согласно критериям Yamaguchi имелось 4 из 4 больших и 4 из 4 малых критериев.
Пациентка выписана из стационара в удовлетворительном состоянии и продолжила терапию сГКС амбулаторно с постепенным снижением дозы под контролем ревматолога. На данный момент пациентка находится на поддерживающей терапии сГКС (преднизолон 5 мг/сут), жалоб нет. При контроле ОАК, биохимический анализ крови, КТ ОГК – без изменений.
Обсуждение
Представленный клинический случай интересен для клиницистов ввиду объемного дифференциально-диагностического поиска, связанного с отсутствием патогномоничных симптомов и специфических лабораторных маркеров БСВ. Длительное время диагноз оставался неясным из-за необходимости исключения широкого спектра заболеваний, включая инфекционные, аутоиммунные и онкологические процессы.
Своевременное назначение сГКС в адекватных дозах при БСВ является ключевым фактором успешного лечения. Первоначальное назначение сГКС в малых дозах не привело к купированию симптомов и нормализации лабораторных показателей у нашей пациентки, но в последующем при увеличении дозы сГКС наблюдалась положительная динамика клинических проявлений, лабораторных и инструментальных показателей.
Особенностью описанного клинического случая является поздняя манифестация: в большинстве случаев дебют БСВ приходится на возраст 18–35 лет.
Данный случай демонстрирует необходимость мультидисциплинарного подхода к диагностике БСВ, включающего участие ревматологов, инфекционистов, онкологов и клинических фармакологов. Только комплексная оценка клинической картины, лабораторных и инструментальных данных позволила избежать диагностических ошибок и подобрать эффективную терапию.
Заключение
Представленный клинический случай подчеркивает необходимость повышения осведомленности врачей о БСВ для своевременной диагностики и надлежащего лечения. БСВ является диагнозом исключения, его постановка может быть затруднительной ввиду разнообразия клинических проявлений и отсутствия специфических диагностических маркеров, что требует тщательного дифференциального поиска. Ключевыми факторами успешного лечения являются раннее назначение адекватных доз системных сГКС и динамическое наблюдение за пациентом.
Раскрытие интересов. Авторы декларируют отсутствие явных и потенциальных конфликтов интересов, связанных с публикацией настоящей статьи.
Disclosure of interest. The authors declare that they have no competing interests.
Вклад авторов. Авторы декларируют соответствие своего авторства международным критериям ICMJE. В.И. Подзолков, А.Е. Покровская – вклад в разработку концепции статьи, подготовку текста и редактирование статьи, принимали участие в обследовании и лечении пациентки; В.В. Абрамов – участие в обследовании, лечении пациентки, подготовке материалов и написании текста статьи.
Authors’ contribution. The authors declare the compliance of their authorship according to the international ICMJE criteria. V.I. Podzolkov, A.E. Pokrovskaya made the main contribution to the development of the concept of the article, prepared the text and agreed to take responsibility for all aspects of clinical observation. V.V. Abramov took an active part in the treatment of the patient, the preparation of materials and the description of clinical observation.
Источник финансирования. Авторы декларируют отсутствие внешнего финансирования для проведения исследования и публикации статьи.
Funding source. The authors declare that there is no external funding for the exploration and analysis work.
Информированное согласие на публикацию. Пациентка подписала форму добровольного информированного согласия на публикацию медицинской информации.
Consent for publication. Written consent was obtained from the patient for publication of relevant medical information and all of accompanying images within the manuscript.
About the authors
Anna E. Pokrovskaya
Sechenov First Moscow State Medical University (Sechenov University)
Author for correspondence.
Email: pokrovskaya_a_e@staff.sechenov.ru
ORCID iD: 0000-0002-8875-9032
Cand. Sci. (Med.)
Russian Federation, MoscowVadim V. Abramov
Sechenov First Moscow State Medical University (Sechenov University)
Email: pokrovskaya_a_e@staff.sechenov.ru
ORCID iD: 0009-0006-8151-8865
Clinical Resident
Russian Federation, MoscowValery I. Podzolkov
Sechenov First Moscow State Medical University (Sechenov University)
Email: pokrovskaya_a_e@staff.sechenov.ru
ORCID iD: 0000-0002-0758-5609
D. Sci. (Med.), Prof.
Russian Federation, MoscowReferences
- Bywaters EG. Still’s disease in the adult. Ann Rheum Dis. 1971;30(2):121-33. doi: 10.1136/ard.30.2.121
- McGonagle D, McDermott MF. A proposed classification of the immunological diseases. PLoS Med. 2006;3(8):e297. doi: 10.1371/journal.pmed.0030297
- Jamilloux Y, Gerfaud-Valentin M, Martinon F, et al. Pathogenesis of adult-onset Still’s disease: new insights from the juvenile counterpart. Immunol Res. 2015;61(1-2):53-62. doi: 10.1007/s12026-014-8561-9
- Gerfaud-Valentin M, Jamilloux Y, Iwaz J, Sève P. Adult-onset Still’s disease: Pathogenesis, clinical manifestations, and diagnosis. UpToDate. 2024. Available at: https://www.uptodate.com. Accessed: 02.09.2025.
- Efthimiou P, Paik PK, Bielory L. Diagnosis and management of adult onset Still’s disease. Ann Rheum Dis. 2006;65(5):564-72. doi: 10.1136/ard.2005.042143
- Still GF. On a Form of Chronic Joint Disease in Children. Med Chir Trans. 1897;80:47-60.9.
- Fautrel B. Adult-onset Still disease. Best Pract Res Clin Rheumatol. 2008;22(5):773-92. doi: 10.1016/j.berh.2008.08.006
- Yamaguchi M, Ohta A, Tsunematsu T, et al. Preliminary criteria for classification of adult Still’s disease. J Rheumatol. 1992;19(3). Available at: https://pubmed.ncbi.nlm.nih.gov/1578458/ Accessed: 10.06.2025.
- Rau M, Schiller M, Krienke S, et al. Clinical manifestations but not cytokine profiles differentiate adult-onset Still’s disease and sepsis. J Rheumatol. 2010;37(11):2369-76. doi: 10.3899/jrheum.100247
- Pouchot J, Sampalis JS, Beaudet F, et al. Adult Still’s disease: manifestations, disease course, and outcome in 62 patients. Medicine (Baltimore). 1991;70(2):118-36.
- Gerfaud-Valentin M, Jamilloux Y, Iwaz J, Sève P. Adult-onset Still’s disease. Autoimmun Rev. 2014;13(7):708-22. doi: 10.1016/j.autrev.2014.01.058
- Bindoli S, Baggio C, Doria A, Sfriso P. Adult-Onset Still’s Disease (AOSD): Advances in Understanding Pathophysiology, Genetics and Emerging Treatment Options. Drugs. 2024;84(3):257-74. doi: 10.1007/s40265-024-01993-x
- Ma Y, Meng J, Jia J, et al. Current and emerging biological therapy in adult-onset Still’s disease. Rheumatology (Oxford). 2021;60(9):3986-4000. doi: 10.1093/rheumatology/keab485
Supplementary files



